Spandidos Publications Logo
  • About
    • About Spandidos
    • Aims and Scopes
    • Abstracting and Indexing
    • Editorial Policies
    • Reprints and Permissions
    • Job Opportunities
    • Terms and Conditions
    • Contact
  • Journals
    • All Journals
    • Oncology Letters
      • Oncology Letters
      • Information for Authors
      • Editorial Policies
      • Editorial Board
      • Aims and Scope
      • Abstracting and Indexing
      • Bibliographic Information
      • Archive
    • International Journal of Oncology
      • International Journal of Oncology
      • Information for Authors
      • Editorial Policies
      • Editorial Board
      • Aims and Scope
      • Abstracting and Indexing
      • Bibliographic Information
      • Archive
    • Molecular and Clinical Oncology
      • Molecular and Clinical Oncology
      • Information for Authors
      • Editorial Policies
      • Editorial Board
      • Aims and Scope
      • Abstracting and Indexing
      • Bibliographic Information
      • Archive
    • Experimental and Therapeutic Medicine
      • Experimental and Therapeutic Medicine
      • Information for Authors
      • Editorial Policies
      • Editorial Board
      • Aims and Scope
      • Abstracting and Indexing
      • Bibliographic Information
      • Archive
    • International Journal of Molecular Medicine
      • International Journal of Molecular Medicine
      • Information for Authors
      • Editorial Policies
      • Editorial Board
      • Aims and Scope
      • Abstracting and Indexing
      • Bibliographic Information
      • Archive
    • Biomedical Reports
      • Biomedical Reports
      • Information for Authors
      • Editorial Policies
      • Editorial Board
      • Aims and Scope
      • Abstracting and Indexing
      • Bibliographic Information
      • Archive
    • Oncology Reports
      • Oncology Reports
      • Information for Authors
      • Editorial Policies
      • Editorial Board
      • Aims and Scope
      • Abstracting and Indexing
      • Bibliographic Information
      • Archive
    • Molecular Medicine Reports
      • Molecular Medicine Reports
      • Information for Authors
      • Editorial Policies
      • Editorial Board
      • Aims and Scope
      • Abstracting and Indexing
      • Bibliographic Information
      • Archive
    • World Academy of Sciences Journal
      • World Academy of Sciences Journal
      • Information for Authors
      • Editorial Policies
      • Editorial Board
      • Aims and Scope
      • Abstracting and Indexing
      • Bibliographic Information
      • Archive
    • International Journal of Functional Nutrition
      • International Journal of Functional Nutrition
      • Information for Authors
      • Editorial Policies
      • Editorial Board
      • Aims and Scope
      • Abstracting and Indexing
      • Bibliographic Information
      • Archive
    • International Journal of Epigenetics
      • International Journal of Epigenetics
      • Information for Authors
      • Editorial Policies
      • Editorial Board
      • Aims and Scope
      • Abstracting and Indexing
      • Bibliographic Information
      • Archive
    • Medicine International
      • Medicine International
      • Information for Authors
      • Editorial Policies
      • Editorial Board
      • Aims and Scope
      • Abstracting and Indexing
      • Bibliographic Information
      • Archive
  • Articles
  • Information
    • Information for Authors
    • Information for Reviewers
    • Information for Librarians
    • Information for Advertisers
    • Conferences
  • Language Editing
Spandidos Publications Logo
  • About
    • About Spandidos
    • Aims and Scopes
    • Abstracting and Indexing
    • Editorial Policies
    • Reprints and Permissions
    • Job Opportunities
    • Terms and Conditions
    • Contact
  • Journals
    • All Journals
    • Biomedical Reports
      • Information for Authors
      • Editorial Policies
      • Editorial Board
      • Aims and Scope
      • Abstracting and Indexing
      • Bibliographic Information
      • Archive
    • Experimental and Therapeutic Medicine
      • Information for Authors
      • Editorial Policies
      • Editorial Board
      • Aims and Scope
      • Abstracting and Indexing
      • Bibliographic Information
      • Archive
    • International Journal of Epigenetics
      • Information for Authors
      • Editorial Policies
      • Editorial Board
      • Aims and Scope
      • Abstracting and Indexing
      • Bibliographic Information
      • Archive
    • International Journal of Functional Nutrition
      • Information for Authors
      • Editorial Policies
      • Editorial Board
      • Aims and Scope
      • Abstracting and Indexing
      • Bibliographic Information
      • Archive
    • International Journal of Molecular Medicine
      • Information for Authors
      • Editorial Policies
      • Editorial Board
      • Aims and Scope
      • Abstracting and Indexing
      • Bibliographic Information
      • Archive
    • International Journal of Oncology
      • Information for Authors
      • Editorial Policies
      • Editorial Board
      • Aims and Scope
      • Abstracting and Indexing
      • Bibliographic Information
      • Archive
    • Medicine International
      • Information for Authors
      • Editorial Policies
      • Editorial Board
      • Aims and Scope
      • Abstracting and Indexing
      • Bibliographic Information
      • Archive
    • Molecular and Clinical Oncology
      • Information for Authors
      • Editorial Policies
      • Editorial Board
      • Aims and Scope
      • Abstracting and Indexing
      • Bibliographic Information
      • Archive
    • Molecular Medicine Reports
      • Information for Authors
      • Editorial Policies
      • Editorial Board
      • Aims and Scope
      • Abstracting and Indexing
      • Bibliographic Information
      • Archive
    • Oncology Letters
      • Information for Authors
      • Editorial Policies
      • Editorial Board
      • Aims and Scope
      • Abstracting and Indexing
      • Bibliographic Information
      • Archive
    • Oncology Reports
      • Information for Authors
      • Editorial Policies
      • Editorial Board
      • Aims and Scope
      • Abstracting and Indexing
      • Bibliographic Information
      • Archive
    • World Academy of Sciences Journal
      • Information for Authors
      • Editorial Policies
      • Editorial Board
      • Aims and Scope
      • Abstracting and Indexing
      • Bibliographic Information
      • Archive
  • Articles
  • Information
    • For Authors
    • For Reviewers
    • For Librarians
    • For Advertisers
    • Conferences
  • Language Editing
Login Register Submit
  • This site uses cookies
  • You can change your cookie settings at any time by following the instructions in our Cookie Policy. To find out more, you may read our Privacy Policy.

    I agree
Search articles by DOI, keyword, author or affiliation
Search
Advanced Search
presentation
Medicine International
Join Editorial Board Propose a Special Issue
Print ISSN: 2754-3242 Online ISSN: 2754-1304
Journal Cover
March-April 2024 Volume 4 Issue 2

Full Size Image

Sign up for eToc alerts
Recommend to Library

Journals

International Journal of Molecular Medicine

International Journal of Molecular Medicine

International Journal of Molecular Medicine is an international journal devoted to molecular mechanisms of human disease.

International Journal of Oncology

International Journal of Oncology

International Journal of Oncology is an international journal devoted to oncology research and cancer treatment.

Molecular Medicine Reports

Molecular Medicine Reports

Covers molecular medicine topics such as pharmacology, pathology, genetics, neuroscience, infectious diseases, molecular cardiology, and molecular surgery.

Oncology Reports

Oncology Reports

Oncology Reports is an international journal devoted to fundamental and applied research in Oncology.

Experimental and Therapeutic Medicine

Experimental and Therapeutic Medicine

Experimental and Therapeutic Medicine is an international journal devoted to laboratory and clinical medicine.

Oncology Letters

Oncology Letters

Oncology Letters is an international journal devoted to Experimental and Clinical Oncology.

Biomedical Reports

Biomedical Reports

Explores a wide range of biological and medical fields, including pharmacology, genetics, microbiology, neuroscience, and molecular cardiology.

Molecular and Clinical Oncology

Molecular and Clinical Oncology

International journal addressing all aspects of oncology research, from tumorigenesis and oncogenes to chemotherapy and metastasis.

World Academy of Sciences Journal

World Academy of Sciences Journal

Multidisciplinary open-access journal spanning biochemistry, genetics, neuroscience, environmental health, and synthetic biology.

International Journal of Functional Nutrition

International Journal of Functional Nutrition

Open-access journal combining biochemistry, pharmacology, immunology, and genetics to advance health through functional nutrition.

International Journal of Epigenetics

International Journal of Epigenetics

Publishes open-access research on using epigenetics to advance understanding and treatment of human disease.

Medicine International

Medicine International

An International Open Access Journal Devoted to General Medicine.

Journal Cover
March-April 2024 Volume 4 Issue 2

Full Size Image

Sign up for eToc alerts
Recommend to Library

  • Article
  • Citations
    • Cite This Article
    • Download Citation
    • Create Citation Alert
    • Remove Citation Alert
    • Cited By
  • Similar Articles
    • Related Articles (in Spandidos Publications)
    • Similar Articles (Google Scholar)
    • Similar Articles (PubMed)
  • Download PDF
  • Download XML
  • View XML
Case Report Open Access

Alveolar adenoma with a single cyst: A case report

  • Authors:
    • Hiroshi Matsui
    • Takahiro Utsumi
    • Natsumi Maru
    • Yohei Taniguchi
    • Tomohito Saito
    • Haruaki Hino
    • Kaori Ishida
    • Koji Tsuta
    • Tomohiro Murakawa
  • View Affiliations / Copyright

    Affiliations: Department of Thoracic Surgery, Kansai Medical University Hospital, Hirakata, Osaka 573‑1010, Japan, Department of Pathology and Laboratory Medicine, Kansai Medical University Hospital, Hirakata, Osaka 573‑1010, Japan
    Copyright: © Matsui et al. This is an open access article distributed under the terms of Creative Commons Attribution License [CC BY 4.0].
  • Article Number: 16
    |
    Published online on: February 16, 2024
       https://doi.org/10.3892/mi.2024.140
  • Expand metrics +
Metrics: Total Views: 0 (Spandidos Publications: | PMC Statistics: )
Metrics: Total PDF Downloads: 0 (Spandidos Publications: | PMC Statistics: )
Cited By (CrossRef): 0 citations Loading Articles...

This article is mentioned in:


Abstract

Alveolar adenoma is a rare and benign pulmonary tumor, which originates from type II pneumocytes and is often incidentally identified on radiographic images. Alveolar adenoma presents as a peripleural, solitary and cystic nodule in the lung and may mimic other types of lung tumors, thus rendering its differential diagnosis difficult. Alveolar adenoma is diagnosed based on histopathological and immunohistochemical analyses. The present study describes the case of a 50‑year‑old male patient with alveolar adenoma. He visited a local doctor ~3 years prior due to left chest pain. A chest computed tomography scan revealed a cystic lesion in segment 8 of the left lung. A nodular shadow appeared in the cyst and gradually increased in size; the patient was thus referred to the authors' hospital. The nodule was well‑defined, solitary and solid; thus, lung cancer or aspergilloma were suspected. Thoracoscopic wedge resection was performed as diagnostic therapy. The frozen sections were non‑diagnostic, and a pathological examination revealed an alveolar adenoma with no evidence of malignancy and a negative culture. The patient had a good post‑operative course, with no sign of recurrence at the follow‑up evaluation 46 months later. On the whole, alveolar adenoma is a rare, benign pulmonary tumor that is difficult to diagnose pre‑operatively.

Introduction

Alveolar adenoma (AA) is an exceedingly rare benign lung tumor that was first reported by Yousem et al in 1986(1). Patients with AA are usually asymptomatic and the tumor is incidentally detected on chest radiography as a clear solitary pulmonary nodule. When solid pulmonary nodules are >10 mm in size, there is an increased likelihood of surgical intervention due to a higher risk of malignancy and patient anxiety (2,3). A definitive diagnosis of AA depends on histopathology and immunohistochemistry findings as it is difficult to diagnose pre-operatively. Curative treatment consists of surgical resection, with no case of recurrence having been described to date in the literature, at least to the best of our knowledge.

The present study describes the case of a patient with alveolar adenoma and reports on the imaging and pathological differentiation of AA from other lung tumors.

Case report

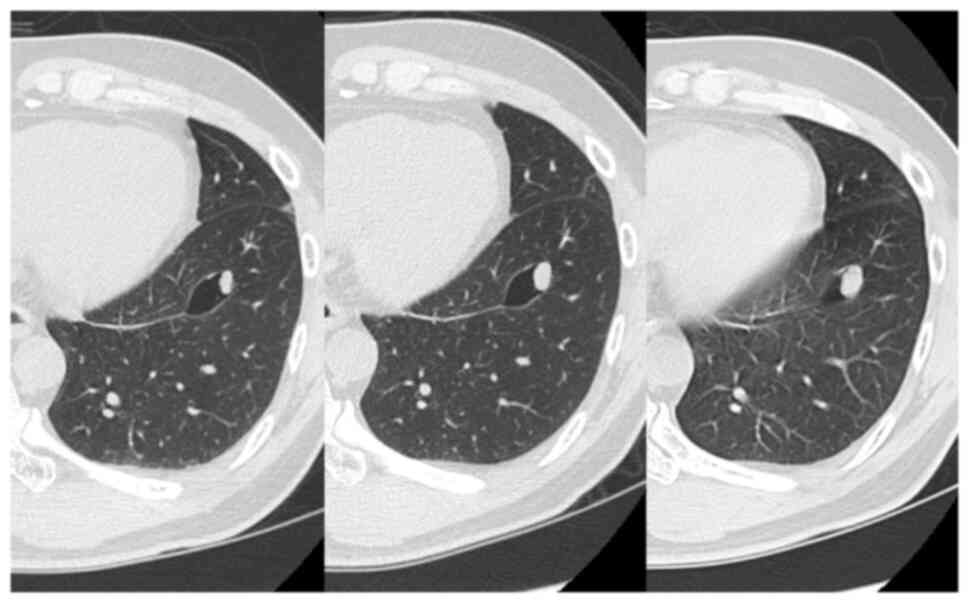
A 50-year-old male patient presented to his previous doctor with a complaint of chest discomfort. A chest computed tomography (CT) scan revealed a 10-mm solitary nodule with a single cyst in the left lower lobe. The diameter of the pulmonary nodule increased to 14 mm within a span of 2 years (CT scan results shown in Fig. 1). He was referred to Kansai Medical University Hospital (Hirakata, Japan) due to the possibility of lung cancer. His medical history was notable for benign prostatic hyperplasia. A thoracoscopic wedge resection of the left lower lung was performed. The frozen sections were non-diagnostic, and the surgical procedure and postoperative course were uneventful, with no signs of recurrence 4 years post-operatively.

Figure 1

Chest CT illustrating a well-defined nodule in segment 8 of the left lung with a surrounding vacuole, and the nodule increased in size on the CT scan for 2 years (images from left to right indicate the passing of time, respectively).

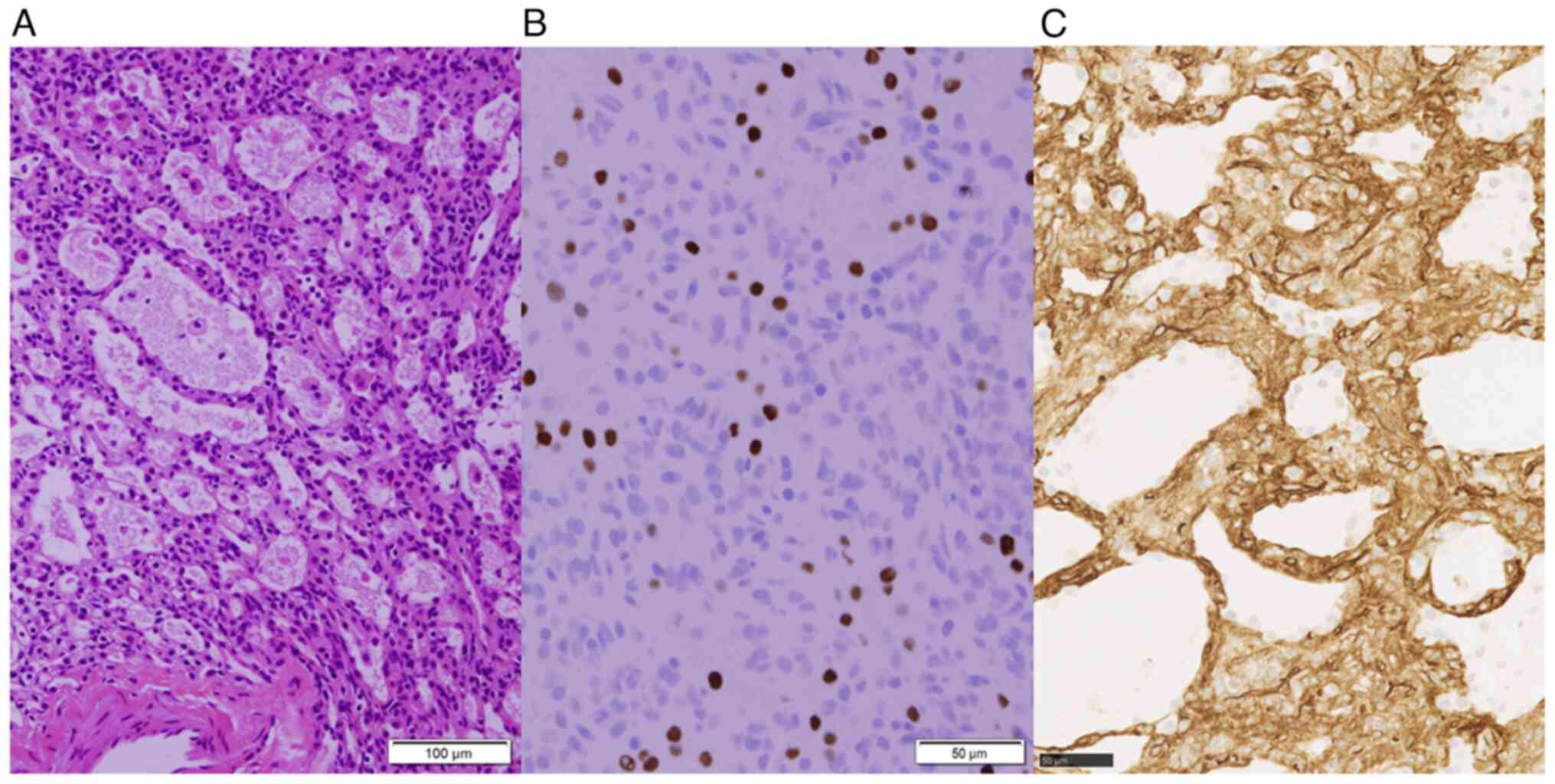
Overall, the tumor was well-defined and yellowish, measuring 10 mm in a subpleural cyst. Microscopically, the tumor consisted of polycystic structures resembling alveoli filled with pulmonary surfactant. The cyst lining cells were positive for thyroid transcription factor-1 (TTF-1) without atypia, corresponding to type II pneumocytes (Fig. 2). Additionally, the stroma lacked elastic fibers characteristic of alveoli and contained cluster of differentiation 34 (CD34)-positive cells with rounded nuclei and eosinophilic cytoplasm. These cells were negative for TTF-1, CD31, ERG, D2-40, SALL4, BRAF and STAT6. Immunohistochemical analysis was conducted on 4-µm-thick formalin-fixed paraffin-embedded tissue sections (details presented in Table I). Cultures were negative for fungi and tuberculosis, and no malignant cells were noted. Analyses were performed under a light microscope (Olympus Corporation) and whole slide images. Therefore, the final pathological diagnosis was that of AA.

Figure 2

Histopathological findings of the tumor illustrating (A) multiple cystic spaces resembling alveoli (hematoxylin and eosin staining; magnification, x200). (B) Its lumen was covered with hyperplastic type II alveolar epithelial cells, which were thyroid transcription factor-1-positive (immunostaining; magnification, x400). (C) The stroma lacked elastic fibers and contained CD34-positive cells with rounded nuclei and an eosinophilic cytoplasm (immunostaining; magnification, x400).

Table I

Antibodies used in the present case report.

Table I

Antibodies used in the present case report.

AntibodyClone, cat. no., supplierDilutionIncubationReaction timeFully automated IHC system, supplierDetection systemAntigen retrieval reagent
TTF-18G7G3/1, cat. no. IR056, Dako; Agilent Technologies, Inc.RTULow pH: 20 min; room temperature20 minAutostainer Link 48, Agilent Technologies, Inc.Envision FLEXEnvision FLEX Target Retrieval Solution High/Low pH
CD31JC70A, cat. no. IR610, Dako; Agilent Technologies, Inc.RTUHigh pH: 20 min; room temperature20 min   
D2-40D2-40, cat. no. IR072, Dako; Agilent Technologies, Inc.RTUHigh pH: 20 min; room temperature3 min   
ERGCat. no. 418111, Nichirei Biosciences, Inc.RTUCC1: 32 min 36˚C8 minVENTANA BenchMark ULTRA PLUS, Roche DiagnosticsOptiview DAB universal kitCC1: VENTANA ULTRA Cell Conditioning Solution
SALL46E3, cat. no. H00057167-M03, Abnovax500CC1: 32 min 36˚C16 min   
BRAFV600EVE1, cat. no. 790-4855, Roche DiagnosticsRTUCC1: 64 min 36˚C32 min   
STAT6YE361, cat. no. ab32520, Abcamx1,000CC1: 32 min 36˚C16 min   

[i] TTF-1, thyroid transcription factor-1; SALL4, Sal-like protein 4; RTU, ready-to-use.

Discussion

AA is a rare lung tumor with an incidence rate of <1% of all lung tumors, and is classified as an adenoma in the 2015 World Health Organization Classification of lung tumors (4). AA is often asymptomatic and is incidentally detected during imaging examinations, typically exhibiting no tendency to enlarge (5). The majority of patients are middle-aged to elderly, with a slight predominance in the female sex. There is no association between the occurrence of AA and a previous medical history or family history. AA commonly occurs in the middle and lower lobes of the lung and is pathologically characterized by multifocal cystic lesions resembling alveolar cavities, with the lumen lined by TTF-1-positive type II alveolar epithelium (6). In the present study, upon an examination of the patient, it was found that the tumor had similar histopathological features to the cases reported in the literature (6-11).

AAs are characterized by the presence of vacuoles within or around the tumor on imaging (7). It is speculated that alveoli rupture and fuse to create cavities, similar to the cavity formation mechanism observed in lung cancer. This occurs as tumor cells develop toward the bronchiole, forming a unidirectional check-valve system, which results in the accumulation of gas in the alveoli. This phenomenon may explain the cystic lesions observed in the pathology. Therefore, it is important to consider AA as a differential diagnosis in cases of pulmonary nodules with air images. In the case presented herein, the tumor increased in size with the presence of air images, highlighting the necessity to distinguish the tumor from lung cancer or pulmonary aspergilloma.

The diagnosis of AA is challenging when based on small biopsy tissue or frozen sections as it can resemble normal lung parenchyma or mimic malignancy with small glandular spaces lined by regular glandular epithelium (8). Additionally, there are other conditions in the differential diagnosis of AA, including papillary adenoma, sclerosing pneumocytoma and pulmonary hamartoma. Papillary adenoma is characterized by distinctive papillae covered by uniform cuboidal to columnar cells and a heterogeneous epithelial component. The presence of TTF-1 expression in AA can help distinguish it from sclerosing pneumocytoma. Pulmonary hamartoma consists primarily of benign cartilage mixed with a fibrovascular stroma and scattered bronchial glands (9).

The curative treatment for AA is surgical resection, typically performed to rule out malignancy and confirm the diagnosis through postoperative pathology. No recurrence has been reported following complete resection (10). In the case described herein, surgery was concluded with a wedge resection as the tumor was a peripheral lesion that could be completely resected, and the frozen section did not provide a definitive diagnosis. There is a risk of unnecessary extended resection, such as segmentectomy or lobectomy, if the patient is intraoperatively misdiagnosed with lung cancer based in the frozen section; hence, wedge resection is a viable option for small peripheral lesions (11).

In conclusion, AA is a rare, benign lung tumor. When encountering a well-defined solitary nodule with cystic spaces in the peripheral lung, an intraoperative diagnosis can be challenging. Therefore, it is critical to consider the possibility of AA, complete the surgery with a wedge resection and await the final pathological diagnosis.

Acknowledgements

Not applicable.

Funding

Funding: No funding was received.

Availability of data and materials

The datasets used and/or analyzed during the current study are available from the corresponding author on reasonable request.

Authors' contributions

HM was a major contributor to the conception of the study, as well as to the literature search for related studies. TU, NM, YT, TS and HH were involved in the literature review, and in the examination and interpretation of the patient's data. HM, KI, KT and TM were involved in the literature review, in the design of the study, in the critical revision of the manuscript and in the processing of the figures. KI and KT were the pathologists who performed the histopathological diagnosis of the patient. HM and TM confirm the authenticity of all the raw data. All authors have read and approved the final manuscript.

Ethics approval and consent to participate

The patient provided written informed consent for participation.

Patient consent for publication

Written consent was obtained from the patient for the publication of his data and any related images.

Competing interests

The authors declare that they have no competing interests.

References

1 

Yousem SA and Hochholzer L: Alveolar adenoma. Hum Pathol. 17:1066–1071. 1986.PubMed/NCBI View Article : Google Scholar

2 

Klaveren RJ, Oudkerk M, Prokop M, Scholten ET, Nackaerts K, Vernhout R, Iersel CA, Bergh KAM, Westeinde SV, Aalst C, et al: Management of lung nodules detected by volume CT scanning. N Engl J Med. 361:2221–2229. 2009.PubMed/NCBI View Article : Google Scholar

3 

MacMahon H, Naidich DP, Goo JM, Lee KS, Leung ANC, Mayo JR, Mehta AC, Ohno Y, Powell CA, Prokop M, et al: Guidelines for management of incidental pulmonary nodules detected on CT Images: From the fleischner society 2017. Radiology. 284:228–243. 2017.PubMed/NCBI View Article : Google Scholar

4 

Travis WD, Brambilla E, Burke AP, Marx A and Nicholson AG: Introduction to the 2015 World Health Organization classification of tumors of the lung, pleura, thymus, and heart. J Thorac Oncol. 10:1240–1242. 2015.PubMed/NCBI View Article : Google Scholar

5 

Bhavsar T, Uppal G, Travaline JM, Gaughan C, Huang Y and Khurana JS: An unusual case of a microscopic alveolar adenoma coexisting with lung carcinoma: A case report and review of the literature. J Med Case Rep. 5(187)2011.PubMed/NCBI View Article : Google Scholar

6 

Sak SD, Koseoglu RD, Demirag F, Akbulut H and Gungor A: Alveolar adenoma of the lung. Immunohistochemical and flow cytometric characteristics of two new cases and a review of the literature. APMIS. 115:1443–1449. 2007.PubMed/NCBI View Article : Google Scholar

7 

Hsieh MS, Tseng YH, Hua SF and Chou YH: Cystic alveolar adenoma: An unusual clinical presentation of a rare lung neoplasm. Pathology. 47:78–80. 2015.PubMed/NCBI View Article : Google Scholar

8 

Burke LM, Rush WI, Khoor A, Mackay B, Oliveira P, Whitsett JA, Singh G, Turnicky R, Fleming MV, Koss MN and Travis WD: Alveolar adenoma: A histochemical, immunohistochemical, and ultrastructural analysis of 17 cases. Hum Pathol. 30:158–1567. 1999.PubMed/NCBI View Article : Google Scholar

9 

Wang L, Wang X, Rustam A and Hu J: Alveolar adenoma resected by thoracoscopic surgery. Ann Thorac Cardiovasc Surg. 19:489–491. 2013.PubMed/NCBI View Article : Google Scholar

10 

Kondo N, Torii I, Hashimoto M, Takuwa T, Tanaka F, Tsujimura T and Hasegawa S: Alveolar adenoma of the lung: A case report. Ann Thorac Cardiovasc Surg. 17:71–73. 2011.PubMed/NCBI View Article : Google Scholar

11 

Saji H, Okada M, Tsuboi M, Nakajima R, Suzuki K, Aokage K, Aoki T, Okami J, Yoshino I, Ito H, et al: Segmentectomy versus lobectomy in small-sized peripheral non-small-cell lung cancer (JCOG0802/WJOG4607L): A multicentre, open-label, phase 3, randomised, controlled, non-inferiority trial. Lancet. 399:1607–1617. 2022.PubMed/NCBI View Article : Google Scholar

Related Articles

  • Abstract
  • View
  • Download
Copy and paste a formatted citation
Spandidos Publications style
Matsui H, Utsumi T, Maru N, Taniguchi Y, Saito T, Hino H, Ishida K, Tsuta K and Murakawa T: Alveolar adenoma with a single cyst: A case report. Med Int 4: 16, 2024.
APA
Matsui, H., Utsumi, T., Maru, N., Taniguchi, Y., Saito, T., Hino, H. ... Murakawa, T. (2024). Alveolar adenoma with a single cyst: A case report. Medicine International, 4, 16. https://doi.org/10.3892/mi.2024.140
MLA
Matsui, H., Utsumi, T., Maru, N., Taniguchi, Y., Saito, T., Hino, H., Ishida, K., Tsuta, K., Murakawa, T."Alveolar adenoma with a single cyst: A case report". Medicine International 4.2 (2024): 16.
Chicago
Matsui, H., Utsumi, T., Maru, N., Taniguchi, Y., Saito, T., Hino, H., Ishida, K., Tsuta, K., Murakawa, T."Alveolar adenoma with a single cyst: A case report". Medicine International 4, no. 2 (2024): 16. https://doi.org/10.3892/mi.2024.140
Copy and paste a formatted citation
x
Spandidos Publications style
Matsui H, Utsumi T, Maru N, Taniguchi Y, Saito T, Hino H, Ishida K, Tsuta K and Murakawa T: Alveolar adenoma with a single cyst: A case report. Med Int 4: 16, 2024.
APA
Matsui, H., Utsumi, T., Maru, N., Taniguchi, Y., Saito, T., Hino, H. ... Murakawa, T. (2024). Alveolar adenoma with a single cyst: A case report. Medicine International, 4, 16. https://doi.org/10.3892/mi.2024.140
MLA
Matsui, H., Utsumi, T., Maru, N., Taniguchi, Y., Saito, T., Hino, H., Ishida, K., Tsuta, K., Murakawa, T."Alveolar adenoma with a single cyst: A case report". Medicine International 4.2 (2024): 16.
Chicago
Matsui, H., Utsumi, T., Maru, N., Taniguchi, Y., Saito, T., Hino, H., Ishida, K., Tsuta, K., Murakawa, T."Alveolar adenoma with a single cyst: A case report". Medicine International 4, no. 2 (2024): 16. https://doi.org/10.3892/mi.2024.140
Follow us
  • Twitter
  • LinkedIn
  • Facebook
About
  • Spandidos Publications
  • Careers
  • Cookie Policy
  • Privacy Policy
How can we help?
  • Help
  • Live Chat
  • Contact
  • Email to our Support Team