Spandidos Publications Logo
  • About
    • About Spandidos
    • Aims and Scopes
    • Abstracting and Indexing
    • Editorial Policies
    • Reprints and Permissions
    • Job Opportunities
    • Terms and Conditions
    • Contact
  • Journals
    • All Journals
    • Oncology Letters
      • Oncology Letters
      • Information for Authors
      • Editorial Policies
      • Editorial Board
      • Aims and Scope
      • Abstracting and Indexing
      • Bibliographic Information
      • Archive
    • International Journal of Oncology
      • International Journal of Oncology
      • Information for Authors
      • Editorial Policies
      • Editorial Board
      • Aims and Scope
      • Abstracting and Indexing
      • Bibliographic Information
      • Archive
    • Molecular and Clinical Oncology
      • Molecular and Clinical Oncology
      • Information for Authors
      • Editorial Policies
      • Editorial Board
      • Aims and Scope
      • Abstracting and Indexing
      • Bibliographic Information
      • Archive
    • Experimental and Therapeutic Medicine
      • Experimental and Therapeutic Medicine
      • Information for Authors
      • Editorial Policies
      • Editorial Board
      • Aims and Scope
      • Abstracting and Indexing
      • Bibliographic Information
      • Archive
    • International Journal of Molecular Medicine
      • International Journal of Molecular Medicine
      • Information for Authors
      • Editorial Policies
      • Editorial Board
      • Aims and Scope
      • Abstracting and Indexing
      • Bibliographic Information
      • Archive
    • Biomedical Reports
      • Biomedical Reports
      • Information for Authors
      • Editorial Policies
      • Editorial Board
      • Aims and Scope
      • Abstracting and Indexing
      • Bibliographic Information
      • Archive
    • Oncology Reports
      • Oncology Reports
      • Information for Authors
      • Editorial Policies
      • Editorial Board
      • Aims and Scope
      • Abstracting and Indexing
      • Bibliographic Information
      • Archive
    • Molecular Medicine Reports
      • Molecular Medicine Reports
      • Information for Authors
      • Editorial Policies
      • Editorial Board
      • Aims and Scope
      • Abstracting and Indexing
      • Bibliographic Information
      • Archive
    • World Academy of Sciences Journal
      • World Academy of Sciences Journal
      • Information for Authors
      • Editorial Policies
      • Editorial Board
      • Aims and Scope
      • Abstracting and Indexing
      • Bibliographic Information
      • Archive
    • International Journal of Functional Nutrition
      • International Journal of Functional Nutrition
      • Information for Authors
      • Editorial Policies
      • Editorial Board
      • Aims and Scope
      • Abstracting and Indexing
      • Bibliographic Information
      • Archive
    • International Journal of Epigenetics
      • International Journal of Epigenetics
      • Information for Authors
      • Editorial Policies
      • Editorial Board
      • Aims and Scope
      • Abstracting and Indexing
      • Bibliographic Information
      • Archive
    • Medicine International
      • Medicine International
      • Information for Authors
      • Editorial Policies
      • Editorial Board
      • Aims and Scope
      • Abstracting and Indexing
      • Bibliographic Information
      • Archive
  • Articles
  • Information
    • Information for Authors
    • Information for Reviewers
    • Information for Librarians
    • Information for Advertisers
    • Conferences
  • Language Editing
Spandidos Publications Logo
  • About
    • About Spandidos
    • Aims and Scopes
    • Abstracting and Indexing
    • Editorial Policies
    • Reprints and Permissions
    • Job Opportunities
    • Terms and Conditions
    • Contact
  • Journals
    • All Journals
    • Biomedical Reports
      • Information for Authors
      • Editorial Policies
      • Editorial Board
      • Aims and Scope
      • Abstracting and Indexing
      • Bibliographic Information
      • Archive
    • Experimental and Therapeutic Medicine
      • Information for Authors
      • Editorial Policies
      • Editorial Board
      • Aims and Scope
      • Abstracting and Indexing
      • Bibliographic Information
      • Archive
    • International Journal of Epigenetics
      • Information for Authors
      • Editorial Policies
      • Editorial Board
      • Aims and Scope
      • Abstracting and Indexing
      • Bibliographic Information
      • Archive
    • International Journal of Functional Nutrition
      • Information for Authors
      • Editorial Policies
      • Editorial Board
      • Aims and Scope
      • Abstracting and Indexing
      • Bibliographic Information
      • Archive
    • International Journal of Molecular Medicine
      • Information for Authors
      • Editorial Policies
      • Editorial Board
      • Aims and Scope
      • Abstracting and Indexing
      • Bibliographic Information
      • Archive
    • International Journal of Oncology
      • Information for Authors
      • Editorial Policies
      • Editorial Board
      • Aims and Scope
      • Abstracting and Indexing
      • Bibliographic Information
      • Archive
    • Medicine International
      • Information for Authors
      • Editorial Policies
      • Editorial Board
      • Aims and Scope
      • Abstracting and Indexing
      • Bibliographic Information
      • Archive
    • Molecular and Clinical Oncology
      • Information for Authors
      • Editorial Policies
      • Editorial Board
      • Aims and Scope
      • Abstracting and Indexing
      • Bibliographic Information
      • Archive
    • Molecular Medicine Reports
      • Information for Authors
      • Editorial Policies
      • Editorial Board
      • Aims and Scope
      • Abstracting and Indexing
      • Bibliographic Information
      • Archive
    • Oncology Letters
      • Information for Authors
      • Editorial Policies
      • Editorial Board
      • Aims and Scope
      • Abstracting and Indexing
      • Bibliographic Information
      • Archive
    • Oncology Reports
      • Information for Authors
      • Editorial Policies
      • Editorial Board
      • Aims and Scope
      • Abstracting and Indexing
      • Bibliographic Information
      • Archive
    • World Academy of Sciences Journal
      • Information for Authors
      • Editorial Policies
      • Editorial Board
      • Aims and Scope
      • Abstracting and Indexing
      • Bibliographic Information
      • Archive
  • Articles
  • Information
    • For Authors
    • For Reviewers
    • For Librarians
    • For Advertisers
    • Conferences
  • Language Editing
Login Register Submit
  • This site uses cookies
  • You can change your cookie settings at any time by following the instructions in our Cookie Policy. To find out more, you may read our Privacy Policy.

    I agree
Search articles by DOI, keyword, author or affiliation
Search
Advanced Search
presentation
Molecular Medicine Reports
Join Editorial Board Propose a Special Issue
Print ISSN: 1791-2997 Online ISSN: 1791-3004
Journal Cover
May-2015 Volume 11 Issue 5

Full Size Image

Sign up for eToc alerts
Recommend to Library

Journals

International Journal of Molecular Medicine

International Journal of Molecular Medicine

International Journal of Molecular Medicine is an international journal devoted to molecular mechanisms of human disease.

International Journal of Oncology

International Journal of Oncology

International Journal of Oncology is an international journal devoted to oncology research and cancer treatment.

Molecular Medicine Reports

Molecular Medicine Reports

Covers molecular medicine topics such as pharmacology, pathology, genetics, neuroscience, infectious diseases, molecular cardiology, and molecular surgery.

Oncology Reports

Oncology Reports

Oncology Reports is an international journal devoted to fundamental and applied research in Oncology.

Experimental and Therapeutic Medicine

Experimental and Therapeutic Medicine

Experimental and Therapeutic Medicine is an international journal devoted to laboratory and clinical medicine.

Oncology Letters

Oncology Letters

Oncology Letters is an international journal devoted to Experimental and Clinical Oncology.

Biomedical Reports

Biomedical Reports

Explores a wide range of biological and medical fields, including pharmacology, genetics, microbiology, neuroscience, and molecular cardiology.

Molecular and Clinical Oncology

Molecular and Clinical Oncology

International journal addressing all aspects of oncology research, from tumorigenesis and oncogenes to chemotherapy and metastasis.

World Academy of Sciences Journal

World Academy of Sciences Journal

Multidisciplinary open-access journal spanning biochemistry, genetics, neuroscience, environmental health, and synthetic biology.

International Journal of Functional Nutrition

International Journal of Functional Nutrition

Open-access journal combining biochemistry, pharmacology, immunology, and genetics to advance health through functional nutrition.

International Journal of Epigenetics

International Journal of Epigenetics

Publishes open-access research on using epigenetics to advance understanding and treatment of human disease.

Medicine International

Medicine International

An International Open Access Journal Devoted to General Medicine.

Journal Cover
May-2015 Volume 11 Issue 5

Full Size Image

Sign up for eToc alerts
Recommend to Library

  • Article
  • Citations
    • Cite This Article
    • Download Citation
    • Create Citation Alert
    • Remove Citation Alert
    • Cited By
  • Similar Articles
    • Related Articles (in Spandidos Publications)
    • Similar Articles (Google Scholar)
    • Similar Articles (PubMed)
  • Download PDF
  • Download XML
  • View XML
Article

Effects of Lycium barbarum polysaccharides on oxidative stress in hyperlipidemic mice following chronic composite psychological stress intervention

  • Authors:
    • Xiaodan Zhu
    • Shuting Hu
    • Lingqin Zhu
    • Juan Ding
    • Yongzhong Zhou
    • Guanghua Li
  • View Affiliations / Copyright

    Affiliations: Department of Physiology, School of Basic Medical Science, Ningxia Medical University, Yinchuan, Ningxia 750004, P.R. China
  • Pages: 3445-3450
    |
    Published online on: December 22, 2014
       https://doi.org/10.3892/mmr.2014.3128
  • Expand metrics +
Metrics: Total Views: 0 (Spandidos Publications: | PMC Statistics: )
Metrics: Total PDF Downloads: 0 (Spandidos Publications: | PMC Statistics: )
Cited By (CrossRef): 0 citations Loading Articles...

This article is mentioned in:



Abstract

Chronic composite psychological stress intervention is the accumulation of factors which may induce psychological stress, including food deprivation, water deprivation and swimming in cold water. Approximately 40% of cases of atherosclerosis are associated with chronic composite psychological stress. The aim of the present study was to explore the effects of Lycium barbarum polysaccharides (LBP) on blood lipid levels and oxidative stress in hyperlipidemic mice, following chronic composite psychological stress. A hyperlipidemic mouse model was generated, and the mice were subjected to chronic composite psychological stress and treated with LBP for 30 days. After 30 days the triglyceride (TG) and total cholesterol (TC) levels were measured in the serum, and the mRNA expression levels of cholesterol 7α‑hydroxylase  (CYP7A1) were determined in the liver, in order to observe any changes to lipid metabolism. The levels of superoxide dismutase (SOD) and malondialdehyde (MDA) were measured in the liver to evaluate the effects of LBP on oxidative stress. The blood serum levels of interleukin‑6 (IL‑6) and heat shock protein 70 (HSP‑70) were measured to evaluate the extent of the aortic inflammatory response, and to determine the protective effects of LBP. The levels of TG, TC, MDA and IL‑6 were significantly higher in the mice subjected to chronic composite psychological stress (HS), as compared with the mice treated with LBP alone (HL), or treated with LBP and subjected to stress (HLS). In addition, SOD and HSP‑70 levels, and the mRNA expression levels of CYP7A1 were significantly lower in the HS group, as compared with that in the HL and HLS groups. These results suggest that chronic composite psychological stress may promote the occurrence and development of atherosclerosis, by inducing the aortic inflammatory response and lipid peroxidation. Furthermore, treatment with LBP significantly inhibited oxidative stress and the aortic inflammatory response.

Introduction

Psychological stress is defined as a process by which the body adapts and responds to threats or challenges that the individual perceives as stressful, resulting in cognitive-induced psychological and physiological changes (1). The psychological stress model is divided into three categories according to the types of psychological stress factors, which produced three different models, as described by Yalcin et al (2), including the social stress model, the conflict stress model and the life state stress model. As a single method may not fully simulate the multi-stress factor social environment of human being’s, resistance to these factor is easily achievable; therefore, Isingrini et al (3) proposed the chronic psychological stress animal model, which combined the three types of psychological stress models in order to produce a realistic simulation of human psychological stress.

Oxidative stress refers to the excessive cellular accumulation of oxygen free radicals and associated metabolites, which results in tissue damage. Oxidative stress is caused by the generation of reactive oxygen species (ROS) and/or their ineffective clearance (4).

Chronic composite psychological stress has recently been suggested as a harmful stimulus that may result in the accumulation of ROS, resulting in damage to tissue and cells (5). It is well known that psychological stress is associated with an increased risk of atherosclerosis (AS) (6), one study reported that ~40% of cases of atherosclerosis were associated with chronic composite psychological stress (7). A recent study identified a correlation between the onset of AS and lipid peroxidation (8). Therefore, further investigation regarding the effects of chronic composite psychological stress on lipid metabolism, oxidative stress and its prevention is of particular importance.

Lycium barbarum polysaccharides (LBP) are effective components that can be extracted from Solanaceae plants, which are found in Ningxia province (China) and have been used in Tradition Chinese Medicine for their anti-fatigue, anti-agiing and anti-tumor effects as well as for liver protection and the reduction of blood glucose and lipid levels (9). LBP has previously been identified as an enhancer of the immune system, which was able to improve and strengthen the antioxidant ability of mice suffering from a reduced immune function caused by exercise-induced stress (10). However, it remains to be elucidated whether LBP can affect the blood lipid levels of hyperlipidemic mice, and strengthen their resistance to oxidative stress following chronic composite psychological stress. Therefore, the present study aimed to provide a scientific basis for the development and use of Solanaceae plants, and various other antioxidant tonifying drugs, through investigating the effects of LBP on blood lipid levels and oxidative stress following chronic composite psychological stress in hyperlipidemic mice.

Materials and methods

Animals

A total of 45 male KM mice (32.6±2.8 g; 6–8 weeks old), which were provided by the Animal Center of Ningxia Medical University, were housed, nine per cage, at 24.0±0.2°C in a humidified atmosphere (54±5%). Mice were fed with standard rodent animal feed according to the SPF level and kept under a natural circadian rhythm, with natural lighting and regular ventilation. The experimental procedures of the present study were approved by the Animal Ethics Committee of Ningxia Medical University and Use Committee (Yinchuan, China), in accordance with the guidelines of the Council of the Physiological Society of China.

Following a one week adaptation period, all of the mice were randomly divided into five groups (n=9/group): Normal control group (NC); hyperlipidemia group (H); hyperlipidemia + LBP group (HL); hyperlipidemia + chronic composite psychological stress group (HS); and hyperlipidemia + LBP + chronic composite psychological stress group (HLS). The NC group was fed a normal diet, whereas the other groups were continuously fed a high cholesterol diet (0.5% sodium deoxycholate, 1.25% cholesterol; Jiangsu Matheson Biological Pharmaceutical Co. Ltd., Jinagsu, China). Once the hyperlipidemic mouse model had been successfully established after four weeks, the HL and HLS groups received 80 mg/kg/day LBP (Ningxia Qiyuan Pharmaceutical Co., Ltd, Ningxia, China) by oral gavage for 30 days. The NC, H and HS groups received the same volume of isotonic saline solution by oral gavage for 30 days. The dose of LBP was selected on the basis of preliminary experiments, which demonstrated it to be a safe and effective dose with no toxic side effects in mice.

Stress protocol

The HS and HLS mice were subjected to chronic composite psychological stress after the establishment of the hyperlipidemic model. The stress scheme was slightly modified from that previously described by Isingrini et al (3), and consisted of the following: Food deprivation for 12 h; water deprivation for 12 h; swimming in cold water (10°C) for 6 min; tail clamping for 1 min; wet feeding (200 ml water was added to the sawdust at the bottom of the cage) for 12 h; sound stimulation (110 dB) for 1 h; high level oscillation (200 r/min) for 45 min; extended daytime for 12 h; inclined feeding (mouse cage without sawdust, tilted 45 degrees) for 12 h; and restraint stress. Between one and two stressors were randomly applied every day for 30 days, the occurrence of which the mice could not anticipate.

Samples collection

Immediately after application of the final stressor, the mice were administered 20% urethane (Wuhan Dahua Weiye Medicine Chemical Co. Ltd, Wuhan, China) sacrificed by collection of a lethal dose of blood from the orbital vein. Afterwards, the chest cavity was rapidly opened, and the thoracic aorta was carefully isolated and placed into 4% formaldehyde solution. The livers were also harvested and ~30 mg liver tissue was immediately frozen in liquid nitrogen and stored at −80°C for determination of the mRNA expression levels of cholesterol 7α-hydroxylase (CYP7A1). The remaining liver tissue was frozen at −80°C and used to measure the levels of malondialdehyde (MDA) and superoxide dismutase (SOD). Blood was collected from the orbital vein in heparinized tubes (Cangzhou Rehabilitation Medical Supplies Co, Ltd, Hebei, China) and centrifuged at 1,700 × g for 10 min (at 4°C) to obtain serum. The serum was frozen at −80°C and subsequently used to measure the levels of triglyceride (TG), total cholesterol (TC), interleukin-6 (IL-6) and heat shock protein 70 (HSP-70).

Measurement of SOD and MDA levels in the liver

In order to determine whether LBP was able to reduce the degree of chronic composite psychological stress-induced oxidative stress, oxidative stress indices were measured. The levels of SOD and MDA were determined using commercially available kits, Total Superoxide Dismutase Test kit and Malondialdehyde Test kit (Nanjing Jiancheng Bioengineering Institute, Nanjing, China), according to the manufacturer’s instructions.

Measurement of TC, TG, IL-6 and HSP-70 levels in the serum

The serum levels of TC, TG, IL-6 and HSP-70 were detected using commercially available sandwich ELISA kits, including the Mouse Interleukin-6 ELISA kit, Mouse Heat-Shock Protein-70 ELISA kit, Mouse Cholesterol Total ELISA kit and Mouse Triglyceride ELISA kit (Yonghui Biotechnology, Beijing, China). Absorbance was read at 450 nm using a Bio-Rad 680 microplate reader (Beijing Yonghui Biological Technology Co., Ltd., Beijing, China) following the addition of stop solution within 15 min. The quantity of TC in the serum was estimated from a calibration curve, which ranged between 0.3 and 7 nmol/l. The quantity of TG in the serum was estimated from a calibration curve, which ranged between 1 and 30 nmol/l. The quantity of IL-6 in the plasma was estimated from a calibration curve, which ranged between 8 and 40 pg/ml. The quantity of HSP-70 in the plasma was estimated from a calibration curve, which ranged between 10 and 400 pg/ml.

RNA extraction and reverse transcription-quantitative polymerase chain reaction (RT-qPCR)

RNA was extracted from the liver, which was homogenized using a Teflon hammer head, using the RNA AxyPrep Pure RNA Isolation kit (Axygen Scientific, Inc., Union City, CA, USA), according to the manufacturer’s instructions. The purity of the RNA was determined using a 721 spectrophotometer (Third Shanghai Analytical Instrument Factory, Shanghai, China) by determining the ratio of absorbance between 260 and 280 nm, and by 1% agarose gel electrophoresis. The RNA samples were analyzed using a SmartSpec Plus spectrophotometer (Bio-Rad Laboratories, Inc., Hercules, CA, USA). cDNA was synthesized using a Reverse Transcription kit (TransGen Biotechnology, Beijing), according to the manufacturer’s instructions. qPCR was performed using a Quantitect SYBR® Green PCR kit (TransGen Biotech Co., Ltd., Beijing, China). The primers used for the PCR are presented in Table I, β-actin was used as an internal control. Initial denaturation was performed at 94°C for 5 min; and PCR amplification was performed by 36 cycles of: 94°C for 30 sec (denaturation), 60°C for 30 sec (primer annealing) and 72°C for 30 sec (extension).

Table I

Reverse transcription-quantitative polymerase chain reaction primers.

Table I

Reverse transcription-quantitative polymerase chain reaction primers.

Gene namePrimer sequencesGenBank
7α-hydroxylaseForward primer: 5′-CTTCATCACAAACTCCCTGTCA-3′NM_007824.2
Reverse primer: 5′-TCACTTGGGTCTATGCTTCTGT-3′
β-actinForward primer: 5′-ATATCGCTGCGCTGGTCGTC-3′
Reverse primer: 5′-AGGATGGCGTGAGGGAGAGC-3′

Relative gene expression levels were determined using the 2−ΔΔCt method (11,12).

Morphological observation of the thoracic aorta

In order to determine whether chronic composite psychological stress had an effect on the morphology of the thoracic aorta in mice, and whether LBP exhibited a protective effect, the morphological changes to the thoracic aorta were observed by hematoxylin and eosin staining using an Olympus DP71 microscope (Olympus, Jiangsu, China).

Statistical analysis

The data are expressed as the mean ± standard deviation. The statistical analyses were performed using SPSS for Windows version 17.0 software (SPSS Inc., Chicago, IL, USA). Comparisons between the means of numerous samples were evaluated by analysis of variance, and comparisons between the means of two samples were evaluated by a least significant difference t-test. P<0.05 was considered to indicate a statistically significant difference.

Results

Effects of LBP on TG and TC levels following chronic composite psychological stress in hyperlipidemic mice

Disorders of lipid metabolism are closely associated with the occurrence and development of AS (13). Therefore, the present study aimed to determine whether LBP had any effects on lipid metabolism by detecting changes to blood lipid levels induced by chronic composite psychological stress in hyperlipidemic mice. In all of the hyperlipidemic mice groups TG and TC levels were significantly increased (P<0.05 and P<0.01 respectively), as compared with the NC group, whereas the TG and TC levels were higher in the HS group, as compared with the H group (P<0.05; Fig. 1A and B). However, TG and TC levels in the HL and HLS groups were significantly lower, as compared with the H group (P<0.05). These results indicate that LBP was able to decrease blood lipid levels, in order to attenuate chronic composite psychological stress-induced disordered lipid metabolism.

Figure 1

Effects of LBP supplementation and chronic composite psychological stress on (A) TC and (B) TG levels in the mice. The data are expressed as the mean ± standard deviation (n=9). ▲P<0.05 and tP<0.01, vs. the NC group; ●P<0.05, vs. the H group. LBP, Lycium barabrum polysaccharides; TC, total cholesterol; TG, triglycerides; NC, normal control; H, hyperlipidemia group; HS, hyperlipidemia + stress group; HL, hyperlipidemia + LBP group; HLS, hyperlipidemia + stress + LBP group.

Effects of LBP on oxidative stress function following chronic composite psychological stress in hyperlipidemic mice

MDA is the product of polyunsaturated fatty acid oxidation by ROS in the membrane, and the amount of MDA can reflect the degree of lipid peroxidation and the degree of cellular oxidative stress (14). Measuring MDA levels is one of the most widely used approaches for evaluating oxidative damage to lipids. The levels of hepatic MDA were higher in each of the hyperlipidemia groups, as compared with the NC group (P<0.05 and P<0.01, respectively); whereas the levels of hepatic MDA in the HS group were significantly increased, as compared with the H group (P<0.01; Fig. 2A). The levels of hepatic MDA in the HL and HLS groups were lower, as compared with the H group (P<0.05). These results indicate that LBP was able to attenuate chronic composite psychological stress-induced lipid peroxidation.

Figure 2

Effects of LBP supplementation and chronic composite psychological stress on hepatic (A) MDA and (B) SOD levels in the mice. The data are expressed as the mean ± standard deviation (n=9). ▲P<0.05 and tP<0.01, vs. the NC group; ●P<0.05 and nP<0.01, vs. H group. LBP, Lycium barabrum polysaccharides; MDA, malondialdehyde; SOD, superoxide dismutase; NC, normal control; H, hyperlipidemia group; HS, hyperlipidemia + stress group; HL, hyperlipidemia + LBP group; HLS, hyperlipidemia + stress + LBP group.

It is well known that SOD can inhibit oxidative stress to protect cells from oxidative damage through the removal of excess ROS. Decreased SOD activity can result in increased levels of oxygen free radicals, therefore SOD is regarded as an indirect marker of the ability of the body to clear oxygen free radicals (15). Therefore the present study evaluated the hepatic levels of SOD. The levels of hepatic SOD in each of the hyperlipidemia groups was significantly lower, as compared with the NC group (P<0.05 and P<0.01, respectively), whereas the levels of hepatic SOD in the HS group were decreased, as compared with the H group (P<0.01; Fig. 2B). The levels of hepatic SOD in the HL and HLS groups were higher, as compared with the H group (P<0.05). These results suggest that LBP may be able to increase antioxidant enzyme activities, in order to attenuate chronic composite psychological stress-induced oxidative stress.

Effects of LBP on biochemical parameters following chronic composite psychological stress in hyperlipidemic mice

HSP-70 is a group of highly conserved binding proteins induced by numerous stressors, which exhibit a cardioprotective role by reducing oxidative stress and regulating cell functions (16). To determine the expression levels of HSP-70 following chronic composite psychological stress and treatment with LBP, the serum levels of HSP-70 were analyzed by ELISA. An immediate increase in HSP-70 levels were observed in the HL and HLS groups (P<0.05 and P<0.01, respectively). The serum levels of HSP-70 were significantly lower in the HS group, as compared with the H group (P<0.05; Fig. 3A). These results suggest that treatment with LBP was able to increase the expression levels of HSP-70, to attenuate chronic composite psychological stress-induced oxidative stress.

Figure 3

Effects of LBP supplementation and chronic composite psychological stress on the serum expression levels of (A) HSP-70 and (B) IL-6 in the mice. The data are expressed as the mean ± standard deviation (n=9). ▲P<0.05, vs. the HS group; ●P<0.05 and nP<0.01, vs. the H group. LBP, Lycium barbarum polysaccharides; HSP-70, heat shock protein 70; IL-6, interleukin-6; NC, normal control; H, hyperlipidemia group; HS, hyperlipidemia + stress group; HL, hyperlipidemia + LBP group; HLS, hyperlipidemia + stress + LBP group.

Inflammation serves as the initial pathological step of various cardiovascular diseases, including AS (17). The results of the present study demonstrated that there was a significant increase in the expression levels of IL-6 in the HS group, as expected. In addition, the expression levels of IL-6 were significantly reduced in response to treatment with LBP (Fig. 3B). These results suggest that increased expression levels of IL-6 induced by chronic composite psychological stress, may be reversed by treatment with LBP.

mRNA expression levels of CYP7A1

CYP7A1 is a rate-limiting enzyme that converts cholesterol into bile acid, during lipid metabolism in the liver (18). The present study examined the effects of LBP on the mRNA expression levels of CYP7A1 in the livers of mice following chronic composite psychological stress. The mRNA expression levels of CYP7A1 were increased in the HL group compared with those of the H and HS groups (P<0.05; Fig. 4). However, the expression levels of CYP7A1 were significantly attenuated in the hyperlipidemic mice, following chronic composite psychological stress (P<0.01). The expression levels of CYP7A1 were increased in the HLS group, as compared with the H group, however this finding was not statistically significant (P>0.05). These results indicate that treatment with LBP was able to significantly reverse the inhibition of CYP7A1 mRNA expression in mice following chronic composite psychological stress.

Figure 4

Effects of LBP supplementation and chronic composite psychological stress on the mRNA expression levels of cholesterol 7α-hydroxylase in the liver of the mice. Data are expressed as the mean ± standard deviation (n=9). ▲P<0.05 and tP<0.01, vs. the NC group; ●P<0.05 and nP<0.01, vs. the H group. LBP, Lycium barabrum polysaccharides; NC, normal control; H, hyperlipidemia group; HS, hyperlipidemia + stress group; HL, hyperlipidemia + LBP group; HLS, hyperlipidemia + stress + LBP group.

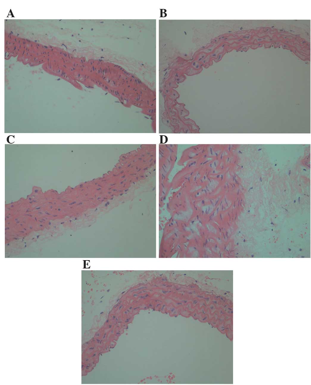
Morphological observation of the thoracic aorta

In the thoracic aorta of the NC group, aligned cells and clear demarcations were observed between the intima, medial and outer membranes (Fig. 5). The tubular wall of the thoracic aorta was thicker and the arrangement of cells was slightly disordered in the H group. As well as complete and flat intima, the tubular wall of the thoracic aorta was slightly thicker and the muscular layer of the medial membrane was neatly arranged in the HL group. The HLS group exhibited endothelial cell loss and increased thickness of the intima. In the HS group there were typical atherosclerotic changes to the tubular wall of the thoracic aorta, as well as disordered cell arrangement, endothelial cell loss, reduction in smooth muscle cells and hyperplasia of fibrous tissue.

Figure 5

Effects of LBP supplementation and chronic composite psychological stress on morphological changes to the thoracic aorta in the mice, as visualized using hematoxylin and eosin staining (magnification, ×40). Thoracic aorta in the (A) NC group; (B) H group; (C) HL group; (D) HS group; and (E) HLS group by hematoxylin and eosin staining (magnification, ×40).

Discussion

The present study investigated the effects of LBP on oxidative stress following chronic composite psychological stress intervention in hyperlipidemic mice. A major finding of the study was the increased levels of TC and TG in the hyperlipidemic mice subjected to chronic composite psychological stress. However, supplementation with LBP for 30 days markedly reduced blood lipid levels in the HL and HLS groups, as compared with that in the H group. A previous study demonstrated that the hypothalamic pituitary adrenal axis, the sympathetic adrenal medullary axis and the renin-angiotensin-aldosterone system were all capable of releasing large quantities of stress hormones following chronic composite psychological stress, including catecholamine, adrenal cortical hormone, glucagon, thyroxine and rennin (19). Catecholamine and adrenal cortical hormone have previously been shown to decrease the scavenging ability of TG on vascular endothelial cells by inhibiting lipoprotein lipase activity. However, large quantities of catecholamine and glucagon have been demonstrated to promote fat decomposition into TG, phospholipid and cholesterol, in order to accelerate the release of free fatty acids, eventually leading to elevated blood lipids (20). The present study demonstrated that CYP7A1 mRNA expression levels were lower in the HS group, as compared with the H group. These results indicate that chronic composite psychological stress was able to stimulate the body to release stress hormones, in order to accelerate the decomposition of fat tissue, and to decrease decomposition of cholesterol in the liver by inhibiting CYP7A1 expression. These effects led to increased blood lipid levels in the HS group. Furthermore, treatment with LBP was able to decrease the chronic composite psychological stress-induced blood lipid levels, to attenuate disordered lipid metabolism, which may be associated with increased expression levels of CYP7A1 in the liver.

Generally, disordered lipid metabolism impairs oxidative stress function and results in lipid peroxidation (21). The present study demonstrated that chronic composite psychological stress resulted in a significant increase in oxidative stress, which decreased the levels of the antioxidant enzyme SOD, and increased the levels of the lipid hydroperoxide MDA in the HS group. These results suggest that chronic composite psychological stress-induced disordered lipid metabolism may induce lipid peroxidation, which damages the vascular endothelial cells and aggravates lipid deposition, initiating the process of AS (22). A previous study showed that LBP is effective in avoiding oxidative stress and can clear excess free radicals and decrease the levels of lipid peroxidation (23). Combined with the results of the present study, LBP may be considered a useful protective agent in hyperlipidemic mice subjected to chronic composite psychological stress. However, whether LBP is helpful for patients with AS requires further confirmation.

A previous epidemiological survey suggested that increased levels of serum proinflammatory cytokines were associated with acute psychological stress, depression, anxiety, hostility and long-term low socioeconomic status (24). The present study demonstrated that the serum levels of IL-6 were significantly increased in the HS group, and the aortic wall also exhibited typical atherosclerotic morphological changes. These results indicate that chronic composite psychological stress may induce vascular inflammation and promote the occurrence and development of AS, through increasing serum levels of IL-6. There are numerous possible underlying mechanisms regarding the effects of chronic composite psychological stress on AS, one hypothesis was that chronic composite psychological stress induced lipid peroxidation through the production of excess oxygen free radicals, which resulted in the disruption of the balance between free radicals and oxygen inhibitors, therefore increasing the formation of oxidized low density lipoproteins, which are thought to be key mediators of the AS inflammatory reaction (25). Another possible mechanism is the excessive release of stress hormones by the hypothalamic pituitary adrenal axis, the sympathetic adrenal medullary axis and the renin-angiotensin-aldosterone system, including catecholamine, adrenal cortical hormone, glucagon, thyroxine and rennin. These hormones are able to elevate blood pressure and heart rate, and cause intravascular hemodynamics, increasing the expression of Toll-like receptors (26), and activating nuclear transcription factor, thus priming the inflammatory response and increasing vascular endothelial injury (27). The present study hypothesized that chronic composite psychological stress promoted the occurrence and development of AS by initiating disordered lipid metabolism, promoting lipid peroxidation and priming vascular inflammation. Therefore, delaying the development of AS may be achieved by maintaining the balance of lipid metabolism, preventing lipid peroxidation and protecting endothelial function.

The participation of HSPs in the immune response following brain injury may be considered an attempt to correct the inflammatory condition (28), which is essential for modulating cellular function and maintaining protein homeostasis. In the HL and HLS groups, the HSP-70 levels were significantly increased, as compared with those in the H group. These results suggest that LBP may reduce oxidative stress and protect vascular endothelial cells through increasing the expression levels of endogenous protective substances, such as HSP-70.

In conclusion, the present study clearly indicated that LBP was able to reduce blood lipid levels and enhance antioxidative effects in hyperlipidemic mice following chronic composite psychological stress, which may be due to a reduction in lipid peroxidation and an enhancement of lipid metabolism. However, the underlying mechanisms of regulation require further investigation in order to to use this strategy to delay the development of AS.

Acknowledgements

The present study was supported by the National Natural Sciences Foundation of China (grant no. 81260051) and the Doctoral Discipline Construction Opening Project Foundation of Ningxia Medical University (grant no. KF 2010-27).

References

1 

Dedovic K, Duchesne A, Engert V, Lue SD, Andrews J, Efanov SI, Beaudry T and Pruessner JC: Psychological, endocrine and neural responses to social evaluation in subclinical depression. Soc Cogn Affect Neurosci. 9:1632–1644. 2014. View Article : Google Scholar

2 

Yalcin I, Aksu F and Belzung C: Effects of desipramine and tramadol in a chronic mild stress mode in mice are altered by yohimbin but not by pindolol. Eur J Pharmacol. 14:165–174. 2005. View Article : Google Scholar

3 

Isingrini E, Belzung C, d’Audiffret A and Camus V: Early and late-onset effect of chronic stress on vascular function in mice: a possible model of the impact of depression on vascular disease in aging. Am J Geriatr Psychiatry. 19:335–346. 2011. View Article : Google Scholar : PubMed/NCBI

4 

Zhang Y, Du Y, Le W, Wang K, Kieffer N and Zhang J: Redox control of the survival of healthy and diseased cells. Antioxid Redox Signal. 15:2867–2908. 2011. View Article : Google Scholar : PubMed/NCBI

5 

Kang DH: Oxidative stress, DNA damage, and breast cancer. AACN Clin Issues. 13:540–549. 2002. View Article : Google Scholar : PubMed/NCBI

6 

Gu HF, Tang CK and Yang YZ: Psychological stress, immune response, and atherosclerosis. Atherosclerosis. 223:69–77. 2012. View Article : Google Scholar : PubMed/NCBI

7 

Black PH and Garbutt LD: Stress, inflammation and cardio-vascular disease. J Psychosom Res. 52:1–23. 2002. View Article : Google Scholar : PubMed/NCBI

8 

Sun GB, Qin M, Ye JX, et al: Inhibitory effects of myricitrin on oxidative stress-induced endothelial damage and early atherosclerosis in ApoE−/− mice. Toxicol Appl Pharmacol. 271:114–126. 2013. View Article : Google Scholar : PubMed/NCBI

9 

Potterat O: Goji (Lycium barbarum and L. chinense): Phytochemistry, pharmacology and safety in the perspective of traditional uses and recent popularity. Planta Med. 76:7–19. 2010. View Article : Google Scholar

10 

Jin M, Huang Q, Zhao K and Shang P: Biological activities and potential health benefit effects of polysaccharides isolated from Lycium barbarum L. Int J Biol Macromol. 54:16–23. 2013. View Article : Google Scholar

11 

Mancini C, Messana E, Turco E, Brussino A and Brusco A: Gene-targeted embryonic stem cells: real-time PCR assay for estimation of the number of neomycin selection cassettes. Biol Proced Online. 13:102011. View Article : Google Scholar : PubMed/NCBI

12 

Livak KJ and Schmittgen TD: Analysis of relative gene expression data using real-time quantitative PCR and the 2(−Delta Delta C(T)) Method. Methods. 25:402–408. 2001. View Article : Google Scholar

13 

Fujioka Y: Clinical science relating atherosclerotic diseases and hypertriglyceridemia. Nihon Rinsho. 71:1546–1551. 2013.(In Japanese). PubMed/NCBI

14 

Sang H, Yuan N, Yao S, et al: Inhibitory effect of the combination therapy of simvastatin and pinocembrin on atherosclerosis in ApoE-deficient mice. Lipids Health Dis. 11:1662012. View Article : Google Scholar : PubMed/NCBI

15 

Choi J, Yu T, Cha BC, et al: Modulatory effects of ZYM-201 sodium succinate on dietary-induced hyperlipidemic conditions. Pharmazie. 66:791–797. 2011.PubMed/NCBI

16 

Li Z, Song Y, Xing R, et al: Heat shock protein 70 acts as a potential biomarker for early diagnosis of heart failure. PLoS One. 8:e679642013. View Article : Google Scholar : PubMed/NCBI

17 

Song R, Li WQ, Dou JL, et al: Resveratrol reduces inflammatory cytokines via inhibiting nuclear factor-κB and mitogen-activated protein kinase signal pathway in a rabbit atherosclerosis model. Zhonghua Xin Xue Guan Bing Za Zhi. 41:866–869. 2013.(In Chinese).

18 

Wang D, Xia M, Gao S, et al: Cyanidin-3-O-β-glucoside upregulates hepatic cholesterol 7α-hydroxylase expression and reduces hypercholesterolemia in mice. Mol Nutr Food Res. 56:610–621. 2012. View Article : Google Scholar : PubMed/NCBI

19 

Uschold-Schmidt N, Peterlik D, Füchsl AM and Reber SO: HPA axis changes during the initial phase of psychosocial stressor exposure in male mice. J Endocrinol. 218:193–203. 2013. View Article : Google Scholar : PubMed/NCBI

20 

Zahaĭko AL, Voronina LM, Kaliman PA and Strel’chenko KV: Effect of chronic social stress on lipid metabolism in golden Syrian hamsters. Ukr Biokhim Zh. 80:120–129. 2008.(In Ukrainian).

21 

Karbiner MS, Sierra L, Minahk C, Fonio MC, Bruno MP and Jerez S: The role of oxidative stress in alterations of hematological parameters and inflammatory markers induced by early hypercholesterolemia. Life Sci. 93:503–508. 2013. View Article : Google Scholar : PubMed/NCBI

22 

Arai H: Oxidative modification of lipoproteins. Subcell Biochem. 77:103–114. 2014. View Article : Google Scholar : PubMed/NCBI

23 

Xiao J, Liong EC, Ching YP, et al: Lycium barbarum polysaccharides protect mice liver from carbon tetrachloride-induced oxidative stress and necroinflammation. J Ethnopharmacol. 139:462–470. 2012. View Article : Google Scholar

24 

Aiello AE and Kaplan GA: Socioeconomic position and inflammatory and immune biomarkers of cardiovascular disease: applications to the Panel Study of Income Dynamics. Biodemography Soc Biol. 55:178–205. 2009. View Article : Google Scholar

25 

Dessì M, Noce A, Bertucci P, et al: Atherosclerosis, dyslipidemia, and inflammation: the significant role of polyunsaturated fatty acids. ISRN Inflamm. 2013:1918232013. View Article : Google Scholar : PubMed/NCBI

26 

Wang RP, Yao Q, Xiao YB, et al: Toll-like receptor 4/nuclear factor-kappa B pathway is involved in myocardial injury in a rat chronic stress model. Stress. 14:567–575. 2011. View Article : Google Scholar : PubMed/NCBI

27 

Saito T, Hasegawa Y, Ishigaki Y, et al: Importance of endothelial NF-κB signalling in vascular remodelling and aortic aneurysm formation. Cardiovasc Res. 97:106–114. 2013. View Article : Google Scholar

28 

Kim JY and Yenari MA: The immune modulating properties of the heat shock proteins after brain injury. Anat Cell Biol. 46:1–7. 2013. View Article : Google Scholar : PubMed/NCBI

Related Articles

  • Abstract
  • View
  • Download
  • Twitter
Copy and paste a formatted citation
Spandidos Publications style
Zhu X, Hu S, Zhu L, Ding J, Zhou Y and Li G: Effects of Lycium barbarum polysaccharides on oxidative stress in hyperlipidemic mice following chronic composite psychological stress intervention. Mol Med Rep 11: 3445-3450, 2015.
APA
Zhu, X., Hu, S., Zhu, L., Ding, J., Zhou, Y., & Li, G. (2015). Effects of Lycium barbarum polysaccharides on oxidative stress in hyperlipidemic mice following chronic composite psychological stress intervention. Molecular Medicine Reports, 11, 3445-3450. https://doi.org/10.3892/mmr.2014.3128
MLA
Zhu, X., Hu, S., Zhu, L., Ding, J., Zhou, Y., Li, G."Effects of Lycium barbarum polysaccharides on oxidative stress in hyperlipidemic mice following chronic composite psychological stress intervention". Molecular Medicine Reports 11.5 (2015): 3445-3450.
Chicago
Zhu, X., Hu, S., Zhu, L., Ding, J., Zhou, Y., Li, G."Effects of Lycium barbarum polysaccharides on oxidative stress in hyperlipidemic mice following chronic composite psychological stress intervention". Molecular Medicine Reports 11, no. 5 (2015): 3445-3450. https://doi.org/10.3892/mmr.2014.3128
Copy and paste a formatted citation
x
Spandidos Publications style
Zhu X, Hu S, Zhu L, Ding J, Zhou Y and Li G: Effects of Lycium barbarum polysaccharides on oxidative stress in hyperlipidemic mice following chronic composite psychological stress intervention. Mol Med Rep 11: 3445-3450, 2015.
APA
Zhu, X., Hu, S., Zhu, L., Ding, J., Zhou, Y., & Li, G. (2015). Effects of Lycium barbarum polysaccharides on oxidative stress in hyperlipidemic mice following chronic composite psychological stress intervention. Molecular Medicine Reports, 11, 3445-3450. https://doi.org/10.3892/mmr.2014.3128
MLA
Zhu, X., Hu, S., Zhu, L., Ding, J., Zhou, Y., Li, G."Effects of Lycium barbarum polysaccharides on oxidative stress in hyperlipidemic mice following chronic composite psychological stress intervention". Molecular Medicine Reports 11.5 (2015): 3445-3450.
Chicago
Zhu, X., Hu, S., Zhu, L., Ding, J., Zhou, Y., Li, G."Effects of Lycium barbarum polysaccharides on oxidative stress in hyperlipidemic mice following chronic composite psychological stress intervention". Molecular Medicine Reports 11, no. 5 (2015): 3445-3450. https://doi.org/10.3892/mmr.2014.3128
Follow us
  • Twitter
  • LinkedIn
  • Facebook
About
  • Spandidos Publications
  • Careers
  • Cookie Policy
  • Privacy Policy
How can we help?
  • Help
  • Live Chat
  • Contact
  • Email to our Support Team