Spandidos Publications Logo
  • About
    • About Spandidos
    • Aims and Scopes
    • Abstracting and Indexing
    • Editorial Policies
    • Reprints and Permissions
    • Job Opportunities
    • Terms and Conditions
    • Contact
  • Journals
    • All Journals
    • Oncology Letters
      • Oncology Letters
      • Information for Authors
      • Editorial Policies
      • Editorial Board
      • Aims and Scope
      • Abstracting and Indexing
      • Bibliographic Information
      • Archive
    • International Journal of Oncology
      • International Journal of Oncology
      • Information for Authors
      • Editorial Policies
      • Editorial Board
      • Aims and Scope
      • Abstracting and Indexing
      • Bibliographic Information
      • Archive
    • Molecular and Clinical Oncology
      • Molecular and Clinical Oncology
      • Information for Authors
      • Editorial Policies
      • Editorial Board
      • Aims and Scope
      • Abstracting and Indexing
      • Bibliographic Information
      • Archive
    • Experimental and Therapeutic Medicine
      • Experimental and Therapeutic Medicine
      • Information for Authors
      • Editorial Policies
      • Editorial Board
      • Aims and Scope
      • Abstracting and Indexing
      • Bibliographic Information
      • Archive
    • International Journal of Molecular Medicine
      • International Journal of Molecular Medicine
      • Information for Authors
      • Editorial Policies
      • Editorial Board
      • Aims and Scope
      • Abstracting and Indexing
      • Bibliographic Information
      • Archive
    • Biomedical Reports
      • Biomedical Reports
      • Information for Authors
      • Editorial Policies
      • Editorial Board
      • Aims and Scope
      • Abstracting and Indexing
      • Bibliographic Information
      • Archive
    • Oncology Reports
      • Oncology Reports
      • Information for Authors
      • Editorial Policies
      • Editorial Board
      • Aims and Scope
      • Abstracting and Indexing
      • Bibliographic Information
      • Archive
    • Molecular Medicine Reports
      • Molecular Medicine Reports
      • Information for Authors
      • Editorial Policies
      • Editorial Board
      • Aims and Scope
      • Abstracting and Indexing
      • Bibliographic Information
      • Archive
    • World Academy of Sciences Journal
      • World Academy of Sciences Journal
      • Information for Authors
      • Editorial Policies
      • Editorial Board
      • Aims and Scope
      • Abstracting and Indexing
      • Bibliographic Information
      • Archive
    • International Journal of Functional Nutrition
      • International Journal of Functional Nutrition
      • Information for Authors
      • Editorial Policies
      • Editorial Board
      • Aims and Scope
      • Abstracting and Indexing
      • Bibliographic Information
      • Archive
    • International Journal of Epigenetics
      • International Journal of Epigenetics
      • Information for Authors
      • Editorial Policies
      • Editorial Board
      • Aims and Scope
      • Abstracting and Indexing
      • Bibliographic Information
      • Archive
    • Medicine International
      • Medicine International
      • Information for Authors
      • Editorial Policies
      • Editorial Board
      • Aims and Scope
      • Abstracting and Indexing
      • Bibliographic Information
      • Archive
  • Articles
  • Information
    • Information for Authors
    • Information for Reviewers
    • Information for Librarians
    • Information for Advertisers
    • Conferences
  • Language Editing
Spandidos Publications Logo
  • About
    • About Spandidos
    • Aims and Scopes
    • Abstracting and Indexing
    • Editorial Policies
    • Reprints and Permissions
    • Job Opportunities
    • Terms and Conditions
    • Contact
  • Journals
    • All Journals
    • Biomedical Reports
      • Information for Authors
      • Editorial Policies
      • Editorial Board
      • Aims and Scope
      • Abstracting and Indexing
      • Bibliographic Information
      • Archive
    • Experimental and Therapeutic Medicine
      • Information for Authors
      • Editorial Policies
      • Editorial Board
      • Aims and Scope
      • Abstracting and Indexing
      • Bibliographic Information
      • Archive
    • International Journal of Epigenetics
      • Information for Authors
      • Editorial Policies
      • Editorial Board
      • Aims and Scope
      • Abstracting and Indexing
      • Bibliographic Information
      • Archive
    • International Journal of Functional Nutrition
      • Information for Authors
      • Editorial Policies
      • Editorial Board
      • Aims and Scope
      • Abstracting and Indexing
      • Bibliographic Information
      • Archive
    • International Journal of Molecular Medicine
      • Information for Authors
      • Editorial Policies
      • Editorial Board
      • Aims and Scope
      • Abstracting and Indexing
      • Bibliographic Information
      • Archive
    • International Journal of Oncology
      • Information for Authors
      • Editorial Policies
      • Editorial Board
      • Aims and Scope
      • Abstracting and Indexing
      • Bibliographic Information
      • Archive
    • Medicine International
      • Information for Authors
      • Editorial Policies
      • Editorial Board
      • Aims and Scope
      • Abstracting and Indexing
      • Bibliographic Information
      • Archive
    • Molecular and Clinical Oncology
      • Information for Authors
      • Editorial Policies
      • Editorial Board
      • Aims and Scope
      • Abstracting and Indexing
      • Bibliographic Information
      • Archive
    • Molecular Medicine Reports
      • Information for Authors
      • Editorial Policies
      • Editorial Board
      • Aims and Scope
      • Abstracting and Indexing
      • Bibliographic Information
      • Archive
    • Oncology Letters
      • Information for Authors
      • Editorial Policies
      • Editorial Board
      • Aims and Scope
      • Abstracting and Indexing
      • Bibliographic Information
      • Archive
    • Oncology Reports
      • Information for Authors
      • Editorial Policies
      • Editorial Board
      • Aims and Scope
      • Abstracting and Indexing
      • Bibliographic Information
      • Archive
    • World Academy of Sciences Journal
      • Information for Authors
      • Editorial Policies
      • Editorial Board
      • Aims and Scope
      • Abstracting and Indexing
      • Bibliographic Information
      • Archive
  • Articles
  • Information
    • For Authors
    • For Reviewers
    • For Librarians
    • For Advertisers
    • Conferences
  • Language Editing
Login Register Submit
  • This site uses cookies
  • You can change your cookie settings at any time by following the instructions in our Cookie Policy. To find out more, you may read our Privacy Policy.

    I agree
Search articles by DOI, keyword, author or affiliation
Search
Advanced Search
presentation
Molecular Medicine Reports
Join Editorial Board Propose a Special Issue
Print ISSN: 1791-2997 Online ISSN: 1791-3004
Journal Cover
April-2023 Volume 27 Issue 4

Full Size Image

Sign up for eToc alerts
Recommend to Library

Journals

International Journal of Molecular Medicine

International Journal of Molecular Medicine

International Journal of Molecular Medicine is an international journal devoted to molecular mechanisms of human disease.

International Journal of Oncology

International Journal of Oncology

International Journal of Oncology is an international journal devoted to oncology research and cancer treatment.

Molecular Medicine Reports

Molecular Medicine Reports

Covers molecular medicine topics such as pharmacology, pathology, genetics, neuroscience, infectious diseases, molecular cardiology, and molecular surgery.

Oncology Reports

Oncology Reports

Oncology Reports is an international journal devoted to fundamental and applied research in Oncology.

Experimental and Therapeutic Medicine

Experimental and Therapeutic Medicine

Experimental and Therapeutic Medicine is an international journal devoted to laboratory and clinical medicine.

Oncology Letters

Oncology Letters

Oncology Letters is an international journal devoted to Experimental and Clinical Oncology.

Biomedical Reports

Biomedical Reports

Explores a wide range of biological and medical fields, including pharmacology, genetics, microbiology, neuroscience, and molecular cardiology.

Molecular and Clinical Oncology

Molecular and Clinical Oncology

International journal addressing all aspects of oncology research, from tumorigenesis and oncogenes to chemotherapy and metastasis.

World Academy of Sciences Journal

World Academy of Sciences Journal

Multidisciplinary open-access journal spanning biochemistry, genetics, neuroscience, environmental health, and synthetic biology.

International Journal of Functional Nutrition

International Journal of Functional Nutrition

Open-access journal combining biochemistry, pharmacology, immunology, and genetics to advance health through functional nutrition.

International Journal of Epigenetics

International Journal of Epigenetics

Publishes open-access research on using epigenetics to advance understanding and treatment of human disease.

Medicine International

Medicine International

An International Open Access Journal Devoted to General Medicine.

Journal Cover
April-2023 Volume 27 Issue 4

Full Size Image

Sign up for eToc alerts
Recommend to Library

  • Article
  • Citations
    • Cite This Article
    • Download Citation
    • Create Citation Alert
    • Remove Citation Alert
    • Cited By
  • Similar Articles
    • Related Articles (in Spandidos Publications)
    • Similar Articles (Google Scholar)
    • Similar Articles (PubMed)
  • Download PDF
  • Download XML
  • View XML
Article Open Access

Ginsenoside Rg3 has effects comparable to those of ginsenoside re on diabetic kidney disease prevention in db/db mice by regulating inflammation, fibrosis and PPARγ

  • Authors:
    • Zhe Sui
    • Dayun Sui
    • Min Li
    • Qian Yu
    • Hongjun Li
    • Yichuan Jiang
  • View Affiliations / Copyright

    Affiliations: Health Management Medical Center, China‑Japan Union Hospital, Jilin University, Changchun, Jilin 130033, P.R. China, Department of Pharmacology, School of Pharmaceutical Sciences, Jilin University, Changchun, Jilin 130021, P.R. China, Pharmacological Experiment Center, School of Pharmaceutical Sciences, Jilin University, Changchun, Jilin 130021, P.R. China, Department of Pharmacy, China‑Japan Union Hospital, Jilin University, Changchun, Jilin 130033, P.R. China, Department of Pharmacology, School of Pharmaceutical Sciences, Jilin University, Changchun, Jilin 130021, P.R. China
    Copyright: © Sui et al. This is an open access article distributed under the terms of Creative Commons Attribution License.
  • Article Number: 84
    |
    Published online on: March 3, 2023
       https://doi.org/10.3892/mmr.2023.12971
  • Expand metrics +
Metrics: Total Views: 0 (Spandidos Publications: | PMC Statistics: )
Metrics: Total PDF Downloads: 0 (Spandidos Publications: | PMC Statistics: )
Cited By (CrossRef): 0 citations Loading Articles...

This article is mentioned in:



Abstract

Ginsenoside Rg3 (Rg3) is an adjuvant antitumor drug, while ginsenoside Re (Re) is an adjuvant antidiabetic drug. Our previous studies demonstrated that Rg3 and Re both have hepatoprotective effects in db/db mice. The present study aimed to observe the renoprotective effects of Rg3 on db/db mice, with Re as the control. The db/db mice were randomly assigned to receive daily oral treatment with Rg3, Re or vehicle for 8 weeks. Body weight and blood glucose were examined weekly. Blood lipids, creatinine, and BUN were examined by biochemical assay. Hematoxylin and eosin and Masson staining were used for pathological examination. The expression of peroxisome proliferator‑activated receptor gamma (PPARγ) and inflammation and fibrosis biomarkers was examined by immunohistochemical and reverse transcription‑quantitative PCR. Although neither had a significant effect on body weight, blood glucose or lipids, Rg3 and Re were both able to decrease the creatinine and blood urea nitrogen levels of db/db mice to levels similar to those of wild type mice and inhibit pathological changes. The expression of PPARγ was upregulated and biomarkers of inflammation and fibrosis were downregulated by Rg3 and Re. The results showed that the potential of Rg3 as a preventive treatment of diabetic kidney disease was similar to that of Re.

Introduction

Chronic kidney disease (CKD) has been recognized as a major public health problem that is associated with substantial morbidity, mortality and financial cost to the healthcare system (1,2). Diabetes is one of the most important causes of CKD and diabetic kidney disease (DKD) is one of the most important complications of diabetes (3,4). DKD prevention is crucial for patients with diabetes.

Although hyperglycemia is an essential requirement for DKD, the pathogenic pathway initiated and maintained in the kidney by elevated glucose levels can be enhanced by a number of different factors. These factors include excess fatty acids, oxidative stress and hemodynamic factors. These factors do not themselves contribute to DKD, but in the presence of diabetes they feed back and reinforce common pathogenic mechanisms, including increased levels of inflammatory cytokines and fibrosis-related growth factors in the kidney (5). In addition, the peroxisome proliferator-activated receptors (PPARs; α, β/δ, γ) are a family of ligand-activated transcription factors of the nuclear receptor superfamily that regulates cellular metabolic homeostasis. Mutations in the PPARγ gene have been demonstrated to be associated with dysfunctional lipid and glucose homeostasis (6). In preclinical and/or clinical studies, activation of PPARγ has been shown to have a positive effect on insulin resistance, diabetic nephrotic syndrome, and renal fibrosis (7). Therefore, PPARγ may serve an important role in DKD.

Ginsenosides are major active ingredients extracted from the roots, stems, leaves or fruits of Panax ginseng C.A. Meyer (Ginseng; Fig. 1A), which is widely cultivated in Korea and Northeast China. Ginsenosides are widely used to develop drugs for adjuvant therapy for cancer and chronic cardiovascular and metabolic diseases, especially the complications of these disorders (8–12). These natural products do not have sufficiently strong biological activities to become first-line drugs for those diseases.

Figure 1.

Ginseng and ginsenosides. Pictures of (A) Ginseng (whole plant) and chemical structures of (B) Rg3 and (C) Re. Rg3, ginsenoside Rg3; Re, ginsenoside Re.

Ginsenoside Rg3 (Rg3; chemical structure shown in Fig. 1B) is one of the major active ingredients extracted from Korean red ginseng. It can also be chemically or biologically converted from other ginsenosides (13–15). Rg3 is well known for its antitumor effects (16–20) and has been developed into an adjuvant antitumor drug called Shenyi capsule (SYC) in China (11,21–23).

Ginsenoside Re (Re; chemical structure shown in Fig. 1C) is the essential component of total saponins from ginseng fruits and was developed into a drug called Zhenyuan capsule (ZYC) in China (10). According to the quality control standard documents for ZYC, the content of Re is the only technical standard in its quality control. Re alleviates the complications of cardiovascular and metabolic diseases (24–26) and ZYC is widely used for adjunctive treatment of type II diabetes (T2DM) and coronary heart disease in the clinic in China (10,27,28).

Our group is currently undertaking a long-term study assessing the effects of various ginsenosides (including Rg3 and Re) in various animal models of chronic diseases, such as hypertension, hyperlipidemia and T2DM (21–24,29,30). Notably, our previous studies demonstrated that Rg3, the essential component of SYC, has various beneficial effects on the target organs of those chronic diseases (21–23,29), although SYC is used for adjunctive cancer treatment in the clinic (11,18). In particular, Rg3 attenuated atherosclerosis in hyperlipidemic mice (29) and nonalcoholic steatohepatitis (NASH) in T2DM mice (22), both of which are chronic metabolic diseases. In these two studies, the mechanisms of the protective effects included regulation of inflammation, fibrosis and PPARγ.

In another study, the authors demonstrated that Re attenuated NASH in T2DM mice, also via the regulation of inflammation, fibrosis and PPARγ (24). In contrast to Rg3/SYC, Re/ZYC has already been widely used for T2DM treatment in the clinic. The present study observed the renoprotective effects of Rg3 on db/db mice (BKS-Leprem2Cd479/Gpt), and Re was used as the control. The leptin receptors are defective in this type of mice, leading to obesity and disorders of glucose-lipids metabolism. Hyperleptinemia, hyperglycemia and hyperlipidemia also lead to DKD and non-alcoholic fatty liver disease (NAFLD) in db/db mice >20 weeks old, with abnormal serum renal and liver function indicators. The symptoms of T2DM in db/db mice are similar to those in humans, and it is one of the best-known gene-deficient animal models of T2DM with DKD (31,32). The main features of DKD in humans are renal hypertrophy, enlarged glomeruli, albuminuria and dilated thylakoid stroma and the db/db mice simulates these pathological features successfully.

Materials and methods

Reagents

Rg3 (95% purity) was obtained from Dr Li Fu at the Institute of Dalian Fusheng Natural Medicine, Dalian Fusheng Pharmaceutical Co., Ltd. (Dalian, China). Re (95% purity) was obtained from Dr Yanping Chen at the Department of Natural Medicinal Chemistry, School of Chemistry, Jilin University (Changchun, China). Rg3 and Re were dissolved in 0.5% sodium carboxymethyl cellulose solution (0.5% CMC-Na) for use. All other chemicals were analytical reagents.

Animals

A total of 24 db/db mice (25–27 g) and 8 wild-type (WT) mice (45–47 g) were purchased from GemPharmatech Co., Ltd. All the mice were male and 12–13 weeks old. The experimental animal house was of specific pathogen-free (SPF) grade, and the mice were kept in individually ventilated cages (four mice per cage). The house was maintained at a constant temperature of 22–24°C relative humidity of 45–55%. All mice had free access to water and food and were maintained in a 12-h light/dark cycle. All feeding conditions were the same as described in previous studies (22,24). The mouse chow diet (cat. no. SZS9126-1010082) was purchased from Jiangsu Xietong Pharmaceutical Bioengineering Co., Ltd.

Experimental protocols

A total of eight WT mice were designated as Group WT. The 24 db/db mice were randomly divided into three groups with eight mice in each: Group db/db, 8 db/db mice; Group Rg3, 8 db/db mice; and Group Re, eight db/db mice. Mice in Rg3 and Re were orally administered Rg3 and Re, respectively, at a dose of 30 mg·kg−1day−1, the same dose used in previous studies (22,24). Mice in Group WT and Group db/db were orally administered 0.5% CMC-Na as a placebo in the same volume given to those in Group Rg3 and Group Re. The administration of Rg3, Re and placebo was carried out for eight weeks. During these eight weeks, the blood glucose and body weight of the mice were measured weekly while general health and behavior states of mice were monitored daily during oral administration.

After the eight week treatment, the mice in the four groups were sacrificed (carbon dioxide euthanasia, the carbon dioxide concentration in the container rose from 0.03–99% in 2 min) for renal tissue sample collection immediately after collecting blood samples from the ophthalmic venous. All the samples were processed as described in previous studies (22,24). Serum was isolated from blood samples for biochemical assays. Renal tissue samples were fixed in 4% formaldehyde (20°C overnight) for histopathological and immunohistochemistry (IHC) assessment, snap-frozen and kept at −80°C for biochemical assays and reverse transcription-quantitative (RT-q) PCR.

Fasting blood glucose measurement

Throughout the eight weeks of treatment, blood from the lateral tail vein of the WT and db/db mice was collected, and the fasting blood glucose level was monitored weekly using a blood glucose test meter and strips (GlucoLab, Infopia Co., Ltd.) according to the manufacturer's protocol as previously described (22,24).

Serum biochemical assays

Biochemical assay kits were purchased from Nanjing Jiancheng Bioengineering Institute: Creatinine (CRE; cat. no. C011-2-1), blood urea nitrogen (BUN; cat. no. C013-2-1), triglyceride (TG; cat. no. A110-1-1), total cholesterol (TC; cat. no. A111-1-1), high-density lipoprotein cholesterol (HDL; cat. no. A112-1-1), and low-density lipoprotein cholesterol (LDL; cat. no. A113-1-1). Levels of CRE, BUN, TG, TC, HDL and LDL in serum were assayed in accordance with the manufacturer's protocols as previously described (22–24).

Histopathological assessment

Renal tissue specimens fixed in 4% formalin were embedded in paraffin, cut into 4-µm-thick sections and then stained with hematoxylin and eosin (H&E) at 5 and 1 min respectively at room temperature or Masson's trichrome stain (Masson) as previously described (22–24). A Masson kit (cat. no. BSBA-4079B) was purchased from OriGene Technologies, Inc. Sections stained with H&E and Masson were examined, and images were captured using a Nikon E100 light microscope (Nikon Corporation).

IHC

Primary antibodies against PPARγ (cat. no. bs-4590R), tumor necrosis factor-α (TNF-α; cat. no. bs-10802R), transforming growth factor β1 (TGF-β1; cat. no. bs-0103R) and connective tissue growth factor (CTGF; cat. no. bs-0743R) were purchased from BIOSS. A DAB kit (cat. no. ZLI-9017) and a two-step rabbit IHC kit (cat. no. PV-9001) were purchased from OriGene Technologies, Inc. IHC was performed in accordance with the manufacturer's protocols for the IHC kit and DAB kit as previously described (22–24). Photomicrograph images were then captured with a light microscope as aforementioned and were further analyzed using Image-Pro Plus 6.0 (Media Cybernetics, Inc.).

RNA purification and RT-qPCR

Isolation of total RNA was carried out using TRIzol® reagent (Thermo Fisher Scientific, Inc.) according to the manufacturer's protocol as previously described (22–24). RT and qPCR were performed were performed according to the manufacturer's protocol with TransScript Green TwoStep RT-qPCR SuperMix (Beijing Transgen Biotech Co., Ltd.) on a Stratagene Mx3000P Real-Time PCR System (Agilent Technologies, Inc.). The thermocycling conditions were denaturation 94°C for 5 sec, annealing 60°C for 15 sec and extension 72°C for 10 sec, 40 cycles. The 2−ΔΔCq method (33) was employed for analysis of the expression of genes of interest, and β-actin was used as a housekeeping gene. All primers are listed in Table I.

Table I.

Primer sequence for reverse transcription-quantitative PCR.

Table I.

Primer sequence for reverse transcription-quantitative PCR.

GeneSequence (5′-3′)
β-actin
  Forward GGCTGTATTCCCCTCCATCG
  Reverse CCAGTTGGTAACAATGCCATGT
CTGF
  Forward GTAACCGGGGAGGGAAATTA
  Reverse GCTTTATCACCTGCACAGCA
IL-6
  Forward GTCCTTCAGAGAGATACAGAAACT
  Reverse AGCTTATCTGTTAGGAGAGCATTG
Col-I
  Forward CTTCACCTACAGCACCCTTGTG
  Reverse TGACTGTCTTGCCCCAAGTTC
Col-III
  Forward TGTCCTTTGCGATGACATAATCTG
  Reverse AATGGGATCTCTGGGTTGGG

[i] CTGF, connective tissue growth factor; Col, collagen type.

Statistical analysis

SPSS 16.0 (SPSS, Inc.) was employed for all statistical analyses. Data are presented the mean ± standard deviation (SD). One-way analysis of variance (ANOVA) with Tukey's post-hoc test was employed for group comparisons. P<0.05 was considered to indicate a statistically significant difference.

Results

Rg3 and Re had no significant effects on body weight, blood glucose or lipids

Prior to and following eight weeks of treatment, the mice in the db/db group had significantly higher body weight (Fig. 2A) and blood glucose levels (Fig. 2B) compared with the mice in the WT group, which is the basic feature of db/db mice (31,32). The body weights of the mice in the WT and db/db groups after eight weeks of treatment were significantly elevated compared to those before eight weeks of treatment, while their blood glucose levels were slightly elevated but not significantly different. The body weight and blood glucose levels in Groups Rg3 and Re were similar to those in Group db/db, and there was no significant difference between them either before or after the eight week treatment.

Figure 2.

Body weight, blood glucose, lipids and renal function index in serum. (A) Body weight and (B) blood glucose of mice prior to and following 8 weeks of treatment; serum (C) TG, (D) TC, (E) HDL, (F) LDL, (G) CRE and (H) BUN levels in mice after treatment. Data are presented as the mean ± standard deviation, n=8. The same superscript symbols indicate no significant difference between groups (P>0.05); a significant difference existed between groups that do not have the same superscript symbol (P<0.05). TG, triglyceride; TC, total cholesterol; HDL, high-density lipoprotein cholesterol; LDL, low-density lipoprotein cholesterol; CRE, creatinine; BUN, blood urea nitrogen; WT, wild type; Rg3, ginsenoside Rg3; Re, ginsenoside Re.

The levels of blood lipids (TG, TC, HDL and LDL) in the mice in Group db/db were all significantly higher than those in Group WT after eight weeks of treatment (Fig. 2C-F). Similar to body weight and blood glucose, lipid levels in Groups Rg3 and Re were similar to those in Group db/db.

In summary, all the db/db mice presented significant abnormalities and glucose and lipid metabolism disorders, which are all typical symptoms of T2DM. Treatment with Rg3 and Re were not able to significantly attenuate these symptoms, which is similar to our previous studies (22–24).

Rg3 and Re improved early renal injury in T2DM

According to the histology images of kidney H&E-stained sections from the mice in Group WT, the outer cortical glomerulus was of normal size and configuration (Fig. 3). The capillary tuft was fully expanded with patent capillary loops and the glomerular basement membrane appeared thin without matrix expansion, inflammation, or sclerosis. The histology images from mice in Group db/db showed striking differences in some glomeruli. The visceral epithelial cells were swollen and appeared prominent. The glomerular capillary basement membranes appeared thickened, and the peripheral capillary loop appeared to be collapsed; 30–40% of glomeruli had a similar appearance and the remaining had a lesser degree of mesangial matrix expansion. The histology images from mice in Groups Rg3 and Re showed that treatments with these two ginsenosides significantly attenuated the pathological changes; only 10–20% of glomeruli had an appearance similar to that aforementioned and most of the glomeruli had a lesser degree of mesangial matrix expansion. According to the histology images of Masson-stained kidney sections, mice from Group db/db presented slight tubulointerstitial fibrosis, absent in the mice from the other three groups.

Figure 3.

Representative H&E and Masson staining images of the renal tissue in mice. Scale bars, 10 µm. H&E, hematoxylin and eosin; WT, wild type; Rg3, ginsenoside Rg3; Re, ginsenoside Re.

The levels of CRE and BUN supported the results of the pathological examination (Fig. 2G and H). The two were significantly higher in the mice from Group db/db compared with the mice from Group WT. The levels of the other three groups did not present significant differences.

These results showed that mice from Group db/db were in an early stage of DKD. There were slight pathological changes according to the pathological examination and slight renal function decompensation according to the blood biochemical examination. Although Rg3 and Re had no significant effects on body weight, blood glucose or lipids, their treatment prevented early-stage DKD in db/db mice from Groups Rg3 and Re. Their protective effects were comparable, and both were able to reduce the levels of CRE and BUN to those in WT mice. These findings were also consistent with our previous studies (22–24), in which ginsenoside treatment improved renal or hepatic early-stage injury independent of reducing the levels of blood pressure or blood glucose.

Rg3 and Re upregulated PPARγ expression and inhibited inflammation and fibrosis in renal tissue

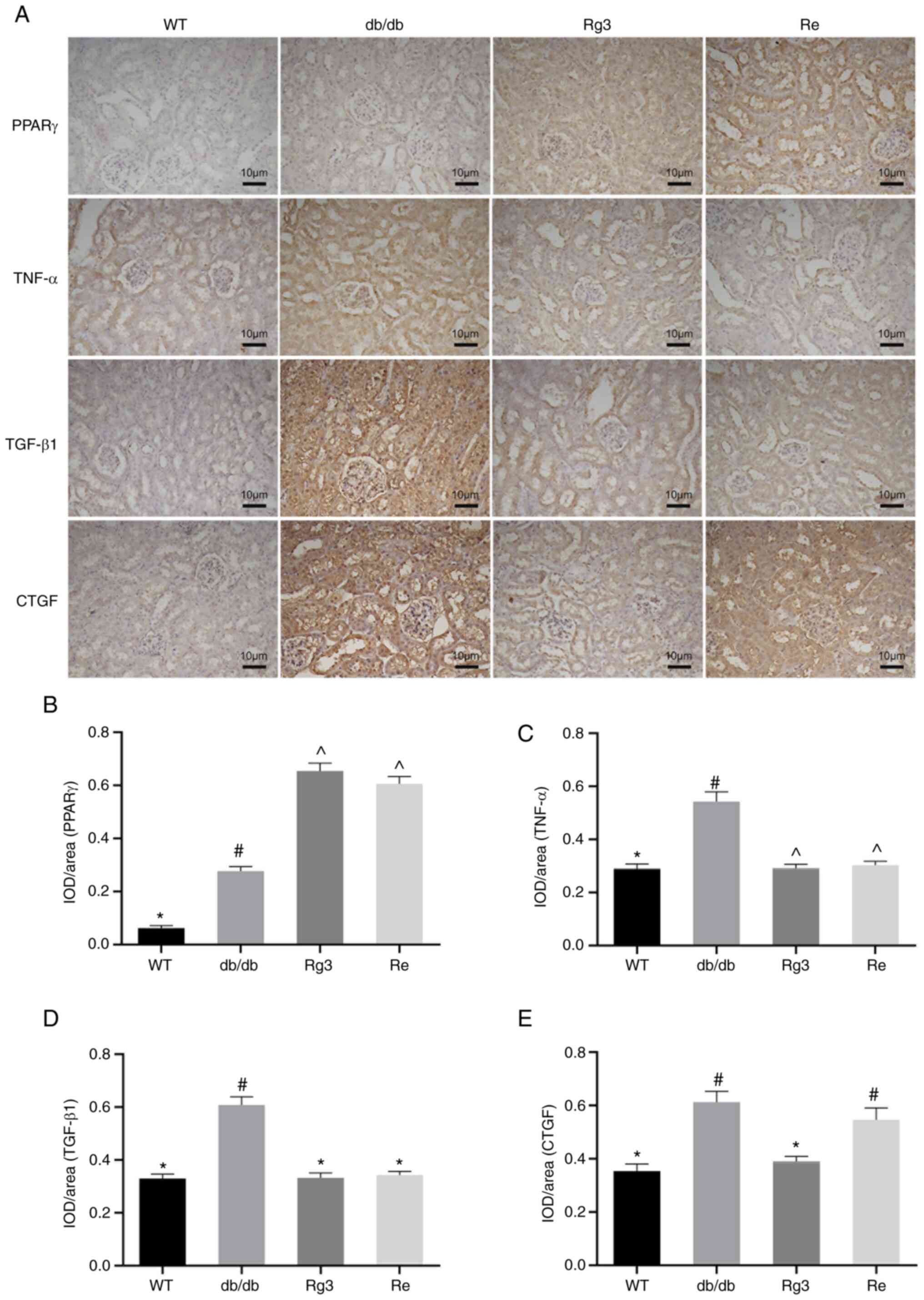
In our two previous studies, Rg3 (22) and Re (24) were demonstrated to ameliorate hepatic injury in db/db mice by upregulating PPARγ expression and inhibiting inflammation and fibrosis in hepatic tissue. The present study also performed IHC and RT-qPCR to assess the levels of PPARγ expression and the inhibition of inflammation and fibrosis in renal tissue.

According to the integrated optical density (IOD) analysis of the IHC images, PPARγ expression in renal tissue from mice in Group db/db was significantly higher than that in Group WT (Fig. 4A and B). This increase was a compensatory upregulation related to the high blood glucose levels in db/db mice (34). The PPARγ expression in the renal tissue was further upregulated by Rg3 and Re treatment, which was similar to the findings in hepatic tissue in the previous aforementioned studies (22,24).

Figure 4.

IHC staining images of the renal tissue in mice and analyses. (A) Representative IHC staining images of the renal tissue in mice and quantitative results of IHC staining, which are presented as IOD/area and are proportional to the levels of (B) PPARγ, (C) TNF-α, (D) TGF-β1 and (E) CTGF. Scale bars, 10 µm. Data are presented as the mean ± standard deviation, n=4. The same superscript symbols indicate no significant difference between groups (P>0.05); a significant difference existed between groups that do not have the same superscript symbol (P<0.05). IHC, immunohistochemistry; PPARγ, peroxisome proliferator-activated receptor γ; CTGF, connective tissue growth factor; WT, wild type; Rg3, ginsenoside Rg3; Re, ginsenoside Re.

TNF-α is one of the most important markers of inflammation. The IHC results of TNF-α showed significantly higher levels of inflammation in renal tissue from mice in Group db/db compared with those in Group WT (Fig. 4A and C). The levels of TNF-α were significantly decreased in Groups Rg3 and Re and were not significantly different from those in Group WT.

TGF-β1 and CTGF are both important profibrotic factors and markers of fibrosis. According to the IHC results, the levels of TGF-β1 and CTGF in renal tissue were significantly higher in the db/db group compared with the WT group. The levels of both TGF-β1 and CTGF in Group Rg3 were significantly reduced and were similar to those in Group WT (Fig. 4A, D and E). Notably, only TGF-β1 levels were significantly decreased in Group Re compared to those in Group db/db, while CTGF levels were not significantly different from those in Group db/db.

Thus, the present study measured the levels of CTGF repeatedly using RT-qPCR. The relative mRNA levels of CTGF supported the IHC results (Fig. 5A). The levels of CTGF in Group Re were significantly lower than those in Group db/db but significantly higher than those in Group WT. The levels of CTGF in Group Rg3 were not significantly different from those in Group WT.

Figure 5.

Levels of mRNA associated with inflammation and fibrosis in renal tissue in mice. Relative mRNA levels of (A) CTGF, (B) IL-6, (C) Col-I and (D) Col-III. β-Actin was used as a housekeeping gene. Data are presented as the mean ± standard deviation, n=4. The same superscript symbols indicate no significant difference between groups (P>0.05); a significant difference existed between groups that do not have the same superscript symbol (P<0.05). CTGF, connective tissue growth factor; Col, collagen type.

Levels of collagen type (Col)-I, Col-III, markers of collagen deposition, and IL-6, another marker of inflammation, were also measured using RT-qPCR (Fig. 5B-D). The relative mRNA levels of all three markers were higher in the renal tissue of mice from the db/db group than in that of mice from the WT group. Rg3 and Re treatment were both able to significantly downregulate these mRNA levels in db/db mice. Moreover, the degree of downregulation was similar.

In summary, Rg3 and Re both upregulated the expression of PPARγ in the renal tissue of db/db mice and downregulated inflammatory and fibrotic factors, such as TNF-α, TGF-β1 and CTGF. These regulatory effects all contributed to the renoprotective effects of Rg3 and Re. Notably, Rg3 had a stronger effect of downregulating CTGF than Re. However, the overall effects of Rg3 on inhibiting inflammation and fibrosis in renal tissue were comparable to those of Re in this research.

Discussion

DKD has become the leading cause of end-stage renal disease worldwide, which increases the risk of premature death and represents a serious financial burden. Although DKD is controllable with different drugs, such as angiotensin-converting enzyme inhibitors (ACEIs), angiotensin receptor blockers (ARBs) and hypoglycemic agents, such as thiazolidinediones (TZDs), the preventive and therapeutic merits of natural medicines, such as ginsenosides, have been widely recognized (4).

ACEIs and ARBs, blockers of the renin-angiotensin-aldosterone system, are widely used to control the progression of DKD, especially in patients with both diabetes and hypertension. However, as ACEIs and ARBs also have a strong biological ability to reduce blood pressure, they are not recommended for diabetic patients without hypertension or any DKD symptoms (35,36).

TZDs are agonists of the PPARγ pathway and have anti-inflammatory and antifibrotic biological activities, increase insulin sensitivity and reduce blood glucose; they are also used to control DKD. However, TZDs have recently fallen into disuse for glycemic control due to concerns over side effects and adverse events. These drugs are recommended only for diabetic patients with complications such as DKD and NASH to control their progression (37,38).

In traditional Chinese medicine (TCM) theory, the main causes of diabetic kidney disease are congenital deficiencies, dietary disorders and emotional disorders. Insufficient innate endowment (a type of birth defect) and weakness of the internal organs by birth make these individuals more susceptible to DKD. The best way to manage the complications of diabetes is ‘Zhi Wei Bing’ (39,40). Zhi Wei Bing means taking appropriate measures to prevent the development of the disease. The main idea in TCM theory is to prevent disease before it occurs and to prevent the development of disease after it has occurred. Correctly anticipating the development of the disease can stop its exacerbation or transformation in time, which is why TCM, such as Re/ZYC, is widely used in China for patients with T2DM. According to our previous studies, ginsenosides such as Rg3 and Re exerted anti-inflammatory and anti-fibrotic effects on vital organs such as the heart, liver and kidneys, although they do not significantly lower blood pressure, blood glucose and lipids in animals (21–24). As aforementioned, natural products such as Rg3 and Re do not have strong enough biological activity to be first-line antihypertensive or hypoglycemic agents. However, it is also the mild biological activity of Rg3 and Re that makes it possible for them to be developed as safe drugs with few side effects for use in early-stage diabetic patients without hypertension or any symptoms of DKD.

As aforementioned, natural products such as Rg3 and Re do not have sufficiently strong biological activities to become first-line hypotensive or hypoglycemic agents. On the other hand, Rg3 and Re have the potential to be used for early-stage diabetes patients without hypertension or any DKD symptoms because of their mild biological activities. Ginseng has been widely consumed as a food/diet supplement from natural sources, and the safety of using ginseng and ginsenosides has been widely recognized (4,41,42).

The situation of Rg3/SYC is different. Rg3 was widely used for cancer patients in China at first (11,18). Indeed, 10 years ago most studies focused on the role of Rg3 in inducing apoptosis of tumor cells and inhibiting their growth (43–45). More recently, an increasing number of antitumor effects of Rg3 have been discovered (18–20,46–48) and include inhibition of drug resistance, angiogenesis and epithelial-mesenchymal transformation. The mechanisms include regulation of the Wnt/β-catenin pathway, Hippo pathway, VEGF pathway and TGF-β signaling pathway (18–20,46–48), all of which have a close connection to inflammation, fibrosis and the PPARγ pathway (49–51).

Although the use of TZDs in T2DM has been controversial in recent years (37,38), increasing evidence shows that activation of the PPARγ pathway is beneficial to tumor treatments in most fields (52). Activation of the PPARγ pathway has a positive correlation with the Hippo pathway (51) and a negative correlation with the Wnt/β-catenin pathway (50). These interactions occur not only in diabetes but also in tumors. The Hippo pathway and Wnt/β-catenin pathway are also popular tumor therapeutic targets. Moreover, activation of PPARγ usually has a negative correlation with insulin resistance, inflammation and fibrosis (37,38,50–52), which are all important for the treatment of diabetes and its complications.

Although Rg3 and Re belong to the ginsenosides family, their aglycone structures are different, with Rg3 being a protopanaxadiol saponin and Re being a protopanaxatriol saponin. Nevertheless, both Rg3 and Re are protective against DKD or other complications of T2DM, as well as several kinds of other protopanaxadiol or protopanaxatriol saponins, all of which have anti-inflammatory and anti-fibrosis effects. In addition, comparing the effects of Rg3 and Re in the present study, the major difference was that Rg3 had a stronger effect of regulating CTGF in renal tissue. These results were consistent with our previous studies of Rg3 and Re in db/db mice with NASH (22,24). As CTGF has a close connection to the Hippo pathway (49), these results were also consistent with the report of Rg3 activating the Hippo pathway in antitumor research (48). These studies might explain why Rg3 has more antitumor effects than Re while the renoprotective effects are comparable. More experiments are needed to confirm this hypothesis in the future.

Although neither has significant effects on body weight, blood glucose and lipids, Rg3 and Re both have effects in the prevention of DKD in db/db mice. The mechanisms of their renoprotective effects include alleviation of inflammation and fibrosis and upregulation of PPARγ expression in renal tissue. The effects of Rg3 and Re were comparable, as they were both able to reduce the CRE and BUN levels of db/db mice to levels similar to those of WT mice, as well as the inhibition of pathological changes in the renal tissue of those mice. The only difference was that Rg3 had a stronger effect of regulating CTGF in renal tissue. The present study showed that Rg3, an adjuvant antitumor drug, has a potential similar to that of Re, which has already been widely used in the clinic for the preventive treatment of T2DM complications, such as DKD. The timing of using Rg3 or Re could be much earlier than that of using chemical drugs, such as ACEIs, ARBs or TZDs.

Acknowledgements

The authors would like to thank Dr Li Fu (Institute of Dalian Fusheng Natural Medicine, Dalian Fusheng Pharmaceutical Co., Ltd.) and Dr Yanping Chen (Department of Natural Medicinal Chemistry, School of Chemistry, Jilin University), for providing Rg3 and Re, respectively.

Funding

The present study received financial support from the National Natural Science Foundation of China (grant no. 81473378) and Science and Technology Development Projects of Jilin Province (grant no. 20170101002JC).

Availability of data and materials

All data generated or analyzed during this study are included in this published article.

Authors' contributions

ZS completed the biochemistry and molecular biology experiments. DS, the recipient of the funded projects, lead the design of the experiment. ML completed the animal experiments. QY processed the experimental data. HL and YJ designed the experiment and wrote the manuscript. ZS and ML confirm the authenticity of all the raw data. All authors read and approved the final manuscript.

Ethics approval and consent to participate

All the experimental procedures involving animals were conducted in accordance with the Institutional Animal Care Guidelines of Jilin University and approved by the Laboratory Animal Ethics Committee of School of Pharmaceutical Sciences, Jilin University (approval no. 20210010).

Patient consent for publication

Not applicable.

Competing interests

The authors declare that they have no competing interests.

References

1 

Murphy D, McCulloch CE, Lin F, Banerjee T, Bragg-Gresham JL, Eberhardt MS, Morgenstern H, Pavkov ME, Saran R, Powe NR, et al: Trends in prevalence of chronic kidney disease in the United States. Ann Intern Med. 165:473–481. 2016. View Article : Google Scholar : PubMed/NCBI

2 

Coresh J, Selvin E, Stevens LA, Manzi J, Kusek JW, Eggers P, Van Lente F and Levey AS: Prevalence of chronic kidney disease in the United States. Jama. 298:2038–2047. 2007. View Article : Google Scholar : PubMed/NCBI

3 

Barrera-Chimal J and Jaisser F: Pathophysiologic mechanisms in diabetic kidney disease: A focus on current and future therapeutic targets. Diabetes Obes Metab. 22 (Suppl 1):S16–S31. 2020. View Article : Google Scholar : PubMed/NCBI

4 

Jin D, Zhang Y, Zhang Y, Duan L, Zhou R, Duan Y, Sun Y, Lian F and Tong X: Panax Ginseng C.A.Mey. as Medicine: The potential use of panax ginseng C.A.Mey. as a remedy for kidney protection from a pharmacological perspective. Front Pharmacol. 12:7341512021. View Article : Google Scholar : PubMed/NCBI

5 

Thomas MC, Brownlee M, Susztak K, Sharma K, Jandeleit-Dahm KAM, Zoungas S, Rossing P, Groop PH and Cooper ME: Diabetic kidney disease. Nat Rev Dis Primers. 1:150182015. View Article : Google Scholar : PubMed/NCBI

6 

Barroso I, Gurnell M, Crowley VE, Agostini M, Schwabe JW, Soos MA, Maslen GL, Williams TD, Lewis H, Schafer AJ, et al: Dominant negative mutations in human PPARgamma associated with severe insulin resistance, diabetes mellitus and hypertension. Nature. 402:880–883. 1999. View Article : Google Scholar : PubMed/NCBI

7 

Kökény G, Calvier L and Hansmann G: PPARγ and TGFβ-major regulators of metabolism, inflammation, and fibrosis in the lungs and kidneys. Int J Mol Sci. 22:104312021. View Article : Google Scholar : PubMed/NCBI

8 

Li YQ, Jin M and Qiu SL: Effect of Chinese herbal medicine for benefiting qi and nourishing yin to promote blood circulation on ventricular wall motion of AMI patients after revascularization. Zhongguo Zhong Xi Yi Jie He Za Zhi. 29:300–304. 2009.(In Chinese). PubMed/NCBI

9 

Du JP, Wang CL, Wang PL, Wang SL, Gao ZY, Zhang DW, Xu H and Shi DZ: Efficacy of Chinese herbs for supplementing qi and activating blood circulation on patients with acute coronary syndrome and type 2 diabetes mellitus after percutaneous coronary intervention: A clinical observation. Zhongguo Zhong Xi Yi Jie He Za Zhi. 35:563–567. 2015.(In Chinese). PubMed/NCBI

10 

Qiao Y, Zhang J, Liu Y, Liang Z, Wang Y, Zheng W and Shi D: Efficacy and safety of zhenyuan capsule for coronary heart disease with abnormal glucose and lipid metabolism: Study protocol for a randomized, double-blind, parallel-controlled, multicenter clinical trial. Evid Based Complement Alternative Med. 2018:17164302018. View Article : Google Scholar : PubMed/NCBI

11 

Huang JY, Sun Y, Fan QX and Zhang YQ: Efficacy of Shenyi Capsule combined with gemcitabine plus cisplatin in treatment of advanced esophageal cancer: A randomized controlled trial. Zhong Xi Yi Jie He Xue Bao. 7:1047–1051. 2009.(In Chinese). View Article : Google Scholar : PubMed/NCBI

12 

Zhang RR, Shao MY, Fu Y, Zhao RX, Wang JW, Li M, Zhao YX and Shao FL: Network Meta-analysis of oral Chinese patent medicine for adjuvant treatment of primary liver cancer. Zhongguo Zhong Yao Za Zhi. 46:2333–2343. 2021.PubMed/NCBI

13 

Vo HT, Cho JY, Choi YE, Choi YS and Jeong YH: Kinetic study for the optimization of ginsenoside Rg3 production by heat treatment of ginsenoside Rb1. J Ginseng Res. 39:304–313. 2015. View Article : Google Scholar : PubMed/NCBI

14 

Cheng LQ, Na JR, Bang MH, Kim MK and Yang DC: Conversion of major ginsenoside Rb1 to 20 (S)-ginsenoside Rg3 by Microbacterium sp. GS514. Phytochemistry. 69:218–224. 2008. View Article : Google Scholar : PubMed/NCBI

15 

Quan LH, Min JW, Yang DU, Kim YJ and Yang DC: Enzymatic biotransformation of ginsenoside Rb1 to 20 (S)-Rg3 by recombinant β-glucosidase from Microbacterium esteraromaticum. Appl Microbiol Biotechnol. 94:377–384. 2012. View Article : Google Scholar : PubMed/NCBI

16 

Mohanan P, Subramaniyam S, Mathiyalagan R and Yang DC: Molecular signaling of ginsenosides Rb1, Rg1, and Rg3 and their mode of actions. J Ginseng Res. 42:123–132. 2018. View Article : Google Scholar : PubMed/NCBI

17 

Jeong D, Irfan M, Kim SD, Kim S, Oh JH, Park CK, Kim HK and Rhee MH: Ginsenoside Rg3-enriched red ginseng extract inhibits platelet activation and in vivo thrombus formation. J Ginseng Res. 41:548–555. 2017. View Article : Google Scholar : PubMed/NCBI

18 

Sun M, Ye Y, Xiao L, Duan X, Zhang Y and Zhang H: Anticancer effects of ginsenoside Rg3 (Review). Int J Mol Med. 39:507–518. 2017. View Article : Google Scholar : PubMed/NCBI

19 

Nakhjavani M, Smith E, Townsend AR, Price TJ and Hardingham JE: Anti-angiogenic properties of ginsenoside Rg3. Molecules. 25:49052020. View Article : Google Scholar : PubMed/NCBI

20 

Liu Z, Liu T, Li W, Li J, Wang C and Zhang K: Insights into the antitumor mechanism of ginsenosides Rg3. Mol Biol Rep. 48:2639–2652. 2021. View Article : Google Scholar : PubMed/NCBI

21 

Jiang Y, Li M, Lu Z, Wang Y, Yu X, Sui D and Fu L: Ginsenoside Rg3 induces ginsenoside Rb1-comparable cardioprotective effects independent of reducing blood pressure in spontaneously hypertensive rats. Exp Ther Med. 14:4977–4985. 2017.PubMed/NCBI

22 

Jiang Y, Sui D, Yu X, Wang Y, Xu H and Fu L: Ginsenoside Rg3 attenuates early hepatic injury via inhibiting PPARγ- and Ang II-related inflammation and fibrosis in type II diabetic mice. Natural Product Commun. 16:1934578X2110096912021. View Article : Google Scholar

23 

Liu H, Jiang Y, Li M, Yu X, Sui D and Fu L: Ginsenoside Rg3 attenuates angiotensin II-mediated renal injury in rats and mice by upregulating angiotensin-converting enzyme 2 in the renal tissue. Evid Based Complement Alternat Med. 2019:67410572019. View Article : Google Scholar : PubMed/NCBI

24 

Jiang Y, Sui D, Li M, Xu H, Yu X, Liu J and Yu Q: Ginsenoside re improves inflammation and fibrosis in hepatic tissue by upregulating PPARγ expression and inhibiting oxidative stress in db/db mice. Evid Based Complement Alternat Med. 2021:90036032021. View Article : Google Scholar : PubMed/NCBI

25 

Xie W, Zhou P, Qu M, Dai Z, Zhang X, Zhang C, Dong X, Sun G and Sun X: Ginsenoside re attenuates high glucose-induced RF/6A injury via regulating PI3K/AKT inhibited HIF-1α/VEGF signaling pathway. Front Pharmacol. 11:6952020. View Article : Google Scholar : PubMed/NCBI

26 

Liu YW, Zhu X, Li W, Lu Q, Wang JY, Wei YQ and Yin XX: Ginsenoside Re attenuates diabetes-associated cognitive deficits in rats. Pharmacol Biochem Behav. 101:93–98. 2012. View Article : Google Scholar : PubMed/NCBI

27 

Lin SS, Liu CX, Zhang JH, Wang XL and Mao JY: Efficacy and safety of oral chinese patent medicine combined with conventional therapy for heart failure: An overview of systematic reviews. Evid Based Complement Alternat Med. 2020:86201862020. View Article : Google Scholar : PubMed/NCBI

28 

Yan D, Xu XR, Qian YL, Peng HY, Qian H, Yue BW, Zhao LL, Zhang ZH and Fang ZY: Chinese Patent medicine to treat a 32-year-old man with sinus bradycardia and cardiac sinus arrests: A case report. Medicine (Baltimore). 98:e155362019. View Article : Google Scholar : PubMed/NCBI

29 

Geng J, Fu W, Yu X, Lu Z, Liu Y, Sun M, Yu P, Li X, Fu L, Xu H and Sui D: Ginsenoside Rg3 alleviates ox-LDL induced endothelial dysfunction and prevents atherosclerosis in ApoE (−/-) mice by regulating PPARγ/FAK signaling pathway. Front Pharmacol. 11:5002020. View Article : Google Scholar : PubMed/NCBI

30 

Wang Y, Fu W, Xue Y, Lu Z, Li Y, Yu P, Yu X, Xu H and Sui D: Ginsenoside rc ameliorates endothelial insulin resistance via upregulation of angiotensin-converting enzyme 2. Front Pharmacol. 12:6205242021. View Article : Google Scholar : PubMed/NCBI

31 

Sharma K, McCue P and Dunn SR: Diabetic kidney disease in the db/db mouse. Am J Physiol Renal Physiol. 284:F1138–F1144. 2003. View Article : Google Scholar : PubMed/NCBI

32 

Tesch GH and Lim AK: Recent insights into diabetic renal injury from the db/db mouse model of type 2 diabetic nephropathy. Am J Physiol Renal Physiol. 300:F301–F310. 2011. View Article : Google Scholar : PubMed/NCBI

33 

Livak KJ and Schmittgen TD: Analysis of relative gene expression data using real-time quantitative PCR and the 2 (−Delta Delta C (T)) method. Methods. 25:402–408. 2001. View Article : Google Scholar : PubMed/NCBI

34 

Sun Y, Jia Z, Liu G, Zhou L, Liu M, Yang B and Yang T: PPARγ agonist rosiglitazone suppresses renal mPGES-1/PGE2 pathway in db/db Mice. PPAR Res. 2013:6129712013. View Article : Google Scholar : PubMed/NCBI

35 

St Peter WL, Odum LE and Whaley-Connell AT: To RAS or not to RAS? The evidence for and cautions with renin-angiotensin system inhibition in patients with diabetic kidney disease. Pharmacotherapy. 33:496–514. 2013. View Article : Google Scholar : PubMed/NCBI

36 

Malek V, Suryavanshi SV, Sharma N, Kulkarni YA, Mulay SR and Gaikwad AB: Potential of renin-angiotensin-aldosterone system modulations in diabetic kidney disease: Old players to new hope! Rev Physiol Biochem Pharmacol. 179:31–71. 2021. View Article : Google Scholar : PubMed/NCBI

37 

Soccio RE, Chen ER and Lazar MA: Thiazolidinediones and the promise of insulin sensitization in type 2 diabetes. Cell Metab. 20:573–591. 2014. View Article : Google Scholar : PubMed/NCBI

38 

Rizos CV, Kei A and Elisaf MS: The current role of thiazolidinediones in diabetes management. Arch Toxicol. 90:1861–1881. 2016. View Article : Google Scholar : PubMed/NCBI

39 

Ri-Na SA and Bing Z: Pharmacovigilance of traditional Chinese medicine according to theory of preventive treatment of disease. Zhongguo Zhong Yao Za Zhi. 45:4273–4276. 2020.(In Chinese). PubMed/NCBI

40 

Zhao JN, Hua H, Yang AD, Zhang YG, Dai Y, Li QM, Yan LC, Li XL, Li L, Zeng J, et al: Generalized science of Chinese material medica-from preventive treatment of disease to Chinese medicine health industry. Zhongguo Zhong Yao Za Zhi. 43:4177–4181. 2018.(In Chinese). PubMed/NCBI

41 

Yang Y, Wang H, Zhang M, Shi M, Yang C, Ni Q, Wang Q, Li J, Wang X, Zhang C and Li Z: Safety and antifatigue effect of Korean Red Ginseng capsule: A randomized, double-blind and placebo-controlled clinical trial. J Ginseng Res. 46:543–549. 2022. View Article : Google Scholar : PubMed/NCBI

42 

Wan Y, Wang J, Xu JF, Tang F, Chen L, Tan YZ, Rao CL, Ao H and Peng C: Panax ginseng and its ginsenosides: Potential candidates for the prevention and treatment of chemotherapy-induced side effects. J Ginseng Res. 45:617–630. 2021. View Article : Google Scholar : PubMed/NCBI

43 

Yuan HD, Quan HY, Zhang Y, Kim SH and Chung SH: 20 (S)-Ginsenoside Rg3-induced apoptosis in HT-29 colon cancer cells is associated with AMPK signaling pathway. Mol Med Rep. 3:825–831. 2010.PubMed/NCBI

44 

Jiang JW, Chen XM, Chen XH and Zheng SS: Ginsenoside Rg3 inhibit hepatocellular carcinoma growth via intrinsic apoptotic pathway. World J Gastroenterol. 17:3605–3613. 2011. View Article : Google Scholar : PubMed/NCBI

45 

Zhang C, Liu L, Yu Y, Chen B, Tang C and Li X: Antitumor effects of ginsenoside Rg3 on human hepatocellular carcinoma cells. Mol Med Rep. 5:1295–1298. 2012.PubMed/NCBI

46 

Meng ZQ, Zhang R, Wu XW, Jin TF and Zhang MH: Ginsenoside Rg3 Regulates cisplatin resistance in gastric cancer by Wnt/β-catenin signaling pathway. Zhongguo Yi Xue Ke Xue Yuan Xue Bao. 44:366–376. 2022.(In Chinese). PubMed/NCBI

47 

Mao X, Jin Y, Feng T, Wang H, Liu D, Zhou Z, Yan Q, Yang H, Yang J, Yang J, et al: Ginsenoside Rg3 inhibits the growth of osteosarcoma and attenuates metastasis through the Wnt/β-catenin and EMT signaling pathway. Evid Based Complement Alternat Med. 2020:60651242020. View Article : Google Scholar : PubMed/NCBI

48 

Tan Q, Lin S, Zeng Y, Yao M, Liu K, Yuan H, Liu C and Jiang G: Ginsenoside Rg3 attenuates the osimertinib resistance by reducing the stemness of non-small cell lung cancer cells. Environ Toxicol. 35:643–651. 2020. View Article : Google Scholar : PubMed/NCBI

49 

Shen YW, Zhou YD, Chen HZ, Luan X and Zhang WD: Targeting CTGF in cancer: An emerging therapeutic opportunity. Trends Cancer. 7:511–524. 2021. View Article : Google Scholar : PubMed/NCBI

50 

Lecarpentier Y, Claes V, Vallée A and Hébert JL: Interactions between PPAR gamma and the canonical Wnt/beta-catenin pathway in type 2 diabetes and colon cancer. PPAR Res. 2017:58790902017. View Article : Google Scholar : PubMed/NCBI

51 

El Ouarrat D, Isaac R, Lee YS, Oh DY, Wollam J, Lackey D, Riopel M, Bandyopadhyay G, Seo JB, Sampath-Kumar R and Olefsky JM: TAZ is a negative regulator of PPARγ activity in adipocytes and TAZ deletion improves insulin sensitivity and glucose tolerance. Cell Metab. 31:162–173.e165. 2020. View Article : Google Scholar : PubMed/NCBI

52 

Hernandez-Quiles M, Broekema MF and Kalkhoven E: PPARgamma in metabolism, immunity, and cancer: Unified and diverse mechanisms of action. Front Endocrinol (Lausanne). 12:6241122021. View Article : Google Scholar : PubMed/NCBI

Related Articles

  • Abstract
  • View
  • Download
  • Twitter
Copy and paste a formatted citation
Spandidos Publications style
Sui Z, Sui D, Li M, Yu Q, Li H and Jiang Y: Ginsenoside Rg3 has effects comparable to those of ginsenoside re on diabetic kidney disease prevention in db/db mice by regulating inflammation, fibrosis and PPARγ. Mol Med Rep 27: 84, 2023.
APA
Sui, Z., Sui, D., Li, M., Yu, Q., Li, H., & Jiang, Y. (2023). Ginsenoside Rg3 has effects comparable to those of ginsenoside re on diabetic kidney disease prevention in db/db mice by regulating inflammation, fibrosis and PPARγ. Molecular Medicine Reports, 27, 84. https://doi.org/10.3892/mmr.2023.12971
MLA
Sui, Z., Sui, D., Li, M., Yu, Q., Li, H., Jiang, Y."Ginsenoside Rg3 has effects comparable to those of ginsenoside re on diabetic kidney disease prevention in db/db mice by regulating inflammation, fibrosis and PPARγ". Molecular Medicine Reports 27.4 (2023): 84.
Chicago
Sui, Z., Sui, D., Li, M., Yu, Q., Li, H., Jiang, Y."Ginsenoside Rg3 has effects comparable to those of ginsenoside re on diabetic kidney disease prevention in db/db mice by regulating inflammation, fibrosis and PPARγ". Molecular Medicine Reports 27, no. 4 (2023): 84. https://doi.org/10.3892/mmr.2023.12971
Copy and paste a formatted citation
x
Spandidos Publications style
Sui Z, Sui D, Li M, Yu Q, Li H and Jiang Y: Ginsenoside Rg3 has effects comparable to those of ginsenoside re on diabetic kidney disease prevention in db/db mice by regulating inflammation, fibrosis and PPARγ. Mol Med Rep 27: 84, 2023.
APA
Sui, Z., Sui, D., Li, M., Yu, Q., Li, H., & Jiang, Y. (2023). Ginsenoside Rg3 has effects comparable to those of ginsenoside re on diabetic kidney disease prevention in db/db mice by regulating inflammation, fibrosis and PPARγ. Molecular Medicine Reports, 27, 84. https://doi.org/10.3892/mmr.2023.12971
MLA
Sui, Z., Sui, D., Li, M., Yu, Q., Li, H., Jiang, Y."Ginsenoside Rg3 has effects comparable to those of ginsenoside re on diabetic kidney disease prevention in db/db mice by regulating inflammation, fibrosis and PPARγ". Molecular Medicine Reports 27.4 (2023): 84.
Chicago
Sui, Z., Sui, D., Li, M., Yu, Q., Li, H., Jiang, Y."Ginsenoside Rg3 has effects comparable to those of ginsenoside re on diabetic kidney disease prevention in db/db mice by regulating inflammation, fibrosis and PPARγ". Molecular Medicine Reports 27, no. 4 (2023): 84. https://doi.org/10.3892/mmr.2023.12971
Follow us
  • Twitter
  • LinkedIn
  • Facebook
About
  • Spandidos Publications
  • Careers
  • Cookie Policy
  • Privacy Policy
How can we help?
  • Help
  • Live Chat
  • Contact
  • Email to our Support Team