Spandidos Publications Logo
  • About
    • About Spandidos
    • Aims and Scopes
    • Abstracting and Indexing
    • Editorial Policies
    • Reprints and Permissions
    • Job Opportunities
    • Terms and Conditions
    • Contact
  • Journals
    • All Journals
    • Oncology Letters
      • Oncology Letters
      • Information for Authors
      • Editorial Policies
      • Editorial Board
      • Aims and Scope
      • Abstracting and Indexing
      • Bibliographic Information
      • Archive
    • International Journal of Oncology
      • International Journal of Oncology
      • Information for Authors
      • Editorial Policies
      • Editorial Board
      • Aims and Scope
      • Abstracting and Indexing
      • Bibliographic Information
      • Archive
    • Molecular and Clinical Oncology
      • Molecular and Clinical Oncology
      • Information for Authors
      • Editorial Policies
      • Editorial Board
      • Aims and Scope
      • Abstracting and Indexing
      • Bibliographic Information
      • Archive
    • Experimental and Therapeutic Medicine
      • Experimental and Therapeutic Medicine
      • Information for Authors
      • Editorial Policies
      • Editorial Board
      • Aims and Scope
      • Abstracting and Indexing
      • Bibliographic Information
      • Archive
    • International Journal of Molecular Medicine
      • International Journal of Molecular Medicine
      • Information for Authors
      • Editorial Policies
      • Editorial Board
      • Aims and Scope
      • Abstracting and Indexing
      • Bibliographic Information
      • Archive
    • Biomedical Reports
      • Biomedical Reports
      • Information for Authors
      • Editorial Policies
      • Editorial Board
      • Aims and Scope
      • Abstracting and Indexing
      • Bibliographic Information
      • Archive
    • Oncology Reports
      • Oncology Reports
      • Information for Authors
      • Editorial Policies
      • Editorial Board
      • Aims and Scope
      • Abstracting and Indexing
      • Bibliographic Information
      • Archive
    • Molecular Medicine Reports
      • Molecular Medicine Reports
      • Information for Authors
      • Editorial Policies
      • Editorial Board
      • Aims and Scope
      • Abstracting and Indexing
      • Bibliographic Information
      • Archive
    • World Academy of Sciences Journal
      • World Academy of Sciences Journal
      • Information for Authors
      • Editorial Policies
      • Editorial Board
      • Aims and Scope
      • Abstracting and Indexing
      • Bibliographic Information
      • Archive
    • International Journal of Functional Nutrition
      • International Journal of Functional Nutrition
      • Information for Authors
      • Editorial Policies
      • Editorial Board
      • Aims and Scope
      • Abstracting and Indexing
      • Bibliographic Information
      • Archive
    • International Journal of Epigenetics
      • International Journal of Epigenetics
      • Information for Authors
      • Editorial Policies
      • Editorial Board
      • Aims and Scope
      • Abstracting and Indexing
      • Bibliographic Information
      • Archive
    • Medicine International
      • Medicine International
      • Information for Authors
      • Editorial Policies
      • Editorial Board
      • Aims and Scope
      • Abstracting and Indexing
      • Bibliographic Information
      • Archive
  • Articles
  • Information
    • Information for Authors
    • Information for Reviewers
    • Information for Librarians
    • Information for Advertisers
    • Conferences
  • Language Editing
Spandidos Publications Logo
  • About
    • About Spandidos
    • Aims and Scopes
    • Abstracting and Indexing
    • Editorial Policies
    • Reprints and Permissions
    • Job Opportunities
    • Terms and Conditions
    • Contact
  • Journals
    • All Journals
    • Biomedical Reports
      • Information for Authors
      • Editorial Policies
      • Editorial Board
      • Aims and Scope
      • Abstracting and Indexing
      • Bibliographic Information
      • Archive
    • Experimental and Therapeutic Medicine
      • Information for Authors
      • Editorial Policies
      • Editorial Board
      • Aims and Scope
      • Abstracting and Indexing
      • Bibliographic Information
      • Archive
    • International Journal of Epigenetics
      • Information for Authors
      • Editorial Policies
      • Editorial Board
      • Aims and Scope
      • Abstracting and Indexing
      • Bibliographic Information
      • Archive
    • International Journal of Functional Nutrition
      • Information for Authors
      • Editorial Policies
      • Editorial Board
      • Aims and Scope
      • Abstracting and Indexing
      • Bibliographic Information
      • Archive
    • International Journal of Molecular Medicine
      • Information for Authors
      • Editorial Policies
      • Editorial Board
      • Aims and Scope
      • Abstracting and Indexing
      • Bibliographic Information
      • Archive
    • International Journal of Oncology
      • Information for Authors
      • Editorial Policies
      • Editorial Board
      • Aims and Scope
      • Abstracting and Indexing
      • Bibliographic Information
      • Archive
    • Medicine International
      • Information for Authors
      • Editorial Policies
      • Editorial Board
      • Aims and Scope
      • Abstracting and Indexing
      • Bibliographic Information
      • Archive
    • Molecular and Clinical Oncology
      • Information for Authors
      • Editorial Policies
      • Editorial Board
      • Aims and Scope
      • Abstracting and Indexing
      • Bibliographic Information
      • Archive
    • Molecular Medicine Reports
      • Information for Authors
      • Editorial Policies
      • Editorial Board
      • Aims and Scope
      • Abstracting and Indexing
      • Bibliographic Information
      • Archive
    • Oncology Letters
      • Information for Authors
      • Editorial Policies
      • Editorial Board
      • Aims and Scope
      • Abstracting and Indexing
      • Bibliographic Information
      • Archive
    • Oncology Reports
      • Information for Authors
      • Editorial Policies
      • Editorial Board
      • Aims and Scope
      • Abstracting and Indexing
      • Bibliographic Information
      • Archive
    • World Academy of Sciences Journal
      • Information for Authors
      • Editorial Policies
      • Editorial Board
      • Aims and Scope
      • Abstracting and Indexing
      • Bibliographic Information
      • Archive
  • Articles
  • Information
    • For Authors
    • For Reviewers
    • For Librarians
    • For Advertisers
    • Conferences
  • Language Editing
Login Register Submit
  • This site uses cookies
  • You can change your cookie settings at any time by following the instructions in our Cookie Policy. To find out more, you may read our Privacy Policy.

    I agree
Search articles by DOI, keyword, author or affiliation
Search
Advanced Search
presentation
Oncology Letters
Join Editorial Board Propose a Special Issue
Print ISSN: 1792-1074 Online ISSN: 1792-1082
Journal Cover
2014-January Volume 7 Issue 1

Full Size Image

Sign up for eToc alerts
Recommend to Library

Journals

International Journal of Molecular Medicine

International Journal of Molecular Medicine

International Journal of Molecular Medicine is an international journal devoted to molecular mechanisms of human disease.

International Journal of Oncology

International Journal of Oncology

International Journal of Oncology is an international journal devoted to oncology research and cancer treatment.

Molecular Medicine Reports

Molecular Medicine Reports

Covers molecular medicine topics such as pharmacology, pathology, genetics, neuroscience, infectious diseases, molecular cardiology, and molecular surgery.

Oncology Reports

Oncology Reports

Oncology Reports is an international journal devoted to fundamental and applied research in Oncology.

Experimental and Therapeutic Medicine

Experimental and Therapeutic Medicine

Experimental and Therapeutic Medicine is an international journal devoted to laboratory and clinical medicine.

Oncology Letters

Oncology Letters

Oncology Letters is an international journal devoted to Experimental and Clinical Oncology.

Biomedical Reports

Biomedical Reports

Explores a wide range of biological and medical fields, including pharmacology, genetics, microbiology, neuroscience, and molecular cardiology.

Molecular and Clinical Oncology

Molecular and Clinical Oncology

International journal addressing all aspects of oncology research, from tumorigenesis and oncogenes to chemotherapy and metastasis.

World Academy of Sciences Journal

World Academy of Sciences Journal

Multidisciplinary open-access journal spanning biochemistry, genetics, neuroscience, environmental health, and synthetic biology.

International Journal of Functional Nutrition

International Journal of Functional Nutrition

Open-access journal combining biochemistry, pharmacology, immunology, and genetics to advance health through functional nutrition.

International Journal of Epigenetics

International Journal of Epigenetics

Publishes open-access research on using epigenetics to advance understanding and treatment of human disease.

Medicine International

Medicine International

An International Open Access Journal Devoted to General Medicine.

Journal Cover
2014-January Volume 7 Issue 1

Full Size Image

Sign up for eToc alerts
Recommend to Library

  • Article
  • Citations
    • Cite This Article
    • Download Citation
    • Create Citation Alert
    • Remove Citation Alert
    • Cited By
  • Similar Articles
    • Related Articles (in Spandidos Publications)
    • Similar Articles (Google Scholar)
    • Similar Articles (PubMed)
  • Download PDF
  • Download XML
  • View XML
Article

Ultrasonography, X‑ray and CT imaging findings of a giant pericardial lipoma: Imaging diagnosis and review of the literature

  • Authors:
    • Haohui Zhu
    • Meiyun Wang
    • Deguang Feng
    • Yan Feng
    • Ying Ren
    • Jiyun Chen
    • Yao He
    • Jianjun Yuan
  • View Affiliations / Copyright

    Affiliations: Department of Ultrasound, Henan Provincial People's Hospital, Zhengzhou, Henan 453000, P.R. China, Department of Radiology, Henan Provincial People's Hospital, Zhengzhou, Henan 453000, P.R. China, Department of Cardiovascular Surgery, Henan Provincial People's Hospital, Zhengzhou, Henan 453000, P.R. China, Department of Neurology, Henan Provincial People's Hospital, Zhengzhou, Henan 453000, P.R. China, Department of Pathology, Henan Provincial People's Hospital, Zhengzhou, Henan 453000, P.R. China
  • Pages: 195-198
    |
    Published online on: November 7, 2013
       https://doi.org/10.3892/ol.2013.1668
  • Expand metrics +
Metrics: Total Views: 0 (Spandidos Publications: | PMC Statistics: )
Metrics: Total PDF Downloads: 0 (Spandidos Publications: | PMC Statistics: )
Cited By (CrossRef): 0 citations Loading Articles...

This article is mentioned in:



Abstract

Pericardial lipomas are rare and mostly asymptomatic tumors, which are usually detected incidentally during physical examination. The present study describes a case of giant pericardial lipoma that was diagnosed by surgical pathology. The study also describe the X-ray, magnetic resonance imaging, and the distinguish of the pericardial lipomas. The study also describes the ultrasonography, X‑ray, computed tomography and magnetic resonance imaging findings of the tumor, and a review of the literature of cardiac lipoma, to help increase awareness of the tumor and selection of the correct imaging method for diagnosis.

Introduction

Pericardial lipomas are rare and mostly asymptomatic tumors, which are usually detected incidentally during physical examination (1). The present study describes a case of a giant pericardial lipoma that was diagnosed by surgical pathology and presents the ultrasonography, X-ray, computed tomography (CT) and magnetic resonance imaging (MRI) imaging findings of the tumor in order to prevent a misdiagnosis. Written informed consent was obtained from the patient.

Case report

A 45-year-old female suffered from post-exercise pressure in the chest for one year. The patient was diagnosed at Henan Provincial People’s Hospital (Zhengzhou, China). An electrocardiogram revealed a normal sinus rhythm without any remarkable abnormality.

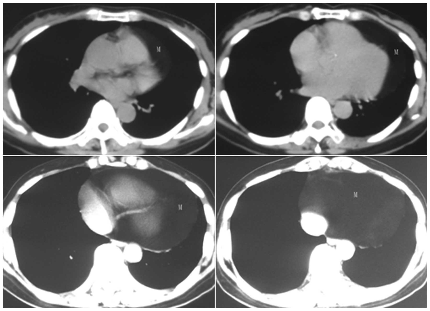
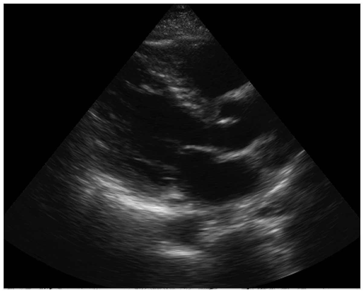
The chest X-ray (GE Feitian 6000 DR; GE, Buckinghamshire, UK) revealed a marked enlargement of the cardiac silhouette without any sign of pulmonary congestion and the cardiothoracic ratio was 64% (Fig. 1). A transthoracic echocardiogram (Philips IE33; Philips Healthcare, Eindhoven, Netherlands) demonstrated a huge echogenic mass compressing the left and right ventricle (Fig. 2). The size of the mass was 15.6×13.2×5.4 cm3 and the left ventricular ejection fraction was 66%. Multi-detector computed tomography (Philips Brilliance 16; Philips Healthcare) plain scan revealed a large mass along the right, anterior and left epicardial surface. The density of the mass was equal to that of subcutaneous adipose tissue (Fig. 3). 3D reconstruction and contrast CT was not performed in this patient, as the diagnosis of lipoma had been confirmed using echocardiography and a plain CT scan.

Figure 1

Chest X-ray reveals an enlargement of the cardiac silhouette. The cardiothoracic ratio is 64%.

Figure 2

Parasternal short axis ultrasound showing a large mass abutting the left and right ventricle on the right, anterior and left epicardium surfaces. M, mass; RV, right ventricle; LV, left ventricle.

Figure 3

Multi-detector computed tomography plain scan images demonstrating a large lipoma in the anterior mediastinum surrounding the heart. The attenuation value of the mass was equal to that of subcutaneous adipose tissue. M, mass.

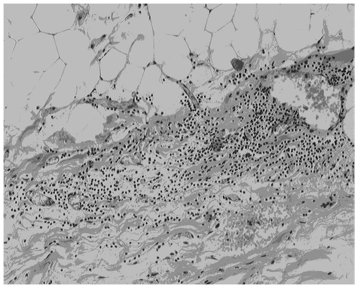
The patient underwent surgery to remove the mass under the diagnosis of epicardial lipoma. During surgery, a large, yellow, soft, encapsulated tumor was identified at the surface of the heart. The tumor had a 1-cm pedicle that was connected to the anterior exterior epicardial surface of the left ventricle, with no invasion to the myocardium and pericardium. The mass was completely removed, weighed 1,550 g and was 16×14×4 cm3 in size. Histological examination revealed the nature of the tumor as mature adipose tissue with inflammatory infiltration in the lipocyte and envelope, confirming the diagnosis of lipoma (Fig. 4).

Figure 4

Histopathological examination of pericardial lipoma showing mature adipose tissue with inflammatory infiltration in the lipocytes and envelope (hematoxylin and eosin staining; magnification, 10×10).

The patient was discharged on the tenth postoperative day and remained asymptomatic in the following three months. The patient has demonstrated no sign of recurrence by echocardiography during every three-month follow-up for approximately one year following the surgery (Fig. 5).

Figure 5

Echocardiography at the one-year follow-up shows no sign of recurrence.

Discussion

Primary cardiac lipomas are rare benign tumors, which account for 10% of all primary cardiac tumors and 14% of benign cardiac tumors (2). The tumor may occur in females or males at any age. The majority of the patients are asymptomatic, while certain patients may suffer from discomfort in the chest, dyspnea, palpitation, syncope or sudden death, depending on the location of the tumor and the possible resultant compression or obstruction (3).

Generally, cardiac lipomas originate from the subendocardium, subpericardium or myocardium. A subendocardium lipoma may appear hemodynamically abnormal or display other symptoms depending on the location and the size. The tumor may cause valve regurgitation if the location is near the valve (4). Subpericardial lipoma is usually detected late in the clinic and may involve an extremely large mass that is either symptomless or causes symptoms including angina on exertion (by compressing the coronary arteries) and dyspnea (by tamponade). Intramyocardial lipoma may cause arrhythmias by interfering with the conduction system (2). According to the growth pattern, cardiac lipoma is classified into two types, invasive and non-invasive. The former usually infiltrates the adjacent tissue and is hard to be removed completely with a high recurrence rate. However, the latter has an envelope and is able to be resected completely with good prognosis (5).

In the diagnosis of cardiac lipoma, X-ray alone is not sufficient to reach an exact diagnosis, as it is easily misdiagnosed. The anatomical definitions, including the location, size, activity and hemodynamic consequences of the tumor may be assessed by transthoracic echocardiography, which is usually the initial examination for patients with a suspected cardiac mass. Sonography is able to identify an echogenic mass that is similar to the adipose tissue. When the adipose tissue causes liquefactive necrosis, it may appear as a low-level echo in the mass (6).

However, an accurate and reliable diagnosis must be obtained by CT (7) or MRI (8) with an ideal tissue resolution. The fatty composition of the tumor is easily identified with CT imaging and the complications of the tumor may be accurately depicted by reconstructed CT images (1). MRI scanning with multiple sequences has more advantages in the diagnosis of lipoma. The homogeneously fatty tumor with characteristic high-signal intensity on T1-weighted was effectively suppressed by the application of a fat saturation prepulse, which is highly specific for epicardial lipoma. In addition, complete morphological and functional assessment of cardiac tumors may also be performed by cardiac MRI (9). The patient in the present study was first diagnosed exactly by echocardiography and further examinations were performed using CT. However, a cardiac MRI examination was not performed for the present patient.

Lipoma should be distinguished from liposarcoma. CT or MRI are good tools for a differential diagnosis (10). As for liposarcoma, a plain CT scan usually shows mixed density (−80–40 hU) and calcification is occasionally observed. Contrast CT shows interior irregularity enhancement and MRI shows the funicular soft tissue in the fat tissue. Complete surgical excision of liposarcoma is the best choice, but the prognosis depends on the pathological type (11).

Pericardial lipoma should also be distinguished from mesothelioma of the pericardium, constrictive pericarditis, other secondary tumors of the pericardium, pericardial cysts and diaphragmatocele (4). Mesothelioma of the pericardium shows single or multiple tubercles and an irregular thickened pericardium (12), with or without hydropericardium (13). Constrictive pericarditis shows pericardium thickness, calcification and inferior vena cava broadening (14). A secondary tumor of the pericardium has the medical history of the primary tumor. When the echo level of pericardial lipoma is too low, it is similar to a pericardial cyst in the echocardiography, but CT and MRI are able to distinguish the two (15). When the content of diaphragmatocele is only adipose tissue, it is difficult to distinguish it from lipoma. The content of diaphragmatocele that is connected to the abdomen varies between the two (16).

In summary, although pericardiac lipoma is rare and seldom encountered, it is not difficult to obtain a correct diagnosis using the typical imaging findings. The present case aimed to aid the diagnosis of a cardiac tumor and propose the initial examination method of ultrasound, location, morphology, size, activity, internal echo, the association with the surrounding tissues and the hemodynamic changes. The method also has the advantage that the technique is cheap and convenient. CT and MRI have more ideal tissue resolution and a broader visual field than ultrasound, and are preferred in the imaging of associations with the mediastinum, lungs, diaphragm and other surrounding tissues. However, CT and MRI are more expensive than ultrasound and ultrasound is more convenient for a bedside examination.

References

1 

Xie LX, Chen YS and Liu SY: A giant cardiac lipoma associated with ventricular inversion and ventricular aneurysm: ultrasonography and CT imaging findings. Chest. 141:241–244. 2012. View Article : Google Scholar : PubMed/NCBI

2 

Bardakci H, Altintas G, Unal U, Kervan U, Arda K and Birincioglu L: Giant cardiac lipoma: report of a case. J Card Surg. 23:254–256. 2008. View Article : Google Scholar : PubMed/NCBI

3 

Zwolinski R, Ammer A, Walczak A and Jaszewski R: Intrapericardial lipoma: diagnosed unexpectedly and resected during coronary artery bypass surgery. Interact Cardiovasc Thorac Surg. 11:211–212. 2010. View Article : Google Scholar

4 

Puvaneswary M, Edwards JR, Bastian BC and Khatri SK: Pericardial lipoma: ultrasound, computed tomography and magnetic resonance imaging findings. Australas Radiol. 44:321–324. 2000. View Article : Google Scholar : PubMed/NCBI

5 

Sheppard MN and Mohiaddin R: Tumors of the heart. Future Cardiol. 6:181–193. 2010. View Article : Google Scholar

6 

Auger D, Pressacco J, Marcotte F, Tremblay A, Dore A and Ducharme A: Cardiac masses: an integrative approach using echocardiography and other imaging modalities. Heart. 13:1101–1109. 2011. View Article : Google Scholar : PubMed/NCBI

7 

Alkan LM, Metin M, Yener A, et al: A case of pericardial lipoma diagnosed by noninvasive techniques. Jpn Heart J. 32:745–749. 1991. View Article : Google Scholar : PubMed/NCBI

8 

Tuna IC, Julsrud PR, Click RL, Tazelaar HD, Bresnahan DR and Danielson GK: Tissue characterization of an unusual right atrial mass by magnetic resonance imaging. Mayo Clin Proc. 66:498–501. 1991. View Article : Google Scholar : PubMed/NCBI

9 

Gulati G, Sharma S, Kothari SS, Juneja R, Saxena A and Talwar KK: Comparison of echo and MRI in the imaging evaluation of intracardiac masses. Cardiovasc Intervent Radiol. 27:459–469. 2004.PubMed/NCBI

10 

Stoian I, Piser IT, Kulcsar I, Chioncel O, Carp A and Macarie C: Rare tumors of the heart - angiosarcoma, pericardial lipoma, leiomyosarcoma. Three case reports. J Med Life. 3:178–182. 2010.

11 

Zehani A, Ayadi-Kaddour A, Daghfous H, et al: Primary mediastinal sarcomas. Rev Mal Respir. 28:14–24. 2011.(In French).

12 

Shah DP, Wong T, Roesch D, Spencer KT and Lang RM: Echocardiographic diagnosis of malignant mesothelioma involving the pericardium. Echocardiography. 22:538–539. 2005. View Article : Google Scholar : PubMed/NCBI

13 

Patel J and Sheppard MN: Primary malignant mesothelioma of the pericardium. Cardiovasc Pathol. 20:107–109. 2011. View Article : Google Scholar : PubMed/NCBI

14 

Mastouri R, Sawada SG and Mahenthiran J: Noninvasive imaging techniques of constrictive pericarditis. Expert Rev Cardiovasc Ther. 8:1335–1347. 2010. View Article : Google Scholar : PubMed/NCBI

15 

Abu Bakar N, Abdul Aziz YF, Singh Sandhu R, Fadzli F, Yaakub NA, Krishnasamy S and Raja Mokhtar RA: Imaging of an atypical pericardial cyst. Heart Lung Circ. 22:305–308. 2013.PubMed/NCBI

16 

Weksler B and Ginsberg RJ: Tumors of the diaphragm. Chest Surg Clin North Am. 8:441–447. 1998.

Related Articles

  • Abstract
  • View
  • Download
  • Twitter
Copy and paste a formatted citation
Spandidos Publications style
Zhu H, Wang M, Feng D, Feng Y, Ren Y, Chen J, He Y and Yuan J: Ultrasonography, X‑ray and CT imaging findings of a giant pericardial lipoma: Imaging diagnosis and review of the literature. Oncol Lett 7: 195-198, 2014.
APA
Zhu, H., Wang, M., Feng, D., Feng, Y., Ren, Y., Chen, J. ... Yuan, J. (2014). Ultrasonography, X‑ray and CT imaging findings of a giant pericardial lipoma: Imaging diagnosis and review of the literature. Oncology Letters, 7, 195-198. https://doi.org/10.3892/ol.2013.1668
MLA
Zhu, H., Wang, M., Feng, D., Feng, Y., Ren, Y., Chen, J., He, Y., Yuan, J."Ultrasonography, X‑ray and CT imaging findings of a giant pericardial lipoma: Imaging diagnosis and review of the literature". Oncology Letters 7.1 (2014): 195-198.
Chicago
Zhu, H., Wang, M., Feng, D., Feng, Y., Ren, Y., Chen, J., He, Y., Yuan, J."Ultrasonography, X‑ray and CT imaging findings of a giant pericardial lipoma: Imaging diagnosis and review of the literature". Oncology Letters 7, no. 1 (2014): 195-198. https://doi.org/10.3892/ol.2013.1668
Copy and paste a formatted citation
x
Spandidos Publications style
Zhu H, Wang M, Feng D, Feng Y, Ren Y, Chen J, He Y and Yuan J: Ultrasonography, X‑ray and CT imaging findings of a giant pericardial lipoma: Imaging diagnosis and review of the literature. Oncol Lett 7: 195-198, 2014.
APA
Zhu, H., Wang, M., Feng, D., Feng, Y., Ren, Y., Chen, J. ... Yuan, J. (2014). Ultrasonography, X‑ray and CT imaging findings of a giant pericardial lipoma: Imaging diagnosis and review of the literature. Oncology Letters, 7, 195-198. https://doi.org/10.3892/ol.2013.1668
MLA
Zhu, H., Wang, M., Feng, D., Feng, Y., Ren, Y., Chen, J., He, Y., Yuan, J."Ultrasonography, X‑ray and CT imaging findings of a giant pericardial lipoma: Imaging diagnosis and review of the literature". Oncology Letters 7.1 (2014): 195-198.
Chicago
Zhu, H., Wang, M., Feng, D., Feng, Y., Ren, Y., Chen, J., He, Y., Yuan, J."Ultrasonography, X‑ray and CT imaging findings of a giant pericardial lipoma: Imaging diagnosis and review of the literature". Oncology Letters 7, no. 1 (2014): 195-198. https://doi.org/10.3892/ol.2013.1668
Follow us
  • Twitter
  • LinkedIn
  • Facebook
About
  • Spandidos Publications
  • Careers
  • Cookie Policy
  • Privacy Policy
How can we help?
  • Help
  • Live Chat
  • Contact
  • Email to our Support Team