Spandidos Publications Logo
  • About
    • About Spandidos
    • Aims and Scopes
    • Abstracting and Indexing
    • Editorial Policies
    • Reprints and Permissions
    • Job Opportunities
    • Terms and Conditions
    • Contact
  • Journals
    • All Journals
    • Oncology Letters
      • Oncology Letters
      • Information for Authors
      • Editorial Policies
      • Editorial Board
      • Aims and Scope
      • Abstracting and Indexing
      • Bibliographic Information
      • Archive
    • International Journal of Oncology
      • International Journal of Oncology
      • Information for Authors
      • Editorial Policies
      • Editorial Board
      • Aims and Scope
      • Abstracting and Indexing
      • Bibliographic Information
      • Archive
    • Molecular and Clinical Oncology
      • Molecular and Clinical Oncology
      • Information for Authors
      • Editorial Policies
      • Editorial Board
      • Aims and Scope
      • Abstracting and Indexing
      • Bibliographic Information
      • Archive
    • Experimental and Therapeutic Medicine
      • Experimental and Therapeutic Medicine
      • Information for Authors
      • Editorial Policies
      • Editorial Board
      • Aims and Scope
      • Abstracting and Indexing
      • Bibliographic Information
      • Archive
    • International Journal of Molecular Medicine
      • International Journal of Molecular Medicine
      • Information for Authors
      • Editorial Policies
      • Editorial Board
      • Aims and Scope
      • Abstracting and Indexing
      • Bibliographic Information
      • Archive
    • Biomedical Reports
      • Biomedical Reports
      • Information for Authors
      • Editorial Policies
      • Editorial Board
      • Aims and Scope
      • Abstracting and Indexing
      • Bibliographic Information
      • Archive
    • Oncology Reports
      • Oncology Reports
      • Information for Authors
      • Editorial Policies
      • Editorial Board
      • Aims and Scope
      • Abstracting and Indexing
      • Bibliographic Information
      • Archive
    • Molecular Medicine Reports
      • Molecular Medicine Reports
      • Information for Authors
      • Editorial Policies
      • Editorial Board
      • Aims and Scope
      • Abstracting and Indexing
      • Bibliographic Information
      • Archive
    • World Academy of Sciences Journal
      • World Academy of Sciences Journal
      • Information for Authors
      • Editorial Policies
      • Editorial Board
      • Aims and Scope
      • Abstracting and Indexing
      • Bibliographic Information
      • Archive
    • International Journal of Functional Nutrition
      • International Journal of Functional Nutrition
      • Information for Authors
      • Editorial Policies
      • Editorial Board
      • Aims and Scope
      • Abstracting and Indexing
      • Bibliographic Information
      • Archive
    • International Journal of Epigenetics
      • International Journal of Epigenetics
      • Information for Authors
      • Editorial Policies
      • Editorial Board
      • Aims and Scope
      • Abstracting and Indexing
      • Bibliographic Information
      • Archive
    • Medicine International
      • Medicine International
      • Information for Authors
      • Editorial Policies
      • Editorial Board
      • Aims and Scope
      • Abstracting and Indexing
      • Bibliographic Information
      • Archive
  • Articles
  • Information
    • Information for Authors
    • Information for Reviewers
    • Information for Librarians
    • Information for Advertisers
    • Conferences
  • Language Editing
Spandidos Publications Logo
  • About
    • About Spandidos
    • Aims and Scopes
    • Abstracting and Indexing
    • Editorial Policies
    • Reprints and Permissions
    • Job Opportunities
    • Terms and Conditions
    • Contact
  • Journals
    • All Journals
    • Biomedical Reports
      • Information for Authors
      • Editorial Policies
      • Editorial Board
      • Aims and Scope
      • Abstracting and Indexing
      • Bibliographic Information
      • Archive
    • Experimental and Therapeutic Medicine
      • Information for Authors
      • Editorial Policies
      • Editorial Board
      • Aims and Scope
      • Abstracting and Indexing
      • Bibliographic Information
      • Archive
    • International Journal of Epigenetics
      • Information for Authors
      • Editorial Policies
      • Editorial Board
      • Aims and Scope
      • Abstracting and Indexing
      • Bibliographic Information
      • Archive
    • International Journal of Functional Nutrition
      • Information for Authors
      • Editorial Policies
      • Editorial Board
      • Aims and Scope
      • Abstracting and Indexing
      • Bibliographic Information
      • Archive
    • International Journal of Molecular Medicine
      • Information for Authors
      • Editorial Policies
      • Editorial Board
      • Aims and Scope
      • Abstracting and Indexing
      • Bibliographic Information
      • Archive
    • International Journal of Oncology
      • Information for Authors
      • Editorial Policies
      • Editorial Board
      • Aims and Scope
      • Abstracting and Indexing
      • Bibliographic Information
      • Archive
    • Medicine International
      • Information for Authors
      • Editorial Policies
      • Editorial Board
      • Aims and Scope
      • Abstracting and Indexing
      • Bibliographic Information
      • Archive
    • Molecular and Clinical Oncology
      • Information for Authors
      • Editorial Policies
      • Editorial Board
      • Aims and Scope
      • Abstracting and Indexing
      • Bibliographic Information
      • Archive
    • Molecular Medicine Reports
      • Information for Authors
      • Editorial Policies
      • Editorial Board
      • Aims and Scope
      • Abstracting and Indexing
      • Bibliographic Information
      • Archive
    • Oncology Letters
      • Information for Authors
      • Editorial Policies
      • Editorial Board
      • Aims and Scope
      • Abstracting and Indexing
      • Bibliographic Information
      • Archive
    • Oncology Reports
      • Information for Authors
      • Editorial Policies
      • Editorial Board
      • Aims and Scope
      • Abstracting and Indexing
      • Bibliographic Information
      • Archive
    • World Academy of Sciences Journal
      • Information for Authors
      • Editorial Policies
      • Editorial Board
      • Aims and Scope
      • Abstracting and Indexing
      • Bibliographic Information
      • Archive
  • Articles
  • Information
    • For Authors
    • For Reviewers
    • For Librarians
    • For Advertisers
    • Conferences
  • Language Editing
Login Register Submit
  • This site uses cookies
  • You can change your cookie settings at any time by following the instructions in our Cookie Policy. To find out more, you may read our Privacy Policy.

    I agree
Search articles by DOI, keyword, author or affiliation
Search
Advanced Search
presentation
Oncology Letters
Join Editorial Board Propose a Special Issue
Print ISSN: 1792-1074 Online ISSN: 1792-1082
Journal Cover
January-2015 Volume 9 Issue 1

Full Size Image

Sign up for eToc alerts
Recommend to Library

Journals

International Journal of Molecular Medicine

International Journal of Molecular Medicine

International Journal of Molecular Medicine is an international journal devoted to molecular mechanisms of human disease.

International Journal of Oncology

International Journal of Oncology

International Journal of Oncology is an international journal devoted to oncology research and cancer treatment.

Molecular Medicine Reports

Molecular Medicine Reports

Covers molecular medicine topics such as pharmacology, pathology, genetics, neuroscience, infectious diseases, molecular cardiology, and molecular surgery.

Oncology Reports

Oncology Reports

Oncology Reports is an international journal devoted to fundamental and applied research in Oncology.

Experimental and Therapeutic Medicine

Experimental and Therapeutic Medicine

Experimental and Therapeutic Medicine is an international journal devoted to laboratory and clinical medicine.

Oncology Letters

Oncology Letters

Oncology Letters is an international journal devoted to Experimental and Clinical Oncology.

Biomedical Reports

Biomedical Reports

Explores a wide range of biological and medical fields, including pharmacology, genetics, microbiology, neuroscience, and molecular cardiology.

Molecular and Clinical Oncology

Molecular and Clinical Oncology

International journal addressing all aspects of oncology research, from tumorigenesis and oncogenes to chemotherapy and metastasis.

World Academy of Sciences Journal

World Academy of Sciences Journal

Multidisciplinary open-access journal spanning biochemistry, genetics, neuroscience, environmental health, and synthetic biology.

International Journal of Functional Nutrition

International Journal of Functional Nutrition

Open-access journal combining biochemistry, pharmacology, immunology, and genetics to advance health through functional nutrition.

International Journal of Epigenetics

International Journal of Epigenetics

Publishes open-access research on using epigenetics to advance understanding and treatment of human disease.

Medicine International

Medicine International

An International Open Access Journal Devoted to General Medicine.

Journal Cover
January-2015 Volume 9 Issue 1

Full Size Image

Sign up for eToc alerts
Recommend to Library

  • Article
  • Citations
    • Cite This Article
    • Download Citation
    • Create Citation Alert
    • Remove Citation Alert
    • Cited By
  • Similar Articles
    • Related Articles (in Spandidos Publications)
    • Similar Articles (Google Scholar)
    • Similar Articles (PubMed)
  • Download PDF
  • Download XML
  • View XML
Case Report

Hemangioendothelioma arising from the spleen: A case report and literature review

  • Authors:
    • Zhendan Wang
    • Liang Zhang
    • Bo Zhang
    • Dianbin Mu
    • Kai Cui
    • Sheng Li
  • View Affiliations / Copyright

    Affiliations: Department of Hepatology, Shandong Academy of Medical Sciences, University of Jinan, Jinan, Shandong 250022, P.R. China, Department of Hepatobiliary Surgery, The Third People's Hospital of Jiaozhou, Jiaozhou, Shandong 266300, P.R. China, Department of Hepatobiliary Surgery, Shandong Cancer Hospital, Jinan, Shandong 250117, P.R. China, Department of Pathology, Shandong Cancer Hospital, Jinan, Shandong 250117, P.R. China
  • Pages: 209-212
    |
    Published online on: November 10, 2014
       https://doi.org/10.3892/ol.2014.2693
  • Expand metrics +
Metrics: Total Views: 0 (Spandidos Publications: | PMC Statistics: )
Metrics: Total PDF Downloads: 0 (Spandidos Publications: | PMC Statistics: )
Cited By (CrossRef): 0 citations Loading Articles...

This article is mentioned in:


Abstract

Primary hemangioendotheliomas (HEs) of the spleen are rare, low‑grade borderline‑malignant vascular tumors. To date, only a few splenic HE cases have been reported in adults. In infants, one 9‑year‑old male patient has previously been reported, and the patient succumbed to the disease shortly following surgery. Currently, the clinical treatment and prognosis of the disease remains challenging to define, due to the extremely low number of cases reported. The current report presents the case of a 9‑year‑old pediatric patient with splenic HE, who survived with no recurrence or complications following a partial splenectomy. Additionally, a literature review was conducted to analyze the treatment and prognosis of the disease.

Introduction

The term ‘hemangioendothelioma’ (HE) has been used to describe a heterogenous group of vascular neoplasms, which are intermediate between benign and malignant tumors (1). Cases of HE often progress to rare metastasis and infrequent mortality, primarily arising in the soft tissues of the extremities and organs, including anterior mediastina and liver in adults (2). HEs are primarily surgically excised. HEs from soft tissues often exhibit a good prognosis, while HEs from internal organs often exhibit a relatively poor prognosis, as patients often succumb during surgery due to complications due to progress of the disease itself (3).

As an important peripheral immune organ, the spleen is rarely reported as the origin of HE tumors. To the best of our knowledge, few cases of HE have been reported to have arisen from the spleen in adults, and only one pediatric patient with splenic HE has been described (4). The current report presents the second pediatric patient to be diagnosed with splenic HE. Furthermore a literature review is conducted to summarize the clinical treatment and outcomes of splenic HE.

Case report

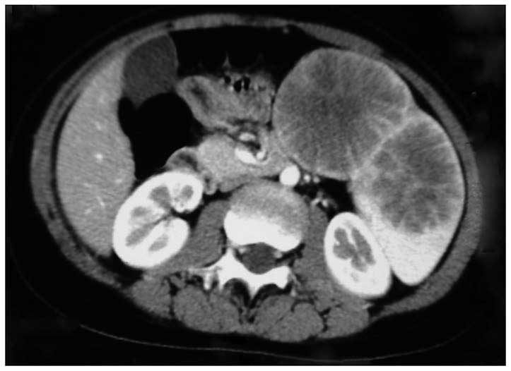
A 9-year-old female patient presented to the Department of Hepatobiliary Surgery, Shandong Cancer Hospital (Jinan, China) due to 20-day intermittent abdominal pain. No abnormalities were observed during the physical examination with the exception of an enlarged spleen (degree II) (5). Laboratory tests were normal with the exception of a slight increase in the serum levels of cancer antigen 125 (45.4 U/ml, normal range ≤35 U/ml) and white blood cells (11.5×109 per liter, normal range 4–10×109 per liter). Computed tomography (CT) scanning revealed two tumor masses in the lower lobe of the splenic parenchyma, with the larger one measuring 5.6 × 5.9 × 6.3 cm (Fig. 1). The images are characterized by a round, or round-like low density area with clear boundary to the normal tissues, as revealed by the plain scanning, and circular, radiative enhancement at the margin.

Figure 1

Computed tomography scan revealing two circular low density areas with clear boundaries. Circular, radiative, enhanced signals were observed at the margin of the tumor mass.

Initially a laparotomy was performed, and a rapid diagnosis of the carcinoma was conducted, which revealed borderline carcinoma with slight cellular heteromorphism. Due to this, a partial splenectomy was performed. Written informed consent was obtained from the patient’s parents. Following the surgery, a mass was cut from the lower spleen lobe. The excised section showed a well-circumscribed mass that was separate from the surrounding splenic parenchyma. Upon further observation, two tumor masses, growing in an exogenous pattern, were observed at the lower spleen pole, measuring 6.0 × 6.0 × 5.5 cm and 5.0 × 5.0 × 4.0 cm (Fig. 2). Pathological examination indicated that the tumor masses primarily consisted of capillaries and well-differentiated great vessels (Fig. 3). In addition, a large volume of liquid was contained within the great vessels, together with dispersed hyperplasia of the vascular endothelial cells (VECs), which invaded the lumen. In the immunohistochemical analysis, the tumor cells were positive for CD31+, CD34+, FVIII+, Ki-67+<1%, pan CK+ and TG−. To prevent the development of malignant carcinoma, the patient attended a check-up every three months. To date, no recurrence or deterioration has been reported in the 15 months following the surgery.

Figure 2

Primary hemangioendotheliomas of the spleen. (A) Two tumor masses, growing exogenously, were observed at the lower spleen pole. (B) The sizes of the tumor masses were 6.0 × 6.0 × 5.5 cm and 5.0 × 5.0 × 4.0 cm. The texture of the tumor mass was soft with a gray color in the center of the incisal surface.

Figure 3

Stained sections of the tumors. (A) Hematoxylin and eosin staining indicated dispersed hyperplasia of vascular endothelial cells invading into the lumen (magnification, ×100). (B) Immunohistochemical analysis revealed that the tumor cells were positive for FVIII (magnification, 200x).

Discussion

The diagnosis of splenic HE remains challenging as no specific clinical manifestations are evident in the early stages of development (6). With the progressive growth of the tumor, the patient may experience left upper abdominal pain, splenic swelling and an abdominal mass. In severe cases, a series of symptoms may be induced, including gastric distention, nausea, vomiting, dyspnea, shoulder pain and constipation (7–9). CT imaging is an important technique used in the diagnosis of splenic HE, which is characterized by early-stage radiative enhancement at the margin and by delayed enhancement filling the center. However, the final diagnosis of splenic HE relies on pathological examination.

To the best of our knowledge, no studies have been published that summarize the treatment efficiency of splenic HE cases following the initial report (9). In the current study, a literature review of splenic HE was conducted following a search of PubMed using the key words ‘hemangioendothelioma’ and ‘spleen’ or ‘splenic hemangioendothelioma’. A total of six cases of splenic HE were reported prior to February 2014 (Table I).

Table I

Clinical features of six cases of splenic hemangioendothelioma.

Table I

Clinical features of six cases of splenic hemangioendothelioma.

CaseGender/age, yearsSymptomsTreatmentFollow-upReference
1M/45Enlarged spleen and brain metastasisResection of tumor massFive weeks post-onset, succumbed to the disease4
2M/3Well-circumscribed mass in splenic parenchymaPartial splenectomyFive years, survived5
3M/9HE of liver and spleenSplenectomy and liver biopsyTwo days, mortality due to consumptive coagulopathy3
4F/36Kaposiform HESplenectomySix months, no recurrence or metastasis6
5F/67Composite HE arising from the spleenSplenectomy and chemotherapyNot available7
6F/28Splenic littoral cell HE, hepatic metastasisSplenectomyNot available8

[i] M, male; F, female.

The therapeutic strategies for splenic HE have been limited as cases are rare. In adults, the most effective therapy is considered to be complete splenectomy (7–11). However, this incurs increased postoperative risks, including the possibility of post-splenectomy infection, which may occur if an infant underwent a full splenectomy. Furthermore, as the immune system of infants is not fully developed, as it is in adults, a complete splenectomy may exert negative effects on the immune system. In the current report, the tumor mass was distanced from the splenic hilum, and no adhesion to the surrounding tissues was observed, therefore, a partial splenectomy was performed.

To our best knowledge, only one case of pediatric splenic HE had been reported prior to the current case report (4). The patient, a 9-year-old male with HE of the liver and spleen, received a partial splenectomy, however, he succumbed to consumptive coagulopathy. The current case report presents the case of a 9-year-old female patient with splenic HE, who underwent a partial splenectomy. The patient showed no recurrence or complications during the 15-month follow up. This report, together with the literature review of previous cases, provides clinical guideline for clinicians with regard to the management of splenic HE. The limitation of this case report is that the exact type of HE was not determined. However, the effect of this on the treatment and prognosis of the patient is minimal.

References

1 

Nayler SJ, Rubin BP, Calonje E, et al: Composite hemangioendothelioma: a complex, low-grade vascular lesion mimicking angiosarcoma. Am J Surg Pathol. 24:352–361. 2000. View Article : Google Scholar : PubMed/NCBI

2 

Mentzel T, Beham A, Calonje E, et al: Epithelioid hemangioendothelioma of skin and soft tissues: clinicopathologic and immunohistochemical study of 30 cases. Am J Surg Pathol. 21:363–374. 1997. View Article : Google Scholar : PubMed/NCBI

3 

Requena L and Kutzner H: Hemangioendothelioma. Semin Diagn Pathol. 30:29–44. 2013. View Article : Google Scholar : PubMed/NCBI

4 

Goyal A, Babu SN, Kim V, et al: Hemangioendothelioma of liver and spleen: trauma-induced consumptive coagulopathy. J Pediatr Surg. 37:E292002. View Article : Google Scholar : PubMed/NCBI

5 

Leblond RF, Brown DD and DeGowin RL: The abdomen, perineum, anus and rectosigmoid. DeGowin’s Diagnostic Examination. 9th edition. McGraw-Hill Medical; New York, NY: pp. 3572008

6 

Tjandra JJ, Clunie GJ, Kaye AH and SMith J: Benign and malignant diseases of the hepatobiliary system. Textbook of Surgery. 3rd edition. Wiley-Blackwell; Oxford: pp. 1192006

7 

Suster S: Epithelioid and spindle-cell hemangioendothelioma of the spleen. Report of a distinctive splenic vascular neoplasm of childhood. Am J Surg Pathol. 16:785–792. 1992. View Article : Google Scholar : PubMed/NCBI

8 

Yoda Y and Ohashi M: A case of composite hemangioendothelioma arising from the spleen. Jpn J Clin Oncol. 42:7702012. View Article : Google Scholar : PubMed/NCBI

9 

Nurick S and Mair WG: Brain metastases from haemangioendothelioma of the spleen. Report of a case. Acta Neuropathol. 14:345–349. 1970. View Article : Google Scholar : PubMed/NCBI

10 

Yu L and Yang SJ: Kaposiform hemangioendothelioma of the spleen in an adult: an initial case report. Pathol Oncol Res. 17:969–972. 2010. View Article : Google Scholar : PubMed/NCBI

11 

He P, Yan XD, Wang JR, et al: Splenic littoral cell hemangioendothelioma: Report of a case with hepatic metastases and review of the literature. J Clin Ultrasound. 42:308–312. 2014. View Article : Google Scholar : PubMed/NCBI

Related Articles

  • Abstract
  • View
  • Download
  • Twitter
Copy and paste a formatted citation
Spandidos Publications style
Wang Z, Zhang L, Zhang B, Mu D, Cui K and Li S: Hemangioendothelioma arising from the spleen: A case report and literature review. Oncol Lett 9: 209-212, 2015.
APA
Wang, Z., Zhang, L., Zhang, B., Mu, D., Cui, K., & Li, S. (2015). Hemangioendothelioma arising from the spleen: A case report and literature review. Oncology Letters, 9, 209-212. https://doi.org/10.3892/ol.2014.2693
MLA
Wang, Z., Zhang, L., Zhang, B., Mu, D., Cui, K., Li, S."Hemangioendothelioma arising from the spleen: A case report and literature review". Oncology Letters 9.1 (2015): 209-212.
Chicago
Wang, Z., Zhang, L., Zhang, B., Mu, D., Cui, K., Li, S."Hemangioendothelioma arising from the spleen: A case report and literature review". Oncology Letters 9, no. 1 (2015): 209-212. https://doi.org/10.3892/ol.2014.2693
Copy and paste a formatted citation
x
Spandidos Publications style
Wang Z, Zhang L, Zhang B, Mu D, Cui K and Li S: Hemangioendothelioma arising from the spleen: A case report and literature review. Oncol Lett 9: 209-212, 2015.
APA
Wang, Z., Zhang, L., Zhang, B., Mu, D., Cui, K., & Li, S. (2015). Hemangioendothelioma arising from the spleen: A case report and literature review. Oncology Letters, 9, 209-212. https://doi.org/10.3892/ol.2014.2693
MLA
Wang, Z., Zhang, L., Zhang, B., Mu, D., Cui, K., Li, S."Hemangioendothelioma arising from the spleen: A case report and literature review". Oncology Letters 9.1 (2015): 209-212.
Chicago
Wang, Z., Zhang, L., Zhang, B., Mu, D., Cui, K., Li, S."Hemangioendothelioma arising from the spleen: A case report and literature review". Oncology Letters 9, no. 1 (2015): 209-212. https://doi.org/10.3892/ol.2014.2693
Follow us
  • Twitter
  • LinkedIn
  • Facebook
About
  • Spandidos Publications
  • Careers
  • Cookie Policy
  • Privacy Policy
How can we help?
  • Help
  • Live Chat
  • Contact
  • Email to our Support Team