Spandidos Publications Logo
  • About
    • About Spandidos
    • Aims and Scopes
    • Abstracting and Indexing
    • Editorial Policies
    • Reprints and Permissions
    • Job Opportunities
    • Terms and Conditions
    • Contact
  • Journals
    • All Journals
    • Oncology Letters
      • Oncology Letters
      • Information for Authors
      • Editorial Policies
      • Editorial Board
      • Aims and Scope
      • Abstracting and Indexing
      • Bibliographic Information
      • Archive
    • International Journal of Oncology
      • International Journal of Oncology
      • Information for Authors
      • Editorial Policies
      • Editorial Board
      • Aims and Scope
      • Abstracting and Indexing
      • Bibliographic Information
      • Archive
    • Molecular and Clinical Oncology
      • Molecular and Clinical Oncology
      • Information for Authors
      • Editorial Policies
      • Editorial Board
      • Aims and Scope
      • Abstracting and Indexing
      • Bibliographic Information
      • Archive
    • Experimental and Therapeutic Medicine
      • Experimental and Therapeutic Medicine
      • Information for Authors
      • Editorial Policies
      • Editorial Board
      • Aims and Scope
      • Abstracting and Indexing
      • Bibliographic Information
      • Archive
    • International Journal of Molecular Medicine
      • International Journal of Molecular Medicine
      • Information for Authors
      • Editorial Policies
      • Editorial Board
      • Aims and Scope
      • Abstracting and Indexing
      • Bibliographic Information
      • Archive
    • Biomedical Reports
      • Biomedical Reports
      • Information for Authors
      • Editorial Policies
      • Editorial Board
      • Aims and Scope
      • Abstracting and Indexing
      • Bibliographic Information
      • Archive
    • Oncology Reports
      • Oncology Reports
      • Information for Authors
      • Editorial Policies
      • Editorial Board
      • Aims and Scope
      • Abstracting and Indexing
      • Bibliographic Information
      • Archive
    • Molecular Medicine Reports
      • Molecular Medicine Reports
      • Information for Authors
      • Editorial Policies
      • Editorial Board
      • Aims and Scope
      • Abstracting and Indexing
      • Bibliographic Information
      • Archive
    • World Academy of Sciences Journal
      • World Academy of Sciences Journal
      • Information for Authors
      • Editorial Policies
      • Editorial Board
      • Aims and Scope
      • Abstracting and Indexing
      • Bibliographic Information
      • Archive
    • International Journal of Functional Nutrition
      • International Journal of Functional Nutrition
      • Information for Authors
      • Editorial Policies
      • Editorial Board
      • Aims and Scope
      • Abstracting and Indexing
      • Bibliographic Information
      • Archive
    • International Journal of Epigenetics
      • International Journal of Epigenetics
      • Information for Authors
      • Editorial Policies
      • Editorial Board
      • Aims and Scope
      • Abstracting and Indexing
      • Bibliographic Information
      • Archive
    • Medicine International
      • Medicine International
      • Information for Authors
      • Editorial Policies
      • Editorial Board
      • Aims and Scope
      • Abstracting and Indexing
      • Bibliographic Information
      • Archive
  • Articles
  • Information
    • Information for Authors
    • Information for Reviewers
    • Information for Librarians
    • Information for Advertisers
    • Conferences
  • Language Editing
Spandidos Publications Logo
  • About
    • About Spandidos
    • Aims and Scopes
    • Abstracting and Indexing
    • Editorial Policies
    • Reprints and Permissions
    • Job Opportunities
    • Terms and Conditions
    • Contact
  • Journals
    • All Journals
    • Biomedical Reports
      • Information for Authors
      • Editorial Policies
      • Editorial Board
      • Aims and Scope
      • Abstracting and Indexing
      • Bibliographic Information
      • Archive
    • Experimental and Therapeutic Medicine
      • Information for Authors
      • Editorial Policies
      • Editorial Board
      • Aims and Scope
      • Abstracting and Indexing
      • Bibliographic Information
      • Archive
    • International Journal of Epigenetics
      • Information for Authors
      • Editorial Policies
      • Editorial Board
      • Aims and Scope
      • Abstracting and Indexing
      • Bibliographic Information
      • Archive
    • International Journal of Functional Nutrition
      • Information for Authors
      • Editorial Policies
      • Editorial Board
      • Aims and Scope
      • Abstracting and Indexing
      • Bibliographic Information
      • Archive
    • International Journal of Molecular Medicine
      • Information for Authors
      • Editorial Policies
      • Editorial Board
      • Aims and Scope
      • Abstracting and Indexing
      • Bibliographic Information
      • Archive
    • International Journal of Oncology
      • Information for Authors
      • Editorial Policies
      • Editorial Board
      • Aims and Scope
      • Abstracting and Indexing
      • Bibliographic Information
      • Archive
    • Medicine International
      • Information for Authors
      • Editorial Policies
      • Editorial Board
      • Aims and Scope
      • Abstracting and Indexing
      • Bibliographic Information
      • Archive
    • Molecular and Clinical Oncology
      • Information for Authors
      • Editorial Policies
      • Editorial Board
      • Aims and Scope
      • Abstracting and Indexing
      • Bibliographic Information
      • Archive
    • Molecular Medicine Reports
      • Information for Authors
      • Editorial Policies
      • Editorial Board
      • Aims and Scope
      • Abstracting and Indexing
      • Bibliographic Information
      • Archive
    • Oncology Letters
      • Information for Authors
      • Editorial Policies
      • Editorial Board
      • Aims and Scope
      • Abstracting and Indexing
      • Bibliographic Information
      • Archive
    • Oncology Reports
      • Information for Authors
      • Editorial Policies
      • Editorial Board
      • Aims and Scope
      • Abstracting and Indexing
      • Bibliographic Information
      • Archive
    • World Academy of Sciences Journal
      • Information for Authors
      • Editorial Policies
      • Editorial Board
      • Aims and Scope
      • Abstracting and Indexing
      • Bibliographic Information
      • Archive
  • Articles
  • Information
    • For Authors
    • For Reviewers
    • For Librarians
    • For Advertisers
    • Conferences
  • Language Editing
Login Register Submit
  • This site uses cookies
  • You can change your cookie settings at any time by following the instructions in our Cookie Policy. To find out more, you may read our Privacy Policy.

    I agree
Search articles by DOI, keyword, author or affiliation
Search
Advanced Search
presentation
Oncology Letters
Join Editorial Board Propose a Special Issue
Print ISSN: 1792-1074 Online ISSN: 1792-1082
Journal Cover
September-2015 Volume 10 Issue 3

Full Size Image

Sign up for eToc alerts
Recommend to Library

Journals

International Journal of Molecular Medicine

International Journal of Molecular Medicine

International Journal of Molecular Medicine is an international journal devoted to molecular mechanisms of human disease.

International Journal of Oncology

International Journal of Oncology

International Journal of Oncology is an international journal devoted to oncology research and cancer treatment.

Molecular Medicine Reports

Molecular Medicine Reports

Covers molecular medicine topics such as pharmacology, pathology, genetics, neuroscience, infectious diseases, molecular cardiology, and molecular surgery.

Oncology Reports

Oncology Reports

Oncology Reports is an international journal devoted to fundamental and applied research in Oncology.

Experimental and Therapeutic Medicine

Experimental and Therapeutic Medicine

Experimental and Therapeutic Medicine is an international journal devoted to laboratory and clinical medicine.

Oncology Letters

Oncology Letters

Oncology Letters is an international journal devoted to Experimental and Clinical Oncology.

Biomedical Reports

Biomedical Reports

Explores a wide range of biological and medical fields, including pharmacology, genetics, microbiology, neuroscience, and molecular cardiology.

Molecular and Clinical Oncology

Molecular and Clinical Oncology

International journal addressing all aspects of oncology research, from tumorigenesis and oncogenes to chemotherapy and metastasis.

World Academy of Sciences Journal

World Academy of Sciences Journal

Multidisciplinary open-access journal spanning biochemistry, genetics, neuroscience, environmental health, and synthetic biology.

International Journal of Functional Nutrition

International Journal of Functional Nutrition

Open-access journal combining biochemistry, pharmacology, immunology, and genetics to advance health through functional nutrition.

International Journal of Epigenetics

International Journal of Epigenetics

Publishes open-access research on using epigenetics to advance understanding and treatment of human disease.

Medicine International

Medicine International

An International Open Access Journal Devoted to General Medicine.

Journal Cover
September-2015 Volume 10 Issue 3

Full Size Image

Sign up for eToc alerts
Recommend to Library

  • Article
  • Citations
    • Cite This Article
    • Download Citation
    • Create Citation Alert
    • Remove Citation Alert
    • Cited By
  • Similar Articles
    • Related Articles (in Spandidos Publications)
    • Similar Articles (Google Scholar)
    • Similar Articles (PubMed)
  • Download PDF
  • Download XML
  • View XML
Article

Expression of p16 protein in infantile hemangioma

  • Authors:
    • Shi Wang
    • Wei Zheng
  • View Affiliations / Copyright

    Affiliations: Department of Stomatology, The Third Central Hospital, Tianjin 300170, P.R. China, Department of Orthodontics, Tianjin Stomatological Hospital, Nankai University, Tianjin 300041, P.R. China
  • Pages: 1589-1592
    |
    Published online on: June 24, 2015
       https://doi.org/10.3892/ol.2015.3418
  • Expand metrics +
Metrics: Total Views: 0 (Spandidos Publications: | PMC Statistics: )
Metrics: Total PDF Downloads: 0 (Spandidos Publications: | PMC Statistics: )
Cited By (CrossRef): 0 citations Loading Articles...

This article is mentioned in:



Abstract

The present study aimed to investigate the expression and significance of p16 in the occurrence, development and regression of infantile hemangioma (IH). The expression of p16 was examined in proliferating, involuting hemangioma and normal tissues using immunohistochemical techniques. The expression of p16 was significantly lower in proliferating hemangioma than in involuting hemangioma, and was significantly lower in the involuting hemangioma than in normal tissues. Significant differences were found between the three groups (P<0.05). The results indicate that p16 may be important in the regression of IH endothelial cells and in anti‑angiogenesis. There is a certain association between p16 expression and the regression of hemangioma. This provides a theoretical basis for the further study of the pathological mechanisms of p16 in hemangioma and potential gene therapies that may treat this disease.

Introduction

Infantile hemangioma (IH) is the most common soft-tissue tumor of infancy. It is benign tumor with an incidence of up to 10%. IH is typically not present at birth, however, it may arise following rapid proliferation within the first weeks of life. This is followed by a plateau stage, and a subsequent slow involution of the lesion, such that 60% of 4-year-olds and 76% of 7-year-olds with the condition will experience complete regression of the hemangioma. Characterized by a proliferation of endothelial cells, the pathogenesis of hemangioma is currently unclear (1,2). In recent years, the development of advanced molecular and cellular biology technologies has led to more in depth research on the cell cycle and its regulation mechanisms. Tumor suppressor genes, with their unique structures, biological activity and essential roles in the cell cycle, have accordingly become an important area of investigation.

Tumor suppressor genes, also known as anti-oncogenes, are present in normal cells and inhibit cell transformation and tumor occurrence (3,4). p16 is a tumor suppressor gene that is able to block the G1 to S phase transition of the cell cycle, thereby inhibiting cell proliferation; in certain tumors, abnormal expression of this gene and protein may also promote the apoptosis of tumor cells. Aberrant p16 underexpression may cause cell proliferation and lead to cancer, the mechanism of which has been confirmed through research conducted in numerous tumor types; p16 inactivation most commonly occurs as a result of gene mutation or 5′CpG island methylation (5). The p16 gene and its protein have been found to be altered in the majority of human primary tumors, including melanoma, head and neck cancers, glioma and gastric cancer (6,7). However, the expression of p16 protein in IH has not been reported.

The purpose of the present study was to detect p16 protein expression by immunohistochemical methods in hemangioma and normal tissues, and to investigate the mechanism and significance of the protein in the occurrence, development and regression of hemangioma, in order to provide novel insights into the clinical treatment of hemangioma.

Materials and methods

Patients

Between January 2001 and June 2006, a total of 80 patients with IH, who had undergone surgery and were pathologically diagnosed with hemangioma at Stomatological Hospital of Jiamusi University (Jiamusi, China), were enrolled in this study. Paraffin-embedded hemangioma tissue blocks and clinical data were obtained for 38 males and 42 females, who were of a minimum age of 2 months and a maximum age of 4 years. The hemangiomas were located on the scalp, forehead, eyelids, neck, back, arms, legs, hands or feet. The patients underwent no auxiliary treatment. Paraffin blocks were cut into 4-µm thick sections, which were each cut into two pieces, for the detection of p16 protein and hematoxylin and eosin (HE) staining. After HE staining, the paraffin blocks were grouped, according to the Mulliken classification standard (8), into 40 cases of proliferating hemangioma and 40 cases of involuting hemangioma, with tumor-adjacent normal tissues in 26 cases used as controls. The study was approved by the Ethics Committee of the Stomatological Hospital of Jiamusi University. Written informed consent was obtained from the patient's families.

Immunohistochemistry

The 4-µm sections were deparaffinized in xylene followed by hydration in a graded series of alcohols. Antigen retrieval was performed by immersing the section in 0.5 M citrate buffer (pH 6) at room temperature, and placing it into a microwave oven for 20 min. Endogenous peroxidase activity was blocked by incubation in 3% H2O2 for 20 min at room temperature. Subsequent to being rinsed in Tris-buffered saline (TBS; pH 7.4), the sections were incubated with primary rabbit anti-p16INK4a monoclonal antibody (Wuhan Boster Biological Technology Ltd., Wuhan, China; dilution, 1:2 in TBS) at 4°C overnight. In the negative control, the primary antibody was replaced with phosphate-buffered saline. Subsequent to being washed with TBS three times for 5 min each, the sections were incubated with a biotin-labeled goat anti-rabbit IgG secondary antibody (Wuhan Boster Biological Technology Ltd.). The sections were counterstained with 3–3′-diaminobenzidine (Wuhan Boster Biological Technology Ltd.) followed by hematoxylin. The slides were washed under running water and mounted with DPX. The protein expression was then scored as follows: negative (−), <25% positive cells; weak (+), 25–50% positive cells; strong (++), >50–75% positive cells; and very strong (+++), >75% positive cells.

Statistical analysis

The data are expressed as number of cases and percentage. Categorical data was analyzed using the χ2 test. SPSS 15.0 software (SPSS Inc., Chicago, IL, USA) was used for all data analyses. P<0.05 was considered to indicate a statistically significant difference.

Results

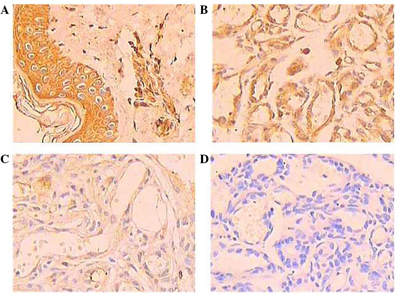
Upon immunohistochemical staining, the positive expression of p16 protein was shown as brown-yellow granules, mainly in the cytoplasm and partially in the nucleus. The normal tissue cells exhibited a large number of brown-yellow granules, indicating that the expression of p16 protein was very strong (Fig. 1A), with a positive rate of 84.62%. The expression level of p16 protein was different in the different types of hemangioma. In the involuting hemangioma, numerous brown granules were deposited in the endothelial cell, indicating that the expression of p16 protein was strong (Fig. 1B), with a positive rate of 52.5%. In the proliferating hemangioma, less brown granules were deposited in the endothelial cells, indicating that the expression of p16 protein was weak (Fig. 1C), with a positive rate of 22.5%. The expression level of p16 protein in the proliferating hemangioma was lower than that in the involuting hemangioma. The expression level of p16 protein in the involuting hemangioma was lower than that in normal tissue. These differences were statistically significant (P<0.05) (Table I).

Figure 1.

Immunohistochemical analysis. (A) Very strong expression of p16 protein in the normal tissue cells. (B) Strong expression of p16 protein in the involuting hemangioma. (C) Weak expression of p16 protein in the proliferating hemangioma. (D) Negative control where the primary p16 was replaced by phosphate-buffered saline. Magnification, x200.

Table I.

p16 expression in normal tissue, involuting hemangioma tissue and proliferating hemangioma tissue.

Table I.

p16 expression in normal tissue, involuting hemangioma tissue and proliferating hemangioma tissue.

p16 expression, n

Groupsn–++++++Positive rate, %P-value
Normal tissue26  4241684.620.001a
Involuting hemangioma4019471052.500.018b
Proliferating hemangioma403152  222.500.016c

a Proliferating hemangioma vs. normal tissue

b Involuting hemangioma vs. normal tissue

c Proliferating hemangioma vs. involuting hemangioma.

Discussion

Molecular studies have shown that tumor development is closely associated with the cell cycle. Normal cells possess a dynamic balance between proliferation and the inhibition of proliferation, so as to ensure the normal growth of the organism. When this balance is broken, the components for promoting proliferation cause overexpression or the components for inhibiting proliferation cause underexpression; with this, cell proliferation becomes uncontrolled and tumors form. p16 is a tumor suppressor gene, located in chromosomal region 9p21, with a total length of 8.5 kb and containing 3 exons and 2 introns. The p16 protein is encoded by a single polypeptide chain of 15.84 kDa, containing 148 amino acid residues, and is involved in the regulation of cell growth. The p16 protein is a cyclin dependent kinase (CDK)4/CDK6 inhibitor, and CDK4/CDK6 is the key factor for the G1/S phase transition in the cell cycle. p16 protein is specifically combined with CDK4/CDK6, and its inactivation prevents the phosphorylation of Rb protein, which means that the Rb gene cannot relieve the inhibition of transcription factors, thereby preventing the cells from passing from the G1 phase to the S phase. This therefore inhibits cell proliferation, making p16 a key negative regulatory factor in the process of cell proliferation (9–11). The p16 gene and its protein are altered in the majority of human primary tumors, including gliomas, melanoma, head and neck cancer and gastric cancer (12–14).

Inactivation (deletion or mutation) and 5′ CpG island methylation are the main forms of change for the p16 protein. Kamb et al (15) analyzed 290 tumor cell lines and found that 133 of these cell lines, including lung cancer and leukemia cell lines, showed deletion of the p16 gene; the gene deletion rate was 25% in glioma and the mutation rate was 85%. In breast cancer, and cancer of the head and neck, the mutation rates were 60 and 30%, respectively. p16 gene deletion, mutation or hypermethylation cause cells to undergo uncontrolled proliferation, and are thus some of the major factors in the occurrence and development of tumors (7,15).

Hemangioma is a benign tumor with endothelial cell hyperplasia; the condition occurs in infants, with a pathogenesis that is unknown. The current view is that endothelial cell hyperplasia, the aggregation process and microvessel lumen formation are the core of vascular tumor growth. A previous study revealed that endothelial cells in the proliferative phase were in an immature state and had strong proliferative capability (16).

The expression of p16 protein in IH was detected by immunohistochemistry in the present study. The experimental results showed that the expression level of p16 protein in the proliferating hemangioma was lower than that in the involuting hemangioma, with a significant difference (P<0.05), and that the expression level of p16 protein in the involuting hemangioma was lower than that in the normal tissue, with a significant difference (P<0.05). Based on the results of the present study, it is hypothesized that the p16 protein is present at a low level of expression in proliferating hemangioma and is only partially expressed by endothelial cells; it therefore cannot inhibit the hemangioma endothelial cell CDK4/CDK6 activity, and is unable to prevent the cell from entering the G1 phase to S phase transition. Thus, cell proliferation becomes uncontrolled, leading to the excessive proliferation of the endothelial cells, accelerating hemangioma proliferation. In the period of hemangioma regression, the expression of p16 protein is increased, thus inhibiting the hemangioma endothelial cell CDK4/CDK6 activity, leading to cell cycle arrest, the inhibition of the proliferation of the hemangioma endothelial cells, and promoting the involution of IH.

Hemangioma is a type of angiogenic disease (17). The results of the present study indicate that endothelial cell proliferation and angiogenesis are not the result of a single factor; each process may be a result of the participation of multiple genes and factors. The p16 protein was the first protein molecule identified to have tumor suppressor functions (9). Due to the high frequency of deletion and mutation in numerous primary tumors, restoring normal function of the p16 gene in tumor cells is a potential method of inhibiting tumor cell proliferation. The p16 gene has the following features: cDNA molecules are small and easy to manipulate; the p16 protein is also able to specifically inhibit CDK4/CDK6 so, as an antitumor drug, it has a specific target; in comparison to other genes the mutation rate is high, and mutations are observed in numerous primary tumors (18). Therefore, the p16 gene may become an important candidate gene for gene therapy. By increasing the p16 protein level of a patient, it may be possible to prevent the proliferation of hemangioma endothelial cells.

From the results of the present study, we speculated that the p16 protein plays a role in inhibiting the proliferation of hemangioma endothelial cells and in anti-angiogenesis. There is a certain association between p16 and the regression of hemangioma. This provides a theoretical basis for the further study of the pathological mechanisms of p16 in hemangioma and potential gene therapies that may treat this disease.

References

1 

Sans V, Dumas de la Roque ED, Berge J, Grenier N, Boralevi F, Mazereeuw-Hautier J, Lipsker D, Dupuis E, Ezzedine K, Vergnes P, et al: Propanolol for severe infantile hemangiomas: Follow-up report. Pediatrics. 124:e423–e431. 2009. View Article : Google Scholar : PubMed/NCBI

2 

Chen TS, Eichenfield LF and Friedlander SF: Infantile hemangiomas: An update on pathogenesis and therapy. Pediatrics. 131:99–108. 2013. View Article : Google Scholar : PubMed/NCBI

3 

Yang B, House MG, Guo M, Herman JG and Clark DP: Promoter methylation profiles of tumor suppressor genes in intrahepatic and extrahepatic cholangiocarcinoma. Mod Pathol. 18:412–420. 2005. View Article : Google Scholar : PubMed/NCBI

4 

Ekholm SV and Reed SI: Regulation of G(1) cyclin-dependent kinases in the mammalian cell cycle. Curr Opin Cell Biol. 12:676–684. 2000. View Article : Google Scholar : PubMed/NCBI

5 

Li J, Poi MJ and Tsai MD: Regulatory mechanisms of tumor suppressor P16(INK4A) and their relevance to cancer. Biochemistry. 50:5566–5582. 2011. View Article : Google Scholar : PubMed/NCBI

6 

Bachmann IM, Straume O and Akslen LA: Altered expression of cell cycle regulators Cyclin D1, p14, p16, CDK4 and Rb in nodular melanomas. Int J Oncol. 25:1559–1565. 2004.PubMed/NCBI

7 

Witkiewicz AK, Knudsen KE, Dicker AP and Knudsen ES: The meaning of p16(ink4a) expression in tumors: Functional significance, clinical associations and future developments. Cell Cycle. 10:2497–2503. 2011. View Article : Google Scholar : PubMed/NCBI

8 

Mulliken JB and Glowacki J: Hemangiomas and vascular malformations in infants and children: A classification based on endothelial characteristics. Plast Reconstr Surg. 69:412–422. 1982. View Article : Google Scholar : PubMed/NCBI

9 

Serrano M, Hannon GJ and Beach D: A new regulatory motif in cell-cycle control causing specific inhibition of cyclin D/CDK4. Nature. 366:704–707. 1993. View Article : Google Scholar : PubMed/NCBI

10 

Li W, Sanki A, Karim RZ, Thompson JF, Soon Lee C, Zhuang L, McCarthy SW and Scolyer RA: The role of cell cycle regulatory proteins in the pathogenesis of melanoma. Pathology. 38:287–301. 2006. View Article : Google Scholar : PubMed/NCBI

11 

Khoo CM, Carrasco DR, Bosenberg MW, Paik JH and Depinho RA: Ink4a/Arf tumor suppressor does not modulate the degenerative conditions or tumor spectrum of the telomerase-deficient mouse. Proc Natl Acad Sci U S A. 104:3931–3936. 2007. View Article : Google Scholar : PubMed/NCBI

12 

Horbinski C, Nikiforova MN, Hagenkord JM, Hamilton RL and Pollack IF: Interplay among BRAF, p16, p53, and MIB1 in pediatric low-grade gliomas. Neuro Oncol. 14:777–789. 2012. View Article : Google Scholar : PubMed/NCBI

13 

de Andrade BA, León JE, Carlos R, Delgado-Azañero W, Mosqueda-Taylor A and de Almeida OP: Immunohistochemical expression of p16, p21, p27 and cyclin D1 in oral nevi and melanoma. Head Neck Pathol. 6:297–304. 2012. View Article : Google Scholar : PubMed/NCBI

14 

Goto T, Mizukami H, Shirahata A, Yokomizo K, Kitamura YH, Sakuraba K, Saito M, Ishibashi K, Kigawa G, Nemoto H, et al: Methylation of the p16 gene is frequently detected in lymphatic-invasive gastric cancer. Anticancer Res. 30:2701–2703. 2010.PubMed/NCBI

15 

Kamb A, Gruis NA, Weaver-Feldhaus J, Liu Q, Harshman K, Tavtigian SV, Stockert E, Day RS III, Johnson BE and Skolnick MH: A cell cycle regulator potentially involved in genesis of many tumor types. Science. 264:436–440. 1994. View Article : Google Scholar : PubMed/NCBI

16 

Lo K, Mihm M and Fay A: Current theories on the pathogenesis of infantile hemangioma. Semin Ophthalmol. 24:172–177. 2009. View Article : Google Scholar : PubMed/NCBI

17 

Phung TL, Hochman M and Mihm MC: Current knowledge of the pathogenesis of infantile hemangiomas. Arch Facial Plast Surg. 7:319–321. 2005. View Article : Google Scholar : PubMed/NCBI

18 

Volgareva G, Zavalishina L, Andreeva Y, Frank G, Krutikova E, Golovina D, Bliev A, Spitkovsky D, Ermilova V and Kisseljov F: Protein p16 as a marker of dysplastic and neoplastic alterations in cervical epithelial cells. BMC Cancer. 4:582004. View Article : Google Scholar : PubMed/NCBI

Related Articles

  • Abstract
  • View
  • Download
  • Twitter
Copy and paste a formatted citation
Spandidos Publications style
Wang S and Zheng W: Expression of p16 protein in infantile hemangioma. Oncol Lett 10: 1589-1592, 2015.
APA
Wang, S., & Zheng, W. (2015). Expression of p16 protein in infantile hemangioma. Oncology Letters, 10, 1589-1592. https://doi.org/10.3892/ol.2015.3418
MLA
Wang, S., Zheng, W."Expression of p16 protein in infantile hemangioma". Oncology Letters 10.3 (2015): 1589-1592.
Chicago
Wang, S., Zheng, W."Expression of p16 protein in infantile hemangioma". Oncology Letters 10, no. 3 (2015): 1589-1592. https://doi.org/10.3892/ol.2015.3418
Copy and paste a formatted citation
x
Spandidos Publications style
Wang S and Zheng W: Expression of p16 protein in infantile hemangioma. Oncol Lett 10: 1589-1592, 2015.
APA
Wang, S., & Zheng, W. (2015). Expression of p16 protein in infantile hemangioma. Oncology Letters, 10, 1589-1592. https://doi.org/10.3892/ol.2015.3418
MLA
Wang, S., Zheng, W."Expression of p16 protein in infantile hemangioma". Oncology Letters 10.3 (2015): 1589-1592.
Chicago
Wang, S., Zheng, W."Expression of p16 protein in infantile hemangioma". Oncology Letters 10, no. 3 (2015): 1589-1592. https://doi.org/10.3892/ol.2015.3418
Follow us
  • Twitter
  • LinkedIn
  • Facebook
About
  • Spandidos Publications
  • Careers
  • Cookie Policy
  • Privacy Policy
How can we help?
  • Help
  • Live Chat
  • Contact
  • Email to our Support Team