Spandidos Publications Logo
  • About
    • About Spandidos
    • Aims and Scopes
    • Abstracting and Indexing
    • Editorial Policies
    • Reprints and Permissions
    • Job Opportunities
    • Terms and Conditions
    • Contact
  • Journals
    • All Journals
    • Oncology Letters
      • Oncology Letters
      • Information for Authors
      • Editorial Policies
      • Editorial Board
      • Aims and Scope
      • Abstracting and Indexing
      • Bibliographic Information
      • Archive
    • International Journal of Oncology
      • International Journal of Oncology
      • Information for Authors
      • Editorial Policies
      • Editorial Board
      • Aims and Scope
      • Abstracting and Indexing
      • Bibliographic Information
      • Archive
    • Molecular and Clinical Oncology
      • Molecular and Clinical Oncology
      • Information for Authors
      • Editorial Policies
      • Editorial Board
      • Aims and Scope
      • Abstracting and Indexing
      • Bibliographic Information
      • Archive
    • Experimental and Therapeutic Medicine
      • Experimental and Therapeutic Medicine
      • Information for Authors
      • Editorial Policies
      • Editorial Board
      • Aims and Scope
      • Abstracting and Indexing
      • Bibliographic Information
      • Archive
    • International Journal of Molecular Medicine
      • International Journal of Molecular Medicine
      • Information for Authors
      • Editorial Policies
      • Editorial Board
      • Aims and Scope
      • Abstracting and Indexing
      • Bibliographic Information
      • Archive
    • Biomedical Reports
      • Biomedical Reports
      • Information for Authors
      • Editorial Policies
      • Editorial Board
      • Aims and Scope
      • Abstracting and Indexing
      • Bibliographic Information
      • Archive
    • Oncology Reports
      • Oncology Reports
      • Information for Authors
      • Editorial Policies
      • Editorial Board
      • Aims and Scope
      • Abstracting and Indexing
      • Bibliographic Information
      • Archive
    • Molecular Medicine Reports
      • Molecular Medicine Reports
      • Information for Authors
      • Editorial Policies
      • Editorial Board
      • Aims and Scope
      • Abstracting and Indexing
      • Bibliographic Information
      • Archive
    • World Academy of Sciences Journal
      • World Academy of Sciences Journal
      • Information for Authors
      • Editorial Policies
      • Editorial Board
      • Aims and Scope
      • Abstracting and Indexing
      • Bibliographic Information
      • Archive
    • International Journal of Functional Nutrition
      • International Journal of Functional Nutrition
      • Information for Authors
      • Editorial Policies
      • Editorial Board
      • Aims and Scope
      • Abstracting and Indexing
      • Bibliographic Information
      • Archive
    • International Journal of Epigenetics
      • International Journal of Epigenetics
      • Information for Authors
      • Editorial Policies
      • Editorial Board
      • Aims and Scope
      • Abstracting and Indexing
      • Bibliographic Information
      • Archive
    • Medicine International
      • Medicine International
      • Information for Authors
      • Editorial Policies
      • Editorial Board
      • Aims and Scope
      • Abstracting and Indexing
      • Bibliographic Information
      • Archive
  • Articles
  • Information
    • Information for Authors
    • Information for Reviewers
    • Information for Librarians
    • Information for Advertisers
    • Conferences
  • Language Editing
Spandidos Publications Logo
  • About
    • About Spandidos
    • Aims and Scopes
    • Abstracting and Indexing
    • Editorial Policies
    • Reprints and Permissions
    • Job Opportunities
    • Terms and Conditions
    • Contact
  • Journals
    • All Journals
    • Biomedical Reports
      • Information for Authors
      • Editorial Policies
      • Editorial Board
      • Aims and Scope
      • Abstracting and Indexing
      • Bibliographic Information
      • Archive
    • Experimental and Therapeutic Medicine
      • Information for Authors
      • Editorial Policies
      • Editorial Board
      • Aims and Scope
      • Abstracting and Indexing
      • Bibliographic Information
      • Archive
    • International Journal of Epigenetics
      • Information for Authors
      • Editorial Policies
      • Editorial Board
      • Aims and Scope
      • Abstracting and Indexing
      • Bibliographic Information
      • Archive
    • International Journal of Functional Nutrition
      • Information for Authors
      • Editorial Policies
      • Editorial Board
      • Aims and Scope
      • Abstracting and Indexing
      • Bibliographic Information
      • Archive
    • International Journal of Molecular Medicine
      • Information for Authors
      • Editorial Policies
      • Editorial Board
      • Aims and Scope
      • Abstracting and Indexing
      • Bibliographic Information
      • Archive
    • International Journal of Oncology
      • Information for Authors
      • Editorial Policies
      • Editorial Board
      • Aims and Scope
      • Abstracting and Indexing
      • Bibliographic Information
      • Archive
    • Medicine International
      • Information for Authors
      • Editorial Policies
      • Editorial Board
      • Aims and Scope
      • Abstracting and Indexing
      • Bibliographic Information
      • Archive
    • Molecular and Clinical Oncology
      • Information for Authors
      • Editorial Policies
      • Editorial Board
      • Aims and Scope
      • Abstracting and Indexing
      • Bibliographic Information
      • Archive
    • Molecular Medicine Reports
      • Information for Authors
      • Editorial Policies
      • Editorial Board
      • Aims and Scope
      • Abstracting and Indexing
      • Bibliographic Information
      • Archive
    • Oncology Letters
      • Information for Authors
      • Editorial Policies
      • Editorial Board
      • Aims and Scope
      • Abstracting and Indexing
      • Bibliographic Information
      • Archive
    • Oncology Reports
      • Information for Authors
      • Editorial Policies
      • Editorial Board
      • Aims and Scope
      • Abstracting and Indexing
      • Bibliographic Information
      • Archive
    • World Academy of Sciences Journal
      • Information for Authors
      • Editorial Policies
      • Editorial Board
      • Aims and Scope
      • Abstracting and Indexing
      • Bibliographic Information
      • Archive
  • Articles
  • Information
    • For Authors
    • For Reviewers
    • For Librarians
    • For Advertisers
    • Conferences
  • Language Editing
Login Register Submit
  • This site uses cookies
  • You can change your cookie settings at any time by following the instructions in our Cookie Policy. To find out more, you may read our Privacy Policy.

    I agree
Search articles by DOI, keyword, author or affiliation
Search
Advanced Search
presentation
Oncology Letters
Join Editorial Board Propose a Special Issue
Print ISSN: 1792-1074 Online ISSN: 1792-1082
Journal Cover
September-2015 Volume 10 Issue 3

Full Size Image

Sign up for eToc alerts
Recommend to Library

Journals

International Journal of Molecular Medicine

International Journal of Molecular Medicine

International Journal of Molecular Medicine is an international journal devoted to molecular mechanisms of human disease.

International Journal of Oncology

International Journal of Oncology

International Journal of Oncology is an international journal devoted to oncology research and cancer treatment.

Molecular Medicine Reports

Molecular Medicine Reports

Covers molecular medicine topics such as pharmacology, pathology, genetics, neuroscience, infectious diseases, molecular cardiology, and molecular surgery.

Oncology Reports

Oncology Reports

Oncology Reports is an international journal devoted to fundamental and applied research in Oncology.

Experimental and Therapeutic Medicine

Experimental and Therapeutic Medicine

Experimental and Therapeutic Medicine is an international journal devoted to laboratory and clinical medicine.

Oncology Letters

Oncology Letters

Oncology Letters is an international journal devoted to Experimental and Clinical Oncology.

Biomedical Reports

Biomedical Reports

Explores a wide range of biological and medical fields, including pharmacology, genetics, microbiology, neuroscience, and molecular cardiology.

Molecular and Clinical Oncology

Molecular and Clinical Oncology

International journal addressing all aspects of oncology research, from tumorigenesis and oncogenes to chemotherapy and metastasis.

World Academy of Sciences Journal

World Academy of Sciences Journal

Multidisciplinary open-access journal spanning biochemistry, genetics, neuroscience, environmental health, and synthetic biology.

International Journal of Functional Nutrition

International Journal of Functional Nutrition

Open-access journal combining biochemistry, pharmacology, immunology, and genetics to advance health through functional nutrition.

International Journal of Epigenetics

International Journal of Epigenetics

Publishes open-access research on using epigenetics to advance understanding and treatment of human disease.

Medicine International

Medicine International

An International Open Access Journal Devoted to General Medicine.

Journal Cover
September-2015 Volume 10 Issue 3

Full Size Image

Sign up for eToc alerts
Recommend to Library

  • Article
  • Citations
    • Cite This Article
    • Download Citation
    • Create Citation Alert
    • Remove Citation Alert
    • Cited By
  • Similar Articles
    • Related Articles (in Spandidos Publications)
    • Similar Articles (Google Scholar)
    • Similar Articles (PubMed)
  • Download PDF
  • Download XML
  • View XML
Case Report

Non-Hodgkin's lymphoma with uncommon clinical manifestations: A case report

  • Authors:
    • Yu‑Long Cai
    • Xian‑Ze Xiong
    • Jiong Lu
    • Yi‑Xin Lin
    • Nan‑Sheng Cheng
  • View Affiliations / Copyright

    Affiliations: Department of Bile Duct Surgery, West China Hospital, Sichuan University, Chengdu, Sichuan 610041, P.R. China
  • Pages: 1686-1688
    |
    Published online on: July 15, 2015
       https://doi.org/10.3892/ol.2015.3493
  • Expand metrics +
Metrics: Total Views: 0 (Spandidos Publications: | PMC Statistics: )
Metrics: Total PDF Downloads: 0 (Spandidos Publications: | PMC Statistics: )
Cited By (CrossRef): 0 citations Loading Articles...

This article is mentioned in:



Abstract

Extranodal lymphoma occurs in ~40% of all patients with lymphoma and has been described in virtually all organs and tissue. However, diffuse large B‑cell lymphoma (DLBCL), which is the most common histological subtype of non‑Hodgkin's lymphoma (NHL), primarily arising in the retroperitoneal region has been rarely reported. Primary retroperitoneal lymphoma without renal or ureteral involvement affecting the genitourinary system has not been reported until now. In this article, we report the rare case of a young female suffering with primary DLBCL located simultaneously in the retroperitoneal and gastrointestinal region. The first sign of this disease was renal colic. Pathological assessment was performed using immunohistochemistry staining, revealing positivity for CD20 and Ki67. DLBCL was the final confirmed diagnosis. Obtaining a definitive histological diagnosis by surgery and using exactly chemotherapy played an essential role in the treatment of our patient. This case serves as a reminder to include the differential diagnosis of primary retroperitoneal NHL when a patient presents with a retroperitoneal mass and the first symptom is renal colic.

Introduction

Extranodal lymphoma occurs in ~40% of all patients with lymphoma and has been described in virtually all organs and tissue (1). Extranodal disease is more common with non-Hodgkin's lymphoma (NHL) (2), and diffuse large B-cell lymphoma (DLBCL) is the most common histological NHL subtype in adults, accounting for ~25% of all NHL cases (3). Thus, it is known that gastrointestinal DLBCL is the most frequent form of extranodal lymphoma (4). However, DLBCL primarily arising in the retroperitoneal region has been rarely reported. The largest series on retroperitoneal DLBCL was published by Pileri et al in 2001 (5). Moreover, to the best of our knowledge, primary retroperitoneal lymphoma without renal and ureteral involvement affecting the genitourinary system has not been reported until now.

Here, we report the extremely rare case of a young female suffering with primary DLBCL located in the retroperitoneal and gastrointestinal region simultaneously. Unusually, the first symptom of this disease was renal colic. Written informed consent was obtained from the patient for inclusion in the present study.

Case report

Case presentation

A 33-year-old female presented with a 2-month history of renal colic and abdominal pain, which became aggravated at night. No fever was noted, but there was hematuria when the pain occurred. The patient's weight remained unchanged. Her family history was not contributory. Surgical history included two Caesarean sections 13 and 9 years prior.

Physical examination revealed an ill-defined mass in the right lower hypogastrium and tenderness in the abdomen, but without abdominal distention. There were no enlarged or palpable lymph nodes. The remaining systemic examination was not significant. The peripheral blood count was unremarkable (hemoglobin 109 g/l, red blood cell count 3.81×1012/l, white blood cell count 3.05×109/l, and platelet count 230×109/l). The peripheral blood smear revealed no immature cells (66.2% neutrophils, 25.6% lymphocytes, 7.2% monocytes, 1.0% eosinophils and 0.0% basophils). Liver and renal functional tests, bilirubin and electrolytes were normal. Serum tumor markers were negative with the exception of CA-125 values of 63.88 U/ml (normal value, <35 U/ml). The remaining laboratory tests were all within the normal limits.

Imaging

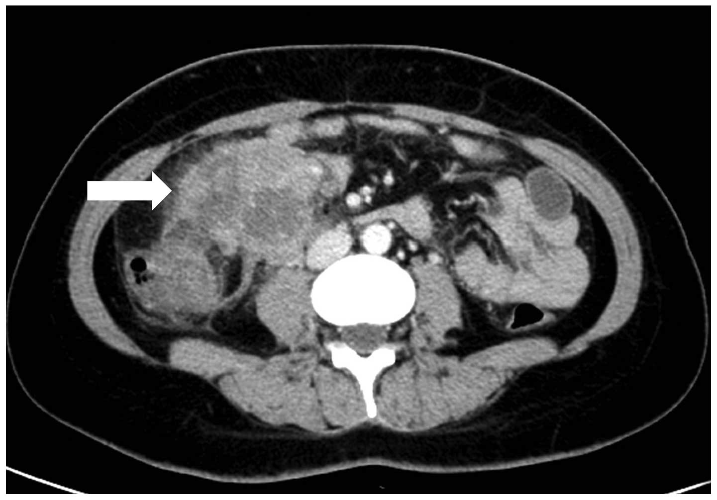
A normal chest X-ray was obtained. An abdominopelvic contrast-enhanced computed tomography (CT) scan (Fig. 1) revealed: i) A bulky soft-tissue dense mass in the middle of the ascending colon and superior to the ileocecum; heterogeneous enhancement following enhanced scan; thickened anterior of the renal fascia of the right kidney and local parietal peritoneum. ii) Multiple renal cysts in both kidneys. The CT scan did not indicate any bowel involvement, distant metastasis or abdominal lymph node enlargement. The abdominal ultrasound did not reveal any coexisting lesion in the hepato-pancreato-biliary system. Single-photon emission computed tomography (SPECT) renal imaging (99mTc-DTPA) revealed that the glomerular filtration rate was slightly decreased and the upper urinary tract had unobstructed drainage in the two kidneys.

Figure 1.

Abdominopelvic contrast-enhanced computed tomography scan revealed a bulky soft-tissue dense mass (white arrow) in the middle of the ascending colon and superior to the ileocecum. Heterogeneous enhancement was noted following the enhanced scan.

Surgical treatment

Since the tumor had no distant involvement and there was no evidence of worsening symptoms (renal colic and abdominal pain), the patient underwent surgical resection. Intra-operative findings were as follows: no ascites were in the abdominal cavity; no dilation of the small and large bowel; the mass was predominantly located in the right mesocolon and retroperitoneal region, and extended to the distal ileum, ascending colon and the beginning of the transverse colon. Intra-operative biopsy and frozen section study indicated malignancy but did not confirm the tumor type. Complete excision was performed, retaining the right kidney and right ureter due to their lack of involvement. Side-to-side anastomosis of the transverse colon and ileum was used. The patient had an uneventful postoperative recovery. She was discharged from the surgical ward and referred to the hematology clinic for additional evaluation and adjuvant chemotherapy.

Pathological evaluation

The tumor consisted of two masses. The first mass (measuring 9×8×7 cm) was located in the retroperitoneal region, and the second (measuring 2.5×2×2 cm) was located in the mucosa of the ileum, involving the submucosa and muscularis layers as well as the serosa. There was no association between the two masses.

Pathological assessment was performed using immunohistochemistry staining, which revealed positivity for CD20 and Ki67) (Fig. 2). DLBCL was the final confirmed diagnosis.

Figure 2.

Pathological assessment: (A) hematoxylin and eosin staining: diffuse infiltration of neoplastic lymphoid cells (magnification, x400); (B) tumor cells immunoreactive for B-cell marker CD20 (magnification, x400); (C) tumor cells expressing a high Ki67 index (magnification, x400).

Follow-up

The patient's general condition remained good and she went on to receive CHOP chemotherapy. After 3 months of follow-up, no postoperative complications were identified.

Discussion

DLBCL is the most common type of lymphoma worldwide (6). However, NHL rarely presents with a retroperitoneal or pelvic mass; during post-mortem studies of NHL patients an incident of less than 1% incidence was noted (7). Due to the uncommon anatomical location, the diagnosis and subsequent management of these patients tend to be difficult. The initial presentation of NHL varies depending on the subtype and involved area, with symptoms including enlarged palpable lymphadenopathy, B-symptoms (fever, weight loss, night sweats), and symptoms secondary to compression of adjacent structures. This is a unique case of retroperitoneal DLBLC, in which the first manifestation was renal colic.

Renal colic mainly occurs in patients with renal or ureteral calculus. Based on the findings of the abdominal CT, abdominal X-ray and SPECT renal imaging, our patient did not suffer with renal or ureteral calculus. Certain studies have reported that the genitourinary system may be affected by retroperitoneal NHL. Domazetovski et al (8) presented a case of acute renal failure in a patient with DLBLC, and Jaeger et al (9) reported DLBLC in a male presenting with ureteral stricture. However, the majority of cases have primary renal lymphoma or renal involvement. Renal colic alone without genitourinary involvement, as observed in our patient, is extremely rare, and could only be confirmed by surgery in our case. When the patient initially presented at our hospital, we considered that malignant retroperitoneal tumors account for ~0.1% of all malignancies (10) and are more common than benign tumors in the retroperitoneal space (11). As the symptom of renal colic was increasing, it was speculated that there was a high possibility of renal involvement. It is known that the most effective treatment is surgical removal of the tumors, with the exception of chemosensitive tumors, and that a definitive diagnosis can usually be made from the surgical specimens (12). Thus, considering the patient's wishes, surgery was performed.

Unexpectedly, the tumors were located not only in the retroperitoneal region, but also in the ileum. The latter was relatively small, therefore no signs or symptoms had been noted. According to our pathological evaluation, there was no association between the two masses. Literature regarding this condition is lacking, thus a reasonable explanation may be the variety of extranodal lymphoma. Moreover, surgery indicated that the tumor did not infiltrate the renal or ureteral areas. Thus, renal colic was determined to have been the result of compression.

Although CT is the diagnostic modality of choice (13), magnetic resonance imaging (MRI) offers superior soft-tissue contrast in comparison with CT. Indeed, a variety of contrast mechanisms have previously been explored for the characterization of lymphoma in the retroperitoneum, including T2-weighted imaging, diffusion-weighted imaging and dynamic contrast-enhanced imaging (14). The absence of MRI is a limitation in our diagnostic process. In the study of Tambo et al (12), a clinicopathological review of 46 primary retroperitoneal tumors identified that MRI imaging diagnosis prior to surgery was compatible with the histological diagnosis in only 26 patients (57%), and all six malignant lymphoma patients underwent biopsy or surgical resection. Therefore, if clinical diagnosis cannot be determined by MRI, definitive histological diagnosis by biopsy or tumor resection is required in order to determine the appropriate treatment.

Currently, CHOP therapy is the treatment of choice for DLBLC patients. Since rituximab is a chimeric anti-CD20 IgG1 monoclonal antibody which is a cell surface protein that occurs almost exclusively in mature B-cells, the combination of rituximab and CHOP is likely become the standard for treating patients with DLBLC (15). The prognosis has improved in recent years owing to the development of various aggressive chemotherapeutic regimens depending on the histological type, stage and age of each patient. Therefore, a definitive histological diagnosis is essential for patients with DLBLC. Our patient did not present with any specific indications for the diagnosis of this rare tumor as the initial manifestation was renal colic. Surgery has a key role in establishing a definitive diagnosis.

Primary retroperitoneal DLBLC has a variable and non-specific presentation and may resemble other neoplastic or inflammatory conditions. Manifestations, laboratory data and imaging alone may initially lead to an incorrect diagnosis. Obtaining a definitive histological diagnosis by surgery and using appropriate chemotherapy played an essential role in the recovery of our patient. This case study indicates the significance of including a differential diagnosis of primary retroperitoneal NHL in patients presenting with a retroperitoneal mass where the first sign of this disease is renal colic.

References

1 

Metser U, Goor O, Lerman H, Naparstek E and Even-Sapir E: PET-CT of extranodal lymphoma. AJR Am J Roentgenol. 182:1579–1586. 2004. View Article : Google Scholar : PubMed/NCBI

2 

Vinnicombe SJ and Reznek RH: Extranodal manifestations of lymphoma. Imaging. 11:240–268. 1999. View Article : Google Scholar

3 

Morton LM, Wang SS, Devesa SS, Hartge P, Weisenburger DD and Linet MS: Lymphoma incidence patterns by WHO subtype in the United States, 1992–2001. Blood. 107:265–276. 2006. View Article : Google Scholar : PubMed/NCBI

4 

d'Amore F, Christensen BE, Brincker H, Pedersen NT, Thorling K, Hastrup J, Pedersen M, Jensen MK, Johansen P, Andersen E, et al: Danish LYFO Study Group: Clinicopathological features and prognostic factors in extranodal non-Hodgkin lymphomas. Eur J Cancer. 27:1201–1208. 1991. View Article : Google Scholar : PubMed/NCBI

5 

Pileri SA, Zinzani PL, Ascani S, Orcioni GF, Gamberi B, Piccioli M, Sabattini E, Poggi S, Piccaluga PP and Falini B: Diffuse large B-cell lymphoma with primary retroperitoneal presentation: Clinico-pathologic study of nine cases. Ann Oncol. 12:1445–1453. 2001. View Article : Google Scholar : PubMed/NCBI

6 

Hunt KE and Reichard KK: Diffuse large B-cell lymphoma. Arch Pathol Lab Med. 132:118–124. 2008.PubMed/NCBI

7 

Fulignati C, Pantaleo P, Cipriani G, Turrini M, Nicastro R, Mazzanti R and Neri B: An uncommon clinical presentation of retroperitoneal non-Hodgkin lymphoma successfully treated with chemotherapy: a case report. World J Gastroenterol. 11:3151–3155. 2005. View Article : Google Scholar : PubMed/NCBI

8 

Domazetovski I, Jovanovic R, Kostadinova-Kunovska S, Duganovska S, Labachevski B, Nikolov I, Ivanovski N, Sikole A and Petrushevska G: Acute renal failure in a patient with diffuse large B-cell lymphoma: case report. Prilozi. 33:231–238. 2012.PubMed/NCBI

9 

Jaeger CD, McAlvany KL, Zingula SN, Kramer SA and Granberg CF: Diffuse large B-cell lymphoma in an adolescent male presenting as ureteral stricture. Case Rep Radiol. 2014:239–345. 2014.

10 

Heslin MJ, Lewis JJ, Nadler E, Newman E, Woodruff JM, Casper ES, Leung D and Brennan MF: Prognostic factors associated with long-term survival for retroperitoneal sarcoma: Implications for management. J Clin Oncol. 15:2832–2839. 1997.PubMed/NCBI

11 

Arlen M and Marcove RC: Retroperitoneal sarcomasSurgical Management of Soft Tissue Sarcomas. W.B. Saunders; Philadelphia, PA: pp. 203–232. 1987

12 

Tambo M, Fujimoto K, Miyake M, Hoshiyama F, Matsushita C and Hirao Y: Clinicopathological review of 46 primary retroperitoneal tumors. Int J Urol. 14:785–788. 2007. View Article : Google Scholar : PubMed/NCBI

13 

Karaosmanoglu D, Karcaaltincaba M, Oguz B, Akata D, Ozmen M and Akhan O: CT findings of lymphoma with peritoneal, omental and mesenteric involvement: peritoneal lymphomatosis. Eur J Radiol. 71:313–317. 2009. View Article : Google Scholar : PubMed/NCBI

14 

Nakayama T, Yoshimitsu K, Irie H, Aibe H, Tajima T, Shinozaki K, Nishie A, Asayama Y, Kakihara D, Matsuura S, et al: Usefulness of the calculated apparent diffusion coefficient value in the differential diagnosis of retroperitoneal masses. J Magn Reson Imaging. 20:735–742. 2004. View Article : Google Scholar : PubMed/NCBI

15 

Feugier P, Van Hoof A, Sebban C, Solal-Celigny P, Bouabdallah R, Fermé C, Christian B, Lepage E, Tilly H, Morschhauser F, et al: Long-term results of the R-CHOP study in the treatment of elderly patients with diffuse large B-cell lymphoma: A study by the Groupe d'Etude des Lymphomes de l'Adulte. J Clin Oncol. 23:4117–4126. 2005. View Article : Google Scholar : PubMed/NCBI

Related Articles

  • Abstract
  • View
  • Download
  • Twitter
Copy and paste a formatted citation
Spandidos Publications style
Cai YL, Xiong XZ, Lu J, Lin YX and Cheng NS: Non-Hodgkin's lymphoma with uncommon clinical manifestations: A case report. Oncol Lett 10: 1686-1688, 2015.
APA
Cai, Y., Xiong, X., Lu, J., Lin, Y., & Cheng, N. (2015). Non-Hodgkin's lymphoma with uncommon clinical manifestations: A case report. Oncology Letters, 10, 1686-1688. https://doi.org/10.3892/ol.2015.3493
MLA
Cai, Y., Xiong, X., Lu, J., Lin, Y., Cheng, N."Non-Hodgkin's lymphoma with uncommon clinical manifestations: A case report". Oncology Letters 10.3 (2015): 1686-1688.
Chicago
Cai, Y., Xiong, X., Lu, J., Lin, Y., Cheng, N."Non-Hodgkin's lymphoma with uncommon clinical manifestations: A case report". Oncology Letters 10, no. 3 (2015): 1686-1688. https://doi.org/10.3892/ol.2015.3493
Copy and paste a formatted citation
x
Spandidos Publications style
Cai YL, Xiong XZ, Lu J, Lin YX and Cheng NS: Non-Hodgkin's lymphoma with uncommon clinical manifestations: A case report. Oncol Lett 10: 1686-1688, 2015.
APA
Cai, Y., Xiong, X., Lu, J., Lin, Y., & Cheng, N. (2015). Non-Hodgkin's lymphoma with uncommon clinical manifestations: A case report. Oncology Letters, 10, 1686-1688. https://doi.org/10.3892/ol.2015.3493
MLA
Cai, Y., Xiong, X., Lu, J., Lin, Y., Cheng, N."Non-Hodgkin's lymphoma with uncommon clinical manifestations: A case report". Oncology Letters 10.3 (2015): 1686-1688.
Chicago
Cai, Y., Xiong, X., Lu, J., Lin, Y., Cheng, N."Non-Hodgkin's lymphoma with uncommon clinical manifestations: A case report". Oncology Letters 10, no. 3 (2015): 1686-1688. https://doi.org/10.3892/ol.2015.3493
Follow us
  • Twitter
  • LinkedIn
  • Facebook
About
  • Spandidos Publications
  • Careers
  • Cookie Policy
  • Privacy Policy
How can we help?
  • Help
  • Live Chat
  • Contact
  • Email to our Support Team