Spandidos Publications Logo
  • About
    • About Spandidos
    • Aims and Scopes
    • Abstracting and Indexing
    • Editorial Policies
    • Reprints and Permissions
    • Job Opportunities
    • Terms and Conditions
    • Contact
  • Journals
    • All Journals
    • Oncology Letters
      • Oncology Letters
      • Information for Authors
      • Editorial Policies
      • Editorial Board
      • Aims and Scope
      • Abstracting and Indexing
      • Bibliographic Information
      • Archive
    • International Journal of Oncology
      • International Journal of Oncology
      • Information for Authors
      • Editorial Policies
      • Editorial Board
      • Aims and Scope
      • Abstracting and Indexing
      • Bibliographic Information
      • Archive
    • Molecular and Clinical Oncology
      • Molecular and Clinical Oncology
      • Information for Authors
      • Editorial Policies
      • Editorial Board
      • Aims and Scope
      • Abstracting and Indexing
      • Bibliographic Information
      • Archive
    • Experimental and Therapeutic Medicine
      • Experimental and Therapeutic Medicine
      • Information for Authors
      • Editorial Policies
      • Editorial Board
      • Aims and Scope
      • Abstracting and Indexing
      • Bibliographic Information
      • Archive
    • International Journal of Molecular Medicine
      • International Journal of Molecular Medicine
      • Information for Authors
      • Editorial Policies
      • Editorial Board
      • Aims and Scope
      • Abstracting and Indexing
      • Bibliographic Information
      • Archive
    • Biomedical Reports
      • Biomedical Reports
      • Information for Authors
      • Editorial Policies
      • Editorial Board
      • Aims and Scope
      • Abstracting and Indexing
      • Bibliographic Information
      • Archive
    • Oncology Reports
      • Oncology Reports
      • Information for Authors
      • Editorial Policies
      • Editorial Board
      • Aims and Scope
      • Abstracting and Indexing
      • Bibliographic Information
      • Archive
    • Molecular Medicine Reports
      • Molecular Medicine Reports
      • Information for Authors
      • Editorial Policies
      • Editorial Board
      • Aims and Scope
      • Abstracting and Indexing
      • Bibliographic Information
      • Archive
    • World Academy of Sciences Journal
      • World Academy of Sciences Journal
      • Information for Authors
      • Editorial Policies
      • Editorial Board
      • Aims and Scope
      • Abstracting and Indexing
      • Bibliographic Information
      • Archive
    • International Journal of Functional Nutrition
      • International Journal of Functional Nutrition
      • Information for Authors
      • Editorial Policies
      • Editorial Board
      • Aims and Scope
      • Abstracting and Indexing
      • Bibliographic Information
      • Archive
    • International Journal of Epigenetics
      • International Journal of Epigenetics
      • Information for Authors
      • Editorial Policies
      • Editorial Board
      • Aims and Scope
      • Abstracting and Indexing
      • Bibliographic Information
      • Archive
    • Medicine International
      • Medicine International
      • Information for Authors
      • Editorial Policies
      • Editorial Board
      • Aims and Scope
      • Abstracting and Indexing
      • Bibliographic Information
      • Archive
  • Articles
  • Information
    • Information for Authors
    • Information for Reviewers
    • Information for Librarians
    • Information for Advertisers
    • Conferences
  • Language Editing
Spandidos Publications Logo
  • About
    • About Spandidos
    • Aims and Scopes
    • Abstracting and Indexing
    • Editorial Policies
    • Reprints and Permissions
    • Job Opportunities
    • Terms and Conditions
    • Contact
  • Journals
    • All Journals
    • Biomedical Reports
      • Information for Authors
      • Editorial Policies
      • Editorial Board
      • Aims and Scope
      • Abstracting and Indexing
      • Bibliographic Information
      • Archive
    • Experimental and Therapeutic Medicine
      • Information for Authors
      • Editorial Policies
      • Editorial Board
      • Aims and Scope
      • Abstracting and Indexing
      • Bibliographic Information
      • Archive
    • International Journal of Epigenetics
      • Information for Authors
      • Editorial Policies
      • Editorial Board
      • Aims and Scope
      • Abstracting and Indexing
      • Bibliographic Information
      • Archive
    • International Journal of Functional Nutrition
      • Information for Authors
      • Editorial Policies
      • Editorial Board
      • Aims and Scope
      • Abstracting and Indexing
      • Bibliographic Information
      • Archive
    • International Journal of Molecular Medicine
      • Information for Authors
      • Editorial Policies
      • Editorial Board
      • Aims and Scope
      • Abstracting and Indexing
      • Bibliographic Information
      • Archive
    • International Journal of Oncology
      • Information for Authors
      • Editorial Policies
      • Editorial Board
      • Aims and Scope
      • Abstracting and Indexing
      • Bibliographic Information
      • Archive
    • Medicine International
      • Information for Authors
      • Editorial Policies
      • Editorial Board
      • Aims and Scope
      • Abstracting and Indexing
      • Bibliographic Information
      • Archive
    • Molecular and Clinical Oncology
      • Information for Authors
      • Editorial Policies
      • Editorial Board
      • Aims and Scope
      • Abstracting and Indexing
      • Bibliographic Information
      • Archive
    • Molecular Medicine Reports
      • Information for Authors
      • Editorial Policies
      • Editorial Board
      • Aims and Scope
      • Abstracting and Indexing
      • Bibliographic Information
      • Archive
    • Oncology Letters
      • Information for Authors
      • Editorial Policies
      • Editorial Board
      • Aims and Scope
      • Abstracting and Indexing
      • Bibliographic Information
      • Archive
    • Oncology Reports
      • Information for Authors
      • Editorial Policies
      • Editorial Board
      • Aims and Scope
      • Abstracting and Indexing
      • Bibliographic Information
      • Archive
    • World Academy of Sciences Journal
      • Information for Authors
      • Editorial Policies
      • Editorial Board
      • Aims and Scope
      • Abstracting and Indexing
      • Bibliographic Information
      • Archive
  • Articles
  • Information
    • For Authors
    • For Reviewers
    • For Librarians
    • For Advertisers
    • Conferences
  • Language Editing
Login Register Submit
  • This site uses cookies
  • You can change your cookie settings at any time by following the instructions in our Cookie Policy. To find out more, you may read our Privacy Policy.

    I agree
Search articles by DOI, keyword, author or affiliation
Search
Advanced Search
presentation
Oncology Letters
Join Editorial Board Propose a Special Issue
Print ISSN: 1792-1074 Online ISSN: 1792-1082
Journal Cover
January-2016 Volume 11 Issue 1

Full Size Image

Sign up for eToc alerts
Recommend to Library

Journals

International Journal of Molecular Medicine

International Journal of Molecular Medicine

International Journal of Molecular Medicine is an international journal devoted to molecular mechanisms of human disease.

International Journal of Oncology

International Journal of Oncology

International Journal of Oncology is an international journal devoted to oncology research and cancer treatment.

Molecular Medicine Reports

Molecular Medicine Reports

Covers molecular medicine topics such as pharmacology, pathology, genetics, neuroscience, infectious diseases, molecular cardiology, and molecular surgery.

Oncology Reports

Oncology Reports

Oncology Reports is an international journal devoted to fundamental and applied research in Oncology.

Experimental and Therapeutic Medicine

Experimental and Therapeutic Medicine

Experimental and Therapeutic Medicine is an international journal devoted to laboratory and clinical medicine.

Oncology Letters

Oncology Letters

Oncology Letters is an international journal devoted to Experimental and Clinical Oncology.

Biomedical Reports

Biomedical Reports

Explores a wide range of biological and medical fields, including pharmacology, genetics, microbiology, neuroscience, and molecular cardiology.

Molecular and Clinical Oncology

Molecular and Clinical Oncology

International journal addressing all aspects of oncology research, from tumorigenesis and oncogenes to chemotherapy and metastasis.

World Academy of Sciences Journal

World Academy of Sciences Journal

Multidisciplinary open-access journal spanning biochemistry, genetics, neuroscience, environmental health, and synthetic biology.

International Journal of Functional Nutrition

International Journal of Functional Nutrition

Open-access journal combining biochemistry, pharmacology, immunology, and genetics to advance health through functional nutrition.

International Journal of Epigenetics

International Journal of Epigenetics

Publishes open-access research on using epigenetics to advance understanding and treatment of human disease.

Medicine International

Medicine International

An International Open Access Journal Devoted to General Medicine.

Journal Cover
January-2016 Volume 11 Issue 1

Full Size Image

Sign up for eToc alerts
Recommend to Library

  • Article
  • Citations
    • Cite This Article
    • Download Citation
    • Create Citation Alert
    • Remove Citation Alert
    • Cited By
  • Similar Articles
    • Related Articles (in Spandidos Publications)
    • Similar Articles (Google Scholar)
    • Similar Articles (PubMed)
  • Download PDF
  • Download XML
  • View XML
Article Open Access

CT pelvimetry and clinicopathological parameters in evaluation of the technical difficulties in performing open rectal surgery for mid-low rectal cancer

  • Authors:
    • Xiao‑Cong Zhou
    • Meng Su
    • Ke‑Qiong Hu
    • Yin‑Fa Su
    • Ying‑Hai Ye
    • Chong‑Quan Huang
    • Zhen‑Lei Yu
    • Xiao‑Yang Li
    • Hong Zhou
    • Yao‑Zhong Ni
    • Yi Jiang
    • Zheng Lou
  • View Affiliations / Copyright

    Affiliations: Department of Surgery, The Dingli Clinical Institute of Wenzhou Medical University (Wenzhou Central Hospital), Wenzhou, Zhejiang 325000, P.R. China, Department of Radio‑Chemotherapy Oncology, The First Affiliated Hospital of Wenzhou Medical University, Wenzhou, Zhejiang 325000, P.R. China, Department of Clinical Pharmacy, The Dingli Clinical Institute of Wenzhou Medical University (Wenzhou Central Hospital), Wenzhou, Zhejiang 325000, P.R. China, Department of Radiology, The Dingli Clinical Institute of Wenzhou Medical University (Wenzhou Central Hospital), Wenzhou, Zhejiang 325000, P.R. China, Department of Pathology, The Dingli Clinical Institute of Wenzhou Medical University (Wenzhou Central Hospital), Wenzhou, Zhejiang 325000, P.R. China, Department of Colorectal Surgery, Changhai Hospital, Shanghai 200433, P.R. China
    Copyright: © Zhou et al. This is an open access article distributed under the terms of Creative Commons Attribution License.
  • Pages: 31-38
    |
    Published online on: October 26, 2015
       https://doi.org/10.3892/ol.2015.3827
  • Expand metrics +
Metrics: Total Views: 0 (Spandidos Publications: | PMC Statistics: )
Metrics: Total PDF Downloads: 0 (Spandidos Publications: | PMC Statistics: )
Cited By (CrossRef): 0 citations Loading Articles...

This article is mentioned in:



Abstract

The present study aimed to evaluate the predictive value of pelvic anatomical and clinicopathological parameters for use in the estimation of the likely technical difficulties that may be encountered when performing open rectal surgery for mid‑low rectal cancer. Sixty consecutive patients, undergoing open rectal surgery for mid‑low rectal cancer were recruited between June 2009 and April 2014. All of the surgical procedures conducted, were low anterior resection (LAR) or abdominoperineal resection (APR). The operations were performed by the same surgeon and surgical team. Pelvic dimensions and angles were measured using three‑dimensional reconstruction of spiral computerized tomography (CT) images. Operative time and intraoperative blood loss were used as indicators of operative difficulty. The independent variables were pelvic anatomical and clinicopathological parameters, and the dependent variables were operative time and intraoperative blood loss. Univariate and multivariate analyses were performed in order to determine the predictive significance of these variables. The pelvis width was significantly wider in females than in males (P<0.05), while the sacrococcygeal bending degree was significantly greater in males than in females (P<0.05). No significant difference were detected between the pelvis depth of females and males (P>0.05). Multivariate analyses showed that body mass index (BMI), tumor height, lymph node metastasis, anteroposterior diameter of the pelvic inlet, anteroposterior diameter of the pelvic outlet, height of the pubic symphysis, the sacrococcygeal distance, sacrococcygeal‑pubic angle and diameter of the upper pubis to the coccyx were the main factors affecting the operative time (all P<0.05), while the maximum diameter of the tumor was the primary factor affecting intraoperative blood loss (P<0.05). Between the two procedures, the clinicopathological parameters appeared to be more valuable for predicting difficulty in LAR, in which operative time was associated with tumor height and tumor staging (RC2=0.312; P<0.001). By contrast, the pelvic anatomical parameters appeared to be more valuable predictors of variation in APR, in which intraoperative blood loss was associated with the anteroposterior diameter of the mid‑pelvis, the anteroposterior diameter of the pelvic outlet, the interspinous diameter, the depth of the sacral curvature and the sacropubic distance (RC2=0.608; P=0.002). BMI, tumor height and the maximum diameter of the tumor may be used to predict the operative difficulty in performing open rectal surgery for mid‑low rectal cancer. In addition to the associated clinicopathological parameters, wider, shallower and less curved pelvises may make the greatest contribution to reducing operative time and intraoperative blood loss. Operative difficulty is likely to be increased in deeper and narrower pelvises, or in those with greater sacrococcygeal curvature.

Introduction

Rectal cancer is one of the commonest causes of cancer-related mortality worldwide, and its incidence is increasing year-on-year. Surgery remains the mainstay of treatment for rectal cancer. The aims of surgery for rectal cancer are to achieve cure and to avoid locoregional recurrence (1). The principle of total mesorectal excision (TME) has been widely applied, which has significantly reduced the local recurrence rate for rectal cancer (1,2). However, the success of TME for the treatment of rectal cancer is influenced by the surgeon's experience, in addition to patient anatomical and clinical factors (3–5). The patient's pelvic anatomical factors are important, as TME is performed in the narrow and funnel-shaped pelvic cavity, which makes access and visualization in the deep pelvis, difficult. It is challenging to maintain a clear surgical field, to recognize precise anatomy, and to accurately perform rectal mobilization and excision (6).

Surgeons are aware that the female pelvis is, in general, more accessible than the male pelvis when conducting open rectal surgery for mid-low rectal cancer. In general, female pelvises are wider and shallower than male pelvises. However, there is considerable variation and overlap between the sexes (7). At present, there is no consensus on how pelvic diameter and angle influence the technical difficulty of performing open rectal surgery for mid-low rectal cancer. In the present study, operative time and intraoperative blood loss were selected as indicators of operative difficulty, as they have been objectively validated as such in the literature (6,8,9).

The aim of the present study is to evaluate the predictive value of clinicopathological and pelvic anatomical parameters in estimating the operative time and intraoperative blood loss when performing open rectal surgery for mid-low rectal cancer, in order to assist colorectal surgeons in the identification of potentially difficult rectal resections and in the design of appropriate preoperative plans.

Patients and methods

Patients and surgical procedures

Sixty consecutive patients, who underwent low anterior resection (LAR) with double-stapling technique (DST) anastomosis or abdominoperineal resection (APR) for mid-low rectal cancer located within 10 cm of the anal verge, were recruited between June 2009 and April 2014. The distance from the anal verge to the lower margin of the tumors (tumor height) was measured by digital rectal examination and/or colonoscopy. All cases were confirmed as adenocarcinoma by biopsy prior to surgery. Operations were performed by the same surgeon and surgical team, who were experienced in TME techniques, at the Department of Surgery of Wenzhou Central Hospital (Wenzhou, China).

Patients who had undergone previous abdominal surgery through a laparotomy, who had a history of pelvic fracture, who had received neoadjuvant chemoradiotherapy and those with locally recurrent disease were excluded from the present study. Patients were also excluded if tumors had infiltrated to the adjacent organs, or had metastasized to the lateral pelvic wall lymph nodes or distant sites. The preoperative clinical stage of rectal cancer was assessed by contrast-enhanced computerized tomography (CT).

Data on age, gender, body mass index (BMI), the maximum diameter of the tumor, tumor height, tumor invasive depth, lymph node metastasis, tumor staging, operative time and intraoperative blood loss were collected retrospectively. Tumors were staged according to the 7th tumor-node-metastasis (TNM) classification of the International Union against Cancer (UICC) (10), on the basis of the histological findings of the surgical specimens. Written informed consent for participation was obtained from participants, or from their parent or guardian. This study was approved by the Institutional Review Board of Wenzhou Central Hospital.

Pelvimetry

All patients underwent contrast-enhanced abdominopelvic CT. Three-dimensional reconstruction of the pelvis was performed on a workstation, using the syngo CT imaging program (version VA44A; Siemens AG, Muenchen, Germany) with a scanning slice thickness of 1.0 mm and interslice interval of 1.0 mm. Pelvic dimensions and angles were obtained using mid-sagittal and axial sections of the pelvis.

All measurements were made by a single observer who was blinded to all clinical information. The following fourteen pelvic parameters, including twelve dimensions and two angles, were measured:

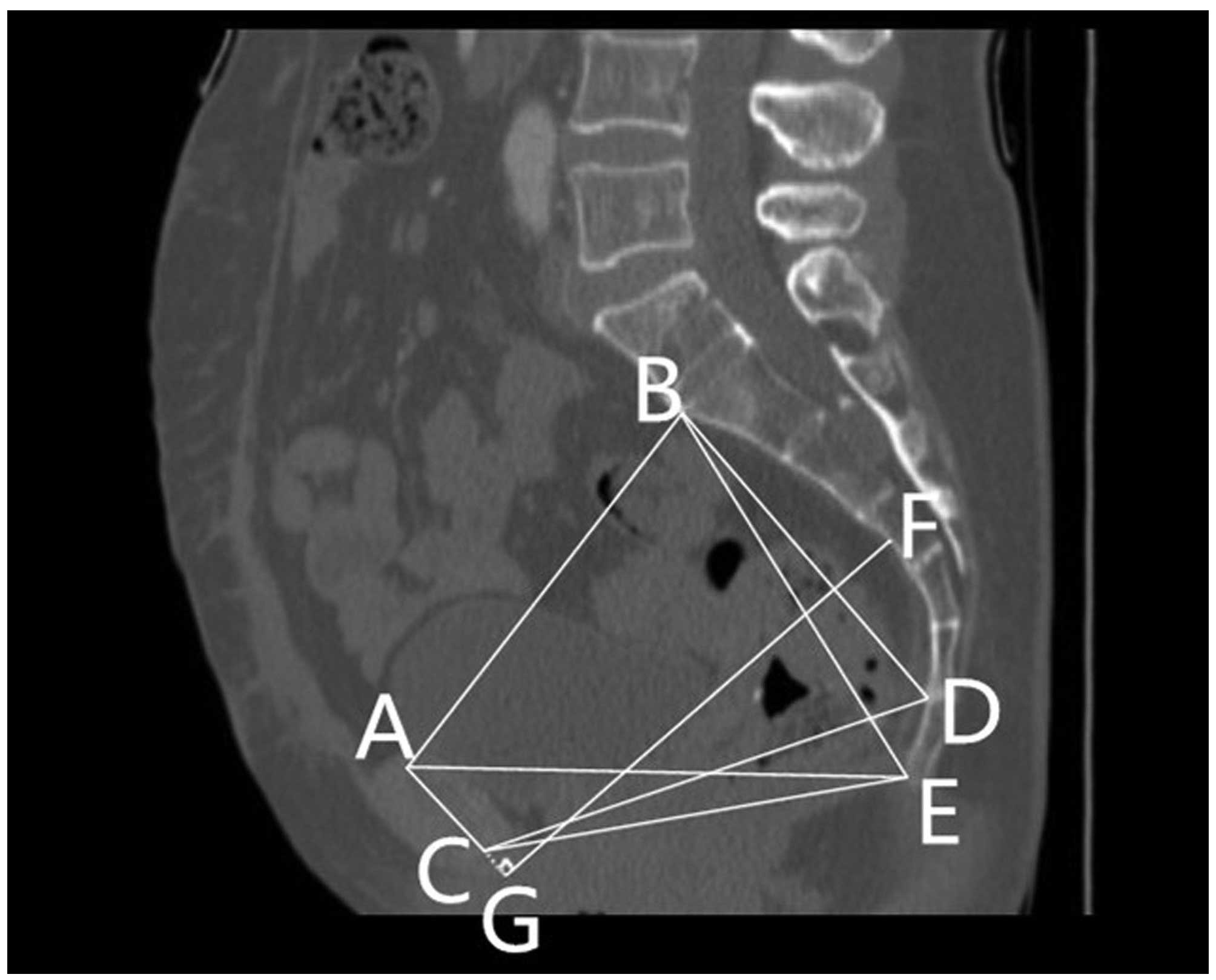
1. Anteroposterior diameter of the pelvic inlet (AB): A line from the superior median aspect of the pubic symphysis to the sacral promontory.

2. Anteroposterior diameter of the mid-pelvis (CD): A line from the inferior median aspect of the pubic symphysis to the sacrococcygeal junction.

3. Anteroposterior diameter of the pelvic outlet (CE): A line from the inferior median aspect of the pubic symphysis to the tip of the coccyx.

4. The interspinous diameter (LM).

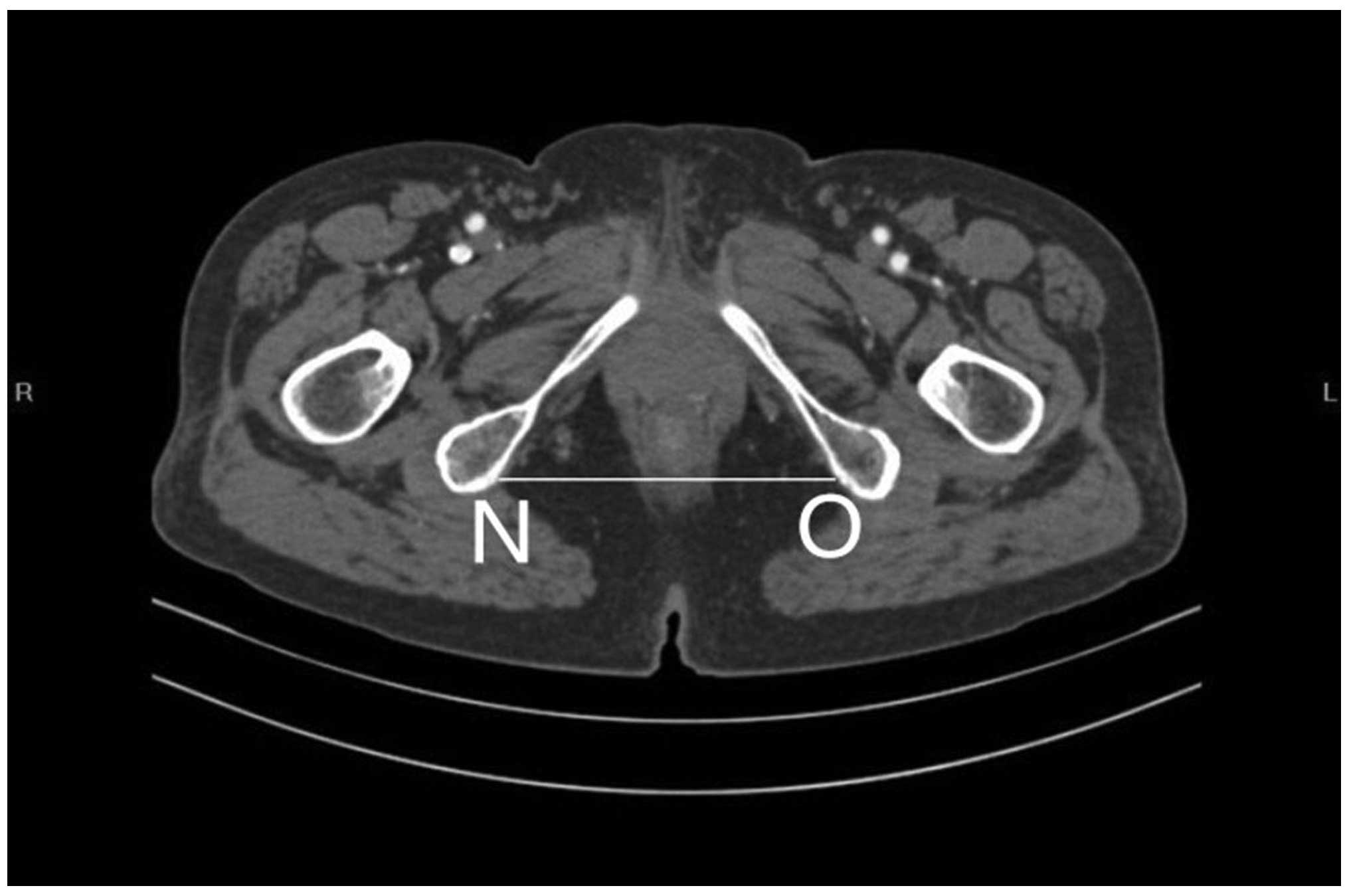
5. The intertuberous diameter (NO).

6. The height of the pubic symphysis (AC).

7. The sacrococcygeal distance (BE): Distance from the sacral promontory to the tip of the coccyx.

8. The sacral distance (BD): Distance from the sacral promontory to the sacrococcygeal junction.

9. Sacrococcygeal-pubic angle (α): The angle between an extension of the line forming the anteroposterior diameter of the pelvic inlet and that of the anteroposterior diameter of the pelvic outlet.

10. Sacropubic angle (β): The angle between an extension of the line forming the anteroposterior diameter of the pelvic inlet and that of the anteroposterior diameter of the mid-pelvis.

11. The depth of the sacrococcygeal curvature (FI): A perpendicular line from the deepest portion of the sacrococcygeal hollow to the sacrococcygeal distance.

12. The depth of the sacral curvature (FH): A perpendicular line from the deepest portion of the sacral hollow to the sacral distance line.

13. Diameter of the upper pubis to the coccyx (AE): A line from the superior median aspect of the pubic symphysis to the tip of the coccyx.

14. Sacropubic distance (FG): A perpendicular line from the deepest portion of the sacrococcygeal hollow to the height of the pubic symphysis or an extension of this line.

Figs. 1 and 2 outline the mid-sagittal view of the pelvis in a female patient. Fig. 3 outlines the axial section, showing the interspinous diameter of the mid-pelvis. Fig. 4 outlines the axial section, showing the intertuberous diameter of the pelvic outlet. The relevant measurements are indicated in Figs. 1–4. Assessment of intraobserver error was conducted as detailed in the statistics section.

Figure 1.

Mid-sagittal view of the pelvis in a female patient, indicating pelvic dimensions. (AB) Anteroposterior diameter of the pelvic inlet. (CD) Anteroposterior diameter of the mid-pelvis. (CE) Anteroposterior diameter of the pelvic outlet. (AC) Height of the pubic symphysis. (BE) Sacrococcygeal distance. (BD) Sacral distance. (AE) Diameter of the upper pubis to the coccyx. (FG) Sacrcopubic distance. (A) The superior median aspect of the pubic symphysis. (B) The anterior median aspect of the sacral promontory. (C) The inferior median aspect of the pubic symphysis. (D) The anterior median aspect of the sacrococcygeal junction. (E) The inferior median aspect of the tip of the coccyx. (F) The deepest portion of the sacral hollow or sacrococcygeal hollow. (G) A point of the perpendicular line from the deepest portion of the sacrococcygeal hollow to the height of the pubic symphysis or an extension of this line.

Figure 2.

Mid-sagittal view of the pelvis in a female patient, indicating the (FI) depth of the sacrococcygeal curvature, (FH) the depth of the sacral curvature and the (α) sacrococcygeal-pubic and (β) sacropubic pelvic angles. (A) The superior median aspect of the pubic symphysis. (B) The anterior median aspect of the sacral promontory. (C) The inferior median aspect of the pubic symphysis. (D) The anterior median aspect of the sacrococcygeal junction. (E) The inferior median aspect of the tip of the coccyx. (F) The deepest portion of the sacral hollow or sacrococcygeal hollow. (H) A point of the perpendicular line from the deepest portion of the sacral hollow to the sacral distance line. (I) A point of the perpendicular line from the deepest portion of the sacrococcygeal hollow to the sacrococcygeal distance. (J) The point between an extension of the line forming the anteroposterior diameter of the pelvic inlet and that of the anteroposterior diameter of the pelvic outlet. (K) The point between an extension of the line forming the anteroposterior diameter of the pelvic inlet and that of the anteroposterior diameter of the mid-pelvis.

Figure 3.

Axial section showing the interspinous diameter (LM) of the mid-pelvis.

Figure 4.

Axial section showing the intertuberous diameter (NO) of the pelvic outlet.

Statistical analysis

Statistical analyses were performed using SPSS version 17.0 (SPSS, Inc., Chicago, IL, USA). Data are shown as the mean ± standard deviation or medians (range), as appropriate. Operative time and intraoperative blood loss were used as indicators of operative difficulty. Operative time and intraoperative blood loss were defined as dependent variables, and pelvic anatomical and clinicopathological parameters were defined as independent variables. Determination of statistically significant factors was made by univariate and multivariate analysis.

Where appropriate, an independent samples t-test was applied to analyze differences in pelvic anatomical parameters between males and females. Pearson's product-moment correlation coefficient or Spearman's rank correlation coefficient were applied to analyze associations between patients' pelvic anatomical and clinicopathological parameters, and operative difficulty. Multivariate analysis was performed using a multiple linear regression model with a backward method. P≤0.05 was considered to indicate a statistically significant difference.

In order to assess intraobserver variation, measurements of the pelvic anatomical parameters of 20 patients were repeated following an interval of 4 weeks, with the observer blinded to the initial results. A paired-samples t-test was then applied to the data. Intraobserver variation was calculated using Pearson's product-moment correlation coefficient. The lowest value obtained was 0.991. The two sets of measurements were highly correlated (P<0.001), indicating that measurements were reproducible and accurate.

Results

Patients' clinicopathological data and pelvic anatomical parameters are summarized in Tables I and II, respectively. The nine pelvic parameters, in which there were significant differences between the sexes, were anteroposterior diameter of the pelvic inlet, anteroposterior diameter of the mid-pelvis, anteroposterior diameter of the pelvic outlet, the interspinous diameter, the intertuberous diameter, sacrococcygeal-pubic angle, the depth of the sacrococcygeal curvature, diameter of the upper pubis to the coccyx and sacropubic distance (P<0.05). No significant differences were detected between the sexes in the remaining five pelvic parameters; namely, the height of the pubic symphysis, the sacrococcygeal distance, the sacral distance, sacropubic angle and the depth of the sacral curvature (P>0.05).

Table I.

Clinicopathological data (n=60).

Table I.

Clinicopathological data (n=60).

VariableValue
Gender, n (male:female)38:22
Age, years (range) 65.3±13.0a (29–85)
Body mass index, kg/m2 (range) 21.31±3.07a (16.2–30.8)
Tumor height, cm (range)5.9±2.0a (2.0–10.0)
Maximum diameter of the tumor, cm (range)4.0b (3.0–8.0)
Operative time, min (range) 161.3±41.9a (75–275)
Intraoperative blood loss, ml (range)50b (50–600)
Surgical procedure, n
  Abdominoperineal resection40
  Low anterior resection20
Tumor invasive depth, n
  T13
  T216
  T328
  T413
Lymph node metastasis, n
  N025
  N123
  N212
Tumor stage, n
  I14
  II11
  III35

a mean ± standard deviation,

b median.

Table II.

Pelvic anatomical parameters (n=60).

Table II.

Pelvic anatomical parameters (n=60).

Total (n=60)Male (n=38)Female (n=22)P-value
Anteroposterior diameter of the pelvic inlet, mm 110.31±12.10 105.22±8.78 119.10±12.13<0.001
Anteroposterior diameter of the mid-pelvis, mm 111.40±8.44 107.96±6.74 117.34±7.85<0.001
Anteroposterior diameter of the pelvic outlet, mm 88.92±8.62 85.54±6.37 94.76±9.00<0.001
Interspinous diameter, mm 98.58±10.23   93.24±7.32 107.79±7.68<0.001
Intertuberous diameter, mm 98.46±14.25   91.28±9.52 110.87±12.50<0.001
Height of pubic symphysis, mm 36.73±3.50   37.36±3.38 35.65±3.53   0.068
Sacrococcygeal distance, mm 121.49±13.80 122.22±14.17 120.24±13.36   0.595
Sacral distance, mm 107.09±10.52 107.37±10.37 106.62±11.00   0.794
Sacrococcygeal-pubic angle, ° 51.21±8.76   53.61±8.81   47.04±7.07   0.003
Sacropubic angle, ° 36.98±6.41   38.00±6.75 35.21±5.46   0.104
Depth of the sacrococcygeal curvature, mm 37.98±5.38   39.20±4.81   35.87±5.76   0.020
Depth of the sacral curvature, mm 20.78±5.05   21.43±5.28   19.66±4.52   0.177
Diameter of the upper pubis to the coccyx, mm 113.17±8.54   110.91±6.68 117.08±10.06   0.015
Sacropubic distance, mm 123.13±10.15 120.17±6.82 128.24±12.81   0.011

[i] All data are presented as the mean ± standard deviation.

Univariate analyses of the association between patients' clinicopathological and pelvic anatomical parameters, and operative difficulty are summarized in Table III. Multivariate analyses of the associations between patients' clinicopathological and pelvic anatomical parameters, and operative difficulty are summarized in Tables IV–VIII. Univariate analysis showed that BMI (P=0.02), tumor height (P=0.02), lymph node metastasis (P=0.04) and tumor staging (P=0.03) were significantly associated with operating time. However, no significant associations were detected between gender, age, the maximum diameter of the tumor, tumor invasive depth or pelvic anatomical parameters, and operating time (P>0.05). Univariate analysis showed that the maximum diameter of the tumor (P=0.05) was the only clinicopathological parameter that was significantly associated with intraoperative blood loss, while no association was detected between the remaining clinicopathological parameters or the pelvic anatomical parameters, and intraoperative blood loss (P>0.05).

Table III.

Correlations between clinicopathological and pelvic anatomical parameters, and operative difficulty.

Table III.

Correlations between clinicopathological and pelvic anatomical parameters, and operative difficulty.

Correlation with operative timeCorrelation with intraoperative blood loss


VariableCorrelationP-valueCorrelationP-value
Gender0.1150.380.0550.67
Age−0.142a0.280.1240.35
Body mass index0.310a0.02−0.1490.25
Tumor height−0.300a0.020.0590.65
Maximum diameter of the tumor−0.1170.370.2530.05
Tumor invasive depth−0.0310.81−0.0050.97
Lymph node metastasis−0.2620.04−0.0120.93
Tumor stage−0.2840.030.0730.58
Anteroposterior diameter of the pelvic inlet0.014a0.920.0430.74
Anteroposterior diameter of the mid-pelvis−0.129a0.32−0.0270.84
Anteroposterior diameter of the pelvic outlet−0.107a0.41−0.1250.34
Interspinous diameter−0.090a0.49−0.0150.91
Intertuberous diameter−0.060a0.650.0370.78
Height of pubic symphysis0.001a0.990.2190.09
Sacrococcygeal distance−0.013a0.92−0.0410.76
Sacral distance−0.103a0.44−0.0470.72
Sacrococcygeal-pubic angle   0.039a0.77−0.0190.89
Sacropubic angle−0.003a0.98−0.1520.25
Depth of the sacrococcygeal curvature0.048a0.720.1880.15
Depth of the sacral curvature0.104a0.430.0240.85
Diameter of the upper pubis to the coccyx−0.106a0.42−0.1790.17
Sacropubic distance−0.033a0.800.0930.48

{ label (or @symbol) needed for fn[@id='tfn4-ol-0-0-3827'] } P≤0.05 was considered statistically significant in univariate analysis. Bold font indicates P≤0.05. Univariate analysis was performed using Pearson's product-moment correlation coefficient or Spearman's rank correlation coefficient when appropriate.

a Pearson's product-moment correlation coefficient.

Table IV.

Multivariate analysis in the final backward linear regression model of clinicopathological parameters and operative time.

Table IV.

Multivariate analysis in the final backward linear regression model of clinicopathological parameters and operative time.

Unstandardized coefficientStandardized coefficient


ModelBSEβtP-value
(Constant)132.29538.672   3.4210.001
Body mass index     3.4561.603   0.253   2.1560.035
Tumor height   −5.6132.383−0.273−2.3550.022
Lymph node metastasis−15.0696.466−0.274−2.3300.023

[i] R=0.500, R2=0.250, RC2=0.210, F=6.235; Model utility test, P=0.001. n=60. SE, standard error.

Table VIII.

Multivariate analysis of the association between pelvic anatomical parameters and intraoperative blood loss in the abdominoperineal resection group.

Table VIII.

Multivariate analysis of the association between pelvic anatomical parameters and intraoperative blood loss in the abdominoperineal resection group.

Unstandardized coefficientStandardized coefficient


ModelBSEβtP-value
(Constant)229.465214.829   1.068   0.304
Anteroposterior diameter of the mid-pelvis   22.429     4.3222.498   5.189<0.001
Anteroposterior diameter of the pelvic outlet−14.673     2.908−1.239−5.045<0.001
Interspinous diameter   −5.594     1.600−0.619−3.495   0.004
Depth of the sacrococcygeal curvature   13.276     4.510   0.747   2.944   0.011
Sacropubic distance   −8.840     2.767−1.004−3.195   0.006

[i] R=0.843, R2=0.711, RC2=0.608, F=6.904, Model utility test: P=0.002. SE, standard error.

In the whole group, multivariate analysis demonstrated that predictive factors for operating time included BMI, tumor height, lymph node metastasis, anteroposterior diameter of the pelvic inlet, anteroposterior diameter of the pelvic outlet, the height of pubic symphysis, the sacrococcygeal distance, sacrococcygeal-pubic angle and the diameter of the upper pubis to the coccyx (all P<0.05), while the only predictive factor for intraoperative blood loss was the maximum diameter of the tumor (P<0.05).

Subgroup analyses may provide more specific information, and multivariate analysis of the association between clinicopathological parameters and operative time in the LAR group, showed that predictive factors for operative time included tumor height and tumor stage (adjusted coefficient of determination of the regression equation, RC2=0.312; P<0.001). Multivariate analysis of the association between pelvic anatomical parameters and intraoperative blood loss in the APR group demonstrated that predictive factors for intraoperative blood loss included anteroposterior diameter of the mid-pelvis, anteroposterior diameter of the pelvic outlet, the interspinous diameter, the depth of the sacral curvature and the sacropubic distance (RC2=0.608; P=0.002).

Discussion

Patients with rectal cancer usually require spiral CT enhanced scanning for preoperative staging assessment. Spiral CT has high sensitivity and specificity, and a low radiation dose, and is also relatively inexpensive compared with magnetic resonance imaging. Therefore CT pelvimetry may be used conveniently in patients with rectal cancer. CT pelvimetry is also an accurate and reliable technique for obtaining pelvimetric measurements, which has been utilized in patients with rectal cancer for a number of years (6,11–13).

Colorectal surgeons recognize that the female pelvis is generally more accessible than the male pelvis, in terms of conducting open rectal surgery for mid-low rectal cancer. In the present study, nine pelvic parameters exhibited significant differences between the sexes; namely, anteroposterior diameter of the pelvic inlet, anteroposterior diameter of the mid-pelvis, anteroposterior diameter of the pelvic outlet, the interspinous diameter, the intertuberous diameter, sacrococcygeal-pubic angle, the depth of the sacrococcygeal curvature, diameter of the upper pubis to the coccyx and sacropubic distance (P<0.05). These pelvic parameters, with the exception of the sacrococcygeal-pubic angle and the depth of the sacrococcygeal curvature, represent the pelvic width, and were greater in females. By contrast, the depth of the sacrococcygeal curvature represents the sacrococcygeal bending degree, and was greater in the male pelvis. The sacrococcygeal-pubic angle indicates sacrococcygeal arc length and bending degree; in general, the larger the sacrococcygeal-pubic angle, the longer the sacrococcygeal arc length and the smaller the sacrococcygeal bending degree, in individuals of a similiar height. Usually, the sacrococcygeal-pubic angle is greater in the male pelvis than the female pelvis. The remaining five pelvic parameters measured in the present study, exhibited no significant differences between the sexes; namely, the height of the pubic symphysis, the sacrococcygeal distance, the sacral distance, sacropubic angle and the depth of the sacral curvature (P>0.05). The height of the pubic symphysis, the sacrococcygeal distance and the sacral distance, represent the pelvic depth; the depth of the sacral curvature represents the sacral bending degree; and the sacropubic angle indicates sacral arc length and sacral bending degree, as well as the distance between pubis and the sacrum, which exhibited a greater overlap between the sexes, suggesting that for these factors, the measurements themselves may be a more useful predictor of difficulty than gender alone, as previously mentioned by Killeen et al (8).

In the present study, multivariate analyses demonstrated that higher BMI, lower tumor height, fewer lymph node metastasis, shorter anteroposterior diameter of the pelvic inlet, shorter anteroposterior diameter of the pelvic outlet, shorter height of the pubic symphysis, longer sacrococcygeal distance, smaller sacrococcygeal-pubic angle and longer diameter of the upper pubis to the coccyx, were significantly associated with a longer operative time (all P<0.05), while a larger maximum diameter of the tumor was significantly associated with increased intraoperative blood loss (P<0.05). Between the two procedures, the clinicopathological parameters appeared to have greater predictive value in the LAR group, in which lower tumor height and lower tumor staging were significantly associated with longer operative time (RC2=0.312; P<0.001). By contrast, the pelvic anatomical parameters appeared to be more valuable predictors in the APR group, in which longer anteroposterior diameter of the mid-pelvis, shorter anteroposterior diameter of the pelvic outlet, shorter interspinous diameter, longer depth of the sacral curvature and shorter sacropubic distance were significantly associated with increased intraoperative blood loss (RC2=0.608; P=0.002).

The present findings suggest that BMI, tumor height and the maximum diameter of the tumor may be valuable for predicting operative difficulty encountered during open rectal surgery for mid-low rectal cancer, which is in accordance with previous studies (6,12,14). A higher BMI is associated with greater mesorectal volume, which restricts the pelvic working space during surgical procedures. Furthermore, a larger maximum diameter of the tumor reflects larger tumor volume, which also restricts the pelvic working space (6). The pelvic working space will also be affected by tumor height from the anal verge. Particularly in certain patients with lower rectal cancer, it is difficult to expose the deep pelvic structures to obtain an adequate working space. In addition, the present findings indicated that fewer lymph node metastases and lower tumor stage may be significantly associated with longer operative time. A possible explanation for this unusual finding, is that thin patients with rectal cancer are more prone to lymph node metastasis and intestinal wall invasion, compared with obese patients. Since the findings also showed a correlation between higher BMI and longer operative time, this group may therefore include those with fewer metastases. It has been reported that the mesorectum presents a considerable obstacle to the growth of cancer (15). The volume of perirectal fatty tissue is likely to be smaller in lean patients than in obese patients. A small volume of perirectal fatty tissue may therefore contribute to early tumor infiltration of the pelvic wall and/or adjacent organs (16), meaning that this parameter may be negatively correlated with operative time for a similar reason to that of lymph node metastasis.

The present findings concerning the predictive value of pelvic anatomical features, may, in part, be explained by the fact that open rectal surgery for mid-low rectal cancer is easier to complete in wider, shallower and less curved pelvises, although the influence of the height of the pubic symphysis, diameter of the upper pubis to the coccyx and anteroposterior diameter of the mid-pelvis, is more difficult to be rationalize. A possible reason for the effect of these factors, is that the sample size is relatively small. Therefore, studies with larger sample sizes need to be conducted for more definite results in future. In view of the results of the multivariate analyses in the APR subgroup, demonstrating the predictive value of pelvic anatomical parameters, it is more difficult for surgeons to gain entry into the presacral space by sharp dissection in narrower and more curved concave pelvises. This is due to the fact that any inaccuracy may lead to deviation from the correct anatomical level (‘holy plane’), and the avascular area, resulting in severe presacral hemorrhage. Therefore, such cases should be performed by highly experienced colorectal surgeons in order to reduce the risk of serious complications and recurrence in patients with positive margins.

The present findings indicate that BMI, tumor height and the maximum diameter of the tumor may be used to predict operative difficulty in performing open rectal surgery for mid-low rectal cancer. Furthermore, the associated clinicopathological parameters, and wider, shallower and less curved pelvises may make the greatest contribution to reducing operating times and intraoperative blood loss. Operative difficulty is likely to be increased in deeper and narrower pelvises, or in those with larger sacrococcygeal curvature.

Acknowledgements

This study was supported by a grant from the Technology Planning Project of Wenzhou Science & Technology Bureau (grant no. Y20130383).

Glossary

Abbreviations

Abbreviations:

DST

double-stapling technique

CT

computerized tomography

BMI

body mass index

TME

total mesorectal excision

APR

abdominoperineal resection

LAR

low anterior resection

TNM

tumor-node-metastasis

References

1 

Dorudi S, Steele RJ and McArdle CS: Surgery for colorectal cancer. Br Med Bull. 64:101–118. 2002. View Article : Google Scholar : PubMed/NCBI

2 

Heald RJ, Husband EM and Ryall RD: The mesorectum in rectal cancer surgery - the clue to pelvic recurrence? Br J Surg. 69:613–616. 1982. View Article : Google Scholar : PubMed/NCBI

3 

Baik SH, Kim NK, Lee KY, Sohn SK, Cho CH, Kim MJ, Kim H and Shinn RK: Factors influencing pathologic results after total mesorectal excision for rectal cancer: Analysis of consecutive 100 cases. Ann Surg Oncol. 15:721–728. 2008. View Article : Google Scholar : PubMed/NCBI

4 

Salerno G, Daniels IR, Brown G, Norman AR, Moran BJ and Heald RJ: Variations in pelvic dimensions do not predict the risk of circumferential resection margin (CRM) involvement in rectal cancer. World J Surg. 31:1313–1320. 2007. View Article : Google Scholar : PubMed/NCBI

5 

Boyle KM, Petty D, Chalmers AG, Quirke P, Cairns A, Finan PJ, Sagar PM and Burke D: MRI assessment of the bony pelvis may help predict resectability of rectal cancer. Colorectal Dis. 7:232–240. 2005. View Article : Google Scholar : PubMed/NCBI

6 

Ogiso S, Yamaguchi T, Hata H, Fukuda M, Ikai I, Yamato T and Sakai Y: Evaluation of factors affecting the difficulty of laparoscopic anterior resection for rectal cancer: Narrow pelvis is not a contraindication. Surg Endosc. 25:1907–1912. 2011. View Article : Google Scholar : PubMed/NCBI

7 

Salerno G, Daniels IR, Brown G, Heald RJ and Moran BJ: Magnetic resonance imaging pelvimetry in 186 patients with rectal cancer confirms an overlap in pelvic size between males and females. Colorectal Dis. 8:772–776. 2006. View Article : Google Scholar : PubMed/NCBI

8 

Killeen T, Banerjee S, Vijay V, Al-Dabbagh Z, Francis D and Warren S: Magnetic resonance (MR) pelvimetry as a predictor of difficulty in laparoscopic operations for rectal cancer. Surg Endosc. 24:2974–2979. 2010. View Article : Google Scholar : PubMed/NCBI

9 

Veenhof AA, Engel AF, van der Peet DL, Sietses C, Meijerink WJ, de Lange-de Klerk ES and Cuesta MA: Technical difficulty grade score for the laparoscopic approach of rectal cancer: A single institution pilot study. Int J Colorectal Dis. 23:469–475. 2008. View Article : Google Scholar : PubMed/NCBI

10 

Sobin LH and Brierly J: Colon and rectum. International Union Against Cancer (UICC) TNM Classification of Malignant Tumors. Sobin LH, Gospodarowicz MK and Wittekind C: (7th). (Oxford). Wiley-Blackwell. 100–105. 2009.

11 

Targarona EM, Balague C, Pernas JC, Martinez C, Berindoague R, Gich I and Trias M: Can we predict immediate outcome after laparoscopic rectal surgery? Multivariate analysis of clinical, anatomic and pathologic features after 3-dimensional reconstruction of the pelvic anatomy. Ann Surg. 247:642–649. 2008. View Article : Google Scholar : PubMed/NCBI

12 

Akiyoshi T, Kuroyanagi H, Oya M, Konishi T, Fukuda M, Fujimoto Y, Ueno M, Miyata S and Yamaguchi T: Factors affecting the difficulty of laparoscopic total mesorectal excision with double stapling technique anastomosis for low rectal cancer. Surgery. 146:483–489. 2009. View Article : Google Scholar : PubMed/NCBI

13 

Gu J, Bo XF, Xiong CY, Wu AW, Zhang XP, Li M, An Q, Fang J, Li J, Zhang X, et al: Defining pelvic factors in sphincter-preservation of low rectal cancer with a three-dimensional digital model of pelvis. Dis Colon Rectum. 49:1517–1526. 2006. View Article : Google Scholar : PubMed/NCBI

14 

Law WL and Chu KW: Anterior resection for rectal cancer with mesorectal excision: A prospective evaluation of 622 patients. Ann Surg. 240:260–268. 2004. View Article : Google Scholar : PubMed/NCBI

15 

Heald RJ and Karanjia ND: Results of radical surgery for rectal cancer. World J Surg. 16:848–857. 1992. View Article : Google Scholar : PubMed/NCBI

16 

Görög D, Tóth A, Péter A and Perner F: Is obesity a favorable factor for resectability of rectal cancer? Hepatogastroenterology. 51:630–633. 2004.PubMed/NCBI

Related Articles

  • Abstract
  • View
  • Download
  • Twitter
Copy and paste a formatted citation
Spandidos Publications style
Zhou XC, Su M, Hu KQ, Su YF, Ye YH, Huang CQ, Yu ZL, Li XY, Zhou H, Ni YZ, Ni YZ, et al: CT pelvimetry and clinicopathological parameters in evaluation of the technical difficulties in performing open rectal surgery for mid-low rectal cancer. Oncol Lett 11: 31-38, 2016.
APA
Zhou, X., Su, M., Hu, K., Su, Y., Ye, Y., Huang, C. ... Lou, Z. (2016). CT pelvimetry and clinicopathological parameters in evaluation of the technical difficulties in performing open rectal surgery for mid-low rectal cancer. Oncology Letters, 11, 31-38. https://doi.org/10.3892/ol.2015.3827
MLA
Zhou, X., Su, M., Hu, K., Su, Y., Ye, Y., Huang, C., Yu, Z., Li, X., Zhou, H., Ni, Y., Jiang, Y., Lou, Z."CT pelvimetry and clinicopathological parameters in evaluation of the technical difficulties in performing open rectal surgery for mid-low rectal cancer". Oncology Letters 11.1 (2016): 31-38.
Chicago
Zhou, X., Su, M., Hu, K., Su, Y., Ye, Y., Huang, C., Yu, Z., Li, X., Zhou, H., Ni, Y., Jiang, Y., Lou, Z."CT pelvimetry and clinicopathological parameters in evaluation of the technical difficulties in performing open rectal surgery for mid-low rectal cancer". Oncology Letters 11, no. 1 (2016): 31-38. https://doi.org/10.3892/ol.2015.3827
Copy and paste a formatted citation
x
Spandidos Publications style
Zhou XC, Su M, Hu KQ, Su YF, Ye YH, Huang CQ, Yu ZL, Li XY, Zhou H, Ni YZ, Ni YZ, et al: CT pelvimetry and clinicopathological parameters in evaluation of the technical difficulties in performing open rectal surgery for mid-low rectal cancer. Oncol Lett 11: 31-38, 2016.
APA
Zhou, X., Su, M., Hu, K., Su, Y., Ye, Y., Huang, C. ... Lou, Z. (2016). CT pelvimetry and clinicopathological parameters in evaluation of the technical difficulties in performing open rectal surgery for mid-low rectal cancer. Oncology Letters, 11, 31-38. https://doi.org/10.3892/ol.2015.3827
MLA
Zhou, X., Su, M., Hu, K., Su, Y., Ye, Y., Huang, C., Yu, Z., Li, X., Zhou, H., Ni, Y., Jiang, Y., Lou, Z."CT pelvimetry and clinicopathological parameters in evaluation of the technical difficulties in performing open rectal surgery for mid-low rectal cancer". Oncology Letters 11.1 (2016): 31-38.
Chicago
Zhou, X., Su, M., Hu, K., Su, Y., Ye, Y., Huang, C., Yu, Z., Li, X., Zhou, H., Ni, Y., Jiang, Y., Lou, Z."CT pelvimetry and clinicopathological parameters in evaluation of the technical difficulties in performing open rectal surgery for mid-low rectal cancer". Oncology Letters 11, no. 1 (2016): 31-38. https://doi.org/10.3892/ol.2015.3827
Follow us
  • Twitter
  • LinkedIn
  • Facebook
About
  • Spandidos Publications
  • Careers
  • Cookie Policy
  • Privacy Policy
How can we help?
  • Help
  • Live Chat
  • Contact
  • Email to our Support Team