Spandidos Publications Logo
  • About
    • About Spandidos
    • Aims and Scopes
    • Abstracting and Indexing
    • Editorial Policies
    • Reprints and Permissions
    • Job Opportunities
    • Terms and Conditions
    • Contact
  • Journals
    • All Journals
    • Oncology Letters
      • Oncology Letters
      • Information for Authors
      • Editorial Policies
      • Editorial Board
      • Aims and Scope
      • Abstracting and Indexing
      • Bibliographic Information
      • Archive
    • International Journal of Oncology
      • International Journal of Oncology
      • Information for Authors
      • Editorial Policies
      • Editorial Board
      • Aims and Scope
      • Abstracting and Indexing
      • Bibliographic Information
      • Archive
    • Molecular and Clinical Oncology
      • Molecular and Clinical Oncology
      • Information for Authors
      • Editorial Policies
      • Editorial Board
      • Aims and Scope
      • Abstracting and Indexing
      • Bibliographic Information
      • Archive
    • Experimental and Therapeutic Medicine
      • Experimental and Therapeutic Medicine
      • Information for Authors
      • Editorial Policies
      • Editorial Board
      • Aims and Scope
      • Abstracting and Indexing
      • Bibliographic Information
      • Archive
    • International Journal of Molecular Medicine
      • International Journal of Molecular Medicine
      • Information for Authors
      • Editorial Policies
      • Editorial Board
      • Aims and Scope
      • Abstracting and Indexing
      • Bibliographic Information
      • Archive
    • Biomedical Reports
      • Biomedical Reports
      • Information for Authors
      • Editorial Policies
      • Editorial Board
      • Aims and Scope
      • Abstracting and Indexing
      • Bibliographic Information
      • Archive
    • Oncology Reports
      • Oncology Reports
      • Information for Authors
      • Editorial Policies
      • Editorial Board
      • Aims and Scope
      • Abstracting and Indexing
      • Bibliographic Information
      • Archive
    • Molecular Medicine Reports
      • Molecular Medicine Reports
      • Information for Authors
      • Editorial Policies
      • Editorial Board
      • Aims and Scope
      • Abstracting and Indexing
      • Bibliographic Information
      • Archive
    • World Academy of Sciences Journal
      • World Academy of Sciences Journal
      • Information for Authors
      • Editorial Policies
      • Editorial Board
      • Aims and Scope
      • Abstracting and Indexing
      • Bibliographic Information
      • Archive
    • International Journal of Functional Nutrition
      • International Journal of Functional Nutrition
      • Information for Authors
      • Editorial Policies
      • Editorial Board
      • Aims and Scope
      • Abstracting and Indexing
      • Bibliographic Information
      • Archive
    • International Journal of Epigenetics
      • International Journal of Epigenetics
      • Information for Authors
      • Editorial Policies
      • Editorial Board
      • Aims and Scope
      • Abstracting and Indexing
      • Bibliographic Information
      • Archive
    • Medicine International
      • Medicine International
      • Information for Authors
      • Editorial Policies
      • Editorial Board
      • Aims and Scope
      • Abstracting and Indexing
      • Bibliographic Information
      • Archive
  • Articles
  • Information
    • Information for Authors
    • Information for Reviewers
    • Information for Librarians
    • Information for Advertisers
    • Conferences
  • Language Editing
Spandidos Publications Logo
  • About
    • About Spandidos
    • Aims and Scopes
    • Abstracting and Indexing
    • Editorial Policies
    • Reprints and Permissions
    • Job Opportunities
    • Terms and Conditions
    • Contact
  • Journals
    • All Journals
    • Biomedical Reports
      • Information for Authors
      • Editorial Policies
      • Editorial Board
      • Aims and Scope
      • Abstracting and Indexing
      • Bibliographic Information
      • Archive
    • Experimental and Therapeutic Medicine
      • Information for Authors
      • Editorial Policies
      • Editorial Board
      • Aims and Scope
      • Abstracting and Indexing
      • Bibliographic Information
      • Archive
    • International Journal of Epigenetics
      • Information for Authors
      • Editorial Policies
      • Editorial Board
      • Aims and Scope
      • Abstracting and Indexing
      • Bibliographic Information
      • Archive
    • International Journal of Functional Nutrition
      • Information for Authors
      • Editorial Policies
      • Editorial Board
      • Aims and Scope
      • Abstracting and Indexing
      • Bibliographic Information
      • Archive
    • International Journal of Molecular Medicine
      • Information for Authors
      • Editorial Policies
      • Editorial Board
      • Aims and Scope
      • Abstracting and Indexing
      • Bibliographic Information
      • Archive
    • International Journal of Oncology
      • Information for Authors
      • Editorial Policies
      • Editorial Board
      • Aims and Scope
      • Abstracting and Indexing
      • Bibliographic Information
      • Archive
    • Medicine International
      • Information for Authors
      • Editorial Policies
      • Editorial Board
      • Aims and Scope
      • Abstracting and Indexing
      • Bibliographic Information
      • Archive
    • Molecular and Clinical Oncology
      • Information for Authors
      • Editorial Policies
      • Editorial Board
      • Aims and Scope
      • Abstracting and Indexing
      • Bibliographic Information
      • Archive
    • Molecular Medicine Reports
      • Information for Authors
      • Editorial Policies
      • Editorial Board
      • Aims and Scope
      • Abstracting and Indexing
      • Bibliographic Information
      • Archive
    • Oncology Letters
      • Information for Authors
      • Editorial Policies
      • Editorial Board
      • Aims and Scope
      • Abstracting and Indexing
      • Bibliographic Information
      • Archive
    • Oncology Reports
      • Information for Authors
      • Editorial Policies
      • Editorial Board
      • Aims and Scope
      • Abstracting and Indexing
      • Bibliographic Information
      • Archive
    • World Academy of Sciences Journal
      • Information for Authors
      • Editorial Policies
      • Editorial Board
      • Aims and Scope
      • Abstracting and Indexing
      • Bibliographic Information
      • Archive
  • Articles
  • Information
    • For Authors
    • For Reviewers
    • For Librarians
    • For Advertisers
    • Conferences
  • Language Editing
Login Register Submit
  • This site uses cookies
  • You can change your cookie settings at any time by following the instructions in our Cookie Policy. To find out more, you may read our Privacy Policy.

    I agree
Search articles by DOI, keyword, author or affiliation
Search
Advanced Search
presentation
Oncology Letters
Join Editorial Board Propose a Special Issue
Print ISSN: 1792-1074 Online ISSN: 1792-1082
Journal Cover
February-2016 Volume 11 Issue 2

Full Size Image

Sign up for eToc alerts
Recommend to Library

Journals

International Journal of Molecular Medicine

International Journal of Molecular Medicine

International Journal of Molecular Medicine is an international journal devoted to molecular mechanisms of human disease.

International Journal of Oncology

International Journal of Oncology

International Journal of Oncology is an international journal devoted to oncology research and cancer treatment.

Molecular Medicine Reports

Molecular Medicine Reports

Covers molecular medicine topics such as pharmacology, pathology, genetics, neuroscience, infectious diseases, molecular cardiology, and molecular surgery.

Oncology Reports

Oncology Reports

Oncology Reports is an international journal devoted to fundamental and applied research in Oncology.

Experimental and Therapeutic Medicine

Experimental and Therapeutic Medicine

Experimental and Therapeutic Medicine is an international journal devoted to laboratory and clinical medicine.

Oncology Letters

Oncology Letters

Oncology Letters is an international journal devoted to Experimental and Clinical Oncology.

Biomedical Reports

Biomedical Reports

Explores a wide range of biological and medical fields, including pharmacology, genetics, microbiology, neuroscience, and molecular cardiology.

Molecular and Clinical Oncology

Molecular and Clinical Oncology

International journal addressing all aspects of oncology research, from tumorigenesis and oncogenes to chemotherapy and metastasis.

World Academy of Sciences Journal

World Academy of Sciences Journal

Multidisciplinary open-access journal spanning biochemistry, genetics, neuroscience, environmental health, and synthetic biology.

International Journal of Functional Nutrition

International Journal of Functional Nutrition

Open-access journal combining biochemistry, pharmacology, immunology, and genetics to advance health through functional nutrition.

International Journal of Epigenetics

International Journal of Epigenetics

Publishes open-access research on using epigenetics to advance understanding and treatment of human disease.

Medicine International

Medicine International

An International Open Access Journal Devoted to General Medicine.

Journal Cover
February-2016 Volume 11 Issue 2

Full Size Image

Sign up for eToc alerts
Recommend to Library

  • Article
  • Citations
    • Cite This Article
    • Download Citation
    • Create Citation Alert
    • Remove Citation Alert
    • Cited By
  • Similar Articles
    • Related Articles (in Spandidos Publications)
    • Similar Articles (Google Scholar)
    • Similar Articles (PubMed)
  • Download PDF
  • Download XML
  • View XML
Case Report Open Access

Primary gastric natural killer/T-cell lymphoma with diffuse CD30 expression and without CD56 expression: A case report

  • Authors:
    • Lizhi Zhang
    • Pengxin Zhang
    • Jinhui Wen
    • Xuehua Chen
    • Hua Zhang
  • View Affiliations / Copyright

    Affiliations: Department of Pathology, First Affiliated Hospital of Dalian Medical University, Dalian, Liaoning 116011, P.R. China, Department of Geratology, First Affiliated Hospital of Dalian Medical University, Dalian, Liaoning 116011, P.R. China
    Copyright: © Zhang et al. This is an open access article distributed under the terms of Creative Commons Attribution License.
  • Pages: 969-972
    |
    Published online on: December 9, 2015
       https://doi.org/10.3892/ol.2015.4015
  • Expand metrics +
Metrics: Total Views: 0 (Spandidos Publications: | PMC Statistics: )
Metrics: Total PDF Downloads: 0 (Spandidos Publications: | PMC Statistics: )
Cited By (CrossRef): 0 citations Loading Articles...

This article is mentioned in:



Abstract

The majority of natural killer (NK)/T-cell lymphomas occur in the nasal cavity and rarely involve the stomach. They possess a specific immunophenotype, with the expression of cluster of differentiation (CD)56, CD2 and CD3ε, but without CD3 expression. Few cases of NK/T‑cell lymphoma have partial CD30 expression. The present study reveals a unique case of a 41‑year‑old female patient with gastric NK/T‑cell lymphoma that did not express CD56 and diffusely expressed CD30. Immunohistochemical staining demonstrated that the tumor cells expressed CD3ε, CD43, CD30 and granzyme B and did not express CD2, CD4, CD5, CD7, CD8, CD56, anaplastic lymphoma kinase, CD20, paired box‑5 or pan cytokeratin. Based on the immunostaining profile and morphological features, the initial diagnosis considered was gastric anaplastic large cell lymphoma. However, following a consultation with other pathologists, the Epstein‑Barr virus (EBV) status of the patient was investigated to exclude a diagnosis of NK/T‑cell lymphoma. Notably, the signal for EBV RNA was diffuse positive. Therefore, the final diagnosis was corrected to NK/T‑cell lymphoma. To the best of our knowledge, the present study is the first to report NK/T-cell lymphoma in the stomach with a diffuse CD30-positive and CD56-negative phenotype.

Introduction

Extranodal natural killer (NK)/T-cell lymphoma is markedly associated with Epstein-Barr virus (EBV) and is clinically aggressive, with a poor prognosis. This type of lymphoma is predominantly located in the nasal cavity and paranasal sinus, but rarely occurs in the stomach (1). The specific immunophenotype demonstrates the expression of CD56, CD2, CD3ε and cytotoxic granule-associated protein, diffuse expression of EBV-encoded RNA (EBER), and no expression of surface CD3− (2). In the majority of patients with NK/T-cell lymphoma, CD56 is expressed and CD30 is not expressed or partially expressed, but the absence of CD56 expression and presence of CD30 expression is rare (2). The expression of CD30 is also a characteristic of cutaneous T-cell lymphoma or anaplastic large T-cell lymphoma (ALCL) (3). Therefore, the overlap of immunohistochemical phenotypes between different tumors may occasionally result in a misdiagnosis. To the best of our knowledge, no study has reported gastric NK/T-cell lymphoma without CD56 expression and with diffuse CD30 expression. It is extremely important to differentiate NK/T-cell lymphoma from other gastric neoplasms, including poorly-differentiated adenocarcinoma, ALCL, NK-cell lymphoproliferative lymphomatoid gastropathy and enteropathy-associated T-cell lymphoma (EATL) type I.

Case report

A 41-year-old woman presented to the First Affiliated Hospital of Dalian Medical University (Dalian, Liaoning, China) in January 2013, with a history of various clinical symptoms for 2 months, including epigastric pain and abdominal distention, which had been ongoing for two months. An endoscopic examination revealed an ulcer located in the cardia of the stomach, which was 4.0×3.5 cm in size (Fig. 1A and B). Following an endoscopic biopsy, an initial diagnosis of a poorly-differentiated adenocarcinoma was made. Subsequently, a total gastrectomy with regional lymph node dissection was performed. The resected ulcer was irregular in shape with raised edges and was covered with pale yellow exudates. The cut face of the ulcer was gray and solid, and the tumor infiltrated the whole wall of the stomach.

Figure 1.

Endoscopic features. (A) The ulcerative lesions were mainly observed in the cardia of the stomach. (B) The ulcer was covered with pale yellow exudates.

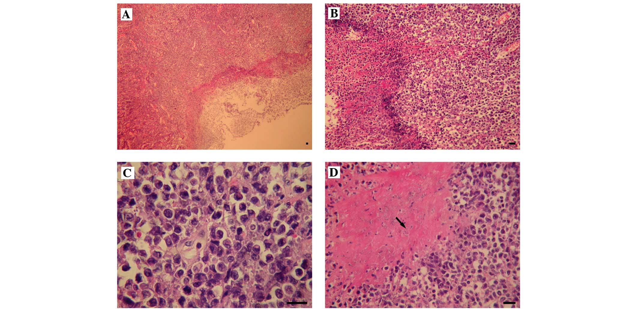
A microscopic examination of the gastric ulcerative lesion revealed that the majority of the surface was overlaid with necrosis and the whole layer was infiltrated with discohesive and monomorphous atypical cells (Fig. 2A and B). The tumor cells were large with an irregular kidney shape and possessed dense or vesicular nuclei with abundant eosinophilic cytoplasm (Fig. 2C). Neutrophils and eosinophils were observed at the periphery of the tumor. Minor coagulative necrosis was evident (Fig. 2D). Angiocentric and angiodestructive growth patterns and large nucleoli were not observed.

Figure 2.

Histological characteristics revealed using hematoxylin and eosin staining. (A) The mucosal architecture was replaced by an ulcerative tumor, the gastric mucosa is exhibited on the left and the tumor on the right. (B) There was an overlay of necrosis on the surface of the ulcerative lesion. (C) The tumor cells were large with irregular kidney-shaped, dense or vesicular nuclei and abundant eosinophilic cytoplasms. (D) The tumor exhibited coagulative necrosis, as indicated by the black arrow. Scale bar, 20 µm. Magnification, ×200.

Immunohistochemical staining demonstrated that the monomorphous tumor cells demonstrated diffuse expression of CD3ε, CD30, granzyme-B and CD43 (Fig. 3A–D). The tumor cells did not express CD56 (Fig. 3E), cytokeratin (Fig. 3F), CD2, CD4, CD5, CD7, CD8, anaplastic lymphoma kinase, CD20 or paired box-5 transcription factor (PAX5) (data not shown). All the antibody in the immunohistochemical staining are bought from Fuzhou Maixin Biotech Co., Ltd., Fuzhou, China). The Ki-67 (ZhongShanJinQiao Co., Ltd., Beijing, China) labeling index was 80% (Fig. 3G).

Figure 3.

Immunohistochemical staining and in situ hybridization. The expression profiles of different phenotypic markers in tumor cells were observed using immunostaining, as follows: (A) CD3ε, diffusely expressed; (B) CD30, diffusely expressed in the membrane and golgi; (C) granzyme-B, expressed; (D) CD43, expressed, the black arrow indicates marked expression of normal reactive T cells; (E) CD56, not expressed, the black arrow indicates residual nerve fibers that express CD56, which acts as an internal control to validate the CD56 negative staining of tumor cells; (F) cytokeratin AE1/AE3, expressed in the glandular epithelium; (G) Ki-67 index, ~80%; and (H) EBV RNA, diffusely expressed, as detected by EBV-encoded RNA in situ hybridization. Scale bar=20 µm. ×200, magnification. CD, cluster of differentiation; EBV, Epstein-Barr virus.

Based on the morphology and immunophenotype, the diagnosis of the tumor was altered to ALCL. Following a consultation with other pathologists, the detection of EBV was advised to elimate the possibility that the tumor was a NK/T-cell lymphoma. Consequently, the tumor cells were analyzed for EBER status by in situ hybridization. As a result, the EBV RNA signal was identified as diffuse positive (Fig. 3H). Therefore, the final diagnosis was corrected to primary gastric NK/T-cell lymphoma. Additional laboratory examinations, including a hematological examination, of the patient were normal. Levels of tumor markers were within normal limits, as follows: Carcinoembryonic antigen (CEA), 0.432 ng/ml (normal, <5.000 ng/ml); carbohydrate antigen (CA) 19-9, 12.26 U/ml (normal, <27.00 U/ml) and CA125, 21.0 U/ml (normal, <35.0 U/ml). The patient did not possessed nasal cavity lesions, and no superficial lymphadenopathy or hepatosplenomegaly was observed. Following chemotherapy, the patient was alive without tumor recurrence subsequent to a 14-month follow-up period.

The present study was approved by the Ethics Committee of The First Affiliated Hospital of Dalian Medical University. Written informed consent was obtained from the patient for the publication of the present study and the use of the accompanying images.

Discussion

NK/T-cell lymphoma may overlap in morphology, results of endoscopic imaging and immunophenotype with numerous other tumors of the stomach. Therefore, careful consideration is required to distinguish NK/T-cell lymphoma from other tumors of the stomach, and this may be based on pathological and phenotypic features.

Poorly-differentiated adenocarcinoma, which is the most common tumor of the stomach, is the primary choice for a differential diagnosis of a stomach tumor (4). The results of endoscopic imaging and the morphological features of a poorly-differentiated adenocarcinoma occasionally resemble NK/T-cell lymphoma (5). In the present study, the tumor was removed using an endoscopic biopsy and was diagnosed as poorly-differentiated adenocarcinoma, based on the tumor morphology. However, the adenocarcinoma did not express leukocyte common antigen (LCA), a T cell and B cell marker, and did express cytokeratin. Therefore, the present study recommends that when a tumor diagnosis of poorly differentiated adenocarcinoma is considered, immunostaining for cytokeratin and LCA should be performed to exclude a diagnosis of lymphoma.

ALCL is the secondary choice for a differential diagnosis in tumors of the stomach that express CD30 (6). In the present study, the tumor cells possessed irregular kidney-shaped nuclei, which expressed CD3ε and diffusely expressed CD30, but did not express CD56, therefore leading to an initial diagnosis of ALCL. However, there have been studies reporting NK/T-cell lymphoma in the nasal cavity, prostate, spleen and adrenal glands, where the tumor expresses CD30, with or without CD56 expression (7–10). To the best of our knowledge, no studies have reported this type of lymphoma in the stomach. The previous studies concluded that the absence of a CD56 signal is not sufficient to exclude NK/T-cell lymphoma, and therefore, EBV detection is required (5,6,11,12). The present study observed that the tumor cells did not have clear nucleoli and demonstrated clear coagulative necrosis, which does not support a diagnosis of ALCL. However, the diagnosis of the patient was only altered when the EBV status of the patient was assessed. The patient expressed EBV RNA, leading to a final diagnosis of NK/T-cell lymphoma.

NK-cell lymphoproliferative lymphomatoid gastropathy should also be considered since this type of tumor expresses CD3 and CD56, therefore resembling NK/T-cell lymphoma. However, NK-cell lymphoproliferative lymphomatoid gastropathy has a low proliferative index (Ki-67) and an indolent clinical course with an improved prognosis. Notably, this disease is not associated with an EBV infection (13,14).

EATL type I is often observed in conjunction with refractory celiac disease and mainly occurs in the jejunum and ileum, but rarely occurs in the stomach. This lymphoma should also be distinguished from gastric NK/T-cell lymphoma. EATL type I possesses large or pleomorphic cells that are express CD3, partially express CD30, but usually do not express CD8 and CD56. EATL also lacks EBV RNA expression in an EBER in situ hybridization (15).

Mucosa-associated lymphoid tissue lymphoma and diffuse large B-cell lymphoma are other common types of lymphomas that occur in the stomach, where atypical lymphoid cells diffusely infiltrate the gastric mucosa. Furthermore, the B cell phenotype is characterized by the expression of CD20 and PAX5 (16,17). Consequently, these lymphomas may be easily distinguished from NK/T-cell lymphoma.

NK/T-cell lymphomas that express CD30, with or without CD56 expression, have been reported in previous studies in the nasal cavity, spleen, prostate and adrenal glands (7–10,18–20). However, to the best of our knowledge, no studies have reported this NK/T-cell lymphoma phenotype occurring in the stomach. The present study reports a unique case of primary gastric NK/T-cell lymphoma without CD56 expression and with diffuse CD30 expression in a 41-year-old woman. Due to the occurrence of this rare phenotype of NK/T-cell lymphoma, the present study recommends that the EBV status of a patient should be investigated to avoid a misdiagnosis.

References

1 

Kobold S, Merz H, Tiemann M, Mahuad C, Bokemeyer C, Koop I and Fiedler W: Primary NK/T cell lymphoma nasal type of the stomach with skin involvement, A case report. Rare Tumors. 1:e582009.PubMed/NCBI

2 

Chan JKC, Quintanilla-Martinez L, Ferry JA and Peh SC: Extranodal NK/T-cell lymphoma, nasal type. World Health Organization Classification of Tumours of Haematopoietic and Lymphoid Tissues. Swerdlow SH, Campo E, Harris NL, Jaffe ES, Pileri SA, Stein H, Thiele J and Vardiman JW: 2:(4th). (Lyon). IARC Press. 285–288. 2008.

3 

de Leval L and Gaulard P: Pathology and biology of peripheral T-cell lymphomas. Histopathology. 58:49–68. 2011. View Article : Google Scholar : PubMed/NCBI

4 

Romero Espejo H and Navarrete Siancas J: Classification of stomach adenocarcinomas. Rev Gastroenterol Peru. 23(3): 199–212. 2003.PubMed/NCBI

5 

Kim H, Lee D, Kim JW, Huh J, Park SH, Ha HK, Suh C, Yoon SM, Kim KJ, Choi KD, et al: Endoscopic and clinical analysis of primary T-cell lymphoma of the gastrointestinal tract according to pathological subtype. J Gastroenterol Hepatol. 29:934–943. 2014. View Article : Google Scholar : PubMed/NCBI

6 

Wang FH, Li YH, Zeng J, Rao HL, Xia ZJ, Sun XF, Huang HQ, Lin TY, Jiang WQ and Guan ZZ: Clinical analysis of primary systemic anaplastic large cell lymphoma, A report of 57 cases. Ai Zheng. 28:49–53. 2009.PubMed/NCBI

7 

Tsukahara T, Takasawa A, Murata M, Okumura K, Nakayama M, Sato N and Hasegawa T: NK/T-cell lymphoma of bilateral adrenal glands in a patient with pyothorax. Diagn Pathol. 7:1142012. View Article : Google Scholar : PubMed/NCBI

8 

Cao Q, Huang Y, Ye Z, Liu N, Li S and Peng T: Primary spleen extranodal NK/T cell lymphoma, nasal type, with bone marrow involvement and CD30 positive expression, A case report and literature review. Diagn Pathol. 9:1692014. View Article : Google Scholar : PubMed/NCBI

9 

Ferenczi K, Summers P, Aubert P, Cooper B, Meyerson H, Cooper KD and Honda K: A case of CD30+ nasal natural killer/T-cell lymphoma. Am J Dermatopathol. 30:567–571. 2008. View Article : Google Scholar : PubMed/NCBI

10 

Jiang Q, Liu S, Peng J, Xiong H, Xiong Z, Yang Y, Tan X and Gao X: An extraordinary T/NK lymphoma, nasal type, occurring primarily in the prostate gland with unusual CD30 positivity, Case report and review of the literature. Diagn Pathol. 8:942013. View Article : Google Scholar : PubMed/NCBI

11 

Bautista-Quach MA, Ake CD, Chen M and Wang J: Gastrointestinal lymphomas, Morphology, immunophenotype and molecular features. J Gastrointest Oncol. 3:209–225. 2012.PubMed/NCBI

12 

Kawamoto K, Nakamura S, Iwashita A, Watanabe J, Oshiro Y, Nakayama Y, Nimura S, Kimura N, Aoyagi K, Yao T, et al: Clinicopathological characteristics of primary gastric T-cell lymphoma. Histopathology. 55:641–653. 2009. View Article : Google Scholar : PubMed/NCBI

13 

Mansoor A, Pittaluga S, Beck PL, Wilson WH, Ferry JA and Jaffe ES: NK-cell enteropathy: a benign NK-cell lymphoproliferative disease mimicking intestinal lymphoma, clinicopathologic features and follow-up in a unique case series. Blood. 117:1447–1452. 2011. View Article : Google Scholar : PubMed/NCBI

14 

Tanaka T, Megahed N, Takata K, Asano N, Niwa Y, Hirooka Y and Goto H: A case of lymphomatoid gastropathy, An indolent CD56-positive atypical gastric lymphoid proliferation, mimicking aggressive NK/T cell lymphomas. Pathol Res Pract. 207:786–789. 2011. View Article : Google Scholar : PubMed/NCBI

15 

Wang L, Liu Y, Lin XY, Yu JH, Miao Y, Qiu XS and Wang EH: A case of enteropathy-associated T-cell lymphoma (type I) arising in stomach without refractory celiac disease. Diagn Pathol. 7:1722012. View Article : Google Scholar : PubMed/NCBI

16 

Ferreri AJ and Montalbán C: Primary diffuse large B-cell lymphoma of the stomach. Crit Rev Oncol Hematol. 63:65–71. 2007. View Article : Google Scholar : PubMed/NCBI

17 

Psyrri A, Papageorgiou S and Economopoulos T: Primary extranodal lymphomas of stomach, Clinical presentation, diagnostic pitfalls and management. Ann Oncol. 19:1992–1999. 2008. View Article : Google Scholar : PubMed/NCBI

18 

Chang BH, Stork L and Fan G: A unique case of adolescent CD56-negative extranodal NK/T-cell lymphoma, nasal type. Pediatr Dev Pathol. 11:50–54. 2008. View Article : Google Scholar : PubMed/NCBI

19 

Pongpruttipan T, Kummalue T, Bedavanija A, Khuhapinant A, Ohshima K, Arakawa F, Niino D and Sukpanichnant S: Aberrant antigenic expression in extranodal NK/T-cell lymphoma, A multi-parameter study from Thailand. Diagn Pathol. 6:792011. View Article : Google Scholar : PubMed/NCBI

20 

Schwartz EJ, Molina-Kirsch H, Zhao S, Marinelli RJ, Warnke RA and Natkunam Y: Immunohistochemical characterization of nasal-type extranodal NK/T-cell lymphoma using a tissue microarray, An analysis of 84 cases. Am J Clin Pathol. 130:343–351. 2008. View Article : Google Scholar : PubMed/NCBI

Related Articles

  • Abstract
  • View
  • Download
  • Twitter
Copy and paste a formatted citation
Spandidos Publications style
Zhang L, Zhang P, Wen J, Chen X and Zhang H: Primary gastric natural killer/T-cell lymphoma with diffuse CD30 expression and without CD56 expression: A case report. Oncol Lett 11: 969-972, 2016.
APA
Zhang, L., Zhang, P., Wen, J., Chen, X., & Zhang, H. (2016). Primary gastric natural killer/T-cell lymphoma with diffuse CD30 expression and without CD56 expression: A case report. Oncology Letters, 11, 969-972. https://doi.org/10.3892/ol.2015.4015
MLA
Zhang, L., Zhang, P., Wen, J., Chen, X., Zhang, H."Primary gastric natural killer/T-cell lymphoma with diffuse CD30 expression and without CD56 expression: A case report". Oncology Letters 11.2 (2016): 969-972.
Chicago
Zhang, L., Zhang, P., Wen, J., Chen, X., Zhang, H."Primary gastric natural killer/T-cell lymphoma with diffuse CD30 expression and without CD56 expression: A case report". Oncology Letters 11, no. 2 (2016): 969-972. https://doi.org/10.3892/ol.2015.4015
Copy and paste a formatted citation
x
Spandidos Publications style
Zhang L, Zhang P, Wen J, Chen X and Zhang H: Primary gastric natural killer/T-cell lymphoma with diffuse CD30 expression and without CD56 expression: A case report. Oncol Lett 11: 969-972, 2016.
APA
Zhang, L., Zhang, P., Wen, J., Chen, X., & Zhang, H. (2016). Primary gastric natural killer/T-cell lymphoma with diffuse CD30 expression and without CD56 expression: A case report. Oncology Letters, 11, 969-972. https://doi.org/10.3892/ol.2015.4015
MLA
Zhang, L., Zhang, P., Wen, J., Chen, X., Zhang, H."Primary gastric natural killer/T-cell lymphoma with diffuse CD30 expression and without CD56 expression: A case report". Oncology Letters 11.2 (2016): 969-972.
Chicago
Zhang, L., Zhang, P., Wen, J., Chen, X., Zhang, H."Primary gastric natural killer/T-cell lymphoma with diffuse CD30 expression and without CD56 expression: A case report". Oncology Letters 11, no. 2 (2016): 969-972. https://doi.org/10.3892/ol.2015.4015
Follow us
  • Twitter
  • LinkedIn
  • Facebook
About
  • Spandidos Publications
  • Careers
  • Cookie Policy
  • Privacy Policy
How can we help?
  • Help
  • Live Chat
  • Contact
  • Email to our Support Team