Spandidos Publications Logo
  • About
    • About Spandidos
    • Aims and Scopes
    • Abstracting and Indexing
    • Editorial Policies
    • Reprints and Permissions
    • Job Opportunities
    • Terms and Conditions
    • Contact
  • Journals
    • All Journals
    • Oncology Letters
      • Oncology Letters
      • Information for Authors
      • Editorial Policies
      • Editorial Board
      • Aims and Scope
      • Abstracting and Indexing
      • Bibliographic Information
      • Archive
    • International Journal of Oncology
      • International Journal of Oncology
      • Information for Authors
      • Editorial Policies
      • Editorial Board
      • Aims and Scope
      • Abstracting and Indexing
      • Bibliographic Information
      • Archive
    • Molecular and Clinical Oncology
      • Molecular and Clinical Oncology
      • Information for Authors
      • Editorial Policies
      • Editorial Board
      • Aims and Scope
      • Abstracting and Indexing
      • Bibliographic Information
      • Archive
    • Experimental and Therapeutic Medicine
      • Experimental and Therapeutic Medicine
      • Information for Authors
      • Editorial Policies
      • Editorial Board
      • Aims and Scope
      • Abstracting and Indexing
      • Bibliographic Information
      • Archive
    • International Journal of Molecular Medicine
      • International Journal of Molecular Medicine
      • Information for Authors
      • Editorial Policies
      • Editorial Board
      • Aims and Scope
      • Abstracting and Indexing
      • Bibliographic Information
      • Archive
    • Biomedical Reports
      • Biomedical Reports
      • Information for Authors
      • Editorial Policies
      • Editorial Board
      • Aims and Scope
      • Abstracting and Indexing
      • Bibliographic Information
      • Archive
    • Oncology Reports
      • Oncology Reports
      • Information for Authors
      • Editorial Policies
      • Editorial Board
      • Aims and Scope
      • Abstracting and Indexing
      • Bibliographic Information
      • Archive
    • Molecular Medicine Reports
      • Molecular Medicine Reports
      • Information for Authors
      • Editorial Policies
      • Editorial Board
      • Aims and Scope
      • Abstracting and Indexing
      • Bibliographic Information
      • Archive
    • World Academy of Sciences Journal
      • World Academy of Sciences Journal
      • Information for Authors
      • Editorial Policies
      • Editorial Board
      • Aims and Scope
      • Abstracting and Indexing
      • Bibliographic Information
      • Archive
    • International Journal of Functional Nutrition
      • International Journal of Functional Nutrition
      • Information for Authors
      • Editorial Policies
      • Editorial Board
      • Aims and Scope
      • Abstracting and Indexing
      • Bibliographic Information
      • Archive
    • International Journal of Epigenetics
      • International Journal of Epigenetics
      • Information for Authors
      • Editorial Policies
      • Editorial Board
      • Aims and Scope
      • Abstracting and Indexing
      • Bibliographic Information
      • Archive
    • Medicine International
      • Medicine International
      • Information for Authors
      • Editorial Policies
      • Editorial Board
      • Aims and Scope
      • Abstracting and Indexing
      • Bibliographic Information
      • Archive
  • Articles
  • Information
    • Information for Authors
    • Information for Reviewers
    • Information for Librarians
    • Information for Advertisers
    • Conferences
  • Language Editing
Spandidos Publications Logo
  • About
    • About Spandidos
    • Aims and Scopes
    • Abstracting and Indexing
    • Editorial Policies
    • Reprints and Permissions
    • Job Opportunities
    • Terms and Conditions
    • Contact
  • Journals
    • All Journals
    • Biomedical Reports
      • Information for Authors
      • Editorial Policies
      • Editorial Board
      • Aims and Scope
      • Abstracting and Indexing
      • Bibliographic Information
      • Archive
    • Experimental and Therapeutic Medicine
      • Information for Authors
      • Editorial Policies
      • Editorial Board
      • Aims and Scope
      • Abstracting and Indexing
      • Bibliographic Information
      • Archive
    • International Journal of Epigenetics
      • Information for Authors
      • Editorial Policies
      • Editorial Board
      • Aims and Scope
      • Abstracting and Indexing
      • Bibliographic Information
      • Archive
    • International Journal of Functional Nutrition
      • Information for Authors
      • Editorial Policies
      • Editorial Board
      • Aims and Scope
      • Abstracting and Indexing
      • Bibliographic Information
      • Archive
    • International Journal of Molecular Medicine
      • Information for Authors
      • Editorial Policies
      • Editorial Board
      • Aims and Scope
      • Abstracting and Indexing
      • Bibliographic Information
      • Archive
    • International Journal of Oncology
      • Information for Authors
      • Editorial Policies
      • Editorial Board
      • Aims and Scope
      • Abstracting and Indexing
      • Bibliographic Information
      • Archive
    • Medicine International
      • Information for Authors
      • Editorial Policies
      • Editorial Board
      • Aims and Scope
      • Abstracting and Indexing
      • Bibliographic Information
      • Archive
    • Molecular and Clinical Oncology
      • Information for Authors
      • Editorial Policies
      • Editorial Board
      • Aims and Scope
      • Abstracting and Indexing
      • Bibliographic Information
      • Archive
    • Molecular Medicine Reports
      • Information for Authors
      • Editorial Policies
      • Editorial Board
      • Aims and Scope
      • Abstracting and Indexing
      • Bibliographic Information
      • Archive
    • Oncology Letters
      • Information for Authors
      • Editorial Policies
      • Editorial Board
      • Aims and Scope
      • Abstracting and Indexing
      • Bibliographic Information
      • Archive
    • Oncology Reports
      • Information for Authors
      • Editorial Policies
      • Editorial Board
      • Aims and Scope
      • Abstracting and Indexing
      • Bibliographic Information
      • Archive
    • World Academy of Sciences Journal
      • Information for Authors
      • Editorial Policies
      • Editorial Board
      • Aims and Scope
      • Abstracting and Indexing
      • Bibliographic Information
      • Archive
  • Articles
  • Information
    • For Authors
    • For Reviewers
    • For Librarians
    • For Advertisers
    • Conferences
  • Language Editing
Login Register Submit
  • This site uses cookies
  • You can change your cookie settings at any time by following the instructions in our Cookie Policy. To find out more, you may read our Privacy Policy.

    I agree
Search articles by DOI, keyword, author or affiliation
Search
Advanced Search
presentation
Oncology Letters
Join Editorial Board Propose a Special Issue
Print ISSN: 1792-1074 Online ISSN: 1792-1082
Journal Cover
February-2016 Volume 11 Issue 2

Full Size Image

Sign up for eToc alerts
Recommend to Library

Journals

International Journal of Molecular Medicine

International Journal of Molecular Medicine

International Journal of Molecular Medicine is an international journal devoted to molecular mechanisms of human disease.

International Journal of Oncology

International Journal of Oncology

International Journal of Oncology is an international journal devoted to oncology research and cancer treatment.

Molecular Medicine Reports

Molecular Medicine Reports

Covers molecular medicine topics such as pharmacology, pathology, genetics, neuroscience, infectious diseases, molecular cardiology, and molecular surgery.

Oncology Reports

Oncology Reports

Oncology Reports is an international journal devoted to fundamental and applied research in Oncology.

Experimental and Therapeutic Medicine

Experimental and Therapeutic Medicine

Experimental and Therapeutic Medicine is an international journal devoted to laboratory and clinical medicine.

Oncology Letters

Oncology Letters

Oncology Letters is an international journal devoted to Experimental and Clinical Oncology.

Biomedical Reports

Biomedical Reports

Explores a wide range of biological and medical fields, including pharmacology, genetics, microbiology, neuroscience, and molecular cardiology.

Molecular and Clinical Oncology

Molecular and Clinical Oncology

International journal addressing all aspects of oncology research, from tumorigenesis and oncogenes to chemotherapy and metastasis.

World Academy of Sciences Journal

World Academy of Sciences Journal

Multidisciplinary open-access journal spanning biochemistry, genetics, neuroscience, environmental health, and synthetic biology.

International Journal of Functional Nutrition

International Journal of Functional Nutrition

Open-access journal combining biochemistry, pharmacology, immunology, and genetics to advance health through functional nutrition.

International Journal of Epigenetics

International Journal of Epigenetics

Publishes open-access research on using epigenetics to advance understanding and treatment of human disease.

Medicine International

Medicine International

An International Open Access Journal Devoted to General Medicine.

Journal Cover
February-2016 Volume 11 Issue 2

Full Size Image

Sign up for eToc alerts
Recommend to Library

  • Article
  • Citations
    • Cite This Article
    • Download Citation
    • Create Citation Alert
    • Remove Citation Alert
    • Cited By
  • Similar Articles
    • Related Articles (in Spandidos Publications)
    • Similar Articles (Google Scholar)
    • Similar Articles (PubMed)
  • Download PDF
  • Download XML
  • View XML
Article

Gamma Knife radiosurgery for the treatment of cavernous sinus hemangiomas

  • Authors:
    • Qingsheng Xu
    • Jian Shen
    • Yiping Feng
    • Renya Zhan
  • View Affiliations / Copyright

    Affiliations: Department of Neurosurgery, The First Affiliated Hospital, College of Medicine, Zhejiang University, Hangzhou, Zhejiang 310003, P.R. China
  • Pages: 1545-1548
    |
    Published online on: December 23, 2015
       https://doi.org/10.3892/ol.2015.4053
  • Expand metrics +
Metrics: Total Views: 0 (Spandidos Publications: | PMC Statistics: )
Metrics: Total PDF Downloads: 0 (Spandidos Publications: | PMC Statistics: )
Cited By (CrossRef): 0 citations Loading Articles...

This article is mentioned in:



Abstract

The present retrospective study aimed to analyze the outcome of patients with cavernous sinus hemangioma (CSH) treated with Gamma Knife radiosurgery (GKS). Between August 2011 and April 2014, 7 patients with CSHs underwent GKS. GKS was performed as the sole treatment option in 5 patients, whilst partial resection had been performed previously in 1 patient and biopsy had been performed in 1 patient. The mean volume of the tumors at the time of GKS was 12.5±10.2 cm3 (range, 5.3‑33.2 cm3), and the median prescription of peripheral dose was 14.0 Gy (range, 10.0‑15.0 Gy). The mean follow‑up period was 20 months (range, 6‑40 months). At the last follow‑up, the lesion volume had decreased in all patients, and all cranial neuropathies observed prior to GKS had improved. There were no radiation‑induced neuropathies or complications during the follow‑up period. GKS appears to be an effective and safe treatment modality for the management of CSHs.

Introduction

Cavernous sinus hemangiomas (CSHs) are rare extra-axial vascular neoplasms that reportedly account for <2% of cavernous sinus tumors, both benign and malignant (1,2). CSHs differ from other intra-axial cavernous malformations in the brain as they represent true vascular neoplasms, and the associated symptoms are produced as a result of progressive growth of the tumor and mass effects (3).

The optimal treatment strategy for this condition remains controversial. Microsurgical approaches may lead to severe bleeding and even operative death (4,5). As radiotherapy prior to surgical resection has demonstrated some benefit, radiosurgery appears to be a promising treatment modality for the management of lesions in the cavernous sinus. Recently, radiosurgery is being used for primary or postoperative management of patients with CSHs and favorable treatment results have been reported (1,6).

Thus, the current study was conducted with the aim of evaluating the efficacy and safety of Gamma Knife radiosurgery (GKS) in the management of CSHs.

Materials and methods

Patient characteristics

Between August 2011 and April 2014, 7 patients with CSH who were treated by GKS were enrolled into this retrospective study. With regard to prior treatments, 2 patients had undergone surgical resection prior to GKS, while the remaining 5 patients underwent GKS as a primary treatment under the typical neuroimaging diagnosis including sharply delineated tumors, low to isointense mass lesions on T1-weighted images, extremely high intensity on T2-weighted images (as bright as cerebrospinal fluid signal), and strong homogeneous or heterogeneous enhancement in gadolinium-enhanced imagine, as described elsewhere (1,7,8).

GKS protocol

All treatments were performed using the Leksell Gamma Knife Perfexion™ (Elekta AB, Stockholm, Sweden). The Leksell Model G stereotactic frame (Elekta AB) was applied to the patient's head under local anesthesia. A high resolution and thin-slice volumetric, gadolinium-enhanced magnetic resonance imaging (MRI) scan was obtained the day prior to treatment. Using the GammaPlan software (Elekta AB, Crawley, UK), the neurosurgeon and medical physicists designed the dose plan. The radiosurgery isodose, maximum dose and marginal dose were initially determined according to the tumor volume calculated during dose planning. Multiple isocenter planning was used to minimize the radiation exposure of the optic pathway and other critical neural structures.

Follow-up examinations

Following treatment, all patients received regular clinical and radiological follow-up at intervals of 3 months during the first year, and at 6-month intervals thereafter. Tumor control was classified as ‘remarkable shrinkage’ (tumor volume on follow-up images of <50% of the volume prior to GKS), ‘minimal shrinkage’ (tumor volume of 50–75% of the tumor volume prior to GKS) or ‘stationary’ (tumor volume of 75–125% of the tumor volume prior to GKS). ‘Tumor progression’ covered all other circumstances (9).

Results

Among the patient group, there were 2 males and 5 females, with a median age of 50.0 years (range, 39–64 years). The predominant symptoms and signs were headache, or symptoms related to diplopia and ophthalmoplegia. The clinical characteristics of the patients and treatment parameters are summarized in Table I.

Table I.

Summary of the characteristics of patients with cavernous sinus hemangioma.

Table I.

Summary of the characteristics of patients with cavernous sinus hemangioma.

Tumor volume (cm3)

Age (years)M/FPresenting symptomPre-GKS treatmentDose (Gy)IntraGKSEndFollow-up (months)Volume reduction
45FHeadacheNone1410.55.9  6MS
59MDiplopiaSurgery15  3.81.112RS
63FFacial hypoesthesiaNone1410.62.222RS
41FDiplopiaBiopsy1033.22.540RS
39FHeadacheNone1217.52.028RS
50MOphthalmoplegiaNone15  6.51.216RS
64FHeadacheNone15  5.31.318RS

[i] GKS, Gamma Knife radiosurgery; F, female; M, male; RS, remarkable shrinkage; MS, minimal shrinkage. All patients exhibited an improved symptom response and no complications.

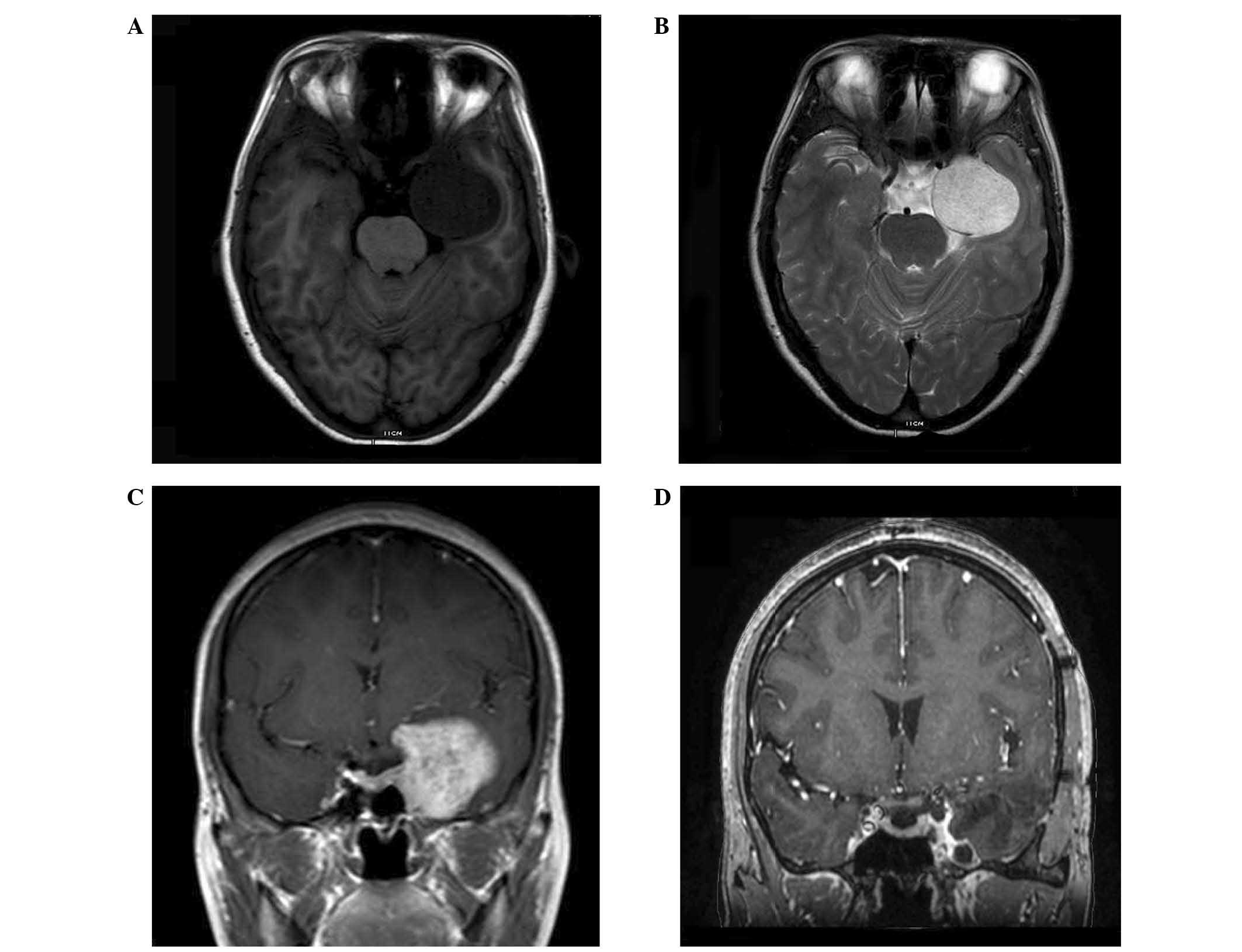
Radiologically, an iso or low signal intensity on T1-weighted MRI, and a bright, high signal intensity on T2-weighted MRI was observed in all patients. All tumors exhibited strong enhancement following administration of the contrast medium gadolinium-diethylene triamine pentaacetic acid (Fig. 1A–C).

Figure 1.

MRI revealed a cavernous sinus hemangioma on the left side. (A) Axial T1-weighted imaging showed a low-signal intensity lesion; (B) T2 weighting revealed a high signal intensity lesion; (C) Coronal T1-weighted contrast-enhanced imaging revealed strong enhancement and a pre-treatment tumor volume of 33.2 cm3, and (D) at 40 months after treatment, the tumor volume shrank to 2.5 cm3.

At the time of radiosurgery, the mean volume of the CSHs was 12.5±10.2 cm3 (range, 5.3–33.2 cm3), and the median marginal dose at the 50% isodose line was 14.0 Gy (range, 10.0–15.0 Gy).

Tumor control was achieved in all patients during the follow-up period. Remarkable shrinkage was achieved in 6 patients and minimal shrinkage was achieved in 1 patient. The patient with minimal shrinkage was observed during the 6 months follow-up, and the volume was reduced from 10.5 cm3 to 5.9 cm3 (reduced 44%). In another patient with 40 months of follow-up, the tumor volume reduced from 33.2 cm3 to 2.5 cm3, only 7.5% of the initial volume. No patients experienced tumor progression prior to the date of last follow-up.

The most common presenting symptom was cranial neuropathy, which affected 4 patients. In these patients, remission of cranial neuropathies was observed following treatment by GKS. Headache was present in 3 patients and was completely resolved following treatment. No adverse radiation effects were observed in the patients during the follow-up period.

Discussion

Although recent advances in microsurgical techniques have been made, the use of surgery to remove CSHs is frequently challenging (5); this is due to the critical anatomical structures located in the cavernous sinus, and the persistent bleeding from the tumor during surgical resection or even attempted biopsy sampling (6). In a study by Linskey et al (4), in which 52 surgical cases in the literature were reviewed, the total removal rate was only 44%, and cranial neuropathies were exacerbated by surgery in 12 patients (44.4%).

For patients with residual or inoperable tumors, radiotherapy often demonstrates benefits in terms of remarkable tumor shrinkage (10,11). Considering the proximity of the optic nerve and optic chiasm, which are considered to be organs at risk of damage during radiotherapy, the use of stereotactic irradiation is increasing (6). Iwai et al (12) reported the first case of CSHs treated with GKS in 1999. Since that time, GKS has been used for primary or postoperative management of patients with CSHs, and favorable treatment results have been reported (1,6,13).

A previous meta-analysis reported that stereotactic radiosurgery (SRS) is an effective and safe treatment option for patients with CSHs; tumor shrinkage was identified in >90% of patients, and new cranial neuropathies developed in only 1.7% of patients (1). In the present study, remarkable post-GKS tumor shrinkage was also identified without causing any new deficits. The long-term results appear to be favorable, and no surgical interventions have been required so far.

The marginal doses delivered to the lesions require the thorough consideration of radiation injury of the critical structures around the cavernous sinus, including the optic apparatus. Nakamura et al (14) suggested that the treatment of CSHs necessitated lower radiosurgical doses compared with those required for other benign tumors. Yamamoto et al (6) analyzed dose-treatment responses in 38 reported cases of CSH treated with radiosurgery, suggesting that a peripheral dose of 14–15 Gy was sufficient for controlling CSH growth, and that 10–12 Gy was the threshold dose for the control of tumor growth. In the current study, 1 patient who was diagnosed by biopsy had a tumor volume of 33.2 cm3 and was treated with a low marginal dose (10 Gy). The tumor volume was subsequently reduced to only 7.5% of the initial volume, which indicated that CSH were highly radiosensitive. The ipsilateral abducens nerve palsy was observed to be in a state of partial remission during the 40 months of follow-up (Fig. 1D).

The current study had several limitations, including its small sample size, lack of pathological confirmation and relatively short follow-up period. However, the results may still be helpful considering the prompt response of the CSHs to GKS relatively soon after treatment, and given the rarity of CSHs.

In conclusion, GKS appears to be an effective and safe treatment modality for the management of CSHs, and may be used as a primary treatment in such cases. Further studies with long-term follow-up and larger numbers of cases are necessary to optimize the treatment conditions and verify the benefit of this treatment.

Glossary

Abbreviations

Abbreviations:

CSH

cavernous sinus hemangioma

GKS

Gamma Knife radiosurgery

MRI

magnetic resonance imaging

SRS

stereotactic radiosurgery

References

1 

Wang X, Mei G, Liu X, Dai J, Pan L and Wang E: The role of stereotactic radiosurgery in cavernous sinus hemangiomas: A systematic review and meta-analysis. J Neurooncol. 107:239–245. 2012. View Article : Google Scholar : PubMed/NCBI

2 

Gliemroth J, Missler U and Sepehrnia A: Cavernous angioma as a rare neuroradiologic finding in the cavernous sinus. J Clin Neurosci. 7:554–557. 2000. View Article : Google Scholar : PubMed/NCBI

3 

Chou CW, Wu HM, Huang CI, Chung WY, Guo WY, Shih YH, Lee LS and Pan DH: Gamma knife surgery for cavernous hemangiomas in the cavernous sinus. Neurosurgery. 67:611–616. 2010. View Article : Google Scholar : PubMed/NCBI

4 

Linskey ME and Sekhar N: Cavernous sinus hemangiomas: A series, a review and an hypothesis. Neurosurgery. 30:101–108. 1992. View Article : Google Scholar : PubMed/NCBI

5 

Zhou LF, Mao Y and Chen L: Diagnosis and surgical treatment of cavernous sinus hemangiomas: An experience of 20 cases. Surg Neurol. 60:31–36. 2003. View Article : Google Scholar : PubMed/NCBI

6 

Yamamoto M, Kida Y, Fukuoka S, Iwai Y, Jokura H, Akabane A and Serizawa T: Gamma Knife radiosurgery for hemangiomas of the cavernous sinus: A seven-institute study in Japan. J Neurosurg. 112:772–777. 2010. View Article : Google Scholar : PubMed/NCBI

7 

Fraser JF, Mass AY, Brown S, Anand VK and Schwartz TH: Transnasal endoscopic resection of a cavernous sinus hemangioma: Technical note and review of the literature. Skull Base. 18:309–315. 2008. View Article : Google Scholar : PubMed/NCBI

8 

Kida Y, Kobayashi T and Mori Y: Radiosurgery of cavernous hemangiomas in the cavernous sinus. Surg Neurol. 56:117–123. 2001. View Article : Google Scholar : PubMed/NCBI

9 

Song SW, Kim DG, Chung HT, Paek SH, Han JH, Kim YH, Kim JW, Kim YH and Jung HW: Stereotactic radiosurgery for cavernous sinus hemangiomas. J Neurooncol. 118:163–168. 2014. View Article : Google Scholar : PubMed/NCBI

10 

Rigamonti D, Pappas CT, Spetzler RF and Johnson PC: Extracerebral cavernous angiomas of the middle fossa. Neurosurgery. 27:306–310. 1990. View Article : Google Scholar : PubMed/NCBI

11 

Shibata S and Mori K: Effect of radiation therapy on extracerebral cavernous hemangioma in the middle fossa. Report of three cases. J Neurosurg. 67:919–922. 1987. View Article : Google Scholar : PubMed/NCBI

12 

Iwai Y, Yamanaka K, Nakajima H and Yasui T: Stereotactic radiosurgery for cavernous sinus cavernous hemangioma-case report. Neurol Med Chir (Tokyo). 39:288–290. 1999. View Article : Google Scholar : PubMed/NCBI

13 

Thompson TP, Lunsford LD and Flickinger JC: Radiosurgery for hemangiomas of the cavernous sinus and orbit: Technical case report. Neurosurgery. 47:778–783. 2000. View Article : Google Scholar : PubMed/NCBI

14 

Nakamura N, Shin M, Tago M, Terahara A, Kurita H, Nakagawa K and Ohtomo K: Gamma knife radiosurgery for cavernous hemangiomas in the cavernous sinus. Report of three cases. J Neurosurg. 97:477–480. 2002.PubMed/NCBI

Related Articles

  • Abstract
  • View
  • Download
  • Twitter
Copy and paste a formatted citation
Spandidos Publications style
Xu Q, Shen J, Feng Y and Zhan R: Gamma Knife radiosurgery for the treatment of cavernous sinus hemangiomas. Oncol Lett 11: 1545-1548, 2016.
APA
Xu, Q., Shen, J., Feng, Y., & Zhan, R. (2016). Gamma Knife radiosurgery for the treatment of cavernous sinus hemangiomas. Oncology Letters, 11, 1545-1548. https://doi.org/10.3892/ol.2015.4053
MLA
Xu, Q., Shen, J., Feng, Y., Zhan, R."Gamma Knife radiosurgery for the treatment of cavernous sinus hemangiomas". Oncology Letters 11.2 (2016): 1545-1548.
Chicago
Xu, Q., Shen, J., Feng, Y., Zhan, R."Gamma Knife radiosurgery for the treatment of cavernous sinus hemangiomas". Oncology Letters 11, no. 2 (2016): 1545-1548. https://doi.org/10.3892/ol.2015.4053
Copy and paste a formatted citation
x
Spandidos Publications style
Xu Q, Shen J, Feng Y and Zhan R: Gamma Knife radiosurgery for the treatment of cavernous sinus hemangiomas. Oncol Lett 11: 1545-1548, 2016.
APA
Xu, Q., Shen, J., Feng, Y., & Zhan, R. (2016). Gamma Knife radiosurgery for the treatment of cavernous sinus hemangiomas. Oncology Letters, 11, 1545-1548. https://doi.org/10.3892/ol.2015.4053
MLA
Xu, Q., Shen, J., Feng, Y., Zhan, R."Gamma Knife radiosurgery for the treatment of cavernous sinus hemangiomas". Oncology Letters 11.2 (2016): 1545-1548.
Chicago
Xu, Q., Shen, J., Feng, Y., Zhan, R."Gamma Knife radiosurgery for the treatment of cavernous sinus hemangiomas". Oncology Letters 11, no. 2 (2016): 1545-1548. https://doi.org/10.3892/ol.2015.4053
Follow us
  • Twitter
  • LinkedIn
  • Facebook
About
  • Spandidos Publications
  • Careers
  • Cookie Policy
  • Privacy Policy
How can we help?
  • Help
  • Live Chat
  • Contact
  • Email to our Support Team