International Journal of Molecular Medicine is an international journal devoted to molecular mechanisms of human disease.
International Journal of Oncology is an international journal devoted to oncology research and cancer treatment.
Covers molecular medicine topics such as pharmacology, pathology, genetics, neuroscience, infectious diseases, molecular cardiology, and molecular surgery.
Oncology Reports is an international journal devoted to fundamental and applied research in Oncology.
Experimental and Therapeutic Medicine is an international journal devoted to laboratory and clinical medicine.
Oncology Letters is an international journal devoted to Experimental and Clinical Oncology.
Explores a wide range of biological and medical fields, including pharmacology, genetics, microbiology, neuroscience, and molecular cardiology.
International journal addressing all aspects of oncology research, from tumorigenesis and oncogenes to chemotherapy and metastasis.
Multidisciplinary open-access journal spanning biochemistry, genetics, neuroscience, environmental health, and synthetic biology.
Open-access journal combining biochemistry, pharmacology, immunology, and genetics to advance health through functional nutrition.
Publishes open-access research on using epigenetics to advance understanding and treatment of human disease.
An International Open Access Journal Devoted to General Medicine.
Urothelial carcinoma of the bladder accounts for ~90% of bladder cancers that occur in the United States and Western Europe and is roughly 3 times more common in men than women (1). However, primary mucinous adenocarcinoma of the bladder is an extremely rare urologic entity, which is observed in <2% of all urinary bladder tumors and often presents as metastatic (1). Young adults are rarely diagnosed with bladder cancer, and it is even more unusual to find a case of mucinous adenocarcinoma at this age. Certain epidemiologic studies have identified various chemical carcinogens considered to be associated with development of bladder cancer, with cigarette smoking being reported to be responsible for roughly half of the cases (1). In addition, previous studies have also highlighted occupational exposure to different chemicals or carcinogens, which may be associated with ~20% of bladder cancer cases. The purpose of the present case report is to highlight a rare case of mucinous adenocarcinoma of the bladder in a 27-year-old Hispanic male who presented with no risk factors that have previously been associated with this or any form of bladder cancer and to investigate whether a correlation exists between this malignancy and other cancers, specifically colon cancer. Written informed consent was obtained from the patient.
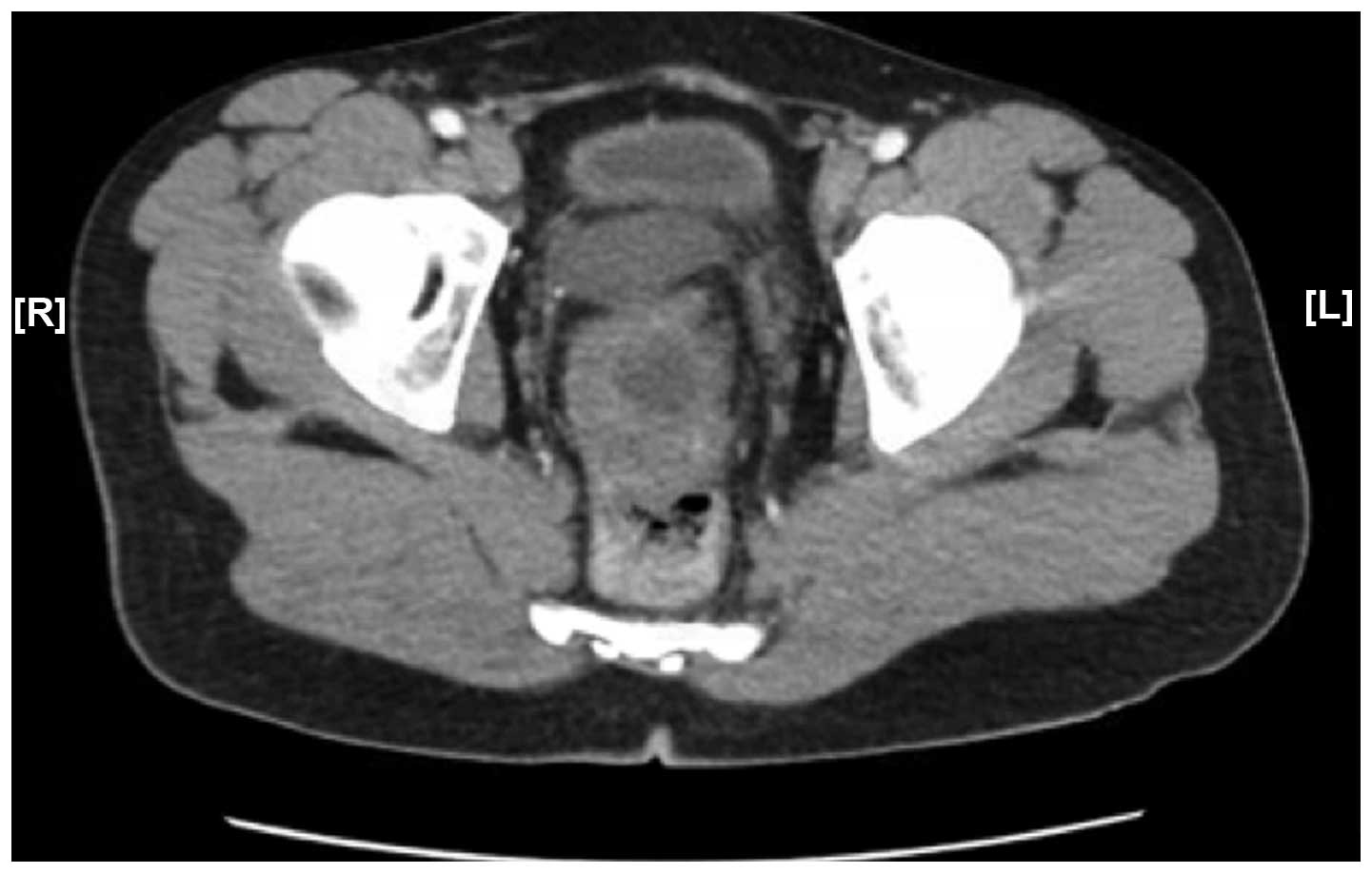
In August 2014, a 27-year-old Hispanic male patient presented to the Emergency Department of Raritan Bay Medical Center (Perth Amboy, NJ, USA) with the complaint of novel onset gross painless hematuria following a 4-month history of generalized abdominal pain. The patient's history revealed that he was born in Peru, is a non-smoker, drinks socially, and the only relevant family history is that his father had colon cancer. The patient stated he has been working at UPS for only a few years and his job requires him to load trucks, however the patient was unaware of any chemical exposure. The patient underwent computed tomography (CT) scan on the abdomen and pelvis without contrast which revealed a partially calcified mass at the dome of the urinary bladder with infiltration of the adjacent lower abdominal mesentery. The patient then underwent a multiphasic post-contrast CT scan of the abdomen/pelvis (Fig. 1) which also demonstrated a coarsely calcified mass at the dome of urinary bladder with reticulation of the mesenteric fat with nodular mesenteric implants indicating peritoneal carcinomatosis. Following diagnosis, cystoscopy with transurethral resection of bladder tumor was performed with insertion of a right ureteral stent and bladder biopsies were taken. However, complete resection of the tumor was not possible due to the extensive nature of the tumor. Following dome-biopsy, a diagnosis was made of urachal primary mucinous adenocarcinoma with prominent signet ring features and extension into the subepithelial connective tissues. The tumor was staged at pT1, according to the modified International Union for Cancer Control staging criteria (2), but a higher stage could not be established from the sample biopsied at the time. Immunohistochemical analysis revealed that the tumor cells were strongly positive for CK20 and CDX2 and negative for p53, CK7, keratin 903, thrombomodulin, and p63. Post resection, the patient remains alive and responded well to a 6-week course of Bacillus Calmette-Guerin intravesical chemotherapy administered in October 2014 at the Rutgers Cancer Institute of New Jersey (New Brunswick, NJ, USA).
Bladder cancer is rare in patients under the age of 40, and mucinous adenocarcinoma is a particularly rare form, which is only observed in <2% of all bladder cancer cases (3). The majority of primary adenocarcionams of the urinary bladder (50–60%) stem from the bladder base and the majority of the remaining cases are associated with urachal remnants (4). A previous study proposed the hypothesis that adenocarcinomas result from intestinal metaplasia caused by chronic irritation and although those arising in areas of urachal remnants may differ from those at the base, these malignancies are similar in behavior and pathology (3). Mucinous adeonocarcimas are composed primarily of lakes of extracellular mucin, which are found within collections of tumor cells. These foci of mucin comprise at least half of the tumor mass (3).
In the present study, the patient was diagnosed with mucinous adenocarcinoma arising from the dome of the bladder rather than the base, and similar reports have not been well documented at a young age. The patient presented with painless hematuria, which is the most common symptom, however the patient's history did not demonstrate a clear correlation with any significant risk factor that may suggest the emergence of bladder cancer. The patient was a 27-year-old Hispanic man, a non-smoker, and with no clear occupational risk factors, illustrating that there may be idiopathic as well as undiscovered risk factors for development of bladder cancer.
A previous study analyzed age, gender, smoking status, in addition to occupational exposure were compared in individuals with bladder cancer to those without (5). The distribution of smoking status differed significantly in patients and controls. More specifically, 73% of patients were at least one-time smokers as compared to 53.3% of controls. Bladder cancer patients were also found to be much heavier smokers (mean pack-years, 43.1) than that of the controls (mean pack-years, 28.8) (P<0.0001) (5), whereby 1 pack-year is equivalent to smoking 20 cigarettes (1 pack) daily for 1 year.
The same study further documented the correlation between bladder cancer and work history. It demonstrated there was an increased risk for occupations in the medical/health field with an odds ratio of 2.17 and 95% confidence interval (CI) of 1.21 to 3.92 as well as a similar documented result for waiters and bartenders (5). The patient in the present study however, did not have such exposure. Borderline significant associations were also observed in electrical assembly, installation and repair, law and jurisprudence as well. There was also a non-significant elevated risk of urothelial bladder cancer (UBC) in occupations associated with motor freight, general farming, and structural work (5). Therefore, it is apparent that no clear association has been made with job history and risk of bladder cancer, but instead numerous different occupations have shown a slight correlation with bladder cancer.
Although the patient in the present case report gave an employment history of loading trucks, the patient had worked there for <10 years. The same study performed an analysis that was stratified by the duration of employment. The data showed a significantly elevated risk of UBC evident amongst those employed for 10 years or more in occupations related to electrical assembly, installation and repair [odd ratio (OR) 4.37; 95% CI 1.62 to 11.77], bench work (OR 4.76; 95% CI 1.74 to 13.01), medicine and healthcare (OR 3.07; 95% CI 1.47 to 6.40), as well as structural work (OR 1.85; 95% CI 1.16 to 2.95) (5). Overall the study came to the conclusion that there was in fact an increased risk amongst workers of repair, electrical assembly, communication, transportation, and the equipment industry who were employed for >10 years. A similar study by Kogevinas et al (6) combined the data from 11 case studies in Europe and demonstrated an elevated risk amongst electrical workers with an odds ratio of 3.99 and 95% CI of 1.10 to 14.51.
Moreover, the above studies illustrated some exposure associated with a long-term history of work related occupational exposure, which may more or less be secondary to chemical or carcinogens exposures. However, such correlations in a non-smoker at a young age cannot be proven and thus this case illustrates a rare incidence of mucinous adenocarcinoma with no known risk factor. CK20 and CDX2 were tumor markers found to be expressed in the tumor from the present patient and have previously been shown to be prominent in some other malignancies, such as colorectal cancer (7). It therefore raises the hypothesis, whether a family history of colon cancer increases the risk of bladder cancer at a younger age and whether a patient with a positive family history of colon cancer with particular markers should have early screening for bladder cancer.
Although the oncogenesis of urothelial tumors in young patients is unclear, multiple environmental and genetic factors may contribute to the etiology. The amount of tobacco smoking and certain occupation exposure have been documented to be known risk factors for urothelial tumors. The causes of bladder cancer in the young age group however have not been well reported in the literature. Furthermore, further research should determine whether a young patient diagnosed with bladder cancer with tumor markers may necessitate early colonoscopy screening. A patient under the age of 30 with no past medical history, a non-smoker, and little exposure in the work space presenting with such symptoms demonstrates the unclear etiologies of this form of malignancy, which are yet to be fully studied and brings into question whether there is any association with bladder cancer and the development of other cancers.
|
Stanton ML, Xiao L, Czerniak BA and Guo CC: Urothelial tumors of the urinary bladder in young patients: A clinicopathologic study of 59 cases. Arch Pathol Lab Med. 137:1337–1341. 2013. View Article : Google Scholar : PubMed/NCBI | |
|
Sobin LH, Gospodarowicz MK and Ch Wittekind: TNM Classification of Malignant Tumours (7th). Wiley-Blackwell. Chichester, UK: 2010. | |
|
Sigalas K, Tyritzis SI, Trigka E, Katafigiotis I, Kavantzas N and Stravodimos KG: A male presenting with a primary mucinous bladder carcinoma: A case report. Cases J. 3:492010. View Article : Google Scholar : PubMed/NCBI | |
|
Mazzucchelli R, Scarpelli M and Montironi R: Mucinous adenocarcinoma with superficial stromal invasion and adenoma of urachal remnants: A case report. J Clin Pathol. 56:465–467. 2003. View Article : Google Scholar : PubMed/NCBI | |
|
Cassidy A, Wang W, Wu X and Lin J: Risk of urinary bladder cancer: A case-control analysis of industry and occupation. BMC Cancer. 9:4432009. View Article : Google Scholar : PubMed/NCBI | |
|
Kogevinas M, 't Mannetje A, Cordier S, et al: Occupation and bladder cancer among men in Western Europe. Cancer Causes Control. 14:907–914. 2003. View Article : Google Scholar : PubMed/NCBI | |
|
Kim JH, Rhee YY, Bae JM, Cho NY and Kang GH: Loss of CDX2/CK20 expression is associated with poorly differentiated carcinoma, the CpG island methylator phenotype, and adverse prognosis in microsatellite-unstable colorectal cancer. Am J Surg Pathol. 37:1532–1541. 2013. View Article : Google Scholar : PubMed/NCBI |