Spandidos Publications Logo
  • About
    • About Spandidos
    • Aims and Scopes
    • Abstracting and Indexing
    • Editorial Policies
    • Reprints and Permissions
    • Job Opportunities
    • Terms and Conditions
    • Contact
  • Journals
    • All Journals
    • Oncology Letters
      • Oncology Letters
      • Information for Authors
      • Editorial Policies
      • Editorial Board
      • Aims and Scope
      • Abstracting and Indexing
      • Bibliographic Information
      • Archive
    • International Journal of Oncology
      • International Journal of Oncology
      • Information for Authors
      • Editorial Policies
      • Editorial Board
      • Aims and Scope
      • Abstracting and Indexing
      • Bibliographic Information
      • Archive
    • Molecular and Clinical Oncology
      • Molecular and Clinical Oncology
      • Information for Authors
      • Editorial Policies
      • Editorial Board
      • Aims and Scope
      • Abstracting and Indexing
      • Bibliographic Information
      • Archive
    • Experimental and Therapeutic Medicine
      • Experimental and Therapeutic Medicine
      • Information for Authors
      • Editorial Policies
      • Editorial Board
      • Aims and Scope
      • Abstracting and Indexing
      • Bibliographic Information
      • Archive
    • International Journal of Molecular Medicine
      • International Journal of Molecular Medicine
      • Information for Authors
      • Editorial Policies
      • Editorial Board
      • Aims and Scope
      • Abstracting and Indexing
      • Bibliographic Information
      • Archive
    • Biomedical Reports
      • Biomedical Reports
      • Information for Authors
      • Editorial Policies
      • Editorial Board
      • Aims and Scope
      • Abstracting and Indexing
      • Bibliographic Information
      • Archive
    • Oncology Reports
      • Oncology Reports
      • Information for Authors
      • Editorial Policies
      • Editorial Board
      • Aims and Scope
      • Abstracting and Indexing
      • Bibliographic Information
      • Archive
    • Molecular Medicine Reports
      • Molecular Medicine Reports
      • Information for Authors
      • Editorial Policies
      • Editorial Board
      • Aims and Scope
      • Abstracting and Indexing
      • Bibliographic Information
      • Archive
    • World Academy of Sciences Journal
      • World Academy of Sciences Journal
      • Information for Authors
      • Editorial Policies
      • Editorial Board
      • Aims and Scope
      • Abstracting and Indexing
      • Bibliographic Information
      • Archive
    • International Journal of Functional Nutrition
      • International Journal of Functional Nutrition
      • Information for Authors
      • Editorial Policies
      • Editorial Board
      • Aims and Scope
      • Abstracting and Indexing
      • Bibliographic Information
      • Archive
    • International Journal of Epigenetics
      • International Journal of Epigenetics
      • Information for Authors
      • Editorial Policies
      • Editorial Board
      • Aims and Scope
      • Abstracting and Indexing
      • Bibliographic Information
      • Archive
    • Medicine International
      • Medicine International
      • Information for Authors
      • Editorial Policies
      • Editorial Board
      • Aims and Scope
      • Abstracting and Indexing
      • Bibliographic Information
      • Archive
  • Articles
  • Information
    • Information for Authors
    • Information for Reviewers
    • Information for Librarians
    • Information for Advertisers
    • Conferences
  • Language Editing
Spandidos Publications Logo
  • About
    • About Spandidos
    • Aims and Scopes
    • Abstracting and Indexing
    • Editorial Policies
    • Reprints and Permissions
    • Job Opportunities
    • Terms and Conditions
    • Contact
  • Journals
    • All Journals
    • Biomedical Reports
      • Information for Authors
      • Editorial Policies
      • Editorial Board
      • Aims and Scope
      • Abstracting and Indexing
      • Bibliographic Information
      • Archive
    • Experimental and Therapeutic Medicine
      • Information for Authors
      • Editorial Policies
      • Editorial Board
      • Aims and Scope
      • Abstracting and Indexing
      • Bibliographic Information
      • Archive
    • International Journal of Epigenetics
      • Information for Authors
      • Editorial Policies
      • Editorial Board
      • Aims and Scope
      • Abstracting and Indexing
      • Bibliographic Information
      • Archive
    • International Journal of Functional Nutrition
      • Information for Authors
      • Editorial Policies
      • Editorial Board
      • Aims and Scope
      • Abstracting and Indexing
      • Bibliographic Information
      • Archive
    • International Journal of Molecular Medicine
      • Information for Authors
      • Editorial Policies
      • Editorial Board
      • Aims and Scope
      • Abstracting and Indexing
      • Bibliographic Information
      • Archive
    • International Journal of Oncology
      • Information for Authors
      • Editorial Policies
      • Editorial Board
      • Aims and Scope
      • Abstracting and Indexing
      • Bibliographic Information
      • Archive
    • Medicine International
      • Information for Authors
      • Editorial Policies
      • Editorial Board
      • Aims and Scope
      • Abstracting and Indexing
      • Bibliographic Information
      • Archive
    • Molecular and Clinical Oncology
      • Information for Authors
      • Editorial Policies
      • Editorial Board
      • Aims and Scope
      • Abstracting and Indexing
      • Bibliographic Information
      • Archive
    • Molecular Medicine Reports
      • Information for Authors
      • Editorial Policies
      • Editorial Board
      • Aims and Scope
      • Abstracting and Indexing
      • Bibliographic Information
      • Archive
    • Oncology Letters
      • Information for Authors
      • Editorial Policies
      • Editorial Board
      • Aims and Scope
      • Abstracting and Indexing
      • Bibliographic Information
      • Archive
    • Oncology Reports
      • Information for Authors
      • Editorial Policies
      • Editorial Board
      • Aims and Scope
      • Abstracting and Indexing
      • Bibliographic Information
      • Archive
    • World Academy of Sciences Journal
      • Information for Authors
      • Editorial Policies
      • Editorial Board
      • Aims and Scope
      • Abstracting and Indexing
      • Bibliographic Information
      • Archive
  • Articles
  • Information
    • For Authors
    • For Reviewers
    • For Librarians
    • For Advertisers
    • Conferences
  • Language Editing
Login Register Submit
  • This site uses cookies
  • You can change your cookie settings at any time by following the instructions in our Cookie Policy. To find out more, you may read our Privacy Policy.

    I agree
Search articles by DOI, keyword, author or affiliation
Search
Advanced Search
presentation
Oncology Letters
Join Editorial Board Propose a Special Issue
Print ISSN: 1792-1074 Online ISSN: 1792-1082
Journal Cover
May-2016 Volume 11 Issue 5

Full Size Image

Sign up for eToc alerts
Recommend to Library

Journals

International Journal of Molecular Medicine

International Journal of Molecular Medicine

International Journal of Molecular Medicine is an international journal devoted to molecular mechanisms of human disease.

International Journal of Oncology

International Journal of Oncology

International Journal of Oncology is an international journal devoted to oncology research and cancer treatment.

Molecular Medicine Reports

Molecular Medicine Reports

Covers molecular medicine topics such as pharmacology, pathology, genetics, neuroscience, infectious diseases, molecular cardiology, and molecular surgery.

Oncology Reports

Oncology Reports

Oncology Reports is an international journal devoted to fundamental and applied research in Oncology.

Experimental and Therapeutic Medicine

Experimental and Therapeutic Medicine

Experimental and Therapeutic Medicine is an international journal devoted to laboratory and clinical medicine.

Oncology Letters

Oncology Letters

Oncology Letters is an international journal devoted to Experimental and Clinical Oncology.

Biomedical Reports

Biomedical Reports

Explores a wide range of biological and medical fields, including pharmacology, genetics, microbiology, neuroscience, and molecular cardiology.

Molecular and Clinical Oncology

Molecular and Clinical Oncology

International journal addressing all aspects of oncology research, from tumorigenesis and oncogenes to chemotherapy and metastasis.

World Academy of Sciences Journal

World Academy of Sciences Journal

Multidisciplinary open-access journal spanning biochemistry, genetics, neuroscience, environmental health, and synthetic biology.

International Journal of Functional Nutrition

International Journal of Functional Nutrition

Open-access journal combining biochemistry, pharmacology, immunology, and genetics to advance health through functional nutrition.

International Journal of Epigenetics

International Journal of Epigenetics

Publishes open-access research on using epigenetics to advance understanding and treatment of human disease.

Medicine International

Medicine International

An International Open Access Journal Devoted to General Medicine.

Journal Cover
May-2016 Volume 11 Issue 5

Full Size Image

Sign up for eToc alerts
Recommend to Library

  • Article
  • Citations
    • Cite This Article
    • Download Citation
    • Create Citation Alert
    • Remove Citation Alert
    • Cited By
  • Similar Articles
    • Related Articles (in Spandidos Publications)
    • Similar Articles (Google Scholar)
    • Similar Articles (PubMed)
  • Download PDF
  • Download XML
  • View XML
Case Report

Skull sclerosing epithelioid fibrosarcoma: A case report and review of the literature

  • Authors:
    • Jingjing Xu
    • Jiawei Wang
    • Minming Zhang
    • Baizhou Li
  • View Affiliations / Copyright

    Affiliations: Department of Radiology, The Second Affiliated Hospital, School of Medicine, Zhejiang University, Hangzhou, Zhejiang 310009, P.R. China, Department of Pathology, The Second Affiliated Hospital, School of Medicine, Zhejiang University, Hangzhou, Zhejiang 310009, P.R. China
  • Pages: 3417-3420
    |
    Published online on: March 29, 2016
       https://doi.org/10.3892/ol.2016.4385
  • Expand metrics +
Metrics: Total Views: 0 (Spandidos Publications: | PMC Statistics: )
Metrics: Total PDF Downloads: 0 (Spandidos Publications: | PMC Statistics: )
Cited By (CrossRef): 0 citations Loading Articles...

This article is mentioned in:



Abstract

Sclerosing epithelioid fibrosarcoma (SEF) is an unusual variant of fibrosarcoma that was previously considered to be a low‑grade tumor with an indolent course. The tumor occurs most commonly in the soft tissue of the limb, trunk, head and neck, and occasionally in the bone and visceral organs. The skull is a rare primary site for SEF, with only 3 cases reported to date. The current study reports a case of SEF occurring in the occipital bone of a 24‑year‑old man, who lacked neurological symptoms. Imaging revealed a large mass emanating from the occipital bone and involving the superior sagittal sinus, torcular herophili and adjacent brain tissue. Histological and immunohistochemical characteristics confirmed the diagnosis of SEF. The patient experienced local recurrence and distant metastasis at 10 and 15 months, respectively, subsequent to the resection of the primary mass. The current case and review of the literature suggest that skull SEF may behave clinically as an aggressive malignant sarcoma. Radiological findings indicated the biological and histopathological characteristics of the tumor. Thus, its clinical behavior and certain imaging features may suggest this diagnosis.

Introduction

Sclerosing epithelioid fibrosarcoma (SEF) is a low-grade variant of fibrosarcoma, which was first described by Meis-Kindblom et al (1) in 1995 as a rare but clinicopathologically distinct tumor of the soft tissue. The tumor occurs primarily in the extremities, trunk, head and neck, and less commonly in the bone and visceral organs (2). Fewer than 100 cases of SEF have been reported, with only 3 previously described in the skull (2). The depiction of its radiological characteristics is available only in a few scattered case reports and series in the pathology literature.

The current study reports the case of a patient with SEF arising from the occipital bone. To the best of our knowledge, this is the first full description of skull SEF, including its complete clinical course, imaging findings on computed tomography (CT) and magnetic resonance imaging (MRI), and pathological association; although the clinical manifestations, clinical course and histopathology of skull SEF have been previously reported, its appearances on CT, MRI and magnetic resonance (MR) venography have not.

Case report

A 24-year-old Chinese man presented with a 1-year history of a slowly enlarging and painless mass in the occiput, which was found incidentally by self-examination. The patient developed significant dizziness for 5 days, and was referred to the Neurosurgery Department of the Second Affiliated Hospital of the School of Medicine, Zhejiang University (Hangzhou, China) in December 2011 for therapy. A large, firm, non-tender mass was palpated on physical examination. The patient's past medical history was unremarkable. Neurological examination and laboratory investigation revealed normal results.

CT imaging (SOMATOM Sensation 16; Siemens Healthcare GmbH, Erlangen, Germany) demonstrated an oval-geographic, osteolytic lesion within the squamous part of the occipital bone, with a well-demarcated intracranial, calvarial and extracalvarial soft tissue mass (Fig. 1). MRI (Signa HDxt 1.5T; GE Healthcare, Fairfield, CT, USA) revealed a focal, 5.0×4.5×3.5-cm mass with bilateral occipital lobe invasion. The mass exhibited hypo- and iso-signal intensity on T1-weighted imaging and mixed-signal intensity on T2-weighted imaging. Gadolinium-enhanced images revealed prominent perilesional enhancement, particularly in the region adjacent to the brain. Irregular hypointense areas within the mass were visible on T2-weighted imaging, without obvious enhancement (Fig. 2). MR venography (Sonata 1.5T; Siemens Healthcare GmbH) was also applied to evaluate the cerebral vein system. MR venography and MRI indicated that the superior sagittal sinus and torcular herophili had been invaded, and associated vasogenic cerebral edema due to mass effect was noted (Figs. 2 and 3).

Figure 1.

Axial computed tomography imaging of the brain. (A) Soft tissue window images demonstrated a well-demarcated, intracranial, calvarial and extracalvarial soft tissue mass. (B) Bone window images revealed an oval-geographic osteolytic lesion arising from the occipital bone. No bony sclerosis or periosteal reaction was observed.

Figure 2.

Magnetic resonance imaging. (A) Axial T2-weighted images revealed irregular low signal intensity within the mass and cerebral edema in bilateral occipital lobes. (B) Axial and (C) sagittal gadolinium-enhanced images revealed prominent perilesional enhancement, particularly in the region adjacent to the brain.

Figure 3.

Brain magnetic resonance venography demonstrated a filling defect in the superior sagittal sinus and torcular herophili.

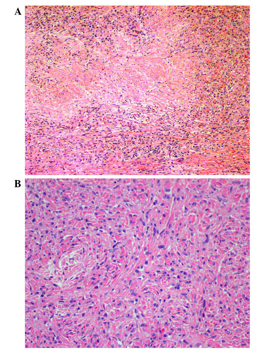
The preoperative diagnosis was invasive meningioma, and the patient underwent a craniotomy with subtotal tumor resection. Gross pathological examination revealed a 5.0×4.0×3.0-cm, heterogeneous mass, part of which was rich in blood supply and appeared as gray-red fragment of tissue. Resected tissues were paraffin (Fuzhou Maixin Biotech. Co., Ltd., Fuzhou, China)-embedded, fixed in 10% buffered-formalin (Fuzhou Maixin Biotech. Co., Ltd.), cut into 3–5 µm sections and stained with hematoxylin and eosin (Fuzhou Maixin Biotech. Co., Ltd.). Histological examination of the tumor following hematoxylin and eosin staining revealed cells arranged in nests or clusters, some with a central open area, that were separated by prominent collagen bands. The cells had scant to moderate cytoplasm and generally round nuclei with moderately hyperchromatic chromatin. A sizeable area of ischemic necrosis was present, comprising ~50% of the tissue sections (Fig. 4). Immunohistochemical staining with the following monoclonal antibodies (ZSGB-Bio, Beijing, China) for 30 min at room temperature was also performed: Mouse anti-CD99 (#ZM-0296; dilution 1:100-1:200), mouse anti-CD34 (#ZM-0046; 1:100-1:200), mouse anti-CD10 (#ZM-0283, 1:100-1:200; rabbit anti-CD1a (#ZA-544; 1:100-1:200); mouse anti-CD31 (#ZM-0044; 1:50-1:100); rabbit anti-F8 (#ZA-0543; 1:100-1:200); mouse anti-Myogenin (#ZM-0402; 1:25-1:50); HMB45 (#ZM-0187; 1:100-1:200); mouse anti-P63 (#ZM-0406; 1:100-1:200); mouse anti-epithelial membrane antigen (EMA;#ZM-0095; 1:100-1:200); mouse anti-S100 (#ZM-0224; 1:100-1:200); mouse anti-α-smooth muscle actin (#ZM-0003; 1:50-1:200); mouse anti-glial fibrillary acidic protein (GFAP; #ZM-117; 1:100-1:200); mouse anti-cytokeratin (AE1/AE3) (#ZM-0069; 1:100-1:200); mouse anti-vimentin (#ZM-0260; 1:100-1:200); mouse anti-Ki-67 (#ZM-0167; 1:200); and rabbit anti-myogenic differentiation 1 (MyoD1; #ZA-0585; 1:100). This revealed that the lesional cells were negative for HMB45, P63, EMA, S-100, α-smooth muscle actin, GFAP, cytokeratin (AE1/AE3), CD99, CD34, CD10, CD1a, CD31, F8, myogenin and MyoD1, and positive for vimentin. The Ki-67 staining index was estimated to be 10–15% focally, and 5–10% overall. A fluorescence in situ hybridization study revealed no rearrangement of the FUS gene. A diagnosis of SEF was subsequently determined.

Figure 4.

Histological images. (A) The tumor consisted of extensive areas of necrosis (hematoxylin and eosin staining; magnification, ×200). (B) Cells were arranged in nests or clusters (hematoxylin and eosin staining; magnification, ×400).

The patient was treated with one cycle of postoperative chemotherapy (ifosfamide, 2 g/day, days 1–4; etoposide 0.1 g/day, days 1–5). At 10 months post surgery, follow-up MRI of the original site revealed tumor recurrence. A chest CT scan performed 15 months after the surgery demonstrated multiple nodules in the bilateral lungs, suggesting metastasis. After considering the option of radiotherapy, the patient decided on palliative care only due to financial reasons, and succumbed to the disease 3 years after his initial presentation.

Discussion

SEF is a rare yet distinct tumor, which was previously considered to be a low-grade variant of fibrosarcoma with low cellularity, mild pleomorphy, scarce mitotic figures and a densely sclerotic hyaline matrix (1,2). A previous systematic review of 90 cases of SEF suggested a local recurrence rate of 36%, a distant metastasis rate of 83%, and a mortality rate of 34% from the disease after a mean of 46 months (3). However, a follow-up study of ≥1 year in 14 cases revealed local recurrence, metastasis and mortality rates of 50, 86 and 57%, respectively, suggesting a higher degree of malignancy (2). Subsequently, a small number of case reports verified that SEF was a clinically high-grade tumor with full malignant potential (4–9).

The skull is an extremely infrequent location for the development of SEF. Since it was first described in 1995, only 3 cases of skull SEF have been reported in the English literature (Table I) (2). The current case represents the 4th reported case of skull SEF, and resembles the other reported cases with regard to its clinical course. These 3 cases combined with the present case indicate that SEF in the skull tends to have aggressive behavior, leading to a poor prognosis.

Table I.

Clinical features of 4 skull sclerosing epithelioid fibrosarcomas (SEFs).

Table I.

Clinical features of 4 skull sclerosing epithelioid fibrosarcomas (SEFs).

AuthorAge, years/genderSiteSize, cmType of surgeryTime to LRaTime to METSa (location) Follow-upaRefs.
Antonescu et al14/FRight posterior fossa, supra-tentorial space, temporal bone6.7Subtotal craniotomy–35 mo (bone, lung)DOD, 47 mo(2)
52/FRight frontoparietal area, intra-extra cranial, bone6WLE12 mo13 mo (bone)DOD, 26 mo
41/FSkull base>15WLE46 mo–AWD, 65 mo
Present case24/MOccipital area intra-extra cranial, occipital bone5Subtotal craniotomy10 mo15 mo (lung)DOD, 24 mo

a Calculated from time of histological diagnosis. F, female; M, male; WLE, wide local excision; LR, local recurrence; mo, month; METS, metastasis; DOD, died of disease; AWD, alive with disease.

Radiological findings, although scarce in the literature, were distinctive in the current case. The imaging findings demonstrated a well-defined, heterogeneous, intracranial, calvarial and extracalvarial mass with bone destruction. The osteolytic lesion presented sharp borders, a lack of bony sclerosis and a paucity of periosteal reaction. The adjacent brain and venous sinus were invaded. These appearances may reflect the malignant biological behavior of the tumor. On T2-weighted MRI without enhancement, irregular areas of low signal intensity were visible, a characteristic which may be observed in areas of decreased cellularity and dense fibrous tissue or collagen deposition (10). High signal intensity on T2-weighted images without enhancement is considered to indicate necrosis (11,12). Intense perilesional enhancement of the tumor-adjacent brain region on gadolinium-enhanced MR images may be associated with histopathological changes, which include cellular and vascular proliferation, peritumoral desmoplastic reaction and inflammatory cell infiltration. This enhancement pattern may also be indicative of malignant tumors (13). Therefore, in the current case, imaging findings successfully suggested a tumor of high malignancy containing necrosis and fibrous tissue.

Although radiology may provide biological and histopathological information relating to SEF, the radiological differential diagnosis of skull SEF is challenging due to its rarity. A variety of malignant neoplasms in this site must be considered if an intracranial, calvarial and extracalvarial mass is detected in the occiput; such neoplasms include malignant meningioma, metastatic disease, osteosarcoma, plasmacytoma, chondrosarcoma, malignant fibrous histiocytoma and bone Langerhans cell histiocytosis (14,15).

In summary, the current study reports an extremely rare instance of SEF arising within the occipital bone and simulating a high-grade tumor. Imaging features may provide important biological and histopathological information to make an accurate diagnosis. Radiologists must consider SEF as a possible diagnosis for a patient presenting with a slowly enlarging mass in this location that radiologically appears as a malignant tumor with necrosis and fibrous tissue, and exhibits an intense perilesional enhancement pattern.

References

1 

Meis-Kindblom JM, Kindblom LG and Enzinger FM: Sclerosing epithelioid fibrosarcoma: A variant of fibrosarcoma simulating carcinoma. Am J Surg Pathol. 19:979–993. 1995. View Article : Google Scholar : PubMed/NCBI

2 

Antonescu CR, Rosenblum MK, Pereira P, Nascimento AG and Woodruff JM: Sclerosing epithelioid fibrosarcoma. A study of 16 cases and confirmation of a clinicopathologically distinct tumor. Am J Surg Pathol. 25:699–709. 2001. View Article : Google Scholar : PubMed/NCBI

3 

Ossendorf C, Studer GM, Bode B and Fuchs B: Sclerosing epithelioid fibrosarcoma: Case presentation and a systematic review. Clin Orthop Relat Res. 466:1485–1491. 2008. View Article : Google Scholar : PubMed/NCBI

4 

Elkins CT and Wakely PE Jr: Sclerosing epithelioid fibrosarcoma of the oral cavity. Head Neck Pathol. 5:428–431. 2011. View Article : Google Scholar : PubMed/NCBI

5 

Bai S, Jhala N, Adsay NV and Wei S: Sclerosing epithelioid fibrosarcoma of the pancreas. Ann Diagn Pathol. 17:214–216. 2013. View Article : Google Scholar : PubMed/NCBI

6 

Chow LT, Lui YH, Kumta SM and Allen PW: Primary sclerosing epithelioid fibrosarcoma of the sacrum: A case report and review of the literature. J Clin Pathol. 57:90–94. 2004. View Article : Google Scholar : PubMed/NCBI

7 

Tomimaru Y, Nagano H, Marubashi S, Kobayashi S, Eguchi H, Takeda Y, Tanemura M, Kitagawa T, Umeshita K, Hashimoto N, et al: Sclerosing epithelioid fibrosarcoma of the liver infiltrating the inferior vena cava. World J Gastroenterol. 15:4204–4208. 2009. View Article : Google Scholar : PubMed/NCBI

8 

Folk GS, Williams SB, Foss RB and Fanburg-Smith JC: Oral and Maxillofacial sclerosing epithelioid fibroscarcoma: Report of five cases. Head Neck Pathol. 1:13–20. 2007. View Article : Google Scholar : PubMed/NCBI

9 

Grunewald TG, von Luettichau I, Weirich G, Wawer A, Behrends U, Prodinger PM, Jundt G, Bielack SS, Gradinger R and Burdach S: Sclerosing epithelioid fibrosarcoma of the bone: A case report of high resistance to chemotherapy and a survey of the literature. Sarcoma. 2010:4316272010. View Article : Google Scholar : PubMed/NCBI

10 

Christensen DR, Ramsamooj R and Gilbert TJ: Sclerosing epithelioid fiberosarcoma: Short T2 on MR imaging. Skeletal Radiol. 26:619–621. 1997. View Article : Google Scholar : PubMed/NCBI

11 

Ulaner G, Hwang S, Lefkowitz RA, Landa J and Panicek DM: Musculoskeletal tumors and tumor-like conditions: Common and avoidable pitfalls at imaging in patients with known or suspected cancer: Part A: Benign conditions that may mimic malignancy. Int Orthop. 37:871–876. 2013. View Article : Google Scholar : PubMed/NCBI

12 

Ulaner G, Hwang S, Landa J, Lefkowitz RA and Panicek DM: Musculoskeletal tumours and tumour-like conditions: Common and avoidable pitfalls at imaging in patients with known or suspected cancer: Part B: Malignant mimics of benign tumours. Int Orthop. 37:877–882. 2013. View Article : Google Scholar : PubMed/NCBI

13 

Semelka RC, Hussain SM, Marcos HB and Woosley JT: Perilesional enhancement of hepatic metastases: Correlation between MR imaging and histopathologic findings - initial observations. Radiology. 215:89–94. 2000. View Article : Google Scholar : PubMed/NCBI

14 

Gangadhar K and Santhosh D: Radiopathological evaluation of primary malignant skull tumors: A review. Clin Neurol Neurosurg. 114:833–839. 2012. View Article : Google Scholar : PubMed/NCBI

15 

Mitsuya Kl, Nakasu Y, Horiguchi S, Harada H, Nishimura T, Yuen S, Asakura K and Endo M: Metastatic skull tumors: MRI features and a new conventional Classification. J Neurooncol. 104:239–245. 2011. View Article : Google Scholar : PubMed/NCBI

Related Articles

  • Abstract
  • View
  • Download
  • Twitter
Copy and paste a formatted citation
Spandidos Publications style
Xu J, Wang J, Zhang M and Li B: Skull sclerosing epithelioid fibrosarcoma: A case report and review of the literature. Oncol Lett 11: 3417-3420, 2016.
APA
Xu, J., Wang, J., Zhang, M., & Li, B. (2016). Skull sclerosing epithelioid fibrosarcoma: A case report and review of the literature. Oncology Letters, 11, 3417-3420. https://doi.org/10.3892/ol.2016.4385
MLA
Xu, J., Wang, J., Zhang, M., Li, B."Skull sclerosing epithelioid fibrosarcoma: A case report and review of the literature". Oncology Letters 11.5 (2016): 3417-3420.
Chicago
Xu, J., Wang, J., Zhang, M., Li, B."Skull sclerosing epithelioid fibrosarcoma: A case report and review of the literature". Oncology Letters 11, no. 5 (2016): 3417-3420. https://doi.org/10.3892/ol.2016.4385
Copy and paste a formatted citation
x
Spandidos Publications style
Xu J, Wang J, Zhang M and Li B: Skull sclerosing epithelioid fibrosarcoma: A case report and review of the literature. Oncol Lett 11: 3417-3420, 2016.
APA
Xu, J., Wang, J., Zhang, M., & Li, B. (2016). Skull sclerosing epithelioid fibrosarcoma: A case report and review of the literature. Oncology Letters, 11, 3417-3420. https://doi.org/10.3892/ol.2016.4385
MLA
Xu, J., Wang, J., Zhang, M., Li, B."Skull sclerosing epithelioid fibrosarcoma: A case report and review of the literature". Oncology Letters 11.5 (2016): 3417-3420.
Chicago
Xu, J., Wang, J., Zhang, M., Li, B."Skull sclerosing epithelioid fibrosarcoma: A case report and review of the literature". Oncology Letters 11, no. 5 (2016): 3417-3420. https://doi.org/10.3892/ol.2016.4385
Follow us
  • Twitter
  • LinkedIn
  • Facebook
About
  • Spandidos Publications
  • Careers
  • Cookie Policy
  • Privacy Policy
How can we help?
  • Help
  • Live Chat
  • Contact
  • Email to our Support Team