Spandidos Publications Logo
  • About
    • About Spandidos
    • Aims and Scopes
    • Abstracting and Indexing
    • Editorial Policies
    • Reprints and Permissions
    • Job Opportunities
    • Terms and Conditions
    • Contact
  • Journals
    • All Journals
    • Oncology Letters
      • Oncology Letters
      • Information for Authors
      • Editorial Policies
      • Editorial Board
      • Aims and Scope
      • Abstracting and Indexing
      • Bibliographic Information
      • Archive
    • International Journal of Oncology
      • International Journal of Oncology
      • Information for Authors
      • Editorial Policies
      • Editorial Board
      • Aims and Scope
      • Abstracting and Indexing
      • Bibliographic Information
      • Archive
    • Molecular and Clinical Oncology
      • Molecular and Clinical Oncology
      • Information for Authors
      • Editorial Policies
      • Editorial Board
      • Aims and Scope
      • Abstracting and Indexing
      • Bibliographic Information
      • Archive
    • Experimental and Therapeutic Medicine
      • Experimental and Therapeutic Medicine
      • Information for Authors
      • Editorial Policies
      • Editorial Board
      • Aims and Scope
      • Abstracting and Indexing
      • Bibliographic Information
      • Archive
    • International Journal of Molecular Medicine
      • International Journal of Molecular Medicine
      • Information for Authors
      • Editorial Policies
      • Editorial Board
      • Aims and Scope
      • Abstracting and Indexing
      • Bibliographic Information
      • Archive
    • Biomedical Reports
      • Biomedical Reports
      • Information for Authors
      • Editorial Policies
      • Editorial Board
      • Aims and Scope
      • Abstracting and Indexing
      • Bibliographic Information
      • Archive
    • Oncology Reports
      • Oncology Reports
      • Information for Authors
      • Editorial Policies
      • Editorial Board
      • Aims and Scope
      • Abstracting and Indexing
      • Bibliographic Information
      • Archive
    • Molecular Medicine Reports
      • Molecular Medicine Reports
      • Information for Authors
      • Editorial Policies
      • Editorial Board
      • Aims and Scope
      • Abstracting and Indexing
      • Bibliographic Information
      • Archive
    • World Academy of Sciences Journal
      • World Academy of Sciences Journal
      • Information for Authors
      • Editorial Policies
      • Editorial Board
      • Aims and Scope
      • Abstracting and Indexing
      • Bibliographic Information
      • Archive
    • International Journal of Functional Nutrition
      • International Journal of Functional Nutrition
      • Information for Authors
      • Editorial Policies
      • Editorial Board
      • Aims and Scope
      • Abstracting and Indexing
      • Bibliographic Information
      • Archive
    • International Journal of Epigenetics
      • International Journal of Epigenetics
      • Information for Authors
      • Editorial Policies
      • Editorial Board
      • Aims and Scope
      • Abstracting and Indexing
      • Bibliographic Information
      • Archive
    • Medicine International
      • Medicine International
      • Information for Authors
      • Editorial Policies
      • Editorial Board
      • Aims and Scope
      • Abstracting and Indexing
      • Bibliographic Information
      • Archive
  • Articles
  • Information
    • Information for Authors
    • Information for Reviewers
    • Information for Librarians
    • Information for Advertisers
    • Conferences
  • Language Editing
Spandidos Publications Logo
  • About
    • About Spandidos
    • Aims and Scopes
    • Abstracting and Indexing
    • Editorial Policies
    • Reprints and Permissions
    • Job Opportunities
    • Terms and Conditions
    • Contact
  • Journals
    • All Journals
    • Biomedical Reports
      • Information for Authors
      • Editorial Policies
      • Editorial Board
      • Aims and Scope
      • Abstracting and Indexing
      • Bibliographic Information
      • Archive
    • Experimental and Therapeutic Medicine
      • Information for Authors
      • Editorial Policies
      • Editorial Board
      • Aims and Scope
      • Abstracting and Indexing
      • Bibliographic Information
      • Archive
    • International Journal of Epigenetics
      • Information for Authors
      • Editorial Policies
      • Editorial Board
      • Aims and Scope
      • Abstracting and Indexing
      • Bibliographic Information
      • Archive
    • International Journal of Functional Nutrition
      • Information for Authors
      • Editorial Policies
      • Editorial Board
      • Aims and Scope
      • Abstracting and Indexing
      • Bibliographic Information
      • Archive
    • International Journal of Molecular Medicine
      • Information for Authors
      • Editorial Policies
      • Editorial Board
      • Aims and Scope
      • Abstracting and Indexing
      • Bibliographic Information
      • Archive
    • International Journal of Oncology
      • Information for Authors
      • Editorial Policies
      • Editorial Board
      • Aims and Scope
      • Abstracting and Indexing
      • Bibliographic Information
      • Archive
    • Medicine International
      • Information for Authors
      • Editorial Policies
      • Editorial Board
      • Aims and Scope
      • Abstracting and Indexing
      • Bibliographic Information
      • Archive
    • Molecular and Clinical Oncology
      • Information for Authors
      • Editorial Policies
      • Editorial Board
      • Aims and Scope
      • Abstracting and Indexing
      • Bibliographic Information
      • Archive
    • Molecular Medicine Reports
      • Information for Authors
      • Editorial Policies
      • Editorial Board
      • Aims and Scope
      • Abstracting and Indexing
      • Bibliographic Information
      • Archive
    • Oncology Letters
      • Information for Authors
      • Editorial Policies
      • Editorial Board
      • Aims and Scope
      • Abstracting and Indexing
      • Bibliographic Information
      • Archive
    • Oncology Reports
      • Information for Authors
      • Editorial Policies
      • Editorial Board
      • Aims and Scope
      • Abstracting and Indexing
      • Bibliographic Information
      • Archive
    • World Academy of Sciences Journal
      • Information for Authors
      • Editorial Policies
      • Editorial Board
      • Aims and Scope
      • Abstracting and Indexing
      • Bibliographic Information
      • Archive
  • Articles
  • Information
    • For Authors
    • For Reviewers
    • For Librarians
    • For Advertisers
    • Conferences
  • Language Editing
Login Register Submit
  • This site uses cookies
  • You can change your cookie settings at any time by following the instructions in our Cookie Policy. To find out more, you may read our Privacy Policy.

    I agree
Search articles by DOI, keyword, author or affiliation
Search
Advanced Search
presentation
Oncology Letters
Join Editorial Board Propose a Special Issue
Print ISSN: 1792-1074 Online ISSN: 1792-1082
Journal Cover
May-2016 Volume 11 Issue 5

Full Size Image

Sign up for eToc alerts
Recommend to Library

Journals

International Journal of Molecular Medicine

International Journal of Molecular Medicine

International Journal of Molecular Medicine is an international journal devoted to molecular mechanisms of human disease.

International Journal of Oncology

International Journal of Oncology

International Journal of Oncology is an international journal devoted to oncology research and cancer treatment.

Molecular Medicine Reports

Molecular Medicine Reports

Covers molecular medicine topics such as pharmacology, pathology, genetics, neuroscience, infectious diseases, molecular cardiology, and molecular surgery.

Oncology Reports

Oncology Reports

Oncology Reports is an international journal devoted to fundamental and applied research in Oncology.

Experimental and Therapeutic Medicine

Experimental and Therapeutic Medicine

Experimental and Therapeutic Medicine is an international journal devoted to laboratory and clinical medicine.

Oncology Letters

Oncology Letters

Oncology Letters is an international journal devoted to Experimental and Clinical Oncology.

Biomedical Reports

Biomedical Reports

Explores a wide range of biological and medical fields, including pharmacology, genetics, microbiology, neuroscience, and molecular cardiology.

Molecular and Clinical Oncology

Molecular and Clinical Oncology

International journal addressing all aspects of oncology research, from tumorigenesis and oncogenes to chemotherapy and metastasis.

World Academy of Sciences Journal

World Academy of Sciences Journal

Multidisciplinary open-access journal spanning biochemistry, genetics, neuroscience, environmental health, and synthetic biology.

International Journal of Functional Nutrition

International Journal of Functional Nutrition

Open-access journal combining biochemistry, pharmacology, immunology, and genetics to advance health through functional nutrition.

International Journal of Epigenetics

International Journal of Epigenetics

Publishes open-access research on using epigenetics to advance understanding and treatment of human disease.

Medicine International

Medicine International

An International Open Access Journal Devoted to General Medicine.

Journal Cover
May-2016 Volume 11 Issue 5

Full Size Image

Sign up for eToc alerts
Recommend to Library

  • Article
  • Citations
    • Cite This Article
    • Download Citation
    • Create Citation Alert
    • Remove Citation Alert
    • Cited By
  • Similar Articles
    • Related Articles (in Spandidos Publications)
    • Similar Articles (Google Scholar)
    • Similar Articles (PubMed)
  • Download PDF
  • Download XML
  • View XML
Case Report

EGFR-tyrosine kinase inhibitor treatment in a patient with advanced non-small cell lung cancer and concurrent exon 19 and 21 EGFR mutations: A case report and review of the literature

  • Authors:
    • Yang Yang
    • Biao Zhang
    • Rutian Li
    • Baorui Liu
    • Lifeng Wang
  • View Affiliations / Copyright

    Affiliations: The Comprehensive Cancer Center of Drum‑Tower Hospital, Nanjing University Medical School and Clinical Cancer Institute of Nanjing University, Nanjing, Jiangsu 210008, P.R. China, Department of Pathology, Drum‑Tower Hospital, Nanjing University Medical School, Nanjing, Jiangsu 210008, P.R. China
  • Pages: 3546-3550
    |
    Published online on: April 5, 2016
       https://doi.org/10.3892/ol.2016.4409
  • Expand metrics +
Metrics: Total Views: 0 (Spandidos Publications: | PMC Statistics: )
Metrics: Total PDF Downloads: 0 (Spandidos Publications: | PMC Statistics: )
Cited By (CrossRef): 0 citations Loading Articles...

This article is mentioned in:



Abstract

Epidermal growth factor receptor-tyrosine kinase inhibitors (EGFR-TKIs) are considered to be effective treatments for advanced non-small cell lung cancer (NSCLC) patients with sensitizing EGFR mutations, including exon 19 deletion and exon 21 L858R mutations. However, with the development of EGFR mutation detection assays, patients with complex EGFR mutations are emerging, and their response to EGFR‑TKIs remains unclear. The present study reports a case of a 62-year-old, non-smoking female patient with advanced NSCLC, presenting with concurrent EGFR 19+21 sensitizing mutations, who had a poor response to the first‑line EGFR‑TKI erlotinib and succumbed 5 months subsequent to diagnosis. Furthermore, the present study performed a literature review, and 18 patients with complex EGFR 19+21 mutations that had received EGFR‑TKIs were identified. The majority of these patients responded well to EGFR-TKIs. To the best of our knowledge, the present case is the first to report a patient with lung adenocarcinoma with complex EGFR 19+21 sensitizing mutations that had a poor clinical response to a first‑line EGFR‑TKI. Despite the 70% response rate of sensitizing EGFR‑mutant NSCLCs to EGFR‑TKIs, there is still a proportion of patients that experience de novo resistance, and heterogeneity is likely to be important in this resistance mechanism. Therefore, comprehensive genomic detection assays and multi-targeted therapies for patients with NSCLC with complex EGFR mutations require additional investigation.

Introduction

Lung cancer remains one of the most common types of cancer worldwide (1.8 million novel cases were diagnosed in 2012, 13% of the total cancer cases diagnosed), and it was the leading cause of cancer-associated mortality in 2012 (1.59 million mortalities; 19.4% of all cancer-associated mortalities in 2012) (1). Conventional platinum-based chemotherapy has reached a plateau in improving patient survival and disease control obtained with classic doublet chemotherapy in patients with advanced lung cancer is usually restricted to a few months (2–4). Fortunately, developments in molecular biology have attracted attention to the molecular subtypes of lung cancer, resulting in great improvements in understanding the disease, including the identification of mutations in the epidermal growth factor receptor (EGFR).

The majority of EGFR mutations are located at exon 19, which are deletions (Del-19), and exon 21 (L858R), and mutations at these sites account for 45 and 40% of all EGFR mutations, respectively (5). These mutations are considered to be sensitizing mutations that confer sensitivity to EGFR-tyrosine kinase inhibitors (EGFR-TKIs), including gefitinib and erlotinib (6–8). Clinical trials have demonstrated that EGFR-TKIs are associated with a significantly increased response rate (RR) and progress free survival (PFS) rate for patients harboring EGFR sensitizing mutations, as compared with chemotherapy alone (9,10). To date, the detection of EGFR mutations has been performed prior to the treatment of advanced non-squamous NSCLC, while an increasing number of rare types of EGFR mutations have been discovered, which are not only limited to the mutation of a single exon, but the concurrence of two mutations on different exons, primarily exons 18–21, in a single tumor sample (11,12). These mutations are termed ‘complex mutations’. However, the response of patients harboring the complex EGFR mutations to first-line EGFR-TKIs remains unclear. The present study reports a case of a patient with advanced NSCLC and complex EGFR mutations, and the patient's response to first-line EGFR-TKI treatment. Written informed consent was obtained from the patient for the publication of the present study.

Case report

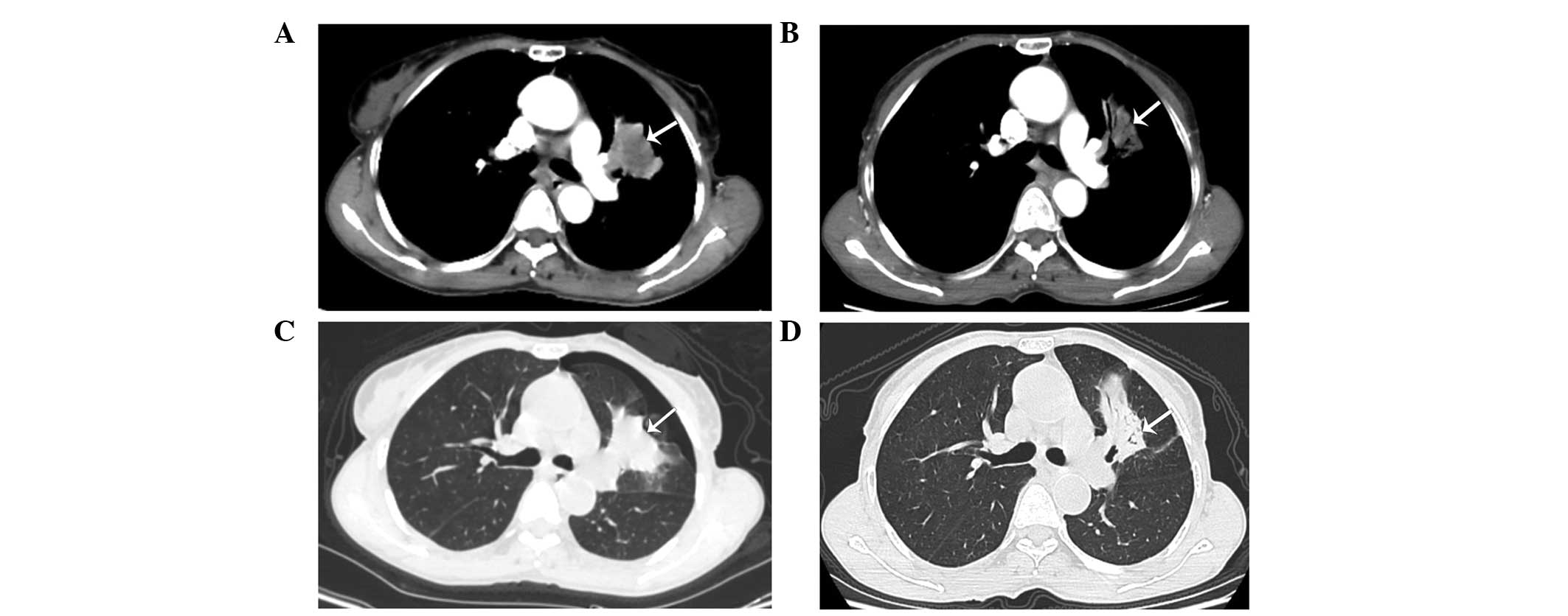
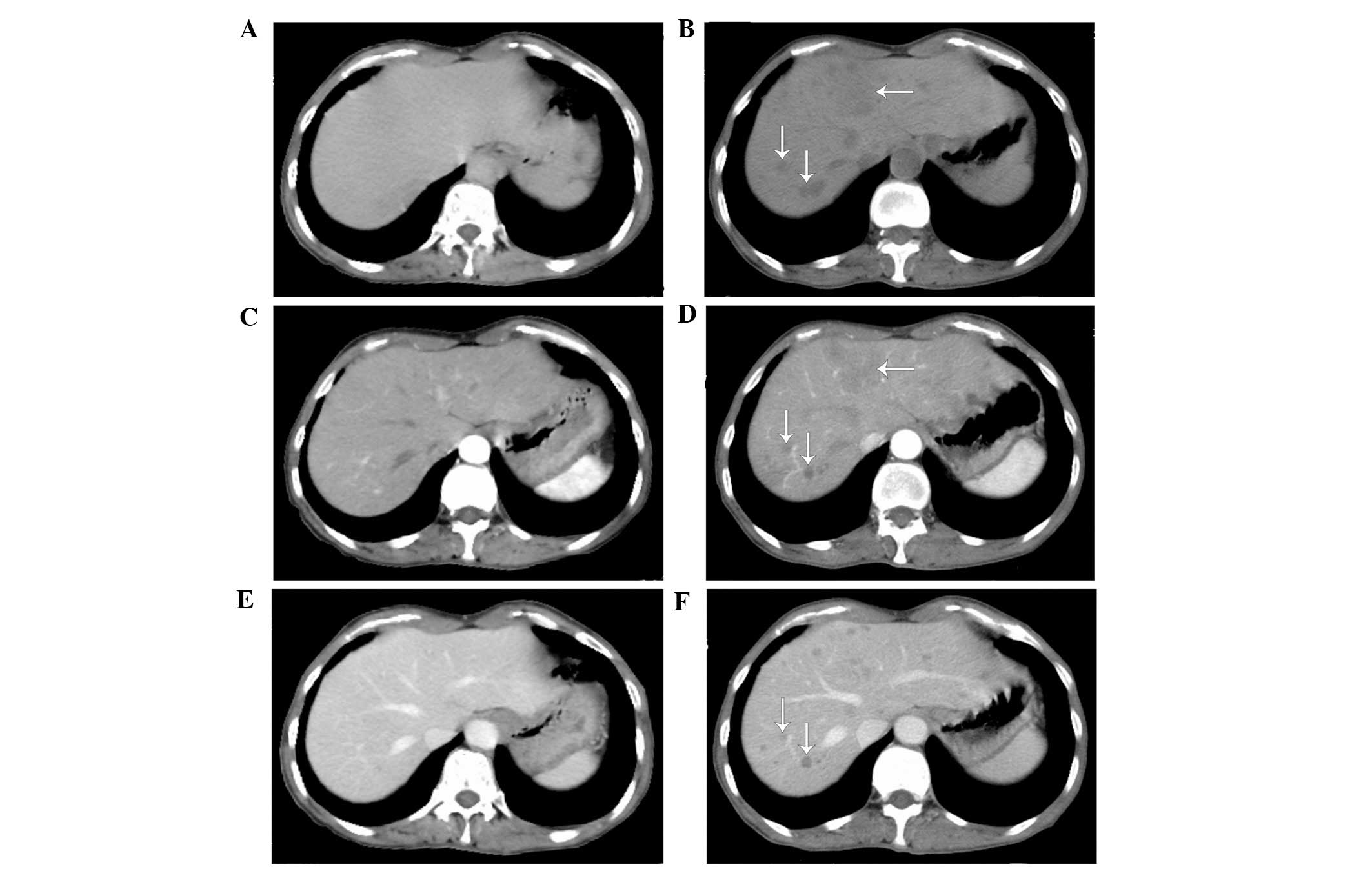
On March 10, 2014, a 62-year-old, non-smoking woman with an Eastern Cooperative Oncology Group Performance Status score of 2 (13) presented to the Department of Oncology, Comprehensive Cancer Center of Drum-Tower Hospital (Nanjing, China) with a cough that had been ongoing for 2 months. Computed tomography (CT; Discovery CT750 HD; GE Healthcare Life Sciences, Shanghai, China) revealed a primary mass in the left upper lobe of the lung (Fig. 1A and B), with multiple small pulmonary nodules (maximum diameter, 4 mm) observed bilaterally. A CT-guided fine needle aspiration biopsy of the primary lesion was performed on the left lung, which revealed the presence of a middle-differentiated adenocarcinoma. EGFR mutation analysis was performed on the biopsied tissue within exons 18 and 21. EGFR mutations were detected by amplification refractory mutation system in multiple quantitative polymerase chain reaction analysis with the Human EGFR Mutation Detection kit (YuanQi Bio-Pharmaceutical Co., Ltd., Shanghai, China), as previously described (14), which demonstrated a co-mutant of Del-19 (del 2239_2248+insC) and L858R. In addition, anaplastic lymphoma kinase rearrangement analysis was performed using fluorescence in situ hybridization, with negative results. The patient was orally administered erlotinib, at a dose of 150 mg/day. Two months later, no considerable relief of the cough was noted; however, a CT scan revealed that the primary lung mass had shrunk (Fig. 1C and D), but the bilateral multiple pulmonary nodules remained. In addition, prior to erlotinib treatment there was no hepatic metastases (Fig. 2A–C); however, following treatment multiple hepatic metastases were observed (Fig. 2D–F). Based on the Response Evaluation Criteria in Solid Tumors (RECIST) (15), the treatment response of the patient was assessed as progressive disease (PD). The patient refused to undergo a biopsy of the liver. Treatment with erlotinib was stopped when PD was detected, and 2 cycles (3 weeks/cycle) of chemotherapy with pemetrexed (500 mg/m2) plus cisplatin (75 mg/m2) were administered to the patient intravenously. However, the hepatic metastases continued to progress under the assessment of CT scans, which were performed monthly. The patient succumbed 2 months subsequent to the detection of PD, with the best supportive care possible. The patient's overall survival was ~5.3 months.

Figure 1.

Chest computed tomography scans. Presence of a left upper lobe primary mass with multiple small pulmonary nodules in both lungs was observed prior to erlotinib treatment; a left upper lobe primary mass was identified on the (A) mediastinal window and (B) pulmonary window, respectively (arrows). Following 8 weeks of erlotinib treatment the mass had shrunk on the (C) mediastinal and (D) pulmonary windows, respectively (arrows).

Figure 2.

Hepatic computed tomography scans. Absence of hepatic metastasis prior to erlotinib treatment was observed on a (A) plain, (B) venous phase and (C) arterial phase scan (arrows). Presence of hepatic metastasis following 8 weeks of erlotinib treatment was observed on a (D) plain, (E) venous phase and (F) arterial phase scan (arrows).

Discussion

The use of first-line EGFR-TKIs in NSCLC patients with EGFR sensitizing mutations has been demonstrated to be superior to chemotherapy in terms of PFS, RR and quality of life; however, previous phase III clinical trials primarily enrolled patients harboring common EGFR mutations, including exon 19 deletion or exon 21 L858R (16). For patients who exhibit uncommon mutations, particularly complex 19+21 mutations, the efficacy of first-line EGFR-TKIs remains unknown. Despite the fact that the present patient harbored Del-19 and L858R, which are sensitizing EGFR mutations, the patient experienced PD following treatment with first-line erlotinib. In order to acquire an improved understanding of this, the present study performed a comprehensive search of relevant studies published on the PubMed database (www.ncbi.nlm.nih.gov/pubmed) using keywords, including ‘complex mutations’, ‘double mutations’, ‘compound mutations’, ‘multiple mutations’, ‘rare mutations’ and ‘uncommon mutations’, with ‘EGFR’ added to each keyword. All studies with relevant abstracts (1,949 abstracts) were retrieved first, and the full texts of those that were considered valuable, including studies that contained patients carrying complex, double, compound, multiple, rare or uncommon mutations of EGFR, were carefully reviewed (27 studies). Relevant references from the searched studies (6 references) were also reviewed.

In total, 18 patients with EGFR Del-19 + L858R mutations that received EGFR-TKIs were identified between January 2002 and January 2015 (Table I) (17–22). Of these 18, 16 patients were assessed based on RECIST (15) and 2 patients were not evaluated. The 18 patients presented in Table I exhibited the following responses: 2 (11.1%), complete response; 10 (55.6%), partial response; 2 (11.1%), stable disease; 2 (11.1%), PD; and 2 patients (11.1%) that were not evaluated experienced a relief of their symptoms. Only 2 out of the 18 patients experienced PD following the initiation of EGFR-TKIs, and these patients were administered EGFR-TKIs as second-line treatment, following first-line carboplatin and paclitaxel regimens. Compared with patients harboring EGFR mutations that were administered first-line EGFR-TKIs, those who received EGFR-TKIs as second-line treatment following platinum-based chemotherapy exhibited a lower response rate (23,24). A study by Bai et al (25) demonstrated that prior chemotherapy may reduce the EGFR mutation rate in the plasma, suggesting that the poor response of the 2 aforementioned patients with PD may be associated with the first-line chemotherapy each received.

Table I.

Characteristics of 18 patients with EGFR Del-19 + L858R mutations that were treated with EGFR-tyrosine kinase inhibitors.

Table I.

Characteristics of 18 patients with EGFR Del-19 + L858R mutations that were treated with EGFR-tyrosine kinase inhibitors.

PatientAuthor, yearGenderSmoking statusHistologyResponsePFS, monthsOS, months(Ref.)
  1Zhang et al, 2007MYesAdenocarcinomaCR  18  20(17)
  2Zhang et al, 2007MNoAdenocarcinomaPR>19>19(17)
  3Zhang et al, 2007MYesAdenocarcinomaNE  2  2(17)
  4Masago et al, 2009FNoAdenocarcinomaPR  14  23(18)
  5Masago et al, 2009FNoAdenocarcinomaPD  1  11(18)
  6Masago et al, 2009FNoAdenocarcinomaPR  11  11(18)
  7Masago et al, 2009FNoAdenocarcinomaPD  2>39(18)
  8Masago et al, 2010MNoAdenocarcinomaNE   >2   >2(19)
  9Keam et al, 2014FNoAdenocarcinomaPR  4  12(20)
10Peng et al, 2014MNoAdenocarcinomaSD  8   >8(21)
11Peng et al, 2014FNoAdenosquamous carcinomaPR  15>58(21)
12Hata et al, 2010FNoAdenocarcinomaCR  31>41(22)
13Hata et al, 2010FNoAdenocarcinomaPR  7>33(22)
14Hata et al, 2010FYesAdenocarcinomaPR>23>23(22)
15Hata et al, 2010MYesAdenocarcinomaPR  12>13(22)
16Hata et al, 2010MFormerAdenocarcinomaPR>10>10(22)
17Hata et al, 2010MNoAdenocarcinomaPR   >9   >9(22)
18Hata et al, 2010MYesAdenocarcinomaSD>13>13(22)

[i] Patients were assessed based on the Response Evaluation Criteria in Solid Tumors (15). EGFR, epidermal growth factor receptor; PFS, progress free survival; OS, overall survival; M, male; F, female; Del-19, deletion on exon 19; L858R, mutation on exon 21; NE, not evaluated; CR, complete response; PR, partial response; SD, stable disease; PD, progressive disease.

The present patient had concurrent EGFR19+21 sensitizing mutations and received EGFR-TKI as a first-line treatment; however, the patient had PD following treatment. Previously, genetic heterogeneity of tumors has received considerable attention. Studies on clear cell renal carcinoma have demonstrated substantial intratumor heterogeneity of mutations in known cancer genes (26,27), which suggests that a single biopsy of a tumor may be inadequate to detect all cancer gene mutations, resulting in inconsistencies between detection and clinical efficacy. By contrast, a recent study by Zhang et al (28) on lung adenocarcinoma demonstrated that 76% of mutations were detected in various regions of the same tumor, indicating that single-region biopsy may compromise the intratumor heterogeneity to an acceptable extent, therefore identifying the majority of cancer gene mutations in localized lung adenocarcinomas.

In the present case, the EGFR gene detection assay on the core biopsy tissue of the primary lesion in the left lung revealed Del-19 and L858R mutations. Notably, following the initiation of EGFR-TKI treatment the primary lung mass shrunk and hepatic metastases appeared extensively. The present study hypothesizes that the genomic features of the hepatic metastases varied from those of the primary tumor, indicating that intertumor heterogeneity may be responsible for the PD observed in the present patient. In addition, de Bruin et al (29) revealed evidence of branched evolution with driver mutations arising prior to and following subclonal diversification, which supports the hypothesis of the present authors. Considering that the majority of NSCLC driver mutations occur in the early phases of tumor evolution (29), the Del-19 + L858R mutations of the present patient may have been truncal mutations of the ancestral clone, existing only in the primary lung lesion. With regard to the hepatic metastases, it is likely that they consisted of sectional and predominant subclones with branch gene alternations that confer de novo resistance to EGFR-TKIs, including phosphatidylinositol-4,5-bisphosphate 3-kinase catalytic subunit α, phosphatase and tensin homolog, protein kinase B and serine/threonine kinase 11 alterations, c-met amplification, hepatocyte growth factor overexpression and Kirsten ras mutations (30–34). Under circumstances when re-biopsy is not feasible, comprehensive genomic detection and multi-targeted therapies may be used. It has been suggested that liquid biopsy may reveal relatively comprehensive gene alternations and provide predictive information on the identification of therapeutic targets and resistance mechanisms (35).

To the best of our knowledge, this is the first study of a treatment-naive NSCLC patient harboring complex EGFR 19+21 sensitizing mutations presenting with de novo resistance to first-line EGFR-TKI treatment. Previous studies have suggested that NSCLC patients harboring complex EGFR 19+21 mutations usually have good response to EGFR-TKIs; however, in order to understand the complexity of EGFR mutations and determine the efficacy of EGFR-TKIs against them, large-scale clinical trials are required.

Acknowledgements

The present study was supported by the Health Scientific Research Project of Jiangsu Province, Nanjing, China (grant no. H201235) and Key Project of Nanjing Medical Science and Technology Development Foundation, Nanjing, China (grant no. ZKX12012).

References

1 

Ferlay JSI, Ervik M, Dikshit R, Eser S, Mathers C, Rebelo M, Parkin DM, Forman D and Bray F: GLOBOCAN 2012 v1.0, Cancer Incidence and Mortality Worldwide: IARC CancerBase No. 11 (Internet). International Agency for Research on Cancer (Lyon, France). 2013.http://globocan.iarc.frAccessed. January 23–2015

2 

Schiller JH, Harrington D, Belani CP, Langer C, Sandler A, Krook J, Zhu J and Johnson DH: Eastern Cooperative Oncology Group: Comparison of four chemotherapy regimens for advanced non-small-cell lung cancer. N Engl J Med. 346:92–98. 2002. View Article : Google Scholar : PubMed/NCBI

3 

Scagliotti GV, De Marinis F, Rinaldi M, Crinò L, Gridelli C, Ricci S, Matano E, Boni C, Marangolo M, Failla G, et al: Phase III randomized trial comparing three platinum-based doublets in advanced non-small-cell lung cancer. J Clin Oncol. 20:4285–4291. 2002. View Article : Google Scholar : PubMed/NCBI

4 

Fossella F, Pereira JR, von Pawel J, Pluzanska A, Gorbounova V, Kaukel E, Mattson KV, Ramlau R, Szczesna A, Fidias P, et al: Randomized, multinational, phase III study of docetaxel plus platinum combinations versus vinorelbine plus cisplatin for advanced non-small-cell lung cancer: The TAX 326 study group. J Clin Oncol. 21:3016–3024. 2003. View Article : Google Scholar : PubMed/NCBI

5 

Shigematsu H, Lin L, Takahashi T, Nomura M, Suzuki M, Wistuba II, Fong KM, Lee H, Toyooka S and Shimizu N: Clinical and biological features associated with epidermal growth factor receptor gene mutations in lung cancers. J Natl Cancer Inst. 97:339–346. 2005. View Article : Google Scholar : PubMed/NCBI

6 

Lynch TJ, Bell DW, Sordella R, Gurubhagavatula S, Okimoto RA, Brannigan BW, Harris PL, Haserlat SM, Supko JG, Haluska FG, et al: Activating mutations in the epidermal growth factor receptor underlying responsiveness of non-small-cell lung cancer to gefitinib. N Engl J Med. 350:2129–2139. 2004. View Article : Google Scholar : PubMed/NCBI

7 

Paez JG, Jänne PA, Lee JC, Tracy S, Greulich H, Gabriel S, Herman P, Kaye FJ, Lindeman N, Boggon TJ, et al: EGFR mutations in lung cancer: Correlation with clinical response to gefitinib therapy. Science. 304:1497–1500. 2004. View Article : Google Scholar : PubMed/NCBI

8 

Pao W, Miller V, Zakowski M, Doherty J, Politi K, Sarkaria I, Singh B, Heelan R, Rusch V, Fulton L, et al: EGF receptor gene mutations are common in lung cancers from ‘never smokers’ and are associated with sensitivity of tumors to gefitinib and erlotinib. Proc Natl Acad Sci USA. 101:13306–13311. 2004. View Article : Google Scholar : PubMed/NCBI

9 

Gerber DE, Gandhi L and Costa DB: Management and future directions in non-small cell lung cancer with known activating mutations. Am Soc Clin Oncol Educ Book. e353–e365. 2014. View Article : Google Scholar : PubMed/NCBI

10 

Lee JY, Lim SH, Kim M, Kim S, Jung HA, Chang WJ, Choi MK, Hong JY, Lee SJ, Sun JM, et al: Is there any predictor for clinical outcome in EGFR mutant NSCLC patients treated with EGFR TKIs? Cancer Chemother Pharmacol. 73:1063–1070. 2014. View Article : Google Scholar : PubMed/NCBI

11 

Huang SF, Liu HP, Li LH, Ku YC, Fu YN, Tsai HY, Chen YT, Lin YF, Chang WC, Kuo HP, et al: High frequency of epidermal growth factor receptor mutations with complex patterns in non-small cell lung cancers related to gefitinib responsiveness in Taiwan. Clin Cancer Res. 10:8195–8203. 2004. View Article : Google Scholar : PubMed/NCBI

12 

Hsieh MH, Fang YF, Chang WC, Kuo HP, Lin SY, Liu HP, Liu CL, Chen HC, Ku YC, Chen YT, et al: Complex mutation patterns of epidermal growth factor receptor gene associated with variable responses to gefitinib treatment in patients with non-small cell lung cancer. Lung Cancer. 53:311–322. 2006. View Article : Google Scholar : PubMed/NCBI

13 

Oken MM, Creech RH, Tormey DC, Horton J, Davis TE, McFadden ET and Carbone PP: Toxicity and response criteria of the Eastern Cooperative Oncology Group. Am J Clin Oncol. 5:649–655. 1982. View Article : Google Scholar : PubMed/NCBI

14 

Huang SW, Ho CF, Chan KW, Cheng MC, Shien JH, Liu HJ and Wang CY: The genotyping of infectious bronchitis virus in Taiwan by a multiplex amplification refractory mutation system reverse transcription polymerase chain reaction. J Vet Diagn Invest. 26:721–733. 2014. View Article : Google Scholar : PubMed/NCBI

15 

Therasse P, Arbuck SG, Eisenhauer EA, Wanders J, Kaplan RS, Rubinstein L, Verweij J, Van Glabbeke M, van Oosterom AT and Christian MC: New guidelines to evaluate the response to treatment in solid tumors. European organization for research and treatment of cancer, national cancer institute of the united states, national cancer institute of Canada. J Natl Cancer Inst. 92:205–216. 2000. View Article : Google Scholar : PubMed/NCBI

16 

Rosell R, Carcereny E, Gervais R, Vergnenegre A, Massuti B, Felip E, Palmero R, Garcia-Gomez R, Pallares C, Sanchez JM, et al: Spanish Lung Cancer Group in collaboration with Groupe Français de Pneumo-Cancérologie and Associazione Italiana Oncologia Toracica: Erlotinib versus standard chemotherapy as first-line treatment for European patients with advanced EGFR mutation-positive non-small-cell lung cancer (EURTAC): A multicentre, open-label, randomised phase 3 trial. Lancet Oncol. 13:239–246. 2012. View Article : Google Scholar : PubMed/NCBI

17 

Zhang GC, Lin JY, Wang Z, Zhou Q, Xu CR, Zhu JQ, Wang K, Yang XN, Chen G, Yang JJ, et al: Epidermal growth factor receptor double activating mutations involving both exons 19 and 21 exist in Chinese non-small cell lung cancer patients. Clin Oncol (R Col Radiol). 19:499–506. 2007. View Article : Google Scholar

18 

Masago K, Fujita S, Kim YH, Ichikawa M, Hatachi Y, Fukuhara A, Nagai H, Irisa K, Mio T and Mishima M: Epidermal growth factor receptor (EGFR) double-activating somatic mutations in exons 19 and 21 in Japanese non-small cell lung cancer patients. Cancer Genet Cytogenet. 195:179–182. 2009. View Article : Google Scholar : PubMed/NCBI

19 

Masago K, Togashi Y, Fukudo M, Terada T, Irisa K, Sakamori Y, Fujita S, Kim YH, Mio T and Inui K: Good clinical response to erlotinib in a non-small cell lung cancer patient harboring multiple brain metastases and a double active somatic epidermal growth factor gene mutation. Case Rep Oncol. 3:98–105. 2010. View Article : Google Scholar : PubMed/NCBI

20 

Keam B, Kim DW, Park JH, Lee JO, Kim TM, Lee SH, Chung DH and Heo DS: Rare and complex mutations of epidermal growth factor receptor and efficacy of tyrosine kinase inhibitor in patients with non-small cell lung cancer. Int J Clin Oncol. 19:594–600. 2014. View Article : Google Scholar : PubMed/NCBI

21 

Peng L, Song ZG and Jiao SC: Efficacy analysis of tyrosine kinase inhibitors on rare non-small cell lung cancer patients harboring complex EGFR mutations. Sci Rep. 4:61042014. View Article : Google Scholar : PubMed/NCBI

22 

Hata A, Yoshioka H, Fujita S, Kunimasa K, Kaji R, Imai Y, Tomii K, Iwasaku M, Nishiyama A and Ishida T: Complex mutations in the epidermal growth factor receptor gene in non-small cell lung cancer. J Thorac Oncol. 5:1524–1528. 2010. View Article : Google Scholar : PubMed/NCBI

23 

Shepherd FA, Rodrigues Pereira J, Ciuleanu T, Tan EH, Hirsh V, Thongprasert S, Campos D, Maoleekoonpiroj S, Smylie M, Martins R, et al: Erlotinib in previously treated non-small-cell lung cancer. N Engl J Med. 353:123–132. 2005. View Article : Google Scholar : PubMed/NCBI

24 

Thatcher N, Chang A, Parikh P, Rodrigues Pereira J, Ciuleanu T, von Pawel J, Thongprasert S, Tan EH, Pemberton K and Archer V: Gefitinib plus best supportive care in previously treated patients with refractory advanced non-small-cell lung cancer: Results from a randomised, placebo-controlled, multicentre study (iressa survival evaluation in lung cancer). Lancet. 366:1527–1537. 2005. View Article : Google Scholar : PubMed/NCBI

25 

Bai H, Wang Z, Chen K, Zhao J, Lee JJ, Wang S, Zhou Q, Zhuo M, Mao L, An T, et al: Influence of chemotherapy on EGFR mutation status among patients with non-small-cell lung cancer. J Clin Oncol. 30:3077–3083. 2012. View Article : Google Scholar : PubMed/NCBI

26 

Gerlinger M, Rowan AJ, Horswell S, Larkin J, Endesfelder D, Gronroos E, Martinez P, Matthews N, Stewart A, Tarpey P, et al: Intratumor heterogeneity and branched evolution revealed by multiregion sequencing. N Engl J Med. 366:883–892. 2012. View Article : Google Scholar : PubMed/NCBI

27 

Gerlinger M, Horswell S, Larkin J, Rowan AJ, Salm MP, Varela I, Fisher R, McGranahan N, Matthews N, Santos CR, et al: Genomic architecture and evolution of clear cell renal cell carcinomas defined by multiregion sequencing. Nat Genet. 46:225–233. 2014. View Article : Google Scholar : PubMed/NCBI

28 

Zhang J, Fujimoto J, Zhang J, Wedge DC, Song X, Zhang J, Seth S, Chow CW, Cao Y, Gumbs C, et al: Intratumor heterogeneity in localized lung adenocarcinomas delineated by multiregion sequencing. Science. 346:256–259. 2014. View Article : Google Scholar : PubMed/NCBI

29 

de Bruin EC, McGranahan N, Mitter R, Salm M, Wedge DC, Yates L, Jamal-Hanjani M, Shafi S, Murugaesu N, Rowan AJ, et al: Spatial and temporal diversity in genomic instability processes defines lung cancer evolution. Science. 346:251–256. 2014. View Article : Google Scholar : PubMed/NCBI

30 

Lee SY, Kim MJ, Jin G, Yoo SS, Park JY, Choi JE, Jeon HS, Cho S, Lee EB, Cha SI, et al: Somatic mutations in epidermal growth factor receptor signaling pathway genes in non-small cell lung cancers. J Thorac Oncol. 5:1734–1740. 2010. View Article : Google Scholar : PubMed/NCBI

31 

Benedettini E, Sholl LM, Peyton M, Reilly J, Ware C, Davis L, Vena N, Bailey D, Yeap BY, Fiorentino M, et al: Met activation in non-small cell lung cancer is associated with de novo resistance to EGFR inhibitors and the development of brain metastasis. Am J Pathol. 177:415–423. 2010. View Article : Google Scholar : PubMed/NCBI

32 

Yano S, Yamada T, Takeuchi S, Tachibana K, Minami Y, Yatabe Y, Mitsudomi T, Tanaka H, Kimura T, Kudoh S, et al: Hepatocyte growth factor expression in EGFR mutant lung cancer with intrinsic and acquired resistance to tyrosine kinase inhibitors in a Japanese cohort. J Thorac Oncol. 6:2011–2017. 2011. View Article : Google Scholar : PubMed/NCBI

33 

Ludovini V, Bianconi F, Pistola L, Chiari R, Minotti V, Colella R, Giuffrida D, Tofanetti FR, Siggillino A, Flacco A, et al: Phosphoinositide-3-kinase catalytic alpha and KRAS mutations are important predictors of resistance to therapy with epidermal growth factor receptor tyrosine kinase inhibitors in patients with advanced non-small cell lung cancer. J Thorac Oncol. 6:707–715. 2011. View Article : Google Scholar : PubMed/NCBI

34 

Shih JY, Gow CH and Yang PC: EGFR mutation conferring primary resistance to gefitinib in non-small-cell lung cancer. N Engl J Med. 353:207–208. 2005. View Article : Google Scholar : PubMed/NCBI

35 

Rolfo C, Castiglia M, Hong D, Alessandro R, Mertens I, Baggerman G, Zwaenepoel K, Gil-Bazo I, Passiglia F, Carreca AP, et al: Liquid biopsies in lung cancer: The new ambrosia of researchers. Biochim Biophys Acta. 1846:539–546. 2014.PubMed/NCBI

Related Articles

  • Abstract
  • View
  • Download
  • Twitter
Copy and paste a formatted citation
Spandidos Publications style
Yang Y, Zhang B, Li R, Liu B and Wang L: EGFR-tyrosine kinase inhibitor treatment in a patient with advanced non-small cell lung cancer and concurrent exon 19 and 21 EGFR mutations: A case report and review of the literature. Oncol Lett 11: 3546-3550, 2016.
APA
Yang, Y., Zhang, B., Li, R., Liu, B., & Wang, L. (2016). EGFR-tyrosine kinase inhibitor treatment in a patient with advanced non-small cell lung cancer and concurrent exon 19 and 21 EGFR mutations: A case report and review of the literature. Oncology Letters, 11, 3546-3550. https://doi.org/10.3892/ol.2016.4409
MLA
Yang, Y., Zhang, B., Li, R., Liu, B., Wang, L."EGFR-tyrosine kinase inhibitor treatment in a patient with advanced non-small cell lung cancer and concurrent exon 19 and 21 EGFR mutations: A case report and review of the literature". Oncology Letters 11.5 (2016): 3546-3550.
Chicago
Yang, Y., Zhang, B., Li, R., Liu, B., Wang, L."EGFR-tyrosine kinase inhibitor treatment in a patient with advanced non-small cell lung cancer and concurrent exon 19 and 21 EGFR mutations: A case report and review of the literature". Oncology Letters 11, no. 5 (2016): 3546-3550. https://doi.org/10.3892/ol.2016.4409
Copy and paste a formatted citation
x
Spandidos Publications style
Yang Y, Zhang B, Li R, Liu B and Wang L: EGFR-tyrosine kinase inhibitor treatment in a patient with advanced non-small cell lung cancer and concurrent exon 19 and 21 EGFR mutations: A case report and review of the literature. Oncol Lett 11: 3546-3550, 2016.
APA
Yang, Y., Zhang, B., Li, R., Liu, B., & Wang, L. (2016). EGFR-tyrosine kinase inhibitor treatment in a patient with advanced non-small cell lung cancer and concurrent exon 19 and 21 EGFR mutations: A case report and review of the literature. Oncology Letters, 11, 3546-3550. https://doi.org/10.3892/ol.2016.4409
MLA
Yang, Y., Zhang, B., Li, R., Liu, B., Wang, L."EGFR-tyrosine kinase inhibitor treatment in a patient with advanced non-small cell lung cancer and concurrent exon 19 and 21 EGFR mutations: A case report and review of the literature". Oncology Letters 11.5 (2016): 3546-3550.
Chicago
Yang, Y., Zhang, B., Li, R., Liu, B., Wang, L."EGFR-tyrosine kinase inhibitor treatment in a patient with advanced non-small cell lung cancer and concurrent exon 19 and 21 EGFR mutations: A case report and review of the literature". Oncology Letters 11, no. 5 (2016): 3546-3550. https://doi.org/10.3892/ol.2016.4409
Follow us
  • Twitter
  • LinkedIn
  • Facebook
About
  • Spandidos Publications
  • Careers
  • Cookie Policy
  • Privacy Policy
How can we help?
  • Help
  • Live Chat
  • Contact
  • Email to our Support Team