International Journal of Molecular Medicine is an international journal devoted to molecular mechanisms of human disease.
International Journal of Oncology is an international journal devoted to oncology research and cancer treatment.
Covers molecular medicine topics such as pharmacology, pathology, genetics, neuroscience, infectious diseases, molecular cardiology, and molecular surgery.
Oncology Reports is an international journal devoted to fundamental and applied research in Oncology.
Experimental and Therapeutic Medicine is an international journal devoted to laboratory and clinical medicine.
Oncology Letters is an international journal devoted to Experimental and Clinical Oncology.
Explores a wide range of biological and medical fields, including pharmacology, genetics, microbiology, neuroscience, and molecular cardiology.
International journal addressing all aspects of oncology research, from tumorigenesis and oncogenes to chemotherapy and metastasis.
Multidisciplinary open-access journal spanning biochemistry, genetics, neuroscience, environmental health, and synthetic biology.
Open-access journal combining biochemistry, pharmacology, immunology, and genetics to advance health through functional nutrition.
Publishes open-access research on using epigenetics to advance understanding and treatment of human disease.
An International Open Access Journal Devoted to General Medicine.
Perivascular epithelioid cell tumor (PEComa) was recognized by the World Health Organization in 2002 as ‘mesenchymal tumors composed of histologically and immunohistochemically distinctive perivascular epithelioid cells’ (1). PEComa exhibits immunoreactivity for HMB-45, melan-A, actin, microphthalmia-associated transcription factor and desmin, and possesses smooth muscle and melanocytic components (2). According to PubMed (www.ncbi.nlm.nih.gov/pubmed), ~100 cases of PEComa have been reported in the English literature with various primary sites. The largest series of 35 cases was reported by Doyle et al (3) in 2013. A total of 20 patients out of the 35 were gastrointestinal in origin, 13 patients developed metastasis to various sites, and 5 patients succumbed to advanced disease (3).
In 10% of PEComas cases, genetic alterations of tuberous sclerosis complex (TSC), due to losses of 9q34 (TSC1) or 16q13.3 (TSC2), have been reported (4). These genetic alterations activate mechanistic target of rapamycin (mTOR) in AMP-activated protein kinase and Ras/mitogen-activated protein kinase pathways, resulting in high mTOR activity (5). This leads to a lack of regulation of cell proliferation, migration and differentiation (6). Since 2007, several cases of treatment with mTOR inhibitors in advanced PEComa have been described (7–12).
The current case presents a patient with small bowel PEComa that metastasized to the brain and lungs. Following resection of the brain metastasis, the patient was treated with everolimus, a mTOR inhibitor, resulting in improvement in the patient's quality of life and a long period of stable disease.
A 35-year old woman with morbid obesity, but without any comorbidity, was admitted to The Emek Medical Center (Afula, Israel) in October 2010 due to acute abdominal pain. Abdominal computed tomography (CT) demonstrated small bowel obstruction. An emergency, explorative laparotomy was performed with resection of the intestinal mass. Pathology conducted on the resected mass provided a diagnosis of PEComa. A subsequent chest CT revealed the presence of multiple lung nodules, which were diagnosed as metastases of PEComa by pathology on samples taken using fine-needle biopsy.
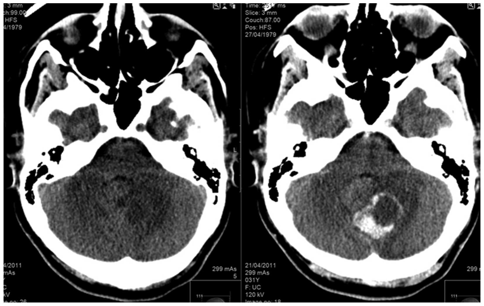
The patient was lost to follow-up until April 2011 when she was admitted The Emek Medical Center due to severe headaches and blurred vision. Brain magnetic resonance imaging (MR750w 3.0T; GE Healthcare, Milwaukee, WI, USA) demonstrated the presence of a posterior brain tumor (Fig. 1). Posterior craniotomy and resection of the tumor was performed. The pathological report diagnosed the tumor as metastatic PEComa identical to the small bowel origin (Fig. 2).
The patient had an appointment with an oncologist (Rambam Health Care Campus, Haifa, Israel) for the first time in January 2012. The patient's Eastern Cooperative Oncology Group (ECOG) performance status (13) was 2, and she suffered from dyspnea, abdominal pain and weakness. In addition, the patient used a wheelchair and nasal oxygen.
A CT scan for a systemic evaluation demonstrated multiple bilateral lung metastases (Fig. 3A), without evidence of brain or abdominal recurrence. In May 2012, the patient was administered with a mTOR inhibitor as a first-line treatment for metastatic disease (10 mg oral everolimus once daily). Following two months of treatment, improvement in the patient's lung metastases (Fig. 3B), quality of life and symptoms was observed. All symptoms of dyspnea, abdominal pain and weakness were improved, and the patient was able to stop using the wheelchair. Radiological evaluations revealed stable disease under continued treatment with everolimus that lasted for 18 months. During this period, the patient was asymptomatic and had an ECOG performance status of 0. The patient was followed up every two months, and follow-up appointments consisted of history and physical evaluation, cell blood count, blood biochemistry and CT.
In November 2013, the patient complained of right pelvic pain radiating down the right leg, with ipsilateral low extremity lymphedema. A CT scan revealed the presence of novel masses above the right knee and in the pelvic soft tissue, and the already diagnosed lung lesions. Biopsy from the leg mass demonstrated that the pathology was that of metastatic PEComa.
The patient was started on second-line therapy with doxorubicin (75 mg/m2 every 21 days for 4 cycles). A response was observed two months later in the soft tissue masses, with reduction of the leg lymphedema, but the disease progressed in the lungs with novel metastases observed five months subsequent to treatment. The patient succumbed to the disease in January 2015. Written informed consent was obtained from the patient's family for the publication of this study.
Primary PEComa of the small intestine is rare and has been reported in only a few cases (7,14,15). The current patient was initially diagnosed with small bowel PEComa with metastatic disease to the lungs, and possibly to the brain, although the brain metastases were only identified four months later when the patient became symptomatic. Brain metastases from PEComa are extremely rare and have only been reported in two additional cases (14,16).
Until the era of mTOR inhibitors, the only option for the treatment of metastatic disease was chemotherapy. However, no formal recommendations were provided for first-line chemotherapy, and treatment strategies differed between reported cases. Based on the genetic alterations of the tuberous sclerosis complex that was identified in certain patients with PEComas (6), resulting in high mTOR activity, several cases reported treatment of this type of disease with mTOR inhibitors. These cases and the current case are summarized in Table I. Italiano et al (8) reported a radiological complete response following neoadjuvant treatment with temsirolimus as a first-line treatment in a patient with lung metastasis, and a partial response in another patient with cardiac metastasis as a second-line treatment following combination chemotherapy. Wagner et al (9) reported three cases treated with sirolimus either as a first-line treatment leading to stable disease (two cases), or as a second-line treatment with a partial response (one case). Neoadjuvant treatment with temsirolimus for primary uterine PEComa in a young female patient (10) and with sirolimus for a patient with primary liver PEComa (17) resulted in partial response and no recurrence following surgery. Dickson et al (7) also reported complete response or prolonged partial response in 4 out of 5 cases with abdominal PEComas. These patients were treated with rapamycin, sirolimus and everolimus.
Table I.Reported cases of advanced perivascular epithelioid cell tumors treated with mechanistic target of rapamycin inhibitors. |
The largest case series was reported by Benson et al (11) with 10 cases treated at the Royal Marsden Hospital (London, UK). In that study, a partial response was observed in 5 out of 7 assessed patients and symptomatic responses were documented in 7 out of 10 patients. The 1-year survival rate for this series of patients was calculated at 78.8% with a median overall survival time of 2.4 years (95% confidence interval, 0.3–4.5 years) and a median follow-up time of 1.9 years.
Treatment with everolimus was reported in two cases only: As a neoadjuvant treatment in 1 patient with primary liver PEComa, which lead to a good partial response allowing the patient to undergo surgery (7); and in 1 patient with primary retroperitoneal PEComa that had metastasized to the lungs, which lead to a complete response in the lung lesions and a partial response in the abdominal mass (12). In the current case, treatment with everolimus lead to stable disease in the patient for 18 months, with symptomatic relief and improvement in the quality of life of the patient for a disease that had rapidly progressed prior to this treatment.
In conclusion, treatment with mTOR inhibitors as a first-line treatment option in advanced PEComa patients appears reasonable, according to the increasing amount of data reported by cases that present this rare malignancy.
|
Folpe AL: Neoplasms with perivascular epithelioid cell differentiation (PEComas)World Health Organization Classification of Tumors: Pathology and Genetics of Tumors of Soft Tissue and Bone. Fletcher CDM. Unni KK and Mertens F: IARC Press; Lyon: pp. 221–223. 2002 | |
|
Martignoni G, Pea M, Reghellin D, Zamboni G and Bonetti F: PEComas: The past, the present and the future. Virchows Arch. 452:119–132. 2008. View Article : Google Scholar : PubMed/NCBI | |
|
Doyle LA, Hornick JL and Fletcher CD: PEComa of the gastrointestinal tract: Clinicopathologic study of 35 cases with evaluation of prognostic parameters. Am J Surg Path. 37:1769–1782. 2013. View Article : Google Scholar : PubMed/NCBI | |
|
Hornick JL and Fletcher CD: PEComa: What do we know so far? Histopathology. 48:75–82. 2006. View Article : Google Scholar : PubMed/NCBI | |
|
Napolioni V, Moavero R and Curatolo P: Recent advances in neurobiology of Tuberous Sclerosis Complex. Brain Dev. 31:104–113. 2009. View Article : Google Scholar : PubMed/NCBI | |
|
Kenerson H, Folpe AL, Takayama TK and Yeung RS: Activation of the mTOR pathway in sporadic angiomyolipomas and other perivascular epithelioid cell neoplasms. Hum Pathol. 38:1361–1371. 2007. View Article : Google Scholar : PubMed/NCBI | |
|
Dickson MA, Schwartz GK, Antonescu CR, Kwiatkowski DJ and Malinowska IA: Extrarenal perivascular epithelioid cell tumors (PEComas) respond to mTOR inhibition: Clinical and molecular correlates. Int J Cancer. 132:1711–1717. 2013. View Article : Google Scholar : PubMed/NCBI | |
|
Italiano A, Delcambre C, Hostein I, Cazeau AL, Marty M, Avril A, Coindre JM and Bui B: Treatment with the mTOR inhibitor temserolimus in patients with malignant PEComa. Ann Oncol. 21:1135–1137. 2010. View Article : Google Scholar : PubMed/NCBI | |
|
Wagner AJ, Malinowska-Kolodziej I, Morgan JA, Qin W, Fletcher CD, Vena N, Ligon AH, Antonescu CR, Ramaiya NH, Demetri GD, et al: Clinical activity of mTOR inhibitor with sirolimus in malignant perivascular epithelioid cell tumors: Targeting the pathogenic activation of mTORC1 in tumors. J Clin Oncol. 28:835–840. 2010. View Article : Google Scholar : PubMed/NCBI | |
|
Bunch K and Sunde J: Fertility sparing treatment of a malignant uterine perivascular epithelioid cell tumor: A case report. Gynecol Oncol Case Rep. 8:14–16. 2014. View Article : Google Scholar : PubMed/NCBI | |
|
Benson C, Vitfell-Rasmussen J, Maruzzo M, Fisher C, Tunariu N, Mitchell S, Al-Muderis O, Thway K, Larkin J and Judson I: A retrospective study of patients with malignant PEComa receiving treatment with sirolimus or temsirolimus: The royal marsden hospital experience. Anticancer Res. 34:3663–3668. 2014.PubMed/NCBI | |
|
Gennatas C, Michalaki V, Kairi PV, Kondi-Paphiti A and Voros D: Successful treatment with the mTOR inhibitor everolimus in a patient with perivascular epithelioid cell tumor. World J Surg Oncol. 10:1812012. View Article : Google Scholar : PubMed/NCBI | |
|
Oken MM, Creech RH, Tormey DC, Horton J, Davis TE, McFadden ET and Carbone PP: Toxicity and Response Criteria of the Eastern Cooperative Oncology Group. Am J Clin Oncol. 5:649–655. 1982. View Article : Google Scholar : PubMed/NCBI | |
|
Agaimy A and Wünsch PH: Perivascular epithelioid cell sarcoma (malignant PEComa) of the ileum. Pathol Res Pract. 202:37–41. 2006. View Article : Google Scholar : PubMed/NCBI | |
|
Yanai H, Matsuura H, Sonobe H, Shiozaki S and Kawabata K: Perivascular epithelioid cell tumor of the jejunum. Pathol Res Pract. 199:47–50. 2003. View Article : Google Scholar : PubMed/NCBI | |
|
Parfitt JR, Keith JL, Megyesi JF and Ang LC: Metastatic PEComa to the brain. Acta Neuropathol. 112:349–351. 2006. View Article : Google Scholar : PubMed/NCBI | |
|
Bergamo F, Maruzzo M, Basso U, Montesco MC, Zagonel V, Gringeri E and Cillo U: Neoadjuvant sirolimus for a large hepatic perivascular epithelioid cell tumor (PEComa). World J Surg Oncol. 12:462014. View Article : Google Scholar : PubMed/NCBI |