Spandidos Publications Logo
  • About
    • About Spandidos
    • Aims and Scopes
    • Abstracting and Indexing
    • Editorial Policies
    • Reprints and Permissions
    • Job Opportunities
    • Terms and Conditions
    • Contact
  • Journals
    • All Journals
    • Oncology Letters
      • Oncology Letters
      • Information for Authors
      • Editorial Policies
      • Editorial Board
      • Aims and Scope
      • Abstracting and Indexing
      • Bibliographic Information
      • Archive
    • International Journal of Oncology
      • International Journal of Oncology
      • Information for Authors
      • Editorial Policies
      • Editorial Board
      • Aims and Scope
      • Abstracting and Indexing
      • Bibliographic Information
      • Archive
    • Molecular and Clinical Oncology
      • Molecular and Clinical Oncology
      • Information for Authors
      • Editorial Policies
      • Editorial Board
      • Aims and Scope
      • Abstracting and Indexing
      • Bibliographic Information
      • Archive
    • Experimental and Therapeutic Medicine
      • Experimental and Therapeutic Medicine
      • Information for Authors
      • Editorial Policies
      • Editorial Board
      • Aims and Scope
      • Abstracting and Indexing
      • Bibliographic Information
      • Archive
    • International Journal of Molecular Medicine
      • International Journal of Molecular Medicine
      • Information for Authors
      • Editorial Policies
      • Editorial Board
      • Aims and Scope
      • Abstracting and Indexing
      • Bibliographic Information
      • Archive
    • Biomedical Reports
      • Biomedical Reports
      • Information for Authors
      • Editorial Policies
      • Editorial Board
      • Aims and Scope
      • Abstracting and Indexing
      • Bibliographic Information
      • Archive
    • Oncology Reports
      • Oncology Reports
      • Information for Authors
      • Editorial Policies
      • Editorial Board
      • Aims and Scope
      • Abstracting and Indexing
      • Bibliographic Information
      • Archive
    • Molecular Medicine Reports
      • Molecular Medicine Reports
      • Information for Authors
      • Editorial Policies
      • Editorial Board
      • Aims and Scope
      • Abstracting and Indexing
      • Bibliographic Information
      • Archive
    • World Academy of Sciences Journal
      • World Academy of Sciences Journal
      • Information for Authors
      • Editorial Policies
      • Editorial Board
      • Aims and Scope
      • Abstracting and Indexing
      • Bibliographic Information
      • Archive
    • International Journal of Functional Nutrition
      • International Journal of Functional Nutrition
      • Information for Authors
      • Editorial Policies
      • Editorial Board
      • Aims and Scope
      • Abstracting and Indexing
      • Bibliographic Information
      • Archive
    • International Journal of Epigenetics
      • International Journal of Epigenetics
      • Information for Authors
      • Editorial Policies
      • Editorial Board
      • Aims and Scope
      • Abstracting and Indexing
      • Bibliographic Information
      • Archive
    • Medicine International
      • Medicine International
      • Information for Authors
      • Editorial Policies
      • Editorial Board
      • Aims and Scope
      • Abstracting and Indexing
      • Bibliographic Information
      • Archive
  • Articles
  • Information
    • Information for Authors
    • Information for Reviewers
    • Information for Librarians
    • Information for Advertisers
    • Conferences
  • Language Editing
Spandidos Publications Logo
  • About
    • About Spandidos
    • Aims and Scopes
    • Abstracting and Indexing
    • Editorial Policies
    • Reprints and Permissions
    • Job Opportunities
    • Terms and Conditions
    • Contact
  • Journals
    • All Journals
    • Biomedical Reports
      • Information for Authors
      • Editorial Policies
      • Editorial Board
      • Aims and Scope
      • Abstracting and Indexing
      • Bibliographic Information
      • Archive
    • Experimental and Therapeutic Medicine
      • Information for Authors
      • Editorial Policies
      • Editorial Board
      • Aims and Scope
      • Abstracting and Indexing
      • Bibliographic Information
      • Archive
    • International Journal of Epigenetics
      • Information for Authors
      • Editorial Policies
      • Editorial Board
      • Aims and Scope
      • Abstracting and Indexing
      • Bibliographic Information
      • Archive
    • International Journal of Functional Nutrition
      • Information for Authors
      • Editorial Policies
      • Editorial Board
      • Aims and Scope
      • Abstracting and Indexing
      • Bibliographic Information
      • Archive
    • International Journal of Molecular Medicine
      • Information for Authors
      • Editorial Policies
      • Editorial Board
      • Aims and Scope
      • Abstracting and Indexing
      • Bibliographic Information
      • Archive
    • International Journal of Oncology
      • Information for Authors
      • Editorial Policies
      • Editorial Board
      • Aims and Scope
      • Abstracting and Indexing
      • Bibliographic Information
      • Archive
    • Medicine International
      • Information for Authors
      • Editorial Policies
      • Editorial Board
      • Aims and Scope
      • Abstracting and Indexing
      • Bibliographic Information
      • Archive
    • Molecular and Clinical Oncology
      • Information for Authors
      • Editorial Policies
      • Editorial Board
      • Aims and Scope
      • Abstracting and Indexing
      • Bibliographic Information
      • Archive
    • Molecular Medicine Reports
      • Information for Authors
      • Editorial Policies
      • Editorial Board
      • Aims and Scope
      • Abstracting and Indexing
      • Bibliographic Information
      • Archive
    • Oncology Letters
      • Information for Authors
      • Editorial Policies
      • Editorial Board
      • Aims and Scope
      • Abstracting and Indexing
      • Bibliographic Information
      • Archive
    • Oncology Reports
      • Information for Authors
      • Editorial Policies
      • Editorial Board
      • Aims and Scope
      • Abstracting and Indexing
      • Bibliographic Information
      • Archive
    • World Academy of Sciences Journal
      • Information for Authors
      • Editorial Policies
      • Editorial Board
      • Aims and Scope
      • Abstracting and Indexing
      • Bibliographic Information
      • Archive
  • Articles
  • Information
    • For Authors
    • For Reviewers
    • For Librarians
    • For Advertisers
    • Conferences
  • Language Editing
Login Register Submit
  • This site uses cookies
  • You can change your cookie settings at any time by following the instructions in our Cookie Policy. To find out more, you may read our Privacy Policy.

    I agree
Search articles by DOI, keyword, author or affiliation
Search
Advanced Search
presentation
Oncology Letters
Join Editorial Board Propose a Special Issue
Print ISSN: 1792-1074 Online ISSN: 1792-1082
Journal Cover
August-2017 Volume 14 Issue 2

Full Size Image

Sign up for eToc alerts
Recommend to Library

Journals

International Journal of Molecular Medicine

International Journal of Molecular Medicine

International Journal of Molecular Medicine is an international journal devoted to molecular mechanisms of human disease.

International Journal of Oncology

International Journal of Oncology

International Journal of Oncology is an international journal devoted to oncology research and cancer treatment.

Molecular Medicine Reports

Molecular Medicine Reports

Covers molecular medicine topics such as pharmacology, pathology, genetics, neuroscience, infectious diseases, molecular cardiology, and molecular surgery.

Oncology Reports

Oncology Reports

Oncology Reports is an international journal devoted to fundamental and applied research in Oncology.

Experimental and Therapeutic Medicine

Experimental and Therapeutic Medicine

Experimental and Therapeutic Medicine is an international journal devoted to laboratory and clinical medicine.

Oncology Letters

Oncology Letters

Oncology Letters is an international journal devoted to Experimental and Clinical Oncology.

Biomedical Reports

Biomedical Reports

Explores a wide range of biological and medical fields, including pharmacology, genetics, microbiology, neuroscience, and molecular cardiology.

Molecular and Clinical Oncology

Molecular and Clinical Oncology

International journal addressing all aspects of oncology research, from tumorigenesis and oncogenes to chemotherapy and metastasis.

World Academy of Sciences Journal

World Academy of Sciences Journal

Multidisciplinary open-access journal spanning biochemistry, genetics, neuroscience, environmental health, and synthetic biology.

International Journal of Functional Nutrition

International Journal of Functional Nutrition

Open-access journal combining biochemistry, pharmacology, immunology, and genetics to advance health through functional nutrition.

International Journal of Epigenetics

International Journal of Epigenetics

Publishes open-access research on using epigenetics to advance understanding and treatment of human disease.

Medicine International

Medicine International

An International Open Access Journal Devoted to General Medicine.

Journal Cover
August-2017 Volume 14 Issue 2

Full Size Image

Sign up for eToc alerts
Recommend to Library

  • Article
  • Citations
    • Cite This Article
    • Download Citation
    • Create Citation Alert
    • Remove Citation Alert
    • Cited By
  • Similar Articles
    • Related Articles (in Spandidos Publications)
    • Similar Articles (Google Scholar)
    • Similar Articles (PubMed)
  • Download PDF
  • Download XML
  • View XML
Article Open Access

Diagnosis and surgical treatment of retroperitoneal paraganglioma: A single-institution experience of 34 cases

  • Authors:
    • Xiao‑Ke Ji
    • Xiang‑Wu Zheng
    • Xiu‑Lin Wu
    • Zheng‑Ping Yu
    • Yun‑Feng Shan
    • Qi‑Yu Zhang
    • Qi‑Qiang Zeng
  • View Affiliations / Copyright

    Affiliations: Department of General Surgery, The First Affiliated Hospital, Wenzhou Medical University, Wenzhou, Zhejiang 325000, P.R. China, Radiological Department, The First Affiliated Hospital, Wenzhou Medical University, Wenzhou, Zhejiang 325000, P.R. China, Department of Pathology, The First Affiliated Hospital, Wenzhou Medical University, Wenzhou, Zhejiang 325000, P.R. China
    Copyright: © Ji et al. This is an open access article distributed under the terms of Creative Commons Attribution License.
  • Pages: 2268-2280
    |
    Published online on: June 22, 2017
       https://doi.org/10.3892/ol.2017.6468
  • Expand metrics +
Metrics: Total Views: 0 (Spandidos Publications: | PMC Statistics: )
Metrics: Total PDF Downloads: 0 (Spandidos Publications: | PMC Statistics: )
Cited By (CrossRef): 0 citations Loading Articles...

This article is mentioned in:



Abstract

The present study aimed at identifying the clinical, radiological and pathological characteristics of retroperitoneal paragangliomas, and determining the association between the tumor features and the prognosis of patients following surgery. A total of 34 patients with retroperitoneal paragangliomas, who underwent resection between November 1999 and December 2015, were included in the present retrospective study. The patients' demographics, clinical symptoms and signs, tumor functional status, surgical procedure, intraoperative results, tumor pathology, radiological results, and postoperative survival time were recorded and analyzed. Of the 34 patients, the most common type of presenting symptom was abdominal mass (46%), followed by hypertension (39%) and abdominal pain (32%). Functional tumors occurred in 20 patients (59%). Computed tomography (CT) and magnetic resonance imaging revealed soft‑tissue masses, with marked enhancement in the arterial phase, indicative of retroperitoneal paragangliomas. The preoperative CT diagnostic accuracy rate between 2010 and 2015 was markedly improved, compared with that between 1999 and 2009. The tumors were primarily located close to the renal arteries and veins surrounding the abdominal aorta and inferior vena cava. With the exception of one malignant paraganglioma, the majority of paragangliomas were positive for chromogranin A, S‑100 protein, vimentin and heat‑shock protein 90, and exhibited decreased expression of Ki‑67 antigen and insulin‑like growth factor 2. All tumors were completely removed by surgery. Distant metastasis, but not tumor size, functional status and local invasion, was markedly associated with survival. The preoperative diagnostic accuracy rate of retroperitoneal paragangliomas may be improved by focusing on the predilection sites and CT characteristics. In addition, immunohistochemical markers were useful to determine tumor malignancy. Complete surgical resection was appropriate for all patients and postoperative survival time was identified to be associated with tumor metastasis.

Introduction

Paragangliomas (also known as extra-adrenal pheochromocytomas) are rare tumors that arise from extra-adrenal chromaffin cells (1,2). Paragangliomas originate from paraganglia at a number of anatomical sites, including the head, neck, thorax and abdomen. Retroperitoneal paraganglioma represents between 21.5 and 87% of all paragangliomas (3,4). Paragangliomas are characterized by secretions of excessive catecholamines, including epinephrine, norepinephrine and dopamine, which may lead to clinical symptoms, including episodic hypertension, tachycardia and diaphoresis. However, between 40 and 50% of paragangliomas are non-functional and potentially functional (5,6). If functional and potentially functional retroperitoneal paragangliomas are misdiagnosed prior to surgery, intraoperative compression of the tumor may cause a sudden release of catecholamines, leading to disastrous consequences.

Since retroperitoneal paragangliomas are rare, the behavior and treatment outcomes of this type of tumor remain unclear. In the present study, a review of resected retroperitoneal paragangliomas over a period of 16 years was conducted, in addition to a review of the relevant literature.

Patients and methods

Patients

The present retrospective study was approved by the Institutional Review Broad of the First Affiliated Hospital of Wenzhou Medical University (Wenzhou, China). All patients provided written informed consent prior to inclusion in the present study. The present study included 34 patients with retroperitoneal paragangliomas, who underwent resection at the First Affiliated Hospital of Wenzhou Medical University by experienced surgeons between December 1999 and December 2015. All paragangliomas were diagnosed using pathological examinations.

Patient information, including demographics, clinical symptoms and signs, tumor functional status, surgical procedure, intraoperative results, tumor pathology, radiological results and postoperative survival time, was extracted from hospital records. Functional tumors were defined as those tumors which exhibited increased urine or serum catecholamine levels, attributable to the presence of the tumor. Malignant tumors were defined as those associated with identified lymph node metastases or distant metastases. Clinical characteristics of the 34 patients with retroperitoneal paragangliomas are presented in Table I. All patients were followed up via telephone and hospital visits at least every 6 months until they succumbed or the endpoint date was reached (May 2016). The median follow-up time was 67 months (range, 6–188 months).

Table I.

Clinical characteristics of 34 patients with retroperitoneal paragangliomas.

Table I.

Clinical characteristics of 34 patients with retroperitoneal paragangliomas.

Patient no.SexAge, yearsDate of surgerySymptoms and signsFunctional statusLocationSize, cmIntraoperative resultsMetastasisResection of other organs
1M6028 November, 1999Hypertension, palpitationYesPeri-abdominal aorta, close to the inferior pole of the right kidney8×7×5Adhesion of upper part of the tumor to the duodenumNoNo
2F209 October, 2000Abdominal painNoInferior to the pancreatic head, superior to the horizontal part6×5×5Encapsulated tumor adjacent to the superior mesenteric veinNoNo
3M7817 August, 2001Hypertension, abdominal painYesPeri-left kidney, posterior to the intestine8×7×6Encapsulated tumor with clear demarcationNoNo
4F544 March, 2003Hypertension, umbilical discomfortYesPosterior to the inferior vena cava, inferior to the caudate lobe of the liver7×6×6Encapsulated tumor adhesive to the right adrenal glandNoRight adrenal gland
5F5317 September, 2003Hypertension, abdominal pain after urinationYesRight to the neck of the urinary bladder on the bottom of the pelvic cavity5×3×3Encapsulated tumor with clear demarcationNoNo
6M498 November, 2004EmaciationNoInferior to the caudate with clear demarcation6×6×5Encapsulated tumor with clear demarcationNoNo
7M337 February, 2005Abdominal mass (imaging results)NoPeri-abdominal aorta on the left upper abdomen3×2×2Encapsulated tumor with clear demarcationYesSpleen
Peri-abdominal aorta on clear demarcation9×8×8Encapsulated tumor with clear demarcation
8F3524 May, 2005Abdominal mass (imaging results)YesPosterior to the juncture between the inferior vena cava and right renal vein4×3×3Encapsulated tumor adjacent to surrounding vesselsNoNo
9F4210 August, 2005Abdominal mass (palpation identified)NoInferior to the pancreatic head, anterior to the abdominal aorta12×8×8Encapsulated tumor no local metastasisNoNo
10F2912 January, 2006Abdominal mass (palpation identified)No Retroperitoneallarge occupation on the left23×15×12Adhesion to the superior occupation on the leftNoPortion of blood vessels
11F3625 May, 2006Abdominal painYesInferior to the caudate lobe of the liver, posterior to the inferior vena cava4×3×3Encapsulated tumor with clear demarcationNoNo
12M6317 July, 2006Hypertension, palpitationYesInferior to the pancreas and duodenum, anterior to the abdominal aorta3×3×2Encapsulated tumor with clear demarcationNoNo
13M4525 April, 2007Abdominal mass (palpation identified)YesRetroperitoneal in the left middle abdomen10×8×8Encapsulated tumor with clear demarcationNoNo
14M502 August, 2007Abdominal mass (imaging results)NoRetroperitoneal in the left upper abdomen14×12×10Encapsulated tumor with infiltration into the pancreatic tail, left renal vessels, and diaphragmatic crusNoPancreatic body and tail, spleen, left kidney
15M4515 October, 2007Blood urineYesIn the left adrenal, posterior to the inferior vena cava20×12×5Adhesion to the spleenNoSpleen
5×4×4Encapsulated tumor with clear demarcationNo
16M614 July, 2008Abdominal mass (imaging results)YesInferior to the pancreas, anterior to the left kidney10×9×8Encapsulated tumor with clear demarcationNoNo
17M5921 July, 2008Hypertension, abdominal pain, diabetesYesPeri-abdominal aorta6×5×4Encapsulated tumor with clear demarcationNoRadical gastrectomy and D3 lymph node dissection
18M7525 February, 2009Hypertension, abdominal mass (imaging results)YesPosterosuperior to the pancreas, anterior to the left adrenal gland6×6×4Encapsulated tumor with clear demarcationNoNo
19F7515 March, 2009Abdominal mass (palpation identified)NoPosterior to the right mesentery, anterior to the psoas major15×15×10Tumor surface adhesion to the appendixNoAppendix
20F4830 November, 2009Abdominal mass (imaging results)YesPeri-abdominal aorta, posterior to the right renal vein and inferior vena cava5×5×3Encapsulate tumor adhesive to the abdominal aortaNoNo
21F5219 May, 2011Abdominal mass (imaging results)NoPeri-abdominal aorta, anterior to the right renal vein and inferior7×7×7Encapsulated tumor with clear demarcation, adjacent to theNoNo
22M6528 September, 2011Hypertension, chest pain and tightnessYesPeri-abdominal aorta4×4×2Tumor surround the abdominal aortaNoNo
23F3910 October, 2011Abdominal painNoPeri-abdominal aorta, inferior to the left renal vein, medial to the left ovarian vein5×5×3Tumor with unclear demarcationNoNo
24F657 December, 2011Abdominal painNoPeri-abdominal aorta25×20×20Adhesion to the pancreas, colon, and kidney, surrounding the renal vessels, rich blood supply with engorged vesselsNoLeft kidney and spleen
25M7025 April, 2012Abdominal pain, palpitation, unconsciousnessYesBetween the abdominal aorta and inferior vena cava5×5×5Tumor with cleardemarcation, adjacent to the duodenum anteriorly and to the pancreas posteriorlyNoNo
26F5929 May, 2012Abdominal mass (imaging results), hypertensionNoPeri-abdominal aorta, inferior to the left renal vein, medial to the left ovarian vein11×9×8Encapsulated tumor compressing the left renal vein, and adjacent to the left ureter and reproductive veinsNoNo
27F5712 June, 2012Abdominal mass (imaging results), hypertensionYesAnteromedial to the left kidney8×6×6Encapsulated tumor with clear demarcationNoNo
28M566 August, 2012Abdominal bloating, nauseaYesPeri-abdominal aorta, posterior to the duodenum and pancreatic head6×5×5Tumor with clear demarcation, compressing the abdominal aorta and inferior vena cavaNoNo
29F5123 August, 2012HypertensionYesBetween peri-abdominal aorta and lower middle pole of kidney4×3×3Encapsulated tumor with clear demarcationNoNo
30M6120 November, 2012Abdominal mass (imaging results)YesAnterior to abdominal aorta and inferior vena cava, posterosuperior to the horizontal part of duodenum6×5Encapsulated tumor with clear demarcationNoNo
31M6023 September, 2013Abdominal mass (palpation identified)NoLeft posterior to the abdominal aorta and superior mesenteric artery7×5Encapsulated tumor with clear demarcation, mobilizableNoNo
32F447 November, 2013Abdominal mass (imaging results)NoLeft anterior to the abdominal aorta, posterior to the left vessel of kidney12×6Encapsulated tumor with clear demarcation, adjacent to left vessel of kidney and superior mesenteric veinNoNo
33F585 February, 2015Abdominal painYesAnterior to the left kidney, left lateral to the abdominal aorta6×5Encapsulated tumor with clear demarcationNoNo
34M6921 December, 2015Abdominal mass (imaging results)NoPosterosuperior to the body of pancreas3.5×3Encapsulated tumor with clear demarcationNoNo

[i] M, male; F, female.

Immunohistochemistry

Tissue sections (thickness, 4 µm) were obtained from formalin-fixed and paraffin-embedded tissue blocks from the retroperitoneal paraganglioma samples. Sections were washed in xylene at room temperature to remove the paraffin, rehydrated with serial dilutions of alcohol, followed by washing with PBS. Endogenous peroxidase activity was blocked with 3% H2O2 at room temperature for 10 min. Antigen retrieval was performed by treating the slide in citrate buffer pH 6.0 (OriGene Technologies, Beijing, China) in a microwave for 15 min. Sections were incubated in 5% normal goat serum at room temperature for 20 min to block non-specific protein-binding sites. Sections were subsequently incubated with primary antibodies against chromogranin A (Cg-A) (1:100; cat. no. ZM-0076), S-100 protein (1:100; cat. no. ZM-0224), Ki-67 (1:100; cat. no. ZM-0165), vimentin (1:100; cat. no. ZM-0260), heat-shock protein (HSP)-90 (1:100; cat. no. TA326371) and insulin growth factor (IGF)-2 (1:100; cat. no. EIA-1076; all from OriGene Technologies) overnight at 4°C. Subsequently, the primary antibody was washed off and sections were incubated with biotin-conjugated goat anti-rabbit secondary antibodies (1:400; cat. no. 111-065-144; Jackson ImmunoResearch, Inc., West Grove, PA, USA) for 30 min at 37°C. Sections were incubated with streptavidin-horseradish peroxidase for 30 min at 37°C. Subsequently, 3,3-diaminobenzidine substrate was applied to the sections and sections were counterstained with hematoxylin. Sections in which primary antibodies were omitted were used as a negative control. Sections were observed using a light microscope at magnifications of ×50-400.

The immunohistochemical scoring for HSP-90 was evaluated using a scoring system, according to the proportion of stained cells and the intensity of the immunoreactivity as previously described by Boltze et al (7). The proportion of stained cells was scored as follows: 0, no staining; 1, ≤10% stained cells; 2, 11–50% stained cells; 3, 51–80% stained cells; and 4, >80% stained cells. The intensity of immunoreactivity was scored as follows: 0, no staining; 1, weak staining; 2, moderate staining; and 3, strong staining. The final immunoreactive score was determined by multiplying the intensity score by the score for the proportion of positively stained cells. The minimum score was 0 and the maximum score was 12. The negative, moderate and positive immunoreactivity of HSP-90 was defined by a final score of ≤2, 3–6 and >6, respectively. The immunohistochemical scoring for IGF-2 was evaluated according to the intensity of the immunoreactivity as follows: 0, no staining; 1, weak staining; 2, moderate staining; and 3, strong staining. For Ki-67, all immunostained nuclei of tumor cells were counted as positive, regardless of staining intensity. The proportion of Ki-67-positive cells was determined by the number of Ki-67-positive cells relative to the total number of tumor cells. For Cg-A, S-100 and vimentin, the immunostained cells were counted as positive, regardless of staining intensity.

Statistical analysis

Statistical analysis was performed using SPSS software (version 17.0; SPSS, Inc., Chicago, IL, USA). The rank sum test was used to evaluate ranked data of imaging evaluation results. The survival time was calculated as the period between the day of surgery and the disease-associated mortality or last known follow-up. The Kaplan-Meier estimator method was used to calculate the survival rate. Log-rank tests were used to compare differences between the survival rates. P<0.05 (two-tailed t-test) indicated a statistically significant difference.

Results

Clinical characteristics

Table I summarizes the clinical characteristics of 34 patients with retroperitoneal paragangliomas who underwent resection at the First Affiliated Hospital, Wenzhou Medical University. The median age of these patients was 55 years (range, 20–78 years), and 17 patients were male and 17 patients were female. The most common type of presenting symptom was abdominal mass (50%), followed by hypertension (32%) and abdominal pain (24%). Additional symptoms, including palpitation, umbilical discomfort, emaciation, chest pain and nausea, accounted for ~25% of all symptoms. None of the patients had first-degree relatives or family members with previously or subsequently developed paragangliomas.

Radiological results

As presented in Fig. 1, all the patients underwent CT scans, which revealed retroperitoneal soft tissue masses, including homogeneous masses in 12 cases and inhomogeneous masses with cystic changes in 22 cases. Of the 34 patients, 20 patients exhibited strong enhancement with an increase in the maximum CT value >30 Hounsfield units (HU). A total of 10 cases exhibited mild to moderate enhancement which primarily occurred in the arterial phase (Fig. 1B, C, E, F and H). Thick and tortuous arteries and veins were observed in 4 cases, inside or at the periphery of the tumor (Fig. 1E, F, H-J). The structures of the tumors and surrounding tissues were clearly observed on preoperative CT scans of all patients.

Figure 1.

Representative radiological images of retroperitoneal paragangliomas. (A) CT image of patient no. 11; (B) CT image of patient no. 11; and (C) CT image of patient no. 11 which demonstrate a round demarcated soft tissue mass with cystic degeneration. The inferior vena cava was depressed by the mass and migrated laterally. The parenchyma of the mass exhibited enhancement, primarily in the arterial phase. (D) CT image of patient no. 10; (E) CT image of patient no. 10; and (F) CT image of patient no. 10, revealing a large oval retroperitoneal mass with cystic degeneration. The parenchyma of the mass exhibited enhancement, and thick tortuous arteries and veins were observed inside the tumor. The juncture point where the tumor vein joined the inferior vena cava was observed. (G) CT image of patient no. 24; (H) CT image of patient no. 24; (I) CT image of patient no. 24; and (J) CT image of patient no. 24, demonstrating a high oval retroperitoneal cystic mass on the left. The parenchyma of the mass exhibited enhancement, and thick tortuous arteries and veins were observed inside the tumor. The tumor arteries originated from the spleen artery, left renal artery, abdominal aortic artery and left internal iliac artery. (K) MRI image of patient no. 20; (L) MRI image of patient no. 20; (M) MRI image of patient no. 20; and (N) MRI image of patient no. 20, demonstrating an oval soft tissue mass posterior to the inferior vena cava. The mass exhibited equal intensities on T1WI and T2WI, and cystic degeneration was observed inside the mass. The mass exhibited an enhancement. The vena cava arched and became thin due to the tumor compression. CT, computed tomography; MRI, magnetic resonance imaging; T1WI, T1-weighted image; T2WI, T2-weighted image.

Masses were correctly localized to be retroperitoneal in 32 cases and were incorrectly localized to be intra-abdominal in 2 cases (Table II). All tumors were diagnosed using contrast-enhanced CT. Between November 1999 and December 2009, 3 cases were correctly diagnosed as retroperitoneal paragangliomas, 9 cases were diagnosed as retroperitoneal tumors (without diagnosis of a specific tumor) and 8 cases were misdiagnosed, as fibrosarcoma (n=2), stromal tumor (n=2), lymph node metastasis (n=1), leiomyoma (n=1), vascular tumor (n=1) and neurofibroma (n=1). Between January 2010 and December 2015, 8 cases were correctly diagnosed as retroperitoneal paragangliomas, 4 cases were diagnosed as retroperitoneal tumors (without diagnosis of a specific tumor) and 2 cases were misdiagnosed, as teratoma (n=1) and small intestinal lymphoma (n=1). The CT diagnostic accuracy between2000 and 2015 was significantly increased compared with that between 1999 and 2009 (P=0.014, z=−2.454).

Table II.

Image diagnosis by contrast-enhanced CT between 1999 and 2009, and between 2010 and 2015.

Table II.

Image diagnosis by contrast-enhanced CT between 1999 and 2009, and between 2010 and 2015.

Image diagnosis by contrast-enhanced CT

PeriodCorrect diagnosis, no. of casesUnable to judge, no. of casesMisdiagnosis, no. of cases (total no. of cases)(Refs.)
1999–2009392 fibrosarcoma, 2 stromal tumors, 1 lymph node metastasis, 1 leiomyoma, 1 vascular tumor and 1 neurofibroma(8)
2010–2015841 teratoma and 1 small intestinal lymphoma(2)

[i] CT, computed tomography.

A total of 7 patients underwent magnetic resonance imaging (MRI). The parenchyma of the tumors revealed equal intensities on T1-weighted imaging (T1WI) and T2-weighted imaging (T2WI) (Fig. 1K and L). In all 7 cases, cystic degeneration and necrosis with short T1 and long T2 signals were observed inside the tumor. In 3 cases, an enhanced MRI identified an enhancement in the tumor parenchyma, especially in the arterial phase (Fig. 1M and N). For all 7 cases, the structure of the tumors and the surrounding tissues were clearly observed on preoperative MRI scans. Masses were correctly localized to be retroperitoneal in all 7 cases; however, only 2 masses were correctly diagnosed as retroperitoneal paragangliomas. For the other 5 cases, the tumors were not specifically diagnosed.

Tumor size and location

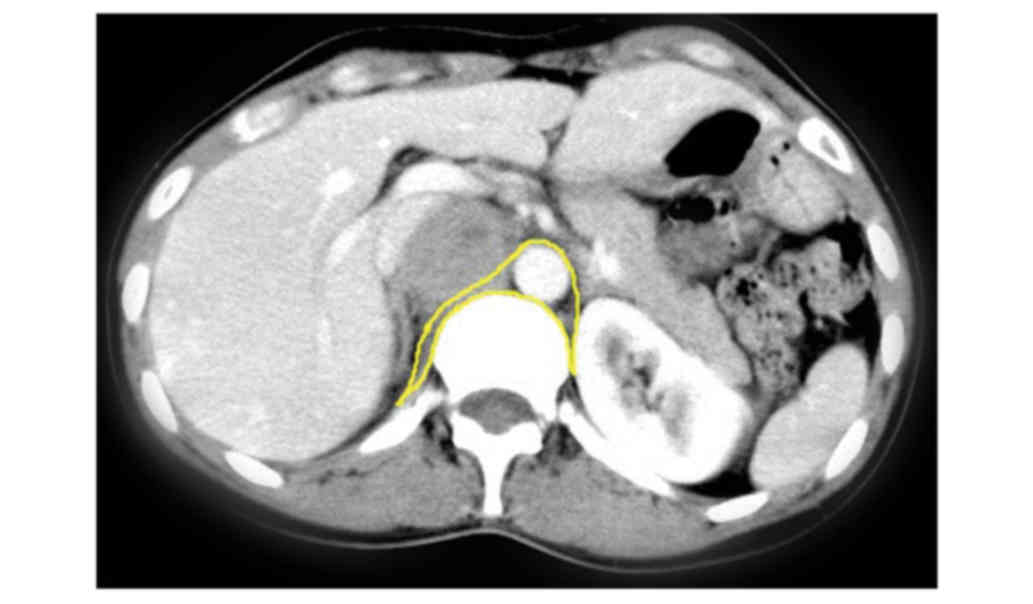
The mean maximal diameter of the 34 tumors was 8.7 cm (range, 3–25 cm). Fig. 2 summarizes the location of retroperitoneal paragangliomas in all 34 patients. A total of 33 retroperitoneal paragangliomas were located in association with the aorta and inferior vena cava, surrounding the adjacent renal vessels. The aforementioned tumors exhibited increased distribution on the left side (21 on the left side vs. 12 on the right side) and the tumor was located on the bottom of the pelvic cavity, lateral to the neck of the urinary bladder, in only 1 case. In the horizontal plane, retroperitoneal paragangliomas were located on either side of the aorta, behind the inferior vena cava, duodenum and pancreas (Fig. 3).

Figure 2.

Locations of retroperitoneal paragangliomas in 34 patients in the coronal plane. The number corresponds to the patient number (Table I) and the circle around the number represents the size of the tumor. Retroperitoneal paragangliomas were primarily located close to the renal arteries and veins, surrounding the abdominal aorta and inferior vena cava.

Figure 3.

Location of retroperitoneal paraganglioma in the horizontal plane. The area of retroperitoneal paragangliomas is highlighted in yellow and all the tumorsidentified in 34 cases were revealed to be within this area.

Intraoperative results

All tumors exhibited surfaces with a rich blood supply. Of the 34 tumors, 21 (62%) tumors possessed an intact capsulate, with clear demarcation, and were completely resected en bloc without the removal of adjacent tissues. For the remaining 13 tumors that adhered or were close to adjacent tissues, adjacent organ resection was required in 7 (21%) of 34 cases. Patient no. 10 exhibited a large tumor (maximal diameter, 23 cm) that adhered to the abdominal aorta and inferior vena cava (Fig. 1D-F). A large amount of blood (~7,500 ml) was lost during the resection of the tumor for the aforementioned patient, which required 19 units of packed red blood cells, 1,500 ml plasma and 2,800 ml autologous blood to be transfused. Patient no. 7, who had undergone resection of retroperitoneal paraganglioma and splenectomy elsewhere, was admitted to the First Affiliated Hospital of Wenzhou Medical University exhibiting tumor recurrence and subsequently underwent secondary resection of the tumor after 10 months; however, mesenteric metastasis of the tumor was identified during surgery. Furthermore, patient no. 17, diagnosed with suspected malignant gastric cancer preoperatively, underwent a radical gastrectomy and a D3 lymph node dissection. Postoperative pathological examinations of this patient demonstrated that the enlarged lymph node, preoperatively diagnosed as lymph node metastasis of gastric cancer, was paraganglioma and that the gastric tumor was benign. Patient no. 15 exhibited a left adrenal pheochromocytoma and a paraganglioma adjacent to the inferior vena cava, and the two tumors were completely removed. In addition, patient no. 24 possessed a large tumor (25×20 cm; Fig. 1G-J) and intra-abdominal bleeding occurred following the removal of the tumor and left kidney. The aforementioned patient underwent an exploratory laparotomy for hemostasis and splenectomy.

Functional status

Functional tumors occurred in 20/34 patients (59%) and of these 20 patients, 12 patients (60%) exhibited preoperative hypertension. The remaining 8 patients (40%), with no preoperative hypertension, exhibited a fluctuation in blood pressure during dissection of the tumor intraoperatively, increasing to 240/150 mmHg (during the dissection of the tumor) and subsequently decreasing to 60/40 mmHg (following the removal of the tumor). Cardiac arrest occurred in a number of patients following the removal of the tumor. For patient nos. 22 and 25, who were admitted to the hospital as emergency cases due to acute coronary symptoms caused by a sudden increase in blood pressure, no stenosis of the coronary artery was identified using emergency coronary angiography and retroperitoneal paraganglioma was revealed using abdominal CT. Patients with functional tumors exhibited an increased likelihood to present with symptoms including hypertension and palpitation, compared with patients with non-functional tumors who exhibited an increased likelihood to present with non-specific symptoms including an abdominal mass. Patients with non-specific symptoms, including patients with non-functional tumors and those without preoperative hypertension, exhibited tumors of a markedly increased size (average diameter, 9.9 cm) compared with patients experiencing specific symptoms (average diameter, 6.3 cm; P=0.041).

Pathological and immunohistochemical results

Following removal, it was identified that the majority of tumors exhibited a capsule that was soft and gray-yellow or gray-red. Hemorrhage, cystic degeneration and necrosis were observed inside the tumors. Under the microscope, tumor cells were oval or polygonal in shape and arranged in nests or trabeculae, containing rich cytoplasm with eosinophilic fine granules. Large nuclei were strongly stained and exhibited round or oval nucleoli. Tumor cells with deformed, large or multiple nuclei were observed.

The immunochemical results are presented in Table III and Fig. 4. Of the 34 patients, immunostaining for Cg-A, S-100, Ki-67, vimentin, HSP-90and IGF-2 was performed in 31 patient samples (Table III). Negative immunostaining for Cg-A was identified in only 1 patient (patient no. 7). Immunoreactivity for S-100 was observed in 27/31 (87%) patients with paraganglioma. Only 1 patient (patient no. 7) exhibited an increased Ki-67 count (15–20%). Immunoreactivity for vimentin was identified in 28/31 (90%) patients with paraganglioma. Negative, moderate and positive immunoreactivity of HSP-90 was observed in 2/31 (6.5%), 15/31 (48.5%) and 14/31 (45%) patients with paraganglioma, respectively. Positive immunoreactivity for IGF-2 was observed in 17/31 (55%) patients with paraganglioma, including 9 patients with weak staining, 6 patients with moderate staining and 2 patients with strong staining.

Figure 4.

Representative images demonstrating the positive immunostaining of (A) chromogranin-A, (B) S-100 protein, (C) Ki-67, (D) vimentin, (E) heat-shock protein 90 and (F) insulin growth factor 2 from patients with retroperitoneal paragangliomas. Scale bars, 100 µm.

Table III.

Pathological and immunohistochemical results of 34 patients with retroperitoneal paraganglioma.

Table III.

Pathological and immunohistochemical results of 34 patients with retroperitoneal paraganglioma.

Patient no.Cg-AS-100Ki67,%VimHSP-90IGF-2
  1NDNDNDNDNDND
  2NDNDNDNDNDND
  3NDNDNDNDNDND
  4++<1+  30
  5++<1+  40
  6++<1+  30
  7−−15−123
−−20−123
  8++<1+  60
  9+−<1+  30
10++<1+  30
11++<1+  82
12++<1+  80
13++<1+  40
14++<1+  30
15++<1+  22
+−<1+  22
16+−<1−  40
17++<1+  81
18++<1+  40
19+−<1+  80
20++<1+  92
21++<1+  81
22++  1+  81
23++  2+  61
24++  8+  60
25++  2+  93
26++  3+  81
27±+<1−  80
28++  4+  41
29+−<1+  62
30++  4+  60
31++  1+  91
32++  2+  51
33++  1+112
34++  4+  81

[i] Cg-A, chromogranin-A; Vim, vimentin; HSP-90, heat-shock protein 90; IGF-2, insulin growth factor 2; ND, not done; +, positive; -, negative.

Survival and recurrence

The Kaplan-Meier estimator analysis was used to evaluate the 5-year survival rate as a group and was stratified by tumor size (≤5 vs. 5–10 vs. ≥10 cm), tumor functional status (functional vs. non-functional), local invasion (present vs. absent) and distant metastasis (present vs. absent). The overall 5-year survival rate was 91%. A significant association was identified between the survival rate and the tumor malignancy (the presence of distant metastasis) (P=0.001; Fig. 5A). There was no significant association identified between the survival rate and tumor size (P=0.151; Fig. 5B), tumor functional status (P=0.812; Fig. 5C) and local invasion (P=0.814; Fig. 5D).

Figure 5.

Survival rates of patients undergoing resection of retroperitoneal paraganglioma stratified by (A) metastasis, (B) size, (C) functional status, and (D) local invasion.

The median follow-up time was 67 months (range, 6–188 months). In addition, patient no. 7 exhibited tumor recurrence in the abdominal cavity with mesenteric metastasis 10 months after primary surgery, and exhibited lung and liver metastasis following secondary surgery. Only 1 patient succumbed due to surgery complications and thus was excluded from recurrence rate analysis. The recurrence rate for patients with retroperitoneal paraganglioma was 2.9% (1/34 patients).

Discussion

Retroperitoneal tumors are challenging for surgeons to treat due to the inaccessible location of the tumor, uncertain diagnosis and limited effective treatment. The retroperitoneum may host a variety of pathologies, including a number of rare benign tumors and malignant neoplasms that may be eitherprimary or metastatic lesions. Paraganglioma is a relatively rare retroperitoneal tumor compared with the majority of common retroperitoneal tumors, including sarcomas, lymphoproliferative tumors, epithelial tumors and neurogenic tumors (8,9). If functional retroperitoneal paragangliomas is misdiagnosed and improper surgery is performed, hypertensive crisis may happen and result in serious consequences. Therefore, it is important to improve the diagnosis and treatment of retroperitoneal paraganglioma.

The present study, to the best of our knowledge, included the largest number of cases with retroperitoneal paragangliomas (n=34) with complete clinical data in the current literature. None of patients included exhibited a family history of paraganglioma, which is distinct from previous studies that have determined the association of paraganglioma with a family history (10,11). This distinction may be due to the inclusion of different ethnicities between studies. Although a previous study identified that retroperitoneal paragangliomas preferentially occurred in males (2), the present study revealed no predilection between sexes, which is similar to the study of Cunningham et al (1). In the present study, the tumor size ranged between 3 and 25 cm. The decreased tumor sizes were observed in the functionally active retroperitoneal tumors, which may be a result of early detection of tumors due to exhibition of endocrine symptomatology. All the tumors were located in the para-aortic plexus and primarily concentrated in the mesenteric artery region (Figs. 2 and 3). The tumors occurred on the left side at an increased frequency, which may be associated with the left slant of the abdominal aorta. In 4 cases, the tumor was identified to be posterior to the inferior vena cava, which may be due to the tumor originating from the para-aortic plexus. Tumors posterior to the inferior vena cava possesses the specific characteristics of retroperitoneal paragangliomas. Furthermore, retroperitoneal paraganglioma tumor sites are distant from the intervertebral foramen, which is distinct from other types of retroperitoneal neurogenic tumor.

For those patients exhibiting functional paragangliomas, the most common type of presenting symptom was the classic triad of symptoms associated with catecholamine-secreting paragangliomas: Episodic headache, diaphoresis and tachycardia. Episodic hypertension has been identified as a characteristic feature of catecholamine-secreting paragangliomas and is used for the differential diagnosis of paragangliomas (6); however, in clinical practice, ~50% of these patients exhibit true paroxysmal hypertension. The present study identified that functional tumors occurred in 20/34 (59%) patients, which is consistent with results of a previous study (1), and only 12/20 (60%) patients exhibited hypertension preoperatively. The remaining 8 (40%) patients with no preoperative hypertension exhibited a fluctuation in blood pressure during dissection of the tumor intraoperatively. In addition, for patients with non-functional paragangliomas, the most common type of presenting symptom was abdominal mass (46%). Non-functional retroperitoneal paraganglioma, which lacks symptoms at the early stage, is identified to be markedly larger compared with the functional tumor. Furthermore, a number of previous studies have revealed that patients with paraganglioma additionally exhibit a variety of uncommon non-specific symptoms, including palpitation, panic attacks and dyspnea (6,12). In the present study, uncommon symptoms were identified to include palpitation, umbilical discomfort, emaciation, chest pain and nausea, and accounted for ~25% of all symptoms.

Radiological techniques, including CT and MRI, are useful for identifying and locating retroperitoneal paragangliomas. The present study identified that the imaging characteristics of retroperitoneal paragangliomas included soft-tissue masses in the sympathetic chains associated with the abdominal aorta, cystic degeneration and necrosis inside the masses, and a marked peripheral enhancement in the arterial phase, which was consistent with previous studies (1,13–15). However, these imaging characteristics are not specific for the diagnosis of retroperitoneal paragangliomas since other retroperitoneal tumors, particularly neurofibromas, neuromas and sarcomas, exhibit similar image characteristics. Therefore, the limited number of unique imaging characteristics of paragangliomas may explain the decreased rate of correct diagnosis. In our previous study, conducted between 1999 and 2009, the preoperative CT misdiagnosis rate was 89% (16). In addition, the low diagnosis rate of retroperitoneal paragangliomas using CT and MRI scans may be associated with the ability of these tumors to invade adjacent tissues, including the intestine and pancreas, mimicking intestinal or pancreatic tumors (17–19). In the present study, the tumors were misdiagnosed as intestinal stromal tumors in 2 cases due to the marked association of the tumor with the intestine on CT images. However, intraoperative results revealed that that the tumors did not adhere to the intestine. On the basis of our previous study (1999–2009) (16), image characteristics of retroperitoneal paragangliomas were identified and summarized, including: Thick tortuous arteries and veins inside the tumor; tumor location close to the renal arteries and veins surrounding the abdominal aorta and inferior vena cava; and location of the tumor behind the inferior vena cava, but not in the region of the intervertebral foramen. Using these novel features, the misdiagnosis rate using CT scans between 2000 and 2015 markedly decreased (14%). Functional imaging techniques, including 123I-meta-iodobenzylguanidine (MIBG) scan and somatostatin receptor scintigraphy, in combination with CT or MRI scans may be used to improve the sensitivity and specificity of diagnosis (20). Although MIBG and fluorine-8-L-dihydroxyphenylalanine (18F-DOPA) positron emission tomography (PET) is specific for diagnosis of paraganglioma, in China, patients refused to undergo these two techniques due to concerns about the damage of nuclear radiation to the body. Furthermore, the problem of PET/CT is the limited availability and high cost, which is currently not reimbursable by medical insurance for this use. Thus, MIBG and 18F-DOPA PET remain of limited use to diagnose retroperitoneal paragangliomas in China. Therefore, for retroperitoneal paragangliomas with the aforementioned imaging characteristics, clinical symptoms and measurement of catecholamines may be considered to confirm the diagnosis. Ultrasound- or CT-guided percutaneous biopsy of paragangliomas may be used to validate the diagnosis. However, functional paragangliomas require exclusion prior to biopsy, since tachycardia and hypertension crisis may occur due to excessive secretion of catecholamine in this type of tumor (21,22). In addition, all patients in the present study exhibited a single paraganglioma without multifocal disease or family history, although genetic analysis was not performed to exclude the involvement of a syndrome, including von Hippel-Lindau disease.

Paragangliomas are primarily composed of chief cells and sustentacular cells. Typically, paragangliomas are diagnosed by identifying neuroendocrine granules with silver staining and electron microscopy. In recent years, immunohistochemical methods have been used in the diagnosis of paragangliomas. Neuron-specific enolase and Cg-A are sensitive markers for chief cells (Fig. 4A), and combined use of these two markers may identify chief cells in all cases of paraganglioma (23). The S-100 protein is typically used for labeling sustentacular cells (Fig. 4B) and it has been identified that expression levels of S-100 protein are useful for excluding the malignancy of paragangliomas (24). However, immunohistochemical results remain unreliable for diagnosis of malignant paragangliomas. Previous studies have identified that decreased Ki-67 expression is associated with benign tumors (25), and that expression levels of Ki-67 and human telomerase reverse transcriptase may be used to distinguish between malignant and benign paragangliomas (26). Boltze et al (7) revealed that the expression of HSP-90 was upregulated in malignant pheochromocytoma. In addition, Feng et al (27) identified that vimentin was selectively expressed in malignant paragangliomas. Furthermore, IGF-2 may be used as a marker to distinguish between malignant and benign paragangliomas (28). Consistent with previous studies (1,2,23–26), the present study identified that a patient with malignant paraganglioma (patient no. 7) exhibited an increased expression level of Ki-67 (20%), HSP-90 (12 points) and IGF-2 (3 points), and was negative for Cg-A, S-100 and vimentin. Although, as there was only 1 malignant case in the present study, statistical analysis was not possible; however, the present study may enable improved distinction between malignant and benign retroperitoneal paragangliomas. In addition, the genetic testing for hereditary syndromes is used to predict malignancy and recurrence. Patients with identified germline mutations in subunit B of succinate dehydrogenase exhibit an increased likelihood of experiencing malignancy, multiple pheochromocytomas and recurrences (11).

A number of previous studies have identified that malignant paragangliomas have a tendency to exhibit necrosis inside the tumor and decreased endocrine granules in the cytoplasm (29,30). A Pheochromocytoma of the Adrenal Gland Scaled Score (PASS) has been used to distinguish between malignant (PASS ≥4) and benign (PASS <4) tumors (30). However, additional previous studies have revealed that the PASS is not a reliable method for evaluating the malignancy of pheochromocytomas (31,32). The presence of distant metastasis is used to diagnose malignant paragangliomas. It has been previously identified that the malignancy rate of paragangliomas varies between 0 (33) and 50% (4,34). In the present study, only 1 case (patient no. 7) exhibited distant metastasis. However, the low incidence of malignancy (2.9%, 1/34 patients) may not be accurate, since patients were only followed up for an average of 67 months. Distant metastasis occurs at between 7 and 9 years after the initial discovery of a paraganglioma (3,4) and local recurrence occurs ~13 years following surgical removal of the tumor (35).

To the best of our knowledge, surgical resection is the only option available to patients with paraganglioma and it is associated with improved survival rate, even in patients with distant metastasis (1,36). Sclafani et al (4) demonstrated that the 5-year survival rate of patients with extra-adrenal retroperitoneal paragangliomas was 19% for patients without resection of the tumor and 75% for patients following the removal of the tumors. In the present study, the 5-year survival rate was identified to be 91%. Consistent with a previous study by Cunningham et al (1), a marked association between the survival rate and the presence of distant metastasis was identified in the present study. However, no marked association was identified between the survival rate and tumor size, tumor functional status and local invasion, which may be due to the small sample size of the present study and a limited follow-up period. Additional studies with larger sample sizes and long-term follow-ups are required to validate the results of the present study.

Removing retroperitoneal paragangliomas remains difficult due to the rich blood supply and the proximity of tumors to major abdominal vessels. In addition, hypertensive crisis and hypotension typically occur during intraoperative resection of the tumor. Non-selective drugs, including α- and β-adrenoceptor antagonists and calcium channel blockers, and/or drugs that inhibit catecholamine synthesis may be administered preoperatively to prevent the release of catecholamines (37). Preoperative imaging techniques, including CT, particularly those which allow the 3D imaging of the tumor and blood vessels, are important for evaluating the tumor size, blood supply, invasion to adjacent vessels and tissues, and for planning surgical procedures to decrease surgical risks. Preoperative identification of a large tumor with a rich blood supply or adhesion to blood vessels or adjacent tissues may require surgical resection and reconstruction of major vessels and tissues. In the present study, patient no. 10 exhibited large tumors, and the abdominal aorta and inferior vena cava were damaged during resection of the tumor. In addition, patient no. 10 lost a large amount (~7,500 ml) of blood, and 19 units packed red blood cells, 1,500 ml plasma and 2,800 ml autologous blood were transfused. Furthermore, Lebuffe et al (38) revealed that ~62% of patients experienced transient hypertension during surgery, including 26% with systolic blood pressure >200 mmHg for >10 min (38). Similarly, in the present study, 17 patients (50%) exhibited transient hypertension and 9 patients (26.5%) exhibited systolic blood pressure >200 mmHg. Following tumor removal, hypotension occurred in 6 (17.6%) patients who required administration of noradrenaline to maintain blood pressure. The blood pressure of patient no.1 increased to 230/110 mmHg during the dissection of the tumor, followed by a sudden decrease in blood pressure and cardiac arrest occurred following the removal of the tumor. The heart rate of the aforementioned patient was restored following cardiopulmonary resuscitation for 90 min. All the other tumors in the present study were successfully removed, which suggests that retroperitoneal paragangliomas, even if of a large size, may be safely removed if preoperative preparations are thoroughly conducted.

Retroperitoneal paraganglioma is a rare tumor that is primarily located close to renal arteries surrounding the abdominal aorta and inferior vena cava. Large thick blood vessels inside the tumor represent a characteristic feature of CT imaging. The accuracy of the preoperative diagnosis may be markedly improved by attaining the location and functional characteristics of the tumor, in combination with CT results. Surgical resection of the tumor requires adequate preoperative preparations and evaluation of surgical risk. In addition, the combined use of immunohistochemical markers is useful for the determination of tumor malignancy. The patient survival rate is associated with tumor metastasis. Lifelong follow-ups may be performed in all patients with retroperitoneal paragangliomas.

References

1 

Cunningham SC, Suh HS, Winter JM, Montgomery E, Schulick RD, Cameron JL and Yeo CJ: Retroperitoneal paraganglioma: Single-institution experience and review of the literature. J Gastrointest Surg. 10:1156–1163. 2006. View Article : Google Scholar : PubMed/NCBI

2 

Lack EE, Cubilla AL, Woodruff JM and Lieberman PH: Extra-adrenal paragangliomas of the retroperitoneum: A clinicopathologic study of 12 tumors. Am J Surg Pathol. 4:109–120. 1980. View Article : Google Scholar : PubMed/NCBI

3 

Noda T, Nagano H, Miyamoto A, Wada H, Murakami M, Kobayashi S, Marubashi S, Takeda Y, Dono K, Umeshita K, et al: Successful outcome after resection of liver metastasis arising from an extraadrenal retroperitoneal paraganglioma that appeared 9 years after surgical excision of the primary lesion. Int J Clin Oncol. 14:473–477. 2009. View Article : Google Scholar : PubMed/NCBI

4 

Sclafani LM, Woodruff JM and Brennan MF: Extraadrenal retroperitoneal paragangliomas: Natural history and response to treatment. Surgery. 108:1124–1130. 1990.PubMed/NCBI

5 

Melicow MM: One hundred cases of pheochromocytoma (107 tumors) at the columbia-presbyterian medical center, 1926–1976: A clinicopathological analysis. Cancer. 40:1987–2004. 1977. View Article : Google Scholar : PubMed/NCBI

6 

Joynt KE, Moslehi JJ and Baughman KL: Paragangliomas: Etiology, presentation and management. Cardiol Rev. 17:159–164. 2009. View Article : Google Scholar : PubMed/NCBI

7 

Boltze C, Mundschenk J, Unger N, Schneider-Stock R, Peters B, Mawrin C, Hoang-Vu C, Roessner A and Lehnert H: Expression profile of the telomeric complex discriminates between benign and malignant pheochromocytoma. J Clin Endocrinol Metab. 88:4280–4286. 2003. View Article : Google Scholar : PubMed/NCBI

8 

Strauss DC, Hayes AJ and Thomas JM: Retroperitoneal tumours: Review of management. Ann R Coll Surg Engl. 93:275–280. 2011. View Article : Google Scholar : PubMed/NCBI

9 

Van Roggen JF and Hogendoorn PC: Soft tissue tumours of the retroperitoneum. Sarcoma. 4:17–26. 2000. View Article : Google Scholar : PubMed/NCBI

10 

O'Riordain DS, Young WF Jr, Grant CS, Carney JA and van Heerden JA: Clinical spectrum and outcome of functional extraadrenal paraganglioma. World J Surg. 20:916–922. 1996. View Article : Google Scholar : PubMed/NCBI

11 

Barski D: Management and follow up of extra-adrenal phaeochromocytoma. Cent European J Urol. 67:156–161. 2014.PubMed/NCBI

12 

Manger WM: The vagaries of pheochromocytomas. Am J Hypertens. 18:1266–1270. 2005. View Article : Google Scholar : PubMed/NCBI

13 

Baez JC, Jagannathan JP, Krajewski K, O'Regan K, Zukotynski K, Kulke M and Ramaiya NH: Pheochromocytoma and paraganglioma: Imaging characteristics. Cancer Imaging. 12:153–162. 2012. View Article : Google Scholar : PubMed/NCBI

14 

Brink I, Hoegerle S, Klisch J and Bley TA: Imaging of pheochromocytoma and paraganglioma. Fam Cancer. 4:61–68. 2005. View Article : Google Scholar : PubMed/NCBI

15 

Sahdev A, Sohaib A, Monson JP, Grossman AB, Chew SL and Reznek RH: CT and MR imaging of unusual locations of extra-adrenal paragangliomas (pheochromocytomas). Eur Radiol. 15:85–92. 2005. View Article : Google Scholar : PubMed/NCBI

16 

Ji XK, Zeng QQ, Wu XL, Huang YP, Zhou MT, Huang KT, Yu ZP, Han SL and Zhang QY: Surgical treatment and prognostic analysis of retroperitoneal paragangliomas: A study of 19 cases. Zhonghua Yi Xue Za Zhi. 90:2385–2388. 2010.(In Chinese). PubMed/NCBI

17 

Kimura N, Ishidate T, Kogawa T, Miura Y, Ishizaka M and Ogita M: A retroperitoneal sympathetic paraganglioma invading the duodenum and mimicking a submucosal tumor. Endocr Pathol. 19:128–132. 2008. View Article : Google Scholar : PubMed/NCBI

18 

Inzani F, Rindi G, Tamborrino E, Cobelli R and Bordi C: Extra-adrenal composite paraganglioma with ganglioneuroma component presenting as a pancreatic mass. Endocr Pathol. 20:191–195. 2009. View Article : Google Scholar : PubMed/NCBI

19 

Sangster G, Do D, Previgliano C, Li B, LaFrance D and Heldmann M: Primary retroperitoneal paraganglioma simulating a pancreatic mass: A case report and review of the literature. HPB Surg. 2010:6457282010. View Article : Google Scholar : PubMed/NCBI

20 

Gimenez-Roqueplo AP, Caumont-Prim A, Houzard C, Hignette C, Hernigou A, Halimi P, Niccoli P, Leboulleux S, Amar L, Borson-Chazot F, et al: Imaging work-up for screening of paraganglioma and pheochromocytoma in SDHx mutation carriers: A multicenter prospective study from the PGL.EVA investigators. J Clin Endocrinol Metab. 98:E162–E173. 2013. View Article : Google Scholar : PubMed/NCBI

21 

Dalal T, Maher MM, Kalra MK and Mueller PR: Extraadrenal pheochromocytoma: A rare cause of tachycardia and hypertension during percutaneous biopsy. AJR Am J Roentgenol. 185:554–555. 2005. View Article : Google Scholar : PubMed/NCBI

22 

Sood SK, Balasubramanian SP and Harrison BJ: Percutaneous biopsy of adrenal and extra-adrenal retroperitoneal lesions: Beware of catecholamine secreting tumours! Surgeon. 5:1–281. 2007. View Article : Google Scholar

23 

Kliewer KE, Wen DR, Cancilla PA and Cochran AJ: Paragangliomas: Assessment of prognosis by histologic, immunohistochemical, and ultrastructural techniques. Hum Pathol. 20:29–39. 1989. View Article : Google Scholar : PubMed/NCBI

24 

Achilles E, Padberg BC, Holl K, Klöppel G and Schröder S: Immunocytochemistry of paragangliomas-value of staining for S-100 protein and glial fibrillary acid protein in diagnosis and prognosis. Histopathology. 18:453–458. 1991. View Article : Google Scholar : PubMed/NCBI

25 

Pávai Z, Orosz Z, Horváth E, Seres-Sturm L and Jung J: Immunohistochemical features of paragangliomas. J Cell Mol Med. 5:311–316. 2001. View Article : Google Scholar : PubMed/NCBI

26 

Elder EE, Xu D, Höög A, Enberg U, Hou M, Pisa P, Gruber A, Larsson C and Bäckdahl M: KI-67 and hTERT expression can aid in the distinction between malignant and benign pheochromocytoma and paraganglioma. Mod Pathol. 16:246–255. 2003. View Article : Google Scholar : PubMed/NCBI

27 

Feng N, Zhang WY and Wu XT: Clinicopathological analysis of paraganglioma with literature review. World J Gastroenterol. 15:3003–3008. 2009. View Article : Google Scholar : PubMed/NCBI

28 

Korevaar TI and Grossman AB: Pheochromocytomas and paragangliomas: Assessment of malignant potential. Endocrine. 40:354–365. 2011. View Article : Google Scholar : PubMed/NCBI

29 

Varma K, Jain S and Mandal S: Cytomorphologic spectrum in paraganglioma. Acta Cytol. 52:549–556. 2008. View Article : Google Scholar : PubMed/NCBI

30 

Thompson LD: Pheochromocytoma of the adrenal gland scaled score (PASS) to separate benign from malignant neoplasms: A clinicopathologic and immunophenotypic study of 100 cases. Am J Surg Pathol. 26:551–566. 2002. View Article : Google Scholar : PubMed/NCBI

31 

Agarwal A, Mehrotra PK, Jain M, Gupta SK, Mishra A, Chand G, Agarwal G, Verma AK, Mishra SK and Singh U: Size of the tumor and pheochromocytoma of the adrenal gland scaled score (PASS): Can they predict malignancy? World J Surg. 34:3022–3028. 2010. View Article : Google Scholar : PubMed/NCBI

32 

Wu D, Tischler AS, Lloyd RV, DeLellis RA, de Krijger R, van Nederveen F and Nosé V: Observer variation in the application of the pheochromocytoma of the adrenal gland scaled score. Am J Surg Pathol. 33:599–608. 2009. View Article : Google Scholar : PubMed/NCBI

33 

Somasundar P, Krouse R, Hostetter R, Vaughan R and Covey T: Paragangliomas- a decade of clinical experience. J Surg Oncol. 74:286–290. 2000. View Article : Google Scholar : PubMed/NCBI

34 

Altergott R, Barbato A, Lawrence A, Paloyan E, Freeark RJ and Prinz RA: Spectrum of catecholamine-secreting tumors of the organ of Zuckerkandl. Surgery. 98:1121–1126. 1985.PubMed/NCBI

35 

van Heerden JA, Roland CF, Carney JA, Sheps SG and Grant CS: Long-term evaluation following resection of apparently benign pheochromocytoma(s)/paraganglioma(s). World J Surg. 14:325–329. 1990. View Article : Google Scholar : PubMed/NCBI

36 

Matsui H, Ikeuchi S, Onoda N and Tsutsumi Y: Malignant paraganglioma of the retroperitoneum with lung metastases: A 13-year survivor after radical surgery. Asian J Surg. 30:75–79. 2007. View Article : Google Scholar : PubMed/NCBI

37 

Pacak K: Preoperative management of the pheochromocytoma patient. J Clin Endocrinol Metab. 92:4069–4079. 2007. View Article : Google Scholar : PubMed/NCBI

38 

Lebuffe G, Dosseh ED, Tek G, Tytgat H, Moreno S, Tavernier B, Vallet B and Proye CA: The effect of calcium channel blockers on outcome following the surgical treatment of phaeochromocytomas and paragangliomas. Anaesthesia. 60:439–444. 2005. View Article : Google Scholar : PubMed/NCBI

Related Articles

  • Abstract
  • View
  • Download
  • Twitter
Copy and paste a formatted citation
Spandidos Publications style
Ji XK, Zheng XW, Wu XL, Yu ZP, Shan YF, Zhang QY and Zeng QQ: Diagnosis and surgical treatment of retroperitoneal paraganglioma: A single-institution experience of 34 cases. Oncol Lett 14: 2268-2280, 2017.
APA
Ji, X., Zheng, X., Wu, X., Yu, Z., Shan, Y., Zhang, Q., & Zeng, Q. (2017). Diagnosis and surgical treatment of retroperitoneal paraganglioma: A single-institution experience of 34 cases. Oncology Letters, 14, 2268-2280. https://doi.org/10.3892/ol.2017.6468
MLA
Ji, X., Zheng, X., Wu, X., Yu, Z., Shan, Y., Zhang, Q., Zeng, Q."Diagnosis and surgical treatment of retroperitoneal paraganglioma: A single-institution experience of 34 cases". Oncology Letters 14.2 (2017): 2268-2280.
Chicago
Ji, X., Zheng, X., Wu, X., Yu, Z., Shan, Y., Zhang, Q., Zeng, Q."Diagnosis and surgical treatment of retroperitoneal paraganglioma: A single-institution experience of 34 cases". Oncology Letters 14, no. 2 (2017): 2268-2280. https://doi.org/10.3892/ol.2017.6468
Copy and paste a formatted citation
x
Spandidos Publications style
Ji XK, Zheng XW, Wu XL, Yu ZP, Shan YF, Zhang QY and Zeng QQ: Diagnosis and surgical treatment of retroperitoneal paraganglioma: A single-institution experience of 34 cases. Oncol Lett 14: 2268-2280, 2017.
APA
Ji, X., Zheng, X., Wu, X., Yu, Z., Shan, Y., Zhang, Q., & Zeng, Q. (2017). Diagnosis and surgical treatment of retroperitoneal paraganglioma: A single-institution experience of 34 cases. Oncology Letters, 14, 2268-2280. https://doi.org/10.3892/ol.2017.6468
MLA
Ji, X., Zheng, X., Wu, X., Yu, Z., Shan, Y., Zhang, Q., Zeng, Q."Diagnosis and surgical treatment of retroperitoneal paraganglioma: A single-institution experience of 34 cases". Oncology Letters 14.2 (2017): 2268-2280.
Chicago
Ji, X., Zheng, X., Wu, X., Yu, Z., Shan, Y., Zhang, Q., Zeng, Q."Diagnosis and surgical treatment of retroperitoneal paraganglioma: A single-institution experience of 34 cases". Oncology Letters 14, no. 2 (2017): 2268-2280. https://doi.org/10.3892/ol.2017.6468
Follow us
  • Twitter
  • LinkedIn
  • Facebook
About
  • Spandidos Publications
  • Careers
  • Cookie Policy
  • Privacy Policy
How can we help?
  • Help
  • Live Chat
  • Contact
  • Email to our Support Team