Spandidos Publications Logo
  • About
    • About Spandidos
    • Aims and Scopes
    • Abstracting and Indexing
    • Editorial Policies
    • Reprints and Permissions
    • Job Opportunities
    • Terms and Conditions
    • Contact
  • Journals
    • All Journals
    • Oncology Letters
      • Oncology Letters
      • Information for Authors
      • Editorial Policies
      • Editorial Board
      • Aims and Scope
      • Abstracting and Indexing
      • Bibliographic Information
      • Archive
    • International Journal of Oncology
      • International Journal of Oncology
      • Information for Authors
      • Editorial Policies
      • Editorial Board
      • Aims and Scope
      • Abstracting and Indexing
      • Bibliographic Information
      • Archive
    • Molecular and Clinical Oncology
      • Molecular and Clinical Oncology
      • Information for Authors
      • Editorial Policies
      • Editorial Board
      • Aims and Scope
      • Abstracting and Indexing
      • Bibliographic Information
      • Archive
    • Experimental and Therapeutic Medicine
      • Experimental and Therapeutic Medicine
      • Information for Authors
      • Editorial Policies
      • Editorial Board
      • Aims and Scope
      • Abstracting and Indexing
      • Bibliographic Information
      • Archive
    • International Journal of Molecular Medicine
      • International Journal of Molecular Medicine
      • Information for Authors
      • Editorial Policies
      • Editorial Board
      • Aims and Scope
      • Abstracting and Indexing
      • Bibliographic Information
      • Archive
    • Biomedical Reports
      • Biomedical Reports
      • Information for Authors
      • Editorial Policies
      • Editorial Board
      • Aims and Scope
      • Abstracting and Indexing
      • Bibliographic Information
      • Archive
    • Oncology Reports
      • Oncology Reports
      • Information for Authors
      • Editorial Policies
      • Editorial Board
      • Aims and Scope
      • Abstracting and Indexing
      • Bibliographic Information
      • Archive
    • Molecular Medicine Reports
      • Molecular Medicine Reports
      • Information for Authors
      • Editorial Policies
      • Editorial Board
      • Aims and Scope
      • Abstracting and Indexing
      • Bibliographic Information
      • Archive
    • World Academy of Sciences Journal
      • World Academy of Sciences Journal
      • Information for Authors
      • Editorial Policies
      • Editorial Board
      • Aims and Scope
      • Abstracting and Indexing
      • Bibliographic Information
      • Archive
    • International Journal of Functional Nutrition
      • International Journal of Functional Nutrition
      • Information for Authors
      • Editorial Policies
      • Editorial Board
      • Aims and Scope
      • Abstracting and Indexing
      • Bibliographic Information
      • Archive
    • International Journal of Epigenetics
      • International Journal of Epigenetics
      • Information for Authors
      • Editorial Policies
      • Editorial Board
      • Aims and Scope
      • Abstracting and Indexing
      • Bibliographic Information
      • Archive
    • Medicine International
      • Medicine International
      • Information for Authors
      • Editorial Policies
      • Editorial Board
      • Aims and Scope
      • Abstracting and Indexing
      • Bibliographic Information
      • Archive
  • Articles
  • Information
    • Information for Authors
    • Information for Reviewers
    • Information for Librarians
    • Information for Advertisers
    • Conferences
  • Language Editing
Spandidos Publications Logo
  • About
    • About Spandidos
    • Aims and Scopes
    • Abstracting and Indexing
    • Editorial Policies
    • Reprints and Permissions
    • Job Opportunities
    • Terms and Conditions
    • Contact
  • Journals
    • All Journals
    • Biomedical Reports
      • Information for Authors
      • Editorial Policies
      • Editorial Board
      • Aims and Scope
      • Abstracting and Indexing
      • Bibliographic Information
      • Archive
    • Experimental and Therapeutic Medicine
      • Information for Authors
      • Editorial Policies
      • Editorial Board
      • Aims and Scope
      • Abstracting and Indexing
      • Bibliographic Information
      • Archive
    • International Journal of Epigenetics
      • Information for Authors
      • Editorial Policies
      • Editorial Board
      • Aims and Scope
      • Abstracting and Indexing
      • Bibliographic Information
      • Archive
    • International Journal of Functional Nutrition
      • Information for Authors
      • Editorial Policies
      • Editorial Board
      • Aims and Scope
      • Abstracting and Indexing
      • Bibliographic Information
      • Archive
    • International Journal of Molecular Medicine
      • Information for Authors
      • Editorial Policies
      • Editorial Board
      • Aims and Scope
      • Abstracting and Indexing
      • Bibliographic Information
      • Archive
    • International Journal of Oncology
      • Information for Authors
      • Editorial Policies
      • Editorial Board
      • Aims and Scope
      • Abstracting and Indexing
      • Bibliographic Information
      • Archive
    • Medicine International
      • Information for Authors
      • Editorial Policies
      • Editorial Board
      • Aims and Scope
      • Abstracting and Indexing
      • Bibliographic Information
      • Archive
    • Molecular and Clinical Oncology
      • Information for Authors
      • Editorial Policies
      • Editorial Board
      • Aims and Scope
      • Abstracting and Indexing
      • Bibliographic Information
      • Archive
    • Molecular Medicine Reports
      • Information for Authors
      • Editorial Policies
      • Editorial Board
      • Aims and Scope
      • Abstracting and Indexing
      • Bibliographic Information
      • Archive
    • Oncology Letters
      • Information for Authors
      • Editorial Policies
      • Editorial Board
      • Aims and Scope
      • Abstracting and Indexing
      • Bibliographic Information
      • Archive
    • Oncology Reports
      • Information for Authors
      • Editorial Policies
      • Editorial Board
      • Aims and Scope
      • Abstracting and Indexing
      • Bibliographic Information
      • Archive
    • World Academy of Sciences Journal
      • Information for Authors
      • Editorial Policies
      • Editorial Board
      • Aims and Scope
      • Abstracting and Indexing
      • Bibliographic Information
      • Archive
  • Articles
  • Information
    • For Authors
    • For Reviewers
    • For Librarians
    • For Advertisers
    • Conferences
  • Language Editing
Login Register Submit
  • This site uses cookies
  • You can change your cookie settings at any time by following the instructions in our Cookie Policy. To find out more, you may read our Privacy Policy.

    I agree
Search articles by DOI, keyword, author or affiliation
Search
Advanced Search
presentation
Oncology Letters
Join Editorial Board Propose a Special Issue
Print ISSN: 1792-1074 Online ISSN: 1792-1082
Journal Cover
May-2018 Volume 15 Issue 5

Full Size Image

Sign up for eToc alerts
Recommend to Library

Journals

International Journal of Molecular Medicine

International Journal of Molecular Medicine

International Journal of Molecular Medicine is an international journal devoted to molecular mechanisms of human disease.

International Journal of Oncology

International Journal of Oncology

International Journal of Oncology is an international journal devoted to oncology research and cancer treatment.

Molecular Medicine Reports

Molecular Medicine Reports

Covers molecular medicine topics such as pharmacology, pathology, genetics, neuroscience, infectious diseases, molecular cardiology, and molecular surgery.

Oncology Reports

Oncology Reports

Oncology Reports is an international journal devoted to fundamental and applied research in Oncology.

Experimental and Therapeutic Medicine

Experimental and Therapeutic Medicine

Experimental and Therapeutic Medicine is an international journal devoted to laboratory and clinical medicine.

Oncology Letters

Oncology Letters

Oncology Letters is an international journal devoted to Experimental and Clinical Oncology.

Biomedical Reports

Biomedical Reports

Explores a wide range of biological and medical fields, including pharmacology, genetics, microbiology, neuroscience, and molecular cardiology.

Molecular and Clinical Oncology

Molecular and Clinical Oncology

International journal addressing all aspects of oncology research, from tumorigenesis and oncogenes to chemotherapy and metastasis.

World Academy of Sciences Journal

World Academy of Sciences Journal

Multidisciplinary open-access journal spanning biochemistry, genetics, neuroscience, environmental health, and synthetic biology.

International Journal of Functional Nutrition

International Journal of Functional Nutrition

Open-access journal combining biochemistry, pharmacology, immunology, and genetics to advance health through functional nutrition.

International Journal of Epigenetics

International Journal of Epigenetics

Publishes open-access research on using epigenetics to advance understanding and treatment of human disease.

Medicine International

Medicine International

An International Open Access Journal Devoted to General Medicine.

Journal Cover
May-2018 Volume 15 Issue 5

Full Size Image

Sign up for eToc alerts
Recommend to Library

  • Article
  • Citations
    • Cite This Article
    • Download Citation
    • Create Citation Alert
    • Remove Citation Alert
    • Cited By
  • Similar Articles
    • Related Articles (in Spandidos Publications)
    • Similar Articles (Google Scholar)
    • Similar Articles (PubMed)
  • Download PDF
  • Download XML
  • View XML
Case Report

Therapeutic approach in glioblastoma multiforme with primitive neuroectodermal tumor components: Case report and review of the literature

  • Authors:
    • Arsela Prelaj
    • Sara Elena Rebuzzi
    • Giovanni Caffarena
    • Julio Rodrigo Giròn Berrìos
    • Silvia Pecorari
    • Carmela Fusto
    • Alessandro Caporlingua
    • Federico Caporlingua
    • Annamaria Di Palma
    • Fabio Massimo Magliocca
    • Maurizio Salvati
    • Silverio Tomao
    • Vincenzo Bianco
  • View Affiliations / Copyright

    Affiliations: Department of Medical Oncology Unit A, Policlinico Umberto I, ‘Sapienza’ University of Rome, I‑00161 Rome, Italy, Department of Medical Oncology Unit 1, IRCCS AOU San Martino‑IST, I‑16132 Genoa, Italy, Department of Neurosurgery, IRCCS AOU San Martino‑IST, I‑16132 Genoa, Italy, Department of Neurology and Psychiatry, Neurosurgery, Policlinico Umberto I, ‘Sapienza’ University of Rome, I‑00161 Rome, Italy, Department of Radiotherapy, San Pietro Hospital, Fatebenefratelli, I‑00189 Rome, Italy, Department of Gynecology, Obstetrics and Urology, Umberto I, ‘Sapienza’ University of Rome, I‑00161 Rome, Italy, Department of Neurosurgery, IRCCS Neuromed, I‑86077 Pozzilli, Italy, Department of Radiological Sciences, Oncology and Pathology, ‘Sapienza’ University of Rome, I‑04100 Latina, Italy
  • Pages: 6641-6647
    |
    Published online on: February 21, 2018
       https://doi.org/10.3892/ol.2018.8102
  • Expand metrics +
Metrics: Total Views: 0 (Spandidos Publications: | PMC Statistics: )
Metrics: Total PDF Downloads: 0 (Spandidos Publications: | PMC Statistics: )
Cited By (CrossRef): 0 citations Loading Articles...

This article is mentioned in:



Abstract

Glioblastoma multiforme (GBM) is the most common and aggressive malignant glioma that is treated with first-line therapy, using surgical resection followed by local radiotherapy and concomitant/adjuvant temozolomide (TMZ) treatment. GBM is characterised by a high local recurrence rate and a low response to therapy. Primitive neuroectodermal tumour (PNET) of the brain revealed a low local recurrence rate; however, it also exhibited a high risk of cerebrospinal fluid (CSF) dissemination. PNET is treated with surgery followed by craniospinal irradiation (CSI) and platinum-based chemotherapy in order to prevent CSF dissemination. GBM with PNET-like components (GBM/PNET) is an emerging variant of GBM, characterised by a PNET‑like clinical behaviour with an increased risk of CSF dissemination; it also may benefit from platinum‑based chemotherapy upfront or following failure of GBM therapy. The results presented regarding the management of GBM/PNET are based on case reports or case series, so a standard therapeutic approach for GBM/PNET is not defined, constituing a challenging diagnostic and therapeutic dilemma. In this report, a case of a recurrent GBM/PNET treated with surgical resection and radiochemotherapy as Stupp protocol, and successive platinum-based chemotherapy due to the development of leptomeningeal dissemintation and an extracranial metastasis, is discussed. A review of the main papers regarding this rare GBM variant and its therapeutic approach are also reported. In conclusion, GBM/PNET should be treated with a multimodal approach including surgery, chemoradiotherapy, and/or the early introduction of CSI and platinum‑based chemotherapy upfront or at recurrence.

Introduction

Glioblastoma multiforme (GBM; WHO glioma grade IV) is the most common primary malignant brain tumour in adults characterised by a very poor prognosis with a median survival of 15–18 months (1) and less than 5% of patients alive at 5 years (2,3). Standard treatment of newly diagnosed GBM is maximal safe resection followed by local radiotherapy with concomitant and adjuvant temozolomide (TMZ) (4). Despite standard therapy, GBM tends to infiltrate brain parenchyma with a high local recurrence rate (~90%) and a very low response to successive therapy. According to the 2007 WHO guidelines for brain tumours (5), the new knowledges on molecular biology and cytogenetics have allowed to define emerging GBM variants (2,6). GBM with primitive neuroectodermal tumour-like components (GBM/PNET) is an emerging variant of GBM, which represent nearly 0.5% of GBM cases (6–8). PNET of the brain is an aggressive neoplasm which commonly occur in children and rarely in adults. Compared to GBM, PNET has a similar poor prognosis but has better response to therapy and long term survival with a 4-year survival rate of 38% (9,10). Furthermore this tumour showed a lower rate of local recurrence following total resection and a high risk to disseminate into the cerebrospinal fluid (CSF). Extracranial metastasis in PNET are rare but more frequent than in GBM. PNET is generally treated with surgery followed by craniospinal irradiation (CSI) combined with platinum-based chemotherapy in order to prevent CSF dissemination (11).

In May 2016 the latest WHO Classification of Tumors of the Central Nervous System was published. According to this new classification the embryonal tumors other than medulloblastoma underwent reclassification, with removal of the term ‘PNET’ from the diagnostic lexicon. The term GBM/PNET was then replaced with the term ‘Glioblastoma with primitive neuronal component’ (GBM-PNC).

GBM/PNET tumour presents more in adults and have two different histological architectures including the traditional astrocytic GBM areas with high expression of GFAP (7) and the hypercellular undifferentiated PNET areas, with lower expression of GFAP and neuronal immunophenotype (S-100, Synaptophysin, NeuN, NSE and NFP) (7,12,13). In magnetic resonance imaging (MRI) the PNET areas of hypercellularity are seen as reduced apparent diffusion coefficient (ADC) (14). Regarding genetic alterations it's possible to observe ‘glioma-like’ characteristics, such as 10q deletion, EGFR amplification or 1p/19q deletions and ‘PNET-like’ characteristics, such as high Ki-67 index, N-myc or C-myc amplifications (7,11). The role of mutations in isocitrate dehydrogenase 1 (IDH1) and IDH2 remains controversial. They commonly occur in low grade gliomas and secondary GBMs, rarely in primary GBMs. IDH1 mutation have been observed also in a small percentage of adult PNETs (15–17). The PNET components are explained by two main hypotheses (8): PNET-like foci arise from pre-existing gliomas, most often a secondary GBM (neuroblastic or neuronal metaplasia) and the clonal expansion of tumour stem cells or progenitor cells resulting in PNET-like nodules (7,15,18).

Since most of the data concerning the management of GBM/PNETs are based on single case reports or case series (2,7–9,11,12,15,18–20) and despite therapeutic strategies have been identified for GMBs and PNETs, a common therapeutic protocol for GBM/PNETs has not yet been defined. In addition no evidence on treatment survival outcomes are published (11). Therefore GBM/PNETs constitute a challenging diagnostic and therapeutic dilemma, since GBM is typically treated with alkylating agents while PNETs respond to platinum-based chemotherapy.

Recent studies showed that GBM/PNETs have a PNET-like clinical behaviour with increased risk of CSF dissemination (7,8) and a possible benefit with ‘PNET-like’ platinum-based chemotherapy upfront or after standard therapy for GBM has failed (7,14).

We reported our experience with a recurrent GBM/PNET patient, which developed a rare extracranial metastasis, and then a review of the main papers reporting this rare GBM variant.

Case report

In February 2016, a 60-year-old Caucasian male patient referred to our emergency department for ideomotor slowdown and occasional speech impairment. Patient was not affected by major comorbidities, except for mild emphysema due to cigarette smoking.

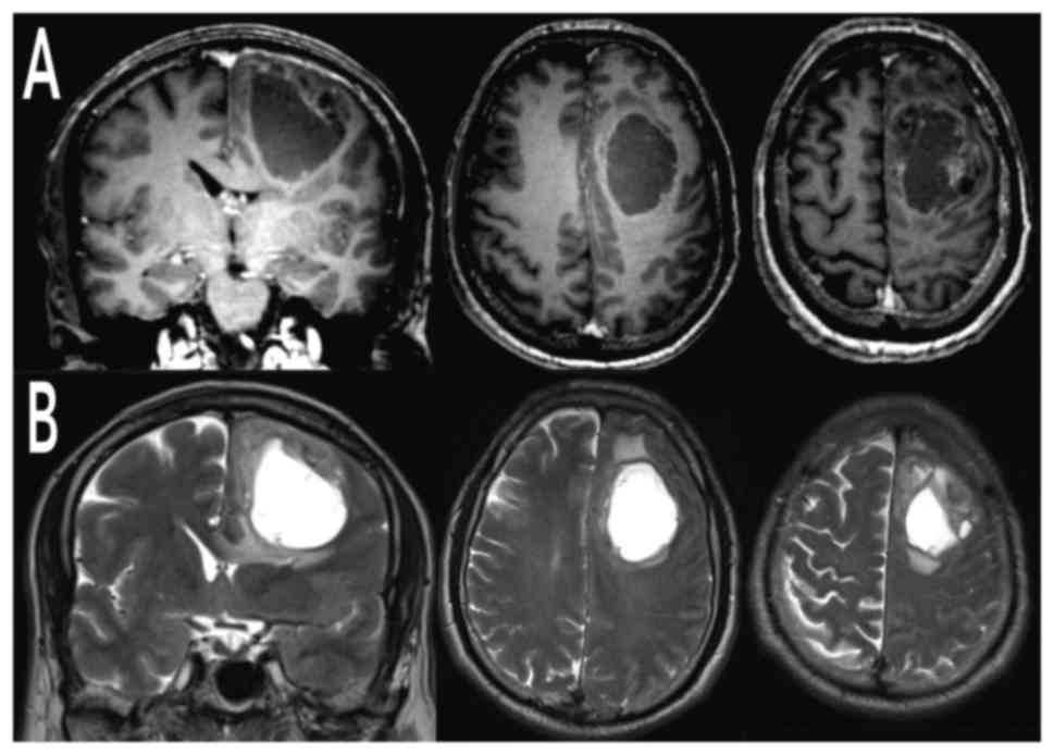
On admission, neurologic examination evidenced a mild right downward drop to the antigravitary Mingazzini test, a flattening of the nasolabial fold and a slight ideomotor slowdown with Karnofsky Performance Status (KPS) 100%. No speech disorders were detected. Computed tomography (CT) scan of the head and contrast-enhanced MRI of the brain uncovered a voluminous left frontal cystic lesion (AP 54 mm × LL 37 mm) with compressive effect and perilesional edema. The lesion presented heterogeneous post-contrastografic enhancement of the cystic walls and multinodular component anchored to the anterosuperior portion of the cyst lesion (Fig. 1). Total body (TB) CT scan did not show any extracranial localization.

Figure 1.

Preoperative brain MRI. Preoperative (A) contrast-enhanced and (B) T2-weighted, coronal and axial MRI cuts showing a large left frontal cystic lesion presenting a heterogeneously contrast-enhanced tissutal component and mild perilesional edema. MRI, magnetic resonance imaging.

A paramedian frontal-parietal craniotomy with gross total resection of the neoplasia was performed under local anestesia (awake surgery). The lesion, removed en-bloc, presented a central liquid component and extremely vascularized margins (glioma aspects). Postoperative course was uneventful. The histopathological examination revealed that the tumor tissue was composed of two distinct components. An area with severe cellular pleomorphism in a fibrillar background, typical of malignant gliomas and an area composed of markedly hypercellular mass and high nuclear/cytoplasmic ratios with small, round, monomorphic and hyperchromatic nuclei, typical of neuroendocrine neoplasia (Fig. 2A and B). Immunohistochemistry assay showed positivity for glial fibrillary acidic protein (GFAP) in the 60% of the cells and for Synaptophysin (Syn) in the 40% of the cells (Fig. 2C and D). overexpression of EGFR and positivity for P53 protein was aslo observed. Ki67 was 70%. Histologic diagnosis, according to the current WHO classification (2007) was GBM PNET-like IDH1 wild-type.

Figure 2.

Interface between the GBM and PNET components in the primitive tumor. In the (A) H&E (magnification, ×40) and (B) H&E (magnification, ×100) staining images, on the left there is a typical area of GBM with severe cellular pleomorphism in a fibrillar background and on the right there is an area of PNET composed of a high cellular mass with small, round, monomorphic and hyperchromatic nuclei. (C) Syn staining (magnification, ×40) revealed a PNET component, while (D) the glial fibrillary acidic protein immunohistochemical staining (magnification, ×40) defined the GBM counterpart. GBM, glioblastoma multiforme; PNET, primitive neuroectodermal tumour; H&E, hematoxylin and eosin.

All control brain MRI scans were obteined with 3 Tesla MRI using gadolinium-enhanced T1-weighted, T2/FLAIR-weighted, perfusion-weighted, diffusion-weighted and MR spectroscopy sequences.

On the 1st postoperative month, at the end of March, the patient referred to our emergency department for tonic-clonic seizure with loss of consciousness. A brain MRI was performed showing the presence of pathological tissue of 5×4 cm size involving the corpus callosum. From April to May the patient underwent hypofractionated radiotherapy (40 Gy in 15 fractions) with concomitant oral TMZ 75 mg/mq/day (Stupp protocol).

In May, on the 3rd postoperative month, after the end of radio-chemotherapy, a control brain MRI showed a contrast-enhancing centronecrotic nodule in left anterior frontal site, adjacent to the previous surgical site, and one in the body of the corpus callosum, as for satellite expression of the primary tumor. Neurologic examination and KPS were stable. The patient started metronomic TMZ 150 mg/day orally for 5 days every 28 days until the end of the 4th postoperative month.

On the 5th postoperative month, after one cycle of TMZ 150 mg/day, a control brain MRI showed a context of stable disease. The patient underwent two additional cycles of oral TMZ 300 mg/day for 5 days every 28 days.

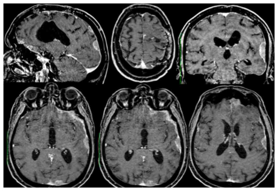
In August, on the 6th postoperative month, a control brain MRI documented slight volumetric reduction of the two left frontal centronecrotic nodules (10 mm vs. 13 and 5 mm vs. 10 mm) and of the lesion of the corpus callosum (7 mm vs. 20 mm) (intracerebral partial response). However it also showed contrast-enhancing leptomeningeal thickening in the left temporal lobe (maximum 14 mm), left ethmoido-sphenoidal emiplanum (maximum 12 mm) and left portion of the tentorium (maximum 10 mm) (Fig. 3). Moreover, a subcutaneous nodule was clinically evident in the left frontal region, at the level of the previous craniotomy. Despite the new findings the patient was still clinically stable.

Figure 3.

Contrast-enhanced brain magnetic resonance imaging at postoperative month 6, following adjuvant temozolomide. A paracentimetric frontal centronecrotic nodule with peripheral enhancement is evident anteriorly to the previous surgical bed. Left fronto-temporal and fronto-basal diffuse leptomeningeal neoplastic ‘en plaque’ seeding are also present.

In September (7th postoperative month) a surgical excision of the subcutaneous nodule, under local anesthesia, was performed. Histologic examination confirmed a GBM PNET-like extracranial metastasis. Histological and immunohistochemical staining showed that the metastasis was almost completely composed of the neuroendocrine tumor (95%) while the GBM component was limited to 5% of the tumor mass (Fig. 4). A TB CT scan of stadiation did not show any other extracranial localization, but a further increased of the left cerebral leptomeningeal thickening (23 mm vs. 14 mm in the temporal lobe).

Figure 4.

Histology of the subcutaneous metastasis. (A) Hematoxylin and eosin (magnification, ×40), and (B) Syn staining (magnification, ×40) demonstrated that the metastasis is almost entirely composed of the neuroendocrine tumor (95%). The glioblastoma multiforme component is limited to 5% of the tumor. There is no evidence of necrotic areas.

At the end of September, adjuvant chemotherapy was adopted according to the scheme: Carboplatin AUC5 IV day 1 every 21 days and Etoposide 100 mg/mq IV day 1–3 every 21 days. After 2 cycles of chemotherapy, which the patient well-tolerated, a control brain MRI was performed and documented a significant regression of the diffuse leptomeningeal thickening with maximum residual of 4–5 mm (Fig. 5). It also showed a stability of left frontomesial nodules and of the lesion of the corpus callosum. Patient clinical condition and KPS were stable.

Figure 5.

Contrast-enhanced brain MRI at postoperative month 9. Following 2 cycles of carboplatin and etoposide chemotherapy, brain MRI revealed stability of the left frontal paracentimetric nodule and a marked reduction of the frontotemporal leptomeningeal ‘en plaque’ localization. MRI, magnetic resonance imaging.

On the 9th postoperative month (november) the patient underwent 3rd chemotherapy cycle. After several days he experienced occasional upper and inferior limb tremors and an episode of generalized seizure. Successively he reported the onset of weakness and drowsiness followed by aphasia and dysphagia.

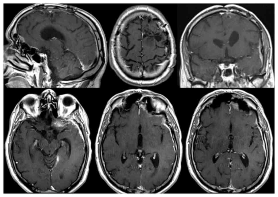
In December, on the 10th post-operative month, a brain MRI performed shows a massive disease progression with increased of leptomeningeal thickening of the left cerebral hemisphere, which presents a multinodular contrast-enhancing aspect (Fig. 6). The nodulations have a size between 0.7 and 2.9 cm and the major nodules are those of the temporal-insular (2.9 cm) and parietal lobe (2.6 and 1.8 cm) with loco-regional parenchymal spread. In the left-frontal area, at the level of the previous craniotomy, a contrast-enhancing leptomeningeal thickening was detected, attributable to local recurrence of the disease. At the end of the 10th postoperative month the patient died for the evolution of the disease. Informed consent was obtained from the parents of the subject for participation in the present study.

Figure 6.

Contrast-enhanced brain MRI at postoperative month 10. Following 3 cycles of carboplatin and etoposide chemotherapy, brain MRI revealed that the left frontal paracentimetric centronecrotic nodule was no longer evident. Recurrence of the frontotemporal and frontobasal ‘en plaque’ localization as well as the evidence of two novel left parietal localizations were presented with a dural implant. MRI, magnetic resonance imaging.

Discussion

GBM and PNETs of the brain showed different pattern of recurrence and this is reflected in the different standard of treatment. GBM has a local infield pattern of recurrence so the standard therapy consists of surgery followed by chemoradiotherapy in order to improve local control. For recurrent GBM different therapeutic approaches are provided such as resurgery, reirradiation and systemic chemotherapy based on alkylating agents, bevacizumab, carboplatin, etoposide and their combination (21). On the other hand PNETs of the brain show a high tendency of leptomeningeal dissemination and extracranial metastasization (22), so the standard therapy consists of surgery followed by CSI combined with concurrent platinum-based chemotherapy, particularly carboplatin, or other concomitant chemotherapeutic agents, such as etoposide and TMZ (11).

Some genetic alterations are expressed more frequently in secondary GBMs including O6-methylguanine-DNA methyltransferase (MGMT) promoter methylation (36% of primary vs. 75% of secondary GBMs) and IDH1 and IDH2 mutations (70–80% of low grade gliomas and secondary GBMs), which correlate to an improved prognosis (15).

MGMT promotor methylation is associated with better response rate, progression-free survival (PFS) and overall survival (OS) in GBMs treated with radiotherapy and/or chemotherapy with alkylation agents (TMZ) in newly diagnosed and recurrent GBMs (23).

Also IDH1/IDH2 mutations are correlated with better OS and PFS. In addition, IDH1 mutated GBM patients undergone complete resection have an improved survival. IDH1 mutations have been observed in a small percentage of adult PNETs and of GBM/PNETs and seem to have a positive prognostic value (15). The possibility that the emergence of PNET-like elements may preferentially occur in secondary GBMs with wild-type IDH genes should be evaluated (20). EGFR mutation/amplification correlates with better prognosis when associated with methylated MGMT promotor (23).

In contrast to GBMs and PNETs, there is no standard treatment for GBM/PNETs because the majority of the available data on their therapeutic approach derived from case reports and case series (Table I).

Table I.

Summary of the main published case reports and case series on GBM/primitive neuroendorcrine tumor.

Table I.

Summary of the main published case reports and case series on GBM/primitive neuroendorcrine tumor.

Author, yearNo. of patientsMGMT methylationIDH mutationSurgeryAdjuvant radiotherapyAdjuvant GBM-like chemotherapy RadiochemotherapyTMZCSI‘PNET-like’ Platinum-based chemotherapyOS (months)(Refs.)
Perry et al, 200953NANA12/19=63%18/23=78%16/23=70%14/23=61%10/16=63%1/23=4%31%1–40 mOS=9.1(7)
Song et al, 201110NA2/8=25%100%––9/10=90%1/10=10%NoNo2–31 mOS=10(15)
Karina et al, 20121NANoYes––Yes, Stupp protocol–NoNoNA(20)
Lee et al, 20123NANA100%––100% TMZ+carboplatin100%No100% ifosfamide, carboplatin and etoposide32–56(24)
Kimbason et al, 201553/5 pt2/3 pt100%–100%100%100% Stupp protocol–40%12–24 mOS=16(18)
Chu et al, 20151NANAYes, multipleYes, multipleYes, multiple including TMZ, PCV, BEV–YesNoYes, carboplatin and etoposide28(8)
Forbes and Vredenburgh, 20161NANAYesNoNoNoNoYesAlternating: cisplatin, vincristine, cyclophosphamide, TMZ, etoposideNo recurrence in 3 years(9)
O'Leary et al, 20166NANA100%NoNo100% CSI+TMZ100%+CSI100%+TMZNo8–43 50% of response(11)
Konar et al, 20171NoNoYesNo–Yes, Stupp protocolNoNoNoAbout 6 months(22)

[i] MGMT, O6-methylguanine-DNA methyltransferase; IDH, isocitrate dehydrogenase; Pts, patients; TMZ, temozolomide; CSI, crniospinal irradiation; PNET, primitive neuroendorcrine tumor; OS, overall survival; PCV, procarbazine, lomustine and vincristine; BEV, bevacizmab; NA, not available.

The largest series published on GBM/PNETs belong to Varlet et al (n=40) (19) and Perry et al (n=53) (7), which showed the clinical, radiological and histopathological differences of this variant of GBM compared to classic GBM and used for the first time the term ‘malignant glioma with PNET-like component (MG-PNET)’.

In 2004 Varlet et al (19) reported that local radiotherapy was an inadequate method for preventing the tumour spreading and mentioned chemotherapy as a more efficient therapeutic approach.

The largest multi-institutional case series was performed by Perry et al (7) in 2009 which studied 53 GBM/PNET patients treated with radiation (78%), TMZ (63%) and platinum-based chemotherapy (31%). Nineteen patients underwent surgical resection with 18 patients (78%) received adjuvant radiotherapy (17 local and one cranio-spinal), of which 14 were treated with concomitant chemotherapy (OS from 1 month to 3.3 years, median OS-mOS=12 months). Sixteen patients (70%) received adjuvant GBM-like chemotherapy, including TMZ and BCNU (OS from 1 month to 3.3 years, mOS=8 months). Three patients received ‘PNET-like’ platinum-based chemotherapy upfront with survival of 10 and 20 months in two patients. In 3 patients, therapy was switched from TMZ to platinum-based regimens after signs of progression on imaging, with radiological responses (1). The mOS of all patients was 9.1 months, a survival similar to that reported for MGs. Perry et al (7) reported also a higher frequency of IDH mutations in GBM/PNETs compared to primary GBMs (7%), supporting the hypothesis of a secondary GBM origin for most of GBM/PNET cases. They concluded that the addition of platinum-based chemotherapy should be considered in order to prevent CSF dissemination, particularly after failure with TMZ, and appeared to improve survival.

Also Song et al (15) in 2011 observed a high frequency (25%) of IDH1 mutations in the cases analysed for this mutations. Moreover, the IDH1 mutated patients were still alive 14 and 31 months after diagnosis, underlying the correlation between IDH1 mutations and improved prognosis.

In 2012 Karina et al (20) described a case of a GBM/PNET patient which underwent surgery and chemoradiotherapy as Stupp protocol. Platinum-based chemotherapy was reserved for recurrence or failure.

In the same year Lee et al (24) analysed 3 GBM/PNET cases treated with surgery followed by adjuvant radio-chemotherapy including TMZ and carboplatin. After 4 week break, 3 cycles of consolidation chemotherapy with ifosfamide, carboplatin and etoposide were performed followed by adjuvant TMZ. Overall this protocol appears to improve survival compared to the literature.

In 2015 Kimbason et al (18) reported a case series of 5 GBM/PNET patients treated with surgical resection followed by chemoradiotherapy with TMZ and then different chemotherapy regimens. Two patients received platinum-based therapy with carboplatin and showed longer survival since diagnosis. The authors supported that GBM/PNET patients should be treated aggressively using a multimodal approach including maximal surgical resection, radiation therapy and platinum-based chemotherapy to better address the PNET component.

Chu et al (8) in 2015 described a case of a recurrent GBM/PNET patient treated with multiple courses of surgery, radiation and chemotherapy regimens including TMZ, procarbazine with lomustine and vincristine (PCV), bevacizumab, carboplatin and etoposide. This approach resulted in modest local responses and control. This case suggested that aggressive therapies, with the early introduction of CSI and platinum-based chemotherapy may be utilized in attempts to have a better disease control and a longer survival.

Recently Forbes and Vredenburgh (9) reported a case of GBM/PNET composed of predominately PNET with small areas of GBM positive for GFAP (10%) treated with surgical resection, radiotherapy and chemotherapy targeting both the PNET and GBM components. The patient underwent CSI followed by 12 cycles of alternating chemotherapy based on cisplatin, vincristine, cyclophosphamide to target the PNET component and TMZ with etoposide to target the GBM component. With this multimodal approach and combination of chemotherapeutic agents the patient did not show any sign of recurrence.

In 2016 O'Leary et al (11) have raised the doubt that using a CSI irradiation with concomitant PNET-like chemotherapy could under-treat the GMB component of GBM/PNET, especially in those with MGMT methylation. In their study, they showed that CSI associated with TMZ could represent a good choice for patients with TMZ-sensitive tumours with high risk of CSF spread.

In 2017 Konar et al (22) reported a case of GBM/PNET which developed extraparenchymal metastasis (dural metastasis) of pure PNET component after surgery and chemoradiotherapy as Stupp protocol. According to the authors early CSI in GBM/PNET patients should be performed, even after completion of adjuvant radio-chemotherapy.

GBM/PNET represents a diagnostic and therapeutic challenge since the two histological components have distinct clinico-pathological characteristics, treatment features and prognosis (20). In GBM/PNETs the role of surgery and radiotherapy as a first phase approach is established. The fulcrum of the therapeutic dilemma is represented by the choice of the best chemotherapy which should target both GBM and PNET components and should be driven by the their histological predominance.

In a clinical context, the therapeutic rationale for GBM/PNET is trying to combine the gold-standard treatment for the GBM component with an adequate therapeutic coverage for the risk of CSF dissemination, typical of PNETs. A possible therapeutic strategy could be represented by surgical resection followed by radiotherapy, suitable for either the GBM and PNET components, combining alkylating agents. According to the predominance of GBM or PNET component, radiotherapy could consist of focal irradiation, as Stupp protocol, or CSI with concomitant and adjuvant TMZ, respectively (4,11). An early introduction of ‘PNET-like’ platinum-based chemotherapy should be planned in order to prevent CSF dissemination or in case of disease recurrence (7,8,14,18,20).

Therefore it's fundamental to assess the two components of GBM/PNET in order to guarantee the best treatment choice (20). The preoperative identification of areas of reduced ADC, typically of PNET-foci, on MRI should address to consider the diagnosis of GBM/PNET and to make targeted biopsies (14,15). Regarding the immunohistochemical findings, the two components of GBM/PNET should be identified with the use of GFAP and neuronal markers in order to quantify the two histologies and plan successive therapeutic approaches.

Further studies on different treatment approaches with long-term follow up are needed to optimize treatment algorithm of this rare tumour type. Moreover new molecular targets related to novel targeted therapies and newer biomarkers related to clinical outcome are currently under investigation for gliomas and PNETs. Many advances in the understanding of cancer biology are made in the field of gene sequencing and interaction with tumor microenvironment. They aim to identify alterations of the immune system defing immune phenotypes (25,26) and cancer pathways associated with intracellular and intercellular signaling important to mediate cancer pathogenesis and progression (27–33).

In conclusion our case report and the review of the literature support the view that GBM/PNET should be treated aggressively using a multimodal approach including surgery, chemoradiotherapy and/or the early introduction of CSI and platinum-based chemotherapy upfront or at recurrence, in order to target both the PNET and GBM components.

References

1 

Ostrom QT, Gittleman H, Farah P, Ondracek A, Chen Y, Wolinsky Y, Stroup NE, Kruchko C and Barnholtz-Sloan JS: CBTRUS statistical report: Primary brain and central nervous system tumors diagnosed in the united states in 2006–2010. Neuro Oncol. 15 Suppl 2:ii1–i56. 2013. View Article : Google Scholar : PubMed/NCBI

2 

Han BR, Choi HJ, Yang JS, Kang SH, Cho YJ and Choi KC: Emerging variant glioma: Glioblastoma with a primitive neuro-ectodermal tumor (PNET) component. The Nerve. 1:40–43. 2015. View Article : Google Scholar

3 

Stupp R, Hegi ME, Mason WP, van den Bent MJ, Taphoorn MJ, Janzer RC, Ludwin SK, Allgeier A, Fisher B, Belanger K, et al: Effects of radiotherapy with concomitant and adjuvant temozolomide versus radiotherapy alone on survival in glioblastoma in a randomised phase III study: 5-year Analysis of the EORTC-NCIC trial. Lancet Oncol. 10:459–466. 2009. View Article : Google Scholar : PubMed/NCBI

4 

Stupp R, Mason WP, van den Bent MJ, Weller M, Fisher B, Taphoorn MJ, Belanger K, Brandes AA, Marosi C, Bogdahn U, et al: Radiotherapy plus concomitant and adjuvant temozolomide for glioblastoma. N Engl J Med. 352:987–996. 2005. View Article : Google Scholar : PubMed/NCBI

5 

Louis DN, Ohgaki H, Wiestler OD, Cavenee WK, Burger PC, Jouvet A, Scheithauer BW and Kleihues P: The 2007 WHO classification of tumours of the central nervous system. Acta Neuropathol. 114:97–109. 2007. View Article : Google Scholar : PubMed/NCBI

6 

Karsy M, Gelbman M, Shah P, Balumbu O, Moy F and Arslan E: Established and emerging variants of glioblastoma multiforme: Review of morphological and molecular features. Folia Neuropathol. 50:301–321. 2012. View Article : Google Scholar : PubMed/NCBI

7 

Perry A, Miller CR, Gujrati M, Scheithauer BW, Zambrano SC, Jost SC, Raghavan R, Qian J, Cochran EJ, Huse JT, et al: Malignant gliomas with primitive neuroectodermal tumor-like components: A clinicopathologic and genetic study of 53 cases. Brain Pathol. 19:81–90. 2009. View Article : Google Scholar : PubMed/NCBI

8 

Chu A, Bourgeois DJ and Prasad D: A responsive yet persistently recurrent GBM with PNET features. Appl Rad Oncol. 4:28–30. 2015.

9 

Forbes V and Vredenburgh J: Primitive neuroectodermal tumor with glioblastoma multiforme components in an adult: A collision tumor. Cureus. 8:e4562016.PubMed/NCBI

10 

Kim DG, Lee DY, Paek SH, Chi JG, Chloe G and Jung HW: Supratentorial primitive neuroectodermal tumors in adults. J Neurooncol. 60:43–52. 2002. View Article : Google Scholar : PubMed/NCBI

11 

O'Leary B, Mandeville HC, Fersht N, Solda F, Mycroft J, Zacharoulis S, Vaidya S and Saran F: Craniospinal irradiation with concomitant and adjuvant temozolomide-a feasibility assessment of toxicity in patients with glioblastoma with a PNET component. J Neurooncol. 127:295–302. 2016. View Article : Google Scholar : PubMed/NCBI

12 

Kandemir NO, Bahadir B, Gül S, Karadayi N and Ozdamar SO: Glioblastoma with primitive neuroectodermal tumor-like features: Case report. Turk Neurosurg. 19:260–264. 2009.PubMed/NCBI

13 

Karina A, Jonker BP, Morey A, Selinger C, Gupta R and Buckland ME: Glioblastoma with primitive neuroectodermal tumour-like components. Pathology. 44:270–273. 2012. View Article : Google Scholar : PubMed/NCBI

14 

Ali S, Joseph NM, Perry A, Barajas RF Jr and Cha S: Apparent diffusion coefficient in glioblastoma with PNET-like components, a GBM variant. J Neurooncol. 119:353–360. 2014. View Article : Google Scholar : PubMed/NCBI

15 

Song X, Andrew Allen R, Terence Dunn S, Fung KM, Farmer P, Gandhi S, Ranjan T, Demopoulos A, Symons M, Schulder M and Li JY: Glioblastoma with PNET-like components has a higher frequency of isocitrate dehydrogenase 1 (IDH1) mutation and likely a better prognosis than primary glioblastoma. Int J Clin Exp Pathol. 4:651–660. 2011.PubMed/NCBI

16 

Gessi M, Setty P, Bisceglia M, zur Muehlen A, Lauriola L, Waha A, Giangaspero F and Pietsch T: Supratentorial primitive neuroectodermal tumors of the central nervous system in adults: Molecular and histopathologic analysis of 12 cases. Am J Surg Pathol. 35:573–582. 2011. View Article : Google Scholar : PubMed/NCBI

17 

Hayden JT, Frühwald MC, Hasselblatt M, Ellison DW, Bailey S and Clifford SC: Frequent IDH1 mutations in supratentorial primitive neuroectodermal tumors (sPNET) of adults but not children. Cell Cycle. 8:1806–1807. 2009. View Article : Google Scholar : PubMed/NCBI

18 

Kimbason T, Turner SG, Kazmi SA, Fourgas E, Gergel T, Belles L, Whitmire A, Lacroix M and Toms SA: Malignant glioma with primitive neuroectodermal components: Clinical and pathologic features with treatment modalities of five cases. J Clin Exp Pathol. 5:2552015. View Article : Google Scholar

19 

Varlet P, Soni D, Miquel C, Roux FX, Meder JF, Chneiweiss H and Daumas-Duport C: New variants of malignant glioneuronal tumors: A clinicopathological study of 40 cases. Neurosurgery. 55:1377–1391. 2004. View Article : Google Scholar : PubMed/NCBI

20 

Karina A, Jonker BP, Morey A, Selinger C, Gupta R and Buckland ME: Glioblastoma with primitive neuroectodermal tumour-like components. Pathology. 44:270–273. 2012. View Article : Google Scholar : PubMed/NCBI

21 

Davis ME: Glioblastoma: Overview of disease and treatment. Clin J Oncol Nurs. 20:S2–S8. 2016. View Article : Google Scholar : PubMed/NCBI

22 

Konar SK, Bir SC, Maiti TK, Patra DP, DiPoto Brahmbhatt AC, Jacobsohn JA and Nanda A: Early dural metastasis from a case of glioblastoma with primitive neuroectodermal differentiation: A case report and literature review. J Clin Neurosci. 35:78–81. 2017. View Article : Google Scholar : PubMed/NCBI

23 

Szopa W, Burley TA, Kramer-Marek G and Kaspera W: Diagnostic and therapeutic biomarkers in glioblastoma: Current status and future perspectives. Biomed Res Int. 2017:80135752017. View Article : Google Scholar : PubMed/NCBI

24 

Lee APS, Brewer J, Back M and Wheeler H: Combination therapy for glioblastoma multiforme with primitive neuroectodermal tumor components: Case series. J Clin Oncol. 30 Suppl 15:e125072012.

25 

Mostafa H, Pala A, Högel J, Hlavac M, Dietrich E, Westhoff MA, Nonnenmacher L, Burster T, Georgieff M, Wirtz CR and Schneider EM: Immune phenotypes predict survival in patients with glioblastoma multiforme. J Hematol Oncol. 9:772016. View Article : Google Scholar : PubMed/NCBI

26 

Xue S, Hu M, Iyer V and Yu J: Blocking the PD-1/PD-L1 pathway in glioma: A potential new treatment strategy. J Hematol Oncol. 10:812017. View Article : Google Scholar : PubMed/NCBI

27 

Ho WL, Hsu WM, Huang MC, Kadomatsu K and Nakagawara A: Protein glycosylation in cancers and its potential therapeutic applications in neuroblastoma. J Hematol Oncol. 9:1002016. View Article : Google Scholar : PubMed/NCBI

28 

Wang Z, Guo Q, Wang R, Xu G, Li P, Sun Y, She X, Liu Q, Chen Q, Yu Z, et al: The D domain of LRRC4 anchors ERK1/2 in the cytoplasm and competitively inhibits MEK/ERK activation in glioma cells. J Hematol Oncol. 9:1302016. View Article : Google Scholar : PubMed/NCBI

29 

Liu X, Chong Y, Tu Y, Liu N, Yue C, Qi Z, Liu H, Yao Y, Liu H, Gao S, et al: CRM1/XPO1 is associated with clinical outcome in glioma and represents a therapeutic target by perturbing multiple core pathways. J Hematol Oncol. 9:1082016. View Article : Google Scholar : PubMed/NCBI

30 

Li B, Huang MZ, Wang XQ, Tao BB, Zhong J, Wang XH, Zhang WC and Li ST: TMEM140 is associated with the prognosis of glioma by promoting cell viability and invasion. J Hematol Oncol. 8:892015. View Article : Google Scholar : PubMed/NCBI

31 

Mao JM, Liu J, Guo G, Mao XG and Li CX: Glioblastoma vasculogenic mimicry: Signaling pathways progression and potential anti-angiogenesis targets. Biomark Res. 3:82015. View Article : Google Scholar : PubMed/NCBI

32 

Braoudaki M and Lambrou GI: MicroRNAs in pediatric central nervous system embryonal neoplasms: The known unknown. J Hematol Oncol. 8:62015. View Article : Google Scholar : PubMed/NCBI

33 

Kelleher FC and Thomas DM: Molecular pathogenesis and targeted therapeutics in ewing sarcoma/primitive neuroectodermal tumours. Clin Sarcoma Res. 2:62012. View Article : Google Scholar : PubMed/NCBI

Related Articles

  • Abstract
  • View
  • Download
  • Twitter
Copy and paste a formatted citation
Spandidos Publications style
Prelaj A, Rebuzzi SE, Caffarena G, Giròn Berrìos JR, Pecorari S, Fusto C, Caporlingua A, Caporlingua F, Di Palma A, Magliocca FM, Magliocca FM, et al: Therapeutic approach in glioblastoma multiforme with primitive neuroectodermal tumor components: Case report and review of the literature. Oncol Lett 15: 6641-6647, 2018.
APA
Prelaj, A., Rebuzzi, S.E., Caffarena, G., Giròn Berrìos, J.R., Pecorari, S., Fusto, C. ... Bianco, V. (2018). Therapeutic approach in glioblastoma multiforme with primitive neuroectodermal tumor components: Case report and review of the literature. Oncology Letters, 15, 6641-6647. https://doi.org/10.3892/ol.2018.8102
MLA
Prelaj, A., Rebuzzi, S. E., Caffarena, G., Giròn Berrìos, J. R., Pecorari, S., Fusto, C., Caporlingua, A., Caporlingua, F., Di Palma, A., Magliocca, F. M., Salvati, M., Tomao, S., Bianco, V."Therapeutic approach in glioblastoma multiforme with primitive neuroectodermal tumor components: Case report and review of the literature". Oncology Letters 15.5 (2018): 6641-6647.
Chicago
Prelaj, A., Rebuzzi, S. E., Caffarena, G., Giròn Berrìos, J. R., Pecorari, S., Fusto, C., Caporlingua, A., Caporlingua, F., Di Palma, A., Magliocca, F. M., Salvati, M., Tomao, S., Bianco, V."Therapeutic approach in glioblastoma multiforme with primitive neuroectodermal tumor components: Case report and review of the literature". Oncology Letters 15, no. 5 (2018): 6641-6647. https://doi.org/10.3892/ol.2018.8102
Copy and paste a formatted citation
x
Spandidos Publications style
Prelaj A, Rebuzzi SE, Caffarena G, Giròn Berrìos JR, Pecorari S, Fusto C, Caporlingua A, Caporlingua F, Di Palma A, Magliocca FM, Magliocca FM, et al: Therapeutic approach in glioblastoma multiforme with primitive neuroectodermal tumor components: Case report and review of the literature. Oncol Lett 15: 6641-6647, 2018.
APA
Prelaj, A., Rebuzzi, S.E., Caffarena, G., Giròn Berrìos, J.R., Pecorari, S., Fusto, C. ... Bianco, V. (2018). Therapeutic approach in glioblastoma multiforme with primitive neuroectodermal tumor components: Case report and review of the literature. Oncology Letters, 15, 6641-6647. https://doi.org/10.3892/ol.2018.8102
MLA
Prelaj, A., Rebuzzi, S. E., Caffarena, G., Giròn Berrìos, J. R., Pecorari, S., Fusto, C., Caporlingua, A., Caporlingua, F., Di Palma, A., Magliocca, F. M., Salvati, M., Tomao, S., Bianco, V."Therapeutic approach in glioblastoma multiforme with primitive neuroectodermal tumor components: Case report and review of the literature". Oncology Letters 15.5 (2018): 6641-6647.
Chicago
Prelaj, A., Rebuzzi, S. E., Caffarena, G., Giròn Berrìos, J. R., Pecorari, S., Fusto, C., Caporlingua, A., Caporlingua, F., Di Palma, A., Magliocca, F. M., Salvati, M., Tomao, S., Bianco, V."Therapeutic approach in glioblastoma multiforme with primitive neuroectodermal tumor components: Case report and review of the literature". Oncology Letters 15, no. 5 (2018): 6641-6647. https://doi.org/10.3892/ol.2018.8102
Follow us
  • Twitter
  • LinkedIn
  • Facebook
About
  • Spandidos Publications
  • Careers
  • Cookie Policy
  • Privacy Policy
How can we help?
  • Help
  • Live Chat
  • Contact
  • Email to our Support Team