Spandidos Publications Logo
  • About
    • About Spandidos
    • Aims and Scopes
    • Abstracting and Indexing
    • Editorial Policies
    • Reprints and Permissions
    • Job Opportunities
    • Terms and Conditions
    • Contact
  • Journals
    • All Journals
    • Oncology Letters
      • Oncology Letters
      • Information for Authors
      • Editorial Policies
      • Editorial Board
      • Aims and Scope
      • Abstracting and Indexing
      • Bibliographic Information
      • Archive
    • International Journal of Oncology
      • International Journal of Oncology
      • Information for Authors
      • Editorial Policies
      • Editorial Board
      • Aims and Scope
      • Abstracting and Indexing
      • Bibliographic Information
      • Archive
    • Molecular and Clinical Oncology
      • Molecular and Clinical Oncology
      • Information for Authors
      • Editorial Policies
      • Editorial Board
      • Aims and Scope
      • Abstracting and Indexing
      • Bibliographic Information
      • Archive
    • Experimental and Therapeutic Medicine
      • Experimental and Therapeutic Medicine
      • Information for Authors
      • Editorial Policies
      • Editorial Board
      • Aims and Scope
      • Abstracting and Indexing
      • Bibliographic Information
      • Archive
    • International Journal of Molecular Medicine
      • International Journal of Molecular Medicine
      • Information for Authors
      • Editorial Policies
      • Editorial Board
      • Aims and Scope
      • Abstracting and Indexing
      • Bibliographic Information
      • Archive
    • Biomedical Reports
      • Biomedical Reports
      • Information for Authors
      • Editorial Policies
      • Editorial Board
      • Aims and Scope
      • Abstracting and Indexing
      • Bibliographic Information
      • Archive
    • Oncology Reports
      • Oncology Reports
      • Information for Authors
      • Editorial Policies
      • Editorial Board
      • Aims and Scope
      • Abstracting and Indexing
      • Bibliographic Information
      • Archive
    • Molecular Medicine Reports
      • Molecular Medicine Reports
      • Information for Authors
      • Editorial Policies
      • Editorial Board
      • Aims and Scope
      • Abstracting and Indexing
      • Bibliographic Information
      • Archive
    • World Academy of Sciences Journal
      • World Academy of Sciences Journal
      • Information for Authors
      • Editorial Policies
      • Editorial Board
      • Aims and Scope
      • Abstracting and Indexing
      • Bibliographic Information
      • Archive
    • International Journal of Functional Nutrition
      • International Journal of Functional Nutrition
      • Information for Authors
      • Editorial Policies
      • Editorial Board
      • Aims and Scope
      • Abstracting and Indexing
      • Bibliographic Information
      • Archive
    • International Journal of Epigenetics
      • International Journal of Epigenetics
      • Information for Authors
      • Editorial Policies
      • Editorial Board
      • Aims and Scope
      • Abstracting and Indexing
      • Bibliographic Information
      • Archive
    • Medicine International
      • Medicine International
      • Information for Authors
      • Editorial Policies
      • Editorial Board
      • Aims and Scope
      • Abstracting and Indexing
      • Bibliographic Information
      • Archive
  • Articles
  • Information
    • Information for Authors
    • Information for Reviewers
    • Information for Librarians
    • Information for Advertisers
    • Conferences
  • Language Editing
Spandidos Publications Logo
  • About
    • About Spandidos
    • Aims and Scopes
    • Abstracting and Indexing
    • Editorial Policies
    • Reprints and Permissions
    • Job Opportunities
    • Terms and Conditions
    • Contact
  • Journals
    • All Journals
    • Biomedical Reports
      • Information for Authors
      • Editorial Policies
      • Editorial Board
      • Aims and Scope
      • Abstracting and Indexing
      • Bibliographic Information
      • Archive
    • Experimental and Therapeutic Medicine
      • Information for Authors
      • Editorial Policies
      • Editorial Board
      • Aims and Scope
      • Abstracting and Indexing
      • Bibliographic Information
      • Archive
    • International Journal of Epigenetics
      • Information for Authors
      • Editorial Policies
      • Editorial Board
      • Aims and Scope
      • Abstracting and Indexing
      • Bibliographic Information
      • Archive
    • International Journal of Functional Nutrition
      • Information for Authors
      • Editorial Policies
      • Editorial Board
      • Aims and Scope
      • Abstracting and Indexing
      • Bibliographic Information
      • Archive
    • International Journal of Molecular Medicine
      • Information for Authors
      • Editorial Policies
      • Editorial Board
      • Aims and Scope
      • Abstracting and Indexing
      • Bibliographic Information
      • Archive
    • International Journal of Oncology
      • Information for Authors
      • Editorial Policies
      • Editorial Board
      • Aims and Scope
      • Abstracting and Indexing
      • Bibliographic Information
      • Archive
    • Medicine International
      • Information for Authors
      • Editorial Policies
      • Editorial Board
      • Aims and Scope
      • Abstracting and Indexing
      • Bibliographic Information
      • Archive
    • Molecular and Clinical Oncology
      • Information for Authors
      • Editorial Policies
      • Editorial Board
      • Aims and Scope
      • Abstracting and Indexing
      • Bibliographic Information
      • Archive
    • Molecular Medicine Reports
      • Information for Authors
      • Editorial Policies
      • Editorial Board
      • Aims and Scope
      • Abstracting and Indexing
      • Bibliographic Information
      • Archive
    • Oncology Letters
      • Information for Authors
      • Editorial Policies
      • Editorial Board
      • Aims and Scope
      • Abstracting and Indexing
      • Bibliographic Information
      • Archive
    • Oncology Reports
      • Information for Authors
      • Editorial Policies
      • Editorial Board
      • Aims and Scope
      • Abstracting and Indexing
      • Bibliographic Information
      • Archive
    • World Academy of Sciences Journal
      • Information for Authors
      • Editorial Policies
      • Editorial Board
      • Aims and Scope
      • Abstracting and Indexing
      • Bibliographic Information
      • Archive
  • Articles
  • Information
    • For Authors
    • For Reviewers
    • For Librarians
    • For Advertisers
    • Conferences
  • Language Editing
Login Register Submit
  • This site uses cookies
  • You can change your cookie settings at any time by following the instructions in our Cookie Policy. To find out more, you may read our Privacy Policy.

    I agree
Search articles by DOI, keyword, author or affiliation
Search
Advanced Search
presentation
Oncology Letters
Join Editorial Board Propose a Special Issue
Print ISSN: 1792-1074 Online ISSN: 1792-1082
Journal Cover
November-2022 Volume 24 Issue 5

Full Size Image

Sign up for eToc alerts
Recommend to Library

Journals

International Journal of Molecular Medicine

International Journal of Molecular Medicine

International Journal of Molecular Medicine is an international journal devoted to molecular mechanisms of human disease.

International Journal of Oncology

International Journal of Oncology

International Journal of Oncology is an international journal devoted to oncology research and cancer treatment.

Molecular Medicine Reports

Molecular Medicine Reports

Covers molecular medicine topics such as pharmacology, pathology, genetics, neuroscience, infectious diseases, molecular cardiology, and molecular surgery.

Oncology Reports

Oncology Reports

Oncology Reports is an international journal devoted to fundamental and applied research in Oncology.

Experimental and Therapeutic Medicine

Experimental and Therapeutic Medicine

Experimental and Therapeutic Medicine is an international journal devoted to laboratory and clinical medicine.

Oncology Letters

Oncology Letters

Oncology Letters is an international journal devoted to Experimental and Clinical Oncology.

Biomedical Reports

Biomedical Reports

Explores a wide range of biological and medical fields, including pharmacology, genetics, microbiology, neuroscience, and molecular cardiology.

Molecular and Clinical Oncology

Molecular and Clinical Oncology

International journal addressing all aspects of oncology research, from tumorigenesis and oncogenes to chemotherapy and metastasis.

World Academy of Sciences Journal

World Academy of Sciences Journal

Multidisciplinary open-access journal spanning biochemistry, genetics, neuroscience, environmental health, and synthetic biology.

International Journal of Functional Nutrition

International Journal of Functional Nutrition

Open-access journal combining biochemistry, pharmacology, immunology, and genetics to advance health through functional nutrition.

International Journal of Epigenetics

International Journal of Epigenetics

Publishes open-access research on using epigenetics to advance understanding and treatment of human disease.

Medicine International

Medicine International

An International Open Access Journal Devoted to General Medicine.

Journal Cover
November-2022 Volume 24 Issue 5

Full Size Image

Sign up for eToc alerts
Recommend to Library

  • Article
  • Citations
    • Cite This Article
    • Download Citation
    • Create Citation Alert
    • Remove Citation Alert
    • Cited By
  • Similar Articles
    • Related Articles (in Spandidos Publications)
    • Similar Articles (Google Scholar)
    • Similar Articles (PubMed)
  • Download PDF
  • Download XML
  • View XML
Case Report Open Access

Combined treatment with radiotherapy, chemotherapy and avelumab results in regression of metastatic Merkel cell carcinoma and improvement of associated Lambert‑Eaton myasthenic syndrome: A case report

  • Authors:
    • Caroline Green
    • Martin Isaksson Mettävainio
    • Christina Kjellman
    • Torbjörn Ramqvist
    • Tina Dalianis
    • Pernilla Israelsson
    • David Lindquist
  • View Affiliations / Copyright

    Affiliations: Department of Clinical Sciences, Umeå University, SE‑90187 Umeå, Sweden, Department of Medical Biosciences, Umeå University, SE‑90187 Umeå, Sweden, Department of Oncology‑Pathology, Karolinska Institute, SE‑17177 Stockholm, Sweden, Department of Radiation Sciences, Umeå University, SE‑90187 Umeå, Sweden
    Copyright: © Green et al. This is an open access article distributed under the terms of Creative Commons Attribution License.
  • Article Number: 393
    |
    Published online on: September 21, 2022
       https://doi.org/10.3892/ol.2022.13513
  • Expand metrics +
Metrics: Total Views: 0 (Spandidos Publications: | PMC Statistics: )
Metrics: Total PDF Downloads: 0 (Spandidos Publications: | PMC Statistics: )
Cited By (CrossRef): 0 citations Loading Articles...

This article is mentioned in:



Abstract

Merkel cell carcinoma (MCC) is a rare and highly aggressive neuroendocrine malignancy arising from mechanoreceptors in the basal epidermis. Due to a pronounced risk of spread and a high propensity for recurrence after treatment, immediate treatment is of utmost importance. Lambert‑Eaton myasthenic syndrome (LEMS) is a paraneoplastic phenomenon affecting the muscles with autoimmune pathophysiology, and >50% of known cases are associated with an underlying malignancy. In the present report, the case of a 67‑year‑old man presenting with progressive proximal muscle weakness, autonomic dysfunction and involuntary weight loss is described. Symptoms and detection of voltage‑gated calcium channel antibodies were consistent with LEMS. Distant metastases were found in the inguinal and iliac lymph nodes, and these were immunohistochemically confirmed to be of epithelial and neuroendocrine origin, consistent with MCC. Local radiotherapy and chemotherapy improved the symptoms; however, a change of treatment was required due to the side effects of the chemotherapy. Avelumab, an immune checkpoint inhibitor, was therefore introduced, and within a year the patient did not only experience tumor remission but also exhibited marked improvements in muscle strength and mobility. At present, 2 years later, the MCC is still in remission. To the best of our knowledge, the present report is the first to describe MCC with associated LEMS, which was successfully treated with avelumab after previous radiotherapy and chemotherapy, with both improved functional motor recovery and tumor reduction. In conclusion, the present case report demonstrated that the present treatment strategy is a potential treatment option and could thus be considered in similar cases.

Introduction

Merkel cell carcinoma (MCC) is a rare and highly aggressive neuroendocrine malignancy thought to be arising from mechanoreceptors in the basal epidermis. It has also been discussed in the literature that Merkel cells might not be the cell of origin in MCC, but instead derived from epidermal stem cells or other primitive totipotent stem cells that under malignant transformation gain neuroendocrine characteristics (1). This theory is partly considered due to various expression patterns of immunohistochemically markers, and in some patients MCC are found concomitant with other epithelial lesions like basal cell carcinoma or squamous cell carcinoma in the same area (2). Therefore, the term ‘primary neuroendocrine carcinoma of the skin (PNECS)’ has been suggested as an alternative nomenclature. MCC is associated with Merkel cell polyomavirus (MCPyV) and UV exposure, and other risk factors include age, Caucasian skin type, and immunosuppression (e.g. HIV or transplant recipients) (3). It most commonly presents as rapidly growing and painless nodules in the skin of the face and neck, but lymph node metastases without a primary localization have also been reported (4). MCC belongs to the small cell carcinoma family shared with small cell lung carcinoma (SCLC), carcinoids and medullary carcinoma of the thyroid, but despite the similarity, paraneoplastic syndromes are rarely seen in MCC, and instead are more commonly reported in SCLC (5). It spreads rapidly to distant lymph nodes and has a high propensity for recurrence following treatment, with an overall 5-year survival rate of 0–18% in patients with distant metastases (6). With better results in survival rate, avelumab (FDA-approved 2017) is now used as a monotherapy for adults with metastatic MCC (6). It targets the programmed death-ligand (PD-L1), which in several cases is upregulated on tumor cells to inactivate T-cells, and underlies the mechanism by which the tumor cells evade the immune system. PD-L1 inhibition with avelumab makes it possible for the continued recognition of tumor cells as foreign by T-cells and thus for effective elimination of the tumor (7).

Lambert-Eaton myasthenic syndrome (LEMS) is a disorder of neuromuscular transmission, which is caused by antibodies against the P/Q-type voltage-gated calcium channels (VGCC) on the presynaptic nerve terminals. This impairs the release of acetylcholine and results in a poorly transmitted action potential with ensuing muscle weakness. LEMS usually presents with areflexia, proximal muscle weakness (especially in the lower limbs) and autonomic dysfunction (8). More than 50% of cases are associated with underlying malignancies (primarily SCLC), which express functional VGCCs (9). Diagnosis is confirmed using electromyography, clinical examination, and detection of antibodies; however, ~15% of patients with LEMS lack these antibodies, thus these criteria alone cannot be used to exclude a diagnosis (8). Treatment of underlying malignancy can often reduce the muscular symptoms, but complementing treatment with 3,4-diaminopyridine (and sometimes also immunosuppressants and pyridostigmine) is usually essential (10).

Case report

The patient presented has provided written informed consent for publishing his data and associated images (documented in his patient files), and all reporting and operational procedures were performed in accordance with the Declaration of Helsinki. In January 2018, a 67-year-old man presented with around a 1-year history of progressive muscle weakness and involuntary weight loss. The weakness was most prominent in the lower limbs, which had made him wheelchair-bound over the last few months. He also reported dry mouth, erectile dysfunction, and constipation as signs of autonomic dysfunction. There was no previous history of malignancy, but he was an ex-smoker with 25 previous pack-years and was obese with hypertension at the time of presentation.

In March of the same year, clinical examinations were performed, and together with elevated titers of P/Q-type VGCC-antibodies in serum (65.2 pmol/l, ref <40), a diagnosis of LEMS was confirmed and symptomatic treatment with 3,4-diaminopyridine and pyridostigmine was initiated. Since LEMS is strongly associated with malignancy, CT thorax/abdomen, ultrasound of scrotum, and 18-FDG-PET/CT were performed. No primary tumors on the skin were identified. Slightly enlarged nodes were observed in the left axilla and mediastinum, and more prominent nodes were observed in the right groin area. The 18-FDG-PET/CT presented increased activity in a small area of the prostate, but urological examinations ruled out malignancy. Additionally, four areas with increased metabolism were also detected in both the right groin and iliac lymph nodes: A 3.5 cm node along the right external iliac artery, a 1.7 cm node deeply located, a 3 cm node superficially located, and lastly a node in an area dorsally and adjacent to the left ischial bone.

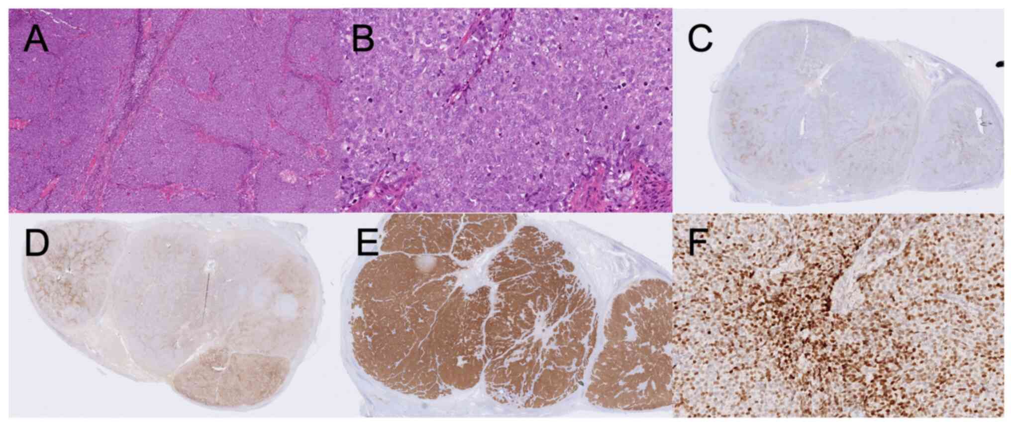
Extirpation of one of the nodes in the right groin was performed, and immunohistochemically stained preparations showed markers associated with neuroendocrine tumors, with the exception of chromogranin-A. Staining was positive for AE1/AE3 (Dako M3515, clone AE1/AE3, dilution 1:50), synaptophysin (Novocastra NCL-L-synap-299, clone 27G12, dilution 1:50), CD56 (Cellmarque 156R-94, clone MRQ42, dilution 1:500), and TTF-1 (Novocastra NCL TTF-1, clone SPT24, dilution 1:100), and dot-like positive for CK20 (Dako M7010, clone Ks20.8, dilution 1:25). Chromogranin A (Roche 760–2519, clone LK2H10, no dilution) was negative and Ki-67 (Roche 790–4286, clone 30–9, no dilution) was positive with 48% positive cells. All antibodies were stained in a Benchmark Ultra using either Ulatrview or Optiview kit. No negative controls were used for the routine stainings. The immunohistochemical stainings considered relevant for the final diagnostic workup are shown in Fig. 1 (stainings for the other markers not shown). The most common staining pattern of MCC is Chromogranin A and CK20 positivity, and TTF-1 negativity. Since the results from our immunohistochemical staining did not follow the typical pattern (and only metastases, but no primary tumor was found), the MCC diagnosis was considered, but not fully clarified at this stage. Further investigation with MCPyV PCR was performed, amplifying the small T and viral protein 1 regions with primers and probes described in Table I. The detailed experimental procedure of the PCR has been described previously (11). Presence of MCPyV was confirmed, and together with the ELECTHIP criteria (discussed further below), MCC was considered the most plausible diagnosis. Due to the dot-like positive staining of TTF-1, the conclusion from the multidisciplinary team meeting was to consider the staining as positive, but the antibody clone used at that time in our lab is known to crossreact with MCC with this staining pattern. Thus, the diagnosis of MCC was still considered the most likely despite that TTF-1 positivity very rarely is seen in MCC (12).

Figure 1.

Immunohistochemistry from the node in the groin. (A) Routine staining with hematoxylin-eosin (20× magnification) and (B) routine staining with hematoxylin-eosin at higher magnification (40× magnification) from the node in the groin. (C) The node was considered negative for chromogranin A (10× magnification), and positive for (D) thyroid transcription factor-1 (10× magnification), (E) synaptophysin (10× magnification) and (F) cytokeratin 20 (40× magnification).

Table I.

Primer and probe sequences (5′-3′) used for detection of MCPyV.

Table I.

Primer and probe sequences (5′-3′) used for detection of MCPyV.

Primer descriptionPrimer nameSequence (5′-3′)
Forward primer of small T regionMCPyV-5009.F GTCTCGCCAGCATTGTAGTCT
Reverse primer of small T regionMCPyV-4890.R AAACTTTCCCAAGTAGGAGGAA
Probe of small T regionMCPyV STp GCTATCAGTGCTTTATTCTTTGG
Forward primer of viral protein 1 regionMCPyV-1682.F AGGCCTAGTTTTAGATTACCAGAC
Reverse primer of viral protein 1 regionMCPyV-1780.R CTTGTGGATCTAGGCCCTGAT
Probe of viral protein 1 regionMCPyV VP1p ACAAATGGTGGGCCTATTAC

[i] The detailed PCR protocol has been described previously (11). MCPyV, Merkel cell polyomavirus.

In April 2018, 3 months after the first radiological examinations, the patient had difficulty breathing. CT imaging showed no signs of lung metastases or pulmonary embolism, but a discrete progression of the largest node adjacent to the right acetabulum was observed. At this point, the patient was sent to the Oncology Department to receive local radiation therapy (3 Gy × 13 fractions) directed towards the enlarged iliac node and the groin area. About 1 month later, the patient exhibited some regression of the symptoms, but still experienced morning stiffness and muscle weakness. In June 2018, during the final weeks of radiation therapy, the muscle weakness gradually improved, and the VGCC-antibody titers were reduced (47.7 pmol/l, ref <40).

A further CT thorax/abdomen showed some regression of two of the nodes, but the results were not satisfactory enough and further treatment options were required. Chemotherapy with carboplatin/etoposide was considered, but this was based primarily on the indications to treat the paramalignant phenomenon and not to treat the malignancy itself. Because of its recommendations as an effective treatment for metastatic MCC, avelumab was determined to be the optimal treatment of choice. Due to the unavailability of avelumab at the time of initiation of therapy, carboplatin/etoposide was given at full dose (carboplatin AUC5 day 1 and etoposide 100 mg/m2 days 1–3 in 21 day cycles) instead. Shortly after the first dose, the patient developed neutropenic fever and required antibiotic treatment. Due to the neutropenia, the next chemotherapy was therefore reduced to 80% of the dose, and the third and fourth doses were further reduced to 75%. After ~3 months of chemotherapy, the neutrophil count remained low, and unfortunately, the overall results from the chemotherapy were not satisfactory in terms of symptom reduction of LEMS. The muscular symptoms gradually improved with chemotherapy and the P/Q-type VGCC antibodies were not detectable anymore on follow-up tests, but at the end of treatment the symptoms started to recur and progress again. Shortness of breath was once again reported, but this time a pulmonary embolism was detected.

These side effects highlighted the need for alternative treatment options, and at this point, in October 2018, avelumab was available. A total of 800 mg avelumab was given intravenously at 2-week intervals, with paracetamol 500 mg ×2 and cetirizine 10 mg ×1 as pre-medications 1 h before treatment. In December 2018, the patient experienced further improvement in muscle strength and no side effects. Another 5 months later he was able to walk without aids. In June 2019, after 8 months and administration of 16 doses, a new radiological examination showed a distinct reduction in the size of the metastases, and it was decided that the treatment with avelumab should continue every second week for as long as no serious side effects occurred. Unfortunately, after about 1 year of avelumab infusions, the patient was diagnosed with suspected drug-induced hypothyroidism after presenting with high TSH and low T4 values. Levothyroxine was prescribed and treatment with avelumab was continued. A CT thorax/abdomen follow-up after 10 weeks presented lung infiltrations in the lower right lobe, as well as lateral and subpleural infiltrates in both upper lobes. There was no metastatic suspicion, but findings consistent with pneumonitis provided suspicion of another inflammatory drug-induced side effect. Since the treatment at this time had been administered for almost 1.5 years with no signs of recurrence, but with upcoming most likely drug-induced inflammatory side-effects such as hypothyroidism and pneumonitis, the decision was made to end the treatment. 3,4-diaminopyridine and pyridostigmine were to be continued, and radiological follow-up with 3-month intervals.

In April 2022, more than 2 years after the last dose of avelumab, the patient had no clinical or radiological (CT thorax/abdomen) signs of recurrence. The pulmonary infiltrates were gone, but a new case of pulmonary embolism had arisen during the follow-up period. With this exception, the patient was healthy with few signs of recurrent muscle weakness. As a follow-up, clinical and radiological examinations with CT thorax/abdomen are from now on to be performed every 4–6 months.

Discussion

In the present report, the case of a 67-year-old patient with pronounced paraneoplastic muscle symptoms arising from an uncommon cutaneous neuroendocrine tumor is described. MCC can present as a lymph node metastasis without a primary tumor or a cutaneous tumor, and it can therefore be hard to distinguish MCC from other neuroendocrine carcinomas. The distinction in diagnosis is important due to the completely different approaches to therapeutic management and outcomes (13,14). In a large study published in 2017, it was found that MCC (both with and without a primary tumor) could be distinguished from lymph node metastases caused by other neuroendocrine carcinomas using seven different criteria: Elderly age, Location of the tumor, Extent of the disease, Cytokeratin expression, TTF-1 expression, Histologic type and Merkel cell Polyomavirus detection, abbreviated as ELECTHIP (13). The study concluded that all patients with MCC had at least five of these criteria, while almost everyone (except one patient) with other neuroendocrine tumors had three or fewer. However, several MCC tumors without a known primary tumor had four criteria, and this was taken into consideration when diagnosing our patient (13). To summarize these criteria, the ‘normal’ pattern of MCC is: Age >70 years, tumors localized to the inguinal or parotid area, disease extent localized to a single lymph node area rather than systemic spread, positive staining for CK20, and most commonly negative staining for TTF-1 (15). MCC is a small cell carcinoma, while other neuroendocrine carcinomas may be small cell, large cell, or well-differentiated. A total of 80% are positive for MCPyV (16). Interestingly, MCPyV-positive tumors are associated with better 5-year survival rates and are less likely to have spread at diagnosis compared with MCPyV-negative tumors (17). Although the presence of MCPyV was used as one of the criteria, the possibility of a false positive PCR should not be overlooked (18). To minimize for this uncertainty, appropriate positive (plasmid pMCV-R17a) and negative (material from empty paraffin-block treated in the same way as the patient sample) controls where used when analyzing the sample. This uncertainty was also considered during the diagnostic workup by the multidisciplinary team meeting. Our patient matched four of these seven criteria: Tumor localized to the inguinal area, CK20 positivity, small cell histology, and detectable MCPyV. The slightly enlarged nodes in the axilla and mediastinum were not confirmed as malignant, thus the extent of the disease was most likely localized to two adjacent lymph node areas (Table II). In the present case, markers including CK20 and TTF-1 (normally used to distinguish MCC from other small cell carcinomas like SCLC) did not provide concrete guidance for an MCC diagnosis. TTF-1 is selectively expressed in the thyroid and pulmonary epithelial cells, while CK20 stains positive for Merkel cells and some other cells in the GI tract. SCLC is therefore usually CK20 negative and TTF-1 positive, whereas MCC exhibits the opposite pattern (negative for TTF-1 and positive for CK20) (19). Chromogranin A is also a typical positive neuroendocrine marker, that in our case, was negatively stained, and together with TTF-1 positivity, made the conclusion of diagnosis more difficult. The ELECTHIP-criteria were therefore a useful tool in this case when normal immunohistochemical staining patterns were absent, and no primary tumor was located. However, it should be noted that the diagnosis of MCC in this case remains uncertain since there is no evidence of primary cutaneous tumor. The diagnostic workup could possibly have been completed with Gallium-DOTATOC PET/CT which could have added valuable information. This was not done in our patient. It would possibly not have added much information regarding the diagnosis, but rather function as a marker for presence of somatostatin receptors, and thus guide in choice of treatment with somatostatin receptor analogues and/or radionucleotide therapy (20).

Table II.

ELECTHIP criteria.

Table II.

ELECTHIP criteria.

CriteriaIndicatorCurrent case
Elderly age>70 yearsNo
Location of the tumorInguinal or parotidYes
Extent of diseaseRestricted to one lymph node areaNo
Cytokeratin expressionCK20 immunopositivityYes
TTF-1 expressionImmunonegativityNo
Histological typeSmall cell carcinomaYes
Merkel cell polyomavirus detectionDetection on PCRYes

[i] The present patient matched four of the seven criteria. CK20, cytokeratin 20; TTF-1, thyroid transcription factor-1.

The Nobel Prize in 2018 was awarded to Tasuku Honjo and James Allison for the discovery of the PD-1 molecule on T-cells. PD-1 is involved in immune suppression, which is one of the most important escape mechanisms used by certain tumor cells. The inhibition of inhibitory mechanisms leads to a more active immune defense against the cancer and prolongs overall survival significantly in cancer forms that previously had long-term survival rates in single-digit percentages (21). The use of these immune checkpoint inhibitors provides hope to patients that previously only had months left to live and lays the foundation for further research on how to modulate and strengthen our immune response, as the most effective treatment against cancer (21). Until recently, cytotoxic chemotherapy has been part of the standard treatment for patients with MCC, even though there is no scientific support for the effectiveness of this treatment, and the rates of relapse are high (3). MCC is considered a chemosensitive carcinoma, but a survival benefit has not been shown and responses to chemotherapy are usually not durable (22). In 2016, a foundational study was published regarding the use of avelumab as on treatment naïve patients and patients who had received previous chemotherapy with metastatic MCC (6). The results were promising; 32% objective responses (9% complete and 23% partial responses), no treatment-related grade 4 events, and (compared to the relatively high incidence of toxicity-related morbidity of chemotherapy) acceptable side effects. The study also showed almost twice as good results in patients with just one previous line of treatment, compared to the patients that did receive two or more.

The question was therefore raised if it may be more effective to start the treatment earlier with fewer previous cycles of cytotoxic treatment, since a functional immune system is necessary for the best possible response. For example, it has been reported that MCC developed shortly after the use of the TNF-a inhibitor adalimumab, which also suggests the importance of immunosuppression. In our case, chemotherapy was initiated due to the unavailability of avelumab. Chemotherapy treatment had to be stopped after four cycles due to neutropenia. Since the patient still had symptoms and the disease was progressing at the time, we decided to administer additional treatment with avelumab. Inflammatory side effects that presented after initiation of avelumab included pneumonitis, pulmonary embolism, and hypothyroidism. Most side effects are well known and tolerable, except for the neutropenia experienced by our patient. Pneumonitis occurred after ~1 year with avelumab and resulted in the termination of the treatment, but disappeared almost immediately after that. Pulmonary embolism, on the other hand, occurred after the end of treatment.

In 2020, the first publication of a case with MCC and paraneoplastic LEMS treated with avelumab was reported, to the best of our knowledge (23). In this report, the patient had a severe reduction in vital capacity, and the muscular symptoms initially worsened instead of improved after infusion. Additional immunoglobulins had to be added to manage these severe immunological side effects, but after that, the LEMS improved and the MCC went into remission. In our patient, even though he previously had received both chemotherapy and radiation therapy, there was no need for additional immunoglobulins, and the LEMS continued to improve after the introduction of avelumab. Previously, there have also been concerns that treatment with drugs potentiating the immune system may worsen the paramalignant symptoms, that was, however, not noted in our patient.

In the literature, we found four case reports with an association between MCC and LEMS (24–27). To summarize, in most cases treatment of the tumor reduced the LEMS-associated symptoms but none of these cases received treatment with avelumab. Some other case reports raises the concern regarding whether immunotherapy may cause LEMS (28–32), none of these are reported having MCC. The majority of the cases described had lung cancer and out of the case reports one cannot say whether LEMS was caused by the immunotherapy, only that it presented after initiation of treatment. However, those patients with onset after start of immunotherapy generally had less effect when treating the LEMS-symptoms.

In conclusion, signs indicative of LEMS should always form the basis for a thorough malignancy screening even if lung examinations appear normal. The effect of the combined treatment with radiotherapy, chemotherapy, and avelumab, as well as the tolerance in our patient suggests that this might be a suitable treatment strategy for other patients with MCC combined with LEMS.

Acknowledgements

The authors would like to thank Dr Daniel Nosek (Department of Medical Biosciences, Umeå University, Umeå, Sweden) for his technical assistance with Figure 1.

Funding

Funding: No funding was received.

Availability of data and materials

All data generated or analyzed during this study are included in this published article.

Authors' contributions

CG, MIM, CK, TR, TD, PI and DL contributed to acquisition, analysis and interpretation of the patient data presented in this case report. CG and DL drafted the manuscript. All authors have made critical revisions. All authors read and approved the final manuscript. CG and DL confirm the authenticity of all the raw data.

Ethics approval and consent to participate

The patient has provided written informed consent to participate.

Patient consent for publication

The patient has provided written informed consent for publication of the data in this manuscript.

Competing interests

The authors declare that they have no competing interests.

References

1 

Hoefler H, Kerl H, Rauch HJ and Denk H: New immunocytochemical observations with diagnostic significance in cutaneous neuroendocrine carcinoma. Am J Dermatopathol. 6:525–530. 1984. View Article : Google Scholar : PubMed/NCBI

2 

Walsh NM: Primary neuroendocrine (Merkel cell) carcinoma of the skin: Morphologic diversity and implications thereof. Hum Pathol. 32:680–689. 2001. View Article : Google Scholar : PubMed/NCBI

3 

Becker JC, Stang A, DeCaprio JA, Cerroni L, Lebbe C, Veness M and Nghiem P: Merkel cell carcinoma. Nat Rev Dis Primers. 3:170772017. View Article : Google Scholar : PubMed/NCBI

4 

Pavolucci L, Giannini G, Giannoccaro MP, Foschini MP, Lang B, Avoni P, Tinuper P, Vincent A and Liguori R: Paraneoplastic cerebellar degeneration and lambert-eaton myasthenia in a patient with merkel cell carcinoma and voltage-gated calcium channel antibodies. Muscle Nerve. 56:998–1000. 2017. View Article : Google Scholar : PubMed/NCBI

5 

Eggers SD, Salomao DR, Dinapoli RP and Vernino S: Paraneoplastic and metastatic neurologic complications of Merkel cell carcinoma. Mayo Clin Proc. 76:327–330. 2001. View Article : Google Scholar : PubMed/NCBI

6 

Kaufman HL, Russell J, Hamid O, Bhatia S, Terheyden P, D'Angelo SP, Shih KC, Lebbé C, Linette GP, Milella M, et al: Avelumab in patients with chemotherapy-refractory metastatic Merkel cell carcinoma: A multicentre, single-group, open-label, phase 2 trial. Lancet Oncol. 17:1374–1385. 2016. View Article : Google Scholar : PubMed/NCBI

7 

Collins JM and Gulley JL: Product review: Avelumab, an anti-PD-L1 antibody. Hum Vaccin Immunother. 15:891–908. 2019. View Article : Google Scholar : PubMed/NCBI

8 

Kesner VG, Oh SJ, Dimachkie MM and Barohn RJ: Lambert-eaton myasthenic syndrome. Neurol Clin. 36:379–394. 2018. View Article : Google Scholar : PubMed/NCBI

9 

O'Neill JH, Murray NM and Newsom-Davis J: The lambert-eaton myasthenic syndrome. A review of 50 cases. Brain. 111:577–596. 1988. View Article : Google Scholar : PubMed/NCBI

10 

Skeie GO, Apostolski S, Evoli A, Gilhus NE, Illa I, Harms L, Hilton-Jones D, Melms A, Verschuuren J, Horge HW, et al: Guidelines for treatment of autoimmune neuromuscular transmission disorders. Eur J Neurol. 17:893–902. 2010. View Article : Google Scholar : PubMed/NCBI

11 

Gustafsson B, Priftakis P, Rubin J, Giraud G, Ramqvist T and Dalianis T: Human polyomaviruses were not detected in cerebrospinal fluid of patients with neurological complications after hematopoietic stem cell transplantation. Future Virol. 8:809–814. 2013. View Article : Google Scholar

12 

Llombart B, Monteagudo C, Lopez-Guerrero JA, Carda C, Jorda E, Sanmartin O, Almenar S, Molina I, Martín JM and Llombart-Bosch A: Clinicopathological and immunohistochemical analysis of 20 cases of Merkel cell carcinoma in search of prognostic markers. Histopathology. 46:622–634. 2005. View Article : Google Scholar : PubMed/NCBI

13 

Kervarrec T, Zaragoza J, Gaboriaud P, Le Gouge A, Beby-Defaux A, Le Corre Y, Hainaut-Wierzbicka E, Aubin F, Bens G, Michenet P, et al: Differentiating Merkel cell carcinoma of lymph nodes without a detectable primary skin tumor from other metastatic neuroendocrine carcinomas: The ELECTHIP criteria. J Am Acad Dermatol. 78:964–972. e32018. View Article : Google Scholar : PubMed/NCBI

14 

Garcia-Carbonero R, Sorbye H, Baudin E, Raymond E, Wiedenmann B, Niederle B, Sedlackova E, Toumpanakis C, Anlauf M, Cwikla JB, et al: ENETS consensus guidelines for high-grade gastroenteropancreatic neuroendocrine tumors and neuroendocrine carcinomas. Neuroendocrinology. 103:186–194. 2016. View Article : Google Scholar : PubMed/NCBI

15 

Kuwamoto S: Recent advances in the biology of Merkel cell carcinoma. Hum Pathol. 42:1063–1077. 2011. View Article : Google Scholar : PubMed/NCBI

16 

Feng H, Shuda M, Chang Y and Moore PS: Clonal integration of a polyomavirus in human Merkel cell carcinoma. Science. 319:1096–1100. 2008. View Article : Google Scholar : PubMed/NCBI

17 

Sihto H, Kukko H, Koljonen V, Sankila R, Bohling T and Joensuu H: Clinical factors associated with Merkel cell polyomavirus infection in Merkel cell carcinoma. J Natl Cancer Inst. 101:938–945. 2009. View Article : Google Scholar : PubMed/NCBI

18 

Duncavage EJ, Le BM, Wang D and Pfeifer JD: Merkel cell polyomavirus: A specific marker for Merkel cell carcinoma in histologically similar tumors. Am J Surg Pathol. 33:1771–1777. 2009. View Article : Google Scholar : PubMed/NCBI

19 

Ordonez NG: Value of thyroid transcription factor-1 immunostaining in distinguishing small cell lung carcinomas from other small cell carcinomas. Am J Surg Pathol. 24:1217–1223. 2000. View Article : Google Scholar : PubMed/NCBI

20 

Taralli S, Sollini M, Milella M, Perotti G, Filice A, Menga M, Versari A and Rufini V: (18)F-FDG and (68)Ga-somatostatin analogs PET/CT in patients with Merkel cell carcinoma: A comparison study. EJNMMI Res. 8:642018. View Article : Google Scholar : PubMed/NCBI

21 

Ishida Y: PD-1: Its discovery, involvement in cancer immunotherapy, and beyond. Cells. 9:13762020. View Article : Google Scholar : PubMed/NCBI

22 

Desch L and Kunstfeld R: Merkel cell carcinoma: Chemotherapy and emerging new therapeutic options. J Skin Cancer. 2013:3271502013. View Article : Google Scholar : PubMed/NCBI

23 

Dohrn MF, Schone U, Kuppers C, Christen D, Schulz JB, Gess B and Tauber S: Immunoglobulins to mitigate paraneoplastic lambert eaton myasthenic syndrome under checkpoint inhibition in Merkel cell carcinoma. Neurol Res Pract. 2:522020. View Article : Google Scholar : PubMed/NCBI

24 

Agostini A, Merli M, Avallone G, Burzi L, Mastorino L, Parisi M, Bertuzzo D, Ferrero B, Cerrato M, Badellino S, et al: Lambert-eaton myasthenic syndrome and paraneoplastic cerebellar degeneration associated with merkel cell carcinoma with unknown primary: A case report. Acta Derm Venereol. 101:adv004522021.PubMed/NCBI

25 

Nguyen ND, Simmons DB, Bersabe AR, Duginski TM, Sladky JH, Walton D, Will M and Renshaw JS: Lambert-Eaton myasthenic syndrome and merkel cell carcinoma. Cutis. 103:E19–E23. 2019.PubMed/NCBI

26 

Iyer JG, Parvathaneni K, Bhatia S, Tarabadkar ES, Blom A, Doumani R, McKenzie J, Asgari MM and Nghiem P: Paraneoplastic syndromes (PNS) associated with Merkel cell carcinoma (MCC): A case series of 8 patients highlighting different clinical manifestations. J Am Acad Dermatol. 75:541–547. 2016. View Article : Google Scholar : PubMed/NCBI

27 

Bombelli F, Lispi L, Calabro F, Corsi FM and Petrucci A: Lambert-Eaton myasthenic syndrome associated to Merkel cell carcinoma: Report of a case. Neurol Sci. 36:1491–1492. 2015. View Article : Google Scholar : PubMed/NCBI

28 

Lee JH, Baek SK, Han JJ, Kim HJ, Lee YA, Yoo D and Maeng CH: Lambert-Eaton myasthenic syndrome (LEMS) in a patient with lung cancer under treatment with pembrolizumab: A case study. J Chemother. 13:1–6. 2022. View Article : Google Scholar : PubMed/NCBI

29 

Sakaguchi T, Kokubo Y, Furuhashi K, Nakamura Y, Suzuki Y, Ito K, Fujiwara K, Nishii Y, Taguchi O and Hataji O: An extensive-stage small-cell lung cancer case with preexisting lambert-eaton myasthenic syndrome successfully treated with an immune checkpoint inhibitor. Clin Lung Cancer. 23:e273–e275. 2022. View Article : Google Scholar : PubMed/NCBI

30 

Gill AJ, Gandhy S and Lancaster E: Nivolumab-associated lambert-eaton myasthenic syndrome and cerebellar dysfunction in a patient with a neuroendocrine tumor. Muscle Nerve. 63:E18–E21. 2021. View Article : Google Scholar : PubMed/NCBI

31 

Kunii E, Owaki S, Yamada K, Yoshihara M, Yamaba Y, Takakuwa O, Toyoda T and Akita K: Lambert-eaton myasthenic syndrome caused by atezolizumab in a patient with small-cell lung cancer. Intern Med. 61:1739–1742. 2022. View Article : Google Scholar : PubMed/NCBI

32 

Nakatani Y, Tanaka N, Enami T, Minami S, Okazaki T and Komuta K: Lambert-eaton myasthenic syndrome caused by nivolumab in a patient with squamous cell lung cancer. Case Rep Neurol. 10:346–352. 2018. View Article : Google Scholar : PubMed/NCBI

Related Articles

  • Abstract
  • View
  • Download
  • Twitter
Copy and paste a formatted citation
Spandidos Publications style
Green C, Mettävainio MI, Kjellman C, Ramqvist T, Dalianis T, Israelsson P and Lindquist D: Combined treatment with radiotherapy, chemotherapy and avelumab results in regression of metastatic Merkel cell carcinoma and improvement of associated Lambert‑Eaton myasthenic syndrome: A case report. Oncol Lett 24: 393, 2022.
APA
Green, C., Mettävainio, M.I., Kjellman, C., Ramqvist, T., Dalianis, T., Israelsson, P., & Lindquist, D. (2022). Combined treatment with radiotherapy, chemotherapy and avelumab results in regression of metastatic Merkel cell carcinoma and improvement of associated Lambert‑Eaton myasthenic syndrome: A case report. Oncology Letters, 24, 393. https://doi.org/10.3892/ol.2022.13513
MLA
Green, C., Mettävainio, M. I., Kjellman, C., Ramqvist, T., Dalianis, T., Israelsson, P., Lindquist, D."Combined treatment with radiotherapy, chemotherapy and avelumab results in regression of metastatic Merkel cell carcinoma and improvement of associated Lambert‑Eaton myasthenic syndrome: A case report". Oncology Letters 24.5 (2022): 393.
Chicago
Green, C., Mettävainio, M. I., Kjellman, C., Ramqvist, T., Dalianis, T., Israelsson, P., Lindquist, D."Combined treatment with radiotherapy, chemotherapy and avelumab results in regression of metastatic Merkel cell carcinoma and improvement of associated Lambert‑Eaton myasthenic syndrome: A case report". Oncology Letters 24, no. 5 (2022): 393. https://doi.org/10.3892/ol.2022.13513
Copy and paste a formatted citation
x
Spandidos Publications style
Green C, Mettävainio MI, Kjellman C, Ramqvist T, Dalianis T, Israelsson P and Lindquist D: Combined treatment with radiotherapy, chemotherapy and avelumab results in regression of metastatic Merkel cell carcinoma and improvement of associated Lambert‑Eaton myasthenic syndrome: A case report. Oncol Lett 24: 393, 2022.
APA
Green, C., Mettävainio, M.I., Kjellman, C., Ramqvist, T., Dalianis, T., Israelsson, P., & Lindquist, D. (2022). Combined treatment with radiotherapy, chemotherapy and avelumab results in regression of metastatic Merkel cell carcinoma and improvement of associated Lambert‑Eaton myasthenic syndrome: A case report. Oncology Letters, 24, 393. https://doi.org/10.3892/ol.2022.13513
MLA
Green, C., Mettävainio, M. I., Kjellman, C., Ramqvist, T., Dalianis, T., Israelsson, P., Lindquist, D."Combined treatment with radiotherapy, chemotherapy and avelumab results in regression of metastatic Merkel cell carcinoma and improvement of associated Lambert‑Eaton myasthenic syndrome: A case report". Oncology Letters 24.5 (2022): 393.
Chicago
Green, C., Mettävainio, M. I., Kjellman, C., Ramqvist, T., Dalianis, T., Israelsson, P., Lindquist, D."Combined treatment with radiotherapy, chemotherapy and avelumab results in regression of metastatic Merkel cell carcinoma and improvement of associated Lambert‑Eaton myasthenic syndrome: A case report". Oncology Letters 24, no. 5 (2022): 393. https://doi.org/10.3892/ol.2022.13513
Follow us
  • Twitter
  • LinkedIn
  • Facebook
About
  • Spandidos Publications
  • Careers
  • Cookie Policy
  • Privacy Policy
How can we help?
  • Help
  • Live Chat
  • Contact
  • Email to our Support Team