Spandidos Publications Logo
  • About
    • About Spandidos
    • Aims and Scopes
    • Abstracting and Indexing
    • Editorial Policies
    • Reprints and Permissions
    • Job Opportunities
    • Terms and Conditions
    • Contact
  • Journals
    • All Journals
    • Oncology Letters
      • Oncology Letters
      • Information for Authors
      • Editorial Policies
      • Editorial Board
      • Aims and Scope
      • Abstracting and Indexing
      • Bibliographic Information
      • Archive
    • International Journal of Oncology
      • International Journal of Oncology
      • Information for Authors
      • Editorial Policies
      • Editorial Board
      • Aims and Scope
      • Abstracting and Indexing
      • Bibliographic Information
      • Archive
    • Molecular and Clinical Oncology
      • Molecular and Clinical Oncology
      • Information for Authors
      • Editorial Policies
      • Editorial Board
      • Aims and Scope
      • Abstracting and Indexing
      • Bibliographic Information
      • Archive
    • Experimental and Therapeutic Medicine
      • Experimental and Therapeutic Medicine
      • Information for Authors
      • Editorial Policies
      • Editorial Board
      • Aims and Scope
      • Abstracting and Indexing
      • Bibliographic Information
      • Archive
    • International Journal of Molecular Medicine
      • International Journal of Molecular Medicine
      • Information for Authors
      • Editorial Policies
      • Editorial Board
      • Aims and Scope
      • Abstracting and Indexing
      • Bibliographic Information
      • Archive
    • Biomedical Reports
      • Biomedical Reports
      • Information for Authors
      • Editorial Policies
      • Editorial Board
      • Aims and Scope
      • Abstracting and Indexing
      • Bibliographic Information
      • Archive
    • Oncology Reports
      • Oncology Reports
      • Information for Authors
      • Editorial Policies
      • Editorial Board
      • Aims and Scope
      • Abstracting and Indexing
      • Bibliographic Information
      • Archive
    • Molecular Medicine Reports
      • Molecular Medicine Reports
      • Information for Authors
      • Editorial Policies
      • Editorial Board
      • Aims and Scope
      • Abstracting and Indexing
      • Bibliographic Information
      • Archive
    • World Academy of Sciences Journal
      • World Academy of Sciences Journal
      • Information for Authors
      • Editorial Policies
      • Editorial Board
      • Aims and Scope
      • Abstracting and Indexing
      • Bibliographic Information
      • Archive
    • International Journal of Functional Nutrition
      • International Journal of Functional Nutrition
      • Information for Authors
      • Editorial Policies
      • Editorial Board
      • Aims and Scope
      • Abstracting and Indexing
      • Bibliographic Information
      • Archive
    • International Journal of Epigenetics
      • International Journal of Epigenetics
      • Information for Authors
      • Editorial Policies
      • Editorial Board
      • Aims and Scope
      • Abstracting and Indexing
      • Bibliographic Information
      • Archive
    • Medicine International
      • Medicine International
      • Information for Authors
      • Editorial Policies
      • Editorial Board
      • Aims and Scope
      • Abstracting and Indexing
      • Bibliographic Information
      • Archive
  • Articles
  • Information
    • Information for Authors
    • Information for Reviewers
    • Information for Librarians
    • Information for Advertisers
    • Conferences
  • Language Editing
Spandidos Publications Logo
  • About
    • About Spandidos
    • Aims and Scopes
    • Abstracting and Indexing
    • Editorial Policies
    • Reprints and Permissions
    • Job Opportunities
    • Terms and Conditions
    • Contact
  • Journals
    • All Journals
    • Biomedical Reports
      • Information for Authors
      • Editorial Policies
      • Editorial Board
      • Aims and Scope
      • Abstracting and Indexing
      • Bibliographic Information
      • Archive
    • Experimental and Therapeutic Medicine
      • Information for Authors
      • Editorial Policies
      • Editorial Board
      • Aims and Scope
      • Abstracting and Indexing
      • Bibliographic Information
      • Archive
    • International Journal of Epigenetics
      • Information for Authors
      • Editorial Policies
      • Editorial Board
      • Aims and Scope
      • Abstracting and Indexing
      • Bibliographic Information
      • Archive
    • International Journal of Functional Nutrition
      • Information for Authors
      • Editorial Policies
      • Editorial Board
      • Aims and Scope
      • Abstracting and Indexing
      • Bibliographic Information
      • Archive
    • International Journal of Molecular Medicine
      • Information for Authors
      • Editorial Policies
      • Editorial Board
      • Aims and Scope
      • Abstracting and Indexing
      • Bibliographic Information
      • Archive
    • International Journal of Oncology
      • Information for Authors
      • Editorial Policies
      • Editorial Board
      • Aims and Scope
      • Abstracting and Indexing
      • Bibliographic Information
      • Archive
    • Medicine International
      • Information for Authors
      • Editorial Policies
      • Editorial Board
      • Aims and Scope
      • Abstracting and Indexing
      • Bibliographic Information
      • Archive
    • Molecular and Clinical Oncology
      • Information for Authors
      • Editorial Policies
      • Editorial Board
      • Aims and Scope
      • Abstracting and Indexing
      • Bibliographic Information
      • Archive
    • Molecular Medicine Reports
      • Information for Authors
      • Editorial Policies
      • Editorial Board
      • Aims and Scope
      • Abstracting and Indexing
      • Bibliographic Information
      • Archive
    • Oncology Letters
      • Information for Authors
      • Editorial Policies
      • Editorial Board
      • Aims and Scope
      • Abstracting and Indexing
      • Bibliographic Information
      • Archive
    • Oncology Reports
      • Information for Authors
      • Editorial Policies
      • Editorial Board
      • Aims and Scope
      • Abstracting and Indexing
      • Bibliographic Information
      • Archive
    • World Academy of Sciences Journal
      • Information for Authors
      • Editorial Policies
      • Editorial Board
      • Aims and Scope
      • Abstracting and Indexing
      • Bibliographic Information
      • Archive
  • Articles
  • Information
    • For Authors
    • For Reviewers
    • For Librarians
    • For Advertisers
    • Conferences
  • Language Editing
Login Register Submit
  • This site uses cookies
  • You can change your cookie settings at any time by following the instructions in our Cookie Policy. To find out more, you may read our Privacy Policy.

    I agree
Search articles by DOI, keyword, author or affiliation
Search
Advanced Search
presentation
Oncology Letters
Join Editorial Board Propose a Special Issue
Print ISSN: 1792-1074 Online ISSN: 1792-1082
Journal Cover
December-2023 Volume 26 Issue 6

Full Size Image

Sign up for eToc alerts
Recommend to Library

Journals

International Journal of Molecular Medicine

International Journal of Molecular Medicine

International Journal of Molecular Medicine is an international journal devoted to molecular mechanisms of human disease.

International Journal of Oncology

International Journal of Oncology

International Journal of Oncology is an international journal devoted to oncology research and cancer treatment.

Molecular Medicine Reports

Molecular Medicine Reports

Covers molecular medicine topics such as pharmacology, pathology, genetics, neuroscience, infectious diseases, molecular cardiology, and molecular surgery.

Oncology Reports

Oncology Reports

Oncology Reports is an international journal devoted to fundamental and applied research in Oncology.

Experimental and Therapeutic Medicine

Experimental and Therapeutic Medicine

Experimental and Therapeutic Medicine is an international journal devoted to laboratory and clinical medicine.

Oncology Letters

Oncology Letters

Oncology Letters is an international journal devoted to Experimental and Clinical Oncology.

Biomedical Reports

Biomedical Reports

Explores a wide range of biological and medical fields, including pharmacology, genetics, microbiology, neuroscience, and molecular cardiology.

Molecular and Clinical Oncology

Molecular and Clinical Oncology

International journal addressing all aspects of oncology research, from tumorigenesis and oncogenes to chemotherapy and metastasis.

World Academy of Sciences Journal

World Academy of Sciences Journal

Multidisciplinary open-access journal spanning biochemistry, genetics, neuroscience, environmental health, and synthetic biology.

International Journal of Functional Nutrition

International Journal of Functional Nutrition

Open-access journal combining biochemistry, pharmacology, immunology, and genetics to advance health through functional nutrition.

International Journal of Epigenetics

International Journal of Epigenetics

Publishes open-access research on using epigenetics to advance understanding and treatment of human disease.

Medicine International

Medicine International

An International Open Access Journal Devoted to General Medicine.

Journal Cover
December-2023 Volume 26 Issue 6

Full Size Image

Sign up for eToc alerts
Recommend to Library

  • Article
  • Citations
    • Cite This Article
    • Download Citation
    • Create Citation Alert
    • Remove Citation Alert
    • Cited By
  • Similar Articles
    • Related Articles (in Spandidos Publications)
    • Similar Articles (Google Scholar)
    • Similar Articles (PubMed)
  • Download PDF
  • Download XML
  • View XML
Case Report

Clinical activity of crizotinib in lung adenocarcinoma harboring a HLA_A‑ROS1 rearrangement: A case report

  • Authors:
    • Ryosuke Kinoshita
    • Makoto Nakao
    • Hiroko Kiyotoshi
    • Syuntaro Hayashi
    • Masahiro Sugihara
    • Yuya Hirata
    • Mamiko Kuriyama
    • Norihisa Takeda
    • Hideki Muramatsu
  • View Affiliations / Copyright

    Affiliations: Department of Respiratory Medicine, Kainan Hospital Aichi Prefectural Welfare Federation of Agricultural Cooperatives, Yatomi, Aichi 498‑8502, Japan
  • Article Number: 515
    |
    Published online on: October 13, 2023
       https://doi.org/10.3892/ol.2023.14102
  • Expand metrics +
Metrics: Total Views: 0 (Spandidos Publications: | PMC Statistics: )
Metrics: Total PDF Downloads: 0 (Spandidos Publications: | PMC Statistics: )
Cited By (CrossRef): 0 citations Loading Articles...

This article is mentioned in:



Abstract

The benefits of crizotinib therapy in patients with tyrosine receptor kinase ROS proto‑oncogene 1 (ROS1)‑rearranged non‑small cell lung cancer (NSCLC) have been demonstrated. The present study reports a 47‑year‑old woman with lung adenocarcinoma harboring a rare HLA_A‑ROS1 rearrangement with clinical response to crizotinib. To the best of our knowledge there have been no reports of HLA_A‑ROS1‑rearranged lung cancer regarding clinical course and the efficacy of treatment with crizotinib. A good response to crizotinib therapy in the present case could be a reference for the treatment and prognosis of ROS1‑rearranged NSCLC with the same fusion partner. The current report will remind oncologists and pulmonologists to consider the importance of accurate multigene panel assays for detecting driver oncogenes in treating patients with NSCLC.

Introduction

Targeted therapy is efficient for patients with advanced non-small cell lung cancer (NSCLC) with related gene mutations, highlighting the importance of actively searching for mutations. Tyrosine receptor kinase ROS proto-oncogene 1 (ROS1) rearrangements occur in 1–2% of patients with non-small cell lung cancer (NSCLC) (1). Crizotinib is a tyrosine kinase inhibitor (TKI) that targets the anaplastic lymphoma kinase gene (ALK) or ROS1 kinase domain and is considered the standard of care for metastatic NSCLC who were positive for ROS1 fusion gene. Although the frequency of ROS1 rearrangements in lung cancers is low, the efficient determination of ROS1 status in patients with NSCLC is critical for directing patient care. Here we report the case of a patient with NSCLC harboring a rare HLA_A-ROS1 rearrangement, who showed a clinical response to crizotinib.

Case report

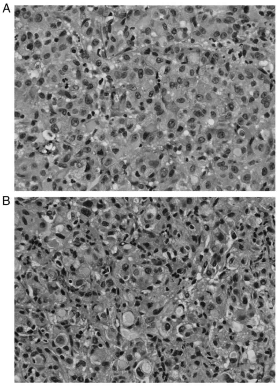
A 47-year-old Japanese woman with dyspnea for 2 months was referred to our hospital. She had no relevant history except for light smoking. Chest radiography analysis revealed a mass in the right upper lung field. Computed tomography (CT) analysis revealed a 7.0 cm mass in the right upper lobe with mediastinal invasion, contralateral mediastinal lymphadenopathy and a left adrenal gland tumor. Bronchoscopy analysis revealed a polypoid tumor at the orifice of the right upper lobe bronchus and a transbronchial biopsy was performed. Pathological examination showed primary lung adenocarcinoma with hepatoid cytology and signet cells (Fig. 1A and B). According to the 7th edition of TNM staging, the patient was classified as having stage IVB lung adenocarcinoma (T4aN3M1b). Mutation status was negative for EGFR, ALK, BRAF, and ROS1; the OncoGuide AmoyDx ROS1 gene fusion detection kit was used to detect ROS1 rearrangement. Programmed death-ligand 1 expression with a tumor proportion score of 5% was confirmed by immunohistochemistry analysis using 22C3 antibody. She was treated with radiation therapy for the primary lesion (50 Gy/20 Fr) as well as chemotherapy (carboplatin plus pemetrexed), which was followed by pemetrexed maintenance therapy. After 15 cycles of maintenance therapy, mediastinal lymphadenopathy was newly detected and pembrolizumab monotherapy was initiated as the second-line therapy. During the treatment, as the Oncomine CDx Target Test (Oncomine DxTT) was newly covered by insurance as a multigene panel assay for NSCLC in Japan, the residual specimen was subjected to Oncomine DxTT and HLA_A-ROS1 rearrangement was detected. After 21 cycles of pembrolizumab monotherapy (Fig. 2), the CT scan showed left supraclavicular lymphadenopathy (Fig. 3 A and B), and the patient was administered crizotinib therapy as the third-line therapy. She achieved a partial response as defined by the Response Evaluation Criteria in Solid Tumors version 1.1. Currently, cancer has been stable for over 16 months and patient follow up is ongoing (Fig. 3C and D).

Figure 1.

Pathological findings of bronchoscopic specimen. Pathological findings showed (A) hepatoid cytology and (B) signet-ring cells (hematoxylin and eosin stain; magnification, ×400).

Figure 2.

Treatment scheme and representative computed tomography scan images during treatment courses. CBDCA, carboplatin; PEM, pemetrexed; PR, partial response; PD, progressive disease.

Figure 3.

Thoracic imaging findings at the start of crizotinib therapy and 16 months after crizotinib therapy. Chest CT scan showed (A) primary lung tumor in right upper lobe and (B) left supraclavicular lymphadenopathy at the start of crizotinib therapy. Chest CT scan showed (C) shrinkage of tumor in the right upper lobe and (D) disappearance of left supraclavicular lymphadenopathy at 16 months after crizotinib therapy. CT, computed tomography.

Discussion

This is the first case report of a patient with lung adenocarcinoma harboring an HLA_A-ROS1 rearrangement with a clinical course and response to crizotinib. To our knowledge, there is only one case report of HLA_A-ROS1 rearrangement in melanoma (2). HLA_A-ROS1 rearrangement was generated by the fusion of exon 34 of ROS1 located on the long arm of chromosome 6 with exon 7 of HLA_A located on the short arm of chromosome 6 (Fig. 4). ROS1-rearranged NSCLC was majorly observed in young females with no or light smoking history (3). Currently, more than 34 ROS1 fusion partner genes have been reported in NSCLC, including CD74, SDC4, EZR, and SLC34A2 (4). In Japan we previously often used the OncoGuide AmoyDx ROS1 gene fusion detection kit to detect ROS1 rearrangements including those in major partner genes (5,6); however, this single gene testing was unable to detect HLA_A-ROS1 rearrangement. Pathologically, ALK- and ROS1-rearranged lung adenocarcinomas often show a solid growth pattern and possess hepatoid cells and signet ring cells (7). These pathological features are the indicators of ALK and ROS1 rearrangement status in NSCLC. Hence, an additional multigene panel assay should be considered for patients suspected of carrying driver oncogenes based on patient background and pathological patterns even if single gene tests were negative.

Figure 4.

Predicted gene structure map. Transcript results of HLA_A exon 7 N-terminal coiled-coil domain fused to ROS1 exon 34, which includes the ROS1 kinase domain. ROS1, tyrosine receptor kinase ROS proto-oncogene 1.

Crizotinib is a potent TKI for ALK, ROS1, and mesenchymal-epithelial transition mutation-positive NSCLC. A previous study showed that crizotinib was associated with an overall response rate of 72% and a median progression-free survival of 19.3 months in advanced ROS1-rearranged NSCLC (8). The efficacy of crizotinib varies depending on ROS1 fusion partner (9). A previous study showed that the patients carrying non-CD74-ROS1 fusions could get better prognostic outcomes than those with CD74-ROS1 fusions by crizotinib treatment (10). Hicks et al reported that a patient with lung adenocarcinoma harboring a rare ZCCHC8-ROS1 fusion who responded to crizotinib showed progression-free survival of 7 months and total duration of treatment of 15 months (11). The dramatic response to crizotinib therapy in this case may be a reference for the treatment and prognosis for NSCLC with the same fusion partner.

In conclusion, this report describes a case of advanced lung adenocarcinoma harboring an HLA_A-ROS1 rearrangement with a dramatic response to crizotinib therapy. The information presented in our report highlights to oncologists and pulmonologists the importance of accurate multigene panel assays in detecting driver oncogenes for treating patients with NSCLC.

Acknowledgements

Not applicable.

Funding

Funding: No funding was received.

Availability of data and materials

The datasets used and/or analyzed during the current study are available from the corresponding author on reasonable request.

Authors' contributions

RK analyzed and interpreted the patient lung cancer data and majorly contributed to writing the manuscript. MN interpreted the data and assisted in the preparation of the manuscript. HK, SH, MS and YH coordinated the clinics, performed the treatment, participated in the follow-up of the patients, obtained specimens and acquired data. MK, NT and HM made substantial contributions to conception and design and edited the manuscript. All authors read and approved the final manuscript. RK and MN confirm the authenticity of all the raw data.

Ethics approval and consent to participate

Written informed consent was provided by the patient.

Patient consent for publication

The patient provided written informed consent for the publication of the data.

Competing interests

The authors declare that they have no competing interests.

Glossary

Abbreviations

Abbreviations:

ALK

anaplastic lymphoma kinase gene

BRAF

V-Raf murine sarcoma viral oncogene homolog B

EGFR

epidermal growth factor receptor

CT

computed tomography

NSCLC

non-small cell lung cancer

Oncomine DxTT

Oncomine CDx Target Test

RET

rearranged during transfection

ROS1

tyrosine receptor kinase ROS proto-oncogene 1

TKI

tyrosine kinase inhibitor

References

1 

Rikova K, Guo A, Zeng Q, Possemato A, Yu J, Haack H, Nardone J, Lee K, Reeves C, Li Y, et al: Global survey of phosphotyrosine signaling identifies oncogenic kinases in lung cancer. Cell. 131:1190–1203. 2007. View Article : Google Scholar : PubMed/NCBI

2 

Wiesner T, He J, Yelensky R, Esteve-Puig R, Botton T, Yeh I, Lipson D, Otto G, Brennan K, Murali R, et al: Kinase fusion are frequent in Splitz tumors and spitzoid melanomas. Nat Commun. 5:31162014. View Article : Google Scholar : PubMed/NCBI

3 

Shaw AT, Ou SHI, Bang YJ, Camidge DR, Solomon BJ, Salgia R, Riely GJ, Varella-Garcia M, Shapiro GI, Costa DB, et al: Crizotinib in ROS1-rearranged non-small-cell lung cancer. N Engl J Med. 371:1963–1971. 2014. View Article : Google Scholar : PubMed/NCBI

4 

Gendarme S, Bylicki O, Chouaid C and Guisier F: ROS-1 fusions in non-small-cell lung cancer: Evidence to date. Curr Oncol. 29:641–658. 2022. View Article : Google Scholar : PubMed/NCBI

5 

Wu J, Lin Y, He X, Yang H, He P, Fu X, Li G and Gu X: Comparison of detection methods and follow-up study on the tyrosine kinase inhibitors therapy in non-small cell lung cancer patients with ROS1 fusion rearrangement. BMC Cancer. 16:5992016. View Article : Google Scholar : PubMed/NCBI

6 

Ke W, Xu Z and Xue L: ROS1 gene rearrangement and clinicopathological characteristics in Chinese NSCLC patients. Int J Clin Exp Pathol. 9:5594–5599. 2016.

7 

Zhao J, Zheng J, Kong M and Zhou J, Ding W and Zhou J: Advanced lung adenocarcinomas with ROS1-rearrangement frequently show hepatoid cell. Oncotarget. 7:74162–74170. 2016. View Article : Google Scholar : PubMed/NCBI

8 

Shaw AT, Riety GJ, S, Bang YJ, Kim DW, Camidge DR, Solomon BJ, Varella-Garcia M, Iafrate AJ, Shapiro GI, Usari T, et al: Crizotinib in ROS1-rearranged advanced non-small-cell lung cancer (NSCLC): Updated results, including overall survival, from PROFILE 1001. Ann Oncol. 30:1121–1126. 2019. View Article : Google Scholar : PubMed/NCBI

9 

Zhang Y, Zhang X, Zhang R, Xu Q, Yang H, Lizaso A, Xu C, Liu J, Wang W, Ou SHI, et al: Clinical and molecular factors that impact the efficacy of first-line crizotinib in ROS1-rearranged non-small-cell lung cancer: A large multicenter retrospective study. BMC Med. 19:2062021. View Article : Google Scholar : PubMed/NCBI

10 

Li Z, Shen L, Ding D, Huang J, Zhang J, Chen Z and Lu S: Efficacy of crizotinib among different types of ROS1 fusion partners in patients with ROS1-rearranged non-small cell lung cancer. J Thorac Oncol. 13:987–995. 2018. View Article : Google Scholar : PubMed/NCBI

11 

Hicks JK, Boyle T, Albacker LA, Madison R, Frampton G and Creelan BC: Clinical activity of crizotinib in lung adenocarcinoma harboring a rare ZCCHC8-ROS1 fusion. J Thorac Oncol. 13:e148–e150. 2018. View Article : Google Scholar : PubMed/NCBI

Related Articles

  • Abstract
  • View
  • Download
  • Twitter
Copy and paste a formatted citation
Spandidos Publications style
Kinoshita R, Nakao M, Kiyotoshi H, Hayashi S, Sugihara M, Hirata Y, Kuriyama M, Takeda N and Muramatsu H: Clinical activity of crizotinib in lung adenocarcinoma harboring a <em>HLA_A</em>‑<em>ROS1</em> rearrangement: A case report. Oncol Lett 26: 515, 2023.
APA
Kinoshita, R., Nakao, M., Kiyotoshi, H., Hayashi, S., Sugihara, M., Hirata, Y. ... Muramatsu, H. (2023). Clinical activity of crizotinib in lung adenocarcinoma harboring a <em>HLA_A</em>‑<em>ROS1</em> rearrangement: A case report. Oncology Letters, 26, 515. https://doi.org/10.3892/ol.2023.14102
MLA
Kinoshita, R., Nakao, M., Kiyotoshi, H., Hayashi, S., Sugihara, M., Hirata, Y., Kuriyama, M., Takeda, N., Muramatsu, H."Clinical activity of crizotinib in lung adenocarcinoma harboring a <em>HLA_A</em>‑<em>ROS1</em> rearrangement: A case report". Oncology Letters 26.6 (2023): 515.
Chicago
Kinoshita, R., Nakao, M., Kiyotoshi, H., Hayashi, S., Sugihara, M., Hirata, Y., Kuriyama, M., Takeda, N., Muramatsu, H."Clinical activity of crizotinib in lung adenocarcinoma harboring a <em>HLA_A</em>‑<em>ROS1</em> rearrangement: A case report". Oncology Letters 26, no. 6 (2023): 515. https://doi.org/10.3892/ol.2023.14102
Copy and paste a formatted citation
x
Spandidos Publications style
Kinoshita R, Nakao M, Kiyotoshi H, Hayashi S, Sugihara M, Hirata Y, Kuriyama M, Takeda N and Muramatsu H: Clinical activity of crizotinib in lung adenocarcinoma harboring a <em>HLA_A</em>‑<em>ROS1</em> rearrangement: A case report. Oncol Lett 26: 515, 2023.
APA
Kinoshita, R., Nakao, M., Kiyotoshi, H., Hayashi, S., Sugihara, M., Hirata, Y. ... Muramatsu, H. (2023). Clinical activity of crizotinib in lung adenocarcinoma harboring a <em>HLA_A</em>‑<em>ROS1</em> rearrangement: A case report. Oncology Letters, 26, 515. https://doi.org/10.3892/ol.2023.14102
MLA
Kinoshita, R., Nakao, M., Kiyotoshi, H., Hayashi, S., Sugihara, M., Hirata, Y., Kuriyama, M., Takeda, N., Muramatsu, H."Clinical activity of crizotinib in lung adenocarcinoma harboring a <em>HLA_A</em>‑<em>ROS1</em> rearrangement: A case report". Oncology Letters 26.6 (2023): 515.
Chicago
Kinoshita, R., Nakao, M., Kiyotoshi, H., Hayashi, S., Sugihara, M., Hirata, Y., Kuriyama, M., Takeda, N., Muramatsu, H."Clinical activity of crizotinib in lung adenocarcinoma harboring a <em>HLA_A</em>‑<em>ROS1</em> rearrangement: A case report". Oncology Letters 26, no. 6 (2023): 515. https://doi.org/10.3892/ol.2023.14102
Follow us
  • Twitter
  • LinkedIn
  • Facebook
About
  • Spandidos Publications
  • Careers
  • Cookie Policy
  • Privacy Policy
How can we help?
  • Help
  • Live Chat
  • Contact
  • Email to our Support Team