Spandidos Publications Logo
  • About
    • About Spandidos
    • Aims and Scopes
    • Abstracting and Indexing
    • Editorial Policies
    • Reprints and Permissions
    • Job Opportunities
    • Terms and Conditions
    • Contact
  • Journals
    • All Journals
    • Oncology Letters
      • Oncology Letters
      • Information for Authors
      • Editorial Policies
      • Editorial Board
      • Aims and Scope
      • Abstracting and Indexing
      • Bibliographic Information
      • Archive
    • International Journal of Oncology
      • International Journal of Oncology
      • Information for Authors
      • Editorial Policies
      • Editorial Board
      • Aims and Scope
      • Abstracting and Indexing
      • Bibliographic Information
      • Archive
    • Molecular and Clinical Oncology
      • Molecular and Clinical Oncology
      • Information for Authors
      • Editorial Policies
      • Editorial Board
      • Aims and Scope
      • Abstracting and Indexing
      • Bibliographic Information
      • Archive
    • Experimental and Therapeutic Medicine
      • Experimental and Therapeutic Medicine
      • Information for Authors
      • Editorial Policies
      • Editorial Board
      • Aims and Scope
      • Abstracting and Indexing
      • Bibliographic Information
      • Archive
    • International Journal of Molecular Medicine
      • International Journal of Molecular Medicine
      • Information for Authors
      • Editorial Policies
      • Editorial Board
      • Aims and Scope
      • Abstracting and Indexing
      • Bibliographic Information
      • Archive
    • Biomedical Reports
      • Biomedical Reports
      • Information for Authors
      • Editorial Policies
      • Editorial Board
      • Aims and Scope
      • Abstracting and Indexing
      • Bibliographic Information
      • Archive
    • Oncology Reports
      • Oncology Reports
      • Information for Authors
      • Editorial Policies
      • Editorial Board
      • Aims and Scope
      • Abstracting and Indexing
      • Bibliographic Information
      • Archive
    • Molecular Medicine Reports
      • Molecular Medicine Reports
      • Information for Authors
      • Editorial Policies
      • Editorial Board
      • Aims and Scope
      • Abstracting and Indexing
      • Bibliographic Information
      • Archive
    • World Academy of Sciences Journal
      • World Academy of Sciences Journal
      • Information for Authors
      • Editorial Policies
      • Editorial Board
      • Aims and Scope
      • Abstracting and Indexing
      • Bibliographic Information
      • Archive
    • International Journal of Functional Nutrition
      • International Journal of Functional Nutrition
      • Information for Authors
      • Editorial Policies
      • Editorial Board
      • Aims and Scope
      • Abstracting and Indexing
      • Bibliographic Information
      • Archive
    • International Journal of Epigenetics
      • International Journal of Epigenetics
      • Information for Authors
      • Editorial Policies
      • Editorial Board
      • Aims and Scope
      • Abstracting and Indexing
      • Bibliographic Information
      • Archive
    • Medicine International
      • Medicine International
      • Information for Authors
      • Editorial Policies
      • Editorial Board
      • Aims and Scope
      • Abstracting and Indexing
      • Bibliographic Information
      • Archive
  • Articles
  • Information
    • Information for Authors
    • Information for Reviewers
    • Information for Librarians
    • Information for Advertisers
    • Conferences
  • Language Editing
Spandidos Publications Logo
  • About
    • About Spandidos
    • Aims and Scopes
    • Abstracting and Indexing
    • Editorial Policies
    • Reprints and Permissions
    • Job Opportunities
    • Terms and Conditions
    • Contact
  • Journals
    • All Journals
    • Biomedical Reports
      • Information for Authors
      • Editorial Policies
      • Editorial Board
      • Aims and Scope
      • Abstracting and Indexing
      • Bibliographic Information
      • Archive
    • Experimental and Therapeutic Medicine
      • Information for Authors
      • Editorial Policies
      • Editorial Board
      • Aims and Scope
      • Abstracting and Indexing
      • Bibliographic Information
      • Archive
    • International Journal of Epigenetics
      • Information for Authors
      • Editorial Policies
      • Editorial Board
      • Aims and Scope
      • Abstracting and Indexing
      • Bibliographic Information
      • Archive
    • International Journal of Functional Nutrition
      • Information for Authors
      • Editorial Policies
      • Editorial Board
      • Aims and Scope
      • Abstracting and Indexing
      • Bibliographic Information
      • Archive
    • International Journal of Molecular Medicine
      • Information for Authors
      • Editorial Policies
      • Editorial Board
      • Aims and Scope
      • Abstracting and Indexing
      • Bibliographic Information
      • Archive
    • International Journal of Oncology
      • Information for Authors
      • Editorial Policies
      • Editorial Board
      • Aims and Scope
      • Abstracting and Indexing
      • Bibliographic Information
      • Archive
    • Medicine International
      • Information for Authors
      • Editorial Policies
      • Editorial Board
      • Aims and Scope
      • Abstracting and Indexing
      • Bibliographic Information
      • Archive
    • Molecular and Clinical Oncology
      • Information for Authors
      • Editorial Policies
      • Editorial Board
      • Aims and Scope
      • Abstracting and Indexing
      • Bibliographic Information
      • Archive
    • Molecular Medicine Reports
      • Information for Authors
      • Editorial Policies
      • Editorial Board
      • Aims and Scope
      • Abstracting and Indexing
      • Bibliographic Information
      • Archive
    • Oncology Letters
      • Information for Authors
      • Editorial Policies
      • Editorial Board
      • Aims and Scope
      • Abstracting and Indexing
      • Bibliographic Information
      • Archive
    • Oncology Reports
      • Information for Authors
      • Editorial Policies
      • Editorial Board
      • Aims and Scope
      • Abstracting and Indexing
      • Bibliographic Information
      • Archive
    • World Academy of Sciences Journal
      • Information for Authors
      • Editorial Policies
      • Editorial Board
      • Aims and Scope
      • Abstracting and Indexing
      • Bibliographic Information
      • Archive
  • Articles
  • Information
    • For Authors
    • For Reviewers
    • For Librarians
    • For Advertisers
    • Conferences
  • Language Editing
Login Register Submit
  • This site uses cookies
  • You can change your cookie settings at any time by following the instructions in our Cookie Policy. To find out more, you may read our Privacy Policy.

    I agree
Search articles by DOI, keyword, author or affiliation
Search
Advanced Search
presentation
Oncology Letters
Join Editorial Board Propose a Special Issue
Print ISSN: 1792-1074 Online ISSN: 1792-1082
Journal Cover
May-2024 Volume 27 Issue 5

Full Size Image

Sign up for eToc alerts
Recommend to Library

Journals

International Journal of Molecular Medicine

International Journal of Molecular Medicine

International Journal of Molecular Medicine is an international journal devoted to molecular mechanisms of human disease.

International Journal of Oncology

International Journal of Oncology

International Journal of Oncology is an international journal devoted to oncology research and cancer treatment.

Molecular Medicine Reports

Molecular Medicine Reports

Covers molecular medicine topics such as pharmacology, pathology, genetics, neuroscience, infectious diseases, molecular cardiology, and molecular surgery.

Oncology Reports

Oncology Reports

Oncology Reports is an international journal devoted to fundamental and applied research in Oncology.

Experimental and Therapeutic Medicine

Experimental and Therapeutic Medicine

Experimental and Therapeutic Medicine is an international journal devoted to laboratory and clinical medicine.

Oncology Letters

Oncology Letters

Oncology Letters is an international journal devoted to Experimental and Clinical Oncology.

Biomedical Reports

Biomedical Reports

Explores a wide range of biological and medical fields, including pharmacology, genetics, microbiology, neuroscience, and molecular cardiology.

Molecular and Clinical Oncology

Molecular and Clinical Oncology

International journal addressing all aspects of oncology research, from tumorigenesis and oncogenes to chemotherapy and metastasis.

World Academy of Sciences Journal

World Academy of Sciences Journal

Multidisciplinary open-access journal spanning biochemistry, genetics, neuroscience, environmental health, and synthetic biology.

International Journal of Functional Nutrition

International Journal of Functional Nutrition

Open-access journal combining biochemistry, pharmacology, immunology, and genetics to advance health through functional nutrition.

International Journal of Epigenetics

International Journal of Epigenetics

Publishes open-access research on using epigenetics to advance understanding and treatment of human disease.

Medicine International

Medicine International

An International Open Access Journal Devoted to General Medicine.

Journal Cover
May-2024 Volume 27 Issue 5

Full Size Image

Sign up for eToc alerts
Recommend to Library

  • Article
  • Citations
    • Cite This Article
    • Download Citation
    • Create Citation Alert
    • Remove Citation Alert
    • Cited By
  • Similar Articles
    • Related Articles (in Spandidos Publications)
    • Similar Articles (Google Scholar)
    • Similar Articles (PubMed)
  • Download PDF
  • Download XML
  • View XML
Case Report Open Access

Misdiagnosis of multiple myeloma as postoperative bone metastasis of rectal cancer: A case report and literature review

  • Authors:
    • Yuanqi Huang
    • Zhengquan Chen
    • Kunming Wen
  • View Affiliations / Copyright

    Affiliations: Department of General Surgery, Affiliated Hospital of Zunyi Medical University, Zunyi, Guizhou 563000, P.R. China
    Copyright: © Huang et al. This is an open access article distributed under the terms of Creative Commons Attribution License.
  • Article Number: 208
    |
    Published online on: March 14, 2024
       https://doi.org/10.3892/ol.2024.14341
  • Expand metrics +
Metrics: Total Views: 0 (Spandidos Publications: | PMC Statistics: )
Metrics: Total PDF Downloads: 0 (Spandidos Publications: | PMC Statistics: )
Cited By (CrossRef): 0 citations Loading Articles...

This article is mentioned in:



Abstract

Multiple myeloma (MM) and bone metastases are both common malignant tumors of the skeleton that share similar clinical manifestations and radiological features. The development of MM following rectal cancer surgery is relatively rare in clinical practice and is easily misdiagnosed as bone metastasis. The present study reported on a patient with MM and postoperative rectal cancer. A 65‑year‑old man had been diagnosed with low rectal cancer (poorly differentiated, T3N1M0) 10 years prior and underwent curative treatment at that time. During the 6‑year follow‑up period, no recurrence or metastasis of rectal cancer was detected. The patient was evaluated for bone pain 4 years ago and underwent multiple imaging examinations, including computed tomography (CT), magnetic resonance imaging, emission CT and positron emission tomography/CT at several well‑known hospitals in China. All of these hospitals diagnosed the patient with bone metastasis from rectal cancer, in view of the earlier history. The patient's condition did not show any significant improvement despite treatment for bone metastasis. Subsequently, 3 years ago, the patient underwent surgical treatment at our hospital (Affiliated Hospital of Zunyi Medical University, Zunyi, China) for a hernia near the colostomy site combined with incomplete intestinal obstruction. Post‑operatively, the patient developed a hematoma in the surgical area, along with stubborn anemia and abnormal coagulation function. No improvement was observed with hemostasis and multiple blood transfusions. The bone marrow smear was consistent with MM, with a significant elevation in serum IgA and β2 microglobulin. The patient was ultimately diagnosed with MM (IgA‑λ type), stage III, according to the Durie‑Salmon staging system. The patient's condition improved with treatment for MM. 

Introduction

Colorectal cancer (CRC) is one of the most common malignant tumors worldwide. About 20% of patients with CRC have already distant metastases at presentation (1) and 50% of patients with CRC develop metastatic disease (2). Furthermore, a Norwegian study showed that 15.6% of patients with CRC who were considered surgically cured had recurrent cancers, including distant metastases, during a 5-year follow-up (3). Common sites of metastases from CRC include the liver and lungs, while metachronous bone metastasis (MBM) occurs infrequently (4).

Multiple myeloma (MM) is a neoplastic plasma-cell disorder that is characterized by clonal proliferation of malignant plasma cells in the bone marrow microenvironment, monoclonal protein in the blood or urine, and associated organ dysfunction. It accounts for ~1% of neoplastic diseases and 13% of hematologic cancers (5). Clinical manifestations of MM include bone pain, anemia, bleeding and hypercalcemia. These lesions can affect the spine, ribs, sternum, pelvis and other body parts (6–8).

Multiple primary neoplasms, defined as the presence of two or more histologically distinct neoplasms, are grouped into two large categories, namely synchronous and metachronous neoplasms (9). The two primary tumors of the patient reported in the present study are asynchronous and the medical history of this patient is particularly distinctive. During a 6-year follow-up after rectal cancer surgery, the patient did not experience any bone pain, anemia, proteinuria or abnormalities in coagulation function associated with MM. Prior to hernia surgery, the patient did not have any anemia or coagulation dysfunction. Following hernia surgery near the stoma, the patient developed refractory anemia and coagulation dysfunction. It was hypothesized that, if the patient had not undergone the hernia surgery, refractory anemia and coagulation dysfunction may not have occurred. Bone marrow puncture smear was also not performed to discover MM. Therefore, this case is considered to be unique and worthy of a case report.

Case report

The patient is a 65-year-old male who was diagnosed with rectal cancer in October 2013 at Southwest Hospital (Chongqing, China). The patient underwent laparoscopic abdominoperineal resection (Miles procedure) for rectal cancer at Chongqing Southwest Hospital. It was not possible to obtain postoperative pathological images from the hospital. The postoperative pathological result was poorly differentiated adenocarcinoma (stage T3N1M0) with a moderate risk of recurrence. Following surgery, the patient received standard chemotherapy according to the FOLFOX regimen (oxaliplatin, calcium folinate and 5-fluorouracil). The patient underwent regular follow-ups every year through abdominal computerized tomography (CT), colonoscopy and assessment of serum carcinoembryonic antigen (CEA) levels after surgery. No tumor recurrence or metastasis was observed during the 6-year follow-up period. In addition, in October 2019, the patient visited our hospital (Affiliated Hospital of Zunyi Medical University, Zunyi, China) due to ‘right-sided back pain’. Chest CT revealed bone destruction of the seventh posterior rib on the right side. An emission CT (ECT) was conducted to further evaluate the overall condition. ECT showed increased metabolic activity in the right seventh rib, indicating the possibility of bone metastasis (Fig. 1). Abdominal CT and colonoscopy revealed no local tumor recurrence or peritoneal metastasis, and CEA levels were within the normal range. Based on his medical history, the patient was considered to have developed postoperative bone metastasis from rectal cancer. The patient then sought medical care at Southwest Hospital (Chongqing, China). Spinal magnetic resonance imaging (MRI) was performed at Southwest Hospital, revealing multiple vertebral body lesions involving the thoracic, lumbar and sacral regions, as well as abnormal enhancement in the appendages and bilateral iliac bones. Positron emission tomography (PET)/CT has high specificity and sensitivity; therefore, the patient underwent a PET/CT examination at Southwest Hospital. The sternum, multiple vertebrae and sixth/seventh rib on the right side showed bone destruction and slightly increased glucose metabolism (images not available, as only retrievable by the patient). Clinicians at that hospital also assumed that the patient had developed bone metastasis following rectal cancer treatment. They considered that the previous FOLFOX chemotherapy regimen was effective and its use could be continued.

Figure 1.

First emission computed tomography examination after the onset of bone pain. The increase in bone metabolism in the right 7th posterior rib (arrows) suggest a multiple myeloma lesion. The increase in bone metabolism in the right eighth anterior rib (arrows) suggests a benign lesion.

After clarifying the condition, the patient returned to our hospital for chemotherapy according to the FOLFOX regimen. After six rounds of chemotherapy, the patient's bone pain symptoms did not improve significantly. Follow-up ECT revealed the emergence of a new lesion on the left tenth rib, compared with the pre-chemotherapy image (Fig. 2). Owing to significant bone pain, orthopedic experts recommended using zoledronic acid to inhibit osteoclasts. Although the patient experienced temporary pain relief with this treatment, the pain returned and worsened over time. Subsequently, the patient's treatment was changed to dinozumab and he received eight courses of treatment. However, the patient's bone pain still did not show any significant improvement. Reexamination with ECT (Fig. 3) indicated active bone metabolism in the right seventh posterior rib, left tenth posterior ribs, upper sternum and first lumbar spine.

Figure 2.

After six cycles of chemotherapy with the FOLFOX (oxaliplatin, calcium folinate and 5-fluorouracil) regimen, an ECT examination was performed. Compared with the previous ECT results, an additional left tenth rib lesion was observed, and bone metabolism was increased in the anterior aspect of the left fourth rib, right sixth rib and right eighth rib, suggesting benign lesions (arrows). ECT, emission computed tomography.

Figure 3.

One year after the onset of bone pain, ECT was performed, indicating active bone metabolism in the right seventh rib (fourth column arrow), upper sternum (third column arrow) and first lumbar spine (second column arrow). Compared with the previous ECT results, new lesions were identified. However, compared with the positron emission tomography/computed tomography results, no new lesions were found, though the local lesions had progressed. ECT, emission computed tomography.

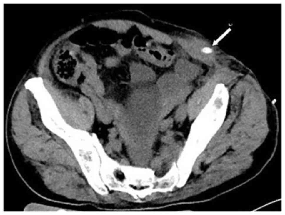
Subsequently, the patient presented with a lump around the colostomy stoma site and intermittent abdominal pain in November 2020. Physical examination revealed a lump measuring ~10×10 cm around the stoma, which did not reduce in size when the patient was lying flat. Abdominal CT (Fig. 4) revealed that the intestinal tube had protruded into the subcutaneous fat layer of the abdomen. Based on the patient's medical history, physical examination (a lump around the colostomy stoma site) and the result of abdominal CT (Fig. 4), a parastomal hernia was suspected. Surgery was the recommended treatment. Routine preoperative blood tests, coagulation function, and liver and kidney functions showed no abnormalities. Parastomal hernia repair surgery was performed using the keyhole technique in November 2020. A relatively soft drainage tube was placed subcutaneously in the surgical area. The patient recovered well after the surgery and was discharged on the third postoperative day without removing the drainage tube. During discharge, the surgical area was not compressed. However, five days after discharge, the patient experienced swelling, pain and bleeding at the surgical site. Abdominal CT showed a hematoma in the surgical area (Fig. 5). After taking hemostatic treatment measures (hemostatic drugs, compression hemostasis), fresh blood still slowly flowed out from the drainage tube. Dynamic reexamination of coagulation function showed that it gradually deteriorated, and the activated partial thromboplastin time was gradually delayed to 60 sec, which was 20 sec longer than normal (reference range, 20–40 sec). The patient had stubborn anemia, and after multiple blood transfusions, no significant increase was identified in hemoglobin, which remained between 45–68 g/l (normal range, 130–175 g/l). A bone marrow biopsy was also performed to investigate the cause of persistent bleeding (Fig. 6). The bone marrow smear was stained using the Wright staining method and 200 cells were counted under a microscope. The results showed abnormal proliferation of plasma cell lines in bone marrow smears, accounting for 35% of total cells, with an immature plasma cell composition accounting for 21.0% of total cells (normal range, 0–0.8%). This result is consistent with the diagnosis of multiple myeloma (10,11). Fig. 6 shows the characteristics of abnormal plasma cells: This type of cell was significantly different in size, with the cell body and nucleus appearing circular, elliptical, ovoid or irregular in shape. The nucleus was misaligned, the chromatin of the nucleus appeared as a granular or loose network and certain cells showed obvious nucleoli. The cytoplasm was rich, stained opaque dark blue and flame-like, with obvious light staining bands around the nucleus. Nodular protrusions and vacuoles were easily observed, while no particles were seen. The morphological features were consistent with those of MM (10). Further testing revealed elevated serum immunoglobulin A (IgA) levels of 76.7 g/l (normal range, 0.82–4.53 g/l) and significantly increased serum β2 microglobulin (β2-microglobulin) levels of 16,205 ng/ml (normal range, 604–2,286 ng/ml). Based on the results of the bone marrow puncture, the bone destruction, anemia and bleeding were attributed to MM. After consultation with a hematologist, the patient was diagnosed with MM (IgA-λ type, Durie-Salmon Stage III). The Durie-Salmon staging system is a classic staging system for MM. The staging criteria for Stage III are as follows: One or more of the following abnormalities must be present: Hemoglobin <8.5 g/dl; serum calcium >12 mg/dl; very high myeloma protein production; IgG peak >7 g/dl; IgA peak >5 g/dl; Bence Jones protein >12 g/24 h; and >3 lytic lesions on bone survey (11). The patient was transferred to the hematology department and was treated with the PCD regimen (bortezomib, cyclophosphamide, dexamethasone), chemotherapy and blood transfusion. The specific dosage of medication is calculated based on the patient's body surface area. One chemotherapy cycle is 4 weeks and this patient received 6 cycles of chemotherapy. Afterwards, the patient received maintenance treatment with bortezomib monotherapy. The seventh rib lesion invaded the surrounding soft tissue, and the interventional department performed an empty needle puncture biopsy on it. The pathological and immunohistochemical results of the puncture tissue are consistent with multiple myeloma (10). The lesion was determined to be plasmacytoma, suggesting involvement of MM (Fig. 7), and the immunohistochemical results were as follows: CD138 (+), CD38 (+), cytokeratin (CK) (−), Ki67 (15%, +), Lambda (+) and MM oncogene 1 (+) (Fig. 8). CK negativity indicated the absence of malignant cells of epithelial origin. The patient's condition gradually improved, with increasing hemoglobin levels, recovering coagulation function, absorption of the hematoma around the stoma (Fig. 9) and alleviation of bone pain. For the past 2 years, the patient has been regularly treated in the hematology department and the progression of the MM has been slow (Figs. 10 and 11). Fig. 10 is a PET/CT image of the patient diagnosed with MM one year later. The arrows in Fig. 10 indicate the metabolic status of the lesionsin the right seventh posterior rib, upper sternum, and first lumbar spine. The increased metabolism of these three main lesions is consistent with the manifestation of MM. In Fig. 11, row A represents the situation of lesion in the upper sternum at different time-points; row B shows the situation of lesion in the upper sternum at different time-points; and row C shows the situation of lesion in the upper sternum at different time-points. The arrows in Fig. 11Aa, Ba and Ca refer to the lesions of the upper sternum, the seventh rib on the right side and the first lumbar vertebra when MM was diagnosed. Fig. 11Ab-Cb shows the respective lesions 1 year after the diagnosis of MM and Fig. 11Ac-Cc shows them at 2 years after the diagnosis of MM. After comparison, the progression of these three lesions was not obvious. After treatment, the soft tissue mass around the lesion of the right seventh rib gradually became smaller. The patient has not experienced any worsening bone pain symptoms since being diagnosed with MM. The patient has been regularly visiting the hematology outpatient department. During the follow-up period, the patient's blood routine, coagulation function and serum immunoglobulin are being tested every two months, and chest CT and spinal CT examinations conducted every 6 months. During follow-up, there has been occasional mild anemia but no coagulation abnormalities.

Figure 4.

Periostomy hernia. Abdominal computed tomography indicated a visible intestinal canal protruding into the subcutaneous fat layer (arrows).

Figure 5.

Hematoma in the surgical area with a visible drainage tube in the surgical area (the large arrow represents a hematoma and the small arrow represents a drainage tube).

Figure 6.

Image of bone marrow puncture smear (magnification, ×1,000). Abnormal proliferation of plasma cell lines; plasma cells vary in size; nuclear translocation; plasma cells are circular, elliptical or irregularly shaped; the cytoplasm is blue and the nucleus is deep purple; perinuclear light staining; erythrocyte rouleaux formation.

Figure 7.

Pathological image of pleural lesion (magnification, ×400; hematoxylin and eosin stain).

Figure 8.

Immunohistochemistry results. (A) Cytokeratin (−); (B) CD38 (+); (C) CD138 (+); (D) Lambda (+); (E) multiple myeloma oncogene 1 (+); (F) Ki67 (15%, +) (magnification, ×200).

Figure 9.

After the diagnosis of multiple myeloma and treatment, the hematoma (arrow) was significantly absorbed.

Figure 10.

Positron emission tomography/computed tomography examination after 1 year of diagnosis of multiple myeloma. The upper sternum, right seventh rib and first lumbar spine still have obvious lesions (arrows).

Figure 11.

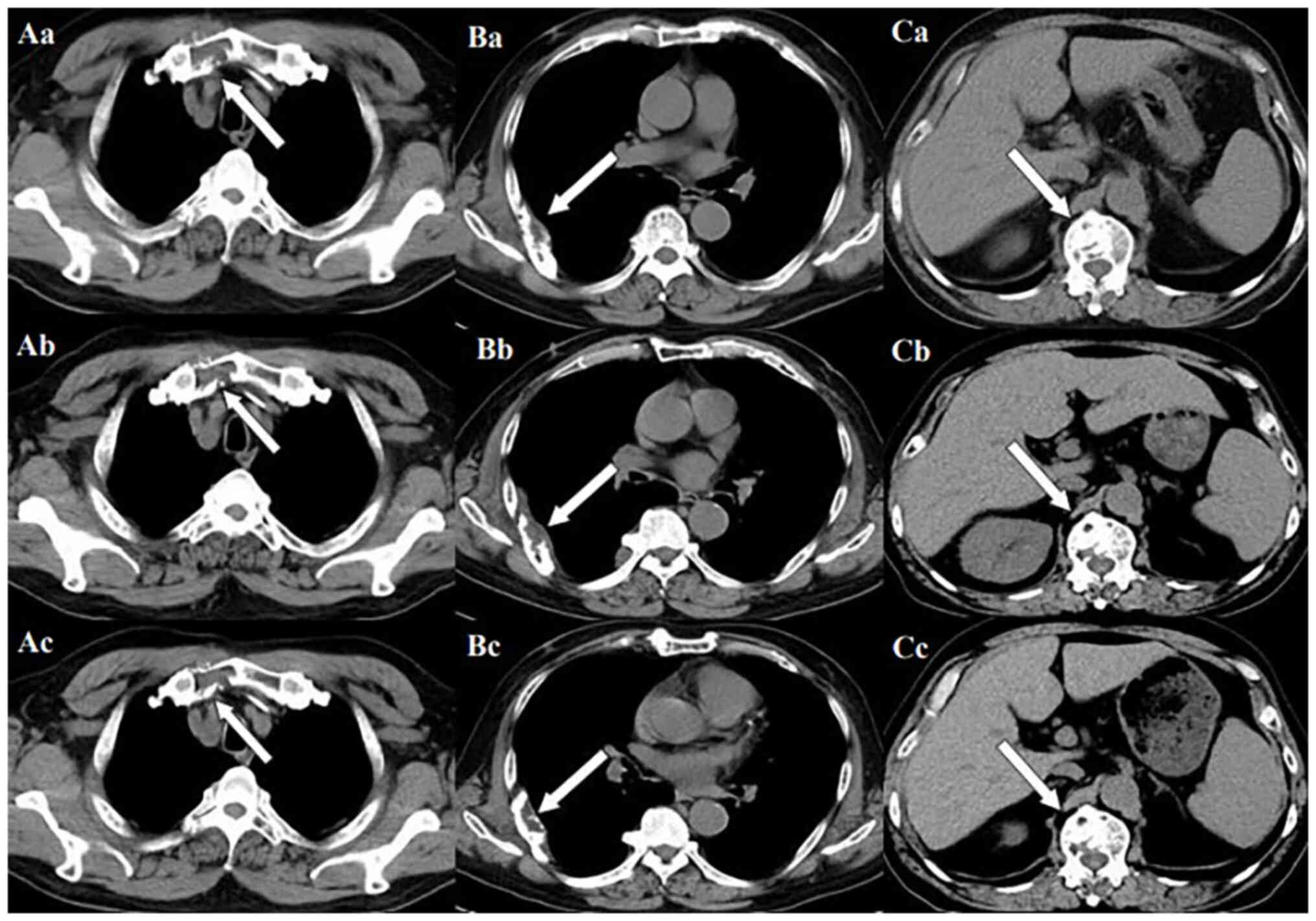
Images of lesions at different stages after diagnosis of MM. (Aa-Ca) Lesion images at the time of diagnosis of MM. The arrows refer to the lesions of (Aa) the upper sternum, (Ba) the seventh rib on the right side and (Ca) the first lumbar vertebra when MM was diagnosed. (Ab-Cb) Local lesions diagnosed as MM after 1 year of treatment. (Ac-Cc) Local lesions diagnosed as MM after 2 years of treatment. MM, multiple myeloma.

Discussion

Based on the case data, the patient of the present study developed bone pain and was eventually diagnosed with MM within 1 year (from October 2019 to November 2020). The patient's condition did not worsen significantly and he received timely, specialized treatment. We used the search term ‘multiple myeloma and colorectal cancer’ in the PubMed database and two relevant case reports were found. The first report documented a patient who was diagnosed with MM shortly after undergoing CRC surgery (12). The authors proposed that both primary tumors existed simultaneously. The second case report described a patient with MM who, during the course of treatment, was found to have colon adenocarcinoma due to abdominal pain and melena (13). Owing to the unique nature of this case, it was chosen to report it and analyze the reason behind the initial misdiagnosis.

First, on analyzing the characteristics of the two diseases, MM without specific manifestations was found to be similar to bone metastasis. MM is a disease characterized by clonal proliferation of malignant plasma cells in the bone marrow microenvironment. It accounts for ~1% of tumors and 13% of hematological cancers (5,14). Clinical manifestations of MM include bone pain, anemia, bleeding and hypercalcemia. These lesions can affect the spine, ribs, sternum, pelvis and other body parts (6–8). Bone metastasis often leads to bone diseases, commonly referred to as skeletal-related events. Common clinical manifestations include bone pain, pathological fractures and hypercalcemia (15). The bone is a common site of metastasis of CRC, besides the liver and lungs, accounting for ~3–7% of postoperative bone metastasis in CRC (16). Rectal cancer is a risk factor for bone metastasis and previous studies found that bone metastasis of rectal cancer is more common than that of colon cancer (16,17). The most common clinical manifestations of bone metastasis of CRC are pain at the site of tumor invasion and pathological fractures, and it may be accompanied by symptoms of nerve compression (18–20).

In addition to the clinical manifestations, the imaging features of MM and CRC bone metastases are similar, with both showing osteolytic destruction. CT, MRI and ECT are important methods for diagnosing bone metastasis of CRC, as they can detect bone metastases (21). In the present case, MRI showed abnormal enhancement of multiple vertebral bodies, appendages and bilateral iliac bones in the thoracolumbar and sacral vertebrae. Multiple ECT examinations indicated an abnormal increase in bone metabolism. PET/CT has better specificity and sensitivity for detecting metastatic tumors than ECT and can evaluate the overall metastasis to help in the staging of tumors (22,23). In the present case, PET/CT showed bone destruction in the sternum, multiple vertebrae, and right sixth and seventh ribs, with slightly increased glucose metabolism. No lesions, other than those in the bone, were observed. Bone metastases, primary bone tumors and MM are all associated with bone destruction. However, no other suspicious lesions were found during PET/CT imaging in this patient. Relying solely on imaging results and clinical symptoms may not provide definitive evidence to differentiate between these two conditions, so it may be necessary to perform invasive methods such as bone marrow aspiration and biopsy of pathological tissues to establish an accurate diagnosis. This can help avoid misdiagnosis and ensure appropriate management and treatment for the patient. The bone marrow smear showed abnormal proliferation of plasma cells, morphologically consistent with MM. The biopsy of the lesion indicated plasmacytoma, suggesting the involvement of MM.

Analysis of the possibility of simple bone metastasis after radical resection of rectal cancer is crucial for accurate diagnosis. The present patient underwent regular follow-up for 6 years after radical treatment and all follow-up indicators were normal. However, multiple skeletal abnormalities were discovered 7 years after treatment. The first consideration is the possibility of distant metastasis in patients with rectal cancer who have been well followed up for several years without local recurrence. Bone metastasis is relatively rare in CRC and accounts for only 1% of all bone metastases. Cases of bone metastases without evidence of visceral (lung or liver) metastases are even rarer (24). Kanthan et al (25) reviewed patients with rectal cancer who had been treated for 25 years. Among 137 patients with bone metastases, only 1% had bone metastases without local recurrence or visceral (liver and lung) metastases (25). Bone is not the main site of metastasis in rectal cancer and CRC is not a common source of bone metastases (16,26). A retrospective study of 516 patients with CRC found that the incidence rate of metachronous bone metastasis was 6.0% and the median time of occurrence was 15 months (range, 1–89 months). Bone metastasis occurred more often after rectal cancer surgery than after colon cancer surgery. Tumor location (P=0.039) and lymph node involvement (P=0.003) were independent risk factors for metachronous bone metastasis (4). The median interval between initial treatment of CRC and metachronous diagnosis of bone metastasis is 20.0 months (interquartile range, 9.0–46.5 months) (27). There are even case reports of local recurrence and bone metastasis in the 10th year after colon cancer surgery (28). Another study showed that, compared with synchronous bone metastases from CRC, metachronous bone metastases are more likely to have multiple bone metastases (63.0 vs. 7.9%; P<0.001) and originate from rectal cancer (60.9 vs. 41.3%; P=0.033) (29). In summary, patients with rectal cancer and good follow-up may experience metachronous bone metastasis several years after surgery and multiple bone metastases may also occur.

Based on the above analysis, the patient of the current study mainly presented with bone pain and destruction, which are highly similar to the symptoms of MM without specific manifestations. Although the incidence of metachronous bone metastasis after radical resection of rectal cancer is relatively low, a patient's diagnosis of postoperative bone metastasis at multiple hospitals may be reasonable. The diagnosis of MM in this patient was reached incidentally. When the patient underwent surgical treatment for a hernia near the colostomy stoma at our hospital 3 years earlier, no abnormalities were observed in the preoperative blood routine parameters, coagulation function, liver function, kidney function or urine routine parameters. Postoperative hematoma around the stoma, persistent anemia and abnormal coagulation function were observed. To clarify the cause of the abnormal coagulation function, a bone marrow puncture was performed, which led to the diagnosis of MM. If the patient had not undergone this surgery, the diagnosis may have remained elusive, and he may have continued to be misdiagnosed with postoperative bone metastasis from rectal cancer, potentially leading to a delay in addressing the patient's condition.

Delay in diagnosis can potentially lead to tumor progression, bringing a greater physical burden to the patient, such as worsening pain and organ dysfunction. If the disease progresses rapidly, this may result in changes and limitations to the treatment options, as well as potentially reducing the success rate of treatment and the patients' survival rate. Patients who experience delayed diagnosis may face prolonged uncertainty and anxiety, which can have a negative impact on their mental well-being.

During the 10-year follow-up period after surgery for rectal cancer, regular monitoring was conducted, including regular evaluations of digestive system tumor markers (CEA, CA199), abdominal CT scans and colonoscopies, all of which did not reveal any abnormalities. The prognosis for rectal cancer in this patient was relatively favorable, with a low probability of recurrence. Before 2000, the median overall survival of MM was close to 30 months, but now the median overall survival can exceed 10 years (30). This patient had been receiving standardized treatment since the diagnosis of MM, and to date, 4 years have passed with slow disease progression.

The misdiagnosis of the patient of the present was unlikely to have occurred due to the characteristics of the case. However, the phenomenon of misdiagnosis remains widespread. The attending doctors from multiple hospitals unanimously thought that the patient had bone metastasis after rectal cancer surgery, and imaging experts from these hospitals considered the possibility of bone metastatic tumors when drafting their reports. Therefore, the diagnosis and treatment of multiple primary tumors should be taken seriously. Because errors in cancer diagnosis may be the most harmful type of diagnostic error, they are increasingly being valued (31). Diagnostic errors, defined as omissions, delays or misdiagnoses, are common causes of medical errors in the US (32). Various factors can lead to these errors, depending on the specific types of cancer. Raab and Grzybicki (33) found that diagnostic errors are related to five areas of complex healthcare systems: Doctor-patient contact in clinical settings, diagnostic testing or program performance, pathological diagnosis, patient follow-up or examination results, and patient-related delays. One study found that ~4% of abnormal imaging results were missed when evaluating results in a computerized test result notification system; among them, the vast majority involved the diagnosis of potential new malignant tumors (34).

In conclusion, challenges remain when distinguishing between metachronous bone metastases and MM in patients radically treated for rectal cancer with good long-term follow-up, making these patients prone to misdiagnosis. The risk of misdiagnosis is higher in patients with MM who lack clear clinical manifestations. If no increase in digestive tract tumor markers is identified, but multiple bone destructions are observed during long-term follow-up after rectal cancer surgery, clinicians should routinely perform differential diagnoses of the lesions. The lesions may be primary bone tumors, bone metastases or MM. Primary bone tumors discovered in the short term are usually solitary, so in this scenario, differentiation between bone metastases and MM is crucial. Diagnosis requires bone marrow smears or pathological examination of the lesion tissue. Meanwhile, with an increasing number of reports on multifocal primary tumors, clinicians can accumulate experience and refer to the literature to enhance vigilance for suspicious cases and minimize the risk of misdiagnosis.

Acknowledgements

Not applicable.

Funding

Funding: No funding was received.

Availability of data and materials

The data generated in the present case report may be requested from the corresponding author.

Authors' contributions

YH and ZC collected image materials from the hospital's information, pathology and hematology departments. YH, ZC and KW acquired and interpreted the clinical data, drafted and revised the manuscript and confirmed the authenticity of all the raw data. All authors have read and approved the final manuscript.

Ethics approval and consent to participate

Not applicable.

Patient consent for publication

Written informed consent was obtained from the patient for publication of the case report and accompanying images.

Competing interests

The authors declare that they have no competing interests.

References

1 

Siegel RL, Miller KD and Jemal A: Cancer statistics, 2015. CA Cancer J Clin. 65:5–29. 2015. View Article : Google Scholar : PubMed/NCBI

2 

Nielsen DL, Palshof JA, Larsen FO, Jensen BV and Pfeiffer P: A systematic review of salvage therapy to patients with metastatic colorectal cancer previously treated with fluorouracil, oxaliplatin and irinotecan +/- targeted therapy. Cancer Treat Rev. 40:701–715. 2014. View Article : Google Scholar : PubMed/NCBI

3 

Augestad KM, Bakaki PM, Rose J, Crawshaw BP, Lindsetmo RO, Dørum LM, Koroukian SM and Delaney CP: Metastatic spread pattern after curative colorectal cancer surgery. A retrospective, longitudinal analysis. Cancer Epidemiol. 39:734–744. 2015. View Article : Google Scholar : PubMed/NCBI

4 

Sun C, Deng Y, Zhou H and Hu ZQ: Risk factors for the development of metachronous bone metastasis in colorectal cancer patients after curative resection. Int J Surg. 21:145–149. 2015. View Article : Google Scholar : PubMed/NCBI

5 

Kyle RA and Rajkumar SV: Multiple myeloma. N Engl J Med. 351:1860–1873. 2004. View Article : Google Scholar : PubMed/NCBI

6 

Alzrigat M, Párraga AA and Jernberg-Wiklund H: Epigenetics in multiple myeloma: From mechanisms to therapy. Semin Cancer Biol. 51:101–115. 2018. View Article : Google Scholar : PubMed/NCBI

7 

Durie BG, Harousseau JL, Miguel JS, Bladé J, Barlogie B, Anderson K, Gertz M, Dimopoulos M, Westin J, Sonneveld P, et al: International uniform response criteria for multiple myeloma. Leukemia. 20:1467–1473. 2006. View Article : Google Scholar : PubMed/NCBI

8 

Kyle RA and Rajkumar SV: Criteria for diagnosis, staging, risk stratification and response assessment of multiple myeloma. Leukemia. 23:3–9. 2009. View Article : Google Scholar : PubMed/NCBI

9 

Zhai C, Cai Y, Lou F, Liu Z, Xie J, Zhou X, Wang Z, Fang Y, Pan H and Han W: Multiple primary malignant tumors-a clinical analysis of 15,321 patients with malignancies at a single center in China. J Cancer. 9:2795–2801. 2018. View Article : Google Scholar : PubMed/NCBI

10 

San Miguel JF, Gutiérrez NC, Mateo G and Orfao A: Conventional diagnostics in multiple myeloma. Eur J Cancer. 42:1510–1519. 2006. View Article : Google Scholar : PubMed/NCBI

11 

Katzel JA, Hari P and Vesole DH: Multiple myeloma: Charging toward a bright future. CA Cancer J Clin. 57:301–318. 2007. View Article : Google Scholar : PubMed/NCBI

12 

Li QL, Ma JA, Li HP, Huang RB, Hu CH, Liu XL, Gao YW, Feng GH and Wu F: Synchronous colorectal cancer and multiple myeloma with chest wall involvement: Is this a coincidence? Curr Probl Cancer. 41:413–418. 2017. View Article : Google Scholar : PubMed/NCBI

13 

Kou CJ, Romain J, Broadwater DR and Barnett T: Colorectal cancer in a patient with multiple myeloma: A treatment Dilemma. Cureus. 12:e121122020.PubMed/NCBI

14 

Palumbo A and Anderson K: Multiple myeloma. N Engl J Med. 364:1046–1060. 2011. View Article : Google Scholar : PubMed/NCBI

15 

von Moos R, Costa L, Gonzalez-Suarez E, Terpos E, Niepel D and Body JJ: Management of bone health in solid tumours: From bisphosphonates to a monoclonal antibody. Cancer Treat Rev. 76:57–67. 2019. View Article : Google Scholar : PubMed/NCBI

16 

Christensen TD, Jensen SG, Larsen FO and Nielsen DL: Systematic review: Incidence, risk factors, survival and treatment of bone metastases from colorectal cancer. J Bone Oncol. 13:97–105. 2018. View Article : Google Scholar : PubMed/NCBI

17 

Zhenghong and Zihua Z: Guoweijian, Zhangning, Caiyunyun, Yingjiangshan and Xiaomi: Retrospective study of predictors of bone metastasis in colorectal cancer patients. J Bone Oncol. 9:25–28. 2017. View Article : Google Scholar : PubMed/NCBI

18 

Ferlay J, Soerjomataram I, Dikshit R, Eser S, Mathers C, Rebelo M, Parkin DM, Forman D and Bray F: Cancer incidence and mortality worldwide: Sources, methods and major patterns in GLOBOCAN 2012. Int J Cancer. 136:E359–E386. 2015. View Article : Google Scholar : PubMed/NCBI

19 

Sundermeyer ML, Meropol NJ, Rogatko A, Wang H and Cohen SJ: Changing patterns of bone and brain metastases in patients with colorectal cancer. Clin Colorectal Cancer. 5:108–113. 2005. View Article : Google Scholar : PubMed/NCBI

20 

Santini D, Tampellini M, Vincenzi B, Ibrahim T, Ortega C, Virzi V, Silvestris N, Berardi R, Masini C, Calipari N, et al: Natural history of bone metastasis in colorectal cancer: Final results of a large Italian bone metastases study. Ann Oncol. 23:2072–2077. 2012. View Article : Google Scholar : PubMed/NCBI

21 

Coleman RE, Croucher PI, Padhani AR, Clézardin P, Chow E, Fallon M, Guise T, Colangeli S, Capanna R and Costa L: Bone metastases. Nat Rev Dis Primers. 6:832020. View Article : Google Scholar : PubMed/NCBI

22 

von Eyben FE and Kairemo K: Meta-analysis of (11)C-choline and (18)F-choline PET/CT for management of patients with prostate cancer. Nucl Med Commun. 35:221–230. 2014. View Article : Google Scholar : PubMed/NCBI

23 

Wondergem M, van der Zant FM, van der Ploeg T and Knol RJ: A literature review of 18F-fluoride PET/CT and 18F-choline or 11C-choline PET/CT for detection of bone metastases in patients with prostate cancer. Nucl Med Commun. 34:935–945. 2013. View Article : Google Scholar : PubMed/NCBI

24 

Connelly TM, Piggott RP, Waldron RM and O'Grady P: Unusual osseous metastases from rectal adenocarcinoma: A case report and review of the literature. J Gastrointest Surg. 19:1177–1186. 2015. View Article : Google Scholar : PubMed/NCBI

25 

Kanthan R, Loewy J and Kanthan SC: Skeletal metastases in colorectal carcinomas: A Saskatchewan profile. Dis Colon Rectum. 42:1592–1597. 1999. View Article : Google Scholar : PubMed/NCBI

26 

Coleman RE: Clinical features of metastatic bone disease and risk of skeletal morbidity. Clin Cancer Res. 12:6243s–6249s. 2006. View Article : Google Scholar : PubMed/NCBI

27 

Kawamura H, Yamaguchi T, Yano Y, Hozumi T, Takaki Y, Matsumoto H, Nakano D and Takahashi K: Characteristics and prognostic factors of bone metastasis in patients with colorectal cancer. Dis Colon Rectum. 61:673–678. 2018. View Article : Google Scholar : PubMed/NCBI

28 

Assi R, Mukherji D, Haydar A, Saroufim M, Temraz S and Shamseddine A: Metastatic colorectal cancer presenting with bone marrow metastasis: A case series and review of literature. J Gastrointest Oncol. 7:284–297. 2016.PubMed/NCBI

29 

Ma CX, Guan X, Wei R, Wang S, Quan JC, Zhao ZX, Chen HP, Liu Z, Jiang Z and Wang XS: The distinction of clinicopathological characteristics, treatment strategy and outcome in colorectal cancer patients with synchronous vs. Metachronous bone metastasis. Front Oncol. 10:9742020. View Article : Google Scholar : PubMed/NCBI

30 

Cowan AJ, Green DJ, Kwok M, Lee S, Coffey DG, Holmberg LA, Tuazon S, Gopal AK and Libby EN: Diagnosis and management of multiple myeloma: A review. JAMA. 327:464–477. 2022. View Article : Google Scholar : PubMed/NCBI

31 

Singh H, Sethi S, Raber M and Petersen LA: Errors in cancer diagnosis: Current understanding and future directions. J Clin Oncol. 25:5009–5018. 2007. View Article : Google Scholar : PubMed/NCBI

32 

Phillips RL Jr, Bartholomew LA, Dovey SM, Fryer GE Jr, Miyoshi TJ and Green LA: Learning from malpractice claims about negligent, adverse events in primary care in the United States. Qual Saf Health Care. 13:121–126. 2004. View Article : Google Scholar : PubMed/NCBI

33 

Raab SS and Grzybicki DM: Quality in cancer diagnosis. CA Cancer J Clin. 60:139–165. 2010. View Article : Google Scholar : PubMed/NCBI

34 

Singh H, Arora HS, Vij MS, Rao R, Khan MM and Petersen LA: Communication outcomes of critical imaging results in a computerized notification system. J Am Med Inform Assoc. 14:459–466. 2007. View Article : Google Scholar : PubMed/NCBI

Related Articles

  • Abstract
  • View
  • Download
  • Twitter
Copy and paste a formatted citation
Spandidos Publications style
Huang Y, Chen Z and Wen K: Misdiagnosis of multiple myeloma as postoperative bone metastasis of rectal cancer: A case report and literature review. Oncol Lett 27: 208, 2024.
APA
Huang, Y., Chen, Z., & Wen, K. (2024). Misdiagnosis of multiple myeloma as postoperative bone metastasis of rectal cancer: A case report and literature review. Oncology Letters, 27, 208. https://doi.org/10.3892/ol.2024.14341
MLA
Huang, Y., Chen, Z., Wen, K."Misdiagnosis of multiple myeloma as postoperative bone metastasis of rectal cancer: A case report and literature review". Oncology Letters 27.5 (2024): 208.
Chicago
Huang, Y., Chen, Z., Wen, K."Misdiagnosis of multiple myeloma as postoperative bone metastasis of rectal cancer: A case report and literature review". Oncology Letters 27, no. 5 (2024): 208. https://doi.org/10.3892/ol.2024.14341
Copy and paste a formatted citation
x
Spandidos Publications style
Huang Y, Chen Z and Wen K: Misdiagnosis of multiple myeloma as postoperative bone metastasis of rectal cancer: A case report and literature review. Oncol Lett 27: 208, 2024.
APA
Huang, Y., Chen, Z., & Wen, K. (2024). Misdiagnosis of multiple myeloma as postoperative bone metastasis of rectal cancer: A case report and literature review. Oncology Letters, 27, 208. https://doi.org/10.3892/ol.2024.14341
MLA
Huang, Y., Chen, Z., Wen, K."Misdiagnosis of multiple myeloma as postoperative bone metastasis of rectal cancer: A case report and literature review". Oncology Letters 27.5 (2024): 208.
Chicago
Huang, Y., Chen, Z., Wen, K."Misdiagnosis of multiple myeloma as postoperative bone metastasis of rectal cancer: A case report and literature review". Oncology Letters 27, no. 5 (2024): 208. https://doi.org/10.3892/ol.2024.14341
Follow us
  • Twitter
  • LinkedIn
  • Facebook
About
  • Spandidos Publications
  • Careers
  • Cookie Policy
  • Privacy Policy
How can we help?
  • Help
  • Live Chat
  • Contact
  • Email to our Support Team