Spandidos Publications Logo
  • About
    • About Spandidos
    • Aims and Scopes
    • Abstracting and Indexing
    • Editorial Policies
    • Reprints and Permissions
    • Job Opportunities
    • Terms and Conditions
    • Contact
  • Journals
    • All Journals
    • Oncology Letters
      • Oncology Letters
      • Information for Authors
      • Editorial Policies
      • Editorial Board
      • Aims and Scope
      • Abstracting and Indexing
      • Bibliographic Information
      • Archive
    • International Journal of Oncology
      • International Journal of Oncology
      • Information for Authors
      • Editorial Policies
      • Editorial Board
      • Aims and Scope
      • Abstracting and Indexing
      • Bibliographic Information
      • Archive
    • Molecular and Clinical Oncology
      • Molecular and Clinical Oncology
      • Information for Authors
      • Editorial Policies
      • Editorial Board
      • Aims and Scope
      • Abstracting and Indexing
      • Bibliographic Information
      • Archive
    • Experimental and Therapeutic Medicine
      • Experimental and Therapeutic Medicine
      • Information for Authors
      • Editorial Policies
      • Editorial Board
      • Aims and Scope
      • Abstracting and Indexing
      • Bibliographic Information
      • Archive
    • International Journal of Molecular Medicine
      • International Journal of Molecular Medicine
      • Information for Authors
      • Editorial Policies
      • Editorial Board
      • Aims and Scope
      • Abstracting and Indexing
      • Bibliographic Information
      • Archive
    • Biomedical Reports
      • Biomedical Reports
      • Information for Authors
      • Editorial Policies
      • Editorial Board
      • Aims and Scope
      • Abstracting and Indexing
      • Bibliographic Information
      • Archive
    • Oncology Reports
      • Oncology Reports
      • Information for Authors
      • Editorial Policies
      • Editorial Board
      • Aims and Scope
      • Abstracting and Indexing
      • Bibliographic Information
      • Archive
    • Molecular Medicine Reports
      • Molecular Medicine Reports
      • Information for Authors
      • Editorial Policies
      • Editorial Board
      • Aims and Scope
      • Abstracting and Indexing
      • Bibliographic Information
      • Archive
    • World Academy of Sciences Journal
      • World Academy of Sciences Journal
      • Information for Authors
      • Editorial Policies
      • Editorial Board
      • Aims and Scope
      • Abstracting and Indexing
      • Bibliographic Information
      • Archive
    • International Journal of Functional Nutrition
      • International Journal of Functional Nutrition
      • Information for Authors
      • Editorial Policies
      • Editorial Board
      • Aims and Scope
      • Abstracting and Indexing
      • Bibliographic Information
      • Archive
    • International Journal of Epigenetics
      • International Journal of Epigenetics
      • Information for Authors
      • Editorial Policies
      • Editorial Board
      • Aims and Scope
      • Abstracting and Indexing
      • Bibliographic Information
      • Archive
    • Medicine International
      • Medicine International
      • Information for Authors
      • Editorial Policies
      • Editorial Board
      • Aims and Scope
      • Abstracting and Indexing
      • Bibliographic Information
      • Archive
  • Articles
  • Information
    • Information for Authors
    • Information for Reviewers
    • Information for Librarians
    • Information for Advertisers
    • Conferences
  • Language Editing
Spandidos Publications Logo
  • About
    • About Spandidos
    • Aims and Scopes
    • Abstracting and Indexing
    • Editorial Policies
    • Reprints and Permissions
    • Job Opportunities
    • Terms and Conditions
    • Contact
  • Journals
    • All Journals
    • Biomedical Reports
      • Information for Authors
      • Editorial Policies
      • Editorial Board
      • Aims and Scope
      • Abstracting and Indexing
      • Bibliographic Information
      • Archive
    • Experimental and Therapeutic Medicine
      • Information for Authors
      • Editorial Policies
      • Editorial Board
      • Aims and Scope
      • Abstracting and Indexing
      • Bibliographic Information
      • Archive
    • International Journal of Epigenetics
      • Information for Authors
      • Editorial Policies
      • Editorial Board
      • Aims and Scope
      • Abstracting and Indexing
      • Bibliographic Information
      • Archive
    • International Journal of Functional Nutrition
      • Information for Authors
      • Editorial Policies
      • Editorial Board
      • Aims and Scope
      • Abstracting and Indexing
      • Bibliographic Information
      • Archive
    • International Journal of Molecular Medicine
      • Information for Authors
      • Editorial Policies
      • Editorial Board
      • Aims and Scope
      • Abstracting and Indexing
      • Bibliographic Information
      • Archive
    • International Journal of Oncology
      • Information for Authors
      • Editorial Policies
      • Editorial Board
      • Aims and Scope
      • Abstracting and Indexing
      • Bibliographic Information
      • Archive
    • Medicine International
      • Information for Authors
      • Editorial Policies
      • Editorial Board
      • Aims and Scope
      • Abstracting and Indexing
      • Bibliographic Information
      • Archive
    • Molecular and Clinical Oncology
      • Information for Authors
      • Editorial Policies
      • Editorial Board
      • Aims and Scope
      • Abstracting and Indexing
      • Bibliographic Information
      • Archive
    • Molecular Medicine Reports
      • Information for Authors
      • Editorial Policies
      • Editorial Board
      • Aims and Scope
      • Abstracting and Indexing
      • Bibliographic Information
      • Archive
    • Oncology Letters
      • Information for Authors
      • Editorial Policies
      • Editorial Board
      • Aims and Scope
      • Abstracting and Indexing
      • Bibliographic Information
      • Archive
    • Oncology Reports
      • Information for Authors
      • Editorial Policies
      • Editorial Board
      • Aims and Scope
      • Abstracting and Indexing
      • Bibliographic Information
      • Archive
    • World Academy of Sciences Journal
      • Information for Authors
      • Editorial Policies
      • Editorial Board
      • Aims and Scope
      • Abstracting and Indexing
      • Bibliographic Information
      • Archive
  • Articles
  • Information
    • For Authors
    • For Reviewers
    • For Librarians
    • For Advertisers
    • Conferences
  • Language Editing
Login Register Submit
  • This site uses cookies
  • You can change your cookie settings at any time by following the instructions in our Cookie Policy. To find out more, you may read our Privacy Policy.

    I agree
Search articles by DOI, keyword, author or affiliation
Search
Advanced Search
presentation
Oncology Letters
Join Editorial Board Propose a Special Issue
Print ISSN: 1792-1074 Online ISSN: 1792-1082
Journal Cover
August-2024 Volume 28 Issue 2

Full Size Image

Sign up for eToc alerts
Recommend to Library

Journals

International Journal of Molecular Medicine

International Journal of Molecular Medicine

International Journal of Molecular Medicine is an international journal devoted to molecular mechanisms of human disease.

International Journal of Oncology

International Journal of Oncology

International Journal of Oncology is an international journal devoted to oncology research and cancer treatment.

Molecular Medicine Reports

Molecular Medicine Reports

Covers molecular medicine topics such as pharmacology, pathology, genetics, neuroscience, infectious diseases, molecular cardiology, and molecular surgery.

Oncology Reports

Oncology Reports

Oncology Reports is an international journal devoted to fundamental and applied research in Oncology.

Experimental and Therapeutic Medicine

Experimental and Therapeutic Medicine

Experimental and Therapeutic Medicine is an international journal devoted to laboratory and clinical medicine.

Oncology Letters

Oncology Letters

Oncology Letters is an international journal devoted to Experimental and Clinical Oncology.

Biomedical Reports

Biomedical Reports

Explores a wide range of biological and medical fields, including pharmacology, genetics, microbiology, neuroscience, and molecular cardiology.

Molecular and Clinical Oncology

Molecular and Clinical Oncology

International journal addressing all aspects of oncology research, from tumorigenesis and oncogenes to chemotherapy and metastasis.

World Academy of Sciences Journal

World Academy of Sciences Journal

Multidisciplinary open-access journal spanning biochemistry, genetics, neuroscience, environmental health, and synthetic biology.

International Journal of Functional Nutrition

International Journal of Functional Nutrition

Open-access journal combining biochemistry, pharmacology, immunology, and genetics to advance health through functional nutrition.

International Journal of Epigenetics

International Journal of Epigenetics

Publishes open-access research on using epigenetics to advance understanding and treatment of human disease.

Medicine International

Medicine International

An International Open Access Journal Devoted to General Medicine.

Journal Cover
August-2024 Volume 28 Issue 2

Full Size Image

Sign up for eToc alerts
Recommend to Library

  • Article
  • Citations
    • Cite This Article
    • Download Citation
    • Create Citation Alert
    • Remove Citation Alert
    • Cited By
  • Similar Articles
    • Related Articles (in Spandidos Publications)
    • Similar Articles (Google Scholar)
    • Similar Articles (PubMed)
  • Download PDF
  • Download XML
  • View XML
Case Report Open Access

Multiple metastases of human epidermal growth factor receptor 2‑positive, hormone receptor‑positive, pT1a pN0 breast cancer within 1 year after surgery: A case report

  • Authors:
    • Takafumi Suzuki
    • Takahiro Einama
    • Miki Takushima
    • Yakumo Araki
    • Katsuyuki Wakamatsu
    • Kazuki Kobayashi
    • Hiroki Ohno
    • Makiko Fukumura‑koga
    • Tamio Yamasaki
    • Hideki Ueno
    • Hitoshi Tsuda
    • Yoji Kishi
  • View Affiliations / Copyright

    Affiliations: Department of Surgery, National Defense Medical College, Tokorozawa, Saitama 359‑8513, Japan, Department of Basic Pathology, National Defense Medical College, Tokorozawa, Saitama 359‑8513, Japan
    Copyright: © Suzuki et al. This is an open access article distributed under the terms of Creative Commons Attribution License.
  • Article Number: 365
    |
    Published online on: June 12, 2024
       https://doi.org/10.3892/ol.2024.14498
  • Expand metrics +
Metrics: Total Views: 0 (Spandidos Publications: | PMC Statistics: )
Metrics: Total PDF Downloads: 0 (Spandidos Publications: | PMC Statistics: )
Cited By (CrossRef): 0 citations Loading Articles...

This article is mentioned in:



Abstract

Adjuvant chemotherapy is usually not considered for pT1a pN0 human epidermal growth factor receptor 2 (HER2)‑positive breast cancer due to its low recurrence rate. The present report describes a case of pT1a hormone receptor‑positive HER2‑positive breast cancer with multiple recurrences in the axillary lymph nodes and liver within 1 year after radical surgery. A 58‑year‑old woman underwent left total mastectomy and sentinel lymph node biopsy for left breast cancer with pathological stage IA (pT1a pN0). The subtype corresponded to luminal B‑like breast cancer with a nuclear grade of 3 and a Ki‑67 labeling index of 37%. An aromatase inhibitor (letrozole) was planned to be administered for 5 years after surgery, but the patient was diagnosed with multiple liver and axillary lymph node metastases 11 months after surgery. After 1 year of chemotherapy (paclitaxel) in combination with anti‑HER2 therapy (pertuzumab and trastuzumab), liver metastases resolved. A complete response of the liver lesion has been maintained 4 years after the anti‑HER2 therapy initiation. The present case exhibited two poor prognostic factors: High Ki‑67 labeling index and nuclear grade 3. Based on the ‘Predict’ tool, the present case would be expected to have a cancer‑related mortality rate of 6% 10 years after surgery with adjuvant endocrine therapy. Although this value may be controversial for postoperative anti‑HER2 therapy, the present case should not be considered to be a low‑risk case. When the identification of high‑risk pT1a pN0 HER2‑positive breast cancer is possible, postoperative anti‑HER2 therapy plus chemotherapy would be effective in decreasing the rate of recurrence.

Introduction

Human epidermal growth factor receptor 2 (HER2) overexpression is not only an independent poor prognostic factor (1) but also a biomarker for guiding the use of trastuzumab-based anti-HER2 systemic therapy in operable primary breast cancer. Trastuzumab-based anti-HER2 therapy is the first option for node-negative (pN0), HER2-overexpressing breast cancer with an invasive size >1 cm (2). Although in the APT trial, among patients with small (≤3 cm), negative nodes, and HER2-positive breast cancer that received adjuvant paclitaxel and trastuzumab, the 7-year DFS of hormone receptor (HR) negative tumors was worse than that of positive tumors, evidence on the effectiveness and indication of trastuzumab-based therapy for pN0, HER2-overexpressing cases with invasive size ≤1.0 cm (pT1a/b) is lacking (2,3). Systemic treatment, including trastuzumab, has been reported to be unnecessary for the clinical management of pT1a HER2-positive tumors (4). The recurrence rate of pT1a/b pN0, HR-positive HER2-positive tumors has been reported to be 5–25% at 5 years, which is significantly higher than that of pT1a/b pN0, HR-positive HER2-negative tumors (3,5,6). The wide range in reported relapse rates is presumably due to variations in the ratio of induction adjuvant chemotherapy, including trastuzumab (3,5,6). Despite being rare, cases of pT1a pN0 HER2-positive breast cancer with recurrence have been reported. This report presents a case of pT1a HR-positive HER2-positive breast cancer with multiple metastases to the axillary lymph nodes and liver within one year after radical surgery. The purpose of this case report is to address the necessity to identify pT1a pN0 HER2-positive breast cancer patients who are expected to benefit from adjuvant chemotherapy, including trastuzumab.

Case report

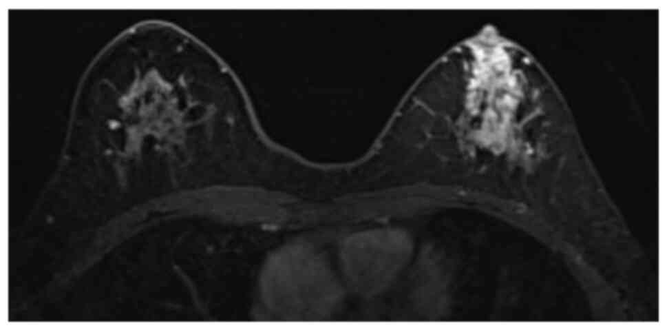
A 58-year-old woman was referred to the Department of Surgery, National Defense Medical College, Tokorozawa, Japan, by her family doctor due to a 20-mm breast mass. Her medical history was unremarkable. She went through menopause at the age of 51. She has one child and no family history of breast cancer. Physical examination revealed a 20-mm tumor palpated in the upper external quadrant of the left breast. Serum tumor markers were within normal ranges. Ultrasonography (US) showed hyperechoic lesions in the dilated mammary ducts up to 5 mm in diameter. US-guided core needle biopsy was performed, and the tumor was histologically diagnosed as ductal carcinoma in situ (DCIS). Magnetic resonance imaging (MRI) showed a non-mass-enhancing lesion measuring 51×21 mm, extending to the nipple in the left breast (Fig. 1). US or MRI showed no obvious lymph node enlargement. Preoperative workup with fluorine-18 fluorodeoxyglucose positron emission tomography/computed tomography (18F-FDG PET/CT) showed uptake in the left breast lesion but no evidence of distant metastasis. Based on the diagnosis of DCIS (cTis cN0) stage 0 (7), left total mastectomy and sentinel lymph node biopsy were performed. Intraoperative frozen section of the sentinel node was negative for metastasis. The negativity of the sentinel node for metastasis was also confirmed by the sections of the formalin-fixed and paraffin-embedded material. A 50×40 mm multinodular lesion was observed in the resected specimen (Fig. 2A). The histological diagnosis was invasive ductal carcinoma with a predominantly intraductal component. The DCIS component was of solid type with comedo necrosis and was accompanied by approximately 10 invasive foci up to 2.5×2.5 mm in diameter with invasion to the adipose tissue (Fig. 2B and C). The nuclear grade was 3 in both the DCIS and invasive components. No lymphatic or venous invasion was observed. The surgical margin was free of cancer cells. The invasive carcinoma component was immunohistochemically positive for estrogen receptor (Allred score: 4) (Fig. 2D), negative for progesterone receptor (Allred score: 2), and positive for HER2 overexpression (score 3+) (Fig. 2E). The Ki-67 labeling index was 37.1%, which corresponds to the luminal B-like subtype. The tumor stage was pT1a pN0 (stage IA).

Figure 1.

Contrast-enhanced magnetic resonance imaging showing a 51×21-mm non-mass-enhancing lesion extending to the nipple in the left breast.

Figure 2.

Macroscopic and microscopic findings. (A) A multinodular lesion measuring 30 mm in the upper external quadrant of the left breast. Blue dots indicate the DCIS component, and red dots indicate 10 foci of the invasive ductal carcinoma component. Green dots indicate lobular carcinoma in situ. The resected specimens were sliced for histopathological examination, and each was assigned a letter. Numbers were assigned based on the site from which the histopathological specimen was obtained. (B) Representative section of DCIS with comedo necrosis (magnification, ×20; scale bar, 1 mm). (C) Higher magnification view of the invasive carcinoma component. The diameter of the invasive component was 2.5 mm (magnification, ×200; scale bar, 100 µm). (D) The invasive carcinoma component was partially positive for ER (Allred score, 4; magnification, ×200; scale bar, 100 µm). (E) The invasive carcinoma component was positive for HER2 (magnification, ×200; scale bar, 100 µm). DCIS, ductal carcinoma in situ; ER, estrogen receptor; HER2, human epidermal growth factor receptor 2.

Based on the latest Japanese Breast Cancer Society and National Comprehensive Cancer Network guidelines (2), an aromatase inhibitor (letrozole) was decided to be administered as postoperative endocrine therapy for 10 years after surgery. Eleven months after surgery, serum hepatobiliary enzyme levels were elevated (aspartate aminotransferase, 156 U/l; alanine aminotransferase, 163 U/l; γ-glutamyl transferase, 332 U/l), and tumor marker levels were elevated (breast cancer antigen 225, 539 U/ml; carbohydrate antigen 15-3, 1,735 U/ml; carcinoembryonic antigen, 106 ng/ml). Contrast-enhanced computed tomography (CT) showed multiple low-density lesions in the bilateral lobes of the liver and multiple lesions in the left axilla (Fig. 3A). 18F-FDG PET/CT showed abnormal uptake in these lesions, suggesting metastases from the left breast cancer (Fig. 3B). Biopsy specimens from one of the axillary lesions showed carcinoma consistent with metastatic invasive ductal carcinoma of the ipsilateral breast. The metastatic focus was negative for estrogen receptor (Allred score: 0) and progesterone receptor (Allred score: 0) and positive for HER2 (score 3+). The Ki-67 labeling index was 41.4%.

Figure 3.

Multiple metastases in the liver and left axillary lymph nodes. (A) Contrast-enhanced CT indicated multiple low-density masses in both lobes of the liver and left axillary lymph nodes. (B) Fluorodeoxyglucose positron emission tomography revealed abnormal uptake in the liver and left axillary lymph nodes. (C) At 6 months after chemotherapy induction, CT images demonstrated a complete response of the hepatic and left axillary lesions. CT, computed tomography.

Based on these results, taxane therapy (paclitaxel 80 mg/mm2, administered weekly) was initiated in combination with anti-HER2 therapy (pertuzumab 840 mg as a loading dose, which was reduced to 420 mg for subsequent cycles administered every 3 weeks, and trastuzumab 8 mg/kg as a loading dose, which was reduced to 6 mg/kg for subsequent cycles administered every 3 weeks). Follow-ups were performed every three months. After 6 months, nine courses of taxane and anti-HER2 therapy were completed, CT images showed a complete response of both the left axillary and hepatic lesions (Fig. 3C). The patient received 22 courses of anti-HER2 therapy (pertuzumab 420 mg and trastuzumab 6 mg/kg every 3 weeks) for one year. Anti-HER2 therapy was completed 6 months after no recurrence was confirmed. A complete response of liver metastasis sites and left axillary lesions has been maintained 4 years after the anti-HER2 therapy initiation.

Discussion

The prognostic benefit of anti-HER2 therapy plus chemotherapy has been controversial in pT1a/b pN0 HER2-positive breast cancer. Furthermore, inducing adjuvant therapy for pT1a/b pN0 HER2-positive breast cancer has been dependent on the clinician's decision in Japan. The prognosis of patients with pT1a pN0 HER2-positive breast cancer is excellent. van Ramshorst et al (8) reported an 8-year breast cancer-specific survival rate exceeding 95%, and Kubo et al (4) reported a 7-year breast cancer-specific survival rate exceeding 98%. A previous meta-analysis showed no benefit of adjuvant anti-HER2 therapy for pT1a HER2-positive breast cancer regardless of HR status (4). In this case, pT1a pN0 HER2-positive breast cancer relapsed in multiple organs in the early postoperative period, which indicates the importance of identifying high-risk patients with pT1a HER2-positive breast cancer to whom standard postoperative adjuvant anti-HER2 therapy is necessary.

Some studies have reported factors associated with the aggressive tumor biology of pT1a pN0 HER2-positive breast cancer (9–11). The administration of trastuzumab is currently considered based on existing prognostic factors, such as tumor grade, Ki-67 labeling index, and HR status. Colleoni et al (11) reported that Ki-67 was the most significant prognostic factor for pT1a/b pN0 breast cancer, and the recurrence rate in patients with pT1a/b with high Ki-67 (>20%) was 6.7%, which is approximately 10 times higher than that in patients with pT1a/b pN0 with low Ki-67 (≤20%) (0.8%). Ki-67 is reported to be inversely correlated with ER status (12). In this case, ER was weakly positive and Ki-67 was high, suggesting a strong proliferative capacity. HR status can be a prognostic factor for pT1a HER2-positive cancers (13). Curigliano et al (14) reported that, in pT1mi/a HER2-positive breast cancer, the 5-year recurrence rate of the HR-negative subgroup was 12%, which is approximately 1.7 times higher than that in the HR-positive subgroup (7%). However, in these pT1mi/a HER2-positive cases, the ER-positive PR-negative subgroup had a worse prognosis than the ER-positive PR-positive subgroup (15). PR negativity has been reported to indicate impaired growth factor signaling via the PI3K-Akt-mTOR pathway, resulting in resistance to endocrine therapy (15). In this case, the patient was ER-positive but PR-negative, which may have contributed to her poor prognosis. Furthermore, histopathological findings revealed nuclear grade 3 with comedo necrosis, which are risk factors for DCIS (16).

This case had two poor prognostic factors: high Ki-67 labeling index (37.1%) and nuclear grade 3 (17,18). Based on the ‘Predict’ tool, this case would be expected to have a cancer-related death rate of 6% 10 years after surgery with adjuvant endocrine therapy (19). This tool provides a prognosis of invasive breast cancer based on age, menopausal status, ER status, HER2 status, Ki-67 status, invasion tumor size, tumor grade, cancer detection opportunity, and the presence or absence of lymph node metastasis. However, the current version is based on cases diagnosed from 1999–2003 and does not incorporate the benefits or harms of radiotherapy (20). This tool also reports the effects of hormonal therapy and the addition of anti-HER2 therapy. In the present case, with adjuvant chemotherapy with trastuzumab and endocrine therapy, the cancer-related death rate was predicted to be 3%. Although this value may be controversial as a guideline for postoperative anti-HER2 therapy, the use of adjuvant chemotherapy in combination with trastuzumab should be reconsidered for pT1a pN0 HER2-positive breast cancer with high-risk factors. Waks et al (21) reported that the HER2DX assay, which is a classifier derived from gene expression and limited clinical features, predicts pCR following treatment with neoadjuvant paclitaxel with trastuzumab and pertuzumab in patients with early-stage HER2-positive breast cancer. Although genetic testing was not performed in this case, genetic tests, such as the HER2DX assay, may help inform the decision to induce postoperative anti-HER2 therapy for pT1a pN0 HER2-positive breast cancer cases in the future.

This case had at least 10 invasive foci that reached the adipose tissue. The resected specimens were extensively examined (Fig. 2A). However, larger invasive foci might not be found on the surface of tissue blocks subjected to histopathological diagnosis. Although the number of invasive foci has not been reported to be related to patient prognosis in patients with HER2-positive pT1a pN0, the larger the number of invasive foci, the higher the probability that larger invasive foci are overlooked. The number of tumors budding, which refers to a single or small cluster of tumor cells detached from the main tumor mass, is reported to be a prognostic factor for colorectal and breast cancer (22). We suspect that the number of invasive foci has the potential to predict the prognosis of breast cancer and inform therapeutic decision-making.

Chemotherapy has adverse effects, and the most severe toxic effect of trastuzumab is congestive heart failure. However, a recent study reported that the frequency of grade 3 to 4 cardiac dysfunction during treatment with trastuzumab was approximately 3%, and most cases were reversible (23). Drug history of anthracycline and taxane, medical history of cardiac disease, lower cardiac function, and old age have been reported as risk factors for heart dysfunction related to trastuzumab (24,25). In this case, the patient was relatively young and had no history of cardiac disease or chemotherapy. Therefore, no factors inhibited trastuzumab administration as adjuvant therapy. This patient was potentially at a higher risk of recurrence than other patients with pT1a pN0 HER2-positive breast cancer. The balance between the toxicity and benefit of trastuzumab should be evaluated more carefully in patients with a higher risk of recurrence. According to a review by Moja et al (26), assessing the balance of trastuzumab therapy is difficult as the implication of the toxicity and benefits may be perceived differently by patients and clinicians and because trastuzumab-induced cardiac dysfunctions are reversible in most cases.

Currently, it is difficult to predict the onset of cardiac dysfunction caused by trastuzumab as it occurs independently of the total dose of trastuzumab (27). However, it has been reported that kallikrein5-PAR2 signaling is involved (27). If it becomes possible to predict the adverse effects of trastuzumab in the future, it will be easier to balance the toxicity and benefits of trastuzumab.

In conclusion, this report presents a case of pT1a pN0 HR-positive HER2-positive breast cancer with multiple metastases in the first year after radical surgery. Although, the possibility that this case was an anecdotal single case cannot be ruled out, this case suggested the necessity of future studies to identify high-risk patients with pT1a pN0 HER2-positive breast cancer who are expected to benefit from adjuvant chemotherapy.

Acknowledgements

Not applicable.

Funding

Funding: No funding was received.

Availability of data and materials

The data generated in the present study may be requested from the corresponding author.

Authors' contributions

TS, TE, MT, YA, KW, KK, HO, MFK, TY and YK were involved in clinical management. TS contributed to conceptualization, design and writing the original drafts. MT, YA, KW, KK, HO, MFK and TY contributed to acquisition of data, and interpretation of the manuscript. TE, HU, HT and YK contributed to conceptualization and design, reviewed and edited the manuscript, and confirmed the authenticity of all the raw data. All authors read and approved the final version of the manuscript.

Ethics approval and consent to participate

Not applicable.

Patient consent for publication

Written informed consent for publication of case information and images was obtained from the participant included in the study.

Competing interests

TY received honoraria from Eli Lilly Japan K.K. The other authors declare that they have no competing interests.

Glossary

Abbreviations

Abbreviations:

HER2

human epidermal growth factor receptor 2

HR

hormone receptor

US

ultrasonography

DCIS

ductal carcinoma in situ

MRI

magnetic resonance imaging

18F-FDG PET/CT

fluorine-18 fluorodeoxyglucose positron emission tomography/computed tomography

References

1 

Hudis CA: Trastuzumab-mechanism of action and use in clinical practice. N Engl J Med. 357:39–51. 2007. View Article : Google Scholar : PubMed/NCBI

2 

National Comprehensive Cancer Network, . http://www.nccn.org2019 December 10–2023

3 

Tolaney SM, Guo H, Pernas S, Barry WT, Dillon DA, Ritterhouse L, Schneider BP, Shen F, Fuhrman K, Baltay M, et al: Seven-year follow-up analysis of adjuvant paclitaxel and trastuzumab trial for node-negative, human epidermal growth factor receptor 2-positive breast cancer. J Clin Oncol. 37:1868–1875. 2019. View Article : Google Scholar : PubMed/NCBI

4 

Kubo M, Kawai M, Kumamaru H, Miyata H, Tamura K, Yoshida M, Ogo E, Nagahashi M, Asaga S, Kojima Y, et al: A population-based recurrence risk management study of patients with pT1 node-negative HER2+ breast cancer: A national clinical database study. Breast Cancer Res Treat. 178:647–656. 2019. View Article : Google Scholar : PubMed/NCBI

5 

Ma SJ, Oladeru OT and Singh AK: Association of survival with chemoendocrine therapy in women with small, hormone receptor-positive, ERBB2-positive, node-negative breast cancer. JAMA Netw Open. 3:e2025072020. View Article : Google Scholar : PubMed/NCBI

6 

Gonzalez-Angulo AM, Litton JK, Broglio KR, Meric-Bernstam F, Rakkhit R, Cardoso F, Peintinger F, Hanrahan EO, Sahin A, Guray M, et al: High risk of recurrence for patients with breast cancer who have human epidermal growth factor receptor 2-positive, node-negative tumors 1 cm or smaller. J Clin Oncol. 27:5700–5706. 2009. View Article : Google Scholar : PubMed/NCBI

7 

Brierley JD, Gospodarowicz MK and Wittekind C: TNM classification of malignant tumours. John Wiley & Sons; 2017

8 

van Ramshorst MS, van der Heiden-van der Loo M, Dackus GM, Linn SC and Sonke GS: The effect of trastuzumab-based chemotherapy in small node-negative HER2-positive breast cancer. Breast Cancer Res Treat. 158:361–371. 2016. View Article : Google Scholar : PubMed/NCBI

9 

Musolino A, Falcini F, Sikokis A, Boggiani D, Rimanti A, Pellegrino B, Silini EM, Campanini N, Barbieri E, Zamagni C, et al: Prognostic impact of interval breast cancer detection in women with pT1a N0M0 breast cancer with HER2-positive status: Results from a multicentre population-based cancer registry study. Eur J Cancer. 88:10–20. 2018. View Article : Google Scholar : PubMed/NCBI

10 

Musolino A, Boggiani D, Sikokis A, Rimanti A, Pellegrino B, Vattiato R, Sgargi P, Falcini F, Caminiti C, Michiara M and Leonardi F: Prognostic risk factors for treatment decision in pT1a,b N0M0 HER2-positive breast cancers. Cancer Treat Rev. 43:1–7. 2016. View Article : Google Scholar : PubMed/NCBI

11 

Colleoni M, Rotmensz N, Peruzzotti G, Maisonneuve P, Viale G, Renne G, Casadio C, Veronesi P, Intra M, Torrisi R and Goldhirsch A: Minimal and small size invasive breast cancer with no axillary lymph node involvement: The need for tailored adjuvant therapies. Ann Oncol. 15:1633–1639. 2004. View Article : Google Scholar : PubMed/NCBI

12 

Inwald EC, Klinkhammer-Schalke M, Hofstädter F, Zeman F, Koller M, Gerstenhauer M and Ortmann O: Ki-67 is a prognostic parameter in breast cancer patients: Results of a large population-based cohort of a cancer registry. Breast Cancer Res Treat. 139:539–552. 2013. View Article : Google Scholar : PubMed/NCBI

13 

Joerger M, Thürlimann B and Huober J: Small HER2-positive, node-negative breast cancer: Who should receive systemic adjuvant treatment? Ann Oncol. 22:17–23. 2011. View Article : Google Scholar : PubMed/NCBI

14 

Curigliano G, Viale G, Bagnardi V, Fumagalli L, Locatelli M, Rotmensz N, Ghisini R, Colleoni M, Munzone E, Veronesi P, et al: Clinical relevance of HER2 overexpression/amplification in patients with small tumor size and node-negative breast cancer. J Clin Oncol. 27:5693–5699. 2009. View Article : Google Scholar : PubMed/NCBI

15 

Davey MG, Ryan ÉJ, Folan PJ, O'Halloran N, Boland MR, Barry MK, Sweeney KJ, Malone CM, McLaughlin RJ, Kerin MJ and Lowery AJ: The impact of progesterone receptor negativity on oncological outcomes in oestrogen-receptor-positive breast cancer. BJS Open. 5:zrab0402021. View Article : Google Scholar : PubMed/NCBI

16 

Lagios MD, Margolin FR, Westdahl PR and Rose MR: Mammographically detected duct carcinoma in situ. Frequency of local recurrence following tylectomy and prognostic effect of nuclear grade on local recurrence. Cancer. 63:618–624. 1989. View Article : Google Scholar : PubMed/NCBI

17 

Petrelli F, Viale G, Cabiddu M and Barni S: Prognostic value of different cut-off levels of Ki-67 in breast cancer: A systematic review and meta-analysis of 64,196 patients. Breast Cancer Res Treat. 153:477–491. 2015. View Article : Google Scholar : PubMed/NCBI

18 

Tsuda H, Akiyama F, Kurosumi M, Sakamoto G and Watanabe T: Establishment of histological criteria for high-risk node-negative breast carcinoma for a multi-institutional randomized clinical trial of adjuvant therapy. Japan national surgical adjuvant study of breast cancer (NSAS-BC) pathology section. Jpn J Clin Oncol. 28:486–491. 1998. View Article : Google Scholar : PubMed/NCBI

19 

National Health Service, . Predict breast cancer. University of Cambrigde; 2023, https://breast.predict.nhs.uk/December 10–2023

20 

Grootes I, Wishart GC and Pharoah PDP: An updated PREDICT breast cancer prognostic model including the benefits and harms of radiotherapy. NPJ Breast Cancer. 10:62024. View Article : Google Scholar : PubMed/NCBI

21 

Waks AG, Ogayo ER, Paré L, Marín-Aguilera M, Brasó-Maristany F, Galván P, Castillo O, Martínez-Sáez O, Vivancos A, Villagrasa P, et al: Assessment of the HER2DX assay in patients with ERBB2-positive breast cancer treated with neoadjuvant paclitaxel, trastuzumab, and pertuzumab. JAMA Oncol. 9:835–840. 2023. View Article : Google Scholar : PubMed/NCBI

22 

Salhia B, Trippel M, Pfaltz K, Cihoric N, Grogg A, Lädrach C, Zlobec I and Tapia C: High tumor budding stratifies breast cancer with metastatic properties. Breast Cancer Res Treat. 150:363–371. 2015. View Article : Google Scholar : PubMed/NCBI

23 

Dang C, Guo H, Najita J, Yardley D, Marcom K, Albain K, Rugo H, Miller K, Ellis M, Shapira I, et al: Cardiac outcomes of patients receiving adjuvant weekly paclitaxel and trastuzumab for node-negative, ERBB2-positive breast cancer. JAMA Oncol. 2:29–36. 2016. View Article : Google Scholar : PubMed/NCBI

24 

Sengupta PP, Northfelt DW, Gentile F, Zamorano JL and Khandheria BK: Trastuzumab-induced cardiotoxicity: Heart failure at the crossroads. Mayo Clin Proc. 83:197–203. 2008. View Article : Google Scholar : PubMed/NCBI

25 

Guarneri V, Lenihan DJ, Valero V, Durand JB, Broglio K, Hess KR, Michaud LB, Gonzalez-Angulo AM, Hortobagyi GN and Esteva FJ: Long-term cardiac tolerability of trastuzumab in metastatic breast cancer: The M.D. anderson cancer center experience. J Clin Oncol. 24:4107–4115. 2006. View Article : Google Scholar : PubMed/NCBI

26 

Moja L, Tagliabue L, Balduzzi S, Parmelli E, Pistotti V, Guarneri V and D'Amico R: Trastuzumab containing regimens for early breast cancer. Cochrane Database Syst Rev. 2012:CD0062432012.PubMed/NCBI

27 

Sasaki R, Kurebayashi N, Eguchi H, Horimoto Y, Shiga T, Miyazaki S, Kashiyama T, Akamatsu W and Saito M: Involvement of kallikrein-PAR2-proinflammatory pathway in severe trastuzumab-induced cardiotoxicity. Cancer Sci. 113:3449–3462. 2022. View Article : Google Scholar : PubMed/NCBI

Related Articles

  • Abstract
  • View
  • Download
  • Twitter
Copy and paste a formatted citation
Spandidos Publications style
Suzuki T, Einama T, Takushima M, Araki Y, Wakamatsu K, Kobayashi K, Ohno H, Fukumura‑koga M, Yamasaki T, Ueno H, Ueno H, et al: Multiple metastases of human epidermal growth factor receptor 2‑positive, hormone receptor‑positive, pT1a pN0 breast cancer within 1 year after surgery: A case report. Oncol Lett 28: 365, 2024.
APA
Suzuki, T., Einama, T., Takushima, M., Araki, Y., Wakamatsu, K., Kobayashi, K. ... Kishi, Y. (2024). Multiple metastases of human epidermal growth factor receptor 2‑positive, hormone receptor‑positive, pT1a pN0 breast cancer within 1 year after surgery: A case report. Oncology Letters, 28, 365. https://doi.org/10.3892/ol.2024.14498
MLA
Suzuki, T., Einama, T., Takushima, M., Araki, Y., Wakamatsu, K., Kobayashi, K., Ohno, H., Fukumura‑koga, M., Yamasaki, T., Ueno, H., Tsuda, H., Kishi, Y."Multiple metastases of human epidermal growth factor receptor 2‑positive, hormone receptor‑positive, pT1a pN0 breast cancer within 1 year after surgery: A case report". Oncology Letters 28.2 (2024): 365.
Chicago
Suzuki, T., Einama, T., Takushima, M., Araki, Y., Wakamatsu, K., Kobayashi, K., Ohno, H., Fukumura‑koga, M., Yamasaki, T., Ueno, H., Tsuda, H., Kishi, Y."Multiple metastases of human epidermal growth factor receptor 2‑positive, hormone receptor‑positive, pT1a pN0 breast cancer within 1 year after surgery: A case report". Oncology Letters 28, no. 2 (2024): 365. https://doi.org/10.3892/ol.2024.14498
Copy and paste a formatted citation
x
Spandidos Publications style
Suzuki T, Einama T, Takushima M, Araki Y, Wakamatsu K, Kobayashi K, Ohno H, Fukumura‑koga M, Yamasaki T, Ueno H, Ueno H, et al: Multiple metastases of human epidermal growth factor receptor 2‑positive, hormone receptor‑positive, pT1a pN0 breast cancer within 1 year after surgery: A case report. Oncol Lett 28: 365, 2024.
APA
Suzuki, T., Einama, T., Takushima, M., Araki, Y., Wakamatsu, K., Kobayashi, K. ... Kishi, Y. (2024). Multiple metastases of human epidermal growth factor receptor 2‑positive, hormone receptor‑positive, pT1a pN0 breast cancer within 1 year after surgery: A case report. Oncology Letters, 28, 365. https://doi.org/10.3892/ol.2024.14498
MLA
Suzuki, T., Einama, T., Takushima, M., Araki, Y., Wakamatsu, K., Kobayashi, K., Ohno, H., Fukumura‑koga, M., Yamasaki, T., Ueno, H., Tsuda, H., Kishi, Y."Multiple metastases of human epidermal growth factor receptor 2‑positive, hormone receptor‑positive, pT1a pN0 breast cancer within 1 year after surgery: A case report". Oncology Letters 28.2 (2024): 365.
Chicago
Suzuki, T., Einama, T., Takushima, M., Araki, Y., Wakamatsu, K., Kobayashi, K., Ohno, H., Fukumura‑koga, M., Yamasaki, T., Ueno, H., Tsuda, H., Kishi, Y."Multiple metastases of human epidermal growth factor receptor 2‑positive, hormone receptor‑positive, pT1a pN0 breast cancer within 1 year after surgery: A case report". Oncology Letters 28, no. 2 (2024): 365. https://doi.org/10.3892/ol.2024.14498
Follow us
  • Twitter
  • LinkedIn
  • Facebook
About
  • Spandidos Publications
  • Careers
  • Cookie Policy
  • Privacy Policy
How can we help?
  • Help
  • Live Chat
  • Contact
  • Email to our Support Team