Spandidos Publications Logo
  • About
    • About Spandidos
    • Aims and Scopes
    • Abstracting and Indexing
    • Editorial Policies
    • Reprints and Permissions
    • Job Opportunities
    • Terms and Conditions
    • Contact
  • Journals
    • All Journals
    • Oncology Letters
      • Oncology Letters
      • Information for Authors
      • Editorial Policies
      • Editorial Board
      • Aims and Scope
      • Abstracting and Indexing
      • Bibliographic Information
      • Archive
    • International Journal of Oncology
      • International Journal of Oncology
      • Information for Authors
      • Editorial Policies
      • Editorial Board
      • Aims and Scope
      • Abstracting and Indexing
      • Bibliographic Information
      • Archive
    • Molecular and Clinical Oncology
      • Molecular and Clinical Oncology
      • Information for Authors
      • Editorial Policies
      • Editorial Board
      • Aims and Scope
      • Abstracting and Indexing
      • Bibliographic Information
      • Archive
    • Experimental and Therapeutic Medicine
      • Experimental and Therapeutic Medicine
      • Information for Authors
      • Editorial Policies
      • Editorial Board
      • Aims and Scope
      • Abstracting and Indexing
      • Bibliographic Information
      • Archive
    • International Journal of Molecular Medicine
      • International Journal of Molecular Medicine
      • Information for Authors
      • Editorial Policies
      • Editorial Board
      • Aims and Scope
      • Abstracting and Indexing
      • Bibliographic Information
      • Archive
    • Biomedical Reports
      • Biomedical Reports
      • Information for Authors
      • Editorial Policies
      • Editorial Board
      • Aims and Scope
      • Abstracting and Indexing
      • Bibliographic Information
      • Archive
    • Oncology Reports
      • Oncology Reports
      • Information for Authors
      • Editorial Policies
      • Editorial Board
      • Aims and Scope
      • Abstracting and Indexing
      • Bibliographic Information
      • Archive
    • Molecular Medicine Reports
      • Molecular Medicine Reports
      • Information for Authors
      • Editorial Policies
      • Editorial Board
      • Aims and Scope
      • Abstracting and Indexing
      • Bibliographic Information
      • Archive
    • World Academy of Sciences Journal
      • World Academy of Sciences Journal
      • Information for Authors
      • Editorial Policies
      • Editorial Board
      • Aims and Scope
      • Abstracting and Indexing
      • Bibliographic Information
      • Archive
    • International Journal of Functional Nutrition
      • International Journal of Functional Nutrition
      • Information for Authors
      • Editorial Policies
      • Editorial Board
      • Aims and Scope
      • Abstracting and Indexing
      • Bibliographic Information
      • Archive
    • International Journal of Epigenetics
      • International Journal of Epigenetics
      • Information for Authors
      • Editorial Policies
      • Editorial Board
      • Aims and Scope
      • Abstracting and Indexing
      • Bibliographic Information
      • Archive
    • Medicine International
      • Medicine International
      • Information for Authors
      • Editorial Policies
      • Editorial Board
      • Aims and Scope
      • Abstracting and Indexing
      • Bibliographic Information
      • Archive
  • Articles
  • Information
    • Information for Authors
    • Information for Reviewers
    • Information for Librarians
    • Information for Advertisers
    • Conferences
  • Language Editing
Spandidos Publications Logo
  • About
    • About Spandidos
    • Aims and Scopes
    • Abstracting and Indexing
    • Editorial Policies
    • Reprints and Permissions
    • Job Opportunities
    • Terms and Conditions
    • Contact
  • Journals
    • All Journals
    • Biomedical Reports
      • Information for Authors
      • Editorial Policies
      • Editorial Board
      • Aims and Scope
      • Abstracting and Indexing
      • Bibliographic Information
      • Archive
    • Experimental and Therapeutic Medicine
      • Information for Authors
      • Editorial Policies
      • Editorial Board
      • Aims and Scope
      • Abstracting and Indexing
      • Bibliographic Information
      • Archive
    • International Journal of Epigenetics
      • Information for Authors
      • Editorial Policies
      • Editorial Board
      • Aims and Scope
      • Abstracting and Indexing
      • Bibliographic Information
      • Archive
    • International Journal of Functional Nutrition
      • Information for Authors
      • Editorial Policies
      • Editorial Board
      • Aims and Scope
      • Abstracting and Indexing
      • Bibliographic Information
      • Archive
    • International Journal of Molecular Medicine
      • Information for Authors
      • Editorial Policies
      • Editorial Board
      • Aims and Scope
      • Abstracting and Indexing
      • Bibliographic Information
      • Archive
    • International Journal of Oncology
      • Information for Authors
      • Editorial Policies
      • Editorial Board
      • Aims and Scope
      • Abstracting and Indexing
      • Bibliographic Information
      • Archive
    • Medicine International
      • Information for Authors
      • Editorial Policies
      • Editorial Board
      • Aims and Scope
      • Abstracting and Indexing
      • Bibliographic Information
      • Archive
    • Molecular and Clinical Oncology
      • Information for Authors
      • Editorial Policies
      • Editorial Board
      • Aims and Scope
      • Abstracting and Indexing
      • Bibliographic Information
      • Archive
    • Molecular Medicine Reports
      • Information for Authors
      • Editorial Policies
      • Editorial Board
      • Aims and Scope
      • Abstracting and Indexing
      • Bibliographic Information
      • Archive
    • Oncology Letters
      • Information for Authors
      • Editorial Policies
      • Editorial Board
      • Aims and Scope
      • Abstracting and Indexing
      • Bibliographic Information
      • Archive
    • Oncology Reports
      • Information for Authors
      • Editorial Policies
      • Editorial Board
      • Aims and Scope
      • Abstracting and Indexing
      • Bibliographic Information
      • Archive
    • World Academy of Sciences Journal
      • Information for Authors
      • Editorial Policies
      • Editorial Board
      • Aims and Scope
      • Abstracting and Indexing
      • Bibliographic Information
      • Archive
  • Articles
  • Information
    • For Authors
    • For Reviewers
    • For Librarians
    • For Advertisers
    • Conferences
  • Language Editing
Login Register Submit
  • This site uses cookies
  • You can change your cookie settings at any time by following the instructions in our Cookie Policy. To find out more, you may read our Privacy Policy.

    I agree
Search articles by DOI, keyword, author or affiliation
Search
Advanced Search
presentation
Oncology Letters
Join Editorial Board Propose a Special Issue
Print ISSN: 1792-1074 Online ISSN: 1792-1082
Journal Cover
September-2024 Volume 28 Issue 3

Full Size Image

Sign up for eToc alerts
Recommend to Library

Journals

International Journal of Molecular Medicine

International Journal of Molecular Medicine

International Journal of Molecular Medicine is an international journal devoted to molecular mechanisms of human disease.

International Journal of Oncology

International Journal of Oncology

International Journal of Oncology is an international journal devoted to oncology research and cancer treatment.

Molecular Medicine Reports

Molecular Medicine Reports

Covers molecular medicine topics such as pharmacology, pathology, genetics, neuroscience, infectious diseases, molecular cardiology, and molecular surgery.

Oncology Reports

Oncology Reports

Oncology Reports is an international journal devoted to fundamental and applied research in Oncology.

Experimental and Therapeutic Medicine

Experimental and Therapeutic Medicine

Experimental and Therapeutic Medicine is an international journal devoted to laboratory and clinical medicine.

Oncology Letters

Oncology Letters

Oncology Letters is an international journal devoted to Experimental and Clinical Oncology.

Biomedical Reports

Biomedical Reports

Explores a wide range of biological and medical fields, including pharmacology, genetics, microbiology, neuroscience, and molecular cardiology.

Molecular and Clinical Oncology

Molecular and Clinical Oncology

International journal addressing all aspects of oncology research, from tumorigenesis and oncogenes to chemotherapy and metastasis.

World Academy of Sciences Journal

World Academy of Sciences Journal

Multidisciplinary open-access journal spanning biochemistry, genetics, neuroscience, environmental health, and synthetic biology.

International Journal of Functional Nutrition

International Journal of Functional Nutrition

Open-access journal combining biochemistry, pharmacology, immunology, and genetics to advance health through functional nutrition.

International Journal of Epigenetics

International Journal of Epigenetics

Publishes open-access research on using epigenetics to advance understanding and treatment of human disease.

Medicine International

Medicine International

An International Open Access Journal Devoted to General Medicine.

Journal Cover
September-2024 Volume 28 Issue 3

Full Size Image

Sign up for eToc alerts
Recommend to Library

  • Article
  • Citations
    • Cite This Article
    • Download Citation
    • Create Citation Alert
    • Remove Citation Alert
    • Cited By
  • Similar Articles
    • Related Articles (in Spandidos Publications)
    • Similar Articles (Google Scholar)
    • Similar Articles (PubMed)
  • Download PDF
  • Download XML
  • View XML
Article Open Access

Predicting recurrence in intermediate‑ and high‑risk stage IB‑IIB cervical cancer treated with adjuvant cisplatin and paclitaxel chemotherapy post‑radical hysterectomy: The role of TBX2 expression

  • Authors:
    • Takuya Noda
    • Takeshi Fukuda
    • Eijiro Uchikura
    • Yuichiro Awazu
    • Takuma Wada
    • Reiko Tasaka
    • Makoto Yamauchi
    • Tomoyo Yasui
    • Toshiyuki Sumi
  • View Affiliations / Copyright

    Affiliations: Department of Obstetrics and Gynecology, Osaka City University Graduate School of Medicine, Osaka 5454‑8585, Japan, Department of Obstetrics and Gynecology, Osaka Metropolitan University Graduate School of Medicine, Osaka 5454‑8585, Japan
    Copyright: © Noda et al. This is an open access article distributed under the terms of Creative Commons Attribution License.
  • Article Number: 414
    |
    Published online on: June 28, 2024
       https://doi.org/10.3892/ol.2024.14547
  • Expand metrics +
Metrics: Total Views: 0 (Spandidos Publications: | PMC Statistics: )
Metrics: Total PDF Downloads: 0 (Spandidos Publications: | PMC Statistics: )
Cited By (CrossRef): 0 citations Loading Articles...

This article is mentioned in:



Abstract

Cervical cancer remains a significant global health concern despite advances in prevention and treatment. Current management for intermediate‑ to high‑risk stage IB‑IIB cervical cancer post‑radical hysterectomy involves irradiation or concurrent chemoradiation, although patients can exhibit several adverse events. Adjuvant chemotherapy has emerged as a promising alternative; however, its efficacy remains unclear. T‑box (TBX)2 is a transcription factor that is involved in the regulation of cell cycle progression during cancer and embryonic development. Additionally, elevated expression of TBX2 is associated with resistance to DNA‑damaging chemotherapeutic agents, such as cisplatin, carboplatin and doxorubicin. The aim of the present study was to investigate the relationship between TBX2 expression and recurrence in patients receiving adjuvant cisplatin and paclitaxel (TP) chemotherapy post‑radical hysterectomy. Additionally, the impact of TBX2 knockdown on cisplatin sensitivity was assessed in vitro. A retrospective analysis was performed on 100 patients. Patients were categorized into two groups based on recurrence within 2 years of treatment initiation: The non‑recurrent group (n=85) and the recurrent group (n=15). TBX2 expression was assessed immunohistochemically, and multiple logistic regression analysis was performed to identify predictors of recurrence. Additionally, the impact of small interfering RNA‑mediated TBX2 knockdown on cervical cancer cell sensitivity to cisplatin was evaluated. TBX2 expression was significantly higher in the recurrent group compared with that in the non‑recurrent group (P<0.01). Patients were stratified into low TBX2 expression (weighted score ≤8; n=80) and high TBX2 expression (weighted score ≥9; n=20) groups. The high TBX2 expression group exhibited a higher recurrence rate compared with the low expression group (P<0.01). Multivariate analysis identified TBX2 expression as an independent predictor of recurrence (P<0.01). Moreover, TBX2 knockdown significantly enhanced cervical cancer cell sensitivity to cisplatin in vitro (P<0.05). These findings highlight TBX2 expression as a potential predictive biomarker for recurrence amongst patients with intermediate‑ to high‑risk stage IB‑IIB cervical cancer receiving adjuvant TP chemotherapy post‑radical hysterectomy.

Introduction

According to the 2022 Global Cancer Statistics, there were 661,021 new cases of cervical cancer and 348,189 deaths attributed to the disease. This ranks cervical cancer as the fourth most common cancer amongst women globally and the fourth leading cause of cancer-associated deaths amongst women worldwide (1). For patients diagnosed with stage IB1-IIA cervical cancer, as classified by the 2008 Federation of Gynecology and Obstetrics (FIGO) staging system (2), the recommended primary treatment involves radical hysterectomy accompanied by pelvic lymphadenectomy, which is endorsed by the guidelines of the National Comprehensive Cancer Network (3) and the Japan Society of Gynecologic Oncology (4). The guidelines of the Japan Society of Gynecologic Oncology suggest that patients diagnosed with stage IIB cervical cancer may also be considered for treatment with radical hysterectomy accompanied by pelvic lymphadenectomy (4). After surgery, adjuvant treatments such as irradiation or concurrent chemoradiation are employed based on risk factors for recurrence evaluated from the resected specimens. These risk factors include lymphovascular space invasion, a larger tumor size, deep cervical interstitial infiltration, parametrial invasion, and lymph node metastasis (5). However, irradiation or concurrent chemoradiation following radical surgery can lead to adverse events, including urinary disturbance, lower-limb lymphedema, bowel obstruction, sexual dysfunction, ovarian dysfunction, and mental health issues associated with these lasting adverse effects (6–8). Given these concerns, efforts have been made globally to introduce postoperative adjuvant chemotherapy for patients at intermediate or high risk of recurrence (6,7,9,10). However, the current evidence supporting chemotherapy as postoperative adjuvant therapy is limited, and careful consideration is warranted when determining its suitability. Thus, the ability to predict the effectiveness of adjuvant chemotherapy may significantly assist gynecologic oncologists in selecting the appropriate adjuvant treatment, whether it be irradiation or chemotherapy.

T-box (TBX)2, a transcription factor, belongs to the TBX gene family, which plays a critical role in organogenesis and pattern formation across vertebrate and invertebrate species (11). TBX2 is involved in development, cell cycle regulation, and oncogenesis (12,13). Elevated levels of TBX2 expression have been observed in various types of cancer, including esophageal squamous cell (14), endometrial (15), melanoma (16), prostate, breast (17), laryngeal squamous cell carcinoma (18), non-small cell lung (19), gastric (20), and pancreatic cancer (21). Additionally, elevated expression of TBX2 has been associated with resistance to DNA-damaging chemotherapy agents such as cisplatin, carboplatin, and doxorubicin (22–26).

In the present study, the relationship between TBX2 expression and recurrence was investigated in patients with intermediate- and high-risk stage IB-IIB cervical cancer who received adjuvant cisplatin and paclitaxel (TP) chemotherapy following radical hysterectomy. Additionally, the impact of TBX2 knockdown on the sensitivity of cervical cancer cells to cisplatin in vitro was assessed.

Materials and methods

Patients

This retrospective analysis included 100 patients who underwent radical hysterectomy for cervical cancer stages IB-IIB (FIGO 2008) and received postoperative adjuvant TP chemotherapy (paclitaxel at 135 mg/m2 and cisplatin at 50 mg/m2 every 3 weeks for 3–6 cycles) between January 1, 2014 and December 31, 2020, at Osaka City University and Osaka Metropolitan University. Clinical data including age, FIGO stage, histology, results of blood sample laboratory analysis, date of primary surgery, initiation and completion of chemotherapy, recurrence, and death from any cause were recorded. Assessment of recurrence during postoperative adjuvant chemotherapy was conducted every 3 cycles using computed tomography (CT) or magnetic resonance imaging (MRI), complemented by physical examinations after each cycle. Upon completion of the treatment regimen, outpatient evaluations, including physical examinations, ultrasonography, and tumor marker measurements, were scheduled every 3 months. Furthermore, in the second postoperative year, recurrence evaluation was performed using CT or MRI. In cases where abnormal clinical findings or elevated tumor markers were observed, imaging assessments were performed without waiting for the 2-year postoperative period. Overall survival was calculated from the date of surgery to the date of death from any cause, while disease-free survival was defined as the time from surgery to the detection of recurrence. For patients still alive at the end of the assessment period, data were censored as of the last confirmed survival date.

To explore the association between TBX2 expression and recurrence, patients were categorized into two groups: Those who did not experience recurrence within 2 years after primary surgery (non-recurrent group), and those who experienced a recurrence within 2 years (recurrent group).

The research was conducted at Osaka City University and Osaka Metropolitan University. All participating patients provided written informed consent for the treatment regimen and the use of their samples in future research endeavors, including the present study. The present study was approved by the Institutional Review Board of Osaka Metropolitan University Hospital (approval no. 2022-102). Osaka Metropolitan University was established in April 2022 through the merger of Osaka City University and Osaka Prefecture University. Currently, only Osaka Metropolitan University exists; its approval in 2022 encompasses the approval for Osaka City University.

Immunohistochemical staining and scoring

To assess the expression of TBX2 in cervical cancer surgical specimens, immunohistochemical staining was performed followed by scoring of the tissues. Initially, 4-µm paraffin-embedded sections were prepared from tissue blocks obtained during surgery of patients with cervical cancer. These sections underwent deparaffinization and rehydration using autoclaving, which involved heating at 121°C for 20 min. The sections were then incubated overnight at 4°C with a TBX2 antibody (cat. no. LS-C402301; LifeSpan BioSciences, Inc.) diluted 1:500. This was followed by application of the Dako REAL EnVision Detection System Peroxidase/DAB+, Rabbit/Mouse (cat. no. K5007; Agilent Technologies, Inc.) at room temperature for 3 min for visualization of antibody staining. Tissue sections were counterstained with hematoxylin for 1 min at room temperature to enhance the visibility of the structures. Scoring for TBX2 expression utilized a weighted scoring system as described by Sinicrope et al (27) based on the percentage of stained tumor cells and staining intensity. Percentage stained was scored as follows: 0, <5% coverage; 1, 5–25%; 2, 25–50%; 3, 50–75%; and 4, >75%. Intensity was categorized as 1 for weak, 2 for moderate, and 3 for intense. This scoring system allows for a quantifiable assessment of TBX2 expression levels in the tumor tissues

Cell culture

The TCS cell line, which comprises human cells derived from uterine cervical squamous carcinoma, were sourced from the RIKEN BioResource Center. These cells were cultured in Minimum Essential Medium from Gibco; Thermo Fisher Scientific, Inc., supplemented with 10% FBS and 1% penicillin-streptomycin solution. Cultures were maintained in a humidified incubator at 37°C with an atmosphere of 5% CO2.

TBX2 knockdown and cell survival assays

For siRNA transfections, Lipofectamine® RNAiMAX (Invitrogen; Thermo Fisher Scientific, Inc.) was used. TBX2-specific siRNA (cat. no. SASI_Hs01_00169003; MilliporeSigma) and control siRNA (cat. no. SIC001_10NMOL; MilliporeSigma) were used. The si-TBX2 sense sequence was CGCUAUAAGUUCCACAACUdTdT and the antisense sequence was AGUUGUGGAACUUAUAGCGdTdT; the sequence for the control siRNA was not disclosed by the manufacturer. TCS cells were seeded at a density of 1×104 cells/well in 96-well tissue culture plates. Post-seeding, the cells were incubated with media containing either TBX2 siRNA or control siRNA at 37°C for 24 h. This was followed by exposure to various concentrations of cisplatin (3.125, 6.25, 12.5, or 25 µM) at 37°C for an additional 24 h. Subsequently, 10 µl Cell Counting Kit-8 solution (Dojindo Molecular Technologies, Inc.) was added to each well, and the cells were incubated at 37°C for 1 h. The absorbance at 450 nm was then measured using a microplate reader (Corona Electric, Co., Ltd.). All procedures were performed in strict accordance with the manufacturer's protocol.

Reverse transcription-quantitative PCR (RT-qPCR)

Following TBX2 siRNA transfection, TBX2 mRNA expression knockdown was confirmed using RT-qPCR. TaqMan primer and probes for TBX2 (cat. no. Hs00911929_m1) and hypoxanthine phosphoribosyl-transferase 1 (HPRT1) (cat. no. Hs02800695_ml), both sourced from Thermo Fisher Scientific, Inc., were utilized as per the manufacturer's instructions. HRPT1 was used as a housekeeping gene as a reference for mRNA expression. Total RNA extraction from TCS cells was performed using a RNeasy Mini Kit according to the manufacturer's protocol (Qiagen GmbH). Subsequently, 1 µg total RNA was reverse transcribed into cDNA using the High-Capacity cDNA Reverse Transcription Kit (Thermo Fisher Scientific, Inc.) following the manufacturer's protocol. For qPCR analysis, TaqMan Fast Universal PCR MasterMix (Thermo Fisher Scientific, Inc.) was employed. The thermocycling conditions consisted of an initial denaturation step at 95°C for 20 sec, followed by 40 cycles of denaturation at 95°C for 3 sec and annealing/extension at 60°C for 30 sec. The relative changes in gene expression were calculated using the 2−ΔΔCq method (28).

Statistical analysis

The data were analyzed using GraphPad Prism version 9 (GraphPad Software, Inc.), and the data are presented as the median and range. Differences between two groups were assessed using a Fisher's exact test or Mann-Whitney U-test. The receiver operating characteristic (ROC) curve was used to establish the cut-off value for weighted scores of TBX2 expression. Prognostic analysis was performed using the Kaplan-Meier method alongside log-rank tests. To identify independent risk factors for recurrence, detected through univariate analysis with a Fisher's exact test, multivariate analysis was used for the logistic regression analysis. P<0.05 was considered to indicate a statistically significant difference. RT-qPCR was performed using five replicates, while cell survival assays were performed using 10 replicates.

Results

Patient characteristics

In the present study, 85 patients were included in the non-recurrent group and 15 patients were included in the recurrent group. There were no significant differences in the age and FIGO stage between the two groups. The recurrent group had a significantly higher proportion of cases exhibiting non-squamous cell carcinoma (non-SCC), positive parametrium invasion, and positive lymph node metastasis (P=0.01, P=0.024, and P=0.026, respectively; Table I). This suggests that non-SCC histology, positive parametrium invasion, and positive lymph node metastasis are risk factors for recurrence during univariate analysis. Specifically, non-SCC histology consisted of eight usual type endocervical adenocarcinoma cases, two adenosquamous carcinoma cases, two endometrioid carcinoma cases, and one clear cell carcinoma case in the non-recurrent group, whereas in the recurrent group, it consisted of four usual type endocervical adenocarcinoma cases, two large cell neuroendocrine carcinoma cases, and one poorly differentiated adenocarcinoma case.

Table I.

Clinicopathological characteristics of the patients.

Table I.

Clinicopathological characteristics of the patients.

CharacteristicNon-recurrent groupRecurrent groupP-value
No. of patients8515
Age, yearsa55 (27–78)55 (39–76)0.915b
FIGO stage 0.159c
  I526
  II339
Histology 0.01c,d
  SCC728
  Non-SCC137
Parametrium invasion 0.024c,e
  +198
  −667
Lymph node metastasis 0.026c,e
  +3511
  −504

a Median (range)

b Mann-Whitney U test

c Fisher's exact test

d P≤0.01

e P≤0.05. FIGO, Federation of Gynecology and Obstetrics; SCC, squamous cell carcinoma.

TBX2 weighted score and cutoff value to predict recurrence

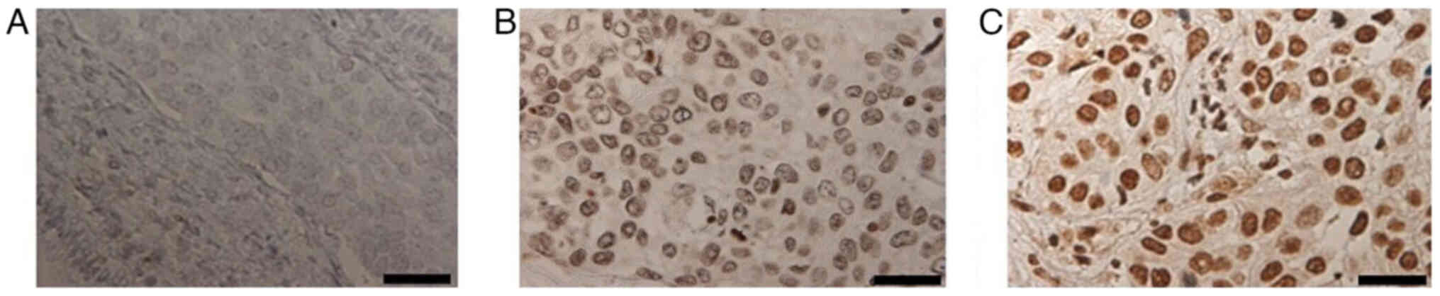
Immunohistochemical staining demonstrated that TBX2 was predominantly localized in the cell nuclei. Representative images with weighted scores of 0, 6, and 12 are shown in Fig. 1. TBX2 expression was found to be significantly higher in the recurrence group (P<0.01, Fig. 2A). To determine the cutoff value of TBX2 expression for predicting recurrence, ROC curve analysis was performed. Setting the cutoff value for the weighted score at 9 yielded a sensitivity of 66.7% and a specificity of 88.2%. Additionally, the area under the curve was 0.797, with a 95% confidence interval ranging from 0.666 to 0.928 (Fig. 2B).

Figure 1.

Immunohistochemical staining of T-box 2 in cervical cancer specimens obtained surgically, with hematoxylin counterstaining. Representative images corresponding to weighted scores of (A) 0, (B) 6 and (C) 12. Scale bar, 50 µm.

Figure 2.

Comparison of TBX2 weighted scores between two groups and ROC curve for prediction of recurrence. (A) Comparative analysis of TBX2 weighted scores between the two groups demonstrated a significantly lower score in the non-recurrent group compared to the recurrent group. (B) A ROC curve was constructed using the weighted scores from both groups. The analysis revealed a cutoff value of 9 for predicting recurrence, with a sensitivity of 66.7% and specificity of 88.2%. The AUC was 0.797, with a 95% confidence interval of 0.666–0.928. *P<0.01. TBX2, T-box 2; AUC, area under the curve; ROC, receiver operator characteristic.

TBX2 expression as a predictor of recurrence and overall survival

After applying a cutoff value of 9, the study population was divided into two groups based on TBX2 expression levels: the low expression group (score ≤8; 80 patients) and the high expression group (score ≥9; 20 patients) of the weighted score. No significant differences were observed between the two groups in terms of age, histology, parametrium invasion, and lymph node metastasis. However, there was a significant difference in the FIGO stage between the groups (P=0.024; Table II). In the low TBX2 expression group, 5 cases (6.25%) experienced recurrence, whereas in the high expression group, 10 cases (50%) exhibited recurrence, and the difference in the incidence of recurrence was significant (P<0.01; Table III). Furthermore, overall survival was significantly longer in the low TBX2 expression group (P<0.01; Fig. 3), suggesting that TBX2 expression can be used to predict overall survival.

Figure 3.

Kaplan-Meier survival analysis demonstrating overall survival. Patients with low TBX2 expression experienced significantly longer overall survival compared to those with high TBX2 expression. *P<0.01. TBX2, T-box 2.

Table II.

Characteristics of the patients according to T-box 2 expression.

Table II.

Characteristics of the patients according to T-box 2 expression.

CharacteristicsLow expression groupHigh expression groupP-value
No. of patients8020
Age, yearsa54.5 (29–76)61.0 (37–76)0.93b
FIGO stage 0.024c,d
  I517
  II2913
Histology 0.114d
  SCC6713
  Non-SCC137
Parametrium invasion 0.053d
  +189
  −6211
Lymph node metastasis 0.454d
  +3511
  −459

a Median (range)

b Mann-Whitney U test

c P≤0.05

d Fisher's exact test. FIGO, Federation of Gynecology and Obstetrics; SCC, squamous cell carcinoma.

Table III.

Association between T-box 2 expression and recurrence.

Table III.

Association between T-box 2 expression and recurrence.

expression, n (%)TBX2 recurrence (%)No Recurrence (%)P-value
Low expressiona75 (93.8)5 (6.25) <0.01b,c
High expressiond10 (50.0)10 (50.0)

a Score, ≤8

b P≤0.01

c Fisher's exact test

d score ≤9.

Identification of independent risk factors for recurrence through multivariate analysis

Multivariate analysis was used to identify independent predictors of recurrence in patients with intermediate- and high-risk stage IB-IIB cervical cancer who received adjuvant TP chemotherapy following radical hysterectomy. According to the analysis, TBX2 expression and histological type were significant risk factors for recurrence (Table IV). The odds ratios associated with high TBX2 expression and non-SCC histological types were 12.3 and 5.01, respectively. High TBX2 expression was identified as the most significant independent risk factor for recurrence in these patients, demonstrating the highest odds ratio.

Table IV.

Multivariate analysis for detecting independent risk factors for recurrence.

Table IV.

Multivariate analysis for detecting independent risk factors for recurrence.

VariableOdds ratio95% confidence intervalP-value
T-box 2 expression, high/low12.33.0–50.5 <0.01a,b
Histology, SCC/non-SCC5.011.06–20.500.038b,c
Parametrium invasion, +/-1.990.471–8.3900.350b
Lymph node metastasis, +/-4.580.985–21.3000.052b

a P<0.01

b Logistic regression analysis

c P<0.05. SCC, squamous cell carcinoma.

Enhancing sensitivity of cervical cancer cells to cisplatin through TBX2 knockdown

To assess the impact of TBX2 expression knockdown on chemotherapy sensitivity, cervical cancer cell lines were utilized in vitro. Transfection of si-TBX2 successfully decreased TBX2 expression in these cells, as evidenced by RT-qPCR analysis, which demonstrated a significant reduction in TBX2 mRNA levels compared to cells transfected with control siRNA (P<0.01; Fig. 4A). After confirming the successful knockdown of TBX2, the viability of cervical cancer cells with TBX2 expression knocked down was compared to that of the control-transfected cells. Notably, at concentrations of ≥12.5 µM cisplatin, the viability of tumor cells with TBX2 knockdown was significantly lower than that of the corresponding control cells (P<0.05; Fig. 4B). These findings demonstrate that TBX2 knockdown increased the sensitivity of cells to cisplatin.

Figure 4.

Effects of TBX2 knockdown on cisplatin sensitivity in cervical cancer cells. (A) TBX2 mRNA expression was significantly reduced in cells transfected with TBX2-siRNA compared to control siRNA-transfected cells, indicating successful knockdown. *P<0.01. (B) Treatment with varying concentrations of cisplatin demonstrated significantly decreased cell viability in TBX2 knockdown cells at concentrations of 12.5 µM and higher. *P<0.05. Data are presented as the mean ± standard deviation. TBX2, T-box 2; siRNA, small interfering RNA.

Discussion

Despite the introduction of the HPV vaccine, which can decrease the risk of developing cervical cancer by up to 90% with complete vaccine coverage (29), cervical cancer remains a significant global health threat for women. The current standard of care for patients with intermediate- and high-risk stage IB-IIB cervical cancer post-radical hysterectomy involves either irradiation or concurrent chemoradiation, determined by the risk factors of recurrence assessed using resected specimens (3,4). However, these treatments, particularly following highly invasive gynecologic surgery, can lead to severe side effects that significantly impair a patient's quality of life. These include urinary disturbances, lower-limb lymphedema, bowel obstruction, sexual and ovarian dysfunction, and mental health issues stemming from these chronic conditions (6–8). Given these complications, there has been a global shift towards exploring adjuvant chemotherapy as an alternative, with promising results reported (6,7,9,10). A notable randomized non-inferiority multicenter trial showed no significant difference in 3-year progression-free survival rates, which were 91.9% in both the adjuvant chemotherapy and concurrent chemoradiation therapy (CCRT) groups. Similarly, 5-year overall survival rates were 90.6% for chemotherapy and 90.0% for CCRT, with the chemotherapy group displaying a trend towards a better quality of life (9). Nevertheless, adjuvant chemotherapy is not yet a standard treatment following radical hysterectomy. If the likelihood of recurrence could be more accurately predicted following adjuvant chemotherapy, this would provide valuable guidance for gynecological oncologists in choosing between chemotherapy and radiation therapy as adjuvant treatments.

The TBX gene family consists of five distinct subfamilies: T, Tbx1, Tbx2, Tbx6, and Tbr1. Within the T subfamily, the T subfamily encompasses T and TBX19; the Tbx1 subfamily encompasses TBX1, TBX10, TBX15, TBX18, TBX20, and TBX22; the Tbx2 subfamily includes TBX2, TBX3, TBX4, and TBX5; the Tbx6 subfamily contains TBX6 and Mga; and the Tbr1 subfamily consists of TBR1, TBR2, and TBX21 (11). TBX genes play pivotal roles in organogenesis and pattern formation across vertebrate and invertebrate species (11). TBX2 is a transcription factor that was found to be involved in the regulation of cell cycle progression during cancer and embryonic development (12,13). TBX2 has been shown to facilitate the evasion of senescence by down-regulating the cell cycle regulators p21 and p14 (16,30,31). In addition to its role in cell cycle regulation, TBX2 also mediates apoptotic signaling pathways through p21 (32). Suppression of p21 reportedly leads to chemoresistance via modulation of the G1/S cell cycle transition and inhibiting apoptosis induced by chemotherapy in lung cancer (33). Additionally, knockdown of TBX2 sensitized cisplatin-resistant breast cancer cells to cisplatin (23), which is consistent with the results of the present study. However, to the best of our knowledge, the association between TBX2 expression and the efficacy of platinum-based adjuvant chemotherapy in patients with intermediate to high-risk stage IB-IIB cervical cancer following radical hysterectomy remains largely unclear.

In the present study, it was found that TBX2 expression levels were associated with both recurrence and overall survival rates among patients with intermediate- to high-risk stage IB-IIB cervical cancer who underwent adjuvant TP chemotherapy following radical hysterectomy. Specifically, the high expression group (score ≥9; consisting of 20 patients) exhibited a higher likelihood of recurrence and poorer overall survival outcomes. Multivariate analysis aimed at identifying independent predictors of recurrence in this patient subset revealed that high TBX2 expression emerged as the most significant risk factor, demonstrating the highest odds ratio. Furthermore, the in vitro experiments confirmed that TBX2 knockdown using siRNA enhanced the effectiveness of cisplatin against cervical cancer cells.

This study has several limitations. Firstly, its retrospective design may introduce biases that affect the collection, analysis, and interpretation of data. Secondly, it includes a relatively small cohort of 100 patients, which could restrict the generalizability of the findings and reduce the statistical power. Thirdly, the study participants were drawn from specific institutions within a limited geographical area, which may further constrain the applicability of the findings to broader populations or regions. Fourthly, TBX2 expression was assessed using only immunohistochemical techniques and a single scoring system. Fifthly, the study did not examine interactions with other biomarkers, such as CLPTM1L, which is also reported to be associated with the effectiveness of TP chemotherapy (34). Sixthly, the study did not investigate the underlying mechanisms by which TBX2 contributes to chemoresistance. To validate these results, larger, multicenter prospective studies are necessary. Standardizing the techniques for assessing TBX2 expression is crucial for reliable clinical implementation. Further research into the biological mechanisms by which TBX2 contributes to chemoresistance and tumor progression could uncover additional therapeutic targets. Additionally, further research should also investigate additional factors that may interact with TBX2 expression levels to improve the accuracy of predictions regarding recurrence.

To the best of our knowledge, this study is the first to show the correlation between TBX2 expression and recurrence among cervical cancer patients treated with TP as adjuvant chemotherapy. TBX2 shows promise as a valuable clinical marker for gauging the efficacy of TP in this patient cohort, characterized by intermediate- to high-risk stage IB-IIB disease following radical hysterectomy. While adjuvant chemotherapy is gaining traction due to growing evidence of its clinical benefits, it has yet to become a standard guideline-recommended treatment. Therefore, it is crucial to identify reliable indicators that gynecological oncologists can utilize to assess the sensitivity of adjuvant chemotherapy. By stratifying patients based on TBX2 expression levels, gynecological oncologist can tailor adjuvant treatment plans more effectively. For instance, patients with high TBX2 expression might benefit from more aggressive monitoring and conventional therapeutic strategies including irradiation or concurrent chemoradiation. Conversely, patients with low TBX2 expression, who are at a lower risk of recurrence with adjuvant TP chemotherapy, could choose TP chemotherapy as adjuvant therapies and avoid the side effects related to irradiation or concurrent chemoradiation, thereby improving their quality of life. This study may contribute significantly to the ongoing effort to identify optimal candidates for adjuvant chemotherapy among patients with cervical cancer.

In conclusion, the present study suggests that TBX2 expression may potentially function as a predictive biomarker for recurrence in patients with intermediate- and high-risk stages IB-IIB cervical cancer treated with adjuvant TP chemotherapy post-radical hysterectomy.

Acknowledgements

The authors would like to thank Dr Yukimi Kira (Research Support Platform, Osaka Metropolitan University, Graduate School of Medicine in Osaka, Japan) for their technical assistance.

Funding

This study received financial support from the JSPS KAKENHI (grant no. 19K09808).

Availability of data and materials

The data generated in the present study may be requested from the corresponding author.

Authors' contributions

TN, TF and TS conceived and designed the research. TN, EU, YA, TW, RT and MY performed the experiments and collected the data. TN, TF, TY and TS were responsible for data analysis. TN and TF drafted the manuscript. TN and TF confirm the authenticity of all the raw data. All authors have read and approved the final version of the manuscript.

Ethics approval and consent to participate

The Ethics Committee of Osaka Metropolitan University Hospital (Osaka, Japan) approved the study protocol (approval no. 2022-102). All participants provided written informed consent to take part in this study.

Patient consent for publication

Written informed consent was obtained from all participants for the publication of their data.

Competing interests

The authors declare that they have no competing interests.

References

1 

Bray F, Laversanne M, Sung H, Ferlay J, Siegel RL, Soerjomataram I and Jemal A: Global cancer statistics 2022: GLOBOCAN estimates of incidence and mortality worldwide for 36 cancers in 185 countries. CA Cancer J Clin. 74:229–263. 2024. View Article : Google Scholar : PubMed/NCBI

2 

FIGO Committee on Gynecologic Oncology, . FIGO staging for carcinoma of the vulva, cervix, and corpus uteri. Int J Gynaecol Obstet. 125:97–98. 2014. View Article : Google Scholar : PubMed/NCBI

3 

Abu-Rustum NR, Yashar CM, Arend R, Barber E, Bradley K, Brooks R, Campos SM, Chino J, Chon HS, Crispens MA, et al: NCCN guidelines® insights: Cervical cancer, version 1.2024. J Natl Compr Canc Netw. 21:1224–1233. 2023. View Article : Google Scholar : PubMed/NCBI

4 

Ebina Y, Mikami M, Nagase S, Tabata T, Kaneuchi M, Tashiro H, Mandai M, Enomoto T, Kobayashi Y, Katabuchi H, et al: Japan society of gynecologic oncology guidelines 2017 for the treatment of uterine cervical cancer. Int J Clin Oncol. 24:1–19. 2019. View Article : Google Scholar : PubMed/NCBI

5 

Peters WA III, Liu PY, Barrett RJ II, Stock RJ, Monk BJ, Berek JS, Souhami L, Grigsby P, Gordon W Jr and Alberts DS: Concurrent chemotherapy and pelvic radiation therapy compared with pelvic radiation therapy alone as adjuvant therapy after radical surgery in high-risk early-stage cancer of the cervix. J Clin Oncol. 18:1606–1613. 2000. View Article : Google Scholar : PubMed/NCBI

6 

Hosaka M, Watari H, Kato T, Odagiri T, Konno Y, Endo D, Mitamura T, Kikawa S, Suzuki Y and Sakuragi N: Clinical efficacy of paclitaxel/cisplatin as an adjuvant chemotherapy for patients with cervical cancer who underwent radical hysterectomy and systematic lymphadenectomy. J Surg Oncol. 105:612–616. 2012. View Article : Google Scholar : PubMed/NCBI

7 

Matoda M, Takeshima N, Michimae H, Iwata T, Yokota H, Torii Y, Yamamoto Y, Takehara K, Nishio S, Takano H, et al: Postoperative chemotherapy for node-positive cervical cancer: Results of a multicenter phase II trial (JGOG1067). Gynecol Oncol. 149:513–519. 2018. View Article : Google Scholar : PubMed/NCBI

8 

Li S, Hu T, Chen Y, Zhou H, Li X, Cheng X, Yang R, Wang S, Xie X and Ma D: Adjuvant chemotherapy, a valuable alternative option in selected patients with cervical cancer. PLoS One. 8:e738372013. View Article : Google Scholar : PubMed/NCBI

9 

Weng D, Xiong H, Zhu C, Wan X, Chen Y, Wang X, Zhang Y, Jiang J, Zhang X, Gao Q, et al: Adjuvant chemotherapy versus adjuvant concurrent chemoradiotherapy after radical surgery for early-stage cervical cancer: A randomized, non-inferiority, multicenter trial. Front Med. 17:93–104. 2023. View Article : Google Scholar : PubMed/NCBI

10 

Zhang H, Yu R, Zhang L, Wang R and Xiao L: Chemotherapy versus chemoradiotherapy for FIGO stages IB1 and IIA1 cervical squamous cancer patients with lymphovascular space invasion: A retrospective study. BMC Cancer. 22:2022022. View Article : Google Scholar : PubMed/NCBI

11 

Chang F, Xing P, Song F, Du X, Wang G, Chen K and Yang J: The role of T-box genes in the tumorigenesis and progression of cancer. Oncol Lett. 12:4305–4311. 2016. View Article : Google Scholar : PubMed/NCBI

12 

Bilican B and Goding CR: Cell cycle regulation of the T-box transcription factor tbx2. Exp Cell Res. 312:2358–2366. 2006. View Article : Google Scholar : PubMed/NCBI

13 

Abrahams A, Parker MI and Prince S: The T-box transcription factor Tbx2: Its role in development and possible implication in cancer. IUBMB Life. 62:92–102. 2010. View Article : Google Scholar : PubMed/NCBI

14 

Hu R, Deng J, Li C, Xu C, Cui ZH and Zhao J: Clinical significance of TBX2 in esophageal squamous cell carcinomas and its role in cell migration and invasion. Eur Rev Med Pharmacol Sci. 24:3062–3068. 2020.PubMed/NCBI

15 

Ding N, Zhang T, Yu X and Zhuang S: T-box transcription factor 2 enhances chemoresistance of endometrial cancer by mediating NRF2 expression. Curr Protein Pept Sci. 23:563–570. 2022. View Article : Google Scholar : PubMed/NCBI

16 

Vance KW, Carreira S, Brosch G and Goding CR: Tbx2 is overexpressed and plays an important role in maintaining proliferation and suppression of senescence in melanomas. Cancer Res. 65:2260–2268. 2005. View Article : Google Scholar : PubMed/NCBI

17 

Nandana S, Tripathi M, Duan P, Chu CY, Mishra R, Liu C, Jin R, Yamashita H, Zayzafoon M, Bhowmick NA, et al: Bone metastasis of prostate cancer can be therapeutically targeted at the TBX2-WNT signaling axis. Cancer Res. 77:1331–1344. 2017. View Article : Google Scholar : PubMed/NCBI

18 

Huang Y, Li Z, Zhong Q, Li G, Zhang Y and Huang Z: Association of TBX2 and P21 expression with clinicopathological features and survival of laryngeal squamous cell carcinoma. Int J Clin Exp Med. 7:5394–5402. 2014.PubMed/NCBI

19 

Zhang Z and Guo Y: High TBX2 expression predicts poor prognosis in non-small cell lung cancer. Neoplasma. 61:476–480. 2014. View Article : Google Scholar : PubMed/NCBI

20 

Yu H, Liu BO, Liu A, Li K and Zhao H: T-box 2 expression predicts poor prognosis in gastric cancer. Oncol Lett. 10:1689–1693. 2015. View Article : Google Scholar : PubMed/NCBI

21 

Mahlamäki EH, Bärlund M, Tanner M, Gorunova L, Höglund M, Karhu R and Kallioniemi A: Frequent amplification of 8q24, 11q, 17q, and 20q-specific genes in pancreatic cancer. Genes Chromosomes Cancer. 35:353–358. 2002. View Article : Google Scholar : PubMed/NCBI

22 

Davis E, Teng H, Bilican B, Parker MI, Liu B, Carriera S, Goding CR and Prince S: Ectopic Tbx2 expression results in polyploidy and cisplatin resistance. Oncogene. 27:976–984. 2008. View Article : Google Scholar : PubMed/NCBI

23 

Wansleben S, Davis E, Peres J and Prince S: A novel role for the anti-senescence factor TBX2 in DNA repair and cisplatin resistance. Cell Death Dis. 4:e8462013. View Article : Google Scholar : PubMed/NCBI

24 

Ismail A and Bateman A: Expression of TBX2 promotes anchorage-independent growth and survival in the p53-negative SW13 adrenocortical carcinoma. Cancer Lett. 278:230–240. 2009. View Article : Google Scholar : PubMed/NCBI

25 

Inoue Y, Fukuda T, Nanno S, Awazu Y, Shimomura M, Matsubara H, Yamauchi M, Yasui T and Sumi T: T-box 2 expression is a useful indicator of the response to neoadjuvant chemotherapy for patients with locally advanced uterine cervical squamous cell carcinoma. Oncol Lett. 22:7552021. View Article : Google Scholar : PubMed/NCBI

26 

Tasaka R, Fukuda T, Shimomura M, Inoue Y, Wada T, Kawanishi M, Yasui T and Sumi T: TBX2 expression is associated with platinum-sensitivity of ovarian serous carcinoma. Oncol Lett. 15:3085–3090. 2018.PubMed/NCBI

27 

Sinicrope FA, Ruan SB, Cleary KR, Stephens LC, Lee JJ and Levin B: bcl-2 and p53 oncoprotein expression during colorectal tumorigenesis. Cancer Res. 55:237–241. 1995.PubMed/NCBI

28 

Livak KJ and Schmittgen TD: Analysis of relative gene expression data using real-time quantitative PCR and the 2(-Delta Delta C(T)) method. Methods. 25:402–408. 2001. View Article : Google Scholar : PubMed/NCBI

29 

de Sanjose S, Quint WG, Alemany L, Geraets DT, Klaustermeier JE, Lloveras B, Tous S, Felix A, Bravo LE, Shin HR, et al: Human papillomavirus genotype attribution in invasive cervical cancer: A retrospective cross-sectional worldwide study. Lancet Oncol. 11:1048–1056. 2010. View Article : Google Scholar : PubMed/NCBI

30 

Peres J, Davis E, Mowla S, Bennett DC, Li JA, Wansleben S and Prince S: The highly homologous T-box transcription factors, TBX2 and TBX3, have distinct roles in the oncogenic process. Genes Cancer. 1:272–282. 2010. View Article : Google Scholar : PubMed/NCBI

31 

Jacobs JJ, Keblusek P, Robanus-Maandag E, Kristel P, Lingbeek M, Nederlof PM, van Welsem T, van de Vijver MJ, Koh EY, Daley GQ and van Lohuizen M: Senescence bypass screen identifies TBX2, which represses Cdkn2a (p19(ARF)) and is amplified in a subset of human breast cancers. Nat Genet. 26:291–299. 2000. View Article : Google Scholar : PubMed/NCBI

32 

Fujiwara K, Daido S, Yamamoto A, Kobayashi R, Yokoyama T, Aoki H, Iwado E, Shinojima N, Kondo Y and Kondo S: Pivotal role of the cyclin-dependent kinase inhibitor p21WAF1/CIP1 in apoptosis and autophagy. J Biol Chem. 283:388–397. 2008. View Article : Google Scholar : PubMed/NCBI

33 

Wang H, Zhu LJ, Yang YC, Wang ZX and Wang R: MiR-224 promotes the chemoresistance of human lung adenocarcinoma cells to cisplatin via regulating G1/S transition and apoptosis by targeting p21(WAF1/CIP1). Br J Cancer. 111:339–354. 2014. View Article : Google Scholar : PubMed/NCBI

34 

Awazu Y, Fukuda T, Noda T, Uchikura E, Nanno S, Imai K, Yamauchi M, Yasui T and Sumi T: CLPTM1L expression predicts recurrence of patients with intermediate- and high-risk stage IB-IIB cervical cancer undergoing radical hysterectomy followed by TP as adjuvant chemotherapy. Oncol Lett. 26:3532023. View Article : Google Scholar : PubMed/NCBI

Related Articles

  • Abstract
  • View
  • Download
  • Twitter
Copy and paste a formatted citation
Spandidos Publications style
Noda T, Fukuda T, Uchikura E, Awazu Y, Wada T, Tasaka R, Yamauchi M, Yasui T and Sumi T: Predicting recurrence in intermediate‑ and high‑risk stage IB‑IIB cervical cancer treated with adjuvant cisplatin and paclitaxel chemotherapy post‑radical hysterectomy: The role of TBX2 expression. Oncol Lett 28: 414, 2024.
APA
Noda, T., Fukuda, T., Uchikura, E., Awazu, Y., Wada, T., Tasaka, R. ... Sumi, T. (2024). Predicting recurrence in intermediate‑ and high‑risk stage IB‑IIB cervical cancer treated with adjuvant cisplatin and paclitaxel chemotherapy post‑radical hysterectomy: The role of TBX2 expression. Oncology Letters, 28, 414. https://doi.org/10.3892/ol.2024.14547
MLA
Noda, T., Fukuda, T., Uchikura, E., Awazu, Y., Wada, T., Tasaka, R., Yamauchi, M., Yasui, T., Sumi, T."Predicting recurrence in intermediate‑ and high‑risk stage IB‑IIB cervical cancer treated with adjuvant cisplatin and paclitaxel chemotherapy post‑radical hysterectomy: The role of TBX2 expression". Oncology Letters 28.3 (2024): 414.
Chicago
Noda, T., Fukuda, T., Uchikura, E., Awazu, Y., Wada, T., Tasaka, R., Yamauchi, M., Yasui, T., Sumi, T."Predicting recurrence in intermediate‑ and high‑risk stage IB‑IIB cervical cancer treated with adjuvant cisplatin and paclitaxel chemotherapy post‑radical hysterectomy: The role of TBX2 expression". Oncology Letters 28, no. 3 (2024): 414. https://doi.org/10.3892/ol.2024.14547
Copy and paste a formatted citation
x
Spandidos Publications style
Noda T, Fukuda T, Uchikura E, Awazu Y, Wada T, Tasaka R, Yamauchi M, Yasui T and Sumi T: Predicting recurrence in intermediate‑ and high‑risk stage IB‑IIB cervical cancer treated with adjuvant cisplatin and paclitaxel chemotherapy post‑radical hysterectomy: The role of TBX2 expression. Oncol Lett 28: 414, 2024.
APA
Noda, T., Fukuda, T., Uchikura, E., Awazu, Y., Wada, T., Tasaka, R. ... Sumi, T. (2024). Predicting recurrence in intermediate‑ and high‑risk stage IB‑IIB cervical cancer treated with adjuvant cisplatin and paclitaxel chemotherapy post‑radical hysterectomy: The role of TBX2 expression. Oncology Letters, 28, 414. https://doi.org/10.3892/ol.2024.14547
MLA
Noda, T., Fukuda, T., Uchikura, E., Awazu, Y., Wada, T., Tasaka, R., Yamauchi, M., Yasui, T., Sumi, T."Predicting recurrence in intermediate‑ and high‑risk stage IB‑IIB cervical cancer treated with adjuvant cisplatin and paclitaxel chemotherapy post‑radical hysterectomy: The role of TBX2 expression". Oncology Letters 28.3 (2024): 414.
Chicago
Noda, T., Fukuda, T., Uchikura, E., Awazu, Y., Wada, T., Tasaka, R., Yamauchi, M., Yasui, T., Sumi, T."Predicting recurrence in intermediate‑ and high‑risk stage IB‑IIB cervical cancer treated with adjuvant cisplatin and paclitaxel chemotherapy post‑radical hysterectomy: The role of TBX2 expression". Oncology Letters 28, no. 3 (2024): 414. https://doi.org/10.3892/ol.2024.14547
Follow us
  • Twitter
  • LinkedIn
  • Facebook
About
  • Spandidos Publications
  • Careers
  • Cookie Policy
  • Privacy Policy
How can we help?
  • Help
  • Live Chat
  • Contact
  • Email to our Support Team