Spandidos Publications Logo
  • About
    • About Spandidos
    • Aims and Scopes
    • Abstracting and Indexing
    • Editorial Policies
    • Reprints and Permissions
    • Job Opportunities
    • Terms and Conditions
    • Contact
  • Journals
    • All Journals
    • Oncology Letters
      • Oncology Letters
      • Information for Authors
      • Editorial Policies
      • Editorial Board
      • Aims and Scope
      • Abstracting and Indexing
      • Bibliographic Information
      • Archive
    • International Journal of Oncology
      • International Journal of Oncology
      • Information for Authors
      • Editorial Policies
      • Editorial Board
      • Aims and Scope
      • Abstracting and Indexing
      • Bibliographic Information
      • Archive
    • Molecular and Clinical Oncology
      • Molecular and Clinical Oncology
      • Information for Authors
      • Editorial Policies
      • Editorial Board
      • Aims and Scope
      • Abstracting and Indexing
      • Bibliographic Information
      • Archive
    • Experimental and Therapeutic Medicine
      • Experimental and Therapeutic Medicine
      • Information for Authors
      • Editorial Policies
      • Editorial Board
      • Aims and Scope
      • Abstracting and Indexing
      • Bibliographic Information
      • Archive
    • International Journal of Molecular Medicine
      • International Journal of Molecular Medicine
      • Information for Authors
      • Editorial Policies
      • Editorial Board
      • Aims and Scope
      • Abstracting and Indexing
      • Bibliographic Information
      • Archive
    • Biomedical Reports
      • Biomedical Reports
      • Information for Authors
      • Editorial Policies
      • Editorial Board
      • Aims and Scope
      • Abstracting and Indexing
      • Bibliographic Information
      • Archive
    • Oncology Reports
      • Oncology Reports
      • Information for Authors
      • Editorial Policies
      • Editorial Board
      • Aims and Scope
      • Abstracting and Indexing
      • Bibliographic Information
      • Archive
    • Molecular Medicine Reports
      • Molecular Medicine Reports
      • Information for Authors
      • Editorial Policies
      • Editorial Board
      • Aims and Scope
      • Abstracting and Indexing
      • Bibliographic Information
      • Archive
    • World Academy of Sciences Journal
      • World Academy of Sciences Journal
      • Information for Authors
      • Editorial Policies
      • Editorial Board
      • Aims and Scope
      • Abstracting and Indexing
      • Bibliographic Information
      • Archive
    • International Journal of Functional Nutrition
      • International Journal of Functional Nutrition
      • Information for Authors
      • Editorial Policies
      • Editorial Board
      • Aims and Scope
      • Abstracting and Indexing
      • Bibliographic Information
      • Archive
    • International Journal of Epigenetics
      • International Journal of Epigenetics
      • Information for Authors
      • Editorial Policies
      • Editorial Board
      • Aims and Scope
      • Abstracting and Indexing
      • Bibliographic Information
      • Archive
    • Medicine International
      • Medicine International
      • Information for Authors
      • Editorial Policies
      • Editorial Board
      • Aims and Scope
      • Abstracting and Indexing
      • Bibliographic Information
      • Archive
  • Articles
  • Information
    • Information for Authors
    • Information for Reviewers
    • Information for Librarians
    • Information for Advertisers
    • Conferences
  • Language Editing
Spandidos Publications Logo
  • About
    • About Spandidos
    • Aims and Scopes
    • Abstracting and Indexing
    • Editorial Policies
    • Reprints and Permissions
    • Job Opportunities
    • Terms and Conditions
    • Contact
  • Journals
    • All Journals
    • Biomedical Reports
      • Information for Authors
      • Editorial Policies
      • Editorial Board
      • Aims and Scope
      • Abstracting and Indexing
      • Bibliographic Information
      • Archive
    • Experimental and Therapeutic Medicine
      • Information for Authors
      • Editorial Policies
      • Editorial Board
      • Aims and Scope
      • Abstracting and Indexing
      • Bibliographic Information
      • Archive
    • International Journal of Epigenetics
      • Information for Authors
      • Editorial Policies
      • Editorial Board
      • Aims and Scope
      • Abstracting and Indexing
      • Bibliographic Information
      • Archive
    • International Journal of Functional Nutrition
      • Information for Authors
      • Editorial Policies
      • Editorial Board
      • Aims and Scope
      • Abstracting and Indexing
      • Bibliographic Information
      • Archive
    • International Journal of Molecular Medicine
      • Information for Authors
      • Editorial Policies
      • Editorial Board
      • Aims and Scope
      • Abstracting and Indexing
      • Bibliographic Information
      • Archive
    • International Journal of Oncology
      • Information for Authors
      • Editorial Policies
      • Editorial Board
      • Aims and Scope
      • Abstracting and Indexing
      • Bibliographic Information
      • Archive
    • Medicine International
      • Information for Authors
      • Editorial Policies
      • Editorial Board
      • Aims and Scope
      • Abstracting and Indexing
      • Bibliographic Information
      • Archive
    • Molecular and Clinical Oncology
      • Information for Authors
      • Editorial Policies
      • Editorial Board
      • Aims and Scope
      • Abstracting and Indexing
      • Bibliographic Information
      • Archive
    • Molecular Medicine Reports
      • Information for Authors
      • Editorial Policies
      • Editorial Board
      • Aims and Scope
      • Abstracting and Indexing
      • Bibliographic Information
      • Archive
    • Oncology Letters
      • Information for Authors
      • Editorial Policies
      • Editorial Board
      • Aims and Scope
      • Abstracting and Indexing
      • Bibliographic Information
      • Archive
    • Oncology Reports
      • Information for Authors
      • Editorial Policies
      • Editorial Board
      • Aims and Scope
      • Abstracting and Indexing
      • Bibliographic Information
      • Archive
    • World Academy of Sciences Journal
      • Information for Authors
      • Editorial Policies
      • Editorial Board
      • Aims and Scope
      • Abstracting and Indexing
      • Bibliographic Information
      • Archive
  • Articles
  • Information
    • For Authors
    • For Reviewers
    • For Librarians
    • For Advertisers
    • Conferences
  • Language Editing
Login Register Submit
  • This site uses cookies
  • You can change your cookie settings at any time by following the instructions in our Cookie Policy. To find out more, you may read our Privacy Policy.

    I agree
Search articles by DOI, keyword, author or affiliation
Search
Advanced Search
presentation
Oncology Letters
Join Editorial Board Propose a Special Issue
Print ISSN: 1792-1074 Online ISSN: 1792-1082
Journal Cover
January-2025 Volume 29 Issue 1

Full Size Image

Sign up for eToc alerts
Recommend to Library

Journals

International Journal of Molecular Medicine

International Journal of Molecular Medicine

International Journal of Molecular Medicine is an international journal devoted to molecular mechanisms of human disease.

International Journal of Oncology

International Journal of Oncology

International Journal of Oncology is an international journal devoted to oncology research and cancer treatment.

Molecular Medicine Reports

Molecular Medicine Reports

Covers molecular medicine topics such as pharmacology, pathology, genetics, neuroscience, infectious diseases, molecular cardiology, and molecular surgery.

Oncology Reports

Oncology Reports

Oncology Reports is an international journal devoted to fundamental and applied research in Oncology.

Experimental and Therapeutic Medicine

Experimental and Therapeutic Medicine

Experimental and Therapeutic Medicine is an international journal devoted to laboratory and clinical medicine.

Oncology Letters

Oncology Letters

Oncology Letters is an international journal devoted to Experimental and Clinical Oncology.

Biomedical Reports

Biomedical Reports

Explores a wide range of biological and medical fields, including pharmacology, genetics, microbiology, neuroscience, and molecular cardiology.

Molecular and Clinical Oncology

Molecular and Clinical Oncology

International journal addressing all aspects of oncology research, from tumorigenesis and oncogenes to chemotherapy and metastasis.

World Academy of Sciences Journal

World Academy of Sciences Journal

Multidisciplinary open-access journal spanning biochemistry, genetics, neuroscience, environmental health, and synthetic biology.

International Journal of Functional Nutrition

International Journal of Functional Nutrition

Open-access journal combining biochemistry, pharmacology, immunology, and genetics to advance health through functional nutrition.

International Journal of Epigenetics

International Journal of Epigenetics

Publishes open-access research on using epigenetics to advance understanding and treatment of human disease.

Medicine International

Medicine International

An International Open Access Journal Devoted to General Medicine.

Journal Cover
January-2025 Volume 29 Issue 1

Full Size Image

Sign up for eToc alerts
Recommend to Library

  • Article
  • Citations
    • Cite This Article
    • Download Citation
    • Create Citation Alert
    • Remove Citation Alert
    • Cited By
  • Similar Articles
    • Related Articles (in Spandidos Publications)
    • Similar Articles (Google Scholar)
    • Similar Articles (PubMed)
  • Download PDF
  • Download XML
  • View XML
Article

Immunoexpression of autophagy‑related proteins in a single‑center series of sporadic adult conventional clival chordomas

  • Authors:
    • Cristina Pizzimenti
    • Antonello Curcio
    • Vincenzo Fiorentino
    • Antonino Germanò
    • Maurizio Martini
    • Antonio Ieni
    • Giovanni Tuccari
  • View Affiliations / Copyright

    Affiliations: Department of Human Pathology in Adult and Developmental Age ‘Gaetano Barresi’ Section of Pathology, University of Messina, I‑98125 Messina, Italy, Department of Biomedical, Dental, Morphological and Functional Imaging Sciences, University of Messina, I‑98125 Messina, Italy
  • Article Number: 32
    |
    Published online on: October 25, 2024
       https://doi.org/10.3892/ol.2024.14778
  • Expand metrics +
Metrics: Total Views: 0 (Spandidos Publications: | PMC Statistics: )
Metrics: Total PDF Downloads: 0 (Spandidos Publications: | PMC Statistics: )
Cited By (CrossRef): 0 citations Loading Articles...

This article is mentioned in:



Abstract

Autophagy is a biological process that facilitates the degradation and removal of damaged structures and macromolecules. In neoplasms, autophagy has been proposed to play a dual role, functioning either as a tumor promoter or a tumor suppressor. To date, no comprehensive analysis of autophagy, primarily through immunohistochemical investigation of autophagy‑related proteins (ATGs), has been conducted in chordomas (CHs), which are rare bone tumors that arise from remnants of the notochord. The present study aimed to investigate the immunoexpression of several ATGs, including microtubule‑associated protein 1 light chain 3 (LC3A/B), Sequestosome‑1 (p62) and autophagy and Beclin 1 regulator 1 (AMBRA‑1) in a series of sporadic adult conventional clival CHs collected from a single neuropathological center in southern Italy. Immunohistochemical analysis revealed that LC3A/B, p62 and AMBRA‑1 were exclusively found in neoplastic cells, with no expression detected in the surrounding stromal cells. Both LC3A/B and p62 were expressed in the cytoplasm and nucleus of neoplastic cells, while AMBRA‑1 was predominantly localized in the cytoplasm. In all cases of CHs, p62 was consistently and highly expressed, whereas a similarly high expression of LC3A/B was observed in five cases, four of which were characterized by neoplastic recurrence and partial resection. Low immunoreactivity was noted in seven out of 10 cases (70%), while three recurrent cases exhibited high levels of AMBRA‑1 immunostaining. Statistical analysis using Fisher's exact test revealed significant P‑values for LC3A/B (P=0.048), AMBRA‑1 (P=0.033), Ki‑67 (P=0.048) and surgical treatment (P=0.048). Consequently, a negative prognostic role for these two ATGs may be hypothesized in the development of CHs.

Introduction

The autophagic flux is a catabolic biological process that maintains cellular homeostasis through various functions, including the degradation and removal of damaged substrates and macromolecules (1–3). Autophagic activity increases under stress, with the formation of autophagosomes regulated by several autophagy-related proteins (ATGs) (4). Autophagy may play a dual role, acting as either a tumor promoter or a tumor suppressor in different human tumors (5,6).

Chordomas (CHs) are rare bone tumors that originate from remnants of the notochord, likely driven by brachyury activation, and account for approximately 1.5% of primary malignant bone tumors (7). They can occur along the midline of the spine, extending from the clivus to the sacrum, and are located anterior to the spinal cord (8). CHs typically affect adults, although some cases have been also reported in children. The most common site for CHs is the sacrum-coccygeal region (50%), followed by the clivus and spheno-occipital area (30–35%). The remaining 10–15% are found in the vertebral body (9). The physical findings and clinical signs associated with CHs depend on their specific location. Clival and skull base CHs typically present with headaches, cranial neuropathies, endocrinopathies, and, rarely, rhinorrhea due to cerebrospinal fluid leaks (8). Vertebral and sacral CHs often exhibit nonspecific localized pain and may lead to pathological fractures, radiculopathy, or myelopathy, as well as dysfunction of the bladder and bowel due to involvement of the autonomic nervous system (8). The evaluation of CHs relies on imaging techniques such as computed tomography (CT) and magnetic resonance imaging (MRI). CT is more effective in demonstrating lytic bone destruction and irregular dystrophic calcification (8), while MRI provides better delineation of the extent of CHs, typically showing lower signal intensity on T1-weighted images and heterogeneous contrast enhancement or hyperintensity with gadolinium contrast (10).

The main macroscopic findings of CHs consist of firm masses that may contain fluid, gelatinous substances, and/or areas of hemorrhage and necrosis. Additionally, calcification and sequestered bone fragments may be present (11). Microscopically, CHs are characterized by the presence of typical ‘physaliphorous’ cells, which exhibit vacuoles in their bubbly cytoplasm (7,11). Currently, three subtypes of CHs are recognized: conventional, chondroid, and poorly differentiated/dedifferentiated, with the latter being the least common and associated with the poorest prognosis (8,11).

Although an association between the development of CHs and autophagic flux can be hypothesized, similar to findings documented in other intracranial and bone malignancies (2,12), the role of ATGs is yet to be fully elucidated. Therefore, this study aimed to investigate the immunoexpression of certain ATGs, including microtubule-associated protein 1 light chain 3 (LC3A/B), p62, and activating molecule in Beclin-1 regulated autophagy (AMBRA-1), in our series of sporadic adult conventional clival CHs.

Materials and methods

The analysis was conducted according to the Good Clinical Practice guidelines and the Declaration of Helsinki (1975, revised in 2013). Prior to the surgical procedures, all patients provided written, anonymized, and informed consent. Pathology reports and medical records were thoroughly reviewed. Patients' initials and other personal identifiers were removed from all images. The Institutional Review Board of the University Hospital of Messina (Messina, Italy) approved this study (prot. N. 47/19; May 2, 2019).

Case selection

A cohort of 10 cases of clival CHs removed through neurological resection and collected between 2011 and 2022 was obtained from the archives of the Department of Human Pathology of Adult and Developmental Age at the University of Messina, Messina, Italy. Clinical and pathological parameters, including age, sex, tumor site, growth fraction, neurological status, imaging appearance, surgical/radiotherapeutic treatment, and clinical course, were collected for all cases of clival CHs. Follow-up data were available for eight out of the 10 cases. All patients underwent gadolinium contrast-enhanced T1, T2, FLAIR, and MPR brain MRI, supplemented with CT scans for surgical navigation and when intralesional calcifications were observed.

Immunohistochemistry

The immunohistochemical analysis was performed on 5-micron thick sections taken from paraffin-embedded tissue blocks. The sections were deparaffinized and washed using a descending alcohol gradient. A treatment with 3% hydrogen peroxide for 10 min was employed to eliminate endogenous peroxidase activity. After three rinses in deionized water, the sections were incubated for 30 min at room temperature with normal sheep serum to prevent nonspecific protein binding. Subsequently, the sections were incubated for 30 min at 37°C with primary polyclonal rabbit anti-human antisera against p62 (working dilution 1:250; Abcam), AMBRA-1 (working dilution 1:250; Abcam), and LC3A/B (working dilution 1:100; Abcam). Following three rinses with phosphate-buffered saline (PBS), the sections were incubated with a biotinylated goat anti-rabbit IgG secondary antibody (1:300; Abcam) for 20 min at room temperature. Finally, the sections were incubated with a horseradish peroxidase-labeled secondary antibody for 30 min, and the immunoreaction was visualized using diaminobenzidine tetrahydrochloride and counterstained with hematoxylin, utilizing the ULTRA Staining System (Ventana Medical Systems). Specific primary antisera were omitted and replaced with PBS to serve as negative controls.

The intensity of positive cells for p62, AMBRA-1, and LC3A/B was recorded according to previously reported immunohistochemical methods. The cytoplasmic staining intensity was rated as follows: 0, negative; 1, weak; and 2, strong. The percentage of positive cells was scored as follows: grade 0, 0–5%; grade 1, >5-25%; grade 2, >25-50%; grade 3, >50-75%; and grade 4, >75-100% for all ATGs. Immunohistochemical scores were independently assigned by two pathologists (AI and GT), who were blinded to patient information and other clinical characteristics. Scoring was conducted using a Zeiss Axioskop microscope (Carl Zeiss Microscopy GmbH) at 40× objective magnification. A kappa value ranging from 0.73 to 0.80 (substantial agreement) was documented for interobserver agreement.

Multiplying the staining intensity by the percentage of positive cells yielded a final score ranging from 0 to 6. Cases with an immunoreactive score of 0 to 3 were considered negative, while those with a score of 4 to 6 were classified as positive.

Ki-67 antiserum (clone MIB-1, dilution 1:100, Dako Corp., Glostrup, Denmark) was applied to slides for 30 min at room temperature to determine the growth fraction of meningiomas. This was preceded by antigen retrieval, which was performed three times in 0.01 M citrate buffer (pH: 6.0) using a microwave oven set to 750 W. The Ki-67 labeling index (LI) was calculated as the mean percentage of stained nuclei by counting 1,000 tumor cells across three representative neoplastic fields. A median Ki-67 LI value of 3% was established as the cut-off point to differentiate between low and high Ki-67 expression.

Statistical analysis

Statistical evaluation was performed using the SPSS version 13.0 software package (SPSS, Inc.). The Chi-square (χ2) test or Fisher's exact test was employed to analyze the relationship between autophagic immunoexpression markers (LC3A/B, p62, and AMBRA-1) and various clinicopathological parameters (age, sex, growth fraction, neoplastic volume, and surgical treatment), in relation to recurrence. A p-value of less than 0.05 was considered statistically significant.

Results

The clinico-surgical, pathological, and therapeutic features of clival CHs in this study are summarized in Table I.

Table I.

Clinical, surgical, pathological and therapeutic features of CHs.

Table I.

Clinical, surgical, pathological and therapeutic features of CHs.

SexAgeSiteAssociated diseasesNeurological statusMRISize (cm)Volume (cm3)Treatment Endoscopic endonasalRTRecurrence
F70ClivusHypertension,Strabismus, dysarthria,Non-homogenous,2.2×2.3×2.517Partial removalNoYes
Diabetes IIleft hemiparesisdiscrete enhancement
M48Clivus-DysphagiaNon-enhancing1.7×1.5×13Complete removalNoNo
F77Clivus with retroHypertension,Left hemiparesisNon-homogenous2×2×18Partial removalYesYes
and intrasellarDiabetes II, Goiter weak enhancement
with calcifications
M26Clivus with-Diplopia Right VI cnNon-homogenous3×3×218Complete removalNoNA
retroclival and intrasellar paresisweak enhancement
M40Middle clivus,Esophageal achalasia,NegativeNon-homogenous2×1×23Complete removalNoNo
retroclival andsarcoma, bladder weak enhancement
intrasellarcarcinoma
M63Inferior clivusHypertensionArms paresthesiaIsointense4×3×448Partial removalYesYes
Diabetes II non-enhancing,
calcifications
F58ClivusCharcot-Marie ToothWalking deficits LeftNon-enhancing4×4×318Partial removalYesNo
1A Diabetes II Bell paralysishemiparesis
M68Clivus-Left hemiparesisNon-homogenous3×2×210Partial removalYesYes
weak enhancement
F75Inferior clivusHypertensionNegativeIsointense non-enhancing,2×2×16Complete removalNoNo
Diabetes II calcifications
M65Clivus-DiplopiaNon-homogenous weak1.9×1.8×14Complete removalNoNo
enhancement

[i] MRI, magnetic resonance imaging; NA, not available; RT, radiotherapy.

The patient ages ranged from 26 to 77 years (mean 59 years), with a male-to-female (M:F) ratio of 6:4. All tumors were located in the clivus, occasionally extending into the middle or inferior portions with retroclival involvement. Upon admission, patients presented with a wide array of neurological symptoms, ranging from asymptomatic cases (where the lesion was discovered during a CT scan for oncological follow-up of urothelial carcinoma) to cranial nerve deficits (diplopia, dysphagia, and strabismus), arm paresthesia, and walking deficits.

Lesions appeared as solid masses isointense to brain parenchyma in both standard T1 and T2-weighted images (Fig. 1A and B). Following contrast administration, a wide range of enhancement was observed, from non-enhancement in three cases, weak enhancement in three cases, to discrete enhancement in the last case. Calcifications were noted in two cases. In one case, the CH remained confined to the occipital bone, while in the remaining cases, it extended extradurally in all directions, including the cervical spine at the level of the extracanalar laterocervical area, the posterior cranial fossa, cavernous sinus, Meckel's cave, sphenoidal sinus, and intrasellar region, resulting in compression of the pituitary gland. The mean tumor size was 2,61 cm (range: 1,7-4 cm), with the mean neoplastic volume measured at 13,5 cm3 (range: 3–48 cm3). MRI findings were available for all cases. The follow-up period for patients ranged from one to 60 months, with a mean follow-up of 18.8 months. The associated disease, neurological status, and magnetic resonance features are described in Table I. Surgical treatment was performed via endonasal endoscopy in all cases, achieving complete removal of the clival CH in five cases. Radiotherapy was not administered in six cases, while three cases received stereotactic radiotherapy with a 30 Gy isodose delivered in five fractions, and one case underwent proton beam therapy at 74 Gy. During the follow-up period, no patients died from the disease; however, one patient was lost to follow-up, and there was no record of ongoing therapy. Another patient refused radiotherapy and experienced an increase in the residual lesion a few months postoperatively. Four patients experienced disease recurrence at one, nine, and 17 months, respectively.

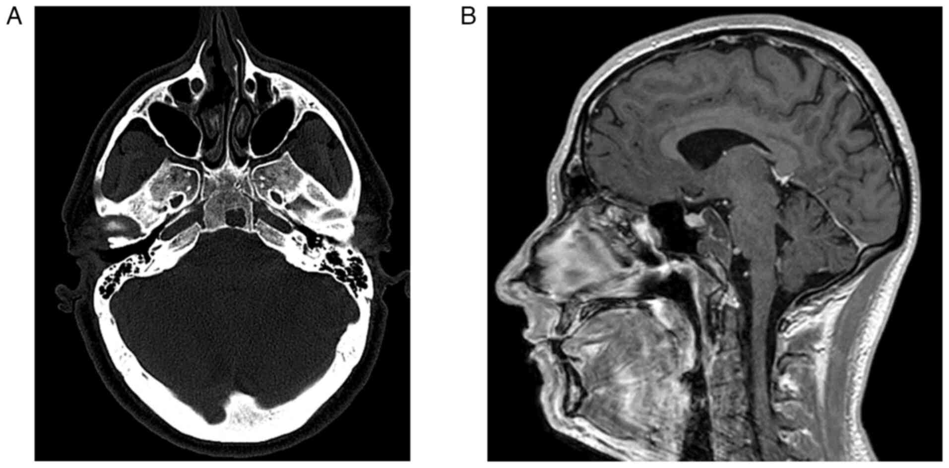
Figure 1.

(A) Computed tomography scan with bone reconstruction algorithm showing a small non-enhancing bone lytic lesion with irregular borders at the level of the middle clivus. The lesion measured 1.7×1.5×1 cm and was centered in the right paramedian area. (B) Contrast-enhanced magnetic resonance study revealing a clival lesion with moderate enhancement, infiltrating and replacing the upper half of the clival cortical bone, extending widely toward the prepontine cistern. The lesion measures ~32×30×20 mm, infiltrates the dorsum sellae and shows close continuity with the pituitary gland, both carotid arteries, and the basilar trunk, reaching the sphenoid sinus.

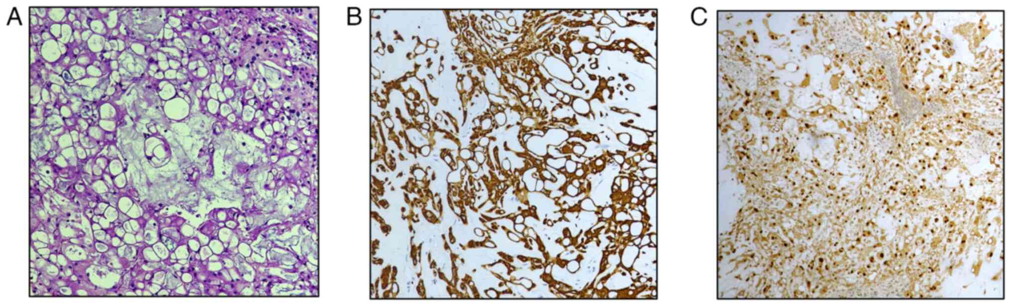
All cases exhibited the classical appearance of CH with typical physaliphorous cells (Fig. 2A) and consistent immunoexpression of cytokeratin (CK) AE1/AE3 (Fig. 2B), CK 8, CK 18, CK 19, epithelial membrane antigen (EMA), and S100 protein. In contrast, they were negative for CK 7 and CK 20. Additionally, a clear nuclear expression of Brachyury was demonstrated (Fig. 2C), as reported in other studies on CHs (11,13).

Figure 2.

(A) Characteristic microscopic appearance of physaliphorous cells present in CHs (hematoxylin and eosin; magnification, ×200); (B) the same elements exhibited evident cytoplasmic immunoreactivity for CK AE1/AE3 (Haemalum's counterstain; magnification, ×160); and (C) nuclear staining for Brachyury (magnification, ×160). CHs, chordomas; CK, cytokeratin.

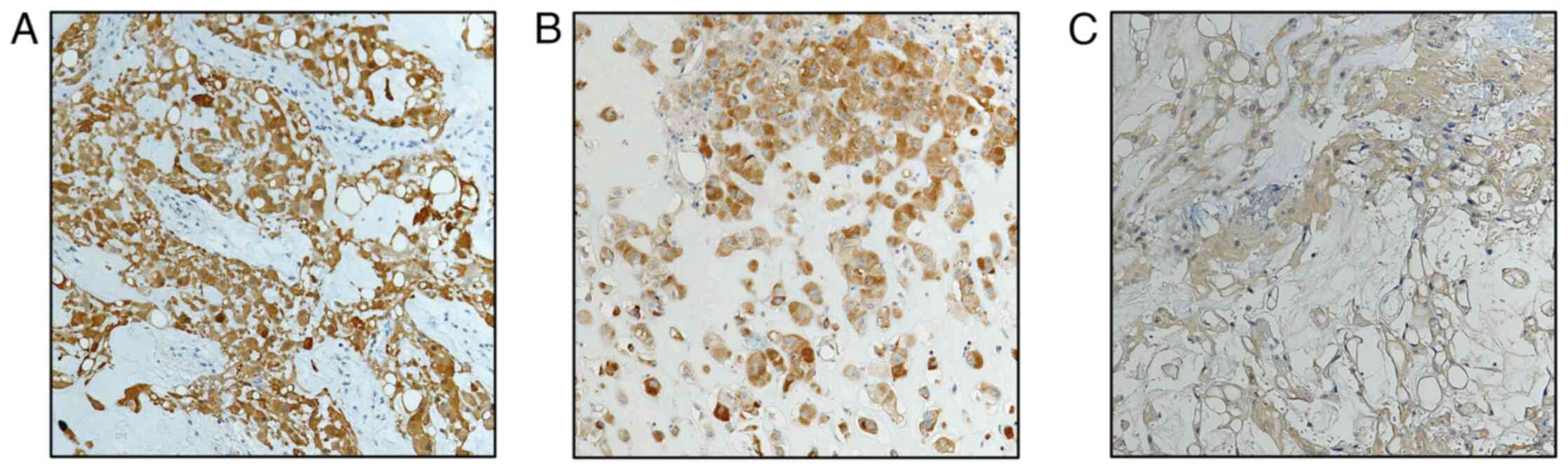
Immunostaining for LC3A/B (Fig. 3A), p62 (Fig. 3B), and AMBRA-1 (Fig. 3C) was exclusively observed in neoplastic cells, with no expression detected in the surrounding stromal cells. Both LC3A/B and p62 were expressed in the cytoplasm and nucleus of neoplastic cells (Fig. 3A and B), while AMBRA-1 was predominantly localized in the cytoplasm (Fig. 3C). All CH cases exhibited a constant high immunoreactivity for p62. In contrast, low LC3A/B staining was found in five out of 10 cases (50%), while five cases demonstrated high LC3A/B immunoexpression; four of these cases were characterized by neoplastic recurrence and partial removal. Finally, AMBRA-1 low immunoreactivity was noted in seven out of 10 cases (70%), while three recurrent cases exhibited high AMBRA-1 immunostaining. In terms of growth fraction, five cases were considered high Ki-67 expression, with a Ki-67 LI >3%, four of which had undergone partial neoplastic removal and showed evidence of recurrence.

Figure 3.

(A) LC3A/B (magnification, ×160) and (B) p62 (magnification, ×160) were clearly expressed in both the cytoplasm and nucleus of neoplastic elements in CHs, while (C) AMBRA-1 was preferentially and slightly localized in the cytoplasm (magnification 160X). LC3A/B, microtubule-associated protein 1 light chain 3; p62, ubiquitin-binding protein 62; AMBRA-1, Beclin 1 regulator 1.

Utilizing Fisher's exact test revealed significant P-values for LC3A/B (0.048), AMBRA-1 (0.033), Ki-67 (0.048), and surgical treatment (0.048) (Table II).

Table II.

Clinico-pathological and immunohistochemical features of autophagic proteins (p62, LC3A/B and AMBRA 1) in relation to neoplastic recurrence in chordomas.

Table II.

Clinico-pathological and immunohistochemical features of autophagic proteins (p62, LC3A/B and AMBRA 1) in relation to neoplastic recurrence in chordomas.

FeatureNo recurrenceRecurrenceP-valueOR (95% CI)
Age 1.00
  <6040 0.500 (0.037 to 6.680)
  ≥6024
Sex 0.076
  Male42 0.062 (0.001 to 1.684)
  Female22
p62 1.00
  Low00 1.444 (0.024 to 87.250)
  High64
LC3A/B 0.048
  Low50 0.030 (0.001 to 0.940)
  High14
AMBRA 1 0.033
  Low61 0.032 (0.001 to 1.044)
  High03
Ki67 0.048
  <3%50 0.030 (0.001 to 0.940)
  ≥3%14
Volume 1.00
  <13.5 cm42 0.500 (0.037 to 6.680)
  ≥13.5 cm22
Resection 0.048
  Partial14 33 (1.063 to 1.204)
  Total50

[i] OR, odds ratio; CI, confidence intervals; AMBRA 1, autophagy and Beclin 1 regulator 1; p62, ubiquitin-binding protein 62; LC3A/B, microtubule-associated protein 1 light chain 3.

Discussion

The molecular mechanisms of autophagy and the role of autophagy-targeting agents in human brain neoplasms, particularly gliomas, have been previously investigated (1,2). However, the expression of ATGs has been reported in CHs (7), in which diffuse and strong immunohistochemical expression of p62 has been highlighted, consistent with the findings of the present investigation. The significance of such prominent p62 expression may be related to blocked autophagic degradation, as suggested by Karpathiou et al (7). On the other hand, another significant ATG, LC3A/B, is considered a reliable marker of autophagy and a prognostic factor in various malignant neoplastic conditions (13–15). In CHs, LC3A/B expression has been analyzed, showing negative, mild, moderate, and strong expression based on the number of dots per cell (7); however, no relationships emerged between immunohistochemical findings and neoplastic recurrence. Similarly, AMBRA-1 has been implicated in the autophagy machinery, and its poor prognostic value has been documented in cholangio-pancreatic and prostatic adenocarcinomas, where it is associated with depth of invasion and lymph node metastasis (16,17). Nevertheless, to date, no data regarding AMBRA-1 immunoexpression in CHs have been previously described.

In the present study, we utilized the three aforementioned ATGs and employed a quantitative scoring system (0–3=negative; 4–6=positive) to explore the potential autophagic signature in CHs. Notably, p62 was highly positive in all CH cases, while LC3A/B and AMBRA-1 expressions were positive in 50 and 33% of CH cases, respectively. Interestingly, cases with elevated LC3A/B and AMBRA-1 immunoexpression were significantly associated with tumor recurrence, while p62 was evenly distributed between recurrent and non-recurrent cases. Therefore, the association between LC3A/B and AMBRA-1 allowed us to identify CH cases characterized by tumor recurrence, which also revealed an increased growth fraction (Ki-67 >3) and partial neoplastic resection. Consequently, a negative prognostic role for these two ATGs may be hypothesized in the development of CHs. Although the exact mechanism of activation in CHs remains poorly defined, a possible association between autophagic flux and brachyury activation (13,18) is a well-known molecular abnormality in CHs, similar to that reported in brain gliomas, where autophagy represents a significant phenomenon (1,2). Additionally, we demonstrated that autophagic factors, such as LC3A/B and AMBRA-1, are frequently present in CHs, associated with a strong and diffuse expression of p62, suggesting a blocked autophagic flow in contrast to their normal tissue counterparts.

In general, it is important to note that the present study had certain biases and limitations, primarily due to its retrospective nature. The main constraint was the investigation of specific ATGs exclusively through immunohistochemistry, though autophagy may represent a flux when more adequately and functionally analyzed. Furthermore, autophagy plays a crucial role in the immune tumor microenvironment and is considered significant for all tumors, including rare neoplasms such as sarcomas and CHs. However, only controversial data have been reported regarding the immune microenvironment in CHs (19–21), despite the potential for immunotherapy as a treatment option for these tumors (22). In detail, the analysis of the immune microenvironment in CHs has only recently begun, revealing that macrophages and T-lymphocytes are the most prevalent immune cells and may play critical roles in tumor immune regulation (23,24). Additionally, various cytokines and chemokines, along with other immune checkpoints such as PD-1/PD-L1, CD47/SIRPα, TIM3, and CTLA4, are expressed on the surface of both CH cells and immune cells (23,24). However, some contradictory results require further investigation and interpretation.

Further evidence characterizing the role of the immune tumor microenvironment is essential to enhance our understanding of identifying more aggressive subtypes of CHs after resection. This knowledge could inform decision-making regarding repeated resections for partial removal and adjuvant chemoradiotherapy. In conclusion, while our study represents one of the few reports on the immunohistochemical expression of ATGs in CHs, we hope that a larger series of CH tissue samples will be investigated for autophagic proteins. This investigation should compare their expression with the tumor immune microenvironment, particularly focusing on B cells, considering that PD-L1+ immune cells also express LC3A/B.

Acknowledgements

Not applicable.

Funding

Funding: No funds were received.

Availability of data and materials

The data generated in the present study may be requested from the corresponding author.

Authors' contributions

CP, AI and GT developed the study design and the manuscript draft. CP, AC, VF, MM and AG were involved in data acquisition and interpretation. AI and GT reviewed the manuscript. AG and GT confirmed the authenticity of all the raw data. All authors read and approved the final version of the manuscript.

Ethics approval and consent to participate

The analysis was conducted according to the Good Clinical Practice guidelines and the Declaration of Helsinki (1975, revised in 2013). Prior to surgical procedures, all patients provided written, anonymized and informed consent. Pathology reports and medical records were thoroughly reviewed. Patients' initials or other personal identifiers were removed from all images. The Institutional Review Board of the University Hospital of Messina (Messina, Italy) approved this study (approval no. N. 47/19; May 2, 2019).

Patient consent for publication

Written informed consent was obtained from all patients for the publication of their data.

Competing interests

No competing interests have been declared.

References

1 

Ieni A, Pizzimenti C, Broggi G, Caltabiano R, Germanò A, Barbagallo GMV, Vigneri P, Giuffrè G and Tuccari G: Immunoexpression of p62/SQSTM1/Sequestosome-1 in human primary and recurrent IDH1/2 wild-type glioblastoma: A pilot study. Oncol Lett. 24:3362022. View Article : Google Scholar : PubMed/NCBI

2 

Pizzimenti C, Fiorentino V, Franchina M, Martini M, Giuffrè G, Lentini M, Silvestris N, Di Pietro M, Fadda G, Tuccari G and Ieni A: Autophagic-related proteins in brain gliomas: Role, mechanisms, and targeting agents. Cancers (Basel). 15:26222023. View Article : Google Scholar : PubMed/NCBI

3 

Broggi G, Ieni A, Russo D, Varricchi S, Puzzo L, Russo A, Reibaldi M, Longo A, Tuccari G, Staibano S and Caltabiano R: The macro-autophagy-related protein beclin-1 immunohistochemical expression correlates with tumor cell type and clinical behavior of uveal melanoma. Front Oncol. 10:5898492020. View Article : Google Scholar : PubMed/NCBI

4 

Yun CW and Lee SH: The roles of autophagy in cancer. Int J Mol Sci. 19:34662018. View Article : Google Scholar : PubMed/NCBI

5 

Yun CW, Jeon J, Go G, Lee JH and Lee SH: The dual role of autophagy in cancer development and a therapeutic strategy for cancer by targeting autophagy. Int J Mol Sci. 22:1792020. View Article : Google Scholar : PubMed/NCBI

6 

Singh SS, Vats S, Chia AYQ, Tan TZ, Deng S, Ong MS, Arfuso F, Yap CT, Goh BC, Sethi G, et al: Dual role of autophagy in hallmarks of cancer. Oncogene. 37:1142–1158. 2018. View Article : Google Scholar : PubMed/NCBI

7 

Karpathiou G, Dumollard JM, Dridi M, Dal Col P, Barral FG, Boutonnat J and Peoc'h M: Chordomas: A review with emphasis on their pathophysiology, pathology, molecular biology, and genetics. Pathol Res Pract. 216:1530892020. View Article : Google Scholar : PubMed/NCBI

8 

Fletcher C, Bridge J, Hogendoom P and Mertens F: Notochordal tumours. WHO Classification of Tumours. Soft Tissue and Bone Tumors. 5th edition. IARC; Lyon, France: pp. 449–456. 2020

9 

George B, Bresson D, Herman P and Froelich S: Chordomas: A review. Neurosurg Clin N Am. 26:437–452. 2015. View Article : Google Scholar : PubMed/NCBI

10 

Santegoeds RGC, Temel Y, Beckervordersandforth JC, Van Overbeeke JJ and Hoeberigs CM: State-of-the-art imaging in human chordoma of the skull base. Curr Radiol Rep. 6:162018. View Article : Google Scholar : PubMed/NCBI

11 

Ulici V and Hart J: Chordoma. Arch Pathol Lab Med. 146:386–395. 2022. View Article : Google Scholar : PubMed/NCBI

12 

Schläfli AM, Adams O, Galván JA, Gugger M, Savic S, Bubendorf L, Schmid RA, Becker KF, Tschan MP, Langer R and Berezowska S: Prognostic value of the autophagy markers LC3 and p62/SQSTM1 in early-stage non-small cell lung cancer. Oncotarget. 7:39544–39555. 2016. View Article : Google Scholar : PubMed/NCBI

13 

Niu J, Yan T, Guo W, Wang W and Zhao Z: Insight into the role of autophagy in osteosarcoma and its therapeutic implication. Front Oncol. 9:12322019. View Article : Google Scholar : PubMed/NCBI

14 

Barresi V, Ieni A, Branca G and Tuccari G: Brachyury: A diagnostic marker for the differential diagnosis of chordoma and hemangioblastoma versus neoplastic histological mimickers. Dis Markers. 2014:5147532014. View Article : Google Scholar : PubMed/NCBI

15 

Jovanović L, Nikolić A, Dragičević S, Jović M and Janković R: Prognostic relevance of autophagy-related markers p62, LC3, and Beclin1 in ovarian cancer. Croat Med J. 63:453–460. 2022. View Article : Google Scholar : PubMed/NCBI

16 

Lazova R, Camp RL, Klump V, Siddiqui SF, Amaravadi RK and Pawelek JM: Punctate LC3B expression is a common feature of solid tumors and associated with proliferation, metastasis, and poor outcome. Clin Cancer Res. 18:370–379. 2012. View Article : Google Scholar : PubMed/NCBI

17 

Gillson J, Abd El-Aziz YS, Leck LYW, Jansson PJ, Pavlakis N, Samra JS, Mittal A and Sahni S: Autophagy: A key player in pancreatic cancer progression and a potential drug target. Cancers (Basel). 14:35282022. View Article : Google Scholar : PubMed/NCBI

18 

Liu J, Chen Z, Guo J, Wang L and Liu X: Ambra1 induces autophagy and desensitizes human prostate cancer cells to cisplatin. Biosci Rep. 39:BSR201707702019. View Article : Google Scholar : PubMed/NCBI

19 

Yurube T, Hirata H, Ito M, Terashima Y, Kakiuchi Y, Kuroda R and Kakutani K: Involvement of autophagy in rat tail static compression-induced intervertebral disc degeneration and notochordal cell disappearance. Int J Mol Sci. 22:56482021. View Article : Google Scholar : PubMed/NCBI

20 

Feng Y, Shen J, Gao Y, Liao Y, Cote G, Choy E, Chebib I, Mankin H, Hornicek F and Duan Z: Expression of programmed cell death ligand 1 (PD-L1) and prevalence of tumor-infiltrating lymphocytes (TILs) in chordoma. Oncotarget. 6:11139–11149. 2015. View Article : Google Scholar : PubMed/NCBI

21 

Mathios D, Ruzevick J, Jackson CM, Xu H, Shah SR, Taube JM, Burger PC, McCarthy EF, Quinones-Hinojosa A, Pardoll DM and Lim M: PD-1, PD-L1, PD-L2 expression in the chordoma microenvironment. J Neurooncol. 121:251–259. 2015. View Article : Google Scholar : PubMed/NCBI

22 

Zou M, Pan Y, Huang W, Zhang TL, Escobar D, Wang XB, Jiang Y, She XL, Lv GH and Li J: A four-factor immune risk score signature predicts the clinical outcome of patients with spinal chordoma. Clin Transl Med. 10:224–237. 2020. View Article : Google Scholar : PubMed/NCBI

23 

Xu J, Shi Q, Wang B, Ji T, Guo W, Ren T and Tang X: The role of tumor immune microenvironment in chordoma: Promising immunotherapy strategies. Front Immunol. 14:12572542023. View Article : Google Scholar : PubMed/NCBI

24 

Chen Y and Zhang H: Immune microenvironment and immunotherapy for chordoma. Front Oncol. 14:13742492024. View Article : Google Scholar : PubMed/NCBI

Related Articles

  • Abstract
  • View
  • Download
  • Twitter
Copy and paste a formatted citation
Spandidos Publications style
Pizzimenti C, Curcio A, Fiorentino V, Germanò A, Martini M, Ieni A and Tuccari G: Immunoexpression of autophagy‑related proteins in a single‑center series of sporadic adult conventional clival chordomas. Oncol Lett 29: 32, 2025.
APA
Pizzimenti, C., Curcio, A., Fiorentino, V., Germanò, A., Martini, M., Ieni, A., & Tuccari, G. (2025). Immunoexpression of autophagy‑related proteins in a single‑center series of sporadic adult conventional clival chordomas. Oncology Letters, 29, 32. https://doi.org/10.3892/ol.2024.14778
MLA
Pizzimenti, C., Curcio, A., Fiorentino, V., Germanò, A., Martini, M., Ieni, A., Tuccari, G."Immunoexpression of autophagy‑related proteins in a single‑center series of sporadic adult conventional clival chordomas". Oncology Letters 29.1 (2025): 32.
Chicago
Pizzimenti, C., Curcio, A., Fiorentino, V., Germanò, A., Martini, M., Ieni, A., Tuccari, G."Immunoexpression of autophagy‑related proteins in a single‑center series of sporadic adult conventional clival chordomas". Oncology Letters 29, no. 1 (2025): 32. https://doi.org/10.3892/ol.2024.14778
Copy and paste a formatted citation
x
Spandidos Publications style
Pizzimenti C, Curcio A, Fiorentino V, Germanò A, Martini M, Ieni A and Tuccari G: Immunoexpression of autophagy‑related proteins in a single‑center series of sporadic adult conventional clival chordomas. Oncol Lett 29: 32, 2025.
APA
Pizzimenti, C., Curcio, A., Fiorentino, V., Germanò, A., Martini, M., Ieni, A., & Tuccari, G. (2025). Immunoexpression of autophagy‑related proteins in a single‑center series of sporadic adult conventional clival chordomas. Oncology Letters, 29, 32. https://doi.org/10.3892/ol.2024.14778
MLA
Pizzimenti, C., Curcio, A., Fiorentino, V., Germanò, A., Martini, M., Ieni, A., Tuccari, G."Immunoexpression of autophagy‑related proteins in a single‑center series of sporadic adult conventional clival chordomas". Oncology Letters 29.1 (2025): 32.
Chicago
Pizzimenti, C., Curcio, A., Fiorentino, V., Germanò, A., Martini, M., Ieni, A., Tuccari, G."Immunoexpression of autophagy‑related proteins in a single‑center series of sporadic adult conventional clival chordomas". Oncology Letters 29, no. 1 (2025): 32. https://doi.org/10.3892/ol.2024.14778
Follow us
  • Twitter
  • LinkedIn
  • Facebook
About
  • Spandidos Publications
  • Careers
  • Cookie Policy
  • Privacy Policy
How can we help?
  • Help
  • Live Chat
  • Contact
  • Email to our Support Team