Spandidos Publications Logo
  • About
    • About Spandidos
    • Aims and Scopes
    • Abstracting and Indexing
    • Editorial Policies
    • Reprints and Permissions
    • Job Opportunities
    • Terms and Conditions
    • Contact
  • Journals
    • All Journals
    • Oncology Letters
      • Oncology Letters
      • Information for Authors
      • Editorial Policies
      • Editorial Board
      • Aims and Scope
      • Abstracting and Indexing
      • Bibliographic Information
      • Archive
    • International Journal of Oncology
      • International Journal of Oncology
      • Information for Authors
      • Editorial Policies
      • Editorial Board
      • Aims and Scope
      • Abstracting and Indexing
      • Bibliographic Information
      • Archive
    • Molecular and Clinical Oncology
      • Molecular and Clinical Oncology
      • Information for Authors
      • Editorial Policies
      • Editorial Board
      • Aims and Scope
      • Abstracting and Indexing
      • Bibliographic Information
      • Archive
    • Experimental and Therapeutic Medicine
      • Experimental and Therapeutic Medicine
      • Information for Authors
      • Editorial Policies
      • Editorial Board
      • Aims and Scope
      • Abstracting and Indexing
      • Bibliographic Information
      • Archive
    • International Journal of Molecular Medicine
      • International Journal of Molecular Medicine
      • Information for Authors
      • Editorial Policies
      • Editorial Board
      • Aims and Scope
      • Abstracting and Indexing
      • Bibliographic Information
      • Archive
    • Biomedical Reports
      • Biomedical Reports
      • Information for Authors
      • Editorial Policies
      • Editorial Board
      • Aims and Scope
      • Abstracting and Indexing
      • Bibliographic Information
      • Archive
    • Oncology Reports
      • Oncology Reports
      • Information for Authors
      • Editorial Policies
      • Editorial Board
      • Aims and Scope
      • Abstracting and Indexing
      • Bibliographic Information
      • Archive
    • Molecular Medicine Reports
      • Molecular Medicine Reports
      • Information for Authors
      • Editorial Policies
      • Editorial Board
      • Aims and Scope
      • Abstracting and Indexing
      • Bibliographic Information
      • Archive
    • World Academy of Sciences Journal
      • World Academy of Sciences Journal
      • Information for Authors
      • Editorial Policies
      • Editorial Board
      • Aims and Scope
      • Abstracting and Indexing
      • Bibliographic Information
      • Archive
    • International Journal of Functional Nutrition
      • International Journal of Functional Nutrition
      • Information for Authors
      • Editorial Policies
      • Editorial Board
      • Aims and Scope
      • Abstracting and Indexing
      • Bibliographic Information
      • Archive
    • International Journal of Epigenetics
      • International Journal of Epigenetics
      • Information for Authors
      • Editorial Policies
      • Editorial Board
      • Aims and Scope
      • Abstracting and Indexing
      • Bibliographic Information
      • Archive
    • Medicine International
      • Medicine International
      • Information for Authors
      • Editorial Policies
      • Editorial Board
      • Aims and Scope
      • Abstracting and Indexing
      • Bibliographic Information
      • Archive
  • Articles
  • Information
    • Information for Authors
    • Information for Reviewers
    • Information for Librarians
    • Information for Advertisers
    • Conferences
  • Language Editing
Spandidos Publications Logo
  • About
    • About Spandidos
    • Aims and Scopes
    • Abstracting and Indexing
    • Editorial Policies
    • Reprints and Permissions
    • Job Opportunities
    • Terms and Conditions
    • Contact
  • Journals
    • All Journals
    • Biomedical Reports
      • Information for Authors
      • Editorial Policies
      • Editorial Board
      • Aims and Scope
      • Abstracting and Indexing
      • Bibliographic Information
      • Archive
    • Experimental and Therapeutic Medicine
      • Information for Authors
      • Editorial Policies
      • Editorial Board
      • Aims and Scope
      • Abstracting and Indexing
      • Bibliographic Information
      • Archive
    • International Journal of Epigenetics
      • Information for Authors
      • Editorial Policies
      • Editorial Board
      • Aims and Scope
      • Abstracting and Indexing
      • Bibliographic Information
      • Archive
    • International Journal of Functional Nutrition
      • Information for Authors
      • Editorial Policies
      • Editorial Board
      • Aims and Scope
      • Abstracting and Indexing
      • Bibliographic Information
      • Archive
    • International Journal of Molecular Medicine
      • Information for Authors
      • Editorial Policies
      • Editorial Board
      • Aims and Scope
      • Abstracting and Indexing
      • Bibliographic Information
      • Archive
    • International Journal of Oncology
      • Information for Authors
      • Editorial Policies
      • Editorial Board
      • Aims and Scope
      • Abstracting and Indexing
      • Bibliographic Information
      • Archive
    • Medicine International
      • Information for Authors
      • Editorial Policies
      • Editorial Board
      • Aims and Scope
      • Abstracting and Indexing
      • Bibliographic Information
      • Archive
    • Molecular and Clinical Oncology
      • Information for Authors
      • Editorial Policies
      • Editorial Board
      • Aims and Scope
      • Abstracting and Indexing
      • Bibliographic Information
      • Archive
    • Molecular Medicine Reports
      • Information for Authors
      • Editorial Policies
      • Editorial Board
      • Aims and Scope
      • Abstracting and Indexing
      • Bibliographic Information
      • Archive
    • Oncology Letters
      • Information for Authors
      • Editorial Policies
      • Editorial Board
      • Aims and Scope
      • Abstracting and Indexing
      • Bibliographic Information
      • Archive
    • Oncology Reports
      • Information for Authors
      • Editorial Policies
      • Editorial Board
      • Aims and Scope
      • Abstracting and Indexing
      • Bibliographic Information
      • Archive
    • World Academy of Sciences Journal
      • Information for Authors
      • Editorial Policies
      • Editorial Board
      • Aims and Scope
      • Abstracting and Indexing
      • Bibliographic Information
      • Archive
  • Articles
  • Information
    • For Authors
    • For Reviewers
    • For Librarians
    • For Advertisers
    • Conferences
  • Language Editing
Login Register Submit
  • This site uses cookies
  • You can change your cookie settings at any time by following the instructions in our Cookie Policy. To find out more, you may read our Privacy Policy.

    I agree
Search articles by DOI, keyword, author or affiliation
Search
Advanced Search
presentation
Oncology Letters
Join Editorial Board Propose a Special Issue
Print ISSN: 1792-1074 Online ISSN: 1792-1082
Journal Cover
January-2025 Volume 29 Issue 1

Full Size Image

Sign up for eToc alerts
Recommend to Library

Journals

International Journal of Molecular Medicine

International Journal of Molecular Medicine

International Journal of Molecular Medicine is an international journal devoted to molecular mechanisms of human disease.

International Journal of Oncology

International Journal of Oncology

International Journal of Oncology is an international journal devoted to oncology research and cancer treatment.

Molecular Medicine Reports

Molecular Medicine Reports

Covers molecular medicine topics such as pharmacology, pathology, genetics, neuroscience, infectious diseases, molecular cardiology, and molecular surgery.

Oncology Reports

Oncology Reports

Oncology Reports is an international journal devoted to fundamental and applied research in Oncology.

Experimental and Therapeutic Medicine

Experimental and Therapeutic Medicine

Experimental and Therapeutic Medicine is an international journal devoted to laboratory and clinical medicine.

Oncology Letters

Oncology Letters

Oncology Letters is an international journal devoted to Experimental and Clinical Oncology.

Biomedical Reports

Biomedical Reports

Explores a wide range of biological and medical fields, including pharmacology, genetics, microbiology, neuroscience, and molecular cardiology.

Molecular and Clinical Oncology

Molecular and Clinical Oncology

International journal addressing all aspects of oncology research, from tumorigenesis and oncogenes to chemotherapy and metastasis.

World Academy of Sciences Journal

World Academy of Sciences Journal

Multidisciplinary open-access journal spanning biochemistry, genetics, neuroscience, environmental health, and synthetic biology.

International Journal of Functional Nutrition

International Journal of Functional Nutrition

Open-access journal combining biochemistry, pharmacology, immunology, and genetics to advance health through functional nutrition.

International Journal of Epigenetics

International Journal of Epigenetics

Publishes open-access research on using epigenetics to advance understanding and treatment of human disease.

Medicine International

Medicine International

An International Open Access Journal Devoted to General Medicine.

Journal Cover
January-2025 Volume 29 Issue 1

Full Size Image

Sign up for eToc alerts
Recommend to Library

  • Article
  • Citations
    • Cite This Article
    • Download Citation
    • Create Citation Alert
    • Remove Citation Alert
    • Cited By
  • Similar Articles
    • Related Articles (in Spandidos Publications)
    • Similar Articles (Google Scholar)
    • Similar Articles (PubMed)
  • Download PDF
  • Download XML
  • View XML
Case Report Open Access

Skin metastasis of papillary thyroid carcinoma: A case report and literature review

  • Authors:
    • Haidi Chu
    • Dong Wang
    • Yanqing Qu
  • View Affiliations / Copyright

    Affiliations: Department of Thyroid Surgery, Yantaishan Hospital, Yantai, Shandong 264000, P.R. China, Department of Thyroid Surgery, Affiliated Hospital of Qingdao University, Yantai Yuhuangding Hospital, Yantai, Shandong 264000, P.R. China, Department of Thyroid Surgery, Yantaishan Hospital, Yantai, Shandong 264000, P.R. China
    Copyright: © Chu et al. This is an open access article distributed under the terms of Creative Commons Attribution License.
  • Article Number: 43
    |
    Published online on: November 5, 2024
       https://doi.org/10.3892/ol.2024.14789
  • Expand metrics +
Metrics: Total Views: 0 (Spandidos Publications: | PMC Statistics: )
Metrics: Total PDF Downloads: 0 (Spandidos Publications: | PMC Statistics: )
Cited By (CrossRef): 0 citations Loading Articles...

This article is mentioned in:



Abstract

The present study reports a rare case of skin metastasis in a 26‑year‑old female patient with a history of PTC positive for the BRAFV600E mutation. During the 2.5‑year follow‑up period after the initial surgical treatment of PTC, no evidence of distant metastasis was found via thyroglobulin measurements, neck ultrasound, or neck and chest computed tomography. However, following this period, the patient reported two skin nodules on the left side of the neck. Ultrasound‑guided punch biopsy was performed, and the pathology results demonstrated that the patient had skin metastases from the PTC. The patient received surgical resection and complete removal of nodules, and was subsequently discharged from the hospital. A literature review showed that there are numerous potential mechanisms for skin metastasis, and the treatments are diverse and dependent on the patient condition. While surgical treatment may effectively improve patient symptoms and prognosis, long‑term surveillance for recurrence is recommended for high‑risk cases. Skin metastasis of PTC should be suspected in patients who develop an upper body skin lesion with a history of PTC, even without evidence of disease metastasis. For high‑risk patients with skin metastasis of PTC with BRAF and TERT gene mutations, long‑term surveillance for recurrence should be recommended in cases with a poor prognosis, and further research of these cases should be conducted in the future to optimize surgical and medical care.

Introduction

Thyroid cancer (TC) accounts for 1% of all epithelial malignancies and is the most frequent endocrine neoplasm (1). Due to the accuracy and convenience of diagnostic technology such as ultrasound and fine-needle aspiration, the TC incidence rate has been increasing worldwide in recent decades (2). TC includes a number of histological types, with the most frequent type being papillary thyroid carcinoma (PTC) (3), which accounts for ~88% of cases (4).

PTC characterized by a high rate of lymph node (LN) invasion on initial diagnosis gradually leads to remote metastasis (5). However, the prognosis of PTC is more favourable compared with other types of TC, following administration of appropriate treatments, such as surgery, adjuvant radioactive iodine and thyroid-stimulating hormone (TSH) suppression therapy. The 10-year survival rate of PTC is 93% in the United States and the mortality rate is ~10% (4,6). The major factors influencing the prognosis of PTC are patient age, sex, tumor size, histological findings, extrathyroidal extension, clinical lymph node metastasis and remote metastasis (7). Gene mutations such as BRAFV600E and TERT have become a popular topic in recent decades (8,9).

The common sites of distant PTC metastasis are the lymph nodes, lungs and bones. The incidence of skin metastasis in PTC is <1% (10). The first study of skin metastasis in PTC in 1964 reported a poor prognosis, with a mean survival time of 19 months (11,12), and the 5-year survival rate was 28–53.3% (13). Skin metastases of PTC may present as erythematous papules and plaques or as flesh-coloured and tender nodules, with or without pruritus and ulceration (14,15). The present study reports the case of a 26-year-old female patient with skin metastasis from PTC, who had undergone thyroid cancer surgery 2.5 years previously.

Case report

Patient

In March 2021, a 23-year-old woman underwent a routine physical examination followed by a thyroid ultrasound at Yantaishan Hospital (Yantai, China), which revealed an ~3.1×1.9×1.6-cm hypoechoic nodule with microcalcifications in the right thyroid lobe and no enlarged neck lymph nodes. No family history of thyroid disease or exposure to external radiation were reported. The patient then underwent a right thyroidectomy and isthmus resection with central cervical lymph node dissection, and the tissue pathology results demonstrated PTC with capsular invasion. The mmunohistochemical analysis of the biopsy specimen indicated a positive BRAFV600E mutation genotype, as areas of BRAFV600E-positive tumour cytoplasmic staining were observed (Fig. 1).

Figure 1.

Representative immunohistochemistry image indicating positive staining for the BRAFV600E mutation. Magnification, ×200.

Of the 12 lymph nodes, one had metastatic PTC, and after surgery, oral levothyroxine therapy (75 µg daily) was administered. Starting in March 2021, during follow-ups performed every every 3 months, the patient's thyroxine and triiodothyronine levels were normal (ranges, 12.00–22.00 and 3.10–6.80 pmol/l, respectively), and the thyroid-stimulating hormone (TSH) level was 0.83 µIU/ml (range, 0.27–4.20 µIU/ml); however, the serum thyroglobulin (Tg) level remained below the threshold at 1.20 ng/ml (range, 1.40–78.00 ng/ml), and there was no other documented evidence of local recurrence or distant metastasis.

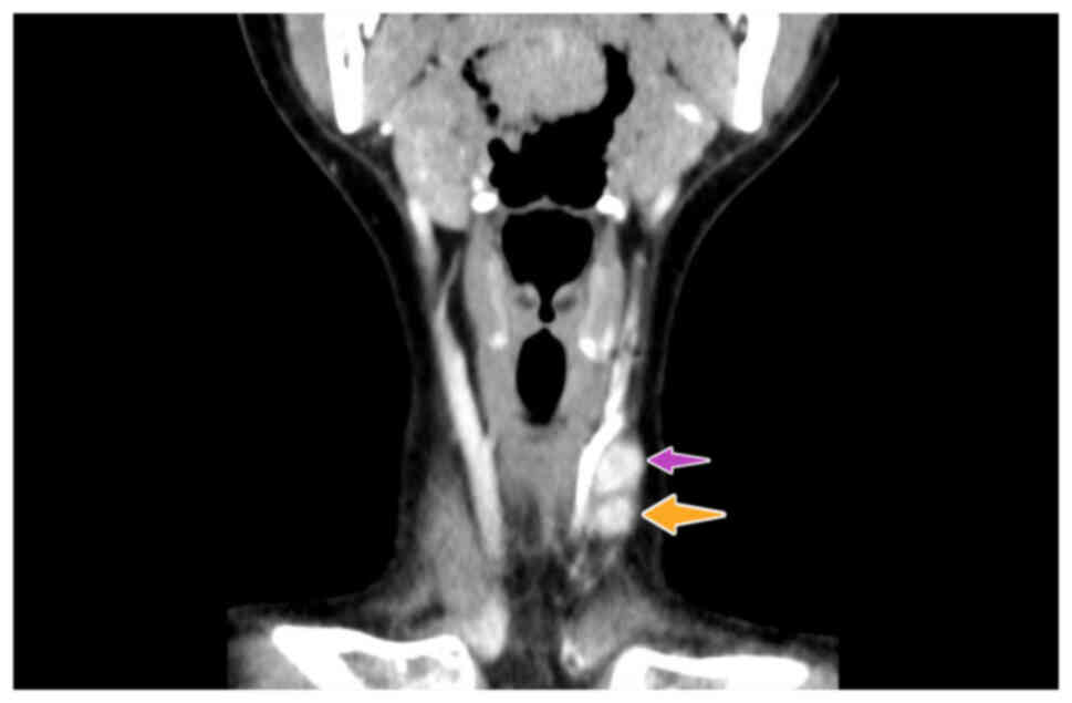
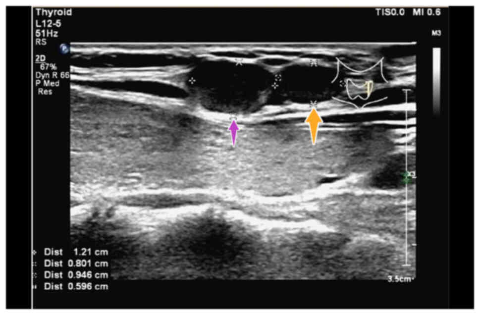
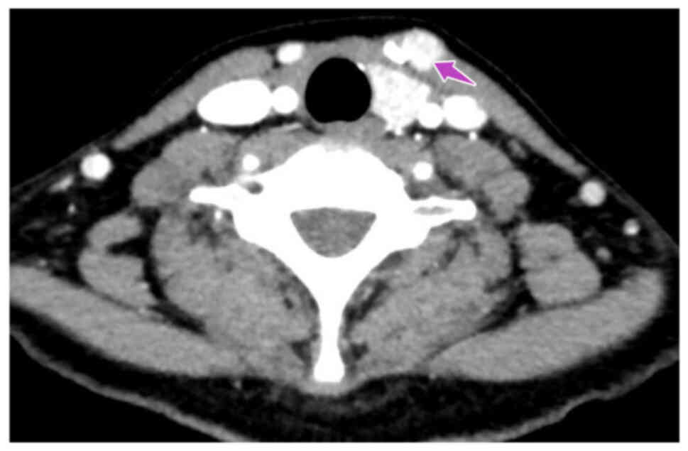
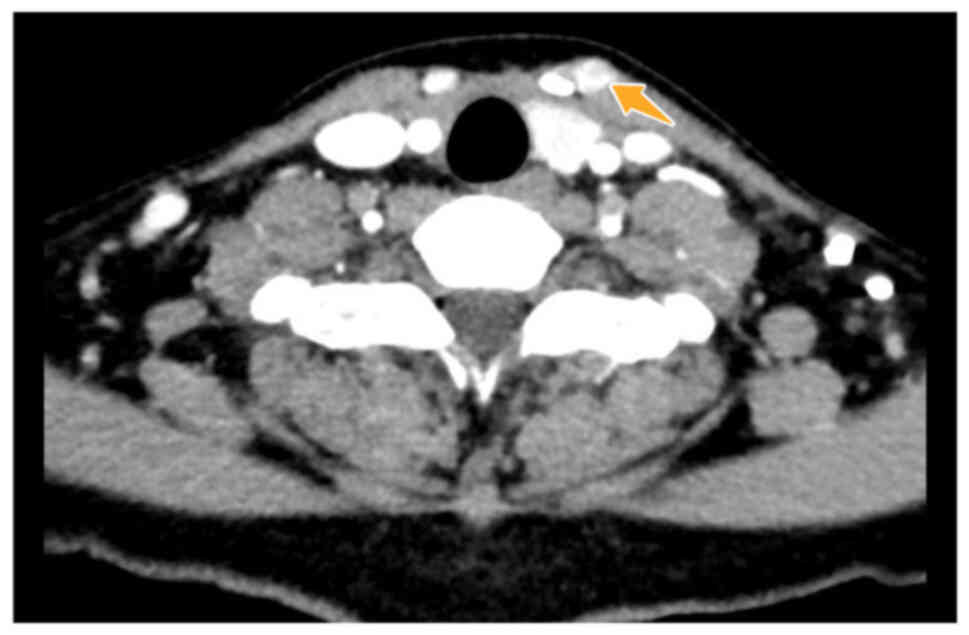
In September 2023, the patient observed two palpable small nodules on the left anterior neck ~4 cm above the first surgical scar, ~2.5 years after the first operation in 2021; the nodules were firm, tough and painless (Fig. 2). For further evaluation, ultrasound-guided punch biopsies of the lesions were performed at Yantai Yuhuangding Hospital (Yantai, China), which led to the diagnosis of skin metastasis of PTC through pathological assessment. Consequently, the patient presented to Yantaishan Hospital for surgical resection in October 2023. Neck ultrasound scans demonstrated two hypoechoic subcutaneous nodules with clear boundaries, which measured ~1.2×0.8 and 0.9×0.6 cm in size (Fig. 3). Contrast-enhanced computed tomography (CT) scans of the patients neck demonstrated two adjacent enhanced nodules (Fig. 4, Fig. 5, Fig. 6) on the left side of the neck. No evidence of local recurrence in the operative bed of the previously resected lesion was observed. Chest CT scans did not indicate recurrence or metastasis. The patient's TSH level was 0.79 µIU/ml with oral levothyroxine therapy (75 µg daily) and the Tg level was 16.40 µg/l. For the diagnosis and treatment of the nodules, the patient's first surgical scar was reopened, and the two nodules underlying the subcutaneous fat were removed. Surgical pathology demonstrated two separate foci of metastatic PTC with diameters of 1.1 and 0.7 cm, a gray-brown colour and clear resection margins (Fig. 7). Tissue pathology of paraffin-embedded samples demonstrated that these lesions were skin metastases of PTC (Fig. 8). As the metastatic nodules were completely removed, the patient was discharged from the hospital with continued oral levothyroxine therapy. The patient has been followed up every 3 months and the prognosis is good. At the time of writing, no evidence of recurrence has been found (TSH level, 0.83 µIU/ml and Tg level, 15.70 µg/l).

Figure 2.

Representative image of two palpable small nodules on the left anterior neck, ~4 cm above the first surgical scar (purple arrow, the larger skin metastasis of PTC; orange arrow, the smaller skin metastasis of PTC). PTC, papillary thyroid carcinoma.

Figure 3.

Neck ultrasound image of two hypoechoic subcutaneous nodules (purple arrow, the larger skin metastasis of PTC; orange arrow, the smaller skin metastasis of PTC). PTC, papillary thyroid carcinoma.

Figure 4.

Neck computed tomography scan demonstrating two adjacent enhanced nodules (purple arrow, the larger skin metastasis of PTC; orange arrow, the smaller skin metastasis of PTC). PTC, papillary thyroid carcinoma.

Figure 5.

Computed tomography scan of the smaller skin metastasis of papillary thyroid carcinoma (orange arrow).

Figure 6.

Computed tomography scan of the larger skin metastasis of papillary thyroid carcinoma (purple arrow).

Figure 7.

Gross surgical pathology image of the two separate foci (orange and purple arrows) of metastatic papillary thyroid carcinoma.

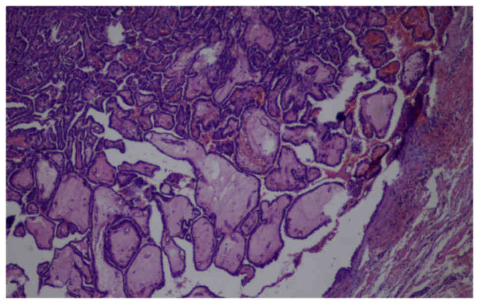
Figure 8.

Representative immunohistochemistry image of the paraffin-embedded sample confirming the presence of papillary thyroid carcinoma skin metastases. Pathology indicated ground glass nuclei and nuclear grooves. Magnification, ×200; haematoxylin and eosin staining.

Tissue analysis

The tissue samples were all fixed in 10% neutral formalin solution and embedded in paraffin at room temperature for 24 h. Tissue samples were sectioned into 3-µm thick sections. Samples were blocked using 3% H2O2 at 37°C for 8 min. Primary antibody staining was performed using the VENTANA® anti-BRAF V600E (VE1) mouse monoclonal antibody immunohistochemistry kit (cat. no. 07862270001; antibody dilution, 0.2%; Roche Diagnostics, Ltd.), incubated at 37°C for 40 min. Secondary antibody staining was performed using the ultraView universal DAB detection kit (cat. no. 05269806001; Roche Diagnostics, Ltd.), which uses the horseradish peroxidase conjugate, and incubated at 37°C for 8 min. The stained sections were counterstained with haematoxylin and eosin at room temperature for 5 min, and images were captured using a light microscope (Olympus BX51; Olympus Corporation).

Discussion

Among the sites of skin metastasis of PTC, the scalp, face and neck are the most common, probably due to the rich dermal capillary network, which can capture tumour cell emboli from the blood circulation and provide an optimal background for metastasis to occur (11,12,16–20). Other potential mechanisms for skin metastasis may include direct extension, haematogenous or lymphatic spread, needle-tract seeding, surgical drainage and inappropriate surgical procedures (20,21). The general risk of PTC implantation metastasis is <0.009% (22). Excisional biopsy rather than fine-needle aspiration biopsy (FNAB) is advised for a definite diagnosis of PTC due to inconclusive results using FNAB (13).

After more demolitive surgery, interventions are affected due to more severe complications. The VEGF pathway has been suggested as a useful marker for the identification of non-advanced PTC patients with structural recurrence (23). Fluorine 18-fluorodeoxyglucose PET/CT has been suggested to be superior to conventional imaging in identifying disease persistence (24). For patients who do not tolerate invasive exams, transcutaneous laryngeal ultrasonography is an alternative painless and inexpensive method in the evaluation of vocal fold function (25).

To further explore the characteristics of skin metastases in patients with PTC, including various clinicopathological characteristics, a literature review of published articles from the past decade was performed. The search strategy of the PubMed (https://www.ncbi.nlm.nih.gov/pubmed/) database was as follows: i) Key words ‘papillary thyroid carcinoma’ AND ‘skin metastasis’; and ii) English-language articles published between January 2014 and January 2024. The results of this analysis are shown in Table I.

Table I.

Analysis of included studies of patients with skin metastasis from PTC.

Table I.

Analysis of included studies of patients with skin metastasis from PTC.

First author, yearCountry of residenceAge, yearsSexFirst surgeryRAITg level, µg/lLevothyr-oxine therapyDistant meta stasisInterval, yearsaSkin metastasis locationSize, cmTreatmentFollow-up, monthsOutcomeGene mutationPositive IHC results(Refs.)
Kwon et al, 2014Korea55FemaleTT and CCLNDYes0.08NMNo3Right anterior neck0.6×0.4 and 0.3EB4SDNMTTF-1 and Tg(10)
Soylu et al, 2017Turkey83FemaleTTYesNMYesNo3Right upper neck1.1 and 1.1EBNMNMNMPAX-8(13)
Turkey65FemaleTT and CCLNDYesNMYesNo5Left side of neck0.4 and 0.3EBNMNMNMTTF-1 and Tg
Cheng and Hu, 2020China63FemaleTT and LNDNoNMNMYes0.83Left supracla-vicular fossaIrregularly shapedExternal beam radiotherapy6DiedNMTTF-1 and Tg(15)
Alwhaid et al, 2022Saudi Arabia70FemaleTTNo3.431YesYes30Scalp and right arm1.0×1.0 and 1.5×1.5Sorafenib6DiedNMTTF-1 and Tg(18)
Liu et al, 2022China57MaleTCS and CLNDNMNMNMNM7Right shoulder neck axilla17.0×15.0, 3.0×1.5 and 7.5×5.0EB60SDNMTTF-1(26)
Choi et al, 2023Korea44FemaleTTYes1.00YesNo10Right side of neck1.0×0.8, 0.3×0.2 and 0.2×0.2EBNMNM BRAFV600E and TERTC228TNM(21)
Present caseChina26FemaleTCS and CCLNDNo1.20YesNo2.5left anterior neck above the first surgical scar1.2×0.8 and 0.9×0.6EB5SD BRAFV600ENM

a Interval represents the time between first surgery and skin metastasis. IHC, immunohistochemistry; TT, total thyroidectomy; TCS, thyroid cancer surgery; LND, lymph node dissection; CCLND, central cervical LND; RAI, radioactive iodine; NM, not mentioned; Tg, thyroglobulin; TTF-1, thyroid transcription factor 1; SD, stable disease; EB, excisional biopsy.

The analysis included 7 patients, 1 male (14.3%) and 6 females (85.7%). The evaluated patients were all from Asian-European countries, and the mean age was 62.43±12.32 years. Female patients were more frequently reported and therefore appeared to be more susceptible to developing skin metastasis from PTC, although the findings of Soylu et al (13) yielded a different conclusion: there was no sex predominance in the skin metastasis of PTC. The onset of skin metastasis ranged from 1 month to 30 years after the first surgery for PTC, and the mean interval between the first surgery and skin metastasis was 8.3 years, which is similar to that reported by Alwhaid et al (18). This study reported the case of a 70-year-old woman with an 8-month history of two painful and itchy skin nodules over the scalp and the medial aspect of the right arm. The patient had a history of total thyroidectomy for PTC 30 years prior and a computed tomography-positron emission tomography scan showed multiple lung and skeletal metastases.

The present analysis showed that all patients underwent thyroid cancer surgeries, with or without central cervical lymph node dissection and radioactive iodine treatment. The included patients had a range of skin metastasis sizes (from 0.2 to 17.0 cm) and locations (including the neck, supraclavicular fossa, scalp, axilla and arm), but that the lesions were predominantly located on the neck, and that the patients were given different treatments, including thyroid cancer surgery, radioactive iodine and external beam therapy, according to their specific diagnosis. Of the included patients, 2 patients with distant metastases succumbed to the metastasis 6 months later, and the remaining 5 patients had stable disease or no reported disease during the follow-up period. A total of 71.4% of patients' skin metastases were resected. Except for 1 patient without a diagnosis of skin metastasis by immunohistochemistry (IHC), the other 6 patients reported similar IHC test results: Thyroid transcription factor (TTF-1) and Tg were positive, due to a thyroid cell origin of the lesions. The roles of gene mutations, particularly BRAF and telomerase reverse transcriptase (TERT) mutations, in PTC have been investigated over the past decades. Choi et al (21) examined the patient tissue sample for BRAF and TERT mutations, and the results were positive for both. There was insufficient data on Tg levels and the use of oral levothyroxine within the literature. The present study reported the case of a 26-year-old female patient. This was younger than the mean age of the included literature patients (62.43±12.32 years). Regarding the present study, the patient's skin metastasis may have resulted from PTC cells that contaminated the surrounding tissue. Furthermore, it may be that the surgeons had insufficient experience in this procedure, as this was the only patient to have presented with PTC skin metastasis in Yantaishan Hospital up to that time.

In terms of epidemiology, skin metastasis of PTC is rarely observed, and treatment may be delayed for a long time due to an unclear diagnosis and result in a poor prognosis. IHC testing, such as for TTF-1 and Tg, can be used to distinguish primary skin tumours from PTC skin metastases (26). Skin metastasis may be suspected in patients with a history of PTC who develop an upper body skin lesion (24). The patient of the present study had a BRAFV600E mutation, and the case reported by Choi et al (21) had both BRAF and TERT gene mutations. Both patients underwent surgery and were provided long-term surveillance for recurrence (21).

The treatments for skin metastasis of PTC are as follows: i) Isolated skin metastasis may be successfully treated through surgical resection (10); and ii) for skin metastasis with systemic disease, treatment with radioiodine therapy, external beam radiation therapy or targeted therapy such as sorafenib, has been suggested (10,18,22,26). In particular, patients with co-occurring BRAF and TERT promoter mutations in PTC should undergo long-term surveillance for recurrence due to the high risk of aggressive characteristics and distant metastasis (21).

According to the diagnostic and therapeutic results of the present case study and the literature review, in individuals with a prior medical history of PTC, occurrence of PTC skin metastasis should be considered even in the presence of normal blood or other parameters, such as neck ultrasounds and CT, during follow-up. When skin metastasis of PTC is suspected, excisional biopsy, IHC testing and gene mutation testing may be performed, and the patient's past medical history should be assessed. The use of these methods as early as possible could improve the diagnosis and therapeutic results of patients with skin metastasis from PTC. For high-risk patients, i.e., those with skin metastasis from PTC with BRAF and TERT gene mutations, long-term surveillance for recurrence should be advised for patients with a poor prognosis.

Acknowledgements

Not applicable.

Funding

Funding: No funding was received.

Availability of data and materials

The data generated in the present study may be requested from the corresponding author.

Authors' contributions

HC was responsible for the conception and design of the study. YQ provided CT images, performed the first and second surgery, and gave administrative support. DW performed the ultrasound-guided punch biopsy and provided related information for pathology. All authors helped to write the manuscript. All authors read and approved the final version of the manuscript. HC, DW and YQ confirm the authenticity of all the raw data.

Ethics approval and consent to participate

The present study was approved by the Clinical Trial Ethics Committee of Yantaishan Hospital (Yantai, China; approval no. LL-2024-101-L).

Patient consent for publication

The patient provided written informed consent for publication of the associated data and accompanying images.

Competing interests

The authors declare that they have no competing interests.

References

1 

Pelizzo MR, Dobrinja C, Casal Ide E, Zane M, Lora O, Toniato A, Mian C, Barollo S, Izuzquiza M, Guerrini J, et al: The role of BRAF(V600E) mutation as poor prognostic factor for the outcome of patients with intrathyroid papillary thyroid carcinoma. Biomed Pharmacother. 68:413–417. 2014. View Article : Google Scholar : PubMed/NCBI

2 

Zhao H, Li H and Huang T: High urinary iodine, thyroid autoantibodies, and thyroid-stimulating hormone for papillary thyroid cancer risk. Biol Trace Elem Res. 184:317–324. 2018. View Article : Google Scholar : PubMed/NCBI

3 

Davies L and Welch HG: Increasing incidence of thyroid cancer in the United States, 1973–2002. JAMA. 295:2164–2167. 2006. View Article : Google Scholar : PubMed/NCBI

4 

Tufano RP, Teixeira GV, Bishop J, Carson KA and Xing M: BRAF mutation in papillary thyroid cancer and its value in tailoring initial treatment: A systematic review and meta-analysis. Medicine (Baltimore). 91:274–286. 2012. View Article : Google Scholar : PubMed/NCBI

5 

Ryu YJ and Yoon JH: Chronic lymphocytic thyroiditis protects against recurrence in patients with cN0 papillary thyroid cancer. Surg Oncol. 34:67–73. 2020. View Article : Google Scholar : PubMed/NCBI

6 

Paschke R, Lincke T, Müller SP, Kreissl MC, Dralle H and Fassnacht M: The treatment of well-differentiated thyroid carcinoma. Dtsch Arztebl Int. 112:452–458. 2015.PubMed/NCBI

7 

Ito Y, Miyauchi A, Kobayashi K, Kihara M and Miya A: Static and dynamic prognostic factors of papillary thyroid carcinoma. Endocr J. 61:1145–1151. 2014. View Article : Google Scholar : PubMed/NCBI

8 

Xing M, Alzahrani AS, Carson KA, Viola D, Elisei R, Bendlova B, Yip L, Mian C, Vianello F, Tuttle RM, et al: Association between BRAF V600E mutation and mortality in patients with papillary thyroid cancer. JAMA. 309:1493–1501. 2013. View Article : Google Scholar : PubMed/NCBI

9 

Chung JH: BRAF and TERT promoter mutations: Clinical application in thyroid cancer. Endocr J. 67:577–584. 2020. View Article : Google Scholar : PubMed/NCBI

10 

Kwon H, Kim H, Park S, Song DE, Kim WG, Kim TY, Shong YK and Kim WB: Solitary skin metastasis of papillary thyroid carcinoma. Endocrinol Metab. 29:579–583. 2014. View Article : Google Scholar

11 

Cawley EP and Weary PE: The evaluation of neoplastic metastases to the skin. Arch Dermatol. 90:262–265. 1964. View Article : Google Scholar : PubMed/NCBI

12 

Dahl PR, Brodland DG, Goellner JR and Hay ID: Thyroid carcinoma metastatic to the skin: A cutaneous manifestation of a widely disseminated malignancy. J Am Acad Dermatol. 36:531–537. 1997. View Article : Google Scholar : PubMed/NCBI

13 

Soylu S, Arikan AE, Teksoz S, Ozcan M and Bukey Y: Skin metastasis on the neck: An unusual presentation of recurrence of papillary thyroid carcinoma. Gland Surg. 6:594–597. 2017. View Article : Google Scholar : PubMed/NCBI

14 

Song HJ, Xue YL, Xu YH, Qiu ZL and Luo QY: Rare metastases of differentiated thyroid carcinoma: Pictorial review. Endocr-Relat Cancer. 18:R165–174. 2011. View Article : Google Scholar : PubMed/NCBI

15 

Cheng SH and Chu-Sung Hu S: Skin metastasis from papillary thyroid carcinoma: A rare case with an unusual clinical presentation. Australas J Dermatol. 61:e374–e376. 2020. View Article : Google Scholar : PubMed/NCBI

16 

Avram AM, Gielczyk R, Su L, Vine AK and Sisson JC: Choroidal and skin metastases from papillary thyroid cancer: Case and a review of the literature. J Clin Endocr Metab. 89:5303–5307. 2004. View Article : Google Scholar : PubMed/NCBI

17 

Cohen PR: Metastatic papillary thyroid carcinoma to the nose: Report and review of cutaneous metastases of papillary thyroid cancer. Dermatol Pract Concept. 5:7–11. 2015. View Article : Google Scholar : PubMed/NCBI

18 

Alwhaid MS, Mhish O, Tunio MA, AlMalki S, Al Asiri M and Al-Qahtani K: Skin metastasis occurring 30 years after thyroidectomy for papillary thyroid carcinoma. Cureus. 14:e221802022.PubMed/NCBI

19 

Reusser NM, Holcomb M, Krishnan B, Rosen T and Orengo IF: Cutaneous metastasis of papillary thyroid carcinoma to the neck: A case report and review of the literature. Dermatol Online J. 21:82014.

20 

Farina E, Monari F, Tallini G, Repaci A, Mazzarotto R, Giunchi F, Panzacchi R, Cammelli S, Padula GD, Deodato F, et al: Unusual thyroid carcinoma metastases: A case series and literature review. Endocr Pathol. 27:55–64. 2016. View Article : Google Scholar : PubMed/NCBI

21 

Choi JH, Yu HW, Lee JK, Kim W, Choi JY, Na HY, Park SY, Ahn CH, Moon JH, Choi SI, et al: BRAFV600Eand TERT promoter C228T mutations on ThyroSeq v3 analysis of delayed skin metastasis from papillary thyroid cancer: A case report and literature review. World J Surg Oncol. 21:492023. View Article : Google Scholar : PubMed/NCBI

22 

Polyzos SA and Anastasilakis AD: A systematic review of cases reporting needle tract seeding following thyroid fine needle biopsy. World J Surg. 34:844–851. 2010. View Article : Google Scholar : PubMed/NCBI

23 

Marotta V, Sciammarella C, Capasso M, Testori A, Pivonello C, Chiofalo MG, Gambardella C, Grasso M, Antonino A, Annunziata A, et al: Germline polymorphisms of the VEGF-pathway predict recurrence in non-advanced differentiated thyroid cancer. J Clin Endocr Metab. 102:661–671. 2017.PubMed/NCBI

24 

Gambardella C, Offi C, Patrone R, Clarizia G, Mauriello C, Tartaglia E, Di Capua F, Di Martino S, Romano RM, Fiore L, et al: Calcitonin negative medullary thyroid carcinoma: A challenging diagnosis or a medical dilemma? BMC Endocr Disord. 19:452019. View Article : Google Scholar : PubMed/NCBI

25 

Gambardella C, Offi C, Romano RM, De Palma M, Ruggiero R, Candela G, Puziello A, Docimo L, Grasso M and Docimo G: Transcutaneous laryngeal ultrasonography: A reliable, non-invasive and inexpensive preoperative method in the evaluation of vocal cords motility-A prospective multicentric analysis on a large series and a literature review. Updates Surg. 72:885–892. 2020. View Article : Google Scholar : PubMed/NCBI

26 

Liu Z, Liu X, Xu Q and Lin C: Papillary thyroid carcinoma with shoulder skin metastasis: A case report and literature review. Asian J Surg. 45:1966–1967. 2022. View Article : Google Scholar : PubMed/NCBI

Related Articles

  • Abstract
  • View
  • Download
  • Twitter
Copy and paste a formatted citation
Spandidos Publications style
Chu H, Wang D and Qu Y: Skin metastasis of papillary thyroid carcinoma: A case report and literature review. Oncol Lett 29: 43, 2025.
APA
Chu, H., Wang, D., & Qu, Y. (2025). Skin metastasis of papillary thyroid carcinoma: A case report and literature review. Oncology Letters, 29, 43. https://doi.org/10.3892/ol.2024.14789
MLA
Chu, H., Wang, D., Qu, Y."Skin metastasis of papillary thyroid carcinoma: A case report and literature review". Oncology Letters 29.1 (2025): 43.
Chicago
Chu, H., Wang, D., Qu, Y."Skin metastasis of papillary thyroid carcinoma: A case report and literature review". Oncology Letters 29, no. 1 (2025): 43. https://doi.org/10.3892/ol.2024.14789
Copy and paste a formatted citation
x
Spandidos Publications style
Chu H, Wang D and Qu Y: Skin metastasis of papillary thyroid carcinoma: A case report and literature review. Oncol Lett 29: 43, 2025.
APA
Chu, H., Wang, D., & Qu, Y. (2025). Skin metastasis of papillary thyroid carcinoma: A case report and literature review. Oncology Letters, 29, 43. https://doi.org/10.3892/ol.2024.14789
MLA
Chu, H., Wang, D., Qu, Y."Skin metastasis of papillary thyroid carcinoma: A case report and literature review". Oncology Letters 29.1 (2025): 43.
Chicago
Chu, H., Wang, D., Qu, Y."Skin metastasis of papillary thyroid carcinoma: A case report and literature review". Oncology Letters 29, no. 1 (2025): 43. https://doi.org/10.3892/ol.2024.14789
Follow us
  • Twitter
  • LinkedIn
  • Facebook
About
  • Spandidos Publications
  • Careers
  • Cookie Policy
  • Privacy Policy
How can we help?
  • Help
  • Live Chat
  • Contact
  • Email to our Support Team