Spandidos Publications Logo
  • About
    • About Spandidos
    • Aims and Scopes
    • Abstracting and Indexing
    • Editorial Policies
    • Reprints and Permissions
    • Job Opportunities
    • Terms and Conditions
    • Contact
  • Journals
    • All Journals
    • Oncology Letters
      • Oncology Letters
      • Information for Authors
      • Editorial Policies
      • Editorial Board
      • Aims and Scope
      • Abstracting and Indexing
      • Bibliographic Information
      • Archive
    • International Journal of Oncology
      • International Journal of Oncology
      • Information for Authors
      • Editorial Policies
      • Editorial Board
      • Aims and Scope
      • Abstracting and Indexing
      • Bibliographic Information
      • Archive
    • Molecular and Clinical Oncology
      • Molecular and Clinical Oncology
      • Information for Authors
      • Editorial Policies
      • Editorial Board
      • Aims and Scope
      • Abstracting and Indexing
      • Bibliographic Information
      • Archive
    • Experimental and Therapeutic Medicine
      • Experimental and Therapeutic Medicine
      • Information for Authors
      • Editorial Policies
      • Editorial Board
      • Aims and Scope
      • Abstracting and Indexing
      • Bibliographic Information
      • Archive
    • International Journal of Molecular Medicine
      • International Journal of Molecular Medicine
      • Information for Authors
      • Editorial Policies
      • Editorial Board
      • Aims and Scope
      • Abstracting and Indexing
      • Bibliographic Information
      • Archive
    • Biomedical Reports
      • Biomedical Reports
      • Information for Authors
      • Editorial Policies
      • Editorial Board
      • Aims and Scope
      • Abstracting and Indexing
      • Bibliographic Information
      • Archive
    • Oncology Reports
      • Oncology Reports
      • Information for Authors
      • Editorial Policies
      • Editorial Board
      • Aims and Scope
      • Abstracting and Indexing
      • Bibliographic Information
      • Archive
    • Molecular Medicine Reports
      • Molecular Medicine Reports
      • Information for Authors
      • Editorial Policies
      • Editorial Board
      • Aims and Scope
      • Abstracting and Indexing
      • Bibliographic Information
      • Archive
    • World Academy of Sciences Journal
      • World Academy of Sciences Journal
      • Information for Authors
      • Editorial Policies
      • Editorial Board
      • Aims and Scope
      • Abstracting and Indexing
      • Bibliographic Information
      • Archive
    • International Journal of Functional Nutrition
      • International Journal of Functional Nutrition
      • Information for Authors
      • Editorial Policies
      • Editorial Board
      • Aims and Scope
      • Abstracting and Indexing
      • Bibliographic Information
      • Archive
    • International Journal of Epigenetics
      • International Journal of Epigenetics
      • Information for Authors
      • Editorial Policies
      • Editorial Board
      • Aims and Scope
      • Abstracting and Indexing
      • Bibliographic Information
      • Archive
    • Medicine International
      • Medicine International
      • Information for Authors
      • Editorial Policies
      • Editorial Board
      • Aims and Scope
      • Abstracting and Indexing
      • Bibliographic Information
      • Archive
  • Articles
  • Information
    • Information for Authors
    • Information for Reviewers
    • Information for Librarians
    • Information for Advertisers
    • Conferences
  • Language Editing
Spandidos Publications Logo
  • About
    • About Spandidos
    • Aims and Scopes
    • Abstracting and Indexing
    • Editorial Policies
    • Reprints and Permissions
    • Job Opportunities
    • Terms and Conditions
    • Contact
  • Journals
    • All Journals
    • Biomedical Reports
      • Information for Authors
      • Editorial Policies
      • Editorial Board
      • Aims and Scope
      • Abstracting and Indexing
      • Bibliographic Information
      • Archive
    • Experimental and Therapeutic Medicine
      • Information for Authors
      • Editorial Policies
      • Editorial Board
      • Aims and Scope
      • Abstracting and Indexing
      • Bibliographic Information
      • Archive
    • International Journal of Epigenetics
      • Information for Authors
      • Editorial Policies
      • Editorial Board
      • Aims and Scope
      • Abstracting and Indexing
      • Bibliographic Information
      • Archive
    • International Journal of Functional Nutrition
      • Information for Authors
      • Editorial Policies
      • Editorial Board
      • Aims and Scope
      • Abstracting and Indexing
      • Bibliographic Information
      • Archive
    • International Journal of Molecular Medicine
      • Information for Authors
      • Editorial Policies
      • Editorial Board
      • Aims and Scope
      • Abstracting and Indexing
      • Bibliographic Information
      • Archive
    • International Journal of Oncology
      • Information for Authors
      • Editorial Policies
      • Editorial Board
      • Aims and Scope
      • Abstracting and Indexing
      • Bibliographic Information
      • Archive
    • Medicine International
      • Information for Authors
      • Editorial Policies
      • Editorial Board
      • Aims and Scope
      • Abstracting and Indexing
      • Bibliographic Information
      • Archive
    • Molecular and Clinical Oncology
      • Information for Authors
      • Editorial Policies
      • Editorial Board
      • Aims and Scope
      • Abstracting and Indexing
      • Bibliographic Information
      • Archive
    • Molecular Medicine Reports
      • Information for Authors
      • Editorial Policies
      • Editorial Board
      • Aims and Scope
      • Abstracting and Indexing
      • Bibliographic Information
      • Archive
    • Oncology Letters
      • Information for Authors
      • Editorial Policies
      • Editorial Board
      • Aims and Scope
      • Abstracting and Indexing
      • Bibliographic Information
      • Archive
    • Oncology Reports
      • Information for Authors
      • Editorial Policies
      • Editorial Board
      • Aims and Scope
      • Abstracting and Indexing
      • Bibliographic Information
      • Archive
    • World Academy of Sciences Journal
      • Information for Authors
      • Editorial Policies
      • Editorial Board
      • Aims and Scope
      • Abstracting and Indexing
      • Bibliographic Information
      • Archive
  • Articles
  • Information
    • For Authors
    • For Reviewers
    • For Librarians
    • For Advertisers
    • Conferences
  • Language Editing
Login Register Submit
  • This site uses cookies
  • You can change your cookie settings at any time by following the instructions in our Cookie Policy. To find out more, you may read our Privacy Policy.

    I agree
Search articles by DOI, keyword, author or affiliation
Search
Advanced Search
presentation
Oncology Letters
Join Editorial Board Propose a Special Issue
Print ISSN: 1792-1074 Online ISSN: 1792-1082
Journal Cover
January-2025 Volume 29 Issue 1

Full Size Image

Sign up for eToc alerts
Recommend to Library

Journals

International Journal of Molecular Medicine

International Journal of Molecular Medicine

International Journal of Molecular Medicine is an international journal devoted to molecular mechanisms of human disease.

International Journal of Oncology

International Journal of Oncology

International Journal of Oncology is an international journal devoted to oncology research and cancer treatment.

Molecular Medicine Reports

Molecular Medicine Reports

Covers molecular medicine topics such as pharmacology, pathology, genetics, neuroscience, infectious diseases, molecular cardiology, and molecular surgery.

Oncology Reports

Oncology Reports

Oncology Reports is an international journal devoted to fundamental and applied research in Oncology.

Experimental and Therapeutic Medicine

Experimental and Therapeutic Medicine

Experimental and Therapeutic Medicine is an international journal devoted to laboratory and clinical medicine.

Oncology Letters

Oncology Letters

Oncology Letters is an international journal devoted to Experimental and Clinical Oncology.

Biomedical Reports

Biomedical Reports

Explores a wide range of biological and medical fields, including pharmacology, genetics, microbiology, neuroscience, and molecular cardiology.

Molecular and Clinical Oncology

Molecular and Clinical Oncology

International journal addressing all aspects of oncology research, from tumorigenesis and oncogenes to chemotherapy and metastasis.

World Academy of Sciences Journal

World Academy of Sciences Journal

Multidisciplinary open-access journal spanning biochemistry, genetics, neuroscience, environmental health, and synthetic biology.

International Journal of Functional Nutrition

International Journal of Functional Nutrition

Open-access journal combining biochemistry, pharmacology, immunology, and genetics to advance health through functional nutrition.

International Journal of Epigenetics

International Journal of Epigenetics

Publishes open-access research on using epigenetics to advance understanding and treatment of human disease.

Medicine International

Medicine International

An International Open Access Journal Devoted to General Medicine.

Journal Cover
January-2025 Volume 29 Issue 1

Full Size Image

Sign up for eToc alerts
Recommend to Library

  • Article
  • Citations
    • Cite This Article
    • Download Citation
    • Create Citation Alert
    • Remove Citation Alert
    • Cited By
  • Similar Articles
    • Related Articles (in Spandidos Publications)
    • Similar Articles (Google Scholar)
    • Similar Articles (PubMed)
  • Download PDF
  • Download XML
  • View XML
Article Open Access

Osteosarcomas of the hand and foot: A sarcoma‑center case series experience

  • Authors:
    • Michal Mahdal
    • Vasileios Apostolopoulos
    • Lukáš Pazourek
    • Iva Staniczková Zambo
    • Dagmar Adámková
    • Peter Múdry
    • Dušan Zoufalý
    • Tomáš Tomáš
  • View Affiliations / Copyright

    Affiliations: First Department of Orthopaedic Surgery, St. Anne's University Hospital, 60200 Brno, Czechia, Faculty of Medicine, Masaryk University, 62500 Brno, Czechia
    Copyright: © Mahdal et al. This is an open access article distributed under the terms of Creative Commons Attribution License.
  • Article Number: 54
    |
    Published online on: November 12, 2024
       https://doi.org/10.3892/ol.2024.14800
  • Expand metrics +
Metrics: Total Views: 0 (Spandidos Publications: | PMC Statistics: )
Metrics: Total PDF Downloads: 0 (Spandidos Publications: | PMC Statistics: )
Cited By (CrossRef): 0 citations Loading Articles...

This article is mentioned in:



Abstract

Hand and foot osteosarcoma represents ~1% of all diagnosed cases of osteosarcoma. The rarity of osteosarcoma of the hand and foot leads to frequent misdiagnosis, delayed diagnosis or incorrect treatments, which can lead to fatal consequences. Typically, salvaging the affected limb is the treatment of choice, and with the use of chemotherapy, 60‑65% of patients with osteosarcoma can be treated without amputation. Due to its rarity, misdiagnosis and treatment delays are common, yet detailed reviews and analyses of such cases are limited. The present retrospective cohort study aimed to review and analyze cases of osteosarcoma located in the hand and foot. From January 2007 to January 2019, 11 patients were treated at the Masaryk Memorial Cancer Institute Sarcoma Center (Brno, Czechia), 5 cases affected the hand and 6 affected the foot. A total of 6 male patients and 5 female patients, with a mean age of 30.9±16.74 years, were diagnosed with hand or foot osteosarcoma. The mean follow‑up period was 90.36±66.14 months. The mean tumor size detected during diagnosis was 4.29±1.81 cm. Osteoblastic osteosarcoma was the most common histopathological type, accounting for 4 cases (33.4%). A majority of the osteosarcomas were identified as high grade (81.8%). A total of 5 patients experienced misdiagnoses following their initial biopsy, with 2 patients initially receiving treatment outside the Masaryk Memorial Cancer Institute Sarcoma Center. The most frequently encountered misdiagnosis was giant‑cell tumor of the bone. A total of 3 patients underwent limb amputation and 2 patients developed lung metastasis and succumbed to the disease. The disease‑free survival period and overall survival rate were calculated using Kaplan‑Meier survival analysis. The mean disease‑free survival period was 82.83±60.05 months, while the overall survival rate was 72%, with a mean survival time of 90.36±56.73 months. In summary, an examination of a case series involving 11 patients diagnosed with osteosarcoma of the hand and foot was conducted. The treatment approach, clinical characteristics and patient outcomes were described. A total of four case studies of patients with osteosarcoma in the hand or foot were presented. Misdiagnosis of this disease may result in the inappropriate treatment being administered to patients, therefore, the correct and rapid diagnosis of disease is necessary for effective treatment of hand and foot osteosarcomas.

Introduction

Osteosarcoma is a mesenchymal tumor of the bones, typically occurring in the long bones of the extremities. Osteosarcoma in the long bones of the extremities accounts for ~80–90% of all cases of osteosarcoma (1). By contrast, two of the rarest sites for this disease to be diagnosed are the hand and the foot, representing ~1% of all diagnosed osteosarcomas (2–4). The rarity of osteosarcoma of the hand and foot has led to frequent misdiagnosis, delayed diagnosis or inappropriate treatment of patients, which can have fatal consequences (5). The uncommon occurrence of osteosarcoma of the hand and foot, its similar appearance to benign lesions and the general lack of awareness of this disease may result in physicians not immediately suspecting osteosarcoma when evaluating patients. Delays in diagnosing and treating peripheral osteosarcoma can have a negative impact on patient outcomes. These delays may reduce treatment options and diminish the possibility of limb-sparing procedures, potentially affecting the overall prognosis and quality of life of patients. Previous studies have raised contradictions about the prognosis and treatment of hand and foot osteosarcoma when compared with that at other common sites (6). This condition primarily affects adolescents and young adults, with the majority of cases occurring between the ages of 10 and 25. However, it can also affect older adults (7). Outcomes for this disease typically have a favorable prognosis, but there are currently few reports on hand and foot osteosarcoma (8). In the hand and foot, salvaging the limb is typically the treatment of choice, and with the use of chemotherapy (CHT), 60–65% of patients with osteosarcoma can be cured without amputation (1,9).

Currently, there is a lack of comprehensive understanding and published data regarding the diagnosis, treatment and outcomes of osteosarcoma in the hand and foot, as these cases represent ~1% of all osteosarcomas. Due to its rarity, misdiagnosis and treatment delays are common, yet detailed reviews and analyses of such cases are limited. To build upon the limited existing literature, the present study conducted a series of single-center case reports on a group of patients treated at the Masaryk Memorial Cancer Institute Sarcoma Center (Brno, Czechia). The present retrospective cohort study aimed to review and analyze cases of osteosarcoma located in the hand and foot. Furthermore, certain patient cases were described to highlight key educational points, including unexpected outcomes, misdiagnoses and failed interventions. These case reports may offer valuable insights into treatment efficacy, diagnostic challenges and rare complications of hand and foot osteosarcoma. By identifying common misdiagnoses and raising awareness of the rarity of hand and foot osteosarcoma, the present study may contribute to more accurate and timely diagnoses, preventing delays in treatment.

Materials and methods

Study design and patient selection

The present retrospective study selected data from patients diagnosed with osteosarcoma of the hand and foot. Between January 2007 and January 2019, 11 patients were treated at the Masaryk Memorial Cancer Institute Sarcoma Center, with 5 cases involving the hand and 6 involving the foot (Table I).

Table I.

Patient demographics.

Table I.

Patient demographics.

DemographicValue
Total number of patients, n11
Mean age at inclusion (SD), years30.9 (16.74)
Sex, n (%)
  Male6 (54.5)
  Female5 (45.5)
Mean follow-up period (SD), months90.36 (66.14)
Comorbidities, n (%)
  Yes2 (18.2)
  No9 (81.8)
Mean symptom duration (SD), months8.91 (3.80)
Patient cohort and data collection

The present study included 6 male patients and 5 female patients, with a mean age of 30.9±16.74 years. Clinical features, outcomes, and related treatments were examined. The disease-free survival period and overall survival rate were calculated.

Histopathological review

Histological diagnoses were reviewed by an experienced musculoskeletal oncology pathologist. The diagnoses were confirmed using hematoxylin and eosin and immunohistochemical (IHC) staining.

The received tissue was macroscopically inspected, and representative samples were fixed in 10% neutral buffered formalin for 24 h. Subsequently, the tissue samples were processed using the Tissue Processor TPC15 (Bamed sro), involving alcohol, isopropylene and xylene washes, followed by embedding in paraffin at a constant temperature of 60°C. The entire process took 14.25 h, with paraffin embedding taking the final 3.75 h. Calcified/ossified components were decalcified by submerging them in a 10% EDTA solution for 2–3 days before embedding.

The FFPE tissue was then sectioned into 4-µm thick sections and routinely processed with hematoxylin-eosin staining for 104 min at 60°C using Automatic stainer and coverslipper E7 or Staining apparatus Medite TST44 in combination with Film coverslipper Medite Twister (all Bamed sro). The stained tissue was subsequently examined under a standard light microscope (Olympus BX45; Olympus Corporation) at ×20, ×40, ×100 and ×200 magnification.

IHC analysis of SATB2, S100, Histone H3G34W and p63 expression was performed on tumor tissue sections using the Automated IHC/ISH Slide Staining System BenchMarkXT (• Roche Tissue Diagnostics). The ultraView Universal DAB Detection Kit (Roche Tissue Diagnostics) was used for staining according to the manufacturer's instructions. The 4-µm thick tumor tissue sections were applied to positively charged TOMO® slides (Matsunami Glass Ind., Ltd.). The following antibodies and conditions were used for staining: i) SATB2 Rabbit Monoclonal Antibody (clone EP281; cat. no. 384R-16; Cell Marque; MilliporeSigma) at 1:100 dilution; cell conditioning Ultra CC1 for 36 min at 95°C; antibody incubation for 32 min at 37°C. ii) S100 Rabbit Polyclonal Antibody (cat. no. Z0311; Dako; Agilent Technologies, Inc.) at 1:1,000 dilution; cell conditioning Ultra CC1 for 20 min at 95°C; antibody incubation for 28 min at 37°C. iii) Histone H3G34W Antibody (clone RM263; cat. no. 31-1145-00-S; RevMAb Biosciences USA, Inc.) at 1:200 dilution; cell conditioning Ultra CC1 for 76 min at 95°C; antibody incubation for 32 min at 37°C. iv) p63 Antibody (clone 4A4; cat. no. 05867061001; Roche Diagnostics GmbH), ready-to-use; cell conditioning Ultra CC1 for 72 min at 100°C; antibody incubation for 36 min at 37°C.

The ultraView Universal DAB Detection Kit (Roche Diagnostics GmbH) was used to detect expression for all the aforementioned antibodies. Each run included a system of negative and positive controls. Negative controls were prepared by incubating samples without the primary antibody, while positive control tissue samples were used to verify the staining. The positive tissue controls were taken from residual tissue samples obtained via biopsy/autopsy from different (already closed) cases. All IHC results were evaluated using a uniform microscope and camera setting (Olympus BX45 microscope and Olympus DR72 camera; Olympus Corporation).

Follow-up and assessment

Postoperative follow-up assessments were conducted at regular intervals every 3 months during the first 2 years, every 6 months for the next 3 years and annually thereafter. Each follow-up included a clinical examination, plain radiographs of the primary tumor site, chest CT scans, and, as needed based on the clinical examination and radiograph findings, MRI of the primary tumor site. Patients underwent follow-up appointments for a minimum of 5 years, with a mean follow-up duration of 90.36 (±66.14) months.

Ethical considerations and treatment planning

The institutional review board approved the present retrospective study, and written consent was obtained from all patients or their legal guardians. Each case was presented to the multidisciplinary Musculoskeletal Tumor Committee for treatment planning and management.

Statistical analysis

Statistical analysis was performed using R software (version 4.0.5; Posit Software, PBC) in the RStudio development environment. Descriptive statistics were used to summarize patient demographics, clinical characteristics, tumor size, histopathological findings and survival rates. Categorical variables, such as sex, tumor grade and histological type, were reported as frequencies and percentages. Continuous variables, including patient age, follow-up duration and tumor size, were expressed as the mean ± SD. The Kaplan-Meier method was used to estimate overall survival and disease-free survival rates. Mean survival times and their corresponding 95% CIs were calculated. Patients were censored at their last known follow-up date or time of death.

Results

Clinical and pathological outcomes

The mean tumor size detected during diagnosis was 4.29±1.81 cm. Osteoblastic osteosarcoma was the most common histopathological type, accounting for 4 cases (33.4%). A majority of the osteosarcomas were identified as high-grade (81.8%). Only 1 patient exhibited lung metastasis and lymph node infiltration upon diagnosis (Table II). A total of 5 patients experienced misdiagnoses following the initial biopsy, with two initially receiving treatment outside the Masaryk Memorial Cancer Institute Sarcoma Center. The most frequently encountered misdiagnosis was giant-cell tumor of bone (GCTB). Of the misdiagnosed patients, 4 patients initially underwent an intralesional procedure. Only 3 patients received CHT before their procedure and 3 patients underwent limb amputation. A total of 4 patients underwent ray resection, and 4 underwent en bloc resection, including an astragalectomy. A total of 2 patients developed lung metastasis and succumbed to the disease (Table III). The disease-free survival period was 82.83±60.05 months, while the overall survival rate was 72%, with a mean survival time of 90.36±56.73 months (Fig. 1). The overall survival rate for the patients with high-grade osteosarcomas was 66%, with a mean survival time of 85.11±55.89 months.

Figure 1.

Disease-free survival of patients with hand or foot osteosarcoma using a Kaplan-Meier curve. This figure shows the proportion of patients remaining disease-free over time, starting at 1.0 (100%) and declining as instances of disease recurrence occur.

Table II.

Tumor characteristics.

Table II.

Tumor characteristics.

Tumor featureValue
Number of tumors, n11
Location, n (%)
  Hand5 (45.5)
  Foot6 (54.5)
Mean size (SD), cm4.29 (±1.81)
Histology, n (%)
  Osteoblastic4 (33.4)
  Giant-cell rich3 (27.3)
  Fibroblastic1 (9.1)
  Telangiectatic1 (9.1)
  Chondroblastic1 (9.1)
  Periosteal1 (9.1)
Grade, n (%)
  Low1 (9.1)
  Intermediate1 (9.1)
  High9 (81.8)
Stage, n (%)
  I2 (18.2)
  II7 (63.6)
  III2 (18.2)
Lymph node involvement at diagnosis, n (%)1 (9.1)
Metastasis at diagnosis1 (9.1)

Table III.

Summary of 11 cases of hand or foot osteosarcoma from the present study.

Table III.

Summary of 11 cases of hand or foot osteosarcoma from the present study.

PatientAge at diagnosis, yearsSexMisdiagnosisMisdiagnosis treatmentHistologyTumor size, cmTumor siteGradeStageMetastasis at diagnosisNeoadjuvant CHTType of surgeryAdjuvant CHTMeta stasisEventAdditional therapyEventfree survival, monthsOverall survival, monthsPatient status at time of writing
  146MMalignant GCTBN/AGiantcell rich7.0IV. MTCHighIIILung and skeletalN/AAmputationN/AN/ADeathPalliative CHTN/A12Died
  238MN/AN/AFibroblastic5.0Calca neusHighIIN/AN/AAmputationYesLungDeathN/A3670Died
  311FN/AN/APeriosteal3.0V.MTTIntermediateIN/AN/AEn bloc resection and allograftN/AN/AN/ASuspected local recurrence biopsy6060Free of disease
  426FN/AN/AOsteoblastic2.5III. Digit of the handHighIIN/AN/ARay resectionYesN/AN/AN/A6868Free of disease
  552MAneurysmal bone cystAstragalectomyTelangiectatic6.5TalusHighIIN/AYesAmpu tationYesN/AN/AN/A135135Free of disease
  619MEnchondromaCure ttage and bone graftingChondro blastic2.5V. MTCHighIIN/AN/ARay resectionYesN/AN/AN/A8484Free of disease
  750MGCTBCurettage and cementoplastyGiantcell rich4.0TalusHighIIIN/AN/AAstraga lectomyYesLungDeathPalliative CHT220Died
  817MN/AN/AOsteo blastic6.0IV. MTTHighIIN/AYesEn bloc resectionYesN/AN/AN/A191191Free of disease
  914FGCTBCurettage and bone graftingOsteo blastic2.0II. MTTLowIN/AN/ARay resectionN/AN/AN/AN/A168168Free of disease
1034FN/AN/AOsteoblastic3.0IV. digit of the handHighIIN/AN/ARay resectionYesN/AN/AN/A7070Free of disease
1119FN/AN/AGiantcell rich3.0II. MTTHighIIN/AYesEn bloc resectionYesN/AN/AN/A116116Free of disease

[i] M, male; F, female; GCTB, giant-cell tumor of bone; N/A, not applicable; MTC, metacarpal bone; MTT, metatarsal bone; CHT, chemotherapy.

Case presentation
Case 1

A 26-year-old female patient presented to a local surgical department in the Moravian-Silesian region with a 3-month history of persistent pain and swelling in the middle finger of their left hand. An incision was made under local anesthesia, but the lesion eventually ulcerated and in March 2018, the patient was referred to the Masaryk Memorial Cancer Institute Sarcoma Center (Brno, Czechia) for further evaluation. CT scans demonstrated an osteoblastic lesion in the middle phalanx (Fig. 2) and histopathology confirmed the diagnosis of high-grade parosteal osteosarcoma (Fig. 3). The Musculoskeletal Tumor Committee recommended resection of the third ray, which was performed successfully (Fig. 4). The final histopathology report indicated high-grade osteoblastic osteosarcoma and a complete resection (Fig. 5). Following the surgery, the patient underwent four cycles of the standard combination CHT regimen (10), comprising high-dose methotrexate (12 g/m2), doxorubicin (75 mg/m2) and cisplatin (120 mg/m2). However, due to toxicity, the regimen was interrupted. Treatment was then adjusted to two additional cycles of monotherapy, with doxorubicin reduced (50 mg/m2) and methotrexate continued at 12 g/m2. At follow-up examinations, the patient remained disease free. However, 5 years after the surgical procedure, the patient died due to a sudden cardiac arrest, which was potentially related to the cardiotoxic effects of the CHT.

Figure 2.

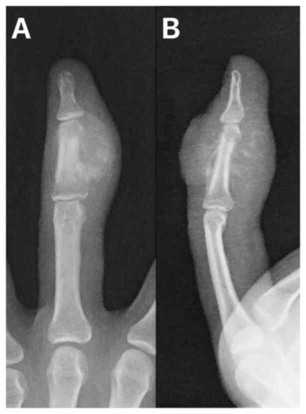
Case 1. Radiographic images showing an osteoblastic lesion in the intermediate phalanx of the middle finger of the left hand. (A) Anteroposterior view and (B) lateral view.

Figure 3.

Case 1. Open biopsy with hematoxylin and eosin staining. Magnification, ×100. A detailed examination of the high-grade component showed eosinophilic tumor osteoid and fibroblast-like proliferation exhibiting pronounced atypia.

Figure 4.

Case 1. Post-operative appearance of the hand following the removal of the third ray, shown from both dorsal and palmar views.

Figure 5.

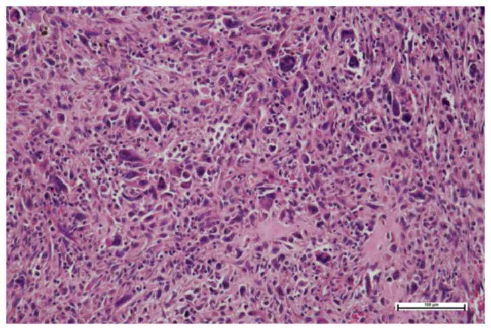
Case 1. Hematoxylin and eosin staining following resection. Magnification, ×200. The high-grade component showed atypical osteoblasts surrounding islets of eosinophilic osteoid.

Case 2

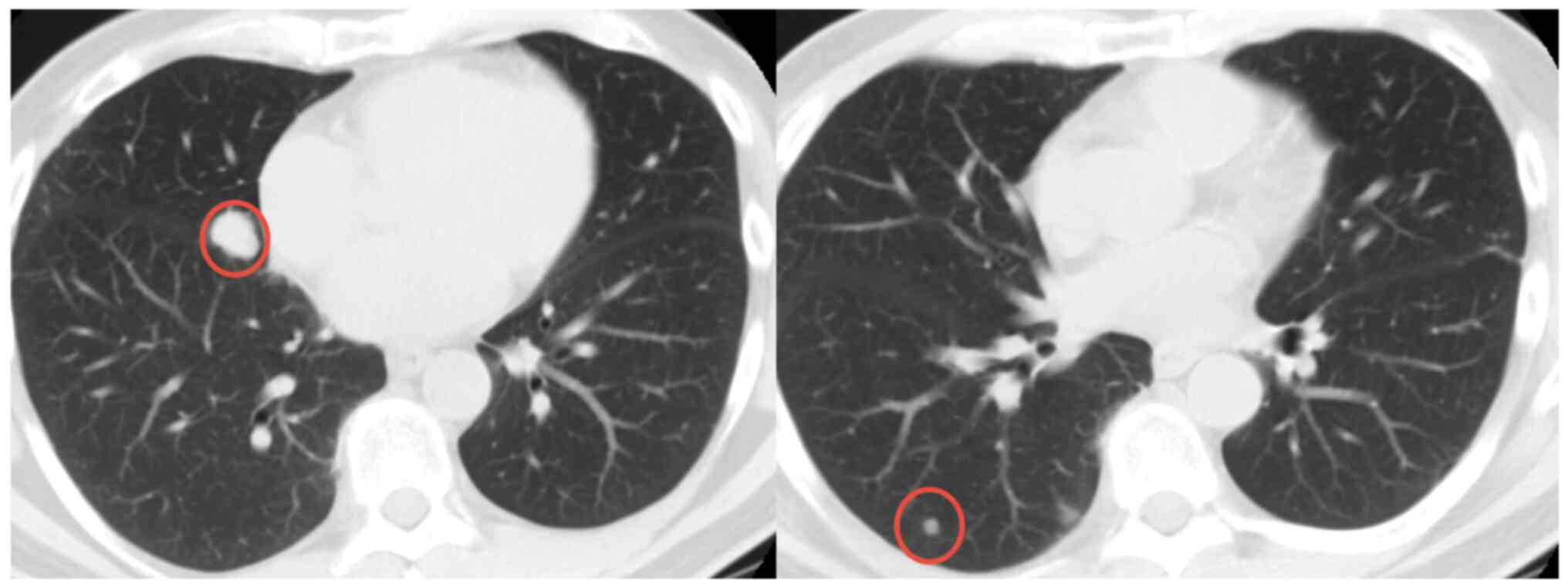
In September 2019, a 46-year-old male patient presented to the Masaryk Memorial Cancer Institute Sarcoma Center (Brno, Czechia) with a 3-month history of pain and swelling in the left hand and wrist. Computed radiography (CR) and MRI scans showed an osteolytic lesion on the base of the fourth metacarpal bone and carpal bones (Fig. 6). The histopathology report indicated a primary malignant GCTB (Fig. 7). CT scans and radiographic imaging showed infiltration of lymph nodes, as well as metastases to the lungs (Fig. 8) and skeleton (Fig. 9). The Musculoskeletal Tumor Committee recommended a radical approach, suggesting amputation of the affected area followed by palliative CHT. The final histopathology report confirmed the presence of a 55-mm high-grade giant cell-rich osteosarcoma (Fig. 10), which was successfully removed through complete resection. The patient passed away 1-year after the surgery.

Figure 6.

Case 2. MRI showing a misdiagnosed osteosarcoma of the fourth metacarpal bone, accompanied by an extraosseous mass.

Figure 7.

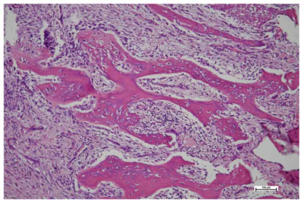
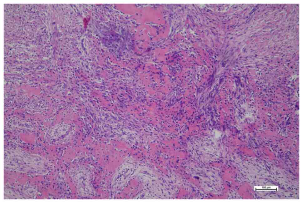
Case 2. Hematoxylin and eosin staining of the open biopsy. Magnification, ×200. The tumor component was consistent with malignant giant-cell tumor of bone. Atypical stromal cells with rich mitotic activity, including atypical mitoses, with deformed multinucleated cells. No osteoid was located in the biopsy.

Figure 8.

Case 2. CT scan showing lung metastases in the patient diagnosed with giant cell-rich osteosarcoma. Red circles indicate the metastases.

Figure 9.

Case 2. Radiographic imaging showing bone metastasis to the humeral shaft.

Figure 10.

Case 2. Hematoxylin and eosin staining following amputation. Magnification, ×100. Pleomorphic tumor cells were accompanied by eosinophilic, primitive osteoid tissue. Though deformed and atypical, giant cells were present, which was consistent with giant cell-rich osteosarcoma.

Case 3

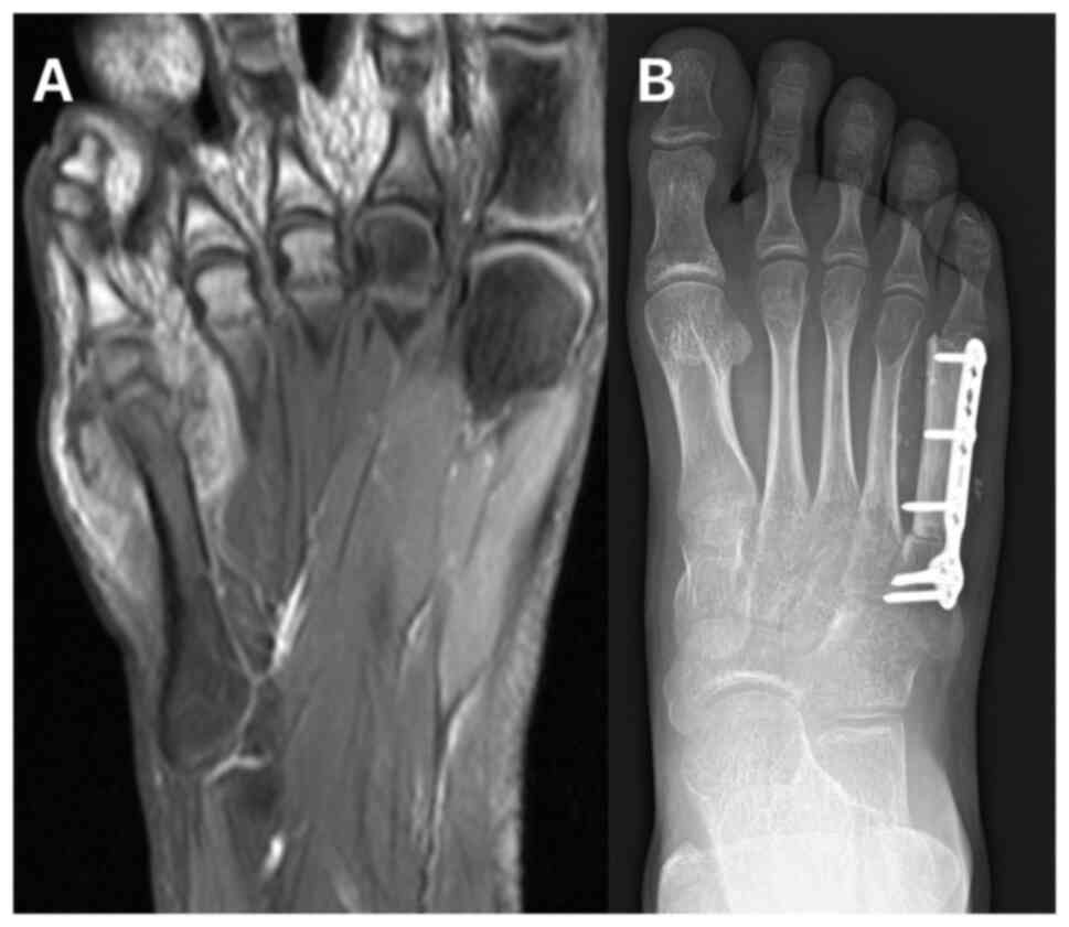
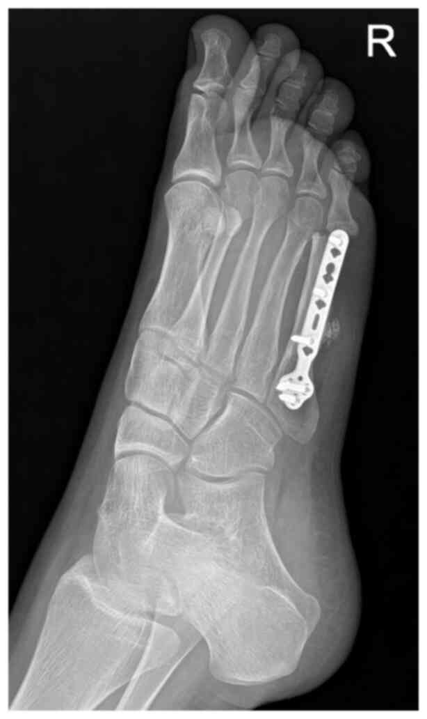
In January 2019, an 11-year-old female was referred to the Masaryk Memorial Cancer Institute Sarcoma Center with a 2-month history of pain in the right foot. MRI scans showed a 3 cm thickening of the bone in the V. metatarsal diaphysis (Fig. 11). The histopathology report showed an intermediate-grade periosteal osteosarcoma (Fig. 12). The patient had no lymph node involvement or metastases. The Musculoskeletal Tumor Committee recommended en bloc resection with bone allograft reconstruction using a plate. The final histopathology report confirmed the initial findings from the biopsy (Fig. 13). After 2 years, a follow-up plain radiographs showed ossification on the allograft surface (Fig. 14), leading to a biopsy to check for any signs of local recurrence. The biopsy results showed no evidence of malignancy (Fig. 15). At the time of writing, the patient completed 5 years of follow-up appointments with no signs of disease recurrence.

Figure 11.

Case 3. (A) MRI showing a periosteal osteosarcoma of the fifth metatarsal. (B) Postoperative radiographic imaging following complete resection and reconstruction with a bone allograft and plate fixation.

Figure 12.

Case 3. Hematoxylin and eosin staining following open biopsy. Magnification, ×100. Histological section showing well-differentiated bone trabeculae, surrounded by atypical osteoblasts with low-to-intermediate grade atypia.

Figure 13.

Case 3. Hematoxylin and eosin staining following resection. Magnification, ×100. The surface of the tumor displayed trabeculae of mature bone surrounded by atypical osteoblasts. These trabeculae were connected to a mass of atypical cartilaginous matrix, with atypia ranging from low to intermediate grade.

Figure 14.

Case 3. Follow-up radiographic imaging showing suspected ossification on the allograft surface, which prompted a biopsy.

Figure 15.

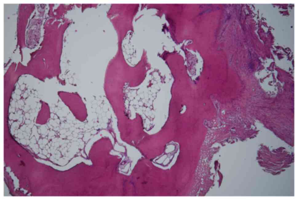
Case 3. Hematoxylin and eosin staining of a biopsy following suspected recurrence. Magnification, ×40. Mature bone formations with foci of inflammatory reaction were shown, consistent with reactive osteoplasia post-surgery.

Case 4

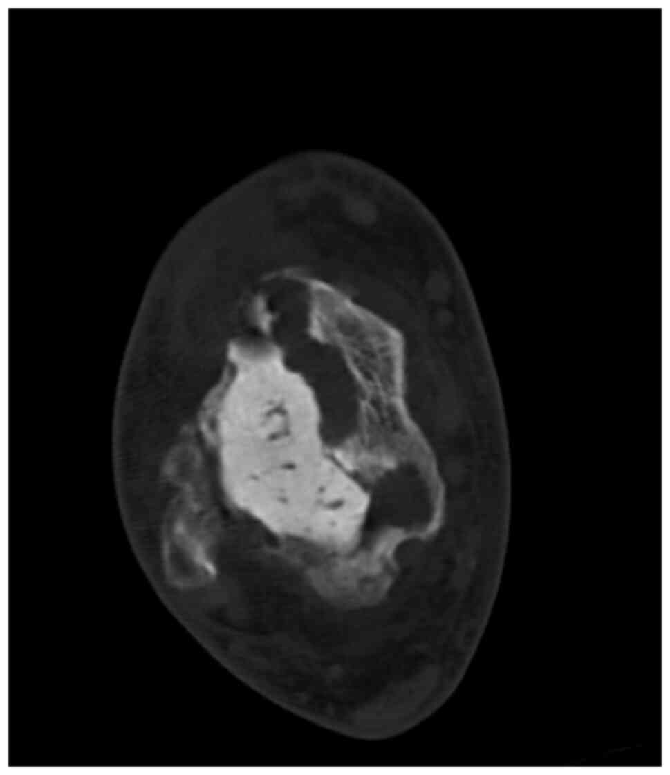
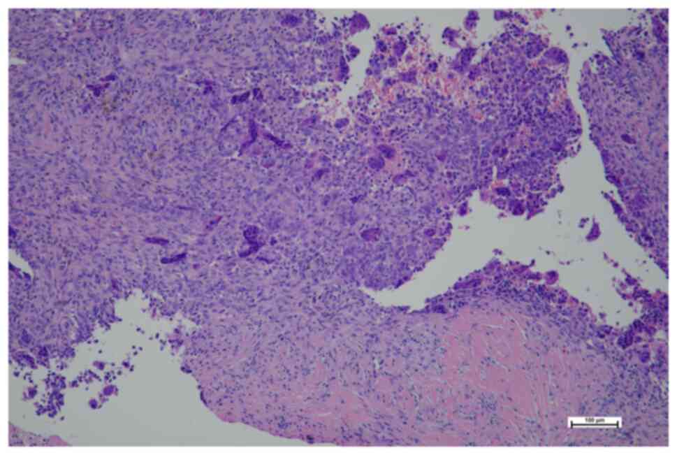
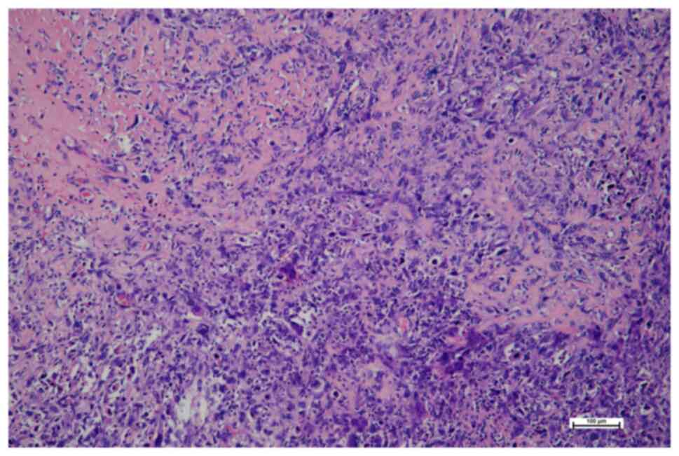
In June 2007, a 50-year-old male presented to the Masaryk Memorial Cancer Institute Sarcoma Center, with a 1-month history of persistent pain in the right ankle. Further investigations showed a cystic lesion of the talus on a CR scan, which was later confirmed by a supplementary CT scan (Fig. 16). The histopathology report diagnosed GCTB with a secondary aneurysmal cyst of the talus (Fig. 17), leading to a recommendation for intralesional resection with bone cement augmentation. After receiving the recommended treatment, the patient returned 5 months later with swelling and increased pain in the ankle. A follow-up CT scan showed destruction of the bone surrounding the bone cement, as well as osteolysis of the calcaneus and the presence of an extraosseous mass proximally (Figs. 16 and 18). Due to the extent of osteolysis, the patient required an astragalectomy. Subsequent histopathology reports showed a diagnosis of giant-cell rich osteosarcoma, contradicting the initial findings (Fig. 19). Further staging scans indicated the presence of lung metastases (Fig. 20). The Musculoskeletal Tumor Committee recommended metastasectomy followed by adjuvant CHT. Despite the successful removal of 12 lung metastases, the patient developed additional lung metastases within two months. Despite palliative care efforts, the patient died 6 months later.

Figure 16.

Case 4. (A) Radiographic images showing a misdiagnosed cystic lesion of the talus (right) alongside the post-cementoplasty results (left). (B) CT scan images showing local recurrence following cementoplasty, initially performed for a misdiagnosed giant-cell rich osteosarcoma

Figure 17.

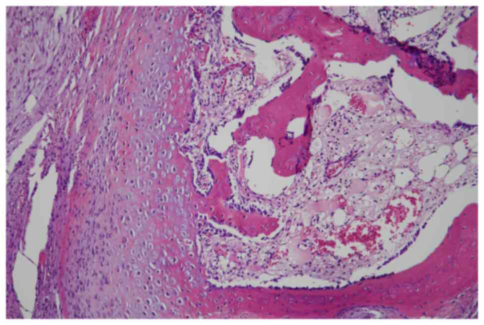
Case 4. Hematoxylin and eosin staining of an open biopsy. Magnification, ×100. Fragmented biopsy of giant-cell tumor of bone without malignant features, joined by lamellae of fibrous tissue, foci of hemorrhage and solitary granules of hemosiderotic pigmentation.

Figure 18.

Case 4. Follow-up CT scan showing local recurrence of a previously misdiagnosed giant cell-rich osteosarcoma, following curettage and cementoplasty.

Figure 19.

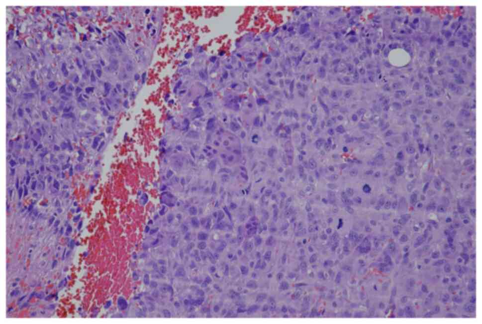
Case 4. Hematoxylin and eosin staining of the resected talus. Magnification, ×100. A highly cellular malignancy was shown characterized by eosinophilic lace-like osteoid interwoven with numerous giant multinucleated cells, consistent with giant cell-rich osteosarcoma.

Figure 20.

Case 4. CT scan showing multiple lung metastases in the patient diagnosed with giant cell-rich osteosarcoma. Red circles indicate metastases.

Discussion

The occurrence of osteosarcoma in the hand and foot regions is a rare clinical presentation, and patients with this presentation of disease are diagnosed at an average age of nearly 10 years older than patients with osteosarcoma of the long bones. This aligns with the general trend of osteosarcoma affecting an older demographic in these specific body areas (11). Upon histological examination, low grade (9.1%) and intermediate (9.1%) osteosarcomas are more common in the distal extremities, in contrast to the typical distribution observed in conventional osteosarcoma (11,12). The occurrence of sarcomas in atypical anatomical locations has been documented in previous reports (13,14).

There is a notable difference in the duration of symptoms before diagnosis. Typically, osteosarcomas present symptoms for <6 months in most cases (15). However, the findings of the present study showed an average symptomatic duration of 9 months, which was longer than the typical duration of symptoms for this disease. Diagnostic delays for osteosarcomas in the distal skeleton have been reported, with a number of patients being treated initially for other conditions, such as GCTB (16,17).

In the present study, 1 patient presented with metastatic disease at the time of diagnosis, which represented a higher rate than previously reported (16). All patients who died from the disease had high-grade osteosarcomas. The overall survival rate for high-grade variants was 66%, similar to those reported for osteosarcomas of the long bones. Development of distant metastases occurred regardless of the surgical approach used (18). The treatment for high-grade osteosarcomas in the hands and feet should include neoadjuvant and adjuvant CHT, along with aggressive surgery (12). A number of patients in the present study required amputation, with the procedure being performed in 27.3% of cases.

The present study had several limitations. The first was the study's retrospective design. The second was the small size of the cohort, which included 11 cases, due to the rare nature of the diagnosis of osteosarcoma of the hands and feet, which restricted the generalizability of the findings. The present study was conducted in a specific department with particular surgical practices and patient populations. This may potentially limit the applicability of the results to other settings or patient demographics. However, osteosarcoma of the hand and foot is particularly rare, and the majority of publications on peripheral osteosarcoma consist of case reports or studies with ≤23 cases. Multicenter studies also feature a limited number of patients (16,19). The present study contributes to the limited literature on peripheral osteosarcoma with practical implications for treating cases involving the hand and foot. By identifying common misdiagnoses and raising awareness about the existence of osteosarcoma in these locations, even with a small cohort, the present study could potentially enhance diagnostic accuracy and timeliness, thereby preventing delays in treatment.

Future perspectives on osteosarcoma diagnosis and management could be advanced significantly by integrating artificial intelligence (AI). AI-powered algorithms can be used to analyze medical imaging modalities with greater accuracy and efficiency compared with conventional methods that rely on human expertise and interpretation (20). Machine learning models, trained to recognize subtle patterns and abnormalities in bone structures, may enable the earlier detection of osteosarcoma, identifying indicators that may elude human interpretation. Furthermore, AI-driven robotic systems can enhance surgical precision, minimizing human error and improving outcomes for patients undergoing bone resection and reconstruction (21).

In summary, a study was conducted on a case series of 11 patients diagnosed with osteosarcoma of the hand and foot. The present study described the treatment approach, clinical characteristics and outcomes of these patients. A total of four case studies of patients with osteosarcoma in these locations were also presented. The present study demonstrated that misdiagnosis of osteosarcoma of the hand and foot often led to patients being administered with an incorrect treatment initially. The prognosis of patients in the present study aligned with existing literature and was favorable compared with that of osteosarcomas in other anatomical regions. The present study adds valuable information to the existing literature on osteosarcoma of the hand and foot by providing essential data on clinical outcomes from a sarcoma center, which may potentially help guide clinicians towards effective treatment strategies for these patients.

Acknowledgements

Not applicable.

Funding

Funding: No funding was received.

Availability of data and materials

The data generated in the present study may be requested from the corresponding author.

Authors' contributions

MM, VA, DA, PM and DZ were responsible for the writing and editing of the manuscript, and geneated the graph and tables. MM, DA and PM were responsible for the methodology and data collection. DA and MM were responsible for supervision of the project. MM obtained resources and performed formal data analysis, and VA was responsible for conceptualization of the study and performing formal data analysis. LP and ISZ were responsible for data collection and visualization and performing the methodology. DZ contributed to the methodology, as well as the acquisition and interpretation of data. TT was responsible for the conceptualization, supervision methodology and formal data analysis. MM and TT confirm the authenticity of all the raw data. All authors read and approved the final version of the manuscript.

Ethics approval and consent to participate

The present study was conducted according to the guidelines of the Declaration of Helsinki and approved by the St. Anne's University Hospital Ethics Committee (approval no. EK-FNUSA-01/2024; Brno, Czech Republic). Written informed consent was obtained from the patients or legal guardians.

Patient consent for publication

Patients or their legal guardians provided written informed consent for publication of the present study.

Competing interests

The authors declare that they have no competing interests.

Use of artificial intelligence tools

During the preparation of this work, artificial intelligence tools were used to improve the readability and language of the manuscript, and subsequently, the authors revised and edited the content produced by the AI tools as necessary, taking full responsibility for the ultimate content of the present manuscript.

Glossary

Abbreviations

Abbreviations:

CHT

chemotherapy

GCTB

giant cell tumor of bone

CR

computed radiography

AI

artificial intelligence

References

1 

Picci P: Osteosarcoma (Osteogenic sarcoma). Orphanet J Rare Dis. 2:62007. View Article : Google Scholar : PubMed/NCBI

2 

Casadei R, Ferraro A, Ferruzzi A, Biagini R and Ruggieri P: Bone tumors of the foot: Epidemiology and diagnosis. Chir Organi Mov. 76:47–62. 1991.PubMed/NCBI

3 

Eyre R, Feltbower RG, James PW, Blakey K, Mubwandarikwa E, Forman D, McKinney PA, Pearce MS and McNally RJQ: The epidemiology of bone cancer in 0–39 year olds in northern England, 1981–2002. BMC Cancer. 10:3572010. View Article : Google Scholar : PubMed/NCBI

4 

Chou LB, Ho YY and Malawer MM: Tumors of the foot and ankle: Experience with 153 cases. Foot Ankle Int. 30:836–841. 2009. View Article : Google Scholar : PubMed/NCBI

5 

Bowen CM, Landau MJ, Badash I, Gould DJ and Patel KM: Primary tumors of the hand: Functional and restorative management. J Surg Oncol. 118:873–882. 2018. View Article : Google Scholar : PubMed/NCBI

6 

Brotzmann M, Hefti F, Baumhoer D and Krieg AH: Do malignant bone tumors of the foot have a different biological behavior than sarcomas at other skeletal sites? Sarcoma. Mar 20–2013.(Epub ahead of print). View Article : Google Scholar : PubMed/NCBI

7 

Lee JA, Lim J, Jin HY, Park M, Park HJ, Park JW, Kim JH, Kang HG and Won Y-J: Osteosarcoma in adolescents and young adults. Cells. 10:26842021. View Article : Google Scholar : PubMed/NCBI

8 

Choong PFM, Qureshi AA, Sim FH and Unni KK: Osteosarcoma of the foot: A review of 52 patients at the Mayo Clinic. Acta Orthop Scand. 70:361–364. 1999. View Article : Google Scholar : PubMed/NCBI

9 

Puri A: Limb salvage in musculoskeletal oncology: Recent advances. Indian J Plast Surg. 47:175–184. 2014. View Article : Google Scholar : PubMed/NCBI

10 

Whelan JS, Bielack SS, Marina N, Smeland S, Jovic S, Hook JM, Krailo M, Anninga J, Butterfass–Bahloul T, Böhling T, et al: EURAMOS-1, an international randomised study for osteosarcoma: Results from pre-randomisation treatment. Ann Oncol. 26:407–414. 2015. View Article : Google Scholar : PubMed/NCBI

11 

Whelan J, McTiernan A, Cooper N, Wong YK, Francis M, Vernon S and Strauss SJ: Incidence and survival of malignant bone sarcomas in England 1979–2007. Int J Cancer. 131:E508–E517. 2012. View Article : Google Scholar : PubMed/NCBI

12 

Anninga JK, Picci P, Fiocco M, Kroon HMJA, Vanel D, Alberghini M, Gelderblom H and Hogendoorn PCW: Osteosarcoma of the hands and feet: A distinct clinico-pathological subgroup. Virchows Arch. 462:109–120. 2013. View Article : Google Scholar : PubMed/NCBI

13 

Vrînceanu D, Dumitru M, Ştefan AA, Mogoantă CA and Sajin M: Giant pleomorphic sarcoma of the tongue base-A cured clinical case report and literature review. Rom J Morphol Embryol. 61:1323–1327. 2020. View Article : Google Scholar : PubMed/NCBI

14 

Saifuddin MSAH, Ng CY and Abdullah MS: Skull base primary ewing sarcoma: A radiological experience of a rare disease in an atypical location. Am J Case Rep. 22:e9303842021. View Article : Google Scholar : PubMed/NCBI

15 

Taran SJ, Taran R and Malipatil NB: Pediatric Osteosarcoma: An Updated Review. Indian J Med Paediatr Oncol. 38:33–43. 2017. View Article : Google Scholar : PubMed/NCBI

16 

Schuster AJ, Kager L, Reichardt P, Baumhoer D, Csóka M, Hecker-Nolting S, Lang S, Lorenzen S, Mayer-Steinacker R, Kalle TV, et al: High-grade osteosarcoma of the foot: Presentation, treatment, prognostic factors, and outcome of 23 cooperative osteosarcoma study group COSS patients. Sarcoma. 2018:1–11. 2018. View Article : Google Scholar

17 

Biscaglia R, Gasbarrini A, Böhling T, Bacchini P, Bertoni F and Picci P: Osteosarcoma of the bones of the foot - An easily misdiagnosed malignant tumor. Mayo Clin Proc. 73:842–847. 1998. View Article : Google Scholar : PubMed/NCBI

18 

Kager L, Zoubek A, Pötschger U, Kastner U, Flege S, Kempf-Bielack B, Branscheid D, Kotz R, Salzer-Kuntschik M, Winkelmann W, et al: Primary metastatic osteosarcoma: Presentation and outcome of patients treated on neoadjuvant cooperative osteosarcoma study group protocols. J Clin Oncol. 21:2011–2018. 2003. View Article : Google Scholar : PubMed/NCBI

19 

Okada K, Wold LE, Beabout JW and Shives TC: Osteosarcoma of the hand: A clinicopathologic study of 12 cases. Cancer. 72:719–725. 1993. View Article : Google Scholar : PubMed/NCBI

20 

Khalifa M and Albadawy M: AI in diagnostic imaging: Revolutionising accuracy and efficiency. Comput Methods Programs Biomed Update. 5:1001462024. View Article : Google Scholar

21 

Knudsen JE, Ghaffar U, Ma R and Hung AJ: Clinical applications of artificial intelligence in robotic surgery. J Robotic Surg. 18:1022024. View Article : Google Scholar : PubMed/NCBI

Related Articles

  • Abstract
  • View
  • Download
  • Twitter
Copy and paste a formatted citation
Spandidos Publications style
Mahdal M, Apostolopoulos V, Pazourek L, Zambo IS, Adámková D, Múdry P, Zoufalý D and Tomáš T: Osteosarcomas of the hand and foot: A sarcoma‑center case series experience. Oncol Lett 29: 54, 2025.
APA
Mahdal, M., Apostolopoulos, V., Pazourek, L., Zambo, I.S., Adámková, D., Múdry, P. ... Tomáš, T. (2025). Osteosarcomas of the hand and foot: A sarcoma‑center case series experience. Oncology Letters, 29, 54. https://doi.org/10.3892/ol.2024.14800
MLA
Mahdal, M., Apostolopoulos, V., Pazourek, L., Zambo, I. S., Adámková, D., Múdry, P., Zoufalý, D., Tomáš, T."Osteosarcomas of the hand and foot: A sarcoma‑center case series experience". Oncology Letters 29.1 (2025): 54.
Chicago
Mahdal, M., Apostolopoulos, V., Pazourek, L., Zambo, I. S., Adámková, D., Múdry, P., Zoufalý, D., Tomáš, T."Osteosarcomas of the hand and foot: A sarcoma‑center case series experience". Oncology Letters 29, no. 1 (2025): 54. https://doi.org/10.3892/ol.2024.14800
Copy and paste a formatted citation
x
Spandidos Publications style
Mahdal M, Apostolopoulos V, Pazourek L, Zambo IS, Adámková D, Múdry P, Zoufalý D and Tomáš T: Osteosarcomas of the hand and foot: A sarcoma‑center case series experience. Oncol Lett 29: 54, 2025.
APA
Mahdal, M., Apostolopoulos, V., Pazourek, L., Zambo, I.S., Adámková, D., Múdry, P. ... Tomáš, T. (2025). Osteosarcomas of the hand and foot: A sarcoma‑center case series experience. Oncology Letters, 29, 54. https://doi.org/10.3892/ol.2024.14800
MLA
Mahdal, M., Apostolopoulos, V., Pazourek, L., Zambo, I. S., Adámková, D., Múdry, P., Zoufalý, D., Tomáš, T."Osteosarcomas of the hand and foot: A sarcoma‑center case series experience". Oncology Letters 29.1 (2025): 54.
Chicago
Mahdal, M., Apostolopoulos, V., Pazourek, L., Zambo, I. S., Adámková, D., Múdry, P., Zoufalý, D., Tomáš, T."Osteosarcomas of the hand and foot: A sarcoma‑center case series experience". Oncology Letters 29, no. 1 (2025): 54. https://doi.org/10.3892/ol.2024.14800
Follow us
  • Twitter
  • LinkedIn
  • Facebook
About
  • Spandidos Publications
  • Careers
  • Cookie Policy
  • Privacy Policy
How can we help?
  • Help
  • Live Chat
  • Contact
  • Email to our Support Team