Spandidos Publications Logo
  • About
    • About Spandidos
    • Aims and Scopes
    • Abstracting and Indexing
    • Editorial Policies
    • Reprints and Permissions
    • Job Opportunities
    • Terms and Conditions
    • Contact
  • Journals
    • All Journals
    • Oncology Letters
      • Oncology Letters
      • Information for Authors
      • Editorial Policies
      • Editorial Board
      • Aims and Scope
      • Abstracting and Indexing
      • Bibliographic Information
      • Archive
    • International Journal of Oncology
      • International Journal of Oncology
      • Information for Authors
      • Editorial Policies
      • Editorial Board
      • Aims and Scope
      • Abstracting and Indexing
      • Bibliographic Information
      • Archive
    • Molecular and Clinical Oncology
      • Molecular and Clinical Oncology
      • Information for Authors
      • Editorial Policies
      • Editorial Board
      • Aims and Scope
      • Abstracting and Indexing
      • Bibliographic Information
      • Archive
    • Experimental and Therapeutic Medicine
      • Experimental and Therapeutic Medicine
      • Information for Authors
      • Editorial Policies
      • Editorial Board
      • Aims and Scope
      • Abstracting and Indexing
      • Bibliographic Information
      • Archive
    • International Journal of Molecular Medicine
      • International Journal of Molecular Medicine
      • Information for Authors
      • Editorial Policies
      • Editorial Board
      • Aims and Scope
      • Abstracting and Indexing
      • Bibliographic Information
      • Archive
    • Biomedical Reports
      • Biomedical Reports
      • Information for Authors
      • Editorial Policies
      • Editorial Board
      • Aims and Scope
      • Abstracting and Indexing
      • Bibliographic Information
      • Archive
    • Oncology Reports
      • Oncology Reports
      • Information for Authors
      • Editorial Policies
      • Editorial Board
      • Aims and Scope
      • Abstracting and Indexing
      • Bibliographic Information
      • Archive
    • Molecular Medicine Reports
      • Molecular Medicine Reports
      • Information for Authors
      • Editorial Policies
      • Editorial Board
      • Aims and Scope
      • Abstracting and Indexing
      • Bibliographic Information
      • Archive
    • World Academy of Sciences Journal
      • World Academy of Sciences Journal
      • Information for Authors
      • Editorial Policies
      • Editorial Board
      • Aims and Scope
      • Abstracting and Indexing
      • Bibliographic Information
      • Archive
    • International Journal of Functional Nutrition
      • International Journal of Functional Nutrition
      • Information for Authors
      • Editorial Policies
      • Editorial Board
      • Aims and Scope
      • Abstracting and Indexing
      • Bibliographic Information
      • Archive
    • International Journal of Epigenetics
      • International Journal of Epigenetics
      • Information for Authors
      • Editorial Policies
      • Editorial Board
      • Aims and Scope
      • Abstracting and Indexing
      • Bibliographic Information
      • Archive
    • Medicine International
      • Medicine International
      • Information for Authors
      • Editorial Policies
      • Editorial Board
      • Aims and Scope
      • Abstracting and Indexing
      • Bibliographic Information
      • Archive
  • Articles
  • Information
    • Information for Authors
    • Information for Reviewers
    • Information for Librarians
    • Information for Advertisers
    • Conferences
  • Language Editing
Spandidos Publications Logo
  • About
    • About Spandidos
    • Aims and Scopes
    • Abstracting and Indexing
    • Editorial Policies
    • Reprints and Permissions
    • Job Opportunities
    • Terms and Conditions
    • Contact
  • Journals
    • All Journals
    • Biomedical Reports
      • Information for Authors
      • Editorial Policies
      • Editorial Board
      • Aims and Scope
      • Abstracting and Indexing
      • Bibliographic Information
      • Archive
    • Experimental and Therapeutic Medicine
      • Information for Authors
      • Editorial Policies
      • Editorial Board
      • Aims and Scope
      • Abstracting and Indexing
      • Bibliographic Information
      • Archive
    • International Journal of Epigenetics
      • Information for Authors
      • Editorial Policies
      • Editorial Board
      • Aims and Scope
      • Abstracting and Indexing
      • Bibliographic Information
      • Archive
    • International Journal of Functional Nutrition
      • Information for Authors
      • Editorial Policies
      • Editorial Board
      • Aims and Scope
      • Abstracting and Indexing
      • Bibliographic Information
      • Archive
    • International Journal of Molecular Medicine
      • Information for Authors
      • Editorial Policies
      • Editorial Board
      • Aims and Scope
      • Abstracting and Indexing
      • Bibliographic Information
      • Archive
    • International Journal of Oncology
      • Information for Authors
      • Editorial Policies
      • Editorial Board
      • Aims and Scope
      • Abstracting and Indexing
      • Bibliographic Information
      • Archive
    • Medicine International
      • Information for Authors
      • Editorial Policies
      • Editorial Board
      • Aims and Scope
      • Abstracting and Indexing
      • Bibliographic Information
      • Archive
    • Molecular and Clinical Oncology
      • Information for Authors
      • Editorial Policies
      • Editorial Board
      • Aims and Scope
      • Abstracting and Indexing
      • Bibliographic Information
      • Archive
    • Molecular Medicine Reports
      • Information for Authors
      • Editorial Policies
      • Editorial Board
      • Aims and Scope
      • Abstracting and Indexing
      • Bibliographic Information
      • Archive
    • Oncology Letters
      • Information for Authors
      • Editorial Policies
      • Editorial Board
      • Aims and Scope
      • Abstracting and Indexing
      • Bibliographic Information
      • Archive
    • Oncology Reports
      • Information for Authors
      • Editorial Policies
      • Editorial Board
      • Aims and Scope
      • Abstracting and Indexing
      • Bibliographic Information
      • Archive
    • World Academy of Sciences Journal
      • Information for Authors
      • Editorial Policies
      • Editorial Board
      • Aims and Scope
      • Abstracting and Indexing
      • Bibliographic Information
      • Archive
  • Articles
  • Information
    • For Authors
    • For Reviewers
    • For Librarians
    • For Advertisers
    • Conferences
  • Language Editing
Login Register Submit
  • This site uses cookies
  • You can change your cookie settings at any time by following the instructions in our Cookie Policy. To find out more, you may read our Privacy Policy.

    I agree
Search articles by DOI, keyword, author or affiliation
Search
Advanced Search
presentation
Oncology Letters
Join Editorial Board Propose a Special Issue
Print ISSN: 1792-1074 Online ISSN: 1792-1082
Journal Cover
January-2025 Volume 29 Issue 1

Full Size Image

Sign up for eToc alerts
Recommend to Library

Journals

International Journal of Molecular Medicine

International Journal of Molecular Medicine

International Journal of Molecular Medicine is an international journal devoted to molecular mechanisms of human disease.

International Journal of Oncology

International Journal of Oncology

International Journal of Oncology is an international journal devoted to oncology research and cancer treatment.

Molecular Medicine Reports

Molecular Medicine Reports

Covers molecular medicine topics such as pharmacology, pathology, genetics, neuroscience, infectious diseases, molecular cardiology, and molecular surgery.

Oncology Reports

Oncology Reports

Oncology Reports is an international journal devoted to fundamental and applied research in Oncology.

Experimental and Therapeutic Medicine

Experimental and Therapeutic Medicine

Experimental and Therapeutic Medicine is an international journal devoted to laboratory and clinical medicine.

Oncology Letters

Oncology Letters

Oncology Letters is an international journal devoted to Experimental and Clinical Oncology.

Biomedical Reports

Biomedical Reports

Explores a wide range of biological and medical fields, including pharmacology, genetics, microbiology, neuroscience, and molecular cardiology.

Molecular and Clinical Oncology

Molecular and Clinical Oncology

International journal addressing all aspects of oncology research, from tumorigenesis and oncogenes to chemotherapy and metastasis.

World Academy of Sciences Journal

World Academy of Sciences Journal

Multidisciplinary open-access journal spanning biochemistry, genetics, neuroscience, environmental health, and synthetic biology.

International Journal of Functional Nutrition

International Journal of Functional Nutrition

Open-access journal combining biochemistry, pharmacology, immunology, and genetics to advance health through functional nutrition.

International Journal of Epigenetics

International Journal of Epigenetics

Publishes open-access research on using epigenetics to advance understanding and treatment of human disease.

Medicine International

Medicine International

An International Open Access Journal Devoted to General Medicine.

Journal Cover
January-2025 Volume 29 Issue 1

Full Size Image

Sign up for eToc alerts
Recommend to Library

  • Article
  • Citations
    • Cite This Article
    • Download Citation
    • Create Citation Alert
    • Remove Citation Alert
    • Cited By
  • Similar Articles
    • Related Articles (in Spandidos Publications)
    • Similar Articles (Google Scholar)
    • Similar Articles (PubMed)
  • Download PDF
  • Download XML
  • View XML
Case Report Open Access

Skin adnexal carcinoma of the eyelid: A case report

  • Authors:
    • Rebaz H. Ali
    • Rawa M. Ali
    • Shano M. Ali
    • Ronak S. Ahmed
    • Ari M. Abdullah
    • Sami S. Omar
    • Hawkar A. Nasralla
    • Berun A. Abdalla
    • Sasan M. Ahmed
    • Fahmi H. Kakamad
  • View Affiliations / Copyright

    Affiliations: Hiwa Cancer Hospital Centre, Sulaymaniyah Directorate of Health, Sulaymaniyah, Kurdistan 46001, Iraq, Department of Scientific Affairs, Smart Health Tower, Sulaymaniyah, Kurdistan 46001, Iraq, Rizgary Oncology Center, Erbil, Kurdistan 44001, Iraq
    Copyright: © Ali et al. This is an open access article distributed under the terms of Creative Commons Attribution License [CC BY 4.0].
  • Article Number: 65
    |
    Published online on: November 19, 2024
       https://doi.org/10.3892/ol.2024.14811
  • Expand metrics +
Metrics: Total Views: 0 (Spandidos Publications: | PMC Statistics: )
Metrics: Total PDF Downloads: 0 (Spandidos Publications: | PMC Statistics: )
Cited By (CrossRef): 0 citations Loading Articles...

This article is mentioned in:



Abstract

Skin adnexal carcinomas (SACs) represent a diverse range of cancerous growths originating from the appendages of the skin. SACs are exceedingly rare malignancies that primarily manifest in individuals with fair skin and predominantly affect the head and neck. In the present study, a 70‑year‑old male presented with swelling and redness around the right eye, accompanied by skin desquamation. A tissue biopsy from the lesion showed a poorly differentiated SAC. Magnetic resonance imaging (MRI) of the neck and base of the skull revealed the presence of a large, well‑defined heterogeneous mass involving the right orbit and periorbital tissue, measuring 62x38x43 mm. The patient declined wide local excision of the tumor. Eventually, the patient received a combination of chemotherapy and radiotherapy, followed by additional cycles of chemotherapy. Then, 1 month after the final chemotherapy, an MRI showed a small, linear lesion (8x4 mm) in the lower right orbital cavity, reduced by 90% from its original size. The scan also revealed diffuse volume loss and irregularity in the right eye, likely due to radiation, leading to vision loss in the affected eye. At present, the exact cause of SACs remains largely unidentified. While SACs frequently develop spontaneously, some may originate from precursor lesions or preexisting benign counterparts. The incidence of SAC is exceedingly rare, particularly when it is found in the eyelid. A combination of chemotherapy and radiotherapy followed by additional cycles of chemotherapy may be an effective therapeutic modality in shrinking the tumor.

Introduction

Skin adnexal carcinomas (SACs) represent a diverse range of cancerous growths originating from the appendages of the skin. According to the World Health Organization categorization of skin carcinomas, adnexal adenocarcinoma of ‘not otherwise specified’ type is a primary skin adenocarcinoma characterized by ductal or glandular differentiation, lacking distinct histological features for more specific classification (1).

SACs are exceedingly rare malignancies (2,3), and exhibit diverse patterns and differentiations, with over 15 distinct histologies. These carcinomas stem from three different structures: The pilosebaceous unit, the eccrine sweat glands and the apocrine glands. Due to their rarity and challenges in recognition, coupled with their potential aggressive behavior, treating SACs poses a significant challenge (4,5).

Primarily, SACs manifest in individuals with fair skin, predominantly affecting the head and neck (65%), followed by the extremities (17%) and trunk (17%). However, the incidence of SAC increases significantly with advancing age, reaching its peak during the eighth decade of life (6,7). These tumors have also been documented in different ethnic groups, including African-American, Asian and Pacific Islander individuals (8,9). Typically, SACs present as slowly growing masses, appearing either skin-colored or red. In most cases, SACs are asymptomatic and rarely induce itching, bleeding or pain. While most SACs exhibit only local aggressiveness, they possess the capability for regional and distant metastasis (10). The exact cause of SACs remains unidentified. Certain factors, such as ultraviolet radiation, immunosuppression, organ transplant and genetic disorders, may play a role (10–13).

The present study describes a rare case of adnexal carcinoma of no specific differentiation in the right eyelid treated with a combination of chemotherapy and radiotherapy. The case report aimed to avoid citing predatory publications based on Kscien's list (14).

Case report

Patient information

A 70-year-old male with fair skin presented to Smart Health Tower (Sulaymaniyah, Iraq) in December 2023 with swelling and redness around the right eye, extending to cover the eye, along with skin desquamation (Fig. 1). Based on the description from the patient, the lesion first appeared as a minor redness around the eye nearly 19 years ago. However, it is unlikely that the current lesion was the same one due to its long existence. It is possible that the patient might have mistaken the timeline or the lesion could be a different benign skin growth. In recent years, the lesion recurred intermittently and developed slight scaling over time. Despite topical treatments, the lesion persisted and eventually grew in size, forming a wound prone to bleeding. Notably, there was no family history of malignancies, but the patient had a history of excessive sunlight exposure. The patient had twice undergone an inguinal hernia repair, first in 2002 and then again in 2010. Prior to arriving at Smart Health Tower, the patient visited the Oncology Teaching Hospital (Baghdad, Iraq), in May 2023 for the same condition. A histopathological examination was carried out (please see below) at the National Center for Educational Laboratories (Baghdad, Iraq). Following the diagnosis, the patient decided to seek treatment at Smart Health Tower.

Figure 1.

Skin adnexal carcinoma affecting the right eye (pre-treatment appearance).

Clinical findings

All vital signs were within the normal ranges. An ulcer with swelling involving the right lower eyelid was apparent. The patient's vision in the right eye was obstructed by swelling that covered the eye.

Diagnostic approach

Before the patient presented at Smart Health Tower, an incisional biopsy was performed in May 2023 at the Oncology Teaching Hospital, followed by a histopathological examination at the National Center for Educational Laboratories (Baghdad, Iraq). The hematoxylin and eosin-stained sections showed a skin biopsy with a proliferation of cells underneath an ulcerated epidermis extending to the dermis and around the benign adnexal structures. The tumor cells were arranged in sheets, nests and occasional pseudo-glandular structures. The cells were large and had an abundant lightly eosinophilic to clear cytoplasm, with markedly pleomorphic, large nuclei that had vesicular chromatin, prominent eosinophilic nucleoli and irregular nuclear outlines. There was brisk mitosis with atypical (tripolar) mitotic figures. There was no squamous, apocrine, sebaceous or any other form of distinct histogenetic differentiation in any area of the tumor in the incisional biopsy (Fig. 2). A panel of immunohistochemical stains was performed on the biopsy, which showed positive reactivity of the tumor cells to pan-keratin (AE1/AE3), cytokeratin (CK)7, vimentin and CD15. Stains for CK20, Melan-A, human melanoma black-45, S100, gross cystic disease fluid protein 15 and carcinoembryonic antigen were all negative. The combined histological and immunohistochemical picture supported the diagnosis of a poorly differentiated SAC with no specific histogenetic line of differentiation.

Figure 2.

Hematoxylin and eosin-stained images of the tumor biopsy. (A) The tumor cells were arranged in sheets and nests underneath the ulcerated epidermis (magnification, ×40). (B) Sheets and nests of large tumor cells infiltrated deeply around the benign adnexal structures (magnification, ×40). (C) The tumor cells were arranged in nests and had an abundant lightly eosinophilic to clear cytoplasm with markedly pleomorphic, large nuclei that had vesicular chromatin, prominent eosinophilic nucleoli and irregular nuclear outlines. There was brisk mitosis with atypical (tripolar) mitotic figures (magnification, ×400). (D) The tumor cells were predominantly arranged in nests with occasional pseudoglandular structures (magnification, ×400).

Subsequent imaging studies conducted at Smart Health Tower included a computed tomography (CT) scan of the head and neck, revealing an ill-defined, heterogeneously enhancing soft-tissue mass occupying the skin, lateral canthus, right lacrimal gland, lower eyelid and preseptal space, measuring 44×54×32 mm (Fig. 3A). This mass extended to the medial canthus and intraconal space, infiltrating the lateral and inferior recti muscles of the right eye. No calcification or bone destruction was observed. Furthermore, multiple right intraparotid lymph nodes with rounded contours and central necrosis, the largest measuring 16×15 mm, were noted, indicative of lymph node infiltration (Fig. 3D).

Figure 3.

Pre-treatment imaging revealing a significant right periorbital mass. (A) An axial contrast-enhanced computed tomography scan of the face and skull exhibited a large, well-defined mass (arrow) and the optic nerve (arrowhead). (B) A sagittal T2-weighted image revealed a large cystic-solid lesion (yellow arrow) with orbital (white arrow), periorbital and intraorbital extension. The optic nerve appeared free of any invasion (yellow arrowhead). (C) Post-contrast axial T1 fast suppression imaging showed a large, enhanced lesion (arrow) with foci of cystic degeneration represented by non-enhancing areas and the optic nerve (arrowhead). (D) Pre-treatment axial fat-suppressed T1-weighted images revealed two oval-shaped lymph nodes within the parotid gland, exhibiting peripheral enhancement and central necrosis (yellow and red arrows).

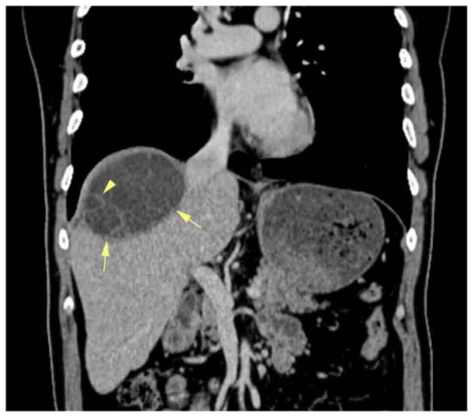
Magnetic resonance imaging (MRI) of the neck and base of the skull with contrast revealed the presence of a large, well-defined heterogeneous mass involving the right orbit and periorbital tissue, measuring 62×38×43 mm (Fig. 3). The tumor partially encroached upon the right orbit and the right lacrimal gland, with invasion noted into the peri-orbital muscles but excluding the superior rectus muscle. There was no evidence of bone invasion or extension into the paranasal sinuses, and the integrity of the optic nerve was preserved. Incidentally, mild involutional brain changes were observed. Furthermore, two pathological lymph nodes measuring <14 mm were detected within the right parotid gland. A CT scan of the chest and abdomen revealed multiple cystic lesions in the liver, with the largest measuring 73×70 mm in segment VII. These lesions appeared multilocular, containing multiple enhanced septa suggestive of multiple hydatid cysts (Fig. 4).

Figure 4.

A coronal reformatted computed tomography scan revealed a large, thick-walled subcapsular cystic lesion (arrows) with multiple thin internal septations (arrowhead), located at the liver dome just beneath the right hemidiaphragm.

Therapeutic intervention

The patient refused any form of surgical intervention for the tumor apart from the incisional biopsy. Chemotherapy consisting of carboplatin and paclitaxel was administered weekly for 6 weeks, employing a regimen of carboplatin with an area under the curve (AUC) value of 2 in conjunction with paclitaxel dosed at 50 mg/m2, followed by curative radiotherapy utilizing volumetric modulated arc therapy. The radiation was focused on the primary target volume (PTV)1, encompassing the right cervical regions 2 and 3 and the entire parotid gland, with a cumulative dose of 5,940 cGY delivered over a total of 33 fractions spanning 33 days; this led to a reduction in swelling and ulceration around the affected eye (Fig. 5). Additionally, a PTV2 covering the eye and including the gross tumor volume of the lymph nodes within the intraparotid region, with a total dose of 6,996 cGY, was administered over the same 33 fractions and days. After this combined modality therapy, the patient underwent an additional three cycles of carboplatin and paclitaxel chemotherapy administered at intervals of 21 days. The paclitaxel was dosed at 175 mg/m2, while carboplatin was capped at a maximum of 750 mg, with a target AUC of 5.

Figure 5.

Decreased swelling and ulceration around the affected eye during treatment.

Follow-up and outcome

Upon follow-up, 1 month after the last chemotherapy (Fig. 6), an MRI revealed a small, linear-shaped focal enhancing lesion measuring 8×4 mm in the inferior segment of the right orbital cavity. This lesion showed a significant reduction from its initial size of 62×43×38 mm, indicating 90% post-treatment shrinkage (Fig. 7). According to the Tumor-Node-Metastasis (TNM) classification (8th edition) (15), the tumor was initially classified as T4 due to its size and involvement of the orbit and periorbital tissues. Following treatment, the significant reduction in tumor size led to a down-staging to T1.

Figure 6.

Post-treatment results after combining chemotherapy and radiotherapy, followed by additional chemotherapy cycles. A notable reduction in tumor size was observed, shrinking from an initial 62 to 8 mm in diameter.

Figure 7.

Post-treatment magnetic resonance imaging showing a significant reduction (~90%) in the tumor size. (A) A sagittal T2-weighted image showing a shrunken intraorbital mass (arrow) with atrophy of the right orbit, resulting in phthisis bulbi, which contained a hemorrhagic component (arrowhead). (B) A sagittal post-contrast fat-suppression T1-weighted image showing an infraorbital linear enhancing component measuring 8×4 mm, with the intraorbital homogenous component appearing hyperintense (arrowhead). (C) A sagittal subtraction sequence showing an enhancing infraorbital linear focus (arrow), representing residual tumor after chemotherapy, with the intraorbital hemorrhagic component showing no post-contrast enhancement (arrowhead). (D) Post-treatment axial fat-suppressed T1-weighted images demonstrated a significant reduction in the size of both lymph nodes (yellow and red arrows).

Additionally, diffuse volume loss and irregularity in the right eyeball were observed, suggesting radiation-induced changes, which resulted in vision loss in the affected eye. The enlarged lymph nodes in the right cervical region, previously displaying suspicious imaging features, exhibited a reduction in size of ~40% relative to their prior assessments (Fig. 7). The patient was advised on the option of surgery for the residual tumor but declined the treatment. No further treatment was administered to the patient, and the patient is scheduled for follow-up every 3 months.

Discussion

Cutaneous adnexal carcinomas are rare, accounting for only 0.005% of all skin tumors (16). SACs typically exhibit gradual growth and appear either red or skin-colored. Detection usually occurs after the lesion has been present for an extended period, as SACs are commonly symptomless. Although infrequent, SACs may occasionally cause itching, bleeding or discomfort. SACs are predominantly found in individuals with fair skin, mainly on the head and neck region (6,10). The patient in the present case report was a fair-skinned male. According to the description provided by the patient, the lesion was first observed 19 years ago as a small red area around the right eye, which raises some uncertainty. Over time, the lesion intermittently diminished and regrew multiple times. Despite attempts with topical treatments, the lesion endured and eventually grew in size, evolving into a wound susceptible to bleeding.

The exact cause of SACs remains largely unidentified. While SACs frequently develop spontaneously, some may originate from precursor lesions or preexisting benign counterparts. Malignant transformation within benign adnexal skin tumors has been documented, particularly in immunosuppressed patients (11). Moreover, organ transplant recipients demonstrate a propensity for developing SACs (10). The presence of a genetic basis is observed in various syndromes linked to multiple adnexal tumors and systemic malignancies, such as sebaceous carcinoma in Muir-Torre syndrome and cylindrocarcinoma in Brooke-Spiegler syndrome (12,13). Ultraviolet radiation is considered a potential etiological factor for SACs, similar to its role in other types of skin cancer. This is supported by the tendency of SACs to predominantly affect the head and neck region, where exposure to UV radiation is often more marked (10). The patient described in the present study had a history of excessive sunlight exposure, but no known family history, syndromic manifestations or organ transplantation.

A study involving 23 cases of SAC found that the median age at diagnosis was 66 years (range, 46–87 years), with 61% of patients being female and 39% male (5). Another population-based study conducted by Stam et al (10) in the Netherlands, involving 2,220 patients with SACs, revealed that 52.70% of patients were female and 47.30% were male. Most SACs occurred in the head and neck region. Notable occurrences were observed in areas such as the eyelid (9%), ear (7% for males and 3% for females) and lip (2%). Other affected regions included the trunk (19%), extremities (15%) and genitals (14%). The patient described in the present case report was a 70-year-old male.

Clinically diagnosing SACs is challenging even for experienced skin cancer specialists, as they are often mistaken for squamous cell carcinoma, basal cell carcinoma or benign skin tumors. This challenge in identifying SACs clinically can be attributed to their diverse and frequently subtle manifestations (5,17,18). The histopathological assessment of a deep skin biopsy or diagnostic excision is widely accepted as the primary method for diagnosing SAC. Nevertheless, due to the diverse histopathological characteristics of SACs, achieving an accurate histological diagnosis can frequently pose challenges (6,18). In the present case report, a skin tissue biopsy was obtained for histopathological examination, revealing histological features consistent with poorly differentiated adnexal skin carcinoma, but without any specific features to suggest squamous, apocrine, sebaceous or other distinct histogenetic lines of differentiation.

Due to the scarcity of SACs, consensus regarding their management is lacking, leading to treatments typically based on limited case series. Surgery, commonly involving wide local excision or Mohs surgery, has been the predominant approach for most cases (7,9,19,20). The patient in the present case report declined to undergo a wide local tumor excision. Reports indicate that local or regional recurrence occurs in up to 60% of lesions treated solely with surgical excision for cutaneous adnexal carcinomas (4). The infiltrative nature of these lesions often complicates the process of obtaining sufficient margins without substantial surgical defects. Surgical series have documented a re-excision rate of up to 30% among patients who underwent wide local excision alone due to persistently positive margins (19,21).

Additionally, the literature presents mixed outcomes regarding the efficacy of radiation therapy as a standalone treatment. In one case report, radiation alone was administered for a lower lip lesion alongside a clinically positive submental lymph node. After a 6-month follow-up, the patient exhibited no signs of disease (22). However, transformation into a more aggressive histological form has also been documented in a case where radiation was used as the sole treatment (23). The present case report documents the administration of chemotherapy and radiotherapy followed by additional cycles of chemotherapy without surgery. Notably, the tumor showed a marked reduction in size of >90%, while the two suspicious right cervical lymph nodes exhibited a reduction in size of ~40%. According to the TNM classification (8th edition), the tumor was initially classified as T4 due to its size and involvement of the orbit and periorbital tissues. After treatment, the marked reduction in tumor size indicated a down-staging to T1 (15). This substantial shift from T4 to T1 underscores the effectiveness of combined chemotherapy and radiotherapy in reducing the tumor burden, thereby making curative surgery a viable option. However, the patient opted against this surgery.

The limitation of the present report is the inability to assign a specific histotype to the SAC. This is due to the patient declining a larger tissue biopsy and surgical removal of the mass to allow a more complete assessment of the entire lesion. The available immunohistochemical staining results supported the overall diagnosis, but more niche and experimental stains were not available to favor one line of differentiation over another. Furthermore, molecular testing and genomic profiling studies are not readily available in Iraq to perform on the biopsy material.

In conclusion, SAC is a rare finding and its occurrence in the eyelid is even rarer. A combination of chemotherapy and radiotherapy followed by additional cycles of chemotherapy can be an effective therapeutic modality in minimizing the size of the tumor.

Acknowledgements

Not applicable.

Funding

Funding: No funding was received.

Availability of data and materials

The data generated in the present study may be requested from the corresponding author.

Authors' contributions

RHA and RMA were major contributors to the conception of the study, as well as to the literature search for related studies. RHA and ShMA were involved in the treatment of the patient. FHK and HAN were involved in the literature review, study design and writing the manuscript. ShMA, SaMA, RSA, SSO and BAA were involved in the literature review, the design of the study, the critical revision of the manuscript and the processing of the figures. FHK and BAA confirm the authenticity of all the raw data. AMA was the pathologist who performed the histopathological diagnosis. All authors have read and approved the final version of the manuscript.

Ethics approval and consent to participate

Written informed consent was obtained from the patient for participation in the present study.

Patient consent for publication

Written informed consent was obtained from the patient for the publication of the present case report and any accompanying images.

Competing interests

The authors declare that they have no competing interests.

References

1 

Massi D, Scolyer RA and Willemze R: Adnexal adenocarcinoma not otherwise specified. WHO classification of skin tumours. 4th edition. International Agency for Res Cancer. 155–156. 2018.

2 

Mohemed FM, Fatih BN, Qadir AA, Abdalla SH and Mahmood ZH: Cancer publications in one year (2022): A cross-sectional study. BMJ. 20:18–26. 2023.

3 

Mingomataj E, Krasniqi M, Dedushi K, Sergeevich KA, Kust D, Qadir AA, Abdullah AS, Ahmed MK and Fatah GM: Cancer publications in one year (2023): A cross-sectional study. BMJ. 2:3–11. 2024.

4 

Wang LS, Handorf EA, Wu H, Liu JC, Perlis CS and Galloway TJ: Surgery and adjuvant radiation for high-risk skin adnexal carcinoma of the head and neck. Am J Clin. 40:429–432. 2017.

5 

Stam H, van de Wiel BA, Klop WM, Zupan-Kajcovski B, Janssens S, Karakullukcu MB, van der Noort V and Lohuis PJFM: Skin adnexal carcinoma of the head and neck: A retrospective study in a tertiary referral center. Eur Arch Otorhinolaryngol. 272:1001–1010. 2015. View Article : Google Scholar : PubMed/NCBI

6 

Martinez SR, Barr KL and Canter RJ: Rare tumors through the looking glass: An examination of malignant cutaneous adnexal tumors. Arch Dermatol. 147:1058–1062. 2011. View Article : Google Scholar : PubMed/NCBI

7 

Blake PW, Bradford PT, Devesa SS and Toro JR: Cutaneous appendageal carcinoma incidence and survival patterns in the United States: A population-based study. Arch Dermatol. 146:625–632. 2010. View Article : Google Scholar : PubMed/NCBI

8 

Goldstein DJ, Barr RJ and Cruz DJ: Microcystic adnexal carcinoma: A distinct clinicopathologic entity. Cancer. 50:566–672. 1982. View Article : Google Scholar : PubMed/NCBI

9 

Avraham JB, Villines D, Maker VK, August C and Maker AV: Survival after resection of cutaneous adnexal carcinomas with eccrine differentiation: Risk factors and trends in outcomes. J Surg Oncol. 108:57–62. 2013. View Article : Google Scholar : PubMed/NCBI

10 

Stam H, Lohuis PJ, Zupan-Kajcovski B, Wouters MW, van der Hage JA and Visser O: Increasing incidence and survival of a rare skin cancer in the Netherlands. A population-based study of 2,220 cases of skin adnexal carcinoma. J Surg Oncol. 107:822–827. 2013. View Article : Google Scholar : PubMed/NCBI

11 

Harwood CA, McGregor JM, Swale VJ, Proby CM, Leigh IM, Newton R, Khorshid SM and Cerio R: High frequency and diversity of cutaneous appendageal tumors in organ transplant recipients. J Am Acad Dermatol. 48:401–408. 2003. View Article : Google Scholar : PubMed/NCBI

12 

Lee DA, Grossman ME, Schneiderman P and Celebi JT: Genetics of skin appendage neoplasms and related syndromes. J Med Genet. 42:811–819. 2005. View Article : Google Scholar : PubMed/NCBI

13 

Kazakov DV, Michal M, Kacerovska D and McKee PH: Cutaneous Adnexal Tumors. Wolters Kluwer Health/Lippincott Williams & Wilkins. (Philadelphia, PA, p830). 2012.

14 

Abdullah HO, Abdalla BA, Kakamad FH, Ahmed JO, Baba HO, Hassan MN, Bapir R, Rahim HM, Omar DA, Kakamad SH, et al: Predatory Publishing Lists: A review on the ongoing battle against fraudulent actions. BMJ. 2:26–30. 2024.

15 

Amin MB, Greene FL, Edge SB, Compton CC, Gershenwald JE, Brookland RK, Meyer L, Gress DM, Byrd DR and Winchester DP: The eighth edition AJCC cancer staging manual, continuing to build a bridge from a population-based to a more ‘personalized’ approach to cancer staging. CA Cancer J Clin. 67:93–99. 2017. View Article : Google Scholar : PubMed/NCBI

16 

Cotton D: Troublesome tumours. 1: Adnexal tumours of the skin. J Clin Pathol. 44:543–548. 1991. View Article : Google Scholar : PubMed/NCBI

17 

Batsakis JG, el-Naggar AK and Weber RS: Two perplexing skin tumors: Microcystic adnexal carcinoma and keratoacanthoma. Ann Otol Rhinol Laryngol. 103:829–832. 1994. View Article : Google Scholar : PubMed/NCBI

18 

Allee JE, Cotsarelis G, Solky B and Cook JL: Multiply recurrent trichilemmal carcinoma with perineural invasion and cytokeratin 17 positivity. Dermatol Surg. 29:886–889. 2003. View Article : Google Scholar : PubMed/NCBI

19 

Chiller K, Passaro D, Scheuller M, Singer M, McCalmont T and Grekin RC: Microcystic adnexal carcinoma: Forty-eight cases, their treatment, and their outcome. Arch Dermatol. 136:1355–1359. 2000. View Article : Google Scholar : PubMed/NCBI

20 

Wetter R and Goldstein GD: Microcystic adnexal carcinoma: A diagnostic and therapeutic challenge. Dermatol Ther. 21:452–458. 2008. View Article : Google Scholar : PubMed/NCBI

21 

Pugh TJ, Lee NY, Pacheco T and Raben D: Microcystic adnexal carcinoma of the face treated with radiation therapy: A case report and review of the literature. Head Neck. 34:1045–1050. 2012. View Article : Google Scholar : PubMed/NCBI

22 

Gulmen S and Pullon PA: Sweat gland carcinoma of the lips. Oral Surg Oral Med Oral Pathol. 41:643–649. 1976. View Article : Google Scholar : PubMed/NCBI

23 

Stein JM, Ormsby A, Esclamado R and Bailin P: The effect of radiation therapy on microcystic adnexal carcinoma: A case report. Head Neck. 25:251–254. 2003. View Article : Google Scholar : PubMed/NCBI

Related Articles

  • Abstract
  • View
  • Download
  • Twitter
Copy and paste a formatted citation
Spandidos Publications style
Ali RH, Ali RM, Ali SM, Ahmed RS, Abdullah AM, Omar SS, Nasralla HA, Abdalla BA, Ahmed SM, Kakamad FH, Kakamad FH, et al: Skin adnexal carcinoma of the eyelid: A case report. Oncol Lett 29: 65, 2025.
APA
Ali, R.H., Ali, R.M., Ali, S.M., Ahmed, R.S., Abdullah, A.M., Omar, S.S. ... Kakamad, F.H. (2025). Skin adnexal carcinoma of the eyelid: A case report. Oncology Letters, 29, 65. https://doi.org/10.3892/ol.2024.14811
MLA
Ali, R. H., Ali, R. M., Ali, S. M., Ahmed, R. S., Abdullah, A. M., Omar, S. S., Nasralla, H. A., Abdalla, B. A., Ahmed, S. M., Kakamad, F. H."Skin adnexal carcinoma of the eyelid: A case report". Oncology Letters 29.1 (2025): 65.
Chicago
Ali, R. H., Ali, R. M., Ali, S. M., Ahmed, R. S., Abdullah, A. M., Omar, S. S., Nasralla, H. A., Abdalla, B. A., Ahmed, S. M., Kakamad, F. H."Skin adnexal carcinoma of the eyelid: A case report". Oncology Letters 29, no. 1 (2025): 65. https://doi.org/10.3892/ol.2024.14811
Copy and paste a formatted citation
x
Spandidos Publications style
Ali RH, Ali RM, Ali SM, Ahmed RS, Abdullah AM, Omar SS, Nasralla HA, Abdalla BA, Ahmed SM, Kakamad FH, Kakamad FH, et al: Skin adnexal carcinoma of the eyelid: A case report. Oncol Lett 29: 65, 2025.
APA
Ali, R.H., Ali, R.M., Ali, S.M., Ahmed, R.S., Abdullah, A.M., Omar, S.S. ... Kakamad, F.H. (2025). Skin adnexal carcinoma of the eyelid: A case report. Oncology Letters, 29, 65. https://doi.org/10.3892/ol.2024.14811
MLA
Ali, R. H., Ali, R. M., Ali, S. M., Ahmed, R. S., Abdullah, A. M., Omar, S. S., Nasralla, H. A., Abdalla, B. A., Ahmed, S. M., Kakamad, F. H."Skin adnexal carcinoma of the eyelid: A case report". Oncology Letters 29.1 (2025): 65.
Chicago
Ali, R. H., Ali, R. M., Ali, S. M., Ahmed, R. S., Abdullah, A. M., Omar, S. S., Nasralla, H. A., Abdalla, B. A., Ahmed, S. M., Kakamad, F. H."Skin adnexal carcinoma of the eyelid: A case report". Oncology Letters 29, no. 1 (2025): 65. https://doi.org/10.3892/ol.2024.14811
Follow us
  • Twitter
  • LinkedIn
  • Facebook
About
  • Spandidos Publications
  • Careers
  • Cookie Policy
  • Privacy Policy
How can we help?
  • Help
  • Live Chat
  • Contact
  • Email to our Support Team