Spandidos Publications Logo
  • About
    • About Spandidos
    • Aims and Scopes
    • Abstracting and Indexing
    • Editorial Policies
    • Reprints and Permissions
    • Job Opportunities
    • Terms and Conditions
    • Contact
  • Journals
    • All Journals
    • Oncology Letters
      • Oncology Letters
      • Information for Authors
      • Editorial Policies
      • Editorial Board
      • Aims and Scope
      • Abstracting and Indexing
      • Bibliographic Information
      • Archive
    • International Journal of Oncology
      • International Journal of Oncology
      • Information for Authors
      • Editorial Policies
      • Editorial Board
      • Aims and Scope
      • Abstracting and Indexing
      • Bibliographic Information
      • Archive
    • Molecular and Clinical Oncology
      • Molecular and Clinical Oncology
      • Information for Authors
      • Editorial Policies
      • Editorial Board
      • Aims and Scope
      • Abstracting and Indexing
      • Bibliographic Information
      • Archive
    • Experimental and Therapeutic Medicine
      • Experimental and Therapeutic Medicine
      • Information for Authors
      • Editorial Policies
      • Editorial Board
      • Aims and Scope
      • Abstracting and Indexing
      • Bibliographic Information
      • Archive
    • International Journal of Molecular Medicine
      • International Journal of Molecular Medicine
      • Information for Authors
      • Editorial Policies
      • Editorial Board
      • Aims and Scope
      • Abstracting and Indexing
      • Bibliographic Information
      • Archive
    • Biomedical Reports
      • Biomedical Reports
      • Information for Authors
      • Editorial Policies
      • Editorial Board
      • Aims and Scope
      • Abstracting and Indexing
      • Bibliographic Information
      • Archive
    • Oncology Reports
      • Oncology Reports
      • Information for Authors
      • Editorial Policies
      • Editorial Board
      • Aims and Scope
      • Abstracting and Indexing
      • Bibliographic Information
      • Archive
    • Molecular Medicine Reports
      • Molecular Medicine Reports
      • Information for Authors
      • Editorial Policies
      • Editorial Board
      • Aims and Scope
      • Abstracting and Indexing
      • Bibliographic Information
      • Archive
    • World Academy of Sciences Journal
      • World Academy of Sciences Journal
      • Information for Authors
      • Editorial Policies
      • Editorial Board
      • Aims and Scope
      • Abstracting and Indexing
      • Bibliographic Information
      • Archive
    • International Journal of Functional Nutrition
      • International Journal of Functional Nutrition
      • Information for Authors
      • Editorial Policies
      • Editorial Board
      • Aims and Scope
      • Abstracting and Indexing
      • Bibliographic Information
      • Archive
    • International Journal of Epigenetics
      • International Journal of Epigenetics
      • Information for Authors
      • Editorial Policies
      • Editorial Board
      • Aims and Scope
      • Abstracting and Indexing
      • Bibliographic Information
      • Archive
    • Medicine International
      • Medicine International
      • Information for Authors
      • Editorial Policies
      • Editorial Board
      • Aims and Scope
      • Abstracting and Indexing
      • Bibliographic Information
      • Archive
  • Articles
  • Information
    • Information for Authors
    • Information for Reviewers
    • Information for Librarians
    • Information for Advertisers
    • Conferences
  • Language Editing
Spandidos Publications Logo
  • About
    • About Spandidos
    • Aims and Scopes
    • Abstracting and Indexing
    • Editorial Policies
    • Reprints and Permissions
    • Job Opportunities
    • Terms and Conditions
    • Contact
  • Journals
    • All Journals
    • Biomedical Reports
      • Information for Authors
      • Editorial Policies
      • Editorial Board
      • Aims and Scope
      • Abstracting and Indexing
      • Bibliographic Information
      • Archive
    • Experimental and Therapeutic Medicine
      • Information for Authors
      • Editorial Policies
      • Editorial Board
      • Aims and Scope
      • Abstracting and Indexing
      • Bibliographic Information
      • Archive
    • International Journal of Epigenetics
      • Information for Authors
      • Editorial Policies
      • Editorial Board
      • Aims and Scope
      • Abstracting and Indexing
      • Bibliographic Information
      • Archive
    • International Journal of Functional Nutrition
      • Information for Authors
      • Editorial Policies
      • Editorial Board
      • Aims and Scope
      • Abstracting and Indexing
      • Bibliographic Information
      • Archive
    • International Journal of Molecular Medicine
      • Information for Authors
      • Editorial Policies
      • Editorial Board
      • Aims and Scope
      • Abstracting and Indexing
      • Bibliographic Information
      • Archive
    • International Journal of Oncology
      • Information for Authors
      • Editorial Policies
      • Editorial Board
      • Aims and Scope
      • Abstracting and Indexing
      • Bibliographic Information
      • Archive
    • Medicine International
      • Information for Authors
      • Editorial Policies
      • Editorial Board
      • Aims and Scope
      • Abstracting and Indexing
      • Bibliographic Information
      • Archive
    • Molecular and Clinical Oncology
      • Information for Authors
      • Editorial Policies
      • Editorial Board
      • Aims and Scope
      • Abstracting and Indexing
      • Bibliographic Information
      • Archive
    • Molecular Medicine Reports
      • Information for Authors
      • Editorial Policies
      • Editorial Board
      • Aims and Scope
      • Abstracting and Indexing
      • Bibliographic Information
      • Archive
    • Oncology Letters
      • Information for Authors
      • Editorial Policies
      • Editorial Board
      • Aims and Scope
      • Abstracting and Indexing
      • Bibliographic Information
      • Archive
    • Oncology Reports
      • Information for Authors
      • Editorial Policies
      • Editorial Board
      • Aims and Scope
      • Abstracting and Indexing
      • Bibliographic Information
      • Archive
    • World Academy of Sciences Journal
      • Information for Authors
      • Editorial Policies
      • Editorial Board
      • Aims and Scope
      • Abstracting and Indexing
      • Bibliographic Information
      • Archive
  • Articles
  • Information
    • For Authors
    • For Reviewers
    • For Librarians
    • For Advertisers
    • Conferences
  • Language Editing
Login Register Submit
  • This site uses cookies
  • You can change your cookie settings at any time by following the instructions in our Cookie Policy. To find out more, you may read our Privacy Policy.

    I agree
Search articles by DOI, keyword, author or affiliation
Search
Advanced Search
presentation
Oncology Letters
Join Editorial Board Propose a Special Issue
Print ISSN: 1792-1074 Online ISSN: 1792-1082
Journal Cover
April-2025 Volume 29 Issue 4

Full Size Image

Sign up for eToc alerts
Recommend to Library

Journals

International Journal of Molecular Medicine

International Journal of Molecular Medicine

International Journal of Molecular Medicine is an international journal devoted to molecular mechanisms of human disease.

International Journal of Oncology

International Journal of Oncology

International Journal of Oncology is an international journal devoted to oncology research and cancer treatment.

Molecular Medicine Reports

Molecular Medicine Reports

Covers molecular medicine topics such as pharmacology, pathology, genetics, neuroscience, infectious diseases, molecular cardiology, and molecular surgery.

Oncology Reports

Oncology Reports

Oncology Reports is an international journal devoted to fundamental and applied research in Oncology.

Experimental and Therapeutic Medicine

Experimental and Therapeutic Medicine

Experimental and Therapeutic Medicine is an international journal devoted to laboratory and clinical medicine.

Oncology Letters

Oncology Letters

Oncology Letters is an international journal devoted to Experimental and Clinical Oncology.

Biomedical Reports

Biomedical Reports

Explores a wide range of biological and medical fields, including pharmacology, genetics, microbiology, neuroscience, and molecular cardiology.

Molecular and Clinical Oncology

Molecular and Clinical Oncology

International journal addressing all aspects of oncology research, from tumorigenesis and oncogenes to chemotherapy and metastasis.

World Academy of Sciences Journal

World Academy of Sciences Journal

Multidisciplinary open-access journal spanning biochemistry, genetics, neuroscience, environmental health, and synthetic biology.

International Journal of Functional Nutrition

International Journal of Functional Nutrition

Open-access journal combining biochemistry, pharmacology, immunology, and genetics to advance health through functional nutrition.

International Journal of Epigenetics

International Journal of Epigenetics

Publishes open-access research on using epigenetics to advance understanding and treatment of human disease.

Medicine International

Medicine International

An International Open Access Journal Devoted to General Medicine.

Journal Cover
April-2025 Volume 29 Issue 4

Full Size Image

Sign up for eToc alerts
Recommend to Library

  • Article
  • Citations
    • Cite This Article
    • Download Citation
    • Create Citation Alert
    • Remove Citation Alert
    • Cited By
  • Similar Articles
    • Related Articles (in Spandidos Publications)
    • Similar Articles (Google Scholar)
    • Similar Articles (PubMed)
  • Download PDF
  • Download XML
  • View XML
Case Report Open Access

Metastatic squamous cell carcinoma in the residual spleen diagnosed with emergency ultrasonography: A case report

  • Authors:
    • Liying Wang
    • Shusen Zheng
  • View Affiliations / Copyright

    Affiliations: Department of Ultrasound, Shaoxing Second Hospital, Shaoxing, Zhejiang 312000, P.R. China, Key Laboratory of Combined Multi‑Organ Transplantation, Ministry of Health, Department of Hepatobiliary and Pancreatic Surgery, The First Affiliated Hospital, School of Medicine, Zhejiang University, Hangzhou, Zhejiang 310003, P.R. China
    Copyright: © Wang et al. This is an open access article distributed under the terms of Creative Commons Attribution License.
  • Article Number: 170
    |
    Published online on: February 5, 2025
       https://doi.org/10.3892/ol.2025.14916
  • Expand metrics +
Metrics: Total Views: 0 (Spandidos Publications: | PMC Statistics: )
Metrics: Total PDF Downloads: 0 (Spandidos Publications: | PMC Statistics: )
Cited By (CrossRef): 0 citations Loading Articles...

This article is mentioned in:



Abstract

Metastatic squamous cell carcinoma (SCC) in the spleen is a rare malignant tumor primarily originating from areas covered by squamous epithelium. The present study reports the case of a 58‑year‑old man who had undergone a radical gastrectomy for gastric SCC and a subtotal splenectomy for anemia previously, and who now presented with abdominal pain. On presentation to the Emergency Department of Shaoxing Second Hospital (Shaoxing, China), a bedside emergency ultrasound (US) examination was performed, which revealed a mass mimicking a splenic abscess in the residual spleen. After ineffective anti‑inflammatory treatment, a bedside US‑guided biopsy was perform2ed for subsequent treatment and confirmed the diagnosis of metastatic SCC in the residual spleen. Point‑of‑care US is the first‑line imaging choice for patients with abdominal pain, as it can identify several pathological conditions. The present case shows that point‑of‑care US combined with bedside US‑guided biopsy can be used to clarify the diagnosis.

Introduction

Squamous cell carcinoma (SCC) is commonly seen in areas covered by squamous epithelium, such as the skin, mouth, lips, esophagus, cervix and vagina (1–3). Moreover, some areas, such as the bladder, renal pelvis and bronchi, which are not covered by squamous epithelium, can form SCC through squamous epithelial metaplasia (4,5). Metastatic SCC of the spleen is a rare occurrence, and to the best of our knowledge, there are no studies reporting gastric SCC with metastasis to the spleen in humans. Only one case of a 21-year-old female spotted seal (Phoca largha) with SCC of presumed pancreatic origin that metastasized to the spleen has previously been reported (6). The present case reported a gastric SCC that metastasized to the spleen, and the link between the cases is that both the pancreas and stomach surround the spleen anatomically. More commonly observed metastases to the spleen are from the lung, breast, colorectal organs and ovary (7,8). The present study reports a case of splenic metastasis from gastric SCC in a 58-year-old man.

Case report

A 58-year-old man presented to the Emergency Department of Shaoxing Second Hospital (Shaoxing, China) with left upper quadrant abdominal pain in December 2023. The patient had undergone a radical gastrectomy, with the postoperative pathology showing SCC of the gastric fundus and cardia, with medium-low differentiation and deep muscle layer invasion in July 2022. A perigastric lymph node dissection showed no lymph node metastasis. No invasion of the gastric fundus by esophageal cancer was found according to the pathology report. The patient received chemotherapy and radiotherapy after the operation. In December 2022, the patient experienced anemia for >3 months and underwent a subtotal splenectomy in Zhejiang Tumor Hospital (Hangzhou, China). The patient had initially developed fatigue, dyspnea, low-grade fever and abdominal pain since December 2022.

At 2 days prior to the current admission, the symptoms worsened. On physical examination, the patient was conscious, with a body temperature of 37.4°C (reference range 36.0–37.0°C), a pulse rate of 103 beats/min (reference range 60–100 beats/min) and a blood pressure of 113/71 mmHg (reference range 90/60-140/90 mmHg). Physical examination revealed splenomegaly and tenderness over the spleen. Laboratory tests showed the following results: Leukocytes, 14.1×109/l (reference range 3.5–9.5×109/l); granulocytes, 0.81×109/l (reference range 0.40–0.75×109/l); hemoglobin, 91 g/l (reference range 130–175 g/l); and platelets, 461×109/l (reference range 125–350×109/l). Biochemical examination showed the following results: Alkaline phosphatase, 267 U/l (reference range 45–125 U/l); γ-glutamyl transferase, 347 U/l (reference range 10–60 U/l); albumin, 30.9 g/l (reference range 10–60 g/l); urea, 4.9 mmol/l (reference range 3.1–8.0 mmol/l); and creatinine, 39 µmol/l (reference range 57–97 µmol/l). The results of the coagulation spectrum analysis showed a plasma prothrombin time of 16.2 sec (reference range 10–14 sec) and a D-dimer level of 667 ng/ml (reference range 0–200 ng/ml). The tumor marker examination showed a carbohydrate antigen 125 level of 98.2 U/ml (reference range 0–35 U/ml), a SCC antigen (SCCA) level of 2.5 ng/ml (reference range 0.0–1.5 ng/ml) and a ferritin level of 1,080.7 ng/ml (reference range 22.0–273.0 g/ml) (Table I).

Table I.

Notable laboratory test results at the admission.

Table I.

Notable laboratory test results at the admission.

Inspection itemValuesReference range
Temperature, °C37.436.0–37.0
Blood pressure, mmHg113/7190/60-140/90
Heart rate, beats/min10360-100
Respiratory frequency, breaths/min2012-20
WBC count, ×109/l14.13.5–9.5
SCCA, ng/ml2.50.0–1.5
Blood glucose levels, mmol/l3.133.89–6.11
Granulocytes, ×109/l0.810.40–0.75
Hemoglobin, g/l91130-175
Platelets, ×109/l461125-350
Alkaline phosphatase, U/l26745-125
γ-glutamyl transferase, U/l34710-60
Albumin, g/l30.940.0–55.0
Urea, mmol/l4.93.1–8.0
Creatinine, µmol/l3957-97
Ferritin, ng/ml1,080.722.0–273.0

[i] WBC, white blood cell; SCCA, squamous cell carcinoma antigen.

The patient underwent an immediate emergency ultrasound (US) examination (Fig. 1), which detected a 116×91-mm cystic and solid mixed-echo mass in the residual spleen under the left diaphragm. The mass was surrounded by a 22.5-mm thick hypoechoic rough wall (Fig. 1A). Blood flow was detected in the surrounding wall (Fig. 1B). An ultrasonic median longitudinal abdominal scan found that the mass was close to the left lobe of the liver (Fig. 1C), and a xiphoid downward oblique scan found that it was positioned anterior to the abdominal aorta (Fig. 1D). The patient was initially diagnosed with a splenic abscess and treated with anti-inflammatory therapy (cefotaxime 2.00 g diluted in 100 ml 0.9% sodium chloride injection, intravenous drip twice a day), but the abdominal pain was not relieved.

Figure 1.

Ultrasonographic findings. (A) Ultrasonography detected a heterogeneous echo mass in the residual spleen under the left diaphragm with thick hypoechoic peripheral wall. (B) Color Doppler ultrasonography demonstrated a blood flow signal. (C) An ultrasonic median longitudinal abdominal scan found that the mass was close to the left lateral lobe of the liver. (D) An ultrasonic xiphoid downward oblique scan found that the mass was anterior to the abdominal aorta. LL, left lateral lobe of the liver; AO, abdominal aorta.

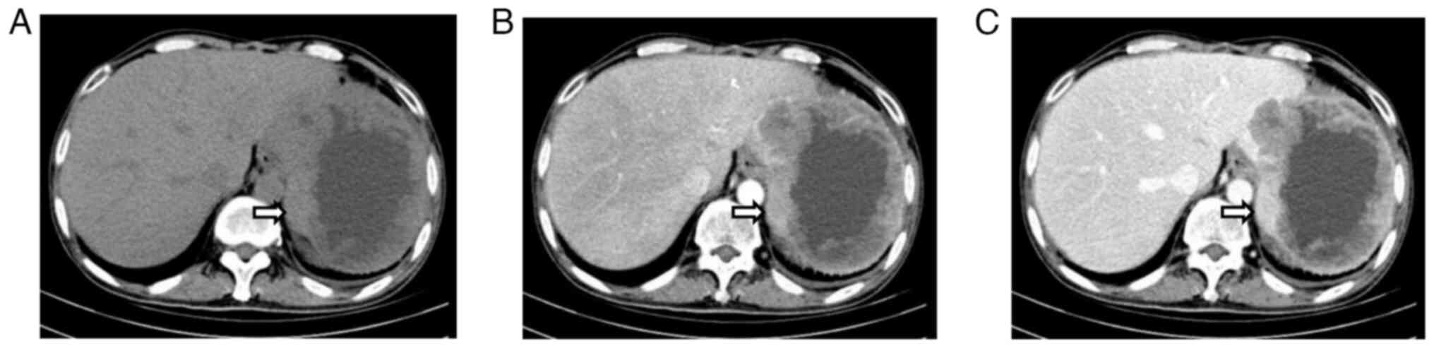
A subsequent computed tomography (CT) scan confirmed the presence of an abdominal mass (Fig. 2). An abdominal plain CT scan detected an irregular soft-tissue mass measuring 125.9×101.3 mm with an irregularly thickened wall in the residual spleen (Fig. 2A). The mass showed uneven enhancement in the arterial phase (Fig. 2B) and no obvious regression in the delayed phase (Fig. 2C). Imaging examinations, such as CT scans (Fig. 3) of the brain, lungs and abdomen, together with US of the liver, gallbladder and pancreas were performed. There were no metastases in the lungs (Fig. 3A), the liver (Fig. 3B), the lymph nodes in the upper abdomen (Fig. 3C), the pancreas (Fig. 3D and E) or the brain (Fig. 3F). A bedside percutaneous splenic mass biopsy was next performed under US guidance (Fig. 4).

Figure 2.

Abdominal CT plain and enhanced scan. (A) A CT plain scan detected an irregular soft-tissue mass (arrow) in the residual spleen, irregular thickening of the wall and a low-density effusion shadow. (B) After contrast agent injection, slight uneven enhancement was found in the peripheral solid thick wall and no enhancement in the inner area during the arterial phase. (C) The mass exhibited mild low enhancement in the peripheral solid thick wall during the delayed phase, and no obvious regression was found. CT, computed tomography.

Figure 3.

Representative CT scans showing a lack of metastasis. CT scan of (A) the lungs, (B) the liver, (C) the lymph nodes in the upper abdomen, (D) the head of the pancreas, (E) the body of the pancreas and (F) the brain. CT, computed tomography.

Figure 4.

Ultrasound-guided percutaneous biopsy and the pathological results. (A) Ultrasound-guided percutaneous biopsy of the mass was performed on the solid thick wall (arrow indicates the puncture biopsy needle). (B) The pathological result showed that the splenic puncture tissue was poorly differentiated squamous cell carcinoma metastasis (hematoxylin and eosin; magnification, ×50).

The patient was placed lying on their right side, with routine disinfection, ultrasonic point selection and positioning. Local anesthesia was applied using 2% lidocaine hydrochloride and an incision was made into the skin subcutaneously. Two percutaneous splenic mass biopsies were taken from different regions of the mass (Fig. 4A). The biopsy samples were immediately fixed with 3 ml 10% neutral buffered formalin fixative at 25°C for 12 h and sent for pathological examination. Percutaneous catheterization and drainage with an 8F pigtail needle was performed in the cystic region of the mass, and dark brown liquid was drawn out. There was no obvious bleeding during the operation and the patient's vital signs were stable. A total of 667 ml of dark brown liquid was drained out. The results of the drainage fluid culture showed hemolytic Staphylococcus. The pathological diagnosis of the biopsy was provided by the Department of Pathology, Shaoxing Second Hospital. The pathological examination was performed on 3-µm sections, which were stained with and hematoxylin and eosin at 70°C for 30 min and were observed under a light microscope (magnification, ×50). The result (Fig. 4B) showed that the splenic puncture tissue came from a SCC metastasis of medium-low differentiation, composed of sheets of large polymorphic cells exhibiting intercellular bridges and keratin pearls.

Resection of the residual spleen was recommended; however, the patient abandoned treatment after the pathological diagnosis due to a lack of confidence in the procedure and due to the cost of the required hospital stay post-surgery, and subsequently died in June 2024.

Discussion

SCC, also known as epidermal carcinoma, is a malignant tumor that occurs in epidermal cells and areas covered by squamous epithelium. However, although there is no squamous epithelium in some regions of the body, such as the bronchus and the urethra, squamous metaplasia can also occur to form SCC (9). Most gastric cancers are adenocarcinoma, and primary SCC is rare. Primary SCC is formed by squamous metaplasia of the human gastric mucosal epithelium based on chronic inflammation (10).

To the best of our knowledge, gastric SCC metastasis to the spleen has not been reported in humans in the literature. Splenic metastatic SCC should be differentiated from other space-occupying lesions of the spleen (11). Splenic hemangioma (12) is the most common benign splenic tumor in the spleen. Pathologically, it is classified into cavernous hemangioma and capillary hemangioma, and its ultrasonic manifestations are as a mostly circular or quasicircular hyperechoic or hypoechoic mass in the spleen. The boundary of a splenic hemangioma is clear, the shape is regular, and the edge is not smooth. Some hemangiomas have blood necrosis and cystic degeneration inside. Color Doppler flow imaging mostly shows no blood flow signal inside. Splenic lymphoma (13) is the most common malignant tumor in the spleen. Ultrasonic manifestations consist of homogeneous enlargement of the spleen, a smooth capsule, multiple hypoechoic nodules and a few internal ethmoid reticular or solitary heterogeneous echo nodules. Splenic metastatic SCC should also be differentiated from splenic abscesses (14,15). Patients with splenic metastatic SCC usually have a normal body temperature. In addition, the lesions of splenic metastatic SCC are usually a regular shape, have clear boundaries and a hard texture, which is not easily deformed under the pressure of the probe in imaging. These patients often have history of primary SCC in other areas and no risk factors, and anti-inflammatory treatment is ineffective. Furthermore, the tumor marker SCCA is often elevated. By contrast, patients with splenic abscesses usually have elevated body temperature and white blood cell count. The lesions of splenic abscesses mostly have unclear boundaries with a soft texture, which is easy to deform under the pressure of the probe in imaging. These patients often have risk factors for abscesses, such as diabetes. In these patients, anti-inflammatory treatment is effective, no primary SCC in other areas can be found and the tumor marker SCCA is often normal. Notably, pathological biopsy is the gold standard for differential diagnosis. Tumor cells will be detected in splenic metastatic SCC lesions, whereas they will not be detected in splenic abscess lesions (Table II).

Table II.

Differentiation of splenic metastatic SCC from splenic abscess.

Table II.

Differentiation of splenic metastatic SCC from splenic abscess.

FactorSplenic metastatic SCCSplenic abscess
Body temperatureMostly normalMostly elevated
Morphology of lesionsRegular shape, clear boundariesUnclear boundaries, rupture to the outside
Imaging characteristicsHard texture, not easily deformedSoft texture, easy to deform under compression
Presence of risk factors for abscessNoneMostly (for example, diabetes)
Blood WBC countMostly normalMostly elevated
Anti-inflammatory treatmentIneffectiveEffective
Primary SCC in other areasHistory of primary SCCNot applicable
Pathological biopsyCan detect tumor cellsTumor cells cannot be detected
Anti-inflammatory effect of antibioticsIneffectiveEffective
Tumor marker SCCAMostly elevatedMostly normal

[i] SCC, squamous cell carcinoma; WBC, white blood cell; SCCA, SCC antigen.

The metastasis of tumors comprises of a series of cascade reactions that include tumor cells detaching from the primary lesion, invading the extracellular matrix, invading nearby blood vessels and lymphatic vessels, entering the circulatory system, and adhering and interacting with platelets and target endothelial cells to penetrate the vascular system and form new clones at the target site, effectively evading immune clearance in the body (16,17). To date, stem cell-like cells, also known as tumor stem cells, have been isolated from a small number of solid tumors. Although these cells are few in number, they have high tumorigenicity and may be the root cause of tumor occurrence, development and metastasis. The risk factors for tumor metastasis include high malignancy, delayed treatment, poor physical condition, genetic factors (such as gene mutations) and tumor microenvironment factors (such as immune escape, angiogenesis and extracellular matrix degradation) (18,19). There are several methods of tumor metastasis, including direct infiltration, hematogenous metastasis, lymphatic metastasis and implantation metastasis (20). Splenic resistance to metastatic seeding and the rarity of splenic metastases are probably due to its high density of immune system cells, and high concentration of angiogenesis inhibition factors, such as tissue inhibitor of matrix metalloproteinases and P53 (21). Kinoshita et al (22) reported that constant splenic sinus blood flow decreased the adhesion of cancer cells to the spleen, and that the presence of a humoral substance in the spleen destroyed cancer cells and inhibited the splenic metastasis. Lee et al (23) reported that most splenic metastases appeared within the parenchyma, reflecting probable hematogenous spread. In cases with SCC metastasis to the spleen from the lung, a preferentially higher blood flow to the spleen via the left lung, in comparison to that of the right lung, may explain the increased rate of splenic metastasis from left-sided lung cancer (8). In this case, the cancer cells are most likely to invade the blood vessel wall and enter the bloodstream, spreading through the circulatory system vessels, such as the gastric artery and portal vein system, to reach the splenic tissues. The spleen is similar to the liver, lungs and bones in that it has an abundant blood supply and immune cells in the microenvironment.

The clinical manifestations of splenic metastatic SCC are often atypical, with abdominal discomfort being the most common symptom (24–27). In the present case, upon examination, the patient presented with abdominal discomfort and a low-grade fever, while the other vital signs were stable. The patient was also found to have a large abdominal mass. Initial treatment included anti-inflammatory therapy and other symptomatic treatments. However, there was no improvement in the patient's condition. Patients with splenic abscesses are often observed to have concurrent diabetes, and anti-inflammatory therapy is effective (27–32). However, in the current case, the patient presented with normal blood glucose levels and no other high-risk factors for splenic abscess development. Although standardized anti-inflammatory therapy was administered, the dyspnea did not markedly improve. As a result, the patient was initially diagnosed with metastatic SCC to the spleen. The patient underwent a pathological biopsy for diagnosis, which is the gold standard for this disease.

Splenic metastatic SCC, non-Hodgkin's lymphoma, abscess and other lesions can all lead to splenic masses (8,33). CT and US are commonly used for the diagnosis of splenic metastatic SCC (31). The main manifestations of CT and US are a regular shape, clear boundaries, a hard texture and a mass that is not easily deformed under probe compression. US can intuitively show the metastasis of SCC, the spleen, the diaphragm and other organs of the left upper abdomen, and the relationship among them. Metastasis of splenic SCC has relatively characteristic manifestations in US and color Doppler flow imaging, including a regular shape, smooth boundary, internal ischemia and necrosis, fine and dense light spots floating in the necrotic cavity, a thick capsule wall, an irregular inner wall and a few blood flow signals on color Doppler flow imaging. These characteristics make it easy to distinguish SCC metastasis from other splenic space occupying lesions.

SCCA is a glycoprotein that was first identified in cervical SCC tissue; it is a highly specific tumor marker that exists in the cytoplasm of SCC cells such as the uterus, cervix, esophagus, lungs, and head and neck, but exhibits low sensitivity (34–37). SCCA is involved in both epithelial differentiation in normal squamous epithelial cells and the growth of SCC cells (37). The serum concentration of SCCA in normal subjects is <2 ng/ml. The detection of SCCA serum concentration level has high specificity for the diagnosis of SCC and can be used as an auxiliary diagnostic indicator and prognostic monitoring indicator of SCC, such as oral and cervical SCC, for efficacy, recurrence and metastasis (38,39). The patient in the present case exhibited increased SCCA at the current admission, while it was normal when the radical gastrectomy for gastric SCC was completed. After the subtotal splenectomy, the patient had SCC metastasis to the residual spleen, and the cancer cells in the splenic mass grew rapidly and released SCCA into the serum, which elevated the serum SCCA level.

Metastatic SCC in the spleen is rare, and few cases have been reported (7,40,40–42). In the present study, the patient's overall condition was relatively poor, with anemia, fever and fatigue for a period of time. In addition, the spleen is an organ adjacent to the stomach, which may have helped the quick and easy metastasis of the SCC cells. Lastly, the spleen is an organ with an abundant blood supply, which may have helped the SCC cells to survive and grow (43).

Cases with metastases to the spleen from other organs should undergo individualized therapy. A splenectomy can be performed for those individuals with controlled local recurrence that is associated with enlargement of the splenic mass despite chemotherapy, as suggested in the present case, or for those with a mass large enough that a risk of rupture exists (44). Only one previous case (7) reported intra-abdominal hemorrhaging and was diagnosed with a splenic rupture. Coil embolization to the splenic artery was performed and adjuvant chemotherapy was administered after the surgery. The other reported cases were mainly administered chemotherapy (45–47). Diagnosis of metastases to the spleen from other organs can be achieved via a splenectomy or using less invasive methods such as fine-needle aspiration or transcutaneous biopsy, as in the present case, with a low complication rate (<2%) and a high rate of success (37,39). Pathological confirmation of the lesions is achieved through histological analysis (46,47).

In conclusion, metastasis of residual splenic SCC is clinically rare and easily confused with a splenic abscess. The final diagnosis requires histopathological confirmation. The present case report highlights the role of interventional radiology in managing splenic occupations. Ultrasonography has positive advantages in the localization and qualitative judgment of splenic space-occupying lesions. Specific manifestations of US can be used to distinguish splenic SCC metastasis from other diseases. In addition, in splenic space-occupying diseases, especially those with increased SCCA levels, the possibility of SCC metastasis should be considered, which has clinical relevance to the diagnosis, treatment and prognosis of the patients. The clinical diagnosis and treatment process in the present case highlighted the need for doctors to consider the possibility of metastatic splenic SCC in patients diagnosed with splenic abscess when anti-inflammatory therapy is ineffective, and when there are no causative factors for the splenic abscess, such as diabetes or a high blood glucose level.

Acknowledgements

Not applicable.

Funding

The study was funded by the Training Project of New Talents in Medicine of Zhejiang Province (grant no. Zhejiang Health and Family Planning Commission 2017-102).

Availability of data and materials

The data generated in the present study may be requested from the corresponding author.

Authors' contributions

LW contributed to the conception of the study, as well as to the literature search for related studies. SZ designed the study, and was involved in the writing of the manuscript. Both authors read and approved the final version of the manuscript. LW and SZ confirm the authenticity of all the raw data.

Ethics approval and consent to participate

Not applicable.

Patient consent for publication

The patient provided written consent for the publication of the present report.

Competing interests

The authors declare that they have no competing interests.

References

1 

Cabral SC, Gouveia E, Nunes H and Pereira PM: Use of preoperative immunotherapy in locally advanced unresectable cutaneous squamous cell carcinoma: A case report. Case Rep Oncol. 17:1109–1114. 2024. View Article : Google Scholar : PubMed/NCBI

2 

Iguchi R and Inoue K: Distal preservation and retrograde resection of the anterior vaginal wall in female robot-assisted radical cystectomy. Asian J Endosc Surg. 18:e133992025. View Article : Google Scholar : PubMed/NCBI

3 

Piersiala K, Hjalmarsson E, Lagebro V, Farrajota Neves da Silva P, Bark R, Elliot A, Marklund L, Margolin G, Georén SK and Cardell LO: Prognostic value of T regulatory cells and immune checkpoints expression in tumor-draining lymph nodes for oral squamous cell carcinoma. Front Immunol. 15:14554262024. View Article : Google Scholar : PubMed/NCBI

4 

Grizzi F, Chiriva-Internati M, Miranda E, Zaharie R, Hajjar NA, Zaharie F, Del Arco CD, Fernández-Aceñero MJ, Bresalier RS and Moiş E: Sperm protein antigen 17 and Sperm flagellar 1 cancer testis antigens are expressed in a rare case of ciliated foregut cyst of the common hepatic duct. Pathol Res Pract. 247:1545462023. View Article : Google Scholar : PubMed/NCBI

5 

Samardali M, Shanti I, Samardaly J and Alhusari L: An interesting finding of xanthogranulomatous pyelonephritis revealed concomitant incidental squamous cell carcinoma (SCC) of the renal pelvis. Cureus. 16:e633832024.PubMed/NCBI

6 

Tsuka T, Kozu T, Sunden Y, Morita T, Okamoto Y, Yamashita M, Osaki T, Amaha T, Ito N, Murahata Y and Imagawa T: Detection of squamous cell carcinoma of presumed pancreatic origin and its metastasis in a spotted seal (Phoca largha) using ultrasonography and computed tomography. J Vet Med Sci. 84:373–377. 2022. View Article : Google Scholar : PubMed/NCBI

7 

Tanaka K, Iwata T, Yoshida S, Nishii K, Matsui Y, Sugiyama T, Itami M and Iizasa T: A surgical case of synchronous solitary splenic metastasis from lung squamous cell carcinoma: Report of a case and review of the literature. Gen Thorac Cardiovasc Surg. 68:866–870. 2020. View Article : Google Scholar : PubMed/NCBI

8 

Dias AR, Pinto RA, Ravanini JN, Lupinacci RM, Cecconello I and Ribeiro U Jr: Isolated splenic metastasis from lung squamous cell carcinoma. World J Surg Oncol. 10:242012. View Article : Google Scholar : PubMed/NCBI

9 

Valentine EH: Squamous metaplasia of the bronchus; a study of metaplastic changes occurring in the epithelium of the major bronchi in cancerous and noncancerous cases. Cancer. 10:272–279. 1957. View Article : Google Scholar : PubMed/NCBI

10 

DE Miranda Neto AA, Marques SB, Baba ER, Yamazaki K, Ribeiro IB and DE Moura EGH: Extensive squamous metaplasia of the stomach. Arq Gastroenterol. 57:335–336. 2020. View Article : Google Scholar : PubMed/NCBI

11 

Hou X, Chai C, Li S and Li Y: Metastatic squamous cell carcinoma of the spleen: A case report. Chin J Gen Surg. 17:852002.(In Chinese).

12 

Vancauwenberghe T, Snoeckx A, Vanbeckevoort D, Dymarkowski S and Vanhoenacker FM: Imaging of the spleen: What the clinician needs to know. Singapore Med J. 56:133–144. 2015. View Article : Google Scholar : PubMed/NCBI

13 

Findeisen H, Görg C, Winter H, Trenker C, Dietrich CF, Alhyari A, Eilsberger F and Safai Zadeh E: B-mode ultrasound and contrast-enhanced ultrasound for the detection of splenic involvement in Hodgkin lymphoma: A retrospective analysis of 112 patients. Ultraschall Med. 45:484–492. 2024. View Article : Google Scholar : PubMed/NCBI

14 

Staudt MD, Langdon KD, Hammond RR and Lownie SP: Incisional seeding of metastatic squamous cell carcinoma following carotid endarterectomy: An unusual case of an unknown primary cancer presenting as a presumed neck abscess. Oper Neurosurg (Hagerstown). 17:202–207. 2019. View Article : Google Scholar : PubMed/NCBI

15 

Govindaraj S, Prakash C, Ananthamurthy A and Govindaraj S: Unique diagnostic challenge in surgery: Hepatic abscess versus malignancy. BMJ Case Rep. 15:e2504892022. View Article : Google Scholar : PubMed/NCBI

16 

Liu X, Zhang J, Guo X, Huang J, Lou Z, Zhao X, Lin Q, Li X, You J and Luo L: Enhancing tumor immunotherapy via photodynamic therapy with a cascade reaction of reactive oxygen species and sustaining nutrient supply. J Control Release. S0168-3659(23)00687-9. 2023.(Epub ahead of print). View Article : Google Scholar

17 

Wang X, Yang Y, Wang P, Li Q, Gao W, Sun Y, Tian G, Zhang G and Xiao J: Oxygen self-supplying nanoradiosensitizer activates cGAS-STING pathway to enhance radioimmunotherapy of triple negative breast cancer. J Control Release. 376:794–805. 2024. View Article : Google Scholar : PubMed/NCBI

18 

Ozdemir Y, Cag M, Colak E, Coskun N, Basgoz N, Sarici H, Kaan D, Dogan M, Deniz K, Inanc M and Ozkul Y: The effect of gene mutations on metastasis and overall survival in metastatic and nonmetastatic colon cancers. Asian Pac J Cancer Prev. 22:3839–3846. 2021. View Article : Google Scholar : PubMed/NCBI

19 

Wu SY, Fu T, Jiang YZ and Shao ZM: Natural killer cells in cancer biology and therapy. Mol Cancer. 19:1202020. View Article : Google Scholar : PubMed/NCBI

20 

Li X, Gu Q, Sun P, Yang L, Zhang X, Lu B and Ni Q: NSG2: A promising prognostic marker shaping the immune landscape of breast cancer. Front Immunol. 15:14874472024. View Article : Google Scholar : PubMed/NCBI

21 

Compérat E, Bardier-Dupas A, Camparo P, Capron F and Charlotte F: Splenic metastases: Clinicopathologic presentation, differential diagnosis, and pathogenesis. Arch Pathol Lab Med. 131:965–969. 2007. View Article : Google Scholar : PubMed/NCBI

22 

Kinoshita A, Nakano M, Fukuda M, Kasai T, Suyama N, Inoue K, Nakata T, Shigematsu K, Oka M and Hara K: Splenic metastasis from lung cancer. Neth J Med. 47:219–223. 1995. View Article : Google Scholar : PubMed/NCBI

23 

Lee SS, Morgenstern L, Phillips EH, Hiatt JR and Margulies DR: Splenectomy for splenic metastases: A changing clinical spectrum. Am Surg. 66:837–840. 2000. View Article : Google Scholar : PubMed/NCBI

24 

Agostinis P, Cappello D, Riccardi N, Michelutti T, Orsaria M, Zerbato V and Di Bella S: A 25-year-old woman with long-lasting abdominal pain and spleen abscess. Clin Infect Dis. 77:795–798. 2023. View Article : Google Scholar : PubMed/NCBI

25 

Walsh M, Wasko N, Simms AJ and Hodges J: Splenic abscess caused by Cutibacterium acnes in a patient with multiple tooth extractions. BMJ Case Rep. 16:e2504862023. View Article : Google Scholar : PubMed/NCBI

26 

Aktas A, Kayaalp C, Gundogan E, Gunes O and Pıskın T: Percutaneous drainage of a splenic abscess via laparoscopic trocar in a kidney transplant patient. Exp Clin Transplant. 20:613–615. 2022. View Article : Google Scholar : PubMed/NCBI

27 

Almasaud AD and Sulaiman IF: The successful resolution of a large splenic abscess with six years of follow-up and without recurrence. Cureus. 16:e530422024.PubMed/NCBI

28 

Sritharan S, Lau PS, Manan K and Mohan A: Case report: Aseptic splenic abscesses in childhood-onset systemic lupus erythematosus. Front Pediatr. 11:12145512023. View Article : Google Scholar : PubMed/NCBI

29 

Lee SB, Kim JH, Park SJ, Park CI and Kim CW: Complications and recovery patterns after blunt splenic injury: Recommended duration and follow-up methods. Ulus Travma Acil Cerrahi Derg. 29:297–303. 2023.PubMed/NCBI

30 

Muralitharan J, Nagarajan V and Ravichandran U: Mumps and splenic abscess: Is there a link? Cureus. 14:e331952022.PubMed/NCBI

31 

Hadi IAN, Boleng PP and Mengga HB: Surgical management of splenic abscess complicated by pleural effusion in rural setting: A case report from rural Indonesia. Int J Surg Case Rep. 89:1065792021. View Article : Google Scholar : PubMed/NCBI

32 

Masaki C, Matsushita K, Inoue T, Shima H, Chikakiyo M, Yamada M, Shirono R, Tashiro M, Tada H, Takamatsu N, et al: Splenic abscess diagnosed following relapsing sterile peritonitis in a peritoneal dialysis patient: A case report with literature review. Semin Dial. 34:245–251. 2021. View Article : Google Scholar : PubMed/NCBI

33 

Li Z, Cai Z, Tao B and Jin Q: Full-length spleen tyrosine kinase inhibits the invasion and metastasis of human laryngeal squamous cell carcinoma. Int J Clin Exp Pathol. 8:15786–15793. 2015.PubMed/NCBI

34 

Khan ZA, Aisha M, Farkouh CS, Tango T, Bereka L, Ul Ain H, Belay NF, Farkouh M and Ali Khan Q: The diagnostic dilemma of splenic non-Hodgkin's lymphoma and splenic abscess: A narrative review. Cureus. 14:e319442022.PubMed/NCBI

35 

Hong R, Luo L, Xu X, Huang K, Zhao H, Huang L, Wang Y and Li F: The treatment response evaluation through the combination of contrast-enhanced ultrasound and squamous cell carcinoma antigen in cervical cancer. Quant Imaging Med Surg. 14:7587–7599. 2024. View Article : Google Scholar : PubMed/NCBI

36 

Xu M, Xie X, Cai L, Liu D and Sun P: Preoperative scoring system for the prediction of risk of lymph node metastasis in cervical cancer. Sci Rep. 14:238602024. View Article : Google Scholar : PubMed/NCBI

37 

Zeng Z, Wang W, Yan J, Liu D, Zhang F and Hu K: Weekly image guidance in patients with cervical cancer treated with intensity-modulated radiation therapy: Results of a large cohort study. Cancer Med. 13:e702692024. View Article : Google Scholar : PubMed/NCBI

38 

Kim YT, Yoon BS, Kim JW, Kim SH, Kwon JY and Kim JH: Pretreatment levels of serum squamous cell carcinoma antigen and urine polyamines in women with squamous cell carcinoma of the cervix. Int J Gynaecol Obstet. 91:47–52. 2005. View Article : Google Scholar : PubMed/NCBI

39 

Qiu J, Zhang Z, Liu J, Zhao Y, Li Y, Tang Z, Li L, Tian Y and Tian H: Nomograms to predict tumor regression grade (TRG) and ypTNM staging in patients with locally advanced esophageal cancer receiving neoadjuvant therapy. World J Surg Oncol. 22:1982024. View Article : Google Scholar : PubMed/NCBI

40 

Haque MM, Kadir MI, Badruddoza SM, Alom MA and Kamal MM: Metastatic squamous cell carcinoma of spleen: A case report. Mymensingh Med J. 22:410–412. 2013.PubMed/NCBI

41 

Carvalho L, Azevedo I, Salgado L, Ferreira ES, Henrique R, de Carvalho RG and Vieira E: Squamous cell carcinoma of the cervix metastatic to the spleen-case report. Gynecol Oncol. 67:107–110. 1997. View Article : Google Scholar : PubMed/NCBI

42 

Pang LC: Solitary recurrent metastasis of squamous cell carcinoma of the uterine cervix in the spleen: Case report. South Med J. 97:301–304. 2004. View Article : Google Scholar : PubMed/NCBI

43 

Krasnov A, Afanasyev S, Hansen MHS, Bou M, Sveen L and Dessen JE: Smoltification of atlantic salmon (Salmo salar L.) is associated with enhanced traffic and renewal of B cell repertoire. Genes (Basel). 15:12202024. View Article : Google Scholar : PubMed/NCBI

44 

Chloros D, Bitzikas G, Kakoura M, Chatzikostas G, Makridis C and Tsitouridis I: Solitary splenic metastasis of squamous lung cancer: A case report. Cases J. 2:90912009. View Article : Google Scholar : PubMed/NCBI

45 

Mitsimponas N, Mitsogianni M, Crespo F, Hartmann KA, Diederich S, Klosterhalfen B and Giagounidis A: Isolated splenic metastasis from non-small-cell lung cancer: A case report and review of the literature. Case Rep Oncol. 10:638–643. 2017. View Article : Google Scholar : PubMed/NCBI

46 

Guzman Rojas P, Parikh J, Vishnubhotla P and Oharriz JJ: Primary gastric squamous cell carcinoma. Cureus. 10:e23892018.PubMed/NCBI

47 

Meng Y, Zhang J, Wang H, Zhang Y, Sun R, Zhang Z, Gao F, Huang C and Zhang S: Poorer prognosis in patients with advanced gastric squamous cell carcinoma compared with adenocarcinoma of the stomach: Case report. Medicine (Baltimore). 96:e92242017. View Article : Google Scholar : PubMed/NCBI

Related Articles

  • Abstract
  • View
  • Download
  • Twitter
Copy and paste a formatted citation
Spandidos Publications style
Wang L and Zheng S: Metastatic squamous cell carcinoma in the residual spleen diagnosed with emergency ultrasonography: A case report. Oncol Lett 29: 170, 2025.
APA
Wang, L., & Zheng, S. (2025). Metastatic squamous cell carcinoma in the residual spleen diagnosed with emergency ultrasonography: A case report. Oncology Letters, 29, 170. https://doi.org/10.3892/ol.2025.14916
MLA
Wang, L., Zheng, S."Metastatic squamous cell carcinoma in the residual spleen diagnosed with emergency ultrasonography: A case report". Oncology Letters 29.4 (2025): 170.
Chicago
Wang, L., Zheng, S."Metastatic squamous cell carcinoma in the residual spleen diagnosed with emergency ultrasonography: A case report". Oncology Letters 29, no. 4 (2025): 170. https://doi.org/10.3892/ol.2025.14916
Copy and paste a formatted citation
x
Spandidos Publications style
Wang L and Zheng S: Metastatic squamous cell carcinoma in the residual spleen diagnosed with emergency ultrasonography: A case report. Oncol Lett 29: 170, 2025.
APA
Wang, L., & Zheng, S. (2025). Metastatic squamous cell carcinoma in the residual spleen diagnosed with emergency ultrasonography: A case report. Oncology Letters, 29, 170. https://doi.org/10.3892/ol.2025.14916
MLA
Wang, L., Zheng, S."Metastatic squamous cell carcinoma in the residual spleen diagnosed with emergency ultrasonography: A case report". Oncology Letters 29.4 (2025): 170.
Chicago
Wang, L., Zheng, S."Metastatic squamous cell carcinoma in the residual spleen diagnosed with emergency ultrasonography: A case report". Oncology Letters 29, no. 4 (2025): 170. https://doi.org/10.3892/ol.2025.14916
Follow us
  • Twitter
  • LinkedIn
  • Facebook
About
  • Spandidos Publications
  • Careers
  • Cookie Policy
  • Privacy Policy
How can we help?
  • Help
  • Live Chat
  • Contact
  • Email to our Support Team