Spandidos Publications Logo
  • About
    • About Spandidos
    • Aims and Scopes
    • Abstracting and Indexing
    • Editorial Policies
    • Reprints and Permissions
    • Job Opportunities
    • Terms and Conditions
    • Contact
  • Journals
    • All Journals
    • Oncology Letters
      • Oncology Letters
      • Information for Authors
      • Editorial Policies
      • Editorial Board
      • Aims and Scope
      • Abstracting and Indexing
      • Bibliographic Information
      • Archive
    • International Journal of Oncology
      • International Journal of Oncology
      • Information for Authors
      • Editorial Policies
      • Editorial Board
      • Aims and Scope
      • Abstracting and Indexing
      • Bibliographic Information
      • Archive
    • Molecular and Clinical Oncology
      • Molecular and Clinical Oncology
      • Information for Authors
      • Editorial Policies
      • Editorial Board
      • Aims and Scope
      • Abstracting and Indexing
      • Bibliographic Information
      • Archive
    • Experimental and Therapeutic Medicine
      • Experimental and Therapeutic Medicine
      • Information for Authors
      • Editorial Policies
      • Editorial Board
      • Aims and Scope
      • Abstracting and Indexing
      • Bibliographic Information
      • Archive
    • International Journal of Molecular Medicine
      • International Journal of Molecular Medicine
      • Information for Authors
      • Editorial Policies
      • Editorial Board
      • Aims and Scope
      • Abstracting and Indexing
      • Bibliographic Information
      • Archive
    • Biomedical Reports
      • Biomedical Reports
      • Information for Authors
      • Editorial Policies
      • Editorial Board
      • Aims and Scope
      • Abstracting and Indexing
      • Bibliographic Information
      • Archive
    • Oncology Reports
      • Oncology Reports
      • Information for Authors
      • Editorial Policies
      • Editorial Board
      • Aims and Scope
      • Abstracting and Indexing
      • Bibliographic Information
      • Archive
    • Molecular Medicine Reports
      • Molecular Medicine Reports
      • Information for Authors
      • Editorial Policies
      • Editorial Board
      • Aims and Scope
      • Abstracting and Indexing
      • Bibliographic Information
      • Archive
    • World Academy of Sciences Journal
      • World Academy of Sciences Journal
      • Information for Authors
      • Editorial Policies
      • Editorial Board
      • Aims and Scope
      • Abstracting and Indexing
      • Bibliographic Information
      • Archive
    • International Journal of Functional Nutrition
      • International Journal of Functional Nutrition
      • Information for Authors
      • Editorial Policies
      • Editorial Board
      • Aims and Scope
      • Abstracting and Indexing
      • Bibliographic Information
      • Archive
    • International Journal of Epigenetics
      • International Journal of Epigenetics
      • Information for Authors
      • Editorial Policies
      • Editorial Board
      • Aims and Scope
      • Abstracting and Indexing
      • Bibliographic Information
      • Archive
    • Medicine International
      • Medicine International
      • Information for Authors
      • Editorial Policies
      • Editorial Board
      • Aims and Scope
      • Abstracting and Indexing
      • Bibliographic Information
      • Archive
  • Articles
  • Information
    • Information for Authors
    • Information for Reviewers
    • Information for Librarians
    • Information for Advertisers
    • Conferences
  • Language Editing
Spandidos Publications Logo
  • About
    • About Spandidos
    • Aims and Scopes
    • Abstracting and Indexing
    • Editorial Policies
    • Reprints and Permissions
    • Job Opportunities
    • Terms and Conditions
    • Contact
  • Journals
    • All Journals
    • Biomedical Reports
      • Information for Authors
      • Editorial Policies
      • Editorial Board
      • Aims and Scope
      • Abstracting and Indexing
      • Bibliographic Information
      • Archive
    • Experimental and Therapeutic Medicine
      • Information for Authors
      • Editorial Policies
      • Editorial Board
      • Aims and Scope
      • Abstracting and Indexing
      • Bibliographic Information
      • Archive
    • International Journal of Epigenetics
      • Information for Authors
      • Editorial Policies
      • Editorial Board
      • Aims and Scope
      • Abstracting and Indexing
      • Bibliographic Information
      • Archive
    • International Journal of Functional Nutrition
      • Information for Authors
      • Editorial Policies
      • Editorial Board
      • Aims and Scope
      • Abstracting and Indexing
      • Bibliographic Information
      • Archive
    • International Journal of Molecular Medicine
      • Information for Authors
      • Editorial Policies
      • Editorial Board
      • Aims and Scope
      • Abstracting and Indexing
      • Bibliographic Information
      • Archive
    • International Journal of Oncology
      • Information for Authors
      • Editorial Policies
      • Editorial Board
      • Aims and Scope
      • Abstracting and Indexing
      • Bibliographic Information
      • Archive
    • Medicine International
      • Information for Authors
      • Editorial Policies
      • Editorial Board
      • Aims and Scope
      • Abstracting and Indexing
      • Bibliographic Information
      • Archive
    • Molecular and Clinical Oncology
      • Information for Authors
      • Editorial Policies
      • Editorial Board
      • Aims and Scope
      • Abstracting and Indexing
      • Bibliographic Information
      • Archive
    • Molecular Medicine Reports
      • Information for Authors
      • Editorial Policies
      • Editorial Board
      • Aims and Scope
      • Abstracting and Indexing
      • Bibliographic Information
      • Archive
    • Oncology Letters
      • Information for Authors
      • Editorial Policies
      • Editorial Board
      • Aims and Scope
      • Abstracting and Indexing
      • Bibliographic Information
      • Archive
    • Oncology Reports
      • Information for Authors
      • Editorial Policies
      • Editorial Board
      • Aims and Scope
      • Abstracting and Indexing
      • Bibliographic Information
      • Archive
    • World Academy of Sciences Journal
      • Information for Authors
      • Editorial Policies
      • Editorial Board
      • Aims and Scope
      • Abstracting and Indexing
      • Bibliographic Information
      • Archive
  • Articles
  • Information
    • For Authors
    • For Reviewers
    • For Librarians
    • For Advertisers
    • Conferences
  • Language Editing
Login Register Submit
  • This site uses cookies
  • You can change your cookie settings at any time by following the instructions in our Cookie Policy. To find out more, you may read our Privacy Policy.

    I agree
Search articles by DOI, keyword, author or affiliation
Search
Advanced Search
presentation
Oncology Letters
Join Editorial Board Propose a Special Issue
Print ISSN: 1792-1074 Online ISSN: 1792-1082
Journal Cover
April-2025 Volume 29 Issue 4

Full Size Image

Sign up for eToc alerts
Recommend to Library

Journals

International Journal of Molecular Medicine

International Journal of Molecular Medicine

International Journal of Molecular Medicine is an international journal devoted to molecular mechanisms of human disease.

International Journal of Oncology

International Journal of Oncology

International Journal of Oncology is an international journal devoted to oncology research and cancer treatment.

Molecular Medicine Reports

Molecular Medicine Reports

Covers molecular medicine topics such as pharmacology, pathology, genetics, neuroscience, infectious diseases, molecular cardiology, and molecular surgery.

Oncology Reports

Oncology Reports

Oncology Reports is an international journal devoted to fundamental and applied research in Oncology.

Experimental and Therapeutic Medicine

Experimental and Therapeutic Medicine

Experimental and Therapeutic Medicine is an international journal devoted to laboratory and clinical medicine.

Oncology Letters

Oncology Letters

Oncology Letters is an international journal devoted to Experimental and Clinical Oncology.

Biomedical Reports

Biomedical Reports

Explores a wide range of biological and medical fields, including pharmacology, genetics, microbiology, neuroscience, and molecular cardiology.

Molecular and Clinical Oncology

Molecular and Clinical Oncology

International journal addressing all aspects of oncology research, from tumorigenesis and oncogenes to chemotherapy and metastasis.

World Academy of Sciences Journal

World Academy of Sciences Journal

Multidisciplinary open-access journal spanning biochemistry, genetics, neuroscience, environmental health, and synthetic biology.

International Journal of Functional Nutrition

International Journal of Functional Nutrition

Open-access journal combining biochemistry, pharmacology, immunology, and genetics to advance health through functional nutrition.

International Journal of Epigenetics

International Journal of Epigenetics

Publishes open-access research on using epigenetics to advance understanding and treatment of human disease.

Medicine International

Medicine International

An International Open Access Journal Devoted to General Medicine.

Journal Cover
April-2025 Volume 29 Issue 4

Full Size Image

Sign up for eToc alerts
Recommend to Library

  • Article
  • Citations
    • Cite This Article
    • Download Citation
    • Create Citation Alert
    • Remove Citation Alert
    • Cited By
  • Similar Articles
    • Related Articles (in Spandidos Publications)
    • Similar Articles (Google Scholar)
    • Similar Articles (PubMed)
  • Download PDF
  • Download XML
  • View XML
Article Open Access

Wernicke's encephalopathy in a terminally ill patient with primary cervical cancer: A case report and literature review

  • Authors:
    • He Zhang
    • Yong-Ming Zhou
    • Shao-Li Wang
  • View Affiliations / Copyright

    Affiliations: Department of Gastroenterology, Guang'anmen Hospital, China Academy of Chinese Medical Sciences, Beijing 100053, P.R. China, Department of Oncology, Guang'anmen Hospital, China Academy of Chinese Medical Sciences, Beijing 100053, P.R. China
    Copyright: © Zhang et al. This is an open access article distributed under the terms of Creative Commons Attribution License.
  • Article Number: 186
    |
    Published online on: February 13, 2025
       https://doi.org/10.3892/ol.2025.14932
  • Expand metrics +
Metrics: Total Views: 0 (Spandidos Publications: | PMC Statistics: )
Metrics: Total PDF Downloads: 0 (Spandidos Publications: | PMC Statistics: )
Cited By (CrossRef): 0 citations Loading Articles...

This article is mentioned in:



Abstract

Wernicke's encephalopathy (WE) is an acute or subacute neuropsychiatric condition associated with thiamine deficiency that is more often seen in cases of alcohol abuse. The current study presents a rare case of primary cervical cancer complicated by WE. A 44‑year‑old woman who underwent a laparoscopic radical hysterectomy with endoscopic pelvic lymphadenectomy for primary cervical adenocarcinoma in 2014 developed multiple metastases in the pelvic and abdominal cavities, right iliopsoas muscle and iliac wing 2 years post‑surgery. The patient was hospitalized due to the rupture of a mass in the right lower abdomen in August 2019. A computed tomography scan demonstrated the spreading of primary cervical cancer to the right lower abdomen, which broke through the skin. In this terminal stage of cervical cancer accompanied with malnutrition, the patient suddenly presented with cognitive impairment, particularly in recent and immediate memory, as well as bilateral sustained nystagmus during hospitalization. Brain magnetic resonance imaging showed hyperintensity in the periaqueductal midbrain on T2 fluid‑attenuated inversion recovery imaging. Based on these findings, a diagnosis of WE was made, and thiamine (100 mg) was immediately administered intramuscularly three times a day. After a week, the patient's eye movement disorder and recent memory improved gradually. The present case report with literature review aims to demonstrate the significant comorbidity between cancer and WE, raising awareness about the importance of recognizing the risk of thiamine deficiency in advanced cancer to prevent the development of WE.

Introduction

Wernicke's encephalopathy (WE) is an acute or subacute neuropsychiatric syndrome that is caused by thiamine (vitamin B1) deficiency. This vitamin plays indispensable roles in various physiological processes, including functioning as a coenzyme in the metabolism of carbohydrates, fats and proteins, making it a crucial enzyme regulating the proper functioning of the nervous system, muscles and cells (1). In humans, intestinal bacteria can synthesize only small amounts of thiamine, and thus, dietary intake is necessary (2). Generally, the occurrence of WE is associated with alcohol abuse. Evidence from numerous clinical case reports has indicated that WE is also common in patients with cancer, particularly those with advanced cancer. Reduced thiamine availability and storage capacity in patients with cancer may arise from starvation, malabsorption, malnutrition, chemotherapeutic agents use (e.g., 5-fluorouracil) and disease progression (3–5). Moreover, in patients with cancer undergoing gastrointestinal surgeries or experiencing complications such as vomiting, diarrhea or intestinal obstruction, thiamine absorption may be compromised, leading to thiamine deficiency (4). There are also rare factors contributing to thiamine deficiency, such as prolonged hospitalization and administration of total parenteral nutrition (TPN) without thiamine support supplementation.

The classic clinical triad of WE comprises alterations in consciousness, eye movement disorders and ataxia. In terms of diagnosis, WE is primarily based on the presence of one or two core manifestations. Magnetic resonance imaging (MRI) is currently considered the most reliable tool for diagnosing WE, providing high specificity and accurate positive predictive value, but low sensitivity (6). The prevalence of WE is in the range of 0.4 to 2.8%, as determined by several autopsy studies (7,8). However, in patients with cancer, WE may be underdiagnosed due to factors such as the under-recognition of early symptoms and the lack of specific diagnostic criteria for critically ill patients. The present study describes the case of a woman with advanced primary cervical cancer who developed WE, highlighting the need for early recognition and monitoring of thiamine levels in patients with cancer, particularly those with malnutrition or undergoing prolonged hospitalization.

Case report

In June 2014, a 44-year-old woman underwent laparoscopic radical hysterectomy with endoscopic pelvic lymphadenectomy for the treatment of primary cervical adenocarcinoma [pathological T1b2N0M0 stage 1B, according to the 7th edition of the Union for International Cancer Control-American Joint Committee on Cancer staging system (9)] at the Cancer Hospital, Chinese Academy of Medical Sciences (Beijing, China). In June 2016, multiple metastases were detected in the pelvic and abdominal cavity, right iliopsoas muscle and iliac wing during a follow-up positron emission tomography-computed tomography (PET-CT) examination at the Cancer Hospital, Chinese Academy of Medical Sciences. Subsequently, multiple cycles of various chemotherapy regimens were administered as follows: Paclitaxel liposomes (240 mg) combined with nedaplatin (120 mg) was administered over 6 cycles via intravenous infusion; oral altretamine was administered for 4 months (specific dosage unavailable); liposome-encapsulated doxorubicin (60 mg) combined with lobaplatin (50 mg) was administered over 3 cycles via intravenous infusion; and albumin-bound paclitaxel (300 mg) combined with oxaliplatin (200 mg) was administered over 2 cycles by intravenous infusion. In June 2019, the patient developed a fever of 38.5°C, and in July, TPN was provided at an external hospital due to intestinal obstruction. At the Department of Oncology, Guang'anmen Hospital, China Academy of Chinese Medical Sciences (Beijing, China), symptoms of a fever, abdominal pain and vomiting were observed, which were ascribed to the unresolved intestinal obstruction. The patient was treated with an enema and anti-infective drugs, including levornidazole and sodium chloride injection (0.5 g, every 12 h) combined with piperacillin sodium and tazobactam sodium injection (4.5 g, every 8 h) via intravenous infusion, which restored the temperature to normal level and alleviated the abdominal pain. Subsequently, the patient was discharged with a tolerable small liquid diet.

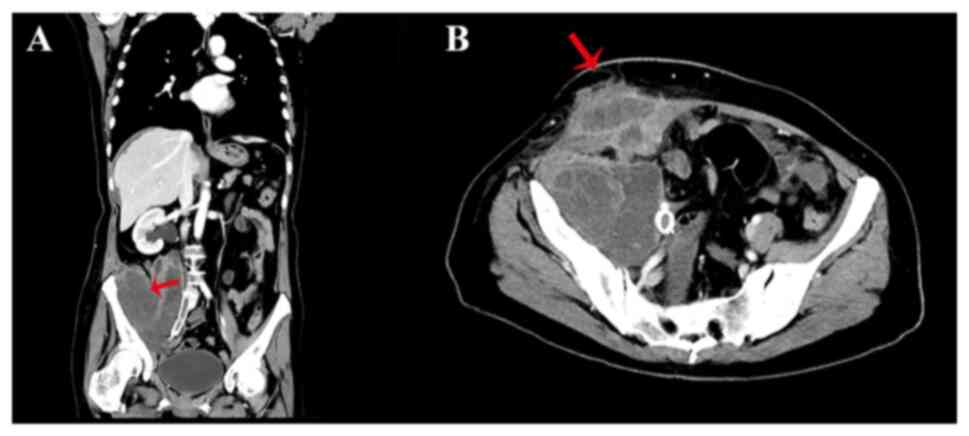
By August, the patient had lost ~4.6 kg, which represented a loss of 5–7.5% of total body weight occurring in <2 months, and they now returned to the hospital due to the spontaneous rupture of a mass in the right lower abdomen. Based on the Malnutrition Universal Screening Tool assessment (Fig. 1), the patient was considered to be at high risk of malnutrition (score 3) due to substantial weight loss and the current acute disease status, despite having a body mass index of 23.03 (10). A computed tomography scan confirmed that the primary cervical cancer had spread to the right lower abdomen and broken through the skin (Fig. 2). The wound, with significant exudate, was cleaned twice daily, and the patient continued to receive TPN due to poor oral intake. At 10 days after admission, the patient exhibited sudden cognitive impairment, especially in recent and immediate memory. An examination performed by a neurologist showed that she was conscious but disoriented with regard to time, place and person. The Mini-Mental State Exam (MMSE) and Montreal Cognitive Assessment (MoCA) scores were 19/30 and 17/30, respectively (11,12). In addition, ophthalmoplegia with bilateral sustained nystagmus was observed. Eye movement was normal to the left side, but abnormal to the right side. The patient could not walk due to cancer metastases within the right iliopsoas muscle and iliac wing. Consequently, a gait assessment was not performed. Mild upper-limb ataxia was observed and tendon reflexes exhibited a slight response. All other neurological examinations, including assessments of muscle tone and strength, were normal. Brain MRI and magnetic resonance angiography (MRA) were performed immediately. The MRA demonstrated normal blood vessels without restricted diffusion, which excluded the possibility of ischemic or hemorrhagic stroke. No significant abnormalities were detected on T1-weighted imaging and diffusion-weighted imaging, which further ruled out the possibility of brain metastases. However, brain MRI demonstrated hyperintensity in the periaqueductal midbrain on T2 fluid-attenuated inversion recovery imaging (Fig. 3). The patient's laboratory results were as follows: White blood cell count, 6.34×109/l (normal range, 3.5–9.5×109/l); red blood cell count, 3.69×1012/l (normal range, 4.3–5.8×10¹2/l); hemoglobin, 86 g/l (normal range, 120–160 g/l); platelets, 277×109/l (normal range, 125–350×109/l); alanine aminotransferase, 14.4 U/l (normal range, 7–40 U/l); aspartate aminotransferase, 15.9 U/l (normal range, 13–35 U/l); serum albumin, 32.62 g/dl (normal range, 40–55 g/l); potassium, 4.88 mmol/l (normal range, 3.5–5.3 mmol/l); magnesium, 0.90 mmol/l (normal range, 0.77–1.03 mmol/l); folate, 5.3 ng/ml (normal range, 3.38–5.38 ng/ml); and vitamin b12, 605 pg/ml (normal range, 211–911 pg/ml). Serum thiamine levels were not tested due to laboratory constraints. Several other conditions, including brain metastases, acute cerebrovascular disease and electrolyte imbalance, were considered and excluded based on clinical symptoms, imaging examination and laboratory results. Furthermore, the TPN regimen did not include routine thiamine supplementation, which may have promoted the development of WE. Thiamine (100 mg) was immediately administered intramuscularly three times a day. After 1 week of treatment, the patient's eye movement disorder and recent memory improved, with the MMSE and MoCA scores changing to 23/30 and 20/30, respectively. The patient was subsequently discharged and returned to her hometown. After 3 months, a telephone follow-up was conducted. It was noted that the patient showed rapid progression of the primary tumor, along with ongoing partial recent memory impairment and spatial disorientation. Ultimately, the patient passed away due to complications related to the tumor. The timeline of the disease course is presented in Fig. 4.

Figure 1.

Malnutrition Universal Screening Tool assessment. BMI, body mass index.

Figure 2.

Representative CT scan of the abdomen and pelvis. (A) Coronal CT scan for multiple metastases within the pelvic cavity and abdominal cavity (arrow). (B) Horizontal CT scan for rupturing of metastases (arrow). CT, computed tomography.

Figure 3.

Brain magnetic resonance imaging. (A) T2 FLAIR imaging showing hyperintensity in the periaqueductal midbrain (arrow). (B) T2 FLAIR imaging showing hyperintensity in the periaqueductal gray matter (arrow). (C) T2 FLAIR imaging showing hyperintensity in the thalami (arrow). FLAIR, fluid-attenuated inversion recovery.

Figure 4.

Case summary timeline. TPN, total parenteral nutrition; Hb, hemoglobin; RBC, red blood cell; WBC, white blood cell; ALT, alanine aminotransferase; AST, aspartate aminotransferase; ALB, albumin; K, potassium; Mg, magnesium; WE, Wernicke's encephalopathy.

Discussion

Thiamine is a water-soluble vitamin absorbed in the small intestine, with a daily requirement of 1–2 mg in healthy adults (13). The body's thiamine reserves can be nearly exhausted within ~18 days. The deficiency primarily arises from insufficient dietary intake, reduced gastrointestinal absorption or impaired utilization. Natural sources of thiamine include whole grains, legumes, leafy greens, nuts and seeds, fish and pork, which are essential for maintaining adequate thiamine levels in the body. Thiamine has essential roles in the regulation of cerebral metabolism, synapse formation and neurotransmitter synthesis (6,14,15). In neuronal and glial cells, thiamine pyrophosphate, the active form of thiamine, acts as a cofactor that modulates the complete oxidation of nutrients via the Krebs cycle to influence energy production. Thiamine is also involved in the synthesis of various neurotransmitters, such as glutamate and γ-aminobutyric acid, and its deficiency leads to cellular damage, impairing cerebellar activity (14,15). Thiamine deficiency induces neuropathological damage, including neuronal loss, micro-hemorrhages, endothelial swelling and gliosis in selective brain regions, primarily affecting the mammillary bodies, thalamus, cerebellum, cerebral aqueduct, and the third and fourth ventricles (16). Several mechanisms, such as cellular energy failure, lactic acidosis, oxidative and nitrosative stress, and N-methyl-D-aspartate receptor-mediated excitotoxicity, have been proposed to explain the association of thiamine deficiency with neuronal cell damage and loss (17).

In patients with advanced cancer, the risk of developing of WE is increased due to multiple factors, including poor nutritional intake, vomiting, severe malnutrition and the use of chemotherapy agents. A literature review of all WE cases in patients with cancer from studies that were published in the last 3 years and retrieved from PubMed (https://pubmed.ncbi.nlm.nih.gov/) is presented in Table I (18–28). Key terms used in the search included ‘Wernicke's Encephalopathy’, ‘cancer’, ‘chemotherapy’, ‘neurological complications’ and ‘case report’. Inclusion criteria were studies that reported on patients with cancer diagnosed with WE and were available through PubMed. Exclusion criteria included studies focusing on non-cancer-related causes of WE or those with insufficient data on patient treatment or outcomes. Table I summarizes a series of cases of WE in patients with cancer, emphasizing several key findings. Most patients had advanced cancer, particularly gastrointestinal, lung and hematological malignancies, and were undergoing chemotherapy or had significant nutritional deficiencies. Common symptoms of WE included confusion, ataxia and ophthalmoplegia, although atypical symptoms, such as isolated cognitive changes or motor disturbances, were also observed. Diagnosis was primarily clinical, with MRI providing typical imaging findings in some cases. Treatment involved thiamine supplementation, though the timing and dosage of administration varied. Patient outcomes ranged from full recovery to long-term neurological deficits, with faster diagnosis and prompt thiamine treatment generally associated with better outcomes (18–28). Clinically, WE is often underdiagnosed or diagnosed late due to the unclear clinical guidelines and criteria, especially in patients with advanced cancer. This challenge is particularly complicated by the significant overlap between advanced cancer symptoms and those of WE. The classic triad of symptoms has been reported in 16.5% of patients (29). This suggests that regular monitoring of thiamine levels in patients with cancer, particularly those with persistent nausea, vomiting or weight loss, is imperative to improve early detection and prevention of WE. In a number of cases, thiamine supplementation is administered after the development of neurological damage. However, early intervention may reduce the degree of neurological damage. This highlights the significance of incorporating regular nutritional assessments, including thiamine levels, in the routine care protocols, especially for patients at high risk for severe malnutrition.

Table I.

Review of cases of Wernicke's encephalopathy in patients with cancer from studies published in PubMed over the last 3 years.

Table I.

Review of cases of Wernicke's encephalopathy in patients with cancer from studies published in PubMed over the last 3 years.

First author, yearMalignancyAge, yearsSexNutritional statusMedication historyTreatmentPrognosis(Refs.)
Zhang et al, 2022Esophageal cancer64MaleUnderweight (BMI=19.88 kg/m2)RadiotherapyIntravenous thiamine 500 mg/day for 3 days, then 200 mg/week, then oral thiamine 100 mg/dayNeurological symptoms improved, mild memory impairment(18)
Nikjoo et al, 2022Gastric cancer38MaleMalignancyGastric stent placementIntravenous thiamine 250 mg/8 h for 2 days, then 250 mg/dayNeurological improvement(19)
Lin et al, 2023Gastric cancer67FemaleMalignancy, weight lossPost-gastrectomy, TPNIntravenous thiamine 100 mg/day, 200 mg/8 h, 500 mg/8 hDied from secondary respiratory failure(20)
Gross et al, 2023Duodenal adenocarcinoma50FemaleObese, Poor nutritional intakeLaparoscopic gastric band placement 11 years ago, TPNIntravenous thiamine 500 mg/8 h for 2 days, then 250 mg/day for 5 days, then 100 mg orally dailyDizziness, diplopia and nausea largely resolved(21)
Koca et al, 2022Cholangiocellular carcinoma65MaleNot mentionedGastrojejunostomy, radiotherapy, chemotherapy (gemcitabine), TPNIntravenous thiamine 200 mg/8 h, then 100 mg/dayOrientation and cognitive function recovered, nystagmus persisted(22)
Ibnawadh et al, 2023Pancreatic cancer with colonic fistula39MaleObese, weight loss (BMI=38 kg/m2)Surgical intervention for fistula and abscess, gastrojejunostomy, TPNIntravenous thiamine 500 mg/day for 5 days, then 250 mg/day for 7 days, then 100 mg/dayTransitioned to palliative care and died(23)
Slim et al, 2022Sigmoid colon tumor66MaleUnderweight (BMI=17 kg/m2)Post-surgical, TPNIntravenous thiamine 1,000 mg/day for 3 daysDied on the 24th day after surgery(24)
Brown and Hutt-Williams, 2022Metastatic breast cancer54FemaleMalnutrition, prolonged vomitingChemotherapy (docetaxel, trastuzumab, pertuzumab) targeted therapy, (trastuzumab, emtansine), radiotherapyIntravenous Pabrinex for 48 h, then oral thiamineSpeech returned, memory and mobility improved(25)
Azapagasi et al, 2024Acute myeloid leukemia7FemaleNot mentionedChemotherapy, TPN500 mg thiamine via nasogastric enteral tubeSymptom remission(26)
Feng et al, 2022Diffuse large B-cell lymphoma67MaleMalnourishedHistory of chronic alcohol abuse, 1 year of sobrietyIntramuscular thiamine 200 mg/12 hMetamorphopsia, ataxia and cognitive improvement, with persistent ataxia after discharge(27)
Malik et al, 2024Malignant melanoma79MalePoor nutritional intake, weight lossImmunotherapy (nivolumab)Intravenous thiamine 200 mg/8 h for 3 daysMental status improved(28)

[i] TPN, total parenteral nutrition; BMI, body mass index.

In the current case, the patient presented with a nearly 2-month illness, including fever, vomiting and infection. Although TPN was administered, with regimens comprising the supplementation of 12 vitamins, thiamine was not included. The patient experienced a sudden onset of anterograde amnesia, characterized by an inability to recall the reason for the hospitalization, repeatedly asking the same questions and failing to recognize the attending physician. The anterograde amnesia was associated with the occurrence of lesions in the mammillary bodies and thalamus. The mammillary bodies, which regulate memory, are directly connected to the hippocampus, thalamus and midbrain. The mammillary bodies receive memory information from the hippocampus, and thalamic connections transmit the information from the mammillary bodies to the thalamus (30). In the present case, analysis of the MoCA and MMSE scores demonstrated cognitive deficits in the spatial and temporal orientations, immediate memory and calculation ability. These signs, and symptoms such as eye movement abnormality and confusion, along with the MRI scan findings, were consistent with WE.

Although several double-blind randomized clinical trials have explored the effective treatment strategies, there is no consensus regarding the treatment of WE. Pharmacokinetic studies have suggested that administration of thiamine twice or three times daily may induce a satisfactory clinical response compared with a single daily dose, due to the short plasma half-life of free thiamine (31). So far, few guidelines for WE treatment have been proposed, and most of them have not been updated. The Royal College of Physicians of the United Kingdom recommends intravenous administration of two pairs of high-potency B-complex vitamins (each pair containing 250 mg of thiamine) twice daily for 3 days in patients with confirmed or suspected WE (32). However, according to the European Federation of Neurological Societies, patients with suspected or confirmed WE should receive intravenous administration of 200 mg thiamine three times daily, until the clinical signs and symptoms stabilize (7). A recent systematic review reported that the most frequently used regimen in case studies is a dose of 500 mg thiamine administered intravenously three times daily (33). It has been reported that early and adequate thiamine supplementation can alleviate symptoms in 90% of patients, with mental status showing the most rapid improvement (33). However, another randomized controlled trial showed that different dosing regimens (100, 300 and 500 mg) did not significantly improve cognitive or neurological outcomes in both asymptomatic at-risk patients and symptomatic WE patients (34). For effective treatment of WE, several factors should be considered. In most cases, thiamine administered via the intravenous route has a high safety profile. However, anaphylactic responses may occur during or shortly after the intravenous injection, especially with multiple administrations (35). Therefore, intravenous injections should be administered over 30 min (36). Cases of WE induced by magnesium depletion have been reported, as magnesium functions as a co-factor promoting the phosphorylation of thiamine (37). Consequently, magnesium depletion may exacerbate thiamine deficiency, implying that clinicians should correct magnesium deficiencies and pay attention to other nutritional deficiencies (38). In the present case, the patient's TPN comprised 12 vitamins, and the serum magnesium and other vitamin levels were within the normal range. Therefore, supplementation with additional magnesium or other vitamins was deemed unnecessary. Data indicates that only 25% of patients with WE achieve a full recovery, while 50% show gradual improvement and the remaining 25% fail to show any improvement (39). It should be noted that the prognosis of WE in patients with advanced cancer is complex and influenced by several factors, such as the stage of malignancy, the degree of tumor progression, the timeliness of diagnosis and adequate thiamine supplementation (23–26). In the present study, it was observed that the patient's glassy eyes improved gradually after treatment for 1 week. At this point, the patient had partial recent memory recall, but the immediate memory was still impaired. The patient returned to her hometown after 1 week of thiamine treatment. After 3 months, a follow-up phone call revealed that the patient had experienced rapid tumor progression, accompanied with partial impairment of recent memory and disorientation in terms of place.

Thiamine deficiency is often not detected by oncologists, which results in delays or missed treatments. For high-risk cancer patients, regular monitoring of thiamine levels, early nutritional support and timely recognition of deficiency symptoms are essential to improve outcomes. To improve patient outcomes, future research should focus on creating comprehensive prevention and treatment guidelines for high-risk or WE patients. These guidelines should be easily accessible and readily implemented by healthcare providers to minimize the risk of underdiagnosis and undertreatment.

Acknowledgements

Not applicable.

Funding

Funding: No funding was received.

Availability of data and materials

The data generated in the present study may be requested from the corresponding author.

Ethics approval and consent to participate

This study was approved by the Ethics Committee of the Guang'anmen Hospital, China Academy of Chinese Medical Sciences (Beijing, China).

Patient consent for publication

Written consent for publication was obtained from the patient's guardian.

Authors' contributions

HZ wrote the manuscript and participated in the management of the patient. YMZ designed the case report, and participated in the diagnosis and management of the patient. SLW participated in the diagnosis of the patient and revised the manuscript for important intellectual content. All authors have read and approved the final manuscript. YMZ and SLW confirm the authenticity of all the raw data.

Competing interests

The authors declare that they have no competing interests.

Glossary

Abbreviations

Abbreviations:

MMSE

mini-mental state exam

MoCA

montreal cognitive assessment

MRA

magnetic resonance angiography

MRI

magnetic resonance imaging

TPN

total parenteral nutrition

WE

Wernicke's encephalopathy

References

1 

Mrowicka M, Mrowicki J, Dragan G and Majsterek I: The importance of thiamine (vitamin B1) in humans. Biosci Rep. 43:BSR202303742023. View Article : Google Scholar : PubMed/NCBI

2 

Soto-Martin EC, Warnke I, Farquharson FM, Christodoulou M, Horgan G, Derrien M, Faurie JM, Flint HJ, Duncan SH and Louis P: Vitamin biosynthesis by human gut butyrate-producing bacteria and cross-feeding in synthetic microbial communities. mBio. 11:e00886–20. 2020. View Article : Google Scholar : PubMed/NCBI

3 

Cobilinschi C, Andrei CA, Grinţescu IM and Mirea L: Metabolic failure due to thiamine deficiency during critical illness. Curr Opin Clin Nutr Metab Care. 27:155–162. 2024. View Article : Google Scholar : PubMed/NCBI

4 

Hutcheon DA: Malnutrition-induced Wernicke's encephalopathy following a water-only fasting diet. Nutr Clin Pract. 30:92–99. 2015. View Article : Google Scholar : PubMed/NCBI

5 

Yasu T, Iimura Y, Momo K and Kuroda S: Potential thiamine deficiency in elderly patients with gastrointestinal cancer undergoing chemotherapy. Int J Clin Pharmacol Ther. 58:174–176. 2020. View Article : Google Scholar : PubMed/NCBI

6 

Sechi G and Serra A: Wernicke's encephalopathy: New clinical settings and recent advances in diagnosis and management. Lancet Neurol. 6:442–455. 2007. View Article : Google Scholar : PubMed/NCBI

7 

Galvin R, Bråthen G, Ivashynka A, Hillbom M, Tanasescu R and Leone MA; EFNS: EFNS guidelines for diagnosis, therapy and prevention of Wernicke encephalopathy. Eur J Neurol. 17:1408–1418. 2010. View Article : Google Scholar : PubMed/NCBI

8 

Ota Y, Capizzano AA, Moritani T, Naganawa S, Kurokawa R and Srinivasan A: Comprehensive review of Wernicke encephalopathy: Pathophysiology, clinical symptoms and imaging findings. Jpn J Radiol. 38:809–820. 2020. View Article : Google Scholar : PubMed/NCBI

9 

Edge SB and Compton CC: The American Joint Committee on Cancer: The 7th edition of the AJCC cancer staging manual and the future of TNM. Ann Surg Oncol. 17:1471–1474. 2010. View Article : Google Scholar : PubMed/NCBI

10 

Stratton RJ, Hackston A, Longmore D, Dixon R, Price S, Stroud M, King C and Elia M: Malnutrition in hospital outpatients and inpatients: Prevalence, concurrent validity and ease of use of the ‘malnutrition universal screening tool’ (‘MUST’) for adults. Br J Nutr. 92:799–808. 2004. View Article : Google Scholar : PubMed/NCBI

11 

Aiello EN, Pasotti F, Appollonio I and Bolognini N: Equating mini-mental state examination (MMSE) and montreal cognitive assessment (MoCA) scores: Conversion norms from a healthy Italian population sample. Aging Clin Exp Res. 34:1721–1724. 2022. View Article : Google Scholar : PubMed/NCBI

12 

Roheger M, Xu H, Hoang MT, Eriksdotter M and Garcia-Ptacek S: Conversion between the mini-mental state examination and the montreal cognitive assessment for patients with different forms of dementia. J Am Med Dir Assoc. 23:1986–1989.e1. 2022. View Article : Google Scholar : PubMed/NCBI

13 

Thomson AD, Guerrini I and Marshall EJ: Wernicke's encephalopathy: Role of thiamine. Pract Gastroenterol. 33:21–30. 2009.

14 

Huskisson E, Maggini S and Ruf M: The influence of micronutrients on cognitive function and performance. J Int Med Res. 35:1–19. 2007. View Article : Google Scholar : PubMed/NCBI

15 

Baltrusch S: The Role of Neurotropic B Vitamins in Nerve Regeneration. Biomed Res Int. 2021.9968228. 2021. View Article : Google Scholar : PubMed/NCBI

16 

Kril JJ: Neuropathology of thiamine deficiency disorders. Metab Brain Dis. 11:9–17. 1996. View Article : Google Scholar : PubMed/NCBI

17 

Butterworth RF: Thiamin deficiency and brain disorders. Nutr Res Rev. 16:277–284. 2003. View Article : Google Scholar : PubMed/NCBI

18 

Zhang Y, Wang L, Jiang J and Chen WY: Non-alcoholic Wernicke encephalopathy in an esophageal cancer patient receiving radiotherapy: A case report. World J Clin Cases. 10:5810–5815. 2022. View Article : Google Scholar : PubMed/NCBI

19 

Nikjoo A, Rashid H, Chung R and Sadat MA: A rare case of Wernicke encephalopathy in stage IV gastric cancer. Neurocase. 28:123–125. 2022. View Article : Google Scholar : PubMed/NCBI

20 

Lin Q, Li G, Wang Z and Zhang Y: Case Report: Wernicke's encephalopathy after gastric surgery presenting as lactic acidosis and refractory thrombocytopenia. Front Surg. 10:10163472023. View Article : Google Scholar : PubMed/NCBI

21 

Gross A, Yu AT, Lara-Reyna J, Park K and Harvey EJ: Duodenal adenocarcinoma in the setting of bariatric surgery: A perfect storm for Wernicke's encephalopathy. Cureus. 15:e337652023.PubMed/NCBI

22 

Koca O, Demir B, Derin S and Turna ZH: A case report of Wernicke Korsakoff syndrome in a patient with cholangiocellular carcinoma: An underestimated cause of encephalopathy in cancer patients. Medicine (Baltimore). 101:e319042022. View Article : Google Scholar : PubMed/NCBI

23 

Ibnawadh AK, Alashgar HI, Peedikayil M and Amin T: Pancreatic cancer presenting with acute pancreatitis complicated by Wernicke's encephalopathy and a colonic fistula: A case report. Ann Med Surg (Lond). 85:574–578. 2023. View Article : Google Scholar : PubMed/NCBI

24 

Slim S, Ayed K, Triki W, Baccar A, Baraket O, Rahal K, Ganzoui I and Bouchoucha S: Gayet-Wernicke's encephalopathy complicating prolonged parenteral nutrition in patient treated for colonic cancer-a case report. BMC Nutr. 8:832022. View Article : Google Scholar : PubMed/NCBI

25 

Brown S and Hutt-Williams S: Wernicke's encephalopathy in advanced cancer. BMJ Support Palliat Care. 12:460–462. 2022. View Article : Google Scholar : PubMed/NCBI

26 

Azapagasi E, Kunt Baykal N, Kirkiz Kayali S, Salimli Mirzayeva L, Topuz Türkcan B, Uysal Yazici M, Serdaroğlu E and Kaya Z: Severe lactic acidosis, Wernicke's encephalopathy, and wet beriberi due to thiamine deficiency in a child with leukemia. Klin Padiatr. 236:193–196. 2024. View Article : Google Scholar : PubMed/NCBI

27 

Feng Y, Long X and Li X: Wernicke encephalopathy with extensive cortical lesions combined with diffuse large B-cell lymphoma. Neuro Endocrinol Lett. 43:361–365. 2022.PubMed/NCBI

28 

Malik S, White W and Dasanu CA: Unusual encephalopathy with Wernicke-Korsakoff syndrome-like features due to adjuvant nivolumab for malignant melanoma. J Oncol Pharm Pract. 30:408–411. 2024. View Article : Google Scholar : PubMed/NCBI

29 

Harper CG, Giles M and Finlay-Jones R: Clinical signs in the Wernicke-Korsakoff complex: A retrospective analysis of 131 cases diagnosed at necropsy. J Neurol Neurosurg Psychiatry. 49:341–345. 1986. View Article : Google Scholar : PubMed/NCBI

30 

Nardone R, Höller Y, Storti M, Christova M, Tezzon F, Golaszewski S, Trinka E and Brigo F: Thiamine deficiency induced neurochemical, neuroanatomical, and neuropsychological alterations:a reappraisal. ScientificWorldJournal. 2013:3091432013. View Article : Google Scholar : PubMed/NCBI

31 

Donnino MW, Vega J, Miller J and Walsh M: Myths and misconceptions of Wernicke's Encephalopathy: What every emergency physician should know. Ann Emerg Med. 50:715–721. 2007. View Article : Google Scholar : PubMed/NCBI

32 

Thomson AD, Cook CC, Touquet R and Henry JA; Royal College of Physicians, : London: The Royal College of Physicians report on alcohol: Guidelines for managing Wernicke's encephalopathy in the accident and emergency department. Alcohol Alcohol. 37:513–521. 2002. View Article : Google Scholar : PubMed/NCBI

33 

Cantu-Weinstein A, Branning R, Alamir M, Weleff J, Do M, Nero N and Anand A: Diagnosis and treatment of Wernicke's encephalopathy: A systematic literature review. Gen Hosp Psychiatry. 87:48–59. 2024. View Article : Google Scholar : PubMed/NCBI

34 

Dingwall KM, Delima JF, Binks P, Batey R and Bowden SC: What is the optimum thiamine dose to treat or prevent Wernicke's encephalopathy or Wernicke-Korsakoff syndrome? Results of a randomized controlled trial. Alcohol Clin Exp Res. 46:1133–1147. 2022. View Article : Google Scholar : PubMed/NCBI

35 

Stephen JM, Grant R and Yeh CS: Anaphylaxis from administration of intravenous thiamine. Am J Emerg Med. 10:61–63. 1992. View Article : Google Scholar : PubMed/NCBI

36 

Tjugum SL, Hedrick TL, Jean SJ, Heeney SA, Rohde KA and Campbell-Bright SL: Evaluation of the safety of intravenous thiamine administration in a large academic medical center. J Pharm Pract. 34:397–402. 2021. View Article : Google Scholar : PubMed/NCBI

37 

Ott M and Werneke U: Wernicke's encephalopathy - from basic science to clinical practice. Part 1: Understanding the role of thiamine. Ther Adv Psychopharmacol. 10:20451253209781062020. View Article : Google Scholar : PubMed/NCBI

38 

Dyckner T, Ek B, Nyhlin H and Wester PO: Aggravation of thiamine deficiency by magnesium depletion. A case report. Acta Med Scand. 218:129–131. 1985. View Article : Google Scholar : PubMed/NCBI

39 

Victor M, Adams RD and Collins GH: The Wernicke-Korsakoff syndrome. A clinical and pathological study of 245 patients, 82 with post-mortem examinations. Contemp Neurol Ser. 7:1–206. 1971.PubMed/NCBI

Related Articles

  • Abstract
  • View
  • Download
  • Twitter
Copy and paste a formatted citation
Spandidos Publications style
Zhang H, Zhou Y and Wang S: Wernicke's encephalopathy in a terminally ill patient with primary cervical cancer: A case report and literature review. Oncol Lett 29: 186, 2025.
APA
Zhang, H., Zhou, Y., & Wang, S. (2025). Wernicke's encephalopathy in a terminally ill patient with primary cervical cancer: A case report and literature review. Oncology Letters, 29, 186. https://doi.org/10.3892/ol.2025.14932
MLA
Zhang, H., Zhou, Y., Wang, S."Wernicke's encephalopathy in a terminally ill patient with primary cervical cancer: A case report and literature review". Oncology Letters 29.4 (2025): 186.
Chicago
Zhang, H., Zhou, Y., Wang, S."Wernicke's encephalopathy in a terminally ill patient with primary cervical cancer: A case report and literature review". Oncology Letters 29, no. 4 (2025): 186. https://doi.org/10.3892/ol.2025.14932
Copy and paste a formatted citation
x
Spandidos Publications style
Zhang H, Zhou Y and Wang S: Wernicke's encephalopathy in a terminally ill patient with primary cervical cancer: A case report and literature review. Oncol Lett 29: 186, 2025.
APA
Zhang, H., Zhou, Y., & Wang, S. (2025). Wernicke's encephalopathy in a terminally ill patient with primary cervical cancer: A case report and literature review. Oncology Letters, 29, 186. https://doi.org/10.3892/ol.2025.14932
MLA
Zhang, H., Zhou, Y., Wang, S."Wernicke's encephalopathy in a terminally ill patient with primary cervical cancer: A case report and literature review". Oncology Letters 29.4 (2025): 186.
Chicago
Zhang, H., Zhou, Y., Wang, S."Wernicke's encephalopathy in a terminally ill patient with primary cervical cancer: A case report and literature review". Oncology Letters 29, no. 4 (2025): 186. https://doi.org/10.3892/ol.2025.14932
Follow us
  • Twitter
  • LinkedIn
  • Facebook
About
  • Spandidos Publications
  • Careers
  • Cookie Policy
  • Privacy Policy
How can we help?
  • Help
  • Live Chat
  • Contact
  • Email to our Support Team