Spandidos Publications Logo
  • About
    • About Spandidos
    • Aims and Scopes
    • Abstracting and Indexing
    • Editorial Policies
    • Reprints and Permissions
    • Job Opportunities
    • Terms and Conditions
    • Contact
  • Journals
    • All Journals
    • Oncology Letters
      • Oncology Letters
      • Information for Authors
      • Editorial Policies
      • Editorial Board
      • Aims and Scope
      • Abstracting and Indexing
      • Bibliographic Information
      • Archive
    • International Journal of Oncology
      • International Journal of Oncology
      • Information for Authors
      • Editorial Policies
      • Editorial Board
      • Aims and Scope
      • Abstracting and Indexing
      • Bibliographic Information
      • Archive
    • Molecular and Clinical Oncology
      • Molecular and Clinical Oncology
      • Information for Authors
      • Editorial Policies
      • Editorial Board
      • Aims and Scope
      • Abstracting and Indexing
      • Bibliographic Information
      • Archive
    • Experimental and Therapeutic Medicine
      • Experimental and Therapeutic Medicine
      • Information for Authors
      • Editorial Policies
      • Editorial Board
      • Aims and Scope
      • Abstracting and Indexing
      • Bibliographic Information
      • Archive
    • International Journal of Molecular Medicine
      • International Journal of Molecular Medicine
      • Information for Authors
      • Editorial Policies
      • Editorial Board
      • Aims and Scope
      • Abstracting and Indexing
      • Bibliographic Information
      • Archive
    • Biomedical Reports
      • Biomedical Reports
      • Information for Authors
      • Editorial Policies
      • Editorial Board
      • Aims and Scope
      • Abstracting and Indexing
      • Bibliographic Information
      • Archive
    • Oncology Reports
      • Oncology Reports
      • Information for Authors
      • Editorial Policies
      • Editorial Board
      • Aims and Scope
      • Abstracting and Indexing
      • Bibliographic Information
      • Archive
    • Molecular Medicine Reports
      • Molecular Medicine Reports
      • Information for Authors
      • Editorial Policies
      • Editorial Board
      • Aims and Scope
      • Abstracting and Indexing
      • Bibliographic Information
      • Archive
    • World Academy of Sciences Journal
      • World Academy of Sciences Journal
      • Information for Authors
      • Editorial Policies
      • Editorial Board
      • Aims and Scope
      • Abstracting and Indexing
      • Bibliographic Information
      • Archive
    • International Journal of Functional Nutrition
      • International Journal of Functional Nutrition
      • Information for Authors
      • Editorial Policies
      • Editorial Board
      • Aims and Scope
      • Abstracting and Indexing
      • Bibliographic Information
      • Archive
    • International Journal of Epigenetics
      • International Journal of Epigenetics
      • Information for Authors
      • Editorial Policies
      • Editorial Board
      • Aims and Scope
      • Abstracting and Indexing
      • Bibliographic Information
      • Archive
    • Medicine International
      • Medicine International
      • Information for Authors
      • Editorial Policies
      • Editorial Board
      • Aims and Scope
      • Abstracting and Indexing
      • Bibliographic Information
      • Archive
  • Articles
  • Information
    • Information for Authors
    • Information for Reviewers
    • Information for Librarians
    • Information for Advertisers
    • Conferences
  • Language Editing
Spandidos Publications Logo
  • About
    • About Spandidos
    • Aims and Scopes
    • Abstracting and Indexing
    • Editorial Policies
    • Reprints and Permissions
    • Job Opportunities
    • Terms and Conditions
    • Contact
  • Journals
    • All Journals
    • Biomedical Reports
      • Information for Authors
      • Editorial Policies
      • Editorial Board
      • Aims and Scope
      • Abstracting and Indexing
      • Bibliographic Information
      • Archive
    • Experimental and Therapeutic Medicine
      • Information for Authors
      • Editorial Policies
      • Editorial Board
      • Aims and Scope
      • Abstracting and Indexing
      • Bibliographic Information
      • Archive
    • International Journal of Epigenetics
      • Information for Authors
      • Editorial Policies
      • Editorial Board
      • Aims and Scope
      • Abstracting and Indexing
      • Bibliographic Information
      • Archive
    • International Journal of Functional Nutrition
      • Information for Authors
      • Editorial Policies
      • Editorial Board
      • Aims and Scope
      • Abstracting and Indexing
      • Bibliographic Information
      • Archive
    • International Journal of Molecular Medicine
      • Information for Authors
      • Editorial Policies
      • Editorial Board
      • Aims and Scope
      • Abstracting and Indexing
      • Bibliographic Information
      • Archive
    • International Journal of Oncology
      • Information for Authors
      • Editorial Policies
      • Editorial Board
      • Aims and Scope
      • Abstracting and Indexing
      • Bibliographic Information
      • Archive
    • Medicine International
      • Information for Authors
      • Editorial Policies
      • Editorial Board
      • Aims and Scope
      • Abstracting and Indexing
      • Bibliographic Information
      • Archive
    • Molecular and Clinical Oncology
      • Information for Authors
      • Editorial Policies
      • Editorial Board
      • Aims and Scope
      • Abstracting and Indexing
      • Bibliographic Information
      • Archive
    • Molecular Medicine Reports
      • Information for Authors
      • Editorial Policies
      • Editorial Board
      • Aims and Scope
      • Abstracting and Indexing
      • Bibliographic Information
      • Archive
    • Oncology Letters
      • Information for Authors
      • Editorial Policies
      • Editorial Board
      • Aims and Scope
      • Abstracting and Indexing
      • Bibliographic Information
      • Archive
    • Oncology Reports
      • Information for Authors
      • Editorial Policies
      • Editorial Board
      • Aims and Scope
      • Abstracting and Indexing
      • Bibliographic Information
      • Archive
    • World Academy of Sciences Journal
      • Information for Authors
      • Editorial Policies
      • Editorial Board
      • Aims and Scope
      • Abstracting and Indexing
      • Bibliographic Information
      • Archive
  • Articles
  • Information
    • For Authors
    • For Reviewers
    • For Librarians
    • For Advertisers
    • Conferences
  • Language Editing
Login Register Submit
  • This site uses cookies
  • You can change your cookie settings at any time by following the instructions in our Cookie Policy. To find out more, you may read our Privacy Policy.

    I agree
Search articles by DOI, keyword, author or affiliation
Search
Advanced Search
presentation
Oncology Letters
Join Editorial Board Propose a Special Issue
Print ISSN: 1792-1074 Online ISSN: 1792-1082
Journal Cover
April-2025 Volume 29 Issue 4

Full Size Image

Sign up for eToc alerts
Recommend to Library

Journals

International Journal of Molecular Medicine

International Journal of Molecular Medicine

International Journal of Molecular Medicine is an international journal devoted to molecular mechanisms of human disease.

International Journal of Oncology

International Journal of Oncology

International Journal of Oncology is an international journal devoted to oncology research and cancer treatment.

Molecular Medicine Reports

Molecular Medicine Reports

Covers molecular medicine topics such as pharmacology, pathology, genetics, neuroscience, infectious diseases, molecular cardiology, and molecular surgery.

Oncology Reports

Oncology Reports

Oncology Reports is an international journal devoted to fundamental and applied research in Oncology.

Experimental and Therapeutic Medicine

Experimental and Therapeutic Medicine

Experimental and Therapeutic Medicine is an international journal devoted to laboratory and clinical medicine.

Oncology Letters

Oncology Letters

Oncology Letters is an international journal devoted to Experimental and Clinical Oncology.

Biomedical Reports

Biomedical Reports

Explores a wide range of biological and medical fields, including pharmacology, genetics, microbiology, neuroscience, and molecular cardiology.

Molecular and Clinical Oncology

Molecular and Clinical Oncology

International journal addressing all aspects of oncology research, from tumorigenesis and oncogenes to chemotherapy and metastasis.

World Academy of Sciences Journal

World Academy of Sciences Journal

Multidisciplinary open-access journal spanning biochemistry, genetics, neuroscience, environmental health, and synthetic biology.

International Journal of Functional Nutrition

International Journal of Functional Nutrition

Open-access journal combining biochemistry, pharmacology, immunology, and genetics to advance health through functional nutrition.

International Journal of Epigenetics

International Journal of Epigenetics

Publishes open-access research on using epigenetics to advance understanding and treatment of human disease.

Medicine International

Medicine International

An International Open Access Journal Devoted to General Medicine.

Journal Cover
April-2025 Volume 29 Issue 4

Full Size Image

Sign up for eToc alerts
Recommend to Library

  • Article
  • Citations
    • Cite This Article
    • Download Citation
    • Create Citation Alert
    • Remove Citation Alert
    • Cited By
  • Similar Articles
    • Related Articles (in Spandidos Publications)
    • Similar Articles (Google Scholar)
    • Similar Articles (PubMed)
  • Download PDF
  • Download XML
  • View XML
Case Report Open Access

Response‑adapted involved site radiation therapy for hepatic marginal zone B‑cell lymphoma: A case report

  • Authors:
    • Shin-Ting Chen
    • Yu-Guang Chen
    • Wen-Yen Huang
    • Cheng-Hsiang Lo
  • View Affiliations / Copyright

    Affiliations: Department of Radiation Oncology, Tri‑Service General Hospital, National Defense Medical Center, Taipei 114, Taiwan, R.O.C., Division of Hematology/Oncology, Department of Internal Medicine, Tri‑Service General Hospital, National Defense Medical Center, Taipei 114, Taiwan, R.O.C.
    Copyright: © Chen et al. This is an open access article distributed under the terms of Creative Commons Attribution License.
  • Article Number: 188
    |
    Published online on: February 13, 2025
       https://doi.org/10.3892/ol.2025.14934
  • Expand metrics +
Metrics: Total Views: 0 (Spandidos Publications: | PMC Statistics: )
Metrics: Total PDF Downloads: 0 (Spandidos Publications: | PMC Statistics: )
Cited By (CrossRef): 0 citations Loading Articles...

This article is mentioned in:



Abstract

Hepatic marginal zone B‑cell lymphoma (MZL) is a rare and challenging entity that is often misinterpreted as hepatocellular carcinoma owing to its non‑specific radiological features. The current case report details the clinical presentation, diagnosis and treatment of an older adult female with hepatic MZL involving both lobes, complicated by Sjögren's syndrome and common variable immunodeficiency. Given the patient's immunodeficiency and the risks associated with chemotherapy, involved site radiotherapy (ISRT) was administered as the primary treatment. Using a response‑adapted approach, an initial radiotherapy dose of 24 Gy over 16 fractions was delivered to the major hepatic lesion, followed by a local boost to both lobes after significant tumor shrinkage. The patient tolerated the treatment well with minimal side effects, and post‑treatment imaging showed a complete metabolic response. This case highlights the effectiveness of response‑adapted ISRT in managing hepatic MZL in immunocompromised patients and underscores the need for individualized treatment approaches for rare lymphomas.

Introduction

Marginal zone B-cell lymphoma (MZL), a type of low-grade B-cell lymphoma, accounts for ~7% of all cases of mature patients with non-Hodgkin lymphoma (NHL) in the United States and 15% of cases in Asian/Pacific Island populations. Extranodal MZL (EMZL) accounts for 61% of patients with MZL, with the stomach being the most frequently involved site (1). In a study by Chuang et al (2), EMZL accounted for 9.34% of cases of B-cell NHL in Taiwan between 2000 and 2015. Primary hepatic lymphoma (PHL) is extremely rare, constituting only 0.016% of cases of NHL, with the MZL subtype comprising only 2–4% of cases of PHL (3). PHL presents diagnostic challenges as outlined in the ESMO Clinical Practice Guidelines for MZL (4); it commonly manifests as non-specific symptoms, such as abdominal pain. Liver biopsies are essential for diagnosis; however, the optimal therapeutic approach remains uncertain. Given its rarity, there is no consensus regarding its treatment. The present study describes a case of primary hepatic MZL in an older adult female patient with Sjögren's syndrome and common variable immunodeficiency (CVID). Sjögren's syndrome is an autoimmune disease characterized by chronic inflammation of the lacrimal and salivary glands, leading to dry eyes and dry mouth (5). CVID is a primary immunodeficiency disorder marked by low levels of serum immunoglobulins and recurrent infections (6). Hepatic MZL, a rare subtype of PHL, is frequently misdiagnosed as a hepatocellular carcinoma. The present study describes a case of primary hepatic MZL in an older adult female patient complicated with Sjögren's syndrome and CVID.

Case report

A 61-year-old woman with a history of Sjögren's syndrome, managed with hydroxychloroquine for 38 years, was diagnosed with CVID, and had been receiving intravenous immunoglobulin therapy since February 2023. In December 2023, the patient presented to the Emergency Department of Penghu Branch, Tri-Service General Hospital (Taiwan), with shortness of breath that had progressed over several days. Abdominal ultrasonography incidentally revealed two hypoechoic masses in the left lobe of the liver (Fig. 1). Subsequent dynamic abdominal computed tomography (CT) revealed two hypo-enhanced lesions located in liver segments 2/4a and 6 (Fig. 2), which were initially misdiagnosed as hepatocellular carcinoma due to their non-specific radiological features. The patient's tumor markers, including α-fetoprotein and carbohydrate antigen 19-9, were within normal limits. Additionally, liver function tests, including those for alanine aminotransferase (76 U/l; normal range, 7–56 U/l), aspartate aminotransferase (56 U/l; normal range, 10–40 U/l) and alkaline phosphatase (277 U/l; normal range, 44–147 U/l), showed mildly elevated levels, while the bilirubin levels (0.5 mg/dl; normal range, 0.1–1.2 mg/dl) remained normal. A sonography-guided liver biopsy was performed, and hepatic MZL was histologically confirmed based on strong CD20 positivity, a low Ki-67 proliferation index (~5%) and the absence of CD3 in neoplastic cells. Focal positivity for CD10 was also observed (Fig. 3). Samples were fixed in 10% neutral buffered formalin at room temperature for 24, sectioned to 4-µm and then stained with hematoxylin (room temperature for 5 min) and eosin (room temperature for 2 min), before being observed by light microscopy. For immunohistochemistry, the sections were incubated with anti-CD20 (dilution 1:100; cat. no. ab9475; Abcam), anti-CD3 (dilution 1:100; cat. no. ab16669; Abcam), anti-CD10 (dilution 1:100; cat. no. NCL-L-CD10-270; Leica Biosystems) and anti-Ki-67 (dilution 1:200; cat. no. ab16667; Abcam) primary antibodies at room temperature for 1 h and then with biotinylated secondary antibody (horseradish peroxidase-conjugated; dilution 1:200; cat. no. ab6720; Abcam) at room temperature for 30 min. Light microscopy was used for observation.

Figure 1.

Abdominal ultrasonography showing two hypoechoic masses in the left lobe of the liver, incidentally identified during routine imaging. (A) Transverse view showing the larger hypoechoic mass with well-defined margins. (B) Longitudinal view highlighting the second hypoechoic mass with a heterogeneous echotexture.

Figure 2.

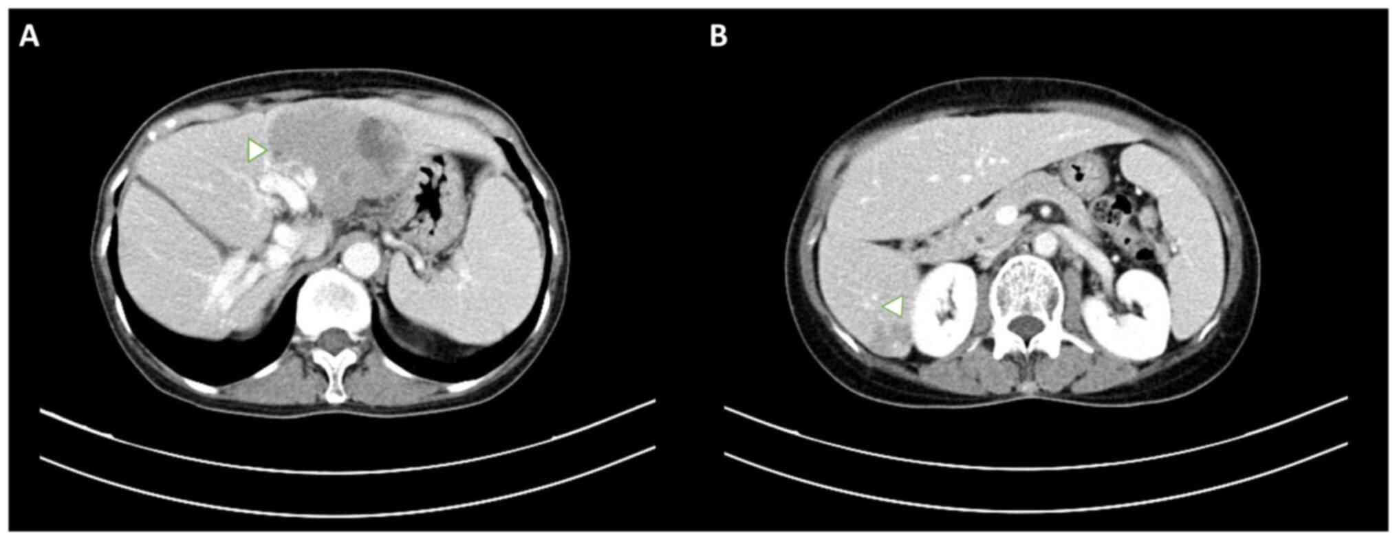
Dynamic abdominal computed tomography revealing two hypo-enhanced lesions in the liver. (A) Lesion located in segment 2/4a, demonstrating hypo-enhancement on arterial phase imaging. (B) Lesion in segment 6, showing similar hypo-enhancement characteristics.

Figure 3.

Immunohistochemical staining and pathological examination of hepatic MZL. All images were captured at ×200 magnification. (A) CD3 staining (anti-CD3 antibody; dilution 1:100; cat. no. ab16669; Abcam) highlighting T cells, which are present in the background but absent from the neoplastic cells. (B) Strong positive CD20 staining (anti-CD20 antibody; dilution 1:100; cat. no. ab9475; Abcam) demonstrating the B-cell lineage of the lymphoma. (C) Ki-67 staining (anti-Ki-67 antibody; dilution 1:200; cat. no. ab16667; Abcam) showing a low proliferation index (~5%), consistent with the indolent nature of the lymphoma. (D) CD10 staining (anti-CD10 antibody; dilution 1:100; cat. no. NCL-L-CD10-270; Leica Biosystems) showing focal positivity, suggesting tumor heterogeneity, a rare feature in MZL, but not affecting the diagnosis. MZL, marginal zone B-cell lymphoma.

Bone marrow aspiration revealed no evidence of lymphoma. Abdominal magnetic resonance imaging (MRI) and whole-body positron emission tomography (PET) scans showed two ill-defined fluorodeoxyglucose (FDG)-avid mass lesions of 7.8 and 1.8 cm in diameter in segments 2/4a and 6 of the liver, respectively (Fig. 4), classified as stage IV disease according to the Lugano Staging System (7).

Figure 4.

Pre-involved site radiotherapy images. Magnetic resonance imaging results showing two ill-defined mass lesions measuring 7.8 and 1.8 cm in liver segments (A) 2/4a and (C) 6, respectively. (B) Positron emission tomography scan showing two ill-defined fluorodeoxyglucose-avid lesions in the liver, consistent with stage IV disease.

Owing to immunodeficiency and the risk of pancytopenia, chemotherapy was not suggested by the hematologist. Considering the size and location of the hepatic lesions, as well as the patient's overall health and comorbidities, a multidisciplinary team decided to proceed with involved site radiotherapy (ISRT) as the primary modality. Given the bilateral lobe involvement, huge tumor burden and relatively small normal liver volume, a stepped response-adapted approach was planned. A radiation therapy plan of 24 Gy in 16 fractions for the larger tumor was first developed and administered in March 2024 (Fig. 5). Four-dimensional CT (4DCT) was employed during the treatment planning phase to account for respiratory motion. By capturing tumor movement across various respiratory phases, 4DCT enabled the creation of a motion-compensated treatment plan, ensuring precise targeting of hepatic lesions while minimizing the radiation dose to surrounding normal tissues. The larger tumor was irradiated first, with the smaller tumors primarily receiving a scatter dose (mean dose, 447.4 cGy). During the radiotherapy course, significant tumor shrinkage was observed, with the tumor diameter decreasing from 154.9 to 131.4 cm3 and the volume from 6.6 to 5.1 cm3. This prompted the first adaptation of the radiation plan, which involved re-defining the clinical target volume to reflect the reduced tumor size. The updated plan was applied for the last four fractions of radiotherapy, starting from the 13th fraction. The patient tolerated radiotherapy well, with only grade I gastrointestinal upset, graded according to the Common Terminology Criteria for Adverse Events (CTCAE), version 4.0 (8). The patient showed no signs of immunosuppression or the deterioration of pre-existing conditions. Throughout the radiation therapy period, laboratory assessments, including hematological, liver and kidney function tests, demonstrated results within normal limits. Follow-up MRI at 1 month after the first radiotherapy plan showed a marked reduction in both directly irradiated and non-irradiated lesions. For the initial ISRT plan (Fig. 5A), the tumor volumes were 154.9 and 6.6 cm3 for the larger and smaller tumors, respectively. The normal liver volume was 798 cm3. For the response-adapted plan (Fig. 5B), after significant tumor shrinkage, the tumor volumes reduced 38.98 and 2.78 cm3, respectively. The normal liver volume increased to 913.13 cm3. These changes were observed during follow-up imaging, which prompted the response-adapted plan prescribing boost doses of 6 and 8 Gy to the residual lesions in segments 2/4a and 6, respectively (Fig. 5). Consequently, a local radiation boost to the bilateral hepatic lesions was planned, delivering an additional 6 Gy to the segment 2/4a tumor and 8 Gy to the segment 6 tumor in four fractions. At 4 months post-treatment, follow-up MRI (Fig. 6) demonstrated no evidence of residual malignancy. At 7 months post-treatment, whole-body PET revealed no metabolic evidence of malignancy (Deauville criteria score 1) (9) (Fig. 6). No abnormal indicators were observed in the physical, hematological or hepatological examinations at the follow-up evaluations, which were performed every 3 months. This schedule will continue for at least 2 years and may transition to every 6 months based on the patient's condition and physician's assessment. The patient remained healthy and without signs of relapse following radiotherapy.

Figure 5.

Radiation treatment plan for ISRT. (A) The initial ISRT plan shows the 24-Gy isodose line (green) encompassing the larger tumor. The smaller lesion is not covered in this plan, receiving only a scatter dose. The tumor volumes are 154.9 and 6.6 cm3, respectively. The normal liver volume is 798 cm3. (B) The response-adapted plan prescribes boost doses of 6 Gy (aqua) and 8 Gy (green) to the residual lesions in segments 2/4a and 6, respectively. The tumor volumes are 38.98 and 2.78 cm3, respectively. The normal liver volume is 913.13 cm3. ISRT, involved site radiotherapy.

Figure 6.

Post- involved site radiotherapy images. (A) Magnetic resonance imaging at 4 months and (B) positron emission tomography scan at 7 months demonstrating no evidence of malignancy.

Discussion

The present case highlights the complexity of managing hepatic MZL in patients with multiple comorbidities, including autoimmune diseases and immunodeficiencies. Sjögren's syndrome and CVID are known to be associated with an increased risk of lymphoma (5,6). Low-grade MZL is the most common lymphoid neoplasm in patients with Sjögren's syndrome (5). The majority of Sjögren's syndrome-associated lymphomas are characterized by a localized stage, an indolent clinical course and recurrence at other extranodal sites. Sjögren's syndrome increases the risks of MZL and parotid gland extranodal MZL by 30-fold and a factor of 1,000, respectively (5). Specific pathogens are associated with extranodal MZLs involving certain anatomical sites: Helicobacter pylori (gastric), Chlamydia psittaci (ocular adnexal), Borrelia burgdorferi (cutaneous), Campylobacter jejuni (small intestine) and Mycobacterium species (bronchus) (10). Chronic antigenic stimulation by exoantigens or autoantigens is considered to play a key role in the pathogenesis of Sjögren's syndrome-associated lymphoproliferation. In a retrospective, single-center study (6), among 647 patients with CVID aged >45 years, 45 patients (7%) developed lymphomas, predominantly B-cell type (96%), compared to a 2.1% risk in the general population. The present study highlights immunological and clinical phenotypes, treatments and outcomes, showing high lymphoma prevalence and diagnostic challenges in CVID due to immune dysregulation. Therefore, patients with immune diseases should be closely monitored for a high risk of lymphoma.

The present patient's clinical course underscores the necessity for a comprehensive diagnostic evaluation of atypical liver mass presentations. Initially, the patient was misdiagnosed with hepatocellular carcinoma based on the CT and MRI results. Betianu et al (11) reported that PHL often lacks distinct radiological features. Post-contrast imaging showed that >50% of the PHLs had no enhancement, while ~30% exhibited patchy enhancement and ~15% displayed ring enhancement. On MRI, PHL appears as hypointense or isointense on T1-weighted images, and hyperintense on T2-weighted images. Consequently, in cases where liver masses are detected without a corresponding increase in tumor markers, lymphoma should be considered a differential diagnosis, with liver biopsy being a viable diagnostic option. Bao et al (12) suggested that 18F-FDG PET is particularly useful for identifying the early stages of MZL, although pathological confirmation is essential for a definitive diagnosis. This imaging modality aids in staging, assessing the treatment response and monitoring relapse. The present patient presented with a slightly hypermetabolic mass, consistent with an indolent nature.

The treatment options for extranodal MZL include chemotherapy, radiotherapy and surgery (13), with the choice depending on the disease stage, patient performance status and underlying conditions. Table I (13–19) summarizes the published cases, highlighting the various management approaches and outcomes for lesions in different liver segments. Most patients presented with solitary lesions, typically <2 cm in size and confined to a single liver segment. One case was of a 70-year-old man with two lesions in segment 2, measuring 3.3 and 3.6 cm, which were treated successfully with a left lateral segment hepatectomy, with no recurrence at 8 months (13). Another patient, a 60-year-old woman, had a 1-cm solitary lesion in segment 8 and underwent segmental hepatectomy with adjuvant chemotherapy, resulting in no recurrence over 4 years (14). Furthermore, radiofrequency ablation (RFA) is a significant modality, offering a quick and cost-effective treatment for unresectable liver tumors, particularly for cases with a single tumor ≤5 cm or up to three tumors, each ≤3 cm (20). However, its long-term efficacy in lymphoma remains unclear, and the surgical margins are inaccessible. A 63-year-old woman with a solitary 1.7-cm lesion in segment 6 underwent RFA with no recurrence after 1 year (15). In the present case, the larger tumor burden and bilateral involvement precluded liver surgery or RFA. By contrast, radiotherapy offers localized treatment that minimizes systemic exposure, an essential consideration for patients with CVID, where reducing the risk of treatment-related immunosuppression is crucial. The positive outcome, in the present case, suggests that radiotherapy is a viable option for managing hepatic MZL in a similar manner as extranodal MZL in other organs, particularly in patients with contraindications for systemic chemotherapy or surgery. Additionally, radiotherapy is more effective for controlling multifocal lesions, which are often challenging to ablate completely. In the case of extranodal disease, particularly indolent lymphoma, the whole organ comprises the clinical target volume, including the stomach, salivary glands and thyroid. Partial organ irradiation may be appropriate for other organs, including the orbit (involving the bony orbit and adjacent structures), breast, lung, bone, ocular region (involving the eyeball) and localized skin, as well as under certain circumstances when radiotherapy is used for consolidation after chemotherapy (21). In the present case, due to the localized nature of the hepatic tumors and the use of image-guided radiation therapy combined with 4DCT for motion management, partial irradiation was selected to minimize radiation exposure to normal tissues while maintaining therapeutic effectiveness.

Table I.

Published cases of primary hepatic marginal zone B-cell lymphoma in the last 6 years.

Table I.

Published cases of primary hepatic marginal zone B-cell lymphoma in the last 6 years.

First author, yearAge, yearsSexComorbiditiesNumber of lesionsTumor size, cmPositionsNodal involvementTreatmentOutcome/follow-up time(Refs.)
Choi et al, 202070MIntracerebral hemorrhage; myocardial infarction23.3/3.6Segment 2NoLeft lateral segment hepatectomyNo recurrence/8 months(13)
Okura et al, 202360FSigmoid colon cancer with liver metastasis; HBV11Segment 8NoHepatectomy of segment 8, adjuvant chemotherapyNo recurrence/4 years(14)
Xu et al, 202163FNone11.7Segment 6NoRFANo recurrence/1 year(15)
Yamashita et al, 202166FUterine cervical cancer; HBV23.5/3Segment 8, 5NoPatient refused (only tenofovir for HBV control)Not mentioned(16)
Xie et al, 201973MHBV11.8Segment 2NoLeft lateral segment hepatectomy (segments 2 and 3)No recurrence/6 months(17)
Koh et al, 2023Mid-40sMNone11.8Segment 5NoInferior segments hepatectomy (segments 5 and 6)No recurrence/2 years(18)
Liu et al, 202477FRepeated paroxysmal palpitations11.4Segment 4aNoHepatectomy of segment 4No recurrence/20 months(19)
Present case61FSjogren's syndrome, CVID27.8/1.8Segment 2/4a, 6NoRadiotherapyNo recurrence/7 months

[i] CVID, common variable immunodeficiency; HBV, hepatitis B virus; RFA, radiofrequency ablation.

In the present case, response-adapted radiation therapy was used to optimize the dose delivery. Typically, this approach includes assessing the tumor response to an initial radiation course or another treatment modality using imaging or diagnostic tools. Based on this assessment, the radiation plan is adjusted in terms of dose, target area or technique to maximize treatment efficacy while minimizing damage to the surrounding healthy tissues. A similar response-based approach was demonstrated in a phase II trial by Pinnix et al (22), which investigated radiotherapy for orbital indolent B-cell lymphoma, employing a response-adapted ultra-low-dose protocol initiated with a 4-Gy dose, followed by an additional 20 Gy for cases of persistent disease. The trial demonstrated a 2-year local control rate of 89.4%, with 90% of patients achieving a complete response and no grade 3 or higher adverse effects. In the present case, radiation therapy dosages and normal tissue constraints were guided by recommendations provided by the International Lymphoma Radiation Oncology Group (23). Considering the bilateral lobe involvement and limited normal liver volume (798 cm3; compared with the average normal adult liver volume of 1,000-1,400 cm3 in females), the larger tumor was irradiated first, with the smaller tumors primarily receiving a scatter dose (mean dose, 447.4 cGy). Using scatter doses for smaller tumors can be appropriate in certain scenarios, given the highly radiosensitive nature of lymphoma (as low as 4 Gy). Although no significant toxicities were observed during the 7-month follow-up, the potential for late toxicity, such as radiation-induced liver disease (RILD) or central biliary tract toxicity, persists, and this is more common in cases with large liver volume irradiation or central lesions. Toesca et al (24,25) highlighted strategies for predicting and mitigating RILD and central biliary tract toxicity, emphasizing the importance of personalized treatment planning and careful dose management to minimize risks. In the present study, subsequent MRI follow-up indicated a partial response, leading to the administration of additional radiation (6 Gy to the segment 2/4a tumor and 8 Gy to the segment 6 tumor, delivered in four fractions). This approach minimizes radiation exposure to the uninvolved normal liver while ensuring adequate treatment for both tumors. In a previous study, in patients with gastric mucosa-associated lymphoid tissue lymphoma treated with definitive radiotherapy, the median time to achieve complete remission was 3.9 months, with some cases requiring >12 months for confirmation through follow-up biopsies (26). This variability underscores the importance of careful, long-term monitoring to evaluate treatment outcomes and ensure sustained disease control.

In conclusion, the present case illustrates the successful use of response-adapted ISRT to treat hepatic MZL in a patient with Sjögren's syndrome and CVID. The role of radiotherapy in the management of hepatic MZL has not been well established owing to the rarity of this disease; thus, a multidisciplinary approach and careful consideration of the patient's unique clinical profile are crucial to achieving an individualized approach. Further research and case studies are needed to establish standardized treatment protocols for similar cases; however, this report provides valuable insights into the management of a complex lymphoma presentation in an immunocompromised patient.

Acknowledgements

Not applicable.

Funding

Funding: No funding was received.

Availability of data and materials

The data that support the findings of this case report are not publicly available due to privacy and ethical restrictions. However, they may be requested from the corresponding author and obtained with permission from the Institutional Review Board of Tri-Service General Hospital (Taipei, Taiwan).

Authors' contributions

SC contributed to the conception and design of the study, analysis of clinical data, and drafting of the manuscript. SC was responsible for interpreting the findings and preparing the initial manuscript. CL supervised the study, provided critical revisions for intellectual content and contributed to the interpretation of data. CL also approved the final version of the manuscript. YC and WH contributed to data collection and analysis. SC and CL confirm the authenticity of all the raw data. All authors have read and approved the final manuscript.

Ethics approval and consent to participate

This study was approved by the Institutional Review Board of Tri-Service General Hospital (approval no. A202415126). The patient provided written informed consent to participate prior to their inclusion in the study.

Patient consent for publication

Written informed consent was obtained from the patient for the publication of their clinical data an accompanying images.

Competing interests

The authors declare that they have no competing interests.

References

1 

Cerhan JR and Habermann TM: Epidemiology of marginal zone. Lymphoma. Ann Lymphoma. 5:2021. View Article : Google Scholar : PubMed/NCBI

2 

Chuang SS, Chen SW, Chang ST and Kuo YT: Lymphoma in Taiwan: Review of 1347 neoplasms from a single institution according to the 2016 Revision of the World Health Organization Classification. J Formos Med Assoc. 116:620–625. 2017. View Article : Google Scholar : PubMed/NCBI

3 

El-Fattah MA: Non-hodgkin lymphoma of the liver: A US population-based analysis. J Clin Transl Hepatol. 5:83–91. 2017.PubMed/NCBI

4 

Zucca E, Arcaini L, Buske C, Johnson PW, Ponzoni M, Raderer M, Ricardi U, Salar A, Stamatopoulos K, Thieblemont C, et al: Marginal zone lymphomas: ESMO clinical practice guidelines. Ann Oncol. 31:17–29. 2020. View Article : Google Scholar : PubMed/NCBI

5 

Routsias JG, Goules JD, Charalampakis G, Tzima S, Papageorgiou A and Voulgarelis M: Malignant lymphoma in primary Sjögren's syndrome: An update on the pathogenesis and treatment. Semin. Arthritis Rheum. 43:178–186. 2013.PubMed/NCBI

6 

Smith T and Cunningham-Rundles C: Lymphoid malignancy in common variable immune-deficiency in a single-center cohort. Eur J Haematol. 107:503–516. 2021. View Article : Google Scholar : PubMed/NCBI

7 

Amin MB, Edge SB, Greene FL, Byrd DR, Brookland RK, Washington MK, Gershenwald JE, Compton CC, Hess KR, Sullivan DC, et al: AJCC Cancer Staging Manual. 8th Edition. Springer Cham; Switzerland: pp. 9542017

8 

U.S. Department of Health and Human Services, . Common Terminology Criteria for Adverse Events (CTCAE). Version 4.0. https://evs.nci.nih.gov/ftp1/CTCAE/CTCAE_4.03/Archive/CTCAE_4.0_2009-05-29_QuickReference_8.5×11.pdfFebruary 12–2025

9 

Meignan M, Gallamini A, Meignan M, Gallamini A and Haioun C: Report on the first international workshop on interim-PET-scan in lymphoma. Leuk Lymphoma. 50:1257–1260. 2009. View Article : Google Scholar : PubMed/NCBI

10 

Zucca E, Bertoni F, Vannata B and Cavalli F: Emerging role of infectious etiologies in the pathogenesis of marginal zone B-cell lymphomas. Clin Cancer Res. 20:5207–5216. 2014. View Article : Google Scholar : PubMed/NCBI

11 

Betianu CI, Dima A and Pavaloiu G: Primary hepatic mucosa-associated lymphoid tissue lymphoma in a patient with no chronic liver disease: Case report. J Radiol Case Rep. 12:715–719. 2017. View Article : Google Scholar : PubMed/NCBI

12 

Bao C, Wei J, Zhao X, Lin L, Chen D, Liu K, Qian W, Anas JM and Zhao K: Prognostic value of fluorine-18-fluorodeoxyglucose positron emission tomography/computed tomography in primary hepatic mucosa-associated lymphoid tissue lymphoma: A case report and review of the literature. Medicine (Baltimore). 97:98772018. View Article : Google Scholar

13 

Choi S, Kim JH, Kim K, Kim M, Choi HJ, Kim YM, Suh JH, Seo MJ and Cha HJ: Primary hepatic extranodal marginal zone lymphoma of mucosa-associated lymphoid tissue. J Pathol Transl Med. 54:340–345. 2020. View Article : Google Scholar : PubMed/NCBI

14 

Okura K, Seo S, Shimizu H, Nishino H, Yoh T, Fukumitsu K, Ishii T, Hata K, Haga H and Hatano E: Primary hepatic extranodal marginal zone B-cell mucosa-associated lymphoid tissue lymphoma treated by laparoscopic partial hepatectomy: A case report. Surg Case Rep. 9:292023. View Article : Google Scholar : PubMed/NCBI

15 

Xu Z, Pang C, Sui J and Gao Z: A case of primary hepatic extranodal marginal zone B-cell mucosa-associated lymphoid tissue (MALT) lymphoma treated by radiofrequency ablation (RFA), and a literature review. J Int Med Res. 49:300060521999539. 2021.

16 

Yamashita Y, Joshita S, Kobayashi H, Wakabayashi SI, Sugiura A, Yamazaki T and Umemura T: Primary hepatic extranodal marginal zone lymphoma of mucosa-associated lymphoid tissue in a patient with chronic hepatitis B virus infection: Case report and summary of the literature. Medicina (Kaunas). 57:2802021. View Article : Google Scholar : PubMed/NCBI

17 

Xie H, Lv J, Ji Y, Du X and Yang X: Primary hepatic mucosa-associated lymphoid tissue lymphoma. Medicine (Baltimore). 98:e150342019. View Article : Google Scholar : PubMed/NCBI

18 

Koh HD, Choi JW, Kim EK, Park S, Kim MJ and Lee CK: Primary hepatic mucosa-associated lymphoid tissue lymphoma mimicking hepatocellular carcinoma in a patient with chronic hepatitis B: A case report. J Int Med Res. 51:30006052311543992023. View Article : Google Scholar : PubMed/NCBI

19 

Liu C, Liu Y, Zhang J, Chai Y, Lu B and Tang H: Primary hepatic mucosa-associated lymphoid tissue lymphoma complicated with atrial fibrillation: A case report and literature review. Medicine (Baltimore). 103:e369262024. View Article : Google Scholar : PubMed/NCBI

20 

Benson AB III, D'Angelica MI, Abrams T, Ahmed A, Anaya DA, Anders R, Are C, Bachini M, Baker M, Binder D, et al: NCCN clinical practice guidelines in oncology: Hepatocellular carcinoma. National Comprehensive Cancer Network, Version. 1:512024.

21 

Zelenetz AD, Gordon LI, Abramson JS, Advani RH, Andreadis B, Bartlett NL, Budde LE, Caimi PF, Chang JE, Christian B, et al: NCCN clinical practice guidelines in oncology: B-cell lymphomas. National Comprehensive Cancer Network, Version. 2:1442024.

22 

Pinnix CC, Dabaja BS, Gunther JR, Fang PQ, Wu SY, Nastoupil LJ, Strati P, Nair R, Ahmed S, Steiner R, et al: Response-adapted ultralow-dose radiation therapy for orbital indolent B-Cell lymphoma A phase 2 nonrandomized controlled trial. JAMA Oncol. 10:1195–1203. 2024. View Article : Google Scholar : PubMed/NCBI

23 

Yahalom J, Illidge T, Specht L, Hoppe RT, Li YX, Tsang R and Wirth A; International Lymphoma Radiation Oncology Group, : Modern radiation therapy for extranodal lymphomas: Field and dose guidelines from the international lymphoma radiation oncology group. Int J Radiat Oncol Biol Phys. 92:11–31. 2015. View Article : Google Scholar : PubMed/NCBI

24 

Toesca DAS, Ibragimov B, Koong AJ, Xing L, Koong AC and Chang DT: Strategies for prediction and mitigation of radiation-induced liver toxicity. J Radiat Res. 59:40–49. 2018. View Article : Google Scholar

25 

Toesca DA, Osmundson EC, Eyben RV, Shaffer JL, Lu P, Koong AC and Chang DT: Central liver toxicity after SBRT: An expanded analysis and predictive nomogram. Radiother Oncol. 122:130–136. 2017. View Article : Google Scholar : PubMed/NCBI

26 

Katano A and Yamashita H: Definitive radiotherapy for stage I gastric mucosa-associated lymphoid tissue lymphoma: A retrospective cohort of unique-dose administration of 30 Gy in 15 fractions and analysis of remission duration. World J Oncol. 15:506–510. 2024. View Article : Google Scholar : PubMed/NCBI

Related Articles

  • Abstract
  • View
  • Download
  • Twitter
Copy and paste a formatted citation
Spandidos Publications style
Chen S, Chen Y, Huang W and Lo C: Response‑adapted involved site radiation therapy for hepatic marginal zone B‑cell lymphoma: A case report. Oncol Lett 29: 188, 2025.
APA
Chen, S., Chen, Y., Huang, W., & Lo, C. (2025). Response‑adapted involved site radiation therapy for hepatic marginal zone B‑cell lymphoma: A case report. Oncology Letters, 29, 188. https://doi.org/10.3892/ol.2025.14934
MLA
Chen, S., Chen, Y., Huang, W., Lo, C."Response‑adapted involved site radiation therapy for hepatic marginal zone B‑cell lymphoma: A case report". Oncology Letters 29.4 (2025): 188.
Chicago
Chen, S., Chen, Y., Huang, W., Lo, C."Response‑adapted involved site radiation therapy for hepatic marginal zone B‑cell lymphoma: A case report". Oncology Letters 29, no. 4 (2025): 188. https://doi.org/10.3892/ol.2025.14934
Copy and paste a formatted citation
x
Spandidos Publications style
Chen S, Chen Y, Huang W and Lo C: Response‑adapted involved site radiation therapy for hepatic marginal zone B‑cell lymphoma: A case report. Oncol Lett 29: 188, 2025.
APA
Chen, S., Chen, Y., Huang, W., & Lo, C. (2025). Response‑adapted involved site radiation therapy for hepatic marginal zone B‑cell lymphoma: A case report. Oncology Letters, 29, 188. https://doi.org/10.3892/ol.2025.14934
MLA
Chen, S., Chen, Y., Huang, W., Lo, C."Response‑adapted involved site radiation therapy for hepatic marginal zone B‑cell lymphoma: A case report". Oncology Letters 29.4 (2025): 188.
Chicago
Chen, S., Chen, Y., Huang, W., Lo, C."Response‑adapted involved site radiation therapy for hepatic marginal zone B‑cell lymphoma: A case report". Oncology Letters 29, no. 4 (2025): 188. https://doi.org/10.3892/ol.2025.14934
Follow us
  • Twitter
  • LinkedIn
  • Facebook
About
  • Spandidos Publications
  • Careers
  • Cookie Policy
  • Privacy Policy
How can we help?
  • Help
  • Live Chat
  • Contact
  • Email to our Support Team