International Journal of Molecular Medicine is an international journal devoted to molecular mechanisms of human disease.
International Journal of Oncology is an international journal devoted to oncology research and cancer treatment.
Covers molecular medicine topics such as pharmacology, pathology, genetics, neuroscience, infectious diseases, molecular cardiology, and molecular surgery.
Oncology Reports is an international journal devoted to fundamental and applied research in Oncology.
Experimental and Therapeutic Medicine is an international journal devoted to laboratory and clinical medicine.
Oncology Letters is an international journal devoted to Experimental and Clinical Oncology.
Explores a wide range of biological and medical fields, including pharmacology, genetics, microbiology, neuroscience, and molecular cardiology.
International journal addressing all aspects of oncology research, from tumorigenesis and oncogenes to chemotherapy and metastasis.
Multidisciplinary open-access journal spanning biochemistry, genetics, neuroscience, environmental health, and synthetic biology.
Open-access journal combining biochemistry, pharmacology, immunology, and genetics to advance health through functional nutrition.
Publishes open-access research on using epigenetics to advance understanding and treatment of human disease.
An International Open Access Journal Devoted to General Medicine.
PD-1 is expressed on the surface of a variety of immune cells, such as T cells, B cells and natural killer (NK) cells, in which its ligand, programmed death-ligand (PD-L)1, is widely expressed on the surface of various tissue cells, including tumor cells, while the ligand PD-L2 is mainly expressed in hematopoietic cells. PD-L1 is one of the numerous immune checkpoints of T cells, and the PD-L1 signaling pathway inhibits the activity of T cells at a later stage of the immune response (1,2). PD1 monoclonal antibodies, including pembrolizumab and nivolumab, block PD-1/PD-L1 association and enhance the anti-tumor immune function of T cells.
Pembrolizumab is one of the immune checkpoint inhibitors (ICIs), which is a humanized monoclonal IgG, applied in the immune therapy of lung cancer (3), melanoma (4), renal cancer (5) and other malignant tumors (6). The survival benefit is evident (7). Immune inhibition release leads to immune-related side-effects, such as pembrolizumab, a PD-1 inhibitor with median toxicity of 77.1%. The incidence of toxicity for above grade 3 is 20.8%. The overall immunotherapy is safe; however, some of the fatal immunotoxicities, such as neurological adverse events (nAEs) associated with ICIs should attract sufficient attention, particularly when neurotoxicity is involved. According to a previous study, the incidence of neurological toxicity associated with the administration of PD-1 inhibitors is 6.1% (8), and neurotoxicity accounts for approximately 15% of the deaths caused by PD-1/PD-L1 inhibitors (9).
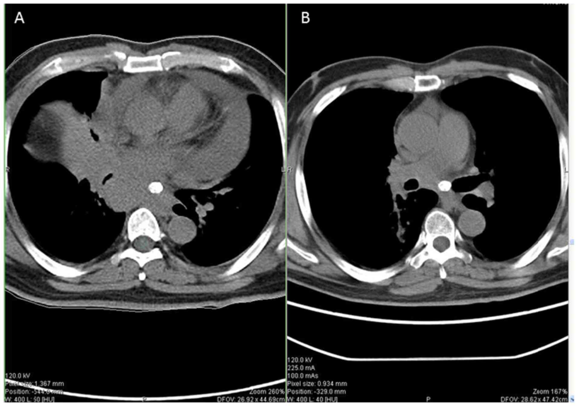
A 44-year-old male was diagnosed with extensive-stage small-cell lung cancer (ES-SCLC) accompanied by bone, brain and mediastinal lymph node metastasis. Between March, 2019 to August, 2019, he received systemic treatment with 6-cycle etoposide and cisplatin (EP) chemotherapy (etoposide 165 mg/m2 on days 1-3, and cisplatin 50 mg/m2 on days 1-2) followed by 200 mg pembrolizumab (Keytruda®, Merck Sharp & Dohme Corp.) intravenously once every 3 weeks, and the curative efficacy was evaluated as progressive disease (PD). He arose with facial paralysis, facial numbness, pain, tinnitus and limb joint pain on September 23, 2019 (Fig. 1A), although he had tendon reflexes. An enhanced cranial MRI examination revealed that there were abnormal enhancement areas in the left pontine crus, with clear boundaries (Fig. 2A). Facial nerve thickening and swelling caused facial paralysis. According to the toxicity grade, it was classified as grade 2. Thus, the use of pembrolizumab was terminated, although EP chemotherapy continued and he was treated with high-dose hormone therapy with the resolution of neurological symptoms. Methylprednisolone at 40 mg was administered for 5 days and he was then treated with oral prednisone tablets (25 mg). After 1 week, his facial symptoms were significantly alleviated (Fig. 1B). Following hormone therapy, the re-examination of the head MRI revealed that the lesion had shrunk and symptoms had improved (Fig. 2B). Subsequently, he was treated with etoposide/tenoposide alone, and he did not exhibit any signs of neurotoxicity. After completing the whole chemotherapeutic regimen, the primary tumor had markedly shrunk when comparing pre-treatment (Fig. 3A) and post-treatment (Fig. 3B).
The common pembrolizumab-associated neurological immune-related adverse effects (irAEs) span diverse entities, including Guillain barre syndrome, transverse myelitis, myasthenia gravis, peripheral neuropathy and aseptic meningitis (3). The presents study reports one case of pembrolizumab-associated neurological irAEs manifesting as pain, numbness and corner nakedness in the area of left facial nerve innervation, no tinnitus and hearing loss. When enquiring about the detailed history of the patient, a comprehensive detection of the nervous system, brain MRI, a cerebrospinal fluid examination, neurological analysis and consultation with a neurologist, tumor progression, transfer, central nervous system infection, diabetic neuropathy, or vitamin B12 deficiency-associated disease were excluded. Given the specification of glucocorticoid treatment underlying neurotoxicity, the symptoms and related image data markedly improved, and the patient was considered to have suffered from facial nerve toxicity caused by pembrolizumab. It has been reported that pembrolizumab-associated neurological irAEs occur both in peripheral neuropathy and Guillain barre syndrome (5), although facial nerve injury is rare. The present case report demonstrated that there were marked individual differences in immune-related neurotoxic manifestations, which increases the difficulty in the early identification of toxic symptoms. The facial nerve is responsible for muscle movements in the face, and pembrolizumab-associated neurological irAEs cause facial deformation.
Although the compliance of ICI therapy with irAEs is affected, it does not seem to affect the efficacy of immunotherapy (6), and immune-related toxicity may be an index for the reactivity of ICI treatment and survival benefits (7,8). A previous study (9) demonstrated that ICI therapy for patients with rheumatoid arthritis (RA) had a better response rate (85.7 vs. 35.3%) than those who were negative for RA. Similarly, a preliminary study revealed that ICI treatment with neurotoxicity may have a better response rate (10). This may be one reason for the better treatment response in the present case.
irAEs require early identification and timely and effective drug intervention through NCCN guidelines (11). Glucocorticoids are the major drug choices; however, it has been shown that patients with immune-related neurotoxicity have different individual responses to glucocorticoids (12), and patients with resistance to glucocorticoids often need to be replaced with (TNF-a) infliximab or (IVIG) immunoglobulin. The patient, in this case (12), had a good response to glucocorticoids, and the symptoms of facial paralysis and pain in 4 joints were significantly improved following 72 h of administration, without hormone resistance.
The mechanism of toxicity associated with ICIs has not yet been fully clarified. It has been demonstrated that the following main categories exist: First, T cells directly attack normal tissues, and certain antigens can be expressed in both tumor cells and normal cells; thus, the enhanced function of T cells can cause damage to normal tissues (13). Another type of injury involves inflammatory factors, such as pro-inflammatory factor IL-17, which can be released with the recovery of T cell function (14,15). Another type is that following treatment with ICI, the body's pre-existing autoreactive antibodies can be activated, leading to the occurrence of irAEs (16). In addition, the mechanisms of irAEs occurring in different phases may also differ. For example, the early side-effects are mainly manifested by extensive epithelial cell damage caused by the involvement of inflammatory cells, such as neutrophils, such as skin rash, colitis, pneumonia and other symptoms. The late side-effects are more likely to occur in the specific local organs, such as nervous system toxicity, hypophysitis. In the present case report, the patient facial nerve toxicity occurred following the end of ICI therapy, which is an advanced toxic reaction, and the specific mechanisms remain to be further elucidated.
In the present study, a case of a rare patient with ES-SCLC treated with anti-PD-1 inhibitors (pembrolizumab) with induced facial toxicity is reported, in order to provide some references for the prediction and management of the side-effects caused by ICIs.
In conclusion, the facial nerve injury caused by ICIs is rare; thus, the neurotoxicity caused by ICIs should be a matter of concern, and the related mechanisms underlying the injury warrant further investigation. While chemotherapy does not cause such nerve damage, immune-induced nerve damage is usually alleviated with hormone therapy, which can distinguish metastatic tumors from neuropathy.
Not applicable.
No funding was received.
All data generated or analyzed during this study are included in this published article or are available from the corresponding author on reasonable request.
YD and SH conceived the case report, wrote the initial manuscript and reviewed the final manuscript. MW, WL, SH, HG and TQ interpreted and created the radiographic images, and reviewed the final manuscript. All authors read and approved the final manuscript.
The present study was approved by the 986 Hospital Affiliated to the Fourth Military Medical University Ethics Board (approval no. KJ4-004-03; Xi'an, China). Consent to participate was obtained from the patient.
Informed written consent was obtained from the patient for publication of this case.
The authors declare that they have no competing interests.
|
Boussiotis VA: Molecular and biochemical aspects of the PD-1 checkpoint pathway. N Engl J Med. 375:1767–1778. 2016.PubMed/NCBI View Article : Google Scholar | |
|
Coles SJ, Gilmour MN, Reid R, Knapper S, Burnett AK, Man S, Tonks A and Darley RL: The immunosuppressive ligands PD-L1 and CD200 are linked in AML T-cell immunosuppression: Identification of a new immunotherapeutic synapse. Leukemia. 29:1952–1954. 2015.PubMed/NCBI View Article : Google Scholar | |
|
Lim SH, Sun JM, Lee SH, Ahn JS, Park K and Ahn MJ: Pembrolizumab for the treatment of non-small cell lung cancer. Expert Opin Biol Ther. 16:397–406. 2016.PubMed/NCBI View Article : Google Scholar | |
|
Robert C, Ribas A, Schachter J, Arance A, Grob JJ, Mortier L, Daud A, Carlino MS, McNeil CM, Lotem M, et al: Pembrolizumab versus ipilimumab in advanced melanoma (KEYNOTE-006): Post-hoc 5-year results from an open-label, multicentre, randomised, controlled, phase 3 study. Lancet Oncol. 20:1239–1251. 2019.PubMed/NCBI View Article : Google Scholar | |
|
Rini BI, Plimack ER, Stus V, Gafanov R, Hawkins R, Nosov D, Pouliot F, Alekseev B, Soulières D, Melichar B, et al: Pembrolizumab plus axitinib versus sunitinib for advanced renal-cell carcinoma. N Engl J Med. 380:1116–1127. 2019.PubMed/NCBI View Article : Google Scholar | |
|
Fradet Y, Bellmunt J, Vaughn DJ, Lee JL, Fong L, Vogelzang NJ, Climent MA, Petrylak DP, Choueiri TK, Necchi A, et al: Randomized phase III KEYNOTE-045 trial of pembrolizumab versus paclitaxel, docetaxel, or vinflunine in recurrent advanced urothelial cancer: Results of >2 years of follow-up. Ann Oncol. 30:970–976. 2019.PubMed/NCBI View Article : Google Scholar | |
|
Gao HX, Huang SG, Du JF, Zhang XC, Jiang N, Kang WX, Mao J and Zhao Q: Comparison of prognostic indices in NSCLC patients with brain metastases after radiosurgery. Int J Biol Sci. 14:2065–2072. 2018.PubMed/NCBI View Article : Google Scholar | |
|
Cuzzubbo S, Javeri F, Tissier M, Roumi A, Barlog C, Doridam J, Lebbe C, Belin C, Ursu R and Carpentier AF: Neurological adverse events associated with immune checkpoint inhibitors: Review of the literature. Eur J Cancer. 73:1–8. 2017.PubMed/NCBI View Article : Google Scholar | |
|
Wang DY, Salem JE, Cohen JV, Chandra S, Menzer C, Ye F, Zhao S, Das S, Beckermann KE, Ha L, et al: Fatal toxic effects associated with immune checkpoint inhibitors: A systematic review and meta-analysis. JAMA Oncol. 4:1721–1728. 2018.PubMed/NCBI View Article : Google Scholar | |
|
Feng S, Coward J, McCaffrey E, Coucher J, Kalokerinos P and O'Byrne K: Pembrolizumab-induced encephalopathy: A review of neurological toxicities with immune checkpoint inhibitors. J Thorac Oncol. 12:1626–1635. 2017.PubMed/NCBI View Article : Google Scholar | |
|
Thompson JA, Schneider BJ, Brahmer J, Andrews S, Armand P, Bhatia S, Budde LE, Costa L, Davies M, Dunnington D, et al: Management of immunotherapy-related toxicities, version 1.2019. J Natl Compr Canc Netw. 17:255–289. 2019.PubMed/NCBI View Article : Google Scholar | |
|
Garcia CA, El-Ali A, Rath TJ, Contis LC, Gorantla V, Drappatz J and Davar D: Neurologic immune-related adverse events associated with adjuvant ipilimumab: Report of two cases. J Immunother Cancer. 6(83)2018.PubMed/NCBI View Article : Google Scholar | |
|
Johnson DB, Balko JM, Compton ML, Chalkias S, Gorham J, Xu Y, Hicks M, Puzanov I, Alexander MR, Bloomer TL, et al: Fulminant myocarditis with combination immune checkpoint blockade. N Engl J Med. 375:1749–1755. 2016.PubMed/NCBI View Article : Google Scholar | |
|
Tarhini AA, Zahoor H, Lin Y, Malhotra U, Sander C, Butterfield LH and Kirkwood JM: Baseline circulating IL-17 predicts toxicity while TGF-β1 and IL-10 are prognostic of relapse in ipilimumab neoadjuvant therapy of melanoma. J Immunother Cancer. 3(39)2015.PubMed/NCBI View Article : Google Scholar | |
|
Feng T, Qin H, Wang L, Benveniste EN, Elson CO and Cong Y: Th17 cells induce colitis and promote Th1 cell responses through IL-17 induction of innate IL-12 and IL-23 production. J Immunol. 186:6313–6318. 2011.PubMed/NCBI View Article : Google Scholar | |
|
Osorio JC, Ni A, Chaft JE, Pollina R, Kasler MK, Stephens D, Rodriguez C, Cambridge L, Rizvi H, Wolchok JD, et al: Antibody-mediated thyroid dysfunction during T-cell checkpoint blockade in patients with non-small-cell lung cancer. Ann Oncol. 28:583–589. 2017.PubMed/NCBI View Article : Google Scholar |