Spandidos Publications Logo
  • About
    • About Spandidos
    • Aims and Scopes
    • Abstracting and Indexing
    • Editorial Policies
    • Reprints and Permissions
    • Job Opportunities
    • Terms and Conditions
    • Contact
  • Journals
    • All Journals
    • Oncology Letters
      • Oncology Letters
      • Information for Authors
      • Editorial Policies
      • Editorial Board
      • Aims and Scope
      • Abstracting and Indexing
      • Bibliographic Information
      • Archive
    • International Journal of Oncology
      • International Journal of Oncology
      • Information for Authors
      • Editorial Policies
      • Editorial Board
      • Aims and Scope
      • Abstracting and Indexing
      • Bibliographic Information
      • Archive
    • Molecular and Clinical Oncology
      • Molecular and Clinical Oncology
      • Information for Authors
      • Editorial Policies
      • Editorial Board
      • Aims and Scope
      • Abstracting and Indexing
      • Bibliographic Information
      • Archive
    • Experimental and Therapeutic Medicine
      • Experimental and Therapeutic Medicine
      • Information for Authors
      • Editorial Policies
      • Editorial Board
      • Aims and Scope
      • Abstracting and Indexing
      • Bibliographic Information
      • Archive
    • International Journal of Molecular Medicine
      • International Journal of Molecular Medicine
      • Information for Authors
      • Editorial Policies
      • Editorial Board
      • Aims and Scope
      • Abstracting and Indexing
      • Bibliographic Information
      • Archive
    • Biomedical Reports
      • Biomedical Reports
      • Information for Authors
      • Editorial Policies
      • Editorial Board
      • Aims and Scope
      • Abstracting and Indexing
      • Bibliographic Information
      • Archive
    • Oncology Reports
      • Oncology Reports
      • Information for Authors
      • Editorial Policies
      • Editorial Board
      • Aims and Scope
      • Abstracting and Indexing
      • Bibliographic Information
      • Archive
    • Molecular Medicine Reports
      • Molecular Medicine Reports
      • Information for Authors
      • Editorial Policies
      • Editorial Board
      • Aims and Scope
      • Abstracting and Indexing
      • Bibliographic Information
      • Archive
    • World Academy of Sciences Journal
      • World Academy of Sciences Journal
      • Information for Authors
      • Editorial Policies
      • Editorial Board
      • Aims and Scope
      • Abstracting and Indexing
      • Bibliographic Information
      • Archive
    • International Journal of Functional Nutrition
      • International Journal of Functional Nutrition
      • Information for Authors
      • Editorial Policies
      • Editorial Board
      • Aims and Scope
      • Abstracting and Indexing
      • Bibliographic Information
      • Archive
    • International Journal of Epigenetics
      • International Journal of Epigenetics
      • Information for Authors
      • Editorial Policies
      • Editorial Board
      • Aims and Scope
      • Abstracting and Indexing
      • Bibliographic Information
      • Archive
    • Medicine International
      • Medicine International
      • Information for Authors
      • Editorial Policies
      • Editorial Board
      • Aims and Scope
      • Abstracting and Indexing
      • Bibliographic Information
      • Archive
  • Articles
  • Information
    • Information for Authors
    • Information for Reviewers
    • Information for Librarians
    • Information for Advertisers
    • Conferences
  • Language Editing
Spandidos Publications Logo
  • About
    • About Spandidos
    • Aims and Scopes
    • Abstracting and Indexing
    • Editorial Policies
    • Reprints and Permissions
    • Job Opportunities
    • Terms and Conditions
    • Contact
  • Journals
    • All Journals
    • Biomedical Reports
      • Information for Authors
      • Editorial Policies
      • Editorial Board
      • Aims and Scope
      • Abstracting and Indexing
      • Bibliographic Information
      • Archive
    • Experimental and Therapeutic Medicine
      • Information for Authors
      • Editorial Policies
      • Editorial Board
      • Aims and Scope
      • Abstracting and Indexing
      • Bibliographic Information
      • Archive
    • International Journal of Epigenetics
      • Information for Authors
      • Editorial Policies
      • Editorial Board
      • Aims and Scope
      • Abstracting and Indexing
      • Bibliographic Information
      • Archive
    • International Journal of Functional Nutrition
      • Information for Authors
      • Editorial Policies
      • Editorial Board
      • Aims and Scope
      • Abstracting and Indexing
      • Bibliographic Information
      • Archive
    • International Journal of Molecular Medicine
      • Information for Authors
      • Editorial Policies
      • Editorial Board
      • Aims and Scope
      • Abstracting and Indexing
      • Bibliographic Information
      • Archive
    • International Journal of Oncology
      • Information for Authors
      • Editorial Policies
      • Editorial Board
      • Aims and Scope
      • Abstracting and Indexing
      • Bibliographic Information
      • Archive
    • Medicine International
      • Information for Authors
      • Editorial Policies
      • Editorial Board
      • Aims and Scope
      • Abstracting and Indexing
      • Bibliographic Information
      • Archive
    • Molecular and Clinical Oncology
      • Information for Authors
      • Editorial Policies
      • Editorial Board
      • Aims and Scope
      • Abstracting and Indexing
      • Bibliographic Information
      • Archive
    • Molecular Medicine Reports
      • Information for Authors
      • Editorial Policies
      • Editorial Board
      • Aims and Scope
      • Abstracting and Indexing
      • Bibliographic Information
      • Archive
    • Oncology Letters
      • Information for Authors
      • Editorial Policies
      • Editorial Board
      • Aims and Scope
      • Abstracting and Indexing
      • Bibliographic Information
      • Archive
    • Oncology Reports
      • Information for Authors
      • Editorial Policies
      • Editorial Board
      • Aims and Scope
      • Abstracting and Indexing
      • Bibliographic Information
      • Archive
    • World Academy of Sciences Journal
      • Information for Authors
      • Editorial Policies
      • Editorial Board
      • Aims and Scope
      • Abstracting and Indexing
      • Bibliographic Information
      • Archive
  • Articles
  • Information
    • For Authors
    • For Reviewers
    • For Librarians
    • For Advertisers
    • Conferences
  • Language Editing
Login Register Submit
  • This site uses cookies
  • You can change your cookie settings at any time by following the instructions in our Cookie Policy. To find out more, you may read our Privacy Policy.

    I agree
Search articles by DOI, keyword, author or affiliation
Search
Advanced Search
presentation
World Academy of Sciences Journal
Join Editorial Board Propose a Special Issue
Print ISSN: 2632-2900 Online ISSN: 2632-2919
Journal Cover
January-February 2023 Volume 5 Issue 1

Full Size Image

Sign up for eToc alerts
Recommend to Library

Journals

International Journal of Molecular Medicine

International Journal of Molecular Medicine

International Journal of Molecular Medicine is an international journal devoted to molecular mechanisms of human disease.

International Journal of Oncology

International Journal of Oncology

International Journal of Oncology is an international journal devoted to oncology research and cancer treatment.

Molecular Medicine Reports

Molecular Medicine Reports

Covers molecular medicine topics such as pharmacology, pathology, genetics, neuroscience, infectious diseases, molecular cardiology, and molecular surgery.

Oncology Reports

Oncology Reports

Oncology Reports is an international journal devoted to fundamental and applied research in Oncology.

Experimental and Therapeutic Medicine

Experimental and Therapeutic Medicine

Experimental and Therapeutic Medicine is an international journal devoted to laboratory and clinical medicine.

Oncology Letters

Oncology Letters

Oncology Letters is an international journal devoted to Experimental and Clinical Oncology.

Biomedical Reports

Biomedical Reports

Explores a wide range of biological and medical fields, including pharmacology, genetics, microbiology, neuroscience, and molecular cardiology.

Molecular and Clinical Oncology

Molecular and Clinical Oncology

International journal addressing all aspects of oncology research, from tumorigenesis and oncogenes to chemotherapy and metastasis.

World Academy of Sciences Journal

World Academy of Sciences Journal

Multidisciplinary open-access journal spanning biochemistry, genetics, neuroscience, environmental health, and synthetic biology.

International Journal of Functional Nutrition

International Journal of Functional Nutrition

Open-access journal combining biochemistry, pharmacology, immunology, and genetics to advance health through functional nutrition.

International Journal of Epigenetics

International Journal of Epigenetics

Publishes open-access research on using epigenetics to advance understanding and treatment of human disease.

Medicine International

Medicine International

An International Open Access Journal Devoted to General Medicine.

Journal Cover
January-February 2023 Volume 5 Issue 1

Full Size Image

Sign up for eToc alerts
Recommend to Library

  • Article
  • Citations
    • Cite This Article
    • Download Citation
    • Create Citation Alert
    • Remove Citation Alert
    • Cited By
  • Similar Articles
    • Related Articles (in Spandidos Publications)
    • Similar Articles (Google Scholar)
    • Similar Articles (PubMed)
  • Download PDF
  • Download XML
  • View XML
Case Report Open Access

Recurrent bullous pemphigoid: A case report and literature review

  • Authors:
    • Karthik Rajaram Mohan
    • Sasti Priya Govindasamy Sugumar
    • Saramma Mathew Fenn
    • Ravikumar Pethagounder Thangavelu
  • View Affiliations / Copyright

    Affiliations: Department of Oral Medicine and Radiology, Vinayaka Mission's Sankarachariyar Dental College, Vinayaka Mission's Research Foundation (Deemed to be University), Ariyanoor, Salem 636308, Tamil Nadu, India
    Copyright: © Rajaram Mohan et al. This is an open access article distributed under the terms of Creative Commons Attribution License.
  • Article Number: 8
    |
    Published online on: January 2, 2023
       https://doi.org/10.3892/wasj.2023.185
  • Expand metrics +
Metrics: Total Views: 0 (Spandidos Publications: | PMC Statistics: )
Metrics: Total PDF Downloads: 0 (Spandidos Publications: | PMC Statistics: )
Cited By (CrossRef): 0 citations Loading Articles...

This article is mentioned in:



Abstract

The present study aimed to enhance the current understanding of the etiopathogenesis, predisposing factors, clinical features and current management modalities for bullous pemphigoid (BP). BP is a chronic autoimmune disorder mediated by antibodies targeting BP180, a type XVII collagen (BPAG2), and BP230, a hemidesmosome protein located in basal keratinocytes, resulting in the formation of subepithelial blisters and multiple chronic oral ulcers, which heal without scarring, as well as urticarial lesions on the extremities. The BP lesions occur in the oral cavity following the onset of pruritic papules in the extremities. The present study describes the case of a patient with recurrent BP who was hypertensive and treated with amlodipine. In addition, a detailed search was performed on the PubMed database by searching the key word ‘bullous pemphigoid’; ~33 articles were selected which were published from 2005‑2022 for inclusion and discussion in the literature review. Studies published prior to 2005 were excluded. The anti‑hypertensive drug, amlodipine, has a high propensity for BP lesions. However, caution needs to be taken when prescribing amlodipine for hypertension. The occurrence of BP must not be overlooked, and the oral physician must seek a complete detailed drug history and clinical examination, which will aid in the diagnosis of BP. BP lesions are usually multiple and have a chronicity and usually affects the oral mucosa, upper torso and arms. There is a period of exacerbations and remissions. On the whole, the present study provides insight into the etiology, predisposing risk factors, etiopathogenesis, clinical features and management modalities for BP.

Introduction

Bullous pemphigoid (BP) is a chronic autoimmune disorder caused by antibodies targeting BP180, a type XVII collagen, HD1 (BPAG1), a 230-kDa glycoprotein located on chromosome 6p11-6p12 and HD4 (BPAG2), a 180-kDa hemidesmosome glycoprotein located on chromosome 10q 24.3. The intracellular hemidesmosome plaque contains the 230 kDa BP antigen, a non-collagenous protein of the plakin family that serves as an autoantigen in BP located in basal keratinocytes, resulting in the formation of a subepithelial blisters. The 180-kDa BP antigen, a transmembrane collagenous protein known as type XVII collagen, interacts with α6β4 integrin and extends from the intracellular compartment of basal cells to the extracellular space, thus stabilizing the association of basal keratinocytes to the underlying basement membrane (1).

The term ‘pemphigoid’ is derived from a Greek word (pemphix) meaning ‘pustule’, and ‘oid’ means ‘to resemble’. The lesions of BP occur in the oral cavity following the onset of pruritic papules in the extremities (2). The diagnosis of such lesions is more challenging for the oral physician. The lesions of bullous pemphigoid occur as blisters on the oral mucous membranes, which can rupture easily by the frictional forces of the teeth during chewing (2). The ulcers are usually multiple and exhibit chronicity due to the autoimmune destruction of the hemidesmosome proteins, anti-BP 180 and BP 230, targeting the basement membrane zone, resulting in the formation of subepithelial blisters (2). The pruritic rashes on the skin develop before the occurrence of the oral lesions (2). Patients who are known to be hypertensive and are already under anti-hypertensive medications, such as amlodipine and prazosin develop BP (2). Patients who are already known diabetics and are being administered dipeptidyl peptidase IV drugs, such as vildagliptin, sitagliptin, linagliptin, alogliptin, anagliptin and teneligliptin also develop BP. Penicillin, cephalosporins, sulfonamides and antifungals also increase the risk of developing BP lesions (2). Preexisting lichen planus and psoriasis are also associated with the risk of developing BP (2). The occurrence of BP must not be overlooked, and a complete drug history and clinical examination must be sought after by an oral physician.

The present study describes the case of a 38-year-old male patient with BP who was a known hypertensive and was thus being treated with amlodipine. In addition, following a database search, the findings of various studies on BP are discussed, in an aim to shed further light on this pathology.

Case report

A 38-year-old male patient reported to the Department of Oral Medicine and Radiology, Vinayaka Mission's Sankarachariyar Dental College, Vinayaka Mission's Research Foundation (Deemed to be University) (Salem, Tamil Nadu, India) with a chief complaint of soreness while eating foods. An analysis of his medical history revealed that he was a known hypertensive and under amlodipine medication 10 mg once daily for 2 years. The patient complained of similar soreness in his oral cavity, for which he was already treated with intravenous methylprednisolone (500 mg in 5% dextrose) administered over a period of 6 h. Cyclophosphamide (500 mg in 250 ml of 5% dextrose) was intravenously infused slowly for 3 h. The patient developed high blood pressure (170/110 mm Hg) during the intravenous methylprednisolone therapy for which amlodipine 5 mg tablets were prescribed twice daily. He was also prescribed prazosin (an α1 blocker) tablets at 75 mg once daily, and propranolol (40 mg) once daily for 2 weeks. The vital signs of the patient were monitored during the drug therapy. His medical history also revealed the occurrence of pruritic rashes on the extensor aspect of his left extremity on his left forearm and also on the right and left side of his abdomen 2 years prior. For pruritic skin lesions, he was prescribed levocetirizine (5 mg) tablets once daily for 2 weeks. Hydroxyzine tablets (25 mg) were also prescribed once daily for 2 weeks. Upon an extraoral examination of his skin, multiple discrete papules were observed on the extensor aspect of his left forearm and also over the skin of his right and left abdomen (Fig. 1).

Figure 1

Extraoral images illustrating pruritic papules on the extensor aspect of the patient's (A) left extremity on his left forearm, and also on the (B) right and (C) left side of his abdomen.

Following the occurrence of pruritic papules on his left forearm, he developed a blister on the right buccal mucosa, which ruptured simultaneously and was superimposed with a white lesion (Fig. 2A). An intraoral examination of his left buccal mucosa revealed multiple tiny ulcers near the palatal aspect of the gingiva in relation to the interdental papilla of the tooth no. 23 and 24 region, and another ulcer on the left buccal mucosa (Fig. 2B). An examination of the floor of the mouth revealed a tissue tag formed as a result of an attempt to heal the ruptured bulla (Fig. 2C). The intraoral examination also revealed desquamation involving the marginal gingiva in relation to mandibular anterior teeth region (Fig. 2D) and marginal gingiva in relation to the right maxillary posterior tooth region (Fig. 2E).

Figure 2

Intraoral images illustrating (A) a ruptured blister on the right buccal mucosa, (B) two discrete ulcers (indicated by arrows), one on the left buccal mucosa and on the palatal aspect of interdental papilla in relation to the region around tooth nos. 23 and 24, (C) a white-colored fibrin-like tissue tag on the floor of the mouth caused by the healing of ruptured bulla, (D) desquamation with multiple areas of erosion involving the marginal gingiva in relation to the mandibular anterior teeth, and (E) desquamation with areas of erosion involving the marginal gingiva in relation to the maxillary right posterior tooth region.

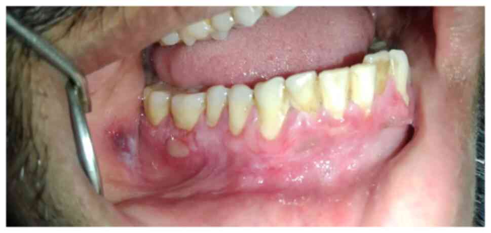
The intraoral examination also revealed a ruptured blister surrounded by a white lesion near the mucobuccal vestibule and an ulcer on the buccal aspect of the attached gingiva in relation to the region of tooth 46 (Fig. 3).

Figure 3

An intraoral examination revealed an ulcer on the labial aspect of attached gingiva and also a ruptured bulla on the right buccal mucosa.

The biopsied tissue from the perilesional site of the oral mucosa was placed in Michel medium (transport medium) at room temperature and stored. Biopsy specimens were washed for 30 min in phosphate-buffered saline (PBS) at pH 7.2. At -20˚C, embedding material (Jung tissue freezing medium, Leica Microsystems GmbH) was snap-frozen and 3-4-µ-thick sections were produced using a cryostat. A minimum of three portions were washed three times for 10 min with PBS and dried in air. A drop of FITC-regent-labeled antihuman IgG, IgM, IgA, complement C3, and fibrin was utilized. The slides were then incubated at 37˚C for 30 min in a humid environment and washed three times for 10 min with PBS to remove the conjugate. The slides were air-dried and mounted with glycerol that had been buffered at (pH 8). A reading was performed utilizing a fluorescence microscope (EVOS M5000 fluorescence Microscope, Thermo Fischer Scientific, Inc.).

The direct immunofluorescence analysis from the intact, unaffected site of his skin using the salt-split technique revealed the deposition of IgG and complemented C3 only along the epidermal side of the basal layer of the epithelium (Fig. 4). The titres for BP180 antibodies using ELISA (using the MBL Bion DSG 1 & DSG 3 ELISA TEST. SYSTEM) were 105.7 U/ml.

Figure 4

Direct immunofluorescence analysis on the intact unaffected site of his skin using the Salt-split technique revealed deposition of IgG only along the epidermal side of the basal layer of epithelium. The yellow arrow indicates immunofluorescence near the epidermal side of the basal layer of skin. Magnification, x20.

The patient again developed blisters and ulcers on the oral mucosa and gingiva after 2 years of terminating the prescribed methylprednisolone (12.5 mg) medication, which indicated the recurrent nature of the lesion. The patient was prescribed mycophenolate mofetil tablets 500 mg twice daily for 2 weeks as he is a known hypertensive. The patient was advised to undergo periodic follow-up sessions and evaluation.

Discussion

History of BP

BP was first differentiated from pemphigus in 1953 by Walter Lever. He described the histopathological hallmarks of pemphigus and the intraepidermal split formation and loss of cell adherence between keratinocytes (acantholysis). By contrast, he coined the term ‘pemphigoid’ for conditions where a sub-epidermal split formation was typically present (2). A decade later, Jordan et al (3) demonstrated that in BP, tissue-bound and serum autoantibodies against proteins of the dermal-epidermal junction (DEJ) were present. Further milestones in the understanding of BP included the immunochemical characterization of the hemidesmosome target proteins BP180 (type XVII collagen, also termed BPAG2) and BP230 (BPAG1-e), the cloning of their genes and the demonstration that autoantibodies against BP180 are pathogenic (3).

Pathogenesis of BP

The pathogenic importance of humoral and cellular autoimmunity against BP180 has been demonstrated. Fcγ receptor III and IV mediate tissue destruction in a Novel Adult Mouse Model of Bullous Pemphigoid. More specifically, complement activation at the DEJ and the activation of mast cells appears to be crucial for attracting neutrophils and macrophages at the DEJ. The subsequent release of reactive oxygen species and various proteases then induces dermal-epidermal splitting. Targeting mast cells, neutrophils, complement activation and the cytokine network may open novel therapeutic avenues for this disease (4).

Autoantibodies

In almost all patients with BP, autoantibodies bind to BP180 (type XVII collagen and BPAG2). The extracellular portion of the 16th non-collagenous domain (NC16A) located directly adjacent to the cellular membrane is the immunodominant region in BP and is recognized by autoantibodies in 75-90% of patients. The importance of anti-BP180 NC16A reactivity is further highlighted by the observation that serum levels of BP180 NC16A-specific IgG antibodies are associated with disease activity in patients with BP. IgG4 and IgG1 are the major IgG subclasses of anti-BP180 NC16A antibodies. The majority of patients also have increased levels of IgG antibodies against epitopes outside the NC16A domain, while initial reactivity appears to target NC16A. IgG reactivity with C-terminal epitopes appears to be associated with mucosal involvement and more severe skin disease, whereas the intracellular domain is preferentially targeted at an early clinical stage. The majority of patients with BP develop, apart from IgG, IgA and IgE anti-BP180 reactivity. IgE anti-BP180 NC16A antibodies are associated with a severe form of BP, a longer duration for remission, and the requirement for more intensive therapies (4).

BP230 (also known as BPAG1-e and BPAG1) is recognized by 50-70% of BP sera. As regards BP180, B-cell epitopes are not equally distributed on the molecule, but preferentially localize to the globular C-terminal domain of BP230. In addition to IgG reactivity, IgE antibodies against BP230 are detected in the majority of BP sera (4).

Cellular immune response

In contrast to the humoral immune response, the cellular immune response is less widely studied in human BP. T- and B-cell reactivity against the NH2-terminal portion of the BP180 ectodomain is associated with severe BP, while the central part is more frequently recognized in patients with limited disease. By contrast, combined T- and B-cell response against the COOH- and NH2-terminal globular domains of BP230 are found in <50% of cases. The response to the BP180 ectodomain is restricted to the DQβ1*0301 allele. Autoreactive T-cells in patients with BP produce a Th1/Th2 mixed cytokine profile. While the number of circulating CD4+CD25+FOXP3+ regulatory T-cells, natural killer T-cells, and natural killer cells are normal, γδT cell numbers are reduced in patients with BP. The number of peripheral follicular helper T-cells, a T-cell subset known to be pivotal for B-cell activation, is higher in patients with active disease compared to healthy volunteers and patients with BP in remission and is associated with serum levels of anti-BP180 antibodies (5).

Cytokines and chemokines

Elevated levels of IL-1β, IL-2, IL-4, IL-5, IL-6, IL-8, IL-10, IL-15, IL-16, IL-17, IL-21, eotaxin, monocyte chemotactic protein 4 (MCP-4), TNF-α and CCL-18 occur in the sera and blister fluids of patients with BP. Serum levels of TNF-α, IL-6, IL-8, IL-15, IL-21 and CCL18 are associated with the extent of BP skin lesions, pointing to a pathological relevance of these mediators. Furthermore, the assumption that Th2-type cytokines are essential in human BP is supported by the increased frequency of cutaneous lymphocyte-associated antigen-positive IL-4- and IL-13-producing cells in the peripheral blood. More recently, the potential role of Th17 cells in BP has been highlighted (6).

Functionally relevant pathogenic mechanisms

When cultured normal human keratinocytes were treated with anti-BP180 IgG, a signal-transducing event leading to a dose- and time-dependent release of IL-6 and IL-8 was observed. In the same model, the internalization and creased expression of BP180 and weakening of keratinocyte attachment in response to anti-BP180 IgG were observed. Recently, the release of IL-6 and IL-8 and reduction of the number of hemidesmosomes were also observed following incubation with anti-BP180 IgE. Using cryosections of normal human skin, BP180 NC16A-specific IgG induced a dermal-epidermal separation when co-incubated with leukocytes from healthy volunteers. This effect was mediated by the Fc portion of autoantibodies and the Fcγ receptors IIA and IIIA on human neutrophils, resulting in the release of matrix metalloproteinase-9 and neutrophil elastase. Both enzymes were found in blister fluid and lesional biopsies from patients with BP and were capable of degrading BP antigen 180(7).

Passive transfer of rabbit IgG raised against the murine homolog of the human BP180 NC16A domain into neonatal wild-type mice produced clinical, histopathological and immunopathological alterations similar to those observed in patients with BP. In this model, blister formation was dependent on complement activation, the degranulation of mast cells, the recruitment of macrophages and neutrophils, and the release of various proteases, including the plasminogen/plasmin system, mast cell proteinase 4, matrix metalloproteinase 9, α1-proteinase inhibitor and neutrophil elastase. More specifically, in the early stages of blistering, matrix metalloproteinase nine is mainly activated by plasmin, which is formed by the activation of plasminogen by tissue plasminogen activator and/or urokinase plasminogen activator. Plasmin and the mast cell-specific serine protease four can activate matrix metalloproteinase nine, which then inactivates α1-proteinase inhibitor, the physiological inhibitor of neutrophil elastase. The unrestrained activity of neutrophil elastase is responsible for the degradation of the DEJ structural proteins, including BP180(8). A recent passive transfer model in adult mice highlighted the importance of FcγR IIB, FcγR III and FcγR IV (9). Amongst these models, three distinct lines of transgenic mice that expressed human BP180 in murine skin elegantly replicated essential features of human BP (10). In one of these models, the complement dependency of experimental BP was questioned when the passive transfer of F(ab)2 fragments of human BP led to skin frangibility in Col17-humanized mice (11). Subsequently, two ‘active’ mouse models were developed that do not depend on the transfer of anti-BP180 antibodies: Wild-type mice were immunized with recombinant murine NC15A, and in the second model, Rag-2-/-/COL17m-/-,h+ mice (immunoexpression human BP180) received splenocytes from wild-type mice that had been immunized by grafting of COL17m-/-,h+ mouse skin and subsequently developed anti-BP180 antibodies and a blistering phenotype. In the latter model, the importance of NC16A-reactive CD4+ T-cells has corroborated previous in vitro studies with human cells that showed a restriction of NC16Areactive. CD4+ T cells to the HLA-DQB1*301 allele. In vivo evidence for the pathogenic role of IgE autoantibodies was provided by clinical observations and two additional mouse models. IgE Bullous pemphigoid 180 NC16A-specific antibodies were associated with more severe forms of human BP, associated with the extent of skin lesions. Individual corticosteroid-resistant BP patients responded well to omalizumab, a humanized monoclonal antibody that inhibits IgE binding to its high-affinity receptor (12).

In contrast to BP180, the pathogenic relevance of autoantibodies against BP230 remains elusive: Two animal models investigating the pathogenic relevance of antibodies to BP230 have been reported; however, blisters were not or were not consistently seen (13). Studies on the association of serum anti-BP230 autoantibodies with the disease have been contradictory, with the majority finding no association between serum anti-BP230 levels and disease activity (13). However, in BP230-/- mice, in addition to mild skin fragility, neurological defects with sensory neuron degeneration were developed, and thus highlighting the association between BP and neurological disorders; autoimmunity to BP230 may contribute not only to the skin phenotype in patients with BP, but also to the extracutaneous features (12).

The etiopathogenesis of bullous pemphigoid occurs in various steps that act concurrently without being dependent on each other. These include the following:

Complement activation. Complement activation occurs after the interaction of antibodies targeting hemidesmosomal glycoprotein antigens, namely BP180 and BP230(14).

Release of protease enzymes from neutrophils and eosinophils. Proteases enzymes are released from neutrophils and eosinophils independent of complement activation, and are recruited to the sites of inflammatory reaction in BP (14).

Micropinocytosis of anti-BP180 from keratinocytes. Anti-BP180 IgG may induce BP180 internalization from the keratinocyte cell membrane through micropinocytosis (1).

TNF-related weak inducer of apoptosis (TWEAK). TWEAK, a member of the TNF superfamily, and TWEAK/fibroblast growth factor-inducible 14 (Fn14) interaction aids in inducing blister formation in BP (15).

Eosinophils. Eosinophilic cationic protein, the major basic protein from eosinophils, activates the cytokines, IL-5, -4 and -13 that trigger immunological reactions in BP. Eosinophils have also been demonstrated to be the main source of tissue factor, an initiator of blood coagulation that favors coagulability of blood, leading to pulmonary embolism (15).

Intercellular adhesion molecule 1 (ICAM-1) on activated leukocytes. The expression of ICAM-1 on keratinocytes is induced in basal and lower suprabasal layers by IFN-γ and TNF-α, which are products released by lymphocytes infiltrating inflamed skin. Activated lymphocyte IFN-γ induces the keratinocyte expression of ICAM-1 and HLA-DR, promoting inflammatory and allergic epidermal responses (4,16).

Chymase from mast cells. Chymase is a 30-kDa monomeric protease stored in the same secretory granules as tryptase in the MCTC subset of mast cells. Chymase contributes to the splitting of the dermal-epidermal junction in BP (17). BP is a chronic autoimmune disorder that is caused by the production of autoantibodies targeted against BP180 and BP230, the hemidesmosomal proteins that help to connect the basement membrane and underlying connective tissue. The binding of antibodies to the basement membrane initiates the complement cascade with recruitment of neutrophils and eosinophils to the area (17).

Predisposing risk factors for BP

Several triggering or predisposing factors for BP include trauma, burns, skin grafting, radiotherapy and UV radiation including sunlight, UVA1, psoralen and UVA (PUVA) and photodynamic therapy. Furthermore, most frequently against influenza, BP occurs following vaccination for COVID-19 and influenza (18,19). Numerous case reports have described the triggering of BP by drugs, most frequently frusemide, least likely with spironolactone, phenothiazines with aliphatic side-chains and loop diuretics (20-22). The use of these drugs should thus be carefully evaluated. Various groups of drugs are more commonly implicated in the pathogenesis of BP and these are presented in Table I.

Table I

Drugs that have a high association with Bullous pemphigoid.

Table I

Drugs that have a high association with Bullous pemphigoid.

Drug groupDrug
Dipeptidyl peptidase IV InhibitorsLinagliptin, vidagliptin, alogliptin, anagliptin, teneligliptin
Check point inhibitors: Programmed cell death protein-1 (PD-1) and the programmed death ligand-1 (PD-L1)Pembrolizumab, nivolumab and durvalumab
Antineoplastic drug, kinase inhibitorsEverolimus
ImmunosupressantsTacrolimus
DiureticsThiazide diuretics, hydrochlorthiazide, chlorthalidone, spironolactone, frusemide
Antitubercular drugRifampicin
Antifungal drugsTerbinafine, griseofulvin
Non-steroidal anti-inflammatory drugsIbuprofen, aspirin, phenacetin (paracetamol)
Antibiotics-Penicillin GroupAmoxicillin, ampicillin
CephalosporinsCephalexin
FluoroquinolonesCiprofloxacin
SulfonamidesSulfasalazine
StatinsRosuvastatin

Lichen planus, psoriasis, multiple sclerosis, Alzheimer's disease, pre-existing coagulopathies, such as elevated D-dimer levels and the overexpression of tissue factors can result in increased risk for thromboembolic events, such as pulmonary embolism (2). COVID-19 mRNA vaccines also pose a risk for development of BO (2). Hematological malignancies, such as Hodgkin's lymphoma, non-follicular lymphoma, mature T/NK-cell lymphoma, non-Hodgkin's lymphoma, myeloid leukemia, and other types of cancer, such as gastric, renal, bladder, colorectal, prostate, laryngeal, non-small cell lung and breast cancers predispose to BP (22).

Clinical features

A prodromal non-bullous phase usually precedes the development of tense generalized blisters. This prodromal phase may last for several weeks or even months. At this stage, a clinical diagnosis is difficult. Pruritus, from mild to intractable, is typical and may even occur without skin lesions. In the prodromal phase, excoriated papules, eczematous, or urticarial lesions, hemorrhagic crusts and excoriations prevail. The bullous stage is characterized by intense pruritus accompanied by widespread tense blisters and vesicles on apparently normal or erythematous skin (23).

Frequently, partly hemorrhagic crusts and urticated and infiltrated erythematous plaques with an occasionally annular or figurate pattern are present for several centimeters and contain clear sometimes hemorrhagic exudates; Nikolsky's sign is negative. Pruritus, which may be incapacitating, is almost constantly present. Blisters are typically symmetrically distributed and may persist for several days. Following mechanical irritation, erosions and yellowish or hemorrhagic crusts develop. Predilection sites involve the flexural aspects of the limbs and abdomen. In the intertriginous areas, vegetating plaques may occur and oral lesions develop in 10-20% of cases. The mucosae of the eyes, nose, pharynx, esophagus, and anogenital areas are rarely affected. Without severe superinfection, all lesions heal without scarring. Erythema may persist at the sites of previous blisters for many weeks or months. Milia formation only rarely occurs (24).

Clinical variants of BP

Cutaneous manifestations of BP can be highly polymorphic. This notion has led to the description of several clinical variants. In all of these, direct immunofluorescence microscopy of a perilesional biopsy reveals linear deposits of IgG and/or C3 at the DEJ. At present, fine specificities of serum autoantibodies were not shown to differ from the classic form. Several clinical variants of BP have been described with a variety of different denominations, such as dyshidrosiform, prurigo nodularis-like, prurigo-like, erythrodermic, ecthyma gangrenosum-like, intertrigo-like, papular, eczematous, lymphomatoid papulosis-like, vegetating, vesicular and toxic epidermolysis-like pemphigoid. Some forms, such as prurigo-like, papular, eczematous, vesicular and erythrodermic pemphigoid may later develop into tense blisters and transform into the classical type (24). 20% of patients with BP present with the non-classical form at the time of diagnosis (24).

Localized BP

In some patients, the disease is limited to certain body parts, most frequently the lower extremities and notably, the pretibial area. In addition, other regions such as the flexures, palms, soles, genital area and the umbilicus have been described, as well as around stomata and hemodialysis fistulae. Localized lesions may remain localized or develop into classical BP (24).

Childhood BP

Two peaks of incidences of BP in childhood have been reported, in the first year of life (infantile BP) and around at the age of 8 years (24). Multiple cases with a close association with preceding vaccinations have been reported, most of these in infants. Due to the high rate of vaccinations in this age group, a causative relation is difficult to confirm. In infants, the distribution of the lesions is often acral, in particular palmar and plantar. In older children, the involvement of the genital region occurs in almost half of the cases. No immunopathological differences between BP in childhood and in adults have been reported (24). Autoantibodies mainly target the NC16A domain of BP180. Generally, infants and children with BP have a good prognosis with remissions within weeks to a few months under therapy. For treatment, systemic corticosteroids are usually combined with dapsone or sulfapyridine. The blisters may obtain a diameter; pruritus may be an initial early symptom of BP. Patients with BP may experience one episode or recurrent bouts of pruritus, which initially present as macules and papules (24). BP is self-limiting, but can last for months to years without therapy. This is followed by the development of multiple bullae on the skin, which eventually heal without scarring. The oral lesions of bullae are prone to rupture as a result of constant low-grade trauma by the teeth due to masticatory forces to which they are subjected, resulting in multiple shallow ulcers with distinct margins. Oral involvement in BP occurs in 15-20% of patients. The oral mucosal involvement in BP is less severe than skin involvement, forms more slowly over a period of time, is less painful, and the disease severity is expressed only when there is a loss of immunological tolerance. The gingival lesions consist of inflammation and desquamation with irregular areas of ulcer caused by the rupture of blisters (24). The various literature reviews on BP are presented in Table II (7,25-43).

Table II

Literature reviews on Bullous pemphigoid.

Table II

Literature reviews on Bullous pemphigoid.

AuthorYear of publicationStudy conclusion(Refs.)
Cohen2021Bullous pemphigoid is characterized by localized or widespread Pruritic tense subepidermal blisters which usually develop in flexural areas that are proximally located, such as the axilla and groin(25)
Deotto et al2022Bullous pemphigoid related to aging(26)
Niebel et al2022Bullous pemphigoid occurs in patients receiving immune checkpoint inhibitors for the treatment of melanoma, non-small cell lung cancer and cholangiocarcinoma (pembrolizumab, nivolumab, durvalumab, atezolizumab,(27)
Tsiogka et al2021Bullous pemphigoid was reported in patients treated with pemrolizumab, durvalumab, nivolimumab, anti-programmed cell death protein 1 and anti-programmed cell death ligand 1 therapy used in the treatment of patients with melanoma and non-small cell lung carcinoma(28)
Zheng et al2021Bullous pemphigoid was reported in a 62-year-old woman induced by apatinib mesylate prescribed for treatment of malignant breast cancer(29)
Pruessmann et al2021The immunomodulator, galectin-9, a chemoattractant from eosinophils was increased in blood and perilesional skin of patients with bullous pemphigoid(30)
Kridin et al2021Patients with bullous pemphigoid experience increased COVID-19-associated mortality and need to be monitored closely(31)
Kim et al2021Bullous pemphigoid occurred after 3 days on the thighs and buttocks of a 75-year-old male, who underwent total knee arthroplasty for knee pain after surgical placement of stryker posterior stabilized prosthesis(32)
Liu et al2020There exists a strong association of bullous pemphigoid with use of dipeptidyl peptidase IV inhibitors, aldosterone antagonists, and anticholinergics(33)
Genovese et al2019There exists an increased risk of thromboembolic events such as pulmonary embolism in bullous pemphigoid patients(7)
Tasanen et al2019Bullous pemphigoid in patients receiving dipeptidyl peptidase IV inhibitors(34)
Kridin and Bergman2018Reported bullous pemphigoid in diabetics receiving dipeptidyl peptidase IV inhibitors(35)
Hoffer et al2018Bullous pemphigoid was reported in a 77-year-old male, who was diagnosed with parkinsonism and was prescribed amantadine drug 100 mg three times daily after 3 weeks of drug therapy(36)
Hoffmann et al2018Bullous pemphigoid was reported in an 81-year-old patient who received adalimumab therapy for ulcerative colitis(37)
Jang et al2018Bullous pemphigoid was reported in a 78-year-old male with hepatitis C virus infection(38)
Flamm et al2017Gabapentin-induced bullous pemphigoid pruritic lesions on the skin of arm, leg and torso were reported in a 87-year-old male who was treated for diabetic neuropathy after 3 weeks of gabapentin treatment. The lesions involved the torso, but no facial skin and oral involvement were reported(39)
Mendonça et al2016Reported occurrence of three cases of bullous pemphigoid, one with linagliptin and two cases with vildagliptin(40)
Williams et al2013Mucous membrane pemphigoid was noted in a 78-year-old male, who was a known hypertensive and was under amlodipine medication. The skin reactions stopped after 6 weeks of terminating treatment with the anti-hypertensive drug, amlodipine(41)
Park et al2011Amlodipine is associated with bullous pemphigoid(42)
Monteagudo et al2008Bullous pemphigoid was reported after 30 days of treatment with amlodipine, a calcium channel blocker in a 70-year-old woman with known history of diabetes, hypertension and hypercholesterolemia(43)
Differential diagnosis

Bullous lichen planus, pemphigus, epidermolysis bullosa dystrophica, adverse drug reactions, chronic urticaria, erythema multiforme and BP are all associated with some form of skin blisters or sores. Bullous lichen planus caused by T-cell-mediated immune disorder is characterized by the presence of fine radiating purple-colored striae known as Wickham's striae in areas of preexisting lesions of lichen planus. The activation of CD8+ cells plays a pivotal role in bullous lichen planus. This is achieved either directly by an antigen binding to the major histocompatibility complex (MHC) class I on lesional keratinocytes or through activation from CD4+ cells. In addition, there are increased numbers of CD4+ and Langerhans cells. CD4+ cells are activated by antigens associated with MHC class II molecules, present in Langerhans cells and keratinocytes. These CD4+ T-cells activate CD8+ cells through receptor interaction and by the concurrent action of IL-2 and IFN-γ. IFN-γ, in turn, induces the production of TNF-α from keratinocytes, as well as an increase in class II MHC, resulting in increased interaction with helper T-cells. Furthermore, it induces the production of VCAM-1 and ICAM-1 by keratinocytes and dendritic/Langerhans cells, which facilitates lymphocyte adhesion to keratinocytes and results in keratinocyte apoptosis. Histologically, such lesions are confirmed by the presence of Civatte bodies, which represents apoptotic or dyskeratotic keratinocytes, and Max Joseph spaces, which represent the vacuolar degeneration of the basal layer that results in separate areas between the epidermis and dermis, ‘saw-tooth appearance’ caused by acanthosis and an increased granular cell layer (44).

Multiple mechanisms have been suggested to explain this apoptotic process: i) The expression of Fas-ligand on T-cell surface binds to FAS on keratinocytes; ii) TNF-α secretion by T-cells binds to the TNF-α receptor on keratinocytes; iii) the release of cytotoxic molecules, such as perforin and granzymes B that function together to trigger cell lysis (45).

Pemphigus results in large irregular areas of ulcers caused by flaccid or easily rupturable thin-walled bullae with extensive labial involvement, which is not observed in BP. Adverse drug reactions are an undesirable and a usually unanticipated response, independent of the intended therapeutic purpose of the medication, which may be either immunologic (i.e., drug allergy) or non-immunologic (i.e., drug intolerance) which accounts for 90% of the adverse drug reactions (46).

Chronic urticaria is most often idiopathic; however, 50% of cases have an autoimmune basis, characterized by triple response erythema caused by vasodilatation, increased vascular permeability (wheal) and axon reflex (flare) produced by the stimulation of cutaneous sensory nerve endings, with antidromic conduction of the impulse and release of the neurokinin substance P. Substance P is a vasodilator that causes the release of histamine and other mediators from cutaneous mast cells, thus augmenting the urticarial lesions (47).

Erythema multiforme is an acute, self-limited, inflammatory mucocutaneous disorder that manifests on the skin, oral mucosa and genitalia. Erythema multiforme is caused by infection with the herpes simplex virus (HSV), cytomegalovirus, retrovirus, influenza, pneumococci, hepatitis C virus and Rotavirus. Characteristically, lesions of erythema multiforme involve hemorrhagic crusting occurring on the vermilion border of the lip and target, or Bull's eye lesions occurring on the palms and soles, which is not observed in patients with BP (48).

Mucous membrane pemphigoid involves conjunctiva, resulting in scarring and adhesions between palpebral and bulbar conjunctiva termed symblepharon, inwardly placed eyelashes (entropion), inwardly positioned eyelashes injuring the cornea (trichiasis) and resulting in corneal scarring and blindness. No such scarring occurs in BP. The various diagnostic methods for BP are presented in (Table III). The methods for the management of BP are described in Table IV. Plasmapheresis and intravenous immunoglobulin also prove beneficial in recalcitrant cases of BP (48).

Table III

Diagnostic tests used for bullous pemphigoid.

Table III

Diagnostic tests used for bullous pemphigoid.

Diagnostic testsDetected antigens and antibodies
Direct immunofluorescence-salt-split skin technique-perilesional site from uninvolved skin transported in Mitchell's mediumGold standard for diagnosis of bullous pemphigoid. Reveals deposition of IgG and C3 bound in a linear band to the basement membrane
Histopathology-hematoxylin and eosin stainInflammatory infiltrate rich in eosinophils and neutrophils
Enzyme-linked immunosorbent assay (ELISA)To detect antibodies to the NC16A domain of BP180, also known as BPAG2

Table IV

Medical management of bullous pemphigoid.

Table IV

Medical management of bullous pemphigoid.

MedicationDosage
Prednisolone (Wysolone) tablets0.5-1 mg/kg body weight
Pulse therapy: Methylprednisolone (Zempred) tablets16 mg twice daily for two weeks, 10 mg for the third week, and 4 mg for the fourth week
Mycophenolate mofetil (CellCept) tablets500 mg twice daily for two weeks
Azathioprine (Imuran) tablets0.5-2 mg/kg/day once daily for two weeks
Doxycycline (Adoxa) tablets100 mg twice daily for 1 week
Tab. Dapsone (Acnesone)100 mg per day for 1 week
Rituximab (Truxima)1 g on day 1 and 14th day, 375 mg intravenously per week for 4 weeks
Omalizumab (Xolair)300 mg subcutaneously every 2-4 weeks
Dupilumab (Dupixent)300 mg subcutaneously every 2-4 weeks
Management guidelines for BP

The management guidelines proposed by the French reference centers for autoimmune bullous diseases, the British Association of Dermatologists, the German Dermatological Society, and the European Academy of Dermatology and Venereology for treating BP are presented in Table V (49).

Table V

Guidelines from the French reference centres for autoimmune bullous diseases, the British Association of Dermatologists, the German Dermatological Society, and the European Academy of Dermatology and Venereology for the treatment of bullous pemphigoid.

Table V

Guidelines from the French reference centres for autoimmune bullous diseases, the British Association of Dermatologists, the German Dermatological Society, and the European Academy of Dermatology and Venereology for the treatment of bullous pemphigoid.

Severity of bullous pemphigoidFirst-line drugsSecond-line drugs
Localized or mildPotent topical steroids, e.g., 0.1% flucinonide (Vanos), 0.05% diflorosane (Psorcon), 0.025% triamcinolone acetonide (Kenalog in orabase), 0.05% clobetasol (Temovate)-
ModerateVery potent topical corticosteroids on the whole-body surface 2 mg/dayVery potent topical corticosteroids on the whole body surface 2 mg/day plus (in alphabetical order): Azathioprine 2.5 mg/kg/day [with normal thiopurine methyl transferase (TPMT) activity] or Dapsone 1.0-1.5 mg/kg/day or doxycycline 200 mg/day ± nicotinamide 2 g/day or methotrexate 10-20 mg/week or mycophenolates (mofetil 2 g/day, gastro-resistant mycophenolic acid (Myfortic®) 1.44 g/day) or prednisolone 0.5 mg/kg/day tapering, with or without azathioprine, dapsone, doxycycline, methotrexate, mycophenolate mofetil (CellCept)
Severe or extensive bullous pemphigoidVery potent topical corticosteroids on the whole-body surface 2 mg/day plus azathioprine, dapsone, doxycycline, methotrexate, mycophenolates (see earlier) or very potent topical corticosteroids on the whole-body surface 1 mg/day plus prednisolone 0.5 mg/kg/day tapering, with or without azathioprine, dapsone, doxycycline, methotrexate, mycophenolatesIn case of insufficient response treat with oral prednisolone, increase dose to 0.75 mg/kg/day and, if still insufficient, to mg/kg/day plus immunosuppressants rituximab 375 mg/m2 1x/week for 4 consecutive weeks or 2x1 g in and interval of 2-3 weeks or intravenous immunoglobulin (IVIG) 2 g/kg every 4 weeks for 3-6 months followed by prolonged intervals of up to 6 weeks

[i] According to the guidelines, the exclusion criteria are as follows: Lactation age; age <18 years; active hepatitis B or C infection; HIV infection (<250 CD4 cells/l); cardiac failure (New York Heart Association grade IV); uncontrollable infections.

Measurement tools for the assessment of the treatment response to BP: BP disease area index (BPDAI)

Total BPDAI activity and total BPDAI damage are the two scores that the BPDAI tool computes. The three subcomponents of cutaneous blisters/erosions, cutaneous urticaria/erythema and mucosal blisters/erosions add to the total BPDAI activity score. The arithmetic sum of the elements evaluated regionally for damage brought on by more permanent features, such as post-inflammatory hyperpigmentation, scarring and others comprise the overall BPDAI damage score. BPDAI quantifies the lesion numbers and size thresholds. Based on the areas affected, lesions are rated. To more clearly distinguish the clinical response in BP, the BPDAI provides extra weight for the limbs and other skin regions most commonly affected by BP, while placing less focus on the scalp and face. The values for BPDAI total activity can range from 0 to 360 (with a maximum of 240 for total skin activity and 120 for mucosal activity), and for BPDAI damage, they can range from 0 to 12. Higher scores indicate more disease activity or damage. Additionally, BPDAI features a unique subjective measurement termed BPDAI-pruritus (50).

BPDAI-pruritis. A significant BP symptom that may indicate the beginning or relapse of the condition is pruritus. This severity is assessed using BPDAI-pruritus, a different subjective component of the BPDAI. A visual analog scale is used to rate the severity of pruritus, with 0 denoting no itching and 10 denoting the most intense itching. To indicate the degree of itching today, last week, and last month, the patient marks an ‘x’, yielding a total score of 30. Pruritus is deduced from the severity of excoriations, which is also graded on a 30-point scale in cases where the patient could not complete the grading correctly (51).

Autoimmune bullous skin disorder intensity score (ABSIS). For the measurement of disease activity in patients with blistering autoimmune illnesses, such as BP, the ABSIS (51). tool is frequently utilized. The palm of the patient's hand is set as 1% of the total body surface area when using ABSIS's Rule of Nines and Rule of Palms techniques. The weighting factors are 1.5 (erosive, exudative lesions, blisters), 1 (erosive, dry lesions) and 0.5 (erosive, dry lesions) and are added to the estimated proportion of body surface area involved (re-epithelialized lesions). Higher scores indicate more severe disease, with a total score from 0 to 206. In addition, it has sections for mucosal extent, skin involvement, and patient-reported mucosal discomfort, with a maximum score of 150 for skin involvement and an 11 for mucosal stretch (top score of 45) (51).

Physician Global Assessment (PGA). PGA is a 10-point Likert scale that ranges from 0 to 10, with 10 representing the best possible skin condition to the worst. The disease activity can be rated based on a general overall perception using this scoring method. The primary clinician also classifies patients as having mild, moderate, or severe illness (52).

Autoimmune bullous quality of life (ABQOL). The quality of life (QOL) unique to autoimmune bullous illness is assessed using the ABQOL, which has been found to have good validity and reliability. This 17-item questionnaire covers the physical toll of the disease, psychological impacts and effects on daily functioning. Every question carries a point value from 0 to 3, with higher scores indicating lower QOL. The ABQOL score cap is 51(53).

Treatment of autoimmune bullous quality of life (TABQOL). The risk of medical consequences and QOL degradation from the side-effects of autoimmune blistering diseases treatment are high. The TABQOL questionnaire is used to assess the burden related to autoimmune bullous disease-specific treatment effects. This 17-item questionnaire is similar to the ABQOL in that higher scores indicate a lower QOL due to treatment effects (54).

Eosinophil cationic protein (ECP). The severity of BP can be assessed using ECP, a chemoattractant protein released from eosinophils. A decrease in ECP concentrations of at least 12.8 ng/ml have a positive predictive value of 81% for remission, demonstrating that ECP serum fluctuation may be a valuable biomarker for identifying BP patients who are at risk of relapse (55).

In conclusion, BP is a chronic autoimmune disorder caused by antibodies targeting against BP180, a type XVII collagen, HD1 (BPAG1), a 230-kDa glycoprotein located on chromosome 6p11-6p12 and HD4 (BPAG2), a 180-kDa hemidesmosome glycoprotein located on chromosome 10q 24.3. BP is a chronic autoimmune disorder caused by antibodies targeting BP proteins BP180 and 230, resulting in blisters and multiple ulcers in the oral cavity. BP can increase the risk of thromboembolic events, such as pulmonary embolism. Patients with pre-existing hematological malignancies, such as leukemia, Hodgkin's lymphoma, mantle-cell lymphoma, and colorectal, breast, gastric and lung cancer are more prone to bullous pemphigoid lesions. The occurrence of BP in a patient must be thoroughly evaluated in such types of cancer, and treatment must be initiated on time. Such ulcers caused by BP exhibit chronicity and occur in multiple sites of the oral cavity. The treatment of this type of BP is challenging for the oral physician.

Acknowledgements

Not applicable.

Funding

Funding: No funding was received.

Availability of data and materials

The datasets used and/or analyzed during the current study are available from the corresponding author on reasonable request.

Authors' contributions

KRM was involved in the literature collection of the articles to be included in the literature review, as well as in the conception of the study. SMF was involved in the intellectual content of the study and in the study design. SPGS was involved in the conception of the study and in the literature collection of the articles to be included in the literature review. RPT was involved in the drafting of the manuscript and in the collection of the immunofluorescence images. KRM and RPT confirm the authenticity of all the raw data. All authors have read and approved the final manuscript.

Ethics approval and consent to participate

The patient provided informed consent to participate in the present study.

Patient consent for publication

Patient consent was obtained for the publication of his clinical images.

Competing interests

The authors declare they do not have no competing interests.

References

1 

Baigrie D and Nookala V: Bullous pemphigoid. StatPearls (Internet). StatPearls Publishing, Treasure Island, FL, 2022.

2 

LEVER WF: Pemphigus. Medicine (Baltimore). 32:1–123. 1953.PubMed/NCBI View Article : Google Scholar

3 

Jordan RE, Day NK, Sams WM Jr and Good RA: The complement system in bullous pemphigoid. I. Complement and component levels in sera and blister fluids. J Clin Invest. 52:1207–1214. 1973.PubMed/NCBI View Article : Google Scholar

4 

Cole C, Vinay K, Borradori L and Amber KT: Insights into the pathogenesis of bullous pemphigoid: The role of complement-independent mechanisms. Front Immunol. 13(912876)2022.PubMed/NCBI View Article : Google Scholar

5 

Sadik CD and Schmidt E: Resolution in bullous pemphigoid. Semin Immunopathol. 41:645–654. 2019.PubMed/NCBI View Article : Google Scholar

6 

Tabatabaei-Panah PS, Moravvej H, Aghaei S, Akbari M, Rajabi S, Kia A, Ebrahimi E, Sadaf Z, Atoon A, Behravesh N, et al: TH17/IL23 cytokine gene polymorphisms in bullous pemphigoid. Mol Genet Genomic Med. 8(e1519)2020.PubMed/NCBI View Article : Google Scholar

7 

Genovese G, Di Zenzo G, Cozzani E, Berti E, Cugno M and Marzano AV: New insights into the pathogenesis of bullous pemphigoid: 2019 update. Front Immunol. 10(1506)2019.PubMed/NCBI View Article : Google Scholar

8 

Kasperkiewicz M, Zillikens D and Schmidt E: Pemphigoid diseases: Pathogenesis, diagnosis, and treatment. Autoimmunity. 45:55–70. 2012.PubMed/NCBI View Article : Google Scholar

9 

Verbeek JS, Hirose S and Nishimura H: The complex association of FcγRIIb With autoimmune susceptibility. Front Immunol. 10(2061)2019.PubMed/NCBI View Article : Google Scholar

10 

Bournazos S and Ravetch JV: Fcγ receptor pathways during active and passive immunization. Immunol Rev. 268:88–103. 2015.PubMed/NCBI View Article : Google Scholar

11 

Ujiie H, Shibaki A, Nishie W, Sawamura D, Wang G, Tateishi Y, Li Q, Moriuchi R, Qiao H, Nakamura H, et al: A novel active mouse model for bullous pemphigoid targeting humanized pathogenic antigen. J Immunol. 184:2166–2174. 2010.PubMed/NCBI View Article : Google Scholar

12 

Franziska SK, Beckmann T, Nimmerjahn F, Ishiko A, Collin M, Köhl J, Goletz S, Zillikens D, Ludwig R and Schmidt E: Fcγ receptors III and IV mediate tissue destruction in a novel adult mouse model of bullous pemphigoid. Am J Pathol. 184:2185–2196. 2014.PubMed/NCBI View Article : Google Scholar

13 

Heimbach L, Li N, Diaz A and Liu Z: Experimental animal models of bullous pemphigoid. G Ital Dermatol Venereol. 144:423–431. 2009.PubMed/NCBI

14 

Hiroyasu S, Turner CT, Richardson KC and Granville DJ: Proteases in pemphigoid diseases. Front Immunol. 10(1454)2019.PubMed/NCBI View Article : Google Scholar

15 

Liu Y, Peng L, Li L, Liu C, Hu X, Xiao S and Xia Y: TWEAK/Fn14 activation contributes to the pathogenesis of bullous pemphigoid. J Invest Dermatol. 137:1512–1522. 2017.PubMed/NCBI View Article : Google Scholar

16 

Karashima T, Hachisuka H, Okubo K and Sasai Y: Epidermal keratinocytes of bullous pemphigoid express intercellular adhesion molecule-1 (ICAM-1). J Dermatol. 19:82–86. 1992.PubMed/NCBI View Article : Google Scholar

17 

Kaminska R, Naukkarinen A, Glinski W, Horsmanheimo M and Harvima IT: Mast cells in developing subepidermal bullous diseases: Emphasis on tryptase, chymase and protease inhibitors. Acta Derm Venereol. 79:351–355. 1999.PubMed/NCBI View Article : Google Scholar

18 

Maronese CA, Caproni M, Moltrasio C, Genovese G, Vezzoli P, Sena P, Previtali G, Cozzani E, Gasparini G, Parodi A, et al: Bullous pemphigoid associated with COVID-19 vaccines: An Italian multicentre study. Front Med (Lausanne). 9(841506)2022.PubMed/NCBI View Article : Google Scholar

19 

Aronson JK: Influenza vaccine. In: Meyler's Side Effects of Drugs: The International Encyclopedia of Adverse Drug Reactions and Interactions. Vol 7. 16th edition. Elsevier, pp98-106, 2016.

20 

Modeste AB, Cordel N, Courville P, Gilbert D, Lauret P and Joly P: Bullous pemphigoid induced by spironolactone. Ann Dermatol Venereol. 129:56–58. 2002.PubMed/NCBI(In French).

21 

Warner C, Kwak Y, Glover MHB and Davis LS: Bullous pemphigoid induced by hydrochlorothiazide therapy. J Drug Dermatol. 13:360–362. 2014.PubMed/NCBI

22 

Verheyden MJ, Bilgic A and Murrell DF: A systematic review of drug-induced pemphigoid. Acta Derm Venereol. 100(adv00224)2020.PubMed/NCBI View Article : Google Scholar

23 

Wofford J, Patel M, Readinger A and Menter A: Widespread dermal ulcerations and bullae. Proc (Bayl Univ Med Cent). 25:155–158. 2012.PubMed/NCBI View Article : Google Scholar

24 

Griffiths C, Barker J, Bleiker T, Chalmers R and Creamer D: Immunobullous diseases. In: Rook's Textbook of Dermatology. Vol 2. 9th edition. Wiley Blackwell Publishers, part 4, chapter 50, 2016.

25 

Cohen PR: Dyshidrosiform bullous pemphigoid. Medicina (Kaunas). 57(398)2021.PubMed/NCBI View Article : Google Scholar

26 

Deotto ML, Spiller A, Sernicola A and Alaibac M: Bullous pemphigoid: An immune disorder related to aging (Review). Exp Ther Med. 23(50)2022.PubMed/NCBI View Article : Google Scholar

27 

Niebel D, Wilsmann-Theis D, Bieber T, Berneburg M and Wenzel J: Braegelmann C: Bullous pemphigoid in patients receiving immune-checkpoint inhibitors and psoriatic patients-focus on clinical and histopathological variation. Dermatopathology (Basel). 9:60–81. 2022.PubMed/NCBI View Article : Google Scholar

28 

Tsiogka A, Bauer JW and Patsatsi A: Bullous pemphigoid associated with anti-programmed cell death protein 1 and anti-programmed cell death ligand 1 therapy: A review of the literature. Acta Derm Venereol. 101(adv00377)2021.PubMed/NCBI View Article : Google Scholar

29 

Zheng Q, Ma Y, Shen F, Wang Q, Song X, Jiang W and Xie S: Case of bullous pemphigoid induced by apatinib mesylate. Br J Clin Pharmacol. 87:2158–2159. 2021.PubMed/NCBI View Article : Google Scholar

30 

Pruessmann J, Pruessmann W, Holtsche MM, Linnemann B, Hammers CM, van Beek N, Zillikens D, Schmidt E and Sadik CD: Immunomodulator galectin-9 is increased in blood and skin of patients with bullous pemphigoid. Acta Derm Venereol. 101(adv00419)2021.PubMed/NCBI View Article : Google Scholar

31 

Kridin K, Schonmann Y, Weinstein O, Schmidt E, Ludwig RJ and Cohen AD: The risk of COVID-19 in patients with bullous pemphigoid and pemphigus: A population-based cohort study. J Am Acad Dermatol. 85:79–87. 2021.PubMed/NCBI View Article : Google Scholar

32 

Kim YB, Choi HS, Cho HK and Seo GW: Diagnosis and treatment of bullous pemphigoid that developed twice after total knee replacement arthroplasty: A case report. BMC Musculoskelet Disord. 22(118)2021.PubMed/NCBI View Article : Google Scholar

33 

Liu SD, Chen WT and Chi CC: Association between medication use and bullous pemphigoid: A systematic review and meta-analysis. JAMA Dermatol. 156:891–900. 2020.PubMed/NCBI View Article : Google Scholar

34 

Tasanen K, Varpuluoma O and Nishie W: Dipeptidyl peptidase-4 inhibitor-associated bullous pemphigoid. Front Immunol. 10(1238)2019.PubMed/NCBI View Article : Google Scholar

35 

Kridin K and Bergman R: Association of bullous pemphigoid with dipeptidyl-peptidase 4 inhibitors in patients with diabetes: Estimating the risk of the new agents and characterizing the patients. JAMA Dermatol. 154:1152–1158. 2018.PubMed/NCBI View Article : Google Scholar

36 

Hoffer S, Hategan A and Bourgeois JA: . Amantadine-associated bullous pemphigoid. J Clin Psychopharmacol. 38:394–395. 2018.PubMed/NCBI View Article : Google Scholar

37 

Hoffmann S, Berneburg M and Schreml S: Bullous pemphigoid associated with adalimumab therapy in a patient with ulcerative colitis. Case Rep Dermatol. 10:145–148. 2018.PubMed/NCBI View Article : Google Scholar

38 

Jang H, Jin YJ, Yoon CH, Kim CW and Kim L: Bullous pemphigoid associated with chronic hepatitis C virus infection in a hepatitis B virus endemic area: A case report. Medicine (Baltimore). 97(e0377)2018.PubMed/NCBI View Article : Google Scholar

39 

Flamm A, Sachdev S and Dufresne F: Gabapentin-induced bullous pemphigoid. J Am Osteopath Assoc. 117:191–193. 2017.PubMed/NCBI View Article : Google Scholar

40 

Mendonça FM, Martín-Gutierrez FJ, Ríos-Martín JJ and Camacho-Martinez F: Three cases of bullous pemphigoid associated with dipeptidyl peptidase-4 inhibitors-one due to linagliptin. Dermatology. 232:249–253. 2016.PubMed/NCBI View Article : Google Scholar

41 

Williams G, Goodwin R and Hughes D: Amlodipine as a cause of mucous membrane pemphigoid: First report of amlodipine as a causative agent in MMP. Eye (Lond). 27(1425)2013.PubMed/NCBI View Article : Google Scholar

42 

Park KY, Kim BJ and Kim MN: Amlodipine-associated bullous pemphigoid with erythema multiforme-like clinical features. Int J Dermatol. 50:637–639. 2011.PubMed/NCBI View Article : Google Scholar

43 

Monteagudo B, Heras C, Bouza P, Almagro M, Álvarez JC and Cacharrón JM: Bullous pemphigoid after treatment with amlodipine. Med Cutan Iber Lat Am. 36:308–311. 2008.

44 

Mukhopadhyay AK: Two eponyms in the histopathology of lichen planus: Creation and confusion. Indian J Dermatol Venereol Leprol. 88:270–273. 2022.PubMed/NCBI View Article : Google Scholar

45 

Yang M, Wu H, Zhao M, Chang C and Lu Q: The pathogenesis of bullous skin diseases. J Transl Autoimmun. 2(100014)2019.PubMed/NCBI View Article : Google Scholar

46 

Mozafari N, Ganji R and Toossi P: A rare new presentation of pemphigus vulgaris. Clin Case Rep. 10(e5979)2022.PubMed/NCBI View Article : Google Scholar

47 

Criado PR, Criado RF, Maruta CW and Reis VM: Chronic urticaria in adults: State-of-the-art in the new millennium. An Bras Dermatol. 90:74–89. 2015.PubMed/NCBI View Article : Google Scholar

48 

Kaur S and Handa S: Erythema multiforme following vaccination in an infant. Indian J Dermatol Venereol Leprol. 74:251–253. 2008.PubMed/NCBI View Article : Google Scholar

49 

Feliciani C, Joly P, Jonkman MF, Zambruno G, Zillikens D, Ioannides D, Kowalewski C, Jedlickova H, Kárpáti S, Marinovic B, et al: Management of bullous pemphigoid: The european dermatology forum consensus in collaboration with the european academy of dermatology and venereology. Br J Dermatol. 172:867–877. 2015.PubMed/NCBI View Article : Google Scholar

50 

Clapé A, Muller C, Gatouillat G, Le Jan S, Barbe C, Pham BN, Antonicelli F and Bernard P: Mucosal involvement in bullous pemphigoid is mostly associated with disease severity and to absence of Anti-BP230 autoantibody. Front Immunol. 9(479)2018.PubMed/NCBI View Article : Google Scholar

51 

Wijayanti A, Zhao CY, Boettiger D, Chiang YZ, Ishii N, Hashimoto T and Murrell DF: The reliability, validity and responsiveness of two disease scores (BPDAI and ABSIS) for bullous pemphigoid: Which one to use? Acta Derm Venereol. 97:24–31. 2017.PubMed/NCBI View Article : Google Scholar

52 

Pratasava V, Sahni VN, Suresh A, Huang S, Are A, Hsu S and Motaparthi K: Bullous pemphigoid and other pemphigoid dermatoses. Medicina (Kaunas). 57(1061)2021.PubMed/NCBI View Article : Google Scholar

53 

Sebaratnam DF, Okawa J, Payne A, Murrell DF and Werth VP: Reliability of the autoimmune bullous disease quality of life (ABQOL) questionnaire in the USA. Qual Life Res. 24:2257–2260. 2015.PubMed/NCBI View Article : Google Scholar

54 

Kouris A, Platsidaki E, Christodoulou C, Armyra K, Korkoliakou P, Stefanaki C, Tsatovidou R, Rigopoulos D and Kontochristopoulos G: Quality of life, depression, anxiety and loneliness in patients with bullous pemphigoid. A case control study. An Bras Dermatol. 91:601–603. 2016.PubMed/NCBI View Article : Google Scholar

55 

Giusti D, Gatouillat G, Le Jan S, Plée J, Bernard P, Antonicelli F and Pham BN: Eosinophil cationic protein (ECP), a predictive marker of bullous pemphigoid severity and outcome. Sci Rep. 7(4833)2017.PubMed/NCBI View Article : Google Scholar

Related Articles

  • Abstract
  • View
  • Download
Copy and paste a formatted citation
Spandidos Publications style
Rajaram Mohan K, Govindasamy Sugumar SP, Fenn SM and Pethagounder Thangavelu R: Recurrent bullous pemphigoid: A case report and literature review. World Acad Sci J 5: 8, 2023.
APA
Rajaram Mohan, K., Govindasamy Sugumar, S.P., Fenn, S.M., & Pethagounder Thangavelu, R. (2023). Recurrent bullous pemphigoid: A case report and literature review. World Academy of Sciences Journal, 5, 8. https://doi.org/10.3892/wasj.2023.185
MLA
Rajaram Mohan, K., Govindasamy Sugumar, S. P., Fenn, S. M., Pethagounder Thangavelu, R."Recurrent bullous pemphigoid: A case report and literature review". World Academy of Sciences Journal 5.1 (2023): 8.
Chicago
Rajaram Mohan, K., Govindasamy Sugumar, S. P., Fenn, S. M., Pethagounder Thangavelu, R."Recurrent bullous pemphigoid: A case report and literature review". World Academy of Sciences Journal 5, no. 1 (2023): 8. https://doi.org/10.3892/wasj.2023.185
Copy and paste a formatted citation
x
Spandidos Publications style
Rajaram Mohan K, Govindasamy Sugumar SP, Fenn SM and Pethagounder Thangavelu R: Recurrent bullous pemphigoid: A case report and literature review. World Acad Sci J 5: 8, 2023.
APA
Rajaram Mohan, K., Govindasamy Sugumar, S.P., Fenn, S.M., & Pethagounder Thangavelu, R. (2023). Recurrent bullous pemphigoid: A case report and literature review. World Academy of Sciences Journal, 5, 8. https://doi.org/10.3892/wasj.2023.185
MLA
Rajaram Mohan, K., Govindasamy Sugumar, S. P., Fenn, S. M., Pethagounder Thangavelu, R."Recurrent bullous pemphigoid: A case report and literature review". World Academy of Sciences Journal 5.1 (2023): 8.
Chicago
Rajaram Mohan, K., Govindasamy Sugumar, S. P., Fenn, S. M., Pethagounder Thangavelu, R."Recurrent bullous pemphigoid: A case report and literature review". World Academy of Sciences Journal 5, no. 1 (2023): 8. https://doi.org/10.3892/wasj.2023.185
Follow us
  • Twitter
  • LinkedIn
  • Facebook
About
  • Spandidos Publications
  • Careers
  • Cookie Policy
  • Privacy Policy
How can we help?
  • Help
  • Live Chat
  • Contact
  • Email to our Support Team