Spandidos Publications Logo
  • About
    • About Spandidos
    • Aims and Scopes
    • Abstracting and Indexing
    • Editorial Policies
    • Reprints and Permissions
    • Job Opportunities
    • Terms and Conditions
    • Contact
  • Journals
    • All Journals
    • Oncology Letters
      • Oncology Letters
      • Information for Authors
      • Editorial Policies
      • Editorial Board
      • Aims and Scope
      • Abstracting and Indexing
      • Bibliographic Information
      • Archive
    • International Journal of Oncology
      • International Journal of Oncology
      • Information for Authors
      • Editorial Policies
      • Editorial Board
      • Aims and Scope
      • Abstracting and Indexing
      • Bibliographic Information
      • Archive
    • Molecular and Clinical Oncology
      • Molecular and Clinical Oncology
      • Information for Authors
      • Editorial Policies
      • Editorial Board
      • Aims and Scope
      • Abstracting and Indexing
      • Bibliographic Information
      • Archive
    • Experimental and Therapeutic Medicine
      • Experimental and Therapeutic Medicine
      • Information for Authors
      • Editorial Policies
      • Editorial Board
      • Aims and Scope
      • Abstracting and Indexing
      • Bibliographic Information
      • Archive
    • International Journal of Molecular Medicine
      • International Journal of Molecular Medicine
      • Information for Authors
      • Editorial Policies
      • Editorial Board
      • Aims and Scope
      • Abstracting and Indexing
      • Bibliographic Information
      • Archive
    • Biomedical Reports
      • Biomedical Reports
      • Information for Authors
      • Editorial Policies
      • Editorial Board
      • Aims and Scope
      • Abstracting and Indexing
      • Bibliographic Information
      • Archive
    • Oncology Reports
      • Oncology Reports
      • Information for Authors
      • Editorial Policies
      • Editorial Board
      • Aims and Scope
      • Abstracting and Indexing
      • Bibliographic Information
      • Archive
    • Molecular Medicine Reports
      • Molecular Medicine Reports
      • Information for Authors
      • Editorial Policies
      • Editorial Board
      • Aims and Scope
      • Abstracting and Indexing
      • Bibliographic Information
      • Archive
    • World Academy of Sciences Journal
      • World Academy of Sciences Journal
      • Information for Authors
      • Editorial Policies
      • Editorial Board
      • Aims and Scope
      • Abstracting and Indexing
      • Bibliographic Information
      • Archive
    • International Journal of Functional Nutrition
      • International Journal of Functional Nutrition
      • Information for Authors
      • Editorial Policies
      • Editorial Board
      • Aims and Scope
      • Abstracting and Indexing
      • Bibliographic Information
      • Archive
    • International Journal of Epigenetics
      • International Journal of Epigenetics
      • Information for Authors
      • Editorial Policies
      • Editorial Board
      • Aims and Scope
      • Abstracting and Indexing
      • Bibliographic Information
      • Archive
    • Medicine International
      • Medicine International
      • Information for Authors
      • Editorial Policies
      • Editorial Board
      • Aims and Scope
      • Abstracting and Indexing
      • Bibliographic Information
      • Archive
  • Articles
  • Information
    • Information for Authors
    • Information for Reviewers
    • Information for Librarians
    • Information for Advertisers
    • Conferences
  • Language Editing
Spandidos Publications Logo
  • About
    • About Spandidos
    • Aims and Scopes
    • Abstracting and Indexing
    • Editorial Policies
    • Reprints and Permissions
    • Job Opportunities
    • Terms and Conditions
    • Contact
  • Journals
    • All Journals
    • Biomedical Reports
      • Information for Authors
      • Editorial Policies
      • Editorial Board
      • Aims and Scope
      • Abstracting and Indexing
      • Bibliographic Information
      • Archive
    • Experimental and Therapeutic Medicine
      • Information for Authors
      • Editorial Policies
      • Editorial Board
      • Aims and Scope
      • Abstracting and Indexing
      • Bibliographic Information
      • Archive
    • International Journal of Epigenetics
      • Information for Authors
      • Editorial Policies
      • Editorial Board
      • Aims and Scope
      • Abstracting and Indexing
      • Bibliographic Information
      • Archive
    • International Journal of Functional Nutrition
      • Information for Authors
      • Editorial Policies
      • Editorial Board
      • Aims and Scope
      • Abstracting and Indexing
      • Bibliographic Information
      • Archive
    • International Journal of Molecular Medicine
      • Information for Authors
      • Editorial Policies
      • Editorial Board
      • Aims and Scope
      • Abstracting and Indexing
      • Bibliographic Information
      • Archive
    • International Journal of Oncology
      • Information for Authors
      • Editorial Policies
      • Editorial Board
      • Aims and Scope
      • Abstracting and Indexing
      • Bibliographic Information
      • Archive
    • Medicine International
      • Information for Authors
      • Editorial Policies
      • Editorial Board
      • Aims and Scope
      • Abstracting and Indexing
      • Bibliographic Information
      • Archive
    • Molecular and Clinical Oncology
      • Information for Authors
      • Editorial Policies
      • Editorial Board
      • Aims and Scope
      • Abstracting and Indexing
      • Bibliographic Information
      • Archive
    • Molecular Medicine Reports
      • Information for Authors
      • Editorial Policies
      • Editorial Board
      • Aims and Scope
      • Abstracting and Indexing
      • Bibliographic Information
      • Archive
    • Oncology Letters
      • Information for Authors
      • Editorial Policies
      • Editorial Board
      • Aims and Scope
      • Abstracting and Indexing
      • Bibliographic Information
      • Archive
    • Oncology Reports
      • Information for Authors
      • Editorial Policies
      • Editorial Board
      • Aims and Scope
      • Abstracting and Indexing
      • Bibliographic Information
      • Archive
    • World Academy of Sciences Journal
      • Information for Authors
      • Editorial Policies
      • Editorial Board
      • Aims and Scope
      • Abstracting and Indexing
      • Bibliographic Information
      • Archive
  • Articles
  • Information
    • For Authors
    • For Reviewers
    • For Librarians
    • For Advertisers
    • Conferences
  • Language Editing
Login Register Submit
  • This site uses cookies
  • You can change your cookie settings at any time by following the instructions in our Cookie Policy. To find out more, you may read our Privacy Policy.

    I agree
Search articles by DOI, keyword, author or affiliation
Search
Advanced Search
presentation
World Academy of Sciences Journal
Join Editorial Board Propose a Special Issue
Print ISSN: 2632-2900 Online ISSN: 2632-2919
Journal Cover
March-April 2023 Volume 5 Issue 2

Full Size Image

Sign up for eToc alerts
Recommend to Library

Journals

International Journal of Molecular Medicine

International Journal of Molecular Medicine

International Journal of Molecular Medicine is an international journal devoted to molecular mechanisms of human disease.

International Journal of Oncology

International Journal of Oncology

International Journal of Oncology is an international journal devoted to oncology research and cancer treatment.

Molecular Medicine Reports

Molecular Medicine Reports

Covers molecular medicine topics such as pharmacology, pathology, genetics, neuroscience, infectious diseases, molecular cardiology, and molecular surgery.

Oncology Reports

Oncology Reports

Oncology Reports is an international journal devoted to fundamental and applied research in Oncology.

Experimental and Therapeutic Medicine

Experimental and Therapeutic Medicine

Experimental and Therapeutic Medicine is an international journal devoted to laboratory and clinical medicine.

Oncology Letters

Oncology Letters

Oncology Letters is an international journal devoted to Experimental and Clinical Oncology.

Biomedical Reports

Biomedical Reports

Explores a wide range of biological and medical fields, including pharmacology, genetics, microbiology, neuroscience, and molecular cardiology.

Molecular and Clinical Oncology

Molecular and Clinical Oncology

International journal addressing all aspects of oncology research, from tumorigenesis and oncogenes to chemotherapy and metastasis.

World Academy of Sciences Journal

World Academy of Sciences Journal

Multidisciplinary open-access journal spanning biochemistry, genetics, neuroscience, environmental health, and synthetic biology.

International Journal of Functional Nutrition

International Journal of Functional Nutrition

Open-access journal combining biochemistry, pharmacology, immunology, and genetics to advance health through functional nutrition.

International Journal of Epigenetics

International Journal of Epigenetics

Publishes open-access research on using epigenetics to advance understanding and treatment of human disease.

Medicine International

Medicine International

An International Open Access Journal Devoted to General Medicine.

Journal Cover
March-April 2023 Volume 5 Issue 2

Full Size Image

Sign up for eToc alerts
Recommend to Library

  • Article
  • Citations
    • Cite This Article
    • Download Citation
    • Create Citation Alert
    • Remove Citation Alert
    • Cited By
  • Similar Articles
    • Related Articles (in Spandidos Publications)
    • Similar Articles (Google Scholar)
    • Similar Articles (PubMed)
  • Download PDF
  • Download XML
  • View XML
Article Open Access

A crude methanolic extract from the parotoid gland secretion of Rhaebo guttatus stimulates the production of reactive species and pro‑inflammatory cytokines by peritoneal macrophages

  • Authors:
    • Sheila Rodrigues Do Nascimento Pelissari
    • Eloana Benassi Ribeiro De Souza
    • Valéria Dornelles Gindri Sinhorin
    • Domingos De Jesus Rodrigues
    • Lindsey Castoldi
    • Adilson Paulo Sinhorin
  • View Affiliations / Copyright

    Affiliations: Integrated Chemistry Research Laboratories, Post‑graduate Program in Environmental Sciences, Institute of Natural, Human and Social Sciences, Federal University of Mato Grosso (UFMT), Sinop Campus, 78550‑728 Sinop‑MT, Brazil, Integrated Chemistry Research Laboratories, Post‑graduate Program in Environmental Sciences, Institute of Natural, Human and Social Sciences, Federal University of Mato Grosso (UFMT), Sinop Campus, 78550‑728 Sinop‑MT, Brazil, Institute of Natural, Human and Social Sciences, Federal University of Mato Grosso (UFMT), Sinop Campus, 78550‑728 Sinop‑MT, Brazil, Institute of Health Sciences, Federal University of Mato Grosso (UFMT), Sinop Campus, 78550‑728 Sinop‑MT, Brazil
    Copyright: © Pelissari et al. This is an open access article distributed under the terms of Creative Commons Attribution License.
  • Article Number: 15
    |
    Published online on: March 31, 2023
       https://doi.org/10.3892/wasj.2023.192
  • Expand metrics +
Metrics: Total Views: 0 (Spandidos Publications: | PMC Statistics: )
Metrics: Total PDF Downloads: 0 (Spandidos Publications: | PMC Statistics: )
Cited By (CrossRef): 0 citations Loading Articles...

This article is mentioned in:


Abstract

The parotoid gland secretion of toads of the family Bufonidae contain numerous pharmacologically active biocompounds. Rhaebo guttatus (R. guttatus) is a common species of this family in Brazil; however, this species has been poorly studied. Thus, the present study aimed to assess the immunomodulatory activity of a methanol extract from the parotoid gland secretion of R. guttatus in Swiss mice. Non‑isogenic Swiss mice were administered (100 µl/mouse/day, orally) of the R. guttatus extract (8, 16, or 32 µg/ml), the vehicle (0.5% Tween‑20, vehicle group), or distilled water (control group) for 7 or 30 days. After the treatment period, the mice were sacrificed, and the hearts, liver, lungs and kidneys were removed for histopathological analysis. Cells from peritoneal lavage and spleen were used for immunological analyses. The results revealed that the treatment did not affect water or feed consumption or body weight of the mice. The lungs of mice treated with 8 µg/ml for 30 days exhibited a reduction in relative weight compared to those of the control group. Histopathological analysis revealed that the extract induced edema, blood clots and leukocyte infiltrates, mainly after 30 days at doses of 8 and 32 µg/ml. The administration of the extract promoted the production of the pro‑inflammatory cytokines, IL‑12 and TNF‑α, and reduced the production of IL‑10 and IL‑4. The spontaneous release of hydrogen peroxide by peritoneal macrophages was also induced in the mice treated with 16 µg/ml extract for 30 days. On the whole, the present study demonstrates that a crude methanolic extract from the parotoid gland secretion of R. guttatus has immunomodulatory activity and low toxicity, and may have potential as a stimulator of the immune system for immunosuppression conditions.

Introduction

The importance and biotechnological potential of natural products can be demonstrated by the investment in research of approximately $480 million in 2020 by the National Institutes of Health (NIH), and by the approval of >680 new chemical compounds with pharmacological activities of natural origin or those derived from natural products by the US Food and Drug Administration between 1981 and 2010 (1,2).

Natural products are chemically and structurally diverse and possess various biological activities, often with low toxicity and few side-effects (3). They can be obtained from a wide variety of sources, such as plants, microorganisms, algae, fungi, lichens and animals (3,4). Toxins and poisons from animals, mainly amphibians, are also used as alternative medicines (2), and ~47 species of amphibians are recognized for their medicinal use (5). Their poisons or skin secretions, which are used by the animal in defense against predators and infection, contain bioactive compounds, such as steroids, alkaloids, biogenic amines, guanidine derivatives, proteins and peptides (2,5), and various biological properties have been reported, such as trypanocidal, leishmanicidal, antibacterial, antifungal, antiproliferative, insecticide, antiviral, antitumor and cardiotonic activities (2,5).

Toads of the family Bufonidae have a cosmopolitan distribution, and several Bufonidae species in the genera Rhinella and Rhaebo are found in Brazil (2). Rhaebo guttatus (R. guttatus), a poisonous toad species, is found in tropical forests and open areas, mainly in the Amazon Basin (2,5,6). The chemical composition of its parotoid gland secretion and its biological effects are poorly understood (7). Previous studies have identified alkaloids (N-methyl-5-hidroxytryptamine, bufotenine and dehydrobufotenin) and steroids (3β,16β-dihydroxybufa-8(14),20,22-trienolide, marinobufagin and bufadienolides) in extracts obtained from the parotoid gland secretion of R. guttatus (7,8). Ferreira et al (8) demonstrated that extracts from the secretion of the parotoid gland of R. guttatus exhibit hemolytic and cytotoxic activity against tumor and non-tumor cells. Toxic activity against Plasmodium falciparum and phytopathogenic fungi has also been reported (9,10). Oliveira et al (11) observed that a methanolic extract from the parotoid gland secretion of R. guttatus exhibited both mutagenic and antimutagenic activities, indicating the need for further studies.

To enhance the current understanding of the biological effects of the compounds in the parotoid gland secretion of R. guttatus, the present study evaluated the activity of its crude methanolic extract (CME) on the immune system by analyzing its effects on cytokine production, lymphoproliferative activity and the production of reactive species by macrophages in vitro. In this manner, the present study aimed to contribute to bioprospecting studies and to the development of the bioeconomy.

Materials and methods

Poison collection and extract preparation

Adult (males and females, from 5 to 10 animals) R. guttatus were captured and identified by D.D.J.R. (a permanent license for the collection of zoological material has been obtained from IBAMA, SISBIO: 30034-1) in Nova Ubiratã, Mato Grosso, Brazil (13˚6'16.20" S 54˚25'51.01" W). The secretion from the parotoid gland was obtained through the manual compression of the glands. The secretion was dried, crushed and extracted by maceration with 99% methanol in an ultrasonic bath (Ultronique, Indaiatuba, Brazil) for 2 h to obtain a CME of parotoid gland secretion. The extract was filtered through filter paper (Unifil, Curitiba, Brazil), and then macerated twice more as described above. Finally, the extracts were pooled, and the solvent was rotary evaporated (IKA-Werke GmbH & Co. KG) at 40˚C and kept under vacuum in a desiccator at room temperature for 48 h. The obtained CME was stored at 4˚C. The experimental conditions were as previously described by Kerkhoff et al (5) and Sousa et al (2). The description of the chemical profile of CME was presented by Sousa et al (2).

Animals and experimental design

Male Swiss mice (mean weight, 35 g, 45 days old) obtained from the Central Bioterium of the Federal University of Mato Grosso, Cuiabá Campus were used in the experiment. The mice were housed in polyethylene boxes with a stainless-steel grid during the acclimatization (15 days) and experimental periods. They were divided into five groups of 6 mice in each and maintained under a 12-h light/dark cycle in a temperature-controlled room (24±1˚C, 55±2% relative humidity), with ad libitum access to food (Nuvilab) and filtered water. During the experimental period, the mice were administered water (control), 0.5% Tween-20 (vehicle), or various doses of the CME (8, 16 and 32 µg/ml) in a 100 µl volume per mouse per day via oral gavage for 7 or 30 days. The doses were selected based on the study by Oliveira et al (11). Aliquots were prepared in microtubes, diluted in 0.5% Tween-20 and stored at 4˚C. During the treatment period, the mice were observed daily for water and feed consumption. The body weight of the mice was measured at the beginning and end of the treatment period to assess body weight gain. At the end of the treatment period (24 h later), the mice were euthanized by cervical dislocation, and the lungs, heart, kidneys and liver were excised to evaluate their relative and absolute weight, and for use in histopathological analysis. Immunological analyses were performed using cells obtained from the spleen and peritoneal washes. The present study was registered in the National System for the Management of Genetic Heritage and Associated Traditional Knowledge (SISGEN) under no. A313DC9, and approved by the UFMT Ethics Committee on the Use of Animals (CEUA), under no. 23108.918243/2017-50.

Histopathological analysis

Fragments of the heart, liver, lungs and kidneys were harvested, and immediately fixed with 10% formaldehyde in sodium phosphate buffer (Synth, Diadema, Brazil), pH 7.4, at 4˚C for 24 h. Following dehydration with alcohol and clearing with xylol, the tissue fragments were embedded in paraffin, sectioned (5-µm-thick) using a HYRAX M60 microtome (Zeiss GmbH), deparaffinized and stained at room temperature (25˚C) with hematoxylin (1 min) and eosin (2 min) (MilliporeSigma) . The sections were examined under a AxioScope.A1 microscope (Zeiss GmbH). For the histopathological analysis, a score was generated (0-4) based on tissue edema, blood clots, leukocyte infiltrates and renal tubule damage, where 0 indicates no alterations and 4 indicates a high level of alteration (12).

Analysis of total splenic cell lymphoproliferation

The lymphoproliferation of total splenic cells was assessed using the 3-(4,5-dimethylthiazol-2-yl)-2 5-diphenyltetrazolium bromide (MTT) colorimetric assay (Cell Groth Determination kit, MTT based, MilliporeSigma, cat. no. CGD1) according to the manufacturer's recommendations. Briefly, the spleen was removed and transferred to a Petri dish containing RPMI-1640 medium (Cultilab) and macerated with a sieve and pistil. The cell suspension was then transferred to a falcon tube and centrifuged at 402 x g for 10 min at room temperature (25˚C). The cell pellet was resuspended in RPMI-1640 medium (500 µl) containing 20% fetal bovine serum (FBS; Cultilab), and the cell concentration was adjusted to 2x104 cells/ml as determined using a Newbauer chamber (Global New Optics) and the Trypan blue (Qhemis) exclusion method. The cells were transferred to a 96-well microplate, and the mitogen, concanavalin A (Con A; MilliporeSigma), or RPMI 20% FBS (basal) was added in triplicate. The plates were incubated for 36 h at 37˚C and 5% CO2. MTT reagent (100 µl) was then added to each well, and the plate was incubated at 37˚C and 5% CO2 for 4 h. Solubilizing solution (0.1 N HCl in anhydrous isopropanol) was added, and the absorbance was measured on an ELISA plate reader (BioClin Medical Electronics Co.) at 630 nm.

Analysis of cytokine levels

The levels of selected cytokines in the supernatant of total splenic cell cultures were evaluated using commercial ELISA kits (eBioscience; IL-12p70 cat. no. 88 7121 88, IFN-g cat. no. 88 7314 88, IL-4 cat. no. 88 7044 88, IL-10 cat. no. 88 7104 88, TNF-α cat. no. 88 7324 88, Thermo Fisher Scientific, Inc.) according to the manufacturer's protocol. For the measurement of interleukin (IL)-4 and IL-10 levels, the splenic cell culture was stimulated with the mitogen Con A (3.5 µg/ml) for 24 h. For the assessment of IL12p70 and tumor necrosis factor (TNF)-α levels, the culture was stimulated with a formalinized aqueous suspension of Staphylococcus aureus Cowan strain 1 (SAC, 1:5,000; MilliporeSigma) for 48 h. The absorbance of the samples was measured on an ELISA reader at 450 nm. The concentrations were estimated based on a standard curve of cytokine standards in the kit.

Harvesting of peritoneal macrophages

Following sacrifice, peritoneal macrophages were obtained in a Class II Safety Cabinet by the addition of 10 ml sterile, cold phosphate-buffered saline (PBS) to the peritoneal cavity. The abdomen was massaged for 30 sec, and the collected peritoneal fluid was transferred to 50 ml Falcon tubes. This procedure was performed twice, to obtain a total of 20 ml fluid, which was placed in an ice bath and then centrifuged (Novatecnica) at 402 x g and 4˚C for 10 min. The supernatant was discarded, and the pellet was resuspended in 1 ml RPMI-1640 medium containing 10% FBS. The cells in the peritoneal wash were counted in a Neubauer Chamber and adjusted to 2x106 cells/ml. The macrophages were plated in triplicate into 96-well microplates (100 µl/well) and incubated for 2 h at 37˚C and 5% CO2. Following incubation, the supernatant was removed, and the wells were washed with 100 µl RPMI. Subsequently, 200 µl RPMI containing 10% FBS were added to each well, and the cells were incubated at 37˚C and 5% CO2 for 36 h.

Assessment of spontaneous hydrogen peroxide (H2O2) release by peritoneal macrophages

The spontaneous production of H2O2 by peritoneal macrophages was assessed using the method developed by Pick and Mizel (13). The quantification of H2O2 is based on the horseradish peroxidase-dependent oxidation of phenol red by H2O2 into a compound that is assayed for its increased absorbance (13). Following incubation (37˚C and 5% CO2 for 36 h), the supernatant of the macrophage culture was collected and stored for nitric oxide (NO.) evaluation. To measure H2O2, 100 µl phenol red solution containing 140 mM NaCl, 10 mM K2HPO4, 5.5 mM dextrose and 5.5 mM peroxidase were added to the cell monolayer in the 96-well microplates. The plates were incubated at room temperature under a light for 60 min. The reaction was terminated by the addition of 10 µl of 1 M NaOH, and the absorbance of the solution at 630 nm was determined using an ELISA microplate reader. The blank was phenol red and 1 M NaOH. The amount of H2O2 produced by the macrophages was determined based on a standard curve of known H2O2 concentrations. The mean value of triplicate samples was calculated.

Assessment of NO. production by peritoneal macrophages

The NO. levels in the macrophage culture supernatant were assessed using the colorimetric method based on the Griess reaction, as previously described (14). Briefly, 100 µl Griess reagent [1% N-(1-Naphthyl) ethylenediamine dihydrochloride] in distilled water and 1% sulfanilamide diluted in 5% H3PO4 were added to the supernatants. The reagents were mixed in equal volumes at the time of the reaction. The absorbance of the samples at 492 nm was read on an ELISA reader. The blank was Griess reagent. The NO. levels were calculated based on a standard curve of known concentrations of NaNO2. The mean value of triplicate samples was calculated.

Statistical analysis

The present study was carried out in two independent experimental stages (A and B). The data were analyzed either separately or together when the data obtained in experiments A and B were homogeneous. The normal distribution of the data was assessed using the Kolmogorov and Smirnov test. One-way ANOVA followed by the Tukey-Kramer multiple comparisons test was used to assess the significance of differences between experimental groups. NO. production in experiment B at 30 days was analyzed using an unpaired t-test. All results are expressed as the mean ± standard deviation. A value of P<0.05 was considered to indicate a statistically significant difference.

Results

Effects of CME from the parotoid gland secretion of R. guttatus on body weight, food intake and organ weights

Body weight, food intake and organ weight were analyzed to assess the toxicity of the extract. These evaluations are important as toxic products usually induce changes in animal behavior, including a lack of appetite and a consequent reduction in body weight (15). As also previously reported by Oliveira et al (11), there were no significant differences between the groups as regards water and feed consumption (data not shown) or body weight gain (Table I). Although the relative weight of the lungs was reduced in the mice treated with 8 µg/ml CME for 30 days (8 µg/ml, 0.49±0.05; control, 0.62±0.09), the absolute and relative weights of the other organs did not differ significantly when compared to the control groups (control and vehicle; Table I).

Table I

Body weight gain and organ weights (absolute and relative) of Swiss mice treated with a crude methanolic extract of R. guttatus toad poison via daily gavage for 7 or 30 days.

Table I

Body weight gain and organ weights (absolute and relative) of Swiss mice treated with a crude methanolic extract of R. guttatus toad poison via daily gavage for 7 or 30 days.

7 days
 Absolute weight of organsRelative weight of organs
Group (n=6/group)Weight gainLiverKidneyLungHeartLiverKidneyLungHeart
Control1.32±5.142.28±0.470.63±0.100.27±0.060.22±0.045.50±0.601.47±0.320.63±0.170.50±0.07
Vehicle-0.74±8.972.18±0.450.53±0.090.28±0.100.20±0.045.13±0.841.24±0.160.68±0.270.46±0.04
8 µg/ml2.53±3.992.16±0.290.48±0.070.23±0.030.18±0.035.26±0.391.18±0.160.55±0.050.45±0.04
16 µg/ml2.19±8.502.19±0.360.54±0.140.23±0.060.19±0.045.44±0.751.36±0.330.58±0.140.48±0.09
32 µg/ml-1.48±8.862.30±0.270.60±0.040.29±0.020.25±0.034.53±0.281.18±0.050.58±0.070.50±0.03
30 days
 Absolute weight of organsRelative weight of organs
Group (n=6/group)Weight gainLiverKidneyLungHeartLiverKidneyLungHeart
Control1.67±6.652.21±0.440.52±0.060.27±0.040.20±0.034.99±0.571.18±0.150.62±0.090.45±0.07
Vehicle2.57±5.912.34±0.220.53±0.150.27±0.040.24±0.095.10±0.381.14±0.260.59±0.050.53±0.21
8 µg/ml1.76±4.742.68±0.340.66±0.090.25±0.040.23±0.045.33±0.671.31±0.18 0.49±0.05a0.47±0.05
16 µg/ml4.83±1.902.27±0.200.63±0.080.27±0.030.24±0.034.57±0.271.26±0.140.53±0.060.48±0.05
32 µg/ml1.33±2.772.50±0.160.59±0.060.29±0.020.22±0.015.05±0.251.19±0.160.58±0.040.45±0.03

[i] The data, shown in grams, are the mean ± standard deviation. The relative weights of the organs refers to the absolute weight of the organ relative to the body weight of the mouse. One-way ANOVA was performed, followed by the Tukey-Kramer multiple comparisons test.

[ii] aP<0.05 vs. the control group.

Histopathological changes induced by CME from the parotoid gland secretion of R. guttatus

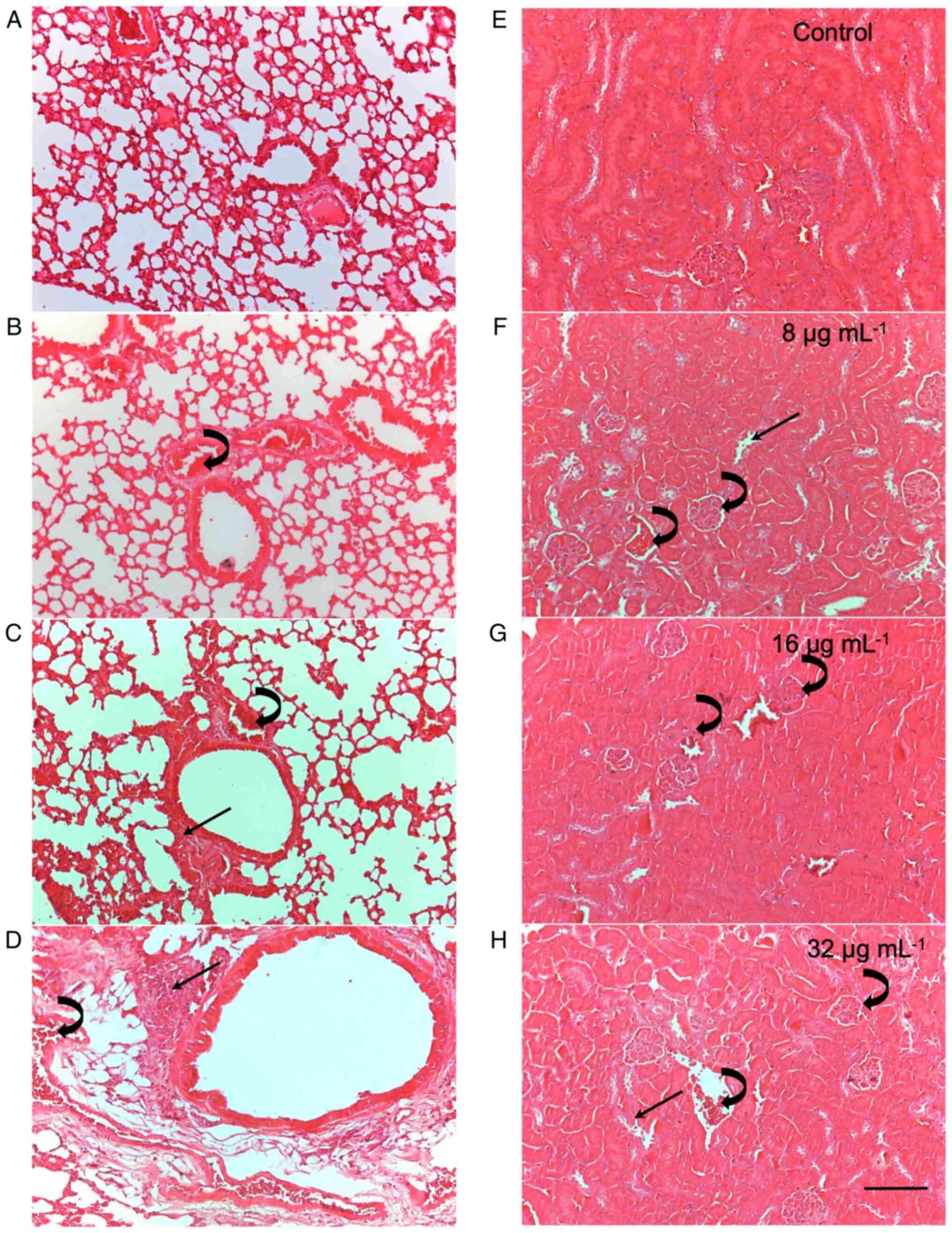
The results of the histopathological analysis are presented in Table II and Fig. 1 (that illustrates the histopathological analysis of the lungs and kidneys as a representative example of tissue damage considered in the study). Histopathological analysis of the heart, liver, kidneys and lungs revealed that treatment with CME from the parotoid gland secretion of R. guttatus induced changes in these tissues, including edema, intravascular clots, damage to the architecture of the renal tubules and leukocyte infiltrates. After 7 days of treatment, changes in all evaluated organs were observed, with predominant edema and mild leukocyte infiltrates (score 1). At this time point, the kidneys and lungs were the most affected, as they had a greater number of alterations; the most intense alterations were in the lungs, with scores of 2 and 3. After 30 days of treatment, the tissue changes increased both in number and severity, with the lungs and kidneys being the most affected organs. Tissue damage was more noticeable after 30 days of treatment, particularly at doses of 8 and 32 µg/ml.

Figure 1

Histopathological analysis (hematoxylin and eosin staining) of (A-D) lungs and (E-H) kidneys from Swiss mice following treatment with various doses of a methanol extract of parotoid gland secretion of Rhaebo guttatus via daily gavage for 30 days. Mice treated with water (control group, A and E) showed no damage to the tissue architecture. Mice treated with (B and F) 8 µg/ml, (C and G) 16 µg/ml and (D and H) 32 µg/ml of R. guttatus extract presented tissue edema (curved arrows) and leukocyte infiltrates (arrows). Scale bar, 100 µm.

Table II

Histopathological analysis of organs from Swiss mice treated with a CME of R. guttatus toad poison via daily gavage for 7 or 30 days.

Table II

Histopathological analysis of organs from Swiss mice treated with a CME of R. guttatus toad poison via daily gavage for 7 or 30 days.

7 days
  Organ analyzed 
 HeartLiverLungsKidneys 
GroupEdemaBlood clotsLeukocyte infiltratesEdemaBlood clotsLeukocyte infiltratesEdemaBlood clotsLeukocyte infiltratesEdemaBlood clotsTubular damageTotal score
Control0000000000000
Vehicle0000000000000
8 µg/ml1 (5/6)001 (4/6)001 (4/6)01 (4/6)1 (6/6)1 (3/6)05.8
       2 (2/6) 2 (2/6)    
16 µg/ml1 (5/6)001 (2/6)001 (6/6)01 (2/6)1 (6/6)1 (3/6)05.2
         2 (4/6)    
32 µg/ml1 (6/6)01 (2/6)1 (5/6)01 (2/6)1 (4/6)1 (2/6)1 (1/6)1 (6/6)1 (6/6)1 (1/6)8.5
       2 (2/6) 2 (3/6)    
         3 (2/6)    
30 days
  Organ analyzed 
 HeartLiverLungsKidneys 
GroupEdemaBlood clotsLeukocyte infiltratesEdemaBlood clotsLeukocyte infiltratesEdemaBlood clotsLeukocyte infiltratesEdemaBlood clotsTubular damageTotal score
Control0000000000000
Vehicle0000000000000
8 µg/ml1 (6/6)1 (3/6)1 (2/6)1 (5/6)01 (4/6)1 (5/6)1 (4/6)1 (1/6)1 (6/6)1 (6/6)1 (3/6)9.6
       2 (1/6) 2 (4/6)    
         3 (1/6)    
16 µg/ml1 (6/6)001 (4/6)001 (6/6)1 (3/6)1 (1/6)1 (6/6)1 (6/6)07.1
         2 (5/6)    
32 µg/ml1 (6/6)1 (4/6)1 (3/6)1 (5/6)01 (4/6)1 (3/6)1 (6/6)2 (3/6)1 (6/6)1 (4/6)1 (5/6)14.2
   2 (3/6)2 (1/6) 2 (2/6)2 (3/6) 3 (3/6) 2 (2/6)2 (1/6) 

[i] Histopathological analysis was performed, and the results are reported as a score of 0-4, with 0 indicating the absence of alterations and 4 indicating the presence of high rates of alterations. The numbers of mice that presented the indicated score in relation to the total number of mice in the group are presented in parentheses. The total score is the sum of the scores of each mouse in the group in relation to the total number of mice.

Immunomodulatory activity of CME from the parotoid gland secretion of R. guttatus

The immunomodulatory activity of the CME from the parotoid gland secretion of R. guttatus was evaluated based on the lymphoproliferative response and cytokine production of splenocytes from mice treated with the CME from the parotoid gland secretion of R. guttatus for 7 and 30 days. In addition, the capacity of peritoneal macrophages to generate NO. and H2O2 in vitro was also evaluated.

Treatment with various doses of the extract did not markedly alter the lymphoproliferative capacity of the total splenocytes compared to the control groups at the two evaluated time points (7 and 30 days; Fig. 2).

Figure 2

Percentage of total splenic cell lymphoproliferation from Swiss mice treated with different doses of a methanol extract of parotoid gland secretion of Rhaebo guttatus toad via daily gavage for 7 or 30 days. Values are the mean ± standard deviation.

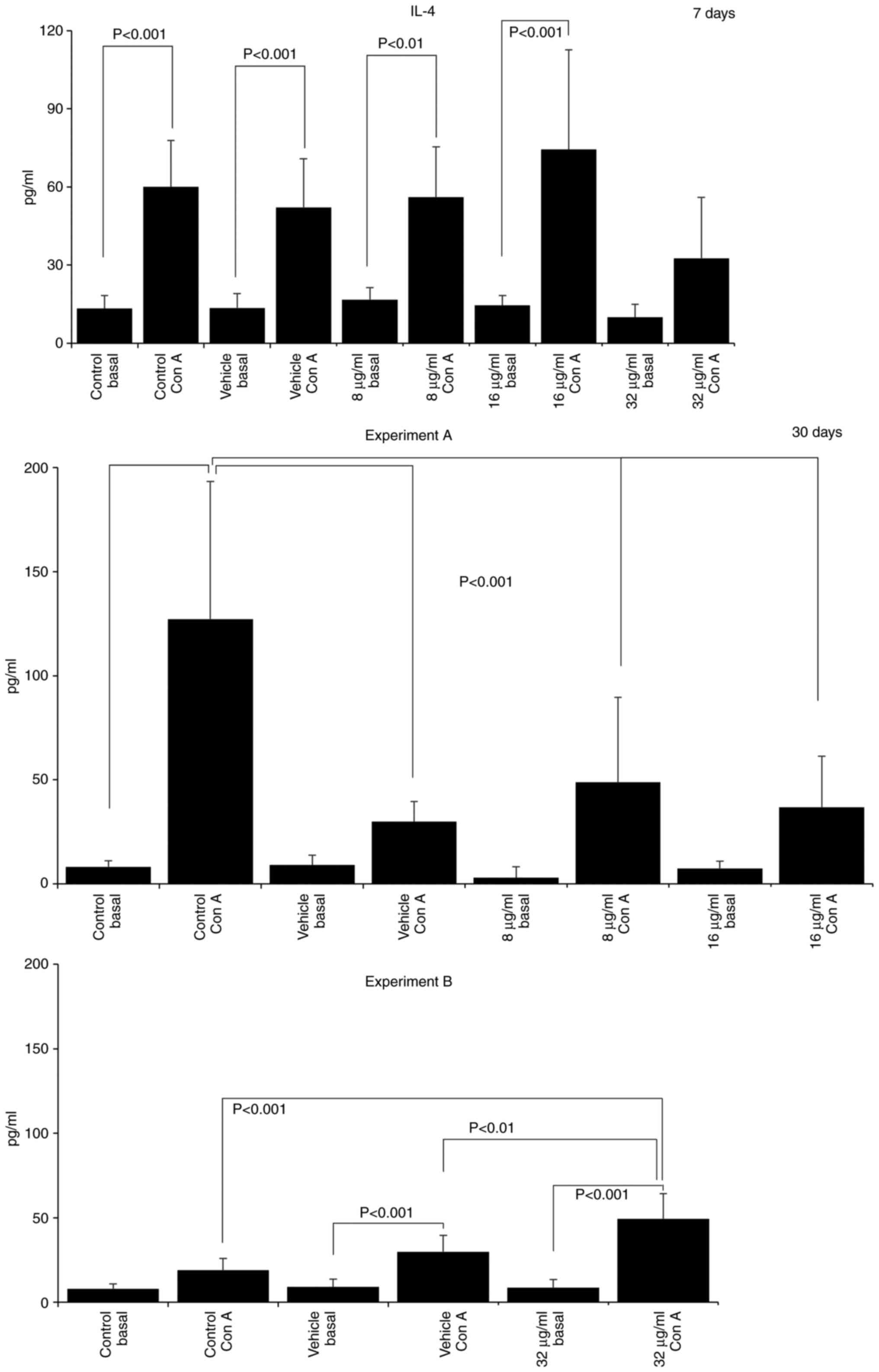
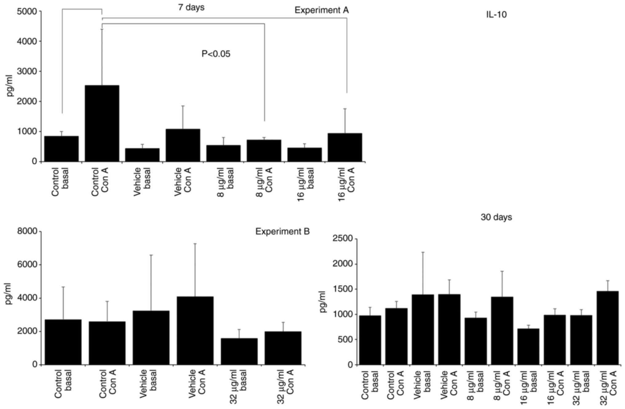
The assessment of cytokine production revealed that treatment with the extract induced a pro-inflammatory profile, with increases in the IL-12 and TNF-α levels, and decreases in the IL-4 and IL-10 levels. After 7 days of treatment with 16 µg/ml CME, IL-12 production increased (SAC control, 268.10±263.47; vehicle SAC, 186.27±245.10; 16 µg/ml SAC, 647.78±98.73; Fig. 3) and IL-10 production decreased (Con A control, 2532.50±1863.00; 16 µg/ml Con A, 935.00±816.93; Fig. 4). IL-10 production was also decreased in the group treated with 8 µg/ml CME (8 µg/ml Con A, 720.00±79.06; Fig. 4). Treatment of the mice with 32 µg/ml CME for 30 days increased the production of IL-12 (basal control, 34.65±15.41; vehicle, 77.27±67.34; 32 µg/ml basal, 310.69±100.72; Fig. 3), TNF-α (basal control, 6.52±9.50; 32 µg/ml basal, 33.32±9.21; Fig. 3) and IL-4 (Con A control, 19.01±6.82; vehicle Con A, 29.83±9.69; 32 µg/ml Con A, 49.37±14.90; Fig. 5). However, the administration of 8 and 16 µg/ml CME reduced IL-4 production at the same time point (Con A control, 127.22±66.02; 8 µg/ml Con A, 48.76±40.93; 16 µg/ml Con A, 36.82±24.41; Fig. 5).

Figure 3

Production of TNF-α and IL-12 by total splenic cells from Swiss mice treated with various doses of a methanol extract of parotoid gland secretion of Rhaebo guttatus toad via daily gavage for 7 or 30 days. Values are the mean ± standard deviation. Cytokines were quantified in the supernatant of cells stimulated with SAC (a formalinized aqueous suspension of Staphylococcus aureus, 1:5,000) or not (basal) for 48 h. The results were analyzed using one-way ANOVA followed by the Tukey-Kramer multiple comparisons test.

Figure 4

Production of IL-10 by total splenic cells from Swiss mice treated with various doses of a methanol extract of parotoid gland secretion of Rhaebo guttatus toad via daily gavage for 7 or 30 days. Values are the mean ± standard deviation. Cytokine levels were quantified in the supernatant of a cell culture stimulated with the mitogen concanavalin A (Con A, 3.5 µg/ml) or not (basal) for 24 h. Two independent 7-day treatment experiments (Experiments A and B) were performed, and the results were analyzed using one-way ANOVA followed by the Tukey-Kramer multiple comparisons test.

Figure 5

IL-4 production by total splenic cells from Swiss mice treated daily with various doses of a methanol extract of parotoid gland secretion of Rhaebo guttatus toad via daily gavage for 7 or 30 days. Values are the mean ± standard deviation. Cytokine levels were quantified in the supernatant of cells stimulated with the mitogen concanavalin A (Con A, 3.5 µg/ml) or not (basal) for 24 h. Two independent 30-day treatment experiments (Experiments A and B) were performed. The results were analyzed using one-way ANOVA followed by the Tukey-Kramer multiple comparisons test.

The assessment of H2O2 and NO. production by macrophages is a method of evaluating their effector function. Macrophages are essential components of the innate immune response, as they respond rapidly to pathogenic stimulation and signs of tissue damage (16,17). The production of reactive oxygen and nitrogen species is a part of their antimicrobial mechanism (18). Herein, the effect of the CME from the parotoid gland secretion of R. guttatus on the production of H2O2 and NO. by macrophages was more evident with a longer treatment duration; there were no marked differences between the groups at 7 days (Figs. 6 and 7), whereas at 30 days, an increased H2O2 production was observed in the groups treated with 16 µg/ml extract (control, 0.18±0.07; 16 µg/ml, 0.47±0.14; Fig. 6) and reduced production of H2O2 (vehicle, 0.41±0.24, 8 µg/ml, 0.11±0.08; Fig. 6) and NO. (vehicle, 81.82±5.28; 16 µg/ml, 71.06±7.38; Fig. 7) in the group treated with 8 and 16 µg/ml CME, respectively.

Figure 6

H2O2 produced by peritoneal macrophages from Swiss mice treated with various doses of a methanol extract of parotoid gland secretion of Rhaebo guttatus toad via daily gavage for 7 or 30 days. Values are the mean ± standard deviation. H2O2 was quantified using the method developed by Pick and Mizel (13), and the results were analyzed using one-way ANOVA followed by the Tukey-Kramer multiple comparisons test. H2O2, hydrogen peroxide.

Figure 7

(NO.) produced by peritoneal macrophages from Swiss mice treated with various doses of methanol extract of parotoid gland secretion of Rhaebo guttatus toad via daily gavage for 7 or 30 days. Values are the mean ± standard deviation. The NO. concentration in the culture supernatant was quantified using the colorimetric method based on the Griess reaction. Two independent 30-day treatment experiments (Experiments A and B) were performed, and the results of experiment B with 30 day-treated macrophages were analyzed using an unpaired t-test. NO., nitric oxide.

Discussion

The present study demonstrated that a CME from the parotoid gland secretion of R. guttatus stimulated peritoneal macrophages to produce H2O2 and the pro-inflammatory cytokines, IL-12 and TNF-α. The extract also reduced the production of the anti-inflammatory cytokines, IL-10 and IL-4. To the best of our knowledge, this is the first study to explore the immunomodulatory potential of an extract obtained from the poison of this toad species.

The pharmacological effects of the chemical compounds isolated from the glandular secretions of frogs have been studied for a long time (2). For thousands of years, Chansu, an aqueous extract obtained from the post-auricular and skin glands of Bufo chansa gargarizans Cantor, has been used as a Traditional Chinese Medicine for the treatment of various conditions, such as swelling, pain, and heart failure and, more recently, for cancers of the liver, lung, colon, pancreas and stomach (19-21). In Brazil, the most extensively studied amphibian-derived skin secretions are from Rhinella marina (R. marina; Cururu toad), which contains compounds, such as marinobufagin, telecinobufagin, bufalin, marinobufotoxin, cholesterol, dehydrobufotenine, and suberoyl arginine (2,22,23). A variety of biological effects have been attributed to the compounds in R. marina skin secretions extracts, including cytotoxic, immunomodulatory, antifungal, antimutagenic, and anti-plasmodial activities (9-11,22-25).

In addition to R. marina, another common frog species in Brazil is R. guttatus, particularly in the Amazon Basin; however the compounds in their skin secretions are poorly characterized (2,5). Some compounds were identified, such as N-methyl-5-hidroxytryptamine, bufotenine, dehydrobufotenine, 3β,16 β-dihydroxybufa-8(14),20,22-trienolide, marinobufagin, and bufatrienolides (2,7,8), and biological effects have been reported in the literature, including cytotoxic, anti-plasmodial, fungicidal, hemolytic and antimutagenic activities (8-11).

In the present study, it was observed that the administration of a CME of R. guttatus to mice did not alter food and water consumption or body weight. This was also observed in the study by Oliveira et al (11), as well as in a study using extracts from other species, such as R. marina (23). Although the absolute and relative organ weights were similar among the test groups, the relative weight of the lungs was reduced in mice treated with 8 µg/ml extract for 30 days. Histopathological analysis indicated that the lungs and kidneys were the organs most affected by treatment with the CME, with edema, leukocyte infiltrates and blood clots. These effects were more prominent at 30 days and in the groups treated with 8 and 32 µg/ml CME. These results indicated that this CME of R. guttatus had low toxicity in the mice, since the tissue alteration scores were low (1 and 2) and were not accompanied by macroscopic or behavioral alterations. However, treatments >30 days may aggravate tissue damage and may impair lung and kidney function.

The authors have previously found that the administration of a R. guttatus CME increased the levels of thiobarbituric acid reactive substances in the livers of mice, which was accompanied by the increased activity of glutathione-S-transferase (GST) and decreased levels of reduced glutathione (GSH) (unpublished data). These data indicate that substances present in the parotoid gland secretion activate lipid peroxidation and induce an imbalance in the protective antioxidants GSH and GST, corroborating the histopathological changes observed in the present study. The livers of animals treated with various doses of R. guttatus CME also exhibited histological alterations indicative of local inflammation, such as the presence of edema and leukocyte infiltrates. The metabolites of hepatotoxic drugs can trigger the production of pro-inflammatory cytokines, such as TNF-α, IL-1β and IL-6, resulting in liver injury (26,28). Thus, the histopathological findings are in accordance with the effects of CME on the production of pro-inflammatory cytokines and the spontaneous release of H2O2. Treatment of mice with 16 µg/ml of the extract increased IL-12 production by splenocytes stimulated with SAC (at 7 days), stimulated the spontaneous release of H2O2 by peritoneal macrophages (at 30 days), and inhibited the production of IL-10 and IL-4 by splenocytes stimulated with Con A (at 7 and 30 days, respectively), as well as NO. release from macrophages. At 30 days, the basal production of TNF-α and IL-12 increased in the mice treated with 32 µg/ml of the extract. Treatment with 8 µg/ml of the extract inhibited the production of H2O2 (at 30 days), IL-10 (at 7 days) and IL-4 (at 30 days). Taken together, these results demonstrate that the CME of R. guttatus induced a pro-inflammatory state in treated mice, by promoting the production of IL-12 and TNF-α and inhibiting the production of IL-4 and IL-10.

TNF-α is a pro-inflammatory cytokine produced mainly by macrophages that regulates several cellular functions, such as leukocyte activation, cytokine and chemokine production, and the release of reactive oxygen and nitrogen species (29). It is one of the main inflammation-inducing cytokines and promotes vascular changes, such as the activation of endothelial cells, increased vascular permeability and vasodilation, and leukocyte influx, in addition to being a potent neutrophil activator (18,29,30). IL-12 is also produced by macrophages and is considered to function as a bridge between the innate and specific immune responses by promoting the cell-mediated response, including differentiation of T-helper (Th) 1 and cytotoxic T-lymphocytes, and the activation of microbicidal functions and the oxidative burst of macrophages via interferon-γ (IFN-γ)-induced feedback (18,30,31). The oxidative burst results from the formation of active NADPH oxidase within the macrophage phagolysosome, resulting in increased oxygen consumption (18). This generates superoxide anion radicals in the lumen of the phagolysosome, which are converted to H2O2 by superoxide dismutase (18). In the present study, the mitogenic stimulus (SAC) was commonly used to stimulate macrophages in vitro and measure the subsequent IL-12 and TNF-α production as it is rich in immunostimulant components, such as peptidoglycans and lipoteichoic acid (32). Thus, the results revealed that the compounds present in the CME of R. guttatus are able to modulate the function of macrophages to a pro-inflammatory profile, characteristic of M1-type cells.

Treatment with the extract also led to decreases in IL-10, IL-4 and NO. production. IL-10 is an anti-inflammatory cytokine produced by diverse cells, including macrophages and T-lymphocytes (30). IL-10 inhibits the production of cytokines, such as IL-12, TNF-α and IFN-γ, by activated phagocytes and T-lymphocytes, and reduces lymphocyte activation by inhibiting antigen presentation by dendritic cells and macrophages (30,33). IL-4 is produced by T-lymphocytes, mast cells, basophils and eosinophils, and, in contrast to the effects of IL-12, IL-4 favors the differentiation of Th 2 lymphocytes, characteristic of the humoral response of allergic inflammation and parasitic infection (30,34). The Th 2 response-promoting effect of IL-4 results in inhibition of the Th 1 response and, consequently, in the decreased production of IL-12, TNF-α and IFN-γ (33). In addition, IL-4 suppresses macrophage activity, inhibiting the microbicidal activity of the cell, including the production of NO. (18,33). Thus, these effects are in accordance with the results obtained in the present study and reinforce the pro-inflammatory effect of the compounds present in the extract.

However, the administration of 32 µg/ml extract promoted IL-4 production by splenocytes stimulated with Con A after 30 days of treatment. Despite the inhibitory effect of IL-4 on the Th 1 cellular response and its anti-inflammatory character, this cytokine is a key cofactor in the production of IL-12 and IFN-γ, which are characteristic of the Th 1 profile (35,36). Some studies have shown that a lack of IL-4 results in the development of a deficient Th 1 response, with impairs responses to tumors and infections caused by Candida albicans and Leishmania major (35,36). Thus, the increased production of IL-4, observed in the present study, may also have contributed to the development of the pro-inflammatory profile.

The results of the present study are reinforced by similar findings in previous studies on bufadienolides obtained from other amphibian species, including the promotion of the Th 1 response (37), the differentiation of M1 macrophages (38), and the stimulation of IL-12 and TNF-α (38) and reactive oxygen species (39,40).

Finally, it should be noted that the dose of 16 µg/ml CME induced the most prominent immunomodulatory response with the lowest histopathological damage score, corroborating the observation that intermediate doses are optimal as they induce immunological responses with maximum effector action (41).

In conclusion, the results of the present study demonstrated that a CME of R. guttatus has low toxicity in Swiss mice and an immunomodulatory effect; it promotes the development of a pro-inflammatory response. Further studies are required however, to identify the main compounds and intracellular pathways involved in this process. Thus, R. guttatus is a promising species for bioprospecting studies, particularly for conditions in which stimulation of the immune response is advantageous, such as neoplastic diseases.

Nature is a rich source of diverse bioactive compounds. As an example, the marine algal polysaccharides with several pharmaceutical activities have already been described, including antioxidant, anti-inflammatory, immunomodulatory and antidiabetic effects, being beneficial to human health and nutrition (42). Thus, studies with natural products become essential for the development of the bioeconomy.

Acknowledgements

The authors would like to thank Dr Amilcar Sabino Damazo, Department of Basic Science in Health, Faculty of Medical Sciences, Federal University of Mato Grosso, Cuiabá, Brazil, for his assistance in the histopathological analysis.

Funding

Funding: The authors wish to acknowledged the CAPES Foundation for the availability of a scholarship.

Availability of data and materials

The datasets generated and analyzed during the current study are available from the corresponding author on reasonable request.

Authors' contributions

VDGS, DDJR, LC and APS conceived the study and designed the experiments. VDGS and LC participated in the design and interpretation of the data. SRDNP, EBRDS and LC performed the experiments and the data analysis. LC and VDGS wrote the manuscript and participated in the manuscript revisions. LC, SRNP and EBRS confirm the authenticity of all the raw data. All authors have read and approved the final manuscript.

Ethics approval and consent to participate

The present study was registered in the National System for the Management of Genetic Heritage and Associated Traditional Knowledge (SISGEN) under no. A313DC9, and approved by the UFMT Ethics Committee on the Use of Animals (CEUA), under no. 23108.918243/2017-50.

Patient consent for publication

Not applicable.

Competing interests

The authors declare that they have no competing interests.

References

1 

Still P, Chen W, Weber W and Hopp DC: NCCIH priorities for natural products research. Planta Med. 88:698–701. 2022.PubMed/NCBI View Article : Google Scholar

2 

Sousa LQ, Machado KC, Oliveira SFC, Araújo LS, Monção-Filho ES, Melo-Cavalcante AM, Vieira-Júnior GM and Ferreira PMP: Bufadienolides from amphibians: A promising source of anticâncer prototypes for radical innovation, apoptosis triggering and Na+/K+-ATPase inhibition. Toxicon. 127:63–76. 2017.PubMed/NCBI View Article : Google Scholar

3 

Deng LJ, Qi M, Li N, Lei YH, Zhang DM and Chen JX: Natural products and their derivatives: Promising modulators of tumor immunotherapy. J Leukoc Biol. 108:493–508. 2019.PubMed/NCBI View Article : Google Scholar

4 

Ekiert HM and Szopa A: Biological activities of natural products II. Molecules. 27(1519)2022.PubMed/NCBI View Article : Google Scholar

5 

Kerkhoff J, Noronha JC, Bonfilio R, Sinhorin AP, Rodrigues DJ, Chaves MH and Junior GMV: Quantification of bufadienolides in the poisons of Rhinella marina and Rhaebo guttatus by HPLC-UV. Toxicon. 119:311–318. 2016.PubMed/NCBI View Article : Google Scholar

6 

Lötters S, De la Riva I, Reichle S and Soto G: First records of Bufo guttatus from Bolivia with comments on Bufo glaberrimus (Amphibia: Bufonidae). Bonner Zoologische Beiträege. 49:75–78. 2000.

7 

Souza EBR, Júnior PT, Vasconcelos LG, Rodrigues DJ, Sinhorin VDG, Kerkhoff J, Pelissari SRN and Sinhorin AP: Comparative study of the chemical profile of the parotoid gland secretions from Rhaebo guttatus from different regions of the Brazilian Amazon. Toxicon. 179:101–106. 2020.PubMed/NCBI View Article : Google Scholar

8 

Ferreira PMP, Lima DJB, Debiasi BW, Soares BM, Machado KC, Noronha JC, Rodrigues DJ, Sinhorin AP, Pessoa C and Vieira GM Jr: Antiproliferative activity of Rhinella marina and Rhaebo guttatus venom extracts from Southern Amazon. Toxicon. 72:43–51. 2013.PubMed/NCBI View Article : Google Scholar

9 

Banfi FF, Guedes KES, Andrighetti CR, Aguiar AC, Debiasi BW, Noronha JAC, Rodrigues DJ, Júnior GMV and Sanchez BAM: Antiplasmodial and cytotoxic activities of toad poisons from southern amazon, Brazil. Korean J Parasitol. 54:415–421. 2016.PubMed/NCBI View Article : Google Scholar

10 

Raasch-Fernandes LD, Bonaldo SM, Rodrigues DJ, Ferrarini SR, Verçosa AGA and Oliveira DL: In vitro antimicrobial activity of methanolic extracts from cutaneous secretions of Amazonian amphibians against phytopathogens of agricultural interest. Acta Amazonica. 51:145–155. 2021.

11 

Oliveira AF, Castoldi L, Vieira Jr GM, Filho ES, Chaves MH, Rodriques DJ and Sugui MM: Evaluation of antimutagenic and cytotoxic activity of skin secretion extract of Rhinella marina and Rhaebo guttatus (Anura, Bufonidae). Acta Amazonica. 49:145–151. 2019.

12 

Duan W, Chan JH, Wong CH, Leung BP and Wong WS: Anti-inflammatory effects of mitogen-activated protein kinase Amazonia inhibitor U0126 in an asthma mouse model. J Immunol. 172:7053–7059. 2004.PubMed/NCBI View Article : Google Scholar

13 

Pick E and Mizel D: Rapid microassays for the measurement of superoxide and hydrogen peroxide production by macrophages in culture using an automatic enzyme immunoassay reader. J Immunol Methods. 46:211–226. 1981.PubMed/NCBI View Article : Google Scholar

14 

Green LC, De Luzuriaga KR, Wagner DA, Rand W, Istfan N, Young VR and Tannenbaum SR: Nitrate biosynthesis in man. Proc Natl Acad Sci USA. 78:7764–7768. 1981.PubMed/NCBI View Article : Google Scholar

15 

Pires OC, Taquemasa AVC, Akisue G, Oliveira FO and Araújo CEP: Preliminary comparative analysis of the acute toxicity and median lethal dose (DL50) of the fruit of the Brazilian Black Pepper (Schinus terebinthifolius Raddi) and Black pepper (Piper nigrum L.). Acta Farm Bonaerense. 23:176–182. 2004.

16 

Kolliniati O, Ieronymaki E, Vergadi E and Tsatsanis C: Metabolic regulation of macrophage activation. J Innate Immun. 14:51–67. 2022.PubMed/NCBI View Article : Google Scholar

17 

Locati M, Curtale G and Mantovani A: Diversity, mechanisms and significance of macrophage plasticity. Annu Rev Pathol. 15:123–147. 2020.PubMed/NCBI View Article : Google Scholar

18 

Lendeckel U, Venz S and Wolke C: Macrophages: Shapes and functions. ChemTexts. 8(12)2022.PubMed/NCBI View Article : Google Scholar

19 

Qi F, Li A, Inagaki Y, Xu H, Wang D, Cui X, Zhang L, Kokudo N, Du G and Tang W: Induction of apoptosis by cinobufacini preparation through mitochondria- and Fas-mediated caspase-dependent pathways in human hepatocellular carcinoma cells. Food Chem Toxicol. 50:295–302. 2021.PubMed/NCBI View Article : Google Scholar

20 

Wie X, Si N, Zhang Y, Zhao H, Yang J, Wang H, Wang L, Han L and Bian B: Evaluation of bufadienolides as the main antitumor components in cinobufacin injection for liver and gastric cancer therapy. PLoS One. 12(e0169141)2017.PubMed/NCBI View Article : Google Scholar

21 

Yin JH, Zhu XY, Shi WD and Liu LM: Huachansu injection inhibits metastasis of pancreatic cancer in mice model of human tumor xenograft. BMC Complement Altern Med. 14(483)2014.PubMed/NCBI View Article : Google Scholar

22 

Pelissari SRN, Sinhorin VDG, Castoldi L, Vasconcelos LG, Rodrigues DJ, Ribeiro EBS, Kerkhoff J and Sinhorin AP: Methanolic extract of Rhinella marina poison: Chemical composition, antioxidant and immunomodulatory activities. J Braz Chem Soc. 32:1584–1597. 2021.

23 

Filho ESM, Chaves MH, Ferreira PMP, Pessoa C, Lima DJB, Maranhão SSA, Rodrigues DJ and Júnior GMV: Cytotocity potencial of chemical constituents isolated and derivatised from Rhinella marina venon. Toxicon. 194:37–43. 2021.PubMed/NCBI View Article : Google Scholar

24 

Machado KC, Sousa LQ, Lima DJB, Soares BM, Cavalcanti BC, Maranhão SSA, Noronha JC, Rodrigues DJ, Militão GCG, Chaves MH, et al: Marinobufagin, a molecule from poisonous frogs, causes biochemical, morphological and cell cycle changes in human neoplasms and vegetal cells. Toxicol Lett. 285:121–131. 2018.PubMed/NCBI View Article : Google Scholar

25 

Schmeda-Hirschmann G, Quispe C, Arana GV, Theoduloz C, Urra FA and Cárdenas C: Antiproliferative activity and chemical composition of the venom from the Amazonian toad Rhinella marina (Anura: Bufonidae). Toxicon. 121:119–129. 2016.PubMed/NCBI View Article : Google Scholar

26 

Schemitt EG, Hartmann RM, Colares JR, Licks F, Salvi JO, Marroni CA and Marroni NP: Protective action of glutamine in rats with severe acute liver failure. World J Hepatol. 11:273–286. 2019.PubMed/NCBI View Article : Google Scholar

27 

Zakaria Z, Othman ZA, Suleiman JB, Jalil NAC, Ghazali WSW, Nna VU and Mohamed M: Hepatoprotective effect of bee bread in metabolic dysfunction-associated fatty liver disease (MAFLD) rats: Impact on oxidative stress and inflammation. Antioxidants (Basel). 10(2031)2021.PubMed/NCBI View Article : Google Scholar

28 

Ijaz MU, Shahad MS, Samad A, Ashraf A, Al-Ghanim K, Mruthinti SS and Mahboob S: Tangeretin ameliorates bisphenol induced hepatocyte injury by inhibiting inflammation and oxidative stress. Saudi J Biol Sci. 29:1375–1379. 2022.PubMed/NCBI View Article : Google Scholar

29 

Lona JMF, Martínez MS, Alarcón GV, Rodas AB and Bello JR: Tumor necrosis factor alfa (TNF-α) in cardiovascular diseases: Molecular biology and genetics. Gac Méd Mex. 149:521–530. 2013.PubMed/NCBI(In Spanish).

30 

Borish LC and Steinke JW: 2. Cytokines and chemokines. J Allergy Clin Immunol. 111:S460–S475. 2003.PubMed/NCBI View Article : Google Scholar

31 

Trinchieri G: Interleukin-12 and the regulation of innate resistance and adaptive immunity. Nat Rev Immunol. 3:133–146. 2003.PubMed/NCBI View Article : Google Scholar

32 

Zhu FG and Pisetsky DS: Role of the heat shock protein 90 in immune response stimulation by bacterial DNA and synthetic oligonucleotides. Infect Immun. 69:5546–5552. 2011.PubMed/NCBI View Article : Google Scholar

33 

Opal SM and DePalo VA: Anti-inflammatory cytokines. Chest. 117:1162–1172. 2000.PubMed/NCBI View Article : Google Scholar

34 

Iwaszko M, Bialy S and Bogunia-Kubik K: Significance of interleukin (IL)-4 and IL-13 in inflammatory arthritis. Cells. 10(3000)2021.PubMed/NCBI View Article : Google Scholar

35 

Morris SC, Orekhova T, Meadows MJ, Heidorn SM, Yang J and Finkelman FD: IL-4 induces in vivo production of IFN-gamma by NK and NKT cells. J Immunol. 176:5299–5305. 2006.PubMed/NCBI View Article : Google Scholar

36 

Kalinski P, Smits HH, Schuitemaker JHN, Vieira PL, Eijk MV, Jong EC, Wierenga EA and Kapsenberg ML: IL-4 is a madiator of IL-12p70 induction by human Th2 cells: Reversal of polarized Th2 phenotype by dendrict cells. J Immunol. 165:1877–1881. 2000.PubMed/NCBI View Article : Google Scholar

37 

Wu SC, Fu BD, Shen HQ, Yi PF, Zhang LY, Lv S, Guo X, Xia F, Wu XL and Wei XB: Telocinobufagin enhances the Th1 immune response and protects against Salmonella typhimurium infection. Int Immunopharmacol. 25:353–362. 2015.PubMed/NCBI View Article : Google Scholar

38 

Yu Z, Li Y, Li Y, Zhang J, Li M, Ji L, Tang Y, Zheng Y, Sheng J, Han Q, et al: Bufalin stimulates antitumor immune response by driving tumor-infiltrating macrophage toward M1 phenotype in hepatocellular carcinoma. J Immunother Cancer. 10(e004297)2022.PubMed/NCBI View Article : Google Scholar

39 

Khalaf FK, Dube P, Kleinhenz AL, Malhotra D, Gohara A, Drummond CA, Tian J, Haller ST, Xie Z and Kennedy DJ: Proinflammatory effects of cardiotonic steroids mediated by NKA α-1 (Na+/K+-ATPase α-1)/Src complex in renal epithelial cells and immune cells. Hypertension. 74:73–82. 2019.PubMed/NCBI View Article : Google Scholar

40 

Khalaf FK, Tassavvor I, Mohamed A, Chen Y, Malhotra D, Xie Z, Tian J, Haller ST, Westfall K, Tang WHW and Kennedy DJ: Epithelial and endothelial adhesion of immune cells is enhanced by cardiotonic steroid signiling through Na+/K+-ATPase-α-1. J Am Heart Assoc. 9(e013933)2020.PubMed/NCBI View Article : Google Scholar

41 

Abbas AK, Lichtman AH and Pillai S: Imunologia celular e molecular (ed.) Elsevier Brasil, p552, 2012.

42 

Cheong KL, Yu B, Chen J and Zhong S: A comprehensive review of the cardioprotective effect of marine algae polysaccharide on the gut microbiota. Foods. 11(3550)2022.PubMed/NCBI View Article : Google Scholar

Related Articles

  • Abstract
  • View
  • Download
Copy and paste a formatted citation
Spandidos Publications style
Pelissari SN, De Souza ER, Sinhorin VG, Rodrigues DD, Castoldi L and Sinhorin AP: A crude methanolic extract from the parotoid gland secretion of <em>Rhaebo guttatus</em> stimulates the production of reactive species and pro‑inflammatory cytokines by peritoneal macrophages. World Acad Sci J 5: 15, 2023.
APA
Pelissari, S.N., De Souza, E.R., Sinhorin, V.G., Rodrigues, D.D., Castoldi, L., & Sinhorin, A.P. (2023). A crude methanolic extract from the parotoid gland secretion of <em>Rhaebo guttatus</em> stimulates the production of reactive species and pro‑inflammatory cytokines by peritoneal macrophages. World Academy of Sciences Journal, 5, 15. https://doi.org/10.3892/wasj.2023.192
MLA
Pelissari, S. N., De Souza, E. R., Sinhorin, V. G., Rodrigues, D. D., Castoldi, L., Sinhorin, A. P."A crude methanolic extract from the parotoid gland secretion of <em>Rhaebo guttatus</em> stimulates the production of reactive species and pro‑inflammatory cytokines by peritoneal macrophages". World Academy of Sciences Journal 5.2 (2023): 15.
Chicago
Pelissari, S. N., De Souza, E. R., Sinhorin, V. G., Rodrigues, D. D., Castoldi, L., Sinhorin, A. P."A crude methanolic extract from the parotoid gland secretion of <em>Rhaebo guttatus</em> stimulates the production of reactive species and pro‑inflammatory cytokines by peritoneal macrophages". World Academy of Sciences Journal 5, no. 2 (2023): 15. https://doi.org/10.3892/wasj.2023.192
Copy and paste a formatted citation
x
Spandidos Publications style
Pelissari SN, De Souza ER, Sinhorin VG, Rodrigues DD, Castoldi L and Sinhorin AP: A crude methanolic extract from the parotoid gland secretion of <em>Rhaebo guttatus</em> stimulates the production of reactive species and pro‑inflammatory cytokines by peritoneal macrophages. World Acad Sci J 5: 15, 2023.
APA
Pelissari, S.N., De Souza, E.R., Sinhorin, V.G., Rodrigues, D.D., Castoldi, L., & Sinhorin, A.P. (2023). A crude methanolic extract from the parotoid gland secretion of <em>Rhaebo guttatus</em> stimulates the production of reactive species and pro‑inflammatory cytokines by peritoneal macrophages. World Academy of Sciences Journal, 5, 15. https://doi.org/10.3892/wasj.2023.192
MLA
Pelissari, S. N., De Souza, E. R., Sinhorin, V. G., Rodrigues, D. D., Castoldi, L., Sinhorin, A. P."A crude methanolic extract from the parotoid gland secretion of <em>Rhaebo guttatus</em> stimulates the production of reactive species and pro‑inflammatory cytokines by peritoneal macrophages". World Academy of Sciences Journal 5.2 (2023): 15.
Chicago
Pelissari, S. N., De Souza, E. R., Sinhorin, V. G., Rodrigues, D. D., Castoldi, L., Sinhorin, A. P."A crude methanolic extract from the parotoid gland secretion of <em>Rhaebo guttatus</em> stimulates the production of reactive species and pro‑inflammatory cytokines by peritoneal macrophages". World Academy of Sciences Journal 5, no. 2 (2023): 15. https://doi.org/10.3892/wasj.2023.192
Follow us
  • Twitter
  • LinkedIn
  • Facebook
About
  • Spandidos Publications
  • Careers
  • Cookie Policy
  • Privacy Policy
How can we help?
  • Help
  • Live Chat
  • Contact
  • Email to our Support Team