Spandidos Publications Logo
  • About
    • About Spandidos
    • Aims and Scopes
    • Abstracting and Indexing
    • Editorial Policies
    • Reprints and Permissions
    • Job Opportunities
    • Terms and Conditions
    • Contact
  • Journals
    • All Journals
    • Oncology Letters
      • Oncology Letters
      • Information for Authors
      • Editorial Policies
      • Editorial Board
      • Aims and Scope
      • Abstracting and Indexing
      • Bibliographic Information
      • Archive
    • International Journal of Oncology
      • International Journal of Oncology
      • Information for Authors
      • Editorial Policies
      • Editorial Board
      • Aims and Scope
      • Abstracting and Indexing
      • Bibliographic Information
      • Archive
    • Molecular and Clinical Oncology
      • Molecular and Clinical Oncology
      • Information for Authors
      • Editorial Policies
      • Editorial Board
      • Aims and Scope
      • Abstracting and Indexing
      • Bibliographic Information
      • Archive
    • Experimental and Therapeutic Medicine
      • Experimental and Therapeutic Medicine
      • Information for Authors
      • Editorial Policies
      • Editorial Board
      • Aims and Scope
      • Abstracting and Indexing
      • Bibliographic Information
      • Archive
    • International Journal of Molecular Medicine
      • International Journal of Molecular Medicine
      • Information for Authors
      • Editorial Policies
      • Editorial Board
      • Aims and Scope
      • Abstracting and Indexing
      • Bibliographic Information
      • Archive
    • Biomedical Reports
      • Biomedical Reports
      • Information for Authors
      • Editorial Policies
      • Editorial Board
      • Aims and Scope
      • Abstracting and Indexing
      • Bibliographic Information
      • Archive
    • Oncology Reports
      • Oncology Reports
      • Information for Authors
      • Editorial Policies
      • Editorial Board
      • Aims and Scope
      • Abstracting and Indexing
      • Bibliographic Information
      • Archive
    • Molecular Medicine Reports
      • Molecular Medicine Reports
      • Information for Authors
      • Editorial Policies
      • Editorial Board
      • Aims and Scope
      • Abstracting and Indexing
      • Bibliographic Information
      • Archive
    • World Academy of Sciences Journal
      • World Academy of Sciences Journal
      • Information for Authors
      • Editorial Policies
      • Editorial Board
      • Aims and Scope
      • Abstracting and Indexing
      • Bibliographic Information
      • Archive
    • International Journal of Functional Nutrition
      • International Journal of Functional Nutrition
      • Information for Authors
      • Editorial Policies
      • Editorial Board
      • Aims and Scope
      • Abstracting and Indexing
      • Bibliographic Information
      • Archive
    • International Journal of Epigenetics
      • International Journal of Epigenetics
      • Information for Authors
      • Editorial Policies
      • Editorial Board
      • Aims and Scope
      • Abstracting and Indexing
      • Bibliographic Information
      • Archive
    • Medicine International
      • Medicine International
      • Information for Authors
      • Editorial Policies
      • Editorial Board
      • Aims and Scope
      • Abstracting and Indexing
      • Bibliographic Information
      • Archive
  • Articles
  • Information
    • Information for Authors
    • Information for Reviewers
    • Information for Librarians
    • Information for Advertisers
    • Conferences
  • Language Editing
Spandidos Publications Logo
  • About
    • About Spandidos
    • Aims and Scopes
    • Abstracting and Indexing
    • Editorial Policies
    • Reprints and Permissions
    • Job Opportunities
    • Terms and Conditions
    • Contact
  • Journals
    • All Journals
    • Biomedical Reports
      • Information for Authors
      • Editorial Policies
      • Editorial Board
      • Aims and Scope
      • Abstracting and Indexing
      • Bibliographic Information
      • Archive
    • Experimental and Therapeutic Medicine
      • Information for Authors
      • Editorial Policies
      • Editorial Board
      • Aims and Scope
      • Abstracting and Indexing
      • Bibliographic Information
      • Archive
    • International Journal of Epigenetics
      • Information for Authors
      • Editorial Policies
      • Editorial Board
      • Aims and Scope
      • Abstracting and Indexing
      • Bibliographic Information
      • Archive
    • International Journal of Functional Nutrition
      • Information for Authors
      • Editorial Policies
      • Editorial Board
      • Aims and Scope
      • Abstracting and Indexing
      • Bibliographic Information
      • Archive
    • International Journal of Molecular Medicine
      • Information for Authors
      • Editorial Policies
      • Editorial Board
      • Aims and Scope
      • Abstracting and Indexing
      • Bibliographic Information
      • Archive
    • International Journal of Oncology
      • Information for Authors
      • Editorial Policies
      • Editorial Board
      • Aims and Scope
      • Abstracting and Indexing
      • Bibliographic Information
      • Archive
    • Medicine International
      • Information for Authors
      • Editorial Policies
      • Editorial Board
      • Aims and Scope
      • Abstracting and Indexing
      • Bibliographic Information
      • Archive
    • Molecular and Clinical Oncology
      • Information for Authors
      • Editorial Policies
      • Editorial Board
      • Aims and Scope
      • Abstracting and Indexing
      • Bibliographic Information
      • Archive
    • Molecular Medicine Reports
      • Information for Authors
      • Editorial Policies
      • Editorial Board
      • Aims and Scope
      • Abstracting and Indexing
      • Bibliographic Information
      • Archive
    • Oncology Letters
      • Information for Authors
      • Editorial Policies
      • Editorial Board
      • Aims and Scope
      • Abstracting and Indexing
      • Bibliographic Information
      • Archive
    • Oncology Reports
      • Information for Authors
      • Editorial Policies
      • Editorial Board
      • Aims and Scope
      • Abstracting and Indexing
      • Bibliographic Information
      • Archive
    • World Academy of Sciences Journal
      • Information for Authors
      • Editorial Policies
      • Editorial Board
      • Aims and Scope
      • Abstracting and Indexing
      • Bibliographic Information
      • Archive
  • Articles
  • Information
    • For Authors
    • For Reviewers
    • For Librarians
    • For Advertisers
    • Conferences
  • Language Editing
Login Register Submit
  • This site uses cookies
  • You can change your cookie settings at any time by following the instructions in our Cookie Policy. To find out more, you may read our Privacy Policy.

    I agree
Search articles by DOI, keyword, author or affiliation
Search
Advanced Search
presentation
Biomedical Reports
Join Editorial Board Propose a Special Issue
Print ISSN: 2049-9434 Online ISSN: 2049-9442
Journal Cover
July-2017 Volume 7 Issue 1

Full Size Image

Sign up for eToc alerts
Recommend to Library

Journals

International Journal of Molecular Medicine

International Journal of Molecular Medicine

International Journal of Molecular Medicine is an international journal devoted to molecular mechanisms of human disease.

International Journal of Oncology

International Journal of Oncology

International Journal of Oncology is an international journal devoted to oncology research and cancer treatment.

Molecular Medicine Reports

Molecular Medicine Reports

Covers molecular medicine topics such as pharmacology, pathology, genetics, neuroscience, infectious diseases, molecular cardiology, and molecular surgery.

Oncology Reports

Oncology Reports

Oncology Reports is an international journal devoted to fundamental and applied research in Oncology.

Experimental and Therapeutic Medicine

Experimental and Therapeutic Medicine

Experimental and Therapeutic Medicine is an international journal devoted to laboratory and clinical medicine.

Oncology Letters

Oncology Letters

Oncology Letters is an international journal devoted to Experimental and Clinical Oncology.

Biomedical Reports

Biomedical Reports

Explores a wide range of biological and medical fields, including pharmacology, genetics, microbiology, neuroscience, and molecular cardiology.

Molecular and Clinical Oncology

Molecular and Clinical Oncology

International journal addressing all aspects of oncology research, from tumorigenesis and oncogenes to chemotherapy and metastasis.

World Academy of Sciences Journal

World Academy of Sciences Journal

Multidisciplinary open-access journal spanning biochemistry, genetics, neuroscience, environmental health, and synthetic biology.

International Journal of Functional Nutrition

International Journal of Functional Nutrition

Open-access journal combining biochemistry, pharmacology, immunology, and genetics to advance health through functional nutrition.

International Journal of Epigenetics

International Journal of Epigenetics

Publishes open-access research on using epigenetics to advance understanding and treatment of human disease.

Medicine International

Medicine International

An International Open Access Journal Devoted to General Medicine.

Journal Cover
July-2017 Volume 7 Issue 1

Full Size Image

Sign up for eToc alerts
Recommend to Library

  • Article
  • Citations
    • Cite This Article
    • Download Citation
    • Create Citation Alert
    • Remove Citation Alert
    • Cited By
  • Similar Articles
    • Related Articles (in Spandidos Publications)
    • Similar Articles (Google Scholar)
    • Similar Articles (PubMed)
  • Download PDF
  • Download XML
  • View XML
Article Open Access

Effect of dark‑colored maple syrup on cell proliferation of human gastrointestinal cancer cell

  • Authors:
    • Tetsushi Yamamoto
    • Kanta Sato
    • Yuika Kubota
    • Kuniko Mitamura
    • Atsushi Taga
  • View Affiliations / Copyright

    Affiliations: Pathological and Biomolecule Analyses Laboratory, Faculty of Pharmacy, Kindai University, Higashi‑Osaka, Osaka 577‑8502, Japan
    Copyright: © Yamamoto et al. This is an open access article distributed under the terms of Creative Commons Attribution License.
  • Pages: 6-10
    |
    Published online on: May 16, 2017
       https://doi.org/10.3892/br.2017.910
  • Expand metrics +
Metrics: Total Views: 0 (Spandidos Publications: | PMC Statistics: )
Metrics: Total PDF Downloads: 0 (Spandidos Publications: | PMC Statistics: )
Cited By (CrossRef): 0 citations Loading Articles...

This article is mentioned in:



Abstract

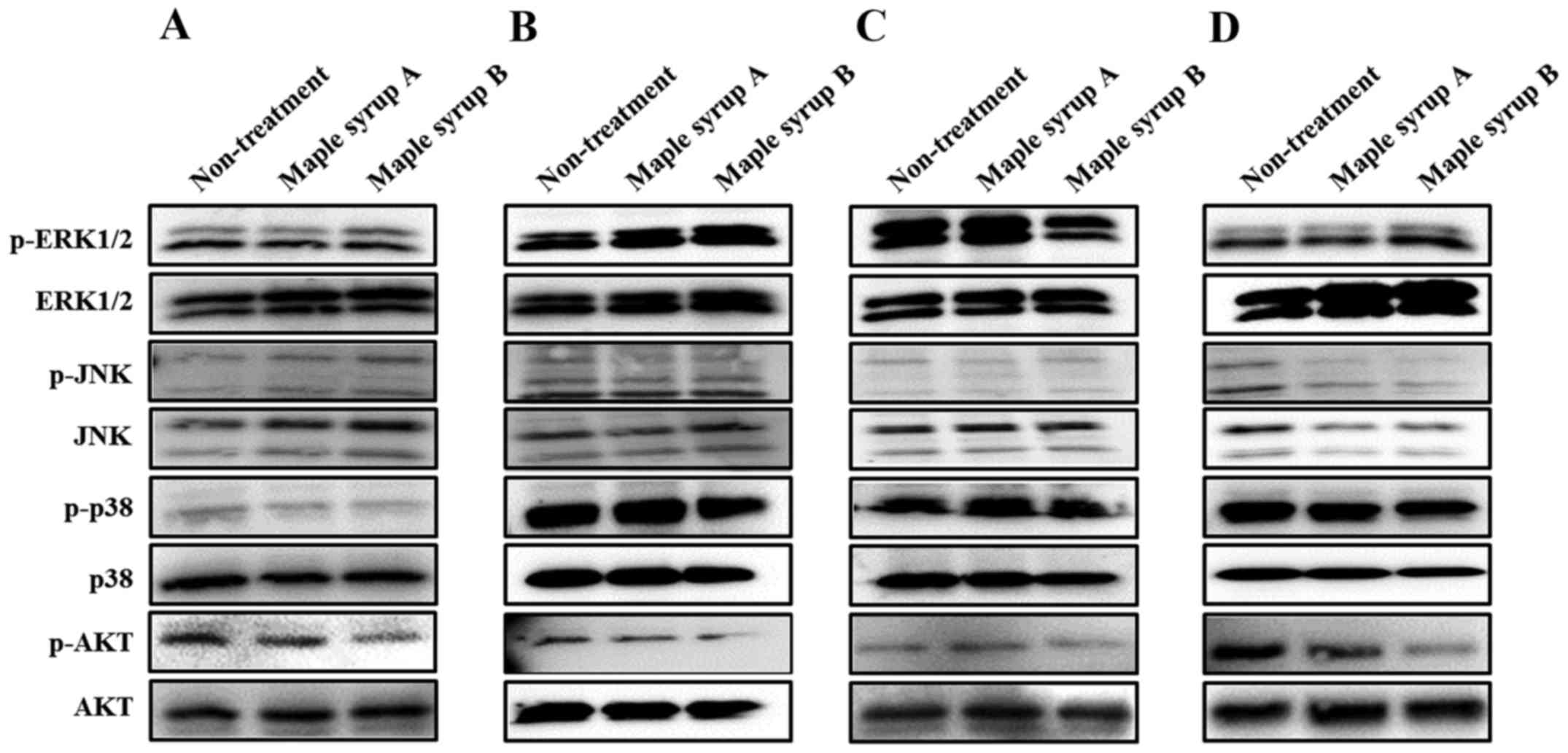
Maple syrup is a natural sweetener that is commonly consumed worldwide. While maple syrup mainly comprises sucrose, it also contains phytochemicals that present various biological effects. Maple syrup is made by boiling down sap, and its color and composition vary in accordance with the sap collection season. Typically, seasonal progression is associated with darker syrup color, and antioxidant activity is proportional to the increasingly dark color. The authors previously reported that maple syrup demonstrated inhibitory effects on colorectal cancer cell growth and invasion, which correlated with darker maple syrup color. In the present study, they examined the effects of two different grades of maple syrup on gastrointestinal cancer cell proliferation, to investigate whether the dark‑color maple syrup was suitable as a phytomedicine for gastrointestinal cancer treatment. Administration of dark‑color maple syrup significantly inhibited gastrointestinal cancer cell growth as compared to non‑treated cancer cells. Moreover, administration of dark‑color maple syrup clearly inhibited protein kinase B (AKT) phosphorylation and did not impact mitogen‑associated protein kinase phosphorylation. These data suggested that dark‑color maple syrup may inhibit cell proliferation through suppression of AKT activation and, thus, may be suitable as a phytomedicine for gastrointestinal cancer treatment.
View Figures

Figure 1

Figure 2

Figure 3

View References

1 

Ball DW: The chemical composition of maple syrup. J Chem Educ. 84:1647–U1646. 2007. View Article : Google Scholar

2 

Perkins TD and van den Berg AK: Maple syrup-production, composition, chemistry, and sensory characteristics. Adv Food Nutr Res. 56:101–143. 2009. View Article : Google Scholar : PubMed/NCBI

3 

Arnason T, Hebda RJ and Johns T: Use of plants for food and medicine by Native Peoples of eastern Canada. Can J Bot. 59:2189–2325. 1981. View Article : Google Scholar

4 

Davison RM and Young H: Abscisic-acid content of xylem sap. Planta. 109:95–98. 1973. View Article : Google Scholar : PubMed/NCBI

5 

Taga A, Sato A, Suzuki K, Takeda M and Kodama S: Simple determination of a strongly aromatic compound, sotolon, by capillary electrophoresis. J Oleo Sci. 61:45–48. 2012. View Article : Google Scholar : PubMed/NCBI

6 

Taga A and Kodama S: Analysis of reducing carbohydrates and fructosyl saccharides in maple syrup and maple sugar by CE. Chromatographia. 75:1009–1016. 2012. View Article : Google Scholar

7 

Storz G, Darvill AG and Albersheim P: Characterization of polysaccharides isolated from maple syrup. Phytochemistry. 25:437–441. 1986. View Article : Google Scholar

8 

Sun J, Ma H, Seeram NP and Rowley DC: Detection of Inulin, a Prebiotic Polysaccharide, in Maple Syrup. J Agric Food Chem. 64:7142–7147. 2016. View Article : Google Scholar : PubMed/NCBI

9 

Apostolidis E, Li LY, Lee C and Seeram NP: In vitro evaluation of phenolic-enriched maple syrup extracts for inhibition of carbohydrate hydrolyzing enzymes relevant to type 2 diabetes management. J Funct Foods. 3:100–106. 2011. View Article : Google Scholar

10 

Legault J, Girard-Lalancette K, Grenon C, Dussault C and Pichette A: Antioxidant activity, inhibition of nitric oxide overproduction, and in vitro antiproliferative effect of maple sap and syrup from Acer saccharum. J Med Food. 13:460–468. 2010. View Article : Google Scholar : PubMed/NCBI

11 

González-Sarrías A, Li L and Seeram NP: Effects of maple (Acer) plant part extracts on proliferation, apoptosis and cell cycle arrest of human tumorigenic and non-tumorigenic colon cells. Phytother Res. 26:995–1002. 2012. View Article : Google Scholar : PubMed/NCBI

12 

Li L and Seeram NP: Maple syrup phytochemicals include lignans, coumarins, a stilbene, and other previously unreported antioxidant phenolic compounds. J Agric Food Chem. 58:11673–11679. 2010. View Article : Google Scholar : PubMed/NCBI

13 

Theriault M, Caillet S, Kermasha S and Lacroix M: Antioxidant, antiradical and antimutagenic activities of phenolic compounds present in maple products. Food Chem. 98:490–501. 2006. View Article : Google Scholar

14 

Hawco CLA, Wang Y, Taylor M and Weaver DF: A maple syrup extract prevents β-amyloid aggregation. Can J Neurol Sci. 43:198–201. 2016. View Article : Google Scholar : PubMed/NCBI

15 

Aaron C, Beaudry G, Parker JA and Therrien M: Maple Syrup Decreases TDP-43 Proteotoxicity in a Caenorhabditis elegans Model of Amyotrophic Lateral Sclerosis (ALS). J Agric Food Chem. 64:3338–3344. 2016. View Article : Google Scholar : PubMed/NCBI

16 

Maisuria VB, Hosseinidoust Z and Tufenkji N: Polyphenolic extract from maple syrup potentiates antibiotic susceptibility and reduces biofilm formation of pathogenic bacteria. Appl Environ Microbiol. 81:3782–3792. 2015. View Article : Google Scholar : PubMed/NCBI

17 

Ma H, DaSilva NA, Liu W, Nahar PP, Wei Z, Liu Y, Pham PT, Crews R, Vattem DA, Slitt AL, et al: Effects of a Standardized Phenolic-Enriched Maple Syrup Extract on β-Amyloid Aggregation, Neuroinflammation in Microglial and Neuronal Cells, and β-Amyloid Induced Neurotoxicity in Caenorhabditis elegans. Neurochem Res. 41:2836–2847. 2016. View Article : Google Scholar : PubMed/NCBI

18 

Nagai N, Ito Y and Taga A: Comparison of the enhancement of plasma glucose levels in type 2 diabetes Otsuka Long-Evans Tokushima Fatty rats by oral administration of sucrose or maple syrup. J Oleo Sci. 62:737–743. 2013. View Article : Google Scholar : PubMed/NCBI

19 

Yamamoto T, Uemura K, Moriyama K, Mitamura K and Taga A: Inhibitory effect of maple syrup on the cell growth and invasion of human colorectal cancer cells. Oncol Rep. 33:1579–1584. 2015.PubMed/NCBI

20 

Kim YT and Leech RH: Effects of climatic conditions on sap flow in sugar maple. For Chron. 61:303–307. 1985. View Article : Google Scholar

21 

Marvin JW and Erickson RO: A statistical evaluation of some of the factors responsible for the flow of sap from the sugar maple. Plant Physiol. 31:57–61. 1956. View Article : Google Scholar : PubMed/NCBI

22 

Plamondon AP and Bernier PY: Modélisation de la coulée de l'érable à sucre (Acersaccharum Marsh.) à partir d'éléments météorologiques. Can J Res. 10:152–157. 1980. View Article : Google Scholar

23 

Houle D, Paquette A, Côté B, Logan T, Power H, Charron I and Duchesne L: Impacts of Climate Change on the Timing of the Production Season of Maple Syrup in Eastern Canada. PLoS One. 10:e01448442015. View Article : Google Scholar : PubMed/NCBI

24 

Stuckel JG and Low NH: The chemical composition of 80 pure maple syrup samples produced in North America. Food Res Int. 29:373–379. 1996. View Article : Google Scholar

25 

Huang JS, Yao CJ, Chuang SE, Yeh CT, Lee LM, Chen RM, Chao WJ, Whang-Peng J and Lai GM: Honokiol inhibits sphere formation and xenograft growth of oral cancer side population cells accompanied with JAK/STAT signaling pathway suppression and apoptosis induction. BMC Cancer. 16:2452016. View Article : Google Scholar : PubMed/NCBI

26 

Jiang Y, Zhang Q, Bao J, Du CH, Wang J, Tong Q and Liu C: Schisandrin B suppresses glioma cell metastasis mediated by inhibition of mTOR/MMP-9 signal pathway. Biomed Pharmacother. 74:77–82. 2015. View Article : Google Scholar : PubMed/NCBI

27 

Hyun S, Kim MS, Song YS, Bak Y, Ham SY, Lee DH, Hong J and Yoon DY: Peroxisome proliferator-activated receptor-gamma agonist 4-O-methylhonokiol induces apoptosis by triggering the intrinsic apoptosis pathway and inhibiting the PI3K/Akt survival pathway in SiHa human cervical cancer cells. J Microbiol Biotechnol. 25:334–342. 2015. View Article : Google Scholar : PubMed/NCBI

28 

Zilla MK, Nayak D, Amin H, Nalli Y, Rah B, Chakraborty S, Kitchlu S, Goswami A and Ali A: 4′-Demethyl-deoxypodophyllotoxin glucoside isolated from Podophyllum hexandrum exhibits potential anticancer activities by altering Chk-2 signaling pathway in MCF-7 breast cancer cells. Chem Biol Interact. 224:100–107. 2014. View Article : Google Scholar : PubMed/NCBI

29 

Jeon YJ, Cho JH, Lee SY, Choi YH, Park H, Jung S, Shim JH and Chae JI: Esculetin Induces Apoptosis Through EGFR/PI3K/Akt Signaling Pathway and Nucleophosmin Relocalization. J Cell Biochem. 117:1210–1221. 2016. View Article : Google Scholar : PubMed/NCBI

30 

Hsieh CJ, Kuo PL, Hou MF, Hung JY, Chang FR, Hsu YC, Huang YF, Tsai EM and Hsu YL: Wedelolactone inhibits breast cancer-induced osteoclastogenesis by decreasing Akt/mTOR signaling. Int J Oncol. 46:555–562. 2015.PubMed/NCBI

31 

Kim WJ, Lee MY, Kim JH, Suk K and Lee WH: Decursinol angelate blocks transmigration and inflammatory activation of cancer cells through inhibition of PI3K, ERK and NF-kappaB activation. Cancer Lett. 296:35–42. 2010. View Article : Google Scholar : PubMed/NCBI

Related Articles

  • Abstract
  • View
  • Download
  • Twitter
Copy and paste a formatted citation
Spandidos Publications style
Yamamoto T, Sato K, Kubota Y, Mitamura K and Taga A: Effect of dark‑colored maple syrup on cell proliferation of human gastrointestinal cancer cell. Biomed Rep 7: 6-10, 2017.
APA
Yamamoto, T., Sato, K., Kubota, Y., Mitamura, K., & Taga, A. (2017). Effect of dark‑colored maple syrup on cell proliferation of human gastrointestinal cancer cell. Biomedical Reports, 7, 6-10. https://doi.org/10.3892/br.2017.910
MLA
Yamamoto, T., Sato, K., Kubota, Y., Mitamura, K., Taga, A."Effect of dark‑colored maple syrup on cell proliferation of human gastrointestinal cancer cell". Biomedical Reports 7.1 (2017): 6-10.
Chicago
Yamamoto, T., Sato, K., Kubota, Y., Mitamura, K., Taga, A."Effect of dark‑colored maple syrup on cell proliferation of human gastrointestinal cancer cell". Biomedical Reports 7, no. 1 (2017): 6-10. https://doi.org/10.3892/br.2017.910
Copy and paste a formatted citation
x
Spandidos Publications style
Yamamoto T, Sato K, Kubota Y, Mitamura K and Taga A: Effect of dark‑colored maple syrup on cell proliferation of human gastrointestinal cancer cell. Biomed Rep 7: 6-10, 2017.
APA
Yamamoto, T., Sato, K., Kubota, Y., Mitamura, K., & Taga, A. (2017). Effect of dark‑colored maple syrup on cell proliferation of human gastrointestinal cancer cell. Biomedical Reports, 7, 6-10. https://doi.org/10.3892/br.2017.910
MLA
Yamamoto, T., Sato, K., Kubota, Y., Mitamura, K., Taga, A."Effect of dark‑colored maple syrup on cell proliferation of human gastrointestinal cancer cell". Biomedical Reports 7.1 (2017): 6-10.
Chicago
Yamamoto, T., Sato, K., Kubota, Y., Mitamura, K., Taga, A."Effect of dark‑colored maple syrup on cell proliferation of human gastrointestinal cancer cell". Biomedical Reports 7, no. 1 (2017): 6-10. https://doi.org/10.3892/br.2017.910
Follow us
  • Twitter
  • LinkedIn
  • Facebook
About
  • Spandidos Publications
  • Careers
  • Cookie Policy
  • Privacy Policy
How can we help?
  • Help
  • Live Chat
  • Contact
  • Email to our Support Team