Spandidos Publications Logo
  • About
    • About Spandidos
    • Aims and Scopes
    • Abstracting and Indexing
    • Editorial Policies
    • Reprints and Permissions
    • Job Opportunities
    • Terms and Conditions
    • Contact
  • Journals
    • All Journals
    • Oncology Letters
      • Oncology Letters
      • Information for Authors
      • Editorial Policies
      • Editorial Board
      • Aims and Scope
      • Abstracting and Indexing
      • Bibliographic Information
      • Archive
    • International Journal of Oncology
      • International Journal of Oncology
      • Information for Authors
      • Editorial Policies
      • Editorial Board
      • Aims and Scope
      • Abstracting and Indexing
      • Bibliographic Information
      • Archive
    • Molecular and Clinical Oncology
      • Molecular and Clinical Oncology
      • Information for Authors
      • Editorial Policies
      • Editorial Board
      • Aims and Scope
      • Abstracting and Indexing
      • Bibliographic Information
      • Archive
    • Experimental and Therapeutic Medicine
      • Experimental and Therapeutic Medicine
      • Information for Authors
      • Editorial Policies
      • Editorial Board
      • Aims and Scope
      • Abstracting and Indexing
      • Bibliographic Information
      • Archive
    • International Journal of Molecular Medicine
      • International Journal of Molecular Medicine
      • Information for Authors
      • Editorial Policies
      • Editorial Board
      • Aims and Scope
      • Abstracting and Indexing
      • Bibliographic Information
      • Archive
    • Biomedical Reports
      • Biomedical Reports
      • Information for Authors
      • Editorial Policies
      • Editorial Board
      • Aims and Scope
      • Abstracting and Indexing
      • Bibliographic Information
      • Archive
    • Oncology Reports
      • Oncology Reports
      • Information for Authors
      • Editorial Policies
      • Editorial Board
      • Aims and Scope
      • Abstracting and Indexing
      • Bibliographic Information
      • Archive
    • Molecular Medicine Reports
      • Molecular Medicine Reports
      • Information for Authors
      • Editorial Policies
      • Editorial Board
      • Aims and Scope
      • Abstracting and Indexing
      • Bibliographic Information
      • Archive
    • World Academy of Sciences Journal
      • World Academy of Sciences Journal
      • Information for Authors
      • Editorial Policies
      • Editorial Board
      • Aims and Scope
      • Abstracting and Indexing
      • Bibliographic Information
      • Archive
    • International Journal of Functional Nutrition
      • International Journal of Functional Nutrition
      • Information for Authors
      • Editorial Policies
      • Editorial Board
      • Aims and Scope
      • Abstracting and Indexing
      • Bibliographic Information
      • Archive
    • International Journal of Epigenetics
      • International Journal of Epigenetics
      • Information for Authors
      • Editorial Policies
      • Editorial Board
      • Aims and Scope
      • Abstracting and Indexing
      • Bibliographic Information
      • Archive
    • Medicine International
      • Medicine International
      • Information for Authors
      • Editorial Policies
      • Editorial Board
      • Aims and Scope
      • Abstracting and Indexing
      • Bibliographic Information
      • Archive
  • Articles
  • Information
    • Information for Authors
    • Information for Reviewers
    • Information for Librarians
    • Information for Advertisers
    • Conferences
  • Language Editing
Spandidos Publications Logo
  • About
    • About Spandidos
    • Aims and Scopes
    • Abstracting and Indexing
    • Editorial Policies
    • Reprints and Permissions
    • Job Opportunities
    • Terms and Conditions
    • Contact
  • Journals
    • All Journals
    • Biomedical Reports
      • Information for Authors
      • Editorial Policies
      • Editorial Board
      • Aims and Scope
      • Abstracting and Indexing
      • Bibliographic Information
      • Archive
    • Experimental and Therapeutic Medicine
      • Information for Authors
      • Editorial Policies
      • Editorial Board
      • Aims and Scope
      • Abstracting and Indexing
      • Bibliographic Information
      • Archive
    • International Journal of Epigenetics
      • Information for Authors
      • Editorial Policies
      • Editorial Board
      • Aims and Scope
      • Abstracting and Indexing
      • Bibliographic Information
      • Archive
    • International Journal of Functional Nutrition
      • Information for Authors
      • Editorial Policies
      • Editorial Board
      • Aims and Scope
      • Abstracting and Indexing
      • Bibliographic Information
      • Archive
    • International Journal of Molecular Medicine
      • Information for Authors
      • Editorial Policies
      • Editorial Board
      • Aims and Scope
      • Abstracting and Indexing
      • Bibliographic Information
      • Archive
    • International Journal of Oncology
      • Information for Authors
      • Editorial Policies
      • Editorial Board
      • Aims and Scope
      • Abstracting and Indexing
      • Bibliographic Information
      • Archive
    • Medicine International
      • Information for Authors
      • Editorial Policies
      • Editorial Board
      • Aims and Scope
      • Abstracting and Indexing
      • Bibliographic Information
      • Archive
    • Molecular and Clinical Oncology
      • Information for Authors
      • Editorial Policies
      • Editorial Board
      • Aims and Scope
      • Abstracting and Indexing
      • Bibliographic Information
      • Archive
    • Molecular Medicine Reports
      • Information for Authors
      • Editorial Policies
      • Editorial Board
      • Aims and Scope
      • Abstracting and Indexing
      • Bibliographic Information
      • Archive
    • Oncology Letters
      • Information for Authors
      • Editorial Policies
      • Editorial Board
      • Aims and Scope
      • Abstracting and Indexing
      • Bibliographic Information
      • Archive
    • Oncology Reports
      • Information for Authors
      • Editorial Policies
      • Editorial Board
      • Aims and Scope
      • Abstracting and Indexing
      • Bibliographic Information
      • Archive
    • World Academy of Sciences Journal
      • Information for Authors
      • Editorial Policies
      • Editorial Board
      • Aims and Scope
      • Abstracting and Indexing
      • Bibliographic Information
      • Archive
  • Articles
  • Information
    • For Authors
    • For Reviewers
    • For Librarians
    • For Advertisers
    • Conferences
  • Language Editing
Login Register Submit
  • This site uses cookies
  • You can change your cookie settings at any time by following the instructions in our Cookie Policy. To find out more, you may read our Privacy Policy.

    I agree
Search articles by DOI, keyword, author or affiliation
Search
Advanced Search
presentation
Biomedical Reports
Join Editorial Board Propose a Special Issue
Print ISSN: 2049-9434 Online ISSN: 2049-9442
Journal Cover
May-2018 Volume 8 Issue 5

Full Size Image

Sign up for eToc alerts
Recommend to Library

Journals

International Journal of Molecular Medicine

International Journal of Molecular Medicine

International Journal of Molecular Medicine is an international journal devoted to molecular mechanisms of human disease.

International Journal of Oncology

International Journal of Oncology

International Journal of Oncology is an international journal devoted to oncology research and cancer treatment.

Molecular Medicine Reports

Molecular Medicine Reports

Covers molecular medicine topics such as pharmacology, pathology, genetics, neuroscience, infectious diseases, molecular cardiology, and molecular surgery.

Oncology Reports

Oncology Reports

Oncology Reports is an international journal devoted to fundamental and applied research in Oncology.

Experimental and Therapeutic Medicine

Experimental and Therapeutic Medicine

Experimental and Therapeutic Medicine is an international journal devoted to laboratory and clinical medicine.

Oncology Letters

Oncology Letters

Oncology Letters is an international journal devoted to Experimental and Clinical Oncology.

Biomedical Reports

Biomedical Reports

Explores a wide range of biological and medical fields, including pharmacology, genetics, microbiology, neuroscience, and molecular cardiology.

Molecular and Clinical Oncology

Molecular and Clinical Oncology

International journal addressing all aspects of oncology research, from tumorigenesis and oncogenes to chemotherapy and metastasis.

World Academy of Sciences Journal

World Academy of Sciences Journal

Multidisciplinary open-access journal spanning biochemistry, genetics, neuroscience, environmental health, and synthetic biology.

International Journal of Functional Nutrition

International Journal of Functional Nutrition

Open-access journal combining biochemistry, pharmacology, immunology, and genetics to advance health through functional nutrition.

International Journal of Epigenetics

International Journal of Epigenetics

Publishes open-access research on using epigenetics to advance understanding and treatment of human disease.

Medicine International

Medicine International

An International Open Access Journal Devoted to General Medicine.

Journal Cover
May-2018 Volume 8 Issue 5

Full Size Image

Sign up for eToc alerts
Recommend to Library

  • Article
  • Citations
    • Cite This Article
    • Download Citation
    • Create Citation Alert
    • Remove Citation Alert
    • Cited By
  • Similar Articles
    • Related Articles (in Spandidos Publications)
    • Similar Articles (Google Scholar)
    • Similar Articles (PubMed)
  • Download PDF
  • Download XML
  • View XML
Article

Fetal hepatocyte-derived culture medium elicits adipocyte differentiation to bile duct cell lineages in a mouse model

  • Authors:
    • Hisataka Ogawa
    • Masamitsu Konno
    • Koichi Kawamoto
    • Naohiro Nishida
    • Jun Koseki
    • Tsunekazu Mizushima
    • Taroh Satoh
    • Hidetoshi Eguchi
    • Yuichiro Doki
    • Masaki Mori
    • Hideshi Ishii
  • View Affiliations / Copyright

    Affiliations: Department of Gastroenterological Surgery, Graduate School of Medicine, Osaka University, Suita, Osaka 565‑0871, Japan, Department of Frontier Science for Cancer and Chemotherapy, Graduate School of Medicine, Osaka University, Suita, Osaka 565‑0871, Japan, Department of Cancer Profiling Discovery, Graduate School of Medicine, Osaka University, Suita, Osaka 565‑0871, Japan
  • Pages: 497-499
    |
    Published online on: March 21, 2018
       https://doi.org/10.3892/br.2018.1080
  • Expand metrics +
Metrics: Total Views: 0 (Spandidos Publications: | PMC Statistics: )
Metrics: Total PDF Downloads: 0 (Spandidos Publications: | PMC Statistics: )
Cited By (CrossRef): 0 citations Loading Articles...

This article is mentioned in:



Abstract

Fetal cells in the developmental stages function with a distinct mechanism in comparison to adult tissues, which may be a useful source for regenerative medicine in postnatal medicine; however, the precise molecular mechanism remains to be elucidated fully. The present study investigated murine fetal hepatocytes, which were cultured in vitro, and the supernatants were used for the culture with murine adipose tissue‑derived cells. Notably, the results indicated that fetal hepatocyte‑derived culture medium elicits the induction of differentiation of adipose tissue‑derived cells to bile duct cell lineages, but not to hepatocyte lineages in mice. This indicates that fetal cells possess the multi potentials, which are already absent in adults, and may be useful for regenerative medicine in future.

Introduction

Adipose-derived mesenchymal stem cells (ADSCs) have the potential to differentiate into numerous types of cells including adipocyte, chondrocytes, osteocytes, cardiomyocytes, vascular endotherial cells, pancreatic β cells and hepatocyte cells (1–9). ADSCs can be obtained in high yield with minimal discomfort under local anesthesia (10,11). Therefore, ADSCs are considered a useful source for regenerative therapy (12). However, in particular endodermal types of cells, the differentiation method has not been well established and differentiation efficiency is extremely low. Thus, the development of an efficient differentiation method is extremely important. Several studies suggested that conditioned medium contains several undefined factors (8,12). These undefined factors induce the stem cells to certain specific types of cells (1).

In the present study, ADSCs were cultured in hepatocyte-derived conditioned medium from mice of various ages and conditioned medium from hepatocyte cells. To the best of our knowledge, this is the first study to assess the differentiation of ADSCs into bile cell lineages using murine fetal hepatocyte-derived culture medium.

Materials and methods

Ethical statement

Animal studies were conducted in strict accordance with the principles and procedures approved by the Committee on the Ethics of Animal Experiments of Osaka University (Osaka, Japan).

Isolation of mouse adipose-derived stem cells

Mouse adipose tissue was obtained from 8 adult (8–12 weeks) C57BL/6JJcI mice. (Nihon Clea, Tokyo, Japan). Bilateral inguinal subcutaneous fat pad was removed, minced into sections, collected with ADSC-culture medium, centrifuged at 1,500 rpm for 5 min to remove cell debris, incubated in 0.1% collagenase type IV (Worthington Biochemical Corp., Lakewood, NJ, USA) and agitated in a water bath at 37°C for 30 min. Subsequently, the mixture was added to ADSC-culture medium and centrifuged at 300 × g for 5 min to remove cell debris. The cell pellets were suspended in ASDS-culture medium and were plated at 500,000/ml following filtration through a 70-µm cell strainer (Corning, Inc., Corning, NY, USA). The cells were cultured at 37°C and 5% CO2. At 100% confluence, the cells were split. Culture media were replaced every 2 days. The ADSCs until the fourth passage were used for hepatic differentiation. The ADSC-culture medium consisted of Dulbecco's modified Eagle's medium (DMEM) containing high glucose (Nacalai Tesque, Inc., Kyoto, Japan) with 10% fetal bovine serum (FBS) and 500 µg/ml of penicillin-streptomycin.

Isolation of mouse hepatocytes and preparation of conditioned medium

Mouse hepatocytes were isolated from E13.5, E15.5, E17.5 and E19.5 C57BL/6JJcI mice (Charles River Laboratories, Willmington, MA, USA), either newborn (within 2 weeks) or adult (12 weeks) C57BL/6JJcI mouse (Nihon Clea). Briefly, when the mice were sacrificed, the liver was removed, minced into small sections, collected with hepatocyte-culture medium, centrifuged at 85 × g for 3 min to remove cell debris, incubated with 0.1% collagenase type IV (Worthington Biochemical Corp.,) and agitated in a water bath at 37°C for 30 min. Subsequently, the mixtures were added to hepatocyte culture medium followed by centrifugation at 800 rpm for 3 min to remove cell debris, damaged cells and non-parenchymal cells. The remaining liver parenchyma was collected in hepatocyte culture medium, passed through a 70-µm sterile filter (Corning Inc.) and cultured at 500,000/ml at 37°C and 5% CO2. The hepatocyte culture medium consisted of DMEM-high glucose with 10% FBS, 500 µg/ml of penicillin-streptomycin, 0.5 µg/ml insulin (Sigma-Aldrich, St. Louis, MO, USA), 1 µM dexamethasone (Sigma-Aldrich), 10 ng/ml epidermal growth factor (Peprotech, Inc., Rocky Hill, NJ, USA) and 200 µM ascorbic acid (Sigma-Aldrich). Culture media were replaced every 2 days. The conditioned medium was generated according to the previous study by Kawamoto et al (12). In detail, these hepatocytes grew to ≤50% confluence with hepatocyte culture medium. Subsequently, the hepatocyte culture medium was replaced with fresh medium on day 2. After a 48-h culture period, the medium was collected (#1) and replaced with fresh medium. Subsequently, CMs were collected every 48 h incubation (#2). These conditioned media (#1 and #2) were pooled and filtered using a bottle-top filter (Corning, Inc.) to remove cells and debris. Conditioned medium samples were frozen at −20°C for later use. Induction of hepatogenic differentiation of mouse ADSCs was by hepatocyte-conditioned medium. For evaluation of the hepatogenic differentiation ability, mouse ADSCs were cultured with these types of hepatocyte-conditioned medium at 37°C and 5% CO2. These cells were maintained by media exchange every 2–3 days for 2 and 4 weeks, and subsequently they were collected for RNA isolation.

Reverse transcription-polymerase chain reaction (RT-PCR)

Total RNA was isolated from samples using TRIzoL Reagent (Invitrogen Life Technologies, Carlsbad, CA, USA), following the manufacturer's protocol, and was treated with ReverTra Ace (Toyobo Co., Ltd., Osaka, Japan) to generate cDNA. Subsequently, PCR amplification was performed for mouse hepatocyte nuclear factor 4, α (HNf4α), α-fetoprotein (Afp), glucose-6-phosphatase (G6p), albumin (Alb), cytokeratin 19 (Ck19), Ck7 and sex-determining region-Y-box 9 (Sox9). The RT-PCR products ware analyzed by 1% agarose gel electrophoresis and visualized with ethidium bromide.

Results

Differentiation of ADSCs

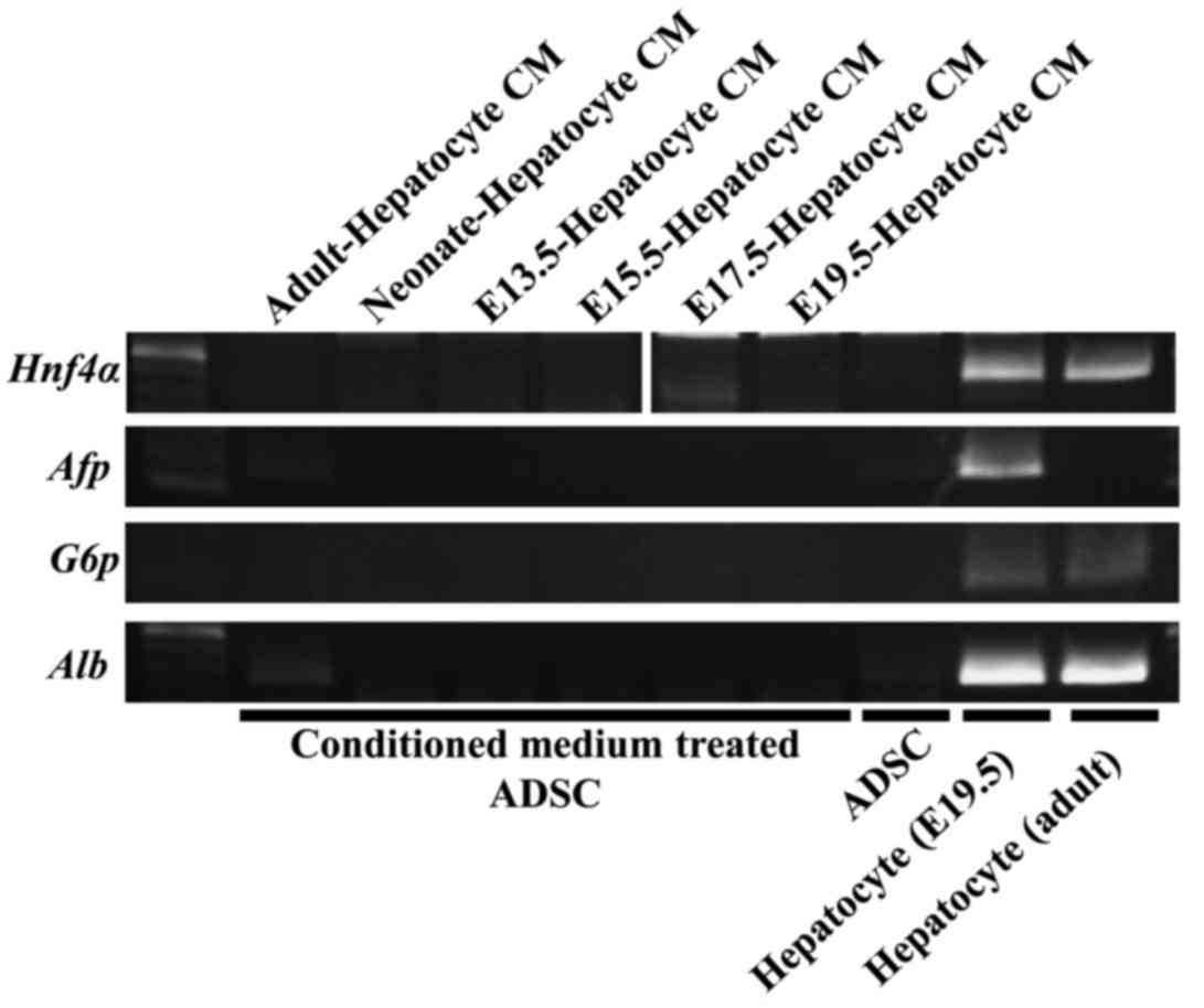
To investigate the effect of conditioned medium from mouse hepatocyte, ADSCs were cultured using the conditioned medium (Fig. 1). Subsequently the gene expression pattern was analyzed. The hepatocyte marker genes Hnf4α, Afp and G6P were not expressed in undifferentiated and conditioned medium-treated ADSCs (Fig. 2). Alb expression can be observed at an extremely low level in adult hepatocyte-derived conditioned medium-treated ADSCs (Fig. 2). These data suggested that the conditioned medium from mouse hepatocyte could not induce mouse ADSCs to hepatocyte. By contrast, bile cells marker genes were expressed in conditioned medium-treated ADSCs. Ck19 was expressed in ADSCs cultured in adult, E13.5, and E19.5 mouse hepatocyte derived conditioned medium (Fig. 3). Ck7 was expressed in ADSCs cultured in adult, neonate, E13.5, E15.5 and E19.5 mouse hepatocyte-derived conditioned medium (Fig. 3). Furthermore, Sox9, which was expressed in various types of stem cells or progenitor cells, was expressed in undifferentiated ADSCs and conditioned medium-treated ADSCs (Fig. 3). These data suggested that the conditioned culture medium from mouse fetal hepatocyte could induce mouse ADSCs to differentiate to bile cell lineages and/or their progenitor cells.

Figure 1.

Overview of the experimental design. ADSCs were cultured in hepatocyte-derived conditioned medium to differentiate into hepatocytes. ADSCs, adipose-derived stem cells.

Figure 2.

Polymerase chain reaction analysis of hepatocyte marker genes. Gene expression analysis of Hnf4α, Afp, G6p and Alb. Hnf4α, hepatocyte nuclear factor 4, α; Afp, α-fetoprotein; G6p, glucose-6-phosphatase; Alb, albumin; ADSCs, adipose-derived stem cells; CM, conditioned medium.

Figure 3.

Polymerase chain reaction analysis of bile cells marker genes. Gene expression analysis of Ck19, Ck7 and Sox9. Ck19, cytokeratin 19; Sox9, sex-determining region-Y-box 9; ADSCs, adipose-derived stem cells; CM, conditioned medium.

Discussion

The present study showed that conditioned medium derived from hepatocytes could induce ADSCs to bile cells. In mouse embryonic development, CCAAT-enhancer-binding protein α (C/EBPα) is known as a critical transcription factor that induces hepatoblasts into hepatocytes (13). Downregulation of C/EBPα is the most important event in differentiation into bile cells. C/EBPα-knockout mice could not develop mature hepatocyte cells, and all the cells that should have been hepatocytes were bile cells (14). Furthermore, it was reported that transforming growth factor β (TGFβ)/activin and Notch signaling were important for developing bile cells. Therefore, it was considered that the conditioned medium derived from hepatocytes may contain the C/EBPα inhibitor, TGFβ/activin or Notch (15–17). In conclusion, analysis of the factors in the conditioned medium will lead to the development of efficient bile cell differentiation culture medium and regenerative therapy for the bile duct.

Acknowledgements

The authors thank all the members of the laboratory for the discussion of the study and technical assistance. The present study was supported in part by a Grant-in-Aid for Scientific Research from the Ministry of Education, Culture, Sports, Science, and Technology and P-DIRECT; a Grant-in-Aid from the Ministry of Health, Labor and Welfare; a grant from the National Institute of Biomedical Innovation; and a grant from the Osaka University Drug Discovery Funds. Partial support was received from the Suzuken Memorial Foundation (M.K.), the Yasuda Medical Foundation (N.N.), the Pancreas Research Foundation (K.K.), the Nakatani Foundation (H.I.), and the Nakatomi Foundation of Japan (M.K.). Institutional endowments were received partially from Taiho Pharmaceutical Co., Ltd., Evidence Based Medical Research Center, Chugai Co., Ltd., Yakult Honsha Co., Ltd., and Merck Co., Ltd. These funding bodies had no role in the main experimental materials and methods, supplies or expenses, study design, data collection and analysis, decision to publish, or preparation of the manuscript.

References

1 

Majumdar MK, Banks V, Peluso DP and Morris EA: Isolation, characterization, and chondrogenic potential of human bone marrow-derived multipotential stromal cells. J Cell Physiol. 185:98–106. 2000. View Article : Google Scholar : PubMed/NCBI

2 

Zuk PA, Zhu M, Mizuno H, Huang J, Futrell JW, Katz AJ, Benhaim P, Lorenz HP and Hedrick MH: Multilineage cells from human adipose tissue: Implications for cell-based therapies. Tissue Eng. 7:211–228. 2001. View Article : Google Scholar : PubMed/NCBI

3 

Halvorsen YC, Wilkison WO and Gimble JM: Adipose-derived stromal cells - their utility and potential in bone formation. Int J Obes Relat Metab Disord. 24 Suppl 4:S41–S44. 2000. View Article : Google Scholar : PubMed/NCBI

4 

Halvorsen YD, Franklin D, Bond AL, Hitt DC, Auchter C, Boskey AL, Paschalis EP, Wilkison WO and Gimble JM: Extracellular matrix mineralization and osteoblast gene expression by human adipose tissue-derived stromal cells. Tissue Eng. 7:729–741. 2001. View Article : Google Scholar : PubMed/NCBI

5 

Rangappa S, Fen C, Lee EH, Bongso A and Sim EK: Transformation of adult mesenchymal stem cells isolated from the fatty tissue into cardiomyocytes. Ann Thorac Surg. 75:775–779. 2003. View Article : Google Scholar : PubMed/NCBI

6 

Planat-Benard V, Silvestre JS, Cousin B, André M, Nibbelink M, Tamarat R, Clergue M, Manneville C, Saillan-Barreau C, Duriez M, et al: Plasticity of human adipose lineage cells toward endothelial cells: Physiological and therapeutic perspectives. Circulation. 109:656–663. 2004. View Article : Google Scholar : PubMed/NCBI

7 

Konno M, Hamazaki TS, Fukuda S, Tokuhara M, Uchiyama H, Okazawa H, Okochi H and Asashima M: Efficiently differentiating vascular endothelial cells from adipose tissue-derived mesenchymal stem cells in serum-free culture. Biochem Biophys Res Commun. 400:461–465. 2010. View Article : Google Scholar : PubMed/NCBI

8 

Konno M, Hamabe A, Hasegawa S, Ogawa H, Fukusumi T, Nishikawa S, Ohta K, Kano Y, Ozaki M, Noguchi Y, et al: Adipose-derived mesenchymal stem cells and regenerative medicine. Dev Growth Differ. 55:309–318. 2013. View Article : Google Scholar : PubMed/NCBI

9 

Banas A, Teratani T, Yamamoto Y, Tokuhara M, Takeshita F, Quinn G, Okochi H and Ochiya T: Adipose tissue-derived mesenchymal stem cells as a source of human hepatocytes. Hepatology. 46:219–228. 2007. View Article : Google Scholar : PubMed/NCBI

10 

Casteilla L and Dani C: Adipose tissue-derived cells: From physiology to regenerative medicine. Diabetes Metab. 32:393–401. 2006. View Article : Google Scholar : PubMed/NCBI

11 

D'Andrea F, De Francesco F, Ferraro GA, Desiderio V, Tirino V, De Rosa A and Papaccio G: Large-scale production of human adipose tissue from stem cells: A new tool for regenerative medicine and tissue banking. Tissue Eng Part C Methods. 14:233–242. 2008. View Article : Google Scholar : PubMed/NCBI

12 

Kawamoto K, Yabe S, Konno M, Ishii H, Nishida N, Koseki J, Fukuda S, Tomimaru Y, Hama N, Wada H, et al: Murine insulinoma cell-conditioned medium with BETA2/Neurod1 transduction efficiently induces the differentiation of adipose-derived mesenchymal stem cells into β-Like cells both in vitro and in vivo. J Stem Cell Res Ther. 4:10002212014. View Article : Google Scholar

13 

Shiojiri N, Takeshita K, Yamasaki H and Iwata T: Suppression of C/EBP alpha expression in biliary cell differentiation from hepatoblasts during mouse liver development. J Hepatol. 41:790–798. 2004. View Article : Google Scholar : PubMed/NCBI

14 

Yamasaki H, Sada A, Iwata T, Niwa T, Tomizawa M, Xanthopoulos KG, Koike T and Shiojiri N: Suppression of C/EBPalpha expression in periportal hepatoblasts may stimulate biliary cell differentiation through increased Hnf6 and Hnf1b expression. Development. 133:4233–4243. 2006. View Article : Google Scholar : PubMed/NCBI

15 

McCright B, Lozier J and Gridley T: A mouse model of Alagille syndrome: Notch2 as a genetic modifier of Jag1 haploinsufficiency. Development. 129:1075–1082. 2002.PubMed/NCBI

16 

Tanimizu N and Miyajima A: Notch signaling controls hepatoblast differentiation by altering the expression of liver-enriched transcription factors. J Cell Sci. 117:3165–3174. 2004. View Article : Google Scholar : PubMed/NCBI

17 

Clotman F, Jacquemin P, Plumb-Rudewiez N, Pierreux CE, Van der Smissen P, Dietz HC, Courtoy PJ, Rousseau GG and Lemaigre FP: Control of liver cell fate decision by a gradient of TGF beta signaling modulated by Onecut transcription factors. Genes Dev. 19:1849–1854. 2005. View Article : Google Scholar : PubMed/NCBI

Related Articles

  • Abstract
  • View
  • Download
  • Twitter
Copy and paste a formatted citation
Spandidos Publications style
Ogawa H, Konno M, Kawamoto K, Nishida N, Koseki J, Mizushima T, Satoh T, Eguchi H, Doki Y, Mori M, Mori M, et al: Fetal hepatocyte-derived culture medium elicits adipocyte differentiation to bile duct cell lineages in a mouse model. Biomed Rep 8: 497-499, 2018.
APA
Ogawa, H., Konno, M., Kawamoto, K., Nishida, N., Koseki, J., Mizushima, T. ... Ishii, H. (2018). Fetal hepatocyte-derived culture medium elicits adipocyte differentiation to bile duct cell lineages in a mouse model. Biomedical Reports, 8, 497-499. https://doi.org/10.3892/br.2018.1080
MLA
Ogawa, H., Konno, M., Kawamoto, K., Nishida, N., Koseki, J., Mizushima, T., Satoh, T., Eguchi, H., Doki, Y., Mori, M., Ishii, H."Fetal hepatocyte-derived culture medium elicits adipocyte differentiation to bile duct cell lineages in a mouse model". Biomedical Reports 8.5 (2018): 497-499.
Chicago
Ogawa, H., Konno, M., Kawamoto, K., Nishida, N., Koseki, J., Mizushima, T., Satoh, T., Eguchi, H., Doki, Y., Mori, M., Ishii, H."Fetal hepatocyte-derived culture medium elicits adipocyte differentiation to bile duct cell lineages in a mouse model". Biomedical Reports 8, no. 5 (2018): 497-499. https://doi.org/10.3892/br.2018.1080
Copy and paste a formatted citation
x
Spandidos Publications style
Ogawa H, Konno M, Kawamoto K, Nishida N, Koseki J, Mizushima T, Satoh T, Eguchi H, Doki Y, Mori M, Mori M, et al: Fetal hepatocyte-derived culture medium elicits adipocyte differentiation to bile duct cell lineages in a mouse model. Biomed Rep 8: 497-499, 2018.
APA
Ogawa, H., Konno, M., Kawamoto, K., Nishida, N., Koseki, J., Mizushima, T. ... Ishii, H. (2018). Fetal hepatocyte-derived culture medium elicits adipocyte differentiation to bile duct cell lineages in a mouse model. Biomedical Reports, 8, 497-499. https://doi.org/10.3892/br.2018.1080
MLA
Ogawa, H., Konno, M., Kawamoto, K., Nishida, N., Koseki, J., Mizushima, T., Satoh, T., Eguchi, H., Doki, Y., Mori, M., Ishii, H."Fetal hepatocyte-derived culture medium elicits adipocyte differentiation to bile duct cell lineages in a mouse model". Biomedical Reports 8.5 (2018): 497-499.
Chicago
Ogawa, H., Konno, M., Kawamoto, K., Nishida, N., Koseki, J., Mizushima, T., Satoh, T., Eguchi, H., Doki, Y., Mori, M., Ishii, H."Fetal hepatocyte-derived culture medium elicits adipocyte differentiation to bile duct cell lineages in a mouse model". Biomedical Reports 8, no. 5 (2018): 497-499. https://doi.org/10.3892/br.2018.1080
Follow us
  • Twitter
  • LinkedIn
  • Facebook
About
  • Spandidos Publications
  • Careers
  • Cookie Policy
  • Privacy Policy
How can we help?
  • Help
  • Live Chat
  • Contact
  • Email to our Support Team