Spandidos Publications Logo
  • About
    • About Spandidos
    • Aims and Scopes
    • Abstracting and Indexing
    • Editorial Policies
    • Reprints and Permissions
    • Job Opportunities
    • Terms and Conditions
    • Contact
  • Journals
    • All Journals
    • Oncology Letters
      • Oncology Letters
      • Information for Authors
      • Editorial Policies
      • Editorial Board
      • Aims and Scope
      • Abstracting and Indexing
      • Bibliographic Information
      • Archive
    • International Journal of Oncology
      • International Journal of Oncology
      • Information for Authors
      • Editorial Policies
      • Editorial Board
      • Aims and Scope
      • Abstracting and Indexing
      • Bibliographic Information
      • Archive
    • Molecular and Clinical Oncology
      • Molecular and Clinical Oncology
      • Information for Authors
      • Editorial Policies
      • Editorial Board
      • Aims and Scope
      • Abstracting and Indexing
      • Bibliographic Information
      • Archive
    • Experimental and Therapeutic Medicine
      • Experimental and Therapeutic Medicine
      • Information for Authors
      • Editorial Policies
      • Editorial Board
      • Aims and Scope
      • Abstracting and Indexing
      • Bibliographic Information
      • Archive
    • International Journal of Molecular Medicine
      • International Journal of Molecular Medicine
      • Information for Authors
      • Editorial Policies
      • Editorial Board
      • Aims and Scope
      • Abstracting and Indexing
      • Bibliographic Information
      • Archive
    • Biomedical Reports
      • Biomedical Reports
      • Information for Authors
      • Editorial Policies
      • Editorial Board
      • Aims and Scope
      • Abstracting and Indexing
      • Bibliographic Information
      • Archive
    • Oncology Reports
      • Oncology Reports
      • Information for Authors
      • Editorial Policies
      • Editorial Board
      • Aims and Scope
      • Abstracting and Indexing
      • Bibliographic Information
      • Archive
    • Molecular Medicine Reports
      • Molecular Medicine Reports
      • Information for Authors
      • Editorial Policies
      • Editorial Board
      • Aims and Scope
      • Abstracting and Indexing
      • Bibliographic Information
      • Archive
    • World Academy of Sciences Journal
      • World Academy of Sciences Journal
      • Information for Authors
      • Editorial Policies
      • Editorial Board
      • Aims and Scope
      • Abstracting and Indexing
      • Bibliographic Information
      • Archive
    • International Journal of Functional Nutrition
      • International Journal of Functional Nutrition
      • Information for Authors
      • Editorial Policies
      • Editorial Board
      • Aims and Scope
      • Abstracting and Indexing
      • Bibliographic Information
      • Archive
    • International Journal of Epigenetics
      • International Journal of Epigenetics
      • Information for Authors
      • Editorial Policies
      • Editorial Board
      • Aims and Scope
      • Abstracting and Indexing
      • Bibliographic Information
      • Archive
    • Medicine International
      • Medicine International
      • Information for Authors
      • Editorial Policies
      • Editorial Board
      • Aims and Scope
      • Abstracting and Indexing
      • Bibliographic Information
      • Archive
  • Articles
  • Information
    • Information for Authors
    • Information for Reviewers
    • Information for Librarians
    • Information for Advertisers
    • Conferences
  • Language Editing
Spandidos Publications Logo
  • About
    • About Spandidos
    • Aims and Scopes
    • Abstracting and Indexing
    • Editorial Policies
    • Reprints and Permissions
    • Job Opportunities
    • Terms and Conditions
    • Contact
  • Journals
    • All Journals
    • Biomedical Reports
      • Information for Authors
      • Editorial Policies
      • Editorial Board
      • Aims and Scope
      • Abstracting and Indexing
      • Bibliographic Information
      • Archive
    • Experimental and Therapeutic Medicine
      • Information for Authors
      • Editorial Policies
      • Editorial Board
      • Aims and Scope
      • Abstracting and Indexing
      • Bibliographic Information
      • Archive
    • International Journal of Epigenetics
      • Information for Authors
      • Editorial Policies
      • Editorial Board
      • Aims and Scope
      • Abstracting and Indexing
      • Bibliographic Information
      • Archive
    • International Journal of Functional Nutrition
      • Information for Authors
      • Editorial Policies
      • Editorial Board
      • Aims and Scope
      • Abstracting and Indexing
      • Bibliographic Information
      • Archive
    • International Journal of Molecular Medicine
      • Information for Authors
      • Editorial Policies
      • Editorial Board
      • Aims and Scope
      • Abstracting and Indexing
      • Bibliographic Information
      • Archive
    • International Journal of Oncology
      • Information for Authors
      • Editorial Policies
      • Editorial Board
      • Aims and Scope
      • Abstracting and Indexing
      • Bibliographic Information
      • Archive
    • Medicine International
      • Information for Authors
      • Editorial Policies
      • Editorial Board
      • Aims and Scope
      • Abstracting and Indexing
      • Bibliographic Information
      • Archive
    • Molecular and Clinical Oncology
      • Information for Authors
      • Editorial Policies
      • Editorial Board
      • Aims and Scope
      • Abstracting and Indexing
      • Bibliographic Information
      • Archive
    • Molecular Medicine Reports
      • Information for Authors
      • Editorial Policies
      • Editorial Board
      • Aims and Scope
      • Abstracting and Indexing
      • Bibliographic Information
      • Archive
    • Oncology Letters
      • Information for Authors
      • Editorial Policies
      • Editorial Board
      • Aims and Scope
      • Abstracting and Indexing
      • Bibliographic Information
      • Archive
    • Oncology Reports
      • Information for Authors
      • Editorial Policies
      • Editorial Board
      • Aims and Scope
      • Abstracting and Indexing
      • Bibliographic Information
      • Archive
    • World Academy of Sciences Journal
      • Information for Authors
      • Editorial Policies
      • Editorial Board
      • Aims and Scope
      • Abstracting and Indexing
      • Bibliographic Information
      • Archive
  • Articles
  • Information
    • For Authors
    • For Reviewers
    • For Librarians
    • For Advertisers
    • Conferences
  • Language Editing
Login Register Submit
  • This site uses cookies
  • You can change your cookie settings at any time by following the instructions in our Cookie Policy. To find out more, you may read our Privacy Policy.

    I agree
Search articles by DOI, keyword, author or affiliation
Search
Advanced Search
presentation
Experimental and Therapeutic Medicine
Join Editorial Board Propose a Special Issue
Print ISSN: 1792-0981 Online ISSN: 1792-1015
Journal Cover
June-2016 Volume 11 Issue 6

Full Size Image

Sign up for eToc alerts
Recommend to Library

Journals

International Journal of Molecular Medicine

International Journal of Molecular Medicine

International Journal of Molecular Medicine is an international journal devoted to molecular mechanisms of human disease.

International Journal of Oncology

International Journal of Oncology

International Journal of Oncology is an international journal devoted to oncology research and cancer treatment.

Molecular Medicine Reports

Molecular Medicine Reports

Covers molecular medicine topics such as pharmacology, pathology, genetics, neuroscience, infectious diseases, molecular cardiology, and molecular surgery.

Oncology Reports

Oncology Reports

Oncology Reports is an international journal devoted to fundamental and applied research in Oncology.

Experimental and Therapeutic Medicine

Experimental and Therapeutic Medicine

Experimental and Therapeutic Medicine is an international journal devoted to laboratory and clinical medicine.

Oncology Letters

Oncology Letters

Oncology Letters is an international journal devoted to Experimental and Clinical Oncology.

Biomedical Reports

Biomedical Reports

Explores a wide range of biological and medical fields, including pharmacology, genetics, microbiology, neuroscience, and molecular cardiology.

Molecular and Clinical Oncology

Molecular and Clinical Oncology

International journal addressing all aspects of oncology research, from tumorigenesis and oncogenes to chemotherapy and metastasis.

World Academy of Sciences Journal

World Academy of Sciences Journal

Multidisciplinary open-access journal spanning biochemistry, genetics, neuroscience, environmental health, and synthetic biology.

International Journal of Functional Nutrition

International Journal of Functional Nutrition

Open-access journal combining biochemistry, pharmacology, immunology, and genetics to advance health through functional nutrition.

International Journal of Epigenetics

International Journal of Epigenetics

Publishes open-access research on using epigenetics to advance understanding and treatment of human disease.

Medicine International

Medicine International

An International Open Access Journal Devoted to General Medicine.

Journal Cover
June-2016 Volume 11 Issue 6

Full Size Image

Sign up for eToc alerts
Recommend to Library

  • Article
  • Citations
    • Cite This Article
    • Download Citation
    • Create Citation Alert
    • Remove Citation Alert
    • Cited By
  • Similar Articles
    • Related Articles (in Spandidos Publications)
    • Similar Articles (Google Scholar)
    • Similar Articles (PubMed)
  • Download PDF
  • Download XML
  • View XML
Article

Protective effects of Danggui Buxue Tang on renal function, renal glomerular mesangium and heparanase expression in rats with streptozotocin-induced diabetes mellitus

  • Authors:
    • Tai‑Sheng Ye
    • Ying‑Wen Zhang
    • Xian‑Mei Zhang
  • View Affiliations / Copyright

    Affiliations: Department of Integrated Traditional Chinese and Western Medicine, Zhongnan Hospital, Wuhan University, Wuhan, Hubei 430071, P.R. China, Department of Integrated Traditional Chinese and Western Medicine, The Third Hospital of Wuhan, Wuhan, Hubei 430060, P.R. China
  • Pages: 2477-2483
    |
    Published online on: April 1, 2016
       https://doi.org/10.3892/etm.2016.3218
  • Expand metrics +
Metrics: Total Views: 0 (Spandidos Publications: | PMC Statistics: )
Metrics: Total PDF Downloads: 0 (Spandidos Publications: | PMC Statistics: )
Cited By (CrossRef): 0 citations Loading Articles...

This article is mentioned in:



Abstract

Danggui Buxue Tang (DBT) is a simple combination of Radix Astragali and Radix Angelica sinensis (5:1), with a variety pharmacological activities. In the present study, a single intravenous injection of 30 mg/kg streptozotocin and subsequent six weeks of high glucose diet in Sprague Dawley rats were used to induce diabetic nephropathy. Rats with diabetes mellitus showed increased levels of fasting blood glucose (FBG), blood urea nitrogen (BUN), serum creatinine (Scr), serum and urine β2‑microglobulins (β2‑MG), and type IV collagen (all P<0.05). DBT treatment significantly decreased the levels of FBG, BUN, Scr, serum and urine β2‑MG, and type IV collagen. Furthermore, DBT treatment significantly and dose‑dependently restored the ultrastructural injury, and reduced the expression of heparanase, compared with the vehicle (P<0.05). Therefore, DBT may be a novel therapeutic approach for the prevention and treatment of diabetic nephrology.

Introduction

Diabetic nephropathy is a serious and progressive complication of diabetes and occurs in 30–40% of diabetic patients (1). Hyperglycemia is a crucial factor for the induction of diabetic nephropathy. Although positive effects on the development and progression of diabetic nephropathy may be produced through strict control of blood glucose, blood pressure and, in particular, blockade of the renin-angiotensin system (2), these ainterventions are not sufficient to significantly reduce the high incidence of end-stage kidney damage caused by diabetes. Therefore, it is important to develop novel therapies that allow for the prevention and retardation of diabetic nephropathy.

The dried root (Radix) of Angelica sinensis is commonly known as Danggui, and is a crude drug widely used in traditional Chinese medicine for >2,000 years (3). Danggui is used to promote blood circulation for the treatment of menstrual disorders, to modulate the immune system, and the extracts of Radix A. sinensis have been found to exhibit various levels of antioxidant capacity (4). Radix Astragali, also known as Huangqi, is the dried root of Astragalus membranaceus, which belongs to the family of Fabaceae (5). Radix Astragali, which has also been used for the treatment of diabetes for hundreds of years in China, has been demonstrated to have an inhibitory effect on metal-induced oxidative stress (6). Danggui Buxue Tang (DBT) is a herbal decoction of Radix Astragali and Radix A. sinensis (5:1) (7). DBT is speculated to possess a variety of pharmacological actions, including regulation of immune functions, stimulation of red blood cell production and enhancement of cardiovascular function. Previous studies revealed that intake of DBT ameliorated the symptoms of diabetes and decreased the levels of blood glucose, plasma lipid, microalbuminuria, reduced the body weight and improved renal function in streptozotocin (STZ)-induced diabetic rats, indicating that DBT may be used as an adjuvant therapy in the prevention of diabetic nephropathy (8,9).

The glomerular tuft, a network of tangled capillaries, is composed of three cell types: Endothelial cells at the inside of the capillary, podocytes on the outside of the capillary and glomerular mesangial cells (GMCs) supporting the capillary loops (10). GMCs occupy a central position in the renal glomerulus and are known to secrete extracellular matrix (ECM) proteins, such as type IV collagen, laminin and fibronectin (11). GMC proliferation, hypertrophy and progressive accumulation of ECM proteins lead to renal fibrosis, which is recognized to play a major role in progressive renal failure in diabetic nephropathy (12). Our previous study has provided in vitro evidence that DBT effectively inhibits high glucose-induced GMC proliferation and the expression of laminin, type IV collagen and fibronectin in GMCs (13). Whether DBT displays a protective effect on the ultrastructure of the renal glomerulus and particularly GMCs requires further investigation.

Heparanase (HPA) is an endoglucuronidase which functions at the cell-surface and within the ECM to degrade heparan sulfate, the main polysaccharide of the glomerular basement membrane (GBM) (14). Heparan sulfate is believed to play a major role in the charge-selective properties of the glomerular capillary wall, by binding to and assembling structural basement membrane proteins, and thus contributing to structural integrity and barrier function of the basement membrane (15). A recent study indicated that degradation and loss of heparan sulfate in the GBM and overexpression of HPA were closely linked to the development of diabetic nephropathy (16). However, whether DBT has beneficial effects on reversing the increased level of HPA in diabetes mellitus has not yet been elucidated.

Therefore, the aim of the present study was to investigate the effects of DBT on high glucose-induced ultrastructural alterations of the renal glomeruli in vivo and the expression of HPA in the renal cortex in a STZ-induced diabetic nephropathy rat model.

Materials and methods

Preparation of DBT

In preparation of DBT, exact quantities of Radix Astragali and Radix A. sinensis were weighed at a ratio of 5:1, and then mixed using a vortex. The herbs originated from Gansu province (China) and were obtained from the Department of Pharmacy of Zhongnan Hospital, Wuhan University (Wuhan, China). As previously described (17), the mixed herbs were extracted twice; initially boiled in water (1:6; v/w) for 1 h, then the residue from first extraction was boiled in water (1:8) for 1.5 h. Finally, the solutions were filtered using a rotary evaporator (RE-52A; Shanghai Ya Rong Biochemical Instrument Factory, Shanghai, China) and concentrated into doses of 0.5, 1.0 and 2.0 kg/l. The DBT decoction was stored at 4°C until required for experimentation.

Animals

Male Sprague Dawley (SD) rats (n=60; age, 4–6 weeks; weight, 170–200 g) were purchased from the Laboratory Animal Center of Wuhan University (Certificate No. SCXK 2003-00004). The rats were housed in a constant environment (temperature, 20–22°C; humidity, 40–60%) under a 12-h light/dark cycle. This study was approved by the Committee on the Use of Live Animal in Teaching and Research of the Wuhan University, and all the animal experiments were conducted in accordance with the stipulations of the Guide for the Care and Use of Laboratory Animals (18).

Experimental protocols and grouping

First, 52 SD rats were fed a high-fat and high-glucose diet (Wuhan Biological Engineering Co., Ltd., Wuhan, China) for two weeks, followed by fasting for 12 h (17). Then, the rats were administered a single intravenous injection of STZ (30 mg/kg; Sigma-Aldrich, St. Louis, MO, USA) and continuously received the high-fat and high-glucose diet. The rats were fasted for 12 h, and the diabetic status was confirmed by monitoring blood glucose 72 h after the injection using a Johnson blood glucose meter (Johnson & Johnson Medical Equipment Co., Ltd., Shanghai, China). Rats with fasting tail-blood glucose concentrations ≥7.0 mmol/l were considered to have developed diabetes mellitus (19). The rats that were confirmed with STZ-induced diabetes mellitus were randomly divided into five groups, treated once per day with the follows: 2 ml normal saline (Vehicle group); low-dose (0.5 kg/l) DBT (DBT-L group); medium-dose (1.0 kg/l) DBT (DBT-M group); high-dose (2.0 kg/l) DBT (DBT-H group); or 1.0 mg/ml gliclazide (Gliclazide group; Beijing Hailian Pharmaceutical Co., Ltd., Beijing, China), respectively. Gliclazide is an oral anti-diabetic drug and classified as a sulfonylurea, and thus has been used as a positive control previously (20). It was expected that ~9 rats were to be assigned into each group, based on our previous study (9). The dose selection was based on the conversion to the human equivalent dose (21). In addition, the remaining 8 rats that were fed with a normal diet and injected with normal saline instead of STZ, thus serving as a normal control group (NC group). Intragastric administration of normal saline, DBT or gliclazide was performed on the designated groups of rats once daily for 6 weeks. All rats were subsequently fasted overnight and sacrificed via an overdose intravenously injected pentobarbital (100 mg/kg) after the samples were collected. The kidneys were removed for the evaluation of ultrastructural changes by electron microscopy and immunohistochemistry for HPA expression.

Serum and urine studies

A 24-h urine collection was performed using metabolic cages (Wuhan Biological Engineering Co., Ltd.). Fasting blood glucose (FBG), blood urea nitrogen (BUN), serum creatinine (Scr) and serum and urine β2-microglobulins (β2-MG) levels were measured using an automatic biochemical analyzer (Hitachi 7020; Hitachi, Ltd., Tokyo, Japan). Type IV collagen detection kits were purchased from Wuhan Boster Biological Technology, Ltd. (Wuhan, China).

Electron microscopy for ultrastructure of the renal glomerular mesangium

For electron microscopy, the renal cortex was cut into 5×5×5 mm pieces and fixed in 2.5% glutaraldehyde (Wuhan Biological Engineering Co., Ltd.) for 2 h. After washing three times in 0.1% phosphate-buffered saline (Wuhan Biological Engineering Co., Ltd.), all kidney specimens were fixed in 1% osmium tetroxide phosphate buffer solution (pH 7.2–7.4; Wuhan Biological Engineering Co., Ltd.) for 1.5 h. Dehydration was performed by sequential exposure to 50, 70 and 80% ethanol for 20 min each, and 100% ethanol twice for 15 min each. Sections were then embedded in epoxy resin (Wuhan Biological Engineering Co., Ltd.) and cut into ultrathin sections, which were stained with uranyl acetate and lead citrate (Wuhan Biological Engineering Co., Ltd.), and examined using an H-600 transmission electron microscope (Hitachi, Ltd.).

Immunohistochemistry for HPA expression

For immunohistochemistry for HPA expression, the renal cortex was cut into a 0.2-cm block, which was fixed in 10% formalin (Wuhan Biological Engineering Co., Ltd.) and embedded in paraffin (Wuhan Biological Engineering Co., Ltd.). Then, the embedded blocks were cut into 4-µm sections, which were dehydrated in graded ethanol and incubated with a primary rabbit anti-rat HPA monoclonal antibody (1:100; BA1630; Wuhan Boster Biological Technology, Ltd.) at 4°C overnight. The sections were incubated with biotinylated goat anti-rabbit IgG antibody as the secondary antibody (1:100; BA1003; Wuhan Boster Biological Technology, Ltd.). A slide known to be positive to HPA (Wuhan Biological Engineering Co., Ltd.) was set as a positive control, and an irrelevant isotype rabbit IG was used for a negative control. The peroxidase reaction was visualized using 3,3′-diaminobenzidine tetrahydrochloride (Wuhan Boster Biological Technology, Ltd.) as a peroxidase substrate.

Images of immunostained sections were captured using a Canon 1000D digital camera (Canon, Inc., Tokyo, Japan). The positive immunostaining, which presented as brown or yellow granules in the cytoplasm and/or cell membrane, was automatically detected and measured for the staining intensity and area using a computer equipped with HPIAS-1000 image analysis software (Wuhan Qingping Image Technology, Co., Ltd., Wuhan, China). Five visual fields were randomly selected and assessed for immunoreactive areas at ×200 magnification. The ratio (%) of the HPA-positive glomerular area to the total glomerular area assessed was calculated, and the mean ratio of the five fields was defined to represent the level of HPA expression.

Statistical analysis

All statistical analyses were performed using SPSS software, version 13.0 (SPSS, Inc., Chicago, IL, USA). Quantitative data are presented as the mean ± standard deviation. Student's t-test and one-way analysis of variance methods were used for analyzing the differences between two groups and among the six groups, respectively. P<0.05 was considered to indicate a statistically significant difference.

Results

General condition of the animals

Following the injection of STZ, six rats died or failed to develop diabetes. Thus, the 46 rats that developed STZ-induced diabetes mellitus were randomly distributed into the Vehicle (n=10), DBT-H (n=9), DBT-M (n=9), DBT-L (n=9) and Gliclazide (n=9) groups. The numbers of rats that died during the next six weeks were three in Vehicle group and one in the DBT-L group. After six weeks of high-glucose diet, the diabetic rats in the Vehicle group showed typical diabetic symptoms, including polydipsia, polyphagia, polyuria and body weight loss, with dull fur and reduced activity.

Effects of DBT on FBG, BUN, Scr, serum and urine β2-MG, and type IV collagen expression

All rats with STZ-induced diabetes mellitus had elevated levels of FBG, BUN, Scr, serum and urine β2-MG, and type IV collagen expression prior to treatment compared with rats in the NC group (all P<0.05; Tables I and II). Treatment with gliclazide for six weeks significantly decreased the levels of FBG, BUN, Scr, serum and urine β2-MG, and type IV collagen expression, as compared with the vehicle group (P<0.05). Notably, DBT treatment at different doses resulted in a similar reversal of these abnormal parameters, although they were all above the normal levels.

Table I.

Effects of DBT on fasting blood glucose, serum creatinine and blood urea nitrogen in rats.

Table I.

Effects of DBT on fasting blood glucose, serum creatinine and blood urea nitrogen in rats.

Fasting blood glucose (mmol/l)Serum creatinine (µmol/l)Blood urea nitrogen (mmol/l)



GroupnBefore treatment6 weeks after treatmentBefore treatment6 weeks after treatmentBefore treatment6 weeks after treatment
Normal control85.3±1.125.2±1.5319.85±3.2118.11±3.227.1±1.216.9±1.42
Vehicle7 16.8±1.21a17.3±1.12 61.21±4.12a75.91±5.12 10.3±2.11a13.23±2.34
DBT-L8 17.3±0.98a 12.2±1.31b,c 62.31±3.52a 52.11±2.34b,c 11.8±2.13a 9.21±1.02b,c
DBT-M9 17.1±1.11a 13.1±1.51b,c 63.11±2.32a 49.13±1.28b,c 12.4±2.29a 9.11±1.13b,c
DBT-H9 16.9±1.02a 13.4±1.22b,c 64.10±3.13a 46.32±4.19b,c 13.9±2.01a 8.32±0.12b,c
Gliclazide9 17.2±0.92a 10.3±0.42b,c 63.89±4.11a 43.12±4.43b,c 13.4±2.32a 7.12±2.11b,c

{ label (or @symbol) needed for fn[@id='tfn1-etm-0-0-3218'] } Three rats in the vehicle group and one in the DBT-L group died during the experiment and were not included in the analysis. Data are expressed as the mean ± standard deviation. Student's t-test and one-way analysis of variance were used to analyze the differences between the two groups and among the six groups, respectively.

a P<0.05 vs. normal control group

b P<0.05 vs. vehicle group

c P<0.05 vs. before treatment. DBT, Danggui Buxue Tang; DBT-L, low concentration (0.5 kg/l) DBT; DBT-M, medium concentration (1.0 kg/l) DBT; DBT-H, high concentration (2.0 kg/l) DBT.

Table II.

Effects of DBT on serum and urine β2-microglobulin levels and type IV collagen expression in rats.

Table II.

Effects of DBT on serum and urine β2-microglobulin levels and type IV collagen expression in rats.

Serum β2-microglobulin (mg/l)Urine β2-microglobulin (µg/l)Type IV collagen (ng/ml)



GroupnBefore treatment6 weeks after treatmentBefore treatment6 weeks after treatmentBefore treatment6 weeks after treatment
Normal control82.01±0.122.41±0.327.41±0.187.01±0.3221.1±2.4223.2±3.51
Vehicle7 7.01±0.22a8.08±0.13 14.31±0.22a13.06±0.41 37.3±2.23a40.1±3.41
DBT-L8 6.95±0.41a 5.41±0.13b 13.64±0.32a,c 10.01±0.12b,c 36.3±4.41a 27.1±4.01b,c
DBT-M9 6.78±0.33a 5.01±0.44b 13.01±0.37a,c 9.94±0.32b,c 34.7±3.22a 28.1±2.90b,c
DBT-H9 7.01±0.35a 5.13±0.61b 12.75±0.28a,c 9.01±0.14b,c 35.1±2.12a 25.1±3.21b,c
Gliclazide9 7.03±0.22a 6.78±0.12b 13.01±0.42a,c 10.01±0.32b,c 33.9±3.41a 27.1±2.42b,c

{ label (or @symbol) needed for fn[@id='tfn5-etm-0-0-3218'] } Three rats in the vehicle group and one in the DBT-L group died during the experiment and were not included in the analysis. Data are expressed as the mean ± standard deviation. Student's t-test and one-way analysis of variance were used to analyze the differences between the two groups and among the six groups, respectively

a P<0.05 vs. normal control group

b P<0.05 vs. vehicle group

c P<0.05 vs. before treatment. DBT, Danggui Buxue Tang; DBT-L, low concentration (0.5 kg/l) DBT; DBT-M, medium concentration (1.0 kg/l) DBT; DBT-H, high concentration (2.0 kg/l) DBT.

DBT treatment restores the changes in the glomerular ultrastructure in diabetic rats

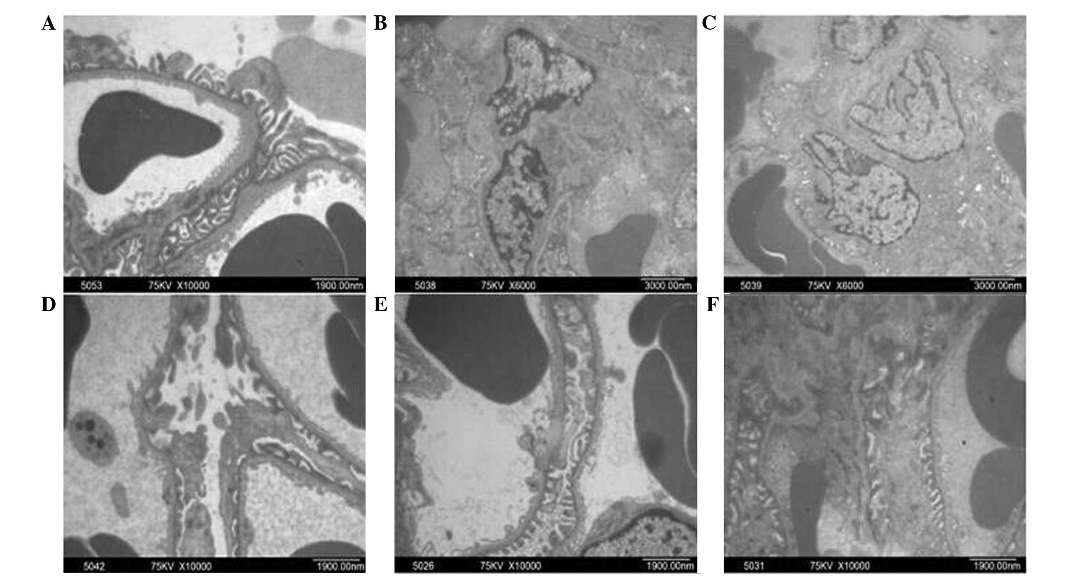
To assess the protective effects on the renal glomerulus, ultrastructural analysis by electron microscopy was performed in the renal cortex of diabetic rats after six weeks of DBT treatment, with the untreated diabetic and normal rats as controls. All rats in NC group showed normal glomerular ultrastructure. Specifically, numerous thick primary processes extended from the cell body of the podocytes. These then further ramified into fine, finger-like secondary foot processes, which interdigitated with foot processes from adjacent podocytes. The foot processes formed a fence-like structure which was closely attached to the GBM. Together with the GBM, the endothelium and podocytes formed the filtration barrier, and the mesangium consisting of GMCs and the matrix lied between the glomerular capillaries (Fig. 1A). In the Vehicle group, the secondary foot processes of podocytes became irregular and displayed numerous areas of effacement and GBM thickened with evident expansion of GMCs (Fig. 1B). However, in rats after six weeks of DBT treatment, there was a notable improvement in the ultrastructural abnormalities (Fig. 1C–E), particularly in those in the DBT-H group, where GBM thickness, podocytes and GMCs were similar to those in the NC group. Similar improvement in the ultrastructural abnormalities was observed in rats in the Gliclazide group (Fig. 1F).

Figure 1.

Restoration of the glomerular ultrastructural changes by Danggui Buxue Tang (DBT) treatment in rats with streptozotocin-induced diabetes mellitus. Representatives of the glomerular ultrastructure as detected using electron microscopy in (A) untreated normal control, (B) vehicle-treated, (C) 0.5 kg/l DBT-treated, (D) 1.0 kg/l DBT-treated, (E) 2.0 kg/l DBT-treated and (F) gliclazide-treated rats. The renal injury was substantially improved after six weeks of DBT treatment in the DBT-L, DBT-M and DBT-H groups.

DBT treatment decreases HPA expression in the renal cortex in diabetic rats

The positive immunohistochemical staining of HPA protein was shown as brown signals in the cytoplasm and/or cell membrane of podocytes, mesangial cells and tubular epithelial cells. The positive signals were quantified using HPIAS-1000 image analysis software, and the average values of HPA immunohistochemical staining in the different groups are shown in Table III. HPA expression was negative or very low in glomeruli in the control group (Table III and Fig. 2A). The rats in the Vehicle group exhibited a significantly higher HPA immunostaining in the glomeruli (Table III and Fig. 2B). However, HPA protein expression was significantly and dose-dependently decreased in the DBT groups, as compared to the Vehicle group (Table III and Fig. 2C–E). HPA protein expression was also significantly decreased in the Gliclazide group, as compared to the Vehicle group (Table III and Fig. 2F). Notably, the high-dose DBT (2.0 kg/l) treatment showed an increased effect compared with gliclazide with respect to decreasing HPA expression (36.25±3.86 vs. 52.00±2.71; P<0.05).

Figure 2.

Immunohistochemical analysis for heparanase expression in the kidney tissues of the (A) untreated normal control, (B) vehicle-treated, (C) 0.5 kg/l Danggui Buxue Tang (DBT)-treated, (D) 1.0 kg/l DBT-treated, (E) 2.0 kg/l DBT-treated and (F) gliclazide-treated rats (magnification, ×200).

Table III.

Expression of HPA in the kidney tissues.

Table III.

Expression of HPA in the kidney tissues.

GroupnHPA expression (%)
Normal control818.00±8.2
Vehicle7 109.50±18.95a
DBT-L8 71.00±8.04a,b,c
DBT-M9 55.50±1.29a,b
DBT-H9 36.25±3.86a,b,c
Gliclazide9 52.00±2.71a,b

{ label (or @symbol) needed for fn[@id='tfn9-etm-0-0-3218'] } Three rats in the Vehicle group and one in the DBT-L group died during the experiment and were not included in the analysis. Data are expressed as the mean ± standard deviation. Student's t-test and one-way analysis of variance were used to analyze the differences between the two groups and among the six groups, respectively

a P<0.05 vs. normal control group

b P<0.05 vs. Vehicle group

c P<0.05 vs. Gliclazide group. DBT, Danggui Buxue Tang; DBT-L, low concentration (0.5 kg/l) DBT; DBT-M, medium concentration (1.0 kg/l) DBT; DBT-H, high concentration (2.0 kg/l) DBT.

Discussion

Development of diabetic nephropathy is characterized by increased plasma levels of creatinine and BUN in STZ-induced diabetic rats (22). STZ is a powerful alkylating agent that has been widely accepted as an inducer to produce diabetes mellitus in rodents (23). STZ interferes with numerous cellular processes, such as glucose transport and glucokinase function, and may induce DNA strand breakage (24). A single large dose of STZ (such as 30 mg/kg) may induce diabetes mellitus in rodents; however, this dose has been associated with high mortality. In the present study, a two-week high-glucose diet followed by a single injection of 30 mg/kg STZ induced diabetes mellitus in 88% (46/52) of the surviving rats. Moreover, the subsequent six-week maintenance of the high-glucose diet resulted in typical features of nephropathy in the diabetic rats. Besides symptoms of hyperglycemia and obesity, this model appeared to exhibit the most consistent and robust increases in BUN and Scr; as such, it has been used as a useful model of progressive diabetic renal disease.

The pathological characteristics of diabetic nephropathy include the proliferation of GMCs, thickening of the GBM, and accumulation of ECM proteins, followed by progressive glomerulosclerosis and worsening of renal function (25–27). An in vitro study has shown that GMCs are a major source of free radicals following exposure to high glucose concentrations (28). Hyperglycemia causes oxidative stress and leads to an increase in a number of complements, growth factors, and cytokines, such as transforming growth factor (TGF)-β, and the excessive production and accumulation of ECM proteins (29). This increased production in GMCs has been implicated in the development of diabetic nephropathy. Our previous in vitro study showed that high glucose induced an increased synthesis of various ECM proteins, including type IV collagen, laminin, and fibronectin, in glomerular mesangial and epithelial cells (13). Furthermore, in the present study, the high glucose-induced diabetic rats displayed abnormal thickening of the GBM, loss of podocytes, effacement of foot processes and expansion of mesangial cells. These findings clearly indicate that the high glucose not only induces glomerular mesangial and epithelial proliferation, but also causes ultrastructural changes of the kidney.

Radix Astragali (Huangqi) is widely used in China, and has been studied in animal models and patients with various renal diseases for its effects on cytokines and reactive oxygen species, ischemia/reperfusion injury and mechanisms of renal fibrosis (30). A systematic review revealed that Radix Astragali and its effective components are may be able to FBG and albuminuria levels, reversing the glomerular hyperfiltration and ameliorating the pathological changes associated with early diabetic nephropathy in rat models (31). DBT is traditionally used to treat gynecological disorders and hypertension in China. DBT alone appears to improve the renal functions and increase renal BMP-7 expression in STZ-induced diabetic rats (27). The present results showed that DBT was effective at improving diabetic nephropathy. Similar to the action of gliclazide, DBT treatment effectively attenuated the increases in FBG, BUN, Scr, and serum and urine β2-MG in rats with STZ-induced diabetes mellitus. The accumulation of ECM proteins, including type IV collagen, plays an important role in the pathogenesis of diabetic nephropathy (13). In the present study, DBT treatment caused a reduction in type IV collagen expression compared with the Vehicle group, suggesting that DBT may prevent kidney damage by reducing the increase of ECM proteins.

DBT in combination with Radix Astragali accelerates histological recovery of the kidney, and delays the progression of renal fibrosis as much as the acetyl choline inhibitor enalapril (32). This appeared to occur via the suppression of TGF-β expression and mitigation of the upregulated expression of type III and IV collagens, fibronectin and laminin in a rat model of chronic puromycin-induced nephrosis (33). In the present study, DBT treatment substantially improved diabetes-induced structural cellular alterations, such as the proliferation of GMCs, loss of podocyte foot processes and abnormal thickness of the GBM. In particular, the GBM thickness, numbers of podocytes and GMCs were similar between the DBT-H and NC groups. These results further support those obtained in our previous in vitro study in which DBT had inhibitory effects on high glucose-induced GMC proliferation and the expression of ECM proteins (13).

Heparan sulfate proteoglycans (HSPG) are ubiquitous macromolecules associated with cell surfaces and ECM, and represent a major constituent of the GBM (34). HSPG in the kidneys are composed of an agrin protein core that is covalently linked to the negatively charged glycosaminoglycan heparan sulfate (35). HPA is an endoglycosidase which cleaves heparan sulfate and hence participates in the degradation and remodeling of the ECM. A previous study indicated that increased glomerular expression of HPA was associated with overt diabetic nephropathy (36). In addition, the expression of HPA was upregulated in animal models of proteinuric renal disease, including passive heymann nephritis, puromycin nephrosis, anti-GBM nephritis and adriamycin nephropathy (37). Furthermore, the overexpression of HPA in transgenic mice led to proteinuria, while treatment with a polyclonal anti-HPA antibody resulted in a three-fold reduction of proteinuria in a model of anti-GBM disease (37). In the present study, the expression of HPA in the diabetic rat renal cortex was evaluated using immunohistochemistry to investigate the effect of DBT treatments on HPA expression. HPA expression was negative or low in the glomeruli of the NC group. However, the rats in the Vehicle group exhibited a significantly higher HPA immunostaining in the glomeruli. These findings were consistent with our previous in vitro study, which demonstrated that high glucose was able to induce HPA expression in podocytes and a reduction of cell surface heparan sulfate (38). Overexpression of HPA may lead to an increased permeability of the GBM to macromolecules, due to the degradation of glomerular heparan sulfate and the activation of a variety of complements and cytokines (39). To the best of our knowledge, the present study is the first to demonstrate that DBT treatment effectively inhibited the levels of HPA expression in renal glomerular mesangium, indicating that DBT may preserve renal functional and structural integrity. This may at least partially occur via the inhibition of HPA expression, resulting in increased heparin sulfate expression in the renal glomerular mesangium. Notably, the high-dose DBT (2 kg/l) treatment was more effective than gliclazide with respect to decreasing HPA expression. However, heparan sulfate loss in proteinuric renal disease may be attributed to a number of mechanisms other than HPA, including depolymerization of heparin sulfate by increasing the formation of free radicals, such as reactive oxygen species (ROS) and decreasing antioxidant capacity (40). Oxidative stress may facilitate the formation of advanced glycation end products, which is a pathogenic factor in sustained hyperglycemia-induced kidney injuries (41). DBT has been reported to be a native free radical scavenger, and is able to decrease hyperglycemia-induced ROS generation in the kidneys of diabetic rats or in mesangial cells (28). Therefore, anti-ROS treatments such as DBT may prevent hyperglycemia-induced renal damage in diabetes mellitus.

It should be noted that the present report is only a preliminary observational study. Thus, further studies are required to identify the specific active components present in DBT that are responsible for the beneficial effects on the renal function, and to elucidate the underlying mechanisms by which DBT improves and prevents diabetes mellitus and diabetic nephropathy.

DBT appears to be a renal protective agent by reversing renal ultrastructural changes in a high-glucose/STZ-induced diabetic nephropathy rat model. Furthermore, DBT exhibits beneficial effects by decreasing the elevated HPA expression in the renal glomerular mesangium. Therefore, DBT is potentially a novel therapeutic intervention for the treatment of diabetic nephropathy.

Acknowledgements

This study was supported by funding from the National Natural Science Foundation of China (grant no. 30973819).

References

1 

Heerspink HJ and de Zeeuw D: The kidney in type 2 diabetes therapy. Rev Diabet Stud. 8:392–402. 2011. View Article : Google Scholar : PubMed/NCBI

2 

Abuissa H and O'Keefe J Jr: The role of renin-angiotensin-aldosterone system-based therapy in diabetes prevention and cardiovascular and renal protection. Diabetes Obes Metab. 10:1157–1166. 2008.PubMed/NCBI

3 

Zhang WL, Zheng KY, Zhu KY, Zhan JY, Bi CW, Chen JP, Dong TT, Choi RC, Lau DT and Tsim KW: Chemical and biological assessment of angelica roots from different cultivated regions in a chinese herbal decoction danggui buxue tang. Evid Based Complement Alternat Med. 2013:4832862013. View Article : Google Scholar : PubMed/NCBI

4 

Wu YC and Hsieh CL: Pharmacological effects of Radix Angelica sinensis (Danggui) on cerebral infarction. Chin Med. 6:322011. View Article : Google Scholar : PubMed/NCBI

5 

Wang Z, Wang J and Chan P: Treating type 2 diabetes mellitus with traditional chinese and Indian medicinal herbs. Evid Based Complement Alternat Med. 2013:3435942013.PubMed/NCBI

6 

Toda S, Yase Y and Shirataki Y: Inhibitory effects of astragali radix, crude drug in Oriental medicines on lipid peroxidation and protein oxidative modification of mouse brain homogenate by copper. Phytother Res. 14:294–296. 2000. View Article : Google Scholar : PubMed/NCBI

7 

Gao QT, Choi RC, Cheung AW, Zhu JT, Li J, Chu GK, Duan R, Cheung JK, Jiang ZY, Dong XB, et al: Danggui buxue tang - a Chinese herbal decoction activates the phosphorylations of extracellular signal-regulated kinase and estrogen receptor alpha in cultured MCF-7 cells. FEBS Lett. 581:233–240. 2007. View Article : Google Scholar : PubMed/NCBI

8 

Zhang YW, Xie D, Xia B, Zhen RT, Liu IM and Cheng JT: Suppression of transforming growth factor-beta1 gene expression by Danggui buxue tang, a traditional Chinese herbal preparation, in retarding the progress of renal damage in streptozotocin-induced diabetic rats. Horm Metab Res. 38:82–88. 2006. View Article : Google Scholar : PubMed/NCBI

9 

Zhang YW, Xie D, Chen YX, Zhang HY and Xia ZX: Protective effect of Gui Qi mixture on the progression of diabetic nephropathy in rats. Exp Clin Endocrinol Diabetes. 114:563–568. 2006. View Article : Google Scholar : PubMed/NCBI

10 

Ha TS: Roles of adaptor proteins in podocyte biology. World J Nephrol. 2:1–10. 2013. View Article : Google Scholar : PubMed/NCBI

11 

Chiang YY, Takebayashi S and Oberley TD: In vitro analysis of extracellular matrix production by porcine glomerular mesangial and vascular smooth muscle cells. Am J Pathol. 138:1349–1358. 1991.PubMed/NCBI

12 

Lan T, Liu W, Xie X, Xu S, Huang K, Peng J, Shen X, Liu P, Wang L, Xia P and Huang H: Sphingosine kinase-1 pathway mediates high glucose-induced fibronectin expression in glomerular mesangial cells. Mol Endocrinol. 25:2094–2105. 2011. View Article : Google Scholar : PubMed/NCBI

13 

Ke HL, Zhang YW, Zhou BF and Zhen RT: Effects of Danggui Buxue Tang, a traditional Chinese herbal decoction, on high glucose-induced proliferation and expression of extracellular matrix proteins in glomerular mesangial cells. Nat Prod Res. 26:1022–1026. 2012. View Article : Google Scholar : PubMed/NCBI

14 

Bame KJ: Heparanases: endoglycosidases that degrade heparan sulfate proteoglycans. Glycobiology. 11:91R–98R. 2011. View Article : Google Scholar

15 

Jiang P, Kumar A, Parrillo JE, Dempsey LA, Platt JL, Prinz RA and Xu X: Cloning and characterization of the human heparanase-1 (HPR1) gene promoter: Role of GA-binding protein and Sp1 in regulating HPR1 basal promoter activity. J Biol Chem. 277:8989–8998. 2002. View Article : Google Scholar : PubMed/NCBI

16 

Gil N, Goldberg R, Neuman T, Garsen M, Zcharia E, Rubinstein AM, van Kuppevelt T, Meirovitz A, Pisano C, Li JP, et al: Heparanase is essential for the development of diabetic nephropathy in mice. Diabetes. 61:208–216. 2012. View Article : Google Scholar : PubMed/NCBI

17 

Zhang YW, Wu CY and Cheng JT: Merit of Astragalus polysaccharide in the improvement of early diabetic nephropathy with an effect on mRNA expressions of NF-kappaB and IkappaB in renal cortex of streptozotoxin-induced diabetic rats. J Ethnopharmacol. 114:387–392. 2007. View Article : Google Scholar : PubMed/NCBI

18 

Clark JD, Gebhart GF, Gonder JC, Keeling ME and Kohn DF: Special report: Guide for the care and use of laboratory animals. ILAR J. 1997:41–48. 1997. View Article : Google Scholar

19 

Nakamura T, Terajima T, Ogata T, Ueno K, Hashimoto N, Ono K and Yano S: Establishment and pathophysiological characterization of type 2 diabetic mouse model produced by streptozotocin and nicotinamide. Biol Pharm Bull. 29:1167–1174. 2006. View Article : Google Scholar : PubMed/NCBI

20 

Schernthaner G, Grimaldi A, Di Mario U, Drzewoski J, Kempler P, Kvapil M, Novials A, Rottiers R, Rutten GE and Shaw KM: GUIDE study: Double-blind comparison of once-daily gliclazide MR andglimepiride in type 2 diabetic patients. Eur J Clin Invest. 34:535–542. 2004. View Article : Google Scholar : PubMed/NCBI

21 

U.S. Food and Drug Administration: Guidance for Industry and Reviewers: Estimating the Safe Starting Dose in Clinical Trials for Therapeutics in Adult Healthy Volunteers. December;2002.

22 

Wang GG, Lu XH, Li W, Zhao X and Zhang C: Protective effects of luteolin on diabetic nephropathy in STZ-induced diabetic rats. Evid Based Complement Alternat Med. 2011:3231712011. View Article : Google Scholar : PubMed/NCBI

23 

King AJ: The use of animal models in diabetes research. Br J Pharmacol. 166:877–894. 2012. View Article : Google Scholar : PubMed/NCBI

24 

Like AA and Rossini AA: Streptozotocin-induced pancreatic insulitis: New model of diabetes mellitus. Science. 193:415–417. 1976. View Article : Google Scholar : PubMed/NCBI

25 

Kanwar YS, Wada J, Sun L, Xie P, Wallner EI, Chen S, Chugh S and Danesh FR: Diabetic nephropathy: Mechanisms of renal disease progression. Exp Biol Med (Maywood). 233:4–11. 2008. View Article : Google Scholar : PubMed/NCBI

26 

Wolf G: New insights into the pathophysiology of diabetic nephropathy: From haemodynamics to molecular pathology. Eur J Clin Invest. 34:785–796. 2004. View Article : Google Scholar : PubMed/NCBI

27 

Dronavalli S, Duka I and Bakris GL: The pathogenesis of diabetic nephropathy. Nat Clin Pract Endocrinol Metab. 4:444–452. 2008. View Article : Google Scholar : PubMed/NCBI

28 

Yeh CH, Chang CK, Cheng KC, Li YX, Zhang YW and Cheng JT: Role of bone morphogenetic proteins-7 (BMP-7) in the renal improvement effect of DangGui (Angelica sinensis) in type-1 diabetic rats. Evid Based Complement Alternat Med. 2011:7967232011. View Article : Google Scholar : PubMed/NCBI

29 

Giacco F and Brownlee M: Oxidative stress and diabetic complications. Circ Res. 107:1058–1070. 2010. View Article : Google Scholar : PubMed/NCBI

30 

Zhong Y, Deng Y, Chen Y, Chuang PY and Cijiang He J: Therapeutic use of traditional Chinese herbal medications for chronic kidney diseases. Kidney Int. 84:1108–1118. 2013. View Article : Google Scholar : PubMed/NCBI

31 

Zhang J, Xie X, Li C and Fu P: Systematic review of the renal protective effect of Astragalus membranaceus (root) on diabetic nephropathy in animal models. J Ethnopharmacol. 126:189–196. 2009. View Article : Google Scholar : PubMed/NCBI

32 

Chen X, Cao A, Wang L, Yin P, Zhang X and Peng W: Prevention and treatment of diabetic nephropathy using traditional Chinese medicine. J Integr Nephrol Androl. 1:53–57. 2014. View Article : Google Scholar

33 

Wang H, Li J, Yu L, Zhao Y and Ding W: Antifibrotic effect of the Chinese herbs, Astragalus mongholicus and Angelica sinensis, in a rat model of chronic puromycin aminonucleoside nephrosis. Life Sci. 74:1645–1658. 2004. View Article : Google Scholar : PubMed/NCBI

34 

Shimomura H and Spiro RG: Studies on macromolecular components of human glomerular basement membrane and alterations in diabetes. Decreased levels of heparan sulfate proteoglycan and laminin. Diabetes. 36:374–381. 1987. View Article : Google Scholar : PubMed/NCBI

35 

Rops AL, van der Vlag J, Lensen JF, Wijnhoven TJ, van den Heuvel LP, van Kuppevelt TH and Berden JH: Heparan sulfate proteoglycans in glomerular inflammation. Kidney Int. 65:768–785. 2004. View Article : Google Scholar : PubMed/NCBI

36 

van den Hoven MJ, Rops AL, Bakker MA, Aten J, Rutjes N, Roestenberg P, Goldschmeding R, Zcharia E, Vlodavsky I, van der Vlag J and Berden JH: Increased expression of heparanase in overt diabetic nephropathy. Kidney Int. 70:2100–2108. 2006. View Article : Google Scholar : PubMed/NCBI

37 

Shafat I, Agbaria A, Boaz M, Schwartz D, Baruch R, Nakash R, Ilan N, Vlodavsky I and Weinstein T: Elevated urine heparanase levels are associated with proteinuria and decreased renal allograft function. PLoS One. 7:e440762012. View Article : Google Scholar : PubMed/NCBI

38 

Maxhimer JB, Somenek M, Rao G, Pesce CE, Baldwin D Jr, Gattuso P, Schwartz MM, Lewis EJ, Prinz RA and Xu X: Heparanase-1 gene expression and regulation by high glucose in renal epithelial cells: A potential role in the pathogenesis of proteinuria in diabetic patients. Diabetes. 54:2172–2178. 2005. View Article : Google Scholar : PubMed/NCBI

39 

van den Hoven MJ, Rops AL, Bakker MA, Aten J, Rutjes N, Roestenberg P, Goldschmeding R, Zcharia E, Vlodavsky I, van der Vlag J and Berden JH: Increased expression of heparanase in overt diabetic nephropathy. Kidney Int. 70:2100–2108. 2006. View Article : Google Scholar : PubMed/NCBI

40 

Kramer A, van den Hoven M, Rops A, Wijnhoven T, van den Heuvel L, Lensen J, van Kuppevelt T, van Goor H, van der Vlag J, Navis G and Berden JH: Induction of glomerular heparanase expression in rats with adriamycin nephropathy is regulated by reactive oxygen species and the renin-angiotensin system. J Am Soc Nephrol. 17:2513–2520. 2006. View Article : Google Scholar : PubMed/NCBI

41 

Tan AL, Forbes JM and Cooper ME: AGE, RAGE and ROS in diabetic nephropathy. Semin Nephrol. 27:130–143. 2007. View Article : Google Scholar : PubMed/NCBI

Related Articles

  • Abstract
  • View
  • Download
  • Twitter
Copy and paste a formatted citation
Spandidos Publications style
Ye TS, Zhang YW and Zhang XM: Protective effects of Danggui Buxue Tang on renal function, renal glomerular mesangium and heparanase expression in rats with streptozotocin-induced diabetes mellitus. Exp Ther Med 11: 2477-2483, 2016.
APA
Ye, T., Zhang, Y., & Zhang, X. (2016). Protective effects of Danggui Buxue Tang on renal function, renal glomerular mesangium and heparanase expression in rats with streptozotocin-induced diabetes mellitus. Experimental and Therapeutic Medicine, 11, 2477-2483. https://doi.org/10.3892/etm.2016.3218
MLA
Ye, T., Zhang, Y., Zhang, X."Protective effects of Danggui Buxue Tang on renal function, renal glomerular mesangium and heparanase expression in rats with streptozotocin-induced diabetes mellitus". Experimental and Therapeutic Medicine 11.6 (2016): 2477-2483.
Chicago
Ye, T., Zhang, Y., Zhang, X."Protective effects of Danggui Buxue Tang on renal function, renal glomerular mesangium and heparanase expression in rats with streptozotocin-induced diabetes mellitus". Experimental and Therapeutic Medicine 11, no. 6 (2016): 2477-2483. https://doi.org/10.3892/etm.2016.3218
Copy and paste a formatted citation
x
Spandidos Publications style
Ye TS, Zhang YW and Zhang XM: Protective effects of Danggui Buxue Tang on renal function, renal glomerular mesangium and heparanase expression in rats with streptozotocin-induced diabetes mellitus. Exp Ther Med 11: 2477-2483, 2016.
APA
Ye, T., Zhang, Y., & Zhang, X. (2016). Protective effects of Danggui Buxue Tang on renal function, renal glomerular mesangium and heparanase expression in rats with streptozotocin-induced diabetes mellitus. Experimental and Therapeutic Medicine, 11, 2477-2483. https://doi.org/10.3892/etm.2016.3218
MLA
Ye, T., Zhang, Y., Zhang, X."Protective effects of Danggui Buxue Tang on renal function, renal glomerular mesangium and heparanase expression in rats with streptozotocin-induced diabetes mellitus". Experimental and Therapeutic Medicine 11.6 (2016): 2477-2483.
Chicago
Ye, T., Zhang, Y., Zhang, X."Protective effects of Danggui Buxue Tang on renal function, renal glomerular mesangium and heparanase expression in rats with streptozotocin-induced diabetes mellitus". Experimental and Therapeutic Medicine 11, no. 6 (2016): 2477-2483. https://doi.org/10.3892/etm.2016.3218
Follow us
  • Twitter
  • LinkedIn
  • Facebook
About
  • Spandidos Publications
  • Careers
  • Cookie Policy
  • Privacy Policy
How can we help?
  • Help
  • Live Chat
  • Contact
  • Email to our Support Team