Spandidos Publications Logo
  • About
    • About Spandidos
    • Aims and Scopes
    • Abstracting and Indexing
    • Editorial Policies
    • Reprints and Permissions
    • Job Opportunities
    • Terms and Conditions
    • Contact
  • Journals
    • All Journals
    • Oncology Letters
      • Oncology Letters
      • Information for Authors
      • Editorial Policies
      • Editorial Board
      • Aims and Scope
      • Abstracting and Indexing
      • Bibliographic Information
      • Archive
    • International Journal of Oncology
      • International Journal of Oncology
      • Information for Authors
      • Editorial Policies
      • Editorial Board
      • Aims and Scope
      • Abstracting and Indexing
      • Bibliographic Information
      • Archive
    • Molecular and Clinical Oncology
      • Molecular and Clinical Oncology
      • Information for Authors
      • Editorial Policies
      • Editorial Board
      • Aims and Scope
      • Abstracting and Indexing
      • Bibliographic Information
      • Archive
    • Experimental and Therapeutic Medicine
      • Experimental and Therapeutic Medicine
      • Information for Authors
      • Editorial Policies
      • Editorial Board
      • Aims and Scope
      • Abstracting and Indexing
      • Bibliographic Information
      • Archive
    • International Journal of Molecular Medicine
      • International Journal of Molecular Medicine
      • Information for Authors
      • Editorial Policies
      • Editorial Board
      • Aims and Scope
      • Abstracting and Indexing
      • Bibliographic Information
      • Archive
    • Biomedical Reports
      • Biomedical Reports
      • Information for Authors
      • Editorial Policies
      • Editorial Board
      • Aims and Scope
      • Abstracting and Indexing
      • Bibliographic Information
      • Archive
    • Oncology Reports
      • Oncology Reports
      • Information for Authors
      • Editorial Policies
      • Editorial Board
      • Aims and Scope
      • Abstracting and Indexing
      • Bibliographic Information
      • Archive
    • Molecular Medicine Reports
      • Molecular Medicine Reports
      • Information for Authors
      • Editorial Policies
      • Editorial Board
      • Aims and Scope
      • Abstracting and Indexing
      • Bibliographic Information
      • Archive
    • World Academy of Sciences Journal
      • World Academy of Sciences Journal
      • Information for Authors
      • Editorial Policies
      • Editorial Board
      • Aims and Scope
      • Abstracting and Indexing
      • Bibliographic Information
      • Archive
    • International Journal of Functional Nutrition
      • International Journal of Functional Nutrition
      • Information for Authors
      • Editorial Policies
      • Editorial Board
      • Aims and Scope
      • Abstracting and Indexing
      • Bibliographic Information
      • Archive
    • International Journal of Epigenetics
      • International Journal of Epigenetics
      • Information for Authors
      • Editorial Policies
      • Editorial Board
      • Aims and Scope
      • Abstracting and Indexing
      • Bibliographic Information
      • Archive
    • Medicine International
      • Medicine International
      • Information for Authors
      • Editorial Policies
      • Editorial Board
      • Aims and Scope
      • Abstracting and Indexing
      • Bibliographic Information
      • Archive
  • Articles
  • Information
    • Information for Authors
    • Information for Reviewers
    • Information for Librarians
    • Information for Advertisers
    • Conferences
  • Language Editing
Spandidos Publications Logo
  • About
    • About Spandidos
    • Aims and Scopes
    • Abstracting and Indexing
    • Editorial Policies
    • Reprints and Permissions
    • Job Opportunities
    • Terms and Conditions
    • Contact
  • Journals
    • All Journals
    • Biomedical Reports
      • Information for Authors
      • Editorial Policies
      • Editorial Board
      • Aims and Scope
      • Abstracting and Indexing
      • Bibliographic Information
      • Archive
    • Experimental and Therapeutic Medicine
      • Information for Authors
      • Editorial Policies
      • Editorial Board
      • Aims and Scope
      • Abstracting and Indexing
      • Bibliographic Information
      • Archive
    • International Journal of Epigenetics
      • Information for Authors
      • Editorial Policies
      • Editorial Board
      • Aims and Scope
      • Abstracting and Indexing
      • Bibliographic Information
      • Archive
    • International Journal of Functional Nutrition
      • Information for Authors
      • Editorial Policies
      • Editorial Board
      • Aims and Scope
      • Abstracting and Indexing
      • Bibliographic Information
      • Archive
    • International Journal of Molecular Medicine
      • Information for Authors
      • Editorial Policies
      • Editorial Board
      • Aims and Scope
      • Abstracting and Indexing
      • Bibliographic Information
      • Archive
    • International Journal of Oncology
      • Information for Authors
      • Editorial Policies
      • Editorial Board
      • Aims and Scope
      • Abstracting and Indexing
      • Bibliographic Information
      • Archive
    • Medicine International
      • Information for Authors
      • Editorial Policies
      • Editorial Board
      • Aims and Scope
      • Abstracting and Indexing
      • Bibliographic Information
      • Archive
    • Molecular and Clinical Oncology
      • Information for Authors
      • Editorial Policies
      • Editorial Board
      • Aims and Scope
      • Abstracting and Indexing
      • Bibliographic Information
      • Archive
    • Molecular Medicine Reports
      • Information for Authors
      • Editorial Policies
      • Editorial Board
      • Aims and Scope
      • Abstracting and Indexing
      • Bibliographic Information
      • Archive
    • Oncology Letters
      • Information for Authors
      • Editorial Policies
      • Editorial Board
      • Aims and Scope
      • Abstracting and Indexing
      • Bibliographic Information
      • Archive
    • Oncology Reports
      • Information for Authors
      • Editorial Policies
      • Editorial Board
      • Aims and Scope
      • Abstracting and Indexing
      • Bibliographic Information
      • Archive
    • World Academy of Sciences Journal
      • Information for Authors
      • Editorial Policies
      • Editorial Board
      • Aims and Scope
      • Abstracting and Indexing
      • Bibliographic Information
      • Archive
  • Articles
  • Information
    • For Authors
    • For Reviewers
    • For Librarians
    • For Advertisers
    • Conferences
  • Language Editing
Login Register Submit
  • This site uses cookies
  • You can change your cookie settings at any time by following the instructions in our Cookie Policy. To find out more, you may read our Privacy Policy.

    I agree
Search articles by DOI, keyword, author or affiliation
Search
Advanced Search
presentation
Molecular and Clinical Oncology
Join Editorial Board Propose a Special Issue
Print ISSN: 2049-9450 Online ISSN: 2049-9469
Journal Cover
November-2016 Volume 5 Issue 5

Full Size Image

Sign up for eToc alerts
Recommend to Library

Journals

International Journal of Molecular Medicine

International Journal of Molecular Medicine

International Journal of Molecular Medicine is an international journal devoted to molecular mechanisms of human disease.

International Journal of Oncology

International Journal of Oncology

International Journal of Oncology is an international journal devoted to oncology research and cancer treatment.

Molecular Medicine Reports

Molecular Medicine Reports

Covers molecular medicine topics such as pharmacology, pathology, genetics, neuroscience, infectious diseases, molecular cardiology, and molecular surgery.

Oncology Reports

Oncology Reports

Oncology Reports is an international journal devoted to fundamental and applied research in Oncology.

Experimental and Therapeutic Medicine

Experimental and Therapeutic Medicine

Experimental and Therapeutic Medicine is an international journal devoted to laboratory and clinical medicine.

Oncology Letters

Oncology Letters

Oncology Letters is an international journal devoted to Experimental and Clinical Oncology.

Biomedical Reports

Biomedical Reports

Explores a wide range of biological and medical fields, including pharmacology, genetics, microbiology, neuroscience, and molecular cardiology.

Molecular and Clinical Oncology

Molecular and Clinical Oncology

International journal addressing all aspects of oncology research, from tumorigenesis and oncogenes to chemotherapy and metastasis.

World Academy of Sciences Journal

World Academy of Sciences Journal

Multidisciplinary open-access journal spanning biochemistry, genetics, neuroscience, environmental health, and synthetic biology.

International Journal of Functional Nutrition

International Journal of Functional Nutrition

Open-access journal combining biochemistry, pharmacology, immunology, and genetics to advance health through functional nutrition.

International Journal of Epigenetics

International Journal of Epigenetics

Publishes open-access research on using epigenetics to advance understanding and treatment of human disease.

Medicine International

Medicine International

An International Open Access Journal Devoted to General Medicine.

Journal Cover
November-2016 Volume 5 Issue 5

Full Size Image

Sign up for eToc alerts
Recommend to Library

  • Article
  • Citations
    • Cite This Article
    • Download Citation
    • Create Citation Alert
    • Remove Citation Alert
    • Cited By
  • Similar Articles
    • Related Articles (in Spandidos Publications)
    • Similar Articles (Google Scholar)
    • Similar Articles (PubMed)
  • Download PDF
  • Download XML
  • View XML
Case Report

Malignant transformation of hepatocellular adenoma with bone marrow metaplasia arising in glycogen storage disease type I: A case report

  • Authors:
    • Tomohiro Iguchi
    • Motoyuki Yamagata
    • Takashi Sonoda
    • Kimihiko Yanagita
    • Tetsuhiro Fukahori
    • Eiji Tsujita
    • Shinichi Aishima
    • Yoshinao Oda
    • Yoshihiko Maehara
  • View Affiliations / Copyright

    Affiliations: Department of Gastroenterological Surgery, National Kyushu Cancer Center, Fukuoka 811‑1395, Japan, Department of Surgery, Saiseikai Karatsu Hospital, Karatsu, Saga 847‑0852, Japan, Department of Internal Medicine, Saiseikai Karatsu Hospital, Karatsu, Saga 847‑0852, Japan, Department of Radiology, Saiseikai Karatsu Hospital, Karatsu, Saga 847‑0852, Japan, Department of Pathology and Microbiology, Saga Medical School Faculty of Medicine, Saga University, Saga 849‑8501, Japan, Department of Anatomic Pathology, Graduate School of Medical Sciences, Kyushu University, Fukuoka, Fukuoka 812‑8582, Japan, Department of Surgery and Science, Graduate School of Medical Sciences, Kyushu University, Fukuoka, Fukuoka 812‑8582, Japan
  • Pages: 599-603
    |
    Published online on: September 21, 2016
       https://doi.org/10.3892/mco.2016.1034
  • Expand metrics +
Metrics: Total Views: 0 (Spandidos Publications: | PMC Statistics: )
Metrics: Total PDF Downloads: 0 (Spandidos Publications: | PMC Statistics: )
Cited By (CrossRef): 0 citations Loading Articles...

This article is mentioned in:



Abstract

Malignant transformation of hepatocellular adenoma (HA) is relatively rare and has been reported to be associated with dysregulation of the β-catenin pathway. The presence of bone marrow metaplasia in HA is an uncommon histological characteristic. The current report presents the case of a 46‑year‑old woman with glycogen storage disease type I (von Gierke's disease) who underwent resection of hepatocellular carcinoma (HCC) arising in a HA with associated bone marrow metaplasia producing three series of hematopoietic cells. The serum level of proteins induced by des‑gamma‑carboxy prothrombin (DCP) gradually increased as the tumors grew; following hepatic resection, DCP levels returned to normal. Nuclear accumulation of β‑catenin was shown in HCC by immunohistochemistry; however, no mutation was detected in exon 3 of β‑catenin. To the best of our knowledge, this is the first report of HA with absolute bone marrow metaplasia producing three series of hematopoietic cells. This occurrence suggests that elevated DCP may be an indicator of malignant transformation of HA.

Introduction

Hepatocellular adenoma (HA) is a benign tumor usually associated with oral contraceptive intake, glycogen storage disease (GSD) type I and III, and a history of excess androgen exposure (1–4). Malignant transformation of HA is relatively rare and has been reported to be associated with dysregulation of the β-catenin pathway (2,5,6). Nuclear translocation and accumulation of β-catenin is induced by a dysregulation, such as a mutation of exon 3 (7), and may be detected by immunohistochemistry. The presence of bone marrow metaplasia in HA is an uncommon histological characteristic, with only 2 cases of HA with bone marrow metaplasia reported to date (8,9).

We herein report a case with increased levels of proteins induced by des-gamma-carboxy prothrombin (DCP), resected hepatocellular carcinoma (HCC) and HA with bone marrow metaplasia arising in a patient with GSD-I.

Case report

History

A 46-year-old woman was diagnosed with GSD-I during childhood. From that time onwards, she was followed up in a local hospital and received treatment with atorvastatin and allopurinol. At the age of 42 years, the patient consulted a physician at the Saiseikai Karatsu Hospital (Karatsu, Japan), as she continued to experience developmental disorders, such as short stature (135 cm) and low weight (36 kg), but was asymptomatic, apart from abdominal enlargement. The liver edge was palpable 6–7 cm below the right costal margin. The patient had no other risk factors for liver tumors, such as hepatitis B or C viral infection, alcohol use, or autoimmune disease.

Liver function and tumor markers

Laboratory data at the first consult revealed elevated values of aspartate aminotransferase (96 IU/l), alanine aminotransferase (69 IU/l), alkaline phosphatase (700 U/l), gamma-glutamyl transpeptidase (2610 IU/l) and DCP (421 mAU/ml). Serum total bilirubin, prothrombin time and α-fetoprotein (AFP) were all within normal limits. Until surgical treatment was performed, while AFP remained within normal limits, DCP gradually increased, as shown in Fig. 1.

Figure 1.

Transition of serum levels of des-gamma-carboxy prothrombin (DCP) from the initial consult to 1 month postoperatively. DCP increased gradually (maximum, 10,100 mAU/ml) until hepatic resection. Following hepatic resection, DCP decreased to 28 mAU/ml, which is within normal limits.

Imaging

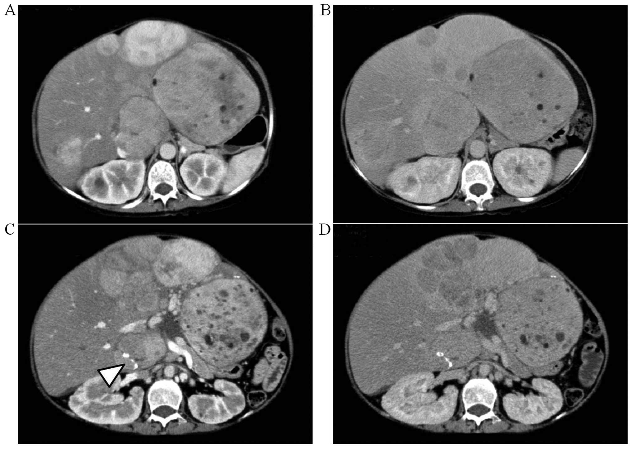
A computed tomography (CT) examination at the first consult revealed relatively well-circumscribed tumors of various sizes (Fig. 2A and B) exhibiting heterogeneous enhancement during the early phase. During the delayed phase, some of the tumors in the lateral segment or the right hepatic lobe exhibited isodensity or low density compared with the surrounding liver parenchyma, whereas the small tumors in the medial segment exhibited low density. These imaging findings were compatible with the characteristics of HA. The size and number of tumors in the medial segment had significantly increased when compared to the CT from 33 months earlier (Fig. 2C and D). In addition, calcification was found in the tumor of S1.

Figure 2.

Computed tomography (CT) scans taken (A and B) at the first consult and (C and D) on the preoperative day. (A and C) Early-phase and (B and D) delayed-phase tumors. The size and number of tumors in the medial segment had increased significantly and calcification was found in the tumor of S1 (arrowhead).

Surgical treatment

Due to the gradual increase in tumor size and the value of DCP (maximum, 10,100 mAU/ml) and irregular tumor appearance on CT imaging, malignant transformation of HA was strongly suspected. According to the indication for hepatic resection, surgery was recommended, but the patient refused this treatment option for 1 year; when surgery was eventually performed, she underwent extended left lobectomy. Following hepatic resection, DCP returned to normal (28 mAU/ml).

Pathological findings

The resected left lobe weighed 2,733 g. The tumors were divided into four components. In brief, the cut surfaces revealed a dark green tumor (4.7×3.1 cm) in S1, a dark green tumor (10.0×8.5 cm) in the lateral segment, a gray colored tumor (6.3×5.0 cm) in the lateral segment, and multiple pale yellow or white confluent nodules (8.2×7.2 cm) in the medial segment, as shown in Fig. 3. Smaller pale yellow or white nodules were also observed. All the tumors were encapsulated by fibrous bands.

Figure 3.

The representative cut surfaces revealed a dark green tumor (4.7×3.1 cm) in S1 (a), a dark green tumor (10.0×8.5 cm) in the lateral segment (b), a gray tumor (6.3×5.0 cm) in the lateral segment (c) and multiple pale yellow or white confluent nodules (8.2×7.2 cm) in the medial segment (d). In addition, small pale yellow or white nodules were observed.

Microscopically, all the tumors, apart from the pale yellow or white masses, exhibited proliferation of small to occasionally large hepatocytes, with clear or pale eosinophilic cytoplasm and mild atypia, surrounded by numerous abnormal arterial vessels and no portal tract (Fig. 4A and B). These characteristics indicated HA. It was particularly worth noting that bone marrow tissue with bone trabeculae and three series of hematopoietic cells, namely erythroblasts, myeloblasts and megakaryocytes, was also present in the tumor of S1 (Fig. 4C and D).

Figure 4.

(A and B) Histological characteristics of the hepatocellular adenoma. (C and D) Bone marrow metaplasia: lamellar bone forming a trabecula, adipose tissue, erythroblasts (red arrowhead), myeloblasts (blue arrowhead) and megakaryocytes (yellow arrowhead). (E and F) Histological characteristics of hepatocellular carcinoma (HCC) arising in hepatocellular adenoma. (G) Immunohistochemical staining of β-catenin in HCC. (H) Non-tumorous liver. Original magnifications: (C) ×20; (H) ×40; (A and E) ×100; (B, F and G) ×200; and (D) ×400.

The pale yellow or white tumors in the medial segment exhibited increased cell density and structural atypia. These tumor cells transformed into atypical cells with relatively enlarged hyperchromatic nuclei and increased nuclear-cytoplasmic ratio (Fig. 4E and F). Intrahepatic metastases were also present in the form of scattered small nodules consisting of atypical cells. These characteristics indicated well-to-moderately differentiated HCC, accompanied by HA. In addition, nuclear accumulation of β-catenin was observed in the carcinoma cells (Fig. 4G), but not in the adenoma cells (data not shown) by immunohistochemistry using anti-β-catenin mouse monoclonal antibody (dilution, 1:200; cat. no. 610154; BD Transduction Laboratories, Lexington, KY, USA). However, no mutation was detected in exon 3 of β-catenin by direct sequencing (data not shown).

The non-tumorous liver comprised hepatocytes with predominantly clear or pale cytoplasm, reflecting the accumulation of glycogen and glycogenated nuclei separated by portal-portal or portal-central thin bridging fibrosis (Fig. 4H). This characteristic was compatible with GSD-I.

Discussion

HA is a relatively rare benign liver tumor that mainly occurs in women who use oral contraceptives (1,2). GSD-I is a rare metabolic disorder caused by deficient activity of glucose-6-phosphatase, an enzyme necessary for gluconeogenesis and glycogenolysis (10). GSD-I has been reported to be a cause of HA (3). An adenoma-carcinoma progression sequence may be expected in HCC, similar to colon cancer (11).

Bone marrow metaplasia in HA is an unusual characteristic, with only 2 cases reported to date (8,9). Romacciato et al reported a case of HA where the bone marrow contained erythroblasts and myeloblasts, but not megakaryocytes. To the best of our knowledge, this is the first case report of an HA with absolute bone marrow metaplasia, producing three series of hematopoietic cells, incorporating a HCC. Hepatic progenitor cells, the preparative mature hepatocytes or cholangiocytes, have been identified in HA (12). As previously noted, marrow-derived hepatic stem cells may transform to both the atypical hepatocytes of HA and bone marrow differentiated cells (9).

The DCP and AFP values are well-known tumor markers of HCC. In the present case, AFP was within normal limits during disease progression; however, DCP was markedly elevated, consistently with increased tumor size, and it returned to normal after surgery. The development of HA or its malignant transformation in GSD-I patients is not necessarily associated with the value of serum AFP (13,14), whereas elevation of the serum DCP levels has been reported in a small number of patients with HA with malignant transformation (15). Therefore, the value of DCP may be useful for predicting the malignant transformation of HA.

Malignant transformation of HA is relatively rare and has been reported to be associated with dysregulation of β-catenin (2,5,6), which plays an important role in the Wnt signaling pathway (7). However, a previous study revealed that neither nuclear accumulation of β-catenin detected by immunohistochemistry, nor mutation in exon 3 of β-catenin detected by direct sequencing, were observed in patients with HA, or HCC with HA (3). In our case, nuclear accumulation of β-catenin was observed on immunohistochemical examination, but no mutation in exon 3 of β-catenin was detected in HCC. The activation of the Wnt signaling pathway due to factors other than mutation of β-catenin may have occurred during malignant transformation in the present case. Therefore, malignant transformation of HA is unlikely to follow the same pathway.

We herein report malignant transformation in a patient with increased DCP levels, who underwent resection of HCC arising from HA with bone marrow metaplasia producing three series of hematopoietic cells, based on GSD-I. The increased size and number of cells, as well as the elevated DCP levels, may be considered as indicators of the malignant transformation of HA.

Glossary

Abbreviations

Abbreviations:

HA

hepatocellular adenoma

DCP

des-gamma-carboxy prothrombin

GSD

glycogen storage disease

AFP

α-fetoprotein

CT

computed tomography

References

1 

Edmondson HA, Henderson B and Benton B: Liver-cell adenomas associated with use of oral contraceptives. N Engl J Med. 294:470–472. 1976. View Article : Google Scholar : PubMed/NCBI

2 

Rebouissou S, Bioulac-Sage P and Zucman-Rossi J: Molecular pathogenesis of focal nodular hyperplasia and hepatocellular adenoma. J Hepatol. 48:163–170. 2008. View Article : Google Scholar : PubMed/NCBI

3 

Micchelli ST, Vivekanandan P, Boitnott JK, Pawlik TM, Choti MA and Torbenson M: Malignant transformation of hepatic adenomas. Mod Pathol. 21:491–497. 2008. View Article : Google Scholar : PubMed/NCBI

4 

Buell JF, Tranchart H, Cannon R and Dagher I: Management of benign hepatic tumors. Surg Clin North Am. 90:719–735. 2010. View Article : Google Scholar : PubMed/NCBI

5 

Agrawal S, Agarwal S, Arnason T, Saini S and Belghiti J: Management of hepatocellular adenoma: Recent advances. Clin Gastroenterol Hepatol. 13:1221–1230. 2015. View Article : Google Scholar : PubMed/NCBI

6 

Zucman-Rossi J, Jeannot E, Nhieu JT, Scoazec JY, Guettier C, Rebouissou S, Bacq Y, Leteurtre E, Paradis V, Michalak S, et al: Genotype-phenotype correlation in hepatocellular adenoma: New classification and relationship with HCC. Hepatology. 43:515–524. 2006. View Article : Google Scholar : PubMed/NCBI

7 

Polakis P: The oncogenic activation of beta-catenin. Curr Opin Genet Dev. 9:15–21. 1999. View Article : Google Scholar : PubMed/NCBI

8 

Moriura S, Kuroda M, Kimura A, Iwatsuka Y, Ikeda S, Sakai T and Usui A: Case report: Hepatic adenoma with bone marrow metaplasia in a patient with glycogen storage disease type Ia. J Gastroenterol Hepatol. 11:556–559. 1996. View Article : Google Scholar : PubMed/NCBI

9 

Ramacciato G, Nigri GR, Aurello P, D'Angelo F, Pezzoli F, Rossi S, Pilozzi E, Ercolani G and Ravaioli M: Giant hepatic adenoma with bone marrow metaplasia not associated with oral contraceptive intake. World J Surg Oncol. 25:42006.

10 

Ishak KG, Sharp HL and Schwarzenberg SJ: Metabolic errors and liver diseaseMacSween RNM, Burt AD, Portmann BC, Ishak KG, Scheuer PJ and Anthony PP: Pathology of the liver. London: Churchill Livingstone; 2002, PubMed/NCBI

11 

Gordon SC, Reddy KR, Livingstone AS, Jeffers LJ and Schiff ER: Resolution of a contraceptive-steroid-induced hepatic adenoma with subsequent evolution into hepatocellular carcionoma. Ann Intern Med. 105:547–549. 1986. View Article : Google Scholar : PubMed/NCBI

12 

Libbrecht L, De Vos R, Cassiman D, Desmet V, Aerts R and Roskams T: Hepatic progenitor cells in hepatocellular adenomas. Am J Surg Pathol. 25:1388–1396. 2001. View Article : Google Scholar : PubMed/NCBI

13 

Bianchi L: Glycogen storage disease I and hepatocellular tumours. Eur J Pediatr. 152(Suppl 1): S63–S70. 1993. View Article : Google Scholar : PubMed/NCBI

14 

Lee PJ: Glycogen storage disease type I: Pathophysiology of liver adenomas. Eur J Pediatr. 161(Suppl 1): S46–S49. 2002. View Article : Google Scholar : PubMed/NCBI

15 

Ito M, Sasaki M, Wen CY, Nakashima M, Ueki T, Ishibashi H, Yano M, Kage M and Kojiro M: Liver cell adenoma with malignant transformation: A case report. World J Gastroenterol. 9:2379–2381. 2003. View Article : Google Scholar : PubMed/NCBI

Related Articles

  • Abstract
  • View
  • Download
  • Twitter
Copy and paste a formatted citation
Spandidos Publications style
Iguchi T, Yamagata M, Sonoda T, Yanagita K, Fukahori T, Tsujita E, Aishima S, Oda Y and Maehara Y: Malignant transformation of hepatocellular adenoma with bone marrow metaplasia arising in glycogen storage disease type I: A case report. Mol Clin Oncol 5: 599-603, 2016.
APA
Iguchi, T., Yamagata, M., Sonoda, T., Yanagita, K., Fukahori, T., Tsujita, E. ... Maehara, Y. (2016). Malignant transformation of hepatocellular adenoma with bone marrow metaplasia arising in glycogen storage disease type I: A case report. Molecular and Clinical Oncology, 5, 599-603. https://doi.org/10.3892/mco.2016.1034
MLA
Iguchi, T., Yamagata, M., Sonoda, T., Yanagita, K., Fukahori, T., Tsujita, E., Aishima, S., Oda, Y., Maehara, Y."Malignant transformation of hepatocellular adenoma with bone marrow metaplasia arising in glycogen storage disease type I: A case report". Molecular and Clinical Oncology 5.5 (2016): 599-603.
Chicago
Iguchi, T., Yamagata, M., Sonoda, T., Yanagita, K., Fukahori, T., Tsujita, E., Aishima, S., Oda, Y., Maehara, Y."Malignant transformation of hepatocellular adenoma with bone marrow metaplasia arising in glycogen storage disease type I: A case report". Molecular and Clinical Oncology 5, no. 5 (2016): 599-603. https://doi.org/10.3892/mco.2016.1034
Copy and paste a formatted citation
x
Spandidos Publications style
Iguchi T, Yamagata M, Sonoda T, Yanagita K, Fukahori T, Tsujita E, Aishima S, Oda Y and Maehara Y: Malignant transformation of hepatocellular adenoma with bone marrow metaplasia arising in glycogen storage disease type I: A case report. Mol Clin Oncol 5: 599-603, 2016.
APA
Iguchi, T., Yamagata, M., Sonoda, T., Yanagita, K., Fukahori, T., Tsujita, E. ... Maehara, Y. (2016). Malignant transformation of hepatocellular adenoma with bone marrow metaplasia arising in glycogen storage disease type I: A case report. Molecular and Clinical Oncology, 5, 599-603. https://doi.org/10.3892/mco.2016.1034
MLA
Iguchi, T., Yamagata, M., Sonoda, T., Yanagita, K., Fukahori, T., Tsujita, E., Aishima, S., Oda, Y., Maehara, Y."Malignant transformation of hepatocellular adenoma with bone marrow metaplasia arising in glycogen storage disease type I: A case report". Molecular and Clinical Oncology 5.5 (2016): 599-603.
Chicago
Iguchi, T., Yamagata, M., Sonoda, T., Yanagita, K., Fukahori, T., Tsujita, E., Aishima, S., Oda, Y., Maehara, Y."Malignant transformation of hepatocellular adenoma with bone marrow metaplasia arising in glycogen storage disease type I: A case report". Molecular and Clinical Oncology 5, no. 5 (2016): 599-603. https://doi.org/10.3892/mco.2016.1034
Follow us
  • Twitter
  • LinkedIn
  • Facebook
About
  • Spandidos Publications
  • Careers
  • Cookie Policy
  • Privacy Policy
How can we help?
  • Help
  • Live Chat
  • Contact
  • Email to our Support Team