Spandidos Publications Logo
  • About
    • About Spandidos
    • Aims and Scopes
    • Abstracting and Indexing
    • Editorial Policies
    • Reprints and Permissions
    • Job Opportunities
    • Terms and Conditions
    • Contact
  • Journals
    • All Journals
    • Oncology Letters
      • Oncology Letters
      • Information for Authors
      • Editorial Policies
      • Editorial Board
      • Aims and Scope
      • Abstracting and Indexing
      • Bibliographic Information
      • Archive
    • International Journal of Oncology
      • International Journal of Oncology
      • Information for Authors
      • Editorial Policies
      • Editorial Board
      • Aims and Scope
      • Abstracting and Indexing
      • Bibliographic Information
      • Archive
    • Molecular and Clinical Oncology
      • Molecular and Clinical Oncology
      • Information for Authors
      • Editorial Policies
      • Editorial Board
      • Aims and Scope
      • Abstracting and Indexing
      • Bibliographic Information
      • Archive
    • Experimental and Therapeutic Medicine
      • Experimental and Therapeutic Medicine
      • Information for Authors
      • Editorial Policies
      • Editorial Board
      • Aims and Scope
      • Abstracting and Indexing
      • Bibliographic Information
      • Archive
    • International Journal of Molecular Medicine
      • International Journal of Molecular Medicine
      • Information for Authors
      • Editorial Policies
      • Editorial Board
      • Aims and Scope
      • Abstracting and Indexing
      • Bibliographic Information
      • Archive
    • Biomedical Reports
      • Biomedical Reports
      • Information for Authors
      • Editorial Policies
      • Editorial Board
      • Aims and Scope
      • Abstracting and Indexing
      • Bibliographic Information
      • Archive
    • Oncology Reports
      • Oncology Reports
      • Information for Authors
      • Editorial Policies
      • Editorial Board
      • Aims and Scope
      • Abstracting and Indexing
      • Bibliographic Information
      • Archive
    • Molecular Medicine Reports
      • Molecular Medicine Reports
      • Information for Authors
      • Editorial Policies
      • Editorial Board
      • Aims and Scope
      • Abstracting and Indexing
      • Bibliographic Information
      • Archive
    • World Academy of Sciences Journal
      • World Academy of Sciences Journal
      • Information for Authors
      • Editorial Policies
      • Editorial Board
      • Aims and Scope
      • Abstracting and Indexing
      • Bibliographic Information
      • Archive
    • International Journal of Functional Nutrition
      • International Journal of Functional Nutrition
      • Information for Authors
      • Editorial Policies
      • Editorial Board
      • Aims and Scope
      • Abstracting and Indexing
      • Bibliographic Information
      • Archive
    • International Journal of Epigenetics
      • International Journal of Epigenetics
      • Information for Authors
      • Editorial Policies
      • Editorial Board
      • Aims and Scope
      • Abstracting and Indexing
      • Bibliographic Information
      • Archive
    • Medicine International
      • Medicine International
      • Information for Authors
      • Editorial Policies
      • Editorial Board
      • Aims and Scope
      • Abstracting and Indexing
      • Bibliographic Information
      • Archive
  • Articles
  • Information
    • Information for Authors
    • Information for Reviewers
    • Information for Librarians
    • Information for Advertisers
    • Conferences
  • Language Editing
Spandidos Publications Logo
  • About
    • About Spandidos
    • Aims and Scopes
    • Abstracting and Indexing
    • Editorial Policies
    • Reprints and Permissions
    • Job Opportunities
    • Terms and Conditions
    • Contact
  • Journals
    • All Journals
    • Biomedical Reports
      • Information for Authors
      • Editorial Policies
      • Editorial Board
      • Aims and Scope
      • Abstracting and Indexing
      • Bibliographic Information
      • Archive
    • Experimental and Therapeutic Medicine
      • Information for Authors
      • Editorial Policies
      • Editorial Board
      • Aims and Scope
      • Abstracting and Indexing
      • Bibliographic Information
      • Archive
    • International Journal of Epigenetics
      • Information for Authors
      • Editorial Policies
      • Editorial Board
      • Aims and Scope
      • Abstracting and Indexing
      • Bibliographic Information
      • Archive
    • International Journal of Functional Nutrition
      • Information for Authors
      • Editorial Policies
      • Editorial Board
      • Aims and Scope
      • Abstracting and Indexing
      • Bibliographic Information
      • Archive
    • International Journal of Molecular Medicine
      • Information for Authors
      • Editorial Policies
      • Editorial Board
      • Aims and Scope
      • Abstracting and Indexing
      • Bibliographic Information
      • Archive
    • International Journal of Oncology
      • Information for Authors
      • Editorial Policies
      • Editorial Board
      • Aims and Scope
      • Abstracting and Indexing
      • Bibliographic Information
      • Archive
    • Medicine International
      • Information for Authors
      • Editorial Policies
      • Editorial Board
      • Aims and Scope
      • Abstracting and Indexing
      • Bibliographic Information
      • Archive
    • Molecular and Clinical Oncology
      • Information for Authors
      • Editorial Policies
      • Editorial Board
      • Aims and Scope
      • Abstracting and Indexing
      • Bibliographic Information
      • Archive
    • Molecular Medicine Reports
      • Information for Authors
      • Editorial Policies
      • Editorial Board
      • Aims and Scope
      • Abstracting and Indexing
      • Bibliographic Information
      • Archive
    • Oncology Letters
      • Information for Authors
      • Editorial Policies
      • Editorial Board
      • Aims and Scope
      • Abstracting and Indexing
      • Bibliographic Information
      • Archive
    • Oncology Reports
      • Information for Authors
      • Editorial Policies
      • Editorial Board
      • Aims and Scope
      • Abstracting and Indexing
      • Bibliographic Information
      • Archive
    • World Academy of Sciences Journal
      • Information for Authors
      • Editorial Policies
      • Editorial Board
      • Aims and Scope
      • Abstracting and Indexing
      • Bibliographic Information
      • Archive
  • Articles
  • Information
    • For Authors
    • For Reviewers
    • For Librarians
    • For Advertisers
    • Conferences
  • Language Editing
Login Register Submit
  • This site uses cookies
  • You can change your cookie settings at any time by following the instructions in our Cookie Policy. To find out more, you may read our Privacy Policy.

    I agree
Search articles by DOI, keyword, author or affiliation
Search
Advanced Search
presentation
Oncology Letters
Join Editorial Board Propose a Special Issue
Print ISSN: 1792-1074 Online ISSN: 1792-1082
Journal Cover
May-June 2010 Volume 1 Issue 3

Full Size Image

Sign up for eToc alerts
Recommend to Library

Journals

International Journal of Molecular Medicine

International Journal of Molecular Medicine

International Journal of Molecular Medicine is an international journal devoted to molecular mechanisms of human disease.

International Journal of Oncology

International Journal of Oncology

International Journal of Oncology is an international journal devoted to oncology research and cancer treatment.

Molecular Medicine Reports

Molecular Medicine Reports

Covers molecular medicine topics such as pharmacology, pathology, genetics, neuroscience, infectious diseases, molecular cardiology, and molecular surgery.

Oncology Reports

Oncology Reports

Oncology Reports is an international journal devoted to fundamental and applied research in Oncology.

Experimental and Therapeutic Medicine

Experimental and Therapeutic Medicine

Experimental and Therapeutic Medicine is an international journal devoted to laboratory and clinical medicine.

Oncology Letters

Oncology Letters

Oncology Letters is an international journal devoted to Experimental and Clinical Oncology.

Biomedical Reports

Biomedical Reports

Explores a wide range of biological and medical fields, including pharmacology, genetics, microbiology, neuroscience, and molecular cardiology.

Molecular and Clinical Oncology

Molecular and Clinical Oncology

International journal addressing all aspects of oncology research, from tumorigenesis and oncogenes to chemotherapy and metastasis.

World Academy of Sciences Journal

World Academy of Sciences Journal

Multidisciplinary open-access journal spanning biochemistry, genetics, neuroscience, environmental health, and synthetic biology.

International Journal of Functional Nutrition

International Journal of Functional Nutrition

Open-access journal combining biochemistry, pharmacology, immunology, and genetics to advance health through functional nutrition.

International Journal of Epigenetics

International Journal of Epigenetics

Publishes open-access research on using epigenetics to advance understanding and treatment of human disease.

Medicine International

Medicine International

An International Open Access Journal Devoted to General Medicine.

Journal Cover
May-June 2010 Volume 1 Issue 3

Full Size Image

Sign up for eToc alerts
Recommend to Library

  • Article
  • Citations
    • Cite This Article
    • Download Citation
    • Create Citation Alert
    • Remove Citation Alert
    • Cited By
  • Similar Articles
    • Related Articles (in Spandidos Publications)
    • Similar Articles (Google Scholar)
    • Similar Articles (PubMed)
  • Download PDF
  • Download XML
  • View XML
Article

Expression of matrix metalloproteinase-10 in non-metastatic prostate cancer: Correlation with an imbalance in cell proliferation and apoptosis

  • Authors:
    • Sugure Maruta
    • Yasuyoshi Miyata
    • Yuji Sagara
    • Shigeru Kanda
    • Takahisa Iwata
    • Shin-ichi Watanabe
    • Hideki Sakai
    • Tomayoshi Hayashi
    • Hiroshi Kanetake
  • View Affiliations / Copyright

    Affiliations: Department of Urology, Nagasaki University Graduate School of Biomedical Science, Nagasaki 852-8501, Japan
  • Pages: 417-421
    |
    Published online on: May 1, 2010
       https://doi.org/10.3892/ol_00000073
  • Expand metrics +
Metrics: Total Views: 0 (Spandidos Publications: | PMC Statistics: )
Metrics: Total PDF Downloads: 0 (Spandidos Publications: | PMC Statistics: )
Cited By (CrossRef): 0 citations Loading Articles...

This article is mentioned in:



Abstract

Matrix metalloproteinases (MMPs) are associated with cell invasion under various physiological and pathological conditions. Among MMPs, MMP-10 is reported to correlate with a high pT stage and progression in a variety of cancer types. However, the clinical and pathological significance of MMP-10 in human prostate cancer tissues remains unclear. This study aimed to clarify the role of MMP-10 in non-metastatic prostate cancer. Sixty-three specimens were obtained by radical prostatectomy. MMP-10 expression, Ki-67, CD34 and apoptotic cells were examined using an immunohistochemical technique and the terminal deoxynucleotidyl transferase-mediated nick end-labeling method. The proliferation index (PI), apoptotic index (AI), microvessel density (MVD) and cell renewal index (CRI=PI/AI) were calculated. The relationship between MMP-10 expression and clinicopathological features, as well as PI, AI, MVD and CRI were investigated. MMP-10 was mainly detected in cancer cell cytoplasm, and the proportion of MMP-10-expressing cancer cells (median 13.8%) was significantly higher (P<0.001) than non-tumoral gland cells (2.4%). Similarly, the proportion of MMP-10-expressing cancer cells was significantly higher (P=0.007) in stage pT3 (median 22.3%) than in pT2 (11.3%) tumors and was correlated with blood vessel invasion (P=0.025). In addition, its expression level correlated significantly with CRI (r=0.34, P=0.001), but not with PI, AI or MVD. Multivariate analysis identified MMP-10 expression to be closely associated with pT stage (OR 3.76, 95% CI 1.14-12.34, P=0.029). Our results suggest that the overexpression of MMP-10 produces an imbalance in cancer cell proliferation and apoptosis, thereby contributing to cancer cell progression of non-metastatic prostate cancer.

Introduction

Prostate cancer is the most common urological malignancy in elderly individuals and is one of the leading causes of male malignancy-related death worldwide. In the normal prostate gland, cell proliferation equilibrates with cell death, in order that disproportionate overgrowth does not occur. On the other hand, many studies have demonstrated that an imbalance in the growth equation is one of the etiological factors of tumor progression. In other words, the up-regulation of cancer cell proliferation and/or deregulation of apoptosis have been reported to play crucial roles in carcinogenesis and malignant activities in various malignancies, including prostate cancer (1,2). In addition, angiogenesis is an important regulator of malignant aggressiveness, while dissemination via blood vessels is an important process for prognosis (3). Consequently, investigations regarding the regulator of these activities are important for determining treatment strategies in patients with prostate cancer.

Matrix metalloproteinases (MMPs) are zinc-dependent proteolytic enzymes capable of cleaving extracellular matrix and basement membrane macromolecules. Since the degradation of such components is an important process in cancer cell invasion, much interest has centered on the relationship between MMPs and tumor progression in various malignancies (4,5). In addition to such invasive activity, certain MMPs exhibit various pathological functions, such as cell proliferation, apoptosis and angiogenesis (4–6). Thus, we hypothesized that a variety of MMPs modulate cancer cell progression and survival in patients with prostate cancer. Although MMP-2 and -9 are the most representative and well-studied members of the MMP family (7), the clinical and pathological significance of other MMPs in patients with prostate cancer is not fully understood.

With regard to the therapeutic as well as the side effects of MMP inhibitors in cancer patients, disappointing results have been shown against expectations, probably due to the broad specificity of these effects (8). However, specific MMP inhibitors were previously developed, and several investigators examined their effects on the prevention and treatment of various malignancies (9,10). Thus, understanding the detailed clinical significance and pathological roles of MMPs is important in the determination of treatment strategies for cancer patients. MMP-10 (stromelysin-2) is overexpressed in various cancer cells, and its expression level correlates with malignant aggressiveness, including invasion (11,12). Moreover, several investigators reported that MMP-10 plays a role in cell proliferation, apoptosis and angiogenesis under certain physiological and pathological conditions (13,14). However, to the best of our knowledge, little is known as regards the clinical significance and role of MMP-10 in human prostate cancer tissues.

In prostate cancer, when the cells are localized in the prostate, the majority of patients present few symptoms. Conversely, clinical symptoms that affect quality of life, such as bone pain and urination disorders, are observed in prostate cancer patients with distant metastasis. In addition, most prostate cancer-related deaths are not the result of the primary tumor but the spread of cancer cells into surrounding tissues and distant organs. In general, up-staging of the T stage precedes the formation of metastatic tumor. Consequently, investigations concerning the mechanism of early stages in cancer cell invasion and tumor growth are important in the planning of effective treatment strategies in patients with prostate cancer.

The present study aimed to clarify the clinical and pathological significance of MMP-10 in human non-metastatic prostate cancer. The relationship between MMP-10 expression and cancer cell proliferation, apoptosis and angiogenesis were also investigated.

Materials and methods

Patients

We retrospectively evaluated the medical records of prostate cancer patients who underwent radical surgery between March 1994 and November 2007. To evaluate the preoperative status of metastasis, patients underwent ultrasonography, computed tomography (CT) of the abdomen and pelvis, bone scanning and lung X-ray photography. Pathological diagnoses, including Gleason’s score (GS) and pT and pN stage, were determined using specimens obtained during surgery, and staging was assessed by the 2002 tumor-node-metastasis classification. In addition to the pathological diagnosis, vascular invasion was judged by one pathologist (T.H.). Patients with metastatic cancers were excluded. None of the patients had received neoadjuvant therapy. After excluding the patients to whom the above criteria were applicable, 63 patients were enrolled in the study; there was no patient with stage pT4. In addition, control samples (n=40) of normal prostate tissues obtained by transurethral resection were also examined. For statistical analyses, GS was divided into the groups: low (≤6), middle (7) and high (≥8). The study protocol complied with the regulations of the Human Ethics Review Committee of Nagasaki University Graduate School of Biomedical Science.

Immunohistochemistry

Sections (5-μm) cut from formalin-fixed and paraffin-embedded tissue samples were deparaffinized and rehydrated. Antigen retrieval was performed at 95°C for 40 min (for MMP-10 and CD34) and at 121°C for 15 min (for Ki-67) in 0.01 M sodium citrate buffer (pH 6.0). Sections were then immersed in 3% hydrogen peroxide for 30 min. Primary antibodies were obtained from Lab Vision Corporation, Freemont, CA, USA (MMP-10) and Dako Corp., Glostrup, Denmark (Ki-67 and CD34). The sections were then incubated with the primary antibody at 4°C overnight. Following incubation, the sections were treated with peroxidase using the labeled polymer method with EnVision+™ Peroxidase (Dako Corp.) for 60 min. The peroxidase reaction was visualized with the liquid DAB substrate kit (Zymed Laboratories Inc., San Francisco, CA, USA). Sections were counterstained with Mayer’s hematoxylin. A consecutive section from each sample processed without the primary antibody was used as a negative control. The positive control consisted of a human breast cancer tissue for MMP-10, tonsil tissue for Ki-67 and kidney tissue for CD34. In situ labeling for apoptosis was performed as described previously (14). We used the Apop Tag In Situ Apoptosis Detection kit (Intergen Company, Purchase, NY, USA), which is based on the terminal deoxynucleotidyl transferase-mediated nick end-labeling (TUNEL) method.

Evaluation

To evaluate immunohistochemical staining for MMP-10, the staining intensity was graded as none, weak, moderate or strong. However, it was difficult to distinguish between weak and moderate staining. Subsequently, carcinoma cells with strong staining intensity were considered as positively stained cells. The proliferation index (PI) was estimated by counting the number of cells with nuclei positively stained for the anti-Ki-67 antibody. The apoptotic index (AI) was estimated by the percentage of TUNEL-positive cells. Semi-quantitative analyses were performed on at least 500 cancer cells in 3–6 different fields per section. From the PI and AI values, we calculated the cell renewal index (CRI=PI/AI). This index was used in previous reports (3,13).

To analyze microvessel density (MVD), tumor sections stained with the anti-CD34 antibody were examined under an E-400 microscope (Nikon, Tokyo, Japan). The digital images were captured using a digital camera (model DU100; Nikon) at ×200 magnification. For each tumor section, 3–5 fields with the highest blood vessel density (hot spots) were evaluated. To determine the MVD, defined as the number of vessels per field (x200), we used a computer-aided image analysis system (Win ROOF, version 5.0; Mitani Corp., Fukui, Japan).

To perform logistic regression analyses for the above variables, we divided the tissue samples into two groups: those with values higher than the median value for the entire group, and those with values lower than the group median value. Slides were evaluated twice at different times by two investigators (S.M. and Y.S.) who were blinded to the clinical characteristics and pathological data.

Statistical analysis

Results are expressed as median and interquartile range (IQR) values. The Mann-Whitney U test was performed for continuous variables of the data. The Scheffé test was used for multiple comparisons of the data. Pearson’s correlation was used to evaluate the relationship between continuous variables. The correlation coefficient (r) and corresponding P-values were also reported. Spearman’s rank correlation coefficient was calculated to confirm Pearson’s correlation. Variables that achieved statistical significance (P<0.050) in the univariate analysis were subsequently entered into a multivariate analysis using logistic regression analysis [described as odds ratios (OR) with 95% confidence intervals (95% CI), together with the P-values]. Statistical tests were two-sided, and significance was defined as P<0.050. Statistical analyses were performed on a personal computer with the statistical package StatView for Windows (version 5.0).

Results

Clinicopathological features

The mean age of patients at surgery was 62 years (range 44–77). Based on a histopathological examination, 39 cases (61.9%) in this cohort were diagnosed as pT2 and 24 (38.1%) as pT3. With regard to GS, 2 cases (3.2%) had a score of 5, 18 cases (28.6%) of 6, 21 cases (33.3%) of 7, 9 cases (14.3%) of 8 and 13 cases (20.6%) had a score of 9. Thus, the low GS group consisted of 20 patients (31.7%), the middle of 21 (33.3%) and the high GS group of 22 patients (34.9%).

MMP-10 expression

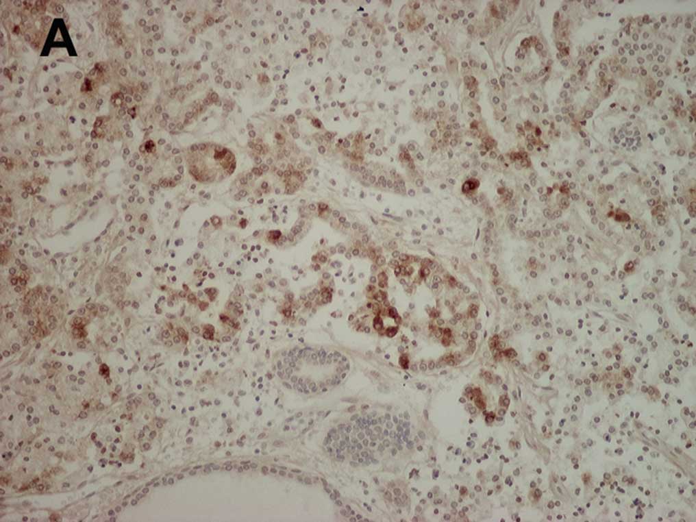
A representative example of cancer cells positively stained for MMP-10 is shown in Fig. 1A. MMP-10 immunostaining was mainly detected in the cell cytoplasm, and weak staining was noted in some stromal tissues. MMP-10-positive cancer cells were uniformly present throughout the cancer tissue but no unique distribution was noted. On the other hand, in prostate glands that were free of tumors, cells strongly stained for MMP-10 were rare (Fig. 1B). The proportion of MMP-10-stained cancer cells (median 13.8%, IQR 8.8–25.5%) was significantly higher (P<0.001) than the non-tumoral gland cells (median 2.4%, IQR 0–3.7%).

Figure 1

Immunohistochemistry of MMP-10 in prostate tissues of patients with prostate cancer (A) and in non-tumoral glands (B). Immunostaining for MMP-10 was mainly detected in the cytoplasm of cancer cells. Original magnification, ×200.

Correlation with clinicopathological features

As shown in Table I, the proportion of MMP-10-stained cancer cells was significantly higher in pT3 (P=0.007) than in pT2 tumors. Furthermore, the proportion of MMP-10-stained cancer cells in high GS tumors was significantly higher (P=0.043) than in low GS tumors. To test the independent significance of MMP-10 expression for a high pT stage, a multivariate analysis model including MMP-10 and GS was examined. This analysis showed that MMP-10 expression correlated closely and positively with a high pT stage (OR 3.63, 95% CI 1.14–11.58, P=0.029). We then investigated the relationship between MMP-10 expression and vascular invasion. As shown in Table I, MMP-10 expression in specimens with vascular invasion was significantly higher (P=0.025) than those without vascular invasion.

Table I

Relationship between MMP-10 expression and pathological features.

Table I

Relationship between MMP-10 expression and pathological features.

MMP-10-stained cancer cells

No. of patientsMedian (interquartile range)P-value
Pathological features
 pT stage0.007
  T23911.3 (7.6–20.6)
  T32422.3 (13.4–30.2)
Venous invasion0.025
 Absence4011.2 (7.9–22.1)
 Presence2321.8 (13.2–26.9)
Gleason’s score0.043
 Low (<7)2010.0 (7.1–13.6)
 Middle (=7)2117.9 (9.2–31.2)
 High (>7)2221.6 (11.5–28.0)

[i] MMP, matrix metalloproteinase.

Correlation with proliferation, apoptosis and angiogenesis

We examined the correlation between MMP-10 and PI, AI, MVD and CRI (Table II). Although MMP-10 expression tended to correlate with PI and MVD, the correlations were not statistically significant (P=0.068 and 0.100, respectively). In contrast, MMP-10 expression correlated negatively with AI, although this correlation showed borderline significance (P=0.057). On the other hand, MMP-10 expression correlated significantly with CRI (=PI/AI) (r=0.34, P=0.001). When the relationship between pT stage and these parameters was examined, CRI in pT3 (median 5.2, IQR 3.3–8.2) was significantly higher (P=0.048) than in pT2 (median 3.9, IQR 2.2–5.3) tumors. Thus, both MMP-10 and CRI were significantly associated with pT stage.

Table II

The relationship between MMP-10 and parameters.

Table II

The relationship between MMP-10 and parameters.

rP-value
Proliferation index0.2300.068
Apoptotic index−0.2400.057
Microvessel density0.2100.100
Cell renewal index0.3400.001

Discussion

The present study found that MMP-10 was overexpressed in prostate cancer cells, and its positively stained ratio in pT3 was significantly higher than in pT2 tumors. In several studies using prostate cancer cell lines, MMP-10 expression levels in cancer cells were significantly higher than those in normal epithelial cells (16,17). Our results, based on the study of human cancer tissues, support the conclusion of the above studies. Therefore, we speculated that MMP-10 is up-regulated during the carcinogenic process, and plays an important role in tumor development in patients with prostate cancer.

Special attention was paid to the pathological roles of MMP-10 at the early stages of tumor progression. To examine the characteristics and distribution patterns of MMP-10 expression in human prostate cancer tissues, we only examined specimens obtained through radical surgery rather than from needle biopsy. In previous reports, a strong expression of certain MMP members was detected at the invasive front of tumors (18,19). However, such unique features were not found in almost all of the specimens in this study. On the other hand, our results demonstrated that MMP-10 was closely associated with pT stage in our multivariate analysis model. Thus, while MMP-10 plays an important role in tumor growth, further detailed examination is necessary regarding its role in prostate cancer. In addition, our results showed that MMP-10 expression was associated with vessel invasion. To the best of our knowledge, this is the first report on such an association. Moreover, this finding confirms that MMP-10 has important pathological significance in the early stages of prostate cancer progression.

To clarify the pathological roles of MMP-10 in human prostate cancer, we investigated the relationship between its expression and PI, AI, MVD and CRI. In other types of malignancies, MMP-10 has been reported to play crucial roles in cancer cell proliferation, apoptosis and angiogenesis (12,13). However, in contrast to our expectation, although some correlation was found between the proportion of MMP-10-stained cells and PI, AI or MVD in prostate cancer, this correlation was not statistically significant. Our results cannot explain such a disparity between the studies. We believe, however, that these differences are due to variations in pathological stage and malignant potential. In particular, our study population did not include patients with local invasion or metastasis. In general, the pathological significance and activity of cell proliferation, apoptosis and angiogenesis in the early stages of tumor development is relatively lower compared to those in advanced cancer types. In addition, it is known that the malignant potential and aggressiveness of prostate cancer, especially in low stage tumors, is relatively lower compared to that of other cancer types. Although PI, AI and MVD in advanced stages of prostate cancer are significantly different from those in the early stages, such differences were not found between pT3 and pT2 tumors (1,3). Therefore, it was difficult to detect a statistically significant correlation between MMP-10 and these parameters in our study population. Thus, we suggest that MMP-10 expression does not correlate significantly with PI, AI and MVD in patients with organ-confined prostate cancer. On the other hand, MMP-10 expression correlated positively with CRI (=PI/AI). The balance of cancer cell proliferation and apoptosis is one of the strongest determinants of tumor growth. Thus, we presume that CRI reflects cancer cell growth more precisely than PI or AI alone, especially in organ-confined prostate cancer. Several investigators described CRI as a useful marker of true growth activity under physiological and pathological conditions, including malignancy (15,20). Our results showed that there was a significant difference between CRI in pT2 compared to that in pT3 tumors. We speculate that MMP-10 modulates the balance between cell proliferation and the apoptosis of cancer cells in non-metastatic prostate cancer tissues, and this mechanism may play a role in the growth and up-staging of this disease.

In conclusion, our results demonstrated that MMP-10 was up-regulated during the process of carcinogenesis. Moreover, the expression of MMP-10 was significantly and positively associated with pT stage and GS in patients with non-metastatic prostate cancer. In addition, we speculated that MMP-10 modulates tumor growth and up-staging via the regulation of the balance of cell proliferation and apoptosis. Our results provide important findings for planning observation and treatment strategies for patients with non-metastatic prostate cancer.

Acknowledgements

We are grateful to Mr. Yoshikazu Tsuji and Mr. Takumi Shimogama for the outstanding support. This study was supported by a Grant-in-Aid for Scientific Research from the Ministry of Education, Science, Technology and Culture of Japan (grant no. 17791080).

References

1 

Matsushima H, Goto T, Hosaka Y, Kitamura T and Kawabe K: Correlation between proliferation, apoptosis and angiogenesis in prostate carcinoma and their relation to androgen ablation. Cancer. 85:1822–1827. 1998. View Article : Google Scholar : PubMed/NCBI

2 

Visakorpi T, Kallioniemi O-P, Koivula T and Isola J: New prognostic factors in prostatic carcinoma. Eur Urol. 24:438–449. 1993.PubMed/NCBI

3 

Weidner N, Carroll PR, Flax J, Blumenfeld W and Folkman J: Tumor angiogenesis correlates with metastasis in invasive prostate carcinoma. Am J Pathol. 143:401–409. 1993.PubMed/NCBI

4 

Egelbald M and Werb Z: New functions for the matrix metalloproteinases in cancer progression. Nat Rev Cancer. 2:161–174. 2002. View Article : Google Scholar

5 

Ray JM and Stetler-Stevenson WG: The role of matrix metalloproteinases and their inhibitors in tumor invasion, metastasis and angiogenesis. Eur Respir J. 7:2062–2072. 1994.PubMed/NCBI

6 

Miyata Y, Iwata T, Ohba K, Kanda S, Nishikido M, Koga S and Kanetake H: Expression of matrix metalloproteinase-7 on cancer cells and tissue endothelial cells in renal cell carcinoma: prognostic implication and clinical significance for invasion and metastasis. Clin Cancer Res. 15:6998–7003. 2006. View Article : Google Scholar

7 

Wood M, Fudge K, Mohler AR, Frost AR, Garcia F, Wang M and Stearns ME: In situ hybridization studies of metalloproteinase 2 and 9 and TIMP-1 and TIMP-2 expression in human prostate cancer. Clin Exp Metastasis. 15:246–258. 1997. View Article : Google Scholar : PubMed/NCBI

8 

Pavlaki M and Zucker S: Matrix metalloproteinase inhibitors (MMPIs): the beginning of the phase I or the termination of phase III clinical trials. Cancer Metastasis Rev. 22:177–203. 2003. View Article : Google Scholar : PubMed/NCBI

9 

Arlt M, Kopitz C, Pennington KL, Watson KL, Krell HW, Bode W, Gansbacher B, Khokha R, Edward DR and Krüger A: Increase in gelatinase-specificity of matrix metalloproteinase inhibitors correlated with antimetastatic efficacy in a T-cell lymphoma model. Cancer Res. 62:5543–5550. 2002.PubMed/NCBI

10 

Miyazaki K, Koshikawa N, Hasegawa S, Momiyama N, Nagashima Y, Moriyama K, Ichikawa Y, Ishikawa T, Mitsuhashi M and Shimada H: Matrilysin as target for chemotherapy for colon cancer: use of antisense oligonucleotides as antimetastatic agents. Cancer Chemother Pharmacol. 43:S52–S55. 1999. View Article : Google Scholar : PubMed/NCBI

11 

Mathew R, Khanna R, Kumar R, Mathur M, Shukla NK and Ralhan R: Stromelysis-2 overexpression in human esophageal squamous cell carcinoma: potential clinical implications. Cancer Detect Prev. 26:222–228. 2002. View Article : Google Scholar : PubMed/NCBI

12 

Miyata Y, Iwata T, Maruta S, Kanda S, Nishikido M and Kanetake H: Expression of matrix metalloproteinase-10 in renal cell carcinoma. Eur Urol. 52:791–797. 2007. View Article : Google Scholar : PubMed/NCBI

13 

Meyer E, Vollmer J-Y, Bovey R and Stamenkovic I: Matrix metalloproteinase 9 and 10 inhibit protein kinase C-potentiated, p-53-mediated apoptosis. Cancer Res. 65:4261–4272. 2005. View Article : Google Scholar : PubMed/NCBI

14 

Miyata Y, Koga S, Kanda S, Nishikido M, Hayashi T and Kanetake H: Expression of cyclooxygenase-2 in renal cell carcinoma: correlation with tumor cell proliferation, apoptosis, angiogenesis, expression of matrix metalloproteinase-2 and survival. Clin Cancer Res. 9:1741–1749. 2003.

15 

Bai M, Agnantis N, Kamina S, Demou A, Zagorianakou P, Katsaraki A and Kanavaros P: In vivo cell kinetics in breast carcinogenesis. Breast Cancer Res. 3:276–283. 2001. View Article : Google Scholar : PubMed/NCBI

16 

Singh S, Singh UP, Grizzle WE and Lillard JW Jr: CXCL12-CXCR4 interactions modulate prostate cancer cell migration, metalloproteinase expression and invasion. Lab Invest. 84:1666–1676. 2004. View Article : Google Scholar : PubMed/NCBI

17 

Singh S, Singh UP, Stiles JK and Lillard JW Jr: Expression and functional role of CCR9 in prostate cancer cell migration and invasion. Clin Cancer Res. 10:8743–8750. 2004. View Article : Google Scholar : PubMed/NCBI

18 

Adachi Y, Yamamoto H, Itoh F, Arimura Y, Nishi M, Endo T and Imai K: Clinicopathologic and prognostic significance of matrilysin expression at the invasive front in human colorectal cancers. Int J Cancer. 95:290–294. 2001. View Article : Google Scholar : PubMed/NCBI

19 

Gu ZD, Li JY, Li M, Gu J, Shi XT, Ke Y and Chen KY: Matrix metalloproteinase expression correlates with survival in patients with esophageal squamous cell carcinoma. Am J Gastroenterol. 100:1835–1843. 2005. View Article : Google Scholar : PubMed/NCBI

20 

Navarrete MA, Maier CM, Falzoni R, Gerk de Azevedo Quadros L, Kima GR, Baracat EC and Nazário AC: Assessment of the proliferative, apoptotic and cellular renovation indices of the human mammary epithelium during the follicular and luteal phases of the menstrual cycle. Breast Cancer Res. 7:R306–R313. 2005. View Article : Google Scholar

Related Articles

  • Abstract
  • View
  • Download
  • Twitter
Copy and paste a formatted citation
Spandidos Publications style
Maruta S, Miyata Y, Sagara Y, Kanda S, Iwata T, Watanabe S, Sakai H, Hayashi T and Kanetake H: Expression of matrix metalloproteinase-10 in non-metastatic prostate cancer: Correlation with an imbalance in cell proliferation and apoptosis . Oncol Lett 1: 417-421, 2010.
APA
Maruta, S., Miyata, Y., Sagara, Y., Kanda, S., Iwata, T., Watanabe, S. ... Kanetake, H. (2010). Expression of matrix metalloproteinase-10 in non-metastatic prostate cancer: Correlation with an imbalance in cell proliferation and apoptosis . Oncology Letters, 1, 417-421. https://doi.org/10.3892/ol_00000073
MLA
Maruta, S., Miyata, Y., Sagara, Y., Kanda, S., Iwata, T., Watanabe, S., Sakai, H., Hayashi, T., Kanetake, H."Expression of matrix metalloproteinase-10 in non-metastatic prostate cancer: Correlation with an imbalance in cell proliferation and apoptosis ". Oncology Letters 1.3 (2010): 417-421.
Chicago
Maruta, S., Miyata, Y., Sagara, Y., Kanda, S., Iwata, T., Watanabe, S., Sakai, H., Hayashi, T., Kanetake, H."Expression of matrix metalloproteinase-10 in non-metastatic prostate cancer: Correlation with an imbalance in cell proliferation and apoptosis ". Oncology Letters 1, no. 3 (2010): 417-421. https://doi.org/10.3892/ol_00000073
Copy and paste a formatted citation
x
Spandidos Publications style
Maruta S, Miyata Y, Sagara Y, Kanda S, Iwata T, Watanabe S, Sakai H, Hayashi T and Kanetake H: Expression of matrix metalloproteinase-10 in non-metastatic prostate cancer: Correlation with an imbalance in cell proliferation and apoptosis . Oncol Lett 1: 417-421, 2010.
APA
Maruta, S., Miyata, Y., Sagara, Y., Kanda, S., Iwata, T., Watanabe, S. ... Kanetake, H. (2010). Expression of matrix metalloproteinase-10 in non-metastatic prostate cancer: Correlation with an imbalance in cell proliferation and apoptosis . Oncology Letters, 1, 417-421. https://doi.org/10.3892/ol_00000073
MLA
Maruta, S., Miyata, Y., Sagara, Y., Kanda, S., Iwata, T., Watanabe, S., Sakai, H., Hayashi, T., Kanetake, H."Expression of matrix metalloproteinase-10 in non-metastatic prostate cancer: Correlation with an imbalance in cell proliferation and apoptosis ". Oncology Letters 1.3 (2010): 417-421.
Chicago
Maruta, S., Miyata, Y., Sagara, Y., Kanda, S., Iwata, T., Watanabe, S., Sakai, H., Hayashi, T., Kanetake, H."Expression of matrix metalloproteinase-10 in non-metastatic prostate cancer: Correlation with an imbalance in cell proliferation and apoptosis ". Oncology Letters 1, no. 3 (2010): 417-421. https://doi.org/10.3892/ol_00000073
Follow us
  • Twitter
  • LinkedIn
  • Facebook
About
  • Spandidos Publications
  • Careers
  • Cookie Policy
  • Privacy Policy
How can we help?
  • Help
  • Live Chat
  • Contact
  • Email to our Support Team