Spandidos Publications Logo
  • About
    • About Spandidos
    • Aims and Scopes
    • Abstracting and Indexing
    • Editorial Policies
    • Reprints and Permissions
    • Job Opportunities
    • Terms and Conditions
    • Contact
  • Journals
    • All Journals
    • Oncology Letters
      • Oncology Letters
      • Information for Authors
      • Editorial Policies
      • Editorial Board
      • Aims and Scope
      • Abstracting and Indexing
      • Bibliographic Information
      • Archive
    • International Journal of Oncology
      • International Journal of Oncology
      • Information for Authors
      • Editorial Policies
      • Editorial Board
      • Aims and Scope
      • Abstracting and Indexing
      • Bibliographic Information
      • Archive
    • Molecular and Clinical Oncology
      • Molecular and Clinical Oncology
      • Information for Authors
      • Editorial Policies
      • Editorial Board
      • Aims and Scope
      • Abstracting and Indexing
      • Bibliographic Information
      • Archive
    • Experimental and Therapeutic Medicine
      • Experimental and Therapeutic Medicine
      • Information for Authors
      • Editorial Policies
      • Editorial Board
      • Aims and Scope
      • Abstracting and Indexing
      • Bibliographic Information
      • Archive
    • International Journal of Molecular Medicine
      • International Journal of Molecular Medicine
      • Information for Authors
      • Editorial Policies
      • Editorial Board
      • Aims and Scope
      • Abstracting and Indexing
      • Bibliographic Information
      • Archive
    • Biomedical Reports
      • Biomedical Reports
      • Information for Authors
      • Editorial Policies
      • Editorial Board
      • Aims and Scope
      • Abstracting and Indexing
      • Bibliographic Information
      • Archive
    • Oncology Reports
      • Oncology Reports
      • Information for Authors
      • Editorial Policies
      • Editorial Board
      • Aims and Scope
      • Abstracting and Indexing
      • Bibliographic Information
      • Archive
    • Molecular Medicine Reports
      • Molecular Medicine Reports
      • Information for Authors
      • Editorial Policies
      • Editorial Board
      • Aims and Scope
      • Abstracting and Indexing
      • Bibliographic Information
      • Archive
    • World Academy of Sciences Journal
      • World Academy of Sciences Journal
      • Information for Authors
      • Editorial Policies
      • Editorial Board
      • Aims and Scope
      • Abstracting and Indexing
      • Bibliographic Information
      • Archive
    • International Journal of Functional Nutrition
      • International Journal of Functional Nutrition
      • Information for Authors
      • Editorial Policies
      • Editorial Board
      • Aims and Scope
      • Abstracting and Indexing
      • Bibliographic Information
      • Archive
    • International Journal of Epigenetics
      • International Journal of Epigenetics
      • Information for Authors
      • Editorial Policies
      • Editorial Board
      • Aims and Scope
      • Abstracting and Indexing
      • Bibliographic Information
      • Archive
    • Medicine International
      • Medicine International
      • Information for Authors
      • Editorial Policies
      • Editorial Board
      • Aims and Scope
      • Abstracting and Indexing
      • Bibliographic Information
      • Archive
  • Articles
  • Information
    • Information for Authors
    • Information for Reviewers
    • Information for Librarians
    • Information for Advertisers
    • Conferences
  • Language Editing
Spandidos Publications Logo
  • About
    • About Spandidos
    • Aims and Scopes
    • Abstracting and Indexing
    • Editorial Policies
    • Reprints and Permissions
    • Job Opportunities
    • Terms and Conditions
    • Contact
  • Journals
    • All Journals
    • Biomedical Reports
      • Information for Authors
      • Editorial Policies
      • Editorial Board
      • Aims and Scope
      • Abstracting and Indexing
      • Bibliographic Information
      • Archive
    • Experimental and Therapeutic Medicine
      • Information for Authors
      • Editorial Policies
      • Editorial Board
      • Aims and Scope
      • Abstracting and Indexing
      • Bibliographic Information
      • Archive
    • International Journal of Epigenetics
      • Information for Authors
      • Editorial Policies
      • Editorial Board
      • Aims and Scope
      • Abstracting and Indexing
      • Bibliographic Information
      • Archive
    • International Journal of Functional Nutrition
      • Information for Authors
      • Editorial Policies
      • Editorial Board
      • Aims and Scope
      • Abstracting and Indexing
      • Bibliographic Information
      • Archive
    • International Journal of Molecular Medicine
      • Information for Authors
      • Editorial Policies
      • Editorial Board
      • Aims and Scope
      • Abstracting and Indexing
      • Bibliographic Information
      • Archive
    • International Journal of Oncology
      • Information for Authors
      • Editorial Policies
      • Editorial Board
      • Aims and Scope
      • Abstracting and Indexing
      • Bibliographic Information
      • Archive
    • Medicine International
      • Information for Authors
      • Editorial Policies
      • Editorial Board
      • Aims and Scope
      • Abstracting and Indexing
      • Bibliographic Information
      • Archive
    • Molecular and Clinical Oncology
      • Information for Authors
      • Editorial Policies
      • Editorial Board
      • Aims and Scope
      • Abstracting and Indexing
      • Bibliographic Information
      • Archive
    • Molecular Medicine Reports
      • Information for Authors
      • Editorial Policies
      • Editorial Board
      • Aims and Scope
      • Abstracting and Indexing
      • Bibliographic Information
      • Archive
    • Oncology Letters
      • Information for Authors
      • Editorial Policies
      • Editorial Board
      • Aims and Scope
      • Abstracting and Indexing
      • Bibliographic Information
      • Archive
    • Oncology Reports
      • Information for Authors
      • Editorial Policies
      • Editorial Board
      • Aims and Scope
      • Abstracting and Indexing
      • Bibliographic Information
      • Archive
    • World Academy of Sciences Journal
      • Information for Authors
      • Editorial Policies
      • Editorial Board
      • Aims and Scope
      • Abstracting and Indexing
      • Bibliographic Information
      • Archive
  • Articles
  • Information
    • For Authors
    • For Reviewers
    • For Librarians
    • For Advertisers
    • Conferences
  • Language Editing
Login Register Submit
  • This site uses cookies
  • You can change your cookie settings at any time by following the instructions in our Cookie Policy. To find out more, you may read our Privacy Policy.

    I agree
Search articles by DOI, keyword, author or affiliation
Search
Advanced Search
presentation
Oncology Letters
Join Editorial Board Propose a Special Issue
Print ISSN: 1792-1074 Online ISSN: 1792-1082
Journal Cover
April-2016 Volume 11 Issue 4

Full Size Image

Sign up for eToc alerts
Recommend to Library

Journals

International Journal of Molecular Medicine

International Journal of Molecular Medicine

International Journal of Molecular Medicine is an international journal devoted to molecular mechanisms of human disease.

International Journal of Oncology

International Journal of Oncology

International Journal of Oncology is an international journal devoted to oncology research and cancer treatment.

Molecular Medicine Reports

Molecular Medicine Reports

Covers molecular medicine topics such as pharmacology, pathology, genetics, neuroscience, infectious diseases, molecular cardiology, and molecular surgery.

Oncology Reports

Oncology Reports

Oncology Reports is an international journal devoted to fundamental and applied research in Oncology.

Experimental and Therapeutic Medicine

Experimental and Therapeutic Medicine

Experimental and Therapeutic Medicine is an international journal devoted to laboratory and clinical medicine.

Oncology Letters

Oncology Letters

Oncology Letters is an international journal devoted to Experimental and Clinical Oncology.

Biomedical Reports

Biomedical Reports

Explores a wide range of biological and medical fields, including pharmacology, genetics, microbiology, neuroscience, and molecular cardiology.

Molecular and Clinical Oncology

Molecular and Clinical Oncology

International journal addressing all aspects of oncology research, from tumorigenesis and oncogenes to chemotherapy and metastasis.

World Academy of Sciences Journal

World Academy of Sciences Journal

Multidisciplinary open-access journal spanning biochemistry, genetics, neuroscience, environmental health, and synthetic biology.

International Journal of Functional Nutrition

International Journal of Functional Nutrition

Open-access journal combining biochemistry, pharmacology, immunology, and genetics to advance health through functional nutrition.

International Journal of Epigenetics

International Journal of Epigenetics

Publishes open-access research on using epigenetics to advance understanding and treatment of human disease.

Medicine International

Medicine International

An International Open Access Journal Devoted to General Medicine.

Journal Cover
April-2016 Volume 11 Issue 4

Full Size Image

Sign up for eToc alerts
Recommend to Library

  • Article
  • Citations
    • Cite This Article
    • Download Citation
    • Create Citation Alert
    • Remove Citation Alert
    • Cited By
  • Similar Articles
    • Related Articles (in Spandidos Publications)
    • Similar Articles (Google Scholar)
    • Similar Articles (PubMed)
  • Download PDF
  • Download XML
  • View XML
Article

Clinicopathological and immunohistochemical features of pulmonary artery sarcoma: A report of three cases and review of the literature

  • Authors:
    • Dong Chen
    • Guangfa Zhu
    • Dijia Wang
    • Zhe Zhang
    • Wei Fang
    • Zheng Qu
  • View Affiliations / Copyright

    Affiliations: Department of Pathology, Beijing Anzhen Hospital, Capital Medical University, Beijing Institute of Heart, Lung and Blood Vessel Diseases, Beijing 100029, P.R. China, Department of Respiratory and Critical Care Medicine, Beijing Anzhen Hospital, Capital Medical University, Beijing Institute of Heart, Lung and Blood Vessel Diseases, Beijing 100029, P.R. China, Department of Intensive Care Medicine, Beijing Tongren Hospital, Capital Medical University, Beijing 100730, P.R. China, Department of Cardiac Surgery, Beijing Anzhen Hospital, Capital Medical University, Beijing Institute of Heart, Lung and Blood Vessel Diseases, Beijing 100029, P.R. China
  • Pages: 2820-2826
    |
    Published online on: March 8, 2016
       https://doi.org/10.3892/ol.2016.4308
  • Expand metrics +
Metrics: Total Views: 0 (Spandidos Publications: | PMC Statistics: )
Metrics: Total PDF Downloads: 0 (Spandidos Publications: | PMC Statistics: )
Cited By (CrossRef): 0 citations Loading Articles...

This article is mentioned in:


Abstract

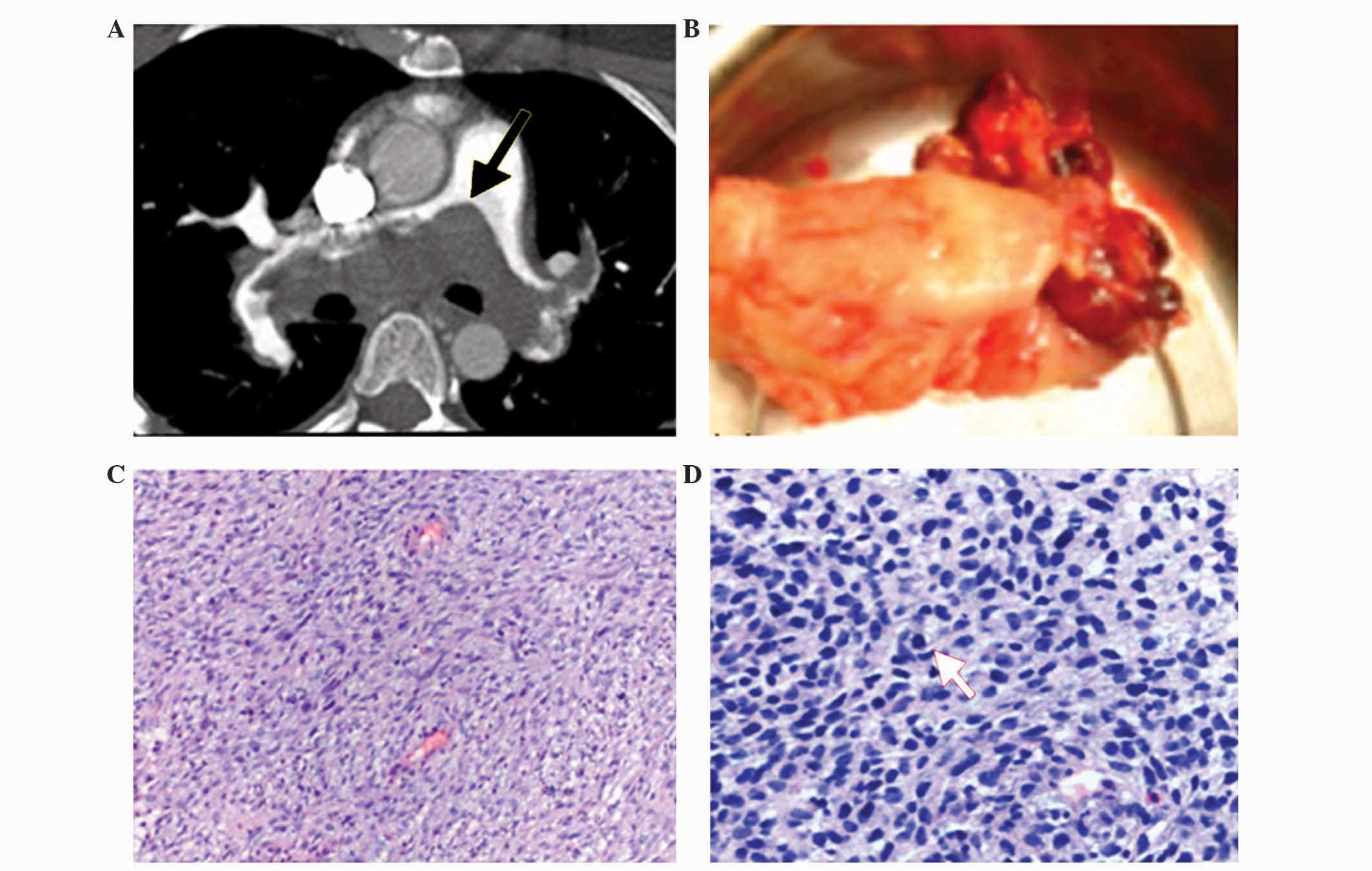
Pulmonary artery sarcoma (PAS) is an extremely rare and highly malignant tumor that originates in the pulmonary artery. The majority of reported cases of PAS are confirmed by pathological examination subsequent to surgery or by autopsy. The present study reports the clinicopathological characteristics and immunohistochemical phenotypes of three cases of PAS, and aims to facilitate the identification of this lethal disease. In the present study, the data from clinical, histopathological and immunohistochemical examinations of three patients with PAS, whose diagnoses were confirmed by surgical biopsy conducted at the Beijing Anzhen Hospital (Beijing, China) between 2008 and 2012, were retrospectively analyzed. The patients (two women and one man; average age, 41.3 years old) presented with dyspnea on exertion. In addition, two of the patients experienced chest tightness, and one patient experienced intermittent syncope. Computed tomography pulmonary angiography revealed that two of the patients possessed a filling defect in the main, left and right pulmonary arteries, and one patient possessed a filling defect in the right upper pulmonary artery. Macroscopically, the PAS appeared as a mucoid intraluminal or nodular sessile mass spreading along the pulmonary artery. Microscopically, the tumor consisted of spindle cells with fascicular and storiform patterns, and was accompanied by necrosis and stromal myxoid changes. Immunohistochemically, vimentin, desmin and cluster of differentiation 34 were highly expressed in the patient that was diagnosed with intimal sarcoma, while vimentin and α‑smooth muscle actin were highly expressed in the other two patients, who were diagnosed with leiomyosarcoma. PAS is often misdiagnosed due to nonspecific clinical manifestations and radiological features. Therefore, the diagnosis of PAS should be based on typical morphological features and immunohistochemical analysis of the tumor tissue.
View Figures

Figure 1

Figure 2

View References

1 

Travis WD, Brambilla E, Müller-Hermelink HK and Harris CC: World Health Organization Classification of Tumours. Pathology & Genetics of Tumours of the Lung, Pleura, Thymus and Heart. IARC Press. (Lyon). 2004.

2 

Bhagwat K, Hallam J, Antippa P and Larobina M: Diagnostic enigma: Primary pulmonary artery sarcoma. Interact Cardiovasc Thorac Surg. 14:342–344. 2012. View Article : Google Scholar : PubMed/NCBI

3 

Mandelstamm M: Über primäre Neubildungen des Herzens. Virchows Arch Pathol Anat. 245:43–54. 1923.(In German). View Article : Google Scholar

4 

Cox JE, Chiles C, Aquino SL, Savage P and Oaks T: Pulmonary artery sarcomas: A review of clinical and radiologic features. J Comput Assist Tomogr. 21:750–755. 1997. View Article : Google Scholar : PubMed/NCBI

5 

Shehatha J, Saxena P, Clarke B, Dunning J and Konstantinov IE: Surgical management of extensive pulmonary artery sarcoma. Ann Thorac Surg. 87:1269–1271. 2009. View Article : Google Scholar : PubMed/NCBI

6 

Huo L, Moran CA, Fuller GN, Gladish G and Suster S: Pulmonary artery sarcoma: A clinicopathologic and immunohistochemical study of 12 cases. Am J Clin Pathol. 125:419–424. 2006. View Article : Google Scholar : PubMed/NCBI

7 

Gan HL, Zhang JQ, Huang XY and Yu W: The wall eclipsing sign on pulmonary artery computed tomography angiography is pathognomonic for pulmonary artery sarcoma. PLoS One. 8:e832002013. View Article : Google Scholar : PubMed/NCBI

8 

Parish JM, Rosenow EC III, Swensen SJ and Crotty TB: Pulmonary artery sarcoma. Clinical features. Chest. 110:1480–1488. 1996. View Article : Google Scholar : PubMed/NCBI

9 

Dimitrakakis G, Zilidis G, Buchalter M and Von Oppell U: Pulmonary artery sarcoma - a challenging diagnosis: A case report. Heart Surg Forum. 9:E897–E899. 2006. View Article : Google Scholar : PubMed/NCBI

10 

Cook DJ, Tanser PH, Dobranowski J and Tuttle RJ: Primary pulmonary artery sarcoma mimicking pulmonary thromboembolism. Can J Cardiol. 4:393–396. 1988.PubMed/NCBI

11 

Etienne-Mastroianni B, Falchero L, Chalabreysse L, Loire R, Ranchère D, Souquet PJ and Cordier JF: Primary sarcomas of the lung: A clinicopathologic study of 12 cases. Lung Cancer. 38:283–289. 2002. View Article : Google Scholar : PubMed/NCBI

12 

Régnard JF, Icard P, Guibert L, de Montpreville VT, Magdeleinat P and Levasseur P: Prognostic factors and results after surgical treatment of primary sarcomas of the lung. Ann Thorac Surg. 68:227–231. 1999. View Article : Google Scholar : PubMed/NCBI

13 

Fletcher CDM, Unni KK and Mertens F: World Health Organization Classification of Tumours. Pathology & Genetics of Tumours of Soft Tissue and Bone. IARC Press. (Lyon). 2002.

14 

Bloomberg RD, Butany JW, Cusimano RJ and Leask RL: Primary cardiac sarcoma involving the pulmonary artery and valve. Can J Cardiol. 19:843–847. 2003.PubMed/NCBI

15 

Mussot S, Ghigna MR, Mercier O, Fabre D, Fadel E, Le Cesne A, Simonneau G and Dartevelle P: Retrospective institutional study of 31 patients treated for pulmonary artery sarcoma. Eur J Cardiothorac Surg. 43:787–793. 2013. View Article : Google Scholar : PubMed/NCBI

16 

Araki Y, Tajima K, Yoshikawa M, Abe T and Suenaga Y: A case of primary pulmonary intimal sarcoma of the pulmonary artery. Nihon Kyobu Geka Gakkai Zasshi. 45:1039–1043. 1997.(In Japanese). PubMed/NCBI

17 

Wijesuriya S, Chandratreya L and Medford AR: Chronic pulmonary emboli and radiologic mimics on CT pulmonary angiography: A diagnostic challenge. Chest. 143:1460–1471. 2013. View Article : Google Scholar : PubMed/NCBI

18 

Attinà D, Niro F, Tchouanté P, Mineo G, Russo V, Palazzini M, Galiè N, Fanti S, Lovato L and Zompatori M: Pulmonary artery intimal sarcoma. Problems in the differential diagnosis. Radiol Med (Torino). 118:1259–1268. 2013. View Article : Google Scholar

19 

Hu XP, Xu JP and Liu NN: Primary pulmonary artery sarcoma: Surgical management and differential diagnosis with pulmonary embolism and pulmonary valve stenosis. J Card Surg. 24:613–616. 2009. View Article : Google Scholar : PubMed/NCBI

20 

Ebner L, Huber A, Ott D and Christe A: Pulmonary intimal sarcoma: A rare differential diagnosis for arterial filling defects on a chest CT. Acta Radiol Short Rep. 3:20479816135140522014.PubMed/NCBI

21 

Tavora F, Miettinen M, Fanburg-Smith J, Franks TJ and Burke A: Pulmonary artery sarcoma: A histologic and follow-up study with emphasis on a subset of low-grade myofibroblastic sarcomas with a good long-term follow-up. Am J Surg Pathol. 32:1751–1761. 2008. View Article : Google Scholar : PubMed/NCBI

22 

Mayer E, Kriegsmann J, Gaumann A, Kauczor HU, Dahm M, Hake U, Schmid FX and Oelert H: Surgical treatment of pulmonary artery sarcoma. J Thorac Cardiovasc Surg. 121:77–82. 2001. View Article : Google Scholar : PubMed/NCBI

23 

Keel SB, Bacha E, Mark EJ, Nielsen GP and Rosenberg AE: Primary pulmonary sarcoma: a clinicopathologic study of 26 cases. Mod Pathol. 12:1124–1131. 1999.PubMed/NCBI

24 

Mattoo A, Fedullo PF, Kapelanski D and Ilowite JS: Pulmonary artery sarcoma: A case report of surgical cure and 5-year follow-up. Chest. 122:745–747. 2002. View Article : Google Scholar : PubMed/NCBI

25 

Burke AP and Virmani R: Sarcomas of the great vessels. A clinicopathologic study. Cancer. 71:1761–1773. 1993. View Article : Google Scholar : PubMed/NCBI

26 

Nonomura A, Kurumaya H, Kono N, Nakanuma Y, Ohta G, Terahata S, Matsubara F, Matsuda T, Asaka T and Nishino T: Primary pulmonary artery sarcoma. Report of two autopsy cases studied by immunohistochemistry and electron microscopy, and review of 110 cases reported in the literature. Acta Pathol Jpn. 38:883–896. 1988.PubMed/NCBI

27 

Yi CA, Lee KS, Choe YH, Han D, Kwon OJ and Kim S: Computed tomography in pulmonary artery sarcoma: Distinguishing features from pulmonary embolic disease. J Comput Assist Tomogr. 28:34–39. 2004. View Article : Google Scholar : PubMed/NCBI

28 

Govender D and Pillay SV: Right pulmonary artery sarcoma. Pathology. 33:243–245. 2001. View Article : Google Scholar : PubMed/NCBI

29 

Croitoru AG, Klein MJ, Galla JD and Fallon JT: Primary pulmonary artery leiomyosarcoma. Cardiovasc Pathol. 12:166–169. 2003. View Article : Google Scholar : PubMed/NCBI

30 

Spirtas R, Connelly RR and Tucker MA: Survival patterns for malignant mesothelioma: The SEER experience. Int J Cancer. 41:525–530. 1988. View Article : Google Scholar : PubMed/NCBI

31 

Burke AP and Virmani R: Osteosarcomas of the heart. Am J Surg Pathol. 15:289–295. 1991. View Article : Google Scholar : PubMed/NCBI

32 

Bleisch VR and Kraus FT: Polypoid sarcoma of the pulmonary trunk: Analysis of the literature and report of a case with leptomeric organelles and ultrastructural features of rhabdomyosarcoma. Cancer. 46:314–324. 1980. View Article : Google Scholar : PubMed/NCBI

33 

Jain D, Maleszewski JJ and Halushka MK: Benign cardiac tumors and tumorlike conditions. Ann Diagn Pathol. 14:215–230. 2010. View Article : Google Scholar : PubMed/NCBI

34 

Burke AP and Virmani R: Cardiac myxoma. A clinicopathologic study. Am J Clin Pathol. 100:671–680. 1993. View Article : Google Scholar : PubMed/NCBI

35 

Hemachandran M, Kakkar N and Khandelwal N: Giant-cell-rich myxoma of right atrium. An ultrastructural analysis. Cardiovasc Pathol. 12:287–289. 2003. View Article : Google Scholar : PubMed/NCBI

Related Articles

  • Abstract
  • View
  • Download
  • Twitter
Copy and paste a formatted citation
Spandidos Publications style
Chen D, Zhu G, Wang D, Zhang Z, Fang W and Qu Z: Clinicopathological and immunohistochemical features of pulmonary artery sarcoma: A report of three cases and review of the literature. Oncol Lett 11: 2820-2826, 2016.
APA
Chen, D., Zhu, G., Wang, D., Zhang, Z., Fang, W., & Qu, Z. (2016). Clinicopathological and immunohistochemical features of pulmonary artery sarcoma: A report of three cases and review of the literature. Oncology Letters, 11, 2820-2826. https://doi.org/10.3892/ol.2016.4308
MLA
Chen, D., Zhu, G., Wang, D., Zhang, Z., Fang, W., Qu, Z."Clinicopathological and immunohistochemical features of pulmonary artery sarcoma: A report of three cases and review of the literature". Oncology Letters 11.4 (2016): 2820-2826.
Chicago
Chen, D., Zhu, G., Wang, D., Zhang, Z., Fang, W., Qu, Z."Clinicopathological and immunohistochemical features of pulmonary artery sarcoma: A report of three cases and review of the literature". Oncology Letters 11, no. 4 (2016): 2820-2826. https://doi.org/10.3892/ol.2016.4308
Copy and paste a formatted citation
x
Spandidos Publications style
Chen D, Zhu G, Wang D, Zhang Z, Fang W and Qu Z: Clinicopathological and immunohistochemical features of pulmonary artery sarcoma: A report of three cases and review of the literature. Oncol Lett 11: 2820-2826, 2016.
APA
Chen, D., Zhu, G., Wang, D., Zhang, Z., Fang, W., & Qu, Z. (2016). Clinicopathological and immunohistochemical features of pulmonary artery sarcoma: A report of three cases and review of the literature. Oncology Letters, 11, 2820-2826. https://doi.org/10.3892/ol.2016.4308
MLA
Chen, D., Zhu, G., Wang, D., Zhang, Z., Fang, W., Qu, Z."Clinicopathological and immunohistochemical features of pulmonary artery sarcoma: A report of three cases and review of the literature". Oncology Letters 11.4 (2016): 2820-2826.
Chicago
Chen, D., Zhu, G., Wang, D., Zhang, Z., Fang, W., Qu, Z."Clinicopathological and immunohistochemical features of pulmonary artery sarcoma: A report of three cases and review of the literature". Oncology Letters 11, no. 4 (2016): 2820-2826. https://doi.org/10.3892/ol.2016.4308
Follow us
  • Twitter
  • LinkedIn
  • Facebook
About
  • Spandidos Publications
  • Careers
  • Cookie Policy
  • Privacy Policy
How can we help?
  • Help
  • Live Chat
  • Contact
  • Email to our Support Team