Spandidos Publications Logo
  • About
    • About Spandidos
    • Aims and Scopes
    • Abstracting and Indexing
    • Editorial Policies
    • Reprints and Permissions
    • Job Opportunities
    • Terms and Conditions
    • Contact
  • Journals
    • All Journals
    • Oncology Letters
      • Oncology Letters
      • Information for Authors
      • Editorial Policies
      • Editorial Board
      • Aims and Scope
      • Abstracting and Indexing
      • Bibliographic Information
      • Archive
    • International Journal of Oncology
      • International Journal of Oncology
      • Information for Authors
      • Editorial Policies
      • Editorial Board
      • Aims and Scope
      • Abstracting and Indexing
      • Bibliographic Information
      • Archive
    • Molecular and Clinical Oncology
      • Molecular and Clinical Oncology
      • Information for Authors
      • Editorial Policies
      • Editorial Board
      • Aims and Scope
      • Abstracting and Indexing
      • Bibliographic Information
      • Archive
    • Experimental and Therapeutic Medicine
      • Experimental and Therapeutic Medicine
      • Information for Authors
      • Editorial Policies
      • Editorial Board
      • Aims and Scope
      • Abstracting and Indexing
      • Bibliographic Information
      • Archive
    • International Journal of Molecular Medicine
      • International Journal of Molecular Medicine
      • Information for Authors
      • Editorial Policies
      • Editorial Board
      • Aims and Scope
      • Abstracting and Indexing
      • Bibliographic Information
      • Archive
    • Biomedical Reports
      • Biomedical Reports
      • Information for Authors
      • Editorial Policies
      • Editorial Board
      • Aims and Scope
      • Abstracting and Indexing
      • Bibliographic Information
      • Archive
    • Oncology Reports
      • Oncology Reports
      • Information for Authors
      • Editorial Policies
      • Editorial Board
      • Aims and Scope
      • Abstracting and Indexing
      • Bibliographic Information
      • Archive
    • Molecular Medicine Reports
      • Molecular Medicine Reports
      • Information for Authors
      • Editorial Policies
      • Editorial Board
      • Aims and Scope
      • Abstracting and Indexing
      • Bibliographic Information
      • Archive
    • World Academy of Sciences Journal
      • World Academy of Sciences Journal
      • Information for Authors
      • Editorial Policies
      • Editorial Board
      • Aims and Scope
      • Abstracting and Indexing
      • Bibliographic Information
      • Archive
    • International Journal of Functional Nutrition
      • International Journal of Functional Nutrition
      • Information for Authors
      • Editorial Policies
      • Editorial Board
      • Aims and Scope
      • Abstracting and Indexing
      • Bibliographic Information
      • Archive
    • International Journal of Epigenetics
      • International Journal of Epigenetics
      • Information for Authors
      • Editorial Policies
      • Editorial Board
      • Aims and Scope
      • Abstracting and Indexing
      • Bibliographic Information
      • Archive
    • Medicine International
      • Medicine International
      • Information for Authors
      • Editorial Policies
      • Editorial Board
      • Aims and Scope
      • Abstracting and Indexing
      • Bibliographic Information
      • Archive
  • Articles
  • Information
    • Information for Authors
    • Information for Reviewers
    • Information for Librarians
    • Information for Advertisers
    • Conferences
  • Language Editing
Spandidos Publications Logo
  • About
    • About Spandidos
    • Aims and Scopes
    • Abstracting and Indexing
    • Editorial Policies
    • Reprints and Permissions
    • Job Opportunities
    • Terms and Conditions
    • Contact
  • Journals
    • All Journals
    • Biomedical Reports
      • Information for Authors
      • Editorial Policies
      • Editorial Board
      • Aims and Scope
      • Abstracting and Indexing
      • Bibliographic Information
      • Archive
    • Experimental and Therapeutic Medicine
      • Information for Authors
      • Editorial Policies
      • Editorial Board
      • Aims and Scope
      • Abstracting and Indexing
      • Bibliographic Information
      • Archive
    • International Journal of Epigenetics
      • Information for Authors
      • Editorial Policies
      • Editorial Board
      • Aims and Scope
      • Abstracting and Indexing
      • Bibliographic Information
      • Archive
    • International Journal of Functional Nutrition
      • Information for Authors
      • Editorial Policies
      • Editorial Board
      • Aims and Scope
      • Abstracting and Indexing
      • Bibliographic Information
      • Archive
    • International Journal of Molecular Medicine
      • Information for Authors
      • Editorial Policies
      • Editorial Board
      • Aims and Scope
      • Abstracting and Indexing
      • Bibliographic Information
      • Archive
    • International Journal of Oncology
      • Information for Authors
      • Editorial Policies
      • Editorial Board
      • Aims and Scope
      • Abstracting and Indexing
      • Bibliographic Information
      • Archive
    • Medicine International
      • Information for Authors
      • Editorial Policies
      • Editorial Board
      • Aims and Scope
      • Abstracting and Indexing
      • Bibliographic Information
      • Archive
    • Molecular and Clinical Oncology
      • Information for Authors
      • Editorial Policies
      • Editorial Board
      • Aims and Scope
      • Abstracting and Indexing
      • Bibliographic Information
      • Archive
    • Molecular Medicine Reports
      • Information for Authors
      • Editorial Policies
      • Editorial Board
      • Aims and Scope
      • Abstracting and Indexing
      • Bibliographic Information
      • Archive
    • Oncology Letters
      • Information for Authors
      • Editorial Policies
      • Editorial Board
      • Aims and Scope
      • Abstracting and Indexing
      • Bibliographic Information
      • Archive
    • Oncology Reports
      • Information for Authors
      • Editorial Policies
      • Editorial Board
      • Aims and Scope
      • Abstracting and Indexing
      • Bibliographic Information
      • Archive
    • World Academy of Sciences Journal
      • Information for Authors
      • Editorial Policies
      • Editorial Board
      • Aims and Scope
      • Abstracting and Indexing
      • Bibliographic Information
      • Archive
  • Articles
  • Information
    • For Authors
    • For Reviewers
    • For Librarians
    • For Advertisers
    • Conferences
  • Language Editing
Login Register Submit
  • This site uses cookies
  • You can change your cookie settings at any time by following the instructions in our Cookie Policy. To find out more, you may read our Privacy Policy.

    I agree
Search articles by DOI, keyword, author or affiliation
Search
Advanced Search
presentation
Oncology Letters
Join Editorial Board Propose a Special Issue
Print ISSN: 1792-1074 Online ISSN: 1792-1082
Journal Cover
May 2012 Volume 3 Issue 5

Full Size Image

Sign up for eToc alerts
Recommend to Library

Journals

International Journal of Molecular Medicine

International Journal of Molecular Medicine

International Journal of Molecular Medicine is an international journal devoted to molecular mechanisms of human disease.

International Journal of Oncology

International Journal of Oncology

International Journal of Oncology is an international journal devoted to oncology research and cancer treatment.

Molecular Medicine Reports

Molecular Medicine Reports

Covers molecular medicine topics such as pharmacology, pathology, genetics, neuroscience, infectious diseases, molecular cardiology, and molecular surgery.

Oncology Reports

Oncology Reports

Oncology Reports is an international journal devoted to fundamental and applied research in Oncology.

Experimental and Therapeutic Medicine

Experimental and Therapeutic Medicine

Experimental and Therapeutic Medicine is an international journal devoted to laboratory and clinical medicine.

Oncology Letters

Oncology Letters

Oncology Letters is an international journal devoted to Experimental and Clinical Oncology.

Biomedical Reports

Biomedical Reports

Explores a wide range of biological and medical fields, including pharmacology, genetics, microbiology, neuroscience, and molecular cardiology.

Molecular and Clinical Oncology

Molecular and Clinical Oncology

International journal addressing all aspects of oncology research, from tumorigenesis and oncogenes to chemotherapy and metastasis.

World Academy of Sciences Journal

World Academy of Sciences Journal

Multidisciplinary open-access journal spanning biochemistry, genetics, neuroscience, environmental health, and synthetic biology.

International Journal of Functional Nutrition

International Journal of Functional Nutrition

Open-access journal combining biochemistry, pharmacology, immunology, and genetics to advance health through functional nutrition.

International Journal of Epigenetics

International Journal of Epigenetics

Publishes open-access research on using epigenetics to advance understanding and treatment of human disease.

Medicine International

Medicine International

An International Open Access Journal Devoted to General Medicine.

Journal Cover
May 2012 Volume 3 Issue 5

Full Size Image

Sign up for eToc alerts
Recommend to Library

  • Article
  • Citations
    • Cite This Article
    • Download Citation
    • Create Citation Alert
    • Remove Citation Alert
    • Cited By
  • Similar Articles
    • Related Articles (in Spandidos Publications)
    • Similar Articles (Google Scholar)
    • Similar Articles (PubMed)
  • Download PDF
  • Download XML
  • View XML
Article

Inflammation-associated regulation of the macrophage inhibitory cytokine (MIC-1) gene in prostate cancer

  • Authors:
    • Seema Dubey
    • Peter VanVeldhuizen
    • Jeffrey Holzbeierlein
    • Ossama Tawfik
    • J. Brantley Thrasher
    • Dev Karan
  • View Affiliations / Copyright

    Affiliations: Department of Urology, University of Kansas Medical Center, Kansas City, KS 66160, USA, Cancer Research Unit, Veterans Affairs Medical Center, Kansas City, MO 64128, USA, Department of Pathology and Laboratory Medicine, University of Kansas Medical Center, Kansas City, KS 66160, USA
  • Pages: 1166-1170
    |
    Published online on: March 6, 2012
       https://doi.org/10.3892/ol.2012.635
  • Expand metrics +
Metrics: Total Views: 0 (Spandidos Publications: | PMC Statistics: )
Metrics: Total PDF Downloads: 0 (Spandidos Publications: | PMC Statistics: )
Cited By (CrossRef): 0 citations Loading Articles...

This article is mentioned in:



Abstract

Macrophage inhibitory cytokine-1 (MIC-1), also known as prostate‑derived factor (PDF), is a molecule of the TGF‑β superfamily and has been associated with the progression of various types of diseases including prostate cancer. Initially identified from activated macrophages, the MIC‑1 gene may provide a potential link between inflammation and prostate cancer. In this context, we performed MIC‑1 expression analysis using mouse prostate tissues to determine whether there was any correlation with age and inflammation. Reverse transcription PCR analysis on RNA samples isolated from prostate lobes from prostate-specific antigen transgenic mice of varying ages revealed that MIC‑1 gene expression is extremely low to non-detectable in the prostate tissues obtained from young mice, while its expression increases in the prostate tissues harvested from elderly mice. Increased MIC‑1 gene expression in the mouse prostate was found to be associated with an increased level of infiltrating lymphocytes. To confirm this observation, we showed that inflammation-associated cytokines (IL‑1β and TNF‑α) significantly upregulate the secretion of the MIC‑1 protein in a human prostate cancer cell line (LNCaP cells), while cytokines IL‑6 and granulocyte macrophage colony-stimulating factor were less effective. Taken together, these data indicated that inflammation‑associated cytokines may play a critical role in the functional regulation of the MIC‑1 gene in the early stages of prostate cancer development. More studies are required to understand the biological activity of MIC‑1 gene regulation in the development and progression of prostate cancer.

Introduction

Prostate cancer is the most common type of cancer in men in Western countries, accounting for one-third of all male cancer diagnoses and 11% of all mortalities due to cancer (1). Epidemiological and screening studies performed over the past several decades have raised important questions regarding the pathogenesis of prostate cancer, but a definitive cause for this disease has not been established. Although family history and ethnicity are critical risk factors, the diagnosis of prostate cancer is primarily associated with increasing age (2,3). Several epidemiological studies support the association between inflammation and prostate cancer risk (4,5).

Previous studies have suggested that inflammation may be important in the pathogenesis of prostate cancer by altering the tumor environment (6,7). The production of cyclooxygenase (COX) enzymes due to inflammation caused by precancerous tissues provides significant evidence of the role played by inflammation in the development of cancer (8). The inflammatory process is driven by the interactions between various types of cells, proteins and cytokines within the tumor environment (4,7). Various inflammatory cytokines are important mediators of inflammation and are produced by activated macrophages and other immune cells. One of these cytokines, macrophage inhibitory cytokine-1 (MIC-1) was first isolated based on an increased mRNA expression in activated macrophages (9).

MIC-1, also known as growth differentiation factor-15 (GDF-15) or prostate-derived factor (PDF), is a member of the TGF-β superfamily and its increased expression has been associated with a variety of cells including breast, gastric and colorectal cancer cells (10,11). However, MIC-1 is significant due to its increased association with high-grade prostate tumors. Protein profiling on micro-dissected samples of matched normal prostate tissue, high-grade prostatic intraepithelial neoplasia (hPIN) and prostate cancer revealed MIC-1 expression in hPIN and cancer cells but not in normal cells, suggesting a potential role of MIC-1 in the pathogenesis of prostate cancer (12,13). Elevated serum MIC-1 levels are associated with a number of disease conditions including chronic inflammatory pathways, and as a predictor of miscarriage in pregnant women (14–16). Specifically in the prostate, increasing serum MIC-1 levels are associated with the progression of metastatic prostate cancer (13,17–19). Despite its association with multiple disease conditions, the basic concept of MIC-1 gene regulation in prostate cancer development and progression remains largely unknown. To understand the functional regulation of MIC-1, we previously proposed that the MIC-1 gene provides a potential link between inflammation and prostate cancer (20). In this study, using prostate cancer as a model, we studied the impact of inflammation-associated cytokines on MIC-1 expression.

Materials and methods

Mouse prostate tissue collection and tumor cell lines

Prostate tissue samples from different age groups of male prostate- specific antigen transgenic (PSA-Tg) mice were harvested. These tissue samples were fixed in formalin and/or RNAlater (Ambion, Austin, TX, USA), and stored at −80°C. The PSA-Tg mice were a gift from Dr David Lubaroff at the University of Iowa, USA. Prior to prostate tissue harvesting, mice were sacrificed in accordance with guidelines and regulations approved by the Institutional Animal Care and Use Committee. A human prostate cancer cell line (LNCaP cells) was purchased from ATCC (Maryland, MD, USA). The LNCaP cell line was maintained in regular culture medium RPMI-1640 supplemented with 10% fetal bovine serum (FBS), 1% glutamine, 1% sodium pyruvate (Invitrogen, Carlsbad, CA, USA) and 0.05 mg/ml of gentamicin (Mediatech, Manassas, VA, USA).

Histopathology

Tissue blocks containing the most representative and well-preserved tissue areas were selected for histopathology. Sections (5 μm) were cut and stained for hematoxylin and eosin (H&E) by the core facility at the University of Kansas Medical Center. The H&E-stained slides from at least three mice per age group were analyzed by the pathologist. Histopathological evaluation included the examination of glandular architecture, nuclear and cellular degenerative changes and the intensity of inflammation along with the presence or absence of premalignant and malignant changes.

RNA isolation and reverse transcription PCR (RT-PCR)

Total RNA was extracted from the prostate tissue samples recovered from the RNAlater as well as LNCaP cells using a Qiagen kit as per the manufacturer's instructions. Quantization of RNA was analyzed using a spectrophotometer. Total RNA (~2 μg) from the tissue samples and the LNCaP cells was reverse-transcribed (RT) using Superscript II (Invitrogen). RT samples were subjected to PCR amplification in a total volume of 50 μl containing a mixture of PCR buffer, MgCl2, dNTPs, each set of primers, and Taq DNA polymerase as per standard protocol (Invitrogen). Oligonucleotide primers for the MIC-1 gene were synthesized from the previously published sequences (Accession number AF019770 for the human sequence and NM_011819 for the mouse sequence). GAPDH primers were designed to amplify the product with both mouse and human compatibility. The reaction mixture was denatured at 94°C for 2 min followed by 30 cycles at 94°C for 30 sec, 57°C for 45 sec, and 72°C for 1 min with a final elongation at 72°C for 10 min using an MJ Mini Thermal Cycler (Bio-Rad, Hercules, CA, USA). The amplified PCR products were resolved electrophoretically on an agarose gel stained with ethidium bromide to verify the size of the amplified product.

Western blot for MIC-1 protein analysis

LNCaP cells were plated in a six-well plate at a density of 2×105 cells per well under normal culture conditions. Two days later, the medium was replaced with fresh medium, and the cells were cultured for an additional day. Subsequently, the cells were washed with RPMI-1640 phenol red-free medium (without FBS) and starved for 4 h. The cells were then incubated overnight (~16 h) with RPMI-1640 phenol red-free medium (2 ml per well) containing various cytokines at a concentration of 100 ng/ml (PeproTech, Rocky Hill, NJ, USA). Following incubation, the culture supernatant was collected for quantification of MIC-1 secretion and cells were lysed using RIPA buffer from Sigma (St. Louis, MO, USA).

Approximately 20 μl of culture supernatant containing MIC-1 protein was resolved on a ReadyGel and was transferred onto a PVDF membrane (Bio-Rad). Following blocking with 3% non-fat dry milk in phosphate-buffered saline containing 0.1% Tween-20 (PBST) for 2 h at room temperature, the blots were incubated with anti-human MIC-1 primary antibody (1:500 dilution in PBST) overnight at 4°C. Following repeated washing with PBST, the blots were incubated with corresponding secondary antibody rabbit polyclonal IgG (Abcam, Cambridge, MA, USA) in PBST with 3% milk for 2 h at room temperature. Following repeated washing with PBST, the blots were developed using western blotting luminol reagent (Santa Cruz Biotechnology Inc., Santa Cruz, CA, USA), and were exposed to BioMax Film (Kodak), which was developed to analyze the specific band size.

Results and Discussion

Prostate cancer is the second most common cause of mortality from cancer for men of all ages. However, it is rare in men aged younger than 40 years. Its incidence is known to increase with age with higher percentages of men developing prostate cancer as they become older. Studies (4,5) have suggested that prostate cancer associated with increasing age is also associated with increased susceptibility of the prostate tissue to injury as well as increased predisposition to infections and other insults leading to an increase in inflammatory response. Therefore, to examine the role of MIC-1 in association with inflammation, we analyzed the expression of MIC-1 gene in prostate tissue collected from mice of different age groups. For this purpose, we selected the PSA-Tg mouse based on the following criteria: i) that PSA production is confined to the prostate through the use of the probasin promoter, thus simulating the same conditions described in studies on the human prostate; and ii) to investigate the biological process of MIC-1 gene regulation in the presence of self-antigen.

MIC-1 association with increasing age in the mouse prostate

Different prostate lobes (ventral, dorsolateral and anterior prostate lobes) from the naïve PSA-Tg mice of different age groups were harvested to prepare total RNA, and were subjected to RT-PCR using primer sets for MIC-1 gene expression. The anticipated PCR product of 238 bp was resolved by agarose gel electrophoresis (Fig. 1). In agreement with published human studies (13,26,27), MIC-1 gene expression was extremely low to non-detectable in the normal (healthy) prostate lobes of young (4 weeks) and middle-aged (13 months) mice (samples 3–8). However, higher MIC-1 levels were detectable in the prostate tissues of adult mice aged 15 months as well as those of 24-month-old elderly mice (samples 9–14).

Figure 1

Expression of MIC-1 (lower panel) and GAPDH (upper panel) mRNA in different prostate lobes from prostate-specific antigen transgenic mice of different age groups. Lanes 3–5, young age; lanes 6–11, middle age; lanes 12–14, elderly. Lanes 3, 6, 9 and 12, dorsolateral prostate; lanes 4, 7, 10 and 13, ventral prostate; and lanes 5, 8, 11 and 14, anterior prostate. Lanes 1 and 2 are H2O and positive (RM11 mouse prostate tumor cells) controls, respectively.

Degree of inflammation (infiltrating cells) in the prostates of PSA-Tg mice

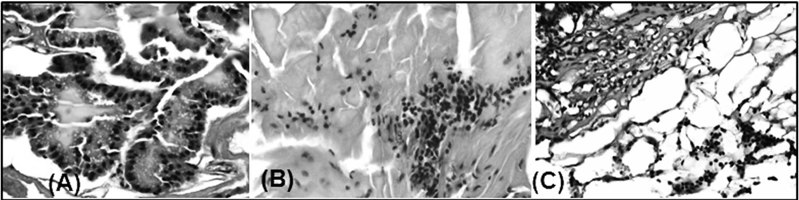
Prostate tissue samples from different age groups of PSA-Tg mice were further analyzed for the intensity of inflammation (analyzed by quantifying infiltrating cells in the tissue). Analysis of H&E-stained slides showed that there was no infiltration of inflammatory cells in the prostate tissue samples harvested from the youngest mice (Fig. 2A). However, we found an increase in the intensity of inflammation in the samples harvested from 15-month-old mice (Fig. 2B). Furthermore, we noted a significant difference in the glandular architecture between samples from the different age groups. The prostates of the younger animals were healthy with normal-appearing glands that were organized in an orderly manner with no evidence of inflammation (Fig. 2A). By contrast, progressive degenerative glandular changes as well as an increase in inflammation were observed in the older mice, with the worst changes being detected in the oldest mice. Degeneration of epithelial lining and intraluminal sloughing of epithelial cells was extremely high along with a significant depletion of the prostatic secretion in the prostates of elderly PSA-Tg mice (Fig. 2C). Overall, the prostate tissue from 24-month-old elderly mice was severely damaged, possibly due to chronic inflammation; however, the examined slides did not reveal any sign of neoplasm. Thus, the presence of inflammation corresponds with the mRNA expression of the MIC-1 gene in the prostate tissues harvested from the PSA-Tg mice, confirming the hypothesis that an increase in the expression level of MIC-1 with increasing age may be due to inflammatory response. It has been reported that inflammation and aging influence the expression level of MIC-1 in correlation with infiltration of macrophages in the rat prostate (21).

Figure 2

Representation of H&E-stained slides of the formalin-fixed, paraffin-embedded prostate tissues from prostate-specific antigen-transgenic mice of different ages. (A) Representative example of normal prostate tissue harvested from a 4-week-old mouse with no evidence of inflammation. (B) and (C) Representative photomicrographs of prostate sections from a 15- and 24-month-old mouse, respectively, at different magnifications. An aggregate of chronic inflammatory cells is noted in (B), and in (C) diffuse chronic inflammation in the stroma (right upper corner) and glandular degeneration.

Modulation of MIC-1 expression in a human prostate cancer cell line

To determine the possibility that MIC-1 gene expression may be regulated in response to inflammation at the early stage of cancer development, an androgen-responsive human prostate cancer cell line (LNCaP) was treated with various cytokines. Cytokine interleukin (IL)-1β, IL-6, tumor necrosis factor-α (TNF-α), and granulocyte macrophage colony-stimulating factor (GM-CSF) differentially regulate the expression of MIC-1 in LNCaP cells at the mRNA (Fig. 3A) and protein (Fig. 3B) levels. The selection of these cytokines was based on their association with inflammation. RT-PCR and western blot analysis showed consistency in the MIC-1 expression level following cytokine treatment. Western blot analysis revealed that two bands of approximately 40 and 15 kDa correspond to pro-MIC-1 and mature MIC-1 protein (Fig. 3B). These predicted sizes of pro-MIC-1 and MIC-1 are consistent with previous studies (9,22–24). Notably, our studies revealed that IL-1β induction increased the expression of MIC-1 to the maximum level while the effect of GM-CSF was minimal in the LNCaP cell line. These results are supported by the observations that IL-1β is primarily secreted by macrophages which are crucial in regulating the inflammatory network in the host tissue. In macrophages, cytokines such as IL-1β and TNF-α induce the expression of MIC-1 (9). Such inflammation-induced MIC-1 production may function as an autocrine-paracrine regulator of MIC-1 in the host tissue, facilitating the process of enhanced cell proliferation (9,25).

Figure 3

Cytokine-induced regulation of MIC-1 in human prostate cancer cell line (LNCaP cells). (A) RT-PCR analysis shows the expression of the MIC-1 gene on LNCaP cells treated with various cytokines. GAPDH was used as an internal control. (B) Differential secretion of the MIC-1 protein modulated by inflammatory cytokines. As an internal control, β-actin was used on the lysates from the same set of cells demonstrating the secretion of MIC-1 (lower panel). RPMI-1640 phenol red-free, serum-free medium served as a control for cytokine treatment, while the medium containing 5% FBS served as a positive control.

Most studies report on an increased expression of the MIC-1 gene in cancer and non-detectable levels in normal tissue when comparing matched prostate cancer and normal prostate specimens. Gene expression analysis between the normal peripheral zone (PZ) and transition zone (TZ) of the specimens obtained from prostate cancer patients revealed preferential expression of MIC-1 in the PZ (predominant site of tumor occurrence) compared to the TZ (site of benign prostatic hyperplasia) (26). The expression of MIC-1 is also reported in adult human prostate tissues with the existence of infiltrating lymphocytes in normal-appearing prostate tissues (27,28). An induction in MIC-1 gene expression in kidney, lung and liver tissue due to injury following surgical, chemical or heat shock methods has also been observed (29,30).

In conclusion, this is the first study to show that the MIC-1 gene may be directly regulated by inflammation-associated cytokines in prostate cancer cells. Thus, activation of the MIC-1 gene may be an early response due to inflammation, infection or injury in the prostate for cell growth advantage leading to an environment favoring prostate cancer development. Since MIC-1 and macrophages are associated with inflammation, further studies are under way to investigate the mechanistic regulation of inflammation-induced MIC-1 gene in prostate cancer.

References

1 

Jemal A, Siegel R, Xu J and Ward E: Cancer statistics, 2010. CA Cancer J Clin. 60:277–300. 2010. View Article : Google Scholar

2 

Karan D, Thrasher JB and Lubaroff D: Prostate cancer: genes, environment, immunity and the use of immunotherapy. Prostate Cancer Prostatic Dis. 11:230–236. 2008. View Article : Google Scholar : PubMed/NCBI

3 

Pienta KJ and Esper PS: Risk factors for prostate cancer. Ann Intern Med. 118:793–803. 1993. View Article : Google Scholar : PubMed/NCBI

4 

De Marzo AM, Platz EA, Sutcliffe S, et al: Inflammation in prostate carcinogenesis. Nat Rev Cancer. 7:256–269. 2007.

5 

Platz EA and De Marzo AM: Epidemiology of inflammation and prostate cancer. J Urol. 171:S36–S40. 2004. View Article : Google Scholar : PubMed/NCBI

6 

Mantovani A, Allavena P, Sica A and Balkwill F: Cancer-related inflammation. Nature. 454:436–444. 2008. View Article : Google Scholar

7 

Coussens LM and Werb Z: Inflammation and cancer. Nature. 420:860–867. 2002. View Article : Google Scholar : PubMed/NCBI

8 

Wang D and Dubois RN: Prostaglandins and cancer. Gut. 55:115–122. 2006. View Article : Google Scholar

9 

Bootcov MR, Bauskin AR, Valenzuela SM, et al: MIC-1, a novel macrophage inhibitory cytokine, is a divergent member of the TGF-beta superfamily. Proc Natl Acad Sci USA. 94:11514–11519. 1997. View Article : Google Scholar : PubMed/NCBI

10 

Senapati S, Rachagani S, Chaudhary K, Johansson SL, Singh RK and Batra SK: Overexpression of macrophage inhibitory cytokine-1 induces metastasis of human prostate cancer cells through the FAK-RhoA signaling pathway. Oncogene. 29:1293–1302. 2010. View Article : Google Scholar : PubMed/NCBI

11 

Breit SN, Johnen H, Cook AD, et al: The TGF-beta superfamily cytokine, MIC-1/GDF15: A pleotrophic cytokine with roles in inflammation, cancer and metabolism. Growth Factors. 29:187–195. 2011. View Article : Google Scholar : PubMed/NCBI

12 

Cheung PK, Woolcock B, Adomat H, et al: Protein profiling of microdissected prostate tissue links growth differentiation factor 15 to prostate carcinogenesis. Cancer Res. 64:5929–5933. 2004. View Article : Google Scholar

13 

Karan D, Chen SJ, Johansson SL, et al: Dysregulated expression of MIC-1/PDF in human prostate tumor cells. Biochem Biophys Res Commun. 305:598–604. 2003. View Article : Google Scholar : PubMed/NCBI

14 

Brown DA, Bauskin AR, Fairlie WD, et al: Antibody-based approach to high-volume genotyping for MIC-1 polymorphism. Biotechniques. 33:118–120. 122124 passim2002.PubMed/NCBI

15 

Brown DA, Moore J, Johnen H, et al: Serum macrophage inhibitory cytokine 1 in rheumatoid arthritis: a potential marker of erosive joint destruction. Arthritis Rheum. 56:753–764. 2007. View Article : Google Scholar : PubMed/NCBI

16 

Tong S, Marjono B, Brown DA, et al: Serum concentrations of macrophage inhibitory cytokine 1 (MIC 1) as a predictor of miscarriage. Lancet. 363:129–130. 2004. View Article : Google Scholar : PubMed/NCBI

17 

Brown DA, Lindmark F, Stattin P, et al: Macrophage inhibitory cytokine 1: a new prognostic marker in prostate cancer. Clin Cancer Res. 2009.PubMed/NCBI

18 

Sun J, Turner A, Xu J, Gronberg H and Isaacs W: Genetic variability in inflammation pathways and prostate cancer risk. Urol Oncol. 25:250–259. 2007. View Article : Google Scholar : PubMed/NCBI

19 

Selander KS, Brown DA, Sequeiros GB, et al: Serum macrophage inhibitory cytokine-1 concentrations correlate with the presence of prostate cancer bone metastases. Cancer Epidemiol Biomarkers Prev. 16:532–537. 2007. View Article : Google Scholar : PubMed/NCBI

20 

Karan D, Holzbeierlein J and Thrasher JB: Macrophage inhibitory cytokine-1: possible bridge molecule of inflammation and prostate cancer. Cancer Res. 69:2–5. 2009. View Article : Google Scholar : PubMed/NCBI

21 

Taniguchi S, Taoka R, Inui M, Sugimoto M and Kakehi Y: Influence of inflammation and aging on macrophage inhibitory cytokine-1 gene expression in rat ventral prostate. Urology. 73:410–414. 2009. View Article : Google Scholar : PubMed/NCBI

22 

Albertoni M, Shaw PH, Nozaki M, et al: Anoxia induces macrophage inhibitory cytokine-1 (MIC-1) in glioblastoma cells independently of p53 and HIF-1. Oncogene. 21:4212–4219. 2002. View Article : Google Scholar : PubMed/NCBI

23 

Bauskin AR, Jiang L, Luo XW, Wu L, Brown DA and Breit SN: The TGF-beta superfamily cytokine MIC-1/GDF15: secretory mechanisms facilitate creation of latent stromal stores. J Interferon Cytokine Res. 30:389–397. 2010. View Article : Google Scholar : PubMed/NCBI

24 

Bauskin AR, Zhang HP, Fairlie WD, et al: The propeptide of macrophage inhibitory cytokine (MIC-1), a TGF-beta superfamily member, acts as a quality control determinant for correctly folded MIC-1. Embo J. 19:2212–2220. 2000. View Article : Google Scholar : PubMed/NCBI

25 

Chen SJ, Karan D, Johansson SL, et al: Prostate-derived factor as a paracrine and autocrine factor for the proliferation of androgen receptor-positive human prostate cancer cells. Prostate. 67:557–571. 2007. View Article : Google Scholar : PubMed/NCBI

26 

Van der Heul-Nieuwenhuijsen L, Hendriksen PJ, van der Kwast TH and Jenster G: Gene expression profiling of the human prostate zones. BJU Int. 98:886–897. 2006.PubMed/NCBI

27 

Paralkar VM, Vail AL, Grasser WA, et al: Cloning and characterization of a novel member of the transforming growth factor-beta/bone morphogenetic protein family. J Biol Chem. 273:13760–13767. 1998. View Article : Google Scholar : PubMed/NCBI

28 

Bostwick DG, de la Roza G, Dundore P, Corica FA and Iczkowski KA: Intraepithelial and stromal lymphocytes in the normal human prostate. Prostate. 55:187–193. 2003. View Article : Google Scholar : PubMed/NCBI

29 

Zimmers TA, Jin X, Hsiao EC, McGrath SA, Esquela AF and Koniaris LG: Growth differentiation factor-15/macrophage inhibitory cytokine-1 induction after kidney and lung injury. Shock. 23:543–548. 2005.PubMed/NCBI

30 

Zimmers TA, Jin X, Hsiao EC, et al: Growth differentiation factor-15: induction in liver injury through p53 and tumor necrosis factor-independent mechanisms. J Surg Res. 130:45–51. 2006. View Article : Google Scholar

Related Articles

  • Abstract
  • View
  • Download
  • Twitter
Copy and paste a formatted citation
Spandidos Publications style
Dubey S, VanVeldhuizen P, Holzbeierlein J, Tawfik O, Thrasher JB and Karan D: Inflammation-associated regulation of the macrophage inhibitory cytokine (MIC-1) gene in prostate cancer. Oncol Lett 3: 1166-1170, 2012.
APA
Dubey, S., VanVeldhuizen, P., Holzbeierlein, J., Tawfik, O., Thrasher, J.B., & Karan, D. (2012). Inflammation-associated regulation of the macrophage inhibitory cytokine (MIC-1) gene in prostate cancer. Oncology Letters, 3, 1166-1170. https://doi.org/10.3892/ol.2012.635
MLA
Dubey, S., VanVeldhuizen, P., Holzbeierlein, J., Tawfik, O., Thrasher, J. B., Karan, D."Inflammation-associated regulation of the macrophage inhibitory cytokine (MIC-1) gene in prostate cancer". Oncology Letters 3.5 (2012): 1166-1170.
Chicago
Dubey, S., VanVeldhuizen, P., Holzbeierlein, J., Tawfik, O., Thrasher, J. B., Karan, D."Inflammation-associated regulation of the macrophage inhibitory cytokine (MIC-1) gene in prostate cancer". Oncology Letters 3, no. 5 (2012): 1166-1170. https://doi.org/10.3892/ol.2012.635
Copy and paste a formatted citation
x
Spandidos Publications style
Dubey S, VanVeldhuizen P, Holzbeierlein J, Tawfik O, Thrasher JB and Karan D: Inflammation-associated regulation of the macrophage inhibitory cytokine (MIC-1) gene in prostate cancer. Oncol Lett 3: 1166-1170, 2012.
APA
Dubey, S., VanVeldhuizen, P., Holzbeierlein, J., Tawfik, O., Thrasher, J.B., & Karan, D. (2012). Inflammation-associated regulation of the macrophage inhibitory cytokine (MIC-1) gene in prostate cancer. Oncology Letters, 3, 1166-1170. https://doi.org/10.3892/ol.2012.635
MLA
Dubey, S., VanVeldhuizen, P., Holzbeierlein, J., Tawfik, O., Thrasher, J. B., Karan, D."Inflammation-associated regulation of the macrophage inhibitory cytokine (MIC-1) gene in prostate cancer". Oncology Letters 3.5 (2012): 1166-1170.
Chicago
Dubey, S., VanVeldhuizen, P., Holzbeierlein, J., Tawfik, O., Thrasher, J. B., Karan, D."Inflammation-associated regulation of the macrophage inhibitory cytokine (MIC-1) gene in prostate cancer". Oncology Letters 3, no. 5 (2012): 1166-1170. https://doi.org/10.3892/ol.2012.635
Follow us
  • Twitter
  • LinkedIn
  • Facebook
About
  • Spandidos Publications
  • Careers
  • Cookie Policy
  • Privacy Policy
How can we help?
  • Help
  • Live Chat
  • Contact
  • Email to our Support Team