Spandidos Publications Logo
  • About
    • About Spandidos
    • Aims and Scopes
    • Abstracting and Indexing
    • Editorial Policies
    • Reprints and Permissions
    • Job Opportunities
    • Terms and Conditions
    • Contact
  • Journals
    • All Journals
    • Oncology Letters
      • Oncology Letters
      • Information for Authors
      • Editorial Policies
      • Editorial Board
      • Aims and Scope
      • Abstracting and Indexing
      • Bibliographic Information
      • Archive
    • International Journal of Oncology
      • International Journal of Oncology
      • Information for Authors
      • Editorial Policies
      • Editorial Board
      • Aims and Scope
      • Abstracting and Indexing
      • Bibliographic Information
      • Archive
    • Molecular and Clinical Oncology
      • Molecular and Clinical Oncology
      • Information for Authors
      • Editorial Policies
      • Editorial Board
      • Aims and Scope
      • Abstracting and Indexing
      • Bibliographic Information
      • Archive
    • Experimental and Therapeutic Medicine
      • Experimental and Therapeutic Medicine
      • Information for Authors
      • Editorial Policies
      • Editorial Board
      • Aims and Scope
      • Abstracting and Indexing
      • Bibliographic Information
      • Archive
    • International Journal of Molecular Medicine
      • International Journal of Molecular Medicine
      • Information for Authors
      • Editorial Policies
      • Editorial Board
      • Aims and Scope
      • Abstracting and Indexing
      • Bibliographic Information
      • Archive
    • Biomedical Reports
      • Biomedical Reports
      • Information for Authors
      • Editorial Policies
      • Editorial Board
      • Aims and Scope
      • Abstracting and Indexing
      • Bibliographic Information
      • Archive
    • Oncology Reports
      • Oncology Reports
      • Information for Authors
      • Editorial Policies
      • Editorial Board
      • Aims and Scope
      • Abstracting and Indexing
      • Bibliographic Information
      • Archive
    • Molecular Medicine Reports
      • Molecular Medicine Reports
      • Information for Authors
      • Editorial Policies
      • Editorial Board
      • Aims and Scope
      • Abstracting and Indexing
      • Bibliographic Information
      • Archive
    • World Academy of Sciences Journal
      • World Academy of Sciences Journal
      • Information for Authors
      • Editorial Policies
      • Editorial Board
      • Aims and Scope
      • Abstracting and Indexing
      • Bibliographic Information
      • Archive
    • International Journal of Functional Nutrition
      • International Journal of Functional Nutrition
      • Information for Authors
      • Editorial Policies
      • Editorial Board
      • Aims and Scope
      • Abstracting and Indexing
      • Bibliographic Information
      • Archive
    • International Journal of Epigenetics
      • International Journal of Epigenetics
      • Information for Authors
      • Editorial Policies
      • Editorial Board
      • Aims and Scope
      • Abstracting and Indexing
      • Bibliographic Information
      • Archive
    • Medicine International
      • Medicine International
      • Information for Authors
      • Editorial Policies
      • Editorial Board
      • Aims and Scope
      • Abstracting and Indexing
      • Bibliographic Information
      • Archive
  • Articles
  • Information
    • Information for Authors
    • Information for Reviewers
    • Information for Librarians
    • Information for Advertisers
    • Conferences
  • Language Editing
Spandidos Publications Logo
  • About
    • About Spandidos
    • Aims and Scopes
    • Abstracting and Indexing
    • Editorial Policies
    • Reprints and Permissions
    • Job Opportunities
    • Terms and Conditions
    • Contact
  • Journals
    • All Journals
    • Biomedical Reports
      • Information for Authors
      • Editorial Policies
      • Editorial Board
      • Aims and Scope
      • Abstracting and Indexing
      • Bibliographic Information
      • Archive
    • Experimental and Therapeutic Medicine
      • Information for Authors
      • Editorial Policies
      • Editorial Board
      • Aims and Scope
      • Abstracting and Indexing
      • Bibliographic Information
      • Archive
    • International Journal of Epigenetics
      • Information for Authors
      • Editorial Policies
      • Editorial Board
      • Aims and Scope
      • Abstracting and Indexing
      • Bibliographic Information
      • Archive
    • International Journal of Functional Nutrition
      • Information for Authors
      • Editorial Policies
      • Editorial Board
      • Aims and Scope
      • Abstracting and Indexing
      • Bibliographic Information
      • Archive
    • International Journal of Molecular Medicine
      • Information for Authors
      • Editorial Policies
      • Editorial Board
      • Aims and Scope
      • Abstracting and Indexing
      • Bibliographic Information
      • Archive
    • International Journal of Oncology
      • Information for Authors
      • Editorial Policies
      • Editorial Board
      • Aims and Scope
      • Abstracting and Indexing
      • Bibliographic Information
      • Archive
    • Medicine International
      • Information for Authors
      • Editorial Policies
      • Editorial Board
      • Aims and Scope
      • Abstracting and Indexing
      • Bibliographic Information
      • Archive
    • Molecular and Clinical Oncology
      • Information for Authors
      • Editorial Policies
      • Editorial Board
      • Aims and Scope
      • Abstracting and Indexing
      • Bibliographic Information
      • Archive
    • Molecular Medicine Reports
      • Information for Authors
      • Editorial Policies
      • Editorial Board
      • Aims and Scope
      • Abstracting and Indexing
      • Bibliographic Information
      • Archive
    • Oncology Letters
      • Information for Authors
      • Editorial Policies
      • Editorial Board
      • Aims and Scope
      • Abstracting and Indexing
      • Bibliographic Information
      • Archive
    • Oncology Reports
      • Information for Authors
      • Editorial Policies
      • Editorial Board
      • Aims and Scope
      • Abstracting and Indexing
      • Bibliographic Information
      • Archive
    • World Academy of Sciences Journal
      • Information for Authors
      • Editorial Policies
      • Editorial Board
      • Aims and Scope
      • Abstracting and Indexing
      • Bibliographic Information
      • Archive
  • Articles
  • Information
    • For Authors
    • For Reviewers
    • For Librarians
    • For Advertisers
    • Conferences
  • Language Editing
Login Register Submit
  • This site uses cookies
  • You can change your cookie settings at any time by following the instructions in our Cookie Policy. To find out more, you may read our Privacy Policy.

    I agree
Search articles by DOI, keyword, author or affiliation
Search
Advanced Search
presentation
Biomedical Reports
Join Editorial Board Propose a Special Issue
Print ISSN: 2049-9434 Online ISSN: 2049-9442
Journal Cover
January-February 2013 Volume 1 Issue 1

Full Size Image

Sign up for eToc alerts
Recommend to Library

Journals

International Journal of Molecular Medicine

International Journal of Molecular Medicine

International Journal of Molecular Medicine is an international journal devoted to molecular mechanisms of human disease.

International Journal of Oncology

International Journal of Oncology

International Journal of Oncology is an international journal devoted to oncology research and cancer treatment.

Molecular Medicine Reports

Molecular Medicine Reports

Covers molecular medicine topics such as pharmacology, pathology, genetics, neuroscience, infectious diseases, molecular cardiology, and molecular surgery.

Oncology Reports

Oncology Reports

Oncology Reports is an international journal devoted to fundamental and applied research in Oncology.

Experimental and Therapeutic Medicine

Experimental and Therapeutic Medicine

Experimental and Therapeutic Medicine is an international journal devoted to laboratory and clinical medicine.

Oncology Letters

Oncology Letters

Oncology Letters is an international journal devoted to Experimental and Clinical Oncology.

Biomedical Reports

Biomedical Reports

Explores a wide range of biological and medical fields, including pharmacology, genetics, microbiology, neuroscience, and molecular cardiology.

Molecular and Clinical Oncology

Molecular and Clinical Oncology

International journal addressing all aspects of oncology research, from tumorigenesis and oncogenes to chemotherapy and metastasis.

World Academy of Sciences Journal

World Academy of Sciences Journal

Multidisciplinary open-access journal spanning biochemistry, genetics, neuroscience, environmental health, and synthetic biology.

International Journal of Functional Nutrition

International Journal of Functional Nutrition

Open-access journal combining biochemistry, pharmacology, immunology, and genetics to advance health through functional nutrition.

International Journal of Epigenetics

International Journal of Epigenetics

Publishes open-access research on using epigenetics to advance understanding and treatment of human disease.

Medicine International

Medicine International

An International Open Access Journal Devoted to General Medicine.

Journal Cover
January-February 2013 Volume 1 Issue 1

Full Size Image

Sign up for eToc alerts
Recommend to Library

  • Article
  • Citations
    • Cite This Article
    • Download Citation
    • Create Citation Alert
    • Remove Citation Alert
    • Cited By
  • Similar Articles
    • Related Articles (in Spandidos Publications)
    • Similar Articles (Google Scholar)
    • Similar Articles (PubMed)
  • Download PDF
  • Download XML
  • View XML
Article

Irregular arrangement of collecting venules (IRAC) provides a critical endoscopic insight in Helicobacter pylori-induced gastritis: A secondary publication

  • Authors:
    • Yoshiki Katake
    • Kazuhito Ichikawa
    • Chikau Fujio
    • Shigeki Tomita
    • Johji Imura
    • Takahiro Fujimori
  • View Affiliations / Copyright

    Affiliations: Katake Clinic (Ichouka Naika), Hyogo, Japan, Department of Surgical and Molecular Pathology, Dokkyo Medical University School of Medicine, Tochigi, Japan, Fujio Clinic, Hyogo, Japan, Department of Diagnostic Pathology, Graduate School of Medicine and Pharmaceutical Sciences, University of Toyama, Toyama, Japan
  • Pages: 23-27
    |
    Published online on: September 3, 2012
       https://doi.org/10.3892/br.2012.8
  • Expand metrics +
Metrics: Total Views: 0 (Spandidos Publications: | PMC Statistics: )
Metrics: Total PDF Downloads: 0 (Spandidos Publications: | PMC Statistics: )
Cited By (CrossRef): 0 citations Loading Articles...

This article is mentioned in:



Abstract

The aim of this study was to evaluate the significance of an endoscopic atrophic border and irregular arrangement of collecting venules (IRAC) in the diagnosis of Helicobacter pylori (H. pylori)‑induced gastritis. Upper gastrointestinal tract endoscopy was performed on 723 patients, who were screened them for H. pylori infection. Any patients who had undergone H. pylori eradication therapy were excluded from the study. The endoscopic atrophic border and IRAC in each patient were assessed. The H. pylori status was determined in the patients by combination of a serological test and/or histopathological examination. The H. pylori infection rates were 95.4% (455/477) in the group with an endoscopic atrophic border and 22.3% (55/246) in the group without an endoscopic atrophic border. In the diagnostic validity check, presence of an endoscopic atrophic border had a sensitivity of 89.2% and a specificity of 89.7%. Furthermore, the H. pylori infection rates were 95.5% (506/530) in the IRAC group and 2.1% (4/193) in the regular arrangement of collecting venules (RAC) group. In the diagnostic validity check, IRAC had a sensitivity of 99.2% and a specificity of 88.7%. In conclusion, the presence of an endoscopic atrophic border and IRAC are highly indicative of an H. pylori‑infected gastric mucosa.

Introduction

Since the identification of Helicobacter pylori (H. pylori) in 1983 (1), the diagnosis and treatment of upper gastrointestinal diseases, such as gastritis, peptic ulcer, gastric carcinoma and mucosa-associated lymphoid tissue (MALT) lymphoma, have undergone changes (2–7). The condition of H. pylori-infected gastric mucosa is characterized as acute or chronic inflammation, mucosal atrophy and intestinal metaplasia (8–10). The endoscopic features of H. pylori-induced gastritis include erythema and erosions, neither of which are specific. Atrophic gastritis and intestinal metaplasia are also observed secondary to H. pylori infection, but these findings are not easy to correctly diagnose by conventional endoscopy. In the present study, H. pylori infection was evaluated in atrophic gastritis and its endoscopic features to determine whether H. pylori-infected gastric mucosa can be diagnosed through an endoscopically superficial vascular network.

Materials and methods

Patients

This study was performed according to the principles of the Declaration of Helsinki. Upper gastrointestinal tract endoscopy was performed on 723 patients (510 males and 213 females), who had been screened for H. pylori infection during the past one year at Katake and Fujio Clinic, Hyogo, Japan. Any patients who had undergone H. pylori eradication therapy were excluded. The patients provided written informed consent for participation in the study. For the ethical procedure, linkable anonymizing method was used to ensure study blindness was maintained. Samples used in this study comprised materials for biopsy obtained for diagnosis or treatment and not for research. Medical disadvantage or risk of the patients did not increase by patient participation in this study and was obtained strictly for analysis of information as part of therapeutic intervention.

H. pylori infection status

The H. pylori status was determined in patients who were subjected to a combined serological test and/or histopathological examination. Serum samples were also tested for total H. pylori antibodies using the Pyloriset Dry (Orion Diagnostica, Espoo, Finland) latex agglutination test. Multiple gastric biopsy specimens were removed for histopathological examination (11,12). To detect H. pylori, the samples were stained with hematoxylin and eosin, together with any accompanying special stains (Giemsa, Warthin-Starry) and immunohistochemical stains (Fig. 1). The biopsies were examined independently by two pathologists (K.I. and T.F.) who were unaware of the serological H. pylori status. If the serological test and/or histopathological examination results of H. pylori were positive, patients were diagnosed as being infected with H. pylori.

Figure 1.

Histopathological detection of H. pylori in gastric biopsy specimen is shown. The organisms in the surface of gastric mucosa [(A), hematoxylin and eosin stain; (B), Giemsa stain; (C), Warthin-Starry stain]. (D), Immunohistochemical stain is focally positive.

Observation by endoscopy

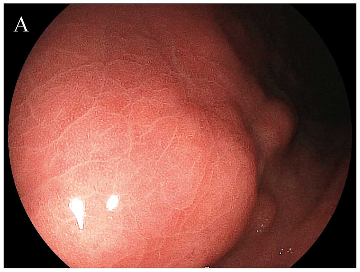
Endoscopic observation using high-resolution electronic endoscopy with an endoscopic video information system (Olympus Optical Co., Ltd., Tokyo, Japan and Fujifilm Corporation, Saitama, Japan) was carried out by two endoscopists (Y.K. and C.F.) who were unaware of the serological H. pylori status. The patients were closely observed after undergoing routine endoscopic examination. An endoscopic atrophic border was regarded as present or absent according to the Kimura-Takemoto classification (13). Following conventional endoscopy, the observed morphology of the capillary network structure was divided into two patterns: RAC, regular arrangement of collecting venules (Fig. 2) and IRAC, irregular arrangement of collecting venules (Fig. 3) (14). A RAC pattern was defined as numerous minute red points of similar size present at regular intervals throughout the viewing area. By contrast, an IRAC pattern was defined as an irregular or absent distribution of red points.

Figure 2.

Typical endoscopic view of the regular arrangement of collecting venules (RAC) by high-resolution endoscopy [(B) was increased by magnification of (A) to obtain a more detailed view]. Courtesy of Dr C. Fujio, Fujio Clinic, Kobe, Hyogo.

Figure 3.

Typical endoscopic view of the irregular arrangement of collecting venules (IRAC) by high-resolution endoscopy; collecting venules cannot be seen [(B) was increased by magnification of (A) to obtain a more detailed view]. Courtesy of Dr C. Fujio, Fujio Clinic, Kobe, Hyogo.

Statistical analysis

The sensitivity, specificity, positive and negative predictive values, likelihood ratios and accuracy were calculated with standard formulas (15).

Results

H. pylori infection and endoscopic atrophic border

The H. pylori infection rates were 95.4% (455/477) in the group that had an endoscopic atrophic border [mean age ± standard deviation (SD), 57.3±12.4 years] and 22.3% (55/246) in the group without an endoscopic atrophic border (mean age ± SD, 42.6±11.8). In the diagnostic validity check, presence of an endoscopic atrophic border had a sensitivity of 89.2 and a specificity of 89.7%. The positive predictive value was 95.4, while the negative predictive value was 77.6%. The positive likelihood ratio was 8.638, while the negative likelihood ratio 0.120. The accuracy was found to be 89.3% (Table I).

Table I.

Correlation between Helicobacter pylori infection and endoscopic atrophic border.

Table I.

Correlation between Helicobacter pylori infection and endoscopic atrophic border.

Helicobacter pylori infection
PositiveNegativeTotal
Atrophic border
  Present45522477
  Absent55191246
Total510213723

[i] Sensitivity 89.2%, Specificity 89.7%, positive predictive value 95.4%, negative predictive value 77.6%, positive likelihood ratio 8.638, negative likelihood ratio 0.120, accuracy 89.3%.

H. pylori infection and capillary network patterns

The H. pylori infection rates were 95.5% (506/530) in the IRAC group (mean age ± SD, 56.2±13.2) and 2.1% (4/193) in the RAC group (mean age ± SD, 48.9±12.9). In the diagnostic validity check, IRAC had a sensitivity of 99.2% and a specificity of 88.7%. The positive predictive value was 95.5%, while the negative predictive value was 97.9%. The positive likelihood ratio was 8.805, while the negative likelihood ratio was 0.009. The accuracy was found to be 96.1% (Table II).

Table II.

Correlation between Helicobacter pylori infection and capillary network patterns.

Table II.

Correlation between Helicobacter pylori infection and capillary network patterns.

Helicobacter pylori infection
PositiveNegativeTotal
IRAC50624530
RAC4189193
Total510213723

[i] Sensitivity 99.2%, specificity 88.7%, positive predictive value 95.5%, negative predictive value 97.9%, positive likelihood ratio 8.805, negative likelihood ratio 0.009, accuracy 96.1%. IRAC, irregular arrangement of collecting venules, RAC, regular arrangement of collecting venules.

Discussion

It would be useful to diagnose H. pylori status on the basis of endoscopic appearance alone in patients with H. pylori-related diseases such as gastritis, peptic ulcer, gastric carcinoma and MALT lymphoma (2–7). There has been some debate over whether H. pylori status can be diagnosed by endoscopy before biopsies and serological tests are performed (16–18). Previous studies have demonstrated that the extent of atrophic gastritis is a valuable endoscopic finding that helps in the diagnosis of H. pylori infection (8–10). Previously, Yagi et al(14,19) reported that RAC in the gastric corpus seen by close observation essentially excluded H. pylori infection. There were also several reports that supported their seminal study (20–24). Moreover, it has been reported that magnifying narrow-band imaging (NBI) is useful for predicting H. pylori infection (25).

H. pylori infection can be diagnosed by two main methods. Invasive tests that require endoscopy and non-invasive or minimally invasive tests that do not require endoscopy. The invasive tests include rapid urease tests, culture, histopathological examination including immunohistochemistry and polymerase chain reaction (PCR)-based methods, while the non-invasive tests include serology, H. pylori stool antigen test and urea breath test. With the exception of the PCR-based methods, these tests were recommended for the diagnosis of H. pylori infection prior and subsequent to eradication therapy in the guidelines for the management of H. pylori infection in Japan (26). However, the guidelines did not include a description of endoscopic findings that may be helpful in diagnosing H. pylori infection. The rapid urease test and histopathological examination with biopsy are accurate methods for identifying H. pylori. However, these methods are more invasive and expensive tests as compared to endoscopy without biopsy.

In this study, we confirmed that there was good agreement between endoscopic findings and H. pylori status. Our results indicate that the presence of an endoscopic atrophic border and IRAC pattern were significant indicators of an H. pylori-infected gastric mucosa. Thus, these findings are the most reliable criteria for the diagnosis of H. pylori infection. The absence of an endoscopic atrophic border and/or the presence of a RAC pattern suggests that in such cases biopsy for histopathological examination and rapid urease test to detect H. pylori infection would be unnecessary. Therefore, we believe that H. pylori screening by endoscopic examination without biopsy is an excellent test of high diagnostic accuracy and cost-effectiveness.

In conclusion, the presence of an endoscopic atrophic border and IRAC are highly indicative of an H. pylori-infected gastric mucosa.

Addendum

This article is based on a study first reported in the Stomach and Intestine 2002; 37: 331–336 (Japanese paper with English abstract, non-inclusion of MEDLINE). Since the definition of regular arrangement of collecting venules (RAC) was not clearly determined in the first report, it was expressed as ‘red spot pattern’. Therefore, we performed a re-design of this study, and attempted a secondary publication in English according to conditions for acceptable secondary publications as stated in Uniform Requirements for Manuscripts Submitted to Biomedical Journals (International Committee of Medical Journal Editors). Additionally, the results of the re-analysis, including additional cases from the Fujio clinic, were similar to those in the first report. Therefore, a secondary version of the initial report includes content that faithfully reflects the data of the primary version, and is not a ‘meat-expander’ article.

Duplicate publication has been an issue for debate worldwide. However, the importance of secondary publications has been suggested, mainly in Northern Europe. The World Medical Association has adopted the Declaration of Helsinki with regard to the ethics of research. As to the ethics of publication, however, the conditions for acceptable secondary publications are described in the Uniform Requirements for Manuscripts Submitted to Biomedical Journals: Writing and Editing for Biomedical Publication Updated April 2010 (http://www.icmje.org/) as follows: i) the authors have received approval from the editors of both journals (the editor concerned with the secondary publication is required to have a photocopy, reprint, or manuscript of the primary version), ii) the priority of the primary publication is respected by a publication interval of at least 1 week (unless specifically negotiated otherwise by both editors), iii) the paper for secondary publication is intended for a different group of readers; an abbreviated version is regarded as sufficient, iv) the secondary version faithfully reflects the data and interpretations of the primary version, v) the footnote on the title page of the secondary version informs readers, peers, and documenting agencies that the paper has been published in whole or in part and states the primary reference. A suitable footnote might read: ‘This article is based on a study first reported in the (title of journal, with full reference).’ Permission for such secondary publication should be free of charge: vi) the title of the secondary publication should indicate that it is a secondary publication (complete republication, abridged republication, complete translation or abridged translation) of a primary publication. Of note, the National Library of Medicine (NLM) does not consider translations to be ‘republications’ and does not cite or index translations when the original article was published in a journal that is indexed in MEDLINE, vii) editors of journals that simultaneously publish in multiple languages should understand that NLM indexes the primary language version. When the full text of an article appears in more than one language in a journal issue (such as Canadian journals with the article in both English and French), both languages are indicated in the MEDLINE citation. These conditions have been accepted widely in academic journals and they would also be adopted in this journal. This report clarified conditions for acceptable secondary publication in this journal. Significance of secondary publication should be considered from an international perspective according to the rule previously described, instead of the manner as in the proverb: ‘A scalded cat fears cold water’, in order for a study to be appraised internationally.

Acknowledgements

The authors would like to thank Dr Ichiro Hirata (Department of Gastroenterology, Fujita Health University Hospital, Aichi, Japan), Dr Chikao Shimamoto and Dr Kenichi Katsu (Second Department of Internal Medicine Osaka Medical College, Osaka, Japan) for their help in the first Japanese study. In addition, we thank Chiaki Matsuyama, Ayako Shimizu, Midori Katayama, Atsuko Kikuchi and Shizuka Kidachi (Department of Surgical and Molecular Pathology, Dokkyo University School of Medicine, Tochigi, Japan) for their excellent technical and secretarial assistance.

References

1. 

Marshall B and Warren JR: Unidentified curved bacilli in the stomach of patients with gastritis and peptic ulceration. Lancet. 1:1311–1315. 1984. View Article : Google Scholar : PubMed/NCBI

2. 

NIH consensus conference. Helicobacter pylori in peptic ulcer disease. NIH consensus development panel on Helicobacter pylori in peptic ulcer disease. JAMA. 272:65–69. 1994.

3. 

Uemura N, Okamoto S, Yamamoto S, et al: Helicobacter pylori infection and the development of gastric cancer. N Engl J Med. 345:784–789. 2001. View Article : Google Scholar

4. 

Parsonnet J, Friedman GD, Vandersteen DP, et al: Helicobacter pylori infection and the risk of gastric carcinoma. N Engl J Med. 325:1127–1131. 1991. View Article : Google Scholar

5. 

Huang JQ, Sridhar S, Chen Y and Hunt RH: Meta-analysis of the relationship between Helicobacter pylori seropositivity and gastric cancer. Gastroenterology. 114:1169–1179. 1998. View Article : Google Scholar : PubMed/NCBI

6. 

Blaser MJ and Parsonnet J: Parasitism by the ‘slow’ bacterium Helicobacter pylori leads to altered gastric homeostasis and neoplasia. J Clin Invest. 94:4–8. 1994.

7. 

Wotherspoon AC, Doglioni C, Diss TC, et al: Regression of primary low-grade B-cell gastric lymphoma of mucosa-associated lymphoid tissue type after eradication of Helicobacter pylori. Lancet. 342:575–577. 1993. View Article : Google Scholar : PubMed/NCBI

8. 

Mihara M, Haruma K, Kamada T, et al: The role of endoscopic findings for the diagnosis of Helicobacter pylori infection: evaluation in a country with high prevalence of atrophic gastritis. Helicobacter. 4:40–48. 1999.PubMed/NCBI

9. 

Satoh K, Kimura K, Taniguchi Y, et al: Distribution of inflammation and atrophy in the stomach of Helicobacter pylori-positive and -negative patients with chronic gastritis. Am J Gastroenterol. 91:963–969. 1996.PubMed/NCBI

10. 

Kawaguchi H, Haruma K, Komoto K, et al: Helicobacter pylori infection is the major risk factor for atrophic gastritis. Am J Gastroenterol. 91:959–962. 1996.

11. 

Ishida M, Terano A, Tabuchi M, et al: The comparison with rapid urease test and histological examination in detection of Helicobacter-pylori. Gastroenterol Endosco. 40:773–778. 1998.

12. 

Smith SB, Snow AN, Perry RL and Qasem SA: Helicobacter pylori: to stain or not to stain? Am J Clin Pathol. 137:733–838. 2012. View Article : Google Scholar

13. 

Kimura K and Takemoto T: An endoscopic recognition of the atrophic border and its significance in chronic gastritis. Endoscopy. 3:87–97. 1969. View Article : Google Scholar

14. 

Yagi K, Nakamura A and Sekine A: Characteristic endoscopic and magnified endoscopic findings in the normal stomach without Helicobacter pylori infection. J Gastroenterol Hepatol. 17:39–45. 2002. View Article : Google Scholar : PubMed/NCBI

15. 

Tanaka H, Ichikawa K, Fujimori T, et al: Diagnostic validity of DNMT-1 and 3b immunoreactivity in non-neoplastic epithelium of UC patients with and without neoplasia. DJMS. 39:29–35. 2012.

16. 

Laine L, Cohen H, Sloane R, et al: Interobserver agreement and predictivevalue of endoscopic findings for H. pylori and gastritis in normal volunteers. Gastrointest Endosc. 42:420–423. 1995. View Article : Google Scholar : PubMed/NCBI

17. 

Khakoo SI, Lobo AJ, Shepherd NA and Wilkinson SP: Histological assessment of the Sydney classification of endoscopic gastritis. Gut. 35:1172–1175. 1994. View Article : Google Scholar : PubMed/NCBI

18. 

Bah A, Saraga E, Armstrong D, et al: Endoscopic features of Helicobacter pylori-related gastritis. Endoscopy. 27:593–596. 1995.

19. 

Yagi K, Aruga Y, Nakamura A and Sekine A: Regular arrangement of collecting venules (RAC): a characteristic endoscopic feature of Helicobacter pylori-negative normal stomach and its relationship with esophago-gastric adenocarcinoma. J Gastroenterol. 40:443–452. 2005. View Article : Google Scholar : PubMed/NCBI

20. 

Nakayama Y, Horiuchi A, Kumagai T, et al: Discrimination of normal gastric mucosa from Helicobacter pylori gastritis using standard endoscopes and a single observation site: studies in children and young adults. Helicobacter. 9:95–99. 2004.PubMed/NCBI

21. 

Anagnostopoulos GK, Yao K, Kaye P, et al: High-resolution magnification endoscopy can reliably identify normal gastric mucosa, Helicobacter pylori-associated gastritis, and gastric atrophy. Endoscopy. 39:202–207. 2007. View Article : Google Scholar : PubMed/NCBI

22. 

Machado RS, Viriato A, Kawakami E and Patricio FR: The regular arrangement of collecting venules pattern evaluated by standard endoscope and the absence of antrum nodularity are highly indicative of Helicobacter pylori uninfected gastric mucosa. Dig Liver Dis. 40:68–72. 2008. View Article : Google Scholar : PubMed/NCBI

23. 

Gonen C, Simsek I, Sarioglu S and Akpinar H: Comparison of high resolution magnifying endoscopy and standard videoendoscopy for the diagnosis of Helicobacter pylori gastritis in routine clinical practice: a prospective study. Helicobacter. 14:12–21. 2009. View Article : Google Scholar : PubMed/NCBI

24. 

Alaboudy A, Elbahrawy A, Matsumoto S, et al: Regular arrangement of collecting venules: Does patient age affect its accuracy? World J Gastrointest Endosc. 3:118–123. 2011. View Article : Google Scholar : PubMed/NCBI

25. 

Okubo M, Tahara T, Shibata T, et al: Usefulness of magnifying narrow-band imaging endoscopy in the Helicobacter pylori-related chronic gastritis. Digestion. 83:161–166. 2011. View Article : Google Scholar : PubMed/NCBI

26. 

Asaka M, Kato M, Takahashi S, et al: Guidelines for the management of Helicobacter pylori infection in Japan: 2009 revised edition. Helicobacter. 15:1–20. 2010.

Related Articles

  • Abstract
  • View
  • Download
  • Twitter
Copy and paste a formatted citation
Spandidos Publications style
Katake Y, Ichikawa K, Fujio C, Tomita S, Imura J and Fujimori T: Irregular arrangement of collecting venules (IRAC) provides a critical endoscopic insight in Helicobacter pylori-induced gastritis: A secondary publication. Biomed Rep 1: 23-27, 2013.
APA
Katake, Y., Ichikawa, K., Fujio, C., Tomita, S., Imura, J., & Fujimori, T. (2013). Irregular arrangement of collecting venules (IRAC) provides a critical endoscopic insight in Helicobacter pylori-induced gastritis: A secondary publication. Biomedical Reports, 1, 23-27. https://doi.org/10.3892/br.2012.8
MLA
Katake, Y., Ichikawa, K., Fujio, C., Tomita, S., Imura, J., Fujimori, T."Irregular arrangement of collecting venules (IRAC) provides a critical endoscopic insight in Helicobacter pylori-induced gastritis: A secondary publication". Biomedical Reports 1.1 (2013): 23-27.
Chicago
Katake, Y., Ichikawa, K., Fujio, C., Tomita, S., Imura, J., Fujimori, T."Irregular arrangement of collecting venules (IRAC) provides a critical endoscopic insight in Helicobacter pylori-induced gastritis: A secondary publication". Biomedical Reports 1, no. 1 (2013): 23-27. https://doi.org/10.3892/br.2012.8
Copy and paste a formatted citation
x
Spandidos Publications style
Katake Y, Ichikawa K, Fujio C, Tomita S, Imura J and Fujimori T: Irregular arrangement of collecting venules (IRAC) provides a critical endoscopic insight in Helicobacter pylori-induced gastritis: A secondary publication. Biomed Rep 1: 23-27, 2013.
APA
Katake, Y., Ichikawa, K., Fujio, C., Tomita, S., Imura, J., & Fujimori, T. (2013). Irregular arrangement of collecting venules (IRAC) provides a critical endoscopic insight in Helicobacter pylori-induced gastritis: A secondary publication. Biomedical Reports, 1, 23-27. https://doi.org/10.3892/br.2012.8
MLA
Katake, Y., Ichikawa, K., Fujio, C., Tomita, S., Imura, J., Fujimori, T."Irregular arrangement of collecting venules (IRAC) provides a critical endoscopic insight in Helicobacter pylori-induced gastritis: A secondary publication". Biomedical Reports 1.1 (2013): 23-27.
Chicago
Katake, Y., Ichikawa, K., Fujio, C., Tomita, S., Imura, J., Fujimori, T."Irregular arrangement of collecting venules (IRAC) provides a critical endoscopic insight in Helicobacter pylori-induced gastritis: A secondary publication". Biomedical Reports 1, no. 1 (2013): 23-27. https://doi.org/10.3892/br.2012.8
Follow us
  • Twitter
  • LinkedIn
  • Facebook
About
  • Spandidos Publications
  • Careers
  • Cookie Policy
  • Privacy Policy
How can we help?
  • Help
  • Live Chat
  • Contact
  • Email to our Support Team