Spandidos Publications Logo
  • About
    • About Spandidos
    • Aims and Scopes
    • Abstracting and Indexing
    • Editorial Policies
    • Reprints and Permissions
    • Job Opportunities
    • Terms and Conditions
    • Contact
  • Journals
    • All Journals
    • Oncology Letters
      • Oncology Letters
      • Information for Authors
      • Editorial Policies
      • Editorial Board
      • Aims and Scope
      • Abstracting and Indexing
      • Bibliographic Information
      • Archive
    • International Journal of Oncology
      • International Journal of Oncology
      • Information for Authors
      • Editorial Policies
      • Editorial Board
      • Aims and Scope
      • Abstracting and Indexing
      • Bibliographic Information
      • Archive
    • Molecular and Clinical Oncology
      • Molecular and Clinical Oncology
      • Information for Authors
      • Editorial Policies
      • Editorial Board
      • Aims and Scope
      • Abstracting and Indexing
      • Bibliographic Information
      • Archive
    • Experimental and Therapeutic Medicine
      • Experimental and Therapeutic Medicine
      • Information for Authors
      • Editorial Policies
      • Editorial Board
      • Aims and Scope
      • Abstracting and Indexing
      • Bibliographic Information
      • Archive
    • International Journal of Molecular Medicine
      • International Journal of Molecular Medicine
      • Information for Authors
      • Editorial Policies
      • Editorial Board
      • Aims and Scope
      • Abstracting and Indexing
      • Bibliographic Information
      • Archive
    • Biomedical Reports
      • Biomedical Reports
      • Information for Authors
      • Editorial Policies
      • Editorial Board
      • Aims and Scope
      • Abstracting and Indexing
      • Bibliographic Information
      • Archive
    • Oncology Reports
      • Oncology Reports
      • Information for Authors
      • Editorial Policies
      • Editorial Board
      • Aims and Scope
      • Abstracting and Indexing
      • Bibliographic Information
      • Archive
    • Molecular Medicine Reports
      • Molecular Medicine Reports
      • Information for Authors
      • Editorial Policies
      • Editorial Board
      • Aims and Scope
      • Abstracting and Indexing
      • Bibliographic Information
      • Archive
    • World Academy of Sciences Journal
      • World Academy of Sciences Journal
      • Information for Authors
      • Editorial Policies
      • Editorial Board
      • Aims and Scope
      • Abstracting and Indexing
      • Bibliographic Information
      • Archive
    • International Journal of Functional Nutrition
      • International Journal of Functional Nutrition
      • Information for Authors
      • Editorial Policies
      • Editorial Board
      • Aims and Scope
      • Abstracting and Indexing
      • Bibliographic Information
      • Archive
    • International Journal of Epigenetics
      • International Journal of Epigenetics
      • Information for Authors
      • Editorial Policies
      • Editorial Board
      • Aims and Scope
      • Abstracting and Indexing
      • Bibliographic Information
      • Archive
    • Medicine International
      • Medicine International
      • Information for Authors
      • Editorial Policies
      • Editorial Board
      • Aims and Scope
      • Abstracting and Indexing
      • Bibliographic Information
      • Archive
  • Articles
  • Information
    • Information for Authors
    • Information for Reviewers
    • Information for Librarians
    • Information for Advertisers
    • Conferences
  • Language Editing
Spandidos Publications Logo
  • About
    • About Spandidos
    • Aims and Scopes
    • Abstracting and Indexing
    • Editorial Policies
    • Reprints and Permissions
    • Job Opportunities
    • Terms and Conditions
    • Contact
  • Journals
    • All Journals
    • Biomedical Reports
      • Information for Authors
      • Editorial Policies
      • Editorial Board
      • Aims and Scope
      • Abstracting and Indexing
      • Bibliographic Information
      • Archive
    • Experimental and Therapeutic Medicine
      • Information for Authors
      • Editorial Policies
      • Editorial Board
      • Aims and Scope
      • Abstracting and Indexing
      • Bibliographic Information
      • Archive
    • International Journal of Epigenetics
      • Information for Authors
      • Editorial Policies
      • Editorial Board
      • Aims and Scope
      • Abstracting and Indexing
      • Bibliographic Information
      • Archive
    • International Journal of Functional Nutrition
      • Information for Authors
      • Editorial Policies
      • Editorial Board
      • Aims and Scope
      • Abstracting and Indexing
      • Bibliographic Information
      • Archive
    • International Journal of Molecular Medicine
      • Information for Authors
      • Editorial Policies
      • Editorial Board
      • Aims and Scope
      • Abstracting and Indexing
      • Bibliographic Information
      • Archive
    • International Journal of Oncology
      • Information for Authors
      • Editorial Policies
      • Editorial Board
      • Aims and Scope
      • Abstracting and Indexing
      • Bibliographic Information
      • Archive
    • Medicine International
      • Information for Authors
      • Editorial Policies
      • Editorial Board
      • Aims and Scope
      • Abstracting and Indexing
      • Bibliographic Information
      • Archive
    • Molecular and Clinical Oncology
      • Information for Authors
      • Editorial Policies
      • Editorial Board
      • Aims and Scope
      • Abstracting and Indexing
      • Bibliographic Information
      • Archive
    • Molecular Medicine Reports
      • Information for Authors
      • Editorial Policies
      • Editorial Board
      • Aims and Scope
      • Abstracting and Indexing
      • Bibliographic Information
      • Archive
    • Oncology Letters
      • Information for Authors
      • Editorial Policies
      • Editorial Board
      • Aims and Scope
      • Abstracting and Indexing
      • Bibliographic Information
      • Archive
    • Oncology Reports
      • Information for Authors
      • Editorial Policies
      • Editorial Board
      • Aims and Scope
      • Abstracting and Indexing
      • Bibliographic Information
      • Archive
    • World Academy of Sciences Journal
      • Information for Authors
      • Editorial Policies
      • Editorial Board
      • Aims and Scope
      • Abstracting and Indexing
      • Bibliographic Information
      • Archive
  • Articles
  • Information
    • For Authors
    • For Reviewers
    • For Librarians
    • For Advertisers
    • Conferences
  • Language Editing
Login Register Submit
  • This site uses cookies
  • You can change your cookie settings at any time by following the instructions in our Cookie Policy. To find out more, you may read our Privacy Policy.

    I agree
Search articles by DOI, keyword, author or affiliation
Search
Advanced Search
presentation
Biomedical Reports
Join Editorial Board Propose a Special Issue
Print ISSN: 2049-9434 Online ISSN: 2049-9442
Journal Cover
November-December 2013 Volume 1 Issue 6

Full Size Image

Sign up for eToc alerts
Recommend to Library

Journals

International Journal of Molecular Medicine

International Journal of Molecular Medicine

International Journal of Molecular Medicine is an international journal devoted to molecular mechanisms of human disease.

International Journal of Oncology

International Journal of Oncology

International Journal of Oncology is an international journal devoted to oncology research and cancer treatment.

Molecular Medicine Reports

Molecular Medicine Reports

Covers molecular medicine topics such as pharmacology, pathology, genetics, neuroscience, infectious diseases, molecular cardiology, and molecular surgery.

Oncology Reports

Oncology Reports

Oncology Reports is an international journal devoted to fundamental and applied research in Oncology.

Experimental and Therapeutic Medicine

Experimental and Therapeutic Medicine

Experimental and Therapeutic Medicine is an international journal devoted to laboratory and clinical medicine.

Oncology Letters

Oncology Letters

Oncology Letters is an international journal devoted to Experimental and Clinical Oncology.

Biomedical Reports

Biomedical Reports

Explores a wide range of biological and medical fields, including pharmacology, genetics, microbiology, neuroscience, and molecular cardiology.

Molecular and Clinical Oncology

Molecular and Clinical Oncology

International journal addressing all aspects of oncology research, from tumorigenesis and oncogenes to chemotherapy and metastasis.

World Academy of Sciences Journal

World Academy of Sciences Journal

Multidisciplinary open-access journal spanning biochemistry, genetics, neuroscience, environmental health, and synthetic biology.

International Journal of Functional Nutrition

International Journal of Functional Nutrition

Open-access journal combining biochemistry, pharmacology, immunology, and genetics to advance health through functional nutrition.

International Journal of Epigenetics

International Journal of Epigenetics

Publishes open-access research on using epigenetics to advance understanding and treatment of human disease.

Medicine International

Medicine International

An International Open Access Journal Devoted to General Medicine.

Journal Cover
November-December 2013 Volume 1 Issue 6

Full Size Image

Sign up for eToc alerts
Recommend to Library

  • Article
  • Citations
    • Cite This Article
    • Download Citation
    • Create Citation Alert
    • Remove Citation Alert
    • Cited By
  • Similar Articles
    • Related Articles (in Spandidos Publications)
    • Similar Articles (Google Scholar)
    • Similar Articles (PubMed)
  • Download PDF
  • Download XML
  • View XML
Article

Roles of autophagy‑related genes Beclin‑1 and LC3 in the development and progression of prostate cancer and benign prostatic hyperplasia

  • Authors:
    • Chengyi Liu
    • Pengcheng Xu
    • Degang Chen
    • Xinhuan Fan
    • Yipeng Xu
    • Mengqiang Li
    • Xu Yang
    • Congfei Wang
  • View Affiliations / Copyright

    Affiliations: Department of Urology, Lu'an Affiliated Hospital of Anhui Medical University, Lu'an, Anhui 237005, P.R. China, Institute of Urology, Zhejiang Cancer Hospital, Hangzhou, Zhejiang 310022, P.R. China, Department of Urology, Union Hospital of Fujian Medical University, Fuzhou, Fujian 350001 P.R. China
  • Pages: 855-860
    |
    Published online on: September 25, 2013
       https://doi.org/10.3892/br.2013.171
  • Expand metrics +
Metrics: Total Views: 0 (Spandidos Publications: | PMC Statistics: )
Metrics: Total PDF Downloads: 0 (Spandidos Publications: | PMC Statistics: )
Cited By (CrossRef): 0 citations Loading Articles...

This article is mentioned in:



Abstract

Prostate cancer (Pca) is common in Western populations and the second leading cause of cancer‑related mortality among males in North America, with an increasing morbidity in China and other Asian countries. The aim of this study was to evaluate the protein expression of autophagy‑related genes Beclin‑1 and LC3 in patients with prostate cancer (Pca) and benign prostatic hyperplasia (BPH) and elucidate their association with p53 and Bcl‑2. The total protein of 34 Pca and 50 BPH samples was extracted and the expression of Beclin‑1 and LC3 was analyzed by western blotting assay. Subsequently, a total of 96 paraffin‑embedded BPH tissue samples was subdivided into 2 groups, one group in which patients had received 5α‑reductase inhibitor, due to its effect of androgen ablation, and the control group, in which patients had not received the 5α‑reductase inhibitor. The samples were randomly collected and examined using immunohistochemical (IHC) analysis. The western blot analysis demonstrated that Beclin‑l and LC3 expression was higher in BPH tissues compared to Pca tissues (P<0.001). There was no statistically significant difference between Pcas of different Gleason scores (P>0.05). The result of IHC revealed that Beclin‑l and LC3 expression in the group of patients who had received the 5α‑reductase inhibitor was significantly higher compared to that in the control group; however, the expression of Bcl‑2 and p53 was lower (P<0.05). Beclin‑1 expression exhibited a negative correlation with Bcl‑2 (r=‑0.402, P<0.001), whereas LC3 expression exhibited a positive correlation with Beclin‑1 (r=0.345, P=0.001) and a negative correlation with Bcl‑2 (r=‑0.216, P=0.035). It was suggested that autophagy‑related genes Beclin‑l and LC3 may be involved in the development and progression of Pca. In addition, the expression of these genes was higher in patients with BPH who had received a 5α‑reductase inhibitor, due to androgen reduction. As a result, the induced autophagy may reduce the risk of Pca.

Introduction

Prostate cancer (PCa) is common in Western populations and is the second leading cause of cancer-related mortality among males in North America (1). Over the last few years, the morbidity of PCa in China and other Asian countries has also been on the increase (2). Drug therapy or surgery is currently undesirable. Therefore, further investigation is required to elucidate the mechanisms underlying the development, progression and prevention of PCa, in order to enable the design of novel treatment strategies.

Autophagy is a conserved evolutionary process that is associated with numerous cell responses (3) and is one of the main forms of protein degradation through the lysosomal pathway. Autophagy is involved in the majority of long half-life protein degradation. Cells are able to recycle amino acids and other macromolecular materials for biosynthesis through the process of autophagy (4). Normal cells possess the autophagic ability to clear chemical carcinogens and organelles, mainly mitochondria, that have been damaged due to radiation or oxidative stress, thereby protecting cell DNA against damage from reactive oxygen species, ensuring hereditary stability and reducing the incidence of cell malignant transformation. Thus, autophagy is crucial in maintaining genome stability (4–6). Autophagy has been extensively studied in Saccharomyces cerevisiae, particularly at the genetic level, leading to identification of the autophagy-related Apg and Aut genes, now collectively referred to as Atg genes (7,8). LC3 is the mammalian equivalent of yeast Atg8. It exists in two forms, LC3-I and its proteolytic derivative LC3-II (18 and 16 kDa, respectively), which are localized in the cytosol (LC3-I) or in autophagosomal membranes (LC3-II). LC3-II may thus be used to estimate the abundance of autophagosomes prior to their destruction through fusion with lysosomes (9,10). In addition, Beclin-1 is the mammalian orthologue of yeast Atg6 (11). Beclin-1 localizes to the trans-Golgi network, belongs to the class III phosphatidylinositol 3-kinase complex and is involved in autophagosome formation (12). It was suggested that androgen deprivation may induce an autophagic process in LNCaP cells, possibly causing PCa cells to become androgen-independent (13,14). However, our study aimed to investigate the role of autophagy-related genes Beclin-1 and LC3 in PCa and benign prostatic hyperplasia (BPH) using western blot and immunohistochemical (IHC) analyses.

Materials and methods

Study population and tissue specimens

A total of 96 paraffin-embedded BPH tissue samples were obtained during a two-year period (between July, 2010 and December, 2012). The samples were divided into two groups, those from patients who had received 5α-reductase inhibitor (n=55) and the control group (n=41) and the expression of Beclin-1, LC3, p53, Bcl-2 and p53 was measured using IHC analysis. The specimens were provided by the Lu’an Affiliated Hospital of Anhui Medical University (Lu’an, China) and the Union Hospital of Fujian Medical University (Fuzhou, China). In addition, protein samples of fresh specimens from 34 PCa and 50 BPH tissue samples were obtained during surgery. All the specimens were confirmed by pathology.

Western blot analysis

Fresh specimens, including PCa and BPH tissues, were obtained during surgery. Cell protein was extracted using IP cell cracking liquid (Beyotime, Fuzhou, China). Following electrophoresis, the proteins were loaded onto polyvinylidene fluoride microporous membranes (Millipore, Billerica, MA, USA). After blocking of non-specific binding with 5% bovine serum albumin for 2 h at room temperature, the proteins were identified using a primary antibody specific to Beclin-l/LC3 (dilution 1:200) in phosphate-buffered saline (PBS) with Tween-20 under gentle agitation at 4°C overnight. Western blot analysis was performed with an anti-rabbit IgG secondary antibody (dilution 1:1000; Bioss, Beijing, China) and the Enhanced Chemiluminescence Detection system (ECL; Amersham Pharmacia Biotech, Freiburg, Germany). β-actin was used as a loading control.

IHC analysis

IHC staining was performed using anti-Beclin-1 rabbit monoclonal antibody (Cell Signaling Technology, Danvers, MA, USA), anti-LC3 rabbit monoclonal antibody (generously provided by the Institute of Urology of the Union Hospital of Fujian Medical University), anti-p53 and anti-Bcl-2 antibodies (Fuzhou Maixin Biotechnology Development Co., Fuzhou, China). Briefly, the slides were rehydrated and antigen retrieval was performed by microwave for 15 min in citrate buffer. The slides were incubated in 3% hydrogen peroxide for 30 min to block endogenous horseradish peroxidase (HRP) activity, followed by incubation with normal goat serum in PBS for 60 min at room temperature. The slides were then incubated with the primary antibody (dilution 1:100) at 4°C overnight. Subsequently, the slides were incubated with biotin-labeled anti-rabbit IgG and preformed avidin-biotin peroxidase complex. The slides were then counterstained with hematoxylin, dehydrated and mounted.

Evaluation of degree of antibody reactivity

The slides were investigated at a magnification of ×400 and a strong brown staining was identified in the nuclei for p53 and in the cytoplasm for LC3, Beclin-1 and Bcl-2. The proportion of positively-stained cells was determined in a minimum of five fields of view. The expression in all the specimens was classified by two pathologists in our institute according to the criteria of Ohuchida et al(15) and the percentage of stained normal or neoplastic epithelial cells was scored as follows: 0, no cells stained; 1, <20% of cells stained; 2, 20–75% of cells stained; and 3, >75% of cells stained. The intensity of immunoreactivity was graded on a scale of 0–3. The total score was the product of the scores for the intensity and extent of staining. Negative cases had a score of 0, weakly positive cases had a score of 1–3, moderately positive cases had a score of 4–6 and strongly positive cases had a final score of >6.

Statistical analysis

For the results of IHC and western blot analysis, the Mann-Whitney U test was used to analyze the statistical contrast of different groups. The correlation coefficients (r and P-values) among LC3, Beclin-1, Bcl-2 and p53 status were obtained using the Spearman’s test. P<0.05 was considered to indicate a statistically significant difference. Statistical analyses were performed using SPSS software, version 11.5 (SPSS Inc., Chicago, IL, USA).

Results

Expression of Beclin-1 and LC3

To confirm the role of Beclin-1 and LC3 in the development and progression of PCa, we investigated their expression by western blot analysis. The average relative expression value of Beclin-1 in BPH was 2.09±0.12 and that of LC3 was 1.38±0.04. The average relative expression value of Beclin-1 and LC3 in PCa was 0.77±0.06 and 0.84±0.03, respectively. The statistical analysis demonstrated that the expression of Beclin-1 and LC3 was stronger in BPH compared to that in PCa (P<0.001) (Figs. 1 and 2). In addition, the Gleason scores of the 34 PCa samples ranged from 6 to 8, with no statistically significant differences between scores (P>0.05).

Figure 1

Verification of the expression of Beclin-1 and LC3 using western blot analysis. Beclin-1 and LC3 expression in benign prostatic hyperplasia (BPH) was found to be higher compared to that in prostate cancer (PCa).

Figure 2

The average relative expression values of Beclin-1 and LC3 in benign prostatic hyperplasia (BPH) were 2.09±0.12 and 1.38±0.04, respectively, which were significantly higher compared to those in prostate cancer (PCa) (0.77±0.06 and 0.84±0.03, respectively; P<0.001). ARE, average relative expression.

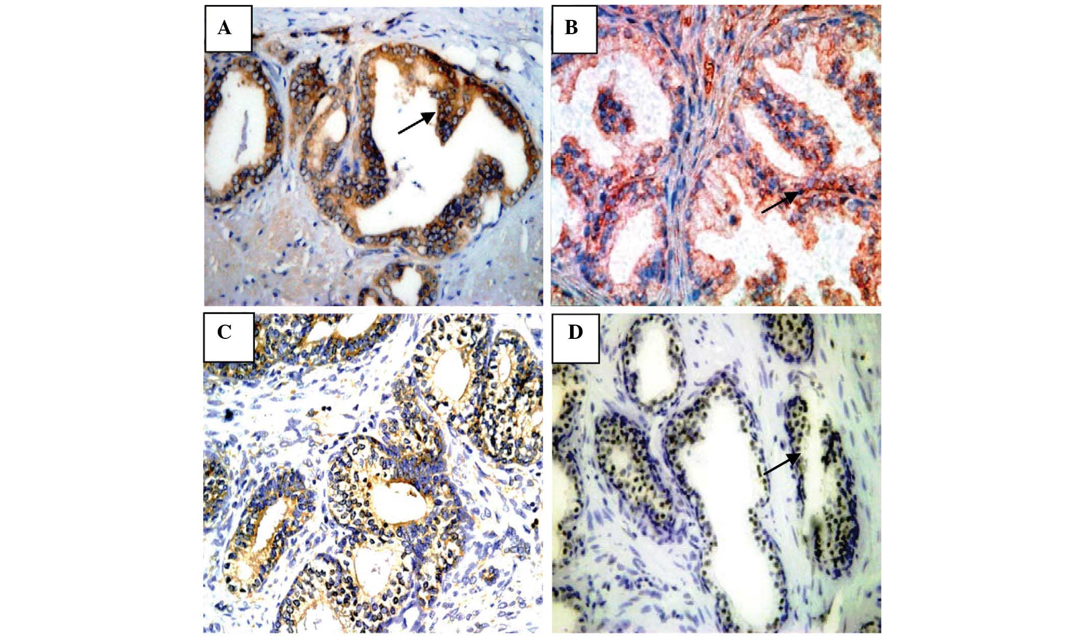
To determine the frequency of expression of the different types of autophagy-related proteins in BPH between patients who had received the 5α-reductase inhibitor and the control group and its correlation with autophagy-related genes and tumor-related genes, the expression of LC3, Beclin-1, Bcl-2 and p53 was investigated via IHC analysis. The results are presented in Fig. 3.

Figure 3

Immunohistochemical staining of benign prostatic hyperplasia tissues. The staining is cytoplasmic for (A) Beclin-1, (B) LC3 and (C) Bcl-2 and nuclear for (D) p53 (arrow). Original magnification, ×400.

Association of LC3 and Beclin-1 expression with the administration of 5α-reductase inhibitor, Bcl-2 and p53

Among the total of 55 BPH patients who had received the 5α-reductase inhibitor, the positive expression rates of Beclin-1, LC3, Bcl-2 and p53 were 61.82% (34/55), 52.73% (29/55), 40% (22/55) and 32.7% (18/55), respectively. In the control group, the positive expression rates were 34.15% (14/41), 36.59% (15/41), 58.54% (24/41) and 51.2% (21/41), respectively. Therefore, the protein expression of Beclin-1 and LC3 in the 5α-reductase inhibitor group was significantly higher compared to the control group (P=0.012 and 0.001), whereas the expression of Bcl-2 and p53 was lower (P=0.031 and 0.045) (Table I). Beclin-1 expression exhibited a negative correlation with Bcl-2 (r=−0.402, P<0.001), whereas LC3 expression exhibited a positive correlation with Beclin-1 (r=0.345, P=0.001) and a negative correlation with Bcl-2 (r=−0.216, P=0.035).

Table I

Comparison of statistical data of 96 BPH patients with ICH analysis.

Table I

Comparison of statistical data of 96 BPH patients with ICH analysis.

Groups

5-α reductase inhibitorControlP-value
Beclin-161.82% (34/55)34.15% (14/41)0.001
LC352.73% (29/55)36.59% (15/41)0.012
Bcl-240% (22/55)58.54% (24/41)0.031
p5332.7% (18/55)51.2% (21/41)0.045

[i] BPH, benign prostatic hyperplasia; ICH, immunohistochemical.

Discussion

The phenomenon of autophagy is commonly encountered in eukaryotic cells. The autophagic process may be initiated by nutrient starvation, growth factor withdrawal, oxygen deficiency or protein misfolding. In addition, when amino acid concentration decreases, autophagy is induced to produce amino acids required for cell survival. When the supply of amino acids is increased, autophagy is suppressed. As regards the role of autophagy in tumorigenesis and tumor progression and its level in different organs of tumor patients, in the same organ with different types of tumors, or even in different development stages of the same tumor, the results vary widely among different studies. Autophagy may remove damaged organelles, thus contributing to gene stability and suppressing cell malignant transformation. Furthermore, as a type of protective mechanism, autophagy protects cancer cells against damage from a low supply of nutrients, ionizing radiation and chemotherapy (5,6). In addition, excessive autophagy and autophagic cell death may inhibit carcinogenesis. Therefore, we hypothesize that autophagy acts as a double-edged sword regarding tumorigenesis and tumor progression.

Autophagy-related genes Beclin-l and LC3 may suppress tumor growth by inducing autophagy. Therefore, they are considered a potential therapeutic target in cancer management. It was previously reported that deletion mutations of the Beclin-1 gene were detected in 75% of ovarian cancers, 50% of breast cancers and 40% of PCas (16). We used western blot analysis to detect the expression of Beclin-l and LC3 in PCa and BPH tissues. None of the patients had received the 5α-reductase inhibitor, in order to minimize the interference factors induced by oxygen deficiency and starvation. Following in vitro sectioning, the surgical specimens were immediately immersed in cell culture solution and total protein was extracted after 30 min. The results demonstrated that the expression of Beclin-1 and LC3 was lower in PCa compared to BPH tissues (P<0.001), as previously described in the literature and indicated that the reduction of Beclin-1 and LC3 expression may be associated with the development of PCa. However, there were no significant differences between tumors of different Gleason scores (P>0.05). Therefore, whether autophagy is associated with tissue differentiation and the prognosis of PCa remains unclear. However, for PCa patients under androgen ablation treatment, autophagy may exert a protective effect on PCa cells. It was previously indicated (13,14) that androgen deprivation may decrease the phosphorylation of p70S6K. Considering that p70S6K is a readout of mammalian target of rapamycin (mTOR) activity and a downstream effector of mTOR, androgen deprivation may induce autophagy in LNCaP cells. Therefore, PCa cells may exploit the autophagic pathway to antagonize apoptosis during androgen ablation therapy, at least for a short period of time, and finally become androgen-independent. When autophagy was inhibited, LNCaP cell apoptosis was significantly increased in the absence of dihydrotestosterone (13,14).

Subsequently, we aimed to investigate whether autophagy in BPH tissues is induced in the absence of androgen and elucidate the role of autophagy in the development of BPH. The number of available studies on the association between autophagy and BPH is limited. A previous study reported that the number of autophagosomes was significantly increased in prostate epithelial cells of castrated rats (17). We compared the protein expression of LC3 and Beclin-1 using IHC analysis between patients who had received 5α-reductase inhibitor and those who had not, since the 5α-reductase inhibitor may reduce androgen levels in the body (18). Subsequently, we analyzed its correlation with the apoptosis-related genes p53 and Bcl-2.

It has already been confirmed that a variety of tumors are closely associated with the apoptosis-related genes p53 and Bcl-2. Bcl-2 may increase the risk of tumorigenesis and promote tumor progression through the inhibition of cell apoptosis (19,20), whereas mutations of wild-type p53, one of the tumor suppressor genes in normal cells, may promote cell proliferation and cancer development (21,22). Wild-type p53 is difficult to detect with IHC analysis. By contrast, mutant p53 exhibits the characteristics of long half-life and accumulation in the tumor cell nucleus. Therefore, Oka et al(23) suggested that all the p53 protein detected in tumor tissues with IHC was of the mutant type. In addition, autophagy-related genes are closely associated with p53 and Bcl-2. The upregulation of Beclin-1 expression in mammalian cells may induce autophagy; however Bcl-2 binds to Beclin-1 and inhibits autophagy. Therefore, the cells may escape death and produce cumulative variation, ultimately leading to cancer development (24–26). The tumor-suppressor gene p53 may induce the transcription of insulin-like growth factor binding protein-3 (IGF-BP3), phosphatase and tensin homolog (PTEN) and AMP-activated protein kinase (AMPK)-β1 under the condition of response. These proteins may induce autophagy through downregulation of the IGF/AKT-1/mTOR signaling pathway, thereby inhibiting cell growth, division and proliferation (27).

In our study, the expression of Beclin-1 and LC3 in the 5α-reductase inhibitor group was significantly higher compared to the control group. However, the expression of Bcl-2 and p53 was lower (P<0.05), indicating that autophagy was induced in BPH tissues due to lack of androgen. We hypothesized that the underlying mechanisms are the result of the androgen reduction as follows: the gene expression of several transport glycoproteins and amino acids was restrained and the mTOR signaling pathway was downregulated, thus enhancing autophagy (28). Ischemia and oxygen deficiency in prostate cells resulted from reduction of blood flow in the microcirculation. Under these conditions of nutrient starvation, autophagy was induced (29). Futhermore, Beclin-1 expression exhibited a negative correlation with Bcl-2 (r=−0.402, P<0.001). LC3 expression also exhibited a negative correlation with Bcl-2 (r=−0.216, P=0.035). The autophagic process was promoted in the 5α-reductase inhibitor group, accompanied by a reduction of Bcl-2 and p53.

Therefore, the promotion of autophagy provides adequate protection to cells from canceration, including BPH tissue cells in patients who received 5α-reductase inhibitor. Our study has demonstrated that the expression of Beclin-l and LC3 was upregulated and associated with p53 and Bcl-2 in BPH patients who had received 5α-reductase inhibitor. This may reduce the risk of PCa, in accordance with previous studies suggesting that finasteride (a type of 5α-reductase inhibitor) may lower the risk of PCa, although an increase the pathological grade of PCa was observed (30–32). In conclusion, autophagy-related genes are crucial in the development of PCa and the canceration of BPH cells, even in the transitional stage of PCa from androgen-dependence to androgen-independence.

A previous study demonstrated that autophagy restraint may enhance apoptosis induced by 5-FU (33). Another study reported that after receiving a low dose of radiotherapy, the phenomenon of autophagic vacuole accumulation was observed in the cells of PCa, breast and colon cancer. Autophagic vacuoles as a defence mechanism may protect cells against radiation. If the formation of autophagic vacuoles is inhibited, the mortality rate of cells receiving radiation may be higher (34). Kessel et al(35) also reported that anticancer drugs XK469 and its analogue SH80 may induce autophagy and cause tumor cell growth stagnation at the G2/M phase, leading to the elimination of chemoresistance.

In conclusion, autophagy inhibitors or autophagy revulsants, used alone or combined with other anticancer drugs, have achieved promising results. The assessment of the status of Beclin-l and LC3 may prove useful in the treatment of PCa and the prevention of canceration in BPH patients.

Acknowledgements

This study was supported by Professor Enci Xu (Institute of Urology, Union Hospital of Fujian Medical University) through the generous provision of anti-LC3 rabbit monoclonal antibody. We also gratefully acknowledge Dr Meichun Zhang (Department of Laboratorian, Lu’an Affiliated Hospital of Anhui Medical University) for the critical advice.

References

1 

Boring CC, Squires TS and Tong TL: Cancer statistics, 1992. CA Cancer J Clin. 42:19–38. 1992. View Article : Google Scholar

2 

Sim HG and Cheng CW: Changing demography of prostate cancer in Asia. Eur J Cancer. 41:834–845. 2005. View Article : Google Scholar : PubMed/NCBI

3 

Klionsky DJ and Emr SD: Autophagy as a regulated pathway of cellular degradation. Science. 290:1717–1721. 2000. View Article : Google Scholar : PubMed/NCBI

4 

Gozuacik D and Kimchi A: Autophagy as a cell death and tumor suppressor mechanism. Oncogene. 23:2891–2906. 2004. View Article : Google Scholar : PubMed/NCBI

5 

Mathew R, Karantza-Wadsworth V and White E: Role of autophagy in cancer. Nat Rev Cancer. 7:961–967. 2007. View Article : Google Scholar

6 

Mathew R, Kongara S, Beaudoin B, et al: Autophagy suppresses tumor progression by limiting chromosomal instability. Genes Dev. 21:1367–1381. 2007. View Article : Google Scholar : PubMed/NCBI

7 

Klionsky DJ, Cregg JM, Dunn WA Jr, Emr SD, Sakai Y, Sandoval IV, Sibirny A, Subramani S, Thumm M, Veenhuis M and Ohsumi Y: A unified nomenclature for yeast autophagy-related genes. Dev Cell. 5:539–545. 2003. View Article : Google Scholar : PubMed/NCBI

8 

Reggiori F and Klionsky DJ: Autophagy in the eukaryotic cell. Eukaryot Cell. 1:11–21. 2002. View Article : Google Scholar : PubMed/NCBI

9 

Kabeya Y, Mizushima N, Ueno T, Yamamoto A, Kirisako T, Noda T, Kominami E, Ohsumi Y and Yoshimori T: LC3, a mammalian homologue of yeast Apg8p, is localized in autophagosome membranes after processing. EMBO J. 19:5720–5728. 2000. View Article : Google Scholar : PubMed/NCBI

10 

Mizushima N, Yamamoto A, Hatano M, Kobayashi Y, Kabeya Y, Suzuki K, Tokuhisa T, Ohsumi Y and Yoshimori T: Dissection of autophagosome formation using Apg5-deficient mouse embryonic stem cells. J Cell Biol. 152:657–668. 2001. View Article : Google Scholar : PubMed/NCBI

11 

Liang XH, Jackson S, Seaman M, Brown K, Kempkes B, Hibshoosh H and Levine B: Induction of autophagy and inhibition of tumorigenesis by beclin 1. Nature. 402:672–676. 1999. View Article : Google Scholar : PubMed/NCBI

12 

Kihara A, Kabeya Y, Ohsumi Y and Yoshimori T: Beclin-phosphatidylinositol 3-kinase complex functions at the trans-Golgi network. EMBO Rep. 2:330–335. 2001. View Article : Google Scholar : PubMed/NCBI

13 

Li M, Jiang X, Liu D, et al: Autophagy protects LNCaP cells under androgen deprivation conditions. Autophagy. 4:54–60. 2008. View Article : Google Scholar : PubMed/NCBI

14 

Chhipa RR, Wu Y and Ip C: AMPK-mediated autophagy is a survival mechanism in androgen-dependent prostate cancer cells subjected to androgen deprivation and hypoxia. Cell Signal. 23:1466–1472. 2011. View Article : Google Scholar : PubMed/NCBI

15 

Ohuchida K, Mizumoto K, Ishikawa N, et al: The role of S100A6 in pancreatic cancer development and its clinical implication as a diagnostic marker and therapeutic target. Clin Cancer Res. 11:7785–7793. 2005. View Article : Google Scholar : PubMed/NCBI

16 

Aita VM, Liang XH, Murty W, et al: Cloning and genomic organization of beclin 1, a candidate tumor suppressor gene on chromosome 17q21. Genomics. 59:59–65. 1999. View Article : Google Scholar : PubMed/NCBI

17 

Lian J, Karnak D and Xu L: The Bcl-2-Beclin 1 interaction in (-)-gossypol-induced autophagy versus apoptosis in prostate cancer cells. Autophagy. 6:1201–1203. 2010. View Article : Google Scholar : PubMed/NCBI

18 

Roehrborn CG, Bruskewitz R, Nickel GC, et al: Urinary retention in patients with BPH treated with finasteride or placebo over 4 years. Characterization of patients and ultimate outcomes. The PLESS Study Group. Eur Urol. 37:528–536. 2000.

19 

Almond JB and Cohen GM: The proteasome: a novel target for cancer chemotherapy. Leukemia. 16:433–443. 2002. View Article : Google Scholar : PubMed/NCBI

20 

Kok SH, Cheng SJ, Hong CY, et al: Norcantharidin-induced apoptosis in oral cancer cells is associated with an increase of proapoptotic to antiapoptotic protein ratio. Cancer Lett. 217:43–52. 2005. View Article : Google Scholar : PubMed/NCBI

21 

Tullo A, D’Erchia AM and Sbisà E: Methods for screening tumors for p53 status and therapeutic explication. Expert Rev Mol Diagn. 3:289–301. 2003. View Article : Google Scholar : PubMed/NCBI

22 

Faried A, Faried LS, Kato H, et al: Targeting p53 tumor suppressor to induce apoptosis and cell cycle arrest in esophageal cancer cells by novel sugar-cholesterol compounds. Poster Session. 7:83–84. 2008.

23 

Oka K, Nakano T and Arai T: p53CM1 expression is not associated with prognosis in uterine cervical carcinoma. Cancer. 72:160–164. 1993. View Article : Google Scholar : PubMed/NCBI

24 

Wei Y, Pattingre S and Levine B: Bcl-2 phosphorylation regulates its antiautophagy function. Monterey: Keystone Symposium on Autophagy in Health and Disease; 2007

25 

Pattingre S, Tassa A, Qu X, et al: Bcl-2 antiapopotic proteins inhibit Beclin 1-dependent autophagy. Cell. 122:927–939. 2005. View Article : Google Scholar : PubMed/NCBI

26 

Xu J, Xu Z, Jiang Y, et al: Cryptorchidism induces mouse testicular germ cell apoptosis and changes in bcl-2 and bax protein expression. J Environ Pathol Toxicol Oncol. 19:25–33. 2000.PubMed/NCBI

27 

Feng Z: P53 Regulation of the IGF-1/AKT/mTOR pathways and the endosomal compartment. Cold Spring Harb Perspect Biol. 2:a00010572010. View Article : Google Scholar : PubMed/NCBI

28 

Xu Y, Chen SY, Ross KN and Balk SP: Androgens induce prostate cancer cell proliferation through mammalian target of rapamycin activation and post-transcriptional increases in cyclin D proteins. Cancer Res. 66:7783–7792. 2006. View Article : Google Scholar : PubMed/NCBI

29 

Lan RZ, Ye ZQ, Yang WM, et al: Microcirculation changes in the ventral prostates of rats after castration. Natl J Androl. 11:119–123. 2005.(In Chinese).

30 

Thompson IM, Goodman PJ, Tangen CM, et al: The influence of finastefide on the development of prostate cancer. N Engl J Med. 349:215–224. 2003. View Article : Google Scholar : PubMed/NCBI

31 

Kramer BS, Hagerty KL, Justman S, et al; American Society of Clinical Oncology Health Services Committee; American Urological Association Practice Guidelines Committee. Use of 5-alpha-reductase inhibitors for prostate cancer chemoprevention: American Society of Clinical Oncology/American Urological Association 2008 Clinical Practice Guideline. J Clin Oncol. 27:1502–1516. 2009. View Article : Google Scholar

32 

Zhu J, Gao JP, Xu AX, et al: The influence of benign prostatic hyperplasia drugs on incidence and pathology grading of prostate cancer. Zhonghua Wai Ke Za Zhi. 48:761–763. 2010.(In Chinese).

33 

Li J, Hou N, Faried A, et al: Inhibition of autophagy by 3-MA enhances the effect of 5-FU-induced apoptosis in colon cancer cells. Ann Surg Oncol. 16:761–771. 2009. View Article : Google Scholar : PubMed/NCBI

34 

Paglin S, Hollister T, Delohery T, et al: A novel response of cancer cells to radiation involves autophagy and formation of acidic vesicles. Cancer Res. 61:439–445. 2001.PubMed/NCBI

35 

Kessel D, Reiners JJ Jr, Haseldine ST, et al: The role of autophagy in the death of L1210 leukemia cells initiated by the new antitumor agents, XK469 and SH80. Mol Cancer Ther. 6:370–379. 2007. View Article : Google Scholar : PubMed/NCBI

Related Articles

  • Abstract
  • View
  • Download
  • Twitter
Copy and paste a formatted citation
Spandidos Publications style
Liu C, Xu P, Chen D, Fan X, Xu Y, Li M, Yang X and Wang C: Roles of autophagy‑related genes Beclin‑1 and LC3 in the development and progression of prostate cancer and benign prostatic hyperplasia. Biomed Rep 1: 855-860, 2013.
APA
Liu, C., Xu, P., Chen, D., Fan, X., Xu, Y., Li, M. ... Wang, C. (2013). Roles of autophagy‑related genes Beclin‑1 and LC3 in the development and progression of prostate cancer and benign prostatic hyperplasia. Biomedical Reports, 1, 855-860. https://doi.org/10.3892/br.2013.171
MLA
Liu, C., Xu, P., Chen, D., Fan, X., Xu, Y., Li, M., Yang, X., Wang, C."Roles of autophagy‑related genes Beclin‑1 and LC3 in the development and progression of prostate cancer and benign prostatic hyperplasia". Biomedical Reports 1.6 (2013): 855-860.
Chicago
Liu, C., Xu, P., Chen, D., Fan, X., Xu, Y., Li, M., Yang, X., Wang, C."Roles of autophagy‑related genes Beclin‑1 and LC3 in the development and progression of prostate cancer and benign prostatic hyperplasia". Biomedical Reports 1, no. 6 (2013): 855-860. https://doi.org/10.3892/br.2013.171
Copy and paste a formatted citation
x
Spandidos Publications style
Liu C, Xu P, Chen D, Fan X, Xu Y, Li M, Yang X and Wang C: Roles of autophagy‑related genes Beclin‑1 and LC3 in the development and progression of prostate cancer and benign prostatic hyperplasia. Biomed Rep 1: 855-860, 2013.
APA
Liu, C., Xu, P., Chen, D., Fan, X., Xu, Y., Li, M. ... Wang, C. (2013). Roles of autophagy‑related genes Beclin‑1 and LC3 in the development and progression of prostate cancer and benign prostatic hyperplasia. Biomedical Reports, 1, 855-860. https://doi.org/10.3892/br.2013.171
MLA
Liu, C., Xu, P., Chen, D., Fan, X., Xu, Y., Li, M., Yang, X., Wang, C."Roles of autophagy‑related genes Beclin‑1 and LC3 in the development and progression of prostate cancer and benign prostatic hyperplasia". Biomedical Reports 1.6 (2013): 855-860.
Chicago
Liu, C., Xu, P., Chen, D., Fan, X., Xu, Y., Li, M., Yang, X., Wang, C."Roles of autophagy‑related genes Beclin‑1 and LC3 in the development and progression of prostate cancer and benign prostatic hyperplasia". Biomedical Reports 1, no. 6 (2013): 855-860. https://doi.org/10.3892/br.2013.171
Follow us
  • Twitter
  • LinkedIn
  • Facebook
About
  • Spandidos Publications
  • Careers
  • Cookie Policy
  • Privacy Policy
How can we help?
  • Help
  • Live Chat
  • Contact
  • Email to our Support Team