Spandidos Publications Logo
  • About
    • About Spandidos
    • Aims and Scopes
    • Abstracting and Indexing
    • Editorial Policies
    • Reprints and Permissions
    • Job Opportunities
    • Terms and Conditions
    • Contact
  • Journals
    • All Journals
    • Oncology Letters
      • Oncology Letters
      • Information for Authors
      • Editorial Policies
      • Editorial Board
      • Aims and Scope
      • Abstracting and Indexing
      • Bibliographic Information
      • Archive
    • International Journal of Oncology
      • International Journal of Oncology
      • Information for Authors
      • Editorial Policies
      • Editorial Board
      • Aims and Scope
      • Abstracting and Indexing
      • Bibliographic Information
      • Archive
    • Molecular and Clinical Oncology
      • Molecular and Clinical Oncology
      • Information for Authors
      • Editorial Policies
      • Editorial Board
      • Aims and Scope
      • Abstracting and Indexing
      • Bibliographic Information
      • Archive
    • Experimental and Therapeutic Medicine
      • Experimental and Therapeutic Medicine
      • Information for Authors
      • Editorial Policies
      • Editorial Board
      • Aims and Scope
      • Abstracting and Indexing
      • Bibliographic Information
      • Archive
    • International Journal of Molecular Medicine
      • International Journal of Molecular Medicine
      • Information for Authors
      • Editorial Policies
      • Editorial Board
      • Aims and Scope
      • Abstracting and Indexing
      • Bibliographic Information
      • Archive
    • Biomedical Reports
      • Biomedical Reports
      • Information for Authors
      • Editorial Policies
      • Editorial Board
      • Aims and Scope
      • Abstracting and Indexing
      • Bibliographic Information
      • Archive
    • Oncology Reports
      • Oncology Reports
      • Information for Authors
      • Editorial Policies
      • Editorial Board
      • Aims and Scope
      • Abstracting and Indexing
      • Bibliographic Information
      • Archive
    • Molecular Medicine Reports
      • Molecular Medicine Reports
      • Information for Authors
      • Editorial Policies
      • Editorial Board
      • Aims and Scope
      • Abstracting and Indexing
      • Bibliographic Information
      • Archive
    • World Academy of Sciences Journal
      • World Academy of Sciences Journal
      • Information for Authors
      • Editorial Policies
      • Editorial Board
      • Aims and Scope
      • Abstracting and Indexing
      • Bibliographic Information
      • Archive
    • International Journal of Functional Nutrition
      • International Journal of Functional Nutrition
      • Information for Authors
      • Editorial Policies
      • Editorial Board
      • Aims and Scope
      • Abstracting and Indexing
      • Bibliographic Information
      • Archive
    • International Journal of Epigenetics
      • International Journal of Epigenetics
      • Information for Authors
      • Editorial Policies
      • Editorial Board
      • Aims and Scope
      • Abstracting and Indexing
      • Bibliographic Information
      • Archive
    • Medicine International
      • Medicine International
      • Information for Authors
      • Editorial Policies
      • Editorial Board
      • Aims and Scope
      • Abstracting and Indexing
      • Bibliographic Information
      • Archive
  • Articles
  • Information
    • Information for Authors
    • Information for Reviewers
    • Information for Librarians
    • Information for Advertisers
    • Conferences
  • Language Editing
Spandidos Publications Logo
  • About
    • About Spandidos
    • Aims and Scopes
    • Abstracting and Indexing
    • Editorial Policies
    • Reprints and Permissions
    • Job Opportunities
    • Terms and Conditions
    • Contact
  • Journals
    • All Journals
    • Biomedical Reports
      • Information for Authors
      • Editorial Policies
      • Editorial Board
      • Aims and Scope
      • Abstracting and Indexing
      • Bibliographic Information
      • Archive
    • Experimental and Therapeutic Medicine
      • Information for Authors
      • Editorial Policies
      • Editorial Board
      • Aims and Scope
      • Abstracting and Indexing
      • Bibliographic Information
      • Archive
    • International Journal of Epigenetics
      • Information for Authors
      • Editorial Policies
      • Editorial Board
      • Aims and Scope
      • Abstracting and Indexing
      • Bibliographic Information
      • Archive
    • International Journal of Functional Nutrition
      • Information for Authors
      • Editorial Policies
      • Editorial Board
      • Aims and Scope
      • Abstracting and Indexing
      • Bibliographic Information
      • Archive
    • International Journal of Molecular Medicine
      • Information for Authors
      • Editorial Policies
      • Editorial Board
      • Aims and Scope
      • Abstracting and Indexing
      • Bibliographic Information
      • Archive
    • International Journal of Oncology
      • Information for Authors
      • Editorial Policies
      • Editorial Board
      • Aims and Scope
      • Abstracting and Indexing
      • Bibliographic Information
      • Archive
    • Medicine International
      • Information for Authors
      • Editorial Policies
      • Editorial Board
      • Aims and Scope
      • Abstracting and Indexing
      • Bibliographic Information
      • Archive
    • Molecular and Clinical Oncology
      • Information for Authors
      • Editorial Policies
      • Editorial Board
      • Aims and Scope
      • Abstracting and Indexing
      • Bibliographic Information
      • Archive
    • Molecular Medicine Reports
      • Information for Authors
      • Editorial Policies
      • Editorial Board
      • Aims and Scope
      • Abstracting and Indexing
      • Bibliographic Information
      • Archive
    • Oncology Letters
      • Information for Authors
      • Editorial Policies
      • Editorial Board
      • Aims and Scope
      • Abstracting and Indexing
      • Bibliographic Information
      • Archive
    • Oncology Reports
      • Information for Authors
      • Editorial Policies
      • Editorial Board
      • Aims and Scope
      • Abstracting and Indexing
      • Bibliographic Information
      • Archive
    • World Academy of Sciences Journal
      • Information for Authors
      • Editorial Policies
      • Editorial Board
      • Aims and Scope
      • Abstracting and Indexing
      • Bibliographic Information
      • Archive
  • Articles
  • Information
    • For Authors
    • For Reviewers
    • For Librarians
    • For Advertisers
    • Conferences
  • Language Editing
Login Register Submit
  • This site uses cookies
  • You can change your cookie settings at any time by following the instructions in our Cookie Policy. To find out more, you may read our Privacy Policy.

    I agree
Search articles by DOI, keyword, author or affiliation
Search
Advanced Search
presentation
Biomedical Reports
Join Editorial Board Propose a Special Issue
Print ISSN: 2049-9434 Online ISSN: 2049-9442
Journal Cover
May-2015 Volume 3 Issue 3

Full Size Image

Sign up for eToc alerts
Recommend to Library

Journals

International Journal of Molecular Medicine

International Journal of Molecular Medicine

International Journal of Molecular Medicine is an international journal devoted to molecular mechanisms of human disease.

International Journal of Oncology

International Journal of Oncology

International Journal of Oncology is an international journal devoted to oncology research and cancer treatment.

Molecular Medicine Reports

Molecular Medicine Reports

Covers molecular medicine topics such as pharmacology, pathology, genetics, neuroscience, infectious diseases, molecular cardiology, and molecular surgery.

Oncology Reports

Oncology Reports

Oncology Reports is an international journal devoted to fundamental and applied research in Oncology.

Experimental and Therapeutic Medicine

Experimental and Therapeutic Medicine

Experimental and Therapeutic Medicine is an international journal devoted to laboratory and clinical medicine.

Oncology Letters

Oncology Letters

Oncology Letters is an international journal devoted to Experimental and Clinical Oncology.

Biomedical Reports

Biomedical Reports

Explores a wide range of biological and medical fields, including pharmacology, genetics, microbiology, neuroscience, and molecular cardiology.

Molecular and Clinical Oncology

Molecular and Clinical Oncology

International journal addressing all aspects of oncology research, from tumorigenesis and oncogenes to chemotherapy and metastasis.

World Academy of Sciences Journal

World Academy of Sciences Journal

Multidisciplinary open-access journal spanning biochemistry, genetics, neuroscience, environmental health, and synthetic biology.

International Journal of Functional Nutrition

International Journal of Functional Nutrition

Open-access journal combining biochemistry, pharmacology, immunology, and genetics to advance health through functional nutrition.

International Journal of Epigenetics

International Journal of Epigenetics

Publishes open-access research on using epigenetics to advance understanding and treatment of human disease.

Medicine International

Medicine International

An International Open Access Journal Devoted to General Medicine.

Journal Cover
May-2015 Volume 3 Issue 3

Full Size Image

Sign up for eToc alerts
Recommend to Library

  • Article
  • Citations
    • Cite This Article
    • Download Citation
    • Create Citation Alert
    • Remove Citation Alert
    • Cited By
  • Similar Articles
    • Related Articles (in Spandidos Publications)
    • Similar Articles (Google Scholar)
    • Similar Articles (PubMed)
  • Download PDF
  • Download XML
  • View XML
Case Report

Neurocytoma of the pituitary gland: A case report and literature review

  • Authors:
    • Peng Peng
    • Feng Chen
    • Daquan Zhou
    • Handong Liu
    • Jingwen Li
  • View Affiliations / Copyright

    Affiliations: Department of Neurosurgery, Xiangyang Central Hospital, Hubei University of Arts and Science, Xiangyang, Hubei 441021, P.R. China, Department of Oncology, Xiangyang Central Hospital, Hubei University of Arts and Science, Xiangyang, Hubei 441021, P.R. China
  • Pages: 301-303
    |
    Published online on: February 16, 2015
       https://doi.org/10.3892/br.2015.430
  • Expand metrics +
Metrics: Total Views: 0 (Spandidos Publications: | PMC Statistics: )
Metrics: Total PDF Downloads: 0 (Spandidos Publications: | PMC Statistics: )
Cited By (CrossRef): 0 citations Loading Articles...

This article is mentioned in:



Abstract

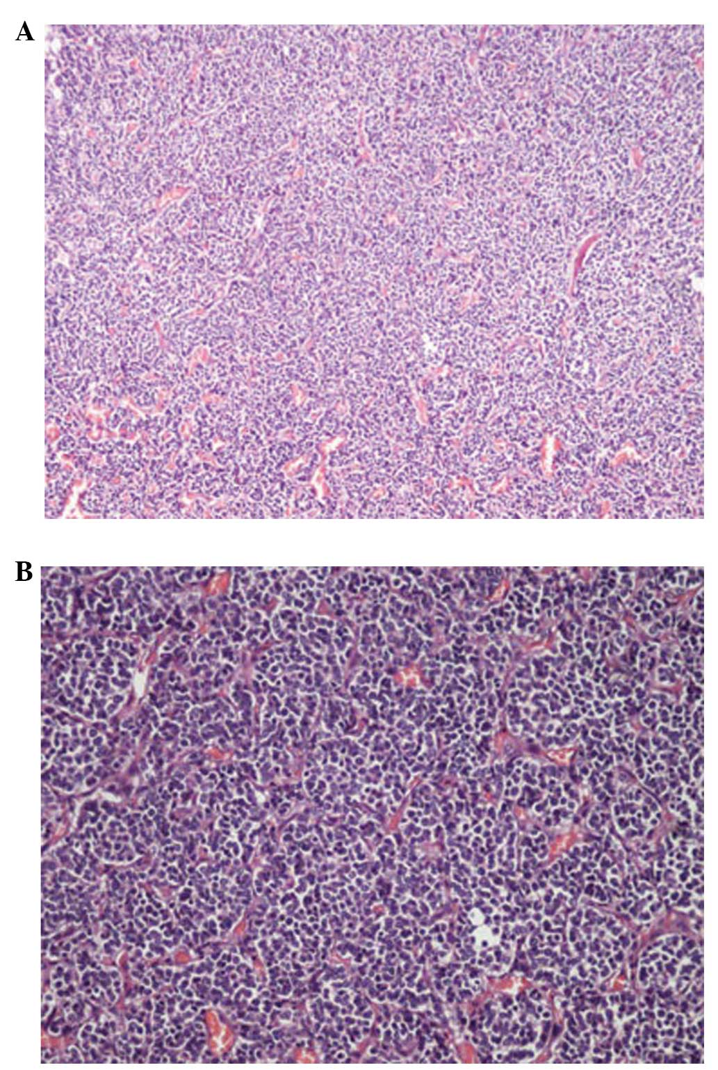
Extraventricular neurocytomas (EVN) are rare central nervous system tumors, often located within the cerebral hemisphere. The present study reports a case of a 56‑year‑old male patient with bitemporal hemianopsia. Computed tomography and magnetic resonance imaging revealed a tumor in the sellar region. The tumor was totally excised. Postoperative histological examination of the tumor demonstrated that synaptophysin, chromogranin‑A and neuron‑specific enolase were positive, while luteinizing hormone, follicle‑stimulating hormone, growth hormone, prolactin, adrenocorticotropic hormone, thyroid‑stimulating hormone, glial fibrillary acidic protein, S‑100, nestin and epithelial membrane antigen were negative, which were the main pathological features of neurocytomas. This is the fourth case of EVN located in the sellar region reported. The associated studies are also reviewed.
View Figures

Figure 1

Figure 2

View References

1 

Brat DJ, Scheithauer BW, Eberhart CG and Burger PC: Extraventricular neurocytomas: Pathologic features and clinical outcome. Am J Surg Pathol. 25:1252–1260. 2001. View Article : Google Scholar : PubMed/NCBI

2 

Sgouros S, Jackowski A and Carey MP: Central neurocytoma without intraventricular extension. Surg Neurol. 42:335–339. 1994. View Article : Google Scholar : PubMed/NCBI

3 

Sharma MC, Deb P, Sharma S and Sarkar C: Neurocytoma: A comprehensive review. Neurosurg Rev. 29:270–285. 2006. View Article : Google Scholar : PubMed/NCBI

4 

Ferreol E, Sawaya R and de Courten-Myers GM: Primary cerebral neuroblastoma (neurocytoma) in adults. J Neurooncol. 7:121–128. 1989. View Article : Google Scholar : PubMed/NCBI

5 

Yang GF, Wu SY, Zhang LJ, Lu GM, Tian W and Shah K: Imaging findings of extraventricular neurocytoma: Report of 3 cases and review of the literature. AJNR Am J Neuroradiol. 30:581–585. 2009. View Article : Google Scholar : PubMed/NCBI

6 

Wang Y, Tao R and Liu B: Response to: Extraventricular neurocytoma of the sellar region. Br J Neurosurg. 27:551–552. 2013. View Article : Google Scholar : PubMed/NCBI

7 

Aralasmak A and Karaali K: Nonenhancing hypovascular extraventricular neurocytoma. AJNR Am J Neuroradiol. 30:E117–E118. 2009. View Article : Google Scholar : PubMed/NCBI

8 

Ritz R, Roser F, Bornemann A, Hahn U and Freudenstein D: Extraventricular neurocytoma presenting with intratumoral hemorrhage. Clin Neuropathol. 24:101–105. 2005.PubMed/NCBI

9 

Ueda F, Suzuki M, Matsui O and Uchiyama N: Automated MR spectroscopy of intra- and extraventricular neurocytomas. Magn Reson Med Sci. 6:75–81. 2007. View Article : Google Scholar : PubMed/NCBI

10 

Zhu P, Yan F, Ma Y and Ao Q: Clinicopathological analysis of central and extraventricular neurocytoma: A report of 17 cases. J Huazhong Univ Sci Technolog Med Sci. 30:746–750. 2010. View Article : Google Scholar : PubMed/NCBI

11 

Myung JK, Cho HJ, Park CK, Chung CK, Choi SH, Kim SK and Park SH: Clinicopathological and genetic characteristics of extraventricular neurocytomas. Neuropathology. 33:111–121. 2013. View Article : Google Scholar : PubMed/NCBI

12 

Rades D, Fehlauer F, Lamszus K, Schild SE, Hagel C, Westphal M and Alberti W: Well-differentiated neurocytoma: What is the best available treatment? Neuro Oncol. 7:77–83. 2005. View Article : Google Scholar : PubMed/NCBI

13 

von Koch CS, Schmidt MH, Uyehara-Lock JH, Berger MS and Chang SM: The role of PCV chemotherapy in the treatment of central neurocytoma: Illustration of a case and review of the literature. Surg Neurol. 60:560–565. 2003. View Article : Google Scholar : PubMed/NCBI

Related Articles

  • Abstract
  • View
  • Download
  • Twitter
Copy and paste a formatted citation
Spandidos Publications style
Peng P, Chen F, Zhou D, Liu H and Li J: Neurocytoma of the pituitary gland: A case report and literature review. Biomed Rep 3: 301-303, 2015.
APA
Peng, P., Chen, F., Zhou, D., Liu, H., & Li, J. (2015). Neurocytoma of the pituitary gland: A case report and literature review. Biomedical Reports, 3, 301-303. https://doi.org/10.3892/br.2015.430
MLA
Peng, P., Chen, F., Zhou, D., Liu, H., Li, J."Neurocytoma of the pituitary gland: A case report and literature review". Biomedical Reports 3.3 (2015): 301-303.
Chicago
Peng, P., Chen, F., Zhou, D., Liu, H., Li, J."Neurocytoma of the pituitary gland: A case report and literature review". Biomedical Reports 3, no. 3 (2015): 301-303. https://doi.org/10.3892/br.2015.430
Copy and paste a formatted citation
x
Spandidos Publications style
Peng P, Chen F, Zhou D, Liu H and Li J: Neurocytoma of the pituitary gland: A case report and literature review. Biomed Rep 3: 301-303, 2015.
APA
Peng, P., Chen, F., Zhou, D., Liu, H., & Li, J. (2015). Neurocytoma of the pituitary gland: A case report and literature review. Biomedical Reports, 3, 301-303. https://doi.org/10.3892/br.2015.430
MLA
Peng, P., Chen, F., Zhou, D., Liu, H., Li, J."Neurocytoma of the pituitary gland: A case report and literature review". Biomedical Reports 3.3 (2015): 301-303.
Chicago
Peng, P., Chen, F., Zhou, D., Liu, H., Li, J."Neurocytoma of the pituitary gland: A case report and literature review". Biomedical Reports 3, no. 3 (2015): 301-303. https://doi.org/10.3892/br.2015.430
Follow us
  • Twitter
  • LinkedIn
  • Facebook
About
  • Spandidos Publications
  • Careers
  • Cookie Policy
  • Privacy Policy
How can we help?
  • Help
  • Live Chat
  • Contact
  • Email to our Support Team