Spandidos Publications Logo
  • About
    • About Spandidos
    • Aims and Scopes
    • Abstracting and Indexing
    • Editorial Policies
    • Reprints and Permissions
    • Job Opportunities
    • Terms and Conditions
    • Contact
  • Journals
    • All Journals
    • Oncology Letters
      • Oncology Letters
      • Information for Authors
      • Editorial Policies
      • Editorial Board
      • Aims and Scope
      • Abstracting and Indexing
      • Bibliographic Information
      • Archive
    • International Journal of Oncology
      • International Journal of Oncology
      • Information for Authors
      • Editorial Policies
      • Editorial Board
      • Aims and Scope
      • Abstracting and Indexing
      • Bibliographic Information
      • Archive
    • Molecular and Clinical Oncology
      • Molecular and Clinical Oncology
      • Information for Authors
      • Editorial Policies
      • Editorial Board
      • Aims and Scope
      • Abstracting and Indexing
      • Bibliographic Information
      • Archive
    • Experimental and Therapeutic Medicine
      • Experimental and Therapeutic Medicine
      • Information for Authors
      • Editorial Policies
      • Editorial Board
      • Aims and Scope
      • Abstracting and Indexing
      • Bibliographic Information
      • Archive
    • International Journal of Molecular Medicine
      • International Journal of Molecular Medicine
      • Information for Authors
      • Editorial Policies
      • Editorial Board
      • Aims and Scope
      • Abstracting and Indexing
      • Bibliographic Information
      • Archive
    • Biomedical Reports
      • Biomedical Reports
      • Information for Authors
      • Editorial Policies
      • Editorial Board
      • Aims and Scope
      • Abstracting and Indexing
      • Bibliographic Information
      • Archive
    • Oncology Reports
      • Oncology Reports
      • Information for Authors
      • Editorial Policies
      • Editorial Board
      • Aims and Scope
      • Abstracting and Indexing
      • Bibliographic Information
      • Archive
    • Molecular Medicine Reports
      • Molecular Medicine Reports
      • Information for Authors
      • Editorial Policies
      • Editorial Board
      • Aims and Scope
      • Abstracting and Indexing
      • Bibliographic Information
      • Archive
    • World Academy of Sciences Journal
      • World Academy of Sciences Journal
      • Information for Authors
      • Editorial Policies
      • Editorial Board
      • Aims and Scope
      • Abstracting and Indexing
      • Bibliographic Information
      • Archive
    • International Journal of Functional Nutrition
      • International Journal of Functional Nutrition
      • Information for Authors
      • Editorial Policies
      • Editorial Board
      • Aims and Scope
      • Abstracting and Indexing
      • Bibliographic Information
      • Archive
    • International Journal of Epigenetics
      • International Journal of Epigenetics
      • Information for Authors
      • Editorial Policies
      • Editorial Board
      • Aims and Scope
      • Abstracting and Indexing
      • Bibliographic Information
      • Archive
    • Medicine International
      • Medicine International
      • Information for Authors
      • Editorial Policies
      • Editorial Board
      • Aims and Scope
      • Abstracting and Indexing
      • Bibliographic Information
      • Archive
  • Articles
  • Information
    • Information for Authors
    • Information for Reviewers
    • Information for Librarians
    • Information for Advertisers
    • Conferences
  • Language Editing
Spandidos Publications Logo
  • About
    • About Spandidos
    • Aims and Scopes
    • Abstracting and Indexing
    • Editorial Policies
    • Reprints and Permissions
    • Job Opportunities
    • Terms and Conditions
    • Contact
  • Journals
    • All Journals
    • Biomedical Reports
      • Information for Authors
      • Editorial Policies
      • Editorial Board
      • Aims and Scope
      • Abstracting and Indexing
      • Bibliographic Information
      • Archive
    • Experimental and Therapeutic Medicine
      • Information for Authors
      • Editorial Policies
      • Editorial Board
      • Aims and Scope
      • Abstracting and Indexing
      • Bibliographic Information
      • Archive
    • International Journal of Epigenetics
      • Information for Authors
      • Editorial Policies
      • Editorial Board
      • Aims and Scope
      • Abstracting and Indexing
      • Bibliographic Information
      • Archive
    • International Journal of Functional Nutrition
      • Information for Authors
      • Editorial Policies
      • Editorial Board
      • Aims and Scope
      • Abstracting and Indexing
      • Bibliographic Information
      • Archive
    • International Journal of Molecular Medicine
      • Information for Authors
      • Editorial Policies
      • Editorial Board
      • Aims and Scope
      • Abstracting and Indexing
      • Bibliographic Information
      • Archive
    • International Journal of Oncology
      • Information for Authors
      • Editorial Policies
      • Editorial Board
      • Aims and Scope
      • Abstracting and Indexing
      • Bibliographic Information
      • Archive
    • Medicine International
      • Information for Authors
      • Editorial Policies
      • Editorial Board
      • Aims and Scope
      • Abstracting and Indexing
      • Bibliographic Information
      • Archive
    • Molecular and Clinical Oncology
      • Information for Authors
      • Editorial Policies
      • Editorial Board
      • Aims and Scope
      • Abstracting and Indexing
      • Bibliographic Information
      • Archive
    • Molecular Medicine Reports
      • Information for Authors
      • Editorial Policies
      • Editorial Board
      • Aims and Scope
      • Abstracting and Indexing
      • Bibliographic Information
      • Archive
    • Oncology Letters
      • Information for Authors
      • Editorial Policies
      • Editorial Board
      • Aims and Scope
      • Abstracting and Indexing
      • Bibliographic Information
      • Archive
    • Oncology Reports
      • Information for Authors
      • Editorial Policies
      • Editorial Board
      • Aims and Scope
      • Abstracting and Indexing
      • Bibliographic Information
      • Archive
    • World Academy of Sciences Journal
      • Information for Authors
      • Editorial Policies
      • Editorial Board
      • Aims and Scope
      • Abstracting and Indexing
      • Bibliographic Information
      • Archive
  • Articles
  • Information
    • For Authors
    • For Reviewers
    • For Librarians
    • For Advertisers
    • Conferences
  • Language Editing
Login Register Submit
  • This site uses cookies
  • You can change your cookie settings at any time by following the instructions in our Cookie Policy. To find out more, you may read our Privacy Policy.

    I agree
Search articles by DOI, keyword, author or affiliation
Search
Advanced Search
presentation
Biomedical Reports
Join Editorial Board Propose a Special Issue
Print ISSN: 2049-9434 Online ISSN: 2049-9442
Journal Cover
May-2015 Volume 3 Issue 3

Full Size Image

Sign up for eToc alerts
Recommend to Library

Journals

International Journal of Molecular Medicine

International Journal of Molecular Medicine

International Journal of Molecular Medicine is an international journal devoted to molecular mechanisms of human disease.

International Journal of Oncology

International Journal of Oncology

International Journal of Oncology is an international journal devoted to oncology research and cancer treatment.

Molecular Medicine Reports

Molecular Medicine Reports

Covers molecular medicine topics such as pharmacology, pathology, genetics, neuroscience, infectious diseases, molecular cardiology, and molecular surgery.

Oncology Reports

Oncology Reports

Oncology Reports is an international journal devoted to fundamental and applied research in Oncology.

Experimental and Therapeutic Medicine

Experimental and Therapeutic Medicine

Experimental and Therapeutic Medicine is an international journal devoted to laboratory and clinical medicine.

Oncology Letters

Oncology Letters

Oncology Letters is an international journal devoted to Experimental and Clinical Oncology.

Biomedical Reports

Biomedical Reports

Explores a wide range of biological and medical fields, including pharmacology, genetics, microbiology, neuroscience, and molecular cardiology.

Molecular and Clinical Oncology

Molecular and Clinical Oncology

International journal addressing all aspects of oncology research, from tumorigenesis and oncogenes to chemotherapy and metastasis.

World Academy of Sciences Journal

World Academy of Sciences Journal

Multidisciplinary open-access journal spanning biochemistry, genetics, neuroscience, environmental health, and synthetic biology.

International Journal of Functional Nutrition

International Journal of Functional Nutrition

Open-access journal combining biochemistry, pharmacology, immunology, and genetics to advance health through functional nutrition.

International Journal of Epigenetics

International Journal of Epigenetics

Publishes open-access research on using epigenetics to advance understanding and treatment of human disease.

Medicine International

Medicine International

An International Open Access Journal Devoted to General Medicine.

Journal Cover
May-2015 Volume 3 Issue 3

Full Size Image

Sign up for eToc alerts
Recommend to Library

  • Article
  • Citations
    • Cite This Article
    • Download Citation
    • Create Citation Alert
    • Remove Citation Alert
    • Cited By
  • Similar Articles
    • Related Articles (in Spandidos Publications)
    • Similar Articles (Google Scholar)
    • Similar Articles (PubMed)
  • Download PDF
  • Download XML
  • View XML
Article

Effects of Feijining Decoction on vascular endothelial growth factor protein expression and changes of T cell subsets in Lewis lung carcinoma‑bearing mice

  • Authors:
    • Lijiang Zhou
    • Yuzhen Pan
    • Yuqing Xing
    • Hong Gao
    • Xiaodong Xie
    • Dongfeng Yin
  • View Affiliations / Copyright

    Affiliations: Department of Oncology, Affiliated Hospital of Liaoning University of Traditional Chinese Medicine, Shenyang, Liaoning 110032, P.R. China, Department of Oncology, General Hospital of Shenyang Military Area Command, Shenyang, Liaoning 110840, P.R. China
  • Pages: 403-407
    |
    Published online on: February 18, 2015
       https://doi.org/10.3892/br.2015.432
  • Expand metrics +
Metrics: Total Views: 0 (Spandidos Publications: | PMC Statistics: )
Metrics: Total PDF Downloads: 0 (Spandidos Publications: | PMC Statistics: )
Cited By (CrossRef): 0 citations Loading Articles...

This article is mentioned in:



Abstract

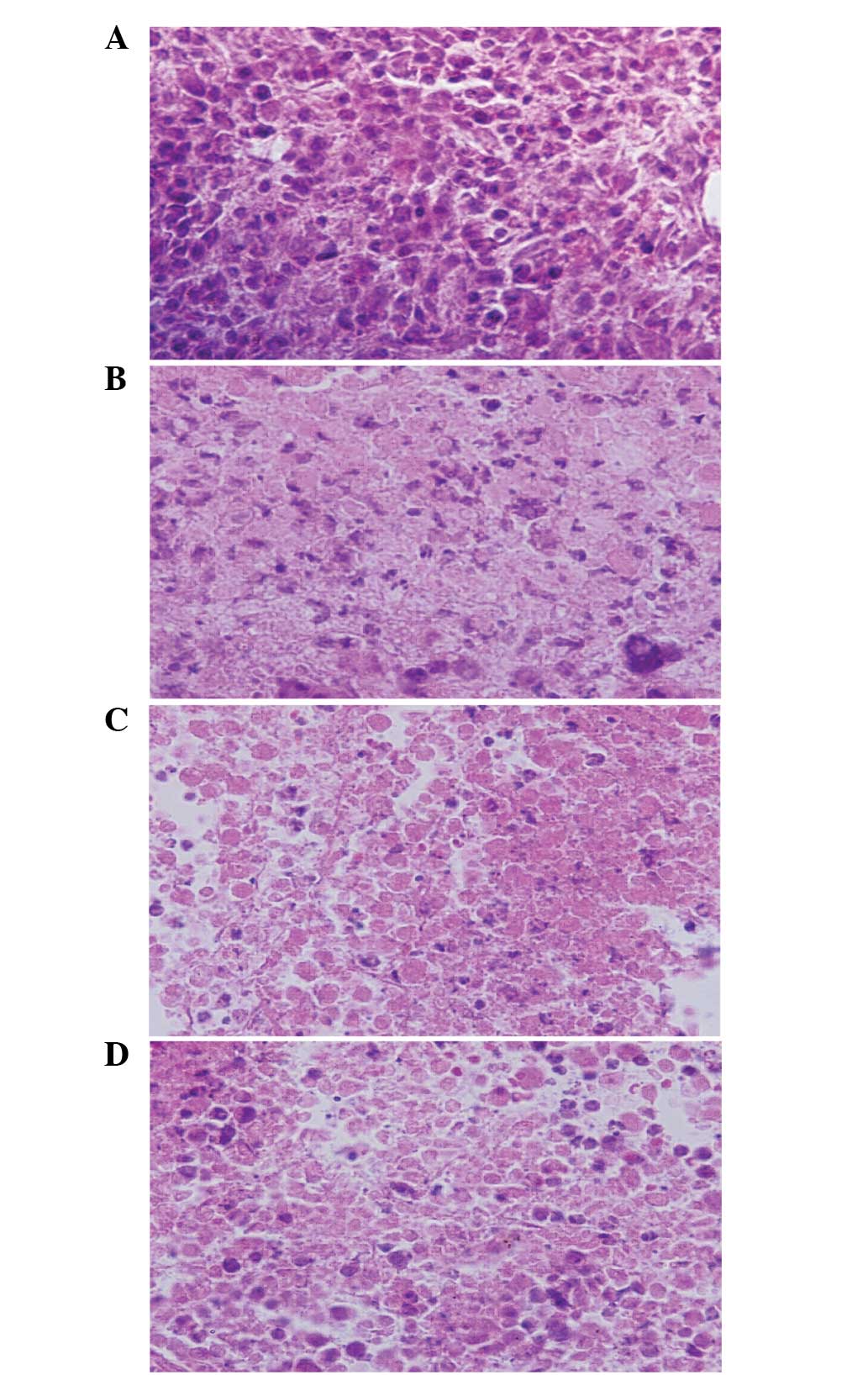
Angiogenesis is crucial for cancer growth and metastasis. T cells are also key members of the adaptive immunity against tumorigenesis. The aim of the present study was to observe the effects of Feijining Decoction (FJND) on vascular endothelial growth factor (VEGF) protein expression and T cell subsets [cluster of differentiation 4+(CD4+) and CD8+ T lymphocyte] in Lewis lung carcinoma (LLC)‑bearing mice. C57BL/6J mice were subcutaneously implanted with LLC cells. Forty carcinoma‑bearing mice were randomly assigned to four groups (10 animals/group). The control group (CG) were the untreated group, the cisplatinum (DDP) group (DG) mice were treated with DDP, the FJND group (FG) were treated with FJND and the FJND + DDP group (FDG) were treated with FJND and DDP. Western blot and flow cytometry were used to evaluate the VEGF protein expression of tumor tissue and T cell subsets of the spleen. Spontaneous activity in 5 min was observed by the photoelectric counting method. DDP + FJND (FDG group) markedly inhibited tumor growth compared to the DG mice. The protein expression of VEGF was significantly downregulated in the carcinoma of FG mice compared to CG mice. VEGF protein expression was significantly reduced in FDG compared to DG mice. In the FG mice, the splenic CD4+ and CD4+/CD8+ cells were significantly increased compared to the CG mice, and the splenic CD4+ cells in the FDG mice were significantly increased compared to the DG group. In conclusion, FJND can inhibit tumor growth by downregulating VEGF protein expression and improving the immune function.
View Figures

Figure 1

Figure 2

View References

1 

Ebos JM and Kerbel RS: Antiangiogenic therapy: impact on invasion, disease progression, and metastasis. Nat Rev Clin Oncol. 8:210–221. 2011. View Article : Google Scholar : PubMed/NCBI

2 

Ramlau R, Gorbunova V, Ciuleanu TE, et al: Aflibercept and Docetaxel versus Docetaxel alone after platinum failure in patients with advanced or metastatic non-small-cell lung cancer: a randomized, controlled phase III trial. J Clin Oncol. 30:3640–3647. 2012. View Article : Google Scholar : PubMed/NCBI

3 

Cook KM and Figg WD: Angiogenesis inhibitors: current strategies and future prospects. CA Cancer J Clin. 60:222–243. 2010. View Article : Google Scholar : PubMed/NCBI

4 

Zhang W and Yin DF: Effects of Feijining Decoction on apoptosis down-regulation of expression of VEGF in human lung adenocarcinoma cell line A549. Xian Dai Zhong Liu Xue Za Zhi. 21:330–332. 2007.[(In Chinese)].

5 

Terme M1, Pernot S, Marcheteau E, et al: VEGFA-VEGFR pathway blockade inhibits tumor-induced regulatory T-cell proliferation in colorectal cancer. Cancer Res. 73:539–549. 2007. View Article : Google Scholar

6 

Hamzah J, Jugold M, Kiessling F, et al: Vascular normalization in Rgs5-deficient tumours promotes immune destruction. Nature. 453:410–414. 2008. View Article : Google Scholar : PubMed/NCBI

7 

Barton DL, Soori GS, Bauer BA, et al: Pilot study of Panax quinquefolius (American ginseng) to improve cancer-related fatigue: a randomized, double-blind, dose-finding evaluation: NCCTG trial N03CA. Support Care Cancer. 18:179–187. 2010. View Article : Google Scholar : PubMed/NCBI

8 

Suh SO, Kroh M, Kim NR, Joh YG and Cho MY: Effects of red ginseng upon postoperative immunity and survival in patients with stage III gastric cancer. Am J Chin Med. 30:483–494. 2002. View Article : Google Scholar : PubMed/NCBI

9 

Chen QJ, Zhang MZ and Wang LX: Gensenoside Rg3 inhibits hypoxia-induced VEGF expression in human cancer cells. Cell Physiol Biochem. 26:849–858. 2010. View Article : Google Scholar : PubMed/NCBI

10 

Lü JM1, Yao Q and Chen C: Ginseng compounds: an update on their molecular mechanisms and medical applications. Curr Vasc Pharmacol. 7:293–302. 2009. View Article : Google Scholar : PubMed/NCBI

11 

Zhang Y and Li PP: Evaluation of estrogenic potential of Shu-Gan-Liang-Xue Decoction by dual-luciferase reporter based bioluminescent measurements in vitro. J Ethnopharmacol. 126:345–349. 2009. View Article : Google Scholar : PubMed/NCBI

12 

Zhang Y1 and Li PP: Shu-Gan-Liang-Xue Decoction, a Chinese herbal formula, down-regulates the expression of steroid sulfatase genes in human breast carcinoma MCF-7 cells. J Ethnopharmacol. 127:620–624. 2010. View Article : Google Scholar : PubMed/NCBI

13 

Zhang W and Yin DF: Effects of Feijining Decoction on apoptosis down-regulation of expression of VEGF in human lung adenocarcinoma cell line A549. Xian Dai Zhong Liu Xue Za Zhi. 21:330–332. 2007.[(In Chinese)].

14 

Folkman J: Tumor angiogenesis: Therapeutic implications. N Engl J Med. 285:1182–1186. 1971. View Article : Google Scholar : PubMed/NCBI

15 

Zhao J, Jiang P and Zhang W: Molecular networks for the study of TCM pharmacology. Brief Bioinform. 11:417–430. 2010. View Article : Google Scholar : PubMed/NCBI

16 

Cao Z, Lin W, Huang Z, Chen X, Zhao J, Zheng L, Ye H, Liu Z, Liao L and Du J: Jiedu Xiaozheng Yin, a Chinese herbal formula, inhibits tumor angiogenesis via downregulation of VEGF-A and VEGFR-2 expression in vivo and in vitro. Oncol Rep. 29:1080–1086. 2013.PubMed/NCBI

17 

Wang W, Zhao Y, Rayburn ER, Hill DL, Wang H and Zhang R: In vitro anti-cancer activity and structure-activity relationships of natural products isolated from fruits of Panaxginseng. Cancer Chemother Pharmacol. 59:589–601. 2007. View Article : Google Scholar : PubMed/NCBI

18 

Kanayama H, Adachi N and Togami M: A new antitumor polysaccharide from the mycelia of Poria cocos wolf. Chem Pharm Bull (Tokyo). 31:1115–1118. 1983. View Article : Google Scholar : PubMed/NCBI

19 

Peng Y, Sun M, Di Y, et al: Anti-tumor effect of the ethanol extract of Scutellaria baicalensis on the mice bearing U14 cervical cancer. Afr J Biotechnol. 11:6542–6549. 2012.

20 

Lin J, Wei L, Xu W, Hong Z, Liu X and Peng J: Effect of Hedyotis Diffusa Willd extract on tumor angiogenesis. Mol Med Rep. 4:1283–1288. 2011.PubMed/NCBI

21 

Lin J, Chen Y, Wei L, Chen X, Xu W, Hong Z, Sferra TJ and Peng J: Hedyotis Diffusa Willd extract induces apoptosis via activation of the mitochondrion-dependent pathway in human colon carcinoma cells. Int J Oncol. 37:1331–1338. 2010.PubMed/NCBI

22 

Chen XZ, Cao ZY, Chen TS, Zhang YQ, Liu ZZ, Su YT, Liao LM and Du J: Water extract of Hedyotis Diffusa Willd suppresses proliferation of human HepG2 cells and potentiates the anticancer efficacy of low-dose 5-fluorouracil by inhibiting the CDK2-E2F1 pathway. Oncol Rep. 28:742–748. 2012.PubMed/NCBI

23 

Zhong ZF, Hoi PM, Wu GS, Xu ZT, Tan W, Chen XP, Cui L, Wu T and Wang YT: Anti-angiogenic effect of furanodiene on HUVECs in vitro and on zebrafish in vivo. J Ethnopharmacol. 141:721–727. 2012. View Article : Google Scholar : PubMed/NCBI

24 

Chen W, Lu Y, Wu J, Gao M, Wang A and Xu B: Beta-elemene inhibits melanoma growth and metastasis via suppressing vascular endothelial growth factor-mediated angiogenesis. Cancer Chemother Pharmacol. 67:799–808. 2011. View Article : Google Scholar : PubMed/NCBI

25 

Mehnert A and Koch U: Prevalence of acute and post-traumatic stress disorder and comorbid mental disorders in breast cancer patients during primary cancer care: A prospective study. Psychooncology. 16:181–188. 2007. View Article : Google Scholar : PubMed/NCBI

26 

Maneeton B, Maneeton N, Reungyos J, Intaprasert S, Leelarphat S and Thongprasert S: Prevalence and relationship between major depressive disorder and lung cancer: A cross-sectional study. Onco Targets Ther. 7:815–821. 2014. View Article : Google Scholar : PubMed/NCBI

27 

Arrieta O, Angulo LP, Nunez-Valencia C, Dorantes-Gallareta Y, Macedo EO, Martinez-Lopez D, Alvarado S, Corona-Cruz JF and Onate-Ocaña LF: Association of depression and anxiety on quality of life, treatment adherence, and prognosis in patients with advanced non-small cell lung cancer. Ann Surg Oncol. 20:1941–1948. 2013. View Article : Google Scholar : PubMed/NCBI

28 

Piet J, Würtzen H and Zachariae R: The effect of mindfulness-based therapy on symptoms of anxiety and depression in adult cancer patients and survivors: A systematic review and meta-analysis. J Consult Clin Psychol. 80:1007–1020. 2012. View Article : Google Scholar : PubMed/NCBI

29 

Honggang Z, Bingkui P, Yongming Z, et al: Effect of Fei Liu Ping Ointment and its modified formula on dendritic cell. Beijing Zhong Yi Yao Da Xue Xue Bao. 30:525–527. 2007.[(In Chinese)].

Related Articles

  • Abstract
  • View
  • Download
  • Twitter
Copy and paste a formatted citation
Spandidos Publications style
Zhou L, Pan Y, Xing Y, Gao H, Xie X and Yin D: Effects of Feijining Decoction on vascular endothelial growth factor protein expression and changes of T cell subsets in Lewis lung carcinoma‑bearing mice. Biomed Rep 3: 403-407, 2015.
APA
Zhou, L., Pan, Y., Xing, Y., Gao, H., Xie, X., & Yin, D. (2015). Effects of Feijining Decoction on vascular endothelial growth factor protein expression and changes of T cell subsets in Lewis lung carcinoma‑bearing mice. Biomedical Reports, 3, 403-407. https://doi.org/10.3892/br.2015.432
MLA
Zhou, L., Pan, Y., Xing, Y., Gao, H., Xie, X., Yin, D."Effects of Feijining Decoction on vascular endothelial growth factor protein expression and changes of T cell subsets in Lewis lung carcinoma‑bearing mice". Biomedical Reports 3.3 (2015): 403-407.
Chicago
Zhou, L., Pan, Y., Xing, Y., Gao, H., Xie, X., Yin, D."Effects of Feijining Decoction on vascular endothelial growth factor protein expression and changes of T cell subsets in Lewis lung carcinoma‑bearing mice". Biomedical Reports 3, no. 3 (2015): 403-407. https://doi.org/10.3892/br.2015.432
Copy and paste a formatted citation
x
Spandidos Publications style
Zhou L, Pan Y, Xing Y, Gao H, Xie X and Yin D: Effects of Feijining Decoction on vascular endothelial growth factor protein expression and changes of T cell subsets in Lewis lung carcinoma‑bearing mice. Biomed Rep 3: 403-407, 2015.
APA
Zhou, L., Pan, Y., Xing, Y., Gao, H., Xie, X., & Yin, D. (2015). Effects of Feijining Decoction on vascular endothelial growth factor protein expression and changes of T cell subsets in Lewis lung carcinoma‑bearing mice. Biomedical Reports, 3, 403-407. https://doi.org/10.3892/br.2015.432
MLA
Zhou, L., Pan, Y., Xing, Y., Gao, H., Xie, X., Yin, D."Effects of Feijining Decoction on vascular endothelial growth factor protein expression and changes of T cell subsets in Lewis lung carcinoma‑bearing mice". Biomedical Reports 3.3 (2015): 403-407.
Chicago
Zhou, L., Pan, Y., Xing, Y., Gao, H., Xie, X., Yin, D."Effects of Feijining Decoction on vascular endothelial growth factor protein expression and changes of T cell subsets in Lewis lung carcinoma‑bearing mice". Biomedical Reports 3, no. 3 (2015): 403-407. https://doi.org/10.3892/br.2015.432
Follow us
  • Twitter
  • LinkedIn
  • Facebook
About
  • Spandidos Publications
  • Careers
  • Cookie Policy
  • Privacy Policy
How can we help?
  • Help
  • Live Chat
  • Contact
  • Email to our Support Team