Spandidos Publications Logo
  • About
    • About Spandidos
    • Aims and Scopes
    • Abstracting and Indexing
    • Editorial Policies
    • Reprints and Permissions
    • Job Opportunities
    • Terms and Conditions
    • Contact
  • Journals
    • All Journals
    • Oncology Letters
      • Oncology Letters
      • Information for Authors
      • Editorial Policies
      • Editorial Board
      • Aims and Scope
      • Abstracting and Indexing
      • Bibliographic Information
      • Archive
    • International Journal of Oncology
      • International Journal of Oncology
      • Information for Authors
      • Editorial Policies
      • Editorial Board
      • Aims and Scope
      • Abstracting and Indexing
      • Bibliographic Information
      • Archive
    • Molecular and Clinical Oncology
      • Molecular and Clinical Oncology
      • Information for Authors
      • Editorial Policies
      • Editorial Board
      • Aims and Scope
      • Abstracting and Indexing
      • Bibliographic Information
      • Archive
    • Experimental and Therapeutic Medicine
      • Experimental and Therapeutic Medicine
      • Information for Authors
      • Editorial Policies
      • Editorial Board
      • Aims and Scope
      • Abstracting and Indexing
      • Bibliographic Information
      • Archive
    • International Journal of Molecular Medicine
      • International Journal of Molecular Medicine
      • Information for Authors
      • Editorial Policies
      • Editorial Board
      • Aims and Scope
      • Abstracting and Indexing
      • Bibliographic Information
      • Archive
    • Biomedical Reports
      • Biomedical Reports
      • Information for Authors
      • Editorial Policies
      • Editorial Board
      • Aims and Scope
      • Abstracting and Indexing
      • Bibliographic Information
      • Archive
    • Oncology Reports
      • Oncology Reports
      • Information for Authors
      • Editorial Policies
      • Editorial Board
      • Aims and Scope
      • Abstracting and Indexing
      • Bibliographic Information
      • Archive
    • Molecular Medicine Reports
      • Molecular Medicine Reports
      • Information for Authors
      • Editorial Policies
      • Editorial Board
      • Aims and Scope
      • Abstracting and Indexing
      • Bibliographic Information
      • Archive
    • World Academy of Sciences Journal
      • World Academy of Sciences Journal
      • Information for Authors
      • Editorial Policies
      • Editorial Board
      • Aims and Scope
      • Abstracting and Indexing
      • Bibliographic Information
      • Archive
    • International Journal of Functional Nutrition
      • International Journal of Functional Nutrition
      • Information for Authors
      • Editorial Policies
      • Editorial Board
      • Aims and Scope
      • Abstracting and Indexing
      • Bibliographic Information
      • Archive
    • International Journal of Epigenetics
      • International Journal of Epigenetics
      • Information for Authors
      • Editorial Policies
      • Editorial Board
      • Aims and Scope
      • Abstracting and Indexing
      • Bibliographic Information
      • Archive
    • Medicine International
      • Medicine International
      • Information for Authors
      • Editorial Policies
      • Editorial Board
      • Aims and Scope
      • Abstracting and Indexing
      • Bibliographic Information
      • Archive
  • Articles
  • Information
    • Information for Authors
    • Information for Reviewers
    • Information for Librarians
    • Information for Advertisers
    • Conferences
  • Language Editing
Spandidos Publications Logo
  • About
    • About Spandidos
    • Aims and Scopes
    • Abstracting and Indexing
    • Editorial Policies
    • Reprints and Permissions
    • Job Opportunities
    • Terms and Conditions
    • Contact
  • Journals
    • All Journals
    • Biomedical Reports
      • Information for Authors
      • Editorial Policies
      • Editorial Board
      • Aims and Scope
      • Abstracting and Indexing
      • Bibliographic Information
      • Archive
    • Experimental and Therapeutic Medicine
      • Information for Authors
      • Editorial Policies
      • Editorial Board
      • Aims and Scope
      • Abstracting and Indexing
      • Bibliographic Information
      • Archive
    • International Journal of Epigenetics
      • Information for Authors
      • Editorial Policies
      • Editorial Board
      • Aims and Scope
      • Abstracting and Indexing
      • Bibliographic Information
      • Archive
    • International Journal of Functional Nutrition
      • Information for Authors
      • Editorial Policies
      • Editorial Board
      • Aims and Scope
      • Abstracting and Indexing
      • Bibliographic Information
      • Archive
    • International Journal of Molecular Medicine
      • Information for Authors
      • Editorial Policies
      • Editorial Board
      • Aims and Scope
      • Abstracting and Indexing
      • Bibliographic Information
      • Archive
    • International Journal of Oncology
      • Information for Authors
      • Editorial Policies
      • Editorial Board
      • Aims and Scope
      • Abstracting and Indexing
      • Bibliographic Information
      • Archive
    • Medicine International
      • Information for Authors
      • Editorial Policies
      • Editorial Board
      • Aims and Scope
      • Abstracting and Indexing
      • Bibliographic Information
      • Archive
    • Molecular and Clinical Oncology
      • Information for Authors
      • Editorial Policies
      • Editorial Board
      • Aims and Scope
      • Abstracting and Indexing
      • Bibliographic Information
      • Archive
    • Molecular Medicine Reports
      • Information for Authors
      • Editorial Policies
      • Editorial Board
      • Aims and Scope
      • Abstracting and Indexing
      • Bibliographic Information
      • Archive
    • Oncology Letters
      • Information for Authors
      • Editorial Policies
      • Editorial Board
      • Aims and Scope
      • Abstracting and Indexing
      • Bibliographic Information
      • Archive
    • Oncology Reports
      • Information for Authors
      • Editorial Policies
      • Editorial Board
      • Aims and Scope
      • Abstracting and Indexing
      • Bibliographic Information
      • Archive
    • World Academy of Sciences Journal
      • Information for Authors
      • Editorial Policies
      • Editorial Board
      • Aims and Scope
      • Abstracting and Indexing
      • Bibliographic Information
      • Archive
  • Articles
  • Information
    • For Authors
    • For Reviewers
    • For Librarians
    • For Advertisers
    • Conferences
  • Language Editing
Login Register Submit
  • This site uses cookies
  • You can change your cookie settings at any time by following the instructions in our Cookie Policy. To find out more, you may read our Privacy Policy.

    I agree
Search articles by DOI, keyword, author or affiliation
Search
Advanced Search
presentation
Biomedical Reports
Join Editorial Board Propose a Special Issue
Print ISSN: 2049-9434 Online ISSN: 2049-9442
Journal Cover
June-2016 Volume 4 Issue 6

Full Size Image

Sign up for eToc alerts
Recommend to Library

Journals

International Journal of Molecular Medicine

International Journal of Molecular Medicine

International Journal of Molecular Medicine is an international journal devoted to molecular mechanisms of human disease.

International Journal of Oncology

International Journal of Oncology

International Journal of Oncology is an international journal devoted to oncology research and cancer treatment.

Molecular Medicine Reports

Molecular Medicine Reports

Covers molecular medicine topics such as pharmacology, pathology, genetics, neuroscience, infectious diseases, molecular cardiology, and molecular surgery.

Oncology Reports

Oncology Reports

Oncology Reports is an international journal devoted to fundamental and applied research in Oncology.

Experimental and Therapeutic Medicine

Experimental and Therapeutic Medicine

Experimental and Therapeutic Medicine is an international journal devoted to laboratory and clinical medicine.

Oncology Letters

Oncology Letters

Oncology Letters is an international journal devoted to Experimental and Clinical Oncology.

Biomedical Reports

Biomedical Reports

Explores a wide range of biological and medical fields, including pharmacology, genetics, microbiology, neuroscience, and molecular cardiology.

Molecular and Clinical Oncology

Molecular and Clinical Oncology

International journal addressing all aspects of oncology research, from tumorigenesis and oncogenes to chemotherapy and metastasis.

World Academy of Sciences Journal

World Academy of Sciences Journal

Multidisciplinary open-access journal spanning biochemistry, genetics, neuroscience, environmental health, and synthetic biology.

International Journal of Functional Nutrition

International Journal of Functional Nutrition

Open-access journal combining biochemistry, pharmacology, immunology, and genetics to advance health through functional nutrition.

International Journal of Epigenetics

International Journal of Epigenetics

Publishes open-access research on using epigenetics to advance understanding and treatment of human disease.

Medicine International

Medicine International

An International Open Access Journal Devoted to General Medicine.

Journal Cover
June-2016 Volume 4 Issue 6

Full Size Image

Sign up for eToc alerts
Recommend to Library

  • Article
  • Citations
    • Cite This Article
    • Download Citation
    • Create Citation Alert
    • Remove Citation Alert
    • Cited By
  • Similar Articles
    • Related Articles (in Spandidos Publications)
    • Similar Articles (Google Scholar)
    • Similar Articles (PubMed)
  • Download PDF
  • Download XML
  • View XML
Review Open Access

Interaction between diet and gastrointestinal endocrine cells (Review)

  • Authors:
    • Magdy El‑Salhy
    • Tarek Mazzawi
    • Trygve Hausken
    • Jan Gunnar Hatlebakk
  • View Affiliations / Copyright

    Affiliations: Section for Gastroenterology, Department of Medicine, Stord Helse‑Fonna Hospital, 5409 Stord, Norway, Section for Gastroenterology, Department of Clinical Medicine, University of Bergen, 5020 Bergen, Norway
    Copyright: © El‑Salhy et al. This is an open access article distributed under the terms of Creative Commons Attribution License.
  • Pages: 651-656
    |
    Published online on: April 12, 2016
       https://doi.org/10.3892/br.2016.649
  • Expand metrics +
Metrics: Total Views: 0 (Spandidos Publications: | PMC Statistics: )
Metrics: Total PDF Downloads: 0 (Spandidos Publications: | PMC Statistics: )
Cited By (CrossRef): 0 citations Loading Articles...

This article is mentioned in:


Abstract

The gastrointestinal endocrine cells are essential for life. They regulate the gastrointestinal motility, secretion, visceral sensitivity, absorption, local immune defense, cell proliferation and appetite. These cells act as sensory cells with specialized microvilli that project into the lumen that sense the gut contents (mostly nutrients and/or bacteria byproducts), and respond to luminal stimuli by releasing hormones into the lamina propria. These released hormones exert their actions by entering the circulating blood and reaching distant targets (endocrine mode), nearby structures (paracrine mode) or via afferent and efferent synaptic transmission. The mature intestinal endocrine cells are capable of expressing several hormones. A change in diet not only affects the release of gastrointestinal hormones, but also alters the densities of the gut endocrine cells. The interaction between ingested foodstuffs and the gastrointestinal endocrine cells can be utilized for the clinical management of gastrointestinal and metabolic diseases, such as irritable bowel syndrome, obesity and diabetes.

Introduction

An intake of nutrients is essential for maintaining life, as they provide energy to the body, and also trigger other important body functions. The interaction between ingested foodstuffs and the gastrointestinal endocrine cells is a new emerging concept (1,2). Understanding this interaction is not only important for understanding the normal physiology and the role of ingested nutrients in gastrointestinal disorders and diseases, but also for managing certain gastrointestinal disorders (3–6).

New data on the interaction between ingested nutrients and the gastrointestinal endocrine cells obtained from basic science and clinical research have accumulated in the last few years. The present review aimed to interpret the newly gained knowledge so as to understand the role of this interaction.

Gastrointestinal endocrine cells

General

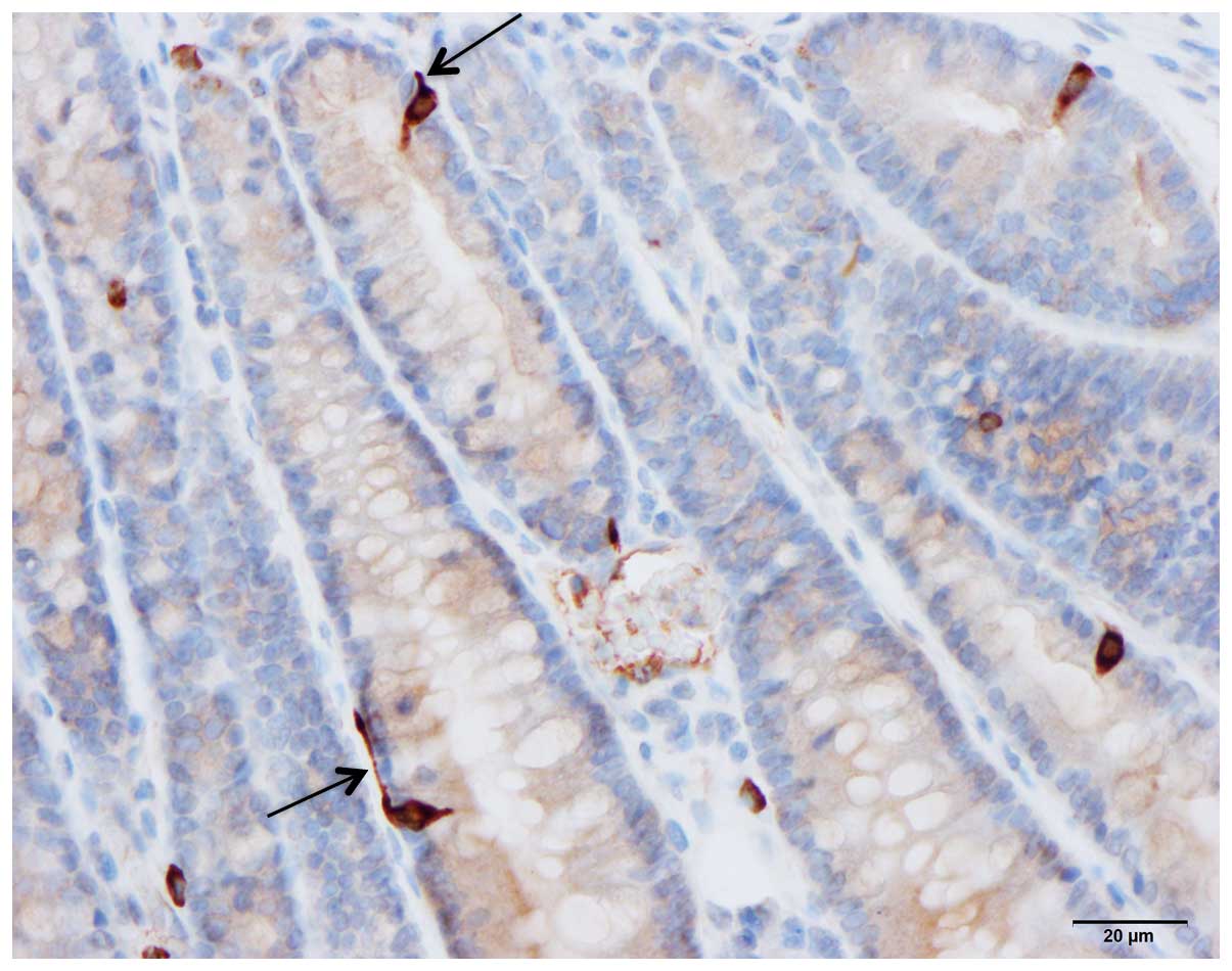
The gastrointestinal endocrine cells are scattered between the mucosal epithelial cells facing the intestinal lumen (Fig. 1) (7,8). There are ≥10 types of endocrine cell, and they are found in the stomach and the small and large intestines (8). Different segments of the gastrointestinal tract contain several different populations of gut endocrine cells (Fig. 2). Certain types of endocrine cells are located only in specific areas of the gastrointestinal tract. For example, serotonin- and somatostatin-secreting cells occur in the stomach and small and large intestines, while those producing ghrelin and gastrin are found only in the stomach, those producing secretin, cholecystokinin, gastric inhibitory peptide (GIP) and motilin are found only in the upper small intestine, and those producing polypeptide YY (PYY), pancreatic polypeptide and oxyntomodulin are located only in the lower small intestine and large intestine (7,9–11). The densities of these cells vary in different sections of the gastrointestinal tract, with the density being highest in the duodenum (12–16) (Fig. 3). The gastrointestinal endocrine cells regulate gastrointestinal motility, secretion, absorption, visceral sensitivity, local immune defence, cell proliferation and appetite (7,17–31). These endocrine cells interact with each other and also with the enteric nervous system, and the afferent and efferent nerve fibers of the autonomic nervous system and the central nervous system (CNS) (7,18,22,32). Depletion of gastrointestinal endocrine cells as in congenital malabsorptive diarrhea caused by mutant neurogenin-3 (33), or complete loss of these cells in mutant mice with ablation of the transcript factor neurogenin-3 (34) show that the gastrointestinal endocrine cells are essential for life.

Figure 1.

Gastrointestinal endocrine cells are scattered between the epithelial cells lining the gastrointestinal lumen (black arrows). A basal cytoplasmic process can occasionally be observed (red arrow). Chromogranin A cells in human duodenum.

Figure 2.

Distribution of different gastrointestinal endocrine cells in the gastrointestinal tract.

Figure 3.

Densities of endocrine cells in different segments of the gastrointestinal tract as detected by chromogranin A. These segments were immunostained using the same method and the same antibody, and were quantified in the same way in the same laboratory by a single person (12–16).

Immunohistochemical studies have shown that two hormones can be colocalized in the same endocrine cell type, such as glucagon-like peptide-1 and GIP in the small intestine as well as PYY and oxyntomodulin in the large intestine (34–38). Recent studies have further found that mature intestinal endocrine cells are capable of expressing several hormones (39,40).

Gastrointestinal endocrine cells as sensory cells

The gastrointestinal endocrine cells have specialized microvilli that project into the lumen and function as sensors of the gut contents (mostly nutrients and/or bacteria byproducts), and respond to luminal stimuli by releasing their hormones into the lamina propria (41–63). The gut intraluminal contents of carbohydrates, proteins and fats trigger the release of different signaling substances (such as hormones) from the gut endocrine cells (Table I) (41–53).

Table I.

Hormones released from the gastrointestinal endocrine cells depending on the gastrointestinal luminal contents of carbohydrates, proteins and fats.

Table I.

Hormones released from the gastrointestinal endocrine cells depending on the gastrointestinal luminal contents of carbohydrates, proteins and fats.

Gastrointestinal nutrients

ProcessCarbohydratesProteinsFats
Hormones releasedGastric inhibitory polypeptide and oxyntomodulinPancreatic polypeptide, neuropeptide Y, motilin, ghrelin, and cholecystokinin (CCK)Peptide YY, oxyntomodulin, motilin, ghrelin, and CCK
Mode of action of gastrointestinal endocrine cells

The signaling substances (hormones) released from the gastrointestinal endocrine cells may exert their actions locally on nearby cells or neurons (paracrine mode) or by entering the circulating blood and reaching distant targets (endocrine mode) (64–67).

The gastrointestinal endocrine cells possess a basal cytoplasmic process, which is believed to facilitate the paracrine mode of action (Figs. 4 and 5) (68–72). This cytoplasmic process extends ≤70 µm, compared with the base of the endocrine cells being only 10 µm in diameter (70). This process has certain similarities to neuronal axons, and has been named a neuropod (70, 73–75). The neuropod has other axon-like characteristics, such as containing neurofilaments, being escorted by enteric glia cells, and expressing receptors for neurotrophins (74). Furthermore, gut endocrine cells have small clear synaptic vesicles, express several genes encoding for presynaptic proteins (synapsin 1, piccolo, bassoon, MUNC13B, regulating synaptic membrane exocytosis 2, latrophilin and transsynaptic neurexin), and also express postsynaptic genes (transsynaptic neuroligins 2 and 3, homer 3 and postsynaptic density 95) (75). Based on these data, it was concluded that the gut endocrine cells have the necessary elements for afferent and efferent synaptic transmission (75). Therefore, it appears that the gastrointestinal endocrine cells exert their effects via three modes of action: Endocrine, paracrine and synaptic (Fig. 6).

Figure 4.

Human duodenal secretin cells. Some of these cells possess a basal cytoplasmic process parallel to the basement membrane (arrow).

Figure 5.

Polypeptide YY cells in the colon of a rat. These cells possess a cytoplasmic process (arrow) similar to that observed in the human small intestine.

Figure 6.

Gastrointestinal endocrine cells may exert their effects via three modes of action: 1, By entering the circulating blood and reaching distant targets (endocrine mode); 2, by acting locally on nearby structures (paracrine mode); or 3, via synaptic activity.

The recent findings of gastrointestinal endocrine cells exhibiting endocrine and neuron-like characteristics support and revive the old hypothesis on the evolution of the neuroendocrine system of the gut (76). The observation that the mammalian gastrointestinal hormonal peptides occur in the CNS, but not in the gut of invertebrates (77–79), led to the hypothesis that the gastrointestinal endocrine cells of vertebrates originated in the nervous system of a common ancestor, and migrated during a later stage of evolution into the gut as scattered endocrine cells (76).

Interaction between diet and gastrointestinal cells

As aforementioned, the composition of the diet with different proportions of carbohydrates, proteins and fats is a trigger for the release of different gut hormones into the lamina propria. Furthermore, the ingested foodstuffs act as prebiotics for the intestinal microbiota, and the byproducts of the bacteria trigger also the release of hormones from the gut endocrine cells.

It has been shown recently that a change in diet is accompanied by a change in the density of gastrointestinal cells (3–6). This could be due to an ingested foodstuff acting as a prebiotic for the intestinal bacteria with the associated bacterial byproducts. These bacterial byproducts may act on the stem cells and/or differentiation progenitors, resulting in changes in the stem cell clonogenic activity and/or differentiation progeny. Alternatively, these bacterial byproducts could act on mature gastrointestinal cells to favor the expression of specific hormones (Fig. 7). Thus, the change in the density of a certain endocrine cell type could be caused by switching to the expression of a different hormone.

Figure 7.

Schematic illustration of the possible ways by which a change in diet could affect the density of gastrointestinal cells.

Conclusion

The diet is important for regulating the functions of gastrointestinal endocrine cells. It not only regulates the release of hormones from these cells, but also affects their densities. The interaction between nutrients and gastrointestinal endocrine cells could be useful for the clinical management of several diseases, such as irritable bowel syndrome, obesity and diabetes (17,80–85).

References

1 

El-Salhy M, Gilja OH, Gundersen D, Hatlebakk JG and Hausken T: Interaction between ingested nutrients and gut endocrine cells in patients with irritable bowel syndrome (Review). Int J Mol Med. 34:363–371. 2014.PubMed/NCBI

2 

Mittermaier C, Dejaco C, Waldhoer T, Oefferlbauer-Ernst A, Miehsler W, Beier M, Tillinger W, Gangl A and Moser G: Impact of depressive mood on relapse in patients with inflammatory bowel disease: A prospective 18-month follow-up study. Psychosom Med. 66:79–84. 2004. View Article : Google Scholar : PubMed/NCBI

3 

Mazzawi T, Gundersen D, Hausken T and El-Salhy M: Increased gastric chromogranin A cell density following changes to diets of patients with irritable bowel syndrome. Mol Med Rep. 10:2322–2326. 2014.PubMed/NCBI

4 

Mazzawi T, Gundersen D, Hausken T and El-Salhy M: Increased chromogranin A cell density in the large intestine of patients with irritable bowel syndrome after receiving dietary guidance. Gastroenterol Res Pract. 2015:8238972015. View Article : Google Scholar : PubMed/NCBI

5 

Mazzawi T, Hausken T, Gundersen D and El-Salhy M: Effect of dietary management on the gastric endocrine cells in patients with irritable bowel syndrome. Eur J Clin Nutr. 69:519–524. 2014. View Article : Google Scholar : PubMed/NCBI

6 

Mazzawi T, Hausken T, Gundersen D and El-Salhy M: Normalization of large intestinal endocrine cells following dietary management in patients with irritable bowel syndrome. Eur J Clin Nutr. 70:175–178. 2016. View Article : Google Scholar : PubMed/NCBI

7 

El-Salhy M, Seim I, Chopin L, Gundersen D, Hatlebakk JG and Hausken T: Irritable bowel syndrome: The role of gut neuroendocrine peptides. Front Biosci (Elite Ed). 4:2783–2800. 2012. View Article : Google Scholar : PubMed/NCBI

8 

El-Salhy M, Gundersen D, Hatlebakk JG and Hausken T: Irritable bowel syndrome: diagnosis, pathogenesis and treatment options. Nova Science Publishers, Inc. New York, NY: 2012.

9 

May CL and Kaestner KH: Gut endocrine cell development. Mol Cell Endocrinol. 323:70–75. 2010. View Article : Google Scholar : PubMed/NCBI

10 

Gunawardene AR, Corfe BM and Staton CA: Classification and functions of enteroendocrine cells of the lower gastrointestinal tract. Int J Exp Pathol. 92:219–231. 2011. View Article : Google Scholar : PubMed/NCBI

11 

El-Salhy M, Grimelius L, Wilander E, Ryberg B, Terenius L, Lundberg JM and Tatemoto K: Immunocytochemical identification of polypeptide YY (PYY) cells in the human gastrointestinal tract. Histochemistry. 77:15–23. 1983. View Article : Google Scholar : PubMed/NCBI

12 

El-Salhy M, Gilja OH, Gundersen D, Hatlebakk JG and Hausken T: Duodenal chromogranin a cell density as a biomarker for the diagnosis of irritable bowel syndrome. Gastroenterol Res Pract. 2014:4628562014. View Article : Google Scholar : PubMed/NCBI

13 

El-Salhy M, Gilja OH and Hausken T: Chromogranin A cells in the stomachs of patients with sporadic irritable bowel syndrome. Mol Med Rep. 10:1753–1757. 2014.PubMed/NCBI

14 

El-Salhy M, Mazzawi T, Gundersen D and Hausken T: Chromogranin A cell density in the rectum of patients with irritable bowel syndrome. Mol Med Rep. 6:1223–1225. 2012.PubMed/NCBI

15 

El-Salhy M, Lomholt-Beck B and Hausken T: Chromogranin A as a possible tool in the diagnosis of irritable bowel syndrome. Scand J Gastroenterol. 45:1435–1439. 2010. View Article : Google Scholar : PubMed/NCBI

16 

El-Salhy M, Wendelbo IH and Gundersen D: Reduced chromogranin A cell density in the ileum of patients with irritable bowel syndrome. Mol Med Rep. 7:1241–1244. 2013.PubMed/NCBI

17 

El-Salhy M, Ostgaard H, Gundersen D, Hatlebakk JG and Hausken T: The role of diet in the pathogenesis and management of irritable bowel syndrome (Review). Int J Mol Med. 29:723–731. 2012.PubMed/NCBI

18 

El-Salhy M: Irritable bowel syndrome: Diagnosis and pathogenesis. World J Gastroenterol. 18:5151–5163. 2012.PubMed/NCBI

19 

Mawe GM, Coates MD and Moses PL: Review article: Intestinal serotonin signalling in irritable bowel syndrome. Aliment Pharmacol Ther. 23:1067–1076. 2006. View Article : Google Scholar : PubMed/NCBI

20 

Wade PR, Chen J, Jaffe B, Kassem IS, Blakely RD and Gershon MD: Localization and function of a 5-HT transporter in crypt epithelia of the gastrointestinal tract. J Neurosci. 16:2352–2364. 1996.PubMed/NCBI

21 

Gershon MD and Tack J: The serotonin signaling system: From basic understanding to drug development for functional GI disorders. Gastroenterology. 132:397–414. 2007. View Article : Google Scholar : PubMed/NCBI

22 

Gershon MD: 5-Hydroxytryptamine (serotonin) in the gastrointestinal tract. Curr Opin Endocrinol Diabetes Obes. 20:14–21. 2013. View Article : Google Scholar : PubMed/NCBI

23 

Gershon MD: Serotonin is a sword and a shield of the bowel: Serotonin plays offense and defense. Trans Am Clin Climatol Assoc. 123:268–280; discussion 280. 2012.PubMed/NCBI

24 

El-Salhy M, Mazzawi T, Gundersen D, Hatlebakk JG and Hausken T: The role of peptide YY in gastrointestinal diseases and disorders (Review). Int J Mol Med. 31:275–282. 2013.PubMed/NCBI

25 

Dubrasquet M, Bataille D and Gespach C: Oxyntomodulin (glucagon-37 or bioactive enteroglucagon): A potent inhibitor of pentagastrin-stimulated acid secretion in rats. Biosci Rep. 2:391–395. 1982. View Article : Google Scholar : PubMed/NCBI

26 

Schjoldager BT, Baldissera FG, Mortensen PE, Holst JJ and Christiansen J: Oxyntomodulin: A potential hormone from the distal gut. Pharmacokinetics and effects on gastric acid and insulin secretion in man. Eur J Clin Invest. 18:499–503. 1988. View Article : Google Scholar : PubMed/NCBI

27 

Schjoldager B, Mortensen PE, Myhre J, Christiansen J and Holst JJ: Oxyntomodulin from distal gut. Role in regulation of gastric and pancreatic functions. Dig Dis Sci. 34:1411–1419. 1989. View Article : Google Scholar : PubMed/NCBI

28 

Dakin CL, Small CJ, Batterham RL, Neary NM, Cohen MA, Patterson M, Ghatei MA and Bloom SR: Peripheral oxyntomodulin reduces food intake and body weight gain in rats. Endocrinology. 145:2687–2695. 2004. View Article : Google Scholar : PubMed/NCBI

29 

Wynne K, Park AJ, Small CJ, Patterson M, Ellis SM, Murphy KG, Wren AM, Frost GS, Meeran K, Ghatei MA, et al: Subcutaneous oxyntomodulin reduces body weight in overweight and obese subjects: A double-blind, randomized, controlled trial. Diabetes. 54:2390–2395. 2005. View Article : Google Scholar : PubMed/NCBI

30 

Camilleri M: Peripheral mechanisms in irritable bowel syndrome. N Engl J Med. 367:1626–1635. 2012. View Article : Google Scholar : PubMed/NCBI

31 

Jianu CS, Fossmark R, Syversen U, Hauso Ø and Waldum HL: A meal test improves the specificity of chromogranin A as a marker of neuroendocrine neoplasia. Tumour Biol. 31:373–380. 2010. View Article : Google Scholar : PubMed/NCBI

32 

Seim I, El-Salhy M, Hausken T, Gundersen D and Chopin L: Ghrelin and the brain-gut axis as a pharmacological target for appetite control. Curr Pharm Des. 18:768–775. 2012. View Article : Google Scholar : PubMed/NCBI

33 

Wang J, Cortina G, Wu SV, Tran R, Cho JH, Tsai MJ, Bailey TJ, Jamrich M, Ament ME, Treem WR, et al: Mutant neurogenin-3 in congenital malabsorptive diarrhea. N Engl J Med. 355:270–280. 2006. View Article : Google Scholar : PubMed/NCBI

34 

Ghia JE, Blennerhassett P, Deng Y, Verdu EF, Khan WI and Collins SM: Reactivation of inflammatory bowel disease in a mouse model of depression. Gastroenterology. 136:2280–2288, e1–4. 2009. View Article : Google Scholar : PubMed/NCBI

35 

Spångéus A, Forsgren S and el-Salhy M: Does diabetic state affect co-localization of peptide YY and enteroglucagon in colonic endocrine cells? Histol Histopathol. 15:37–41. 2000.PubMed/NCBI

36 

Pyarokhil AH, Ishihara M, Sasaki M and Kitamura N: The developmental plasticity of colocalization pattern of peptide YY and glucagon-like peptide-1 in the endocrine cells of bovine rectum. Biomed Res. 33:35–38. 2012. View Article : Google Scholar : PubMed/NCBI

37 

Haroon E, Raison CL and Miller AH: Psychoneuroimmunology meets neuropsychopharmacology: Translational implications of the impact of inflammation on behavior. Neuropsychopharmacology. 37:137–162. 2012. View Article : Google Scholar : PubMed/NCBI

38 

El-Salhy M, Wilander E and Grimelius L: Immunocytochemical localization of gastric inhibitory peptide (GIP) in the human foetal pancreas. Ups J Med Sci. 87:81–85. 1982. View Article : Google Scholar : PubMed/NCBI

39 

Ghia JE, Li N, Wang H, Collins M, Deng Y, El-Sharkawy RT, Côté F, Mallet J and Khan WI: Serotonin has a key role in pathogenesis of experimental colitis. Gastroenterology. 137:1649–1660. 2009. View Article : Google Scholar : PubMed/NCBI

40 

Dryden S, Wang Q, Frankish HM, Pickavance L and Williams G: The serotonin (5-HT) antagonist methysergide increases neuropeptide Y (NPY) synthesis and secretion in the hypothalamus of the rat. Brain Res. 699:12–18. 1995. View Article : Google Scholar : PubMed/NCBI

41 

Sandström O and El-Salhy M: Ageing and endocrine cells of human duodenum. Mech Ageing Dev. 108:39–48. 1999. View Article : Google Scholar : PubMed/NCBI

42 

El-Salhy M: Ghrelin in gastrointestinal diseases and disorders: A possible role in the pathophysiology and clinical implications (Review). Int J Mol Med. 24:727–732. 2009. View Article : Google Scholar : PubMed/NCBI

43 

Tolhurst G, Reimann F and Gribble FM: Intestinal sensing of nutrients. Handb Exp Pharmacol. 209:309–335. 2012. View Article : Google Scholar : PubMed/NCBI

44 

Lee J, Cummings BP, Martin E, Sharp JW, Graham JL, Stanhope KL, Havel PJ and Raybould HE: Glucose sensing by gut endocrine cells and activation of the vagal afferent pathway is impaired in a rodent model of type 2 diabetes mellitus. Am J Physiol Regul Integr Comp Physiol. 302:R657–R666. 2012. View Article : Google Scholar : PubMed/NCBI

45 

Parker HE, Reimann F and Gribble FM: Molecular mechanisms underlying nutrient-stimulated incretin secretion. Expert Rev Mol Med. 12:e12010. View Article : Google Scholar : PubMed/NCBI

46 

Raybould HE: Nutrient sensing in the gastrointestinal tract: Possible role for nutrient transporters. J Physiol Biochem. 64:349–356. 2008. View Article : Google Scholar : PubMed/NCBI

47 

San Gabriel A, Nakamura E, Uneyama H and Torii K: Taste, visceral information and exocrine reflexes with glutamate through umami receptors. J Med Invest. 56:209–217. 2009. View Article : Google Scholar : PubMed/NCBI

48 

Rudholm T, Wallin B, Theodorsson E, Näslund E and Hellström PM: Release of regulatory gut peptides somatostatin, neurotensin and vasoactive intestinal peptide by acid and hyperosmolal solutions in the intestine in conscious rats. Regul Pept. 152:8–12. 2009. View Article : Google Scholar : PubMed/NCBI

49 

Sternini C, Anselmi L and Rozengurt E: Enteroendocrine cells: A site of ‘taste’ in gastrointestinal chemosensing. Curr Opin Endocrinol Diabetes Obes. 15:73–78. 2008. View Article : Google Scholar : PubMed/NCBI

50 

Sternini C: Taste receptors in the gastrointestinal tract. IV. Functional implications of bitter taste receptors in gastrointestinal chemosensing. Am J Physiol Gastrointest Liver Physiol. 292:G457–G461. 2007. View Article : Google Scholar : PubMed/NCBI

51 

Buchan AM: Nutrient Tasting and signaling mechanisms in the gut III. Endocrine cell recognition of luminal nutrients. Am J Physiol. 277:G1103–G1107. 1999.PubMed/NCBI

52 

Montero-Hadjadje M, Elias S, Chevalier L, Benard M, Tanguy Y, Turquier V, Galas L, Yon L, Malagon MM, Driouich A, et al: Chromogranin A promotes peptide hormone sorting to mobile granules in constitutively and regulated secreting cells: Role of conserved N- and C-terminal peptides. J Biol Chem. 284:12420–12431. 2009. View Article : Google Scholar : PubMed/NCBI

53 

Shooshtarizadeh P, Zhang D, Chich JF, Gasnier C, Schneider F, Haïkel Y, Aunis D and Metz-Boutigue MH: The antimicrobial peptides derived from chromogranin/secretogranin family, new actors of innate immunity. Regul Pept. 165:102–110. 2010. View Article : Google Scholar : PubMed/NCBI

54 

Reber SO, Obermeier F, Straub RH, Falk W and Neumann ID: Chronic intermittent psychosocial stress (social defeat/overcrowding) in mice increases the severity of an acute DSS-induced colitis and impairs regeneration. Endocrinology. 147:4968–4976. 2006. View Article : Google Scholar : PubMed/NCBI

55 

Milde AM and Murison R: A study of the effects of restraint stress on colitis induced by dextran sulphate sodium in singly housed rats. Integr Physiol Behav Sci. 37:140–150. 2002. View Article : Google Scholar : PubMed/NCBI

56 

Furness JB, Kunze WA and Clerc N: Nutrient tasting and signaling mechanisms in the gut. II. The intestine as a sensory organ: Neural, endocrine, and immune responses. Am J Physiol. 277:G922–G928. 1999.PubMed/NCBI

57 

Hassani H, Lucas G, Rozell B and Ernfors P: Attenuation of acute experimental colitis by preventing NPY Y1 receptor signaling. Am J Physiol Gastrointest Liver Physiol. 288:G550–G556. 2005. View Article : Google Scholar : PubMed/NCBI

58 

Cani PD, Everard A and Duparc T: Gut microbiota, enteroendocrine functions and metabolism. Curr Opin Pharmacol. 13:935–940. 2013. View Article : Google Scholar : PubMed/NCBI

59 

Cani PD, Hoste S, Guiot Y and Delzenne NM: Dietary non-digestible carbohydrates promote L-cell differentiation in the proximal colon of rats. Br J Nutr. 98:32–37. 2007. View Article : Google Scholar : PubMed/NCBI

60 

Petitto JM, Huang Z and McCarthy DB: Molecular cloning of NPY-Y1 receptor cDNA from rat splenic lymphocytes: Evidence of low levels of mRNA expression and [125I]NPY binding sites. J Neuroimmunol. 54:81–86. 1994. View Article : Google Scholar : PubMed/NCBI

61 

De la Fuente M, Bernaez I, Del Rio M and Hernanz A: Stimulation of murine peritoneal macrophage functions by neuropeptide Y and peptide YY. Involvement of protein kinase C. Immunology. 80:259–265. 1993.PubMed/NCBI

62 

Shibata M, Hisajima T, Nakano M, Goris RC and Funakoshi K: Morphological relationships between peptidergic nerve fibers and immunoglobulin A-producing lymphocytes in the mouse intestine. Brain Behav Immun. 22:158–166. 2008. View Article : Google Scholar : PubMed/NCBI

63 

Painsipp E, Herzog H, Sperk G and Holzer P: Sex-dependent control of murine emotional-affective behaviour in health and colitis by peptide YY and neuropeptide Y. Br J Pharmacol. 163:1302–1314. 2011. View Article : Google Scholar : PubMed/NCBI

64 

Rindi G, Inzani F and Solcia E: Pathology of gastrointestinal disorders. Endocrinol Metab Clin North Am. 39:713–727. 2010. View Article : Google Scholar : PubMed/NCBI

65 

Cummings DE and Overduin J: Gastrointestinal regulation of food intake. J Clin Invest. 117:13–23. 2007. View Article : Google Scholar : PubMed/NCBI

66 

Bertrand PP: The cornucopia of intestinal chemosensory transduction. Front Neurosci. 3:482009.PubMed/NCBI

67 

Bertrand PP and Bertrand RL: Serotonin release and uptake in the gastrointestinal tract. Auton Neurosci. 153:47–57. 2010. View Article : Google Scholar : PubMed/NCBI

68 

El-Salhy M, Grimelius L, Wilander E, Abu-Sinna G and Lundqvist G: Histological and immunohistochemical studies of the endocrine cells of the gastrointestinal mucosa of the toad (Bufo regularis). Histochemistry. 71:53–65. 1981. View Article : Google Scholar : PubMed/NCBI

69 

Sandstrom O: Age-related changes in the neuroendocrine system of the gut. Umea Univ Med Diss. 617:1–46. 1999.

70 

Bohórquez DV, Chandra R, Samsa LA, Vigna SR and Liddle RA: Characterization of basal pseudopod-like processes in ileal and colonic PYY cells. J Mol Histol. 42:3–13. 2011. View Article : Google Scholar : PubMed/NCBI

71 

Gustafsson BI, Bakke I, Hauso Ø, Kidd M, Modlin IM, Fossmark R, Brenna E and Waldum HL: Parietal cell activation by arborization of ECL cell cytoplasmic projections is likely the mechanism for histamine induced secretion of hydrochloric acid. Scand J Gastroenterol. 46:531–537. 2011. View Article : Google Scholar : PubMed/NCBI

72 

Gustafsson BI, Bakke I, Tømmerås K and Waldum HL: A new method for visualization of gut mucosal cells, describing the enterochromaffin cell in the rat gastrointestinal tract. Scand J Gastroenterol. 41:390–395. 2006. View Article : Google Scholar : PubMed/NCBI

73 

Pang XH, Li TK, Xie Q, He FQ, Cui J, Chen YQ, Huang XL and Gan HT: Amelioration of dextran sulfate sodium-induced colitis by neuropeptide Y antisense oligodeoxynucleotide. Int J Colorectal Dis. 25:1047–1053. 2010. View Article : Google Scholar : PubMed/NCBI

74 

Bohórquez DV, Samsa LA, Roholt A, Medicetty S, Chandra R and Liddle RA: An enteroendocrine cell-enteric glia connection revealed by 3D electron microscopy. PLoS One. 9:e898812014. View Article : Google Scholar : PubMed/NCBI

75 

Bohórquez DV, Shahid RA, Erdmann A, Kreger AM, Wang Y, Calakos N, Wang F and Liddle RA: Neuroepithelial circuit formed by innervation of sensory enteroendocrine cells. J Clin Invest. 125:782–786. 2015. View Article : Google Scholar : PubMed/NCBI

76 

El-Salhy M: On the phylogeny of the gastro-entero-pancreatic (GEP) neuroendocrine system. Acta Uni Uppsal. 385:1–39. 1981.

77 

El-Salhy M, Abou-el-Ela R, Falkmer S, Grimelius L and Wilander E: Immunohistochemical evidence of gastro-entero-pancreatic neurohormonal peptides of vertebrate type in the nervous system of the larva of a dipteran insect, the hoverfly, Eristalis aeneus. Regul Pept. 1:187–204. 1980. View Article : Google Scholar : PubMed/NCBI

78 

El-Salhy M, Falkmer S, Kramer KJ and Speirs RD: Immunohistochemical investigations of neuropeptides in the brain, corpora cardiaca, and corpora allata of an adult lepidopteran insect, Manduca sexta (L). Cell Tissue Res. 232:295–317. 1983. View Article : Google Scholar : PubMed/NCBI

79 

El-Salhy M, Falkmer S, Kramer KJ and Speirs RD: Immunocytochemical evidence for the occurrence of insulin in the frontal ganglion of a Lepidopteran insect, the tobacco hornworm moth, Manduca sexta L. Gen Comp Endocrinol. 54:85–88. 1984. View Article : Google Scholar : PubMed/NCBI

80 

Mazzawi T, Hausken T, Gundersen D and El-Salhy M: Effects of dietary guidance on the symptoms, quality of life and habitual dietary intake of patients with irritable bowel syndrome. Mol Med Rep. 8:845–852. 2013.PubMed/NCBI

81 

Ostgaard H, Hausken T, Gundersen D and El-Salhy M: Diet and effects of diet management on quality of life and symptoms in patients with irritable bowel syndrome. Mol Med Rep. 5:1382–1390. 2012.PubMed/NCBI

82 

García-Martínez JM, Chocarro-Calvo A, De la Vieja A and García-Jiménez C: Insulin drives glucose-dependent insulinotropic peptide expression via glucose-dependent regulation of FoxO1 and LEF1/β-catenin. Biochim Biophys Acta. 1839:1141–1150. 2014. View Article : Google Scholar : PubMed/NCBI

83 

García-Martínez JM, Chocarro-Calvo A, Moya CM and García-Jiménez C: WNT/beta-catenin increases the production of incretins by entero-endocrine cells. Diabetologia. 52:1913–1924. 2009. View Article : Google Scholar : PubMed/NCBI

84 

Freeland KR, Wilson C and Wolever TM: Adaptation of colonic fermentation and glucagon-like peptide-1 secretion with increased wheat fibre intake for 1 year in hyperinsulinaemic human subjects. Br J Nutr. 103:82–90. 2010. View Article : Google Scholar : PubMed/NCBI

85 

Korner J, Bessler M, Inabnet W, Taveras C and Holst JJ: Exaggerated glucagon-like peptide-1 and blunted glucose-dependent insulinotropic peptide secretion are associated with Roux-en-Y gastric bypass but not adjustable gastric banding. Surg Obes Relat Dis. 3:597–601. 2007. View Article : Google Scholar : PubMed/NCBI

Related Articles

  • Abstract
  • View
  • Download
  • Twitter
Copy and paste a formatted citation
Spandidos Publications style
El‑Salhy M, Mazzawi T, Hausken T and Hatlebakk JG: Interaction between diet and gastrointestinal endocrine cells (Review). Biomed Rep 4: 651-656, 2016.
APA
El‑Salhy, M., Mazzawi, T., Hausken, T., & Hatlebakk, J.G. (2016). Interaction between diet and gastrointestinal endocrine cells (Review). Biomedical Reports, 4, 651-656. https://doi.org/10.3892/br.2016.649
MLA
El‑Salhy, M., Mazzawi, T., Hausken, T., Hatlebakk, J. G."Interaction between diet and gastrointestinal endocrine cells (Review)". Biomedical Reports 4.6 (2016): 651-656.
Chicago
El‑Salhy, M., Mazzawi, T., Hausken, T., Hatlebakk, J. G."Interaction between diet and gastrointestinal endocrine cells (Review)". Biomedical Reports 4, no. 6 (2016): 651-656. https://doi.org/10.3892/br.2016.649
Copy and paste a formatted citation
x
Spandidos Publications style
El‑Salhy M, Mazzawi T, Hausken T and Hatlebakk JG: Interaction between diet and gastrointestinal endocrine cells (Review). Biomed Rep 4: 651-656, 2016.
APA
El‑Salhy, M., Mazzawi, T., Hausken, T., & Hatlebakk, J.G. (2016). Interaction between diet and gastrointestinal endocrine cells (Review). Biomedical Reports, 4, 651-656. https://doi.org/10.3892/br.2016.649
MLA
El‑Salhy, M., Mazzawi, T., Hausken, T., Hatlebakk, J. G."Interaction between diet and gastrointestinal endocrine cells (Review)". Biomedical Reports 4.6 (2016): 651-656.
Chicago
El‑Salhy, M., Mazzawi, T., Hausken, T., Hatlebakk, J. G."Interaction between diet and gastrointestinal endocrine cells (Review)". Biomedical Reports 4, no. 6 (2016): 651-656. https://doi.org/10.3892/br.2016.649
Follow us
  • Twitter
  • LinkedIn
  • Facebook
About
  • Spandidos Publications
  • Careers
  • Cookie Policy
  • Privacy Policy
How can we help?
  • Help
  • Live Chat
  • Contact
  • Email to our Support Team