Spandidos Publications Logo
  • About
    • About Spandidos
    • Aims and Scopes
    • Abstracting and Indexing
    • Editorial Policies
    • Reprints and Permissions
    • Job Opportunities
    • Terms and Conditions
    • Contact
  • Journals
    • All Journals
    • Oncology Letters
      • Oncology Letters
      • Information for Authors
      • Editorial Policies
      • Editorial Board
      • Aims and Scope
      • Abstracting and Indexing
      • Bibliographic Information
      • Archive
    • International Journal of Oncology
      • International Journal of Oncology
      • Information for Authors
      • Editorial Policies
      • Editorial Board
      • Aims and Scope
      • Abstracting and Indexing
      • Bibliographic Information
      • Archive
    • Molecular and Clinical Oncology
      • Molecular and Clinical Oncology
      • Information for Authors
      • Editorial Policies
      • Editorial Board
      • Aims and Scope
      • Abstracting and Indexing
      • Bibliographic Information
      • Archive
    • Experimental and Therapeutic Medicine
      • Experimental and Therapeutic Medicine
      • Information for Authors
      • Editorial Policies
      • Editorial Board
      • Aims and Scope
      • Abstracting and Indexing
      • Bibliographic Information
      • Archive
    • International Journal of Molecular Medicine
      • International Journal of Molecular Medicine
      • Information for Authors
      • Editorial Policies
      • Editorial Board
      • Aims and Scope
      • Abstracting and Indexing
      • Bibliographic Information
      • Archive
    • Biomedical Reports
      • Biomedical Reports
      • Information for Authors
      • Editorial Policies
      • Editorial Board
      • Aims and Scope
      • Abstracting and Indexing
      • Bibliographic Information
      • Archive
    • Oncology Reports
      • Oncology Reports
      • Information for Authors
      • Editorial Policies
      • Editorial Board
      • Aims and Scope
      • Abstracting and Indexing
      • Bibliographic Information
      • Archive
    • Molecular Medicine Reports
      • Molecular Medicine Reports
      • Information for Authors
      • Editorial Policies
      • Editorial Board
      • Aims and Scope
      • Abstracting and Indexing
      • Bibliographic Information
      • Archive
    • World Academy of Sciences Journal
      • World Academy of Sciences Journal
      • Information for Authors
      • Editorial Policies
      • Editorial Board
      • Aims and Scope
      • Abstracting and Indexing
      • Bibliographic Information
      • Archive
    • International Journal of Functional Nutrition
      • International Journal of Functional Nutrition
      • Information for Authors
      • Editorial Policies
      • Editorial Board
      • Aims and Scope
      • Abstracting and Indexing
      • Bibliographic Information
      • Archive
    • International Journal of Epigenetics
      • International Journal of Epigenetics
      • Information for Authors
      • Editorial Policies
      • Editorial Board
      • Aims and Scope
      • Abstracting and Indexing
      • Bibliographic Information
      • Archive
    • Medicine International
      • Medicine International
      • Information for Authors
      • Editorial Policies
      • Editorial Board
      • Aims and Scope
      • Abstracting and Indexing
      • Bibliographic Information
      • Archive
  • Articles
  • Information
    • Information for Authors
    • Information for Reviewers
    • Information for Librarians
    • Information for Advertisers
    • Conferences
  • Language Editing
Spandidos Publications Logo
  • About
    • About Spandidos
    • Aims and Scopes
    • Abstracting and Indexing
    • Editorial Policies
    • Reprints and Permissions
    • Job Opportunities
    • Terms and Conditions
    • Contact
  • Journals
    • All Journals
    • Biomedical Reports
      • Information for Authors
      • Editorial Policies
      • Editorial Board
      • Aims and Scope
      • Abstracting and Indexing
      • Bibliographic Information
      • Archive
    • Experimental and Therapeutic Medicine
      • Information for Authors
      • Editorial Policies
      • Editorial Board
      • Aims and Scope
      • Abstracting and Indexing
      • Bibliographic Information
      • Archive
    • International Journal of Epigenetics
      • Information for Authors
      • Editorial Policies
      • Editorial Board
      • Aims and Scope
      • Abstracting and Indexing
      • Bibliographic Information
      • Archive
    • International Journal of Functional Nutrition
      • Information for Authors
      • Editorial Policies
      • Editorial Board
      • Aims and Scope
      • Abstracting and Indexing
      • Bibliographic Information
      • Archive
    • International Journal of Molecular Medicine
      • Information for Authors
      • Editorial Policies
      • Editorial Board
      • Aims and Scope
      • Abstracting and Indexing
      • Bibliographic Information
      • Archive
    • International Journal of Oncology
      • Information for Authors
      • Editorial Policies
      • Editorial Board
      • Aims and Scope
      • Abstracting and Indexing
      • Bibliographic Information
      • Archive
    • Medicine International
      • Information for Authors
      • Editorial Policies
      • Editorial Board
      • Aims and Scope
      • Abstracting and Indexing
      • Bibliographic Information
      • Archive
    • Molecular and Clinical Oncology
      • Information for Authors
      • Editorial Policies
      • Editorial Board
      • Aims and Scope
      • Abstracting and Indexing
      • Bibliographic Information
      • Archive
    • Molecular Medicine Reports
      • Information for Authors
      • Editorial Policies
      • Editorial Board
      • Aims and Scope
      • Abstracting and Indexing
      • Bibliographic Information
      • Archive
    • Oncology Letters
      • Information for Authors
      • Editorial Policies
      • Editorial Board
      • Aims and Scope
      • Abstracting and Indexing
      • Bibliographic Information
      • Archive
    • Oncology Reports
      • Information for Authors
      • Editorial Policies
      • Editorial Board
      • Aims and Scope
      • Abstracting and Indexing
      • Bibliographic Information
      • Archive
    • World Academy of Sciences Journal
      • Information for Authors
      • Editorial Policies
      • Editorial Board
      • Aims and Scope
      • Abstracting and Indexing
      • Bibliographic Information
      • Archive
  • Articles
  • Information
    • For Authors
    • For Reviewers
    • For Librarians
    • For Advertisers
    • Conferences
  • Language Editing
Login Register Submit
  • This site uses cookies
  • You can change your cookie settings at any time by following the instructions in our Cookie Policy. To find out more, you may read our Privacy Policy.

    I agree
Search articles by DOI, keyword, author or affiliation
Search
Advanced Search
presentation
Biomedical Reports
Join Editorial Board Propose a Special Issue
Print ISSN: 2049-9434 Online ISSN: 2049-9442
Journal Cover
June-2021 Volume 14 Issue 6

Full Size Image

Sign up for eToc alerts
Recommend to Library

Journals

International Journal of Molecular Medicine

International Journal of Molecular Medicine

International Journal of Molecular Medicine is an international journal devoted to molecular mechanisms of human disease.

International Journal of Oncology

International Journal of Oncology

International Journal of Oncology is an international journal devoted to oncology research and cancer treatment.

Molecular Medicine Reports

Molecular Medicine Reports

Covers molecular medicine topics such as pharmacology, pathology, genetics, neuroscience, infectious diseases, molecular cardiology, and molecular surgery.

Oncology Reports

Oncology Reports

Oncology Reports is an international journal devoted to fundamental and applied research in Oncology.

Experimental and Therapeutic Medicine

Experimental and Therapeutic Medicine

Experimental and Therapeutic Medicine is an international journal devoted to laboratory and clinical medicine.

Oncology Letters

Oncology Letters

Oncology Letters is an international journal devoted to Experimental and Clinical Oncology.

Biomedical Reports

Biomedical Reports

Explores a wide range of biological and medical fields, including pharmacology, genetics, microbiology, neuroscience, and molecular cardiology.

Molecular and Clinical Oncology

Molecular and Clinical Oncology

International journal addressing all aspects of oncology research, from tumorigenesis and oncogenes to chemotherapy and metastasis.

World Academy of Sciences Journal

World Academy of Sciences Journal

Multidisciplinary open-access journal spanning biochemistry, genetics, neuroscience, environmental health, and synthetic biology.

International Journal of Functional Nutrition

International Journal of Functional Nutrition

Open-access journal combining biochemistry, pharmacology, immunology, and genetics to advance health through functional nutrition.

International Journal of Epigenetics

International Journal of Epigenetics

Publishes open-access research on using epigenetics to advance understanding and treatment of human disease.

Medicine International

Medicine International

An International Open Access Journal Devoted to General Medicine.

Journal Cover
June-2021 Volume 14 Issue 6

Full Size Image

Sign up for eToc alerts
Recommend to Library

  • Article
  • Citations
    • Cite This Article
    • Download Citation
    • Create Citation Alert
    • Remove Citation Alert
    • Cited By
  • Similar Articles
    • Related Articles (in Spandidos Publications)
    • Similar Articles (Google Scholar)
    • Similar Articles (PubMed)
  • Download PDF
  • Download XML
  • View XML
Article Open Access

Metalloelastase‑12 is involved in the temporomandibular joint inflammatory response as well as cartilage degradation by aggrecanases in STR/Ort mice

  • Authors:
    • Yoko Yamashita‑Futani
    • Rei Jokaji
    • Kazuhiro Ooi
    • Kazuhiko Kobayashi
    • Ioannis Kanakis
    • Ke Liu
    • Shuichi Kawashiri
    • George Bou‑Gharios
    • Hiroyuki Nakamura
  • View Affiliations / Copyright

    Affiliations: Department of Oral and Maxillofacial Surgery, Kanazawa University Graduate School of Medical Science, Kanazawa, Ishikawa 920‑8640, Japan, Institute of Ageing and Chronic Disease, University of Liverpool, Liverpool L7 8TX, UK
    Copyright: © Yamashita‑Futani et al. This is an open access article distributed under the terms of Creative Commons Attribution License.
  • Article Number: 51
    |
    Published online on: April 1, 2021
       https://doi.org/10.3892/br.2021.1427
  • Expand metrics +
Metrics: Total Views: 0 (Spandidos Publications: | PMC Statistics: )
Metrics: Total PDF Downloads: 0 (Spandidos Publications: | PMC Statistics: )
Cited By (CrossRef): 0 citations Loading Articles...

This article is mentioned in:



Abstract

Temporomandibular joint dysfunction (TMJD) is characterised by clinical symptoms involving both the masticatory muscles and the temporomandibular joint (TMJ). Disc internal derangement and osteoarthritis (OA) are the most common forms of TMJD. Currently, the molecular process associated with degenerative changes in the TMJ is unclear. Our previous study showed that elastin‑digested peptides act on human TMJ synovial cells and lead to upregulation of interleukin‑6 (IL‑6) and metalloelastase‑12 (MMP‑12; an elastin‑degrading enzyme) in vitro. However, there is limited information regarding the involvement of elastin‑degradation by MMP‑12 in the processes of inflammatory responses and cartilage degradation in vivo. STR/Ort mice were used as a model of TMJ OA in the present study. Significant articular cartilage degeneration was observed starting at 20 weeks of age in the STR/Ort mice and this progressed gradually until 40 weeks, compared with the age‑matched CBA mice. Immunostaining analysis showed that MMP‑12 and IL‑6 were expressed in the chondrocytes in the superficial zones of the cartilage. Immunostaining also showed that aggrecanases [a disintegrin and metalloproteinase with thrombospondin motifs (ADAMTS)‑4 and ADAMTS‑5] were expressed in the chondrocytes in the superficial zones of the cartilage. These findings suggest that an inflammatory and degradative process was initiated in the TMJ. Harmful mechanical stimuli, particularly pressure, may cause damage to the elastin fibres in the most elastin‑rich superficial layer of the articular cartilage. Elastin‑digested peptides are then generated as endogenous warning signals and they initiate a pro‑inflammatory cascade. This leads to upregulation of pro‑inflammatory mediators, such as IL‑6 and MMP‑12, which further trigger tissue damage resulting in elevated levels of elastin‑digested peptides. IL‑6 increases expression of the aggrecanases ADAMTS‑4 and ADAMTS‑5, following cartilage degradation. This leads to the establishment of a positive feedback loop and may result in chronic inflammation and cartilage degradation of the TMJ in vivo.

Introduction

The characteristics of temporomandibular joint dysfunction (TMJD) include musculoskeletal conditions and craniofacial pain in the masticatory system that involve the joint, masticatory muscles or muscle innervations. Various factors are associated with the aetiology of TMJD, including growth and developmental anomalies (1), trauma (2), detrimental body posture (3), parafunctional habits and bruxism (4), and stress (5). The most common forms of TMJD are disc internal derangement, which involves an abnormal anatomical relationship between the articular disc and articulating surfaces, and osteoarthritis (OA), which involves an abnormal anatomical relationship between the articular disc and articulating surfaces (6). Although the degenerative changes in the temporomandibular joint (TMJ) have been reported to be related to osteoclastogenesis (7), the molecular process underlying these changes are yet to be elucidated.

Previous studies (8-11) have reported increased concentrations of monocyte–macrophage-derived cytokines in the synovial fluid of patients with TMJD. The release of proteinases and stimulation of the expression of degrading enzymes and inflammatory mediators may be facilitated by various cytokines, including interleukin 1β (IL-1β), interleukin-6 (IL-6) and tumour necrosis factor-α (TNF-α), thereby leading to inflammation of the TMJ and degradation of bone and cartilage (12). These results highlight the potential role of cytokines in TMJD pathogenesis. Our previous study showed that IL-6 expression in the synovial fluid obtained from patients with TMJD was significantly correlated with the two clinical parameters of TMJ locking and pain/jaw function based on a visual analogue scale (VAS) (13). Additionally, the concentration of elastin-digested peptides in the synovial fluid of patients with TMJD was significantly associated with the TMJ locking duration, the VAS and IL-6 expression (13). In vitro, elastin-digested peptides act on human TMJ synovial cells to promote IL-6 upregulation and MMP-12 (an elastin-degrading enzyme) (13). These findings suggest an inflammation model in the TMJ where elastin is degraded by a harmful mechanical stimulus, and the degradation products induce a pro-inflammatory cascade and increase the expression of MMP-12.

Currently, there is limited information regarding the involvement of elastin-degradation by MMP-12 in the process of inflammatory responses and cartilage degradation by aggrecanases [a disintegrin and metalloproteinase with thrombospondin motifs (ADAMTS)-4 and ADAMTS-5] in vivo. The STR/Ort mice often develop spontaneous OA of the medial tibial cartilage of the knee joint Thus this mouse model is useful in studying the pathogenesis of knee OA (14). The histopathological lesions of knee OA in STR/Ort mice are progressive and exhibit a high degree of similarity to that of human knee OA. Moreover, 85% of STR/Ort mice demonstrate histological OA lesions in the medial tibial cartilage by the time they are 35 weeks old. Previous reports have shown that the STR/Ort mice develop spontaneous OA-like lesions in the TMJ with age, and thus, they may facilitate the study of the pathogenesis of TMJ OA (15). The aim of the present study was to investigate the role of MMP-12 and aggrecanases in STR/Ort mice with TMJ OA.

Materials and methods

Assessment of the progression and severity of OA

A total of 24 male STR/Ort mice (age, 10 weeks) and 8 sex-matched CBA control mice were used in the present study. The average weight of the STR/Ort mice at the beginning of the experiment (age, 10 weeks) was 24.1±1.6 g, whereas that of the CBA control mice (age, 10 weeks) was 25.3±1.4 g. The mice TMJs were removed by microsurgery and were fixed in 4% paraformaldehyde solution for 24 h at room temperature. Decalcification of TMJs was performed using 10% EDTA for 3 weeks at room temperature, and subsequently stored in 70% ethanol at 4˚C until required for further analysis. Samples were embedded in paraffin wax and sectioned sagittally (5-µm thickness) through the entire joint. Safranin-O (Sigma-Aldrich; Merck KGaA) staining was used at room temperature to evaluate proteoglycan loss using a validated scoring system as per the Osteoarthritis Research Society International (OARSI) recommendations (16). The joints were graded at 10-µm intervals through the joint in a blinded manner by two experienced investigators, and were scored as follows: 0, normal cartilage; 0.5, loss of Safranin-O without structural changes; 1, small fibrillations without loss of cartilage; 2, vertical clefts down to the layer immediately below the superficial layer and some loss of surface lamina; 3, vertical clefts/erosion to the calcified cartilage extending to <25% of the articular surface; 4, vertical clefts/erosion to the calcified cartilage extending to 25-50% of the articular surface; 5, vertical clefts/erosion to the calcified cartilage extending to 50-75% of the articular surface; and 6, vertical clefts/erosion to the calcified cartilage extending to >75% of the articular surface. Scores were added from all levels through the entire joint to obtain the ‘summed score’, which reflected the severity of the osteoarthritic lesion. OA predominantly affects the mandibular condyle (15); therefore, the average of the summed scores at both the sites was used for each sample to obtain robust results.

All the animal experiments performed in the present study were approved by the Ethics Committee of the Kanazawa University Graduate School of Medical Science (approval no. 352-2). The mice were housed in groups of four in individually vented cages maintained at 21˚C±2˚C and a humidity range of 30-70% in a 12-h light/dark cycle with ad libitum access to food and water. The animals were monitored daily for any health and/or welfare issues from the time of birth, including any possible defects or significant changes in size during the first 2 weeks of life. The mice were then sacrificed in a chamber by increasing the CO2 concentration at a flow rate of 60%/min of volume. Lack of respiration and faded eye colour were used to confirm death.

Immunohistochemical analysis

The paraffin embedded sagittal sections of TMJs were dewaxed and antigen retrieval were performed using Immunosaver (FUJIFILM Wako Pure Chemical Corporation) for 45 min at 98˚C. The sections were washed in PBS, and then rinsed in PBS containing 1% BSA and 2% foetal calf serum. Immunohistochemical staining was performed with antibodies against MMP-12 (cat. no. 22989-1-AP; ProteinTech Group, Inc.), IL-6 (cat. no. ab6672; Abcam), ADAMTS-4 (cat. no. ab185722; Abcam) and ADAMTS-5 (cat. no. ab41037; Abcam). Primary antibodies were diluted in PBS at a ratio of 1:1,000, and the sections were then incubated with primary antibodies overnight at 4˚C. Binding of these antibodies was detected using EnVision Single Reagents (Dako; Agilent Technologies, Inc.). After washing, the slides were incubated with 3,3'-diaminobenzidine tetrahydrochloride (Sigma-Aldrich; Merck KGaA) and immediately rewashed under tap water following colour development. Slides were then counterstained with haematoxylin for 3 min at room temperature (FUJIFILM Wako Pure Chemical Corporation), mounted with DPX (FUJIFILM Wako Pure Chemical Corporation) and observed under a light microscope at a magnification of x4-x100 (Olympus Corporation). The specificity of staining was confirmed using a Universal Negative Control for IS-Series Rabbit Primary Antibodies (cat. no. IS60061; Dako; Agilent Technologies, Inc.) as a negative control, according to the manufacturer's protocol. Immunohistochemical staining was graded in a blinded manner by two experienced investigators as follows: 0, no staining, 1; minor staining, 2; marked staining; and 3, maximal staining, as described previously (17).

Statistical analysis

The summed OARSI scores of joints are presented using a box-whisker plot (median ± interquartile range). The immunohistochemical scores are presented as the mean ± standard error of the mean. There were eight samples in both the STR/Ort and CBA groups. For comparisons between the samples, data were analysed using Kruskal-Wallis one-way analysis of variance on ranks with a post-hoc Dunnett's test for summed OARSI scores, or a Mann-Whitney U test for immunohistochemical scores using SPSS version 23 (IBM Corp.), as described previously (17,18). P<0.05 was considered to indicate a statistically significant difference.

Results

Cartilage degradation of the TMJs in the STR/Ort mice

In order to examine the pathogenesis of spontaneous OA, the TMJs of STR/Ort mice and control CBA mice were collected and sectioned after 10, 20 or 40 weeks. Relative to the age-matched control CBA mice, significant proteoglycan loss was observed in the upper zone of the cartilage after 20 weeks of age, and this loss was increased after 40 weeks (Fig. 1A). STR/Ort mice after 40 weeks exhibited vertical fissures in the matrix into the mid zone, and the fissures were branched (Fig. 1A). The data of the summed scores showed that significant articular cartilage degeneration started at 20 weeks of age in the STR/Ort mice and progressed gradually until they were 40 weeks old; this was not observed in the age-matched CBA mice (Fig. 1B).

Figure 1

Cartilage degradation of the TMJ in the STR/Ort mice. (A) Safranin-O staining of sections of the TMJ of the STR/Ort mice and control CBA mice after 10, 20 and 40 weeks. Scale bar, 100 µm. (B) Box-whisker plots representing the summed OARSI scores of TMJs of the STR/Ort mice and control CBA mice after 10, 20 and 40 weeks. Results are expressed as the sum of the OARSI scores from each histological section through the joints. Values are expressed as the median ± interquartile range. n=8 mice per group. Data were compared using Kruskal-Wallis one-way analysis of variance on ranks with a post-hoc Dunnett's test. *P<0.05 vs. CBA control mice. TMJ, temporomandibular joint; OARSI, Osteoarthritis Research Society International; Cont, control.

Expression of MMP-12, IL-6 and aggrecanases

Immunostaining showed that MMP-12 was expressed in the chondrocytes in the superficial zones after 20 weeks in the STR/Ort mice, and this increased gradually until the mice were 40 weeks old (Fig. 2A). In contrast, MMP-12 expression was detected in the chondrocytes in the CBA mice at all time points (Fig. 2A). In the subchondral bone, MMP-12 expression was observed in the osteoblast-like and osteoclast-like cells, starting at 20 weeks of age in the STR/Ort mice, and its levels increased with disease severity until the mice were 40 weeks old (Fig. 2A). However, no MMP-12 expression was detected in the subchondral bone of the CBA mice, regardless of age (Fig. 2A).

Figure 2

Expression of MMP-12 and IL-6 in the TMJ of STR/Ort mice. (A) MMP-12 or (B) IL-6 immunostaining of sections and the corresponding histological scores of the TMJs from STR/Ort mice and control CBA mice after 10, 20 and 40 weeks. The immunohistochemical scores in cartilage or subchondral bone are presented as the mean ± the standard error of the mean. Scale bar, 100 µm. *P<0.05 vs. CBA control mice. Mann-Whitney U test. MMP-12, metalloelastase-12; IL-6, interleukin-6; TMJ, temporomandibular joint.

IL-6 was expressed throughout the cartilage of both the STR/Ort and CBA mice from 20 weeks of age, with expression in the chondrocytes in the superficial zones. However, the expression was significantly higher in the STR/Ort cartilage after 20 and 40 weeks relative to the age-matched CBA mice (Fig. 2B). In the subchondral bone, IL-6 expression was observed in the osteoblast-like and the osteoclast-like cells, starting at 20 weeks of age in the STR/Ort mice, and its levels increased with disease severity until the mice were 40 weeks old (Fig. 2B). IL-6 expression in the subchondral bone in the STR/Ort cartilage was significantly higher compared with the age-matched CBA mice, excluding after 10 weeks (Fig. 2B). However, no detectable IL-1β or TNF-α expression was observed in the STR/Ort mice and CBA-strain mice, irrespective of age (data not shown).

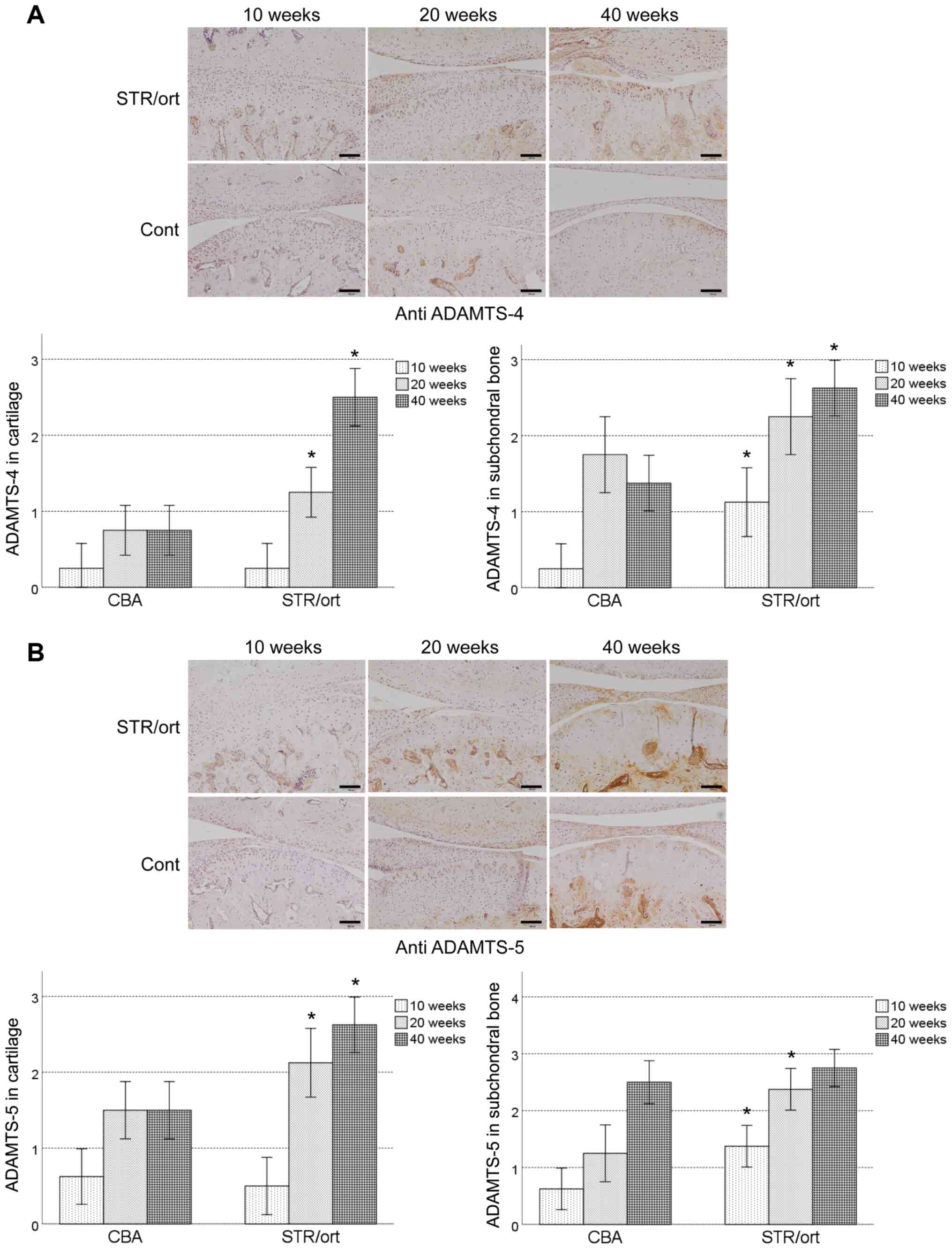
ADAMTS-4 and ADAMTS-5 were expressed throughout the cartilage of both the STR/Ort and CBA mice from 20 weeks of age, with expression in the chondrocytes in the superficial zones that gradually increased till the mice were 40 weeks old (Fig. 3A and B). ADAMTS-5 was expressed in the middle zone of the cartilage after 40 weeks of age in the STR/Ort mice. ADAMTS-4 and ADAMTS-5 expression was significantly higher in the STR/Ort cartilage compared with the age-matched CBA mice, excluding after 10 weeks (Fig. 3A and B). In the subchondral bone, ADAMTS-4 and ADAMTS-5 expression was observed in the osteoblast-like and osteoclast-like cells, starting at 10 weeks of age in the STR/Ort mice, and its levels increased with disease severity until the mice were 40 weeks old (Fig. 3A and B). ADAMTS-4 and ADAMTS-5 expression levels were significantly higher in the STR/Ort subchondral bone compared with the age-matched CBA mice (Fig. 3A and B).

Figure 3

Expression of the aggrecan-degrading enzymes, ADAMTS-4 and ADAMTS-5, in the TMJ of STR/Ort mice. (A) ADAMTS-4 or (B) ADAMTS-5 immunostaining of sections and the corresponding histological scores of the TMJs of the STR/Ort mice and control CBA mice after 10, 20 and 40 weeks. The immunohistochemical scores in the cartilage or subchondral bone are presented as the mean ± standard error of the mean. Scale bar, 100 µm. Data were compared using a Mann-Whitney U test. *P<0.05 vs. CBA control mice. ADAMTS, a disintegrin and metalloproteinase with thrombospondin motifs; TMJ, temporomandibular joint; Cont, control.

Discussion

The primary aim of the present study was to determine whether elastin-degradation by MMP-12 was involved in TMJ inflammatory responses and cartilage degradation by aggrecanases in vivo. STR/Ort mice were used as a model of TMJ OA. The initial joint pathology caused by OA is difficult to characterise in humans as OA is often diagnosed in the first instance at an advanced stage. Animal models of OA may improve our understanding of the early pathology of OA, including loss of proteoglycans and fibrillations. Dreessen and Halata (19) showed age-related osteoarthritic degeneration of the TMJ in male STR/1N mice, suggesting a systemic basis of the disease. In the present study, significant articular cartilage degeneration began at 20 weeks of age in the STR/Ort mice and progressed gradually until 40 weeks relative to that in the age-matched CBA mice. The progression that was observed until 40 weeks of age in the STR/Ort mice was consistent with the results of a previous study (15). Conversely, in this same previous study, significant articular cartilage degeneration was not observed at 20 weeks of age in STR/Ort mice compared with the age-matched CBA mice (15). The maximal OARSI scores in STR/Ort mice at 20 and 40 weeks of age were 2 (highest OARSI score was 6). These results suggested that TMJ osteoarthritis at 20 and 40 weeks of age in STR/Ort mice showed initial or early joint pathology caused by OA. Thus, the STR/Ort mouse model may be appropriate for facilitating an understanding of the initial pathology of TMJ OA.

Elastin fibres are major extracellular matrix macromolecules that are critical for the maintenance of elasticity and resilience of tissues, such as blood vessels, lungs and skin. A previous study showed that the architecture of the elastin network varies significantly with cartilage depth (20). Dense elastin fibres formed a distinctive cobweb-like meshwork parallel to the cartilage surface in the most superficial layer of the articular cartilage (20). Contrastingly, in the superficial zone, the elastin fibres were found to be well organised in the physiological orientation, parallel to the collagen fibres. In the deep zone, no detectable elastin fibres were observed. In the elastin-containing superficial cartilage, inflammation was concomitant with elastolysis, leading to the generation of elastin-digested peptides (21-23). In these cases, a direct association between inflammation and elastin-digested peptide levels has been previously established (21-23). In the present study, immunostaining showed that MMP-12 was expressed in the chondrocytes in the superficial zones where elastin is found physiologically. These data suggest that MMP-12 directly digested elastin in the superficial zone of the cartilage and produced elastin-digested peptides. Our previous study demonstrated that the concentration of elastin-digested peptides in the synovial fluid of patients with TMJD was significantly correlated with IL-6 expression, the duration of TMJ locking and the VAS (13). IL-6 is generated at the inflammation site and plays a major role in the acute phase response (24). In the present study, immunostaining showed that IL-6 was expressed in the chondrocytes in the superficial zones where metalloelastase-12 is expressed during the initial and early joint pathology caused by OA. These data suggested that elastin peptides digested by MMP-12 induced IL-6 expression in the chondrocytes in the superficial zone of the cartilage. However, whether the elastin-digested peptides induced IL-6 expression directly in the chondrocytes, in vitro or in vivo, remains unclear. In this study, it was not possible to detect elastin-digested peptides in the joint fluid, as, if they were present, their levels were below the limits of detection. Further research using joint tissue-specific elastin–overexpressing mice or joint tissue-specific elastin knockout mice is warranted. In contrast, in the subchondral bone, MMP-12 expression was observed in osteoblast- and osteoclast-like cells in the 20-week-old STR/Ort mice and the frequency of occurrence increased with disease severity until the mice were 40 weeks old. In a previous study, it was shown that MMP-12 was present in the matrix adjacent to the osteoblast-like cells, bone lining cells and osteoclasts in moderate and severe stages of OA (25). In vitro and in vivo animal studies revealed that MMP-12 cleaved bone matrix proteins critical for osteoclast matrix interactions, and this was induced only in response to critical situations (26). However, elastin fibres have not been detected in the subchondral bone. A total of 90% of the organic matrix of bone is made of type I collagen, which is not degradable by MMP-12(27). From a quantitative point of view, non-collagenous bone proteins, such as vitronectin, osteonectin, osteopontin and bone sialoprotein, are minimally present in the bone (26). It is thus interesting that vitronectin and osteonectin are completely degraded by MMP-12, but that osteopontin and bone sialoprotein are cleaved in a very selective way (28). Therefore, the degradation fragments of these minor bone proteins may potentially induce IL-6 expression in osteoblasts and osteoclasts. Further research is necessary to address this issue.

Following the onset of the inflammatory response, IL-6 secreted in the TMJ may function as a chemoattractant to recruit cell types that are crucial in tissue degradation (13). The stimulation of cartilage explants with IL-6 potentiated proteoglycan (aggrecan) catabolism in the articular cartilage has been previously reported (29). This catabolism was found to be associated with aggrecanase activity. The aggrecanases are members of the ADAMTS family of extracellular metzincin proteinases. Amongst the various members of this family of proteins, ADAMTS-4 and ADAMTS-5 show the highest levels of aggrecanase activity (30). Mice deficient in ADAMTS-5 were protected against aggrecan loss and cartilage degradation in models of inflammatory arthritis (31) and OA (32). In this regard, IL-6 upregulation is critical for the progression of arthritic diseases. IL-6 contributes to cartilage destruction in mouse models of inflammatory arthritis (33,34); as per one report, aggrecan loss is prevented in IL-6-deficient mice (34). IL-6 increases the mRNA expression levels of ADAMTS-4 and ADAMTS-5 in bovine chondrocytes (35). Moreover, IL-6–null mice are protected against cartilage damage both in the CIA model (36) and the antigen-induced arthritis model (33). In the present study, immunostaining revealed that ADAMTS-4 and ADAMTS-5 were expressed in chondrocytes in the superficial zones where IL-6 was expressed during the initial and early joint pathology caused by OA. These data suggested that IL-6 induced ADAMTS-4 and ADAMTS-5 expression in the chondrocytes, following cartilage degradation in the superficial zone in vivo.

In conclusion, a model for the initiation of the inflammatory and degradative process in the TMJ is proposed. Harmful mechanical stimuli, particularly increased pressure, may cause damage to the elastin fibres in the most elastin-rich superficial layer of the articular cartilage. Elastin-digested peptides are then generated as endogenous danger signals and induce a pro-inflammatory cascade. This leads to upregulation of pro-inflammatory mediators, such as IL-6 and MMP-12, triggering further tissue damage that results in increased levels of elastin-digested peptides. IL-6 induced ADAMTS-4 and ADAMTS-5 expression in the chondrocytes, following cartilage degradation. Thus, a positive feedback loop is established and may result in chronic inflammation and cartilage degradation of the TMJ in vivo.

Acknowledgements

Not applicable.

Funding

Funding: This study was supported by Grants-in-Aid for Scientific Research from the Ministry of Education, Science, Sports and Culture, Japan (grant nos. 18K09764, 18K17166, 15H05042 and 17K11869).

Availability of data and material

The datasets used and/or analyzed during the present study are available from the corresponding author on reasonable request.

Authors' contributions

HN was responsible for the conception and design of the study. YYF, RJ KK, IK and KL performed the experiments. YYF and HN wrote the manuscript. KO, GBG and SK assisted in the design of the study. HN edited the manuscript. All authors have read and approved the final manuscript. GBG and HN confirm the authenticity of all the raw data.

Ethics approval and consent to participate

All the studies using laboratory animals were approved by the Institutional Animal Care and Use Committees of Kanazawa University (approval no. AP183935). The protocols employed in the present study adhered to all applicable institutional and governmental guidelines for the humane care and use of laboratory animals.

Patient consent for publication

Not applicable.

Competing interests

The authors declare that they have no competing interests.

References

1 

Power A and Carter L: Osteochondroma of the mandibular condyle: an unusual case of dentofacial asymmetry. Dent Update. 42:369–370. 372:2015.PubMed/NCBI View Article : Google Scholar

2 

Nagori SA, Jose A, Bhutia O and Roychoudhury A: Undiagnosed mandibular condylar fractures causing temporomandibular joint ankylosis: A problem in northern India. Natl Med J India. 27:251–255. 2014.PubMed/NCBI

3 

Durham J, McDonald C, Hutchinson L and Newton JL: Painful temporomandibular disorders are common in patients with postural orthostatic tachycardia syndrome and impact significantly upon quality of life. J Oral Facial Pain Headache. 29:152–157. 2015.PubMed/NCBI View Article : Google Scholar

4 

Sierwald I, John MT, Schierz O, Hirsch C, Sagheri D, Jost-Brinkmann PG and Reissmann DR: Association of temporomandibular disorder pain with awake and sleep bruxism in adults. J Orofac Orthop. 76:305–317. 2015.PubMed/NCBI View Article : Google Scholar

5 

Tosato JP, Caria PH, Gomes CA, Berzin F, Politti F, Gonzalez TO and Biasotto-Gonzalez DA: Correlation of stress and muscle activity of patients with different degrees of temporomandibular disorder. J Phys Ther Sci. 27:1227–1231. 2015.PubMed/NCBI View Article : Google Scholar

6 

Fang PK, Ma XC, Ma DL and Fu KY: Determination of interleukin-1 receptor antagonist, interleukin-10, and transforming growth factor-beta1 in synovial fluid aspirates of patients with temporomandibular disorders. J Oral Maxillofac Surg. 57:922–928; discussion 928-929. 1999.PubMed/NCBI View Article : Google Scholar

7 

de Bont LG, Boering G, Liem RS, Eulderink F and Westesson PL: Osteoarthritis and internal derangement of the temporomandibular joint: A light microscopic study. J Oral Maxillofac Surg. 44:634–643. 1986.PubMed/NCBI View Article : Google Scholar

8 

Shafer DM, Assael L, White LB and Rossomando EF: Tumor necrosis factor-alpha as a biochemical marker of pain and outcome in temporomandibular joints with internal derangements. J Oral Maxillofac Surg. 52:786–791; discussion 791-792. 1994.PubMed/NCBI View Article : Google Scholar

9 

Sandler NA, Buckley MJ, Cillo JE and Braun TW: Correlation of inflammatory cytokines with arthroscopic findings in patients with temporomandibular joint internal derangements. J Oral Maxillofac Surg. 56:534–543; discussion 543-544. 1998.PubMed/NCBI View Article : Google Scholar

10 

Sakamaki H, Ogura N, Kujiraoka H, Akiba M, Abiko Y and Nagura H: Activities of plasminogen activator, plasmin and kallikrein in synovial fluid from patients with temporomandibular joint disorders. Int J Oral Maxillofac Surg. 30:323–328. 2001.PubMed/NCBI View Article : Google Scholar

11 

Takahashi T, Kondoh T, Fukuda M, Yamazaki Y, Toyosaki T and Suzuki R: Proinflammatory cytokines detectable in synovial fluids from patients with temporomandibular disorders. Oral Surg Oral Med Oral Pathol Oral Radiol Endod. 85:135–141. 1998.PubMed/NCBI View Article : Google Scholar

12 

de Bont LG and Stegenga B: Pathology of temporomandibular joint internal derangement and osteoarthrosis. Int J Oral Maxillofac Surg. 22:71–74. 1993.PubMed/NCBI View Article : Google Scholar

13 

Kobayashi K, Jokaji R, Miyazawa-Hira M, Takatsuka S, Tanaka A, Ooi K, Nakamura H and Kawashiri S: Elastin derived peptides are involved in the processes of human temporomandibular disorder by inducing inflammatory responses in synovial cells. Mol Med Rep. 16:3147–3154. 2017.PubMed/NCBI View Article : Google Scholar

14 

Chambers MG, Cox L, Chong L, Suri N, Cover P, Bayliss MT and Mason RM: Matrix metalloproteinases and aggrecanases cleave aggrecan in different zones of normal cartilage but colocalize in the development of osteoarthritic lesions in STR/ort mice. Arthritis Rheum. 44:1455–1465. 2001.PubMed/NCBI View Article : Google Scholar

15 

Kumagai K, Suzuki S, Kanri Y, Matsubara R, Fujii K, Wake M, Suzuki R and Hamada Y: Spontaneously developed osteoarthritis in the temporomandibular joint in STR/ort mice. Biomed Rep. 3:453–456. 2015.PubMed/NCBI View Article : Google Scholar

16 

Glasson SS, Chambers MG, Van Den Berg WB and Little CB: The OARSI histopathology initiative - recommendations for histological assessments of osteoarthritis in the mouse. Osteoarthritis Cartilage. 18 (Suppl 3):S17–S23. 2010.PubMed/NCBI View Article : Google Scholar

17 

Valverde-Franco G, Pelletier JP, Fahmi H, Hum D, Matsuo K, Lussier B, Kapoor M and Martel-Pelletier J: In vivo bone-specific EphB4 overexpression in mice protects both subchondral bone and cartilage during osteoarthritis. Arthritis Rheum. 64:3614–3625. 2012.PubMed/NCBI View Article : Google Scholar

18 

Nakamura H, Vo P, Kanakis I, Liu K and Bou-Gharios G: Aggrecanase-selective tissue inhibitor of metalloproteinase-3 (TIMP3) protects articular cartilage in a surgical mouse model of osteoarthritis. Sci Rep. 10(9288)2020.PubMed/NCBI View Article : Google Scholar

19 

Dreessen D and Halata Z: Age-related osteo-arthrotic degeneration of the temporomandibular joint in the mouse. Acta Anat (Basel). 139:91–96. 1990.PubMed/NCBI View Article : Google Scholar

20 

He B, Wu JP, Chen HH, Kirk TB and Xu J: Elastin fibers display a versatile microfibril network in articular cartilage depending on the mechanical microenvironments. J Orthop Res. 31:1345–1353. 2013.PubMed/NCBI View Article : Google Scholar

21 

Duca L, Lambert E, Debret R, Rothhut B, Blanchevoye C, Delacoux F, Hornebeck W, Martiny L and Debelle L: Elastin peptides activate extracellular signal-regulated kinase 1/2 via a Ras-independent mechanism requiring both p110gamma/Raf-1 and protein kinase A/B-Raf signaling in human skin fibroblasts. Mol Pharmacol. 67:1315–1324. 2005.PubMed/NCBI View Article : Google Scholar

22 

Houghton AM, Quintero PA, Perkins DL, Kobayashi DK, Kelley DG, Marconcini LA, Mecham RP, Senior RM and Shapiro SD: Elastin fragments drive disease progression in a murine model of emphysema. J Clin Invest. 116:753–759. 2006.PubMed/NCBI View Article : Google Scholar

23 

Robinet A, Fahem A, Cauchard JH, Huet E, Vincent L, Lorimier S, Antonicelli F, Soria C, Crepin M, Hornebeck W, et al: Elastin-derived peptides enhance angiogenesis by promoting endothelial cell migration and tubulogenesis through upregulation of MT1-MMP. J Cell Sci. 118:343–356. 2005.PubMed/NCBI View Article : Google Scholar

24 

Gabay C: Interleukin-6 and chronic inflammation. Arthritis Res Ther. 8 (Suppl 2)(S3)2006.PubMed/NCBI View Article : Google Scholar

25 

Kaspiris A, Khaldi L, Chronopoulos E, Vasiliadis E, Grivas TB, Kouvaras I, Dagkas S and Papadimitriou E: Macrophage-specific metalloelastase (MMP-12) immunoexpression in the osteochondral unit in osteoarthritis correlates with BMI and disease severity. Pathophysiology. 22:143–151. 2015.PubMed/NCBI View Article : Google Scholar

26 

Hou P, Troen T, Ovejero MC, Kirkegaard T, Andersen TL, Byrjalsen I, Ferreras M, Sato T, Shapiro SD, Foged NT, et al: Matrix metalloproteinase-12 (MMP-12) in osteoclasts: New lesson on the involvement of MMPs in bone resorption. Bone. 34:37–47. 2004.PubMed/NCBI View Article : Google Scholar

27 

Chandler S, Cossins J, Lury J and Wells G: Macrophage metalloelastase degrades matrix and myelin proteins and processes a tumour necrosis factor-alpha fusion protein. Biochem Biophys Res Commun. 228:421–429. 1996.PubMed/NCBI View Article : Google Scholar

28 

Fu JY, Lyga A, Shi H, Blue ML, Dixon B and Chen D: Cloning, expression, purification, and characterization of rat MMP-12. Protein Expr Purif. 21:268–274. 2001.PubMed/NCBI View Article : Google Scholar

29 

Flannery CR, Little CB, Hughes CE, Curtis CL, Caterson B and Jones SA: IL-6 and its soluble receptor augment aggrecanase-mediated proteoglycan catabolism in articular cartilage. Matrix Biol. 19:549–553. 2000.PubMed/NCBI View Article : Google Scholar

30 

Tortorella MD and Malfait AM: Will the real aggrecanase(s) step up: Evaluating the criteria that define aggrecanase activity in osteoarthritis. Curr Pharm Biotechnol. 9:16–23. 2008.PubMed/NCBI View Article : Google Scholar

31 

Stanton H, Rogerson FM, East CJ, Golub SB, Lawlor KE, Meeker CT, Little CB, Last K, Farmer PJ, Campbell IK, et al: ADAMTS5 is the major aggrecanase in mouse cartilage in vivo and in vitro. Nature. 434:648–652. 2005.PubMed/NCBI View Article : Google Scholar

32 

Glasson SS, Askew R, Sheppard B, Carito B, Blanchet T, Ma HL, Flannery CR, Peluso D, Kanki K, Yang Z, et al: Deletion of active ADAMTS5 prevents cartilage degradation in a murine model of osteoarthritis. Nature. 434:644–648. 2005.PubMed/NCBI View Article : Google Scholar : Erratum in: Nature 446, 102, 2007.

33 

Ohshima S, Saeki Y, Mima T, Sasai M, Nishioka K, Nomura S, Kopf M, Katada Y, Tanaka T, Suemura M, et al: Interleukin 6 plays a key role in the development of antigen-induced arthritis. Proc Natl Acad Sci USA. 95:8222–8226. 1998.PubMed/NCBI View Article : Google Scholar

34 

Fosang AJ, Last K, Stanton H, Golub SB, Little CB, Brown L and Jackson DC: Neoepitope antibodies against MMP-cleaved and aggrecanase-cleaved aggrecan. Methods Mol Biol. 622:312–347. 2010.PubMed/NCBI View Article : Google Scholar

35 

Legendre F, Bogdanowicz P, Boumediene K and Pujol JP: Role of interleukin 6 (IL-6)/IL-6R-induced signal tranducers and activators of transcription and mitogen-activated protein kinase/extracellular. J Rheumatol. 32:1307–1316. 2005.PubMed/NCBI

36 

Sasai M, Saeki Y, Ohshima S, Nishioka K, Mima T, Tanaka T, Katada Y, Yoshizaki K, Suemura M and Kishimoto T: Delayed onset and reduced severity of collagen-induced arthritis in interleukin-6-deficient mice. Arthritis Rheum. 42:1635–1643. 1999.PubMed/NCBI View Article : Google Scholar

Related Articles

  • Abstract
  • View
  • Download
  • Twitter
Copy and paste a formatted citation
Spandidos Publications style
Yamashita‑Futani Y, Jokaji R, Ooi K, Kobayashi K, Kanakis I, Liu K, Kawashiri S, Bou‑Gharios G and Nakamura H: Metalloelastase‑12 is involved in the temporomandibular joint inflammatory response as well as cartilage degradation by aggrecanases in STR/Ort mice. Biomed Rep 14: 51, 2021.
APA
Yamashita‑Futani, Y., Jokaji, R., Ooi, K., Kobayashi, K., Kanakis, I., Liu, K. ... Nakamura, H. (2021). Metalloelastase‑12 is involved in the temporomandibular joint inflammatory response as well as cartilage degradation by aggrecanases in STR/Ort mice. Biomedical Reports, 14, 51. https://doi.org/10.3892/br.2021.1427
MLA
Yamashita‑Futani, Y., Jokaji, R., Ooi, K., Kobayashi, K., Kanakis, I., Liu, K., Kawashiri, S., Bou‑Gharios, G., Nakamura, H."Metalloelastase‑12 is involved in the temporomandibular joint inflammatory response as well as cartilage degradation by aggrecanases in STR/Ort mice". Biomedical Reports 14.6 (2021): 51.
Chicago
Yamashita‑Futani, Y., Jokaji, R., Ooi, K., Kobayashi, K., Kanakis, I., Liu, K., Kawashiri, S., Bou‑Gharios, G., Nakamura, H."Metalloelastase‑12 is involved in the temporomandibular joint inflammatory response as well as cartilage degradation by aggrecanases in STR/Ort mice". Biomedical Reports 14, no. 6 (2021): 51. https://doi.org/10.3892/br.2021.1427
Copy and paste a formatted citation
x
Spandidos Publications style
Yamashita‑Futani Y, Jokaji R, Ooi K, Kobayashi K, Kanakis I, Liu K, Kawashiri S, Bou‑Gharios G and Nakamura H: Metalloelastase‑12 is involved in the temporomandibular joint inflammatory response as well as cartilage degradation by aggrecanases in STR/Ort mice. Biomed Rep 14: 51, 2021.
APA
Yamashita‑Futani, Y., Jokaji, R., Ooi, K., Kobayashi, K., Kanakis, I., Liu, K. ... Nakamura, H. (2021). Metalloelastase‑12 is involved in the temporomandibular joint inflammatory response as well as cartilage degradation by aggrecanases in STR/Ort mice. Biomedical Reports, 14, 51. https://doi.org/10.3892/br.2021.1427
MLA
Yamashita‑Futani, Y., Jokaji, R., Ooi, K., Kobayashi, K., Kanakis, I., Liu, K., Kawashiri, S., Bou‑Gharios, G., Nakamura, H."Metalloelastase‑12 is involved in the temporomandibular joint inflammatory response as well as cartilage degradation by aggrecanases in STR/Ort mice". Biomedical Reports 14.6 (2021): 51.
Chicago
Yamashita‑Futani, Y., Jokaji, R., Ooi, K., Kobayashi, K., Kanakis, I., Liu, K., Kawashiri, S., Bou‑Gharios, G., Nakamura, H."Metalloelastase‑12 is involved in the temporomandibular joint inflammatory response as well as cartilage degradation by aggrecanases in STR/Ort mice". Biomedical Reports 14, no. 6 (2021): 51. https://doi.org/10.3892/br.2021.1427
Follow us
  • Twitter
  • LinkedIn
  • Facebook
About
  • Spandidos Publications
  • Careers
  • Cookie Policy
  • Privacy Policy
How can we help?
  • Help
  • Live Chat
  • Contact
  • Email to our Support Team