Spandidos Publications Logo
  • About
    • About Spandidos
    • Aims and Scopes
    • Abstracting and Indexing
    • Editorial Policies
    • Reprints and Permissions
    • Job Opportunities
    • Terms and Conditions
    • Contact
  • Journals
    • All Journals
    • Oncology Letters
      • Oncology Letters
      • Information for Authors
      • Editorial Policies
      • Editorial Board
      • Aims and Scope
      • Abstracting and Indexing
      • Bibliographic Information
      • Archive
    • International Journal of Oncology
      • International Journal of Oncology
      • Information for Authors
      • Editorial Policies
      • Editorial Board
      • Aims and Scope
      • Abstracting and Indexing
      • Bibliographic Information
      • Archive
    • Molecular and Clinical Oncology
      • Molecular and Clinical Oncology
      • Information for Authors
      • Editorial Policies
      • Editorial Board
      • Aims and Scope
      • Abstracting and Indexing
      • Bibliographic Information
      • Archive
    • Experimental and Therapeutic Medicine
      • Experimental and Therapeutic Medicine
      • Information for Authors
      • Editorial Policies
      • Editorial Board
      • Aims and Scope
      • Abstracting and Indexing
      • Bibliographic Information
      • Archive
    • International Journal of Molecular Medicine
      • International Journal of Molecular Medicine
      • Information for Authors
      • Editorial Policies
      • Editorial Board
      • Aims and Scope
      • Abstracting and Indexing
      • Bibliographic Information
      • Archive
    • Biomedical Reports
      • Biomedical Reports
      • Information for Authors
      • Editorial Policies
      • Editorial Board
      • Aims and Scope
      • Abstracting and Indexing
      • Bibliographic Information
      • Archive
    • Oncology Reports
      • Oncology Reports
      • Information for Authors
      • Editorial Policies
      • Editorial Board
      • Aims and Scope
      • Abstracting and Indexing
      • Bibliographic Information
      • Archive
    • Molecular Medicine Reports
      • Molecular Medicine Reports
      • Information for Authors
      • Editorial Policies
      • Editorial Board
      • Aims and Scope
      • Abstracting and Indexing
      • Bibliographic Information
      • Archive
    • World Academy of Sciences Journal
      • World Academy of Sciences Journal
      • Information for Authors
      • Editorial Policies
      • Editorial Board
      • Aims and Scope
      • Abstracting and Indexing
      • Bibliographic Information
      • Archive
    • International Journal of Functional Nutrition
      • International Journal of Functional Nutrition
      • Information for Authors
      • Editorial Policies
      • Editorial Board
      • Aims and Scope
      • Abstracting and Indexing
      • Bibliographic Information
      • Archive
    • International Journal of Epigenetics
      • International Journal of Epigenetics
      • Information for Authors
      • Editorial Policies
      • Editorial Board
      • Aims and Scope
      • Abstracting and Indexing
      • Bibliographic Information
      • Archive
    • Medicine International
      • Medicine International
      • Information for Authors
      • Editorial Policies
      • Editorial Board
      • Aims and Scope
      • Abstracting and Indexing
      • Bibliographic Information
      • Archive
  • Articles
  • Information
    • Information for Authors
    • Information for Reviewers
    • Information for Librarians
    • Information for Advertisers
    • Conferences
  • Language Editing
Spandidos Publications Logo
  • About
    • About Spandidos
    • Aims and Scopes
    • Abstracting and Indexing
    • Editorial Policies
    • Reprints and Permissions
    • Job Opportunities
    • Terms and Conditions
    • Contact
  • Journals
    • All Journals
    • Biomedical Reports
      • Information for Authors
      • Editorial Policies
      • Editorial Board
      • Aims and Scope
      • Abstracting and Indexing
      • Bibliographic Information
      • Archive
    • Experimental and Therapeutic Medicine
      • Information for Authors
      • Editorial Policies
      • Editorial Board
      • Aims and Scope
      • Abstracting and Indexing
      • Bibliographic Information
      • Archive
    • International Journal of Epigenetics
      • Information for Authors
      • Editorial Policies
      • Editorial Board
      • Aims and Scope
      • Abstracting and Indexing
      • Bibliographic Information
      • Archive
    • International Journal of Functional Nutrition
      • Information for Authors
      • Editorial Policies
      • Editorial Board
      • Aims and Scope
      • Abstracting and Indexing
      • Bibliographic Information
      • Archive
    • International Journal of Molecular Medicine
      • Information for Authors
      • Editorial Policies
      • Editorial Board
      • Aims and Scope
      • Abstracting and Indexing
      • Bibliographic Information
      • Archive
    • International Journal of Oncology
      • Information for Authors
      • Editorial Policies
      • Editorial Board
      • Aims and Scope
      • Abstracting and Indexing
      • Bibliographic Information
      • Archive
    • Medicine International
      • Information for Authors
      • Editorial Policies
      • Editorial Board
      • Aims and Scope
      • Abstracting and Indexing
      • Bibliographic Information
      • Archive
    • Molecular and Clinical Oncology
      • Information for Authors
      • Editorial Policies
      • Editorial Board
      • Aims and Scope
      • Abstracting and Indexing
      • Bibliographic Information
      • Archive
    • Molecular Medicine Reports
      • Information for Authors
      • Editorial Policies
      • Editorial Board
      • Aims and Scope
      • Abstracting and Indexing
      • Bibliographic Information
      • Archive
    • Oncology Letters
      • Information for Authors
      • Editorial Policies
      • Editorial Board
      • Aims and Scope
      • Abstracting and Indexing
      • Bibliographic Information
      • Archive
    • Oncology Reports
      • Information for Authors
      • Editorial Policies
      • Editorial Board
      • Aims and Scope
      • Abstracting and Indexing
      • Bibliographic Information
      • Archive
    • World Academy of Sciences Journal
      • Information for Authors
      • Editorial Policies
      • Editorial Board
      • Aims and Scope
      • Abstracting and Indexing
      • Bibliographic Information
      • Archive
  • Articles
  • Information
    • For Authors
    • For Reviewers
    • For Librarians
    • For Advertisers
    • Conferences
  • Language Editing
Login Register Submit
  • This site uses cookies
  • You can change your cookie settings at any time by following the instructions in our Cookie Policy. To find out more, you may read our Privacy Policy.

    I agree
Search articles by DOI, keyword, author or affiliation
Search
Advanced Search
presentation
Biomedical Reports
Join Editorial Board Propose a Special Issue
Print ISSN: 2049-9434 Online ISSN: 2049-9442
Journal Cover
December-2021 Volume 15 Issue 6

Full Size Image

Sign up for eToc alerts
Recommend to Library

Journals

International Journal of Molecular Medicine

International Journal of Molecular Medicine

International Journal of Molecular Medicine is an international journal devoted to molecular mechanisms of human disease.

International Journal of Oncology

International Journal of Oncology

International Journal of Oncology is an international journal devoted to oncology research and cancer treatment.

Molecular Medicine Reports

Molecular Medicine Reports

Covers molecular medicine topics such as pharmacology, pathology, genetics, neuroscience, infectious diseases, molecular cardiology, and molecular surgery.

Oncology Reports

Oncology Reports

Oncology Reports is an international journal devoted to fundamental and applied research in Oncology.

Experimental and Therapeutic Medicine

Experimental and Therapeutic Medicine

Experimental and Therapeutic Medicine is an international journal devoted to laboratory and clinical medicine.

Oncology Letters

Oncology Letters

Oncology Letters is an international journal devoted to Experimental and Clinical Oncology.

Biomedical Reports

Biomedical Reports

Explores a wide range of biological and medical fields, including pharmacology, genetics, microbiology, neuroscience, and molecular cardiology.

Molecular and Clinical Oncology

Molecular and Clinical Oncology

International journal addressing all aspects of oncology research, from tumorigenesis and oncogenes to chemotherapy and metastasis.

World Academy of Sciences Journal

World Academy of Sciences Journal

Multidisciplinary open-access journal spanning biochemistry, genetics, neuroscience, environmental health, and synthetic biology.

International Journal of Functional Nutrition

International Journal of Functional Nutrition

Open-access journal combining biochemistry, pharmacology, immunology, and genetics to advance health through functional nutrition.

International Journal of Epigenetics

International Journal of Epigenetics

Publishes open-access research on using epigenetics to advance understanding and treatment of human disease.

Medicine International

Medicine International

An International Open Access Journal Devoted to General Medicine.

Journal Cover
December-2021 Volume 15 Issue 6

Full Size Image

Sign up for eToc alerts
Recommend to Library

  • Article
  • Citations
    • Cite This Article
    • Download Citation
    • Create Citation Alert
    • Remove Citation Alert
    • Cited By
  • Similar Articles
    • Related Articles (in Spandidos Publications)
    • Similar Articles (Google Scholar)
    • Similar Articles (PubMed)
  • Download PDF
  • Download XML
  • View XML
Case Report Open Access

Staphylococcus aureus mediastinitis following a skin infection in a non‑immunocompromised patient: A case report

  • Authors:
    • Konstantinos Mantzouranis
    • Vasiliki Epameinondas Georgakopoulou
    • Dimitrios Mermigkis
    • Christos Damaskos
    • Nikolaos Garmpis
    • Petros Papalexis
    • Aikaterini Gkoufa
    • Panagiotis Drossos
    • Serafeim Chlapoutakis
    • Anna Garmpi
    • Pagona Sklapani
    • Nikolaos Trakas
    • Xanthi Tsiafaki
  • View Affiliations / Copyright

    Affiliations: 1st Pulmonology Department Sismanogleio Hospital, 15126 Athens, Greece, Pulmonology Department, Laiko General Hospital, Medical School, National and Kapodistrian University of Athens, 11527 Athens, Greece, Renal Transplantation Unit, Laiko General Hospital, Medical School, National and Kapodistrian University of Athens, 11527 Athens, Greece, N.S. Christeas Laboratory of Experimental Surgery and Surgical Research; Medical School, National and Kapodistrian University of Athens, 11527 Athens, Greece, First Department of Propedeutic Internal Medicine, Laiko General Hospital, Medical School, National and Kapodistrian University of Athens, 11527 Athens, Greece, First Department of Internal Medicine, Laiko General Hospital, Medical School, National and Kapodistrian University of Athens, 11527 Athens, Greece, Department of Biomedical Sciences, University of West Attica, 12243 Athens, Greece, Department of Thoracic Surgery, Agios Savvas Hospital, 11522 Athens, Greece, Department of Cytology, Mitera Hospital, 15123 Athens, Greece, Department of Biochemistry, Sismanogleio Hospital, 15126 Athens, Greece
    Copyright: © Mantzouranis et al. This is an open access article distributed under the terms of Creative Commons Attribution License.
  • Article Number: 104
    |
    Published online on: October 21, 2021
       https://doi.org/10.3892/br.2021.1480
  • Expand metrics +
Metrics: Total Views: 0 (Spandidos Publications: | PMC Statistics: )
Metrics: Total PDF Downloads: 0 (Spandidos Publications: | PMC Statistics: )
Cited By (CrossRef): 0 citations Loading Articles...

This article is mentioned in:



Abstract

Mediastinitis is a severe inflammation of the structures located in the mid‑chest cavity. Three main causes of infective mediastinitis are traditionally recognized: Deep infection of a sternal wound following cardiothoracic surgery, perforation of the esophagus, and the descending necrotizing mediastinitis as a result of odontogenic, pharyngeal or cervical infections. Mediastinitis, as a complication of skin infection with hematogenous spread is infrequent. Methicillin‑resistant Staphylococcus aureus (MRSA) is a gram‑positive bacteria, and is responsible for numerous severe infections. MRSA mediastinitis is a rare infection and is typically associated with complications of sternotomy and retropharyngeal abscesses. Here, the second known case of mediastinitis of a hematogenous origin in a non‑immunocompromised 41‑year‑old patient following primary skin infection, accompanied by sternal osteomyelitis, lung consolidation and pleural effusion is described; MRSA was the responsible pathogen. The clinical course was favorable after 6 weeks of antibiotics administration without drainage or surgical intervention.

Introduction

Mediastinitis, which is an inflammation of the chest region between the lungs, develops mostly due to a deep wound infection of the sternum, pneumonia, perforation of the esophagus, or descending necrotizing mediastinitis resulting from ear-nose-throat infections (1). Very rarely, mediastinitis can occur from hematogenous spread, and is usually a complication of the health care received (2).

Microorganisms frequently implicated in mediastinal infections include anaerobes, Streptococcus species, Corynebacterium species and members of the family Enterobacteriaceae (3). Methicillin-resistant Staphylococcus aureus (MRSA) continues to emerge as a causative agent of serious infections, mostly skin and soft tissue infections (4,5). MRSA is more frequently related to mediastinal infections following cardiothoracic surgery, intravenous drug use and retropharyngeal abscesses (3).

Few cases of MRSA mediastinitis have been described. Herein, the rare case of MRSA mediastinitis accompanied by pulmonary consolidation, pleural effusion and sternal osteomyelitis following facial skin infection in, an otherwise healthy, 41-year-old man is reported.

Case report

A 41-year-old male non-smoking patient presented to Sismanogleio Hospital with fever and anterior thoracic pain over the previous 7 days. He had a medical history of gastroesophageal reflux, and was not receiving any medication. The patient had no history of diabetes mellitus, intravenous drug abuse, chronic obstructive pulmonary disease or other comorbidities, and no history of hospitalization and antibiotic intake in the previous 90 days.

Clinical evaluation revealed a febrile patient with dullness on percussion and crackles on auscultation at the base of the left lung. He also had boils and carbuncles in his face, with a pus-filled, 1 cm in greatest dimension, skin lesion on his forehead. The skin over the infected area was red and swollen (Fig. 1A). Physical examination of the oropharyngeal region did not reveal abnormal findings. Clinical examination did not also reveal neck lymph node enlargement or obvious inflammation of neck skin and soft tissues.

Figure 1

The skin lesion and chest X-ray on admission. (A) Pus-filled, 1 cm in greatest dimension, skin lesion on the patient’s forehead. The skin over the infected area is red and swollen. (B) Chest X-ray shows consolidation in the left lower lobe with blunting of the left costophrenic angle.

Blood pressure was 150/85 mmHg, heart rate was 89 beats per minute, oxygen saturation was 96% on room air and body temperature was 38.6˚C. Electrocardiography did not reveal abnormal findings on admission. Chest X-ray revealed consolidation in the left lower lobe with blunting of the left costophrenic angle (Fig. 1B).

Laboratory investigation included complete blood cell count, and standard biochemistry serum and urine parameters. Laboratory findings included hemoglobin, 14.6 g/dl (normal range, 12-15 g/dl); white blood cell count, 13.37x103/µl (normal range, 4-11x103/µl); platelet count, 167x103/µl (normal range, 150-400x103/µl); serum glucose, 95 mg/dl (normal range, 60-100 mg/dl), C-reactive protein (CRP), 96 mg/l (normal range, <6 mg/l) and D-dimers, 170.4 µg/l (normal range, <500 µg/l). Urinalysis and other blood biochemistry parameters were normal.

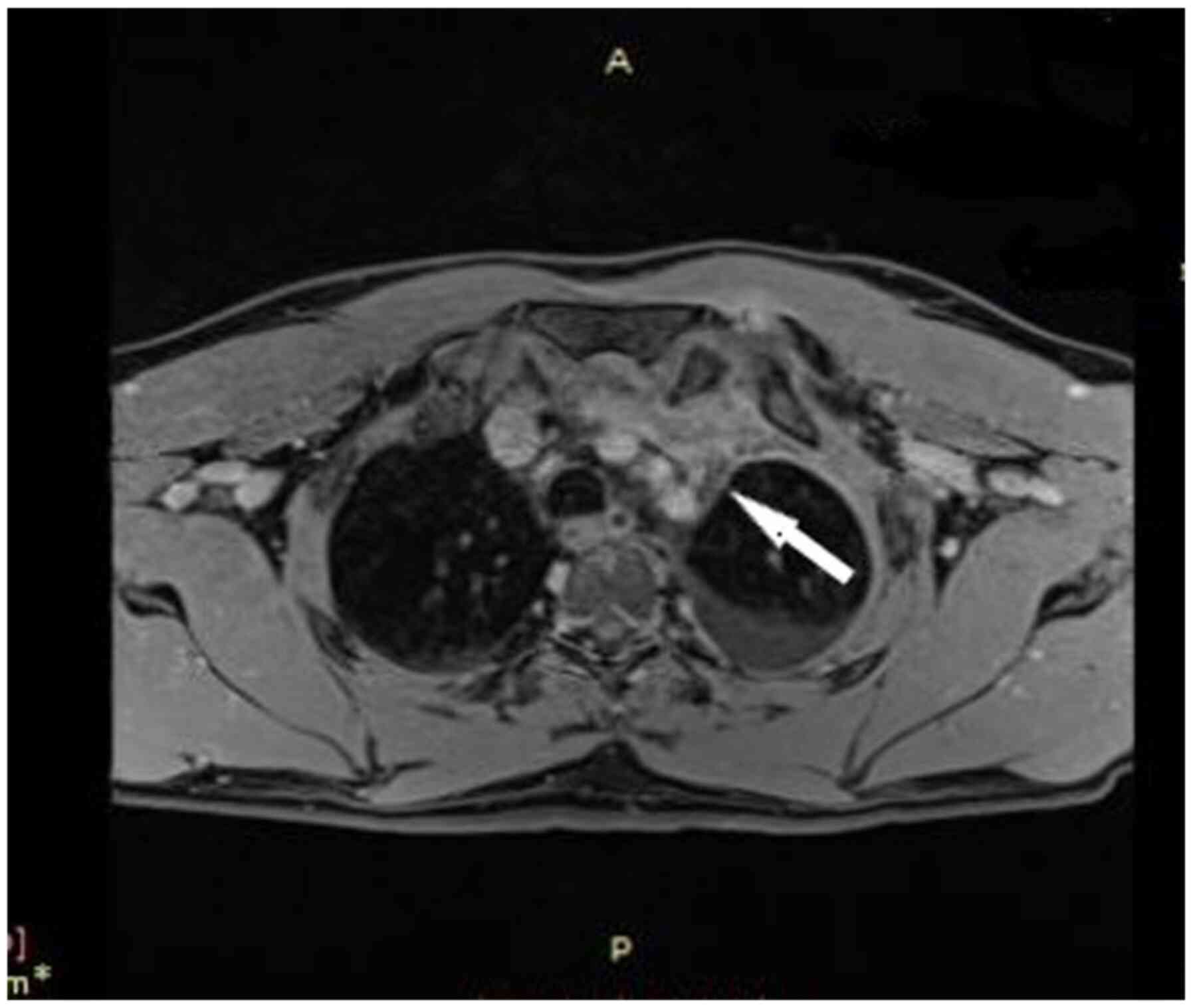
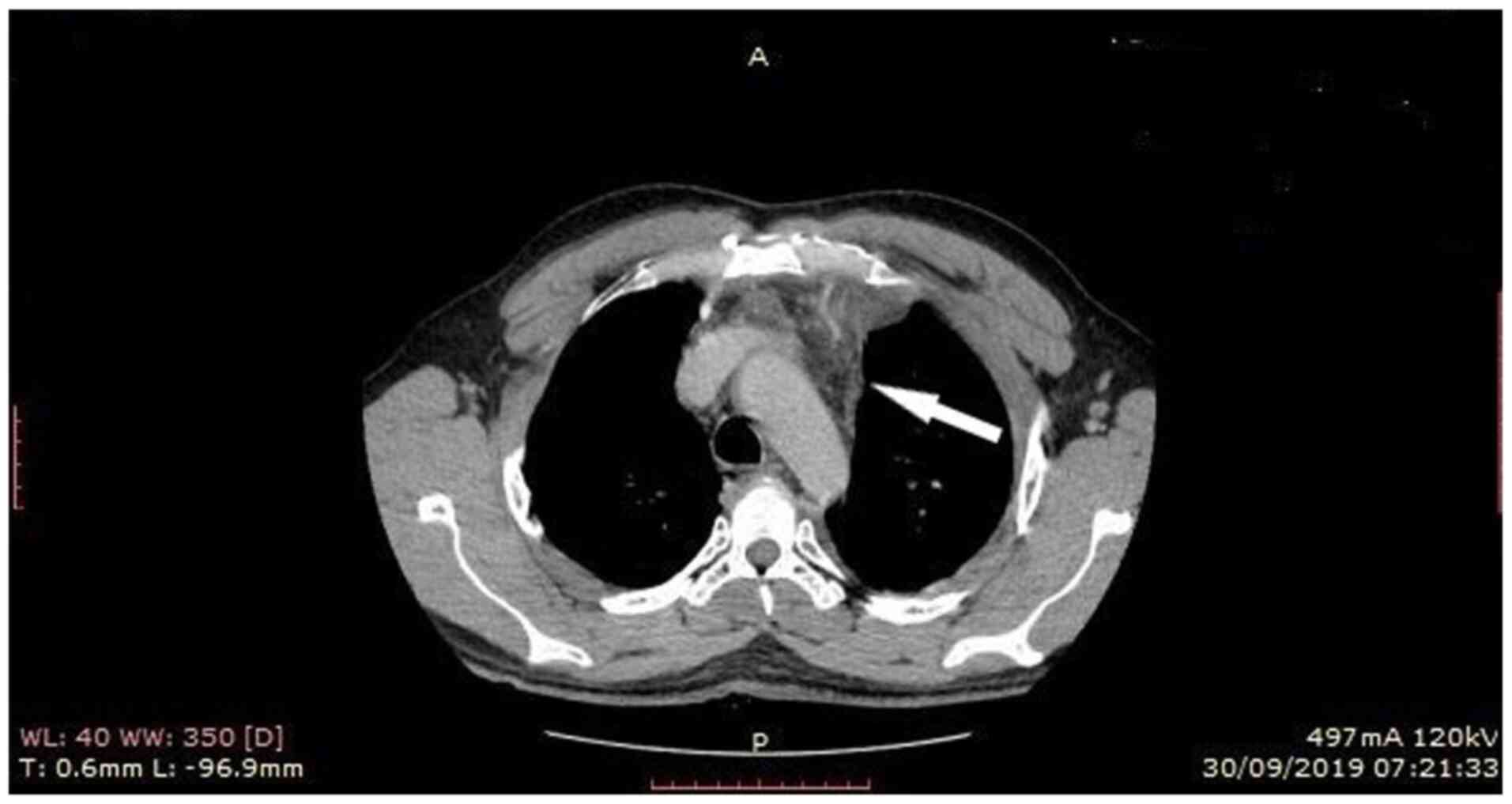
The patient underwent computed tomography (CT) of the chest showing consolidation in the left lower lobe with left pleural effusion, edema of the soft tissue adjacent to the first sternocostal joint and heterogeneity, and invasion of the retrosternal fat (Figs. 2 and 3). In addition, the patient underwent magnetic resonance imaging (MRI) of the chest, to obtain detailed information regarding the pleura and mediastinum, that revealed abnormal soft tissue with dimensions at transverse level 7.0x1.3 cm, containing cystic lesions, adjacent to the first sternocostal joint, indicating inflammation in sternocostal cartilage. MRI also revealed contrast enhancement of the ipsilateral mediastinal pleura, imaging compatible with mediastinitis (Fig. 4).

Figure 2

Chest computed tomography (mediastinal window) shows edema of the soft tissue adjacent to the first sternocostal joint and retrosternal fat heterogeneity/invasion. A, anterior; P, posterior.

Figure 3

Lung window: Consolidation in the left lower lobe with left pleural effusion. A, anterior; P, posterior.

Figure 4

Magnetic Resonance Imaging of the chest shows a large abnormal soft tissue containing cystic lesions, adjacent to the first sternocostal joint. A, anterior; P, posterior.

Three blood cultures and culture of the pus from the area of facial infection were obtained before administration of antibiotics. The pleural effusion was assessed with pleural ultrasound and was not tapped due to its small size. The patient was treated with intravenous ceftriaxone (2 g single daily dose) and intravenous vancomycin (1 g twice daily) for pneumonia and skin infection, and metronidazole (500 mg three times daily) for anaerobic coverage regarding the suspected pleural infection empirically. MRSA, with susceptibility to ciprofloxacin, trimethoprim-sulfamethoxazole, vancomycin and linezolid, and resistance to clindamycin, was isolated both from blood cultures and from pus culture. MRSA was considered the causative agent for the mediastinal and lung lesions. A CT-guided aspiration of the cystic lesions for culture and susceptibility testing was performed, and this culture also revealed MRSA.

Transthoracic echocardiography was performed with normal ejection fraction and valve function. The patient was evaluated with an immunologic workup, with no immunodeficiency being identified. Immunoglobulin panel and T cell subpopulations were normal. Dihydrorhodamine testing for chronic granulomatous disease was also performed in order to exclude another rare etiology of severe MRSA infection. Human immunodeficiency virus testing was also negative.

The patient presented with improvement in clinical manifestations and blood inflammatory indices on the second day of hospitalization, and the fever subsided on the fourth day of hospitalization. There was no need for surgical procedure due to the good clinical response to antibiotics. The patient received intravenous vancomycin for 4 weeks and then there was a switch to oral treatment with ciprofloxacin 500 mg twice daily for 2 weeks. Table I shows the prescription history and recovery flow of the patient. There was also complete recovery observed in the imaging evaluation (Fig. 5).

Figure 5

Chest computed tomography after 6 weeks of treatment (A) Chest computed tomography (mediastinal window). (B) Chest computed tomography (lung window). Complete remission of the lesions can be seen in both the panels.

Table I

Prescription history and recovery course of the patient.

Table I

Prescription history and recovery course of the patient.

DayRecovery course
Days 1-4Administration of intravenous Ceftriaxone, Vancomycin and Metronidazole
Day 2Improvement in clinical manifestations and blood inflammatory indices.
Day 4Fever subsidence.
Day 4Positive cultures from blood, pus and cystic lesions-isolation of Methicillin -resistant -resistant Staphylococcus aureus.
Day 4-28Administration of intravenous Vancomycin.
Days 29-42Administration of oral Ciprofloxacin .
Day 43Complete recovery; inflammatory indices within normal range.

Discussion

The present report describes the rare case of a MRSA mediastinitis and sternal osteomyelitis infection accompanied by pulmonary consolidation and pleural effusion following skin infection, which was caused by a hematogenous spread in an immunocompetent host. Risk factors for MRSA infections include intravenous drug use, immunodeficiency, prior therapy with antibiotics and recent hospitalization. Young age, low socioeconomic status, and minority ethnicity have also been identified as emerging risk factors (3).

Moreover, MRSA mediastinitis is a particularly infrequent infection, and it has previously been known to be associated with complications of sternotomy and retropharyngeal abscesses (3). However, the patient described in the present case report did not have a retropharyngeal infection or cardiothoracic surgery, nor established immunodeficiency.

Common findings in mediastinitis are leukocytosis and elevations in CRP levels (6,7). In certain cases of acute mediastinitis, high levels of CRP are associated with a greater risk of death (6,7). In the present case report, the patient also presented with increased levels of CRP. This biomarker was used to detect response to therapy, and it was within the normal range at the end of the treatment.

Although mediastinitis, as a result of hematogenous spread is rare, it has been described previously. Smith and Sinzobahamvya (8) reported an interesting case of an 11-year-old child with septic arthritis due to Staphylococcus aureus, complicated with anterior mediastinal abscess through hematogenous spread. Mediastinitis usually results from a wide range of etiologies, including esophageal perforation, lung infection, infected lymph nodes of the neck, an infected sternotomy wound, odontogenic infection, peritonsillar or retropharyngeal abscess, trauma of the cervix, epiglottitis, sinusitis and intravenous drug use (9). Mediastinitis as a result of hematogenous spread was also described by Calvano et al (3) in a case of an immunocompromised 47-year-old female who presented with pneumonia complicated with bacteremia and sepsis, and who developed multiple neck and mediastinal abscesses due to Staphylococcus aureus. Chang et al (2) reported a case of mediastinitis in a hemodialysis patient as a complication of Staphylococcus bacteremia, while Er et al (10) described a case of central venous catheter-associated mediastinitis due to Candida species.

In addition, mediastinitis as a complication of primary skin infections is also a rare entity. Brisset et al (1) reported a case of Staphylococcus aureus mediastinitis in an immunocompetent adult following back skin abscess. To the best of our knowledge, the present case is the second report of such a case of mediastinitis secondary to hematogenous spread following skin infection.

Treatment of acute mediastinitis is based on administration of antibiotics and control of the source of inflammation with surgical debridement (11). Mediastinitis, developing as a postoperative complication, usually requires rapid surgical debridement. Generally, management with multiple surgical procedures is needed in ~30% of patients. The surgical approach depends on the extent of the disease and structures involved (12). The usual duration of therapy for mediastinitis is up to 4-6 weeks depending on the extent of surgical debridement performed (13).

In conclusion, development of mediastinitis, with hematogenous spread following skin infection, is a rare clinical entity. With the increase of described MRSA infectious disease cases, clinicians should remain alert for future cases of MRSA mediastinitis and consider mediastinitis in the differential diagnosis when a patient presents with respiratory symptoms, such as thoracic pain and dyspnea, as well as signs of skin infection.

Acknowledgements

Not applicable.

Funding

No funding was received.

Availability of data and materials

The datasets used and/or analyzed during the present study are available from the corresponding author on reasonable request.

Authors' contributions

VEG, KM and DM conceptualized the study. AGk, PP, PD, NG, NT and XT made substantial contributions to the acquisition, analysis and interpretation of the data. CD and AGa prepared the figures. All authors contributed to manuscript revision and approved the final manuscript. PS and SC confirm the authenticity of all the raw data.

Ethics approval and consent to participate

Not applicable.

Patient consent for publication.

Written informed consent was obtained from the patient for publication of this case report and any accompanying images.

Competing interests

The authors declare that they have no competing interests.

References

1 

Brisset J, Daix T, Tricard J, Evrard B, Vignon P, Barraud O and François B: Spontaneous community-acquired PVL-producing Staphylococcus aureus mediastinitis in an immunocompetent adult - a case report. BMC Infect Dis. 20(354)2020.PubMed/NCBI View Article : Google Scholar

2 

Chang CH, Huang JY, Lai PC and Yang CW: Posterior mediastinal abscess in a hemodialysis patient - a rare but life-threatening complication of Staphylococcus bacteremia. Clin Nephrol. 71:92–95. 2009.PubMed/NCBI View Article : Google Scholar

3 

Calvano TP, Ferraro DM, Prakash V, Mende K and Hospenthal DR: Community-associated methicillin-resistant Staphylococcus aureus mediastinitis. J Clin Microbiol. 47:3367–3369. 2009.PubMed/NCBI View Article : Google Scholar

4 

Gajdács M: The continuing threat of methicillin-resistant Staphylococcus aureus. Antibiotics (Basel). 8(52)2019.PubMed/NCBI View Article : Google Scholar

5 

Stefani S and Goglio A: Methicillin-resistant Staphylococcus aureus: Related infections and antibiotic resistance. Int J Infect Dis. 14 (Suppl 4):S19–S22. 2010.PubMed/NCBI View Article : Google Scholar

6 

Jabłoński S, Brocki M, Krzysztof K, Wawrzycki M, Santorek-Strumiłło E, Łobos M and Kozakiewicz M: Evaluation of prognostic value of selected biochemical markers in surgically treated patients with acute mediastinitis. Med Sci Monit. 18:CR308–CR315. 2012.PubMed/NCBI View Article : Google Scholar

7 

Kimura A, Miyamoto S and Yamashita T: Clinical predictors of descending necrotizing mediastinitis after deep neck infections. Laryngoscope. 130:E567–E572. 2020.PubMed/NCBI View Article : Google Scholar

8 

Smith A and Sinzobahamvya N: Anterior mediastinal abscess complicating septic arthritis. J Pediatr Surg. 27:101–102. 1992.PubMed/NCBI View Article : Google Scholar

9 

Lin YY, Hsu CW, Chu SJ, Chen SC and Tsai SH: Rapidly propagating descending necrotizing mediastinitis as a consequence of intravenous drug use. Am J Med Sci. 334:499–502. 2007.PubMed/NCBI View Article : Google Scholar

10 

Er F, Nia AM, Caglayan E and Gassanov N: Mediastinitis as a complication of central venous catheterization. Infection. 38(509)2010.PubMed/NCBI View Article : Google Scholar

11 

Abu-Omar Y, Kocher GJ, Bosco P, Barbero C, Waller D, Gudbjartsson T, Sousa-Uva M, Licht PB, Dunning J, Schmid RA, et al: European Association for Cardio-Thoracic Surgery expert consensus statement on the prevention and management of mediastinitis. Eur J Cardiothorac Surg. 51:10–29. 2017.PubMed/NCBI View Article : Google Scholar

12 

Prado-Calleros HM, Jiménez-Fuentes E and Jiménez-Escobar I: Descending necrotizing mediastinitis: Systematic review on its treatment in the last 6 years, 75 years after its description. Head Neck. 38 (Suppl 1):E2275–E2283. 2016.PubMed/NCBI View Article : Google Scholar

13 

El Oakley RM and Wright JE: Postoperative mediastinitis: Classification and management. Ann Thorac Surg. 61:1030–1036. 1996.PubMed/NCBI View Article : Google Scholar

Related Articles

  • Abstract
  • View
  • Download
  • Twitter
Copy and paste a formatted citation
Spandidos Publications style
Mantzouranis K, Georgakopoulou VE, Mermigkis D, Damaskos C, Garmpis N, Papalexis P, Gkoufa A, Drossos P, Chlapoutakis S, Garmpi A, Garmpi A, et al: <em>Staphylococcus aureus</em> mediastinitis following a skin infection in a non‑immunocompromised patient: A case report. Biomed Rep 15: 104, 2021.
APA
Mantzouranis, K., Georgakopoulou, V.E., Mermigkis, D., Damaskos, C., Garmpis, N., Papalexis, P. ... Tsiafaki, X. (2021). <em>Staphylococcus aureus</em> mediastinitis following a skin infection in a non‑immunocompromised patient: A case report. Biomedical Reports, 15, 104. https://doi.org/10.3892/br.2021.1480
MLA
Mantzouranis, K., Georgakopoulou, V. E., Mermigkis, D., Damaskos, C., Garmpis, N., Papalexis, P., Gkoufa, A., Drossos, P., Chlapoutakis, S., Garmpi, A., Sklapani, P., Trakas, N., Tsiafaki, X."<em>Staphylococcus aureus</em> mediastinitis following a skin infection in a non‑immunocompromised patient: A case report". Biomedical Reports 15.6 (2021): 104.
Chicago
Mantzouranis, K., Georgakopoulou, V. E., Mermigkis, D., Damaskos, C., Garmpis, N., Papalexis, P., Gkoufa, A., Drossos, P., Chlapoutakis, S., Garmpi, A., Sklapani, P., Trakas, N., Tsiafaki, X."<em>Staphylococcus aureus</em> mediastinitis following a skin infection in a non‑immunocompromised patient: A case report". Biomedical Reports 15, no. 6 (2021): 104. https://doi.org/10.3892/br.2021.1480
Copy and paste a formatted citation
x
Spandidos Publications style
Mantzouranis K, Georgakopoulou VE, Mermigkis D, Damaskos C, Garmpis N, Papalexis P, Gkoufa A, Drossos P, Chlapoutakis S, Garmpi A, Garmpi A, et al: <em>Staphylococcus aureus</em> mediastinitis following a skin infection in a non‑immunocompromised patient: A case report. Biomed Rep 15: 104, 2021.
APA
Mantzouranis, K., Georgakopoulou, V.E., Mermigkis, D., Damaskos, C., Garmpis, N., Papalexis, P. ... Tsiafaki, X. (2021). <em>Staphylococcus aureus</em> mediastinitis following a skin infection in a non‑immunocompromised patient: A case report. Biomedical Reports, 15, 104. https://doi.org/10.3892/br.2021.1480
MLA
Mantzouranis, K., Georgakopoulou, V. E., Mermigkis, D., Damaskos, C., Garmpis, N., Papalexis, P., Gkoufa, A., Drossos, P., Chlapoutakis, S., Garmpi, A., Sklapani, P., Trakas, N., Tsiafaki, X."<em>Staphylococcus aureus</em> mediastinitis following a skin infection in a non‑immunocompromised patient: A case report". Biomedical Reports 15.6 (2021): 104.
Chicago
Mantzouranis, K., Georgakopoulou, V. E., Mermigkis, D., Damaskos, C., Garmpis, N., Papalexis, P., Gkoufa, A., Drossos, P., Chlapoutakis, S., Garmpi, A., Sklapani, P., Trakas, N., Tsiafaki, X."<em>Staphylococcus aureus</em> mediastinitis following a skin infection in a non‑immunocompromised patient: A case report". Biomedical Reports 15, no. 6 (2021): 104. https://doi.org/10.3892/br.2021.1480
Follow us
  • Twitter
  • LinkedIn
  • Facebook
About
  • Spandidos Publications
  • Careers
  • Cookie Policy
  • Privacy Policy
How can we help?
  • Help
  • Live Chat
  • Contact
  • Email to our Support Team