Spandidos Publications Logo
  • About
    • About Spandidos
    • Aims and Scopes
    • Abstracting and Indexing
    • Editorial Policies
    • Reprints and Permissions
    • Job Opportunities
    • Terms and Conditions
    • Contact
  • Journals
    • All Journals
    • Oncology Letters
      • Oncology Letters
      • Information for Authors
      • Editorial Policies
      • Editorial Board
      • Aims and Scope
      • Abstracting and Indexing
      • Bibliographic Information
      • Archive
    • International Journal of Oncology
      • International Journal of Oncology
      • Information for Authors
      • Editorial Policies
      • Editorial Board
      • Aims and Scope
      • Abstracting and Indexing
      • Bibliographic Information
      • Archive
    • Molecular and Clinical Oncology
      • Molecular and Clinical Oncology
      • Information for Authors
      • Editorial Policies
      • Editorial Board
      • Aims and Scope
      • Abstracting and Indexing
      • Bibliographic Information
      • Archive
    • Experimental and Therapeutic Medicine
      • Experimental and Therapeutic Medicine
      • Information for Authors
      • Editorial Policies
      • Editorial Board
      • Aims and Scope
      • Abstracting and Indexing
      • Bibliographic Information
      • Archive
    • International Journal of Molecular Medicine
      • International Journal of Molecular Medicine
      • Information for Authors
      • Editorial Policies
      • Editorial Board
      • Aims and Scope
      • Abstracting and Indexing
      • Bibliographic Information
      • Archive
    • Biomedical Reports
      • Biomedical Reports
      • Information for Authors
      • Editorial Policies
      • Editorial Board
      • Aims and Scope
      • Abstracting and Indexing
      • Bibliographic Information
      • Archive
    • Oncology Reports
      • Oncology Reports
      • Information for Authors
      • Editorial Policies
      • Editorial Board
      • Aims and Scope
      • Abstracting and Indexing
      • Bibliographic Information
      • Archive
    • Molecular Medicine Reports
      • Molecular Medicine Reports
      • Information for Authors
      • Editorial Policies
      • Editorial Board
      • Aims and Scope
      • Abstracting and Indexing
      • Bibliographic Information
      • Archive
    • World Academy of Sciences Journal
      • World Academy of Sciences Journal
      • Information for Authors
      • Editorial Policies
      • Editorial Board
      • Aims and Scope
      • Abstracting and Indexing
      • Bibliographic Information
      • Archive
    • International Journal of Functional Nutrition
      • International Journal of Functional Nutrition
      • Information for Authors
      • Editorial Policies
      • Editorial Board
      • Aims and Scope
      • Abstracting and Indexing
      • Bibliographic Information
      • Archive
    • International Journal of Epigenetics
      • International Journal of Epigenetics
      • Information for Authors
      • Editorial Policies
      • Editorial Board
      • Aims and Scope
      • Abstracting and Indexing
      • Bibliographic Information
      • Archive
    • Medicine International
      • Medicine International
      • Information for Authors
      • Editorial Policies
      • Editorial Board
      • Aims and Scope
      • Abstracting and Indexing
      • Bibliographic Information
      • Archive
  • Articles
  • Information
    • Information for Authors
    • Information for Reviewers
    • Information for Librarians
    • Information for Advertisers
    • Conferences
  • Language Editing
Spandidos Publications Logo
  • About
    • About Spandidos
    • Aims and Scopes
    • Abstracting and Indexing
    • Editorial Policies
    • Reprints and Permissions
    • Job Opportunities
    • Terms and Conditions
    • Contact
  • Journals
    • All Journals
    • Biomedical Reports
      • Information for Authors
      • Editorial Policies
      • Editorial Board
      • Aims and Scope
      • Abstracting and Indexing
      • Bibliographic Information
      • Archive
    • Experimental and Therapeutic Medicine
      • Information for Authors
      • Editorial Policies
      • Editorial Board
      • Aims and Scope
      • Abstracting and Indexing
      • Bibliographic Information
      • Archive
    • International Journal of Epigenetics
      • Information for Authors
      • Editorial Policies
      • Editorial Board
      • Aims and Scope
      • Abstracting and Indexing
      • Bibliographic Information
      • Archive
    • International Journal of Functional Nutrition
      • Information for Authors
      • Editorial Policies
      • Editorial Board
      • Aims and Scope
      • Abstracting and Indexing
      • Bibliographic Information
      • Archive
    • International Journal of Molecular Medicine
      • Information for Authors
      • Editorial Policies
      • Editorial Board
      • Aims and Scope
      • Abstracting and Indexing
      • Bibliographic Information
      • Archive
    • International Journal of Oncology
      • Information for Authors
      • Editorial Policies
      • Editorial Board
      • Aims and Scope
      • Abstracting and Indexing
      • Bibliographic Information
      • Archive
    • Medicine International
      • Information for Authors
      • Editorial Policies
      • Editorial Board
      • Aims and Scope
      • Abstracting and Indexing
      • Bibliographic Information
      • Archive
    • Molecular and Clinical Oncology
      • Information for Authors
      • Editorial Policies
      • Editorial Board
      • Aims and Scope
      • Abstracting and Indexing
      • Bibliographic Information
      • Archive
    • Molecular Medicine Reports
      • Information for Authors
      • Editorial Policies
      • Editorial Board
      • Aims and Scope
      • Abstracting and Indexing
      • Bibliographic Information
      • Archive
    • Oncology Letters
      • Information for Authors
      • Editorial Policies
      • Editorial Board
      • Aims and Scope
      • Abstracting and Indexing
      • Bibliographic Information
      • Archive
    • Oncology Reports
      • Information for Authors
      • Editorial Policies
      • Editorial Board
      • Aims and Scope
      • Abstracting and Indexing
      • Bibliographic Information
      • Archive
    • World Academy of Sciences Journal
      • Information for Authors
      • Editorial Policies
      • Editorial Board
      • Aims and Scope
      • Abstracting and Indexing
      • Bibliographic Information
      • Archive
  • Articles
  • Information
    • For Authors
    • For Reviewers
    • For Librarians
    • For Advertisers
    • Conferences
  • Language Editing
Login Register Submit
  • This site uses cookies
  • You can change your cookie settings at any time by following the instructions in our Cookie Policy. To find out more, you may read our Privacy Policy.

    I agree
Search articles by DOI, keyword, author or affiliation
Search
Advanced Search
presentation
Biomedical Reports
Join Editorial Board Propose a Special Issue
Print ISSN: 2049-9434 Online ISSN: 2049-9442
Journal Cover
December-2021 Volume 15 Issue 6

Full Size Image

Sign up for eToc alerts
Recommend to Library

Journals

International Journal of Molecular Medicine

International Journal of Molecular Medicine

International Journal of Molecular Medicine is an international journal devoted to molecular mechanisms of human disease.

International Journal of Oncology

International Journal of Oncology

International Journal of Oncology is an international journal devoted to oncology research and cancer treatment.

Molecular Medicine Reports

Molecular Medicine Reports

Covers molecular medicine topics such as pharmacology, pathology, genetics, neuroscience, infectious diseases, molecular cardiology, and molecular surgery.

Oncology Reports

Oncology Reports

Oncology Reports is an international journal devoted to fundamental and applied research in Oncology.

Experimental and Therapeutic Medicine

Experimental and Therapeutic Medicine

Experimental and Therapeutic Medicine is an international journal devoted to laboratory and clinical medicine.

Oncology Letters

Oncology Letters

Oncology Letters is an international journal devoted to Experimental and Clinical Oncology.

Biomedical Reports

Biomedical Reports

Explores a wide range of biological and medical fields, including pharmacology, genetics, microbiology, neuroscience, and molecular cardiology.

Molecular and Clinical Oncology

Molecular and Clinical Oncology

International journal addressing all aspects of oncology research, from tumorigenesis and oncogenes to chemotherapy and metastasis.

World Academy of Sciences Journal

World Academy of Sciences Journal

Multidisciplinary open-access journal spanning biochemistry, genetics, neuroscience, environmental health, and synthetic biology.

International Journal of Functional Nutrition

International Journal of Functional Nutrition

Open-access journal combining biochemistry, pharmacology, immunology, and genetics to advance health through functional nutrition.

International Journal of Epigenetics

International Journal of Epigenetics

Publishes open-access research on using epigenetics to advance understanding and treatment of human disease.

Medicine International

Medicine International

An International Open Access Journal Devoted to General Medicine.

Journal Cover
December-2021 Volume 15 Issue 6

Full Size Image

Sign up for eToc alerts
Recommend to Library

  • Article
  • Citations
    • Cite This Article
    • Download Citation
    • Create Citation Alert
    • Remove Citation Alert
    • Cited By
  • Similar Articles
    • Related Articles (in Spandidos Publications)
    • Similar Articles (Google Scholar)
    • Similar Articles (PubMed)
  • Download PDF
  • Download XML
  • View XML
Case Report Open Access

Asymptomatic SARS‑CoV‑2 infection in an unvaccinated 97‑year‑old woman: A case report

  • Authors:
    • Vasiliki Epameinondas Georgakopoulou
    • Petros Papalexis
    • Christos Sanos
    • Aikaterini Bitsani
    • Anna Garmpi
    • Christos Damaskos
    • Nikolaos Garmpis
    • Aikaterini Gkoufa
    • Serafeim Chlapoutakis
    • Pagona Sklapani
    • Konstantinos Mantzouranis
    • Nikolaos Trakas
    • Demetrios A. Spandidos
  • View Affiliations / Copyright

    Affiliations: Pulmonology Department, Laiko General Hospital, Medical School, National and Kapodistrian University of Athens, 11527 Athens, Greece, First Department of Propedeutic Internal Medicine, Laiko General Hospital, Medical School, National and Kapodistrian University of Athens, 11527 Athens, Greece, Department of Pathophysiology, Medical School, National and Kapodistrian University of Athens, 11527 Athens, Greece, Renal Transplantation Unit, Laiko General Hospital, Medical School, National and Kapodistrian University of Athens, 11527 Athens, Greece, N.S. Christeas Laboratory of Experimental Surgery and Surgical Research, Medical School, National and Kapodistrian University of Athens, 11527 Athens, Greece, First Department of Internal Medicine, Laiko General Hospital, Medical School, National and Kapodistrian University of Athens, 11527 Athens, Greece, Department of Thoracic Surgery, Agios Savvas Hospital, 11522 Athens, Greece, Department of Cytology, Mitera Hospital, 15123 Athens, Greece, First Pulmonology Department, Sismanogleio Hospital, 15126 Athens, Greece, Department of Biochemistry, Sismanogleio Hospital, 15126 Athens, Greece, Laboratory of Clinical Virology, School of Medicine, University of Crete, 71003 Heraklion, Greece
    Copyright: © Georgakopoulou et al. This is an open access article distributed under the terms of Creative Commons Attribution License.
  • Article Number: 107
    |
    Published online on: October 28, 2021
       https://doi.org/10.3892/br.2021.1483
  • Expand metrics +
Metrics: Total Views: 0 (Spandidos Publications: | PMC Statistics: )
Metrics: Total PDF Downloads: 0 (Spandidos Publications: | PMC Statistics: )
Cited By (CrossRef): 0 citations Loading Articles...

This article is mentioned in:



Abstract

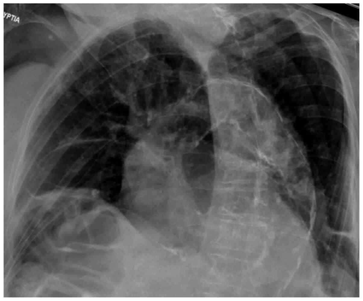
Coronavirus disease (COVID‑19) is an infection caused by the newly detected coronavirus, SARS‑CoV‑2. The majority of individuals will exhibit mild to moderate illness. Older individuals, and those suffering from co‑existing diseases have a greater probability of experiencing a serious illness. Moreover, elderly patients have higher mortality rates than younger patients, especially those who are unvaccinated. Asymptomatic infection is mostly observed in individuals who are younger, as younger patients are more likely to exhibit a stronger immune response to the infection; aging is characterized by the decline immune function. In this article, a rare case of an unvaccinated 97‑year‑old woman is described who was admitted to Laiko General Hospital due to altered levels of consciousness, hypotension and a hematoma of the thoracic region, and tested positive for SARS‑CoV‑2 nucleic acid in a nasopharyngeal specimen and positive for IgG antibodies against the SARS‑CoV‑2 spike protein without a history of consistent manifestations, indicating a past asymptomatic infection.
View Figures

Figure 1

View References

1 

World Health Organization (WHO): WHO Coronavirus (COVID-19) Dashboard. WHO, Geneva, 2021. https://covid19.who.int/.

2 

Georgakopoulou VE, Garmpis N, Damaskos C, Valsami S, Dimitroulis D, Diamantis E, Farmaki P, Papageorgiou CV, Makrodimitri S, Gravvanis N, et al: The Impact of peripheral eosinophil counts and eosinophil to lymphocyte ratio (ELR) in the clinical course of COVID-19 Patients: a retrospective study. In Vivo. 35:641–648. 2021.PubMed/NCBI View Article : Google Scholar

3 

Hu B, Huang S and Yin L: The cytokine storm and COVID-19. J Med Virol. 93:250–256. 2021.PubMed/NCBI View Article : Google Scholar

4 

World Health Organization (WHO): COVID-19 Clinical management: living guidance. WHO, Geneva, 2021. https://www.who.int/publications/i/item/WHO-2019-nCoV-clinical-2021-1. Accessed January 25, 2021.

5 

Chen Z, Wang B, Mao S and Ye Q: Assessment of global asymptomatic SARS-CoV-2 infection and management practices from China. Int J Biol Sci. 17:1119–1124. 2021.PubMed/NCBI View Article : Google Scholar

6 

Arons MM, Hatfield KM, Reddy SC, Kimball A, James A, Jacobs JR, Taylor J, Spicer K, Bardossy AC, Oakley LP, et al: Public Health-Seattle and King County and CDC COVID-19 Investigation Team: Presymptomatic SARS-CoV-2 infections and transmission in a skilled nursing facility. N Engl J Med. 382:2081–2090. 2020.PubMed/NCBI View Article : Google Scholar

7 

Hu Z, Song C, Xu C, Jin G, Chen Y, Xu X, Ma H, Chen W, Lin Y, Zheng Y, et al: Clinical characteristics of 24 asymptomatic infections with COVID-19 screened among close contacts in Nanjing, China. Sci China Life Sci. 63:706–711. 2020.PubMed/NCBI View Article : Google Scholar

8 

Deng CX: The global battle against SARS-CoV-2 and COVID-19. Int J Biol Sci. 16:1676–1677. 2020.PubMed/NCBI View Article : Google Scholar

9 

Syangtan G, Bista S, Dawadi P, Rayamajhee B, Shrestha LB, Tuladhar R and Joshi DR: Asymptomatic SARS-CoV-2 carriers: a systematic review and meta-analysis. Front Public Health. 8(587374)2021.PubMed/NCBI View Article : Google Scholar

10 

Chen C, Zhu C, Yan D, Liu H, Li D, Zhou Y, Fu X, Wu J, Ding C, Tian G, et al: The epidemiological and radiographical characteristics of asymptomatic infections with the novel coronavirus (COVID-19): A systematic review and meta-analysis. Int J Infect Dis. 104:458–464. 2021.PubMed/NCBI View Article : Google Scholar

11 

Liu K, Chen Y, Lin R and Han K: Clinical features of COVID-19 in elderly patients: A comparison with young and middle-aged patients. J Infect. 80:e14–e18. 2020.PubMed/NCBI View Article : Google Scholar

12 

Kang SJ and Jung SI: Age-related morbidity and mortality among patients with COVID-19. Infect Chemother. 52:154–164. 2020.PubMed/NCBI View Article : Google Scholar

13 

Centers for Disease Control and Prevention (CDC): COVID-19 Risks and Vaccine Information for Older Adults. CDC, Atlanta, GA, 2021. https://www.cdc.gov/aging/covid19/covid19-older-adults.html?CDC_AA_refVal=https%3A%2F%2Fwww.cdc.gov%2Fcoronavirus%2F2019-ncov%2Fneed-extra-precautions%2Folder-adults.html. Last reviewed August 2, 2021.

14 

Yates DW: ABC of major trauma. Scoring systems for trauma. BMJ. 301:1090–1094. 1990.PubMed/NCBI View Article : Google Scholar

15 

Livak KJ and Schmittgen TD: Analysis of relative gene expression data using real-time quantitative PCR and the 2(-Delta Delta C(T)) Method. Methods. 25:402–408. 2001.PubMed/NCBI View Article : Google Scholar

16 

Wang Y, Liu Y, Liu L, Wang X, Luo N and Li L: Clinical outcomes in 55 patients with severe acute respiratory syndrome coronavirus 2 who were asymptomatic at hospital admission in Shenzhen, China. J Infect Dis. 221:1770–1774. 2020.PubMed/NCBI View Article : Google Scholar

17 

Chen Y, Chen X, Wang L and Zheng R: Clinical Characteristics of 33 Asymptomatic COVID-19 Infections in Wuhan, China. J Infect Dev Ctries. 14:1252–1255. 2020.PubMed/NCBI View Article : Google Scholar

18 

Alves VP, Casemiro FG, Araujo BG, Lima MAS, Oliveira RS, Fernandes FTS, Gomes AVC and Gregori D: Factors associated with mortality among elderly people in the COVID-19 pandemic (SARS-CoV-2): a systematic review and meta-analysis. Int J Environ Res Public Health. 18(8008)2021.PubMed/NCBI View Article : Google Scholar

19 

Mori H, Obinata H, Murakami W, Tatsuya K, Sasaki H, Miyake Y, Taniguchi Y, Ota S, Yamaga M, Suyama Y, et al: Comparison of COVID-19 disease between young and elderly patients: Hidden viral shedding of COVID-19. J Infect Chemother. 27:70–75. 2021.PubMed/NCBI View Article : Google Scholar

20 

Zhang J, Wang X, Jia X, Li J, Hu K, Chen G, Wei J, Gong Z, Zhou C, Yu H, et al: Risk factors for disease severity, unimprovement, and mortality in COVID-19 patients in Wuhan, China. Clin Microbiol Infect. 26:767–772. 2020.PubMed/NCBI View Article : Google Scholar

21 

Lei S, Jiang F, Su W, Chen C, Chen J, Mei W, Zhan LY, Jia Y, Zhang L, Liu D, et al: Clinical characteristics and outcomes of patients undergoing surgeries during the incubation period of COVID-19 infection. EClinicalMedicine. 21(100331)2020.PubMed/NCBI View Article : Google Scholar

22 

Peron JPS and Nakaya H: Susceptibility of the elderly to SARS-CoV-2 infection: ACE-2 overexpression, shedding, and antibody-dependent enhancement (ADE). Clinics (São Paulo). 75(e1912)2020.PubMed/NCBI View Article : Google Scholar

23 

To KK, Tsang OT, Leung WS, Tam AR, Wu TC, Lung DC, Yip CC, Cai JP, Chan JM, Chik TS, et al: Temporal profiles of viral load in posterior oropharyngeal saliva samples and serum antibody responses during infection by SARS-CoV-2: An observational cohort study. Lancet Infect Dis. 20:565–574. 2020.PubMed/NCBI View Article : Google Scholar

24 

Chu CM, Poon LL, Cheng VC, Chan KS, Hung IF, Wong MM, Chan KH, Leung WS, Tang BS, Chan VL, et al: Initial viral load and the outcomes of SARS. CMAJ. 171:1349–1352. 2004.PubMed/NCBI View Article : Google Scholar

25 

Yu X, Sun S, Shi Y, Wang H, Zhao R and Sheng J: SARS-CoV-2 viral load in sputum correlates with risk of COVID-19 progression. Crit Care. 24(170)2020.PubMed/NCBI View Article : Google Scholar

26 

Shenoy S: SARS-CoV-2 (COVID-19), viral load and clinical outcomes; lessons learned one year into the pandemic: A systematic review. World J Crit Care Med. 10:132–150. 2021.PubMed/NCBI View Article : Google Scholar

27 

Zheng M, Gao Y, Liu S, Sun D, Yang F, Zong L, Zhang M, Tian Z, Xu Y and Sun H: Serum inflammatory factors are positively correlated with the production of specific antibodies in coronavirus disease 2019 patients. Cell Mol Immunol. 17:1180–1182. 2020.PubMed/NCBI View Article : Google Scholar

28 

Zhang L, Richards A, Khalil A, Wogram E, Ma H, Young RA and Jaenisch R: SARS-CoV-2 RNA reverse-transcribed and integrated into the human genome. bioRxiv: doi: 10.1101/2020.12.12.422516.

29 

Cunha LL, Perazzio SF, Azzi J, Cravedi P and Riella LV: Remodeling of the immune response with aging: immunosenescence and its potential impact on COVID-19 immune response. Front Immunol. 11(1748)2020.PubMed/NCBI View Article : Google Scholar

30 

Wang F, Hou H, Luo Y, Tang G, Wu S, Huang M, Liu W, Zhu Y, Lin Q, Mao L, et al: The laboratory tests and host immunity of COVID-19 patients with different severity of illness. JCI Insight. 5(e137799)2020.PubMed/NCBI View Article : Google Scholar

31 

Rydyznski Moderbacher C, Ramirez SI, Dan JM, Grifoni A, Hastie KM, Weiskopf D, Belanger S, Abbott RK, Kim C, Choi J, et al: Antigen-specific adaptive immunity to SARS-CoV-2 in acute COVID-19 and associations with age and disease severity. Cell. 183:996–1012.e19. 2020.PubMed/NCBI View Article : Google Scholar

32 

Bag Soytas R, Cengiz M, Islamoglu MS, Uysal BB, Ikitimur H, Yavuzer H and Yavuzer S: Does the COVID-19 seroconversion in older adults resemble the young? J Med Virol. 93:5777–5782. 2021.PubMed/NCBI View Article : Google Scholar

33 

Bergamaschi G, Borrelli de Andreis F, Aronico N, Lenti MV, Barteselli C, Merli S, Pellegrino I, Coppola L, Cremonte EM, Croce G, et al: Internal Medicine Covid-19 Collaborators. Anemia in patients with Covid-19: Pathogenesis and clinical significance. Clin Exp Med. 21:239–246. 2021.PubMed/NCBI View Article : Google Scholar

Related Articles

  • Abstract
  • View
  • Download
  • Twitter
Copy and paste a formatted citation
Spandidos Publications style
Georgakopoulou VE, Papalexis P, Sanos C, Bitsani A, Garmpi A, Damaskos C, Garmpis N, Gkoufa A, Chlapoutakis S, Sklapani P, Sklapani P, et al: Asymptomatic SARS‑CoV‑2 infection in an unvaccinated 97‑year‑old woman: A case report. Biomed Rep 15: 107, 2021.
APA
Georgakopoulou, V.E., Papalexis, P., Sanos, C., Bitsani, A., Garmpi, A., Damaskos, C. ... Spandidos, D.A. (2021). Asymptomatic SARS‑CoV‑2 infection in an unvaccinated 97‑year‑old woman: A case report. Biomedical Reports, 15, 107. https://doi.org/10.3892/br.2021.1483
MLA
Georgakopoulou, V. E., Papalexis, P., Sanos, C., Bitsani, A., Garmpi, A., Damaskos, C., Garmpis, N., Gkoufa, A., Chlapoutakis, S., Sklapani, P., Mantzouranis, K., Trakas, N., Spandidos, D. A."Asymptomatic SARS‑CoV‑2 infection in an unvaccinated 97‑year‑old woman: A case report". Biomedical Reports 15.6 (2021): 107.
Chicago
Georgakopoulou, V. E., Papalexis, P., Sanos, C., Bitsani, A., Garmpi, A., Damaskos, C., Garmpis, N., Gkoufa, A., Chlapoutakis, S., Sklapani, P., Mantzouranis, K., Trakas, N., Spandidos, D. A."Asymptomatic SARS‑CoV‑2 infection in an unvaccinated 97‑year‑old woman: A case report". Biomedical Reports 15, no. 6 (2021): 107. https://doi.org/10.3892/br.2021.1483
Copy and paste a formatted citation
x
Spandidos Publications style
Georgakopoulou VE, Papalexis P, Sanos C, Bitsani A, Garmpi A, Damaskos C, Garmpis N, Gkoufa A, Chlapoutakis S, Sklapani P, Sklapani P, et al: Asymptomatic SARS‑CoV‑2 infection in an unvaccinated 97‑year‑old woman: A case report. Biomed Rep 15: 107, 2021.
APA
Georgakopoulou, V.E., Papalexis, P., Sanos, C., Bitsani, A., Garmpi, A., Damaskos, C. ... Spandidos, D.A. (2021). Asymptomatic SARS‑CoV‑2 infection in an unvaccinated 97‑year‑old woman: A case report. Biomedical Reports, 15, 107. https://doi.org/10.3892/br.2021.1483
MLA
Georgakopoulou, V. E., Papalexis, P., Sanos, C., Bitsani, A., Garmpi, A., Damaskos, C., Garmpis, N., Gkoufa, A., Chlapoutakis, S., Sklapani, P., Mantzouranis, K., Trakas, N., Spandidos, D. A."Asymptomatic SARS‑CoV‑2 infection in an unvaccinated 97‑year‑old woman: A case report". Biomedical Reports 15.6 (2021): 107.
Chicago
Georgakopoulou, V. E., Papalexis, P., Sanos, C., Bitsani, A., Garmpi, A., Damaskos, C., Garmpis, N., Gkoufa, A., Chlapoutakis, S., Sklapani, P., Mantzouranis, K., Trakas, N., Spandidos, D. A."Asymptomatic SARS‑CoV‑2 infection in an unvaccinated 97‑year‑old woman: A case report". Biomedical Reports 15, no. 6 (2021): 107. https://doi.org/10.3892/br.2021.1483
Follow us
  • Twitter
  • LinkedIn
  • Facebook
About
  • Spandidos Publications
  • Careers
  • Cookie Policy
  • Privacy Policy
How can we help?
  • Help
  • Live Chat
  • Contact
  • Email to our Support Team