Spandidos Publications Logo
  • About
    • About Spandidos
    • Aims and Scopes
    • Abstracting and Indexing
    • Editorial Policies
    • Reprints and Permissions
    • Job Opportunities
    • Terms and Conditions
    • Contact
  • Journals
    • All Journals
    • Oncology Letters
      • Oncology Letters
      • Information for Authors
      • Editorial Policies
      • Editorial Board
      • Aims and Scope
      • Abstracting and Indexing
      • Bibliographic Information
      • Archive
    • International Journal of Oncology
      • International Journal of Oncology
      • Information for Authors
      • Editorial Policies
      • Editorial Board
      • Aims and Scope
      • Abstracting and Indexing
      • Bibliographic Information
      • Archive
    • Molecular and Clinical Oncology
      • Molecular and Clinical Oncology
      • Information for Authors
      • Editorial Policies
      • Editorial Board
      • Aims and Scope
      • Abstracting and Indexing
      • Bibliographic Information
      • Archive
    • Experimental and Therapeutic Medicine
      • Experimental and Therapeutic Medicine
      • Information for Authors
      • Editorial Policies
      • Editorial Board
      • Aims and Scope
      • Abstracting and Indexing
      • Bibliographic Information
      • Archive
    • International Journal of Molecular Medicine
      • International Journal of Molecular Medicine
      • Information for Authors
      • Editorial Policies
      • Editorial Board
      • Aims and Scope
      • Abstracting and Indexing
      • Bibliographic Information
      • Archive
    • Biomedical Reports
      • Biomedical Reports
      • Information for Authors
      • Editorial Policies
      • Editorial Board
      • Aims and Scope
      • Abstracting and Indexing
      • Bibliographic Information
      • Archive
    • Oncology Reports
      • Oncology Reports
      • Information for Authors
      • Editorial Policies
      • Editorial Board
      • Aims and Scope
      • Abstracting and Indexing
      • Bibliographic Information
      • Archive
    • Molecular Medicine Reports
      • Molecular Medicine Reports
      • Information for Authors
      • Editorial Policies
      • Editorial Board
      • Aims and Scope
      • Abstracting and Indexing
      • Bibliographic Information
      • Archive
    • World Academy of Sciences Journal
      • World Academy of Sciences Journal
      • Information for Authors
      • Editorial Policies
      • Editorial Board
      • Aims and Scope
      • Abstracting and Indexing
      • Bibliographic Information
      • Archive
    • International Journal of Functional Nutrition
      • International Journal of Functional Nutrition
      • Information for Authors
      • Editorial Policies
      • Editorial Board
      • Aims and Scope
      • Abstracting and Indexing
      • Bibliographic Information
      • Archive
    • International Journal of Epigenetics
      • International Journal of Epigenetics
      • Information for Authors
      • Editorial Policies
      • Editorial Board
      • Aims and Scope
      • Abstracting and Indexing
      • Bibliographic Information
      • Archive
    • Medicine International
      • Medicine International
      • Information for Authors
      • Editorial Policies
      • Editorial Board
      • Aims and Scope
      • Abstracting and Indexing
      • Bibliographic Information
      • Archive
  • Articles
  • Information
    • Information for Authors
    • Information for Reviewers
    • Information for Librarians
    • Information for Advertisers
    • Conferences
  • Language Editing
Spandidos Publications Logo
  • About
    • About Spandidos
    • Aims and Scopes
    • Abstracting and Indexing
    • Editorial Policies
    • Reprints and Permissions
    • Job Opportunities
    • Terms and Conditions
    • Contact
  • Journals
    • All Journals
    • Biomedical Reports
      • Information for Authors
      • Editorial Policies
      • Editorial Board
      • Aims and Scope
      • Abstracting and Indexing
      • Bibliographic Information
      • Archive
    • Experimental and Therapeutic Medicine
      • Information for Authors
      • Editorial Policies
      • Editorial Board
      • Aims and Scope
      • Abstracting and Indexing
      • Bibliographic Information
      • Archive
    • International Journal of Epigenetics
      • Information for Authors
      • Editorial Policies
      • Editorial Board
      • Aims and Scope
      • Abstracting and Indexing
      • Bibliographic Information
      • Archive
    • International Journal of Functional Nutrition
      • Information for Authors
      • Editorial Policies
      • Editorial Board
      • Aims and Scope
      • Abstracting and Indexing
      • Bibliographic Information
      • Archive
    • International Journal of Molecular Medicine
      • Information for Authors
      • Editorial Policies
      • Editorial Board
      • Aims and Scope
      • Abstracting and Indexing
      • Bibliographic Information
      • Archive
    • International Journal of Oncology
      • Information for Authors
      • Editorial Policies
      • Editorial Board
      • Aims and Scope
      • Abstracting and Indexing
      • Bibliographic Information
      • Archive
    • Medicine International
      • Information for Authors
      • Editorial Policies
      • Editorial Board
      • Aims and Scope
      • Abstracting and Indexing
      • Bibliographic Information
      • Archive
    • Molecular and Clinical Oncology
      • Information for Authors
      • Editorial Policies
      • Editorial Board
      • Aims and Scope
      • Abstracting and Indexing
      • Bibliographic Information
      • Archive
    • Molecular Medicine Reports
      • Information for Authors
      • Editorial Policies
      • Editorial Board
      • Aims and Scope
      • Abstracting and Indexing
      • Bibliographic Information
      • Archive
    • Oncology Letters
      • Information for Authors
      • Editorial Policies
      • Editorial Board
      • Aims and Scope
      • Abstracting and Indexing
      • Bibliographic Information
      • Archive
    • Oncology Reports
      • Information for Authors
      • Editorial Policies
      • Editorial Board
      • Aims and Scope
      • Abstracting and Indexing
      • Bibliographic Information
      • Archive
    • World Academy of Sciences Journal
      • Information for Authors
      • Editorial Policies
      • Editorial Board
      • Aims and Scope
      • Abstracting and Indexing
      • Bibliographic Information
      • Archive
  • Articles
  • Information
    • For Authors
    • For Reviewers
    • For Librarians
    • For Advertisers
    • Conferences
  • Language Editing
Login Register Submit
  • This site uses cookies
  • You can change your cookie settings at any time by following the instructions in our Cookie Policy. To find out more, you may read our Privacy Policy.

    I agree
Search articles by DOI, keyword, author or affiliation
Search
Advanced Search
presentation
Biomedical Reports
Join Editorial Board Propose a Special Issue
Print ISSN: 2049-9434 Online ISSN: 2049-9442
Journal Cover
May-2022 Volume 16 Issue 5

Full Size Image

Sign up for eToc alerts
Recommend to Library

Journals

International Journal of Molecular Medicine

International Journal of Molecular Medicine

International Journal of Molecular Medicine is an international journal devoted to molecular mechanisms of human disease.

International Journal of Oncology

International Journal of Oncology

International Journal of Oncology is an international journal devoted to oncology research and cancer treatment.

Molecular Medicine Reports

Molecular Medicine Reports

Covers molecular medicine topics such as pharmacology, pathology, genetics, neuroscience, infectious diseases, molecular cardiology, and molecular surgery.

Oncology Reports

Oncology Reports

Oncology Reports is an international journal devoted to fundamental and applied research in Oncology.

Experimental and Therapeutic Medicine

Experimental and Therapeutic Medicine

Experimental and Therapeutic Medicine is an international journal devoted to laboratory and clinical medicine.

Oncology Letters

Oncology Letters

Oncology Letters is an international journal devoted to Experimental and Clinical Oncology.

Biomedical Reports

Biomedical Reports

Explores a wide range of biological and medical fields, including pharmacology, genetics, microbiology, neuroscience, and molecular cardiology.

Molecular and Clinical Oncology

Molecular and Clinical Oncology

International journal addressing all aspects of oncology research, from tumorigenesis and oncogenes to chemotherapy and metastasis.

World Academy of Sciences Journal

World Academy of Sciences Journal

Multidisciplinary open-access journal spanning biochemistry, genetics, neuroscience, environmental health, and synthetic biology.

International Journal of Functional Nutrition

International Journal of Functional Nutrition

Open-access journal combining biochemistry, pharmacology, immunology, and genetics to advance health through functional nutrition.

International Journal of Epigenetics

International Journal of Epigenetics

Publishes open-access research on using epigenetics to advance understanding and treatment of human disease.

Medicine International

Medicine International

An International Open Access Journal Devoted to General Medicine.

Journal Cover
May-2022 Volume 16 Issue 5

Full Size Image

Sign up for eToc alerts
Recommend to Library

  • Article
  • Citations
    • Cite This Article
    • Download Citation
    • Create Citation Alert
    • Remove Citation Alert
    • Cited By
  • Similar Articles
    • Related Articles (in Spandidos Publications)
    • Similar Articles (Google Scholar)
    • Similar Articles (PubMed)
  • Download PDF
  • Download XML
  • View XML
Case Report

Familial Lynch syndrome with early age of onset and confirmed splice site mutation in MSH2: A case report

  • Authors:
    • Zornitsa Bogomilova Kamburova
    • Savelina Lubenova Popovska
    • Katya Stefanova Kovacheva
    • Krasimir Todorov Petrov
    • Slavena Enkova Nikolova
  • View Affiliations / Copyright

    Affiliations: Department of Medical Genetics, Medical University‑Pleven, Center of Medical Genetics in University Hospital ‘Dr. Georgi Stranski’, 5800 Pleven, Bulgaria, Department of Pathoanatomy, Medical University‑Pleven, University Hospital ‘Dr. Georgi Stranski’, 5800 Pleven, Bulgaria
  • Article Number: 39
    |
    Published online on: March 14, 2022
       https://doi.org/10.3892/br.2022.1522
  • Expand metrics +
Metrics: Total Views: 0 (Spandidos Publications: | PMC Statistics: )
Metrics: Total PDF Downloads: 0 (Spandidos Publications: | PMC Statistics: )
Cited By (CrossRef): 0 citations Loading Articles...

This article is mentioned in:



Abstract

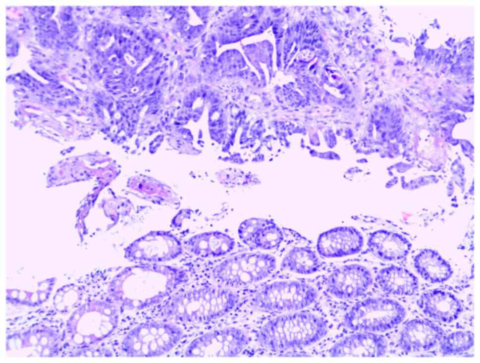
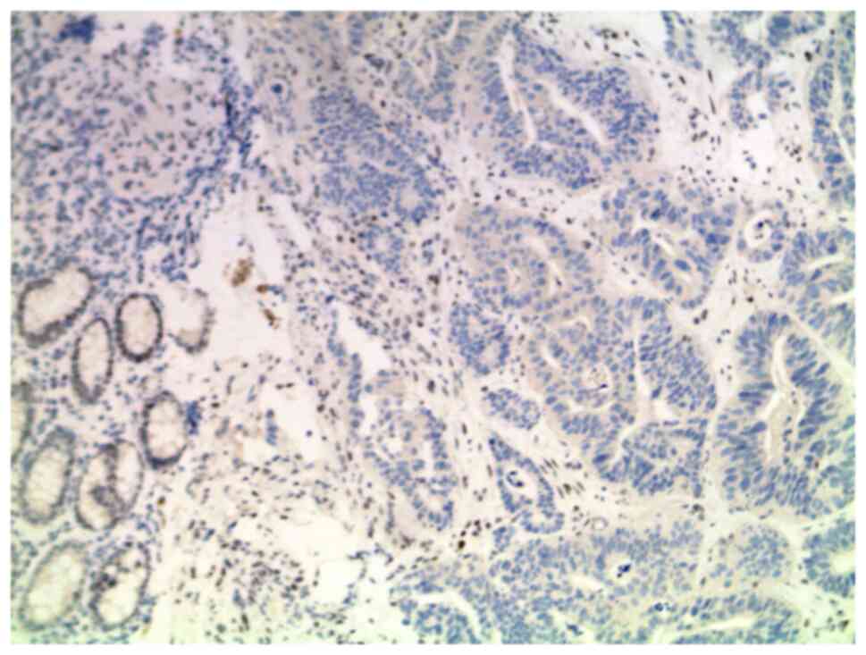
Lynch syndrome (LS) is an autosomal dominant cancer syndrome. It can be caused by mutations of several genes, including MLH1, MSH2, MSH6, PMS2, MLH3 and MSH3, which are responsible for DNA mismatch repair, and LS affects 3‑5% of patients with colorectal cancer (CRC). LS is associated with a high risk of cancer in several different locations, although the most commonly affected regions are the colon (20‑70% risk), endometrium (15‑70% risk), stomach (6‑13% risk) and ovaries (4‑12% risk). In the present report, the familial case of LS with a detected pathogenic variant in the MSH2 gene is described. The proband was a male who was diagnosed with CRC at the age of 25 years. Genealogy analysis revealed a total of seven affected relatives (including the proband), one of whom (I degree relative, mother) had synchronous cancers (endometrial and ovarian) and five others (of II and III degree relation) had ovarian cancer. Genetic analysis using next generation sequencing detected a heterozygous germline mutation in the MSH2 gene (c.1386 + 1G >A) in the proband and his mother, confirming the diagnosis of LS. The results of the recommended genetic test in an asymptomatic relative of the proband (II degree relative, uncle), found the same familial mutation. Subsequent prophylactic colonoscopy of this relative revealed early stage CRC. The presented case confirms the need for specific genetic analysis, alongside genetic counseling, in hereditary cancer syndromes. Active genetic prophylaxis in patients with LS allows early detection of primary cancers in other locations, and pre‑symptomatic genetic analysis of relatives is an option for early diagnosis.
View Figures

Figure 1

Figure 2

Figure 3

View References

1 

Frankel W, Arends M, Frayling IM and Nagtegaal ID: Lynch syndrome: Genetic tumour syndromes of the digestive system. In: World Health Organization Classification of Tumours of the Digestive System. 5th edition. IARC Press, Lyon, 2019.

2 

Idos G and Valle L: Lynch syndrome. In: GeneReviews® [Internet]. Adam MP, Ardinger HH, Pagon RA, Wallace SE, Bean LJH, Mirzaa G and Amemiya A (eds). University of Washington, Seattle, WA, 1993-2022.

3 

Liccardo R, De Rosa M, Izzo P and Duraturo F: Novel implications in molecular diagnosis of Lynch syndrome. Gastroenterol Res Pract. 2017(2595098)2017.PubMed/NCBI View Article : Google Scholar

4 

Payseur BA, Jing P and Haasl RJ: A genomic portrait of human microsatellite variation. Mol Biol Evol. 28:303–312. 2010.PubMed/NCBI View Article : Google Scholar

5 

Boland CR: Recent discoveries in the molecular genetics of Lynch syndrome. Fam Cancer. 15:395–403. 2016.PubMed/NCBI View Article : Google Scholar

6 

Chen ML, Chen JY, Hu J, Chen Q, Yu LX, Liu BR, Qian XP and Yang M: Comparison of microsatellite status detection methods in colorectal carcinoma. Int J Clin Exp Pathol. 11:1431–1438. 2018.PubMed/NCBI

7 

Snowsill T, Coelho H, Huxley N, Jones-Hughes T, Briscoe S, Frayling IM and Hyde C: Molecular testing for Lynch syndrome in people with colorectal cancer: Systematic reviews and economic evaluation. Health Technol Assess. 21:1–238. 2017.PubMed/NCBI View Article : Google Scholar

8 

Snowsill T, Huxley N, Hoyle M, Jones-Hughes T, Coelho H, Cooper C, Frayling I and Hyde C: A systematic review and economic evaluation of diagnostic strategies for Lynch syndrome. Health Technol Assess. 18:1–406. 2014.PubMed/NCBI View Article : Google Scholar

9 

Wedden S, Miller K, Frayling IM, Thomas T, Chefani A, Miller K, Hamblin A, Taylor JC and D'Arrigo C: Colorectal cancer stratification in the routine clinical pathway: A district general hospital experience. Appl Immunohistochem Mol Morphol. 27:e54–e62. 2019.PubMed/NCBI View Article : Google Scholar

10 

National Institute for Health and Care Excellence (NICE): Molecular testing strategies for Lynch syndrome in people with colorectal cancer: Diagnostics guidance [DG27]. NICE, London, 2020. https://www.nice.org.uk/guidance/dg27. Accessed April 24, 2020.

11 

Ryan NAJ, McMahon R, Tobi S, Snowsill T, Esquibel S, Wallace AJ, Bunstone S, Bowers N, Mosneag IE, Kitson SJ, et al: The proportion of endometrial tumours associated with Lynch syndrome (PETALS): A prospective cross-sectional study. PLoS Med. 17(e1003263)2020.PubMed/NCBI View Article : Google Scholar

12 

Crosbie EJ, Ryan NAJ, Arends MJ, Bosse T, Burn J, Cornes JM, Crawford R, Eccles D, Frayling IM, Ghaem-Maghami S, et al: The manchester international consensus group recommendations for the management of gynecological cancers in Lynch syndrome. Genet Med. 21:2390–2400. 2019.PubMed/NCBI View Article : Google Scholar

13 

Vasen HF, Mecklin JP, Watson P, Utsunomiya J, Bertario L, Lynch P, Svendsen LB, Cristofaro G, Müller H, Khan PM, et al: Surveillance in hereditary nonpolyposis colorectal cancer: An international cooperative study of 165 families. The International collaborative group on HNPCC. Dis Colon Rectum. 36:1–4. 1993.PubMed/NCBI View Article : Google Scholar

14 

Vasen H, Watson P, Mecklin J and Lynch H: New clinical criteria for hereditary nonpolyposis colorectal cancer (HNPCC, Lynch syndrome) proposed by the international collaborative group on HNPCC. Gastroenterology. 116:1453–1456. 1999.PubMed/NCBI View Article : Google Scholar

15 

Barnetson RA, Tenesa A, Farrington SM, Nicholl ID, Cetnarskyj R, Porteous ME, Campbell H and Dunlop MG: Identification and survival of carriers of mutations in DNA mismatch-repair genes in colon cancer. N Engl J Med. 354:2751–2763. 2006.PubMed/NCBI View Article : Google Scholar

16 

Rodriguez-Bigas MA, Boland CR, Hamilton SR, Henson DE, Jass JR, Khan PM, Lynch H, Perucho M, Smyrk T, Sobin L and Srivastava S: A national cancer institute workshop on hereditary nonpolyposis colorectal cancer syndrome: Meeting highlights and Bethesda guidelines. J Natl Cancer Inst. 89:1758–1762. 1997.PubMed/NCBI View Article : Google Scholar

17 

Hampel H, Frankel WL, Martin E, Arnold M, Khanduja K, Kuebler P, Clendenning M, Sotamaa K, Prior T, Westman JA, et al: Feasibility of screening for Lynch syndrome among patients with colorectal cancer. J Clin Oncol. 26:5783–5788. 2008.PubMed/NCBI View Article : Google Scholar

18 

Seppälä TT, Latchford A, Negoi I, Sampaio Soares A, Jimenez-Rodriguez R, Sánchez-Guillén L, Evans DG, Ryan N, Crosbie EJ, Dominguez-Valentin M, et al: European guidelines from the EHTG and ESCP for Lynch syndrome: An updated third edition of the Mallorca guidelines based on gene and gender. Br J Surg. 108:484–498. 2021.PubMed/NCBI View Article : Google Scholar

19 

Richards S, Aziz N, Bale S, Bick D, Das S, Gastier-Foster J, Grody WW, Hegde M, Lyon E, Spector E, et al: Standards and guidelines for the interpretation of sequence variants: A joint consensus recommendation of the American college of medical genetics and genomics and the association for molecular pathology. Genet Med. 17:405–424. 2015.PubMed/NCBI View Article : Google Scholar

20 

Available on: https://www2.tri-kobe.org/nccn/guideline/colorectal/english/genetics_colon.pdf. (In Japanese).

21 

Leclerc J, Vermaut C and Buisine MP: Diagnosis of lynch syndrome and strategies to distinguish Lynch-related tumors from sporadic MSI/DMMR tumors. Cancers (Basel). 13(467)2021.PubMed/NCBI View Article : Google Scholar

22 

Young J, Simms LA, Biden KG, Wynter C, Whitehall V, Karamatic R, George J, Goldblatt J, Walpole I, Robin SA, et al: Features of colorectal cancers with high-level microsatellite instability occurring in familial and sporadic settings: Parallel pathways of tumorigenesis. Am J Pathol. 159:2107–2116. 2001.PubMed/NCBI View Article : Google Scholar

23 

Yamada R, Yamaguchi T, Iijima T, Wakaume R, Takao M, Koizumi K, Hishima T and Horiguchi SI: Differences in histological features and PD-L1 expression between sporadic microsatellite instability and Lynch-syndrome-associated disease in Japanese patients with colorectal cancer. Int J Clin Oncol. 23:504–513. 2018.PubMed/NCBI View Article : Google Scholar

24 

Yearsley M, Hampel H, Lehman A, Nakagawa H, de la Chapelle A and Frankel WL: Histologic features distinguish microsatellite-high from microsatellite-low and microsatellite-stable colorectal carcinomas, but do not differentiate germline mutations from methylation of the MLH1 promoter. Hum Pathol. 37:831–838. 2006.PubMed/NCBI View Article : Google Scholar

25 

Hemminger JA, Pearlman R, Haraldsdottir S, Knight D, Jonasson JG, Pritchard CC, Hampel H and Frankel WL: Histology of colorectal adenocarcinoma with double somatic mismatch-repair mutations is indistinguishable from those caused by Lynch syndrome. Hum Pathol. 78:125–130. 2018.PubMed/NCBI View Article : Google Scholar

26 

Yurgelun MB, Kulke MH, Fuchs CS, Allen BA, Uno H, Hornick JL, Ukaegbu CI, Brais LK, McNamara PG, Mayer RJ, et al: Cancer susceptibility gene mutations in individuals with colorectal cancer. J Clin Oncol. 35:1086–1095. 2017.PubMed/NCBI View Article : Google Scholar

27 

Serrano D and Arteaga CE: Molecular diagnosis of hereditary nonpolyposis colorectal cancer (Lynch syndrome). Rev Fac Med. 64:537–542. 2016.

28 

Pećina-Šlaus N, Kafka A, Salamon I and Bukovac A: Mismatch repair pathway, genome stability and cancer. Front Mol Biosci. 7(122)2020.PubMed/NCBI View Article : Google Scholar

29 

Li X, Liu G and Wu W: Recent advances in Lynch syndrome. Exp Hematol Oncol. 10(37)2021.PubMed/NCBI View Article : Google Scholar

30 

Dominguez-Valentin M, Sampson JR, Seppälä TT, Ten Broeke SW, Plazzer JP, Nakken S, Engel C, Aretz S, Jenkins MA, Sunde L, et al: Cancer risks by gene, age, and gender in 6350 carriers of pathogenic mismatch repair variants: Findings from the Prospective Lynch syndrome database. Genet Med. 22:15–25. 2020.PubMed/NCBI View Article : Google Scholar

31 

Win AK, Jenkins MA, Dowty JG, Antoniou AC, Lee A, Giles GG, Buchanan DD, Clendenning M, Rosty C, Ahnen DJ, et al: Prevalence and penetrance of major genes and polygenes for colorectal cancer. Cancer Epidemiol Biomark Prev. 26:404–412. 2017.PubMed/NCBI View Article : Google Scholar

32 

Mangold E, Pagenstecher C, Friedl W, Mathiak M, Buettner R, Engel C, Loeffler M, Holinski-Feder E, Müller-Koch Y, Keller G, et al: Spectrum and frequencies of mutations in MSH2 and MLH1 identified in 1,721 German families suspected of hereditary nonpolyposis colorectal cancer. Int J Cancer. 116:692–702. 2005.PubMed/NCBI View Article : Google Scholar

33 

Auclair J, Busine MP, Navarro C, Ruano E, Montmain G, Desseigne F, Saurin JC, Lasset C, Bonadona V, Giraud S, et al: Systematic mRNA analysis for the effect of MLH1 and MSH2 missense and silent mutations on aberrant splicing. Hum Mutat. 27:145–154. 2006.PubMed/NCBI View Article : Google Scholar

34 

Betz B, Theiss S, Aktas M, Konermann C, Goecke TO, Möslein G, Schaal H and Royer-Pokora B: Comparative in silico analyses and experimental validation of novel splice site and missense mutations in the genes MLH1 and MSH2. J Cancer Res Clin Oncol. 136:123–134. 2010.PubMed/NCBI View Article : Google Scholar

35 

Baert-Desurmont S, Coutant S, Charbonnier F, Macquere P, Lecoquierre F, Schwartz M, Blanluet M, Vezain M, Lanos R, Quenez O, et al: Optimization of the diagnosis of inherited colorectal cancer using NGS and capture of exonic and intronic sequences of panel genes. Eur J Hum Genet. 26:1597–1602. 2018.PubMed/NCBI View Article : Google Scholar

Related Articles

  • Abstract
  • View
  • Download
  • Twitter
Copy and paste a formatted citation
Spandidos Publications style
Kamburova ZB, Popovska SL, Kovacheva KS, Petrov KT and Nikolova SE: Familial Lynch syndrome with early age of onset and confirmed splice site mutation in MSH2: A case report. Biomed Rep 16: 39, 2022.
APA
Kamburova, Z.B., Popovska, S.L., Kovacheva, K.S., Petrov, K.T., & Nikolova, S.E. (2022). Familial Lynch syndrome with early age of onset and confirmed splice site mutation in MSH2: A case report. Biomedical Reports, 16, 39. https://doi.org/10.3892/br.2022.1522
MLA
Kamburova, Z. B., Popovska, S. L., Kovacheva, K. S., Petrov, K. T., Nikolova, S. E."Familial Lynch syndrome with early age of onset and confirmed splice site mutation in MSH2: A case report". Biomedical Reports 16.5 (2022): 39.
Chicago
Kamburova, Z. B., Popovska, S. L., Kovacheva, K. S., Petrov, K. T., Nikolova, S. E."Familial Lynch syndrome with early age of onset and confirmed splice site mutation in MSH2: A case report". Biomedical Reports 16, no. 5 (2022): 39. https://doi.org/10.3892/br.2022.1522
Copy and paste a formatted citation
x
Spandidos Publications style
Kamburova ZB, Popovska SL, Kovacheva KS, Petrov KT and Nikolova SE: Familial Lynch syndrome with early age of onset and confirmed splice site mutation in MSH2: A case report. Biomed Rep 16: 39, 2022.
APA
Kamburova, Z.B., Popovska, S.L., Kovacheva, K.S., Petrov, K.T., & Nikolova, S.E. (2022). Familial Lynch syndrome with early age of onset and confirmed splice site mutation in MSH2: A case report. Biomedical Reports, 16, 39. https://doi.org/10.3892/br.2022.1522
MLA
Kamburova, Z. B., Popovska, S. L., Kovacheva, K. S., Petrov, K. T., Nikolova, S. E."Familial Lynch syndrome with early age of onset and confirmed splice site mutation in MSH2: A case report". Biomedical Reports 16.5 (2022): 39.
Chicago
Kamburova, Z. B., Popovska, S. L., Kovacheva, K. S., Petrov, K. T., Nikolova, S. E."Familial Lynch syndrome with early age of onset and confirmed splice site mutation in MSH2: A case report". Biomedical Reports 16, no. 5 (2022): 39. https://doi.org/10.3892/br.2022.1522
Follow us
  • Twitter
  • LinkedIn
  • Facebook
About
  • Spandidos Publications
  • Careers
  • Cookie Policy
  • Privacy Policy
How can we help?
  • Help
  • Live Chat
  • Contact
  • Email to our Support Team