Spandidos Publications Logo
  • About
    • About Spandidos
    • Aims and Scopes
    • Abstracting and Indexing
    • Editorial Policies
    • Reprints and Permissions
    • Job Opportunities
    • Terms and Conditions
    • Contact
  • Journals
    • All Journals
    • Oncology Letters
      • Oncology Letters
      • Information for Authors
      • Editorial Policies
      • Editorial Board
      • Aims and Scope
      • Abstracting and Indexing
      • Bibliographic Information
      • Archive
    • International Journal of Oncology
      • International Journal of Oncology
      • Information for Authors
      • Editorial Policies
      • Editorial Board
      • Aims and Scope
      • Abstracting and Indexing
      • Bibliographic Information
      • Archive
    • Molecular and Clinical Oncology
      • Molecular and Clinical Oncology
      • Information for Authors
      • Editorial Policies
      • Editorial Board
      • Aims and Scope
      • Abstracting and Indexing
      • Bibliographic Information
      • Archive
    • Experimental and Therapeutic Medicine
      • Experimental and Therapeutic Medicine
      • Information for Authors
      • Editorial Policies
      • Editorial Board
      • Aims and Scope
      • Abstracting and Indexing
      • Bibliographic Information
      • Archive
    • International Journal of Molecular Medicine
      • International Journal of Molecular Medicine
      • Information for Authors
      • Editorial Policies
      • Editorial Board
      • Aims and Scope
      • Abstracting and Indexing
      • Bibliographic Information
      • Archive
    • Biomedical Reports
      • Biomedical Reports
      • Information for Authors
      • Editorial Policies
      • Editorial Board
      • Aims and Scope
      • Abstracting and Indexing
      • Bibliographic Information
      • Archive
    • Oncology Reports
      • Oncology Reports
      • Information for Authors
      • Editorial Policies
      • Editorial Board
      • Aims and Scope
      • Abstracting and Indexing
      • Bibliographic Information
      • Archive
    • Molecular Medicine Reports
      • Molecular Medicine Reports
      • Information for Authors
      • Editorial Policies
      • Editorial Board
      • Aims and Scope
      • Abstracting and Indexing
      • Bibliographic Information
      • Archive
    • World Academy of Sciences Journal
      • World Academy of Sciences Journal
      • Information for Authors
      • Editorial Policies
      • Editorial Board
      • Aims and Scope
      • Abstracting and Indexing
      • Bibliographic Information
      • Archive
    • International Journal of Functional Nutrition
      • International Journal of Functional Nutrition
      • Information for Authors
      • Editorial Policies
      • Editorial Board
      • Aims and Scope
      • Abstracting and Indexing
      • Bibliographic Information
      • Archive
    • International Journal of Epigenetics
      • International Journal of Epigenetics
      • Information for Authors
      • Editorial Policies
      • Editorial Board
      • Aims and Scope
      • Abstracting and Indexing
      • Bibliographic Information
      • Archive
    • Medicine International
      • Medicine International
      • Information for Authors
      • Editorial Policies
      • Editorial Board
      • Aims and Scope
      • Abstracting and Indexing
      • Bibliographic Information
      • Archive
  • Articles
  • Information
    • Information for Authors
    • Information for Reviewers
    • Information for Librarians
    • Information for Advertisers
    • Conferences
  • Language Editing
Spandidos Publications Logo
  • About
    • About Spandidos
    • Aims and Scopes
    • Abstracting and Indexing
    • Editorial Policies
    • Reprints and Permissions
    • Job Opportunities
    • Terms and Conditions
    • Contact
  • Journals
    • All Journals
    • Biomedical Reports
      • Information for Authors
      • Editorial Policies
      • Editorial Board
      • Aims and Scope
      • Abstracting and Indexing
      • Bibliographic Information
      • Archive
    • Experimental and Therapeutic Medicine
      • Information for Authors
      • Editorial Policies
      • Editorial Board
      • Aims and Scope
      • Abstracting and Indexing
      • Bibliographic Information
      • Archive
    • International Journal of Epigenetics
      • Information for Authors
      • Editorial Policies
      • Editorial Board
      • Aims and Scope
      • Abstracting and Indexing
      • Bibliographic Information
      • Archive
    • International Journal of Functional Nutrition
      • Information for Authors
      • Editorial Policies
      • Editorial Board
      • Aims and Scope
      • Abstracting and Indexing
      • Bibliographic Information
      • Archive
    • International Journal of Molecular Medicine
      • Information for Authors
      • Editorial Policies
      • Editorial Board
      • Aims and Scope
      • Abstracting and Indexing
      • Bibliographic Information
      • Archive
    • International Journal of Oncology
      • Information for Authors
      • Editorial Policies
      • Editorial Board
      • Aims and Scope
      • Abstracting and Indexing
      • Bibliographic Information
      • Archive
    • Medicine International
      • Information for Authors
      • Editorial Policies
      • Editorial Board
      • Aims and Scope
      • Abstracting and Indexing
      • Bibliographic Information
      • Archive
    • Molecular and Clinical Oncology
      • Information for Authors
      • Editorial Policies
      • Editorial Board
      • Aims and Scope
      • Abstracting and Indexing
      • Bibliographic Information
      • Archive
    • Molecular Medicine Reports
      • Information for Authors
      • Editorial Policies
      • Editorial Board
      • Aims and Scope
      • Abstracting and Indexing
      • Bibliographic Information
      • Archive
    • Oncology Letters
      • Information for Authors
      • Editorial Policies
      • Editorial Board
      • Aims and Scope
      • Abstracting and Indexing
      • Bibliographic Information
      • Archive
    • Oncology Reports
      • Information for Authors
      • Editorial Policies
      • Editorial Board
      • Aims and Scope
      • Abstracting and Indexing
      • Bibliographic Information
      • Archive
    • World Academy of Sciences Journal
      • Information for Authors
      • Editorial Policies
      • Editorial Board
      • Aims and Scope
      • Abstracting and Indexing
      • Bibliographic Information
      • Archive
  • Articles
  • Information
    • For Authors
    • For Reviewers
    • For Librarians
    • For Advertisers
    • Conferences
  • Language Editing
Login Register Submit
  • This site uses cookies
  • You can change your cookie settings at any time by following the instructions in our Cookie Policy. To find out more, you may read our Privacy Policy.

    I agree
Search articles by DOI, keyword, author or affiliation
Search
Advanced Search
presentation
Biomedical Reports
Join Editorial Board Propose a Special Issue
Print ISSN: 2049-9434 Online ISSN: 2049-9442
Journal Cover
July-2022 Volume 17 Issue 1

Full Size Image

Sign up for eToc alerts
Recommend to Library

Journals

International Journal of Molecular Medicine

International Journal of Molecular Medicine

International Journal of Molecular Medicine is an international journal devoted to molecular mechanisms of human disease.

International Journal of Oncology

International Journal of Oncology

International Journal of Oncology is an international journal devoted to oncology research and cancer treatment.

Molecular Medicine Reports

Molecular Medicine Reports

Covers molecular medicine topics such as pharmacology, pathology, genetics, neuroscience, infectious diseases, molecular cardiology, and molecular surgery.

Oncology Reports

Oncology Reports

Oncology Reports is an international journal devoted to fundamental and applied research in Oncology.

Experimental and Therapeutic Medicine

Experimental and Therapeutic Medicine

Experimental and Therapeutic Medicine is an international journal devoted to laboratory and clinical medicine.

Oncology Letters

Oncology Letters

Oncology Letters is an international journal devoted to Experimental and Clinical Oncology.

Biomedical Reports

Biomedical Reports

Explores a wide range of biological and medical fields, including pharmacology, genetics, microbiology, neuroscience, and molecular cardiology.

Molecular and Clinical Oncology

Molecular and Clinical Oncology

International journal addressing all aspects of oncology research, from tumorigenesis and oncogenes to chemotherapy and metastasis.

World Academy of Sciences Journal

World Academy of Sciences Journal

Multidisciplinary open-access journal spanning biochemistry, genetics, neuroscience, environmental health, and synthetic biology.

International Journal of Functional Nutrition

International Journal of Functional Nutrition

Open-access journal combining biochemistry, pharmacology, immunology, and genetics to advance health through functional nutrition.

International Journal of Epigenetics

International Journal of Epigenetics

Publishes open-access research on using epigenetics to advance understanding and treatment of human disease.

Medicine International

Medicine International

An International Open Access Journal Devoted to General Medicine.

Journal Cover
July-2022 Volume 17 Issue 1

Full Size Image

Sign up for eToc alerts
Recommend to Library

  • Article
  • Citations
    • Cite This Article
    • Download Citation
    • Create Citation Alert
    • Remove Citation Alert
    • Cited By
  • Similar Articles
    • Related Articles (in Spandidos Publications)
    • Similar Articles (Google Scholar)
    • Similar Articles (PubMed)
  • Download PDF
  • Download XML
  • View XML
Article Open Access

Transient receptor potential channel 6 in human skeletal muscle fibers: Investigation in fresh and conserved tissue samples

  • Authors:
    • Davide Servello
    • Jan Abdinghoff
    • Alexander Grissmer
    • Thomas Tschernig
  • View Affiliations / Copyright

    Affiliations: Institute of Anatomy and Cell Biology, Saarland University, Faculty of Medicine, D‑66424 Homburg, Saar, Germany
    Copyright: © Servello et al. This is an open access article distributed under the terms of Creative Commons Attribution License.
  • Article Number: 60
    |
    Published online on: May 26, 2022
       https://doi.org/10.3892/br.2022.1543
  • Expand metrics +
Metrics: Total Views: 0 (Spandidos Publications: | PMC Statistics: )
Metrics: Total PDF Downloads: 0 (Spandidos Publications: | PMC Statistics: )
Cited By (CrossRef): 0 citations Loading Articles...

This article is mentioned in:



Abstract

Transient receptor potential channel 6 (TRPC6) channels constitute non‑selective cation channels that are localized in the plasmalemma or sarcolemma, and have a leading permeability for the bivalent calcium ion. Animal models indicate an involvement of TRPC6 in malignant hyperthermia. The expression of TRPC6 in the sarcolemma has been demonstrated in the skeletal muscle fibers of mice. The importance of TRPC6 channels for the influx of calcium into the muscle cell has also been established. The presence of TRPC6 in tissues of human skeletal muscle is surmised. In order to confirm the presence of TRPC6 in human skeletal muscle, tissue samples of various skeletal muscles (Musculus deltoideus, pectoralis major, trizeps brachii and rectus femoris) from eight different human donors (n=8; six preserved cadavers and two non‑preserved cadavers) were examined using immunohistochemistry. TRPC6 was found in all muscle fibers of all investigated bodies. Appropriate controls yielded the expected results. As demonstrated in animal studies and in studies of human cells, the presented results confirmed the presence of TRPC6 in human skeletal muscle tissue. Thus, TRPC6 is most likely important for calcium homeostasis and the proper function of human muscle fibers and may be a target for treatment in various muscular diseases.

Introduction

Transient receptor potential channels (TRP) are membrane-bound non-selective ion channels present in numerous different tissues and cell types in human and animal organisms (1). TRP channels are involved in intracellular Ca2+ homeostasis. Currently, seven different families are known: TRPC (C for classical or canonical), TRPV (vanilloid), TRPM (melastatin), TRPP (polycystin), TRPML (mucolipin), TRPN (no mechanoreceptor potential C), and TRPA (ANKTM1) (2). All TRP channels have six transmembrane domains and an intracellular cytoplasmic N (amino) and C (carboxy) terminus as structural common features. The TRPC6 ion channel is a non-selective cation channel and is important for the calcium balance of cells. TRPC6 is, similar to TRPC3 and TRPC7, a diacylglycerol (DAG)-sensitive TRPC channel. This allows a receptor operated opening of the channel (ROC).

The expression of transient receptor potential channel 6 (TRPC6) was investigated using real-time PCR in rat tissues and it was revealed that the highest level of expression was found especially in the lungs, cerebrum and ovaries (1). Further investigations provided evidence of the occurrence of TRPC6 in the smooth muscle cells of human blood vessels and their functional significance (3). In an investigation on the calcium regulation of dystrophin-deficient skeletal muscle of mice, with the help of antibody-based immunofluorescence staining, TRPC6 was found in the sarcolemma of muscle fibers and to a lesser extent in the cytoplasm (4). The authors of this study concluded that TRPC6 may contribute to the influx of calcium. A previous study revealed that a mutation in the TRPC6 channel is associated with focal segmental glomerulosclerosis, which ultimately leads to kidney failure through the death of podocytes (5). Further associations with regard to TRPC6 and pathophysiological conditions have been described for idiopathic pulmonary hypertension, in which the channels lead to the progression of the disease due to increased calcium influx (6,7), but also for malignant hyperthermia, in which TRPC6 was shown to be involved in the pathophysiological process in a mouse model (8). The latter study reported that muscle fibers of mice expressing a distinct mutation (RYR1-p.G2435R) are hypersensitive to activators of TRPC3/6 and have increased resting intracellular calcium and sodium (8). This hypersensitivity can be stopped using agents which inhibit TRPC3/6 indicating that TRPC channels play a crucial role in causing intracellular overloads of calcium and sodium in malignant hyperthermia-susceptible muscle.

The TRPC6 gene is expressed in numerous peripheral tissues, such as in the lungs, heart, muscles, gastrointestinal tract and central nervous system (9,10) while expression in skeletal muscle was comparable to that of the cerebellum (9). In the present study for the first time, to the best of our knowledge, TRPC6 was described in human skeletal muscle. However, data in previous studies (9,10) were related to TRPC6 gene expression, but not to the detection of the protein. Humans are mammals, however most studies have used tissues or cells from non-human mammals to examine human skeletal muscle tissue. Therefore, in the present study, immunohistochemistry (IHC) was used to examine human skeletal muscle tissue samples of cadavers from the local body donation program and from departments of the Institute of Pathology of Saarland University in order to establish the occurrence of TRPC6 in human skeletal muscle tissue.

Patients and methods

Donors

For this investigation six human cadaver donors from the local body donation program of Saarland University and two cadavers from the departments of the Institute of Pathology of Saarland University, were used. The bodies of two cadavers were not preserved, while four donors were preserved according to a protocol in a previous study by Janczyk et al (11) and two other donors using classical formaldehyde fixation. Data of the body donors is provided in Table I.

Table I

List of skeletal muscle samples which were investigated using immunohistochemistry.

Table I

List of skeletal muscle samples which were investigated using immunohistochemistry.

Donor no.Year of birthYear of deathPreservationSexCause of deathDepartmentIHCa
119282018FormalinFemaleCardiac failureAnatomy1,2,3
219492018FormalinMalePneumoniaAnatomy1,3
319442021Protocol by Janczyk et albFemalePulmonary embolismAnatomy1,4
419452021Protocol by Janczyk et albMalePneumoniaAnatomy1,4
519382021Protocol by Janczyk et albMaleProstate carcinomaAnatomy1,2,3,4
619372021Protocol by Janczyk et albFemaleCardiac failureAnatomy1,2,3,4
719472020NoneFemaleCardiac failurePathology1,2
820002020NoneMaleLeukemiaPathology1,2

[i] aIHC: 1, M. pectoralis major; 2, M. deltoideus; 3, M. triceps brachii; and 4, M. rectus femoris. IHC, immunohistochemistry; M., musculus.

[ii] bAccording to a protocol in a previous study by Janczyk et al (11).

The present study was approved by the Permanent Ethics Committee of the Saarland Medical Association (Ärztekammer des Saarlandes), Saarbrücken, Germany (approval no. 163/20 for samples obtained from the Department of Anatomy and approval no. 130/21 for the samples obtained from the Department of Pathology of Sarlaand University, Homburg, Germany). This committee is responsible for all medical research projects in Saarland.

Samples

Samples from the Departments of Anatomy and Pathology of Saarland University were obtained from May to October 2021. A biopsy punch and a scalpel were used to remove the tissue from the Musculus (M.) deltoideus, pectoralis major, trizeps brachii and rectus femoris from the right half of the bodies of the donors. For comparability M. pectoralis major samples from each donor were used. Furthermore four M. rectus femoris, four M. trizeps brachii and five M. deltoideus samples were included.

Immunostaining

After fixation in 4% buffered formaldehyde at room temperature overnight the specimens were embedded in paraffin and 7-µm thin sections were prepared using a microtome. The specimens were first stained with hematoxylin and eosin (H&E) at room temperature for 5 min and assessed to determine the intact morphology. The first step of IHC was antigen retrieval using 1% citrate-buffered solution for 60 min at 95˚C in heating incubator. After washing the samples twice for 2 min in PBS each time, they were incubated with a knockout-validated antibody against TRPC6 channel antigen structures (cat. no. ACC-017; Alomone Labs). The specificity and quality of the antibody was assessed using peptide-blocked control samples (cat. no. BLP-CC017; Alomone Labs). For antibody specificity, 40 µg control peptide was dissolved with 20 µl PBS and then incubated with 40 µl 1:100 diluted TRPC6 primary antibody overnight at 7˚C, in tubes. Negative controls were incubated with rabbit serum (from an untreated rabbit obtained from the Institute for Biochemistry, Homburg, Germany) instead of TRPC6 antibodies. The protein concentration in both solutions was similar (~0.01 mg/ml). Horseradish peroxidase-conjugated goat anti-rabbit antibodies (cat. no. A10547; 1:500; Invitrogen AG; Thermo Fisher Scientific, Inc.) were used as secondary antibodies. The sections were incubated with the secondary antibodies for 10-12 h at room temperature in a humidity chamber. The dilutions as aforementioned (1:100 and 1:500) were performed with normal goat serum (cat. no. 01-6201; Invitrogen; Thermo Fisher Scientific, Inc.). The added chromogen, diaminobenzidine (cat. no. SK-4103; Vector Laboratories, Inc.), became visible as a brown color after the HRP substrate catalyzed the reaction. The incubation time with the DAB substrate was 10 min. A total of 21 samples were examined using this procedure. Evaluation was performed using a light microscope (Nikon Eclipse E200; Nikon Corporation). Microphotographs were obtained using a digital camera (TrueChrome Metrics with software TCapture; Tucsen Photonics Co., Ltd.).

Results

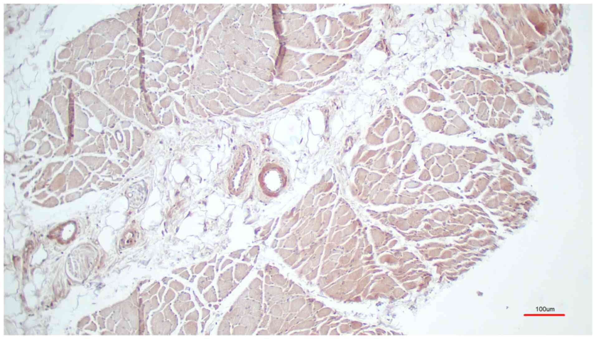
The results were evaluated microscopically and the samples were categorized according to staining intensity: Strong, weak and negative. From all the investigated samples, 19 samples exhibited strong staining and 2 samples exhibited weak staining. Nearly all (11 out of 12) samples that were preserved according to a protocol in a previous study by Janczyk et al (11) showed a strong immunohistochemical signal (Fig. 1, M. pectoralis major), while one sample was weakly stained. The four unfixed skeletal muscle samples consistently showed a strong immunohistochemical signal similar to the protocol by Janczyk et al (11). The five samples preserved using classical formaldehyde fixation showed a strong immunohistochemical signal in four cases (Fig. 2, M. triceps brachii), and a weak signal was detected in one case. Both controls, the normal rabbit serum control (Fig. 3) and the control with the peptide pre-incubation (Fig. 4), exhibited almost no immunohistochemically-stained structures. Another representative example of the presence of TRPC6 was revealed in a sample of M. deltoideus, which was obtained from an autopsy of a non-preserved cadaver (Table I, donor 8; Fig. 5, M. deltoideus). Collectively, representative examples of TRPC6 detection in human bodies are presented in M. deltoideus (Fig. 5), M. pectoralis major (Fig. 1) and M. triceps brachii (Fig. 2). An example of M. rectus femoris was lacking since it appeared identical to the other skeletal muscles. Skeletal muscles were presented from three different post mortem conditions: Non-preserved (Fig. 5), preserved according to the protocol by Janczyk et al (11) (Fig. 1) and preserved using classical formaldehyde fixation (Fig. 2).

Figure 1

Representative result of immunohistochemistry using the TRPC6 antibody of a sample of Musculus pectoralis major as preserved according to a protocol by Janczyk et al (11) (Table I, donor 3). All skeletal muscle fibers are indicated by brownish color whereas the fat cells are not labelled. TRPC6, transient receptor potential channel 6.

Figure 2

Representative result of immunohistochemistry using the TRPC6 antibody of a sample of Musculus triceps brachii of a formaldehyde-fixed sample (Table I, donor 1). All skeletal muscle fibers are indicated by brownish color whereas the fat cells are not labelled. TRPC6, transient receptor potential channel 6.

Figure 3

Representative result of immunohistochemistry of a formaldehyde-fixed sample of Musculus triceps brachii presented as a control using serum of a non-immunized rabbit (Table I, donor 1). The skeletal muscle fibers are not labelled with color.

Figure 4

Representative result of immunohistochemistry of a formaldehyde-fixed sample of Musculus triceps brachii presented as a control using pre-incubation with the peptide (Table I, donor 1). The skeletal muscle fibers are not labelled with color.

Figure 5

Representative result of immunohistochemistry using the TRPC6 antibody of a sample of Musculus deltoideus obtained from an autopsy of a non-preserved cadaver (Table I, donor 8). All skeletal muscle fibers are indicated by brownish color whereas the fat cells are not labelled. TRPC6, transient receptor potential channel 6.

All skeletal muscle fibers were labelled with brownish color whereas the fat cells were not labelled (Fig. 5). In summary, TRPC6 was found in the fibers of all investigated skeletal muscles independent of whether the tissue was freshly obtained during autopsy or after preservation.

Discussion

The immunohistological data for TRPC6 using the described Alomone antibody appears to be valid since corresponding bands in the western blots were absent when tissues from knockout mice were assessed (12). A limitation of the present study is that it is lacking western blot analysis because the unfixed tissue was prepared for histology. However, western blotting was performed using the identical TRPC6 antibody as aforementioned with homogenized human vessels containing mainly smooth muscle tissue. This was a recently published study (13).

To investigate human tissues, the body donation programs of anatomical institutes are of great value if the body donors have agreed to their donations not only for teaching but also for experimental research in an informed consent during their lifetime.

It is necessary to preserve the bodies for different purposes such as anatomical or surgical teaching and research. In the present study, it was demonstrated that both a classical preservation using formalin and a ‘soft preservation’ using pickle salt and alcohol could conserve a protein of interest and did not inhibit its detection using immunohistochemistry.

In summary, the present study detected TRPC6 protein in human skeletal muscle tissue for the first time, to the best of our knowledge. The results are consistent with a previous study, in which, for example, skeletal muscle of the mouse displayed channels in the sarcolemma (4). This study assessed the mRNA expression, protein levels and localization of TRPC3, TRPC6, TRPV4 and TRPM7. All these aforementioned channels may mediate store-operated, stretch-activated and background Ca2+-influx into muscle fibers. In addition, this previous study revealed that further investigations are required to ascertain whether TRP channels could be targets for new drugs of Duchenne muscular dystrophy (4).

However the exact localization should be investigated further using high-dissolving techniques such as immune electron microscopy. The junctional sarcoplasmic reticulum including L-tubule and T-tubule and the triads play a major role in the electro-mechanical linkage and are areas where calcium channels are localized (14). For the non-junctional sarcoplasmic reticulum within striated muscles, it has been demonstrated in 293 cells that TRPC channels interact with the proteins junctate and inositol-1,4,5-triphosphate receptor (15). Junctate has been demonstrated to be associated with the calcium ion content of the stores of the sarcoplasmic reticulum (16). Junctate has also been identified as a calcium-sensing component of ORAI1 and stromal interaction protein 1 (STIM1) (17,18). Notably, TRPC3 and presumably TRPC1 interact with triadic proteins such as ryanodine receptor type 1 (RyR1) and are involved in the release of calcium ions during the excitation-contraction process (19). In this previous study RyR1- or TRPC3-interacting triadic proteins were found by using a co-immunoprecipitation assay after establishing potential candidate proteins with chemical cross-linking of triadic proteins and mass spectroscopy. The results indicated that in muscle, TRPC3 and RyR1 interact indirectly via a linker protein, TRPC1. A panel of data is available on the physiological and presumed pathological role of TRPC channels in smooth muscle cells (20-22). The presented study is limited to descriptive results. In future, functional investigations with human muscle cells or tissue is necessary.

In view of the studies of animal skeletal muscles in which the importance of TRPC6 and TRPC3 for calcium flux, and thus also for the muscular contraction, was demonstrated (4,19) it is evident that TRPC channels could play an important role. Thus, TRPC6 and TRPC3 and most likely other TRPC channels are important for the calcium homeostasis in human muscle fibers and may be targets for treatment approaches in various muscular diseases.

Acknowledgements

We would like to thank Ms Irina Scheck, Mr Ronald Dollwett, Ms Helga Meyer and Ms Barbara Michahelles-Horzella (all from the Institute of Anatomy and Cell Biology, Saarland University, Homberg, Germany) for the technical support.

Funding

Funding: No funding was received.

Availability of data and materials

All microphotographs from the present study are available from the corresponding author upon reasonable request.

Authors' contributions

All authors planned and conducted the study. DS, JA and AG performed the experiments. DS and JA evaluated the data. DS and TT confirm the authenticity of all the raw data. DS and TT planned the study and wrote the manuscript. All authors read and approved the final manuscript.

Ethics approval and consent to participate

The present study was approved by the Permanent Ethics Committee of the Saarland Medical Association (Ärztekammer des Saarlandes), Saarbrücken, Germany (approval no. 163/20 for samples obtained from the Department of Anatomy and approval no. 130/21 for the samples obtained from the Department of Pathology of Sarlaand University, Homburg, Germany).

Patient consent for publication

Not applicable.

Competing interests

The authors declare that they have no competing interests.

References

1 

Garcia RL and Schilling WP: Differential expression of mammalian TRP homologues across tissues and cell lines. Biochem Biophys Res Commun. 239:279–283. 1997.PubMed/NCBI View Article : Google Scholar

2 

Venkatachalam K and Montell C: TRP channels. Annu Rev Biochem. 76:387–417. 2007.PubMed/NCBI View Article : Google Scholar

3 

Gonzalez-Cobos JC and Trebak M: TRPC channels in smooth muscle cells. Front Biosci (Landmark Ed). 15:1023–1039. 2010.PubMed/NCBI View Article : Google Scholar

4 

Krüger J, Kunert-Keil C, Bisping F and Brinkmeier H: Transient receptor potential cation channels in normal and dystrophic mdx muscle. Neuromuscul Disord. 18:501–513. 2008.PubMed/NCBI View Article : Google Scholar

5 

Winn MP, Conlon PJ, Lynn KL, Farrington MK, Creazzo T, Hawkins AF, Daskalakis N, Kwan SY, Ebersviller S, Burchette JL, et al: Medicine: A mutation in the TRPC6 cation channel causes familial focal segmental glomerulosclerosis. Science. 308:1801–1804. 2005.PubMed/NCBI View Article : Google Scholar

6 

Yamamura H, Suzuki Y and Yamamura A: Pathophysiological roles of TRPC6 channels in pulmonary arterial hypertension. Nihon Yakurigaku Zasshi. 155:230–235. 2020.PubMed/NCBI View Article : Google Scholar : (In Japanese).

7 

Yu Y, Fantozzi I, Remillard CV, Landsberg JW, Kunichika N, Platoshyn O, Tigno DD, Thistlethwaite PA, Rubin LJ and Yuan JX: Enhanced expression of transient receptor potential channels in idiopathic pulmonary arterial hypertension. Proc Natl Acad Sci USA. 101:13861–13866. 2004.PubMed/NCBI View Article : Google Scholar

8 

Rafael Lopez J, Kaura V, Hopkins P, Liu X, Uryach A, Adams J and Allen PD: Transient receptor potential cation channels and calcium dyshomeostasis in a mouse model relevant to malignant hyperthermia. Anesthesiology. 133:364–376. 2020.PubMed/NCBI View Article : Google Scholar

9 

Riccio A, Medhurst AD, Mattei C, Kelsell RE, Calver AR, Randall AD, Benham CD and Pangalos MN: mRNA distribution analysis of human TRPC family in CNS and peripheral tissues. Brain Res Mol Brain Res. 109:95–104. 2002.PubMed/NCBI View Article : Google Scholar

10 

Kunert-Keil C, Bisping F, Krüger J and Brinkmeier H: Tissue-specific expression of TRP channel genes in the mouse and its variation in three different mouse strains. BMC Genomics. 7(159)2006.PubMed/NCBI View Article : Google Scholar

11 

Janczyk P, Weigner J, Luebke-Becker A, Kaessmeyer S and Plendl J: Nitrite pickling salt as an alternative to formaldehyde for embalming in veterinary anatomy - A study based on histo- and microbiological analyses. Ann Anat. 193:71–75. 2011.PubMed/NCBI View Article : Google Scholar

12 

Dietrich A, Mederos Y, Gollasch M, Gollasch M, Gross V, Storch U, Dubrovska G, Obst M, Yildirim E, Salanova B, et al: Increased vascular smooth muscle contractility in TRPC6-/- mice. Mol Cell Biol. 25:6980–6989. 2005.PubMed/NCBI View Article : Google Scholar

13 

Abdinghoff J, Servello D, Jacobs T, Beckmann A and Tschernig T: Evaluation of the presence of TRPC6 channels in human vessels: A pilot study using immunohistochemistry. Biomed Rep. 16(42)2022.PubMed/NCBI View Article : Google Scholar

14 

Perni S: The Builders of the Junction: Roles of Junctophilin1 and Junctophilin2 in the assembly of the sarcoplasmic reticulum-plasma membrane junctions in striated muscle. Biomolecules. 12(109)2022.PubMed/NCBI View Article : Google Scholar

15 

Treves S, Franzini-Armstrong C, Moccagatta L, Arnoult C, Grasso C, Schrum A, Ducreux S, Zhu MX, Mikoshiba K, Girard T, et al: Junctate is a key element in calcium entry induced by activation of InsP3 receptors and/or calcium store depletion. J Cell Biol. 166:537–548. 2004.PubMed/NCBI View Article : Google Scholar

16 

Divet A, Paesante S, Grasso C, Cavagna D, Tiveron C, Paolini C, Protasi F, Huchet-Cadiou C, Treves S and Zorzato F: Increased Ca2+ storage capacity of the skeletal muscle sarcoplasmic reticulum of transgenic mice over-expressing membrane bound calcium binding protein junctate. J Cell Physiol. 213:464–474. 2007.PubMed/NCBI View Article : Google Scholar

17 

Srikanth S, Jew M, Kim KD, Yee MK, Abramson J and Gwack Y: Junctate is a Ca2+-sensing structural component of Orai1 and stromal interaction molecule 1 (STIM1). Proc Natl Acad Sci USA. 109:8682–8687. 2012.PubMed/NCBI View Article : Google Scholar

18 

Kiviluoto S, Decuypere JP, De Smedt H, Missiaen L, Parys JB and Bultynck G: STIM1 as a key regulator for Ca2+ homeostasis in skeletal-muscle development and function. Skelet Muscle. 1(16)2011.PubMed/NCBI View Article : Google Scholar

19 

Woo JS, Kim DH, Allen PD and Lee EH: TRPC3-interacting triadic proteins in skeletal muscle. Biochem J. 411:399–405. 2008.PubMed/NCBI View Article : Google Scholar

20 

Pulina MV, Zulian A, Baryshnikov SG, Linde CI, Karashima E, Hamlyn JM, Ferrari P, Blaustein MP and Golovina VA: Cross talk between plasma membrane Na(+)/Ca (2+) exchanger-1 and TRPC/Orai-containing channels: Key players in arterial hypertension. Adv Exp Med Biol. 961:365–374. 2013.PubMed/NCBI View Article : Google Scholar

21 

Poburko D, Fameli N, Kuo KH and van Breemen C: Ca2+ signaling in smooth muscle: TRPC6, NCX and LNats in nanodomains. Channels (Austin). 2:10–12. 2008.PubMed/NCBI View Article : Google Scholar

22 

Wang J, Laurier LG, Sims SM and Preiksaitis HG: Enhanced capacitative calcium entry and TRPC channel gene expression in human LES smooth muscle. Am J Physiol Gastrointest Liver Physiol. 284:G1074–G1083. 2003.PubMed/NCBI View Article : Google Scholar

Related Articles

  • Abstract
  • View
  • Download
  • Twitter
Copy and paste a formatted citation
Spandidos Publications style
Servello D, Abdinghoff J, Grissmer A and Tschernig T: Transient receptor potential channel 6 in human skeletal muscle fibers: Investigation in fresh and conserved tissue samples. Biomed Rep 17: 60, 2022.
APA
Servello, D., Abdinghoff, J., Grissmer, A., & Tschernig, T. (2022). Transient receptor potential channel 6 in human skeletal muscle fibers: Investigation in fresh and conserved tissue samples. Biomedical Reports, 17, 60. https://doi.org/10.3892/br.2022.1543
MLA
Servello, D., Abdinghoff, J., Grissmer, A., Tschernig, T."Transient receptor potential channel 6 in human skeletal muscle fibers: Investigation in fresh and conserved tissue samples". Biomedical Reports 17.1 (2022): 60.
Chicago
Servello, D., Abdinghoff, J., Grissmer, A., Tschernig, T."Transient receptor potential channel 6 in human skeletal muscle fibers: Investigation in fresh and conserved tissue samples". Biomedical Reports 17, no. 1 (2022): 60. https://doi.org/10.3892/br.2022.1543
Copy and paste a formatted citation
x
Spandidos Publications style
Servello D, Abdinghoff J, Grissmer A and Tschernig T: Transient receptor potential channel 6 in human skeletal muscle fibers: Investigation in fresh and conserved tissue samples. Biomed Rep 17: 60, 2022.
APA
Servello, D., Abdinghoff, J., Grissmer, A., & Tschernig, T. (2022). Transient receptor potential channel 6 in human skeletal muscle fibers: Investigation in fresh and conserved tissue samples. Biomedical Reports, 17, 60. https://doi.org/10.3892/br.2022.1543
MLA
Servello, D., Abdinghoff, J., Grissmer, A., Tschernig, T."Transient receptor potential channel 6 in human skeletal muscle fibers: Investigation in fresh and conserved tissue samples". Biomedical Reports 17.1 (2022): 60.
Chicago
Servello, D., Abdinghoff, J., Grissmer, A., Tschernig, T."Transient receptor potential channel 6 in human skeletal muscle fibers: Investigation in fresh and conserved tissue samples". Biomedical Reports 17, no. 1 (2022): 60. https://doi.org/10.3892/br.2022.1543
Follow us
  • Twitter
  • LinkedIn
  • Facebook
About
  • Spandidos Publications
  • Careers
  • Cookie Policy
  • Privacy Policy
How can we help?
  • Help
  • Live Chat
  • Contact
  • Email to our Support Team