Spandidos Publications Logo
  • About
    • About Spandidos
    • Aims and Scopes
    • Abstracting and Indexing
    • Editorial Policies
    • Reprints and Permissions
    • Job Opportunities
    • Terms and Conditions
    • Contact
  • Journals
    • All Journals
    • Oncology Letters
      • Oncology Letters
      • Information for Authors
      • Editorial Policies
      • Editorial Board
      • Aims and Scope
      • Abstracting and Indexing
      • Bibliographic Information
      • Archive
    • International Journal of Oncology
      • International Journal of Oncology
      • Information for Authors
      • Editorial Policies
      • Editorial Board
      • Aims and Scope
      • Abstracting and Indexing
      • Bibliographic Information
      • Archive
    • Molecular and Clinical Oncology
      • Molecular and Clinical Oncology
      • Information for Authors
      • Editorial Policies
      • Editorial Board
      • Aims and Scope
      • Abstracting and Indexing
      • Bibliographic Information
      • Archive
    • Experimental and Therapeutic Medicine
      • Experimental and Therapeutic Medicine
      • Information for Authors
      • Editorial Policies
      • Editorial Board
      • Aims and Scope
      • Abstracting and Indexing
      • Bibliographic Information
      • Archive
    • International Journal of Molecular Medicine
      • International Journal of Molecular Medicine
      • Information for Authors
      • Editorial Policies
      • Editorial Board
      • Aims and Scope
      • Abstracting and Indexing
      • Bibliographic Information
      • Archive
    • Biomedical Reports
      • Biomedical Reports
      • Information for Authors
      • Editorial Policies
      • Editorial Board
      • Aims and Scope
      • Abstracting and Indexing
      • Bibliographic Information
      • Archive
    • Oncology Reports
      • Oncology Reports
      • Information for Authors
      • Editorial Policies
      • Editorial Board
      • Aims and Scope
      • Abstracting and Indexing
      • Bibliographic Information
      • Archive
    • Molecular Medicine Reports
      • Molecular Medicine Reports
      • Information for Authors
      • Editorial Policies
      • Editorial Board
      • Aims and Scope
      • Abstracting and Indexing
      • Bibliographic Information
      • Archive
    • World Academy of Sciences Journal
      • World Academy of Sciences Journal
      • Information for Authors
      • Editorial Policies
      • Editorial Board
      • Aims and Scope
      • Abstracting and Indexing
      • Bibliographic Information
      • Archive
    • International Journal of Functional Nutrition
      • International Journal of Functional Nutrition
      • Information for Authors
      • Editorial Policies
      • Editorial Board
      • Aims and Scope
      • Abstracting and Indexing
      • Bibliographic Information
      • Archive
    • International Journal of Epigenetics
      • International Journal of Epigenetics
      • Information for Authors
      • Editorial Policies
      • Editorial Board
      • Aims and Scope
      • Abstracting and Indexing
      • Bibliographic Information
      • Archive
    • Medicine International
      • Medicine International
      • Information for Authors
      • Editorial Policies
      • Editorial Board
      • Aims and Scope
      • Abstracting and Indexing
      • Bibliographic Information
      • Archive
  • Articles
  • Information
    • Information for Authors
    • Information for Reviewers
    • Information for Librarians
    • Information for Advertisers
    • Conferences
  • Language Editing
Spandidos Publications Logo
  • About
    • About Spandidos
    • Aims and Scopes
    • Abstracting and Indexing
    • Editorial Policies
    • Reprints and Permissions
    • Job Opportunities
    • Terms and Conditions
    • Contact
  • Journals
    • All Journals
    • Biomedical Reports
      • Information for Authors
      • Editorial Policies
      • Editorial Board
      • Aims and Scope
      • Abstracting and Indexing
      • Bibliographic Information
      • Archive
    • Experimental and Therapeutic Medicine
      • Information for Authors
      • Editorial Policies
      • Editorial Board
      • Aims and Scope
      • Abstracting and Indexing
      • Bibliographic Information
      • Archive
    • International Journal of Epigenetics
      • Information for Authors
      • Editorial Policies
      • Editorial Board
      • Aims and Scope
      • Abstracting and Indexing
      • Bibliographic Information
      • Archive
    • International Journal of Functional Nutrition
      • Information for Authors
      • Editorial Policies
      • Editorial Board
      • Aims and Scope
      • Abstracting and Indexing
      • Bibliographic Information
      • Archive
    • International Journal of Molecular Medicine
      • Information for Authors
      • Editorial Policies
      • Editorial Board
      • Aims and Scope
      • Abstracting and Indexing
      • Bibliographic Information
      • Archive
    • International Journal of Oncology
      • Information for Authors
      • Editorial Policies
      • Editorial Board
      • Aims and Scope
      • Abstracting and Indexing
      • Bibliographic Information
      • Archive
    • Medicine International
      • Information for Authors
      • Editorial Policies
      • Editorial Board
      • Aims and Scope
      • Abstracting and Indexing
      • Bibliographic Information
      • Archive
    • Molecular and Clinical Oncology
      • Information for Authors
      • Editorial Policies
      • Editorial Board
      • Aims and Scope
      • Abstracting and Indexing
      • Bibliographic Information
      • Archive
    • Molecular Medicine Reports
      • Information for Authors
      • Editorial Policies
      • Editorial Board
      • Aims and Scope
      • Abstracting and Indexing
      • Bibliographic Information
      • Archive
    • Oncology Letters
      • Information for Authors
      • Editorial Policies
      • Editorial Board
      • Aims and Scope
      • Abstracting and Indexing
      • Bibliographic Information
      • Archive
    • Oncology Reports
      • Information for Authors
      • Editorial Policies
      • Editorial Board
      • Aims and Scope
      • Abstracting and Indexing
      • Bibliographic Information
      • Archive
    • World Academy of Sciences Journal
      • Information for Authors
      • Editorial Policies
      • Editorial Board
      • Aims and Scope
      • Abstracting and Indexing
      • Bibliographic Information
      • Archive
  • Articles
  • Information
    • For Authors
    • For Reviewers
    • For Librarians
    • For Advertisers
    • Conferences
  • Language Editing
Login Register Submit
  • This site uses cookies
  • You can change your cookie settings at any time by following the instructions in our Cookie Policy. To find out more, you may read our Privacy Policy.

    I agree
Search articles by DOI, keyword, author or affiliation
Search
Advanced Search
presentation
Biomedical Reports
Join Editorial Board Propose a Special Issue
Print ISSN: 2049-9434 Online ISSN: 2049-9442
Journal Cover
September-2022 Volume 17 Issue 3

Full Size Image

Sign up for eToc alerts
Recommend to Library

Journals

International Journal of Molecular Medicine

International Journal of Molecular Medicine

International Journal of Molecular Medicine is an international journal devoted to molecular mechanisms of human disease.

International Journal of Oncology

International Journal of Oncology

International Journal of Oncology is an international journal devoted to oncology research and cancer treatment.

Molecular Medicine Reports

Molecular Medicine Reports

Covers molecular medicine topics such as pharmacology, pathology, genetics, neuroscience, infectious diseases, molecular cardiology, and molecular surgery.

Oncology Reports

Oncology Reports

Oncology Reports is an international journal devoted to fundamental and applied research in Oncology.

Experimental and Therapeutic Medicine

Experimental and Therapeutic Medicine

Experimental and Therapeutic Medicine is an international journal devoted to laboratory and clinical medicine.

Oncology Letters

Oncology Letters

Oncology Letters is an international journal devoted to Experimental and Clinical Oncology.

Biomedical Reports

Biomedical Reports

Explores a wide range of biological and medical fields, including pharmacology, genetics, microbiology, neuroscience, and molecular cardiology.

Molecular and Clinical Oncology

Molecular and Clinical Oncology

International journal addressing all aspects of oncology research, from tumorigenesis and oncogenes to chemotherapy and metastasis.

World Academy of Sciences Journal

World Academy of Sciences Journal

Multidisciplinary open-access journal spanning biochemistry, genetics, neuroscience, environmental health, and synthetic biology.

International Journal of Functional Nutrition

International Journal of Functional Nutrition

Open-access journal combining biochemistry, pharmacology, immunology, and genetics to advance health through functional nutrition.

International Journal of Epigenetics

International Journal of Epigenetics

Publishes open-access research on using epigenetics to advance understanding and treatment of human disease.

Medicine International

Medicine International

An International Open Access Journal Devoted to General Medicine.

Journal Cover
September-2022 Volume 17 Issue 3

Full Size Image

Sign up for eToc alerts
Recommend to Library

  • Article
  • Citations
    • Cite This Article
    • Download Citation
    • Create Citation Alert
    • Remove Citation Alert
    • Cited By
  • Similar Articles
    • Related Articles (in Spandidos Publications)
    • Similar Articles (Google Scholar)
    • Similar Articles (PubMed)
  • Download PDF
  • Download XML
  • View XML
Case Report Open Access

Possible role of low dose dexamethasone administration in listeria monocytogenes meningoencephalitis: A case series

  • Authors:
    • Vittoria Moscatt
    • Andrea Marino
    • Manuela Ceccarelli
    • Federica Cosentino
    • Aldo Zagami
    • Benedetto Maurizio Celesia
    • Giuseppe Nunnari
    • Bruno Cacopardo
  • View Affiliations / Copyright

    Affiliations: Department of Clinical and Experimental Medicine, Unit of Infectious Diseases, University of Messina, I-98124 Messina, Sicily, Italy, Department of Biomedical and Biotechnological Sciences, University of Catania, I-95122 Catania, Italy, Department of Clinical and Experimental Medicine, ARNAS Garibaldi Hospital, University of Catania, I-95122 Catania, Italy
    Copyright: © Moscatt et al. This is an open access article distributed under the terms of Creative Commons Attribution License.
  • Article Number: 73
    |
    Published online on: July 11, 2022
       https://doi.org/10.3892/br.2022.1556
  • Expand metrics +
Metrics: Total Views: 0 (Spandidos Publications: | PMC Statistics: )
Metrics: Total PDF Downloads: 0 (Spandidos Publications: | PMC Statistics: )
Cited By (CrossRef): 0 citations Loading Articles...

This article is mentioned in:



Abstract

Listeria (L.) monocytogenes is a gram‑positive, non‑sporulating, facultatively anaerobic bacillus transmitted to humans through ingestion of contaminated foods. Listeriosis represents the third most common cause of death from foodborne illness, with a mortality rate of 20‑30%, especially for patients affected by an invasive disease, which typically affects immunocompromised patients, pregnant women, the elderly, and neonates. It causes several clinical syndromes, of which meningitis, meningoencephalitis, and sepsis are the most challenging to deal with. Here, five cases of L. monocytogenes meningitis/meningoencephalitis affecting two previously healthy immunocompetent and three immunocompromised adult patients treated with ampicillin plus gentamicin are reported. In addition, all the patients described in this report received a low dose of intravenous dexamethasone; four of them made a full recovery. Additionally, a literature search was performed to better explain the appropriate clinical and therapeutic management approaches for these patients, highlighting the value of dexamethasone administration as part of the therapy.

Introduction

Listeria (L.) monocytogenes is a gram-positive, non-sporulating, facultatively anaerobic bacillus that is transmitted to humans through ingestion of foods contaminated with high-bacterial concentrations (1-3).

Listeriosis is a relatively rare disease (0.1 to 10 cases per 1 million individuals per year according to WHO) with a mortality rate of 20-30%, especially for those who developed an invasive disease (4).

Invasive Listeriosis typically affects immunocompromised patients, pregnant women, the elderly, and neonates (5). It causes several clinical syndromes, of which meningitis, meningoencephalitis, and sepsis are the most challenging to deal with (6,7). Listeria meningitis should be suspected in children <3 years of age and adults >50 years of age who show meningeal symptoms without clear etiology (8).

Ampicillin plays a key role in Listeria treatment, and it is often combined with gentamicin which may be a suitable adjuvant due to its favorable pharmacodynamic synergistic action with penicillin (9). Optimal treatment durations have not been assessed; however, ampicillin should be administered for at least 21 days and gentamicin can be discontinued after 1 week of treatment, taking into consideration the patients' clinical conditions (9). Conversely, gentamicin administration may be prolonged for up to 3 weeks, although the renal function and plasma concentrations of gentamicin should be monitored in such a case (9,10).

Although there are limited data and inconclusive evidence, adjunctive dexamethasone administration is discouraged, as it has been associated with unfavorable outcomes or no beneficial effects; however, other studies tend to reconsider dexamethasone therapy due to its effects on inflammation and edema (11).

The present report describes five cases of L. monocytogenes meningitis affecting two previously healthy immunocompetent and three immunocompromised adult patients treated according to the international guidelines. All the patients described received a low dose of dexamethasone.

To discuss the appropriate clinical and therapeutic management of these patients and to argue the possible role of dexamethasone administration in Listeria meningitis, a brief literature review including only documented adult cases (≥18 years old) treated with an antibiotic and dexamethasone combination was also performed.

Case reports

Consent

The patients signed written informed consent forms. Within the consent form, it was specified that data collected during the diagnostic and therapeutic process can be anonymously used for scientific purposes.

Patient 1

This patient was a 69-year-old healthy Italian man with 5 days of fever, nausea, and loss of appetite, followed by a progressive headache and impaired mental status. His past medical history was unremarkable; he did not take any medications.

On admission, the patient was febrile (39˚C), poorly responsive to vocal and painful stimuli, and was in a state of stupor [Glasgow Coma Scale (GCS)] (8). Clinical examination showed neck stiffness along with positive Kernig's sign. Babinski's sign was negative.

Blood tests revealed an elevated white blood cell (WBC) count (18,800/mm3, 89.8% neutrophils), mild anemia (Hb 11.8 g/dl), normal platelet count (160,000/mm3), as well as elevated C-reactive-protein (CRP) levels (35.7 mg/dl) and procalcitonin (PCT) levels (3 ng/dl). Renal and liver function were normal. The HIV test was negative.

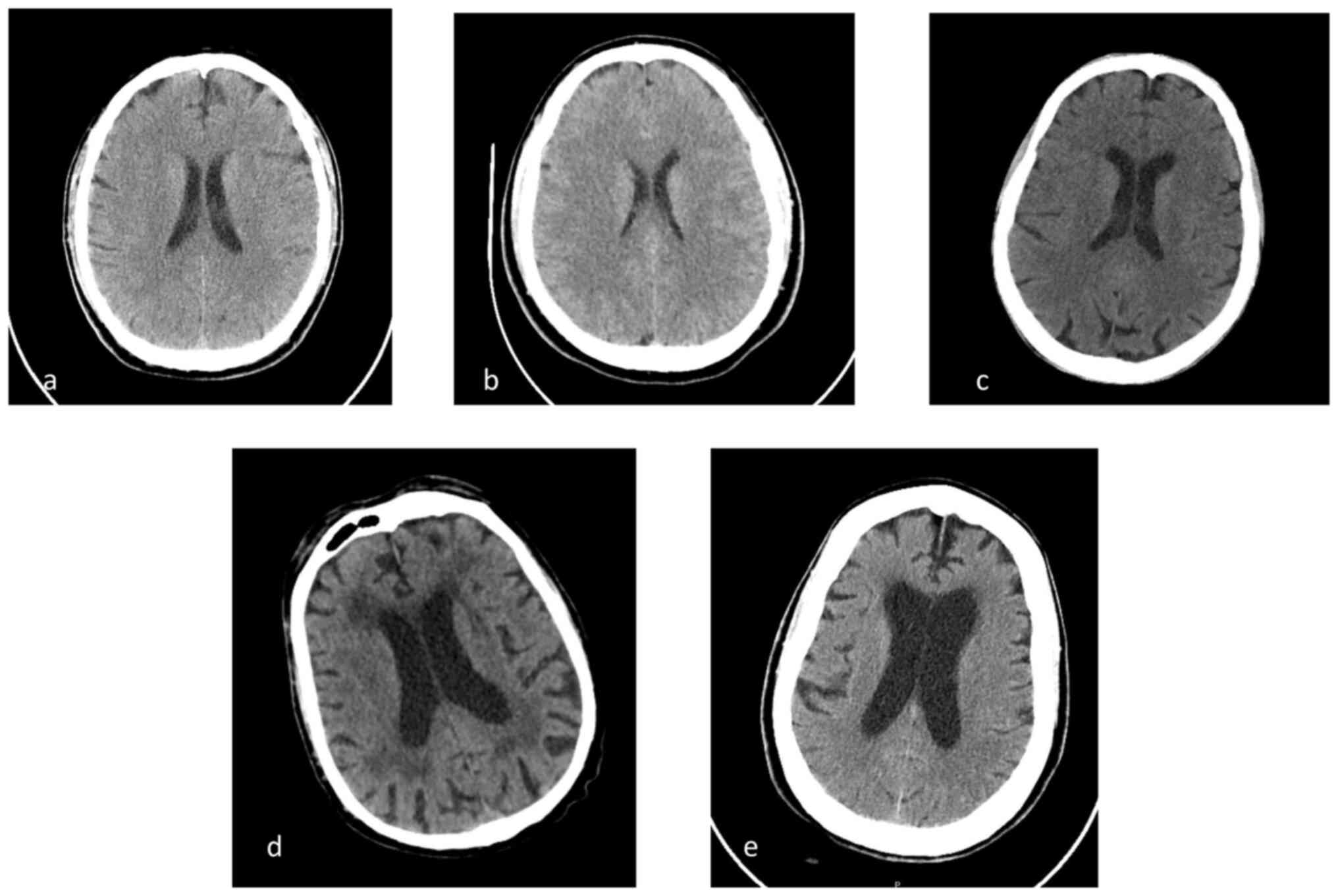
A head CT scan (SOMATOM® Definition Flash scanner, Siemens AG) showed no abnormalities (Fig. 1A). Cerebrospinal fluid (CSF) examination revealed high protein levels (4,175 mg/l; normal range 150-450 mg/l), high lactate dehydrogenase levels (193 IU/l), reduced glucose levels (18 mg/dl), and hypercellularity (152 cells/mcl mostly lymphocytes; normal range <5 cells/mcl). Empirical treatment with ceftriaxone 2 g twice daily, acyclovir 10 mg/kg three times daily, and corticosteroids (dexamethasone 4 mg three times daily) was initiated. Molecular biology [reverse transcription (RT)-PCR] for Listeria detection was performed using a FilmArray Meningitis/Encephalitis Panel (ME) CE-IVD according to the manufacturer's protocol (cat. no. RFIT-PRT-0005, BioFire Diagnostics, LLC) on the CSF, and the results were positive for L. monocytogenes, which was confirmed by CSF culture [performed in 5% blood agar with Brain Heart Infusion (BHI) to enhance recovery of Listeria isolates with incubation in aerobic conditions at 37˚C for 24 to 48 h]. Targeted therapy was established with intravenous (i.v.) ampicillin 3 g every 6 h, and gentamicin 400 mg i.v. Dexamethasone 4 mg three times a day was also maintained.

Figure 1

Patients' head CT scan. CT scans of the (a) first, (b) second, (c) third, (d) fourth, and (e) fifth patients' head.

The patient's clinical conditions rapidly improved with notable amelioration 72 h after targeted therapy initiation. Overall, the patient was treated for 21 days with antibiotics and dexamethasone, and the latter was gradually reduced before discontinuation. After 1 month of hospitalization, the patient was discharged with no evidence of neurological deficits.

Patient 2

A previously healthy, 39-year-old man was hospitalized for speech problems and intense dizziness. He reported a 4-day history of fever, headache, and vomiting, which were treated with antiemetics and paracetamol.

On admission, the patient was febrile (39.6˚C), with a normal mental status and with neck stiffness. Other signs of meningeal irritation were absent. Clinical examination showed no abnormalities.

Laboratory tests revealed elevated WBC counts (13,300/mm3, 73.3% neutrophils), high CRP levels (28.91 mg/dl), and elevated transaminase levels [aspartate transferase (AST) 314 IU/l; alanine transferase (ALT) 116 IU/l]. A head CT scan was normal (Fig. 1B).

CSF analysis showed high protein levels (675 mg/l), low glucose levels (29 mg/dl; serum glucose 109 mg/dl), with 502 cells/mcl (mostly lymphocytes). Empiric treatment was established with ceftriaxone 2 g twice daily, ampicillin 3 g four times daily, acyclovir 10 mg/kg three times daily, and dexamethasone 4 mg three times daily. RT-PCR on CSF was positive for L. monocytogenes and this result was then confirmed by CSF culture.

Ampicillin 12 g daily i.v., and gentamicin 4 mg/kg/day i.v. for 21 days were administered along with dexamethasone at the same dosage which was gradually tapered. The patient's clinical conditions improved rapidly, and the fever disappeared after 48 h of antibiotic treatment. In 34 days, he was discharged without complications.

Patient 3

A 49-year-old Italian man with a history of ulcerative colitis presented to the emergency department with abdominal pain, nausea, an intense headache, and a fever ~40˚C. He did not have other comorbidities. He took mesalamine and corticosteroids.

On admission, the patient had intense photophobia, and neck stiffness along with positive signs of meningeal irritation (Brudzinski, Kernig). In addition, he was febrile (39.5°C).

Blood tests revealed an elevated WBC count (11,000/mmc3, 70% neutrophils), CRP levels (44.2 mg/dl) and PCT levels (25.32 ng/ml).

Head CT scan was negative (Fig. 1C). CSF analysis showed 1,364 leukocytes/µl with a preponderance of lymphocytes. CSF protein levels were 420 mg/l, and the glucose level was 32 mg/dl (blood glucose, 98 mg/dl).

The patient was treated empirically with ceftriaxone 2 g twice daily, acyclovir 10 mg/kg three times daily, vancomycin 15 mg/kg, and dexamethasone 4 mg three times daily.

Gram stains of the CSF showed the presence of Gram-positive rods. RT-PCR showed the presence of Listeria monocytogenes, later confirmed by culture.

Antibiotic therapy was switched to ampicillin 12 g daily i.v. plus gentamicin 4 mg/kg/day i.v. Dexamethasone was maintained at the same dosage, and was gradually decreased. He was treated for 4 weeks, with complete recovery of symptoms. After 1 month, the patient was discharged without neurological sequelae.

Patient 4

A 67-year-old man presented to the emergency department with a worsening frontal headache associated with a high fever (up to 40˚C), and impaired consciousness (GCS 12). His medical history included a B-cell lymphoma, treated with rituximab, and secondary hypoglobulinemia.

On admission, he had marked neck stiffness; Kernig's and Lasegue's signs were positive. He was febrile (38.4˚C) and confused.

Blood tests revealed elevated CRP levels (18 mg/dl), reduced WBC counts (3,500/mm3) with normal formula, mild anemia (11.3 g/dl), and normal PCT levels. A head CT scan showed no abnormalities (Fig. 1D).

CSF examination revealed a glucose level of 0.24 mg/dl, a protein level of 1,400 mg/l, and a cell count of 425/mcl (with a predominance of mononuclear cells). Empirical therapy was started with vancomycin 15 mg/kg daily plus dexamethasone 4 mg three times daily.

CSF was positive for L. monocytogenes and antibiotic therapy was administered with ampicillin 12 g daily i.v. and gentamicin 4 mg/kg/day i.v. for 21 days. Dexamethasone 4 mg three times daily i.v. was also prolonged for 21 days and was gradually reduced. He was discharged 35 days after hospitalization without complications.

Patient 5

A 72-year-old man with a history of recurrent pulmonary infections, chronic kidney disease (CKD), and diabetes was admitted to the emergency department with fever (38.6˚C), photophobia, and confusion (GCS 11).

Neurological examination revealed neck stiffness with positive Kernig's and Lasegue's signs. Laboratory data showed high WBC counts (5,600/mm3, 76% neutrophils), high CRP levels (36 mg/dl), creatinine 2.1 mg/dl (eGFR with CKD-EPI 31 ml/min), AST 56 IU/l, ALT 41 IU/l, and glucose 176 mg/dl. A head CT scan was normal (Fig. 1E).

CSF showed 1,125 mononuclear cells/mm3, glucose 0.66 mg/dl and protein 2,100 mg/dl. Empiric therapy was started with ceftriaxone, acyclovir, ampicillin, and dexamethasone 4 mg three times daily. The CSF molecular panel was positive for L. monocytogenes, which was confirmed on CSF culture.

Antimicrobial therapy with ampicillin 3 g four times daily along with intravenous gentamicin 3 mg/kg/day was initiated. Due to the impaired kidney function, diminished doses of gentamicin were administered for 10 days, strictly monitoring creatinine and eGFR, the levels of which remained constant. Dexamethasone therapy was maintained for 21 days, although gradually reduced.

Unfortunately, despite appropriate therapy, the patient's condition deteriorated rapidly, especially his mental status, and he died on the 11th day after admission.

Discussion

Worldwide, Listeria monocytogenes is the third leading cause of community-acquired meningitis, accounting for 5% of all cases (1). Aging, chronic disease, sepsis, and malignancies represent the most important predictors of mortality in patients with Listeria meningitis (12).

Two of the patients reported on in this study were healthy and immunocompetent men who were not involved in farming or animal husbandry. We consider as ʻimmunosuppressedʼ every patient with impaired immunity or an impaired immune response due to congenital or acquired disease or those patients who took drugs that can induce an impaired immune status (e.g. chemotherapy, chronic corticosteroid administration). The third patient was immunosuppressed due to chronic corticosteroid treatment but reported no contact with animals or unknown foods prior to infection. The fourth patient had a history of hematologic disease; the fifth patient was affected by CKD due to diabetes, which could be considered an immunosuppressive disease, and reported multiple respiratory infections previously. None of them had a clear exposure to foods classically associated with an increased risk of Listeria infection (1). None of them were HIV positive, as performing an HIV test is strongly suggested in the presence of Listeria meningeal infection (13,14), nor were they HCV or HBV positive (15-17). It is hypothesized that they were asymptomatic intestinal carriers since the incidence of fecal carriers is estimated to be 1-10% of the population (11,18). In addition, head CT scans of all patients described did not reveal signs of rhombencephalitis. Perhaps, MRI would have been a better method to address this issue, but it was not performed due to the patients' serious clinical conditions.

Concerning Listeria meningitis, lumbar puncture is essential for diagnosis since these patients are clinically indistinguishable from those with more common pathogens (9). However, according to various studies, the incidence of meningeal signs in patients with L. monocytogenes is lower than in patients with other bacterial CNS infections (19). Signs and symptoms may include fever, headache, vomiting, diarrhea, and altered mental status, such as those reported in these reports (20). CSF analysis in most cases shows pleocytosis with neutrophilia, reduced glucose concentrations, and increased protein levels (21).

As stated for meningitis caused by other microorganisms, even in neurolisteriosis, an earlier diagnosis correlates with better outcomes and reduced neurological sequelae rates (9).

Typical CSF findings of bacterial meningitis are present in 77% of patients, and Gram staining of the CSF reveals Gram-positive rods in only one-third of cases (21). Therefore, culture or PCR of CSF is required to detect L. monocytogenes (sensitivity and specificity of 80%) (9). Multiplex PCR may reduce the appropriate treatment delay, improving results and leading to the initiation of proper antibiotic therapy (22). In our cases, RT-PCR provided a positive result quickly for Listeria and specific treatment was started immediately, whereas microbiological results were confirmed later with positive CSF cultures, as the latter represents the gold standard for assessing bacterial antibiotic susceptibility.

First-line empiric treatment of bacterial meningitis includes third-generation cephalosporins and vancomycin to target the most common pathogens (9). Unfortunately, despite their broad spectrum of action, third-generation cephalosporins generally have no activity against Listeria (23). The most effective treatment for CNS listeriosis has not been determined as there are no randomized controlled trials with an adequate number of patients. Furthermore, an optimal treatment duration has not been determined although a minimum of 21 days of therapy is recommended for Listeria meningitis (9,24). Benzylpenicillin and ampicillin are considered the core of any treatment regimen, either alone or in combination with aminoglycosides (such as gentamicin) due to their synergistic effect on bacterial killing (25).

Although there are no formal recommendations regarding aminoglycoside administration in these patients due to their adverse effects on renal function (9), to enhance ampicillin activity and to improve clinical outcomes, all the subjects we described were treated with gentamicin. The fifth patient received a short-term reduced dose of gentamicin due to his impaired kidney function.

Corticosteroid therapy correlates with decreased CSF inflammation, reversal of brain edema, and improved outcomes (26). Dexamethasone administration could reduce bacterial lysis, which enhances inflammation in the subarachnoid space, resulting in higher morbidity and mortality (26). Considering this, dexamethasone administration is recommended for all meningitis of unknown origin in adults due to its effect on edema, cerebral vasculitis, altered cerebral blood flow, intracranial hypertension, and neuronal damage (25).

Guidelines suggest the cessation of dexamethasone administration if pathogens other than S. pneumoniae are present in the culture (26-28) since some cohorts, although small and heterogeneous, showed that standard dexamethasone therapy had no benefits in terms of mortality and morbidity in meningitis caused by other pathogens, such as Neisseria meningitidis or Listeria monocytogenes (29).

Due to the rarity of L. monocytogenes meningitis, there is a significant lack of clinical trials and studies on dexamethasone administration, and most of the literature consists of case reports or retrospective studies (30). Therefore, it is difficult to make evidence-based recommendations regarding this condition, and the results of clinical studies are varied.

Currently, the prospective Multicentric Observational NAtional Study on LISteriosis and ListeriA (MONALISA) is the largest cohort of patients diagnosed with listeriosis, with 818 cases. However, only 252 cases were neurolisteriosis, and of these, only 32 received dexamethasone. The study showed a significant reduction in the survival of patients treated with dexamethasone within 24 h of admission. However, the treated population was small and this result is not from a clinical trial (31).

An epidemiological study of two Dutch cohorts of patients with neurolisteriosis described no association between dexamethasone administration and poor outcomes. However, the rate of dexamethasone administration was higher in the cohort with a worse outcome (26).

Endorsing the idea of the beneficial effects of corticosteroids, Pelegrín et al (32) analyzed 59 patients affected by neurolisteriosis, 29 of those received adjuvant dexamethasone administration. Although no significant differences in mortality or major side effects were recorded and those patients who received dexamethasone were more likely to present with fever at admission than those who had did not, along with a higher number of cells in the CSF, there was a trend toward fewer neurological sequelae in the dexamethasone group. Similarly, Amaya-Villar et al (33) described 43 patients with neurolisteriosis, 21 of them received dexamethasone administration; a higher survival rate was observed in patients treated with adjunctive dexamethasone, although it was not statistically significant (Table I).

Table I

Summary of the clinical characteristic and therapeutic management of patients with neurolisteriosis in the previous literature and present study.

Table I

Summary of the clinical characteristic and therapeutic management of patients with neurolisteriosis in the previous literature and present study.

First author, yearNumber of patientsAge, yearsSex (n)Symptoms (n)Risk factors (n)Targeted antibiotic therapy (n)DEX therapy (n)Outcome (n)(Refs.)
Chau et al, 2010130MFever, headache, emesis, neck stiffnessNoneNoneYesDeath(34)
 134FFever, headache, emesis, neck stiffnessRaw milk and soft cheese consumptionAMP 12 gr/die for 11 daysYesComplete recovery(34)
Barocci et al, 2015159FFever, headache, altered mental status, altered consciousness, neck stiffnessHT, allo-SCT complicated by cGvHD, soft cheese consumptionAMP 12 g daily and RF 600 mg daily for 14 days, then AMC 1 g every 8 h + RF 600 mg daily for 14 daysYesRecovery(35)
Romero Gutiérrez et al, 2012155FFever, headache, sleepiness, reduced mental aptitude, delayed response to stimuli, neck stiffness, left hemiparesisAACTX, AMP, VAN, ACV (for concomitant HSV) encephalitisYesRecovery(36)
Charlier et al, 2017 (MONNALISA cohort)252Median age 67M (152), F (100) Encephalitis-associated symptoms (218), meningeal involvement without encephalitis (34)Alcohol abuse (32), cirrhosis (20), DM (55), ESRD (4), SOC (49), HM (34), SOT (5), asplenia (3), neutropenia (8), lympho penia (27), HIV (4), IBD (12), rheumatic disorders (20), other auto-immune diseases (11), age >70 years old (117); corticosteroids (48), anti-TNF biotherapy (6), immunosuppressive therapy (71)AMX (244), IPM (10), GEN (200), TMP-SMX (42), RF (3), VAN (24), LZD (4), AMX+GEN (192), AMX+TMP-SMX (37), No treatment (1). Mean antibi otic duration 22 days.Yes (32)17 of 32 patients receiving dexamethasone survived, 157 of 216 of those who did not receive dexamethasone survived(31)
Koopmans et al, 201330Median age 65M (15), F (15)Headache (22), neck stiffness (22), fever (27), altered mental status (21), coma (3), focal neurologic deficits (13), aphasia (7), hemiparesis (2), cranial nerve palsies (2)Immunocompromised (20)AMX or penicillin monotherapy (10), third generation cephalosporin monotherapy (5), AMX or penicillin + third-generation cephalosporin (11), other (4)Yes (5)Death (5), sequalae (4)(26)
 62Median age 69M (39), F (23)Headache (44), neck stiffness (39), fever (52), altered mental status (38), coma (8), focal neurologic deficits (21), aphasia (12), hemiparesis (2), cranial nerve palsies (5)Immunocompromised (42)AMX or penicillin monotherapy (11), third-generation cephalosporin monotherapy (12), AMX or penicillin + third-generation cephalosporin (36), other (3).Yes (44)Death (22), sequelae (12),(26)
Pelegrìn et al, 201459Median age 64M (41), F (18)Fever (54), meningeal signs (46), altered mental status (44), headache (42), hemiparesis (5), cranial nerve palsy (12), focal signs (15), seizures (7)DM (14), Chronic corticosteroid therapy (14), cirrhosis (6), SOC (4), HM (3), Immunosuppression (5)AMP (15), AMP + Aminoglycosides (39). Median duration of therapy 21 days.Yes (30)Death (14), sequelae (8)(32)
Amaya-Villar et al, 201043Median age 69M (24), F (19)Fever (39), headache (29), vomiting (20), neck stiffness (30), seizures (4), focal neurological deficit (14), cerebellum dysfunction (5)Immunocompromised (29)AMP + GEN (18)Yes (21)Death (12), sequelae (5)(33)
Present study569MCough, fever, nausea, headache, decreased consciousnessNoneAMP 3 gr x 4 i.v. and GEN 400 mg i.v. for 21 daysYesComplete recovery 
  39MFever, headache, emesis, speech problems, dizziness, neck stiffnessNoneAMP 3 gr x 4 i.v., GEN 4 mg/kg/day i.v. for 21 daysYesComplete recovery 
  49MAbdominal pain, nausea, fever, photophobia, neck stiffnessUCAMP 3 gr x 4 i.v. and GEN 4 mg/kg/day i.v. for 21 daysYesComplete recovery 
  67MHeadache, fever, disorientation, neck stiffnessB-cell lymphoma, hypoglobu linemiaAMP 3 gr x 4 i.v. and GEN 4 mg/kg/day i.v. for 21 daysYesComplete recovery 
  72MFever, photophobia, confusion, neck stiffnessCKD, DMAMP 3 gr x 4 i.v. and GEN 4 mg/kg/day i.v.YesDeath 

[i] M, male; F, female; HT, hypertension; allo-SCT, allogenic stem cell transplant; cGvHD, chronic graft-versus-host disease; AA, aplastic anemia; CRD, chronic respiratory disease; CLD, chronic liver disease; DM, diabetes mellitus; ESRD, end stage renal disease; IBD, inflammatory bowel diseases; TMP-SMX, trimethoprim-Sulfamethoxazole; UC, Ulcerative colitis; DEX, dexamethasone; SOC, solid organ cancer; HM, hematologic malignancy; CKD, chronic kidney disease; WBC, white blood cell; NE, neutrophils; CRP, C-reactive protein; PCT, procalcitonin; CSF, cerebrospinal fluid; RBC, red blood cell; HSV-1, human herpes virus 1; AMP, ampicillin; RF, rifampicin; AMC, amoxicillin/clavulanate; CTX, ceftriaxone; VAN, vancomycin; ACV, Acyclovir; AMX, amoxicillin; IPM, imipenem; LZD, linezolid; GEN, gentamicin; i.v., intravenous.

Overall, Chau et al (34), Barocci et al (35), and Romero Gutiérrez et al (36) reported four cases of Listeria meningitis. Of these, 3 of the 4 patients described were female. The male patient had no risk factors for Listeria infection. In all cases, ampicillin was the antibiotic of choice, with or without other drugs. Out of 4 patients, 3 of them made a complete recovery. One patient died on the 6th day after admission, on the same day the CSF culture came back positive for Listeria monocytogenes. In this case, ampicillin was not included in the empiric antibiotic therapy, probably due to the absence of risk factors for neurolisteriosis. Dexamethasone administration was initiated from clinical presentation; however, in 2 cases the dosage is unknown (35,36).

Despite current suggestions to stop corticosteroid administration when Listeria monocytogenes is detected in CSF (28), dexamethasone is still commonly prescribed for Listeria CNS infections. In our professional experience, as shown in this case series, 4 out of 5 patients treated with a concomitant low dose of dexamethasone made a full recovery without sequelae.

Although the subjects described had no signs of encephalitis nor did they have any systemic complications, and the number of reported cases is too small to make any statistical considerations regarding the effectiveness and safety of dexamethasone in these subjects, it does suggest that patients with neurolisteriosis, in particular those with encephalitis, may benefit from a low dose dexamethasone administration, especially considering the effects on inflammations and edema. Presumably, the successful outcomes described here are associated not only with corticosteroid administration but also with the patients' mild disease and the suitable antibiotic treatment.

In conclusion, despite the development of antimicrobial therapy, the mortality and mobility rates of neurolisteriosis remain high. Further studies on antibiotic treatment as well as adjunctive therapies are needed to improve a patient's morbidity and mortality. Dexamethasone has a central role as both an adjunctive empiric therapy for patients affected by meningitis of unknown origin and as a specific therapy for those with pneumococcal meningitis. Concerning listeria meningitis, dexamethasone administration should be carefully evaluated in larger cohort studies and randomized clinical trials to better assess its possible effectiveness and safety in these patients.

Acknowledgements

The authors would like to thank Dr Pietro Leanza, University of Catania (Catania, Italy) for his assistance with the editing of the manuscript.

Funding

Funding: No funding was received.

Availability of data and materials

The datasets used and/or analyzed during the present study are available from the corresponding author on reasonable request.

Authors' contributions

VM, AM, MC, FC, AZ, BMC, GN, and BC contributed to the conception and design of the study. VM wrote the manuscript. AM, MC, and FC searched the literature. AZ and BMC provided clinical assistance to the patients and were responsible for the pharmacological treatments. GN and BC revised the manuscript. GN and BC confirm the authenticity of all the raw data. All authors have read and approved the final manuscript.

Ethics approval and consent to participate

The patients signed written informed consent. Within the consent, it was specified that data collected during the diagnostic and therapeutic process can be anonymously used for scientific purposes.

Patient consent for publication

Not applicable.

Competing interests

The authors declare that they have no competing interests.

References

1 

Pagliano P, Ascione T, Boccia G, De Caro F and Esposito S: Listeria monocytogenes meningitis in the elderly: Epidemiological, clinical and therapeutic findings. Le Infez Med. 24:105–111. 2016.PubMed/NCBI

2 

Erdem H, Hargreaves S, Ankarali H, Caskurlu H, Ceviker SA, Bahar-Kacmaz A, Meric-Koc M, Altindis M, Yildiz-Kirazaldi Y, Kizilates F, et al: Managing adult patients with infectious diseases in emergency departments: International ID-IRI study. J Chemother. 33:302–318. 2021.PubMed/NCBI View Article : Google Scholar

3 

El-Sokkary R, Uysal S, Erdem H, Kullar R, Pekok AU, Amer F, Grgić S, Carevic B, El-Kholy A, Liskova A, et al: Profiles of multidrug-resistant organisms among patients with bacteremia in intensive care units: An international ID-IRI survey. Eur J Clin Microbiol Infect Dis. 40:2323–2334. 2021.PubMed/NCBI View Article : Google Scholar

4 

WHO. https://www.who.int/news-room/fact-sheets/detail/listeriosis.

5 

Adriani KS, Brouwer MC, van der Ende A and van de Beek D: Bacterial meningitis in pregnancy: Report of six cases and review of the literature. Clin Microbiol Infect. 18:345–351. 2012.PubMed/NCBI View Article : Google Scholar

6 

Skogberg K, Syrjanen J, Jahkola M, Renkonen OV, Paavonen J, Ahonen J, Kontiainen S, Ruutu P and Valtonen V: Clinical presentation and outcome of listeriosis in patients with and without immunosuppressive therapy. Clin Infect Dis. 14:815–821. 1992.PubMed/NCBI View Article : Google Scholar

7 

Bula CJ, Bille J and Glauser MP: An epidemic of food-borne listeriosis in Western Switzerland: Description of 57 cases involving adults. Clin Infect Dis. 20:66–72. 1995.PubMed/NCBI View Article : Google Scholar

8 

Chen SY, Lee JJ, Chien CC, Tsai WC, Lu CH, Chang WN and Lien CY: High incidence of severe neurological manifestations and high mortality rate for adult Listeria monocytogenes meningitis in Taiwan. J Clin Neurosci. 71:177–185. 2019.PubMed/NCBI View Article : Google Scholar

9 

van de Beek D, Cabellos C, Dzupova O, Esposito S, Klein M, Kloek AT, Leib SL, Mourvillier B, Ostergaard C, Pagliano P, et al: ESCMID guideline: Diagnosis and treatment of acute bacterial meningitis. Clin Microbiol Infect 22 Suppl. 3:S37–S62. 2016.PubMed/NCBI View Article : Google Scholar

10 

Lorber B: Listeria monocytogenes. In: Mandell, Douglas, and Bennett's Principles and Practice of Infectious Diseases, 9th edition. Bennett J, Dolin R and Blaser M (eds). Elsevier/Saunders', Philadelphia, PA, 2020;.

11 

Thønnings S, Knudsen JD, Schønheyder HC, Søgaard M, Arpi M, Gradel KO and Østergaard C: Danish Collaborative Bacteraemia Network (DACOBAN). Antibiotic treatment and mortality in patients with Listeria monocytogenes meningitis or bacteraemia. Clin Microbiol Infect. 22:725–730. 2016.PubMed/NCBI View Article : Google Scholar

12 

Garcia-Carretero R: Clinical features and predictors for mortality in neurolisteriosis: An administrative data-based study. Bacteria. 1:3–11. 2022.

13 

Celesia BM, Marino A, Borracino S, Arcadipane AF, Pantò G, Gussio M, Coniglio S, Pennisi A, Cacopardo B and Panarello G: Successful extracorporeal membrane oxygenation treatment in an acquired immune deficiency syndrome (AIDS) patient with acute respiratory distress syndrome (ARDS) complicating pneumocystis jirovecii Pneumonia: A challenging case. Am J Case Rep. 21(e919570)2020.PubMed/NCBI View Article : Google Scholar

14 

Celesia BM, Marino A, Del Vecchio RF, Bruno R, Palermo F, Gussio M, Nunnari G and Cacopardo B: Is it safe and cost saving to defer the CD4+ cell count monitoring in stable patients on art with more than 350 or 500 cells/µl? Mediterr J Hematol Infect Dis. 11(e2019063)2019.PubMed/NCBI View Article : Google Scholar

15 

Marino A, Cosentino F, Ceccarelli M, Moscatt V, Pampaloni A, Scuderi D, D'Andrea F, Rullo EV, Nunnari G, Benanti F, et al: Entecavir resistance in a patient with treatment-naïve HBV: A case report. Mol Clin Oncol. 14(113)2021.PubMed/NCBI View Article : Google Scholar

16 

Marino A, Scuderi D, Locatelli ME, Gentile A, Pampaloni A, Cosentino F, Ceccarelli M, Celesia BM, Benanti F, Nunnar G, et al: Modification of serum brain-derived neurotrophic factor levels following Anti-HCV therapy with direct antiviral agents: A new marker of neurocognitive disorders. Hepat Mon. 20(e95101)2020.

17 

Marino A, Zafarana G, Ceccarelli M, Cosentino F, Moscatt V, Bruno G, Bruno R, Benanti F, Cacopardo B and Celesia BM: Immunological and clinical impact of DAA-Mediated HCV Eradication in a Cohort of HIV/HCV coinfected patients: Monocentric Italian experience. Diagnostics (Basel). 11(2336)2021.PubMed/NCBI View Article : Google Scholar

18 

Marino A, Munafò A, Zagami A, Ceccarelli M, Di Mauro R, Cantarella G, Bernardini R, Nunnari G and Cacopardo B: Ampicillin plus ceftriaxone regimen against enterococcus faecalis endocarditis: A literature review. J Clin Med. 10(4594)2021.PubMed/NCBI View Article : Google Scholar

19 

Pagliano P, Arslan F and Ascione T: Epidemiology and treatment of the commonest form of listeriosis: Meningitis and bacteraemia. Infez Med. 25:210–216. 2017.PubMed/NCBI

20 

Hernandez-Milian A and Payeras-Cifre A: What is new in listeriosis? Biomed Res Int. 2014(358051)2014.PubMed/NCBI View Article : Google Scholar

21 

Brouwer MC, van de Beek D, Heckenberg SG, Spanjaard L and de Gans J: Community-Acquired Listeria monocytogenes meningitis in adults. Clin Infect Dis. 43:1233–1238. 2006.PubMed/NCBI View Article : Google Scholar

22 

Mylonakis E, Hohmann EL and Calderwood SB: Central nervous system infection with listeria monocytogenes: 33 Yearsʼ experience at a general hospital and review of 776 episodes from the literature. Medicine (Baltimore). 77:313–336. 1998.PubMed/NCBI View Article : Google Scholar

23 

Temple ME and Nahata MC: Treatment of listeriosis. Ann Pharmacother. 34:656–661. 2000.PubMed/NCBI View Article : Google Scholar

24 

Lan ZW, Xiao MJ, Guan YL, Zhan YJ and Tang XQ: Detection of Listeria monocytogenes in a patient with meningoencephalitis using next-generation sequencing: A case report. BMC Infect Dis. 20(721)2020.PubMed/NCBI View Article : Google Scholar

25 

Arslan F, Meynet E, Sunbul M, Sipahi OR, Kurtaran B, Kaya S, Inkaya AC, Pagliano P, Sengoz G, Batirel A, et al: The clinical features, diagnosis, treatment, and prognosis of neuroinvasive listeriosis: A multinational study. Eur J Clin Microbiol Infect Dis. 34:1213–1221. 2015.PubMed/NCBI View Article : Google Scholar

26 

Koopmans MM, Brouwer MC, Bijlsma MW, Bovenkerk S, Keijzers W, van der Ende A and van de Beek D: Listeria monocytogenes sequence type 6 and increased rate of unfavorable outcome in meningitis: Epidemiologic cohort study. Clin Infect Dis. 57:247–253. 2013.PubMed/NCBI View Article : Google Scholar

27 

de Gans J and van de Beek D: European Dexamethasone in Adulthood Bacterial Meningitis Study Investigators. Dexamethasone in adults with bacterial meningitis. N Engl J Med. 347:1549–1556. 2002.PubMed/NCBI View Article : Google Scholar

28 

Brouwer MC, McIntyre P, Prasad K and van de Beek D: Corticosteroids for acute bacterial meningitis. Cochrane Database Syst Rev: Jun 13, 2013 (Epub ahead of print).

29 

Nau R, Djukic M, Spreer A and Eiffert H: Bacterial meningitis: New therapeutic approaches. Expert Rev Anti Infect Ther. 11:1079–1095. 2013.PubMed/NCBI View Article : Google Scholar

30 

Polkowska A, Toropainen M, Ollgren J, Lyytikäinen O and Nuorti JP: Bacterial meningitis in Finland, 1995-2014: A population-based observational study. BMJ Open. 7(e015080)2017.PubMed/NCBI View Article : Google Scholar

31 

Charlier C, Perrodeau É, Leclercq A, Cazenave B, Pilmis B, Henry B, Lopes A, Maury MM, Moura A, Goffinet F, et al: Clinical features and prognostic factors of listeriosis: The MONALISA national prospective cohort study. Lancet Infect Dis. 17:510–519. 2017.PubMed/NCBI View Article : Google Scholar

32 

Pelegrín I, Moragas M, Suárez C, Ribera A, Verdaguer R, Martínez-Yelamos S, Rubio-Borrego F, Ariza J, Viladrich PF and Cabellos C: Listeria monocytogenes meningoencephalitis in adults: Analysis of factors related to unfavourable outcome. Infection. 42:817–827. 2014.PubMed/NCBI View Article : Google Scholar

33 

Amaya-Villar R, García-Cabrera E, Sulleiro-Igual E, Fernández-Viladrich P, Fontanals-Aymerich D, Catalán-Alonso P, Rodrigo-Gonzalo de Liria C, Coloma-Conde A, Grill-Díaz F, Guerrero-Espejo A, et al: Three-year multicenter surveillance of community-acquired listeria monocytogenes meningitis in adults. BMC Infect Dis. 10(324)2010.PubMed/NCBI View Article : Google Scholar

34 

Chau TT, Campbell JI, Schultsz C, Chau NV, Diep TS, Baker S, Chinh NT, Farrar JJ and van Doorn HR: Three adult cases of Listeria monocytogenes meningitis in Vietnam. PLoS Med. 7(e1000306)2010.PubMed/NCBI View Article : Google Scholar

35 

Barocci S, Mancini A, Canovari B, Petrelli E, Sbriscia-Fioretti E, Licci A, D'Addesa S, Petrini G, Giacomini M, Renzi A, et al: Listeria monocytogenes meningitis in an immunocompromised patient. New Microbiol. 38:113–118. 2015.PubMed/NCBI

36 

Romero Gutiérrez J, Garcia Peña J, Rodrigo Casanova P and Aguilera Celorrio L: Listeria monocytogenes and Herpes simplex type 1, associated in a meningoencephalitis episode in an immunodepressed patient. Rev Esp Anestesiol Reanim. 59:227–228. 2012.PubMed/NCBI View Article : Google Scholar : (In Spanish).

Related Articles

  • Abstract
  • View
  • Download
  • Twitter
Copy and paste a formatted citation
Spandidos Publications style
Moscatt V, Marino A, Ceccarelli M, Cosentino F, Zagami A, Celesia BM, Nunnari G and Cacopardo B: Possible role of low dose dexamethasone administration in listeria monocytogenes meningoencephalitis: A case series. Biomed Rep 17: 73, 2022.
APA
Moscatt, V., Marino, A., Ceccarelli, M., Cosentino, F., Zagami, A., Celesia, B.M. ... Cacopardo, B. (2022). Possible role of low dose dexamethasone administration in listeria monocytogenes meningoencephalitis: A case series. Biomedical Reports, 17, 73. https://doi.org/10.3892/br.2022.1556
MLA
Moscatt, V., Marino, A., Ceccarelli, M., Cosentino, F., Zagami, A., Celesia, B. M., Nunnari, G., Cacopardo, B."Possible role of low dose dexamethasone administration in listeria monocytogenes meningoencephalitis: A case series". Biomedical Reports 17.3 (2022): 73.
Chicago
Moscatt, V., Marino, A., Ceccarelli, M., Cosentino, F., Zagami, A., Celesia, B. M., Nunnari, G., Cacopardo, B."Possible role of low dose dexamethasone administration in listeria monocytogenes meningoencephalitis: A case series". Biomedical Reports 17, no. 3 (2022): 73. https://doi.org/10.3892/br.2022.1556
Copy and paste a formatted citation
x
Spandidos Publications style
Moscatt V, Marino A, Ceccarelli M, Cosentino F, Zagami A, Celesia BM, Nunnari G and Cacopardo B: Possible role of low dose dexamethasone administration in listeria monocytogenes meningoencephalitis: A case series. Biomed Rep 17: 73, 2022.
APA
Moscatt, V., Marino, A., Ceccarelli, M., Cosentino, F., Zagami, A., Celesia, B.M. ... Cacopardo, B. (2022). Possible role of low dose dexamethasone administration in listeria monocytogenes meningoencephalitis: A case series. Biomedical Reports, 17, 73. https://doi.org/10.3892/br.2022.1556
MLA
Moscatt, V., Marino, A., Ceccarelli, M., Cosentino, F., Zagami, A., Celesia, B. M., Nunnari, G., Cacopardo, B."Possible role of low dose dexamethasone administration in listeria monocytogenes meningoencephalitis: A case series". Biomedical Reports 17.3 (2022): 73.
Chicago
Moscatt, V., Marino, A., Ceccarelli, M., Cosentino, F., Zagami, A., Celesia, B. M., Nunnari, G., Cacopardo, B."Possible role of low dose dexamethasone administration in listeria monocytogenes meningoencephalitis: A case series". Biomedical Reports 17, no. 3 (2022): 73. https://doi.org/10.3892/br.2022.1556
Follow us
  • Twitter
  • LinkedIn
  • Facebook
About
  • Spandidos Publications
  • Careers
  • Cookie Policy
  • Privacy Policy
How can we help?
  • Help
  • Live Chat
  • Contact
  • Email to our Support Team