Spandidos Publications Logo
  • About
    • About Spandidos
    • Aims and Scopes
    • Abstracting and Indexing
    • Editorial Policies
    • Reprints and Permissions
    • Job Opportunities
    • Terms and Conditions
    • Contact
  • Journals
    • All Journals
    • Oncology Letters
      • Oncology Letters
      • Information for Authors
      • Editorial Policies
      • Editorial Board
      • Aims and Scope
      • Abstracting and Indexing
      • Bibliographic Information
      • Archive
    • International Journal of Oncology
      • International Journal of Oncology
      • Information for Authors
      • Editorial Policies
      • Editorial Board
      • Aims and Scope
      • Abstracting and Indexing
      • Bibliographic Information
      • Archive
    • Molecular and Clinical Oncology
      • Molecular and Clinical Oncology
      • Information for Authors
      • Editorial Policies
      • Editorial Board
      • Aims and Scope
      • Abstracting and Indexing
      • Bibliographic Information
      • Archive
    • Experimental and Therapeutic Medicine
      • Experimental and Therapeutic Medicine
      • Information for Authors
      • Editorial Policies
      • Editorial Board
      • Aims and Scope
      • Abstracting and Indexing
      • Bibliographic Information
      • Archive
    • International Journal of Molecular Medicine
      • International Journal of Molecular Medicine
      • Information for Authors
      • Editorial Policies
      • Editorial Board
      • Aims and Scope
      • Abstracting and Indexing
      • Bibliographic Information
      • Archive
    • Biomedical Reports
      • Biomedical Reports
      • Information for Authors
      • Editorial Policies
      • Editorial Board
      • Aims and Scope
      • Abstracting and Indexing
      • Bibliographic Information
      • Archive
    • Oncology Reports
      • Oncology Reports
      • Information for Authors
      • Editorial Policies
      • Editorial Board
      • Aims and Scope
      • Abstracting and Indexing
      • Bibliographic Information
      • Archive
    • Molecular Medicine Reports
      • Molecular Medicine Reports
      • Information for Authors
      • Editorial Policies
      • Editorial Board
      • Aims and Scope
      • Abstracting and Indexing
      • Bibliographic Information
      • Archive
    • World Academy of Sciences Journal
      • World Academy of Sciences Journal
      • Information for Authors
      • Editorial Policies
      • Editorial Board
      • Aims and Scope
      • Abstracting and Indexing
      • Bibliographic Information
      • Archive
    • International Journal of Functional Nutrition
      • International Journal of Functional Nutrition
      • Information for Authors
      • Editorial Policies
      • Editorial Board
      • Aims and Scope
      • Abstracting and Indexing
      • Bibliographic Information
      • Archive
    • International Journal of Epigenetics
      • International Journal of Epigenetics
      • Information for Authors
      • Editorial Policies
      • Editorial Board
      • Aims and Scope
      • Abstracting and Indexing
      • Bibliographic Information
      • Archive
    • Medicine International
      • Medicine International
      • Information for Authors
      • Editorial Policies
      • Editorial Board
      • Aims and Scope
      • Abstracting and Indexing
      • Bibliographic Information
      • Archive
  • Articles
  • Information
    • Information for Authors
    • Information for Reviewers
    • Information for Librarians
    • Information for Advertisers
    • Conferences
  • Language Editing
Spandidos Publications Logo
  • About
    • About Spandidos
    • Aims and Scopes
    • Abstracting and Indexing
    • Editorial Policies
    • Reprints and Permissions
    • Job Opportunities
    • Terms and Conditions
    • Contact
  • Journals
    • All Journals
    • Biomedical Reports
      • Information for Authors
      • Editorial Policies
      • Editorial Board
      • Aims and Scope
      • Abstracting and Indexing
      • Bibliographic Information
      • Archive
    • Experimental and Therapeutic Medicine
      • Information for Authors
      • Editorial Policies
      • Editorial Board
      • Aims and Scope
      • Abstracting and Indexing
      • Bibliographic Information
      • Archive
    • International Journal of Epigenetics
      • Information for Authors
      • Editorial Policies
      • Editorial Board
      • Aims and Scope
      • Abstracting and Indexing
      • Bibliographic Information
      • Archive
    • International Journal of Functional Nutrition
      • Information for Authors
      • Editorial Policies
      • Editorial Board
      • Aims and Scope
      • Abstracting and Indexing
      • Bibliographic Information
      • Archive
    • International Journal of Molecular Medicine
      • Information for Authors
      • Editorial Policies
      • Editorial Board
      • Aims and Scope
      • Abstracting and Indexing
      • Bibliographic Information
      • Archive
    • International Journal of Oncology
      • Information for Authors
      • Editorial Policies
      • Editorial Board
      • Aims and Scope
      • Abstracting and Indexing
      • Bibliographic Information
      • Archive
    • Medicine International
      • Information for Authors
      • Editorial Policies
      • Editorial Board
      • Aims and Scope
      • Abstracting and Indexing
      • Bibliographic Information
      • Archive
    • Molecular and Clinical Oncology
      • Information for Authors
      • Editorial Policies
      • Editorial Board
      • Aims and Scope
      • Abstracting and Indexing
      • Bibliographic Information
      • Archive
    • Molecular Medicine Reports
      • Information for Authors
      • Editorial Policies
      • Editorial Board
      • Aims and Scope
      • Abstracting and Indexing
      • Bibliographic Information
      • Archive
    • Oncology Letters
      • Information for Authors
      • Editorial Policies
      • Editorial Board
      • Aims and Scope
      • Abstracting and Indexing
      • Bibliographic Information
      • Archive
    • Oncology Reports
      • Information for Authors
      • Editorial Policies
      • Editorial Board
      • Aims and Scope
      • Abstracting and Indexing
      • Bibliographic Information
      • Archive
    • World Academy of Sciences Journal
      • Information for Authors
      • Editorial Policies
      • Editorial Board
      • Aims and Scope
      • Abstracting and Indexing
      • Bibliographic Information
      • Archive
  • Articles
  • Information
    • For Authors
    • For Reviewers
    • For Librarians
    • For Advertisers
    • Conferences
  • Language Editing
Login Register Submit
  • This site uses cookies
  • You can change your cookie settings at any time by following the instructions in our Cookie Policy. To find out more, you may read our Privacy Policy.

    I agree
Search articles by DOI, keyword, author or affiliation
Search
Advanced Search
presentation
Biomedical Reports
Join Editorial Board Propose a Special Issue
Print ISSN: 2049-9434 Online ISSN: 2049-9442
Journal Cover
December-2022 Volume 17 Issue 6

Full Size Image

Sign up for eToc alerts
Recommend to Library

Journals

International Journal of Molecular Medicine

International Journal of Molecular Medicine

International Journal of Molecular Medicine is an international journal devoted to molecular mechanisms of human disease.

International Journal of Oncology

International Journal of Oncology

International Journal of Oncology is an international journal devoted to oncology research and cancer treatment.

Molecular Medicine Reports

Molecular Medicine Reports

Covers molecular medicine topics such as pharmacology, pathology, genetics, neuroscience, infectious diseases, molecular cardiology, and molecular surgery.

Oncology Reports

Oncology Reports

Oncology Reports is an international journal devoted to fundamental and applied research in Oncology.

Experimental and Therapeutic Medicine

Experimental and Therapeutic Medicine

Experimental and Therapeutic Medicine is an international journal devoted to laboratory and clinical medicine.

Oncology Letters

Oncology Letters

Oncology Letters is an international journal devoted to Experimental and Clinical Oncology.

Biomedical Reports

Biomedical Reports

Explores a wide range of biological and medical fields, including pharmacology, genetics, microbiology, neuroscience, and molecular cardiology.

Molecular and Clinical Oncology

Molecular and Clinical Oncology

International journal addressing all aspects of oncology research, from tumorigenesis and oncogenes to chemotherapy and metastasis.

World Academy of Sciences Journal

World Academy of Sciences Journal

Multidisciplinary open-access journal spanning biochemistry, genetics, neuroscience, environmental health, and synthetic biology.

International Journal of Functional Nutrition

International Journal of Functional Nutrition

Open-access journal combining biochemistry, pharmacology, immunology, and genetics to advance health through functional nutrition.

International Journal of Epigenetics

International Journal of Epigenetics

Publishes open-access research on using epigenetics to advance understanding and treatment of human disease.

Medicine International

Medicine International

An International Open Access Journal Devoted to General Medicine.

Journal Cover
December-2022 Volume 17 Issue 6

Full Size Image

Sign up for eToc alerts
Recommend to Library

  • Article
  • Citations
    • Cite This Article
    • Download Citation
    • Create Citation Alert
    • Remove Citation Alert
    • Cited By
  • Similar Articles
    • Related Articles (in Spandidos Publications)
    • Similar Articles (Google Scholar)
    • Similar Articles (PubMed)
  • Download PDF
  • Download XML
  • View XML
Case Report

Accuracy of point‑of‑care ultrasonography in the diagnosis of necrotizing fasciitis: A case report

  • Authors:
    • Wesley Cardona‑Castro
    • Mateo Zuluaga‑Gómez
    • Daniel González‑Arroyave
    • Carlos Martín Ardila
  • View Affiliations / Copyright

    Affiliations: Department of Emergency Medicine, Faculty of Medicine, University of Antioquia, UdeA, Medellín, Antioquia 050010, Colombia, Department of Medicine, San Vicente Fundación Hospital, Rionegro, Antioquia 054047, Colombia, Department of Basic Studies, Faculty of Dentistry, University of Antioquia, UdeA, Medellín, Antioquia 050010, Colombia
  • Article Number: 98
    |
    Published online on: October 26, 2022
       https://doi.org/10.3892/br.2022.1581
  • Expand metrics +
Metrics: Total Views: 0 (Spandidos Publications: | PMC Statistics: )
Metrics: Total PDF Downloads: 0 (Spandidos Publications: | PMC Statistics: )
Cited By (CrossRef): 0 citations Loading Articles...

This article is mentioned in:



Abstract

Necrotizing fasciitis is a serious infectious condition that may compromise the patient's life. In the present case study, a 42‑year‑old male patient was reported. The condition manifested as the presence of subjective fever, general malaise, myalgia, non‑productive cough, dysphagia and neck pain ~1 week prior to hospital admission. Vascular dissection was considered as the initial diagnostic suspicion, and thus, angiotomography of neck vessels was performed, ruling out aortic and neck vessel dissection. Radiology indicated negativity for aortic syndrome and cervical vascular disease, but the presence of cervical‑mediastinal edema, lamellar fluid between muscular and fatty planes and posterior pulmonary atelectasis, absence of pleural fluid or consolidations, and tonsillar hypertrophy without abscesses. Due to the rapid evolution of the condition, the presence of dyspnea with the need for supplemental oxygen, and the disproportion between the intensity of the pain described by the patient and the external findings observed, the presence of necrotizing fasciitis was considered. Point‑of‑care ultrasonography was performed, indicating a cobblestone pattern of the subcutaneous cellular tissue, with diffuse thickening of the anterior cervical fascia and increased echogenicity with soft tissue edema posterior to the fascia. Magnetic resonance imaging confirmed the inflammatory findings in the fascia and other cervical soft tissues, without exhibiting any signs of necrosis, but with the presence of abscesses in the visceral and carotid space.

Introduction

Necrotizing fasciitis (NF) is a serious infectious condition that may compromise the patient's life. It originates from a soft tissue infection that spreads rapidly to the deep fascia and produces secondary necrosis, with rapid evolution and multisystem involvement. It mainly affects the lower limbs in up to 50% of cases but may also affect other areas such as the perineum (Fournier's gangrene) and the submandibular region (Ludwig's angina) (1,2).

NF is a rare condition, with an incidence of 0.3-5/100,000 patients and high mortality (70-80%) despite technological advances in diagnosis and treatment. Up to 25% of these patients have an initial misdiagnosis due to the ambiguity of presentation and similarity with other soft tissue infections (1,2). Early clinical diagnosis is the determining factor to the patient's prognosis. It is necessary to resort to diagnostic aids to identify unclear cases. However, the limitation of physical examination and diagnostic aids in its identification is known; thus, the method for differentiating necrotizing from non-necrotizing infections is surgical exploration (1,3).

On physical examination, the external findings of NF are generally not consistent with the severity of manifestations expressed by the patient. In addition, they are similar to other less serious soft tissue infections. When relevant and characteristic clinical findings are present, the infection is usually already in advanced stages. The presence of fever, hemorrhagic bullae and hypotension have a sensitivity of <50%, but the latter two findings have a specificity of >90%, i.e., the absence of these signs on physical examination does not necessarily rule out the disease (1).

Certain paraclinical tests are used as a diagnostic aid. Among them, the Laboratory Risk Indicator for NECrotizing fasciitis score (LRINEC) is a validated tool to differentiate NF from other soft tissue infections, with a cut-off at ≥6 points for a diagnostic probability of 50-75%, with a sensitivity of 68% and specificity of 84%. However, a negative LRINEC does not necessarily rule out the disease, because with a moderate pre-test probability, there is still a ~25% chance of presenting with NF. Higher cut-off points sacrifice sensitivity to improve specificity (1).

Axial computerized tomography (CT) is used in the diagnostic process of this pathology, with findings suggestive of fasciitis and the presence of air or gas around the fascia. It has a sensitivity of 88% and a specificity of 93%, but looking for other suggestive signs, such as soft tissue edema or fascial thickening, increases the sensitivity but decreases the specificity of the test. A limitation of this test is the delay in care times, particularly in surgical management (1).

Ultrasound may indicate certain signs suggestive of NF, such as the identification of gas in soft tissues with small hyperechoic lines above the fascia, acoustic shadowing and the presence of irregularity, and/or thickening of the fascia. Other described findings are the hyperechogenicity of the fat overlying the fascia, and the cobblestone-like appearance that indicates subcutaneous edema; in addition, in tissues underlying the fascia (beyond 4 mm), the presence of hypoechogenicity is indicative of edema. A sensitivity of 88% and a specificity of 93% for the diagnosis of NF have been reported for this test (2,4).

Ultrasound is a cost-effective, non-invasive tool, useful for early diagnosis or diagnostic guidance, allowing early decision-making, although CT and magnetic resonance imaging (MRI) subsequently rule out the diagnosis (4,5).

Recently, point-of-care ultrasonography (PoCUS) demonstrated its usefulness in the diagnosis of soft tissue infections (6). Furthermore, its portability allows rapid identification of necrotizing fasciitis, reducing morbidity and mortality (3). PoCUS has also been reported to be useful in emergency departments to evaluate patients with soft tissue infections and has also been indicated to help differentiate abscesses from cellulitis (7,8).

As only a small number of studies have described the use of PoCUS in the diagnostic approach for patients with NF, the present case study demonstrates its utility in this setting, compared to more specific tools such as CT and MRI, to define whether it may be implemented as a diagnostic aid in care protocols.

Case report

A 42-year-old male patient with a history of peptic acid disease and previous smoking, treated with omeprazole, with no other relevant history, consulted the emergency department of a high-complexity institution due to a one-day episode of increased pain in the region of the neck and sensation of dyspnea, which was exacerbated after lifting a heavy object, radiating to the retrosternal region, with subsequent appearance of edema and erythema in the same area of pain.

The patient reported the presence of subjective fever, general malaise, myalgias, non-productive cough, dysphagia and neck pain ~1 week prior to admission. Initially, the patient did not consult any clinic and decided to self-medicate; however, he did not remember the medications taken to control the symptoms.

The patient presented at Hospital San Vicente Fundación (Rionegro, Colombia) in May 2022. Vital signs-associated parameters on admission indicated oxygen saturation below the normal percentage, without any other alterations. Physical examination revealed pain on palpation, edema and erythema in the anterior region of the neck and upper third of the chest, without any lesions or abscesses in the oropharyngeal cavity, crepitus in lung bases predominantly right, without any signs of respiratory distress and without any other abnormal findings on physical examination.

Vascular dissection was considered an initial diagnostic suspicion; thus, angiotomography of neck vessels was performed, ruling out aortic and neck vessel dissection. The radiology reading indicated a negative result for aortic syndrome and cervical vascular disease, but with cervical-mediastinal edema with lamellar fluid between muscular and fatty planes, posterior pulmonary atelectasis, without pleural fluid, without consolidations and tonsillar hypertrophy and without abscesses.

In addition, the paraclinical tests indicated an increase in acute phase reactants [leukocytes, 19,200/ml (normal range, 4,500-11,500/ml); neutrophils, 16,950/ml (normal range, 2,000-7,500/ml); and C-reactive protein (CRP), 34.6 mg/dl (normal range, 0,4-1 mg/dl)]; cellulitis without abscess was then considered. The patient was hospitalized and antibiotic management was started (clindamycin 900 mg every 8 h). Blood culture was also requested.

Due to the rapid evolution of the condition, the presence of dyspnea with the need for supplemental oxygen, and the disproportion between the intensity of the pain described by the patient and the external findings observed, NF was considered. PoCUS was performed, evidencing a cobblestone-like pattern of the subcutaneous cellular tissue, with diffuse thickening of the anterior cervical fascia and increased echogenicity with soft tissue edema posterior to the fascia (Fig. 1, Fig. 2 and Fig. 3).

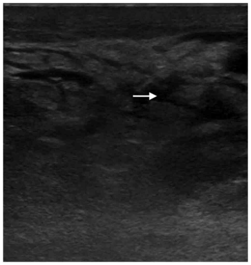
Figure 1

Point-of-care ultrasonography in the anterior cervical area. There is evidence of increased echogenicity in the fascia and edema in soft tissues (white arrow) before the fascia with hypoechoic images suggestive of the presence of gas in the tissue (gray arrow).

Figure 2

Point-of-care ultrasonography in the anterior cervical area. A cobblestone pattern and increased echogenicity in deep soft tissues were observed, suggestive of tissue edema (arrow).

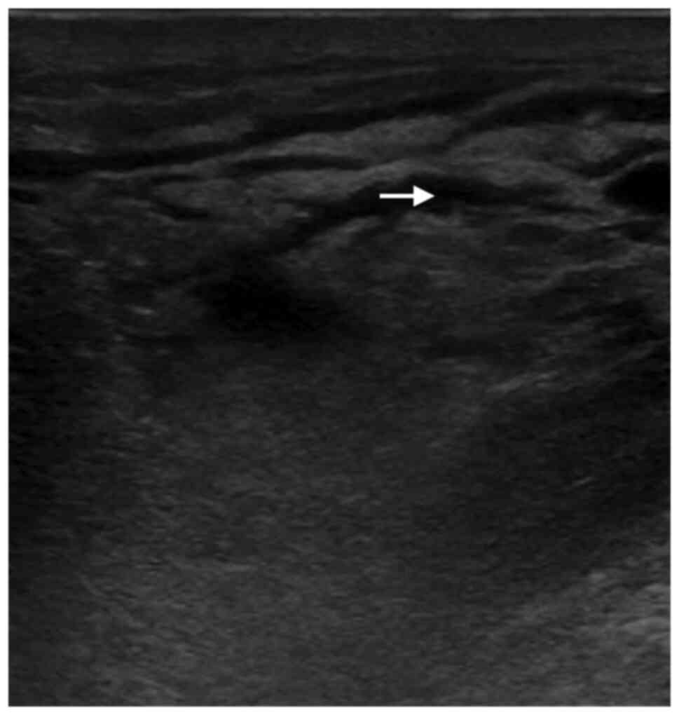
Figure 3

Point-of-care ultrasonography of the infraclavicular area. Edema and increased soft tissue echogenicity posterior to the fascia are observed (arrow).

According to the diagnostic suspicion, it was decided to hospitalize the patient in a special care unit. Antibiotic therapy (vancomycin 1.4 g every 12 h and piperacillin-tazobactam 4.5 g every 6 h) was escalated until blood culture results, and evaluation for general surgery and chest surgery was requested.

During the hospital stay, the patient presented a torpid evolution, with little improvement in pain, a persistent need for supplemental oxygen at low flow, and an increase in acute phase reactants (leukocytes, 26,500/ml; neutrophils, 23,690/ml; CRP, 22.51 mg/dl), and with negative blood cultures at 72 h. In addition, the chest MRI revealed cellulitis, myositis and fasciitis in the anterior wall of the chest inlet, and signs of infectious mediastinitis, with multifocal abscesses distributed in the anterior region of the visceral space (laminar), right paratracheal region to the height of the sternoclavicular joint, anterior paratracheal up to the carina (laminar) and cranial to the arch of the azygos of probable bacterial origin (Figs. 4 and 5).

Figure 4

MRI of the neck, coronal section. There is evidence of diffuse edema of the cervical soft tissues and thickening of the fascia of the sternocleidomastoid muscles located in the subcutaneous cellular tissue region of the anterior region of the sternocleidomastoid junction and the thorax (arrow).

Figure 5

Neck MRI, axial section. There is evidence of diffuse edema of the cervical soft tissues and thickening of the fascia of the sternocleidomastoid muscles, without any signs of necrosis (arrow).

Due to the finding of mediastinitis and a history of chest pain, it was decided to rule out an inadvertent injury to the esophagus, and an upper gastrointestinal endoscopy was then performed. During this procedure, a highly swollen airway was observed. Furthermore, before the start of the procedure, dyspnea and subcostal retractions were observed, but with adequate saturation with low oxygen flow. Due to the above, the procedure was completed without any evident injuries to the esophagus. The patient was intubated due to the imminent risk of airway loss and was transferred to the intensive care unit. After 20 days, the patient was discharged from the intensive care unit and remained hospitalized for another 10 days before being discharged. Antibiotics were prescribed for two weeks and the patient was scheduled for regular check-ups. In the last check-up after two months of being discharged, the patient was in an adequate health state.

Discussion

In the current case, the patient presented with nonspecific manifestations with inflammatory changes in the soft tissues of the neck, which were initially interpreted as cellulitis, but given the progressive deterioration, the discrepancy between the inflammatory changes observed and the severity of the symptoms, the diagnosis of NF was considered. The patient provided a diagnostic challenge due to the manifestations described that diverted the focus to other pathologies that were then to be ruled out. Furthermore, the patient did not have any significant pathological or traumatic history that may have led to soft tissue infection. In addition, the lesion was found in an unusual area.

Cervical NF is a rare pathology that mainly affects patients with immunosuppressive conditions (e.g. diabetes mellitus, HIV, alcoholism, cirrhosis, malignancy and chronic steroid use) and there is usually a known source of infection (e.g. odontogenic, oropharyngeal, traumatic or cutaneous); however, in ~10% of cases, there is no identified cause (5).

As previously described, to decrease morbidity and mortality rates in patients with NF, early diagnosis is required. However, the physical examination is not specific in the early stages of the disease; furthermore, waiting for characteristic findings to appear also increases the probability of death (4). Waiting for paraclinical and imaging results to make decisions also delays the start of measures that have an impact on morbidity and survival, which is why diagnostic aids are required that allow early and rapid identification with acceptable diagnostic accuracy, which promotes early therapeutic decision-making.

In this way, PoCUS has been a tool which, in recent decades, has gained ground for the evaluation of multiple conditions in emergency services, helping in early decision-making in time-sensitive conditions (7,8). Although there are descriptions of the characteristics identified by ultrasound of soft tissue infections, only a small number of studies are available on the usefulness of PoCUS in diagnosis and its efficacy in improving outcomes compared to current protocols.

A recent prospective study compared the findings of PoCUS in patients with suspected NF at the emergency department, with the results obtained by CT and/or surgical evaluation. A sensitivity of 100%, specificity of 98%, positive predictive value of 89% and negative predictive value of 100% were obtained, with an area under the curve of 99%, with thickening of the fascia and edema between planes being the more frequent findings, in addition to the presence of hyperechoic foci suggestive of air, a late finding in the presentation of fasciitis. The study indicated that PoCUS may be used to identify NF with high sensitivity and specificity (3).

The present case report corroborates the usefulness of PoCUS as a tool of easy and rapid access in situations of non-timely availability of other diagnostic tools, which in suggestive clinical conditions and with early ultrasound findings typical of soft tissue infection, allows ruling out or confirming more serious conditions, allowing for the prompt initiation of treatments or decisions that impact outcomes.

In conclusion, PoCUS, in the context of serious soft tissue infections, is a good tool that allows for the differentiation of superficial infections from those that are deep and abscessed, an aspect that influences treatment decisions. Furthermore, in the appropriate clinical context, it allows the diagnosis of necrotizing infections, with specific ultrasound signs that are indicative of a serious compromise. It also allows to identify the condition in the early stages, facilitating therapeutic decision-making that reduces morbidity and mortality.

Acknowledgements

Not applicable.

Funding

Funding: No funding was received.

Availability of data and materials

The datasets used and/or analyzed during the present study are available from the corresponding author on reasonable request.

Authors' contributions

WCC, MZG, DGA and CMA contributed to the conception and design of the study. CMA wrote the manuscript. WCC and CMA searched the literature. WCC, MZG and DGA provided clinical assistance to the patient and were responsible for the treatments. DGA and CMA revised the manuscript. MZG and CMA confirm the authenticity of all the raw data. All authors have read and approved the final manuscript.

Ethics approval and consent to participate

The Bioethics Committee of San Vicente Fundación Hospital (Rionegro, Colombia) approved the publication of this case.

Patient consent for publication

Written informed consent for the publication of clinical details and images was obtained from the patient.

Competing interests

The authors declare that they have no competing interests.

References

1 

Fernando SM, Tran A, Cheng W, Rochwerg B, Kyeremanteng K, Seely AJE, Inaba K and Perry JJ: Necrotizing soft tissue infection: Diagnostic accuracy of physical examination, imaging, and LRINEC score: A systematic review and meta-analysis. Ann Surg. 269:58–65. 2019.PubMed/NCBI View Article : Google Scholar

2 

Tso DK and Singh AK: Necrotizing fasciitis of the lower extremity: Imaging pearls and pitfalls. Br J Radiol. 91(20180093)2018.PubMed/NCBI View Article : Google Scholar

3 

Lahham S, Shniter I, Desai M, Andary R, Saadat S, Fox JC and Pierce S: Point of care ultrasound in the diagnosis of necrotizing fasciitis. Am J Emerg Med. 51:397–400. 2022.PubMed/NCBI View Article : Google Scholar

4 

Lin CN, Hsiao CT, Chang CP, Huang TY, Hsiao KY, Chen YC and Fann WC: The relationship between fluid accumulation in ultrasonography and the diagnosis and prognosis of patients with necrotizing fasciitis. Ultrasound Med Biol. 45:1545–1550. 2019.PubMed/NCBI View Article : Google Scholar

5 

Sideris G, Nikolopoulos T and Delides A: Cervical necrotizing fasciitis affects only immunocompromized patients? Diagnostic challenges, treatment outcomes and clinical management of eleven immunocompetent adult patients with a still fatal disease. Am J Otolaryngol. 41(102613)2020.PubMed/NCBI View Article : Google Scholar

6 

Subramaniam S, Bober J, Chao J and Zehtabchi S: Point-of-care ultrasound for diagnosis of abscess in skin and soft tissue infections. Acad Emerg Med. 23:1298–1306. 2016.PubMed/NCBI View Article : Google Scholar

7 

Hakkarainen TW, Kopari NM, Pham TN and Evans HL: Necrotizing soft tissue infections: Review and current concepts in treatment, systems of care, and outcomes. Curr Probl Surg. 51:344–362. 2014.PubMed/NCBI View Article : Google Scholar

8 

Kaafarani HM and King DR: Necrotizing skin and soft tissue infections. Surg Clin North Am. 94:155–163. 2014.PubMed/NCBI View Article : Google Scholar

Related Articles

  • Abstract
  • View
  • Download
  • Twitter
Copy and paste a formatted citation
Spandidos Publications style
Cardona‑Castro W, Zuluaga‑Gómez M, González‑Arroyave D and Ardila CM: Accuracy of point‑of‑care ultrasonography in the diagnosis of necrotizing fasciitis: A case report. Biomed Rep 17: 98, 2022.
APA
Cardona‑Castro, W., Zuluaga‑Gómez, M., González‑Arroyave, D., & Ardila, C.M. (2022). Accuracy of point‑of‑care ultrasonography in the diagnosis of necrotizing fasciitis: A case report. Biomedical Reports, 17, 98. https://doi.org/10.3892/br.2022.1581
MLA
Cardona‑Castro, W., Zuluaga‑Gómez, M., González‑Arroyave, D., Ardila, C. M."Accuracy of point‑of‑care ultrasonography in the diagnosis of necrotizing fasciitis: A case report". Biomedical Reports 17.6 (2022): 98.
Chicago
Cardona‑Castro, W., Zuluaga‑Gómez, M., González‑Arroyave, D., Ardila, C. M."Accuracy of point‑of‑care ultrasonography in the diagnosis of necrotizing fasciitis: A case report". Biomedical Reports 17, no. 6 (2022): 98. https://doi.org/10.3892/br.2022.1581
Copy and paste a formatted citation
x
Spandidos Publications style
Cardona‑Castro W, Zuluaga‑Gómez M, González‑Arroyave D and Ardila CM: Accuracy of point‑of‑care ultrasonography in the diagnosis of necrotizing fasciitis: A case report. Biomed Rep 17: 98, 2022.
APA
Cardona‑Castro, W., Zuluaga‑Gómez, M., González‑Arroyave, D., & Ardila, C.M. (2022). Accuracy of point‑of‑care ultrasonography in the diagnosis of necrotizing fasciitis: A case report. Biomedical Reports, 17, 98. https://doi.org/10.3892/br.2022.1581
MLA
Cardona‑Castro, W., Zuluaga‑Gómez, M., González‑Arroyave, D., Ardila, C. M."Accuracy of point‑of‑care ultrasonography in the diagnosis of necrotizing fasciitis: A case report". Biomedical Reports 17.6 (2022): 98.
Chicago
Cardona‑Castro, W., Zuluaga‑Gómez, M., González‑Arroyave, D., Ardila, C. M."Accuracy of point‑of‑care ultrasonography in the diagnosis of necrotizing fasciitis: A case report". Biomedical Reports 17, no. 6 (2022): 98. https://doi.org/10.3892/br.2022.1581
Follow us
  • Twitter
  • LinkedIn
  • Facebook
About
  • Spandidos Publications
  • Careers
  • Cookie Policy
  • Privacy Policy
How can we help?
  • Help
  • Live Chat
  • Contact
  • Email to our Support Team